Spandidos Publications Logo
  • About
    • About Spandidos
    • Aims and Scopes
    • Abstracting and Indexing
    • Editorial Policies
    • Reprints and Permissions
    • Job Opportunities
    • Terms and Conditions
    • Contact
  • Journals
    • All Journals
    • Oncology Letters
      • Oncology Letters
      • Information for Authors
      • Editorial Policies
      • Editorial Board
      • Aims and Scope
      • Abstracting and Indexing
      • Bibliographic Information
      • Archive
    • International Journal of Oncology
      • International Journal of Oncology
      • Information for Authors
      • Editorial Policies
      • Editorial Board
      • Aims and Scope
      • Abstracting and Indexing
      • Bibliographic Information
      • Archive
    • Molecular and Clinical Oncology
      • Molecular and Clinical Oncology
      • Information for Authors
      • Editorial Policies
      • Editorial Board
      • Aims and Scope
      • Abstracting and Indexing
      • Bibliographic Information
      • Archive
    • Experimental and Therapeutic Medicine
      • Experimental and Therapeutic Medicine
      • Information for Authors
      • Editorial Policies
      • Editorial Board
      • Aims and Scope
      • Abstracting and Indexing
      • Bibliographic Information
      • Archive
    • International Journal of Molecular Medicine
      • International Journal of Molecular Medicine
      • Information for Authors
      • Editorial Policies
      • Editorial Board
      • Aims and Scope
      • Abstracting and Indexing
      • Bibliographic Information
      • Archive
    • Biomedical Reports
      • Biomedical Reports
      • Information for Authors
      • Editorial Policies
      • Editorial Board
      • Aims and Scope
      • Abstracting and Indexing
      • Bibliographic Information
      • Archive
    • Oncology Reports
      • Oncology Reports
      • Information for Authors
      • Editorial Policies
      • Editorial Board
      • Aims and Scope
      • Abstracting and Indexing
      • Bibliographic Information
      • Archive
    • Molecular Medicine Reports
      • Molecular Medicine Reports
      • Information for Authors
      • Editorial Policies
      • Editorial Board
      • Aims and Scope
      • Abstracting and Indexing
      • Bibliographic Information
      • Archive
    • World Academy of Sciences Journal
      • World Academy of Sciences Journal
      • Information for Authors
      • Editorial Policies
      • Editorial Board
      • Aims and Scope
      • Abstracting and Indexing
      • Bibliographic Information
      • Archive
    • International Journal of Functional Nutrition
      • International Journal of Functional Nutrition
      • Information for Authors
      • Editorial Policies
      • Editorial Board
      • Aims and Scope
      • Abstracting and Indexing
      • Bibliographic Information
      • Archive
    • International Journal of Epigenetics
      • International Journal of Epigenetics
      • Information for Authors
      • Editorial Policies
      • Editorial Board
      • Aims and Scope
      • Abstracting and Indexing
      • Bibliographic Information
      • Archive
    • Medicine International
      • Medicine International
      • Information for Authors
      • Editorial Policies
      • Editorial Board
      • Aims and Scope
      • Abstracting and Indexing
      • Bibliographic Information
      • Archive
  • Articles
  • Information
    • Information for Authors
    • Information for Reviewers
    • Information for Librarians
    • Information for Advertisers
    • Conferences
  • Language Editing
Spandidos Publications Logo
  • About
    • About Spandidos
    • Aims and Scopes
    • Abstracting and Indexing
    • Editorial Policies
    • Reprints and Permissions
    • Job Opportunities
    • Terms and Conditions
    • Contact
  • Journals
    • All Journals
    • Biomedical Reports
      • Information for Authors
      • Editorial Policies
      • Editorial Board
      • Aims and Scope
      • Abstracting and Indexing
      • Bibliographic Information
      • Archive
    • Experimental and Therapeutic Medicine
      • Information for Authors
      • Editorial Policies
      • Editorial Board
      • Aims and Scope
      • Abstracting and Indexing
      • Bibliographic Information
      • Archive
    • International Journal of Epigenetics
      • Information for Authors
      • Editorial Policies
      • Editorial Board
      • Aims and Scope
      • Abstracting and Indexing
      • Bibliographic Information
      • Archive
    • International Journal of Functional Nutrition
      • Information for Authors
      • Editorial Policies
      • Editorial Board
      • Aims and Scope
      • Abstracting and Indexing
      • Bibliographic Information
      • Archive
    • International Journal of Molecular Medicine
      • Information for Authors
      • Editorial Policies
      • Editorial Board
      • Aims and Scope
      • Abstracting and Indexing
      • Bibliographic Information
      • Archive
    • International Journal of Oncology
      • Information for Authors
      • Editorial Policies
      • Editorial Board
      • Aims and Scope
      • Abstracting and Indexing
      • Bibliographic Information
      • Archive
    • Medicine International
      • Information for Authors
      • Editorial Policies
      • Editorial Board
      • Aims and Scope
      • Abstracting and Indexing
      • Bibliographic Information
      • Archive
    • Molecular and Clinical Oncology
      • Information for Authors
      • Editorial Policies
      • Editorial Board
      • Aims and Scope
      • Abstracting and Indexing
      • Bibliographic Information
      • Archive
    • Molecular Medicine Reports
      • Information for Authors
      • Editorial Policies
      • Editorial Board
      • Aims and Scope
      • Abstracting and Indexing
      • Bibliographic Information
      • Archive
    • Oncology Letters
      • Information for Authors
      • Editorial Policies
      • Editorial Board
      • Aims and Scope
      • Abstracting and Indexing
      • Bibliographic Information
      • Archive
    • Oncology Reports
      • Information for Authors
      • Editorial Policies
      • Editorial Board
      • Aims and Scope
      • Abstracting and Indexing
      • Bibliographic Information
      • Archive
    • World Academy of Sciences Journal
      • Information for Authors
      • Editorial Policies
      • Editorial Board
      • Aims and Scope
      • Abstracting and Indexing
      • Bibliographic Information
      • Archive
  • Articles
  • Information
    • For Authors
    • For Reviewers
    • For Librarians
    • For Advertisers
    • Conferences
  • Language Editing
Login Register Submit
  • This site uses cookies
  • You can change your cookie settings at any time by following the instructions in our Cookie Policy. To find out more, you may read our Privacy Policy.

    I agree
Search articles by DOI, keyword, author or affiliation
Search
Advanced Search
presentation
Oncology Letters
Join Editorial Board Propose a Special Issue
Print ISSN: 1792-1074 Online ISSN: 1792-1082
Journal Cover
December-2024 Volume 28 Issue 6

Full Size Image

Sign up for eToc alerts
Recommend to Library

Journals

International Journal of Molecular Medicine

International Journal of Molecular Medicine

International Journal of Molecular Medicine is an international journal devoted to molecular mechanisms of human disease.

International Journal of Oncology

International Journal of Oncology

International Journal of Oncology is an international journal devoted to oncology research and cancer treatment.

Molecular Medicine Reports

Molecular Medicine Reports

Covers molecular medicine topics such as pharmacology, pathology, genetics, neuroscience, infectious diseases, molecular cardiology, and molecular surgery.

Oncology Reports

Oncology Reports

Oncology Reports is an international journal devoted to fundamental and applied research in Oncology.

Experimental and Therapeutic Medicine

Experimental and Therapeutic Medicine

Experimental and Therapeutic Medicine is an international journal devoted to laboratory and clinical medicine.

Oncology Letters

Oncology Letters

Oncology Letters is an international journal devoted to Experimental and Clinical Oncology.

Biomedical Reports

Biomedical Reports

Explores a wide range of biological and medical fields, including pharmacology, genetics, microbiology, neuroscience, and molecular cardiology.

Molecular and Clinical Oncology

Molecular and Clinical Oncology

International journal addressing all aspects of oncology research, from tumorigenesis and oncogenes to chemotherapy and metastasis.

World Academy of Sciences Journal

World Academy of Sciences Journal

Multidisciplinary open-access journal spanning biochemistry, genetics, neuroscience, environmental health, and synthetic biology.

International Journal of Functional Nutrition

International Journal of Functional Nutrition

Open-access journal combining biochemistry, pharmacology, immunology, and genetics to advance health through functional nutrition.

International Journal of Epigenetics

International Journal of Epigenetics

Publishes open-access research on using epigenetics to advance understanding and treatment of human disease.

Medicine International

Medicine International

An International Open Access Journal Devoted to General Medicine.

Journal Cover
December-2024 Volume 28 Issue 6

Full Size Image

Sign up for eToc alerts
Recommend to Library

  • Article
  • Citations
    • Cite This Article
    • Download Citation
    • Create Citation Alert
    • Remove Citation Alert
    • Cited By
  • Similar Articles
    • Related Articles (in Spandidos Publications)
    • Similar Articles (Google Scholar)
    • Similar Articles (PubMed)
  • Download PDF
  • Download XML
  • View XML

  • Supplementary Files
    • Supplementary_Data.pdf
Case Report Open Access

Giant spindle cell rhabdomyosarcoma in an adult thorax: A case report

  • Authors:
    • Yuqing Luo
    • Yao Li
    • Xue Meng
    • Shuai Luo
    • Xiang Huang
    • Jinjing Wang
  • View Affiliations / Copyright

    Affiliations: Department of Pathology, Affiliated Hospital of Zunyi Medical University, Zunyi, Guizhou 563000, P.R. China
    Copyright: © Luo et al. This is an open access article distributed under the terms of Creative Commons Attribution License.
  • Article Number: 611
    |
    Published online on: October 14, 2024
       https://doi.org/10.3892/ol.2024.14744
  • Expand metrics +
Metrics: Total Views: 0 (Spandidos Publications: | PMC Statistics: )
Metrics: Total PDF Downloads: 0 (Spandidos Publications: | PMC Statistics: )
Cited By (CrossRef): 0 citations Loading Articles...

This article is mentioned in:



Abstract

Spindle cell rhabdomyosarcoma (SCRM), a rare and distinct subtype of RM, predominantly affects children. While SCRM can manifest in the head and neck regions of adults, primary occurrences in the thorax are exceedingly uncommon. In the present study, a 24‑year‑old female patient was admitted to the Affiliated Hospital of Zunyi Medical University (Zunyi, China) with a 10‑month history of dull pain in the right side of the chest. The patient had previously received treatment for right‑sided tuberculous pleurisy at another hospital for 6 months, but the symptoms persisted, and the chest pain progressively worsened. A chest computed tomography scan now revealed a large mass in the right thorax. Pathological examination following surgical resection confirmed a diagnosis of SCRM. The patient did not undergo standardized postoperative chemoradiotherapy and the 5‑year follow‑up examination indicated tumor recurrence. Primary thoracic SCRM is a rare tumor that morphologically resembles other spindle cell tumors. Immunohistochemistry is crucial for an accurate diagnosis, and surgical resection remains the primary treatment approach. The clinicopathological features, molecular genetic characteristics and biological behavior of SCRM are largely unknown due to its rarity. Consequently, large‑sample studies are essential to enhance the understanding of this tumor and advance precision medicine treatments.

Introduction

Rhabdomyosarcoma (RM), a prevalent soft-tissue malignancy in children, consists of rhabdomyoblasts at various stages of differentiation. RM predominantly affects the head and neck, genitourinary tract, retroperitoneum and extremities (1). The occurrence of RM, particularly spindle cell RM (SCRM), in the adult thorax is exceptionally rare. To the best of our knowledge, only one case of SCRM in the thoracic cavity has been reported to date (2). The present study details a case of primary thoracic SCRM in an adult patient and includes a literature review to enhance the understanding of this rare tumor type.

RM is a common soft-tissue sarcoma in children and adolescents, and accounts for 3% of all pediatric tumors (3,4). The World Health Organization (2013) classifies soft-tissue tumors into four subtypes based on their morphology: Acinus-shape, embryonal, pleomorphic and sclerotic/SC RM (5). SCRM, first described by Cavazzana et al (6) in 1992, is a specific and rare subtype of RM that primarily occurs in the paradidymal region, followed by the head and neck, in children. The first adult case of SCRM was reported by Rubin et al (7) in 1998. Unlike in children, adult SCRM predominantly occurs in the head and neck region, with cases also reported in the prostate, uterus and bones (8–10). However, primary thoracic SCRM is extremely rare in clinical settings, with only one case involving a 5-year-old female patient reported to date (2), to the best of our knowledge.

The present study aims to enhance the understanding and awareness of this rare tumor by providing a detailed report of a case of a giant SCRM in the thorax of an adult. By describing the clinical characteristics, pathological findings and treatment outcomes of this case, the study offers valuable insights for the diagnosis and management of similar cases. Additionally, it contributes to the early clinical identification of this tumor and supports the development of individualized therapeutic strategies.

Case report

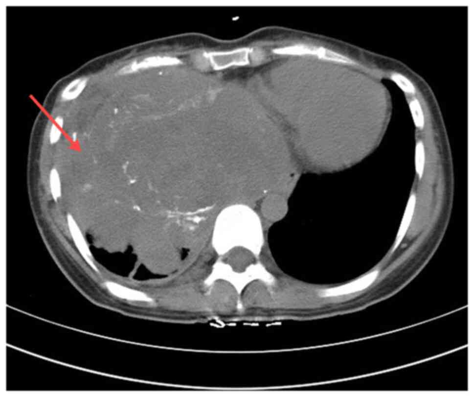
A 24-year-old female patient was admitted to the Affiliated Hospital of Zunyi Medical University (Zunyi, China) in November 2012 due to right chest pain for 10 months and aggravation for 4 months. The patient initially experienced dull pain in the right side of the chest without any apparent cause. The patient had no symptoms, such as a cough, phlegm, cold, fever, abdominal pain or distension. At 10 months prior to admission, the patient was treated at Affiliated Hospital of Guiyang Medical College (Guiyang, China) for dull right-sided chest pain. A chest and abdominal computed tomography (CT) scan revealed a large space in the right upper diaphragm and right pleural effusion. Despite 6 months of treatment for right-sided tuberculous pleurisy, the symptoms persisted, and a mass puncture performed 4 months prior to the current admission identified a spindle cell tumor. In the last 3 months, the patient's chest pain on the right side continued to worsen, prompting a transfer to the Affiliated Hospital of Zunyi Medical University for further treatment. The patient was admitted with a diagnosis of a right thoracic tumor. Upon physical examination, the following findings were noted: Decreased respiratory motion of the right lung, pain induced by light pressure on the right chest wall, a solid sound on percussion of the right lung and a leftward shift of the relative border of cardiac dullness. Laboratory tests for tumor markers and biochemical indicators were normal. A chest CT scan showed irregular masses in the right lower thorax, the right middle mediastinum and the diaphragm area, with unclear borders and uneven density. CT values ranged from 25–65 Hounsfield units, with a maximum cross-sectional area of ~173×140 mm. Multiple nodular and small dot-like high-density shadows were observed. Enhancement scans indicated heterogeneous enhancement, significant compression and deformation of the right inferior pulmonary vein and right atrium, a poor display of the right atrium, and a leftward shift of the mediastinum and heart. No adjacent bone destruction was observed (Fig. 1). The patient had no specific past medical or family history. The patient underwent a thoracotomy for a suspected primary thoracic tumor. Intraoperatively, yellowish effusion was noted in the right thorax, and the tumor occupied approximately three-quarters of the right thorax, displaying a large lobulated morphology. The tumor exhibited aggressive growth, invading the diaphragm, lower lung, mediastinum and part of the chest wall, with an incomplete capsule. The tumor protruded downward into the abdominal cavity, but did not invade the liver and heart, with a clear demarcation between the tumor and the pericardium.

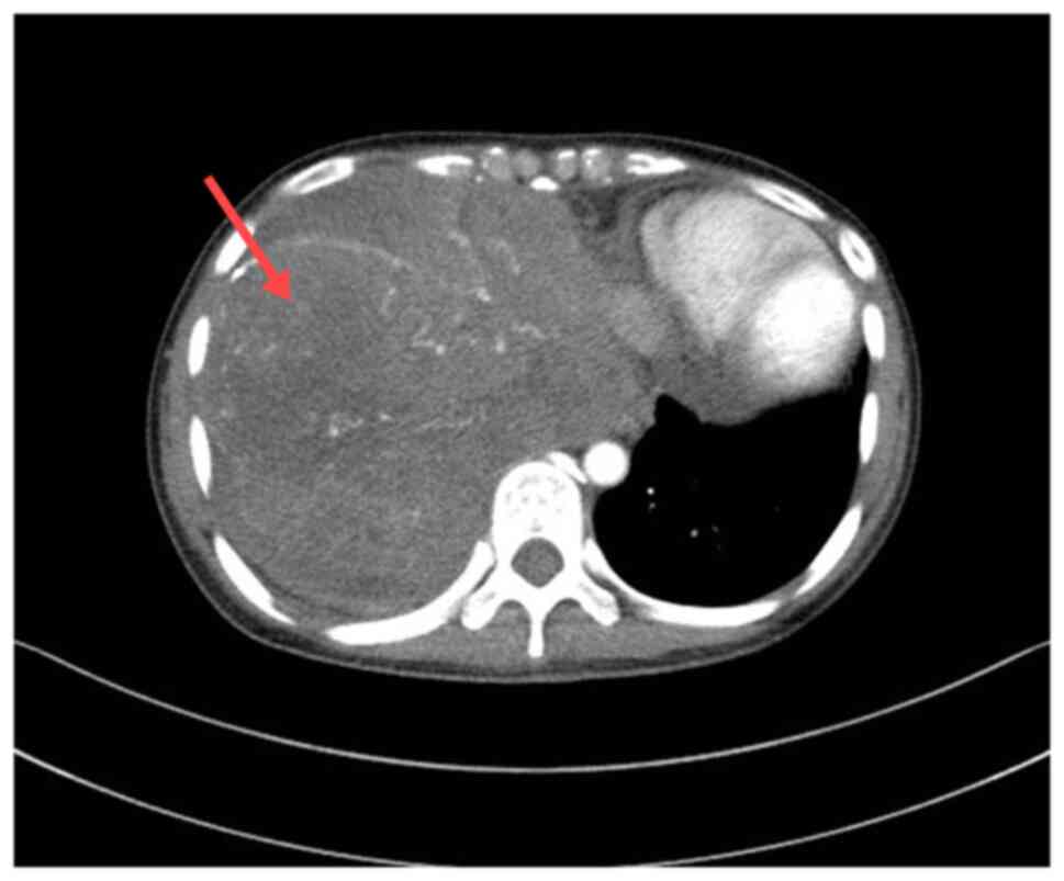
Figure 1.

Enhanced computed tomography image showing an irregular mass (red arrow) in the right thorax.

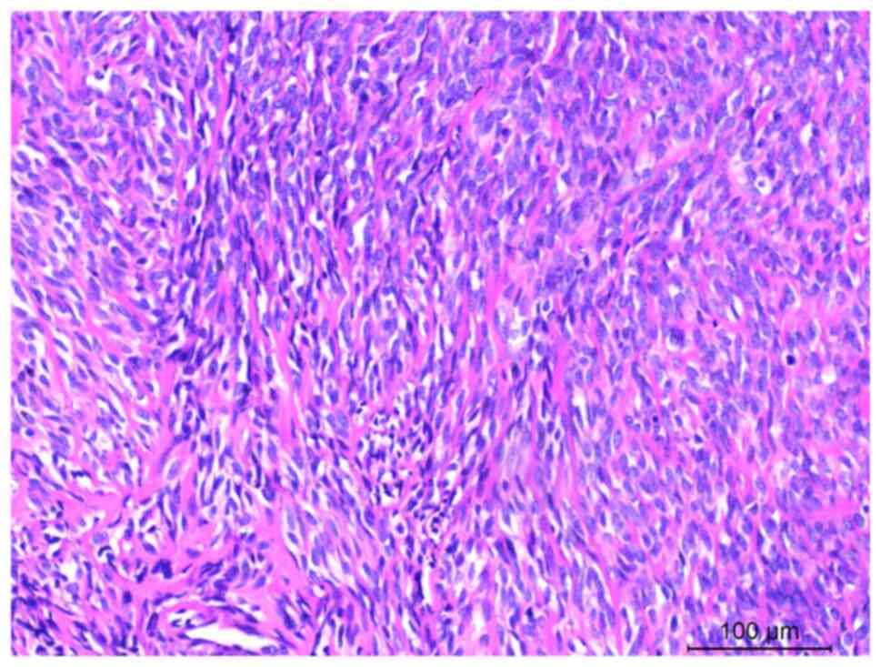
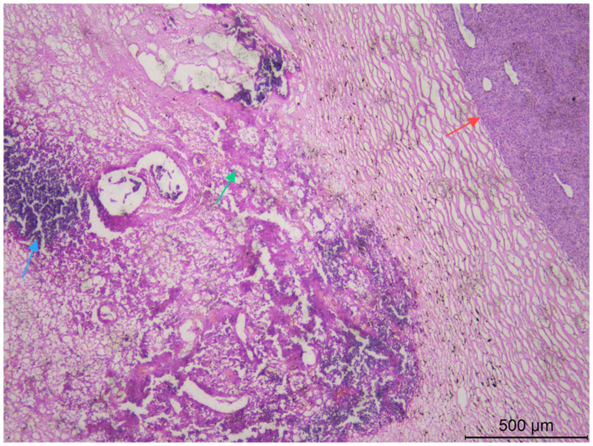
The pathological findings were of a mass of gray-white and gray-red fragmented tissue measuring 25.0×20.0×8.0 cm, with some well-defined areas. The cut surface had a fish meat-like appearance, gray-white and gray-red in color, with a solid and soft texture. The specimens were fixed in 4% neutral formalin at room temperature for 12 h, followed by routine dehydration, paraffin embedding and sectioning at a thickness of 5 µm. Hematoxylin and eosin staining was then performed at room temperature for 5 min each. Examination under a light microscopic examination revealed an incomplete tumor capsule with infiltrative growth, and tumor cells were observed to invade the surrounding muscle and adipose tissue. The tumor predominantly consisted of long spindle cells arranged in bundles, featuring darkly stained nuclei, inconspicuous nucleoli, mitosis and eosinophilic cytoplasm (Fig. 2). In a few regions, the tumor cells were naive, stellate or irregularly shaped, with interstitial mucinous edema-like changes. Some tumor cells showed lamellar necrosis and calcification (Fig. 3).

Figure 2.

Hematoxylin and eosin staining showing that the tumor is primarily comprised of spindle cells arranged in bundles, with deep-stained nuclei, inconspicuous nucleoli and abundant eosinophilic cytoplasm. Scale bar, 100 µm.

Figure 3.

Hematoxylin and eosin staining showing lamellar necrosis and calcification in some areas of the tumor. Scale bar, 500 µm. The red arrow indicates tumor cells, the green arrow indicates necrosis and the blue arrow indicates calcification.

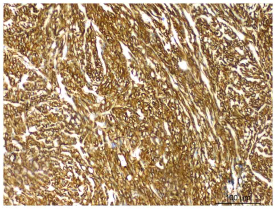
The specimens were fixed in 10% neutral formalin, followed by routine dehydration, paraffin embedding and sectioning at a thickness of 3 µm. Immunohistochemistry using the Envision two-step method was employed to assess the expression of relevant proteins in the tumor tissue. The staining procedures were performed strictly according to the manufacturer's instructions (all primary antibodies used were rabbit and mouse anti-human monoclonal antibodies, purchased from Fuzhou Maixin Biotechnology Development Co. Ltd., and were used at a working concentration of 1:100). The primary antibodies were added to the sections and incubated overnight (12 h) at 4°C. Immunohistochemical staining revealed, under a light microscope, that the tumor cells expressed vimentin (catalog no. RMA-0547) (Fig. 4), myoblast determination protein 1 (MyoD1) (catalog no. MAB-0822) (Fig. 5) and desmin (catalog no. MAB-0766) (Fig. 6), but did not express CD117 (catalog no. Kit-0029), CD34 (catalog no. MAB-1076), CD68 (catalog number: Kit-0026), epithelial membrane antigen (EMA) (catalog no. Kit-0011), smooth muscle actin (catalog no. ZM-0003), pan cytokeratin (AE1/AE3) (catalog no. Kit-0009), cytokeratin (CK)7 (catalog no. MAB-0828), CK19 (catalog no. MAB-0829), CD99 (catalog no. MAB-1012), transcription factor SOX-10 (SOX-10) (catalog no. RMA-1058), synaptophysin (catalog no. MAB-0742), neuron-specific enolase (catalog no. MAB-0791), S100 (catalog no. RAB-0150) and anaplastic lymphoma kinase (catalog no. MAB-0848) (Fig. S1). The Ki-67 index was ~30%. The patient was pathologically diagnosed with a right thoracic SCRM.

Figure 4.

Immunohistochemistry showing vimentin positivity, as evidenced by EnVision staining. Scale bar, 100 µm.

Figure 5.

Immunohistochemistry showing diffused nuclear staining for myoblast determination protein 1, as evidenced by EnVision staining. Scale bar, 200 µm.

Figure 6.

Immunohistochemistry showing weak positive staining for desmin, as evidenced by EnVision staining. Scale bar, 100 µm.

The patient was in good condition after surgery, and telephone follow-ups were performed at 1, 3 and 5 years after surgery. However, due to personal economic conditions and other factors, the patient declined postoperative radiotherapy and chemotherapy, and regular physical examinations. After 5 years, the patient exhibited symptoms of chest pain and dyspnea. A chest CT scan at the 5-year follow-up visit suggested a recurrence of the thoracic tumor (Fig. 7), and the patient continued to refuse treatment. The patient has been lost to follow-up.

Figure 7.

Computed tomography image at the 5-year follow-up suggesting a right-sided thoracic mass (red arrow).

Discussion

The clinical presentation of primary thoracic SCRM lacks specificity. The severity of symptoms depends on primary site and size of the tumor, the degree of compression and infiltration, and the extent of tissue destruction caused by the tumor cells. A preoperative diagnosis of SCRM is challenging due to the non-specific nature of imaging findings (2,11,12). In the present case report, the patient primarily presented with chest pain, without additional symptoms such as hemoptysis or a cough. Microscopically, the tumor predominantly consisted of spindle cells arranged in interlacing bundles, resembling fibrosarcoma and leiomyosarcoma. The spindle cells exhibited abundant red-stained cytoplasm, oval or elongated nuclei with deep staining, and inconspicuous or small nucleoli. Additionally, a small number of spindle or polygonal rhabdomyoblasts were interspersed among the spindle cells. The presence of rhabdomyoblasts suggested a diagnosis of SCRM, with mitotic figures ranging from 1 to 30 per 10 high-power fields. Immunohistochemical staining demonstrated varying degrees of expression of myogenic markers, including desmin and MyoD1, in the SCRM (13), with strong positivity for MyoD1. However, epithelial markers (such as CK and EMA) and neurogenic markers (such as S-100 and SOX-10) were not expressed.

Molecular genetic studies have identified genetic differences between young children with SCRM and older children or adults with the same condition. Young children often present with vestigial-like family member 2, serum response factor, TEA domain transcription factor 1 or nuclear receptor coactivator 2-associated gene fusions, which are associated with a better prognosis (3). By contrast, older children and adults frequently have mutations in the MYOD1 gene, leading to a poorer prognosis. Tsai et al (14) reported the cases of a group of patients aged 8–64 years with SCRM, finding that the mutation rate in MYOD1 was 30–67%. MYOD1 was diffusely expressed, and myogenin showed patchy expression in all MYOD1-mutated patients. Additionally, Dashti et al (10) reported a case of bone SCRM with fused in sarcoma-transcription factor cellular promoter 2 gene fusion. Further research on SCRM is expected to uncover more molecular genetic alterations, providing a basis for improved treatment strategies. However, no genetic analysis was performed in the present case for economic reasons.

Primary thoracic SCRM must be distinguished from the following tumors: i) Fibromatosis: Occurring primarily in adults with aggressive growth, fibromatosis features long, spindle-shaped tumor cells with minimal cellular atypia, low mitotic activity and abundant interstitial collagen fibers. Immunohistochemically, SMA and catenin are expressed, while MyoD1 and myogenin are not (15–18). ii) Adult-type fibrosarcoma: Comprised of fibroblasts, these tumors present with long, spindle-shaped cells with pointed nuclei arranged in bundles or a herringbone pattern, and abundant interstitial collagen. Hemangiopericytoma-like structures are common in congenital fibrosarcoma. Immunohistochemical markers are positive for vimentin but negative for desmin, MyoD1 and myogenin (19,20). iii) Leiomyosarcoma: Primarily occurring in the retroperitoneum, extremities, trunk, head and neck of adults, leiomyosarcoma consists of fasciculated spindle cells with abundant eosinophilic cytoplasm arranged longitudinally and transversely. Tumor cells feature rod-shaped nuclei with blunt ends. Immunohistochemical assays typically show SMA positivity and MyoD1 negativity (21,22). iv) Synovial sarcoma: Often found around large joints in patients aged 15–40 years, synovial sarcoma consists of epithelial and spindle cell components. Spindle cells are uniform with scant cytoplasm, ovoid nuclei, and inconspicuous nucleoli; localized hemangiopericytoma-like structures are common. Poorly differentiated synovial sarcoma cells can resemble RM. Immunohistochemically, CD99 and BCL-2 are positive, while myogenic markers are negative (23,24). Fluorescence in situ hybridization assays frequently reveal synaptotagmin gene translocation (25,26). v) Mixed malignant tumors of neuroepithelial origin: Affecting the extremities, head and neck, retroperitoneum, abdominal wall, perineum, scrotum and brain, these tumors exhibit multiple differentiations, including ganglion cells, neuroblastoma cells and RM cells. RM is characterized by the absence of a neuroepithelial component (27).

RM is primarily treated with surgery combined with chemoradiotherapy. The study by Yasui et al (5) emphasized that complete resection of the tumor, along with adjuvant chemotherapy and radiotherapy, could prevent local recurrence. Prognostic factors for RM include the location of the tumor, the completeness of its resection, its size and its histological subtype (28,29). The highly aggressive nature of SCRM in adults contributes to a poor prognosis (30). A previous study has shown that adult RM generally has a worse prognosis compared with that of pediatric RM, with 24.6% of patients dying from the cancer or treatment-associated complications, The overall 5-year survival and metastasis-free survival rates were recorded as 52.9 and 62.9%, respectively, The sole predictor of metastasis was the National Federation of Cancer Centers tumor grade (31). Although most RM cases present as large tumors, lymph node or distant metastases are rare at the time of diagnosis. In one study, RM initially showed a good response to vincristine, actinomycin and cyclophosphamide chemotherapy, but >50% of tumors recurred or progressed. These data suggest that SCRM has a worse prognosis compared with the infantile fetal variation (5). In the present adult patient, despite complete resection of the tumor, no standardized radiotherapy and chemotherapy regimen was available, and disease progression was observed over a 5-year follow-up period. Therefore, standardized postoperative radiotherapy and chemotherapy are crucial components of the treatment plan.

In conclusion, RM is a rare soft-tissue malignancy. Adult SCRM is particularly aggressive and associated with a poor prognosis. Due to its rarity, the clinicopathological features, molecular genetic characteristics and biological behavior of SCRM are not well understood. Consequently, large-sample analyses are essential to enhance the understanding of this tumor and facilitate the development of more effective precision medicine strategies.

Supplementary Material

Supporting Data

Acknowledgements

Not applicable.

Funding

Funding: No funding was received.

Availability of data and materials

The data generated in the present study are included in the figures and/or tables of this article.

Authors' contributions

YQL and JJW analyzed the data and were the primary author of the manuscript. SL acquired the CT scan images. YL performed the immunohistochemical staining. XM analyzed patient data. JJW and YQL confirm the authenticity of the data. JJW and XH conducted the histopathological evaluation and assisted in writing the manuscript. All authors have read and approved the final manuscript.

Ethics approval and consent to participate

This case report was approved by the Ethics Committee of the Affiliated Hospital of Zunyi Medical University (Zunyi, China; approval no. KLLY-2020-064).

Patient consent for publication

Written informed consent was obtained from the patient for the publication of this case report and any accompanying images.

Competing interests

The authors declare that they have no competing interests.

References

1 

Skapek SX, Ferrari A, Gupta AA, Lupo PJ, Butler E, Shipley J, Barr FG and Hawkins DS: Rhabdomyosarcoma. Nat Rev Dis Primers. 5:12019. View Article : Google Scholar

2 

Su F, Li S, Shou J, Hong Q and Zhang ZX: Giant spindle cell rhabdomyosarcoma of children in the thoracic cavity: A case report. Zhonghua Zhong Liu Za Zhi. 42:779–780. 2020.(In Chinese).

3 

Smith MH, Atherton D, Reith JD, Islam NM, Bhattacharyya I and Cohen DM: Rhabdomyosarcoma, spindle cell/sclerosing variant: A clinical and histopathological examination of this rare variant with three new cases from the oral cavity. Head Neck Pathol. 11:494–500. 2017. View Article : Google Scholar

4 

Amer KM, Thomson JE, Congiusta D, Dobitsch A, Chaudhry A, Li M, Chaudhry A, Bozzo A, Siracuse B, Aytekin MN, et al: Epidemiology, incidence, and survival of rhabdomyosarcoma subtypes: SEER and ICES database analysis. J Orthop Res. 37:2226–2230. 2019. View Article : Google Scholar

5 

Yasui N, Yoshida A, Kawamoto H, Yonemori K, Hosono A and Kawai A: Clinicopathologic analysis of spindle cell/sclerosing rhabdomyosarcoma. Pediatr Blood Cancer. 62:1011–1016. 2015. View Article : Google Scholar

6 

Cavazzana AO, Schmidt D, Ninfo V, Harms D, Tollot M, Carli M, Treuner J, Betto R and Salviati G: Spindle cell rhabdomyosarcoma. A prognostically favorable variant of rhabdomyosarcoma. Am J Surg Pathol. 16:229–235. 1992. View Article : Google Scholar

7 

Rubin BP, Hasserjian RP, Singer S, Janecka I, Fletcher JA and Fletcher CD: Spindle cell rhabdomyosarcoma (so-called) in adults: Report of two cases with emphasis on differential diagnosis. Am J Surg Pathol. 22:459–464. 1998. View Article : Google Scholar

8 

Schildhaus HU, Lokka S, Fenner W, Küster J, Kühnle I and Heinmöller E: Spindle cell embryonal rhabdomyosarcoma of the prostate in an adult patient-case report and review of clinicopathological features. Diagn Pathol. 11:562016. View Article : Google Scholar

9 

McCluggage WG, Lioe TF, McClelland HR and Lamki H: Rhabdomyosarcoma of the uterus: Report of two cases, including one of the spindle cell variant. Int J Gynecol Cancer. 12:128–132. 2002. View Article : Google Scholar

10 

Dashti NK, Wehrs RN, Thomas BC, Nair A, Davila J, Buckner JC, Martinez AP, Sukov WR, Halling KC, Howe BM and Folpe AL: Spindle cell rhabdomyosarcoma of bone with FUS-TFCP2 fusion: Confirmation of a very recently described rhabdomyosarcoma subtype. Histopathology. 73:514–520. 2018. View Article : Google Scholar

11 

Przygodzki RM, Moran CA, Suster S and Koss MN: Primary pulmonary rhabdomyosarcomas: A clinicopathologic and immunohistochemical study of three cases. Mod Pathol. 8:658–661. 1995.

12 

Travis WD: Sarcomatoid neoplasms of the lung and pleura. Arch Pathol Lab Med. 134:1645–1658. 2010. View Article : Google Scholar

13 

Agaram NP: Evolving classification of rhabdomyosarcoma. Histopathology. 80:98–108. 2022. View Article : Google Scholar

14 

Tsai JW, ChangChien YC, Lee JC, Kao YC, Li WS, Liang CW, Liao IC, Chang YM, Wang JC, Tsao CF, et al: The expanding morphological and genetic spectrum of MYOD1-mutant spindle cell/sclerosing rhabdomyosarcomas: A clinicopathological and molecular comparison of mutated and non-mutated cases. Histopathology. 74:933–943. 2019. View Article : Google Scholar

15 

Goldstein JA and Cates JM: Differential diagnostic considerations of desmoid-type fibromatosis. Adv Anat Pathol. 22:260–266. 2015. View Article : Google Scholar

16 

Skubitz KM: Biology and treatment of aggressive fibromatosis or desmoid tumor. Mayo Clin Proc. 92:947–964. 2017. View Article : Google Scholar

17 

Riedel RF and Agulnik M: Evolving strategies for management of desmoid tumor. Cancer. 128:3027–3040. 2022. View Article : Google Scholar

18 

Garcia-Ortega DY, Martín-Tellez KS, Cuellar-Hubbe M, Martínez-Said H, Álvarez-Cano A, Brener-Chaoul M, Alegría-Baños JA and Martínez-Tlahuel JL: Desmoid-type fibromatosis. Cancers (Basel). 12:18512020. View Article : Google Scholar

19 

Bahrami A and Folpe AL: Adult-type fibrosarcoma: A reevaluation of 163 putative cases diagnosed at a single institution over a 48-year period. Am J Surg Pathol. 34:1504–1513. 2010. View Article : Google Scholar

20 

Folpe AL: Fibrosarcoma: A review and update. Histopathology. 64:12–25. 2014. View Article : Google Scholar

21 

Serrano C and George S: Leiomyosarcoma. Hematol Oncol Clin North Am. 27:957–974. 2013. View Article : Google Scholar

22 

Bayçelebi D, Kefeli M, Yıldız L and Karagöz F: Comprehensive immunohistochemical analysis based on the origin of leiomyosarcoma. Pol J Pathol. 73:233–243. 2022. View Article : Google Scholar

23 

Fisher C: Synovial sarcoma. Ann Diagn Pathol. 2:401–421. 1998. View Article : Google Scholar

24 

Fiore M, Sambri A, Spinnato P, Zucchini R, Giannini C, Caldari E, Pirini MG and De Paolis M: The biology of synovial sarcoma: state-of-the-art and future perspectives. Curr Treat Options Oncol. 22:1092021. View Article : Google Scholar

25 

Sun Y, Sun BC, Liu YX, Zhang SW, Zhao XL, Wang J and Hao XS: Diagnostic value of SYT-SSX fusion gene detection by fluorescence in-situ hybridization for synovial sarcoma. Zhonghua Bing Li Xue Za Zhi. 37:660–664. 2008.(In Chinese).

26 

Shahi F, Alishahi R, Pashaiefar H, Jahanzad I, Kamalian N, Ghavamzadeh A and Yaghmaie M: Differentiating and categorizing of liposarcoma and synovial sarcoma neoplasms by fluorescence in situ hybridization. Iran J Pathol. 12:209–217. 2017. View Article : Google Scholar

27 

Louis DN, Perry A, Wesseling P, Brat DJ, Cree IA, Figarella-Branger D, Hawkins C, Ng HK, Pfister SM, Reifenberger G, et al: The 2021 WHO classification of tumors of the central nervous system: A summary. Neuro Oncol. 23:1231–1251. 2021. View Article : Google Scholar

28 

Yechieli RL, Mandeville HC, Hiniker SM, Bernier-Chastagner V, McGovern S, Scarzello G, Wolden S, Cameron A, Breneman J, Fajardo RD and Donaldson SS: Rhabdomyosarcoma. Pediatr Blood Cancer. 68 (Suppl 2):e282542021. View Article : Google Scholar

29 

Dasgupta R, Fuchs J and Rodeberg D: Rhabdomyosarcoma. Semin Pediatr Surg. 25:276–283. 2016. View Article : Google Scholar

30 

Carroll SJ and Nodit L: Spindle cell rhabdomyosarcoma: A brief diagnostic review and differential diagnosis. Arch Pathol Lab Med. 137:1155–1158. 2013. View Article : Google Scholar

31 

Stock N, Chibon F, Binh MB, Terrier P, Michels JJ, Valo I, Robin YM, Guillou L, Ranchère-Vince D, Decouvelaere AV, et al: Adult-type rhabdomyosarcoma: analysis of 57 cases with clinicopathologic description, identification of 3 morphologic patterns and prognosis. Am J Surg Pathol. 33:1850–1859. 2009. View Article : Google Scholar

Related Articles

  • Abstract
  • View
  • Download
  • Twitter
Copy and paste a formatted citation
Spandidos Publications style
Luo Y, Li Y, Meng X, Luo S, Huang X and Wang J: Giant spindle cell rhabdomyosarcoma in an adult thorax: A case report. Oncol Lett 28: 611, 2024.
APA
Luo, Y., Li, Y., Meng, X., Luo, S., Huang, X., & Wang, J. (2024). Giant spindle cell rhabdomyosarcoma in an adult thorax: A case report. Oncology Letters, 28, 611. https://doi.org/10.3892/ol.2024.14744
MLA
Luo, Y., Li, Y., Meng, X., Luo, S., Huang, X., Wang, J."Giant spindle cell rhabdomyosarcoma in an adult thorax: A case report". Oncology Letters 28.6 (2024): 611.
Chicago
Luo, Y., Li, Y., Meng, X., Luo, S., Huang, X., Wang, J."Giant spindle cell rhabdomyosarcoma in an adult thorax: A case report". Oncology Letters 28, no. 6 (2024): 611. https://doi.org/10.3892/ol.2024.14744
Copy and paste a formatted citation
x
Spandidos Publications style
Luo Y, Li Y, Meng X, Luo S, Huang X and Wang J: Giant spindle cell rhabdomyosarcoma in an adult thorax: A case report. Oncol Lett 28: 611, 2024.
APA
Luo, Y., Li, Y., Meng, X., Luo, S., Huang, X., & Wang, J. (2024). Giant spindle cell rhabdomyosarcoma in an adult thorax: A case report. Oncology Letters, 28, 611. https://doi.org/10.3892/ol.2024.14744
MLA
Luo, Y., Li, Y., Meng, X., Luo, S., Huang, X., Wang, J."Giant spindle cell rhabdomyosarcoma in an adult thorax: A case report". Oncology Letters 28.6 (2024): 611.
Chicago
Luo, Y., Li, Y., Meng, X., Luo, S., Huang, X., Wang, J."Giant spindle cell rhabdomyosarcoma in an adult thorax: A case report". Oncology Letters 28, no. 6 (2024): 611. https://doi.org/10.3892/ol.2024.14744
Follow us
  • Twitter
  • LinkedIn
  • Facebook
About
  • Spandidos Publications
  • Careers
  • Cookie Policy
  • Privacy Policy
How can we help?
  • Help
  • Live Chat
  • Contact
  • Email to our Support Team