Spandidos Publications Logo
  • About
    • About Spandidos
    • Aims and Scopes
    • Abstracting and Indexing
    • Editorial Policies
    • Reprints and Permissions
    • Job Opportunities
    • Terms and Conditions
    • Contact
  • Journals
    • All Journals
    • Oncology Letters
      • Oncology Letters
      • Information for Authors
      • Editorial Policies
      • Editorial Board
      • Aims and Scope
      • Abstracting and Indexing
      • Bibliographic Information
      • Archive
    • International Journal of Oncology
      • International Journal of Oncology
      • Information for Authors
      • Editorial Policies
      • Editorial Board
      • Aims and Scope
      • Abstracting and Indexing
      • Bibliographic Information
      • Archive
    • Molecular and Clinical Oncology
      • Molecular and Clinical Oncology
      • Information for Authors
      • Editorial Policies
      • Editorial Board
      • Aims and Scope
      • Abstracting and Indexing
      • Bibliographic Information
      • Archive
    • Experimental and Therapeutic Medicine
      • Experimental and Therapeutic Medicine
      • Information for Authors
      • Editorial Policies
      • Editorial Board
      • Aims and Scope
      • Abstracting and Indexing
      • Bibliographic Information
      • Archive
    • International Journal of Molecular Medicine
      • International Journal of Molecular Medicine
      • Information for Authors
      • Editorial Policies
      • Editorial Board
      • Aims and Scope
      • Abstracting and Indexing
      • Bibliographic Information
      • Archive
    • Biomedical Reports
      • Biomedical Reports
      • Information for Authors
      • Editorial Policies
      • Editorial Board
      • Aims and Scope
      • Abstracting and Indexing
      • Bibliographic Information
      • Archive
    • Oncology Reports
      • Oncology Reports
      • Information for Authors
      • Editorial Policies
      • Editorial Board
      • Aims and Scope
      • Abstracting and Indexing
      • Bibliographic Information
      • Archive
    • Molecular Medicine Reports
      • Molecular Medicine Reports
      • Information for Authors
      • Editorial Policies
      • Editorial Board
      • Aims and Scope
      • Abstracting and Indexing
      • Bibliographic Information
      • Archive
    • World Academy of Sciences Journal
      • World Academy of Sciences Journal
      • Information for Authors
      • Editorial Policies
      • Editorial Board
      • Aims and Scope
      • Abstracting and Indexing
      • Bibliographic Information
      • Archive
    • International Journal of Functional Nutrition
      • International Journal of Functional Nutrition
      • Information for Authors
      • Editorial Policies
      • Editorial Board
      • Aims and Scope
      • Abstracting and Indexing
      • Bibliographic Information
      • Archive
    • International Journal of Epigenetics
      • International Journal of Epigenetics
      • Information for Authors
      • Editorial Policies
      • Editorial Board
      • Aims and Scope
      • Abstracting and Indexing
      • Bibliographic Information
      • Archive
    • Medicine International
      • Medicine International
      • Information for Authors
      • Editorial Policies
      • Editorial Board
      • Aims and Scope
      • Abstracting and Indexing
      • Bibliographic Information
      • Archive
  • Articles
  • Information
    • Information for Authors
    • Information for Reviewers
    • Information for Librarians
    • Information for Advertisers
    • Conferences
  • Language Editing
Spandidos Publications Logo
  • About
    • About Spandidos
    • Aims and Scopes
    • Abstracting and Indexing
    • Editorial Policies
    • Reprints and Permissions
    • Job Opportunities
    • Terms and Conditions
    • Contact
  • Journals
    • All Journals
    • Biomedical Reports
      • Information for Authors
      • Editorial Policies
      • Editorial Board
      • Aims and Scope
      • Abstracting and Indexing
      • Bibliographic Information
      • Archive
    • Experimental and Therapeutic Medicine
      • Information for Authors
      • Editorial Policies
      • Editorial Board
      • Aims and Scope
      • Abstracting and Indexing
      • Bibliographic Information
      • Archive
    • International Journal of Epigenetics
      • Information for Authors
      • Editorial Policies
      • Editorial Board
      • Aims and Scope
      • Abstracting and Indexing
      • Bibliographic Information
      • Archive
    • International Journal of Functional Nutrition
      • Information for Authors
      • Editorial Policies
      • Editorial Board
      • Aims and Scope
      • Abstracting and Indexing
      • Bibliographic Information
      • Archive
    • International Journal of Molecular Medicine
      • Information for Authors
      • Editorial Policies
      • Editorial Board
      • Aims and Scope
      • Abstracting and Indexing
      • Bibliographic Information
      • Archive
    • International Journal of Oncology
      • Information for Authors
      • Editorial Policies
      • Editorial Board
      • Aims and Scope
      • Abstracting and Indexing
      • Bibliographic Information
      • Archive
    • Medicine International
      • Information for Authors
      • Editorial Policies
      • Editorial Board
      • Aims and Scope
      • Abstracting and Indexing
      • Bibliographic Information
      • Archive
    • Molecular and Clinical Oncology
      • Information for Authors
      • Editorial Policies
      • Editorial Board
      • Aims and Scope
      • Abstracting and Indexing
      • Bibliographic Information
      • Archive
    • Molecular Medicine Reports
      • Information for Authors
      • Editorial Policies
      • Editorial Board
      • Aims and Scope
      • Abstracting and Indexing
      • Bibliographic Information
      • Archive
    • Oncology Letters
      • Information for Authors
      • Editorial Policies
      • Editorial Board
      • Aims and Scope
      • Abstracting and Indexing
      • Bibliographic Information
      • Archive
    • Oncology Reports
      • Information for Authors
      • Editorial Policies
      • Editorial Board
      • Aims and Scope
      • Abstracting and Indexing
      • Bibliographic Information
      • Archive
    • World Academy of Sciences Journal
      • Information for Authors
      • Editorial Policies
      • Editorial Board
      • Aims and Scope
      • Abstracting and Indexing
      • Bibliographic Information
      • Archive
  • Articles
  • Information
    • For Authors
    • For Reviewers
    • For Librarians
    • For Advertisers
    • Conferences
  • Language Editing
Login Register Submit
  • This site uses cookies
  • You can change your cookie settings at any time by following the instructions in our Cookie Policy. To find out more, you may read our Privacy Policy.

    I agree
Search articles by DOI, keyword, author or affiliation
Search
Advanced Search
presentation
Oncology Letters
Join Editorial Board Propose a Special Issue
Print ISSN: 1792-1074 Online ISSN: 1792-1082
Journal Cover
December-2024 Volume 28 Issue 6

Full Size Image

Sign up for eToc alerts
Recommend to Library

Journals

International Journal of Molecular Medicine

International Journal of Molecular Medicine

International Journal of Molecular Medicine is an international journal devoted to molecular mechanisms of human disease.

International Journal of Oncology

International Journal of Oncology

International Journal of Oncology is an international journal devoted to oncology research and cancer treatment.

Molecular Medicine Reports

Molecular Medicine Reports

Covers molecular medicine topics such as pharmacology, pathology, genetics, neuroscience, infectious diseases, molecular cardiology, and molecular surgery.

Oncology Reports

Oncology Reports

Oncology Reports is an international journal devoted to fundamental and applied research in Oncology.

Experimental and Therapeutic Medicine

Experimental and Therapeutic Medicine

Experimental and Therapeutic Medicine is an international journal devoted to laboratory and clinical medicine.

Oncology Letters

Oncology Letters

Oncology Letters is an international journal devoted to Experimental and Clinical Oncology.

Biomedical Reports

Biomedical Reports

Explores a wide range of biological and medical fields, including pharmacology, genetics, microbiology, neuroscience, and molecular cardiology.

Molecular and Clinical Oncology

Molecular and Clinical Oncology

International journal addressing all aspects of oncology research, from tumorigenesis and oncogenes to chemotherapy and metastasis.

World Academy of Sciences Journal

World Academy of Sciences Journal

Multidisciplinary open-access journal spanning biochemistry, genetics, neuroscience, environmental health, and synthetic biology.

International Journal of Functional Nutrition

International Journal of Functional Nutrition

Open-access journal combining biochemistry, pharmacology, immunology, and genetics to advance health through functional nutrition.

International Journal of Epigenetics

International Journal of Epigenetics

Publishes open-access research on using epigenetics to advance understanding and treatment of human disease.

Medicine International

Medicine International

An International Open Access Journal Devoted to General Medicine.

Journal Cover
December-2024 Volume 28 Issue 6

Full Size Image

Sign up for eToc alerts
Recommend to Library

  • Article
  • Citations
    • Cite This Article
    • Download Citation
    • Create Citation Alert
    • Remove Citation Alert
    • Cited By
  • Similar Articles
    • Related Articles (in Spandidos Publications)
    • Similar Articles (Google Scholar)
    • Similar Articles (PubMed)
  • Download PDF
  • Download XML
  • View XML
Case Report Open Access

3D‑printed template‑guided iodine‑125 seed implantation to treat complete occlusion of the superior vena cava in pulmonary sarcomatoid carcinoma: A case report

  • Authors:
    • Xuemin Di
    • Huimin Yu
    • Zhen Gao
    • Jinxin Zhao
    • Xiaoli Liu
    • Yansong Liang
    • Hongtao Zhang
  • View Affiliations / Copyright

    Affiliations: Department of Oncology, Hebei General Hospital, Shijiazhuang, Hebei 050051, P.R. China, Department of Oncology, Hebei General Hospital, Shijiazhuang, Hebei 050051, P.R. China
    Copyright: © Di et al. This is an open access article distributed under the terms of Creative Commons Attribution License.
  • Article Number: 555
    |
    Published online on: September 19, 2024
       https://doi.org/10.3892/ol.2024.14687
  • Expand metrics +
Metrics: Total Views: 0 (Spandidos Publications: | PMC Statistics: )
Metrics: Total PDF Downloads: 0 (Spandidos Publications: | PMC Statistics: )
Cited By (CrossRef): 0 citations Loading Articles...

This article is mentioned in:



Abstract

 Pulmonary sarcomatoid carcinoma (PSC), which is a type of non‑small‑cell lung carcinoma (NSCLC), is characterized by a high degree of malignancy, poor differentiation and a high incidence of pulmonary malignancy. In addition, PSC has a stronger invasive ability than other types of NSCLC and is not sensitive to radiation or chemotherapy. Furthermore, 90% of PSC cases exhibit vascular invasion; therefore, there is a risk of multiple metastases to the lung, bone, adrenal glands and brain, and consequently a poor prognosis, in the early stage. Targeted therapy and immunotherapy currently offer a new treatment direction; however, there have not been any significant advances in localized treatment in recent years. Thus, there is an urgent need for new localized treatment strategies. The present study describes the case of a 65‑year‑old man with recurrence of PSC after multi‑line treatment with chemotherapy, radiotherapy, gamma knife and argon‑helium knife treatment. In addition, the patient developed superior vena cava syndrome, and exhibited severe compression of the superior vena cava, chest discomfort, dyspnea and severe facial edema after chemotherapy, local gamma knife therapy (35 Gy, delivered through 14 2.5‑Gy doses), argon‑helium knife therapy and radiation therapy (28 Gy, delivered through seven 4‑Gy doses). Partial remission was achieved after local implantation of iodine‑125 (I125) seed under the guidance of a 3D‑printed template, with progression‑free survival observed up to 8 months afterwards. In conclusion, in patients with PSC who develop superior vena cava blockage after numerous treatment regimens, salvage I125 brachytherapy with a 3D‑printed template may be suitable, and may improve local control and symptoms.

Introduction

Pulmonary sarcomatoid carcinoma (PSC) accounts for 0.1–0.4% of non-small-cell carcinoma (NSCLC) cases in the world (1). In 2015, the World Health Organization classified PSC into five subtypes: Pleomorphic carcinoma, spindle cell carcinoma, giant cell carcinoma, carcinosarcoma and pulmonary blastoma (2). Notably, >70% of patients with PSC exhibit local progression to advanced stage PSC or have distant metastasis at the time of diagnosis. Compared with other types of NSCLC, PSC has stronger invasive ability, and is not sensitive to radiotherapy or chemotherapy. Currently, patients with PSC have a poor prognosis, with an average survival period of 5–18 months and a 5-year survival rate of ~25% (2–5). Targeted therapy and immunotherapy offer new directions for treatment, and the results from several phase II or III clinical trials have shown that patients with high expression of PD-L1 can benefit from immunotherapy (6–11). The median expression level of PD-L1 in patients has been reported to be 70%; the median survival time, 12.7 months; the median progression-free survival time, 4.89 months; and the objective response rate, 40.5%. However, in cases where immunotherapy was beneficial, the objective response rate was revealed to be only 40.5% (7–11). Furthermore, the longer the duration of immunotherapy, the worse the objective response rate. Therefore, given the limited benefits of the current methods, there is an urgent need for new treatment strategies.

Iodine-125 (I125) is a low-energy radionuclide with fast attenuation of out-of-target dose to avoid the occurrence of radiation damage. With regard to its mechanism, the exposure of tumor cells to γ-rays has been revealed to have a sustained killing effect. In addition, γ-rays can reduce the oxygen ratio of tumor cells and overcome the radiation resistance of hypoxic cells, thereby increasing the overall curative effect (12). Research has confirmed I125 seed implantation as an effective and safe therapy for most solid tumors, such as prostate cancer, lung cancer, skin squamous cell carcinoma and malignant solitary fibrous tumor, and it has also been identified as an effective salvage treatment for cervical cancer (13–17).

The present study describes a case of PSC in which surgery was difficult due to complete localized occlusion. Therefore, 3D template-guided brachytherapy was deemed as the most viable option. A 3D-printed template was used under CT guidance to distribute and implant the particles precisely in accordance with the preoperative plan during brachytherapy. The aim was to ensure that the particles were implanted around the compressed superior vena cava as much as possible during surgery, to prevent dose distribution deviation and improve the therapeutic effect, thereby ensuring the curative effect and avoiding damaging to the superior vena cava by needle puncture. This strategy was chosen because the 3D-printed template can be useful for accurate insertion of the needles into the target region according to the preoperative plan, and blood vessels and bones can be avoided. Moreover, this method may be more compatible with dosimetric standards because the dispersion pattern of the radioactive seeds is more focused on the tumor. Therefore, this method may improve surgical efficiency, simplify the surgical process and considerably shorten the duration of surgery. In addition, it can be performed by any physician with experience in and knowledge of puncture and CT imaging. As the needle passages are planned beforehand, organs such as blood vessels and intestines can be avoided. A large number of studies (12,13,18,19) have confirmed the following advantages of this technology: i) Particle implantation guided by a 3D template can accurately implement the preoperative plan under the premise of ensuring safety and accurate dosing; ii) template guidance improves the homogeneity and precision of the operation, making the technique repeatable and easy; iii) it can shorten the operation time, simplify the identification and adjustment process of the implantation needle, reduce the number of CT scans, and greatly reduce the burden of doctors and patients; iv) it can reduce the puncture path and reduce the risk of needle transfer. As well as the biomechanical adaptation of the design of different structural navigation templates, it can ensure that the needle path error is within 2 mm.

The present case of PSC with treatment-associated SVCS treated with I125 implantation based on a 3D-printed template guide is interesting and may be useful for the future application of this technique to PSC associated with SVCS.

Case report

A 65-year-old man in January 2017, the patient presented with a cough, chest tightness and shortness of breath, and was admitted to Hebei General Hospital (Shijiazhuang, China) where they underwent lung CT. Measurement of lung space and the results of puncture pathology [cytokeratin pan (+), Vimentin (+), thyroid transcription factor-1 (+), epithelial membrane antigen (−), Leucocyte common Antigen (−), Cytokeratin (−), Napsin A (−), P40 (−), CD3 (−), CD20 (−), CD31 (−), CD34 (−), HMB45 (−), Ki-67 (40%)] were indicative of sarcomatoid carcinoma. Based on multidisciplinary consultation, it was determined that the patient was not suitable for surgery due to tumor proximity to arterial vessel. The patient was treated with four cycles of chemotherapy with paclitaxel liposome 240 mg d1 and carboplatin 0.5 gd1, every three weeks, which were delivered in January, February, March and April 2017. The curative effect was progressively evaluated. Subsequently, the patient underwent a gamma knife procedure (2.5 Gy dose delivered 14 times, amounting to a total dose of 35 Gy) carried out in May 2017, after which the patient was revealed to be in partial remission. After evaluation in June 2017, two cycles of combined doxorubicin 100 mg d1 and dacarbazine 1,700 mg d1, every three weeks were administered. A routine CT review revealed that there was no recurrence in the 22 months following this treatment. However, in May 2019, chest CT revealed tumor growth that was accompanied by severe cough and sputum production. The patient then underwent cryoablation with an argon-helium knife (frozen for 10 min); two argon-helium knives were utilized in two rounds of cryoablation. When the patient was hospitalized at Hebei General Hospital in September 2019, it was observed that the tumor had grown gradually and was 5×6×8 cm3 in size. The patient also had face and upper limb edema, cough, a buildup of phlegm, tightness in the chest and dyspnea.

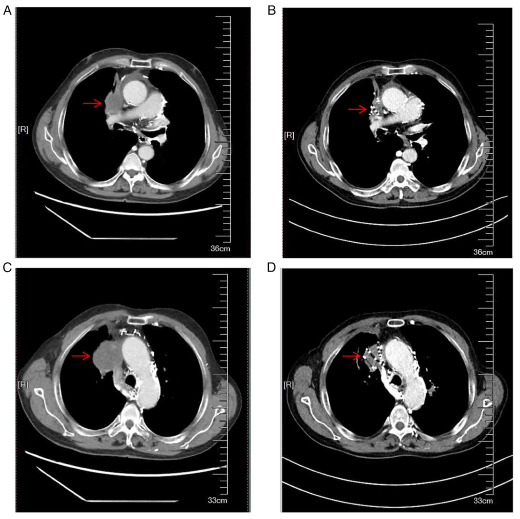
Physical examination revealed noticeable facial and neck bruising and edema, jugular vein enlargement, swelling in both upper limbs, and superficial varicose veins in the upper abdomen and anterior chest wall. Enhanced CT of the chest indicated that the tumor had invaded the right upper lobe of the lung and the superior vena cava (Fig. 1). Moreover, multiple dilated vessels were observed in the mediastinum and the patient developed emphysema. The patient was positive for the cancer markers squamous cell cancer-related antigen and cytokeratin 19, as well as neuron-specific carcinoma markers were normal. The mutation status of epidermal growth factor receptor and anaplastic lymphoma kinase fusion genes was analyzed by blood genetic test; the patient did not harbor the anaplastic lymphoma kinase gene fusion or epidermal growth factor receptor mutations. After a discussion with the multidisciplinary tumor board, I125 seed brachytherapy and radiotherapy were recommended, and the patient provided their consent for I125 brachytherapy.

Figure 1.

Comparison of preoperative and postoperative dose-volume histogram images. (A) preoperative dose-volume histogram images; (B) is postoperative dose-volume histogram images.

In order to create the 3D image used to guide brachytherapy, data were imported from the treatment planning system (TPS) to create a digital model of a personalized template that contained pin path information and direction of the I125 seeds by QiLin corporation. The personalized 3D template was obtained with a 3D photocuring rapid-forming machine and medical photocuring resin material. The 3D template contained information such as body surface features, positioning markers and simulated needle paths of the patient's treatment area. The 3D-printed template was placed on the surface of the treatment area. Positioning lines of the template and the positioning laser lines were accurately aligned. Implant particles were delivered with particle implantation device. A dose-volume histogram (DVH) can be output after dose distribution, and particle location and number are adjusted. The dose of external radiotherapy was transformed according to biologically effective dose and equivalent dose in 2 Gy fractions, so that the dose given was 120 Gy. This method was applied because there were a number of organs at risk and the boundary of the superior vena cava was unclear, and template guidance could be accurate to millimeters to reduce damage to blood vessels.

Before each treatment, the informed consent of the patient was obtained, and the treatments were performed with Hebei General Hospital institutional approval. Prior to I125 seed implantation, the patient was immobilized using a vacuum cushion (size: 120×80×4 cm3; Medical Device Network). A line was drawn using a CT laser on the tumor projection surface of the skin, and three marks were posted 3–4 cm away from each other on this positioning line. A CT scan was obtained (slice thickness, 5 mm; data not shown). A treatment plan was designed using the TPS (Panther Brachy v5.0 TPS; Prowess Inc.) to determine the dose, number and location of the I125 seeds to be implanted. The target volume was carefully determined according to the CT findings. Clinical target volume was considered as the gross target volume with a 5-mm boundary around it, and it was restricted by the volume of critical organs. DVH parameters were recommended for the evaluation of target volume and organs at risk. The dose distribution to target volume and organs at risk are shown in Fig. 1. The edge of the clinical target volume was covered by an isodose line of 90% of the prescribed dose and the prescribed dose of the seed strands. The day before the procedure, the 3D-printed template was sterilized (Fig. 2). After the procedure, single-photon emission CT was performed to ensure that the I125 seeds had been implanted in the correct locations based on the template (Fig. 3).

Figure 2.

3D-printed template and preoperative 3D template design drawing. (A) is the 3D printing template and the patient's skin bonding image; (B) is the preoperative 3D template design drawing (the yellow part shows the template).

Figure 3.

Postoperative SPECT particles cover the target area. (A) is the CT image (B) is the axial CT image immediately after particle implantation; (C) is relative SPECT showed that the radioactive concentration of particles basically covered the target area. (D) is the axial SPECT. SPECT, single photon emission computed tomography.

Multiple puncture channels were created under the template guidance, and the patient developed a pneumothorax during surgery; however, after the thoracic drainage was closed, the patient recovered and was extubated after 3 days. The patient immediately gave thoracic drainage and connected the negative pressure drainage bottle for drainage, keep the drainage smooth, and closed the tube for 24 h after no bubbles were bubbled out. In the absence of chest tightness or shortness of breath, a chest radiograph was taken, and extubation was performed after the chest radiograph confirmed there was no pneumothorax. Previous studies (12,19) have reported that the average depth of implantation needles, chronic obstructive pulmonary disease, astasis, the number of implantation needles, operation time, injection angle and tumor diameter are associated with the incidence of a postoperative pneumothorax during brachytherapy. Thus, reducing the number of puncture needles and reducing the operation time may reduce the incidence of a pneumothorax after CT-guided transcutaneous I125 seed implantation for lung cancer.

After an 8-month follow-up period, it was observed that the tumor had shrunk (Fig. 4). In addition, the symptoms of superior vena cava compression were notably relieved, facial edema had almost completely disappeared, there were fewer tortuous blood vessels in the front chest wall, and the severity of cough and expectoration was lesser than that observed before brachytherapy. Despite this, the patient experienced systemic tumor progression, pneumonia and respiratory failure, which eventually led to their death 8 months after brachytherapy.

Figure 4.

Comparison of CT images before surgery and 2 months after surgery. (A) is enhanced chest CT images of the patient's progress after comprehensive treatment; (B) is CT images of different layers of the tumor; (C) is the CT image of the same level 2 months after the implantation of particle (A and D) is the CT image of the same level 2 months after the operation of (B). Visible shrinkage of the tumor (arrow).

Discussion

PSC is a rare type of NSCLC that is known to have severe symptoms and a strong degree of invasiveness. Notably, traditional treatments are ineffective and the outlook is poor. While the molecular biological properties of PSC have been better recognized recently due to advances in molecular typing and liquid biopsy technologies (20), local treatments have not changed much. SVCS is a tumor emergency that, in severe situations, can cause death within 3–5 days. It is characterized by compression of the thoracic organs or direct infiltration of metastatic lymph nodes caused by chemotherapy, radiation, vascular stent interventions and surgery (21). In the present case, compression by the tumor led to SVCS after the patient underwent multi-line treatment with chemotherapy, radiotherapy and cryoablation. Chemotherapy is a major cancer treatment strategy, and its monitoring is essential to improve survival and quality of life of patients with cancer (22); however, in the present study, PSC was not sensitive to radiotherapy or chemotherapy, and the patient could not tolerate surgical procedures such as vascular replacement and reconstruction. Furthermore, stent implantation is effective in relieving symptoms but has no therapeutic effect on the tumor (23). Therefore, I125 seed implantation therapy was performed based on the advice of a multidisciplinary team. Brachytherapy has been reported to have a definite curative effect in breast cancer and result in few complications, and is also a safe, effective and extremely versatile radiation technique (24). Moreover, brachytherapy is an ideal technique for PSC (25).

In the present case, the tumor was large and had resulted in local complete occlusion via compression of the superior vena cava. The patient had severe facial edema, chest tightness, wheezing, cough and sputum production. Moreover, the patient had already undergone γ knife, argon-helium knife and local radiotherapy treatment, and the local treatment means were limited. As a result, it was very difficult to treat the tumor through surgery or secondary radiotherapy. In our experience, permanent implantation of I125 seed has a significant risk of loss of control or complications for this type of tumor. In the present case, preoperative enhanced CT showed abundant blood supply and rapid growth of the tumor. As the superior vena cava was completely occluded, it was deduced that 3D-printed template-guided non-collaborative particle implantation needle might be a viable option to control the tumor. To ensure the therapeutic impact and to minimize damage to the superior vena cava from the puncture needle, the seeds were properly distributed during the procedure, in accordance with the preoperative plan and the template. Multiple puncture channels were created under the template guidance, and the patient experienced a pneumothorax during surgery. However, after the thoracic drainage was closed, the patient eventually recovered and was extubated. The local symptoms of the patient did not worsen, and the local lesions did not recur until their death, which occurred after an 8-month follow-up period.

Although the radiosensitivity of PSC is not high, the effect of I125 seed brachytherapy in the present patient was noteworthy. After I125 seed interstitial brachytherapy, the tumor exhibited a clear reduction in volume with no local recurrence at the 8-month follow-up.

At present, the development of biomarkers for PSC has attracted much attention, and the identification of some novel markers has developed rapidly for the diagnosis of NSCLC. Yang et al (26) demonstrated that CD146 targeting may present a promising strategy for NSCLC theranostics. Wang et al (20) reported on a multiplex assay developed on an optimized nanoparticle-based laser desorption/ionization mass spectrometry platform for the sensitive and selective detection of serum metabolic fingerprints. Non-invasive biomarkers are critical for the early diagnosis of lung cancer; therefore, these should be studied further.

In conclusion, as the symptoms of superior vena cava compression in the present patient were notably improved, brachytherapy with I125 seeds may be considered an effective treatment for SVCS induced by PSC. However, there are no unified criteria for determining particle activity or prescription dose.

Acknowledgements

Not applicable.

Funding

Funding: No funding was received.

Availability of data and materials

The data generated in the present study may be requested from the corresponding author.

Authors' contributions

XMD and HMY conceived and designed the present study. ZG, JXZ and XLL performed most of the treatments. XMD, HTZ and YSL drafted the initial manuscript and analyzed the data. XMD and HTZ confirm the authenticity of all the raw data. All authors have read and approved the final manuscript.

Ethics approval and consent to participate

Not applicable.

Patient consent for publication

The patient and next of kin provided written informed consent for the publication of any data and/or accompanying images.

Competing interests

The authors declare that they have no competing interests.

References

1 

Travis WD, Brambilla E, Burke AP, Marx A and Nicholson AG: World Health Organization classification of tumours of the lung, pleura, thymus and heart. 4th ed. IARC Press; Lyon, France: pp. 162015

2 

Travis WD, Brambilla E, Nicholson AG, Yatabe Y, Austin JHM, Beasley MB, Chirieac LR, Dacic S, Duhig E, Flieder DB, et al: The 2015 World Health Organization Classification of Lung Tumors: Impact of Genetic, Clinical and Radiologic Advances Since the 2004 Classification. J Thorac Oncol. 10:1243–1260. 2015. View Article : Google Scholar : PubMed/NCBI

3 

Chen M, Yang Q, Xu Z, Luo B, Li F, Yu Y and Sun J: Survival analysis and prediction model for pulmonary sarcomatoid carcinoma based on SEER database. Front Oncol. 11:6308852021. View Article : Google Scholar : PubMed/NCBI

4 

Weissferdt A, Kalhor N, Correa AM and Moran CA: ‘Sarcomatoid’ carcinomas of the lung: A clinicopathological study of 86 cases with a new perspective on tumor classification. Hum Pathol. 63:14–26. 2017. View Article : Google Scholar : PubMed/NCBI

5 

Sun L, Dai J, Chen Y, Duan L, He W, Chen Q, Wang H, Zhu Y, Zhang H, Jiang G and Zhang P: Pulmonary sarcomatoid carcinoma: experience from SEER database and Shanghai Pulmonary Hospital. Ann Thorac Surg. 110:406–413. 2020. View Article : Google Scholar : PubMed/NCBI

6 

Rittmeyer A, Barlesi F, Waterkamp D, Park K, Ciardiello F, von Pawel J, Gadgeel SM, Hida T, Kowalski DM, Dols MC, et al: Atezolizumab versus docetaxel in patients with previously treated non-small-cell lung cancer (OAK): A phase 3, open-label, multicentre randomised controlled trial. Lancet. 389:255–265. 2017. View Article : Google Scholar : PubMed/NCBI

7 

Yang Z, Chen Y, Wang Y, Hu M, Qian F, Zhang Y, Zhang B, Zhang W and Han B: Pembrolizumab plus chemotherapy versus chemotherapy monotherapy as a first-line treatment in elderly patients (≥75 Years Old) with non-small-cell lung cancer. Front Immunol. 13:8075752022. View Article : Google Scholar : PubMed/NCBI

8 

Ma Y, Li W, Li Z, Chen J, Wang H, Jiang T and Zhu J: Immunophenotyping of pulmonary sarcomatoid carcinoma. Front Immunol. 13:9767392022. View Article : Google Scholar : PubMed/NCBI

9 

Jiao Y, Liu M, Luo N, Guo H and Li J: Successful treatment of advanced pulmonary sarcomatoid carcinoma with the PD-1 inhibitor toripalimab: A case report. Oral Oncol. 112:1049922021. View Article : Google Scholar : PubMed/NCBI

10 

Matsumoto Y, Miura T, Horiuchi H and Usui K: The Successful treatment of pulmonary pleomorphic carcinoma with pembrolizumab: A case report. Case Rep Oncol. 10:752–757. 2017. View Article : Google Scholar : PubMed/NCBI

11 

Cimpeanu E, Ahmed J, Zafar W, DeMarinis A, Bardarov SS, Salman S and Bloomfield D: Pembrolizumab-emerging treatment of pulmonary sarcomatoid carcinoma: A case report. World J Clin Cases. 8:97–102. 2020. View Article : Google Scholar : PubMed/NCBI

12 

Wang J, Chai S, Wang R, Zheng G, Zhang K, Huo B, Huo X, Jiang Y, Ji Z, Jiang P and Peng R: Expert consensus on computed tomography-assisted three-dimensional-printed coplanar template guidance for interstitial permanent radioactive I seed implantation therapy. J Cancer Res Ther. 15:1430–1434. 2019. View Article : Google Scholar : PubMed/NCBI

13 

Di X, Zhang H, Liu X, Zhao J, Gao Z, Yu H, Su X, Liang Y and Wang J: A new technique for trans-perirectal iodine-125 seed implantation in prostatic cancer guided by CT and 3D printed template: Two case reports. Front Oncol. 12:10319702022. View Article : Google Scholar : PubMed/NCBI

14 

Chen E, Wang J, Zhang H, Zhang Y, Jia C, Min X and Liang Y: Analysis of the efficacy and safety of iodine-125 seeds implantation in the treatment of patients with inoperable early-stage non-small cell lung cancer. J Contemp Brachytherapy. 13:347–357. 2021. View Article : Google Scholar : PubMed/NCBI

15 

Liang Y, Di X, Liu Z, Zhao J, Wang Z, Zhao J, Sui A, Zhang H and Wang J: 125I seeds implantation for an elderly patient of skin squamous cell carcinomas with ulcer guided by ultrasound. J Cancer Res Ther. 14:1660–1664. 2018. View Article : Google Scholar : PubMed/NCBI

16 

Gao Z, Yu H, Di X, Zhao J, Liang Y, Liu Z, Wang J and Zhang H: Case report: 125I seed implantation for rare malignant solitary fibrous tumor in the pelvic cavity: A case report. Front Oncol. 12:8844912022. View Article : Google Scholar : PubMed/NCBI

17 

Zhang Y, Liu Z, Liang Y, Chen E, Zhang H, Gao Z and Wang J: The effectiveness and prognostic factors of radioactive iodine-125 seed implantation for the treatment of cervical lymph node recurrence of esophageal squamous cell carcinoma after external beam radiation therapy. J Contemp Brachytherapy. 12:579–585. 2020. View Article : Google Scholar : PubMed/NCBI

18 

Gao Z, Zhang H, Zhang L, Yu H, Di X, Wang Z, Liu Z, Sui A, Wang J and Shi G: 3D-Printed Template-Guided 125I Seed Brachytherapy: A salvage approach for locoregional refractory recurrence of papillary thyroid cancer. Eur Thyroid J. 10:504–510. 2021. View Article : Google Scholar : PubMed/NCBI

19 

Wang H, Peng R, Li X, Wang Y, Jiang Y, Ji Z, Guo F, Tian S, Sun H, Fan J and Wang J: The dosimetry evaluation of 3D printing non-coplanar template-assisted CT-guided 125I seed stereotactic ablation brachytherapy for pelvic recurrent rectal cancer after external beam radiotherapy. J Radiat Res. 62:473–482. 2021. View Article : Google Scholar : PubMed/NCBI

20 

Wang L, Zhang M, Pan X, Zhao M, Huang L, Hu X, Wang X, Qiao L, Guo Q, Xu W, et al: Integrative serum metabolic fingerprints based multi-modal platforms for lung adenocarcinoma early detection and pulmonary nodule classification. Adv Sci (Weinh). 9:e22037862022. View Article : Google Scholar : PubMed/NCBI

21 

Issani A: An updated narrative review on the management of the most common oncological and hematological emergencies. Dis Mon. 69:1013552023. View Article : Google Scholar : PubMed/NCBI

22 

Yin X, Yang J, Zhang M, Wang X, Xu W, Price CH, Huang L, Liu W, Su H, Wang W, et al: Serum metabolic fingerprints on bowl-shaped submicroreactor chip for chemotherapy monitoring. ACS Nano. 16:2852–2865. 2022. View Article : Google Scholar : PubMed/NCBI

23 

Arshad AM, Pandiyan APS, Ayub II, Chockalingam C and Thangaswamy D: Endovascular stenting for malignant superior vena cava syndrome-Case series and review of literature. Lung India. 40:165–168. 2023. View Article : Google Scholar : PubMed/NCBI

24 

Cozzi S, Augugliaro M, Ciammella P, Botti A, Trojani V, Najafi M, Blandino G, Ruggieri MP, Giaccherini L, Alì E, et al: The role of interstitial brachytherapy for breast cancer treatment: An overview of indications, applications, and technical notes. Cancers (Basel). 14:25642022. View Article : Google Scholar : PubMed/NCBI

25 

Li X, Zhou H, Mou K, Zheng Y, Li H, Ren P, Ye H, Lin S, Pang H, Wu J and Xiang L: Risk factors for operation complications of high dose rate 3-dimensional interstitial brachytherapy for lung cancer. Clin Lung Cancer. 24:e187–e194. 2023. View Article : Google Scholar : PubMed/NCBI

26 

Yang Q, Huang W, Hsu JC, Song L, Sun X, Li C, Cai W and Kang L: CD146-targeted nuclear medicine imaging in cancer: State of the art. View (Beijing). 4:202200852023.PubMed/NCBI

Related Articles

  • Abstract
  • View
  • Download
  • Twitter
Copy and paste a formatted citation
Spandidos Publications style
Di X, Yu H, Gao Z, Zhao J, Liu X, Liang Y and Zhang H: 3D‑printed template‑guided iodine‑125 seed implantation to treat complete occlusion of the superior vena cava in pulmonary sarcomatoid carcinoma: A case report. Oncol Lett 28: 555, 2024.
APA
Di, X., Yu, H., Gao, Z., Zhao, J., Liu, X., Liang, Y., & Zhang, H. (2024). 3D‑printed template‑guided iodine‑125 seed implantation to treat complete occlusion of the superior vena cava in pulmonary sarcomatoid carcinoma: A case report. Oncology Letters, 28, 555. https://doi.org/10.3892/ol.2024.14687
MLA
Di, X., Yu, H., Gao, Z., Zhao, J., Liu, X., Liang, Y., Zhang, H."3D‑printed template‑guided iodine‑125 seed implantation to treat complete occlusion of the superior vena cava in pulmonary sarcomatoid carcinoma: A case report". Oncology Letters 28.6 (2024): 555.
Chicago
Di, X., Yu, H., Gao, Z., Zhao, J., Liu, X., Liang, Y., Zhang, H."3D‑printed template‑guided iodine‑125 seed implantation to treat complete occlusion of the superior vena cava in pulmonary sarcomatoid carcinoma: A case report". Oncology Letters 28, no. 6 (2024): 555. https://doi.org/10.3892/ol.2024.14687
Copy and paste a formatted citation
x
Spandidos Publications style
Di X, Yu H, Gao Z, Zhao J, Liu X, Liang Y and Zhang H: 3D‑printed template‑guided iodine‑125 seed implantation to treat complete occlusion of the superior vena cava in pulmonary sarcomatoid carcinoma: A case report. Oncol Lett 28: 555, 2024.
APA
Di, X., Yu, H., Gao, Z., Zhao, J., Liu, X., Liang, Y., & Zhang, H. (2024). 3D‑printed template‑guided iodine‑125 seed implantation to treat complete occlusion of the superior vena cava in pulmonary sarcomatoid carcinoma: A case report. Oncology Letters, 28, 555. https://doi.org/10.3892/ol.2024.14687
MLA
Di, X., Yu, H., Gao, Z., Zhao, J., Liu, X., Liang, Y., Zhang, H."3D‑printed template‑guided iodine‑125 seed implantation to treat complete occlusion of the superior vena cava in pulmonary sarcomatoid carcinoma: A case report". Oncology Letters 28.6 (2024): 555.
Chicago
Di, X., Yu, H., Gao, Z., Zhao, J., Liu, X., Liang, Y., Zhang, H."3D‑printed template‑guided iodine‑125 seed implantation to treat complete occlusion of the superior vena cava in pulmonary sarcomatoid carcinoma: A case report". Oncology Letters 28, no. 6 (2024): 555. https://doi.org/10.3892/ol.2024.14687
Follow us
  • Twitter
  • LinkedIn
  • Facebook
About
  • Spandidos Publications
  • Careers
  • Cookie Policy
  • Privacy Policy
How can we help?
  • Help
  • Live Chat
  • Contact
  • Email to our Support Team