Spandidos Publications Logo
  • About
    • About Spandidos
    • Aims and Scopes
    • Abstracting and Indexing
    • Editorial Policies
    • Reprints and Permissions
    • Job Opportunities
    • Terms and Conditions
    • Contact
  • Journals
    • All Journals
    • Oncology Letters
      • Oncology Letters
      • Information for Authors
      • Editorial Policies
      • Editorial Board
      • Aims and Scope
      • Abstracting and Indexing
      • Bibliographic Information
      • Archive
    • International Journal of Oncology
      • International Journal of Oncology
      • Information for Authors
      • Editorial Policies
      • Editorial Board
      • Aims and Scope
      • Abstracting and Indexing
      • Bibliographic Information
      • Archive
    • Molecular and Clinical Oncology
      • Molecular and Clinical Oncology
      • Information for Authors
      • Editorial Policies
      • Editorial Board
      • Aims and Scope
      • Abstracting and Indexing
      • Bibliographic Information
      • Archive
    • Experimental and Therapeutic Medicine
      • Experimental and Therapeutic Medicine
      • Information for Authors
      • Editorial Policies
      • Editorial Board
      • Aims and Scope
      • Abstracting and Indexing
      • Bibliographic Information
      • Archive
    • International Journal of Molecular Medicine
      • International Journal of Molecular Medicine
      • Information for Authors
      • Editorial Policies
      • Editorial Board
      • Aims and Scope
      • Abstracting and Indexing
      • Bibliographic Information
      • Archive
    • Biomedical Reports
      • Biomedical Reports
      • Information for Authors
      • Editorial Policies
      • Editorial Board
      • Aims and Scope
      • Abstracting and Indexing
      • Bibliographic Information
      • Archive
    • Oncology Reports
      • Oncology Reports
      • Information for Authors
      • Editorial Policies
      • Editorial Board
      • Aims and Scope
      • Abstracting and Indexing
      • Bibliographic Information
      • Archive
    • Molecular Medicine Reports
      • Molecular Medicine Reports
      • Information for Authors
      • Editorial Policies
      • Editorial Board
      • Aims and Scope
      • Abstracting and Indexing
      • Bibliographic Information
      • Archive
    • World Academy of Sciences Journal
      • World Academy of Sciences Journal
      • Information for Authors
      • Editorial Policies
      • Editorial Board
      • Aims and Scope
      • Abstracting and Indexing
      • Bibliographic Information
      • Archive
    • International Journal of Functional Nutrition
      • International Journal of Functional Nutrition
      • Information for Authors
      • Editorial Policies
      • Editorial Board
      • Aims and Scope
      • Abstracting and Indexing
      • Bibliographic Information
      • Archive
    • International Journal of Epigenetics
      • International Journal of Epigenetics
      • Information for Authors
      • Editorial Policies
      • Editorial Board
      • Aims and Scope
      • Abstracting and Indexing
      • Bibliographic Information
      • Archive
    • Medicine International
      • Medicine International
      • Information for Authors
      • Editorial Policies
      • Editorial Board
      • Aims and Scope
      • Abstracting and Indexing
      • Bibliographic Information
      • Archive
  • Articles
  • Information
    • Information for Authors
    • Information for Reviewers
    • Information for Librarians
    • Information for Advertisers
    • Conferences
  • Language Editing
Spandidos Publications Logo
  • About
    • About Spandidos
    • Aims and Scopes
    • Abstracting and Indexing
    • Editorial Policies
    • Reprints and Permissions
    • Job Opportunities
    • Terms and Conditions
    • Contact
  • Journals
    • All Journals
    • Biomedical Reports
      • Information for Authors
      • Editorial Policies
      • Editorial Board
      • Aims and Scope
      • Abstracting and Indexing
      • Bibliographic Information
      • Archive
    • Experimental and Therapeutic Medicine
      • Information for Authors
      • Editorial Policies
      • Editorial Board
      • Aims and Scope
      • Abstracting and Indexing
      • Bibliographic Information
      • Archive
    • International Journal of Epigenetics
      • Information for Authors
      • Editorial Policies
      • Editorial Board
      • Aims and Scope
      • Abstracting and Indexing
      • Bibliographic Information
      • Archive
    • International Journal of Functional Nutrition
      • Information for Authors
      • Editorial Policies
      • Editorial Board
      • Aims and Scope
      • Abstracting and Indexing
      • Bibliographic Information
      • Archive
    • International Journal of Molecular Medicine
      • Information for Authors
      • Editorial Policies
      • Editorial Board
      • Aims and Scope
      • Abstracting and Indexing
      • Bibliographic Information
      • Archive
    • International Journal of Oncology
      • Information for Authors
      • Editorial Policies
      • Editorial Board
      • Aims and Scope
      • Abstracting and Indexing
      • Bibliographic Information
      • Archive
    • Medicine International
      • Information for Authors
      • Editorial Policies
      • Editorial Board
      • Aims and Scope
      • Abstracting and Indexing
      • Bibliographic Information
      • Archive
    • Molecular and Clinical Oncology
      • Information for Authors
      • Editorial Policies
      • Editorial Board
      • Aims and Scope
      • Abstracting and Indexing
      • Bibliographic Information
      • Archive
    • Molecular Medicine Reports
      • Information for Authors
      • Editorial Policies
      • Editorial Board
      • Aims and Scope
      • Abstracting and Indexing
      • Bibliographic Information
      • Archive
    • Oncology Letters
      • Information for Authors
      • Editorial Policies
      • Editorial Board
      • Aims and Scope
      • Abstracting and Indexing
      • Bibliographic Information
      • Archive
    • Oncology Reports
      • Information for Authors
      • Editorial Policies
      • Editorial Board
      • Aims and Scope
      • Abstracting and Indexing
      • Bibliographic Information
      • Archive
    • World Academy of Sciences Journal
      • Information for Authors
      • Editorial Policies
      • Editorial Board
      • Aims and Scope
      • Abstracting and Indexing
      • Bibliographic Information
      • Archive
  • Articles
  • Information
    • For Authors
    • For Reviewers
    • For Librarians
    • For Advertisers
    • Conferences
  • Language Editing
Login Register Submit
  • This site uses cookies
  • You can change your cookie settings at any time by following the instructions in our Cookie Policy. To find out more, you may read our Privacy Policy.

    I agree
Search articles by DOI, keyword, author or affiliation
Search
Advanced Search
presentation
Oncology Letters
Join Editorial Board Propose a Special Issue
Print ISSN: 1792-1074 Online ISSN: 1792-1082
Journal Cover
August-2024 Volume 28 Issue 2

Full Size Image

Sign up for eToc alerts
Recommend to Library

Journals

International Journal of Molecular Medicine

International Journal of Molecular Medicine

International Journal of Molecular Medicine is an international journal devoted to molecular mechanisms of human disease.

International Journal of Oncology

International Journal of Oncology

International Journal of Oncology is an international journal devoted to oncology research and cancer treatment.

Molecular Medicine Reports

Molecular Medicine Reports

Covers molecular medicine topics such as pharmacology, pathology, genetics, neuroscience, infectious diseases, molecular cardiology, and molecular surgery.

Oncology Reports

Oncology Reports

Oncology Reports is an international journal devoted to fundamental and applied research in Oncology.

Experimental and Therapeutic Medicine

Experimental and Therapeutic Medicine

Experimental and Therapeutic Medicine is an international journal devoted to laboratory and clinical medicine.

Oncology Letters

Oncology Letters

Oncology Letters is an international journal devoted to Experimental and Clinical Oncology.

Biomedical Reports

Biomedical Reports

Explores a wide range of biological and medical fields, including pharmacology, genetics, microbiology, neuroscience, and molecular cardiology.

Molecular and Clinical Oncology

Molecular and Clinical Oncology

International journal addressing all aspects of oncology research, from tumorigenesis and oncogenes to chemotherapy and metastasis.

World Academy of Sciences Journal

World Academy of Sciences Journal

Multidisciplinary open-access journal spanning biochemistry, genetics, neuroscience, environmental health, and synthetic biology.

International Journal of Functional Nutrition

International Journal of Functional Nutrition

Open-access journal combining biochemistry, pharmacology, immunology, and genetics to advance health through functional nutrition.

International Journal of Epigenetics

International Journal of Epigenetics

Publishes open-access research on using epigenetics to advance understanding and treatment of human disease.

Medicine International

Medicine International

An International Open Access Journal Devoted to General Medicine.

Journal Cover
August-2024 Volume 28 Issue 2

Full Size Image

Sign up for eToc alerts
Recommend to Library

  • Article
  • Citations
    • Cite This Article
    • Download Citation
    • Create Citation Alert
    • Remove Citation Alert
    • Cited By
  • Similar Articles
    • Related Articles (in Spandidos Publications)
    • Similar Articles (Google Scholar)
    • Similar Articles (PubMed)
  • Download PDF
  • Download XML
  • View XML
Article Open Access

Establishment of a novel small bowel adenocarcinoma cell line using patient‑derived xenografts, which produces CEA and CA19‑9

  • Authors:
    • Yuri Nishioka
    • Yasunori Matsumoto
    • Kentaro Murakami
    • Satoshi Endo
    • Takeshi Toyozumi
    • Ryota Otsuka
    • Tadashi Shiraishi
    • Shinichiro Iida
    • Hiroki Morishita
    • Tenshi Makiyama
    • Jie Hu
    • Abula Maiyulan
    • Hisahiro Matsubara
  • View Affiliations / Copyright

    Affiliations: Department of Frontier Surgery, Chiba University Graduate School of Medicine, Chiba 260‑8670, Japan
    Copyright: © Nishioka et al. This is an open access article distributed under the terms of Creative Commons Attribution License.
  • Article Number: 360
    |
    Published online on: June 5, 2024
       https://doi.org/10.3892/ol.2024.14493
  • Expand metrics +
Metrics: Total Views: 0 (Spandidos Publications: | PMC Statistics: )
Metrics: Total PDF Downloads: 0 (Spandidos Publications: | PMC Statistics: )
Cited By (CrossRef): 0 citations Loading Articles...

This article is mentioned in:



Abstract

Small bowel adenocarcinoma (SBA) is a rare tumor with a poor prognosis. Due to its rarity, the research infrastructure for SBA, including cell lines, is inadequate. The present study established a novel SBA cell line, SiCry‑15X, using patient‑derived xenografts of SBA. The following criteria were defined for establishment: Long‑term culturability, tumorigenicity and similarity with the original tumor. The biological characteristics of the cell line, its sensitivity to anticancer drugs and its ability to produce tumor markers carcinoembryonic antigen (CEA) and carbohydrate antigen 19‑9 (CA19‑9) were evaluated. SiCry‑15X cells adhered and grew as a monolayer, with a population doubling time of 37 h. Polymerase chain reaction results confirmed the human origin of the cell line, and short tandem repeat analysis revealed that the cells were genetically identical to the original tumor. The 50% inhibitory concentrations of 5‑fluorouracil, paclitaxel, irinotecan, oxaliplatin and cisplatin for SiCry‑15X were 104.05, 0.24, 63.3, 146.55 and 49.29 µM, respectively. CEA and CA19‑9 concentrations in the culture media were markedly elevated. In addition, CEA and CA19‑9 levels in the serum of cell‑derived xenograft model mice were elevated. Moreover, CEA and CA19‑9 were produced by SiCry‑15X cells and distributed throughout the blood. Furthermore, increases in serum CEA and CA19‑9 of cell‑derived xenograft model mice were consistent with the clinical course of the disease. The newly established SBA cell line, SiCry‑15X, could be an effective tool for conducting further studies on SBA.

Introduction

Small bowel cancer is rare, accounting for less than 5% of all gastrointestinal cancers, although the small intestine accounts for 75% of the digestive tract length and 90% of the tract mucosal surface area. Small bowel adenocarcinoma (SBA) accounts for approximately 40% of all small bowel cancers (1). The prognosis is poor, with a 5-year survival rate of 14–33% for all patients and 40–60% for those whose tumors are curatively resectable (1,2). Although SBA is considered to have a molecular biology distinct from that of other gastrointestinal cancers, owing to its rarity, the research infrastructure is inadequate, making research on SBA difficult. Regarding treatment, folinic acid, fluorouracil, and oxaliplatin (FOLFOX) therapy for advanced SBA is covered by insurance, and phase III trials (JCOG1502C; J-BALLAD) on capecitabine-oxaliplatin (CAPOX) as an adjuvant therapy are ongoing in Japan. However, these studies are based on the findings of colorectal cancer treatment. Overall, a new research infrastructure, including cell lines, needs to be established to explore disease-specific biological characteristics and provide evidence for treatment.

Although obtaining cell lines from fresh tumors is not technically easy, Dangles-Marie et al reported that prior xenografting leads to efficient establishment of colon cancer cell lines (3). In this study, we established and biologically characterized a novel SBA cell line, designated SiCry-15X, using patient-derived xenografts (PDXs) of SBA.

Materials and methods

Materials

SBA tissues were obtained from the primary tumor of a 75-year-old male patient at Chiba University Hospital (affiliated with Chiba University Graduate School of Medicine) with no history of Lynch syndrome, celiac disease, and inflammatory bowel disease, nor family history of inherited disease. The patient underwent partial jejunectomy and the tumor was located in the jejunum, approximately 5 cm from the ligament of Treitz. The histopathological diagnosis was por >>tub1 >tub2, according to the Japanese Classification of Colorectal Carcinomas, and pT4, pN2, pM0, and pStage IIIB, according to the eighth edition of the Union for International Cancer Control Staging System.

Immunohistochemistry

Immunohistochemical analysis of p53 and Ki-67 expression was performed on formalin-fixed paraffin-embedded sections of the original tumor using mouse anti-p53 (DO-7) antibody (518-102364; Roche, Basel, Switzerland) and mouse anti-human Ki-67 (MIB-1) antibody (GA62661-2; Agilent Technologies, CA, USA).

Patient-derived xenograft

Six-week-old female BALB/c nu/nu mice were purchased from Japan SLC, Inc. (Shizuoka, Japan). Small pieces, 3 mm in diameter, were taken from the surgical specimens and transplanted subcutaneously into the backs of the mice. The mice were anesthetized with a mixture of 0.3 mg/kg of medetomidine hydrochloride (Fujita Pharmaceutical. Co., Ltd., Tokyo, Japan), 4.0 mg/kg of midazolam (Sandoz K. K., Tokyo, Japan), and 5.0 mg/kg of butorphanol tartrate (Meiji Animal Health Co., Ltd., Tokyo, Japan) (4). This dosage is consistent with a previous report, following the ARRIVE 2.0 guidelines and the Guide for the Care and Use of Laboratory Animals (5). 0.3 mg/kg of atipamezole hydrochloride (Nippon Zenyaku Kogyo Co., Ltd., Fukushima, Japan) was used as an antagonist. The anesthetic and antagonist were administered to mice by subcutaneous injection at a volume of 0.01 ml/g of body weight. The tumor volume was calculated using the following formula: long diameterx(short diameter)2/2. Passages were performed when the tumor diameter was ≥15 mm, and 3 mm diameter pieces were re-implanted. The tumor tissues were fixed in 10% formalin and subjected to histological analysis by hematoxylin and eosin (HE) staining at each passage.

Establishment of PDX-derived cells

After at least three passages, resected PDX tissues were washed with phosphate-buffered saline (PBS; Nacalai Tesque, Kyoto, Japan) containing 1% penicillin-streptomycin (Gibco-Life Technologies, Grand Island, NY, USA) and minced into 1–2 mm-sized small pieces. The samples were centrifuged at 1,500 rpm for 5 min, and the supernatant was removed. The collected cells were resuspended in Dulbecco's modified Eagle's medium (DMEM) + Ham's F12 medium (Nacalai Tesque) containing 1% penicillin-streptomycin and 10% fetal bovine serum (FBS; Gibco-Life Technologies) and seeded into 6-well microplates. Once colony formation was confirmed, the cells were transferred to a larger dish or flask. For passaging and stromal cell removal, trypsin treatment was performed using 0.25% trypsin-1 mmol/l ethylene diamine tetraacetic acid (trypsin-EDTA; FUJIFILM Wako Pure Chemical Co., Osaka, Japan). For stromal cell removal, trypsin-EDTA, diluted three-fold in PBS, was used. The following criteria were defined for establishment: long-term culturability, tumorigenicity, and similarity with the original tumor. After more than two months of culture, the cells were evaluated for tumorigenicity and similarity with the original tumor.

Cell culture

Cells from the SBA (SiCry-15X), as well as gastric cancer (MKN74; RRID: CVCL_2791, and KATO III; RRID: CVCL_0371), colorectal cancer (HT29; RRID: CVCL_3230, and LoVo; RRID: CVCL_0399), and mouse squamous cell carcinoma (SCC VII; RRID: CVCL_V412) lines were used in this study. MKN74 (JCRB No. 0255) and KATO III (JCRB No. 0611) cells were obtained from Health Science Research Resources Bank/Japanese Collection of Research Bioresources (Osaka, Japan). The HT29 (58483218) cell line was obtained from the American Type Culture Collection (Manassas, VA, USA). LoVo (RCB1639) cells were obtained from Riken Bioresource Center Cell Bank (Tsukuba, Japan). The SCC VII cell line was kindly provided by Professor Yuta Shibamoto (Department of Quantum Radiology, Nagoya City University, Nagoya, Japan). The HT29 cell line was authenticated using short tandem repeat (STR) profiles, and the STR profiles consistent with the previous reports (6–8). Mycoplasma infection was examined using the VenorGeM OneStep Mycoplasma Detection Kit for Endpoint PCR (Minerva Biolabs GmbH, Berlin, Germany).

All cells were cultured in DMEM + Ham's F12 medium containing 1% penicillin-streptomycin and 10% FBS in a humidified atmosphere containing 5% CO2 at 37°C.

Cell proliferation assay

The cells were seeded in flat-bottom 96-well microplates at 1×103 cells per well in 100 µl of medium. After 48 h of pre-culture, the cells in six wells were counted every 24 h using a cell counting kit-8 (Dojindo Laboratories, Kumamoto, Japan) in accordance with the manufacturer's recommended protocol. Doubling time of the cell population was determined based on the exponential phase of the growth curve.

DNA extraction

DNA was extracted from the cell lines and 10 mm-sized paraffin-embedded SBA samples using the DNeasy Blood & Tissue Kit and QIAamp DNA FFPE Tissue Kit, respectively (QIAGEN, Hilde, Germany). All procedures were performed according to the manufacturer's instructions.

Polymerase chain reaction (PCR) for identification of animal species

To identify the cell and tissue origins of the animal species, animal-specific mitochondrial DNA (mtDNA) sequences were detected by PCR. PCR was performed with TaKaRa Ex Taq Hot Start Version (Takara Bio Inc., Otsu, Japan) using the following program: one cycle at 94°C for 5 min, 30 cycles at 94°C for 45 sec, 60°C for 30 sec, and 72°C for 90 sec, and one cycle at 72°C for 10 min, and the products were stored at 4°C. The primer sequences and predicted product sizes were based on those from RIKEN BioResource Research Center (https://cell.brc.riken.jp/ja/quality/pcr) and a previous report (9) as follows: human mtDNA, sense 5′-CTCCTATTCTTGCACGAAAC-3′ and antisense 5′-GATGGGGATTATTGCTAGGATG-3′ (330 bp); mouse mtDNA, sense 5′-GCACTGAAAATGCTTAGATGGATAATTG-3′ and antisense 5′-CCTCTCATAAACGGATGTCTAG-3′ (948 bp); 18S ribosomal RNA (rRNA), sense 5′-CGGGGAATYAGGGTTCGATTC-3′ and antisense 5′-GCCTGCTGCCTTCCTTKGATG-3′ (70 bp). Subsequently, 5 µl each of the PCR products were electrophoresed on a 1.5% agarose gel (Sigma-Aldrich, St. Louis, MO, USA) containing Midori Green Advance (Nippon Genetics Co., Ltd., Tokyo, Japan) as the staining solution with 0.5% Tris-borate EDTA buffer. After electrophoresis, the samples were visualized under UV light (Ez-Capture MG; ATTO Co., Tokyo, Japan) and photographed. A 100-bp DNA ladder (Nippon Genetics Co., Ltd.) was used as the size marker.

STR analysis

The GenePrint 10 System (Promega, Madison, WI, USA) was used for STR analysis, and all procedures were performed according to the manufacturer's instructions. The following autosomal STR loci were analyzed: TH01, D21S11, D5S818, D13S317, D7S820, D16S539, CSF1PO, vWA, TPOX, and Amelogenin for sex identification. The samples were processed using an Applied Biosystems 3500×L Genetic Analyzer (Thermo Fisher Scientific). Similarities between the STR profiles were evaluated using evaluation values (EVs), and the profiles were considered identical at values of 0.8 or above. The EV was calculated as follows: (number of coincidental peaks)x2/total number of peaks in sample A + total number of peaks in sample B. CLASTR (version 1.4.4; RRID: SCR_024863) was used for matching against other cell lines.

In vivo experiments

To evaluate tumorigenicity and determine the appropriate number of cells for the cell-derived xenograft (CDX) model, different numbers of SiCry-15X cells were suspended in 200 µl of PBS and injected subcutaneously into the backs of six-week-old female BALB/c nu/nu mice (Japan SLC, Inc.). The tumor diameters and body weights were measured once per week. The CDXs formed were excised after six weeks, fixed in 10% formalin, and subjected to histological analysis after HE staining. Mice were euthanized promptly after the end of the study by exsanguination under anesthesia.

Sensitivity to anticancer drugs

The cells were seeded in flat-bottom 96-well microplates at 2×103 cells per well in 100 µl of medium. After 72 h of pre-culture, the medium was removed, and 5-fluorouracil (5-FU; FUJIFILM Wako Pure Chemical Co.), paclitaxel (PTX; FUJIFILM Wako Pure Chemical Co.), irinotecan (CPT-11; Cayman Chemical Company, Ann Arbor, MI, USA), oxaliplatin (L-OHP; Tokyo Chemical Industry Co., Ltd., Tokyo, Japan), and cisplatin (CDDP; FUJIFILM Wako Pure Chemical Co.) were added at various concentrations. After 96 h of drug treatment, the cells were counted using a cell counting kit-8 (Dojindo Laboratories) in accordance with the manufacturer's instructions. Each cell line was examined in triplicates, and 50% inhibitory concentrations (IC50) were calculated.

Assays for tumor markers in the conditioned medium and mouse serum samples

Carcinoembryonic antigen (CEA) and carbohydrate antigen 19-9 (CA19-9) levels in culture supernatants (used for 96-h culture of 5×105 cells) and mouse serum samples were measured using chemiluminescence immunoassay (CLIA). To measure CEA and CA19-9 levels, 0.25–1 ml of each sample was used.

Statistical analysis

Cell viability in response to anticancer drugs and tumor marker levels in culture supernatants were presented as average ± standard deviation. The one-way analysis of variance with Tukey's post hoc test was performed to compare the differences tumor marker levels in culture supernatants in more than three cell lines. Statistical significance was considered to exist at P-values <0.05. All data were statistically analyzed using JMP Pro v.17 software (SAS institute Inc).

Results

Immunohistochemical profile of original tumor

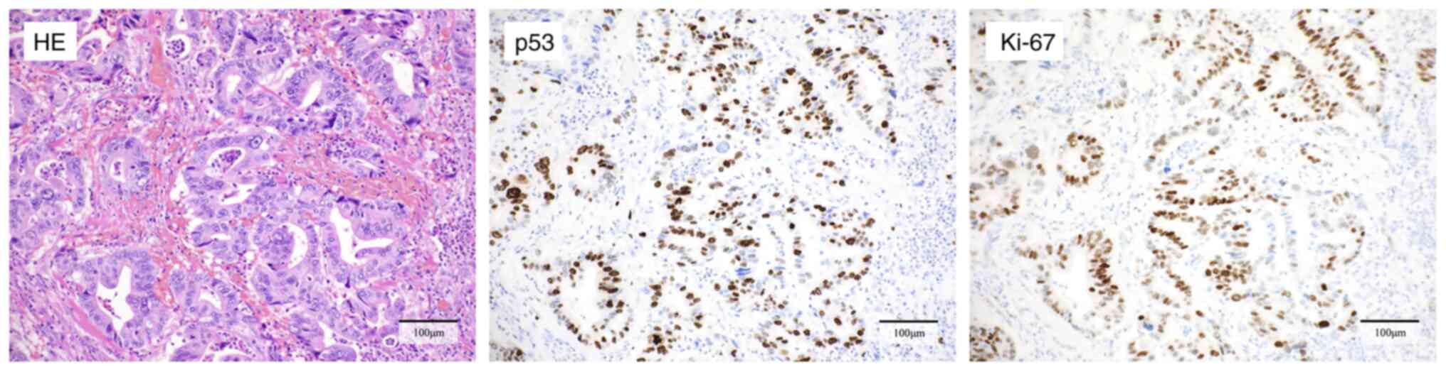
The original tumor was a primary jejunal adenocarcinoma, and the histopathological findings are shown in Fig. 1. Immunohistochemical staining showed discontinuous staining in cancer cell nuclei for p53 and evaluated as p53 wild type. Additionally, a large number of Ki-67 positive cells were identified, with an MIB-1 index of 58%.

Figure 1.

Histological findings of the original tumor of SiCry-15X. HE staining (left panel), immunohistochemical staining for p53 (middle panel) and immunohistochemical staining for Ki-67 (right panel). Scale bar=100 µm. HE, Hematoxylin and eosin.

Establishment of PDXs and PDX-derived cell line, SiCry-15X

Patient-derived tumor tissues were subcutaneously transplanted into three mice, all of which showed viable growth. Two or more passages were performed and designated as PDX establishment. Fig. 2 shows the progress of PDXs and the weight transition at passage 9.

Figure 2.

Tumor progression and weight transition of the PDX model. PDX tissue pieces (size, ~3 mm) were transplanted into the backs of nude mice and tumor progression was monitored for 6 weeks. The tumor diameter and body weight were measured twice a week. (A) Representative images of the PDX model at 1, 3 and 5 weeks post-transplantation. Plots of (B) tumor volume progression and (C) body weight volatility excluding estimated tumor weight. The tumor weight was calculated using the following formula: Long diameter × (short diameter)2/2. PDX, patient-derived xenograft.

PDX-derived cells formed colonies surrounded by fibroblasts on the fifth day of primary culture. The first passage was performed on the 13th day of primary culture. Fibroblasts were eliminated by a weak trypsin treatment. The cell line was designated as SiCry-15X and had undergone more than 50 passages.

The SiCry-15X cells adhered and grew as monolayers (Fig. 3A). The population doubling time of SiCry-15X was approximately 37 h. PCR amplification of animal species-specific mtDNA indicated that the SiCry-15X cells were of human origin. In contrast, the PDX tissue contained both human and mouse components (Fig. 3B). Limiting dilution analysis confirmed that SiCry-15X cells formed colonies from single cells. PCR analysis revealed that the cells were free from mycoplasma infection.

Figure 3.

Morphology and origin of SiCry-15X cell line. (A) Microscopic image of SiCry-15X (scale bar, 100 µm). The cells adhered and grew as monolayers. (B) Amplification of human and mouse mtDNA. SCC VII, a mouse-derived cell line, and MKN74, a human-derived cell line, were used as positive controls, and purified water was used as the NC. 18S rRNA was used as the internal control. In PDXs, both human and mouse components were combined, whereas SiCry-15X cells consisted only of human components. NC, negative control; rRNA, ribosomal RNA; PDX, patient-derived xenograft.

STR analysis for confirmation of similarity of SiCry-15X cells with the original tumor

Table I summarizes the main findings of STR analysis. Comparison of the STR profile of the original tumor with those of the PDXs and SiCry-15X revealed that the EVs were greater than 0.8, indicating that the PDXs and cell line were similar to the original tumor. Furthermore, a CLASTR analysis revealed that none of the STR profiles of human cell lines matched those of the SiCry-15X line, confirming the uniqueness of the SiCry-15X cell line.

Table I.

Short tandem repeat profile of SiCry-15X.

Table I.

Short tandem repeat profile of SiCry-15X.

LocusOriginal tumorPDXSiCry-15X
TH016, 966
D21S1130, 33.230, 33.230, 33.2
D5S81811, 121111
D13S3179, 129, 129, 12
D7S8208, 118, 118, 11
D16S5399, 119, 119, 11
CSF1PO10, 121212
AMELX, YXX
vWA17, 1817, 1817, 18
TPOX9, 119, 119, 11

[i] PDX, patient-derived xenograft.

Evaluation of tumorigenicity using the CDX model

When different numbers of SiCry-15X cells were injected subcutaneously into mice, tumors formed at all cell counts at six weeks, indicating the tumorigenic potential of SiCry-15X (Fig. 4A). HE-stained images of CDXs formed from the SiCry-15X cells revealed that the adenocarcinomas were similar to the original tumor and PDXs (Fig. 4B). PCR amplification of animal species-specific mtDNA revealed that the CDXs contained both human and mouse components (Fig. 4C). Using a cutoff diameter of at least 5 mm after four weeks of growth, the appropriate number of cells for the CDX model was determined to be 2×106 cells, which was in the 1–5×106 cell range. The CDX progression and weight transition of the CDX model mice, in which 2×106 cells were injected subcutaneously, are shown in Fig. 4D and 4E. All mice met the defined criteria, none showed excessive weight loss, and the mice were appropriate for use as CDX models.

Figure 4.

In vivo experiments to evaluate tumorigenicity and establish CDX model. (A) Plots of tumor progression at different cell counts for cells injected subcutaneously into nude mice (n=2). Tumors formed at all cell counts at 6 weeks, but only one of the two mice formed a tumor when injected with 5×104 cells. Conversely, one of the mice injected with 5×106 cells developed a tumor with a length that exceeded 15 mm within <6 weeks; observations for this mouse were not recorded thereafter. (B) Hematoxylin and eosin-stained images of the original tumor, PDX and CDX. The CDX retained atypical glandular duct structures similar to those of the original tumor and PDX. Scale bar=100 µm. (C) Amplification of human- and mouse-specific mitochondrial DNA. CDX contains both human and mouse components, similar to that observed in PDX. Plots of (D) tumor volume progression and (E) volatility of body weight, excluding the estimated tumor weight, for nude mice injected subcutaneously with 2×106 cells (n=5). All mice showed tumor growth, and none showed excessive weight loss. CDX, cell-derived xenograft; PDX, patient-derived xenograft; NC, negative control; rRNA, ribosomal RNA.

Anticancer drug sensitivity of cell lines

The sensitivity of SiCry-15X cells to various anticancer drugs was evaluated in vitro. The IC50 of 5-FU, PTX, CPT-11, L-OHP, and CDDP for SiCry-15X were 104.05, 0.24, 63.3, 146.55, and 49.29 µM, respectively (Fig. 5, Table II). For reference, similar experiments were performed using the MKN74 and HT29 cell lines.

Figure 5.

Dose-response curves for cell lines treated with anticancer drugs. Each cell line was examined in triplicate and the average value for each cell line was plotted. Anticancer drugs that are widely used in the treatment of gastrointestinal cancers were selected.

Table II.

Anticancer drug sensitivity of cell lines.

Table II.

Anticancer drug sensitivity of cell lines.

DrugCell lineIC50 (µM)
5-fluorouracilSiCry-15X104.05
MKN743.69
HT299.68
PaclitaxelSiCry-15X0.24
MKN740.0065
HT290.0053
IrinotecanSiCry-15X63.30
MKN7468.51
HT2917.90
OxaliplatinSiCry-15X146.55
MKN74279.85
HT2924.50
CisplatinSiCry-15X49.29
MKN7428.97
HT2918.15
Evaluation of CEA and CA19-9 production by SiCry-15X

The clinical time courses of the serum CEA and CA19-9 levels in the patient from whose samples the SiCry-15X line originated are shown in Fig. 6A. The patient's CEA and CA19-9 serum levels were markedly elevated preoperatively and decreased rapidly after surgery. Recurrence of SBA or re-elevation of CEA or CA19-9 levels were not observed.

Figure 6.

Ability of SiCry-15X cells to produce CEA and CA19-9. (A) Clinical time courses of serum CEA and CA19-9 levels, and the origin of SiCry-15X. CEA and CA19-9 levels in the patient were monitored over several years, and the patient was followed up for detection of complications; a marked increase in CEA and CA19-9 levels prompted investigation for SBA. After radical resection, both CEA and CA19-9 levels decreased rapidly. (B) Average CEA and CA19-9 concentrations in the culture media of different cell lines. LoVo, a CEA-producing cell line, was used as a positive control for CEA. KATO III and MKN74, were used as positive and negative controls for CA19-9, respectively. High levels of CEA and CA19-9 were secreted in the culture medium of SiCry-15X. *P<0.0001 compared with SiCry-15X. (C) Schematic diagram of grouping and blood sampling schedule for CDX mice. The number of SiCry-15X cells injected into the mice was adopted as the optimal number of cells for the CDX model established in this study. The control (n=3) and ‘tumor-bearing’ groups (n=5) underwent blood sampling at 4 weeks. Five mice underwent tumor resection four weeks after cell injection. Three mice that showed no recurrence 4 weeks after resection were designated the ‘no recurrence’ group, and two mice that showed local recurrence were designated the ‘with recurrence’ group. CEA, carcinoembryonic antigen; CA19-9, carbohydrate antigen 19-9; SBA, small bowel adenocarcinoma; CDX, cell-derived xenograft.

Regarding the CEA, the concentration in the SiCry-15X culture media was 1,215.8 ± 18.2 ng/mL. This concentration was significantly higher than that of other cell lines, including LoVo, a CEA-producing cell line (MKN74: <0.5 ± 0 ng/mL; KATO III: 131.4 ± 4.1 ng/mL; HT29: 1.8 ± 0.1 ng/mL; LoVo: 86.0 ± 4.9 ng/mL, P<0.0001, compared to SiCry-15X, respectively). Similarly, the CA19-9 concentration in the SiCry-15X culture media was 456,666.7 ± 4714.0 U/mL, and significantly increased than other cell lines, including KATO III, which has been reported to produce CA19-9 (10) (MKN74: <2.0 ± 0 U/mL; KATO III: 255.4 ± 8.6 U/mL; HT29: 16.5 ± 1.0 U/mL; LoVo: 183.4 ± 24.2 U/mL, P <0.0001, compared to SiCry-15X, respectively) (Fig. 6B).

Sera from the model mice harboring SiCry-15X were collected at the time points shown in Fig. 6C, and CEA and CA19-9 concentrations were measured. The average CEA and CA19-9 levels were elevated in the ‘tumor-bearing’ (17.0 ng/mL and 15,000.0 U/mL, respectively) and ‘with recurrence’ groups (17.8 ng/mL and 1,173.7 U/mL, respectively), but the levels were below the detection sensitivity level in the control and ‘no recurrence’ groups, which were tumor-free (Table III). These results indicate that CEA and CA19-9 were produced by SiCry-15X cells and distributed throughout the blood. The CDX model harboring SiCry-15X mimicked the clinical course of the change in levels of CEA and CA19-9.

Table III.

Serum CEA and CA19-9 in cell-derived xenograft model mice.

Table III.

Serum CEA and CA19-9 in cell-derived xenograft model mice.

GroupCEA, ng/ml (average)CA19-9, U/ml (average)
Control (n=3)<0.5<2.0
Tumor bearing (n=5)17.015,000.0
No recurrence (n=3)<0.5<2.0
With recurrence (n=2)17.81173.7

[i] CEA, Carcinoembryonic antigen; CA19-9, carbohydrate antigen 19-9.

Discussion

In this study, we established a novel cell line of SBA, which is an uncommon tumor. To our knowledge, only four SBA cell lines have been reported: SIAC1 (11), SBA-6 (12), SBA-16 (12) and one other (13), and this is the first report of a CEA- and CA19-9-producing SBA cell line. SiCry-15X cells are tumorigenic and capable of forming glandular duct structures at the site of engraftment, suggesting that this cell line has differentiation potential.

There is currently limited understanding of genetic abnormalities that occur in SBA. In recent studies, TP53 (41–73%), KRAS (27–54%), APC (13–27%), and PIK3CA (8–18%) were identified as common mutations in SBA (14–16). Schrock et al. reported that TP53 mutations are significantly less common in SBA than in colorectal cancers, and occur at a rate similar to that in gastric adenocarcinomas (15). The frequency of APC mutations is also considerably lower than that in colorectal cancer. Furthermore, adenoma is infrequently found in the small intestine except for the duodenum, suggesting that the adenoma-carcinoma sequence is unlikely to be a major pathway of carcinogenesis in SBA (16). In addition, the frequency of BRAF mutations in SBA is comparable to that in colorectal cancers, while V600E mutations are rare in SBA (15). These results suggest that genetic differences exist between SBA and colorectal cancer. Therefore, to further clarify the genetic characteristics of small intestinal adenocarcinoma, we believe that it is necessary to establish appropriate research infrastructure, including cell lines.

Cell line establishment from PDXs has been reported in one case of SBA (13) and several other cases of cancer, including those of the colon (3), biliary tract (17), pancreas (18,19), esophagus (18), and ovaries (20). According to Dangles-Marie et al., the success rate of cell line establishment from xenografts in colon cancer was 47.4%, which was significantly higher than the 9.7% reported for cell line establishment from fresh tumor tissues. Furthermore, no dramatic changes in gene expression were induced by the two cell line establishment protocols: PDX-derived or fresh tissue-derived (3). In contrast, the PCR results for animal species-specific mtDNA analysis in this study suggest that PDX tissues contained stromal cells of host animal origin, in addition to human tumor cells. Therefore, PDX-derived cell lines are at risk of contamination with, and sometimes replacement by, stromal cells derived from host animals such as mice. In this study, stromal cells were removed by weak trypsin treatment, and animal-specific mtDNA amplification was performed to confirm that the established cell lines were free of cells of mouse origin. In addition, STR analysis confirmed that the cell lines were genetically identical to the original tumor and PDXs, thereby confirming that only human tumor cells were extracted from the xenografts.

Serum CEA and CA19-9 levels are widely used as diagnostic markers for various cancers. Elevated serum CEA and CA19-9 levels are observed in 30 and 41% of patients, respectively (21). In addition, CEA and CA19-9 could be prognostic markers in cases of radical resection of SBA (22). However, CA19-9 is also known to be elevated in benign diseases such as cholecystitis, liver cirrhosis, and chronic pancreatitis (23), and this elevation may not necessarily be due to secretion from tumor cells. The patient, from whose samples the SiCry-15X line originated, had a hepatic cyst and elevated CA19-9 levels. The patient therefore was followed up for analysis of CEA and CA19-9 levels. SBA was detected because of a remarkable increase in CEA and CA19-9 levels, and the tumor cells were suspected to produce CEA and CA19-9. In this study, SiCry-15X was proven to secrete high levels of CEA and CA19-9 into the culture medium. Serum CEA and CA19-9 levels in mice injected with SiCry-15X cells were similar to those observed during the clinical course of the patient. Therefore, SiCry-15X may provide a model for tumor marker transitions that reflect the clinical course of the disease. In this model, or any model other than the subcutaneous tumor model where tumor size cannot be directly measured, disease status may be assessed by monitoring CEA and CA19-9 levels in the blood during drug efficacy evaluation.

The development of appropriate and novel drug therapies for SBA is an important issue. However, the cell line has lost its heterogeneity, which is a limitation of this study. Drug sensitivity should be evaluated by combining the in vivo results obtained from analysis of cell lines and models that maintain tumor heterogeneity, such as PDXs. In this study, the establishment of PDXs and cell line pairs from the same tumor was a unique feature and will contribute to further research on SBA. Another limitation of this study is that only a single cell line was established. Therefore, we aim to establish multiple SBA cell lines to elucidate the disease-specific characteristics.

In conclusion, we established a cell line derived from a PDX of SBA, named SiCry-15X. This cell line produces CEA and CA19-9 and may provide a model that mirrors the clinical course of the disease. In the case of SBA, the current research infrastructure is inadequate, and thus, establishment of patient-derived cancer models, including cell lines, is important. Using this cell line, SBA pathogenesis can be elucidated in future studies.

Acknowledgements

The authors thank Dr Keisuke Matsusaka (Department of Pathology, Chiba University Hospital, Chiba, Japan) for his expert assistance. We are grateful to Ms. Aki Komatsu (Department of Frontier Surgery, Chiba University Graduate School of Medicine, Chiba, Japan) for the technical advice and excellent technical assistance.

Funding

The present study was supported by The Inohana Foundation (Chiba University) Grant-in-Aid (grant no. IFCU-2023-4).

Availability of data and materials

The data generated in the present study may be requested from the corresponding author.

Authors' contributions

YN, YM, KN, SE, TT, RO TS, SI, HMo, TM, JH, AM and HMa contributed to the conceptualization of this study. YN performed most experiments. YN, YM, KM, SE, TT, RO, and TS performed data collection and analysis. YM, KM, SE, TT, RO, TS, and HMa conducted project administration. YM and HMa confirm the authenticity of all the raw data. YM and HMa supervised the study. YN wrote the manuscript with support from SI, HMo, TM, JH, and AM. All authors provided critical feedback and read and approved the final manuscript.

Ethics approval and consent to participate

The present study was approved by the Ethics Committee of the Chiba University Graduate School of Medicine (Chiba, Japan; approval nos. 1103, 1120 and 3520), and the study was performed in agreement with the Declaration of Helsinki. Written informed consent was obtained from the patient for participation in the study and the use of their tissues. All animal experiments were performed in accordance with the guidelines for Animal Experiments at Chiba University and were approved by the Institutional Animal Care and Use Committee of Chiba University.

Patient consent for publication

Written informed consent was obtained from the patient for genetic analysis, establishment of PDX and cell lines, and the publication of all related information.

Competing interests

The authors declare that they have no competing interests.

Authors' information

Dr Yuri Nishioka ORCID iD: https://orcid.org/0009-0003-1479-5123; Dr Yasunori Matsumoto ORCID iD: https://orcid.org/0000-0002-6239-6691

References

1 

Aparicio T, Zaanan A, Svrcek M, Laurent-Puig P, Carrere N, Manfredi S, Locher C and Afchain P: Small bowel adenocarcinoma: Epidemiology, risk factors, diagnosis and treatment. Dig Liver Dis. 46:97–104. 2014. View Article : Google Scholar : PubMed/NCBI

2 

Dabaja BS, Suki D, Pro B, Bonnen M and Ajani J: Adenocarcinoma of the small bowel: Presentation, prognostic factors, and outcome of 217 patients. Cancer. 101:518–526. 2004. View Article : Google Scholar : PubMed/NCBI

3 

Dangles-Marie V, Pocard M, Richon S, Weiswald LB, Assayag F, Saulnier P, Judde JG, Janneau JL, Auger N, Validire P, et al: Establishment of human colon cancer cell lines from fresh tumors versus xenografts: comparison of success rate and cell line features. Cancer Res. 67:398–407. 2007. View Article : Google Scholar : PubMed/NCBI

4 

Kawai S, Takagi Y, Kaneko S and Kurosawa T: Effect of three types of mixed anesthetic agents alternate to ketamine in mice. Exp Anim. 60:481–487. 2011. View Article : Google Scholar : PubMed/NCBI

5 

Nakayama T, Saito R, Furuya S, Shoda K, Maruyma S, Takiguchi K, Shiraishi K, Akaike H, Kawaguchi Y, Amemiya H, et al: Inhibition of cancer cell-platelet adhesion as a promising therapeutic target for preventing peritoneal dissemination of gastric cancer. Oncol Lett. 26:5382023. View Article : Google Scholar : PubMed/NCBI

6 

Lorenzi PL, Reinhold WC, Varma S, Hutchinson AA, Pommier Y, Chanock SJ and Weinstein JN: DNA fingerprinting of the NCI-60 cell line panel. Mol Cancer Ther. 8:713–724. 2009. View Article : Google Scholar : PubMed/NCBI

7 

Yu M, Selvaraj SK, Liang-Chu MM, Aghajani S, Busse M, Yuan J, Lee G, Peale F, Klijn C, Bourgon R, et al: A resource for cell line authentication, annotation and quality control. Nature. 520:307–311. 2015. View Article : Google Scholar : PubMed/NCBI

8 

Medico E, Russo M, Picco G, Cancelliere C, Valtorta E, Corti G, Buscarino M, Isella C, Lamba S, Martinoglio B, et al: The molecular landscape of colorectal cancer cell lines unveils clinically actionable kinase targets. Nat Commun. 6:70022015. View Article : Google Scholar : PubMed/NCBI

9 

Ono K, Satoh M, Yoshida T, Ozawa Y, Kohara A, Takeuchi M, Mizusawa H and Sawada H: Species identification of animal cells by nested PCR targeted to mitochondrial DNA. In Vitro Cell Dev Biol Anim. 43:168–175. 2007. View Article : Google Scholar : PubMed/NCBI

10 

Natomi H, Sugano K, Iwamori M, Saito E, Kubota S, Kondo Y, Osawa N and Takaku F: Production of CA19-9 in cultured human gastric cancer cell lines. Nihon Shokakibyo Gakkai Zasshi. 85:236–242. 1988.PubMed/NCBI

11 

Suzuki H, Hirata Y, Suzuki N, Ihara S, Sakitani K, Kobayashi Y, Kinoshita H, Hayakawa Y, Yamada A, Watabe H, et al: Characterization of a new small bowel adenocarcinoma cell line and screening of anti-cancer drug against small bowel adenocarcinoma. Am J Pathol. 185:550–562. 2015. View Article : Google Scholar : PubMed/NCBI

12 

Adam L, San Lucas FA, Fowler R, Yu Y, Wu W, Liu Y, Wang H, Menter D, Tetzlaff MT, Ensor J Jr, et al: DNA sequencing of small bowel adenocarcinomas identifies targetable recurrent mutations in the ERBB2 signaling pathway. Clin Cancer Res. 25:641–651. 2019. View Article : Google Scholar : PubMed/NCBI

13 

Yamano T, Kubo S and Tomita N: A patient-derived xenograft and a cell line derived from it form a useful preclinical model for small bowel adenocarcinoma. Cancer Med. 9:3337–3343. 2020. View Article : Google Scholar : PubMed/NCBI

14 

Laforest A, Aparicio T, Zaanan A, Silva FP, Didelot A, Desbeaux A, Le Corre D, Benhaim L, Pallier K, Aust D, et al: ERBB2 gene as a potential therapeutic target in small bowel adenocarcinoma. Eur J Cancer. 50:1740–1746. 2014. View Article : Google Scholar : PubMed/NCBI

15 

Schrock AB, Devoe CE, McWilliams R, Sun J, Aparicio T, Stephens PJ, Ross JS, Wilson R, Miller VA, Ali SM and Overman MJ: Genomic profiling of small-bowel adenocarcinoma. JAMA Oncol. 3:1546–1553. 2017. View Article : Google Scholar : PubMed/NCBI

16 

Tatsuguchi A, Yamada T, Ueda K, Furuki H, Hoshimoto A, Nishimoto T, Omori J, Akimoto N, Gudis K, Tanaka S, et al: Genetic analysis of Japanese patients with small bowel adenocarcinoma using next-generation sequencing. BMC Cancer. 22:7232022. View Article : Google Scholar : PubMed/NCBI

17 

Ojima H, Yoshikawa D, Ino Y, Shimizu H, Miyamoto M, Kokubu A, Hiraoka N, Morofuji N, Kondo T, Onaya H, et al: Establishment of six new human biliary tract carcinoma cell lines and identification of MAGEH1 as a candidate biomarker for predicting the efficacy of gemcitabine treatment. Cancer Sci. 101:882–888. 2010. View Article : Google Scholar : PubMed/NCBI

18 

Damhofer H, Ebbing EA, Steins A, Welling L, Tol JA, Krishnadath KK, van Leusden T, van de Vijver MJ, Besselink MG, Busch OR, et al: Establishment of patient-derived xenograft models and cell lines for malignancies of the upper gastrointestinal tract. J Transl Med. 13:1152015. View Article : Google Scholar : PubMed/NCBI

19 

Pham K, Delitto D, Knowlton AE, Hartlage ER, Madhavan R, Gonzalo DH, Thomas RM, Behrns KE, George TJ Jr, Hughes SJ, et al: Isolation of pancreatic cancer cells from a patient-derived xenograft model allows for practical expansion and preserved heterogeneity in culture. Am J Pathol. 186:1537–1546. 2016. View Article : Google Scholar : PubMed/NCBI

20 

De Thaye E, Van de Vijver K, Van der Meulen J, Taminau J, Wagemans G, Denys H, Van Dorpe J, Berx G, Ceelen W, Van Bocxlaer J and Wever OD: Establishment and characterization of a cell line and patient-derived xenograft (PDX) from peritoneal metastasis of low-grade serous ovarian carcinoma. Sci Rep. 10:66882020. View Article : Google Scholar : PubMed/NCBI

21 

Zaanan A, Costes L, Gauthier M, Malka D, Locher C, Mitry E, Tougeron D, Lecomte T, Gornet JM, Sobhani I, et al: Chemotherapy of advanced small-bowel adenocarcinoma: A multicenter AGEO study. Ann Oncol. 21:1786–1793. 2010. View Article : Google Scholar : PubMed/NCBI

22 

Li N, Shen W, Deng W, Yang H, Ma Y, Bie L, Wei C and Luo S: Clinical features and the efficacy of adjuvant chemotherapy in resectable small bowel adenocarcinoma: a single-center, long-term analysis. Ann Transl Med. 8:9492020. View Article : Google Scholar : PubMed/NCBI

23 

Matsuzawa K, Itabashi K, Matsuzawa S, Tsutsumi O, Hiki Y and Kakita A: A case of large liver cyst with extraordinally high level of CA19-9 in the serum, CA19-9 and CEA in the cystic fluid. Nihon Shokakigeka Gakkai Zasshi. 32:2375–2379. 1999.(In Japanese).

Related Articles

  • Abstract
  • View
  • Download
  • Twitter
Copy and paste a formatted citation
Spandidos Publications style
Nishioka Y, Matsumoto Y, Murakami K, Endo S, Toyozumi T, Otsuka R, Shiraishi T, Iida S, Morishita H, Makiyama T, Makiyama T, et al: Establishment of a novel small bowel adenocarcinoma cell line using patient‑derived xenografts, which produces CEA and CA19‑9. Oncol Lett 28: 360, 2024.
APA
Nishioka, Y., Matsumoto, Y., Murakami, K., Endo, S., Toyozumi, T., Otsuka, R. ... Matsubara, H. (2024). Establishment of a novel small bowel adenocarcinoma cell line using patient‑derived xenografts, which produces CEA and CA19‑9. Oncology Letters, 28, 360. https://doi.org/10.3892/ol.2024.14493
MLA
Nishioka, Y., Matsumoto, Y., Murakami, K., Endo, S., Toyozumi, T., Otsuka, R., Shiraishi, T., Iida, S., Morishita, H., Makiyama, T., Hu, J., Maiyulan, A., Matsubara, H."Establishment of a novel small bowel adenocarcinoma cell line using patient‑derived xenografts, which produces CEA and CA19‑9". Oncology Letters 28.2 (2024): 360.
Chicago
Nishioka, Y., Matsumoto, Y., Murakami, K., Endo, S., Toyozumi, T., Otsuka, R., Shiraishi, T., Iida, S., Morishita, H., Makiyama, T., Hu, J., Maiyulan, A., Matsubara, H."Establishment of a novel small bowel adenocarcinoma cell line using patient‑derived xenografts, which produces CEA and CA19‑9". Oncology Letters 28, no. 2 (2024): 360. https://doi.org/10.3892/ol.2024.14493
Copy and paste a formatted citation
x
Spandidos Publications style
Nishioka Y, Matsumoto Y, Murakami K, Endo S, Toyozumi T, Otsuka R, Shiraishi T, Iida S, Morishita H, Makiyama T, Makiyama T, et al: Establishment of a novel small bowel adenocarcinoma cell line using patient‑derived xenografts, which produces CEA and CA19‑9. Oncol Lett 28: 360, 2024.
APA
Nishioka, Y., Matsumoto, Y., Murakami, K., Endo, S., Toyozumi, T., Otsuka, R. ... Matsubara, H. (2024). Establishment of a novel small bowel adenocarcinoma cell line using patient‑derived xenografts, which produces CEA and CA19‑9. Oncology Letters, 28, 360. https://doi.org/10.3892/ol.2024.14493
MLA
Nishioka, Y., Matsumoto, Y., Murakami, K., Endo, S., Toyozumi, T., Otsuka, R., Shiraishi, T., Iida, S., Morishita, H., Makiyama, T., Hu, J., Maiyulan, A., Matsubara, H."Establishment of a novel small bowel adenocarcinoma cell line using patient‑derived xenografts, which produces CEA and CA19‑9". Oncology Letters 28.2 (2024): 360.
Chicago
Nishioka, Y., Matsumoto, Y., Murakami, K., Endo, S., Toyozumi, T., Otsuka, R., Shiraishi, T., Iida, S., Morishita, H., Makiyama, T., Hu, J., Maiyulan, A., Matsubara, H."Establishment of a novel small bowel adenocarcinoma cell line using patient‑derived xenografts, which produces CEA and CA19‑9". Oncology Letters 28, no. 2 (2024): 360. https://doi.org/10.3892/ol.2024.14493
Follow us
  • Twitter
  • LinkedIn
  • Facebook
About
  • Spandidos Publications
  • Careers
  • Cookie Policy
  • Privacy Policy
How can we help?
  • Help
  • Live Chat
  • Contact
  • Email to our Support Team