Spandidos Publications Logo
  • About
    • About Spandidos
    • Aims and Scopes
    • Abstracting and Indexing
    • Editorial Policies
    • Reprints and Permissions
    • Job Opportunities
    • Terms and Conditions
    • Contact
  • Journals
    • All Journals
    • Oncology Letters
      • Oncology Letters
      • Information for Authors
      • Editorial Policies
      • Editorial Board
      • Aims and Scope
      • Abstracting and Indexing
      • Bibliographic Information
      • Archive
    • International Journal of Oncology
      • International Journal of Oncology
      • Information for Authors
      • Editorial Policies
      • Editorial Board
      • Aims and Scope
      • Abstracting and Indexing
      • Bibliographic Information
      • Archive
    • Molecular and Clinical Oncology
      • Molecular and Clinical Oncology
      • Information for Authors
      • Editorial Policies
      • Editorial Board
      • Aims and Scope
      • Abstracting and Indexing
      • Bibliographic Information
      • Archive
    • Experimental and Therapeutic Medicine
      • Experimental and Therapeutic Medicine
      • Information for Authors
      • Editorial Policies
      • Editorial Board
      • Aims and Scope
      • Abstracting and Indexing
      • Bibliographic Information
      • Archive
    • International Journal of Molecular Medicine
      • International Journal of Molecular Medicine
      • Information for Authors
      • Editorial Policies
      • Editorial Board
      • Aims and Scope
      • Abstracting and Indexing
      • Bibliographic Information
      • Archive
    • Biomedical Reports
      • Biomedical Reports
      • Information for Authors
      • Editorial Policies
      • Editorial Board
      • Aims and Scope
      • Abstracting and Indexing
      • Bibliographic Information
      • Archive
    • Oncology Reports
      • Oncology Reports
      • Information for Authors
      • Editorial Policies
      • Editorial Board
      • Aims and Scope
      • Abstracting and Indexing
      • Bibliographic Information
      • Archive
    • Molecular Medicine Reports
      • Molecular Medicine Reports
      • Information for Authors
      • Editorial Policies
      • Editorial Board
      • Aims and Scope
      • Abstracting and Indexing
      • Bibliographic Information
      • Archive
    • World Academy of Sciences Journal
      • World Academy of Sciences Journal
      • Information for Authors
      • Editorial Policies
      • Editorial Board
      • Aims and Scope
      • Abstracting and Indexing
      • Bibliographic Information
      • Archive
    • International Journal of Functional Nutrition
      • International Journal of Functional Nutrition
      • Information for Authors
      • Editorial Policies
      • Editorial Board
      • Aims and Scope
      • Abstracting and Indexing
      • Bibliographic Information
      • Archive
    • International Journal of Epigenetics
      • International Journal of Epigenetics
      • Information for Authors
      • Editorial Policies
      • Editorial Board
      • Aims and Scope
      • Abstracting and Indexing
      • Bibliographic Information
      • Archive
    • Medicine International
      • Medicine International
      • Information for Authors
      • Editorial Policies
      • Editorial Board
      • Aims and Scope
      • Abstracting and Indexing
      • Bibliographic Information
      • Archive
  • Articles
  • Information
    • Information for Authors
    • Information for Reviewers
    • Information for Librarians
    • Information for Advertisers
    • Conferences
  • Language Editing
Spandidos Publications Logo
  • About
    • About Spandidos
    • Aims and Scopes
    • Abstracting and Indexing
    • Editorial Policies
    • Reprints and Permissions
    • Job Opportunities
    • Terms and Conditions
    • Contact
  • Journals
    • All Journals
    • Biomedical Reports
      • Information for Authors
      • Editorial Policies
      • Editorial Board
      • Aims and Scope
      • Abstracting and Indexing
      • Bibliographic Information
      • Archive
    • Experimental and Therapeutic Medicine
      • Information for Authors
      • Editorial Policies
      • Editorial Board
      • Aims and Scope
      • Abstracting and Indexing
      • Bibliographic Information
      • Archive
    • International Journal of Epigenetics
      • Information for Authors
      • Editorial Policies
      • Editorial Board
      • Aims and Scope
      • Abstracting and Indexing
      • Bibliographic Information
      • Archive
    • International Journal of Functional Nutrition
      • Information for Authors
      • Editorial Policies
      • Editorial Board
      • Aims and Scope
      • Abstracting and Indexing
      • Bibliographic Information
      • Archive
    • International Journal of Molecular Medicine
      • Information for Authors
      • Editorial Policies
      • Editorial Board
      • Aims and Scope
      • Abstracting and Indexing
      • Bibliographic Information
      • Archive
    • International Journal of Oncology
      • Information for Authors
      • Editorial Policies
      • Editorial Board
      • Aims and Scope
      • Abstracting and Indexing
      • Bibliographic Information
      • Archive
    • Medicine International
      • Information for Authors
      • Editorial Policies
      • Editorial Board
      • Aims and Scope
      • Abstracting and Indexing
      • Bibliographic Information
      • Archive
    • Molecular and Clinical Oncology
      • Information for Authors
      • Editorial Policies
      • Editorial Board
      • Aims and Scope
      • Abstracting and Indexing
      • Bibliographic Information
      • Archive
    • Molecular Medicine Reports
      • Information for Authors
      • Editorial Policies
      • Editorial Board
      • Aims and Scope
      • Abstracting and Indexing
      • Bibliographic Information
      • Archive
    • Oncology Letters
      • Information for Authors
      • Editorial Policies
      • Editorial Board
      • Aims and Scope
      • Abstracting and Indexing
      • Bibliographic Information
      • Archive
    • Oncology Reports
      • Information for Authors
      • Editorial Policies
      • Editorial Board
      • Aims and Scope
      • Abstracting and Indexing
      • Bibliographic Information
      • Archive
    • World Academy of Sciences Journal
      • Information for Authors
      • Editorial Policies
      • Editorial Board
      • Aims and Scope
      • Abstracting and Indexing
      • Bibliographic Information
      • Archive
  • Articles
  • Information
    • For Authors
    • For Reviewers
    • For Librarians
    • For Advertisers
    • Conferences
  • Language Editing
Login Register Submit
  • This site uses cookies
  • You can change your cookie settings at any time by following the instructions in our Cookie Policy. To find out more, you may read our Privacy Policy.

    I agree
Search articles by DOI, keyword, author or affiliation
Search
Advanced Search
presentation
Oncology Letters
Join Editorial Board Propose a Special Issue
Print ISSN: 1792-1074 Online ISSN: 1792-1082
Journal Cover
December-2024 Volume 28 Issue 6

Full Size Image

Sign up for eToc alerts
Recommend to Library

Journals

International Journal of Molecular Medicine

International Journal of Molecular Medicine

International Journal of Molecular Medicine is an international journal devoted to molecular mechanisms of human disease.

International Journal of Oncology

International Journal of Oncology

International Journal of Oncology is an international journal devoted to oncology research and cancer treatment.

Molecular Medicine Reports

Molecular Medicine Reports

Covers molecular medicine topics such as pharmacology, pathology, genetics, neuroscience, infectious diseases, molecular cardiology, and molecular surgery.

Oncology Reports

Oncology Reports

Oncology Reports is an international journal devoted to fundamental and applied research in Oncology.

Experimental and Therapeutic Medicine

Experimental and Therapeutic Medicine

Experimental and Therapeutic Medicine is an international journal devoted to laboratory and clinical medicine.

Oncology Letters

Oncology Letters

Oncology Letters is an international journal devoted to Experimental and Clinical Oncology.

Biomedical Reports

Biomedical Reports

Explores a wide range of biological and medical fields, including pharmacology, genetics, microbiology, neuroscience, and molecular cardiology.

Molecular and Clinical Oncology

Molecular and Clinical Oncology

International journal addressing all aspects of oncology research, from tumorigenesis and oncogenes to chemotherapy and metastasis.

World Academy of Sciences Journal

World Academy of Sciences Journal

Multidisciplinary open-access journal spanning biochemistry, genetics, neuroscience, environmental health, and synthetic biology.

International Journal of Functional Nutrition

International Journal of Functional Nutrition

Open-access journal combining biochemistry, pharmacology, immunology, and genetics to advance health through functional nutrition.

International Journal of Epigenetics

International Journal of Epigenetics

Publishes open-access research on using epigenetics to advance understanding and treatment of human disease.

Medicine International

Medicine International

An International Open Access Journal Devoted to General Medicine.

Journal Cover
December-2024 Volume 28 Issue 6

Full Size Image

Sign up for eToc alerts
Recommend to Library

  • Article
  • Citations
    • Cite This Article
    • Download Citation
    • Create Citation Alert
    • Remove Citation Alert
    • Cited By
  • Similar Articles
    • Related Articles (in Spandidos Publications)
    • Similar Articles (Google Scholar)
    • Similar Articles (PubMed)
  • Download PDF
  • Download XML
  • View XML

  • Supplementary Files
    • Supplementary_Data.pdf
Case Report Open Access

Good response of stage IV melanoma to high‑dose radiation therapy combined with immunotherapy: A case report

  • Authors:
    • Xuemei Deng
    • Kewei Xiang
    • Xingting He
    • Shuang Chen
    • Qingxi Guo
    • Hong Wu
    • Xiaolong Liu
    • Qinglian Wen
    • Hongru Yang
  • View Affiliations / Copyright

    Affiliations: Department of Oncology, Affiliated Hospital of Southwest Medical University, Luzhou, Sichuan 646000, P.R. China, Department Pathology, Affiliated Hospital of Southwest Medical University, Luzhou, Sichuan 646000, P.R. China
    Copyright: © Deng et al. This is an open access article distributed under the terms of Creative Commons Attribution License.
  • Article Number: 598
    |
    Published online on: October 9, 2024
       https://doi.org/10.3892/ol.2024.14731
  • Expand metrics +
Metrics: Total Views: 0 (Spandidos Publications: | PMC Statistics: )
Metrics: Total PDF Downloads: 0 (Spandidos Publications: | PMC Statistics: )
Cited By (CrossRef): 0 citations Loading Articles...

This article is mentioned in:



Abstract

Patients with advanced malignant melanoma (MM) often do not receive satisfactory treatment. The present study reports the case of a 51‑year‑old female patient with stage IV MM of unknown primary. After undergoing immune checkpoint inhibitor therapy, the patient received multiple doses of hypofractionated radiotherapy (HFRT) for the left inguinal lymph node and single‑fraction high‑dose‑rate brachytherapy for the left and right lung metastases. After combination treatment, the patient experienced almost complete remission of the inguinal target area, significant relief of pain and discomfort and an improved quality of life. The time of lung radiotherapy lesion control was 8 months. Meanwhile, the observed lesions (observation lesions 1, 2, 3 and 5) adjacent to the target lesion received lower doses of scattering (0.9‑1.8 Gy) and the time of control for these lung observation lesions was 9 months. In addition, restarting targeted therapy after cessation of other treatments due to myelosuppression resulted in a progression‑free survival time of 6 months. Nevertheless, the patient developed new metastases in the brain and abdomen. The present case report demonstrates that high‑dose radiotherapy combined with immunotherapy may be effective for local lesions and that multiple doses of HFRT may be superior to single‑fraction high‑dose‑rate brachytherapy for certain patients. Low‑dose scattering also shows improvement for local lesions. Furthermore, restarting targeted therapy may be effective in the presence of target sites. Thus, the present case report provides a possible therapeutic option for the treatment of advanced melanoma.

Introduction

Malignant melanoma (MM) is an extremely aggressive tumor. By the time a patient is diagnosed with melanoma, it has often progressed to an intermediate to advanced stage, not amenable to surgical treatment, with a poor prognosis. Over the past 50 years, melanoma has become one of the fastest-growing malignant tumors, with an annual incidence of 3–7% globally (1,2). Most MMs have a well-defined primary site (melanoma of known primary; MKP), but there still exists a small number of MMs with an unknown primary site (melanoma of unknown primary; MUP). The incidence of the latter in patients with MM is ~3% (3). According to the National Comprehensive Cancer Network Clinical Practice Guidelines, both MUP and MKP are treated similarly (4). As a highly malignant immunogenic tumor, immunotherapy is one of the key treatment modalities for advanced melanoma, which can elicit durable responses in a subset of patients. Typically, melanoma is not highly sensitive to radiation therapy and the disease remission rate is not as high as expected (5). Radiotherapy is generally indicated for patients with inoperable advanced disease or postoperative metastatic recurrence. High-dose radiotherapy enhances the immunogenicity of tumors, whereas a combination of therapy and immune checkpoint inhibitors (ICIs) improves tumor control and induces and strengthens the antitumor immune response of the body (6). The synergistic efficacy of immunotherapy with radiotherapy (7–9) is strongly supported by several preclinical models and significant results have been achieved in treating some patients, particularly those with lung cancer and brain metastases (10–13). BRAF is the most important mutated gene in MM. In MM clinical trials, BRAF V600 inhibitors alone or in combination with MEK inhibitors have demonstrated potent antitumor effects (14,15).

In the present study, a patient with advanced recurrent refractory melanoma was observed. After undergoing ICI therapy, the patient received multiple doses of hypofractionated radiotherapy (HFRT) for the left inguinal lymph node and single-fraction high-dose-rate brachytherapy for the left and right lung metastases. As revealed by the results, high-dose radiotherapy may be effective for localized lesions, and multiple doses of HFRT may be superior to single-fraction high-dose-rate brachytherapy for certain patients. Besides, low-dose scattering also demonstrated improvement for localized lesions. Restarting targeted therapy may be effective when the target site is present. The present case is presented following the CARE reporting checklist.

Case presentation

Patient

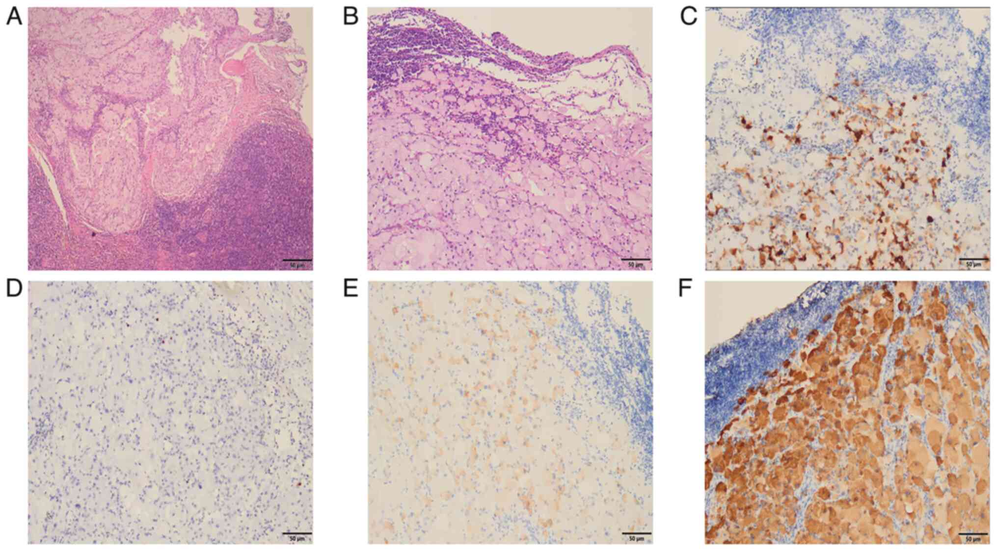
In December 2020, a 51-year-old woman presented to the First Affiliated Hospital of Army Medical University (Chongqing, China) with a left inguinal mass. The patient had no past medical history and denied a family history of cancer or psychosocial history. In January 2021, the patient underwent resection of the left inguinal mass at the First Affiliated Hospital of Army Medical University. Postoperative pathology demonstrated an MM (Fig. 1A and B) and immunohistochemistry showed HMB45, Melan-A, S-100 and Ki-67 (5–10%) positivity (Fig. 1C-F). The samples were also sent to the First Affiliated Hospital of Army Medical University Laboratory Center for high-throughput sequencing of 425 melanoma genes, which showed BRAF V600E mutation (+), low tumor mutational burden (TMB-L) and microsatellite stability (MSS) (Table I). No primary lesions were observed on the lower extremity skin, colonoscopy and colposcopy. The diagnosis was stage III MUP in accordance with the 8th edition of the American Joint Committee on Cancer for Cutaneous Melanoma staging system (16). The patient received eight cycles of teraplizumab [240 mg, day 1 (d1)] and temozolomide (200 mg, d1-d5) postoperatively. However, in July 2021, CT showed multiple metastases in the lungs and a diagnosis of stage IV MUP was considered. The treatment regimen was changed to dabrafenib [75 mg, twice a day (bid) orally (po)] and trametinib [2 mg, once a day (qd) po] for five cycles of treatment. After 2 months, CT showed scar formation in the left inguinal area, multiple small lymph nodes in the inguinal area bilaterally, the disappearance of inguinal lymph nodes and a significant reduction of nodules in the left and right lungs compared with the previous period (the inguinal lymph node tumor was 0 mm, and the largest metastases in the left and right lung tumors were ~3 and ~2.6 mm, respectively). However, in December 2021, imaging showed an enlarged left inguinal mass and new pulmonary nodules in both lungs (the inguinal lymph node tumor was 31 mm, and the largest metastases in the left and right lung tumors were ~10.6 and ~9.1 mm, respectively). Considering the resistance to the targeted therapy, the targeted therapy regimen was stopped and the patient received three cycles of albumin paclitaxel (400 mg, d1), carboplatin (500 mg, d1) and bevacizumab (400 mg, d2) at West China Hospital of Sichuan University (Chengdu, China). Further genotyping by high-throughput sequencing of the enlarged left inguinal mass at Huachuang Qide Medical Laboratory in West China Hospital of Sichuan University showed BRAF V600E mutation (+), TMB-L and MSS (Table II).

Figure 1.

Pathologic and immunohistochemical images of the left inguinal mass. Hematoxylin and eosin-stained sections at magnification (A) ×40 and (B) ×100. (C-F) Immunohistochemistry (magnification, ×100) showing positive results for the (C) HMB45, (D) Ki-67, (E) Melan-A and (F) S100 tumor markers.

Table I.

High-throughput sequencing results of 425 melanoma genesa.

Table I.

High-throughput sequencing results of 425 melanoma genesa.

Genetic testing targetItemsResult
BRAFV600EMutation
NRASG12D/V, G13K/R/V, Q61H/R and A146TNo mutation
MSI/No MSI-H (MSS)
TMB/6.34 Muts/Mb
(TMB-L)

a Experiments conducted by the First Affiliated Hospital of Army Medical University Laboratory Center (Chongqing, China). MSI, microsatellite instability; MSS, microsatellite stability; TMB-L, low tumor mutational burden.

Table II.

High-throughput sequencing results of 1,021 melanoma genesa.

Table II.

High-throughput sequencing results of 1,021 melanoma genesa.

Genetic testing targetItemsResult
BRAFV600EMutation
NRASCodon 12/13/59/61/117/146No mutation
MSI/MSS
TMB/1.92 Muts/Mb
(TMB-L)

a Experiments conducted by Huachuang Qide Medical Laboratory in West China Hospital of Sichuan University (Chengdu, China). MSI, microsatellite instability; MSS, microsatellite stability; TMB-L, low tumor mutational burden.

However, in January 2022, the patient consulted the Oncology Department of the Affiliated Hospital of Southwest Medical University (Luzhou, China) due to the persistent progression of the inguinal mass with pain and discomfort. PET/CT showed a soft tissue mass with increased glucose metabolism in the left inguinal region (diameter of ~48.9 mm) with a maximum standardized uptake value (SUVmax) of 17.5 (Fig. 2A). Multiple nodules were present in both lungs (the largest metastasis in the left lung tumor was 10.5 mm, and the largest in the right lung tumor was ~12.2 mm with a SUVmax of 2.9). After evaluation of the patient's condition in the Oncology Department, the patient underwent intensity-modulated radiation therapy for the left inguinal metastasis (3,414 cGy/7F) (Fig. 2B). Following radiotherapy for the left inguinal metastasis, the patient was treated with four cycles of pembrolizumab (200 mg, d0) and dacarbazine (385 mg, d1–5 po). During this period, owing to the increased and persistent lung metastases, the patient received single-fraction high-dose-rate brachytherapy, with a treatment dose of 49 Gy for the left lung metastases [D90 244 Gy by equivalent dose in 2-Gy fractions (EQD2)] (Fig. 3A) in March 2022 and 52 Gy for the right subpleural metastases (D90 269 Gy by EQD2) (Fig. 3B) 2 months later.

Figure 2.

Treatment and images of the inguinal lymph nodes. (A) Images of the inguinal lymph nodes. (B) CT simulation images of the inguinal lymph node radiotherapy planning. The red circles are the target lesions for radiotherapy. HFRT, hypofractionated radiotherapy.

Figure 3.

Treatment and images of the lung tumors. (A) CT simulation images of the left lung radiotherapy planning. (B) CT simulation images of the right lung radiotherapy planning. The red arrows indicate the target lesions for the radiotherapy and the blue arrows indicate the observation lesions receiving lower dose scattering from nearby high-dose irradiation areas. 1–5 in the image represent the five observation lesions in the lung.

However, in April 2022, after receiving the four cycles of dacarbazine combined with pembrolizumab, the patient developed grade III myelosuppression. Thus, the dacarbazine plus pembrolizumab treatment was discontinued after comprehensive evaluation and dynamic observation. The myelosuppression recovered 1 month later. As aforementioned, genetic testing of the progressive groin mass showed that the BRAF V600E mutation was still present in December 2021 (when the patient was admitted to West China Hospital of Sichuan University); therefore, targeted therapy was initiated again in June 2022 (dabrafenib 75 mg, bid po plus trametinib 2 mg, qd po). After 2 months, CT showed a shrinkage of the bilateral pleural and lung multiple nodules (the largest metastases in the left and right lungs were ~10.7 and ~10 mm, respectively) (Fig. 3). The overall disease status was assessed as partial response (PR; a reduction of ≥30% in the sum of the largest diameters of the target lesions is considered PR). In October 2022, CT showed enlargement of the pulmonary nodules. As a result, the patient received two cycles of pembrolizumab (200 mg, d0) on top of the targeted therapy. After 1 month, CT showed an enlarged radiotherapy lesion in the lung, and the overall disease status was assessed as PR. However, in December 2022, multiple metastases appeared in the brain and the overall disease status was assessed as progressive disease (PD; an increase of at least ≥20% in the maximum diameter of the target lesion or the appearance of new lesions is considered PD). The metastases in the brain and lungs continued to grow and enlarged lymph nodes appeared in the abdominal cavity. The patient subsequently underwent palliative care at Shenzhen Luohu Hospital Group Luohu People's Hospital (Shenzhen, China) in which the brain metastases were treated with gamma knife surgery and six cycles of nivolumab (180 mg qd po). However, the patient refused other treatments and died 6 months later.

After the lung metastatic lesion was treated with single-fraction high-dose-rate brachytherapy, the time of lung radiotherapy lesion (target lesion) control was 8 months (Fig. 3). The observation lesions (observation lesions 1, 2, 3 and 5) adjacent to the target lesion received lower doses of scattering (0.9–1.8 Gy), and the time of lung observation lesion control was 9 months (except for observation lesion 4 in the right lung, which received a radiation dose of 7.8 Gy) (Figs. 3 and S1). After receiving HFRT for the left inguinal mass after immunotherapy, the radiotherapy target area continued to shrink, with a gradual relief of pain and discomfort and a significant improvement in the quality of life of the patient. In February 2023, an MRI showed no enlargement of multiple small lymph nodes in the bilateral inguinal area. The inguinal mass had largely disappeared, and the inguinal mass was assessed as complete response (CR; 100% regression of the lesion with no new lesions is considered CR) to treatment. After 2 months, the examination showed that the left inguinal mass was still under control (Fig. 2A), and the inguinal mass was still assessed as CR. The inguinal mass remained rated as CR until the death of the patient. The clinical history of the patient and the course of treatment are summarized in Fig. 4.

Figure 4.

Timeline of the diagnosis and treatment process. New metastatic lesions are indicated in yellow and grey indicates the baseline. HFRT, hypofractionated radiotherapy; ICIs, immune checkpoint inhibitors; PR, partial response; PD, progressive disease; CR, complete response; SD, stable disease.

Pathological methods

Pathology was performed using the hematoxylin and eosin staining method. The tissues of the inguinal mass were fixed in 10% formaldehyde at 37°C for 13 h, paraffin-embedded and sectioned to 3–4 µm. Sections were sequentially stained with hematoxylin (cat. no. BA4021; Zhuhai Baso Biotechnology Co., Ltd.) for 5–8 min and eosin (cat. no. BA4022; Zhuhai Baso Biotechnology Co., Ltd.) at 37°C for 3–5 min. Finally, the sections were sealed and the tissues were observed by light microscope at ×40 and ×100 magnification (Fig. 1A and B).

Immunohistochemistry

Immunohistochemistry was performed using the Envision method. Paraffin sections were dewaxed and hydrated. Boiling antigen repair solution [0.01 M citrate buffer (pH 6.0)] was added to the sample and incubated for 3 min after the autoclave valve jetted. After the repair solution was returned to room temperature, the sections were immersed in 3% methanol H2O2 for 10 min and washed with PBS three times for 3 min each time. The sections were then incubated with the HMB45 (undiluted; cat. no. MAB-0098; Fuzhou Maixin Biotechnology Development Co., Ltd.), MelanA (undiluted; cat. no. MAB-0275; Fuzhou Maixin Biotechnology Development Co., Ltd.), S-100 (undiluted; cat. no. Kit-0007; Fuzhou Maixin Biotechnology Development Co., Ltd.) and Ki-67 (1:500; cat. no. ZM-0167; Beijing Zhongshan Jinqiao Biotechnology Co., Ltd.) primary antibodies at 37°C for 1 h. The MaxVision TM3 HRP-Polymer (mouse/rabbit) IHC Kit (cat. no. KIT-5220; Fuzhou Maixin Biotechnology Development Co., Ltd.) secondary antibody was applied at 37°C for 30 min. Finally, the specimens were stained with MaxVision III Ultra DAB (cat. no. KIT0038; Biotechnology Development Co., Ltd.) at 37°C for 1 min, restained with hematoxylin (cat. no. BA4021; BaSO Biotech Co., Ltd.) at 37°C for 2 min, dehydrated by different concentrations of ethanol and cleared with xylene. The sections were sealed and then observed under a light microscope at ×100 magnification (Fig. 1C-F).

Discussion

Aggressive melanoma accounts for only 3% of all skin cancer types and is the primary cause of death related to skin cancer (17,18). Melanoma is characterized by insidious onset and easy metastasis. Patients are often at advanced stages when diagnosed. Melanoma is a highly malignant immunogenic tumor, and immunotherapy can specifically remove tiny residual tumor foci and inhibit tumor growth through various mechanisms such as by enhancing the tumor immune response of the body and interfering with tumor immune escape (19,20). Nonetheless, it was shown in a study that 25% of responders acquire drug resistance during treatment (21,22). Even the response rate of the high TMB subgroup selected according to biomarkers was not higher than 45% and remained suboptimal.

Radiation therapy is generally indicated for patients with advanced inoperable disease or postoperative metastatic recurrence. Studies have shown that radiation therapy modulates the tumor microenvironment and directly induces the death of tumor cells (23,24). Previous studies have suggested that immunotherapy combined with HFRT can achieve higher response rates and efficacy (9,25). This modality has achieved significant results in treating patients who suffer from lung cancer and brain metastases (10–13). Funck-Brentano et al (12) analyzed 26 patients with advanced melanoma who had consecutive anti-programmed cell death protein 1 (pd-1) monotherapy failure, and it was found that 10 patients (38%) had complete or partial remission after anti-pd-1 monoclonal antibody combined with hypofractionated radiotherapy. Additionally, Shaverdian et al (26) discovered that patients with advanced lung cancer who had received radiotherapy before immunotherapy had longer PFS (4.4 vs. 2.1 months) and overall survival (10.7 vs. 5.3 months) times. This combination therapy may also make radiotherapy more effective, especially by raising the incidence of ‘distant effects’ (27). In addition, preclinical research has shown that low-dose radiation can achieve the activation and stimulation of immune cells and the modulation of the stromal microenvironment despite not being tumoricidal per se, thus producing an immunotherapeutic effect (28).

In the present case report, the patient was treated with chemotherapy, immunotherapy and targeted therapy after surgery in an outside hospital. However, the results showed that the inguinal lesion progressed, multiple metastases appeared in the lungs and the combined treatment was not satisfactory. At the Affiliated Hospital of Southwest Medical University, high-dose radiation therapy was adopted, with multiple doses of HFRT for the left inguinal lymph node and single-fraction high-dose-rate brachytherapy for the left and right lung metastases, followed by repetitions of immunotherapy, chemotherapy and targeted therapy. The chemotherapy and targeted therapy regimens were identical before and after high-dose radiation therapy, and the chemotherapy combined with immunotherapy after radiotherapy resulted in myelosuppression. Immunotherapy was repeated throughout treatment. Although chemotherapy, immunotherapy and targeted therapy may have contributed to the treatment of the patient, we consider that high-dose radiation therapy based on immunotherapy had a greater role, given that the combination of high-dose radiation therapy and immunotherapy may be more effective in advanced melanoma, as indicated by the course of other treatments before and after the high-dose radiation therapy, as well as by the previously published preclinical and clinical studies (26–29). Nevertheless, more cases should be observed to reach this conclusion. Therefore, it is hypothesized that immunotherapy combined with high-dose radiotherapy may be durably effective in patients with advanced melanoma with localized lesions in the lungs and inguinal masses. This combination is similar to the study by Theelen et al (13). In this phase III trial, the addition of radiotherapy to immunotherapy significantly improved the response and outcomes in patients with metastatic non-small cell lung cancer. Notably, in the present case, the inguinal target area was essentially in CR until the death of the patient. The time of lung target lesion (after high-dose-rate brachytherapy) control was 8 months. The results of the radiotherapy to the lung and inguinal target lesions showed that multiple doses of HFRT may provide notably improved control of the localized lesions than single-fraction high-dose-rate brachytherapy.

In addition, the observation lesions adjacent to the target lesions received lower doses of scatter from the HFRT of the target lesion (0.9–1.8 Gy), and most of the observation lesions (observation lesions 1, 2, 3 and 5) were sustainedly controlled [except for one observation lesion (lesion 4) in the right lung, which received 7.8 Gy. It was considered that the sustained remission of the observation lesions receiving low-dose scattering was attributed to the activation of immune cells by low-dose scattering, which regulated the microenvironment and thus regulated immunotherapy. In a study by Sezen et al (30), a 73-year-old female patient with metastatic vaginal mucosal melanoma received treatment with ibritumomab and nivolumab. In the liver, a second metastatic lesion received lower doses of scattering from the adjacent first metastatic lesion (received HFRT). The second metastatic lesion disappeared after 24 months, which was very similar to the present study. At present, the choice of HFRT and segmentation modality remains inconclusive. In the present case, the low-dose scatter of 0.9–1.8 Gy showed a relatively good effect for the observation lesions (observation lesions 1, 2, 3 and 5), whereas a radiation dose of 7.8 Gy was ineffective for observation lesion 4, which may be attributed to the fact that the lesion received low-dose scattering.

Targeted therapy is effective in patients with advanced or metastatic tumor with well-defined target mutations. Therapy combined with BRAF and MEK inhibitors can improve therapeutic effects and postpone the onset of resistance to these agents (14,15). Lee (31) found that targeted therapy with afatinib could be restarted after the development of resistance in advanced non-small cell lung cancer and in their case the primary tumor continued to shrink after treatment. Similarly, a prospective survey found that patients with advanced melanoma with BRAF V600 mutation and disease progression after treatment with BRAF and MEK inhibitors, who were re-treated with dabrafenib after 3 months, still had objective remission and disease control rates of 32 and 72%, respectively (32). In the present study, the patient showed a significant shrinkage of pulmonary metastases after 2 months of combined dabrafenib and trametinib targeted therapy and was assessed to be PR, but resistance developed after 5 months. After the 1-month discontinuation of targeted therapy, genotyping of the enlarged left inguinal showed that the BRAF V600E mutation was still present, which supported the subsequent restart of targeted therapy. Hence, targeted therapy was restarted after 6 months of discontinuation (Fig. 4). After one cycle of restarted targeted therapy, the disease was assessed as PR, with a PFS of 5 months. This suggests that restarting targeted therapy may remain effective as long as the target is present, despite tumor heterogeneity or alteration of tumor genes after treatment disruption.

After reviewing the entire treatment course of the present patient, some limitations do exist. First, after the patient underwent resection of the left inguinal mass without searching for a primary site at an outside hospital, a dissection of the inguinal lymph nodes should have been performed, which was not the case. Second, according to the National Comprehensive Cancer Network Clinical Practice Guidelines (4), the patient should have received targeted therapy after resection of the inguinal mass due to the BRAF V600E mutation (+), and should have switched to immunotherapy if targeted therapy was ineffective; however, the patient's post-surgical treatment plan in the outside hospital was not standardized: The patient was administered an immunotherapy-combination chemotherapy regimen post-surgery and then switched to targeted therapy after the progression of the treatment. In addition, the primary site was not located from disease onset to death. The preferred treatment regimen for melanoma of the extremities, mucosa and skin varies. In the present study, since the melanoma type was not determined, the treatment of the disease was not effective.

In summary, the present report confirmed that immunotherapy combined with high-dose radiotherapy may be durable and effective for localized lesions in the lungs and inguinal masses for certain patients with advanced melanoma. The present patient had almost CR in the inguinal target area until death, and the time of lung target lesion (after high-dose-rate brachytherapy) control was 8 months. As such, it can be hypothesized that multiple doses of HFRT may be notable better than single high-dose-rate brachytherapy for certain patients. Low-dose scattering at 0.9–1.8 Gy may modulate the tumor microenvironment and improve the immune efficacy of localized lesions. In addition, restarting targeted therapy may remain effective as long as the target is present. Certainly, this needs to be confirmed through further exploration.

Supplementary Material

Supporting Data

Acknowledgements

Not applicable.

Funding

Funding: No funding was received.

Availability of data and materials

The data generated in the present study may be requested from the corresponding author.

Authors' contributions

XD contributed to data collection and analysis and to the writing of the manuscript. KX, XH and SC contributed to implementing the treatment and the collection of case information. QG, HW, XL and QW contributed to the data collection and analysis, and edited the research for intellectual content. HY contributed to the conception and design of the study and took full responsibility for the project, ensuring that any concerns regarding the integrity or accuracy of any portion of the project was duly looked into and addressed. XD and HY confirm the authenticity of all of the raw data. All authors read and approved the final version of the manuscript.

Ethics approval and consent to participate

Not applicable.

Patient consent for publication

Written informed consent was obtained from the patient for the case information and images while the patient was alive. After the patient's death, written informed consent was obtained from the patient's family for the case information and images to be published in this case report. Additionally, the patient and the family member provided the results from the other institutions [First Affiliated Hospital of Army Medical University (Chongqing, China) and West China Hospital of Sichuan University (Chengdu, China)].

Competing interests

The authors declare they have no competing interests.

References

1 

Siegel RL, Miller KD, Wagle NS and Jemal A: Cancer statistics, 2023. CA Cancer J Clin. 73:17–48. 2023. View Article : Google Scholar

2 

No authors listed. Erratum: Global cancer statistics 2018: GLOBOCAN estimates of incidence and mortality worldwide for 36 cancers in 185 countries. CA Cancer J Clin. 70:3132020. View Article : Google Scholar

3 

Bae JM, Choi YY, Kim DS, Lee JH, Jang HS, Lee JH, Kim H, Oh BH, Roh MR, Nam KA and Chung KY: Metastatic melanomas of unknown primary show better prognosis than those of known primary: A systematic review and meta-analysis of observational studies. J Am Acad Dermatol. 72:59–70. 2015. View Article : Google Scholar

4 

Swetter SM, Thompson JA, Albertini MR, Barker CA, Baumgartner J, Boland G, Chmielowski B, DiMaio D, Durham A, Fields RC, et al: NCCN guidelines® insights: Melanoma: Cutaneous, version 2.2021. J Natl Compr Canc Netw. 19:364–376. 2021. View Article : Google Scholar

5 

Strojan P: Role of radiotherapy in melanoma management. Radiol Oncol. 44:1–12. 2010. View Article : Google Scholar

6 

Turley SJ, Cremasco V and Astarita JL: Immunological hallmarks of stromal cells in the tumour microenvironment. Nat Rev Immunol. 15:669–682. 2015. View Article : Google Scholar

7 

Twyman-Saint Victor C, Rech AJ, Maity A, Rengan R, Pauken KE, Stelekati E, Benci JL, Xu B, Dada H, Odorizzi PM, et al: Radiation and dual checkpoint blockade activate non-redundant immune mechanisms in cancer. Nature. 520:373–377. 2015. View Article : Google Scholar

8 

Mohamad O, Diaz de Leon A, Schroeder S, Leiker A, Christie A, Zhang-Velten E, Trivedi L, Khan S, Desai NB, Laine A, et al: Safety and efficacy of concurrent immune checkpoint inhibitors and hypofractionated body radiotherapy. Oncoimmunology. 7:e14401682018. View Article : Google Scholar

9 

Yin L, Xue J, Li R, Zhou L, Deng L, Chen L, Zhang Y, Li Y, Zhang X, Xiu W, et al: Effect of low-dose radiation therapy on abscopal responses to hypofractionated radiation therapy and anti-PD1 in mice and patients with non-small cell lung cancer. Int J Radiat Oncol Biol Phys. 108:212–224. 2020. View Article : Google Scholar

10 

Gabani P, Robinson CG, Ansstas G, Johanns TM and Huang J: Use of extracranial radiation therapy in metastatic melanoma patients receiving immunotherapy. Radiother Oncol. 127:310–317. 2018. View Article : Google Scholar

11 

Welsh JW, Tang C, de Groot P, Naing A, Hess KR, Heymach JV, Papadimitrakopoulou VA, Cushman TR, Subbiah V, Chang JY, et al: Phase II trial of ipilimumab with stereotactic radiation therapy for metastatic disease: Outcomes, toxicities, and low-dose radiation-related abscopal responses. Cancer Immunol Res. 7:1903–1909. 2019. View Article : Google Scholar

12 

Funck-Brentano E, Baghad B, Fort M, Aouidad I, Roger A, Beauchet A, Otmezguine Y, Blom A, Longvert C, Boru B and Saiag P: Efficacy of late concurrent hypofractionated radiotherapy in advanced melanoma patients failing anti-PD-1 monotherapy. Int J Cancer. 147:1707–1714. 2020. View Article : Google Scholar

13 

Theelen WSMW, Chen D, Verma V, Hobbs BP, Peulen HMU, Aerts JGJV, Bahce I, Niemeijer ALN, Chang JY, de Groot PM, et al: Pembrolizumab with or without radiotherapy for metastatic non-small-cell lung cancer: A pooled analysis of two randomised trials. Lancet Respir Med. 9:467–475. 2021. View Article : Google Scholar

14 

Robert C, Karaszewska B, Schachter J, Rutkowski P, Mackiewicz A, Stroiakovski D, Lichinitser M, Dummer R, Grange F, Mortier L, et al: Improved overall survival in melanoma with combined dabrafenib and trametinib. N Engl J Med. 372:30–39. 2015. View Article : Google Scholar

15 

Dummer R, Hauschild A, Santinami M, Atkinson V, Mandalà M, Kirkwood JM, Chiarion Sileni V, Larkin J, Nyakas M, Dutriaux C, et al: Five-year analysis of adjuvant dabrafenib plus trametinib in stage III melanoma. N Engl J Med. 383:1139–1148. 2020. View Article : Google Scholar

16 

Gershenwald JE, Scolyer RA, Hess KR, Sondak VK, Long GV, Ross MI, Lazar AJ, Faries MB, Kirkwood JM, McArthur GA, et al: Melanoma staging: Evidence-based changes in the American joint committee on cancer eighth edition cancer staging manual. CA Cancer J Clin. 67:472–492. 2017. View Article : Google Scholar

17 

Cook J: Surgical margins for resection of primary cutaneous melanoma. Clin Dermatol. 22:228–233. 2004. View Article : Google Scholar

18 

Eriksson H, Frohm-Nilsson M, Järås J, Kanter-Lewensohn L, Kjellman P, Månsson-Brahme E, Vassilaki I and Hansson J: Prognostic factors in localized invasive primary cutaneous malignant melanoma: Results of a large population-based study. Br J Dermatol. 172:175–186. 2015. View Article : Google Scholar

19 

Tarhini AA: Immunotherapy of melanoma. Curr Mol Pharmacol. 9:196–207. 2016. View Article : Google Scholar

20 

Alexandrov LB, Kim J, Haradhvala NJ, Huang MN, Tian Ng AW, Wu Y, Boot A, Covington KR, Gordenin DA, Bergstrom EN, et al: The repertoire of mutational signatures in human cancer. Nature. 578:94–101. 2020. View Article : Google Scholar

21 

Sharma P, Hu-Lieskovan S, Wargo JA and Ribas A: Primary, adaptive, and acquired resistance to cancer immunotherapy. Cell. 168:707–723. 2017. View Article : Google Scholar

22 

Jenkins RW, Barbie DA and Flaherty KT: Mechanisms of resistance to immune checkpoint inhibitors. Br J Cancer. 118:9–16. 2018. View Article : Google Scholar

23 

Burnette BC, Liang H, Lee Y, Chlewicki L, Khodarev NN, Weichselbaum RR, Fu YX and Auh SL: The efficacy of radiotherapy relies upon induction of type I interferon-dependent innate and adaptive immunity. Cancer Res. 71:2488–2496. 2011. View Article : Google Scholar

24 

Kim KW, Jeong JU, Lee KH, Uong TNT, Rhee JH, Ahn SJ, Kim SK, Cho D, Quang Nguyen HP, Pham CT and Yoon MS: Combined NK cell therapy and radiation therapy exhibit long-term therapeutic and antimetastatic effects in a human triple negative breast cancer model. Int J Radiat Oncol Biol Phys. 108:115–125. 2020. View Article : Google Scholar

25 

Ji RR, Chasalow SD, Wang L, Hamid O, Schmidt H, Cogswell J, Alaparthy S, Berman D, Jure-Kunkel M, Siemers NO, et al: An immune-active tumor microenvironment favors clinical response to ipilimumab. Cancer Immunol Immunother. 61:1019–1031. 2012. View Article : Google Scholar

26 

Shaverdian N, Lisberg AE, Bornazyan K, Veruttipong D, Goldman JW, Formenti SC, Garon EB and Lee P: Previous radiotherapy and the clinical activity and toxicity of pembrolizumab in the treatment of non-small-cell lung cancer: A secondary analysis of the KEYNOTE-001 phase 1 trial. Lancet Oncol. 18:895–903. 2017. View Article : Google Scholar

27 

Liniker E, Menzies AM, Kong BY, Cooper A, Ramanujam S, Lo S, Kefford RF, Fogarty GB, Guminski A, Wang TW, et al: Activity and safety of radiotherapy with anti-PD-1 drug therapy in patients with metastatic melanoma. Oncoimmunology. 5:e12147882016. View Article : Google Scholar

28 

Klug F, Prakash H, Huber PE, Seibel T, Bender N, Halama N, Pfirschke C, Voss RH, Timke C, Umansky L, et al: Low-dose irradiation programs macrophage differentiation to an iNOS+/M1 phenotype that orchestrates effective T cell immunotherapy. Cancer Cell. 24:589–602. 2013. View Article : Google Scholar

29 

Menon H, Ramapriyan R, Cushman TR, Verma V, Kim HH, Schoenhals JE, Atalar C, Selek U, Chun SG, Chang JY, et al: Role of radiation therapy in modulation of the tumor stroma and microenvironment. Front Immunol. 10:1932019. View Article : Google Scholar

30 

Sezen D, Patel RR, Tang C, Onstad M, Nagarajan P, Patel SP, Welsh JW and Lin LL: Immunotherapy combined with high- and low-dose radiation to all sites leads to complete clearance of disease in a patient with metastatic vaginal melanoma. Gynecol Oncol. 161:645–652. 2021. View Article : Google Scholar

31 

Lee VHF: Case sharing of a patient re-challenged with afatinib for EGFR-mutated advanced non-small cell lung cancer. Asia Pac J Clin Oncol. 14 (Suppl 1):S4–S6. 2018. View Article : Google Scholar

32 

Schreuer M, Jansen Y, Planken S, Chevolet I, Seremet T, Kruse V and Neyns B: Combination of dabrafenib plus trametinib for BRAF and MEK inhibitor pretreated patients with advanced BRAFV600-mutant melanoma: An open-label, single arm, dual-centre, phase 2 clinical trial. Lancet Oncol. 18:464–472. 2017. View Article : Google Scholar

Related Articles

  • Abstract
  • View
  • Download
  • Twitter
Copy and paste a formatted citation
Spandidos Publications style
Deng X, Xiang K, He X, Chen S, Guo Q, Wu H, Liu X, Wen Q and Yang H: Good response of stage IV melanoma to high‑dose radiation therapy combined with immunotherapy: A case report. Oncol Lett 28: 598, 2024.
APA
Deng, X., Xiang, K., He, X., Chen, S., Guo, Q., Wu, H. ... Yang, H. (2024). Good response of stage IV melanoma to high‑dose radiation therapy combined with immunotherapy: A case report. Oncology Letters, 28, 598. https://doi.org/10.3892/ol.2024.14731
MLA
Deng, X., Xiang, K., He, X., Chen, S., Guo, Q., Wu, H., Liu, X., Wen, Q., Yang, H."Good response of stage IV melanoma to high‑dose radiation therapy combined with immunotherapy: A case report". Oncology Letters 28.6 (2024): 598.
Chicago
Deng, X., Xiang, K., He, X., Chen, S., Guo, Q., Wu, H., Liu, X., Wen, Q., Yang, H."Good response of stage IV melanoma to high‑dose radiation therapy combined with immunotherapy: A case report". Oncology Letters 28, no. 6 (2024): 598. https://doi.org/10.3892/ol.2024.14731
Copy and paste a formatted citation
x
Spandidos Publications style
Deng X, Xiang K, He X, Chen S, Guo Q, Wu H, Liu X, Wen Q and Yang H: Good response of stage IV melanoma to high‑dose radiation therapy combined with immunotherapy: A case report. Oncol Lett 28: 598, 2024.
APA
Deng, X., Xiang, K., He, X., Chen, S., Guo, Q., Wu, H. ... Yang, H. (2024). Good response of stage IV melanoma to high‑dose radiation therapy combined with immunotherapy: A case report. Oncology Letters, 28, 598. https://doi.org/10.3892/ol.2024.14731
MLA
Deng, X., Xiang, K., He, X., Chen, S., Guo, Q., Wu, H., Liu, X., Wen, Q., Yang, H."Good response of stage IV melanoma to high‑dose radiation therapy combined with immunotherapy: A case report". Oncology Letters 28.6 (2024): 598.
Chicago
Deng, X., Xiang, K., He, X., Chen, S., Guo, Q., Wu, H., Liu, X., Wen, Q., Yang, H."Good response of stage IV melanoma to high‑dose radiation therapy combined with immunotherapy: A case report". Oncology Letters 28, no. 6 (2024): 598. https://doi.org/10.3892/ol.2024.14731
Follow us
  • Twitter
  • LinkedIn
  • Facebook
About
  • Spandidos Publications
  • Careers
  • Cookie Policy
  • Privacy Policy
How can we help?
  • Help
  • Live Chat
  • Contact
  • Email to our Support Team