Spandidos Publications Logo
  • About
    • About Spandidos
    • Aims and Scopes
    • Abstracting and Indexing
    • Editorial Policies
    • Reprints and Permissions
    • Job Opportunities
    • Terms and Conditions
    • Contact
  • Journals
    • All Journals
    • Oncology Letters
      • Oncology Letters
      • Information for Authors
      • Editorial Policies
      • Editorial Board
      • Aims and Scope
      • Abstracting and Indexing
      • Bibliographic Information
      • Archive
    • International Journal of Oncology
      • International Journal of Oncology
      • Information for Authors
      • Editorial Policies
      • Editorial Board
      • Aims and Scope
      • Abstracting and Indexing
      • Bibliographic Information
      • Archive
    • Molecular and Clinical Oncology
      • Molecular and Clinical Oncology
      • Information for Authors
      • Editorial Policies
      • Editorial Board
      • Aims and Scope
      • Abstracting and Indexing
      • Bibliographic Information
      • Archive
    • Experimental and Therapeutic Medicine
      • Experimental and Therapeutic Medicine
      • Information for Authors
      • Editorial Policies
      • Editorial Board
      • Aims and Scope
      • Abstracting and Indexing
      • Bibliographic Information
      • Archive
    • International Journal of Molecular Medicine
      • International Journal of Molecular Medicine
      • Information for Authors
      • Editorial Policies
      • Editorial Board
      • Aims and Scope
      • Abstracting and Indexing
      • Bibliographic Information
      • Archive
    • Biomedical Reports
      • Biomedical Reports
      • Information for Authors
      • Editorial Policies
      • Editorial Board
      • Aims and Scope
      • Abstracting and Indexing
      • Bibliographic Information
      • Archive
    • Oncology Reports
      • Oncology Reports
      • Information for Authors
      • Editorial Policies
      • Editorial Board
      • Aims and Scope
      • Abstracting and Indexing
      • Bibliographic Information
      • Archive
    • Molecular Medicine Reports
      • Molecular Medicine Reports
      • Information for Authors
      • Editorial Policies
      • Editorial Board
      • Aims and Scope
      • Abstracting and Indexing
      • Bibliographic Information
      • Archive
    • World Academy of Sciences Journal
      • World Academy of Sciences Journal
      • Information for Authors
      • Editorial Policies
      • Editorial Board
      • Aims and Scope
      • Abstracting and Indexing
      • Bibliographic Information
      • Archive
    • International Journal of Functional Nutrition
      • International Journal of Functional Nutrition
      • Information for Authors
      • Editorial Policies
      • Editorial Board
      • Aims and Scope
      • Abstracting and Indexing
      • Bibliographic Information
      • Archive
    • International Journal of Epigenetics
      • International Journal of Epigenetics
      • Information for Authors
      • Editorial Policies
      • Editorial Board
      • Aims and Scope
      • Abstracting and Indexing
      • Bibliographic Information
      • Archive
    • Medicine International
      • Medicine International
      • Information for Authors
      • Editorial Policies
      • Editorial Board
      • Aims and Scope
      • Abstracting and Indexing
      • Bibliographic Information
      • Archive
  • Articles
  • Information
    • Information for Authors
    • Information for Reviewers
    • Information for Librarians
    • Information for Advertisers
    • Conferences
  • Language Editing
Spandidos Publications Logo
  • About
    • About Spandidos
    • Aims and Scopes
    • Abstracting and Indexing
    • Editorial Policies
    • Reprints and Permissions
    • Job Opportunities
    • Terms and Conditions
    • Contact
  • Journals
    • All Journals
    • Biomedical Reports
      • Information for Authors
      • Editorial Policies
      • Editorial Board
      • Aims and Scope
      • Abstracting and Indexing
      • Bibliographic Information
      • Archive
    • Experimental and Therapeutic Medicine
      • Information for Authors
      • Editorial Policies
      • Editorial Board
      • Aims and Scope
      • Abstracting and Indexing
      • Bibliographic Information
      • Archive
    • International Journal of Epigenetics
      • Information for Authors
      • Editorial Policies
      • Editorial Board
      • Aims and Scope
      • Abstracting and Indexing
      • Bibliographic Information
      • Archive
    • International Journal of Functional Nutrition
      • Information for Authors
      • Editorial Policies
      • Editorial Board
      • Aims and Scope
      • Abstracting and Indexing
      • Bibliographic Information
      • Archive
    • International Journal of Molecular Medicine
      • Information for Authors
      • Editorial Policies
      • Editorial Board
      • Aims and Scope
      • Abstracting and Indexing
      • Bibliographic Information
      • Archive
    • International Journal of Oncology
      • Information for Authors
      • Editorial Policies
      • Editorial Board
      • Aims and Scope
      • Abstracting and Indexing
      • Bibliographic Information
      • Archive
    • Medicine International
      • Information for Authors
      • Editorial Policies
      • Editorial Board
      • Aims and Scope
      • Abstracting and Indexing
      • Bibliographic Information
      • Archive
    • Molecular and Clinical Oncology
      • Information for Authors
      • Editorial Policies
      • Editorial Board
      • Aims and Scope
      • Abstracting and Indexing
      • Bibliographic Information
      • Archive
    • Molecular Medicine Reports
      • Information for Authors
      • Editorial Policies
      • Editorial Board
      • Aims and Scope
      • Abstracting and Indexing
      • Bibliographic Information
      • Archive
    • Oncology Letters
      • Information for Authors
      • Editorial Policies
      • Editorial Board
      • Aims and Scope
      • Abstracting and Indexing
      • Bibliographic Information
      • Archive
    • Oncology Reports
      • Information for Authors
      • Editorial Policies
      • Editorial Board
      • Aims and Scope
      • Abstracting and Indexing
      • Bibliographic Information
      • Archive
    • World Academy of Sciences Journal
      • Information for Authors
      • Editorial Policies
      • Editorial Board
      • Aims and Scope
      • Abstracting and Indexing
      • Bibliographic Information
      • Archive
  • Articles
  • Information
    • For Authors
    • For Reviewers
    • For Librarians
    • For Advertisers
    • Conferences
  • Language Editing
Login Register Submit
  • This site uses cookies
  • You can change your cookie settings at any time by following the instructions in our Cookie Policy. To find out more, you may read our Privacy Policy.

    I agree
Search articles by DOI, keyword, author or affiliation
Search
Advanced Search
presentation
Oncology Letters
Join Editorial Board Propose a Special Issue
Print ISSN: 1792-1074 Online ISSN: 1792-1082
Journal Cover
August-2024 Volume 28 Issue 2

Full Size Image

Sign up for eToc alerts
Recommend to Library

Journals

International Journal of Molecular Medicine

International Journal of Molecular Medicine

International Journal of Molecular Medicine is an international journal devoted to molecular mechanisms of human disease.

International Journal of Oncology

International Journal of Oncology

International Journal of Oncology is an international journal devoted to oncology research and cancer treatment.

Molecular Medicine Reports

Molecular Medicine Reports

Covers molecular medicine topics such as pharmacology, pathology, genetics, neuroscience, infectious diseases, molecular cardiology, and molecular surgery.

Oncology Reports

Oncology Reports

Oncology Reports is an international journal devoted to fundamental and applied research in Oncology.

Experimental and Therapeutic Medicine

Experimental and Therapeutic Medicine

Experimental and Therapeutic Medicine is an international journal devoted to laboratory and clinical medicine.

Oncology Letters

Oncology Letters

Oncology Letters is an international journal devoted to Experimental and Clinical Oncology.

Biomedical Reports

Biomedical Reports

Explores a wide range of biological and medical fields, including pharmacology, genetics, microbiology, neuroscience, and molecular cardiology.

Molecular and Clinical Oncology

Molecular and Clinical Oncology

International journal addressing all aspects of oncology research, from tumorigenesis and oncogenes to chemotherapy and metastasis.

World Academy of Sciences Journal

World Academy of Sciences Journal

Multidisciplinary open-access journal spanning biochemistry, genetics, neuroscience, environmental health, and synthetic biology.

International Journal of Functional Nutrition

International Journal of Functional Nutrition

Open-access journal combining biochemistry, pharmacology, immunology, and genetics to advance health through functional nutrition.

International Journal of Epigenetics

International Journal of Epigenetics

Publishes open-access research on using epigenetics to advance understanding and treatment of human disease.

Medicine International

Medicine International

An International Open Access Journal Devoted to General Medicine.

Journal Cover
August-2024 Volume 28 Issue 2

Full Size Image

Sign up for eToc alerts
Recommend to Library

  • Article
  • Citations
    • Cite This Article
    • Download Citation
    • Create Citation Alert
    • Remove Citation Alert
    • Cited By
  • Similar Articles
    • Related Articles (in Spandidos Publications)
    • Similar Articles (Google Scholar)
    • Similar Articles (PubMed)
  • Download PDF
  • Download XML
  • View XML
Article Open Access

Artificial ascites‑assisted microwave ablation for liver cancer adjacent to the diaphragm and perioperative nursing care

  • Authors:
    • Qinqin Ai
    • Delin Liu
    • Fei Liang
    • Zixiang Kong
    • Yanghong Pan
    • Xu Zhang
  • View Affiliations / Copyright

    Affiliations: Department of Hepatology, Hangzhou Xixi Hospital, Hangzhou, Zhejiang 310006, P.R. China, Department of Ultrasonography, Hangzhou Xixi Hospital, Hangzhou, Zhejiang 310006, P.R. China, Department of Emergency, Hangzhou Xixi Hospital, Hangzhou, Zhejiang 310006, P.R. China, Department of Ultrasonography, Hangzhou Red Cross Hospital, Hangzhou, Zhejiang 310003, P.R. China
    Copyright: © Ai et al. This is an open access article distributed under the terms of Creative Commons Attribution License.
  • Article Number: 382
    |
    Published online on: June 18, 2024
       https://doi.org/10.3892/ol.2024.14515
  • Expand metrics +
Metrics: Total Views: 0 (Spandidos Publications: | PMC Statistics: )
Metrics: Total PDF Downloads: 0 (Spandidos Publications: | PMC Statistics: )
Cited By (CrossRef): 0 citations Loading Articles...

This article is mentioned in:



Abstract

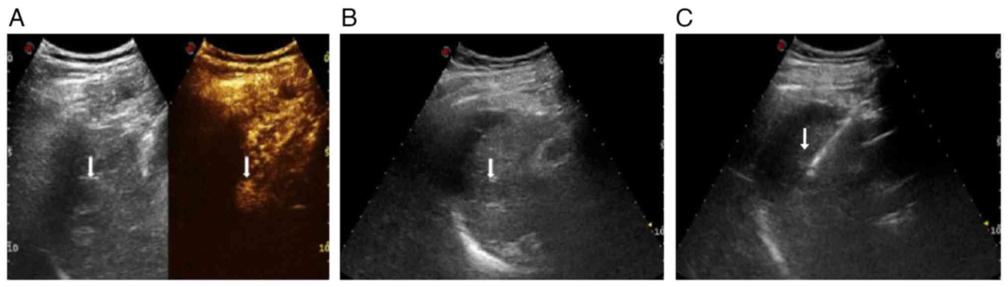
Liver cancer near the deep diaphragm can be difficult to visualize due to the effects of lung gas, which presents a challenge for microwave ablation (MWA). The present study aimed to investigate the feasibility and efficacy of artificial ascites‑assisted MWA for treating liver cancer near the deep diaphragm, as well as the significance of perioperative nursing. A retrospective analysis was conducted on patients who underwent artificial ascites‑assisted MWA for liver cancer located near the deep diaphragm between January 2016 and December 2022. Normal saline was utilized as artificial ascites to safeguard the deep diaphragm during MWA. The study recorded the procedural success rate, incidence of major complications, technical efficacy of ablation and local tumor progression (LTP). A total of 62 lesions in 54 patients were included, with 44 men and 10 women, and a mean (± SD) age of 55.64±10.33 years. The ultrasound image quality scores for liver cancer before and after ascites were 3.57±0.79 and 4.89±0.33, respectively, showing a statistically significant difference between the two groups (t=16.324; P<0.05). No diaphragm injury, skin burns at the puncture site or abdominal hemorrhage occurred during the procedure. A single patient developed right‑sided pleural effusion, which did not require drainage. The complete ablation rate was 94.4% (51/54) at 1 month post‑ablation, with 3 patients experiencing recurrence and receiving additional MWA treatment. The median follow‑up time for the patients in this study was 21 months (range, 12‑45 months), with a LTP rate of 5.6% (3/54). In conclusion, MWA assisted by artificial ascites is a safe and effective treatment for liver cancer near the deep diaphragm. Furthermore, perioperative treatment and rehabilitation of the patients with high‑quality nursing is beneficial.
View Figures

Figure 1

View References

1 

Fujita M, Yamaguchi R, Hasegawa T, Shimada S, Arihiro K, Hayashi S, Maejima K, Nakano K, Fujimoto A, Ono A, et al: Classification of primary liver cancer with immunosuppression mechanisms and correlation with genomic alterations. Ebiomedicine. 53:1026592020. View Article : Google Scholar : PubMed/NCBI

2 

Wang SJ, Chao D, Wei W, Nan G, Li JY, Liu FL, Li L, Jiang JL, Cui HY and Chen ZN: CD147 promotes collective invasion through cathepsin B in hepatocellular carcinoma. J Exp Clin Cancer Res. 39:1452020. View Article : Google Scholar : PubMed/NCBI

3 

Zhang Q, Chen WW, Sun X, Qian D, Tang DD, Zhang LL, Li MY, Wang LY, Wu CJ and Peng W: The versatile emodin: A natural easily acquired anthraquinone possesses promising anticancer properties against a variety of cancers. Int J Biol Sci. 18:3498–3527. 2022. View Article : Google Scholar : PubMed/NCBI

4 

Zhou Z, Li Y, Hao H, Wang Y, Zhou Z, Wang Z and Chu X: Screening hub genes as prognostic biomarkers of hepatocellular carcinoma by bioinformatics analysis. Cell Transplant. 28 (1 Suppl):76S–86S. 2019. View Article : Google Scholar : PubMed/NCBI

5 

Meng L, Wei Y and Xiao Y: Chemo-immunoablation of solid tumors: A new concept in tumor ablation. Front Immunol. 13:10575352023. View Article : Google Scholar : PubMed/NCBI

6 

Yu J, Cheng ZG, Han ZY, Liu FY, Zheng RQ, Cheng W, Wei Q, Yu SY, Li QY, He GZ, et al: Period-dependent survival benefit of percutaneous microwave ablation for hepatocellular carcinoma: A 12-year real-world, multicentric experience. Liver Cancer. 11:341–353. 2022. View Article : Google Scholar : PubMed/NCBI

7 

Ozen M and Raissi D: Editorial comment: A review on radiofrequency, microwave and high-intensity focused ultrasound ablations for hepatocellular carcinoma with cirrhosis. Hepatobiliary Surg Nutr. 11:453–456. 2022. View Article : Google Scholar : PubMed/NCBI

8 

van de Berg NJ, Meeuwsen FC, Doukas M, Kronreif G, Moelker A and van den Dobbelsteen JJ: Steerable needles for radio-frequency ablation in cirrhotic livers. Sci Rep. 11:3092021. View Article : Google Scholar : PubMed/NCBI

9 

Tay BWR, Huang DQ, Mark M, Thong NW, Guan HL, Gee LS, Cheng LH, Mei LY, Thurairajah P, Chen LJ, et al: Comparable outcomes in early hepatocellular carcinomas treated with trans-arterial chemoembolization and radiofrequency ablation. Biomedicines. 10:23612022. View Article : Google Scholar : PubMed/NCBI

10 

Li B, Liu C, Xu XX, Li Y, Du Y, Zhang C, Zheng HJ and Yang HF: Clinical application of artificial ascites in assisting CT-guided percutaneous cryoablation of hepatic tumors adjacent to the gastrointestinal tract. Sci Rep. 7:166892017. View Article : Google Scholar : PubMed/NCBI

11 

Chu MO, Shen CH, Chang TS, Xu HW, Yen CW, Lu SN and Hung CH: Pretreatment inflammation-based markers predict survival outcomes in patients with early stage hepatocellular carcinoma after radiofrequency ablation. Sci Rep. 8:166112018. View Article : Google Scholar : PubMed/NCBI

12 

Yun J, Lee YJ, Kang K and Park J: Effectiveness of SBAR-based simulation programs for nursing students: A systematic review. BMC Med Educ. 23:5072023. View Article : Google Scholar : PubMed/NCBI

13 

Fan Z, Zhou P, Jin B, Li G, Feng L, Zhuang C and Wang S: Recent therapeutics in hepatocellular carcinoma. Am J Cancer Res. 13:261–275. 2023.PubMed/NCBI

14 

Adnan A, Muñoz NM, Prakash P, Habibollahi P, Cressman ENK and Sheth RA: Hyperthermia and tumor immunity. Cancers (Basel). 13:25072021. View Article : Google Scholar : PubMed/NCBI

15 

Huang Q, Li J, Zeng Q, Tan L, Zheng R, He X and Li K: Value of artificial ascites to assist thermal ablation of liver cancer adjacent to the gastrointestinal tract in patients with previous abdominal surgery. BMC Cancer. 20:7632020. View Article : Google Scholar : PubMed/NCBI

16 

Wang CC and Kao JH: Artificial ascites is feasible and effective for difficult-to-ablate hepatocellular carcinoma. Hepatol Int. 9:514–519. 2015. View Article : Google Scholar : PubMed/NCBI

17 

Nishimura M, Nouso K, Kariyama K, Wakuta A, Kishida M, Wada N, Higashi T and Yamamoto K: Safety and efficacy of radiofrequency ablation with artificial ascites for hepatocellular carcinoma. Acta Med Okayama. 66:279–284. 2012.PubMed/NCBI

18 

Song SG, Hur YH, Cho JY, Shin MH, Yoon EJ and Kim JW: Pleural effusion after hepatic radiofrequency ablation with artificial ascites: Clinical spectrum and significance. J Vasc Interv Radiol. 31:1636–1644.e1. 2020. View Article : Google Scholar : PubMed/NCBI

19 

Zhang Y, Wang J, Li H, Zheng T, Jiang H, Li M and Song B: Performance of LI-RADS version 2018 CT treatment response algorithm in tumor response evaluation and survival prediction of patients with single hepatocellular carcinoma after radiofrequency ablation. Ann Transl Med. 8:3882020. View Article : Google Scholar : PubMed/NCBI

20 

Park SJ, Lee DH and Han JK: Reducing pain by artificial ascites infusion during radiofrequency ablation for subcapsular hepatocellular carcinoma. Cardiovasc Intervent Radiol. 44:565–573. 2021. View Article : Google Scholar : PubMed/NCBI

21 

Berghi ON, Dumitru M, Vrinceanu D, Cergan R, Jeican II, Giurcaneanu C and Miron A: Current approach to medico-legal aspects of allergic reactions. Rom J Leg Med. 29:328–331. 2021. View Article : Google Scholar

22 

Jiang C, Liu B, Chen S, Peng Z, Xie X and Kuang M: Safety margin after radiofrequency ablation of hepatocellular carcinoma: precise assessment with a three-dimensional reconstruction technique using CT imaging. Int J Hyperthermia. 34:1135–1141. 2018. View Article : Google Scholar : PubMed/NCBI

23 

Yuan Y, Li Y, Yang G, Zhang L and Ye J: Effect of Comprehensive nursing approach in perioperative stage of patients with hepatocellular carcinoma interventional therapy. Evid Based Complement Alternat Med. 2022:68624632022. View Article : Google Scholar : PubMed/NCBI

24 

Melliza DM and Woodall M: Radiofrequency ablation of liver tumors: The complementary roles of the clinic and research nurse. Gastroenterol Nurs. 23:210–214. 2000. View Article : Google Scholar : PubMed/NCBI

25 

Zhang S, Yang Y, Liu W, Yuan B, Tao C and Dou G: Effects of nursing care using a fast-track surgery approach in 49 patients with early-stage hepatocellular carcinoma undergoing first-line treatment with radiofrequency ablation: A retrospective study. Med Sci Monit. 29:e9390442023. View Article : Google Scholar : PubMed/NCBI

Related Articles

  • Abstract
  • View
  • Download
  • Twitter
Copy and paste a formatted citation
Spandidos Publications style
Ai Q, Liu D, Liang F, Kong Z, Pan Y and Zhang X: Artificial ascites‑assisted microwave ablation for liver cancer adjacent to the diaphragm and perioperative nursing care. Oncol Lett 28: 382, 2024.
APA
Ai, Q., Liu, D., Liang, F., Kong, Z., Pan, Y., & Zhang, X. (2024). Artificial ascites‑assisted microwave ablation for liver cancer adjacent to the diaphragm and perioperative nursing care. Oncology Letters, 28, 382. https://doi.org/10.3892/ol.2024.14515
MLA
Ai, Q., Liu, D., Liang, F., Kong, Z., Pan, Y., Zhang, X."Artificial ascites‑assisted microwave ablation for liver cancer adjacent to the diaphragm and perioperative nursing care". Oncology Letters 28.2 (2024): 382.
Chicago
Ai, Q., Liu, D., Liang, F., Kong, Z., Pan, Y., Zhang, X."Artificial ascites‑assisted microwave ablation for liver cancer adjacent to the diaphragm and perioperative nursing care". Oncology Letters 28, no. 2 (2024): 382. https://doi.org/10.3892/ol.2024.14515
Copy and paste a formatted citation
x
Spandidos Publications style
Ai Q, Liu D, Liang F, Kong Z, Pan Y and Zhang X: Artificial ascites‑assisted microwave ablation for liver cancer adjacent to the diaphragm and perioperative nursing care. Oncol Lett 28: 382, 2024.
APA
Ai, Q., Liu, D., Liang, F., Kong, Z., Pan, Y., & Zhang, X. (2024). Artificial ascites‑assisted microwave ablation for liver cancer adjacent to the diaphragm and perioperative nursing care. Oncology Letters, 28, 382. https://doi.org/10.3892/ol.2024.14515
MLA
Ai, Q., Liu, D., Liang, F., Kong, Z., Pan, Y., Zhang, X."Artificial ascites‑assisted microwave ablation for liver cancer adjacent to the diaphragm and perioperative nursing care". Oncology Letters 28.2 (2024): 382.
Chicago
Ai, Q., Liu, D., Liang, F., Kong, Z., Pan, Y., Zhang, X."Artificial ascites‑assisted microwave ablation for liver cancer adjacent to the diaphragm and perioperative nursing care". Oncology Letters 28, no. 2 (2024): 382. https://doi.org/10.3892/ol.2024.14515
Follow us
  • Twitter
  • LinkedIn
  • Facebook
About
  • Spandidos Publications
  • Careers
  • Cookie Policy
  • Privacy Policy
How can we help?
  • Help
  • Live Chat
  • Contact
  • Email to our Support Team