Spandidos Publications Logo
  • About
    • About Spandidos
    • Aims and Scopes
    • Abstracting and Indexing
    • Editorial Policies
    • Reprints and Permissions
    • Job Opportunities
    • Terms and Conditions
    • Contact
  • Journals
    • All Journals
    • Oncology Letters
      • Oncology Letters
      • Information for Authors
      • Editorial Policies
      • Editorial Board
      • Aims and Scope
      • Abstracting and Indexing
      • Bibliographic Information
      • Archive
    • International Journal of Oncology
      • International Journal of Oncology
      • Information for Authors
      • Editorial Policies
      • Editorial Board
      • Aims and Scope
      • Abstracting and Indexing
      • Bibliographic Information
      • Archive
    • Molecular and Clinical Oncology
      • Molecular and Clinical Oncology
      • Information for Authors
      • Editorial Policies
      • Editorial Board
      • Aims and Scope
      • Abstracting and Indexing
      • Bibliographic Information
      • Archive
    • Experimental and Therapeutic Medicine
      • Experimental and Therapeutic Medicine
      • Information for Authors
      • Editorial Policies
      • Editorial Board
      • Aims and Scope
      • Abstracting and Indexing
      • Bibliographic Information
      • Archive
    • International Journal of Molecular Medicine
      • International Journal of Molecular Medicine
      • Information for Authors
      • Editorial Policies
      • Editorial Board
      • Aims and Scope
      • Abstracting and Indexing
      • Bibliographic Information
      • Archive
    • Biomedical Reports
      • Biomedical Reports
      • Information for Authors
      • Editorial Policies
      • Editorial Board
      • Aims and Scope
      • Abstracting and Indexing
      • Bibliographic Information
      • Archive
    • Oncology Reports
      • Oncology Reports
      • Information for Authors
      • Editorial Policies
      • Editorial Board
      • Aims and Scope
      • Abstracting and Indexing
      • Bibliographic Information
      • Archive
    • Molecular Medicine Reports
      • Molecular Medicine Reports
      • Information for Authors
      • Editorial Policies
      • Editorial Board
      • Aims and Scope
      • Abstracting and Indexing
      • Bibliographic Information
      • Archive
    • World Academy of Sciences Journal
      • World Academy of Sciences Journal
      • Information for Authors
      • Editorial Policies
      • Editorial Board
      • Aims and Scope
      • Abstracting and Indexing
      • Bibliographic Information
      • Archive
    • International Journal of Functional Nutrition
      • International Journal of Functional Nutrition
      • Information for Authors
      • Editorial Policies
      • Editorial Board
      • Aims and Scope
      • Abstracting and Indexing
      • Bibliographic Information
      • Archive
    • International Journal of Epigenetics
      • International Journal of Epigenetics
      • Information for Authors
      • Editorial Policies
      • Editorial Board
      • Aims and Scope
      • Abstracting and Indexing
      • Bibliographic Information
      • Archive
    • Medicine International
      • Medicine International
      • Information for Authors
      • Editorial Policies
      • Editorial Board
      • Aims and Scope
      • Abstracting and Indexing
      • Bibliographic Information
      • Archive
  • Articles
  • Information
    • Information for Authors
    • Information for Reviewers
    • Information for Librarians
    • Information for Advertisers
    • Conferences
  • Language Editing
Spandidos Publications Logo
  • About
    • About Spandidos
    • Aims and Scopes
    • Abstracting and Indexing
    • Editorial Policies
    • Reprints and Permissions
    • Job Opportunities
    • Terms and Conditions
    • Contact
  • Journals
    • All Journals
    • Biomedical Reports
      • Information for Authors
      • Editorial Policies
      • Editorial Board
      • Aims and Scope
      • Abstracting and Indexing
      • Bibliographic Information
      • Archive
    • Experimental and Therapeutic Medicine
      • Information for Authors
      • Editorial Policies
      • Editorial Board
      • Aims and Scope
      • Abstracting and Indexing
      • Bibliographic Information
      • Archive
    • International Journal of Epigenetics
      • Information for Authors
      • Editorial Policies
      • Editorial Board
      • Aims and Scope
      • Abstracting and Indexing
      • Bibliographic Information
      • Archive
    • International Journal of Functional Nutrition
      • Information for Authors
      • Editorial Policies
      • Editorial Board
      • Aims and Scope
      • Abstracting and Indexing
      • Bibliographic Information
      • Archive
    • International Journal of Molecular Medicine
      • Information for Authors
      • Editorial Policies
      • Editorial Board
      • Aims and Scope
      • Abstracting and Indexing
      • Bibliographic Information
      • Archive
    • International Journal of Oncology
      • Information for Authors
      • Editorial Policies
      • Editorial Board
      • Aims and Scope
      • Abstracting and Indexing
      • Bibliographic Information
      • Archive
    • Medicine International
      • Information for Authors
      • Editorial Policies
      • Editorial Board
      • Aims and Scope
      • Abstracting and Indexing
      • Bibliographic Information
      • Archive
    • Molecular and Clinical Oncology
      • Information for Authors
      • Editorial Policies
      • Editorial Board
      • Aims and Scope
      • Abstracting and Indexing
      • Bibliographic Information
      • Archive
    • Molecular Medicine Reports
      • Information for Authors
      • Editorial Policies
      • Editorial Board
      • Aims and Scope
      • Abstracting and Indexing
      • Bibliographic Information
      • Archive
    • Oncology Letters
      • Information for Authors
      • Editorial Policies
      • Editorial Board
      • Aims and Scope
      • Abstracting and Indexing
      • Bibliographic Information
      • Archive
    • Oncology Reports
      • Information for Authors
      • Editorial Policies
      • Editorial Board
      • Aims and Scope
      • Abstracting and Indexing
      • Bibliographic Information
      • Archive
    • World Academy of Sciences Journal
      • Information for Authors
      • Editorial Policies
      • Editorial Board
      • Aims and Scope
      • Abstracting and Indexing
      • Bibliographic Information
      • Archive
  • Articles
  • Information
    • For Authors
    • For Reviewers
    • For Librarians
    • For Advertisers
    • Conferences
  • Language Editing
Login Register Submit
  • This site uses cookies
  • You can change your cookie settings at any time by following the instructions in our Cookie Policy. To find out more, you may read our Privacy Policy.

    I agree
Search articles by DOI, keyword, author or affiliation
Search
Advanced Search
presentation
Oncology Letters
Join Editorial Board Propose a Special Issue
Print ISSN: 1792-1074 Online ISSN: 1792-1082
Journal Cover
September-2024 Volume 28 Issue 3

Full Size Image

Sign up for eToc alerts
Recommend to Library

Journals

International Journal of Molecular Medicine

International Journal of Molecular Medicine

International Journal of Molecular Medicine is an international journal devoted to molecular mechanisms of human disease.

International Journal of Oncology

International Journal of Oncology

International Journal of Oncology is an international journal devoted to oncology research and cancer treatment.

Molecular Medicine Reports

Molecular Medicine Reports

Covers molecular medicine topics such as pharmacology, pathology, genetics, neuroscience, infectious diseases, molecular cardiology, and molecular surgery.

Oncology Reports

Oncology Reports

Oncology Reports is an international journal devoted to fundamental and applied research in Oncology.

Experimental and Therapeutic Medicine

Experimental and Therapeutic Medicine

Experimental and Therapeutic Medicine is an international journal devoted to laboratory and clinical medicine.

Oncology Letters

Oncology Letters

Oncology Letters is an international journal devoted to Experimental and Clinical Oncology.

Biomedical Reports

Biomedical Reports

Explores a wide range of biological and medical fields, including pharmacology, genetics, microbiology, neuroscience, and molecular cardiology.

Molecular and Clinical Oncology

Molecular and Clinical Oncology

International journal addressing all aspects of oncology research, from tumorigenesis and oncogenes to chemotherapy and metastasis.

World Academy of Sciences Journal

World Academy of Sciences Journal

Multidisciplinary open-access journal spanning biochemistry, genetics, neuroscience, environmental health, and synthetic biology.

International Journal of Functional Nutrition

International Journal of Functional Nutrition

Open-access journal combining biochemistry, pharmacology, immunology, and genetics to advance health through functional nutrition.

International Journal of Epigenetics

International Journal of Epigenetics

Publishes open-access research on using epigenetics to advance understanding and treatment of human disease.

Medicine International

Medicine International

An International Open Access Journal Devoted to General Medicine.

Journal Cover
September-2024 Volume 28 Issue 3

Full Size Image

Sign up for eToc alerts
Recommend to Library

  • Article
  • Citations
    • Cite This Article
    • Download Citation
    • Create Citation Alert
    • Remove Citation Alert
    • Cited By
  • Similar Articles
    • Related Articles (in Spandidos Publications)
    • Similar Articles (Google Scholar)
    • Similar Articles (PubMed)
  • Download PDF
  • Download XML
  • View XML

  • Supplementary Files
    • Supplementary_Data.pdf
Case Report Open Access

Pituitary apoplexy after surgery for cervical stump adenocarcinoma: A case report and literature review

  • Authors:
    • Xiaodan Yu
    • Chen Shi
    • Lili Jiang
    • Kuiran Liu
  • View Affiliations / Copyright

    Affiliations: Department of Obstetrics and Gynecology, Shengjing Hospital of China Medical University, Shenyang, Liaoning 110004, P.R. China
    Copyright: © Yu et al. This is an open access article distributed under the terms of Creative Commons Attribution License.
  • Article Number: 411
    |
    Published online on: June 28, 2024
       https://doi.org/10.3892/ol.2024.14543
  • Expand metrics +
Metrics: Total Views: 0 (Spandidos Publications: | PMC Statistics: )
Metrics: Total PDF Downloads: 0 (Spandidos Publications: | PMC Statistics: )
Cited By (CrossRef): 0 citations Loading Articles...

This article is mentioned in:


Abstract

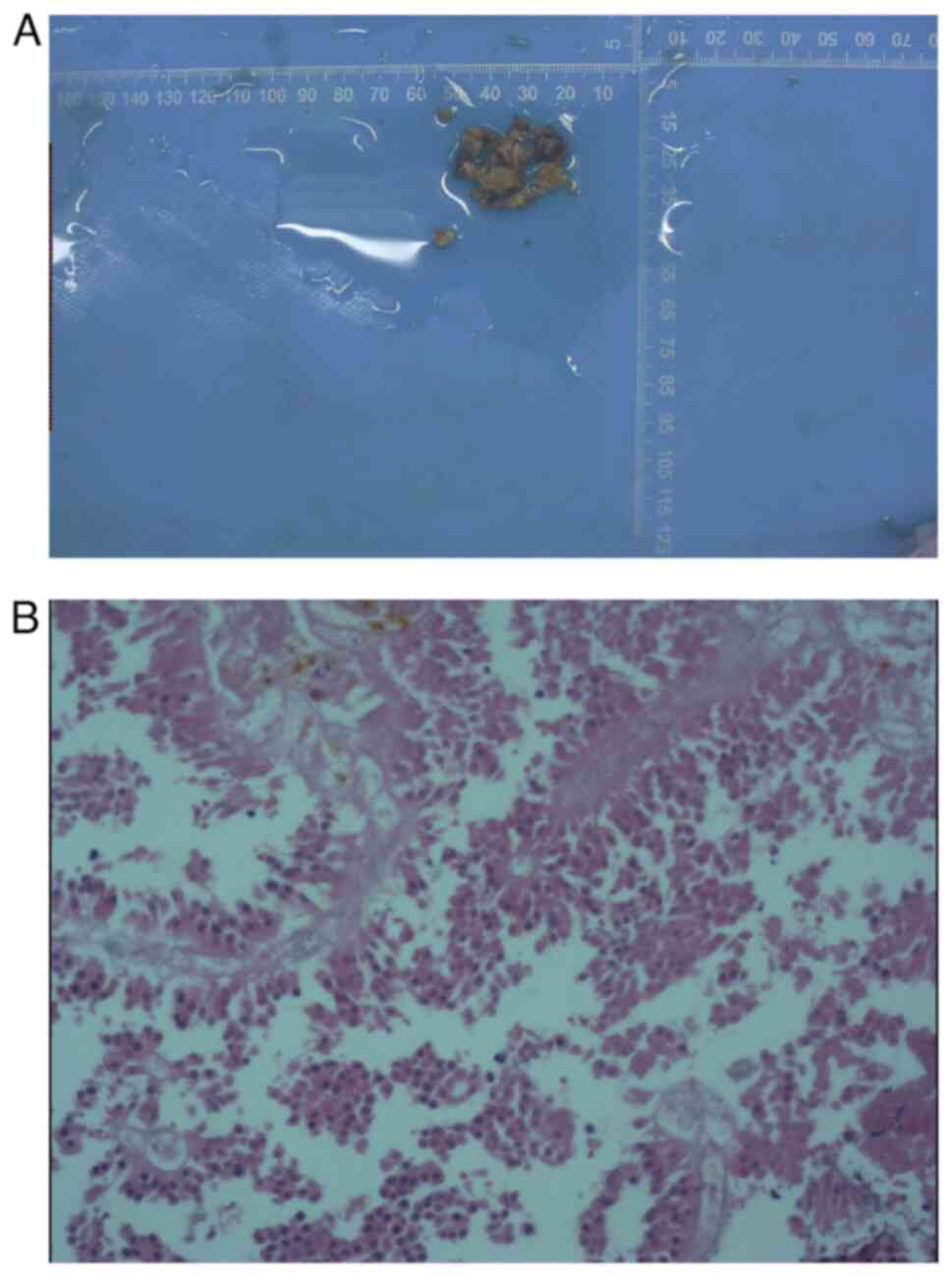
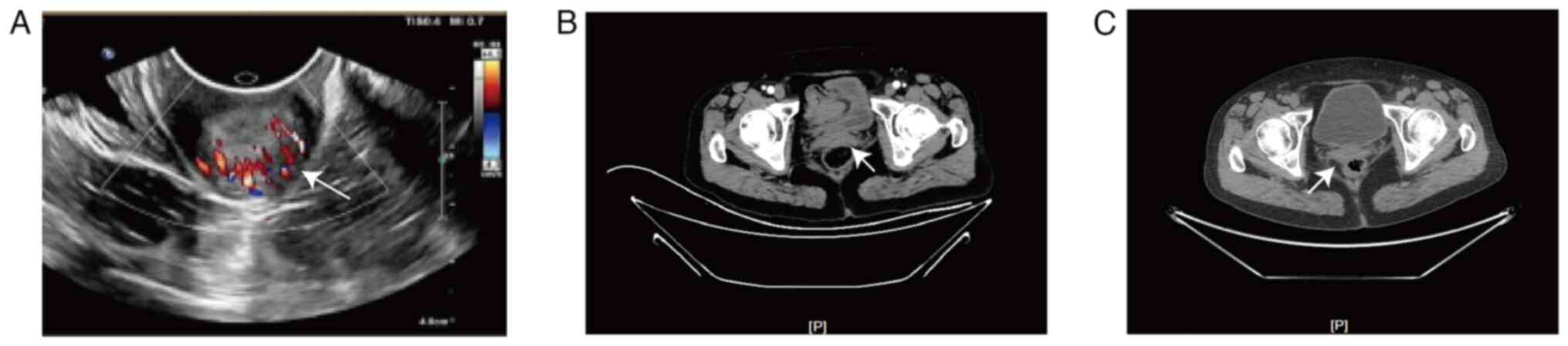
Pituitary apoplexy (PA) is an emergency condition caused by sudden hemorrhage or infarction and characterized by sudden sella turcica compression, intracranial hypertension and meningeal stimulation. PA usually occurs secondary to pituitary adenomas and can serve as the initial manifestation of an undiagnosed pituitary adenoma in an individual. In the present study, a case of PA following surgery for cervical stump adenocarcinoma was reported. The patient experienced an abrupt onset of headache and drowsiness on postoperative day 1 (POD1), and developed blurred vision and blepharoptosis of the left eye on POD4. Pituitary MRI confirmed the diagnosis of PA, prompting the initial administration of hydrocortisone to supplement endogenous hormones, followed by trans‑sphenoidal resection. At the six‑week follow‑up, the patient had fully recovered, with only mild residual blurring of vision. Diagnosing PA post‑surgery can be a challenging task due to its symptomatic overlap with postoperative complications. The existing literature on PA after surgery was also reviewed, including the symptoms, time of onset, imageological examination, management, potential risk factors and outcome to improve on early detection and individualized treatment in the future.
View Figures

Figure 1

Figure 2

Figure 3

Figure 4

View References

1 

Brougham M, Heusner AP and Adams RD: Acute degenerative changes in adenomas of the pituitary body-with special reference to pituitary apoplexy. J Neurosurg. 7:421–439. 1950. View Article : Google Scholar : PubMed/NCBI

2 

Muthukumar N: Pituitary apoplexy: A comprehensive review. Neurol India. 68:S72–S78. 2020. View Article : Google Scholar : PubMed/NCBI

3 

Bonicki W, Kasperlik-Załuska A, Koszewski W, Zgliczyński W and Wisławski J: Pituitary apoplexy: Endocrine, surgical and oncological emergency. Incidence, clinical course and treatment with reference to 799 cases of pituitary adenomas. Acta Neurochir (Wien). 120:118–122. 1993. View Article : Google Scholar : PubMed/NCBI

4 

Verrees M, Arafah BM and Selman WR: Pituitary tumor apoplexy: Characteristics, treatment, and outcomes. Neurosurg Focus. 16:E62004. View Article : Google Scholar : PubMed/NCBI

5 

Sibal L, Ball SG, Connolly V, James RA, Kane P, Kelly WF, Kendall-Taylor P, Mathias D, Perros P, Quinton R and Vaidya B: Pituitary apoplexy: A review of clinical presentation, management and outcome in 45 cases. Pituitary. 7:157–163. 2004. View Article : Google Scholar : PubMed/NCBI

6 

Lubina A, Olchovsky D, Berezin M, Ram Z, Hadani M and Shimon I: Management of pituitary apoplexy: Clinical experience with 40 patients. Acta Neurochir (Wien). 147:151–157. 2005. View Article : Google Scholar : PubMed/NCBI

7 

Capatina C, Inder W, Karavitaki N and Wass JA: Management of endocrine disease: Pituitary tumour apoplexy. Eur J Endocrinol. 172:R179–R190. 2015. View Article : Google Scholar : PubMed/NCBI

8 

Bills DC, Meyer FB, Laws ER Jr, Davis DH, Ebersold MJ, Scheithauer BW, Ilstrup DM and Abboud CF: A retrospective analysis of pituitary apoplexy. Neurosurgery. 33:602–609. 1993. View Article : Google Scholar : PubMed/NCBI

9 

Bujawansa S, Thondam SK, Steele C, Cuthbertson DJ, Gilkes CE, Noonan C, Bleaney CW, Macfarlane IA, Javadpour M and Daousi C: Presentation, management and outcomes in acute pituitary apoplexy: A large single-centre experience from the United Kingdom. Clin Endocrinol (Oxf). 80:419–424. 2014. View Article : Google Scholar : PubMed/NCBI

10 

Dubuisson AS, Beckers A and Stevenaert A: Classical pituitary tumour apoplexy: Clinical features, management and outcomes in a series of 24 patients. Clin Neurol Neurosurg. 109:63–70. 2007. View Article : Google Scholar : PubMed/NCBI

11 

Nawar RN, AbdelMannan D, Selman WR and Arafah BM: Pituitary tumor apoplexy: A review. J Intensive Care Med. 23:75–90. 2008. View Article : Google Scholar : PubMed/NCBI

12 

Randeva HS, Schoebel J, Byrne J, Esiri M, Adams CB and Wass JA: Classical pituitary apoplexy: Clinical features, management and outcome. Clin Endocrinol (Oxf). 51:181–188. 1999. View Article : Google Scholar : PubMed/NCBI

13 

Ranabir S and Baruah MP: Pituitary apoplexy. Indian J Endocrinol Metab. 15 (Suppl 3):S188–S196. 2011. View Article : Google Scholar : PubMed/NCBI

14 

Briet C, Salenave S, Bonneville JF, Laws ER and Chanson P: Pituitary apoplexy. Endocr Rev. 36:622–645. 2015. View Article : Google Scholar : PubMed/NCBI

15 

Pivonello R, De Leo M, Cozzolino A and Colao A: The treatment of cushing's disease. Endocr Rev. 36:385–486. 2015. View Article : Google Scholar : PubMed/NCBI

16 

Mullur R, Liu YY and Brent GA: Thyroid hormone regulation of metabolism. Physiol Rev. 94:355–382. 2014. View Article : Google Scholar : PubMed/NCBI

17 

Wang Z, Chen Z, Zhang L, Wang X, Hao G, Zhang Z, Shao L, Tian Y, Dong Y, Zheng C, et al: Status of hypertension in China: Results from the China hypertension survey, 2012–2015. Circulation. 137:2344–2356. 2018. View Article : Google Scholar : PubMed/NCBI

18 

Kelly AM: The minimum clinically significant difference in visual analogue scale pain score does not differ with severity of pain. Emerg Med J. 18:205–207. 2018. View Article : Google Scholar : PubMed/NCBI

19 

Reith FC, Van den Brande R, Synnot A, Gruen R and Maas AI: The reliability of the Glasgow Coma Scale: A systematic review. Intensive Care Med. 42:3–15. 2016. View Article : Google Scholar : PubMed/NCBI

20 

Noh S and Kim SH, Cho NH and Kim SH: Rapid reticulin fiber staining method is helpful for the diagnosis of pituitary adenoma in frozen section. Endocr Pathol. 26:178–184. 2015. View Article : Google Scholar : PubMed/NCBI

21 

Shaikh AA, Williams DM, Stephens JW, Boregowda K, Udiawar MV and Price DE: Natural history of pituitary apoplexy: A long-term follow-up study. Postgrad Med J. 99:595–598. 2023. View Article : Google Scholar : PubMed/NCBI

22 

Johnston PC, Hamrahian AH, Weil RJ and Kennedy L: Pituitary tumor apoplexy. J Clin Neurosci. 22:939–944. 2015. View Article : Google Scholar : PubMed/NCBI

23 

Fyrmpas G, Constantinidis J, Foroglou N and Selviaridis P: Pituitary apoplexy following endoscopic sinus surgery. J Laryngol Otol. 124:677–679. 2010. View Article : Google Scholar : PubMed/NCBI

24 

Absalom M, Rogers KH, Moulton RJ and Mazer CD: Pituitary apoplexy after coronary artery surgery. Anesth Analg. 76:648–649. 1993. View Article : Google Scholar : PubMed/NCBI

25 

Suri H and Dougherty C: Presentation and management of headache in pituitary apoplexy. Curr Pain Headache Rep. 23:612019. View Article : Google Scholar : PubMed/NCBI

26 

Barkhoudarian G and Kelly DF: Pituitary apoplexy. Neurosurg Clin N Am. 30:457–463. 2019. View Article : Google Scholar : PubMed/NCBI

27 

Hong CS and Omay SB: Pituitary Apoplexy. N Engl J Med. 387:23662022. View Article : Google Scholar : PubMed/NCBI

28 

Goyal P, Utz M, Gupta N, Kumar Y, Mangla M, Gupta S and Mangla R: Clinical and imaging features of pituitary apoplexy and role of imaging in differentiation of clinical mimics. Quant Imaging Med Surg. 8:219–231. 2018. View Article : Google Scholar : PubMed/NCBI

29 

Rajasekaran S, Vanderpump M, Baldeweg S, Drake W, Reddy N, Lanyon M, Markey A, Plant G, Powell M, Sinha S and Wass J: UK guidelines for the management of pituitary apoplexy. Clin Endocrinol (Oxf). 74:9–20. 2011. View Article : Google Scholar : PubMed/NCBI

30 

Feldt-Rasmussen U, Klose M and Benvenga S: Interactions between hypothalamic pituitary thyroid axis and other pituitary dysfunctions. Endocrine. 62:519–527. 2018. View Article : Google Scholar : PubMed/NCBI

31 

Abdulbaki A and Kanaan I: The impact of surgical timing on visual outcome in pituitary apoplexy: Literature review and case illustration. Surg Neurol Int. 8:162017. View Article : Google Scholar : PubMed/NCBI

32 

Ayuk J, McGregor EJ, Mitchell RD and Gittoes NJ: Acute management of pituitary apoplexy-surgery or conservative management? Clin Endocrinol (Oxf). 61:747–752. 2004. View Article : Google Scholar : PubMed/NCBI

33 

Gruber A, Clayton J, Kumar S, Robertson I, Howlett TA and Mansell P: Pituitary apoplexy: Retrospective review of 30 patients-is surgical intervention always necessary? Br J Neurosurg. 20:379–385. 2006. View Article : Google Scholar : PubMed/NCBI

34 

Mura P, Cossu AP, Musu M, De Giudici LM, Corda L, Zucca R and Finco G: Pituitary apoplexy after laparoscopic surgery: A case report. Eur Rev Med Pharmacol Sci. 18:3524–3527. 2014.PubMed/NCBI

35 

McClain IJ and Skidd PM: Case of pituitary apoplexy after surgery. J Neuroophthalmol. 42:e385–e386. 2022. View Article : Google Scholar : PubMed/NCBI

36 

Liberale G, Bruninx G, Vanderkelen B, Dubois E, Vandueren E and Verhelst G: Pituitary apoplexy after aortic abdominal aneurysm surgery: A case report. Acta Chir Belg. 106:77–80. 2006. View Article : Google Scholar : PubMed/NCBI

37 

Naito Y, Mori J, Tazoe J, Tomida A, Yagyu S, Nakajima H, Iehara T, Tatsuzawa K, Mukai T and Hosoi H: Pituitary apoplexy after cardiac surgery in a 14-year-old girl with Carney complex: A case report. Endocr J. 66:1117–1123. 2019. View Article : Google Scholar : PubMed/NCBI

38 

Hidiroglu M, Kucuker A, Ucaroglu E, Kucuker SA and Sener E: Pituitary apoplexy after cardiac surgery. Ann Thorac Surg. 89:1635–1637. 2010. View Article : Google Scholar : PubMed/NCBI

39 

Yakupoglu H, Onal MB, Civelek E, Kircelli A and Celasun B: Pituitary apoplexy after cardiac surgery in a patient with subclinical pituitary adenoma: Case report with review of literature. Neurol Neurochir Pol. 44:520–525. 2010. View Article : Google Scholar : PubMed/NCBI

40 

Yoshino M, Sekine Y, Koh E, Hata A and Hashimoto N: Pituitary apoplexy after surgical treatment of lung cancer. Ann Thorac Surg. 98:1830–1832. 2014. View Article : Google Scholar : PubMed/NCBI

41 

Joo C, Ha G and Jang Y: Pituitary apoplexy following lumbar fusion surgery in prone position: A case report. Medicine (Baltimore). 97:e06762018. View Article : Google Scholar : PubMed/NCBI

42 

Goel V, Debnath UK, Singh J and Brydon HL: Pituitary apoplexy after joint arthroplasty. J Arthroplasty. 24:826.e7–10. 2009. View Article : Google Scholar : PubMed/NCBI

43 

Kim YH, Lee SW, Son DW and Cha SH: Pituitary apoplexy following mitral valvuloplasty. J Korean Neurosurg Soc. 57:289–291. 2015. View Article : Google Scholar : PubMed/NCBI

44 

Mizuno T: Pituitary apoplexy with third cranial nerve palsy after off-pump coronary artery bypass grafting. Interact Cardiovasc Thorac Surg. 13:240–242. 2011. View Article : Google Scholar : PubMed/NCBI

45 

Thurtell MJ, Besser M and Halmagyi GM: Pituitary apoplexy causing isolated blindness after cardiac bypass surgery. Arch Ophthalmol. 126:576–578. 2008. View Article : Google Scholar : PubMed/NCBI

46 

Matsusaki T, Morimatsu H, Matsumi J, Matsuda H, Sato T, Sato K, Mizobuchi S, Yagi T and Morita K: Pituitary apoplexy precipitating diabetes insipidus after living donor liver transplantation. J Anesth. 25:108–111. 2011. View Article : Google Scholar : PubMed/NCBI

47 

Telesca M, Santini F and Mazzucco A: Adenoma related pituitary apoplexy disclosed by ptosis after routine cardiac surgery: Occasional reappearance of a dismal complication. Intensive Care Med. 35:185–186. 2009. View Article : Google Scholar : PubMed/NCBI

48 

Madhusudhan S, Madhusudhan TR, Haslett RS and Sinha A: Pituitary apoplexy following shoulder arthroplasty: A case report. J Med Case Rep. 5:2842011. View Article : Google Scholar : PubMed/NCBI

49 

Cohen A, Kishore K, Wolansky L and Frohman L: Pituitary apoplexy occurring during large volume liposuction surgery. J Neuroophthalmol. 24:31–33. 2004. View Article : Google Scholar : PubMed/NCBI

50 

Shapiro LM: Pituitary apoplexy following coronary artery bypass surgery. J Surg Oncol. 44:66–68. 1990. View Article : Google Scholar : PubMed/NCBI

51 

Tansel T, Ugurlucan M and Onursal E: Pituitary apoplexy following coronary artery bypass grafting: Report of a case. Acta Chir Belg. 110:484–486. 2010. View Article : Google Scholar : PubMed/NCBI

52 

Slavin ML and Budabin M: Pituitary apoplexy associated with cardiac surgery. Am J Ophthalmol. 98:291–296. 1984. View Article : Google Scholar : PubMed/NCBI

Related Articles

  • Abstract
  • View
  • Download
  • Twitter
Copy and paste a formatted citation
Spandidos Publications style
Yu X, Shi C, Jiang L and Liu K: Pituitary apoplexy after surgery for cervical stump adenocarcinoma: A case report and literature review. Oncol Lett 28: 411, 2024.
APA
Yu, X., Shi, C., Jiang, L., & Liu, K. (2024). Pituitary apoplexy after surgery for cervical stump adenocarcinoma: A case report and literature review. Oncology Letters, 28, 411. https://doi.org/10.3892/ol.2024.14543
MLA
Yu, X., Shi, C., Jiang, L., Liu, K."Pituitary apoplexy after surgery for cervical stump adenocarcinoma: A case report and literature review". Oncology Letters 28.3 (2024): 411.
Chicago
Yu, X., Shi, C., Jiang, L., Liu, K."Pituitary apoplexy after surgery for cervical stump adenocarcinoma: A case report and literature review". Oncology Letters 28, no. 3 (2024): 411. https://doi.org/10.3892/ol.2024.14543
Copy and paste a formatted citation
x
Spandidos Publications style
Yu X, Shi C, Jiang L and Liu K: Pituitary apoplexy after surgery for cervical stump adenocarcinoma: A case report and literature review. Oncol Lett 28: 411, 2024.
APA
Yu, X., Shi, C., Jiang, L., & Liu, K. (2024). Pituitary apoplexy after surgery for cervical stump adenocarcinoma: A case report and literature review. Oncology Letters, 28, 411. https://doi.org/10.3892/ol.2024.14543
MLA
Yu, X., Shi, C., Jiang, L., Liu, K."Pituitary apoplexy after surgery for cervical stump adenocarcinoma: A case report and literature review". Oncology Letters 28.3 (2024): 411.
Chicago
Yu, X., Shi, C., Jiang, L., Liu, K."Pituitary apoplexy after surgery for cervical stump adenocarcinoma: A case report and literature review". Oncology Letters 28, no. 3 (2024): 411. https://doi.org/10.3892/ol.2024.14543
Follow us
  • Twitter
  • LinkedIn
  • Facebook
About
  • Spandidos Publications
  • Careers
  • Cookie Policy
  • Privacy Policy
How can we help?
  • Help
  • Live Chat
  • Contact
  • Email to our Support Team