Spandidos Publications Logo
  • About
    • About Spandidos
    • Aims and Scopes
    • Abstracting and Indexing
    • Editorial Policies
    • Reprints and Permissions
    • Job Opportunities
    • Terms and Conditions
    • Contact
  • Journals
    • All Journals
    • Oncology Letters
      • Oncology Letters
      • Information for Authors
      • Editorial Policies
      • Editorial Board
      • Aims and Scope
      • Abstracting and Indexing
      • Bibliographic Information
      • Archive
    • International Journal of Oncology
      • International Journal of Oncology
      • Information for Authors
      • Editorial Policies
      • Editorial Board
      • Aims and Scope
      • Abstracting and Indexing
      • Bibliographic Information
      • Archive
    • Molecular and Clinical Oncology
      • Molecular and Clinical Oncology
      • Information for Authors
      • Editorial Policies
      • Editorial Board
      • Aims and Scope
      • Abstracting and Indexing
      • Bibliographic Information
      • Archive
    • Experimental and Therapeutic Medicine
      • Experimental and Therapeutic Medicine
      • Information for Authors
      • Editorial Policies
      • Editorial Board
      • Aims and Scope
      • Abstracting and Indexing
      • Bibliographic Information
      • Archive
    • International Journal of Molecular Medicine
      • International Journal of Molecular Medicine
      • Information for Authors
      • Editorial Policies
      • Editorial Board
      • Aims and Scope
      • Abstracting and Indexing
      • Bibliographic Information
      • Archive
    • Biomedical Reports
      • Biomedical Reports
      • Information for Authors
      • Editorial Policies
      • Editorial Board
      • Aims and Scope
      • Abstracting and Indexing
      • Bibliographic Information
      • Archive
    • Oncology Reports
      • Oncology Reports
      • Information for Authors
      • Editorial Policies
      • Editorial Board
      • Aims and Scope
      • Abstracting and Indexing
      • Bibliographic Information
      • Archive
    • Molecular Medicine Reports
      • Molecular Medicine Reports
      • Information for Authors
      • Editorial Policies
      • Editorial Board
      • Aims and Scope
      • Abstracting and Indexing
      • Bibliographic Information
      • Archive
    • World Academy of Sciences Journal
      • World Academy of Sciences Journal
      • Information for Authors
      • Editorial Policies
      • Editorial Board
      • Aims and Scope
      • Abstracting and Indexing
      • Bibliographic Information
      • Archive
    • International Journal of Functional Nutrition
      • International Journal of Functional Nutrition
      • Information for Authors
      • Editorial Policies
      • Editorial Board
      • Aims and Scope
      • Abstracting and Indexing
      • Bibliographic Information
      • Archive
    • International Journal of Epigenetics
      • International Journal of Epigenetics
      • Information for Authors
      • Editorial Policies
      • Editorial Board
      • Aims and Scope
      • Abstracting and Indexing
      • Bibliographic Information
      • Archive
    • Medicine International
      • Medicine International
      • Information for Authors
      • Editorial Policies
      • Editorial Board
      • Aims and Scope
      • Abstracting and Indexing
      • Bibliographic Information
      • Archive
  • Articles
  • Information
    • Information for Authors
    • Information for Reviewers
    • Information for Librarians
    • Information for Advertisers
    • Conferences
  • Language Editing
Spandidos Publications Logo
  • About
    • About Spandidos
    • Aims and Scopes
    • Abstracting and Indexing
    • Editorial Policies
    • Reprints and Permissions
    • Job Opportunities
    • Terms and Conditions
    • Contact
  • Journals
    • All Journals
    • Biomedical Reports
      • Information for Authors
      • Editorial Policies
      • Editorial Board
      • Aims and Scope
      • Abstracting and Indexing
      • Bibliographic Information
      • Archive
    • Experimental and Therapeutic Medicine
      • Information for Authors
      • Editorial Policies
      • Editorial Board
      • Aims and Scope
      • Abstracting and Indexing
      • Bibliographic Information
      • Archive
    • International Journal of Epigenetics
      • Information for Authors
      • Editorial Policies
      • Editorial Board
      • Aims and Scope
      • Abstracting and Indexing
      • Bibliographic Information
      • Archive
    • International Journal of Functional Nutrition
      • Information for Authors
      • Editorial Policies
      • Editorial Board
      • Aims and Scope
      • Abstracting and Indexing
      • Bibliographic Information
      • Archive
    • International Journal of Molecular Medicine
      • Information for Authors
      • Editorial Policies
      • Editorial Board
      • Aims and Scope
      • Abstracting and Indexing
      • Bibliographic Information
      • Archive
    • International Journal of Oncology
      • Information for Authors
      • Editorial Policies
      • Editorial Board
      • Aims and Scope
      • Abstracting and Indexing
      • Bibliographic Information
      • Archive
    • Medicine International
      • Information for Authors
      • Editorial Policies
      • Editorial Board
      • Aims and Scope
      • Abstracting and Indexing
      • Bibliographic Information
      • Archive
    • Molecular and Clinical Oncology
      • Information for Authors
      • Editorial Policies
      • Editorial Board
      • Aims and Scope
      • Abstracting and Indexing
      • Bibliographic Information
      • Archive
    • Molecular Medicine Reports
      • Information for Authors
      • Editorial Policies
      • Editorial Board
      • Aims and Scope
      • Abstracting and Indexing
      • Bibliographic Information
      • Archive
    • Oncology Letters
      • Information for Authors
      • Editorial Policies
      • Editorial Board
      • Aims and Scope
      • Abstracting and Indexing
      • Bibliographic Information
      • Archive
    • Oncology Reports
      • Information for Authors
      • Editorial Policies
      • Editorial Board
      • Aims and Scope
      • Abstracting and Indexing
      • Bibliographic Information
      • Archive
    • World Academy of Sciences Journal
      • Information for Authors
      • Editorial Policies
      • Editorial Board
      • Aims and Scope
      • Abstracting and Indexing
      • Bibliographic Information
      • Archive
  • Articles
  • Information
    • For Authors
    • For Reviewers
    • For Librarians
    • For Advertisers
    • Conferences
  • Language Editing
Login Register Submit
  • This site uses cookies
  • You can change your cookie settings at any time by following the instructions in our Cookie Policy. To find out more, you may read our Privacy Policy.

    I agree
Search articles by DOI, keyword, author or affiliation
Search
Advanced Search
presentation
Oncology Letters
Join Editorial Board Propose a Special Issue
Print ISSN: 1792-1074 Online ISSN: 1792-1082
Journal Cover
May-2024 Volume 27 Issue 5

Full Size Image

Sign up for eToc alerts
Recommend to Library

Journals

International Journal of Molecular Medicine

International Journal of Molecular Medicine

International Journal of Molecular Medicine is an international journal devoted to molecular mechanisms of human disease.

International Journal of Oncology

International Journal of Oncology

International Journal of Oncology is an international journal devoted to oncology research and cancer treatment.

Molecular Medicine Reports

Molecular Medicine Reports

Covers molecular medicine topics such as pharmacology, pathology, genetics, neuroscience, infectious diseases, molecular cardiology, and molecular surgery.

Oncology Reports

Oncology Reports

Oncology Reports is an international journal devoted to fundamental and applied research in Oncology.

Experimental and Therapeutic Medicine

Experimental and Therapeutic Medicine

Experimental and Therapeutic Medicine is an international journal devoted to laboratory and clinical medicine.

Oncology Letters

Oncology Letters

Oncology Letters is an international journal devoted to Experimental and Clinical Oncology.

Biomedical Reports

Biomedical Reports

Explores a wide range of biological and medical fields, including pharmacology, genetics, microbiology, neuroscience, and molecular cardiology.

Molecular and Clinical Oncology

Molecular and Clinical Oncology

International journal addressing all aspects of oncology research, from tumorigenesis and oncogenes to chemotherapy and metastasis.

World Academy of Sciences Journal

World Academy of Sciences Journal

Multidisciplinary open-access journal spanning biochemistry, genetics, neuroscience, environmental health, and synthetic biology.

International Journal of Functional Nutrition

International Journal of Functional Nutrition

Open-access journal combining biochemistry, pharmacology, immunology, and genetics to advance health through functional nutrition.

International Journal of Epigenetics

International Journal of Epigenetics

Publishes open-access research on using epigenetics to advance understanding and treatment of human disease.

Medicine International

Medicine International

An International Open Access Journal Devoted to General Medicine.

Journal Cover
May-2024 Volume 27 Issue 5

Full Size Image

Sign up for eToc alerts
Recommend to Library

  • Article
  • Citations
    • Cite This Article
    • Download Citation
    • Create Citation Alert
    • Remove Citation Alert
    • Cited By
  • Similar Articles
    • Related Articles (in Spandidos Publications)
    • Similar Articles (Google Scholar)
    • Similar Articles (PubMed)
  • Download PDF
  • Download XML
  • View XML

  • Supplementary Files
    • Supplementary_Data.pdf
Case Report Open Access

Simultaneous blastic plasmacytoid dendritic cell neoplasm and myelofibrosis: A case report

  • Authors:
    • Fuyi Luo
    • Bingjie Li
    • Jing Li
    • Yan Li
  • View Affiliations / Copyright

    Affiliations: Graduate School, Hebei North University, Zhangjiakou, Hebei 075000, P.R. China, Department of Pathology, Hebei General Hospital, Shijiazhuang, Hebei 050000, P.R. China, Department of Hematology, Hebei Province Hospital of Chinese Medicine, Shijiazhuang, Hebei 050000, P.R. China, Department of Hematology, Hebei General Hospital, Shijiazhuang, Hebei 050000, P.R. China
    Copyright: © Luo et al. This is an open access article distributed under the terms of Creative Commons Attribution License.
  • Article Number: 220
    |
    Published online on: March 22, 2024
       https://doi.org/10.3892/ol.2024.14354
  • Expand metrics +
Metrics: Total Views: 0 (Spandidos Publications: | PMC Statistics: )
Metrics: Total PDF Downloads: 0 (Spandidos Publications: | PMC Statistics: )
Cited By (CrossRef): 0 citations Loading Articles...

This article is mentioned in:


Abstract

Blastic plasmacytoid dendritic cell neoplasm (BPDCN) is an extremely rare and aggressive tumor with an unknown pathogenesis. Myelofibrosis (MF) is a type of myeloproliferative neoplasm. MF can be secondary to several hematological malignancies, including chronic myeloid leukemia, myelodysplastic syndrome and hairy cell leukemia. In the present report, a rare case of BPDCN secondary to MF is described. A 70‑year‑old male patient developed a large purplish‑red rash with recurrent symptoms. BPDCN was confirmed by immunohistochemistry of a biopsy specimen and flow cytometry of bone marrow cells. Bone marrow histopathology revealed MF. Next‑generation sequencing of peripheral blood revealed mutations in the Tet methylcytosine dioxygenase 2 and NRAS proto‑oncogene GTPase genes. The patient underwent one cycle of chemoimmunotherapy, but the condition progressed, an infection developed and the patient eventually died. The present case suggests that BPDCN can occur in conjunction with MF and that the prognosis of such patients is poor. Pathological examination and genetic testing aided in the diagnosis and treatment. This case emphasizes the need to raise awareness of BPDCN among clinicians and to be alert to the potential for fatal infection in patients with BPDCN combined with MF following myelosuppression triggered during chemotherapy.

Introduction

Blastic plasmacytoid dendritic cell neoplasm (BPDCN) is a rare and aggressive hematological malignancy with a mostly poor prognosis. In the United States, approximately 0.04 cases of BPDCN per 100,000 individuals have been reported between 2008 and 2014, with a median overall survival (OS) of 8–20 months (1). The condition tends to occur in older adults with a median age of 60–70 years and most individuals diagnosed with the disease are male (2). BPDCN originates from plasmacytoid dendritic cells, and its most common clinical manifestations are cutaneous lesions, bone marrow involvement and leukemic dissemination (3). CD4+ and CD56+ tumor cells are typical of BPDCN, and CD123, transcription factor 4 (TCF4), T cell leukemia/lymphoma protein 1 (TCL1), CD304 and CD303 (also referred to as blood dendritic cell antigen 2) are its main markers (4,5). BPDCN does not express typical markers of a lymphoid or myeloid lineage (6). There are no consensus treatment guidelines for BPDCN (7). Retrospective studies have demonstrated that regimens based on lymphoid leukemia are associated with improved remission rates compared with those based on myeloid leukemia or lymphoma (2,8). Regardless of the regimen, however, disease relapses are frequent and rapid (9,10). In addition, allogeneic stem cell transplantation (alloSCT) is the only known potential cure for BPDCN (3,11). The 5-year OS, disease-free survival, recurrence and non-recurrence mortality rates for patients with BPDCN who receive alloSCT are 51.2, 44.4, 32.2 and 23.3%, respectively (11).

Myelofibrosis (MF) is a type of myeloproliferative neoplasm (MPN), which is clinically characterized by progressive anemia, splenomegaly and systemic symptoms (including fatigue, night sweats and fever) (12). The pooled annual incidence rate of primary myelofibrosis (PMF) in Europe, North America and Oceania between 1946 and 2012 was 0.47/100,000 (13). The five independent risk factors in the International Prognostic Scoring System for PMF include age >65 years, hemoglobin <10 g/dl, white blood cell count >25×109/l, circulating blasts ≥1% and presence of constitutional symptoms (14). Based on these variables, PMF is categorized into four groups: Low-risk, intermediate-risk-1, intermediate-risk-2 and high-risk, corresponding to a median OS of 11.3, 7.9, 4 and 2.3 years, respectively (14). Treatment of PMF requires individualized assessment based on the spleen size, symptom burden and risk stratification (15). Most current pharmacologic treatments for PMF are palliative in scope, such as Janus kinase 2 (JAK2) inhibitors (ruxolitinib) (12). The overall mortality rates before and after ruxolitinib approval were 79.8 and 47.3%, respectively, and the overall risk of death was reduced by 53% with ruxolitinib approval (16). MF can be secondary to several hematological malignancies, including chronic myeloid leukemia, myelodysplastic syndrome and hairy cell leukemia (17–19).

The present study reports the case of an elderly male patient with BPDCN in combination with MF. Among previous studies, only one case report was found on the conversion of PMF to BPDCN (20); however, to the best of our knowledge, there is no relevant literature on MF secondary to BPDCN. The case is unique as the patient was CD4−, with combined MF and mutations in the Tet methylcytosine dioxygenase 2 (TET2) and NRAS proto-oncogene GTPase (NRAS) genes, which is rare. Future research is required to further elucidate the potential relationship between these two different diseases.

Case report

Case

In May 2021, a 70-year-old male patient gradually developed a large, dark, purplish-red rash on the chest, abdomen and upper back without concomitant symptoms, such as itching, pain or fever, following a vaccination against severe acute respiratory syndrome coronavirus 2. The patient said that they went to the Dermatology Department of the Fourth Hospital of Hebei Medical University (Shijiazhuang, China), and were treated with oral antiallergic medication for 2 months (details unknown), after which their skin returned to normal. In September 2021, the patient went to Shijiazhuang People's Hospital (Shijiazhuang, China), for incomplete intestinal obstruction, and on the third day of hospitalization, a rash reappeared without any apparent trigger and was more severe than the previous one. The patient was given dexamethasone (5 mg intramuscular QD), ebastine (20 mg oral QD), benadryl (20 mg intramuscular QD) and topical glycerite lotion, and the rash symptomatically improved after 4 consecutive days of medication. During hospitalization, whole body CT was examined, and there were multiple enlarged lymph nodes in the abdominal cavity and retroperitoneum (details unknown). In April 2022, the patient developed symptoms of generalized malaise, and went to Shijiazhuang Hospital of Traditional Chinese Medicine (Shijiazhuang, China), and the repeat whole body CT suggested that the number of enlarged lymph nodes in the abdominal cavity had increased compared with the previous one, and the patient did not receive any treatment. However, the condition was recurrent and gradually worsened. In May 2022, the patient was admitted to Hebei General Hospital (Shijiazhuang, China) (Fig. 1A). A physical assessment revealed the following: Temperature, 36.3°C (normal range, 36.1–37.0°C); pulse, 88 beats/min (normal range, 60–100 beats/min); respiration, 22 breaths/min (normal range, 16–20 breaths/min); blood pressure, 112/69 mmHg (normal range, 90–130/60–80 mmHg); conscious; no jaundice. Skin and mucosal examinations revealed a large, dark, purplish-red rash on the chest, back (Fig. 1B and C) and left inner thigh. A lymph node assessment showed palpable enlarged lymph nodes on the left supraclavicular region, which were tough and could be pushed without pressure pain, while the remaining superficial lymph nodes were not enlarged. An abdominal examination revealed no evidence of hepatosplenomegaly. Other findings were unremarkable. The patient had a previous history of hypertension for 10 years, regular administration of amlodipine besylate, well-controlled blood pressure, and no other medical history, including hematological neoplasms.

Figure 1.

Timeline, images and pathology of the skin. (A) Timeline of disease progression. (B-E) Skin rashes on the (B) chest and (C) back before treatment and on the (D) chest and (E) back after 6 days of chemotherapy. Pathological findings of the skin rashes, visualized using hematoxylin and eosin staining at (F) ×40, (G) ×200 and (H) ×400 magnification. (I) CD43+ (magnification, ×200), (J) CD56+ (magnification, ×200) and (K) CD123+ (magnification, ×200) immunohistochemistry staining results. No obvious lesions were seen in the epidermis, but a large number of blastoid cells had infiltrated around small blood vessels in the dermis and skin appendages, which were single in morphology and medium in size, with round or oval nuclei, fine-grained chromatin and a small nucleolus.

Laboratory assessment results at admission and after one course of VA regimen (venetoclax 100 mg, D1; 200 mg, D2-28; azacytidine 0.1 g subcutaneously, D1-7) are presented in Table I. White blood cells, lymphocytes, cytokines interleukin (IL)-6 and IL-10 markedly decreased after treatment compared with before, but C-reactive protein levels were increased. Next-generation sequencing of peripheral blood, which assessed the protein-coding regions of 267 genes strongly associated with hematological disorders, revealed multiple mutations, including exosome complex exonuclease RRP44 (DIS3; 13q22.1), NRAS (1p13.2), TET2 (4q24), CUB and Sushi multiple domains 1 (CSMD1; 8p23.2), B-cell lymphoma (BCL)6 corepressor-like protein 1 (Xq26.1) and platelet-derived growth factor receptor (PDGFR)A (4q12) mutations (Table II). However, no mutations were found in the FMS-related receptor tyrosine kinase 3 (FLT3), JAK2, STAT, calreticulin (CALR) or MPL proto-oncogene thrombopoietin receptor (MPL) genes. Bone marrow cell classification showed that the proportion of lymphocytes was notably increased, and atypical lymphocytes were easily seen (73.5%) (Fig. 2A). Bone marrow tissue biopsies showed highly active myelodysplasia (60–70%) and reticular fiber staining was grade 2 (Fig. 2B-T) (21). Immunohistochemistry of cutaneous, lymph node and bone marrow tissue biopsies supported a diagnosis of a BPDCN (Figs. 1F-K, 2 and 3). Immunohistochemical examination of the bone marrow and lymph nodes was positive for TET2, NF-κB, NRAS and phospho (p)-ERK, and negative for PDGFRA, IL-6, IL-10, JAK2, STAT3 and TGF-β1. Flow cytometry analysis of the bone marrow showed abnormal cells, with 54.61% (Fig. S1B) expressing CD56 (Fig. S1K), CD45RA (Fig. S2A), CD2 (Fig. S2B), CD303 (Fig. S3D), human leukocyte antigen DR (Fig. S3E) and CD36 (Fig. S4B), partially expressing CD4 (Fig. S2C), CD103 (Fig. S2D), CD10 (Fig. S2E) and CD123 (Fig. S4A), weakly expressing CD7 (Fig. S2F), TCL1 (Fig. S4C) and T-cell restricted intracellular antigen 1 (Fig. S4D), and lacking expression of other myeloid or lymphoid markers. Additional detailed results of flow cytometry are shown in Fig. S1, Fig. S2, Fig. S3, Fig. S4, Fig. S5, Fig. S6, Fig. S7. CT demonstrated multiple enlarged lymph nodes above and below the transverse septum and splenomegaly with slight hypermetabolism. The largest retroperitoneal para-abdominal aortic lymph node was 30×20 mm (Fig. 4A, C and E). On the basis of these findings, the patient was diagnosed with BPDCN complicated by MF. The patient received a course of VA regimen (venetoclax 100 mg, D1; 200 mg, D2-28; azacytidine 0.1 g subcutaneously, D1-7). On day 6 of chemotherapy, the skin lesions had almost subsided (Fig. 1D and E) and the lymphocyte count had gradually decreased during this treatment period (Table III). On day 10 of chemotherapy, the patient was discharged.

Figure 2.

Bone marrow smear and pathology. (A) Wright-Giemsa staining of bone marrow smear (magnification, ×1,000). Hematoxylin and eosin staining of bone marrow at (B) ×40 magnification, (C) ×200 magnification and (D) ×400 magnification. (E) CD56+ (magnification, ×200), (F) CD123+; (magnification, ×200), (G) IL-6− (magnification, ×200), (H) IL-10− (magnification, ×200), (I) JAK2− (magnification, ×200), (J) STAT3- (magnification, ×200), (K) TGF-β1- (magnification, ×200), (L) PDGFRA- (magnification, ×200), (M) NF-κB+ (magnification, ×200), (N) TET2+ (magnification, ×200), (O) NRAS+ (magnification, ×200) and (P) p-ERK+ (magnification, ×200) immunohistochemistry staining results. Reticular fiber staining to assess myelofibrosis-2 at (Q and R) ×40 and (S and T) ×200 magnification. (Q and R) and (S and T) Different positions at the same magnification. Bone marrow cells were round or sub-round. Cytoplasm was abundant and part of the cytoplasm was trailing. Nuclei were round or sub-round with rough chromatin.

Figure 3.

Histopathology of a left cervical lymph node biopsy. Hematoxylin-eosin staining of lymph node at (A) ×40, (B) ×200 and (C) ×400 magnification. (D) CD43+ (magnification, ×200), (E) CD56+ (magnification, ×200), (F) CD123+ (magnification, ×200), (G) IL-6− (magnification, ×200), (H) IL-10− (magnification, ×200), (I) JAK2− (magnification, ×200) (J) STAT3− (magnification, ×200), (K) TGF-β1− (magnification, ×200), (L) PDGFRA− (magnification, ×200), (M) NF-κB+ (magnification, ×200), (N) TET2+ (magnification, ×200), (O) NRAS+ (magnification, ×200) and (P) p-ERK+ (magnification, ×200) immunohistochemistry staining results. The structure of the lymph node was destroyed, and atypical proliferative blast-like cells had diffusely proliferated and were mainly infiltrating the interlobular area and medullary area. Cells were medium in size with a uniform morphology, round or ovoid nucleus, fine and granular chromatin, with one or more nucleoli visible, and mitosis was common.

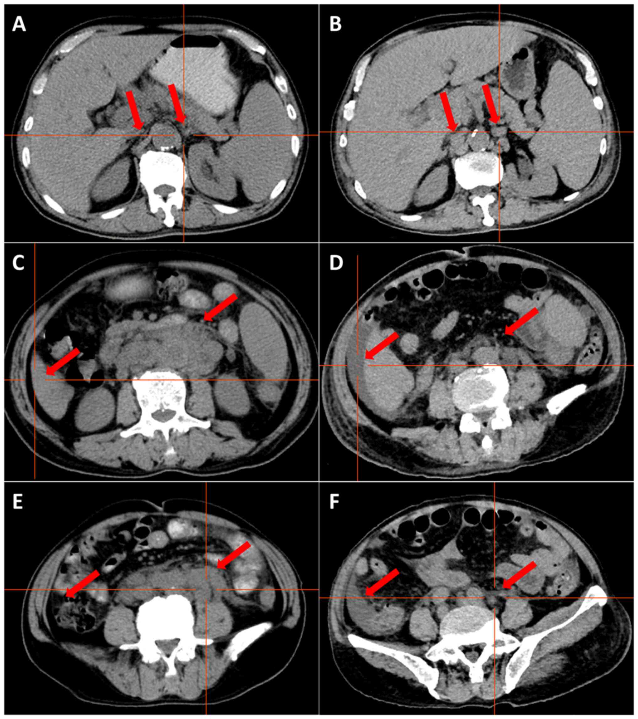
Figure 4.

Computed tomography images at first vs. second admission. Lymph nodes behind the pancreas (A) before and (B) after treatment, highlighted by red arrows; no lymph nodes were seen on either side of the abdominal aorta before treatment, and ~6 lymph nodes with a maximum size of 16×8 mm appeared on both sides of the abdominal aorta after treatment. Lymph nodes around the abdominal aorta and retroperitoneum (C) before and (D) after treatment, highlighted by red arrows. Before treatment, there were numerous enlarged lymph nodes adjacent to the retroperitoneal abdominal aorta, some of which were fused to each other, making it difficult to determine the exact number of lymph nodes, the largest of which was 30×20 mm in size. After treatment, the lymph nodes were significantly reduced and some of them had subsided. Ascites (E) before and (F) after treatment, highlighted by red arrows. No ascites was seen before the treatment. Ascites appeared after the treatment.

Table I.

Laboratory findings.

Table I.

Laboratory findings.

ParameterOn admissionSecond day after the first course of chemotherapyNormal range/limit
Complete blood count
  White blood cells, 109/l10.532.333.50–9.50
  Neutrophils, 109/l1.812.021.80–6.30
  Lymphocytes, 109/l7.600.241.10–3.20
  Eosinophils, 109/l1.600.000.02–0.52
  Red blood cells, 1012/l3.103.103.80–5.10
  Hemoglobin, g/l91.0092.00115.00–150.00
  Platelets, 109/l70.00104.00125.00–350.00
C-reactive protein, mg/l31.1961.830.00–6.00
Coagulation
  Fibrinogen, g/l3.140.692.00–4.00
  D-dimer, mg/l FEU1.655.120.00–0.55
β2-microglobulin, µg/ml6.29Untested0.90–2.70
Biochemistry
  Total protein, g/l59.3067.4065.00–85.00
  Alanine transaminase, U/l11.2012.809.00–50.00
  Aspartate transaminase, U/l16.3017.4015.00–40.00
  Alkaline phosphatase, U/l78.50138.3045.00–125.00
  Blood urea nitrogen, mmol/l6.507.403.60–9.50
  Serum creatinine, µmol/l90.60118.3057.00–111.00
  Uric acid, µmol/l407.40297.50208.00–428.00
  Glomerular filtration rate, ml/min73.2453.00
  Lactate dehydrogenase, U/l259.10203.00120.00–250.00
Immunoglobulin
  IgG, g/l11.69Untested8.60–17.40
  IgA, g/l1.26Untested1.00–4.20
  IgM, g/l0.63Untested0.50–2.80
Cytokine
  IL-6, pg/ml47.5113.920.00–5.30
  IL-10, pg/ml98.432.420-4.91
  Vascular endothelial growth factor, pg/ml55.39Untested0-142.20
Serum amyloid A, mg/l87.22233.46<10.00
Procalcitonin, ng/ml0.252.04<0.06

[i] FEU, fibrinogen equivalent units; Ig, immunoglobulin; IL interleukin.

Table II.

Next-generation sequencing of the patient's peripheral blood.

Table II.

Next-generation sequencing of the patient's peripheral blood.

Mutant geneChromosomeMutation location, exonNucleotide alterationAmino acid alterationdbSNP reference no.Mutation frequencySequencing depth, X
DIS313q22.117c.2339G>Cp.R780T-0.1661,661
NRAS1p13.24c.436G>Ap.A146T-0.0451,474
NRAS1p13.22c.35G>Ap.G12Drs1219132370.0172,051
NRAS1p13.22c.34G>Ap.G12Srs1219132500.0352,044
TET24q243c.2245C>Tp.Q749*-0.0111,881
TET24q245c.3578G>Ap.C1193Y-0.5801,573
TET24q2411c.4794T>Gp.Y1598*-0.1821,994
CSMD18p23.214c.2012G>Ap.R671Hrs3764134800.1371,576
TET24q249c.4160A>Gp.N1387S-0.0391,272
BCORL1Xq26.14c.469G>Ap.A157Trs1477750350.998996
PDGFRA4q1215c.2153G>Ap.R718Qrs3677228240.6671,443

[i] dbSNP, Single Nucleotide Polymorphism Database; DIS3, exosome complex exonuclease RRP44; NRAS, NRAS proto-oncogene GTPase; TET2, Tet methylcytosine dioxygenase 2; CSMD1, CUB and sushi multiple domains 1; BCORL1, B-cell lymphoma 6 corepressor-like protein 1; PDGFRA, platelet-derived growth factor receptor A.

Table III.

Analysis of the peripheral blood.

Table III.

Analysis of the peripheral blood.

Day after the firstDay of chemotherapy course of chemotherapy


ParameterOn admission25792356
White blood cells, 109/l10.535.713.522.992.762.332.122.13.36
Neutrophils, 109/l1.810.880.930.790.982.021.811.392.14
Lymphocytes, 109/l7.604.402.041.701.280.240.230.491.10
Red blood cells, 1012/l3.102.752.792.853.013.103.063.262.96
Hemoglobin, g/l91.0079.0080.0081.0085.0092.0089.0094.0086.00
Platelets, 109/l70.0044.0091.00114.00112.00104.0073.0017.008.00

The second day after the first course of chemotherapy, the patient was admitted to the hospital again and the laboratory assessment results at readmission are shown in Table I. The patient presented with granulocyte deficiency with a fever, and CT demonstrated splenomegaly, ascites and multiple lymph nodes that had increased and enlarged, with few lymph nodes that were smaller than before (Fig. 4B, D and F). This indicated that the effect of the treatment was poor. Subsequently, the condition of the patient progressed and included respiratory failure, acute renal injury and delirium. A series of treatments were administered, such as anti-infection medication [meropenem, 1 g intravenous (IV), 5 days] and a red blood transfusion (recombinant human thrombopoietin, 1.5 WU, subcutaneous, 2 days; human albumin, 20 g IV, 1 time; human fibrinogen, 4 g IV, 1 time; leukocyte-depleted frozen plasma, 400 ml IV, 1 time). An intermittent fever persisted; however, the neutrophil count on day 5 after the first course of treatment was slightly low and the rest of the neutrophil counts after the first course of chemotherapy were within the normal range (Table III), no causative organisms were detected in the sputum, blood or urine, and no lung infection was seen on the chest CT. The site of infection could not be determined and the condition of the patient continued to progress. The general condition of the patient was so poor that the next course of chemotherapy was not administered. Finally, the patient requested to be discharged from the hospital due to financial reasons. In July 2022, a follow-up phone call established that the patient had died.

Next-generation sequencing of peripheral blood
Wet experiment part

Nucleic acid extraction was performed using the Blood Genomic DNA Extraction Kit (0.1–1 ml; cat. no. YDP348-03; Tiangen Biotech Co., Ltd.). Nucleic acid quality inspection was performed using a NANODROP ONE (Thermo Fisher Scientific, Inc.) to measure the preliminary DNA concentration, A260/280 and A260/230, where A260 is the absorption wavelength of the highest absorption peak of nucleic acid and A280 is the absorption wavelength of the highest absorption peak of protein. A230 is the absorption wavelength of the highest absorption peak of carbohydrates. A260/280 and A260/230 are indicative values of nucleic acid purity. An A260/280 ratio of 1.8–2.0 and an A260/230 ratio of 2.0–2.2 indicate that the purity of DNA is good. Qubit 4.0 fluorometer (Q33238; Thermo Fisher Scientific, Inc.) detection was used as the standard for library construction input. Raw samples were analyzed by electrophoresis (2.5% agarose gels) using DNA marker (BM401-01; TransGen Biotech Co., Ltd.) to initially confirm DNA integrity. The DNA library was constructed with a commercial kit (cat. no. 20025524; Illumina DNA Prep with Enrichment) and the length of the library was set to 220 bp. Library quality control was performed using a Qubit 4.0 to detect the library concentration, and Agilent DNF-915 Reagent Kits (Agilent Technologies, Inc.) were used to perform fragment analysis quality control on the Agilent 5200 platform (Agilent Technologies, Inc.). The average fragments ranged between 330 and 390 bp [dilution conversion formula for the concentration of the library: 1.25 nm × average molar mass of bases (660) × average fragment length of library (330–390 bp)/106=0.27–0.32 ng/µl (0.4–0.48 nM)]. Hybridization was performed using the Nextera DNA Flex Pre-Enrichment Library Prep and Enrichment Reagents 96 samples, and targeted capture amplification of the target region was performed with probes manufactured by Tianjin Xiehe Bojing Medical Diagnostic Technology Co., Ltd. The sequencing platform was Illumina novaseq6000 (Illumina, Inc.) with the NovaSeq6000 S1 Reagents Kit v1.5 (300 cycles; cat. no. 20028318). The sequencing input protocol was as follows: Samples to be uploaded were prepared and their molar concentrations were calculated, then the libraries were denatured and samples were detected at a concentration of 250 pM (1.25 nM). The molarity was calculated as follows: (ng/µl ×105)/[660 g/mol × average library size (bp)]=Molarity (nM). The sequencing protocol was paired-end 150 bp sequencing.

Next-generation sequencing analysis

The quality control process Fastp (22) (version 0.23.2; http://github.com/OpenGene/fastp) was applied for FASTQ data by removing the terminal adaptor sequences and low-quality reads from the raw data. Dragen (version 3.10.4; Illumina, Inc.), a local installation hardware-accelerated sequencing processing pipeline, was used to perform data alignment and mutation calling. The lower limit of detection for variant allele frequency was 0.5%, and then an in-house algorithm was used to review hotspot variants. The final candidate variants were all manually verified in the Integrative Genomics Viewer (23) (IGV; http://www.igv.org/). Copy number alterations were identified using CNVkit (24) (version 0.9.10; http://cnvkit.readthedocs.io/en/stable/) with default parameters. The insertion and deletion caller Pindel (25) (version v0.2.5b8; http://gmt.genome.wustl.edu/packages/pindel/) and FLT3_ITD_ext (26) (version 1.1; http://github.com/ht50/FLT3_ITD_ext) were run on exon 13–15 to identify FMS-like tyrosine kinase 3 internal tandem duplication alleles. Next-generation sequencing materials are shown in Table IV.

Table IV.

Materials for next-generation sequencing.

Table IV.

Materials for next-generation sequencing.

Reagent nameSupplierStep
No nuclease waterTiangen Biotech Co., Ltd.Overall process
Blood Genomic DNA Extraction Kit (0.1–1 ml)Tiangen Biotech Co., Ltd.Extraction
Illumina DNA Prep with Enrichment kitsIllumina, Inc.Library construction
AMPure XP BeadsBeckman Coulter, Inc.Library construction
Qubit™ dsDNA HS Assay KitsThermo Fisher Scientific, Inc.Quality testing
Nextera DNA Flex Pre-Enrichment Library Prep andIllumina, Inc.Hybridization
Enrichment Reagents 96 samples
Agilent DNF-915 Reagent KitsAgilent Technologies, Inc.Fragment analysis
NovaSeq6000 S1 Reagents Kit v1.5 (300 cycles)Illumina, Inc.Machine sequencing
Flow cytometry
Experimental procedure

For cell membrane antibodies, antibody was added to the specimen, followed by mixing by gentle oscillation and incubation for 15–30 min at 20°C away from light. Red blood cell lysis reagents (1.5 ml) were added into samples, which were gently shaken and mixed evenly, and the process of lysing red blood cells lasted 10 min at 20°C. Samples were centrifuged at 188 × g for 5 min at 20°C, the supernatant was discarded (an appropriate amount of PBS was added before centrifugation). PBS was added for washing, and samples were mixed with gentle shaking and then centrifuged at 188 × g for 5 min at 20°C, and the supernatant was discarded. PBS (300 µl) was added for resuspension, followed by mixing with gentle vibration and testing.

For cytoplasmic antibodies, cytoplasmic antibodies and specimens were mixed with gentle shaking, and incubated for 15–30 min at 20°C away from light. The fixation reagent (100 µl) was added, and samples were mixed with gentle shaking and incubated for 5 min in the dark at 20°C. Hemolysin (1.5 ml) was added, samples were mixed with gentle shaking, hemolysis was performed for 10 min at 20°C, centrifugation was performed at 282 × g for 5 min at 20°C and the supernatant was discarded. The permeabilization reagent (50 µl) and plasma antibody were added, samples were mixed with gentle shaking and incubated for 15 min in the dark at 20°C. An appropriate amount of PBS was added for washing, samples were centrifuged at 282 × g for 5 min at 20°C, and the supernatant was discarded. PBS (300 µl) was added for resuspension, samples were mixed with gentle shaking, and then tested.

All experimental steps of flow cytometry were performed at room temperature (~20°C).

Reagents

Red blood cell lysis reagents for flow cytometry analysis (item no. 349202; BD Biosciences) were used. Fixation and permeation reagents were included in the BD INTRASURE KIT RUO (item no. 641776; BD Biosciences). The fluorescence reagents are shown in Table V.

Table V.

Antibodies.

Table V.

Antibodies.

AntibodyManufacturerProduct no.
CD56Beckman Coulter, Inc.B49189
CD303BioLegend, Inc.354204
CD45RABD Biosciences663496
HLA-DRBioLegend, Inc.307618
CD36Beckman Coulter, Inc.IM0766U
CD2Beckman Coulter, Inc.A21689
CD103Beckman Coulter, Inc.IM1856U
CD123BioLegend, Inc.306010
CD7Beijing KuangboA6005R12
Biotechnology Co., Ltd.
TCL-1BioLegend, Inc.330506
TIA-1Beckman Coulter, Inc.IM3293
CD4BD Biosciences341654
CD10Beckman Coulter, Inc.A07760
CD1aBD Biosciences560945
CD99BD Biosciences555689
CD33BD Biosciences664937
CD13BD Biosciences557454
TDTDako; AgilentF713950
Technologies, Inc
CD5BD Biosciences665001
CD117BD Biosciences664936
CD34BioLegend, Inc.343522
CD38BioLegend, Inc.303516
mCD3BD Biosciences663490
cCD3BD Biosciences558117
CD94BD Biosciences559876
CD8BD Biosciences641400
CD26BD Biosciences340426
CD30Beckman Coulter, Inc.IM2033U
CD25BD Biosciences560503
GranzymeBBioLegend, Inc.515408
PerforinBioLegend, Inc.308106
CD161BioLegend, Inc.339906
CD304BioLegend, Inc.354510
CD45ROBD Biosciences340438

[i] Cytoplasmic antibodies included TCL-1, TIA-1, TDT, cCD3, GranzymeB and Perforin. Cell membranes antibodies included CD56, CD303, CD45RA, HLA-DR, CD36, CD2, CD103, CD123, CD7, CD4, CD10, CD1a, CD99, CD33, CD13,CD5, CD117, CD34, CD38, mCD3, CD94, CD8, CD26, CD30, CD25, CD161, CD304 and CD45RO. All antibodies were directly labeled antibodies and no secondary antibody was required for this experiment.

Instrument and analysis

The flow cytometer used was the FACSCantoII (488/633/405 nm triple laser 8 colors) flow cytometer from BD Biosciences. Kaluza Analysis software version number 2.1.00000.20651 (Beckman Coulter, Inc.) was used. A FSC-H-Line/FSC-A-Line dual-parameter scatter was drawn to remove adherent cells. A FSC-A-Line/SSC-A-Log dual-parameter scatter was drawn to remove debris. A CD45-A-Log/SSC-A-Log dual-parameter scatter was drawn to set up a gate to circle out the nucleated cells, and to distinguish between the normal cell population and the abnormal cell population. According to the normal cell population as an internal control, whether the abnormal cells expressed the target antigen and the degree of expression were determined. Immunophenotyping of the abnormal cell population was performed.

Immunohistochemistry
Reagents and instruments

Reagents and instruments used are shown in Tables VI and VII.

Table VI.

Reagents for immunohistochemistry.

Table VI.

Reagents for immunohistochemistry.

Main experimental reagentsManufacturerProduct number
Anti-CD123 Polyclonal AntibodyOriGene Technologies, Inc.ZM-0423
Anti-CD56 Polyclonal AntibodyOriGene Technologies, Inc.ZM-0057
Anti-CD43 Polyclonal AntibodyOriGene Technologies, Inc.ZM-0048
Anti-PDGFRA Polyclonal AntibodyBIOSSbs-10989R
Anti-IL-6 Polyclonal AntibodyBIOSSbs-4539R
Anti-IL-10 AntibodyBoster Biological TechnologyBA1201-1
Anti-JAK2 Polyclonal AntibodyBIOSSbs-0908R
Anti-NFKB P65 Polyclonal AntibodyBIOSSbs-0465R
Anti-STAT3 Polyclonal AntibodyBIOSSbs-1141R
Anti-TET2 Polyclonal AntibodyBIOSSbs-9449R
Anti-TGF-β1/TGFB1 AntibodyBoster Biological TechnologyBA0290
Secondary AntibodyOriGene Technologies, Inc.Pv-6001
Wright-Giemsa Stain composite Stain kitBIOSSS0217
XyleneTianjin Yongda Chemical Reagent Co., Ltd.YD20220904
AlcoholTianjin Yongda Chemical Reagent Co., Ltd.YD20220720
Hematoxylin Staining SolutionOriGene Technologies, Inc.ZLI-9610
Differentiation solutionShanghai Yuanye Biotechnology Co., Ltd.R33065
Bluing SolutionShanghai Yuanye Biotechnology Co., Ltd.R22272
Eosin staining solutionOriGene Technologies, Inc.ZLI-9613
Neutral resinOriGene Technologies, Inc.ZLI-9555
Paraffin wax, melting point 56–58°CBeijing BHKT Clinical Reagent Co., Ltd.007003

Table VII.

Instruments for immunohistochemistry.

Table VII.

Instruments for immunohistochemistry.

Main experimental instrumentsManufacturerProduct model
MicroscopeOlympus CorporationBX51T-PHD-J11
CMOSOlympus CorporationDP22
Multi-functional True Color Cell Image AnalysisMedia Cybernetics, Inc.Image-Pro Plus 6.0
Management System
Paraffin SlicerLeica Microsystems GmbHRM2015
CentrifugeEppendorf SE5430
Cryogenic refrigeratorSanyoMDF-382E
PipetteEppendorf SE3123000
Constant temperature water bathTaicang HuadaExperimentalDSHZ-300
Instrument Technology Co., Ltd.
(Huamei Biochemical Instrument Factory)
Methods

Bone marrow cell smear staining was performed according to the Wright-Giemsa Composite Stain Kit instructions. The smear was covered with Wright-Giemsa Stain and stained for 1–2 min at 20°C. A light microscope was used (BX51T-PHD-J11; Olympus Corporation).

Immunohistochemistry

The protein expression levels of CD123, CD56, CD43, IL-6, IL-10, JAK2, NF-κB, TET2, TGF-β1, NRAS and p-ERK in pathological tissues were detected using immunohistochemical staining, and the results were interpreted by senior pathologists. The cell positivity rate was observed at a high magnification in five fields of view.

Fixation was performed using 4% paraformaldehyde at 20°C for 1–3 days. For intracellular antigens or membrane proteins with an internal epitope, the permeabilization reagent was 0.1% Triton X-100. The required pathological tissue wax block was identified in the pathology specimen bank of Hebei General Hospital (Shijiazhuang, China), according to the pathology number of the patient. The wax block was cooled and fixed on the slicer. For slicing, the thickness of the tissue section was 3 µm, the cut tissue sections were spread, taken out, attached to the poly-lysine attached slides and baked at 60°C for 12 h. The sections were sequentially immersed in xylene, 100, 95, 90, 85 and 75% ethanol, and this operation was performed in each reagent two times each for 5 min each. After the sections were removed, tap water and PBS were used to rinse the sections two times consecutively for 5 min each. The sections were incubated in 1% methanol hydrogen peroxide, placed at room temperature for 10 min, washed once with distilled water and three times with 0.1 M PBS for 5 min each. The sections were placed in 0.01 M citrate buffer (pH 6.0) and underwent microwave radiation in a microwave oven for 10 min. After the citrate buffer was reduced to 20°C, the sections were washed three times with 0.1 M PBS for 5 min each. Drops of normal goat serum sealing solution (undiluted working solution; OriGene Technologies, Inc.) were added to the sections and the sections were left at room temperature for 20 min. Excess liquid was shaken off without washing. Primary antibodies were diluted 1:200. Pre-diluted primary antibody was added dropwise to the slices, uniformly covering the pathological tissue. The secondary antibody was ready-to-use and did not require dilution. The sections were incubated for 12 h at 4°C, rewarmed and washed three times with 0.1 M PBS for 5 min. Biotinylated secondary antibody (IgG) was added dropwise to the slices. Slices were incubated at 37°C for 20 min, washed three times with 0.1 M PBS for 5 min. Horseradish enzyme-labeled streptavidin working solution was added dropwise to the slices. Slices were incubated at 37°C for 20 min and washed three times with 0.1 M PBS for 5 min. One drop each of color developer A, B and C of the DAB color development kit (cat. no. DA1016; Beijing Solarbio Science & Technology Co., Ltd.) was added to 1 ml distilled water and the liquid was mixed well, then the mixed liquid was added dropwise to the specimen and left to stand for 6 min, then the specimens were washed well with water. Cell nuclei were re-stained with hematoxylin at 20°C for 1 min, sections were washed thoroughly with water, 1% hydrochloric acid alcohol was added for differentiation and 1% amine water was added for bluing, and sections were washed thoroughly with water, dehydrated with 70% ethanol for 5 min, 80% ethanol for 5 min, 90% ethanol for 5 min twice, 95% ethanol for 5 min twice, 100% ethanol for 5 min twice, cleared with xylene for 5 min twice, sealed with neutral resin and air-dried. For light microscopy observation, five high magnification fields of view (magnification, ×400) were selected, the positive cells were counted, the average of the five fields of view was taken as the average positive rate and images were captured. Myelofibrosis was graded according to the World Health Organization (2016) myelofibrosis grading criteria (21).

Silver nitrate methods

Fixation was performed using 4% paraformaldehyde at 20°C for 1–3 days. The thickness of the tissue section was 3 µm. Sections were dewaxed to water and washed with distilled water. Sections were immersed in 1% silver nitrate solution at 20°C for 30–60 min. After the slice was removed, the excess silver nitrate solution on the edge of the slide was absorbed using filter paper, and the sections were washed with 50% ethanol at 20°C for 5–10 sec, and then with distilled water. The sections were placed in aqueous gold chloride solution at 20°C for 5 min until the yellowish brown color was removed, and then the staining was intensified by dropping aniline oil ethanol on the sections at 20°C for ~15 sec. After rinsing the sections with running water, the sections were treated with 2% sodium thiosulfate solution at 20°C for 2 min. After rinsing the sections in running water, the sections were dehydrated, cleared with xylene and sealed with neutral resin. A CMOS light microscope (DP22; Olympus Corporation) was used, as shown in Table VII.

Discussion

BPDCN is an aggressive hematopoietic neoplasm derived from plasmacytoid dendritic cells and was first reported in 1994 (27). BPDCN mainly occurs in elderly patients aged 60–70 years with a high male proportion. BPDCN most commonly presents with skin lesions, and bone marrow involvement is also frequent. The clinical presentation varies widely, and there can be either single or multiple skin lesions. Skin lesions appear as brown or purplish-red rashes, plaques or nodules. This is often associated with involvement of peripheral blood, bone marrow and lymph nodes, which usually show diffuse proliferation or infiltration of abnormal matricellular-like cells (28). Tissue biopsies of the bone marrow, lymph nodes and skin of the patient in the present case report showed abnormal blastocyte-like cells. Only one case report has been reported that found conversion of PMF to BPDCN (20), but there is no relevant literature on MF secondary to BPDCN. Therefore, it is rare for BPDCN to occur simultaneously with MF. MF is a Philadelphia chromosome-negative MPN with increased deposition of collagen fibers in bone marrow hematopoietic tissue under certain conditions, causing abnormal hematopoiesis. The pathogenesis of MPN is unclear and is mainly associated with three clonal mutations, JAK2, CALR and MPL, and can lead to constitutive activation of the JAK/STAT signaling pathway. Conversely, triple-negative PMF is not associated with mutations in the JAK2, CALR and MPL genes, but >50% of patients with MF have with mutations in the TET2, additional sex combs like 1-transcriptional regulator and DNA (cytosine-5-)-methyltransferase 3α genes (29). A case of follicular lymphoma with MF was previously diagnosed at Hebei General Hospital (Shijiazhuang, China). Several cytokines were detected, such as basic fibroblast growth factor, TNF-α, TGF-β, PDGF, IL-1β, IL-2, IL-6 and IL-10, which promoted the development of non-Hodgkin's lymphoma with MF. Moreover, the results indicated that activation of the JAK/STAT pathway may be a common mechanism in the development of B-cell non-Hodgkin's lymphoma and secondary MF (30).

The bone marrow biopsy pathology in the present case revealed that reticular fiber staining was grade 2, and next-generation sequencing of the peripheral blood demonstrated mutations in the PDGFRA, TET2 and NRAS genes, but no mutations in JAK2, STAT, CALR or MPL. According to the diagnostic criteria for autoimmune MF (AIMF), the presence of positive autoantibodies is required for AIMF, and the negative autoantibodies in the present case, combined with the absence of previous autoimmune disease (AIMF is usually associated with a well-defined autoimmune disease), ruled out AIMF (31). Cytokine assays of the peripheral blood showed elevated levels of IL-6 and IL-10. However, immunohistochemical examination of bone marrow and lymph nodes revealed the expression of only TET2 and NF-κB, with a negative result for the expression of PDGFRA, IL-6, IL-10, JAK2, STAT3 and TGF-β1. These results indicate that the occurrence of MF in the present case may not have been caused by activation of the classical JAK/STAT pathway. Similar to these results, Beird et al (32) reported that JAK/STAT signaling in BPDCN, and the levels of the upstream and downstream molecular serum proteins (colony stimulating factor 3 receptor, STAT3 and STAT5B) in this pathway were low, which may be related to the high level of IL-3Rα in BPDCN, which inhibits IL-3/STAT3 signal transduction.

MF may occur before and/or after the development of other hematological malignancies (30,33,34). Although the patient in the present case did not have mutations in JAK2, CALR or MPL, another clonal proliferative marker, TET2, was present. When MF and other hematological malignancies occur together, it is difficult to determine whether the disorder is triple-negative primary MF or secondary MF (30,34–37). In the present case, we hypothesize that secondary MF was more likely and that the primary BPDCN had invaded the bone marrow and caused secondary MF.

The mechanism of BPDCN combined with MF was further assessed. Somatic point mutations of TET2 and NRAS are often found in patients with BPDCN (3). TET2 encodes an enzyme that catalyzes 5-methyl cytosine oxidation to 5-hydroxymethylcytosine. When TET2 is mutated, it leads to loss of function of this enzyme and DNA hypermethylation, which subsequently amplifies precancerous clones of bone marrow and abnormal hematopoiesis, driving MPN development (38–41). Ostrander et al (42) reported that the TET2 deletion mutation increases dendritic cell production, increases hematopoietic stem cell self-renewal and polarizes toward the myeloid lineage. NRAS is a member of the RAS family, and mutations in NRAS facilitate GTP binding of RAS, thereby promoting constitutive activation of the RAS-RAF-MEK-ERK/MAPK signaling pathway and causing abnormal proliferation of myeloid cells (41,43). This may be involved in the occurrence of MF. As specimens from the patient in the present case were limited, only the expression of NRAS and p-ERK was assessed, and it was found that both NRAS and p-ERK were expressed in the bone marrow and lymph nodes of the patient. This indicates that the mutations in TET2 and NRAS may be the bridge between BPDCN and MF, but whether RAS-related pathways are involved requires further experiments for verification.

Although mutations in TET2 and NRAS may be the potential pathological associating factors between BPDCN and MF, it may also be a unique coincidence in the patient in the present case. In addition to TET2 and NRAS, other mutated genes in the patient appeared to be indirectly associated with the development of BPDCN or MF. It has been reported that loss of function in DIS3 increases the RAS protein level in multiple myeloma cells, which promotes the development of cancer cells (44). CSMD1 is a tumor suppressor gene, and dysregulation of CSMD1 can drive the NF-κB pathway and promote tumor progression (45). B-cell lymphoma 6 corepressor (BCOR) mutations occur after mutations affecting splicing mechanisms or epigenetically regulated genes (46). Patients with adult acute myeloid leukemia with BCOR mutations are predicted to have a complete response to venetoclax plus hypomethylating agents (47), and BCOR has been reported to respond better to hypomethylating drugs when it is co-mutated with other genes that regulate epigenetic inheritance, such as TET2 (48). PDGFRA mutations or rearrangements serve an important role in the development of hypereosinophilic syndrome and its mutation sites (H650Q, N659S, R748G and Y849S). Additionally, FIP1L1-PDGFRA has been reported to induce the activation of STAT5 and sensitivity to imatinib (49). Abdulbaki et al (50) reported a case of BPDCN presenting with a PDGFRA mutation and suggested the possibility of tyrosine kinase inhibitors for the treatment of BPDCN, but further studies are lacking. Overall, all of these mutations may be indirectly associated with the development of BPDCN or MF, and thus more future cases are needed for further study.

Personalized treatment based on the immune phenotype and mutation profile of a patient is important. CD123 is a plasmacytoid dendritic cell-specific surface marker that is prevalent in BPDCN, and tagraxofusp targets CD123. Macrophage dendritic cell progenitors are common precursor cells of plasmacytoid dendritic cells and monocytes (51), whereas tumorigenic monocyte-derived fibroblasts contribute to myeloid cell fibrosis (52). A small number of circulating cells have been reported to express CD123 in patients with MF (53), which can be targeted to treat BPDCN in conjunction with MF. Clinical studies of tagraxofusp monotherapy for MF are currently underway (trial registration nos. NCT0226825 and NCT05233618). Additionally, clinicians can target therapy in accordance with other specific immunophenotypes of BPDCN, such as targeting CD303 (litifilimab) (54), TCF4 (bromodomain and extra-terminal domain inhibitors act by inhibiting TCF4) (55) and BCL2 (venetoclax) (56). BPDCN is closely related to DNA hypermethylation (57). In the present case, the patient presented with a TET2 mutation and was treated with the DNA methyltransferase inhibitor, azacytidine, in combination with venetoclax. Certain cases of BPDCN have been treated with azacitidine in combination with venetoclax and it was well tolerated (58,59). Moreover, azacitidine combined with tagraxofusp has been reported to be effective for BPDCN treatment, with azacitidine restoring sensitivity to tagraxofusp by restoring diphthamide biosynthesis protein 1 expression (60). In terms of the NRAS mutation in the patient in the present case, an RAF or an ERK inhibitor may have been appropriate for use (61).

Furthermore, several retrospective clinical studies have reported that achieving complete remission after first-line therapy is the primary condition for long-term survival of patients with BPDCN and that survival is prolonged by allogeneic hematopoietic cell transplantation during the first complete remission (4). Patients with MF have reduced blood cell counts, and in the context of malignancy, patients with MF are more (62) likely to have myelosuppression after chemotherapy (63,64). The patient in the present case had induced myelosuppression after chemotherapy with poor efficacy, along with a severe infection, which finally led to the poor outcome. Therefore, BPDCN combined with MF may represent a poor prognosis with a limited therapeutic effect. For such patients, physicians need to be particularly mindful of infections associated with myelosuppression during chemotherapy. While preventing or fighting infection, the selection of reasonable chemotherapeutic drugs and doses should be focused on.

In conclusion, patients with BPDCN and MF have a poor prognosis, and mutations in TET2 and NRAS may be the bridge between the two conditions. The findings of the present case indicate the need for increased awareness of BPDCN among clinicians in order to reduce misdiagnosis and improve the prognosis of patients with BPDCN, to ensure appropriate and individualized chemotherapeutic agents for the treatment of patients with BPDCN and MF, and to increase awareness of potentially fatal infections that may occur after myelosuppression during chemotherapy.

Supplementary Material

Supporting Data

Acknowledgements

Not applicable.

Funding

The present study was financially supported by the Department of Science and Technology of Hebei Province Plan Project (Priority Research and Development Project; grant no. 18277720D).

Availability of data and materials

The datasets generated and/or analyzed during the current study are available in the National Center for Biotechnology Information database, https://www.ncbi.nlm.nih.gov/sra/SRR26895553.

Authors' contributions

YL made decisions regarding patient treatment. FL and YL were accountable for all aspects of the work and contributed to the analysis and interpretation of the data, and also contributed to manuscript drafting and critical revisions of the intellectual content. BL and JL analyzed and interpreted the data, and contributed to the Discussion section. FL, BL, JL and YL confirm the authenticity of all the raw data. All authors have read and approved the final manuscript.

Ethics approval and consent to participate

Not applicable.

Patient consent for publication

Written informed consent was obtained from the patient for the publication of anonymized data and any accompanying images.

Competing interests

The authors declare that they have no competing interests.

References

1 

Guru Murthy GS, Pemmaraju N and Atallah E: Epidemiology and survival of blastic plasmacytoid dendritic cell neoplasm. Leuk Res. 73:21–23. 2018. View Article : Google Scholar : PubMed/NCBI

2 

Pagano L, Valentini CG, Pulsoni A, Fisogni S, Carluccio P, Mannelli F, Lunghi M, Pica G, Onida F, Cattaneo C, et al: Blastic plasmacytoid dendritic cell neoplasm with leukemic presentation: An Italian multicenter study. Haematologica. 98:239–246. 2013. View Article : Google Scholar : PubMed/NCBI

3 

Jain A and Sweet K: Blastic plasmacytoid dendritic cell neoplasm. J Natl Compr Canc Netw. 21:515–521. 2023. View Article : Google Scholar : PubMed/NCBI

4 

Garnache-Ottou F, Vidal C, Biichlé S, Renosi F, Poret E, Pagadoy M, Desmarets M, Roggy A, Seilles E, Soret L, et al: How should we diagnose and treat blastic plasmacytoid dendritic cell neoplasm patients? Blood Adv. 3:4238–4251. 2019. View Article : Google Scholar : PubMed/NCBI

5 

Khoury JD, Solary E, Abla O, Akkari Y, Alaggio R, Apperley JF, Bejar R, Berti E, Busque L, Chan JKC, et al: The 5th edition of the World Health Organization classification of haematolymphoid tumours: Myeloid and histiocytic/dendritic neoplasms. Leukemia. 36:1703–1719. 2022. View Article : Google Scholar : PubMed/NCBI

6 

Facchetti F, Cigognetti M, Fisogni S, Rossi G, Lonardi S and Vermi W: Neoplasms derived from plasmacytoid dendritic cells. Mod Pathol. 29:98–111. 2016. View Article : Google Scholar : PubMed/NCBI

7 

Pemmaraju N, Kantarjian H, Sweet K, Wang E, Senapati J, Wilson NR, Konopleva M, Frankel AE, Gupta V, Mesa R, et al: North American blastic plasmacytoid dendritic cell neoplasm consortium: Position on standards of care and areas of need. Blood. 141:567–578. 2023. View Article : Google Scholar : PubMed/NCBI

8 

Yun S, Chan O, Kerr D, Vincelette ND, Idrees A, Mo Q, Sweet K, Lancet JE, Kharfan-Dabaja MA, Zhang L and Sokol L: Survival outcomes in blastic plasmacytoid dendritic cell neoplasm by first-line treatment and stem cell transplant. Blood Adv. 4:3435–3442. 2020. View Article : Google Scholar : PubMed/NCBI

9 

Taylor J, Haddadin M, Upadhyay VA, Grussie E, Mehta-Shah N, Brunner AM, Louissaint A Jr, Lovitch SB, Dogan A, Fathi AT, et al: Multicenter analysis of outcomes in blastic plasmacytoid dendritic cell neoplasm offers a pretargeted therapy benchmark. Blood. 134:678–687. 2019. View Article : Google Scholar : PubMed/NCBI

10 

Huang L and Wang F: Primary blastic plasmacytoid dendritic cell neoplasm: A US population-based study. Front Oncol. 13:11781472023. View Article : Google Scholar : PubMed/NCBI

11 

Murthy HS, Zhang MJ, Chen K, Ahmed S, Deotare U, Ganguly S, Kansagra A, Michelis FV, Nishihori T, Patnaik M, et al: Allogeneic hematopoietic cell transplantation for blastic plasmacytoid dendritic cell neoplasm: A CIBMTR analysis. Blood Adv. 7:7007–7016. 2023. View Article : Google Scholar : PubMed/NCBI

12 

Tefferi A: Primary myelofibrosis: 2023 Update on diagnosis, risk-stratification, and management. Am J Hematol. 98:801–821. 2023. View Article : Google Scholar : PubMed/NCBI

13 

Titmarsh GJ, Duncombe AS, McMullin MF, O'Rorke M, Mesa R, De Vocht F, Horan S, Fritschi L, Clarke M and Anderson LA: How common are myeloproliferative neoplasms? A systematic review and meta-analysis. Am J Hematol. 89:581–587. 2014. View Article : Google Scholar : PubMed/NCBI

14 

Cervantes F, Dupriez B, Pereira A, Passamonti F, Reilly JT, Morra E, Vannucchi AM, Mesa RA, Demory JL, Barosi G, et al: New prognostic scoring system for primary myelofibrosis based on a study of the international working group for myelofibrosis research and treatment. Blood. 113:2895–2901. 2009. View Article : Google Scholar : PubMed/NCBI

15 

McLornan DP, Psaila B, Ewing J, Innes A, Arami S, Brady J, Butt NM, Cargo C, Cross NCP, Francis S, et al: The management of myelofibrosis: A British society for haematology guideline. Br J Haematol. 204:136–150. 2024. View Article : Google Scholar : PubMed/NCBI

16 

Tashi T, Yu J, Pandya S, Dieyi C, Scherber R and Parasuraman S: Trends in overall mortality among US veterans with primary myelofibrosis. BMC Cancer. 23:482023. View Article : Google Scholar : PubMed/NCBI

17 

Thiele J and Kvasnicka HM: Myelofibrosis-what's in a name? Consensus on definition and EUMNET grading. Pathobiology. 74:89–96. 2007. View Article : Google Scholar : PubMed/NCBI

18 

Wang N, Xu H, Li Q, Fang X, Liu J, Sui X, Zhang L, Jiang Y and Wang X: Patients of myelodysplastic syndrome with mild/moderate myelofibrosis and a monosomal karyotype are independently associated with an adverse prognosis: Long-term follow-up data. Cancer Manag Res. 12:5881–5891. 2020. View Article : Google Scholar : PubMed/NCBI

19 

Shehata M, Schwarzmeier JD, Hilgarth M, Hubmann R, Duechler M and Gisslinger H: TGF-beta1 induces bone marrow reticulin fibrosis in hairy cell leukemia. J Clin Invest. 113:676–685. 2004. View Article : Google Scholar : PubMed/NCBI

20 

Shenjere P, Chasty R, Chaturvedi A, Dennis MW, Ong A, Wiseman DH and Menasce LP: E-cadherin expression in blastic plasmacytoid dendritic cell neoplasms: An unrecognized finding and potential diagnostic pitfall. Int J Surg Pathol. 29:289–293. 2021. View Article : Google Scholar : PubMed/NCBI

21 

Arber DA, Orazi A, Hasserjian R, Thiele J, Borowitz MJ, Le Beau MM, Bloomfield CD, Cazzola M and Vardiman JW: The 2016 revision to the World Health Organization classification of myeloid neoplasms and acute leukemia. Blood. 127:2391–2405. 2016. View Article : Google Scholar : PubMed/NCBI

22 

Chen S, Zhou Y, Chen Y and Gu J: Fastp: An ultra-fast all-in-one fastq preprocessor. Bioinformatics. 34:i884–i890. 2018. View Article : Google Scholar : PubMed/NCBI

23 

Thorvaldsdóttir H, Robinson JT and Mesirov JP: Integrative genomics viewer (IGV): High-performance genomics data visualization and exploration. Brief Bioinform. 14:178–192. 2013. View Article : Google Scholar : PubMed/NCBI

24 

Talevich E, Shain AH, Botton T and Bastian BC: CNVkit: Genome-wide copy number detection and visualization from targeted DNA sequencing. PLoS Comput Biol. 12:e10048732016. View Article : Google Scholar : PubMed/NCBI

25 

Ye K, Guo L, Yang X, Lamijer EW, Raine K and Ning Z: Split-read indel and structural variant calling using pindel. Methods Mol Biol. 1833:95–105. 2018. View Article : Google Scholar : PubMed/NCBI

26 

Tung JK, Suarez CJ, Chiang T, Zehnder JL and Stehr H: Accurate detection and quantification of FLT3 internal tandem duplications in clinical hybrid capture next-generation sequencing data. J Mol Diagn. 23:1404–1413. 2021. View Article : Google Scholar : PubMed/NCBI

27 

Adachi M, Maeda K, Takekawa M, Hinoda Y, Imai K, Sugiyama S and Yachi A: High expression of CD56 (N-CAM) in a patient with cutaneous CD4-positive lymphoma. Am J Hematol. 47:278–282. 1994. View Article : Google Scholar : PubMed/NCBI

28 

Julia F, Dalle S, Duru G, Balme B, Vergier B, Ortonne N, Vignon-Pennamen MD, Costes-Martineau V, Lamant L, Dalac S, et al: Blastic plasmacytoid dendritic cell neoplasms: Clinico-immunohistochemical correlations in a series of 91 patients. Am J Surg Pathol. 38:673–680. 2014. View Article : Google Scholar : PubMed/NCBI

29 

Arber DA, Orazi A, Hasserjian RP, Borowitz MJ, Calvo KR, Kvasnicka HM, Wang SA, Bagg A, Barbui T, Branford S, et al: International consensus classification of myeloid neoplasms and acute leukemias: Integrating morphologic, clinical, and genomic data. Blood. 140:1200–1228. 2022. View Article : Google Scholar : PubMed/NCBI

30 

Kong LZ, Li J, Wang RC, Kang L, Wei Q and Li Y: Simultaneous follicular lymphoma and myelofibrosis: Report of a case with review of the literature. Onco Targets Ther. 14:4551–4559. 2021. View Article : Google Scholar : PubMed/NCBI

31 

Amel Riazat-Kesh YJR, Maraveyas A, Martin L and Tremblay D: An overlooked mimic? Autoimmune myelofibrosis-A scoping review of the literature. Eur J Haematol. 111:706–714. 2023. View Article : Google Scholar : PubMed/NCBI

32 

Beird HC, Khan M, Wang F, Alfayez M, Cai T, Zhao L, Khoury J, Futreal PA, Konopleva M and Pemmaraju N: Features of non-activation dendritic state and immune deficiency in blastic plasmacytoid dendritic cell neoplasm (BPDCN). Blood Cancer J. 9:992019. View Article : Google Scholar : PubMed/NCBI

33 

Tabata R, Tabata C, Nagai T and Yasumizu R: Follicular lymphoma with prominent fibrosis complicated by peripheral eosinophilia. Ann Hematol. 91:965–967. 2012. View Article : Google Scholar : PubMed/NCBI

34 

Scherber RM and Mesa RA: Managing myelofibrosis (MF) that ‘blasts’ through: Advancements in the treatment of relapsed/refractory and blast-phase MF. Hematology Am Soc Hematol Educ Program. 2018:118–126. 2018. View Article : Google Scholar : PubMed/NCBI

35 

Okabe S, Miyazawa K, Iguchi T, Sumi M, Takaku T, Ito Y, Ito Y, Kimura Y, Serizawa H, Mukai K and Ohyashiki K: Peripheral T-cell lymphoma together with myelofibrosis with elevated plasma transforming growth factor-beta1. Leuk Lymphoma. 46:599–602. 2005. View Article : Google Scholar : PubMed/NCBI

36 

Tsutsui M, Yasuda H, Ota Y and Komatsu N: Splenic marginal zone lymphoma with prominent myelofibrosis mimicking triple-negative primary myelofibrosis. Case Rep Oncol. 12:834–837. 2019. View Article : Google Scholar : PubMed/NCBI

37 

Matsunaga T, Takemoto N, Miyajima N, Okuda T, Nagashima H, Sato T, Terui T, Sasaki H, Ohmi N, Hirayama Y, et al: Splenic marginal zone lymphoma presenting as myelofibrosis associated with bone marrow involvement of lymphoma cells which secrete a large amount of TGF-beta. Ann Hematol. 83:322–325. 2004. View Article : Google Scholar : PubMed/NCBI

38 

Nakajima H and Kunimoto H: TET2 as an epigenetic master regulator for normal and malignant hematopoiesis. Cancer Sci. 105:1093–1099. 2014. View Article : Google Scholar : PubMed/NCBI

39 

Abdel-Wahab O, Mullally A, Hedvat C, Garcia-Manero G, Patel J, Wadleigh M, Malinge S, Yao J, Kilpivaara O, Bhat R, et al: Genetic characterization of TET1, TET2, and TET3 alterations in myeloid malignancies. Blood. 114:144–147. 2009. View Article : Google Scholar : PubMed/NCBI

40 

Delhommeau F, Dupont S, Della Valle V, James C, Trannoy S, Massé A, Kosmider O, Le Couedic JP, Robert F, Alberdi A, et al: Mutation in Tet2 in myeloid cancers. N Eng J Med. 360:2289–2301. 2009. View Article : Google Scholar

41 

Vainchenker W and Kralovics R: Genetic basis and molecular pathophysiology of classical myeloproliferative neoplasms. Blood. 129:667–679. 2017. View Article : Google Scholar : PubMed/NCBI

42 

Ostrander EL, Kramer AC, Mallaney C, Celik H, Koh WK, Fairchild J, Haussler E, Zhang CRC and Challen GA: Divergent effects of Dnmt3a and Tet2 mutations on hematopoietic progenitor cell fitness. Stem Cell Reports. 14:551–560. 2020. View Article : Google Scholar : PubMed/NCBI

43 

Schubbert S, Shannon K and Bollag G: Hyperactive Ras in developmental disorders and cancer. Nat Rev Cancer. 7:295–308. 2007. View Article : Google Scholar : PubMed/NCBI

44 

Ohguchi Y and Ohguchi H: Dis3: The enigmatic gene in multiple myeloma. Int J Mol Sci. 24:40792023. View Article : Google Scholar : PubMed/NCBI

45 

Chen XL, Hong LL, Wang KL, Liu X, Wang JL, Lei L, Xu ZY, Cheng XD and Ling ZQ: Deregulation of CSMD1 targeted by microRNA-10b drives gastric cancer progression through the NF-κB pathway. Int J Biol Sci. 15:2075–2086. 2019. View Article : Google Scholar : PubMed/NCBI

46 

Damm F, Chesnais V, Nagata Y, Yoshida K, Scourzic L, Okuno Y, Itzykson R, Sanada M, Shiraishi Y, Gelsi-Boyer V, et al: BCOR and BCORL1 mutations in myelodysplastic syndromes and related disorders. Blood. 122:3169–3177. 2013. View Article : Google Scholar : PubMed/NCBI

47 

Sportoletti P, Sorcini D and Falini B: BCOR gene alterations in hematologic diseases. Blood. 138:2455–2468. 2021. View Article : Google Scholar : PubMed/NCBI

48 

Badaat I, Mirza S, Padron E, Sallman D, Komrokji R, Song J and Hussaini MO: Concurrent mutations in other epigenetic modulators portend better prognosis in BCOR-mutated myelodysplastic syndrome. J Clin Pathol. 73:209–212. 2020. View Article : Google Scholar : PubMed/NCBI

49 

Elling C, Erben P, Walz C, Frickenhaus M, Schemionek M, Stehling M, Serve H, Cross NC, Hochhaus A, Hofmann WK, et al: Novel imatinib-sensitive PDGFRA-activating point mutations in hypereosinophilic syndrome induce growth factor independence and leukemia-like disease. Blood. 117:2935–2943. 2011. View Article : Google Scholar : PubMed/NCBI

50 

Abdulbaki R, DeRosa PA, Mobarek D, Liu ML and Nava VE: Novel PDGFRA mutation in blastic plasmacytoid dendritic cell neoplasm; possible therapeutic implications. Br J Haematol. 197:82022. View Article : Google Scholar : PubMed/NCBI

51 

Collin M and Bigley V: Human dendritic cell subsets: An update. Immunology. 154:3–20. 2018. View Article : Google Scholar : PubMed/NCBI

52 

Verstovsek S, Manshouri T, Pilling D, Bueso-Ramos CE, Newberry KJ, Prijic S, Knez L, Bozinovic K, Harris DM, Spaeth EL, et al: Role of neoplastic monocyte-derived fibrocytes in primary myelofibrosis. J Exp Med. 213:1723–1740. 2016. View Article : Google Scholar : PubMed/NCBI

53 

Tremblay D and Mascarenhas J: Next generation therapeutics for the treatment of myelofibrosis. Cells. 10:10342021. View Article : Google Scholar : PubMed/NCBI

54 

Werth VP, Furie RA, Romero-Diaz J, Navarra S, Kalunian K, van Vollenhoven RF, Nyberg F, Kaffenberger BH, Sheikh SZ, Radunovic G, et al: Trial of anti-BDCA2 antibody litifilimab for cutaneous lupus erythematosus. N Engl J Med. 387:321–331. 2022. View Article : Google Scholar : PubMed/NCBI

55 

Ceribelli M, Hou ZE, Kelly PN, Huang DW, Wright G, Ganapathi K, Evbuomwan MO, Pittaluga S, Shaffer AL, Marcucci G, et al: A druggable TCF4- and BRD4-dependent transcriptional network sustains malignancy in blastic plasmacytoid dendritic cell neoplasm. Cancer Cell. 30:764–778. 2016. View Article : Google Scholar : PubMed/NCBI

56 

Montero J, Stephansky J, Cai T, Griffin GK, Cabal-Hierro L, Togami K, Hogdal LJ, Galinsky I, Morgan EA, Aster JC, et al: Blastic Plasmacytoid dendritic cell neoplasm is dependent on BCL2 and sensitive to venetoclax. Cancer Discov. 7:156–164. 2017. View Article : Google Scholar : PubMed/NCBI

57 

Sapienza MR, Abate F, Melle F, Orecchioni S, Fuligni F, Etebari M, Tabanelli V, Laginestra MA, Pileri A, Motta G, et al: Blastic plasmacytoid dendritic cell neoplasm: Genomics mark epigenetic dysregulation as a primary therapeutic target. Haematologica. 104:729–737. 2019. View Article : Google Scholar : PubMed/NCBI

58 

Azad F, Zhang J, Miranda CJ and Gravina M: Venetoclax and Azacitidine in the treatment of blastic plasmacytoid dendritic cell neoplasm refractory to conventional therapy. Cureus. 14:e331092022.PubMed/NCBI

59 

Samhouri Y, Ursu S, Dutton N, Tanvi V and Fazal S: Tagraxofusp followed by combined azacitidine and venetoclax in blastic plasmacytoid dendritic cell neoplasm: A case report and literature review. J Oncol Pharm Pract. 27:990–995. 2021. View Article : Google Scholar : PubMed/NCBI

60 

Togami K, Pastika T, Stephansky J, Ghandi M, Christie AL, Jones KL, Johnson CA, Lindsay RW, Brooks CL, Letai A, et al: DNA methyltransferase inhibition overcomes diphthamide pathway deficiencies underlying CD123-targeted treatment resistance. J Clin Invest. 129:5005–5019. 2019. View Article : Google Scholar : PubMed/NCBI

61 

Moore AR, Rosenberg SC, McCormick F and Malek S: RAS-targeted therapies: Is the undruggable drugged? Nat Rev Drug Discov. 19:533–552. 2020. View Article : Google Scholar : PubMed/NCBI

62 

Lyman GH, Poniewierski MS and Culakova E: Risk of chemotherapy-induced neutropenic complications when treating patients with non-Hodgkin lymphoma. Expert Opin Drug Saf. 15:483–492. 2016. View Article : Google Scholar : PubMed/NCBI

63 

Dinan MA, Hirsch BR and Lyman GH: Management of chemotherapy-induced neutropenia: Measuring quality, cost, and value. J Natl Compr Canc Netw. 13:e1–e7. 2015. View Article : Google Scholar : PubMed/NCBI

64 

Epstein RS, Aapro MS, Basu Roy UK, Salimi T, Krenitsky J, Leone-Perkins ML, Girman C, Schlusser C and Crawford J: Patient burden and real-world management of chemotherapy-induced myelosuppression: Results from an online survey of patients with solid tumors. Adv Ther. 37:3606–3618. 2020. View Article : Google Scholar : PubMed/NCBI

Related Articles

  • Abstract
  • View
  • Download
  • Twitter
Copy and paste a formatted citation
Spandidos Publications style
Luo F, Li B, Li J and Li Y: Simultaneous blastic plasmacytoid dendritic cell neoplasm and myelofibrosis: A case report. Oncol Lett 27: 220, 2024.
APA
Luo, F., Li, B., Li, J., & Li, Y. (2024). Simultaneous blastic plasmacytoid dendritic cell neoplasm and myelofibrosis: A case report. Oncology Letters, 27, 220. https://doi.org/10.3892/ol.2024.14354
MLA
Luo, F., Li, B., Li, J., Li, Y."Simultaneous blastic plasmacytoid dendritic cell neoplasm and myelofibrosis: A case report". Oncology Letters 27.5 (2024): 220.
Chicago
Luo, F., Li, B., Li, J., Li, Y."Simultaneous blastic plasmacytoid dendritic cell neoplasm and myelofibrosis: A case report". Oncology Letters 27, no. 5 (2024): 220. https://doi.org/10.3892/ol.2024.14354
Copy and paste a formatted citation
x
Spandidos Publications style
Luo F, Li B, Li J and Li Y: Simultaneous blastic plasmacytoid dendritic cell neoplasm and myelofibrosis: A case report. Oncol Lett 27: 220, 2024.
APA
Luo, F., Li, B., Li, J., & Li, Y. (2024). Simultaneous blastic plasmacytoid dendritic cell neoplasm and myelofibrosis: A case report. Oncology Letters, 27, 220. https://doi.org/10.3892/ol.2024.14354
MLA
Luo, F., Li, B., Li, J., Li, Y."Simultaneous blastic plasmacytoid dendritic cell neoplasm and myelofibrosis: A case report". Oncology Letters 27.5 (2024): 220.
Chicago
Luo, F., Li, B., Li, J., Li, Y."Simultaneous blastic plasmacytoid dendritic cell neoplasm and myelofibrosis: A case report". Oncology Letters 27, no. 5 (2024): 220. https://doi.org/10.3892/ol.2024.14354
Follow us
  • Twitter
  • LinkedIn
  • Facebook
About
  • Spandidos Publications
  • Careers
  • Cookie Policy
  • Privacy Policy
How can we help?
  • Help
  • Live Chat
  • Contact
  • Email to our Support Team