Spandidos Publications Logo
  • About
    • About Spandidos
    • Aims and Scopes
    • Abstracting and Indexing
    • Editorial Policies
    • Reprints and Permissions
    • Job Opportunities
    • Terms and Conditions
    • Contact
  • Journals
    • All Journals
    • Oncology Letters
      • Oncology Letters
      • Information for Authors
      • Editorial Policies
      • Editorial Board
      • Aims and Scope
      • Abstracting and Indexing
      • Bibliographic Information
      • Archive
    • International Journal of Oncology
      • International Journal of Oncology
      • Information for Authors
      • Editorial Policies
      • Editorial Board
      • Aims and Scope
      • Abstracting and Indexing
      • Bibliographic Information
      • Archive
    • Molecular and Clinical Oncology
      • Molecular and Clinical Oncology
      • Information for Authors
      • Editorial Policies
      • Editorial Board
      • Aims and Scope
      • Abstracting and Indexing
      • Bibliographic Information
      • Archive
    • Experimental and Therapeutic Medicine
      • Experimental and Therapeutic Medicine
      • Information for Authors
      • Editorial Policies
      • Editorial Board
      • Aims and Scope
      • Abstracting and Indexing
      • Bibliographic Information
      • Archive
    • International Journal of Molecular Medicine
      • International Journal of Molecular Medicine
      • Information for Authors
      • Editorial Policies
      • Editorial Board
      • Aims and Scope
      • Abstracting and Indexing
      • Bibliographic Information
      • Archive
    • Biomedical Reports
      • Biomedical Reports
      • Information for Authors
      • Editorial Policies
      • Editorial Board
      • Aims and Scope
      • Abstracting and Indexing
      • Bibliographic Information
      • Archive
    • Oncology Reports
      • Oncology Reports
      • Information for Authors
      • Editorial Policies
      • Editorial Board
      • Aims and Scope
      • Abstracting and Indexing
      • Bibliographic Information
      • Archive
    • Molecular Medicine Reports
      • Molecular Medicine Reports
      • Information for Authors
      • Editorial Policies
      • Editorial Board
      • Aims and Scope
      • Abstracting and Indexing
      • Bibliographic Information
      • Archive
    • World Academy of Sciences Journal
      • World Academy of Sciences Journal
      • Information for Authors
      • Editorial Policies
      • Editorial Board
      • Aims and Scope
      • Abstracting and Indexing
      • Bibliographic Information
      • Archive
    • International Journal of Functional Nutrition
      • International Journal of Functional Nutrition
      • Information for Authors
      • Editorial Policies
      • Editorial Board
      • Aims and Scope
      • Abstracting and Indexing
      • Bibliographic Information
      • Archive
    • International Journal of Epigenetics
      • International Journal of Epigenetics
      • Information for Authors
      • Editorial Policies
      • Editorial Board
      • Aims and Scope
      • Abstracting and Indexing
      • Bibliographic Information
      • Archive
    • Medicine International
      • Medicine International
      • Information for Authors
      • Editorial Policies
      • Editorial Board
      • Aims and Scope
      • Abstracting and Indexing
      • Bibliographic Information
      • Archive
  • Articles
  • Information
    • Information for Authors
    • Information for Reviewers
    • Information for Librarians
    • Information for Advertisers
    • Conferences
  • Language Editing
Spandidos Publications Logo
  • About
    • About Spandidos
    • Aims and Scopes
    • Abstracting and Indexing
    • Editorial Policies
    • Reprints and Permissions
    • Job Opportunities
    • Terms and Conditions
    • Contact
  • Journals
    • All Journals
    • Biomedical Reports
      • Information for Authors
      • Editorial Policies
      • Editorial Board
      • Aims and Scope
      • Abstracting and Indexing
      • Bibliographic Information
      • Archive
    • Experimental and Therapeutic Medicine
      • Information for Authors
      • Editorial Policies
      • Editorial Board
      • Aims and Scope
      • Abstracting and Indexing
      • Bibliographic Information
      • Archive
    • International Journal of Epigenetics
      • Information for Authors
      • Editorial Policies
      • Editorial Board
      • Aims and Scope
      • Abstracting and Indexing
      • Bibliographic Information
      • Archive
    • International Journal of Functional Nutrition
      • Information for Authors
      • Editorial Policies
      • Editorial Board
      • Aims and Scope
      • Abstracting and Indexing
      • Bibliographic Information
      • Archive
    • International Journal of Molecular Medicine
      • Information for Authors
      • Editorial Policies
      • Editorial Board
      • Aims and Scope
      • Abstracting and Indexing
      • Bibliographic Information
      • Archive
    • International Journal of Oncology
      • Information for Authors
      • Editorial Policies
      • Editorial Board
      • Aims and Scope
      • Abstracting and Indexing
      • Bibliographic Information
      • Archive
    • Medicine International
      • Information for Authors
      • Editorial Policies
      • Editorial Board
      • Aims and Scope
      • Abstracting and Indexing
      • Bibliographic Information
      • Archive
    • Molecular and Clinical Oncology
      • Information for Authors
      • Editorial Policies
      • Editorial Board
      • Aims and Scope
      • Abstracting and Indexing
      • Bibliographic Information
      • Archive
    • Molecular Medicine Reports
      • Information for Authors
      • Editorial Policies
      • Editorial Board
      • Aims and Scope
      • Abstracting and Indexing
      • Bibliographic Information
      • Archive
    • Oncology Letters
      • Information for Authors
      • Editorial Policies
      • Editorial Board
      • Aims and Scope
      • Abstracting and Indexing
      • Bibliographic Information
      • Archive
    • Oncology Reports
      • Information for Authors
      • Editorial Policies
      • Editorial Board
      • Aims and Scope
      • Abstracting and Indexing
      • Bibliographic Information
      • Archive
    • World Academy of Sciences Journal
      • Information for Authors
      • Editorial Policies
      • Editorial Board
      • Aims and Scope
      • Abstracting and Indexing
      • Bibliographic Information
      • Archive
  • Articles
  • Information
    • For Authors
    • For Reviewers
    • For Librarians
    • For Advertisers
    • Conferences
  • Language Editing
Login Register Submit
  • This site uses cookies
  • You can change your cookie settings at any time by following the instructions in our Cookie Policy. To find out more, you may read our Privacy Policy.

    I agree
Search articles by DOI, keyword, author or affiliation
Search
Advanced Search
presentation
Oncology Letters
Join Editorial Board Propose a Special Issue
Print ISSN: 1792-1074 Online ISSN: 1792-1082
Journal Cover
September-2024 Volume 28 Issue 3

Full Size Image

Sign up for eToc alerts
Recommend to Library

Journals

International Journal of Molecular Medicine

International Journal of Molecular Medicine

International Journal of Molecular Medicine is an international journal devoted to molecular mechanisms of human disease.

International Journal of Oncology

International Journal of Oncology

International Journal of Oncology is an international journal devoted to oncology research and cancer treatment.

Molecular Medicine Reports

Molecular Medicine Reports

Covers molecular medicine topics such as pharmacology, pathology, genetics, neuroscience, infectious diseases, molecular cardiology, and molecular surgery.

Oncology Reports

Oncology Reports

Oncology Reports is an international journal devoted to fundamental and applied research in Oncology.

Experimental and Therapeutic Medicine

Experimental and Therapeutic Medicine

Experimental and Therapeutic Medicine is an international journal devoted to laboratory and clinical medicine.

Oncology Letters

Oncology Letters

Oncology Letters is an international journal devoted to Experimental and Clinical Oncology.

Biomedical Reports

Biomedical Reports

Explores a wide range of biological and medical fields, including pharmacology, genetics, microbiology, neuroscience, and molecular cardiology.

Molecular and Clinical Oncology

Molecular and Clinical Oncology

International journal addressing all aspects of oncology research, from tumorigenesis and oncogenes to chemotherapy and metastasis.

World Academy of Sciences Journal

World Academy of Sciences Journal

Multidisciplinary open-access journal spanning biochemistry, genetics, neuroscience, environmental health, and synthetic biology.

International Journal of Functional Nutrition

International Journal of Functional Nutrition

Open-access journal combining biochemistry, pharmacology, immunology, and genetics to advance health through functional nutrition.

International Journal of Epigenetics

International Journal of Epigenetics

Publishes open-access research on using epigenetics to advance understanding and treatment of human disease.

Medicine International

Medicine International

An International Open Access Journal Devoted to General Medicine.

Journal Cover
September-2024 Volume 28 Issue 3

Full Size Image

Sign up for eToc alerts
Recommend to Library

  • Article
  • Citations
    • Cite This Article
    • Download Citation
    • Create Citation Alert
    • Remove Citation Alert
    • Cited By
  • Similar Articles
    • Related Articles (in Spandidos Publications)
    • Similar Articles (Google Scholar)
    • Similar Articles (PubMed)
  • Download PDF
  • Download XML
  • View XML
Case Report

Ectopic Cushing syndrome in metastatic castration‑resistant prostate cancer: A case report and review of literature

  • Authors:
    • Angeliki Andrikopoulou
    • Kristiana Goga
    • Katerina Stefanaki
    • Stavroula A. Paschou
    • Stavros Athanasopoulos
    • Flora Zagouri
    • Meletios-Athanasios Dimopoulos
  • View Affiliations / Copyright

    Affiliations: Department of Clinical Therapeutics, Alexandra Hospital, National and Kapodistrian University of Athens, 11528 Athens, Greece, Department of Clinical Therapeutics, Endocrine Unit and Diabetes Centre, Alexandra Hospital, School of Medicine, National and Kapodistrian University of Athens, 11528 Athens, Greece
  • Article Number: 417
    |
    Published online on: July 1, 2024
       https://doi.org/10.3892/ol.2024.14550
  • Expand metrics +
Metrics: Total Views: 0 (Spandidos Publications: | PMC Statistics: )
Metrics: Total PDF Downloads: 0 (Spandidos Publications: | PMC Statistics: )
Cited By (CrossRef): 0 citations Loading Articles...

This article is mentioned in:



Abstract

Cushing's syndrome (CS), as a result of ectopic adrenocorticotropic hormone (ACTH) production, constitutes a common paraneoplastic manifestation of various malignancies, with the most common being small cell lung carcinoma. In the literature, fewer than fifty cases associating ectopic CS with prostate cancer have been documented. In the present study, the case of a 76‑year old man suffering from castration‑resistant prostate adenocarcinoma that had been treated with enzalutamide and luteinizing hormone‑releasing hormone (LHRH) analogue for the last four years is presented. The patient presented to the emergency department with lower extremity muscle weakness, bradypsychia and hypokalemia. Following a thorough diagnostic evaluation, hypercortisolemia was identified. No suppression after low‑ and high‑dose dexamethasone challenge, increased cortisol 24 h excretion and normal pituitary magnetic resonance imaging led to the diagnosis of ectopic CS. Immediate targeted therapy was initiated with adrenal steroidogenesis inhibitors, including metyrapone and ketoconazole along with chemotherapy with docetaxel and prednisolone. There was a remarkable decrease in cortisol levels within days and hospitalization was no longer required. The patient managed to complete three cycles of chemotherapy; unfortunately, he succumbed within three months of the diagnosis of ectopic CS. In the present study, all existing cases of paraneoplastic CS related to prostate cancer are reviewed. The aim of the current study was to highlight the need of early diagnosis and treatment of this entity as it may present with atypical clinical findings and potentially evolve to a life‑threatening condition.

Introduction

Prostate cancer is the second most common cancer in males accounting for more than 900,000 cases per year (1). Adenocarcinoma is by far the most common subtype and affects more than 95% of the patients (2). Androgen deprivation therapy (ADT) remains the cornerstone of treatment for metastatic prostatic adenocarcinoma. Despite the initial response to androgen blockade, castration resistance often occurs via multiple mechanisms through androgen receptor (AR) pathway or others. Neuroendocrine dedifferentiation is one of the AR-independent castration resistance mechanisms that lead to an aggressive phenotype (3,4). While neuroendocrine differentiation in prostate cancer (NEPC) is a rare phenomenon in primary prostate cancer (<2%), it is detected in up to 10–17% of metastatic castrate-resistant prostate cancer (3). In addition, NEPC is often observed among males who have been previously treated with ADT or radiotherapy for prostate cancer (4,5). These types of tumors express typical neuroendocrine markers such chromogranin, synaptophysin (SYP) and specific neuronal enolase (NSE) but lack the expression of AR and AR-mediated genes (3,5). These tumors may originate de novo from a small population of neuroendocrine cells present in the prostate but usually occur from a population of luminal-derived castration-resistant cells through a neuroendocrine differentiation (NED) or trans-differentiation process. This phenotypic change can lead to a more aggressive clinical presentation with atypical manifestations and fewer effective treatment options. Bioactive substances produced by these cells can lead to paraneoplastic syndromes, including ectopic adrenocorticotropic hormone (ACTH) secretion. In the present study, a case of paraneoplastic Cushing syndrome (CS) in a patient with metastatic prostate cancer is presented. A review of the literature on this rare clinical entity is also presented to improve characterization of the clinical features and prognosis.

Case report

A 76-year old patient with a four-year history of metastatic prostate adenocarcinoma presented to the emergency department due to rapid-onset lower extremity weakness. The patient was first diagnosed with de novo metastatic prostate cancer in 2019 and was under ADT with enzalutamide and luteinizing hormone-releasing hormone analogue for the last four years. Biopsy of the prostate was performed in 2019 and revealed an adenocarcinoma Gleason 8 (5+3) of the prostate. Prostate-specific antigen (PSA) at initial diagnosis was 12.5 ng/ml and declined progressively to 0.007 ng/ml in 2022 after the initiation of enzalutamide. The patient now presented with lumbar pain and thus a magnetic resonance imaging (MRI) of the lumbar spine was performed which revealed the presence of an intraspinal metastasis in front of the fourth lumbar vertebra causing spinal cord compression. CT scans of the chest and abdomen showed an additional soft tissue metastasis on the left iliac bone and regional lymph node metastases. The patient started palliative radiotherapy at the metastatic foci of the O4 lumbar vertebrae and left iliac bone and was about to initiate chemotherapy with docetaxel. Of note, baseline PSA at disease progression was 0.48 ng/ml before the administration of chemotherapy.

The patient presented at the Emergency Department on the 13th of June 2023 with lower extremity muscle weakness and hypokalemia (2 mEq/l). He was hemodynamically stable and on inspection he appeared pale. Neurologically, he was oriented but exhibited emotional lability with bradypsychia. There were no focal neurological deficits in the lower extremities. Laboratory findings showed marked hypokalemia with serum potassium level of 2 mEq/l (3,5-5,1 mEq/l), metabolic alkalosis (HCO3: 48,5 mEq/l) and an elevated lactate dehydrogenase level of 461 U/l (135–225 U/l). Electrocardiogram revealed a prolonged QT interval with a corrected QT interval of 473 ms. The patient received intravenous and oral potassium supplements to prevent life-threatening arrhythmias and further investigation of hypokalemic alkalosis was initiated. The laboratory findings of the initial assessment are demonstrated in Table I.

Table I.

Laboratory results at initial assessment.

Table I.

Laboratory results at initial assessment.

AnalyteResultReference interval
Serum potassium2 mEq/l3,5-5,1mEq/l
Glucose199 mg/dl75–115 mg/dl
Lactate dehydrogenase461 U/l135–225 U/l
HbA1c6.1%4.5–6%
Serum cortisol (08:00)>1,380 nmol/l138–690 nmol/l
Serum bicarbonate48,5 mEq/l22–29 mEq/l
Arterial pH7,667,35-7,45
Initial endocrine evaluation
  Midnight cortisol>1,380 nmol/l138–690 nmol/l
  1 mg overnight dexamethasone suppression test>1,380 nmol/l138–690 nmol/l
  8 mg overnight dexamethasone suppression test>1,380 nmol/l138–690 nmol/l
  24 h urinary free cortisol20,600.00 µg/gCr1.00–119.00 µg/gCr
  Plasma ACTH194 pg/ml<46 pg/ml

[i] ACTH, adrenocorticotropic hormone.

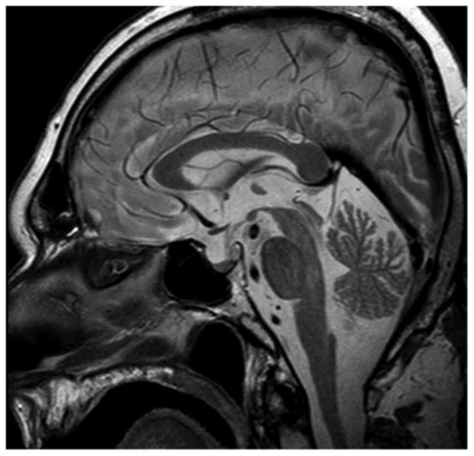
No episodes of diarrhea or vomiting were reported from recent medical history, thus potassium loss from the gastrointestinal tract was excluded. Additionally, urine electrolytes were within normal limits, hence renal potassium loss was also excluded. Therefore, endocrinological causes of hypokalemia were investigated. An adrenal protocol CT scan was performed which revealed no pathologic findings. Based on the aforementioned findings, evaluation of renin, aldosterone, ACTH and cortisol levels was requested. Τhe aforementioned tests revealed normal renin and aldosterone levels but elevated plasma cortisol levels >1,380 nmol/l (138–690 nmol/l) along with elevated plasma ACTH levels 194 pg/ml (<46 pg/ml). Measurement of 24 h urinary free cortisol revealed a value of 20,600.00 µg/gCr (1.00–119.00 µg/gCr). There was no suppression after both low-dose and high-dose dexamethasone challenge. Pituitary MRI was performed but revealed no pathologic findings (Fig. 1). Consequently, the patient was diagnosed with CS and ectopic ACTH production was considered the most likely diagnosis associated with paraneoplastic syndrome in the context of metastatic prostate adenocarcinoma.

Figure 1.

Pituitary magnetic resonance imaging T2 with no pathological findings.

Clinical deterioration was acute and thus both symptomatic treatment and chemotherapy were initiated. Symptomatic treatment included oral potassium supplements, potassium-sparing diuretics, along with mineralocorticoid blockade (spironolactone). Treatment with ketoconazole 200 mg and metyrapone 500 mg three times per day, which block the steroid biosynthetic pathway, was initiated. Additionally, anticoagulant therapy was administered due to increased risk of thromboembolism. The patient remained under close monitoring throughout the course of his treatment and did not experience any treatment-related adverse events, including hepatotoxicity, which is most commonly reported. On the 10th day of treatment with ketoconazole and metyrapone, lab tests revealed a decrease in serum cortisol levels (425 nmol/l) and ACTH levels (129 pg/ml) along with the stabilization of potassium levels (Fig. 2A and B). Following the clinical and laboratory stabilization of the patient, chemotherapy with docetaxel 75 mg/m2 and prednisolone 5 mg bid was initiated. The patient was discharged from hospital after one month of hospitalization and continued chemotherapy. PSA declined from 0.48 to 0.22 ng/ml after three cycles of docetaxel administration. However, the patient died three months after initial presentation despite his initial response to treatment.

Figure 2.

(A) Response of ACTH levels with adrenal blockage therapy. ACTH reference interval: <46 pg/ml (B) Response of serum cortisol levels within 10 days of therapy with ketoconazole and metyrapone. Serum cortisol reference interval: 138–690 nmol/l. ACTH, adrenocorticotropic hormone.

Discussion

Ectopic CS constitutes a rare paraneoplastic entity in prostate cancer. Ectopic CS as a paraneoplastic syndrome accounts for only 10–15% of CS cases and is mostly related to small cell lung cancer, pancreatic, thymus or thyroid carcinoma (6). This case highlights the urgency of diagnosing this entity and the importance of initiating treatment promptly. A case of ectopic ACTH production in a patient with castration-resistant metastatic prostate cancer who had previously received enzalutamide plus ADT is presented in the current study. Despite prompt diagnosis of ectopic Cushing disease and immediate initiation of treatment with ketoconazole and metyrapone, the patient deteriorated and eventually succumbed at three months after initial presentation with CS.

The existing literature for cases of CS related to prostate cancer was reviewed. The search strategy consisted of the following keywords: ‘cushing syndrome’ AND ‘prostate cancer’ that was applied to PUBMED bibliographical database (https://pubmed.ncbi.nlm.nih.gov/). Overall, a total of 102 papers were retrieved from the search algorithm. After the removal of two review articles (7,8) as well as two non-English papers (9,10), a total of 26 articles were considered eligible for this review (11–36). An additional search of the literature cited in the aforementioned papers revealed 12 more eligible papers (37–48). Finally, a google research was performed that revealed three additional papers (49–52). The search algorithm is illustrated in Fig. 3 and all the cases identified are summarized in Table II. Papers reporting neuroendocrine differentiation of the prostate with positive ACTH staining without clinical manifestations of ACTH serum production were excluded (53–58).

Figure 3.

Flowchart presenting the successive steps during the selection of studies.

Table II.

Case reports of patients with ectopic Cushing disease associated with prostate cancer.

Table II.

Case reports of patients with ectopic Cushing disease associated with prostate cancer.

YearAuthorsHistology of prostate cancerDisease extentClinical manifestationsLaboratory findingsDiagnostic criteriaTreatmentClinical outcome(Refs.)
1959Webster et alPoorly differentiatedLung, spleen, liver,Confusion, lethargy,Elevated glucoseElevated glucocorticoidEstrogen, orchiectomy,Death <1 week from(38)
adenocarcinomaleft kidney, adrenals,anorexia, muscularlevels (305 mg/dl),excretion in urine,insulin, intravenousCushing's diagnosis
pituitary and lumbarweakness mildhypokalemicHyperglycemia,potassium chloride
vertebrae metastaseshypertensionalkalosis (1.8 mEq/l),glycosuria, adrenal
glycosuria, elevatedhyperplasia at autopsy,
glucocorticoidnormal pituitary,
excretion in urineelevated urine potassium
excretion
1965Wise Jr. et alProstaticMetastaticNot availableNot availableNot availableBilateralNot available(42)
adenocarcinoma adrenalectomy
1968HallProstaticLiver metastasesMental changesHypokalemic alkalosisElevated glucocorticoidOrchiectomy and oralDeath at 2 months(46)
adenocarcinoma (hypomania,(2 mEq/l), elevatedexcretion in urinediethylstilbestrol daily,after Cushing's
disorientation),fasting plasma glucose oral potassiumonset
diabetes mellitus,levels (214 mg/dl), supplements
peripheral edema,glycosuria, diffuse
hepatomegaly, weightslowing on EEG
loss, muscle
weakness, no
Cushing's features
1973Newmark et al UndifferentiatedBone, liver, lungAcute psychosisElevated glucoseElevated plasma ACTHOrchiectomy, mitotane,Death on the 12th(37)
carcinomametastases(mental changes),levels (605 mg/dl),(1,590 pg/ml), highmetyrapone,hospital day
bilateral pitting edemahypokalemic alkalosisACTH tumor spironolactone,
(2.6 mEq/l),concentration, nodexamethasone
hypernatremiasuppression after
(156 mEq/l)high-dose DMZ challenge
1975Lovern et alProstaticBone, liver,Bilateral lowerElevated glucoseElevated plasmaBilateral adrenalectomy,Death at(39)
adenocarcinomaomentum, spleen,extremity pittinglevels (576 mg/dl),cortisol (3,972 nmol/l),insulin, intravenous3 months
gallbladderedema, musclehypertension,elevated plasmaantibiotics
metastases,weaknessglycosuriaACTH (1,188 pg/ml),
abdominal lymph no suppression after
nodes metastases low and high-dose
DMZ challenge,
elevated corticosteroid
excretion in urine,
adrenal hyperplasia
1977Wenk et alPoorlyPelvic lymph nodes,Generalized weakness,Hypokalemic alkalosisElevated plasma ACTHInsulin, furosemide,Death on the 23rd(11)
differentiated, smallurinary bladderDysuria, mild(2.9 mEq/l),(133 pg/ml) and cortisolantibiotics for UTIday
cell (‘oat-cell’) hypertension, pedalhypernatremia(1,434 nmol/l), high
carcinoma edema, confusion(162 mEq/l), diabetesACTH tumor
mellitus,concentration
hyperosmolality(4,010 pg/g tissue), no
(345 mOm/kg),suppression after
elevated plasmahigh-dose DMZ challenge
ACTH and cortisol
1978MollandPoorly differentiatedNo metastasesMental changesElevated glucoseElevated plasma cortisolNo treatmentDeath at 4 weeks(41)
adenocarcinoma of (hypomania), bilaterallevels (260 mg/dl),levels (2,759 nmol/l),
the prostate lower extremityglycosuria,adrenal hyperplasia,
edema, no Cushing'shypokalemic alkalosisCrooke's hyaline changes
features(2.4 mEq/l)of the pituitary
1981Statham et alPoorly differentiatedLiver, lung, boneMental changesHypokalemic alkalosisElevated plasma cortisolMetyrapone 750 mgDeath at 2 months(45)
adenocarcinoma of (‘euphoric behavior’),(1.7 mEq/l),levels (>1,377 nmol/l),four times per dayafter Cushing's
the prostatemetastasespolydipsia, anklehypernatremiaelevated plasma ACTHPrednisoloneonset
edema(157 mEq/l), elevated(1,589 pg/ml), bilateral15 mg/day,
plasma glucose levelsadrenal hyperplasiaorchidectomy
1981Vuitch andAnaplasticLiver, bone,Moon facies, centralElevated plasmaElevated plasma cortisolEstrogen, orchidectomy,Death at 2 months(12)
Mendelsohncarcinoma of the retroperitonealobesitycortisol (>1,65×106 (>1,65×106 nmol/l),radiationof Cushing's onset
prostatelymph node nmol/l)bilateral adrenal
metastases hyperplasia, no
suppression after
high-dose DMZ
challenge, high ACTH
tumor staining (10 ng/mg
tissue), Crooke's hyaline
changes of the pituitary
1984Carey et alSmall cellLiver, lung,Polyuria, polydipsia,Diabetes insipidus,Elevated plasma cortisolChemotherapyDeath on the 22nd(13)
carcinoma of themediastinal lymphcachexiadeficiency of growthlevels, elevated urine hospital day
prostatenode, bone, hormone andcortisol excretion, No
stomach, dura thyroid-stimulatingsuppression after low
metastases, bone hormone excretion,and high-dose DMZ
marrow invasion low levels of LH,challenge, elevated
FSH, testosteroneplasma ACTH levels,
(hypogonadotropicpositive tumor staining
hypogonadism)for CRH, hyperplasia of
corticotrophs in anterior
pituitary
1984Ghali and Well-differentiatedLung, liver, spleen,Fainting episodes,Hypokalemic alkalosisElevated plasma cortisolMitotaneDeath at 6 weeks(43)
Garciaadenocarcinoma andpelvic lymph node,mental changes(1.9 mEq/l),levels (1,511 nmol/l),
carcinoid of thebone marrow,(confusion, loss ofglycosuria,elevated plasma ACTH
prostateadrenal metastases consciousness),hypernatremia,(180 pg/ml), increased
Hypertension, bilateraldiabetes mellitusurine corticosteroid
ankle edema, purpuric excretion, no suppression
areas on both hands, after high-dose DMZ
no Cushing's signs challenge, bilateral
adrenal hyperplasia,
Crooke's hyaline changes
of the pituitary, ACTH
staining of primary tumor
and metastases
1985SlaterPrimary carcinoidLocally advancedOliguria, hematuria,Hypokalemic alkalosisElevated plasma cortisolPotassium supplements,Death at 1 week(40)
tumor of the prostate nocturia, no clinical(2.2 mEq/l)levels (1.2×109 nmol/l).subcutaneous insulin,
Cushing's signs elevated plasma ACTHantibiotics
levels (340 pg/ml),
increased urine
corticosteroid excretion,
no suppression after
high-dose DMZ
challenge, bilateral
adrenal hyperplasia,
elevated tumor ACTH
concentration (20 µg/g)
1988Fjellestad-Small-cellMultiple metastasesMuscle weakness,HypokalemiaElevated plasma cortisolKetoconazoleDeath at 6 days(14)
Paulsen et alcarcinoma of the abdominal pain, levels (1,131 nmol/l),
prostate weight loss, elevated plasma ACTH
hypertension, diabetes levels (354 pg/ml),
mellitus hyperplasia of pituitary
corticotropic cells, adrenal
hyperplasia, tumor
staining for CRH, TSH,
calcitonin and
somatostatin
1999Haukaas et alSmall cell carcinomaBone, lung, liver,Weight gain, legElevated plasmaElevated plasma ACTHHigh-dose estrogenDeath at 2 months(15)
and moderatelyadrenal metastasesedemaglucose (468 mg/dl),levels (25 pg/ml),treatment, insulin,after treatment
differentiated hypokalemiaelevated plasma cortisolaldosterone antagonist,initiation
prostate (1.9 mEq/l)levels (>1,500 nmol/l),diuretics, potassium
adenocarcinoma increased urine cortisole
excretion (573 nmol/24 h),
elevated ACTH and
deoxycortisole levels after
suppression with
metopiron
2001Rickman et alProstaticLiver, boneMental changesHypokalemic alkalosisElevated plasma cortisolKetoconazoleDischarged on 15th(16)
adenocarcinomametastases(confusion), lower-(2.2 mEq/l), diabeteslevels (3,724 nmol/l),1,200 mg/d, Intravenoushospital day-death
extremity edema,mellituselevated plasma ACTHpotassium replacement,13 days after
hypertension, weight levels (13,87 pg/ml),spironolactonedischarge
loss, no Cushing's elevated serum CRH
signs levels (69 pg/dl),
increased urine cortisol
excretion (16,276 µg/
24 h), bilateral adrenal
hyperplasia, no
suppression after
high-dose DMZ
challenge
2002Hussein et alPoorly differentiatedBone, liver, lymphLeft thigh pain,Hypokalemic alkalosisElevated cortisol levelsOral ketoconazoleDeath at 2.5 months(44)
adenocarcinoma ofnode metastasesgeneralized fatigue,(2.5 mEq/l), elevated(2,041 nmol/l), elevatedtherapy (400 mg tid),after Cushing onset
the prostate bilateral lowerplasma glucose levelsACTH levels (610 pg/ml),bilateral orchiectomy,
extremity edema,(188 mg/dl)no suppression afterintravenous potassium
pigmentation without high-dose DMZ supplementation,
ecchymoses, mild challenge, increased urineinsulin, nifedipine
hypertension cortisol excretion
(9,715 µg/day), bilateral
adrenal hyperplasia,
positive ACTH staining
of metastasis
2007Johnson andNeuroendocrineBone, liverMuscle weakness,Hypokalemia,Elevated plasma cortisolOral metyraponeDeath five days(17)
Canadacarcinoma of themetastasesmoon facies, lowerhypocalcemia,levels (1,594 nmol/l),750 mg every 6 hafter ICU admission
prostate extremity edema, hypophosphatemia,elevated plasma ACTHinitially, intravenous
hypertension,hypertension, andlevels (249 pg/ml),etomidate
hyperglycemiahepatic dysfunctionincreased urine cortisol(0.06 mg/kg/h),
excretion (2,400 µg/day)intravenous potassium,
magnesium, calcium
and phosphate
replacement,
chemotherapy with
cisplatin 30 mg/m2 and
etoposide 100 mg/m2
2007Kataoka et alModeratelyLocally advanced-noLeg edema, mildHyperglycemia,Elevated serum ACTHOral metyraponeDeath after two(18)
differentiatedmetastaseshypertensionHypokalemialevels (181 pg/ml),(3 g/day), potassiumweeks
prostatic (1.9 mEq/l)elevated serum cortisolsupplements
adenocarcinoma levels (184,300 nmol/l),
with neuroendocrine increased urine cortisol
differentiation excretion (9,890 µg/day)
and corticosteroids, no
suppression after low-
and high-dose DMZ
challenge, no response to
CRH testing, bilateral
adrenal hyperplasia
2007NimalasenaPatient 1: Small cellLocally advancedFatigue, leg and armHypokalemiaElevated serum ACTHKetoconazole,Death at 3.5 months(19)
et alcarcinoma of the oedema(2.7 mEq/l)levels (241 pg/ml),Metyraponeafter Cushing's
prostate (from de- elevated serum cortisol diagnosis
differentiated levels (2,370 nmol/l)
prostatic
adenocarcinoma)
2007NimalasenaPatient 2: AnaplasticBone, liver metastasesMuscle weakness,HypokalemiaElevated serum ACTHKetoconazole,Death at 1 month(19)
et alsmall cell carcinoma bilateral leg and arm(1.7 mEq/l)levels (1,064 pg/ml),octreotide, flutamide,after Cushing's
edema elevated serum cortisolchemotherapy withdiagnosis
levels (2,392 nmol/l)epirubicin, carboplatin,
5-fluorouracil
2009Alwani et alSmall cell carcinomaLung, liver, kidney,Weight gain,Hypokalemic alkalosisNo suppression afterMifepristoneDeath at 3 weeks(20)
of the prostatespleen, bone,generalized edema,(2.7 mmol/l), elevatedDMZ testing, elevated(800 mg/day), bilateralafter
peritoneal metastaseshyperpigmentation oflactate dehydrogenaseserum ACTH levelsadrenalectomyadrenalectomy
the skin, no other(798 U/l)(39 pg/ml), increased
Cushing's signs, mild urinary free cortisol
hypertensions excretion, positive ACTH
immunohistochemical
staining at primary and
metastatic tumors
2008Rajec et alSmall cellBone marrowMental changes,Hypernatremia,Elevated plasma cortisolKetoconazole,Death after surgery(21)
carcinoma of theinfiltration, bone, liver,weakness of legs,hypokalemic alkalosis,level, no suppression afterchemotherapy withfor bowel
prostateretroperitoneal lymphfatigue, mildhyperglycemialow and high-dose DMZ cisplatin/etoposideperforation
node metastaseshypertension
2008Rajec et alPoorly differentiatedBone, liverProgressive fatigue,Hypernatremia,Elevated plasma cortisolChemotherapy withDeath within two(21)
neuroendocrinemetastases, urinarydyspnea, hematuria,hypokalemic alkalosis,levels (1,340 nmol/l) carboplatin/etoposideweeks after
carcinomabladder infiltrationperipheral edemas,hyperglycemia Cushing's
mental changes diagnosis
2010Alshaikh et alSmall cell carcinomaBladder and rectumEdema of the lowerHypokalemic alkalosisElevated urine cortisolKetoconazole 400 mgDeath at 6 months(22)
of the prostateinvasion,limbs, shortness of(1.7 mEq/l)excretion (6,214.5 µg/dl),bid, metyrapone 750 mgafter prostate
retroperitoneal breath/orthopnea, elevated serum ACTHtid, chemotherapy withcancer diagnosis
lymph nodesgeneralized level (3,160 pg/ml), cisplatin/etoposide
weakness/proximal positive tumor staining
muscle weakness, for ACTH, no suppression
abdominal obesity, after high-dose DMZ
hypertension, congestive
heart failure
2010Lemoinne et alProstaticNo metastasisDepression, severeHypokalemiaElevated plasmaMifepristoneDeath at 11 days)(49)
adenocarcinoma hypertension and cortisol levels after ICU admission
diabetes mellitus (1,564 nmol/l), increased (within 1 month
urine cortisol excretion after diagnosis
(20,200 nmol/day),
elevated serum ACTH
level (145 pg/ml), no
suppression after
low-dose DMZ, normal
pituitary MRI, bilateral
adrenal hyperplasia
2011Ramon et alPoorly differentiatedBone metastases,Bone pain, muscleHypokalemic alkalosisElevated plasma ACTHOctreotide 500 mg tid,Clinical(23)
adenocarcinoma ofpara-aortic andweakness, uncontrolled(2.7 mEq/l), elevatedlevel (11.9 pg/ml),ketoconazole 200 mgimprovement after
the prostate withpara-iliac lymphhypertension, moonplasma glucose,increased urine freetid, bilateraladrenalectomy-
neuroendocrinenodesfacies, red-purplehypocalcemia,cortisol excretionadrenalectomyresolution of
component striae, multiple hypophosphatemia,(30,534 nmol/day), no Cushing's signs and
ecchymoses, truncalreduced calcitriol levelsuppression after symptoms
obesity, proximal high-dose DMZ, positive
muscle atrophy, tumor ACTH staining
hypertension
2016Rueda-CaminoSmall cell carcinomaLiver, bone, pelvicMental changes (lossHypokalemic alkalosisElevated plasma cortisolChemotherapy withDeath at 12 months(24)
et alof the prostatelymph nodeof consciousness),(2.2 mEq/l),levels (1,489 nmol/l), cisplatin/etoposideafter the diagnosis
metastasespitting pedal edema,hyperglycemia,elevated plasma ACTH of prostate cancer
hypertension hypercortisolemialevels (250 pg/ml),
increased urine free
cortisol excretion
(9,360 µg/day), no
suppression after low and
high-dose DMZ, positive
tumor ACTH staining
2016Shrosbree et alNeuroendocrineBone, pelvic lymphWeight loss, mentalDiabetes,Adrenal hyperplasia,Metyrapone,Clinical(25)
(small cell)node, liver, adrenalchanges (delirium),hypokalaemic alkalosis,elevated plasma cortisolchemotherapy withimprovement after
carcinoma of themetastasesperipheral edema,liver dysfunction,levels (2,050 nmol/l), carboplatin/etoposidemetyrapone
prostate symmetrical proximalsecondaryIncreased urine cortisol initiation-radiologic
myopathy, multiplehypogonadism,excretion (300,441 nmol/ response to
ecchymoses,secondaryday), increased plasma chemotherapy
hypertensionhypothyroidismACTH levels (14 pg/ml),
no suppression after low
and high-dose DMZ,
positive tumor ACTH
staining, weakly positive
tumor staining for ACTH
2016RamalingamNeuroendocrineBone, lung, spleen,SkinHypokalaemic alkalosisElevated plasma cortisol Spironolactone,Death at 12 months(26)
et alprostate carcinomachest wall, liver, hyperpigmentation,(1.9 mEq/l),levels (1,544 nmol/l),ketoconazole,after diagnosis
pelvic lymph nodehypertension, profoundhyperglycemiaelevated plasma ACTHchemotherapy with
metastases weakness/fatigue(227 mg/dl)levels (206 pg/ml), cisplatin/etoposide
increased urine cortisol
excretion (11,786 µg/day)
Bilateral adrenal
hyperplasia
2016BalestrieriSmall cell carcinomaLocally advancedMental confusion,HypokalemiaElevated plasma cortisolKetoconazole 400 mgDeath at 3 months(47)
et alof the prostate muscle weakness,(2.3 mEq/l)levels (1,098 nmol/l),bid, SC Octreotide
hypertension, diabetes, elevated plasma ACTH0.1 mg tid, intravenous
moon facies, thin arms levels (155.4 pg/ml), nopotassium,
and legs suppression after spironolactone,
high-dose DMZ, normalchemotherapy with
pituitary MRI, positiveepirubicin and
tumor staining for ACTH,carboplatin
bilateral adrenal
hyperplasia
2017Elston et alMixed small-cellBone, lung, lymphGeneralised edema,HypokalaemicElevated plasma cortisolKetoconazole 1.2 gDeath at 9 months(27)
neuroendocrinenode metastaseshypertension, weightalkalosis (2.3 mEq/l),levels (>1,655 nmol/l),daily, metyrapone 6 gafter diagnosis
carcinoma and gain, proximal musclehyperglycemiaelevated plasma ACTHdaily, spironolactone,
adenocarcinoma of weakness, labile mood, levels (19.6 pg/ml),potassium
the prostate insomnia, multiple increased urine cortisolsupplements,
petechiae on the chest, excretion (36,315 nmol/chemotherapy with
thin skin, no other day), no suppression aftercarboplatin and
Cushing's signs low and high-dose DMZ,etoposide
normal pituitary MRI,
Weak positive tumor
staining for ACTH
2018Kleinig et alSmall cellLung, liver, adrenal Fatigue/proximalHypokalemicElevated plasma cortisolNot reportedDeath at 9 weeks(29)
neuroendocrinemetastasesmuscle weakness,alkalosis,levels (7,220 nmol/l) No from sepsis
carcinoma of the depression, back pain,hyperglycemiasuppression after
prostate anorexia, weight loss, low-dose DMZ, increased
hypertension urine cortisol excretion
(14,088 nmol/day),
elevated plasma ACTH
levels (23.7 pg/ml)
2019Murphy et alNeuroendocrineBone,Polydipsia, polyuria,HyperglycemiaElevated plasma cortisolKetoconazoleDeath at 1 month(28)
prostate carcinoma retroperitoneal,lower extremity edema(508 mg/dl),levels (2,541 nmol/l), after diagnosis
inguinal and pelvic hypokaliemiaelevated plasma ACTH
lymph node (3.1 mEq/l)levels (1,250 pg/ml),
metastases increased urine cortisol
excretion (3,002 µg/day),
normal pituitary MRI, no
suppression after low and
high-dose DMZ
2019Klomjit et alSmall cellPelvic lymph nodeResistant hypertension,Hypokalemic alkalosisElevated plasma ACTHBilateralDeath at 1 month(30)
neuroendocrinemetastaseslower extremity edema,(2.8 mEq/l)levels (147 pg/ml),adrenalectomyafter diagnosis
carcinoma of the easy bruising, increased urine cortisol
prostate generalized weakness, excretion, no suppression
no Cushing's features after low-dose DMZ,
normal pituitary MRI
2019SoundarrajanSmall cell carcinomaLiver and boneLower extremityHypokalemic alkalosisElevated plasma ACTHKetoconazole 200 mgAdmitted to hospice(31)
et alof the prostatemetastasesweakness, Cushing's(2.9 mEq/l),levels (241 pg/ml),twice daily,facility
signs (diffusehyperglycemiaincreased urine cortisolmetyrapone 300 mg
ecchymoses, central excretion (5,760 µg/day),daily, mifepristone,
obesity with pale normal pituitary MRI,300 mg daily and
abdominal stretch positive tumor staining forspironolactone
marks) ACTH, low serum300 mg, chemotherapy
calcitonin level, Elevatedwith carboplatin
carcinoembryonic antigenand etoposide
level
2019Takeuchi et alSmall cell carcinomaLiver, bone andWeight/appetite loss,HypokalemiaElevated plasma ACTHMetyrapone, potassiumDeath at four days(50)
of the prostate withlymph nodelower extremity edema,(K 1.8 mEq/l),levels (225.5 pg/ml),supplementsafter transfer to
component ofmetastases hyperpigmentation,hyperglycemia,elevated plasma cortisol palliative hospital
prostatic thinning of the skin,leukocytosislevels (1,509 nmol/l),
adenocarcinoma limb muscle weakness(16,300/µl).increased urine cortisol
excretion (544.4 µg/day),
no suppression after
low-dose and high-dose
DMZ, negative tumor
staining for ACTH
2020Schepers et alLarge cellParaortic lymphPeripheral edema,Hypokalemic alkalosisElevated cortisol in saliva Spironolactone,Death within weeks(32)
neuroendocrinenodes and bonehypertension, muscle(2.7 mEq/l)(340 nmol/l), increasedKetoconazole 400 mgafter diagnosis
carcinoma of themetastasesweakness, emotional urine cortisol excretionbid
prostate lability (16,000 nmol/day),
elevated plasma ACTH
levels (11 pg/ml), elevated
plasma cortisol levels
(1.750 nmol/l), no
suppression after low-dose
DMZ, normal pituitary
MRI, bilateral adrenal
hyperplasia, negative
tumor staining for ACTH
2020Atmaca et alSmall cell carcinomaNo metastasisHypokalemia, heartHypokalemiaElevated plasma cortisolKetoconazole 600 mg/Death at 1 month(51)
of the prostate failure(2.37 mEq/l)levels (1,650 nmol/l),dayafter diagnosis
increased urine cortisol
excretion (3,218.5 µg/dl),
elevated plasma ACTH
levels (416 pg/ml), no
suppression after high-
dose DMZ, normal
pituitary MRI, positive
tumor staining for ACTH
2021FernandesSmall cellLiver, bone, lymphPelvic pain, rectalHypokalemic alkalosisElevated plasma cortisolMetyrapone 250 mgDeath within few(34)
et alneuroendocrinenode metastasestenesmus, fatigue,(2.1 mEq/l)levels (160 nmol/l),daily, potassiumdays
carcinoma of the uncontrolled increased urine cortisolsupplements
prostate hypertension, no excretion (12,333 µg/day),
Cushing's signs elevated plasma ACTH
levels (253 pg/ml), no
suppression after high-
dose DMZ, normal
pituitary MRI
2021Riaza MontesSmall cell carcinomaPelvic lymph nodeUrinary retention,Hypokalemic alkalosisElevated plasma cortisolKetoconazole,Death at 21 days(33)
et alof the prostatemetastasesarterial hypertension,(2.4 mEq/l)levels (7,945 nmol/l),intravenous etomidateafter admission
lower extremity edema elevated plasma ACTH (~1 month after
levels (479 pg/ml) diagnosis)
2021Bloomer et alNot reportedMetastaticMuscle weakness,HypokalemiaElevated plasma ACTHMetyrapone,Not reported(52)
(possibly prostate hypertension(~2.5 mEq/l)levels (>1,000 pg/ml),chemotherapy with
adenocarcinoma) increased urine cortisol cisplatin/irinotecan
excretion (10,000 µg/day)
2022Zeng KhooProstateLiver, lymph nodeLower extremityHypokalemic alkalosisElevated plasma cortisolKetoconazole 400 mgDeath at 3 months(35)
adenocarcinomaand bone metastasesedema, proximal(2.5 mEq/l)levels (1,229nmol/l),bid, intravenousafter diagnosis
muscle weakness, no normal plasma ACTHoctreotide 100 mcg tid,
Cushing's signs levels (57.4pg/ml),Spironolactone 25 mg
increased urine cortisolonce daily,
excretion (20,475 nmol/chemotherapy with
day), no suppressionplatinum and etoposide
after low and high-dose
DMZ, normal pituitary
MRI, positive tumor
staining for ACTH,
suppressed plasma
renin/aldosterone
activity, central
hypothyroidism
2022Hassan et alProstateLiver and boneCushingoid featuresNot availableNot availableNot availableNot available(36)
adenocarcinomametastases
with neuroendocrine
differentiation

[i] EEG, electroencephalogram; ACTH, adrenocorticotropic hormone; DMZ, dexamethasone; UTI, urinary tract infection; CRH, corticotropin-releasing hormone; TSH, thyroid stimulating hormone; ICU, intensive care unit.

The first case reports of ectopic ACTH production in patients with prostatic carcinoma date back to the 1960s written by Webster et al (38) and Jarett et al (56). However, either tissue staining for ACTH was not available (38) or the primary tumor displayed no staining with the fluorescent anti-ACTH (56). The first well-documented case report of a patient with prostatic adenocarcinoma producing ACTH was presented by Newmark et al (37). Since then, several other cases of ectopic CS related to prostate cancer have been reported and are summarized in Table II. CS is a result of the ectopic production of ACTH in all of the cases except for two cases where corticotropin-releasing hormone (CRH) produced by the prostatic tumor is the driving cause (13,14). Indeed, CRH production from prostate cancer implicates 14% of the cases and is considered as an extremely rare source of ectopic ACTH (1–3%) (59). Histologically, CS emerged from small cell carcinoma of the prostate in 18 cases (11,13–15,20–22,24,25,27,29–31,33,34,47,50,51), neuroendocrine carcinoma of the prostate in five cases (17,21,26,28,32), prostate adenocarcinoma usually poorly differentiated/undifferentiated in 16 cases (16,18,19,23,35–39,41,42,44–46,49,52), anaplastic carcinoma in two cases (12,19) and carcinoid tumor of the prostate in another two cases (40,43). In the vast majority of the cases disease was metastatic with distant visceral metastases except for 11 cases (11,18,19,22,30,33,40,41,47,49,51) where disease was either locally advanced or metastatic only to lymph nodes.

Interestingly, the typical clinical manifestations of CS with centripetal obesity, moon facies, purple striae, buffalo hump and skin hyperpigmentation are rarely present (12,17,23,31,36,47). In most cases, muscle weakness, mental changes mild hypertension and edema are the presenting symptoms along with hypokalemic alkalosis and elevated glucose levels from laboratory tests (11,13–16,18–22,24–30,32–35,37–41,43–46,49–52). In the present case, the main clinical feature was limb muscle weakness combined with severe hypokalemic alkalosis. This comes in agreement with the existing literature which identifies hypokalemic alkalosis as often the only initial manifestation of the syndrome. This clinical picture reflects the rapid onset and aggressiveness of the syndrome. Most patients die early because of the underlying malignancy before the development of typical Cushing's symptoms. Indeed, typical Cushing's signs and symptoms develop under the condition of long-term hypercortisolism, so ectopic CS tends to present with less dramatic features, but higher blood pressure and more profound electrolyte abnormalities. Laboratory findings typically include hypokalemic alkalosis, elevated plasma glucose along with elevated plasma cortisol and ACTH levels and increased glucocorticoid excretion in urine as in the present case.

Initiation of supportive medication with oral or intravenous potassium supplements may be required. Treatment of CS is based on adrenal steroidogenesis inhibitors, including ketoconazole, metyrapone, mitotane or mifepristone (14,16–23,25–28,31–35,37,43–45,47,49–52) in over half of the cases (28/43; 65%) and more rarely etomidate (17,33) (2/43; 5%), as well as the newest therapeutic agent osilodrostat. Hypercortisolism may be controlled by blocking one or more adrenal enzymes, such as mitotane and metyrapone that inhibit 11β-hydroxylase or ketoconazole that inhibits both 17α-hydroxylase and 17,20-lyase. Interestingly, the somatostatin receptor ligand pasireotide is approved for patients with CS who have persistent or recurrent hypercortisolism and the dopamine agonist cabergoline facilitates initial normalization of urinary free cortisol levels and also improves the signs and symptoms of hypercortisolism. The cornerstone of treatment however remains the surgical removal of the tumor when is feasible. However, most of the ectopic ACTH-producing tumors are not resectable while patients may not be clinically fit enough for surgery. In these cases, supportive medication with antiglucocorticoid drugs is the preferred treatment option along with chemotherapy for the primary tumor. Chemotherapy was administered in one third of the cases (14/43) (13,17,19,21,22,24–27,31,35,47,52) and was mainly based on platinum-etoposide combinations. Whatever the treatment, prognosis is abysmal and median survival is as reported (Table II).

Neuroendocrine cells that lack androgen receptors are normally part of the normal prostate tissue and play a regulatory role in proliferation and secretion of the prostate epithelium (6,60). Neuroendocrine cells constitute only <1% of total epithelial cells found in prostate tissue and serve a paracrine or local regulatory role by secreting serotonin, calcitonin and other peptides (60). The inappropriate production of ACTH is attributed to these neuroendocrine cells that are part of the amine precursor uptake and decarboxylation (APUD) regulatory system (60). Neuroendocrine APUD cells are dispersed in numerous organs and systems in small concentrations such as gastrointestinal tract, lung and prostate and serve as one of the most important mechanisms of homeostasis. These cells have common biochemical and cytological properties as well as the ability to secrete polypeptides that include ACTH, neuron-specific enolase (NSE) and chromogranin A (CGA) (60). In vitro experiments have revealed that during androgen deprivation treatment (ADT), prostate adenocarcinoma cells have the capacity to transdifferentiate to a neuroendocrine (NE) phenotype, a process called neuroendocrine trans-differentiation. De novo prostate neuroendocrine carcinoma (small cell or large cell) is a rare entity (<2%), however treatment-emergent neuroendocrine neoplasms account for 10–17% of patients with metastatic CRPC (3). Indeed, a substantial population of pre-treated end-stage prostate cancer patients show salient features of de novo neuroendocrine small cell carcinomas, mostly with an aggressive behavior and often with visceral metastases. Radiotherapy and androgen deprivation therapy activate the process of neuroendocrine dedifferentiation through the following mechanisms: Either they induce malignant transformation of neuroendocrine cells within adenocarcinoma cells or they facilitate the growth of pre-existing neuroendocrine cells. In this manner, cancer cells lack androgen receptors and transform into castration-resistant prostate cancer cells resulting in disease progression. Although most patients are not routinely biopsied in end-stage disease, it has been estimated that at least 25% of the patients with advanced prostate cancer will develop neuroendocrine prostate cancer under androgen deprivation pressure (4). Neuroendocrine prostate carcinoma differs from the conventional adenocarcinoma of the prostate histologically by expressing neuroendocrine markers such as chromogranin A, SYP, CD56, and NSE instead of prostate adenocarcinoma markers like AR, P501S, PSMA, PSAP and PSA (61). Of note, the introduction of next generation antiandrogen agents like enzalutamide or abiraterone resulted in an increase of neuroendocrine prostate carcinomas from 6.3 to 13.3% after 2012 (3). Paraneoplastic syndromes associated with prostate cancer are rare. However, when they occur, they constitute the initial clinical manifestation of prostate cancer in up to 70% of cases and a sign of progression to castration-resistance in 20% of cases (62). Paraneoplastic syndromes often related to prostate cancer include endocrine syndromes (inappropriate antidiuretic hormone secretion, CS, hypercalcemia) as well as hematological disorders and neurological syndromes (62).

Pure carcinoids of the prostate are rare, while mixed carcinomas of prostate adenocarcinoma and carcinoid are more frequent. Small cell prostate carcinoma accounts for ~0.5–2% of prostate carcinoma cases (63). It is thought that small cell carcinoma of the prostate has a common origin with prostate adenocarcinoma as ~40–50% of men with small cell carcinoma of the prostate have a prior or concurrent history of prostatic adenocarcinoma (63). Based on the aforementioned information, ectopic ACTH production mainly emerges from the neuroendocrine transformation of the preexisting prostate adenocarcinoma. This raises the question of performing re-biopsy to histologically confirm the diagnosis. However, the imminent need to initiate treatment early may postpone the performance of a confirmatory re-biopsy. As known, the state of extreme hypercortisolism creates a fertile environment for infections. Therefore, the prompt initiation of targeted treatment with metyrapone or ketoconazole and potassium supplements to target hypercortisolism in combination with chemotherapy for the underlying malignancy may be deemed more urgent. This case was thoroughly discussed in multidisciplinary medical meetings focusing on the best therapeutic approach. In accordance with the present case, re-biopsy was not performed in most of the cases identified in the existing literature mainly due to the fast deterioration of the patient and the subsequent lack of time. Indeed, most patients die from sepsis secondary to uncontrolled CS. This is the reason that suppression of the hypercortisolism is urgent and should not be delayed to identify the source of CS.

In conclusion, the ectopic CS can be a clinical manifestation of prostate cancer. It requires timely diagnosis and aggressive treatment to avoid life-threatening complications of hypercortisolemia. The present case highlighted the necessity of multiple laboratory and imaging examinations required for the definitive diagnosis of CS, with the ultimate goal of initiating targeted therapy promptly.

Acknowledgements

Not applicable.

Funding

Funding: No funding was received.

Availability of data and materials

The data generated in the present study may be found in the PUBMED database at the following URL: https://pubmed.ncbi.nlm.nih.gov.

Authors' contributions

FZ, MAD and SAP conceptualized the study. AA, KG and KS conducted the investigation. FZ, MAD and SAP supervised the study. AA, KG, SA and KS were involved in drafting the original manuscript and revised it critically for important intellectual content. SA also made a substantial contribution to the analysis and interpretation of the data, gave final approval for the manuscript to be published and agreed to be accountable for all aspects of the work. All authors read and approved the final manuscript. KG and AA confirm the authenticity of all the raw data.

Ethics approval and consent to participate

Not applicable.

Patient consent for publication

The patient provided written informed consent for this case study to be published.

Competing interests

MAD has received honoraria from participation in advisory boards from Amgen, Bristol-Myers-Squibb, Celgene, Janssen, Takeda. FZ has received honoraria for lectures and has served in an advisory role for Astra-Zeneca, Daiichi, Eli-Lilly, Merck, Novartis, Pfizer, and Roche. The remaining authors declare no competing interests.

References

1 

Bray F, Ferlay J, Soerjomataram I, Siegel RL, Torre LA and Jemal A: Global cancer statistics 2018: GLOBOCAN estimates of incidence and mortality worldwide for 36 cancers in 185 countries. CA Cancer J Clin. 68:394–424. 2018. View Article : Google Scholar : PubMed/NCBI

2 

Bergengren O, Pekala KR, Matsoukas K, Fainberg J, Mungovan SF, Bratt O, Bray F, Brawley O, Luckenbaugh AN, Mucci L, et al: 2022 update on prostate cancer epidemiology and risk Factors-A systematic review. Eur Urol. 84:191–206. 2023. View Article : Google Scholar : PubMed/NCBI

3 

Merkens L, Sailer V, Lessel D, Janzen E, Greimeier S, Kirfel J, Perner S, Pantel K, Werner S and von Amsberg G: Aggressive variants of prostate cancer: Underlying mechanisms of neuroendocrine transdifferentiation. J Exp Clin Cancer Res. 41:462022. View Article : Google Scholar : PubMed/NCBI

4 

Gupta K and Gupta S: Neuroendocrine differentiation in prostate cancer: Key epigenetic players. Transl Cancer Res. 6 (Suppl 1):S104–S108. 2017. View Article : Google Scholar : PubMed/NCBI

5 

Hu CD, Choo R and Huang J: Neuroendocrine differentiation in prostate cancer: A mechanism of radioresistance and treatment failure. Front Oncol. 5:902015. View Article : Google Scholar : PubMed/NCBI

6 

Ejaz S, Vassilopoulou-Sellin R, Busaidy NL, Hu MI, Waguespack SG, Jimenez C, Ying AK, Cabanillas M, Abbara M and Habra MA: Cushing's syndrome secondary to ectopic ACTH secretion: The University of Texas MD Anderson Cancer Center Experience. Cancer. 117:4381–4389. 2011. View Article : Google Scholar : PubMed/NCBI

7 

Matzkin H and Braf Z: Paraneoplastic syndromes associated with prostatic carcinoma. J Urol. 138:1129–1133. 1987. View Article : Google Scholar : PubMed/NCBI

8 

Dhom G: Unusual prostatic carcinomas. Pathol Res Pract. 186:28–36. 1990. View Article : Google Scholar : PubMed/NCBI

9 

Yonaha M, Tanaka M, Kawano T, Sugiyama M, Nishikawa T and Sasano K: An autopsy case of ACTH producing prostate neoplasms with Cushing's syndrome. Nihon Naika Gakkai Zasshi. 81:2005–2006. 1992.(In Japanese). View Article : Google Scholar : PubMed/NCBI

10 

Ciudin A, Huguet Perez J, Ribal Caparros MJ and Alcaraz Asensio A: Cushing syndrome and prostate cancer recurrence with undetectable prostate-specific antigen. Med Clin (Barc). 140:430–431. 2013.(In Spanish). View Article : Google Scholar : PubMed/NCBI

11 

Wenk RE, Bhagavan BS, Levy R, Miller D and Weisburger W: Ectopic ACTH, prostatic oat cell carcinoma, and marked hypernatremia. Cancer. 40:773–778. 1977. View Article : Google Scholar : PubMed/NCBI

12 

Vuitch MF and Mendelsohn G: Relationship of ectopic ACTH production to tumor differentiation: A morphologic and immunohistochemical study of prostatic carcinoma with Cushing's syndrome. Cancer. 47:296–299. 1981. View Article : Google Scholar : PubMed/NCBI

13 

Carey RM, Varma SK, Drake CR, Thorner MO, Kovacs K, Rivier J and Vale W: Ectopic secretion of corticotropin-releasing factor as a cause of Cushing's syndrome. A clinical, morphologic, and biochemical study. N Engl J Med. 311:13–20. 1984. View Article : Google Scholar : PubMed/NCBI

14 

Fjellestad-Paulsen A, Abrahamsson PA, Bjartell A, Grino M, Grimelius L, Hedeland H and Falkmer S: Carcinoma of the prostate with Cushing's syndrome. A case report with histochemical and chemical demonstration of immunoreactive corticotropin-releasing hormone in plasma and tumoral tissue. Acta Endocrinol (Copenh). 119:506–516. 1988.PubMed/NCBI

15 

Haukaas SA, Halvorsen OJ, Nygaard SJT and Paus E: Cushing's syndrome in prostate cancer. An aggressive course of prostatic malignancy. Urol Int. 63:126–129. 1999. View Article : Google Scholar : PubMed/NCBI

16 

Rickman T, Garmany R, Doherty T, Benson D and Okusa MD: Hypokalemia, metabolic alkalosis, and hypertension: Cushing's syndrome in a patient with metastatic prostate adenocarcinoma. Am J Kidney Dis. 37:838–846. 2001. View Article : Google Scholar : PubMed/NCBI

17 

Johnson TN and Canada TW: Etomidate use for Cushing's syndrome caused by an ectopic adrenocorticotropic hormone-producing tumor. Ann Pharmacother. 41:350–353. 2007. View Article : Google Scholar : PubMed/NCBI

18 

Kataoka K, Akasaka Y, Nakajima K, Nagao K, Hara H, Miura K and Ishii N: Cushing syndrome associated with prostatic tumor adrenocorticotropic hormone (ACTH) expression after maximal androgen blockade therapy. Int J Urol. 14:436–439. 2007. View Article : Google Scholar : PubMed/NCBI

19 

Nimalasena S, Freeman A and Harland S: Paraneoplastic Cushing's syndrome in prostate cancer: A difficult management problem. BJU Int. 101:424–427. 2008. View Article : Google Scholar : PubMed/NCBI

20 

Alwani RA, Neggers SJ, van der Klift M, Baggen MG, van Leenders GJ, van Aken MO, van der Lely AJ, de Herder WW and Feelders RA: Cushing's syndrome due to ectopic ACTH production by (neuroendocrine) prostate carcinoma. Pituitary. 12:280–283. 2009. View Article : Google Scholar : PubMed/NCBI

21 

Rajec J, Mego M, Sycova-Mila Z, Obertova J, Brozmanova K and Mardiak J: Paraneoplastic Cushing's syndrome as the first sign of progression of prostate cancer. Bratisl Lek Listy. 109:362–363. 2008.PubMed/NCBI

22 

Alshaikh OM, Al-Mahfouz AA, Al-Hindi H, Mahfouz AB and Alzahrani AS: Unusual cause of ectopic secretion of adrenocorticotropic hormone: Cushing syndrome attributable to small cell prostate cancer. Endocr Pract. 16:249–254. 2010. View Article : Google Scholar : PubMed/NCBI

23 

Ramon I, Kleynen P, Valsamis J, Body JJ and Karmali R: Hypophosphatemia related to paraneoplastic Cushing syndrome in prostate cancer: Cure after bilateral adrenalectomy. Calcif Tissue Int. 89:442–445. 2011. View Article : Google Scholar : PubMed/NCBI

24 

Rueda-Camino JA, Losada-Vila B, De Ancos-Aracil CL, Rodríguez-Lajusticia L, Tardío JC and Zapatero-Gaviria A: Small cell carcinoma of the prostate presenting with Cushing Syndrome. A narrative review of an uncommon condition. Ann Med. 48:293–299. 2016. View Article : Google Scholar : PubMed/NCBI

25 

Shrosbree J, Pokorny A, Stone E, Epstein R, Mccormack A and Greenfield JR: Ectopic Cushing syndrome due to neuroendocrine prostatic cancer. Intern Med J. 46:630–632. 2016. View Article : Google Scholar : PubMed/NCBI

26 

Ramalingam S, Eisenberg A, Foo WC, Freedman J, Armstrong AJ, Moss LG and Harrison MR: Treatment-related neuroendocrine prostate cancer resulting in Cushing's syndrome. Int J Urol. 23:1038–1041. 2016. View Article : Google Scholar : PubMed/NCBI

27 

Elston MS, Crawford VB, Swarbrick M, Dray MS, Head M and Conaglen JV: Severe Cushing's syndrome due to small cell prostate carcinoma: A case and review of literature. Endocr Connect. 6:R80–R86. 2017. View Article : Google Scholar : PubMed/NCBI

28 

Murphy N, Shen J, Shih A, Liew A, Khalili H, Yaskiv O, Katona K, Lee A and Zhu XH: Paraneoplastic syndrome secondary to treatment emergent neuroendocrine tumor in metastatic Castration-resistant prostate cancer: A unique case. Clin Genitourin Cancer. 17:e56–e60. 2019. View Article : Google Scholar : PubMed/NCBI

29 

Kleinig P and Russell P: Lesson of the month 2: An unusual cause of depression in an older man: Cushing's syndrome resulting from metastatic small cell cancer of the prostate. Clin Med (Lond). 18:432–434. 2018. View Article : Google Scholar : PubMed/NCBI

30 

Klomjit N, Rowan DJ, Kattah AG, Bancos I and Taler SJ: New-Onset resistant hypertension in a newly diagnosed prostate cancer patient. Am J Hypertens. 32:1214–1217. 2019. View Article : Google Scholar : PubMed/NCBI

31 

Soundarrajan M, Zelada H, Fischer JV and Kopp P: Ectopic adrenocorticotropic hormone syndrome due to metastatic prostate cancer with neuroendocrine differentiation. AACE Clin Case Reports. 5:e192–e196. 2019. View Article : Google Scholar : PubMed/NCBI

32 

Schepers LM, Kisters JMH, Wetzels C and Creemers GJ: Hypokalaemia and peripheral oedema in a Cushingoid patient with metastatic prostate cancer. Neth J Med. 78:401–403. 2020.PubMed/NCBI

33 

Riaza Montes M, Arredondo Calvo P and Gallego Sánch JA: Small cell metastatic prostate cancer with ectopic adrenocorticotropic hormone hypersecretion: A case report. Ann Palliat Med. 10:12911–12914. 2021. View Article : Google Scholar : PubMed/NCBI

34 

Fernandes R, Dos Santos J, Reis F and Monteiro S: Cushing syndrome as a manifestation of neuroendocrine prostate cancer: A rare presentation within a rare tumor. Cureus. 13:e181602021.PubMed/NCBI

35 

Zeng W and Khoo J: Challenging case of ectopic ACTH secretion from prostate adenocarcinoma. Case Rep Endocrinol. 2022:37399572022.PubMed/NCBI

36 

Hassan B, Yazbeck Y, Akiki V, Salti I and Tfayli A: ACTH-secreting metastatic prostate cancer with neuroendocrine differentiation. BMJ Case Rep. 15:e2479972022. View Article : Google Scholar : PubMed/NCBI

37 

Newmark SR, Dluhy RG and Bennett AH: Ectopic adrenocorticotropin syndrome with prostatic carcinoma. Urology. 2:666–668. 1973. View Article : Google Scholar : PubMed/NCBI

38 

Webster GD Jr, Touchstone JC and Suzuki M: Adrenocortical hyperplasia occurring with metastatic carcinoma of the prostate: Report of a case exhibiting increased urinary aldosterone and glucocorticoid excretion. J Clin Endocrinol Metab. 19:967–979. 1959. View Article : Google Scholar : PubMed/NCBI

39 

Lovern WJ, Fariss BL, Wettlaufer JN and Hane S: Ectopic ACTH production in disseminated prostatic adenocarcinoma. Urology. 5:817–820. 1975. View Article : Google Scholar : PubMed/NCBI

40 

Slater D: Carcinoid tumour of the prostate associated with inappropriate ACTH secretion. Br J Urol. 57:591–592. 1985. View Article : Google Scholar : PubMed/NCBI

41 

Molland EA: Prostatic adenocarcinoma with ectopic ACTH production. Br J Urol. 50:358. 1978. View Article : Google Scholar : PubMed/NCBI

42 

Wise HM, Pohl AL, Gazzaniga A and Harrison JH: Hyperadrenocorticism associated with ‘reactivated’ prostatic carcinoma. Surgery. 57:655–664. 1965.PubMed/NCBI

43 

Ghali VS and Garcia RL: Prostatic adenocarcinoma with carcinoidal features producing adrenocorticotropic syndrome. Immunohistochemical study and review of the literature. Cancer. 54:1043–1048. 1984. View Article : Google Scholar : PubMed/NCBI

44 

Hussein WI, Kowalyk S and Hoogwerf BJ: Ectopic adrenocorticotropic hormone syndrome caused by metastatic carcinoma of the prostate: Therapeutic response to ketoconazole. Endocr Pract. 8:381–384. 2002. View Article : Google Scholar : PubMed/NCBI

45 

Statham BN, Pardoe TH and Mir MA: Response of ectopic prostatic ACTH production to metyrapone. Postgrad Med J. 57:467–468. 1981. View Article : Google Scholar : PubMed/NCBI

46 

Hall TC: Symptomatic hypokalemic alkalosis in hyperadrenocorticism secondary to carcinoma of the prostate. Cancer. 21:190–192. 1968. View Article : Google Scholar : PubMed/NCBI

47 

Balestrieri A, Magnani E and Nuzzo F: Unusual Cushing's syndrome and hypercalcitoninaemia due to a small cell prostate carcinoma. Case Rep Endocrinol. 2016:63080582016.PubMed/NCBI

48 

Asa SL, Kovacs K, Vale W, Petrusz P and Vecsei P: Immunohistologic localization of corticotrophin-releasing hormone in human tumors. Am J Clin Pathol. 87:327–333. 1987. View Article : Google Scholar : PubMed/NCBI

49 

Lemoinne S, Baudel JL, Galbois A, Offenstadt G and Maury E: Suddzith Cushing's Syndrome. Open Endocrinol J. 4:1–2. 2014. View Article : Google Scholar

50 

Takeuchi M, Sato J, Manaka K, Tanaka M, Matsui H, Sato Y, Kume H, Fukayama M, Iiri T, Nangaku M and Makita N: Molecular analysis and literature-based hypothesis of an immunonegative prostate small cell carcinoma causing ectopic ACTH syndrome. Endocr J. 66:547–554. 2019. View Article : Google Scholar : PubMed/NCBI

51 

Atmaca M, Temiz C, Sebile DH, Dökmetaș M and Kiliçli F: A rare cause of ectopic cushing syndrome: Prostate cancer. Endocr Abstr. 70:EP3482020.

52 

Bloomer Z, Teague J and Vietor N: Ectopic Cushing's From metastatic prostate cancer. J Endocr Soc. 5:A7572021. View Article : Google Scholar

53 

Nadal R, Schweizer M, Kryvenko ON, Epstein JI and Eisenberger MA: Small cell carcinoma of the prostate. Nat Rev Urol. 1:213–219. 2014. View Article : Google Scholar : PubMed/NCBI

54 

Rojas-Corona RR, Chen L and Mahadevia PS: Prostatic carcinoma with endocrine features. A report of a neoplasm containing multiple immunoreactive hormonal substances. Am J Clin Pathol. 88:759–762. 1987. View Article : Google Scholar : PubMed/NCBI

55 

Abrahamsson PA, Wadström LB, Alumets J, Falkmer S and Grimelius L: Peptide-hormone- and serotonin-immunoreactive tumour cells in carcinoma of the prostate. Pathol Res Pract. 182:298–307. 1987. View Article : Google Scholar : PubMed/NCBI

56 

Jarett L, Lacy PE and Kipnis DM: Characterization by immunofluorescence of an Acth-like substance in nonpituitary tumors from patients with hyperadrenocorticism. J Clin Endocrinol Metab. 24:543–549. 1964. View Article : Google Scholar : PubMed/NCBI

57 

Turbat-Herrera EA, Herrera GA, Gore I, Lott RL, Grizzle WE and Bonnin JM: Neuroendocrine differentiation in prostatic carcinomas. A retrospective autopsy study. Arch Pathol Lab Med. 112:1100–1105. 1988.PubMed/NCBI

58 

Capella C, Usellini L, Buffa R, Frigerio B and Solcia E: The endocrine component of prostatic carcinomas, mixed adenocarcinoma-carcinoid tumours and non-tumour prostate. Histochemical and ultrastructural identification of the endocrine cells. Histopathology. 5:175–192. 1981. View Article : Google Scholar : PubMed/NCBI

59 

Shahani S, Nudelman RJ, Nalini R, Kim HS and Samson SL: Ectopic corticotropin-releasing hormone (CRH) syndrome from metastatic small cell carcinoma: A case report and review of the literature. Diagn Pathol. 5:562010. View Article : Google Scholar : PubMed/NCBI

60 

di Sant'Agnese PA: Neuroendocrine differentiation in carcinoma of the prostate diagnostic, prognostic, and therapeutic implications. Cancer. 70 (1 Suppl):S254–S268. 1992. View Article : Google Scholar

61 

Parimi V, Goyal R, Poropatich K and Yang XJ: Neuroendocrine differentiation of prostate cancer: A review. Am J Clin Exp Urol. 2:273–285. 2014.PubMed/NCBI

62 

Hong MK, Kong J, Namdarian B, Longano A, Grummet J, Hovens CM, Costello AJ and Corcoran NM: Paraneoplastic syndromes in prostate cancer. Nat Rev Urol. 7:681–692. 2010. View Article : Google Scholar : PubMed/NCBI

63 

Nadal R, Schweizer M, Kryvenko ON, Epstein JI and Eisenberger MA: Small cell carcinoma of the prostate. Nat Rev Urol. 11:213–219. 2014. View Article : Google Scholar : PubMed/NCBI

Related Articles

  • Abstract
  • View
  • Download
  • Twitter
Copy and paste a formatted citation
Spandidos Publications style
Andrikopoulou A, Goga K, Stefanaki K, Paschou SA, Athanasopoulos S, Zagouri F and Dimopoulos M: Ectopic Cushing syndrome in metastatic castration‑resistant prostate cancer: A case report and review of literature. Oncol Lett 28: 417, 2024.
APA
Andrikopoulou, A., Goga, K., Stefanaki, K., Paschou, S.A., Athanasopoulos, S., Zagouri, F., & Dimopoulos, M. (2024). Ectopic Cushing syndrome in metastatic castration‑resistant prostate cancer: A case report and review of literature. Oncology Letters, 28, 417. https://doi.org/10.3892/ol.2024.14550
MLA
Andrikopoulou, A., Goga, K., Stefanaki, K., Paschou, S. A., Athanasopoulos, S., Zagouri, F., Dimopoulos, M."Ectopic Cushing syndrome in metastatic castration‑resistant prostate cancer: A case report and review of literature". Oncology Letters 28.3 (2024): 417.
Chicago
Andrikopoulou, A., Goga, K., Stefanaki, K., Paschou, S. A., Athanasopoulos, S., Zagouri, F., Dimopoulos, M."Ectopic Cushing syndrome in metastatic castration‑resistant prostate cancer: A case report and review of literature". Oncology Letters 28, no. 3 (2024): 417. https://doi.org/10.3892/ol.2024.14550
Copy and paste a formatted citation
x
Spandidos Publications style
Andrikopoulou A, Goga K, Stefanaki K, Paschou SA, Athanasopoulos S, Zagouri F and Dimopoulos M: Ectopic Cushing syndrome in metastatic castration‑resistant prostate cancer: A case report and review of literature. Oncol Lett 28: 417, 2024.
APA
Andrikopoulou, A., Goga, K., Stefanaki, K., Paschou, S.A., Athanasopoulos, S., Zagouri, F., & Dimopoulos, M. (2024). Ectopic Cushing syndrome in metastatic castration‑resistant prostate cancer: A case report and review of literature. Oncology Letters, 28, 417. https://doi.org/10.3892/ol.2024.14550
MLA
Andrikopoulou, A., Goga, K., Stefanaki, K., Paschou, S. A., Athanasopoulos, S., Zagouri, F., Dimopoulos, M."Ectopic Cushing syndrome in metastatic castration‑resistant prostate cancer: A case report and review of literature". Oncology Letters 28.3 (2024): 417.
Chicago
Andrikopoulou, A., Goga, K., Stefanaki, K., Paschou, S. A., Athanasopoulos, S., Zagouri, F., Dimopoulos, M."Ectopic Cushing syndrome in metastatic castration‑resistant prostate cancer: A case report and review of literature". Oncology Letters 28, no. 3 (2024): 417. https://doi.org/10.3892/ol.2024.14550
Follow us
  • Twitter
  • LinkedIn
  • Facebook
About
  • Spandidos Publications
  • Careers
  • Cookie Policy
  • Privacy Policy
How can we help?
  • Help
  • Live Chat
  • Contact
  • Email to our Support Team