Spandidos Publications Logo
  • About
    • About Spandidos
    • Aims and Scopes
    • Abstracting and Indexing
    • Editorial Policies
    • Reprints and Permissions
    • Job Opportunities
    • Terms and Conditions
    • Contact
  • Journals
    • All Journals
    • Oncology Letters
      • Oncology Letters
      • Information for Authors
      • Editorial Policies
      • Editorial Board
      • Aims and Scope
      • Abstracting and Indexing
      • Bibliographic Information
      • Archive
    • International Journal of Oncology
      • International Journal of Oncology
      • Information for Authors
      • Editorial Policies
      • Editorial Board
      • Aims and Scope
      • Abstracting and Indexing
      • Bibliographic Information
      • Archive
    • Molecular and Clinical Oncology
      • Molecular and Clinical Oncology
      • Information for Authors
      • Editorial Policies
      • Editorial Board
      • Aims and Scope
      • Abstracting and Indexing
      • Bibliographic Information
      • Archive
    • Experimental and Therapeutic Medicine
      • Experimental and Therapeutic Medicine
      • Information for Authors
      • Editorial Policies
      • Editorial Board
      • Aims and Scope
      • Abstracting and Indexing
      • Bibliographic Information
      • Archive
    • International Journal of Molecular Medicine
      • International Journal of Molecular Medicine
      • Information for Authors
      • Editorial Policies
      • Editorial Board
      • Aims and Scope
      • Abstracting and Indexing
      • Bibliographic Information
      • Archive
    • Biomedical Reports
      • Biomedical Reports
      • Information for Authors
      • Editorial Policies
      • Editorial Board
      • Aims and Scope
      • Abstracting and Indexing
      • Bibliographic Information
      • Archive
    • Oncology Reports
      • Oncology Reports
      • Information for Authors
      • Editorial Policies
      • Editorial Board
      • Aims and Scope
      • Abstracting and Indexing
      • Bibliographic Information
      • Archive
    • Molecular Medicine Reports
      • Molecular Medicine Reports
      • Information for Authors
      • Editorial Policies
      • Editorial Board
      • Aims and Scope
      • Abstracting and Indexing
      • Bibliographic Information
      • Archive
    • World Academy of Sciences Journal
      • World Academy of Sciences Journal
      • Information for Authors
      • Editorial Policies
      • Editorial Board
      • Aims and Scope
      • Abstracting and Indexing
      • Bibliographic Information
      • Archive
    • International Journal of Functional Nutrition
      • International Journal of Functional Nutrition
      • Information for Authors
      • Editorial Policies
      • Editorial Board
      • Aims and Scope
      • Abstracting and Indexing
      • Bibliographic Information
      • Archive
    • International Journal of Epigenetics
      • International Journal of Epigenetics
      • Information for Authors
      • Editorial Policies
      • Editorial Board
      • Aims and Scope
      • Abstracting and Indexing
      • Bibliographic Information
      • Archive
    • Medicine International
      • Medicine International
      • Information for Authors
      • Editorial Policies
      • Editorial Board
      • Aims and Scope
      • Abstracting and Indexing
      • Bibliographic Information
      • Archive
  • Articles
  • Information
    • Information for Authors
    • Information for Reviewers
    • Information for Librarians
    • Information for Advertisers
    • Conferences
  • Language Editing
Spandidos Publications Logo
  • About
    • About Spandidos
    • Aims and Scopes
    • Abstracting and Indexing
    • Editorial Policies
    • Reprints and Permissions
    • Job Opportunities
    • Terms and Conditions
    • Contact
  • Journals
    • All Journals
    • Biomedical Reports
      • Information for Authors
      • Editorial Policies
      • Editorial Board
      • Aims and Scope
      • Abstracting and Indexing
      • Bibliographic Information
      • Archive
    • Experimental and Therapeutic Medicine
      • Information for Authors
      • Editorial Policies
      • Editorial Board
      • Aims and Scope
      • Abstracting and Indexing
      • Bibliographic Information
      • Archive
    • International Journal of Epigenetics
      • Information for Authors
      • Editorial Policies
      • Editorial Board
      • Aims and Scope
      • Abstracting and Indexing
      • Bibliographic Information
      • Archive
    • International Journal of Functional Nutrition
      • Information for Authors
      • Editorial Policies
      • Editorial Board
      • Aims and Scope
      • Abstracting and Indexing
      • Bibliographic Information
      • Archive
    • International Journal of Molecular Medicine
      • Information for Authors
      • Editorial Policies
      • Editorial Board
      • Aims and Scope
      • Abstracting and Indexing
      • Bibliographic Information
      • Archive
    • International Journal of Oncology
      • Information for Authors
      • Editorial Policies
      • Editorial Board
      • Aims and Scope
      • Abstracting and Indexing
      • Bibliographic Information
      • Archive
    • Medicine International
      • Information for Authors
      • Editorial Policies
      • Editorial Board
      • Aims and Scope
      • Abstracting and Indexing
      • Bibliographic Information
      • Archive
    • Molecular and Clinical Oncology
      • Information for Authors
      • Editorial Policies
      • Editorial Board
      • Aims and Scope
      • Abstracting and Indexing
      • Bibliographic Information
      • Archive
    • Molecular Medicine Reports
      • Information for Authors
      • Editorial Policies
      • Editorial Board
      • Aims and Scope
      • Abstracting and Indexing
      • Bibliographic Information
      • Archive
    • Oncology Letters
      • Information for Authors
      • Editorial Policies
      • Editorial Board
      • Aims and Scope
      • Abstracting and Indexing
      • Bibliographic Information
      • Archive
    • Oncology Reports
      • Information for Authors
      • Editorial Policies
      • Editorial Board
      • Aims and Scope
      • Abstracting and Indexing
      • Bibliographic Information
      • Archive
    • World Academy of Sciences Journal
      • Information for Authors
      • Editorial Policies
      • Editorial Board
      • Aims and Scope
      • Abstracting and Indexing
      • Bibliographic Information
      • Archive
  • Articles
  • Information
    • For Authors
    • For Reviewers
    • For Librarians
    • For Advertisers
    • Conferences
  • Language Editing
Login Register Submit
  • This site uses cookies
  • You can change your cookie settings at any time by following the instructions in our Cookie Policy. To find out more, you may read our Privacy Policy.

    I agree
Search articles by DOI, keyword, author or affiliation
Search
Advanced Search
presentation
Oncology Letters
Join Editorial Board Propose a Special Issue
Print ISSN: 1792-1074 Online ISSN: 1792-1082
Journal Cover
January-2025 Volume 29 Issue 1

Full Size Image

Sign up for eToc alerts
Recommend to Library

Journals

International Journal of Molecular Medicine

International Journal of Molecular Medicine

International Journal of Molecular Medicine is an international journal devoted to molecular mechanisms of human disease.

International Journal of Oncology

International Journal of Oncology

International Journal of Oncology is an international journal devoted to oncology research and cancer treatment.

Molecular Medicine Reports

Molecular Medicine Reports

Covers molecular medicine topics such as pharmacology, pathology, genetics, neuroscience, infectious diseases, molecular cardiology, and molecular surgery.

Oncology Reports

Oncology Reports

Oncology Reports is an international journal devoted to fundamental and applied research in Oncology.

Experimental and Therapeutic Medicine

Experimental and Therapeutic Medicine

Experimental and Therapeutic Medicine is an international journal devoted to laboratory and clinical medicine.

Oncology Letters

Oncology Letters

Oncology Letters is an international journal devoted to Experimental and Clinical Oncology.

Biomedical Reports

Biomedical Reports

Explores a wide range of biological and medical fields, including pharmacology, genetics, microbiology, neuroscience, and molecular cardiology.

Molecular and Clinical Oncology

Molecular and Clinical Oncology

International journal addressing all aspects of oncology research, from tumorigenesis and oncogenes to chemotherapy and metastasis.

World Academy of Sciences Journal

World Academy of Sciences Journal

Multidisciplinary open-access journal spanning biochemistry, genetics, neuroscience, environmental health, and synthetic biology.

International Journal of Functional Nutrition

International Journal of Functional Nutrition

Open-access journal combining biochemistry, pharmacology, immunology, and genetics to advance health through functional nutrition.

International Journal of Epigenetics

International Journal of Epigenetics

Publishes open-access research on using epigenetics to advance understanding and treatment of human disease.

Medicine International

Medicine International

An International Open Access Journal Devoted to General Medicine.

Journal Cover
January-2025 Volume 29 Issue 1

Full Size Image

Sign up for eToc alerts
Recommend to Library

  • Article
  • Citations
    • Cite This Article
    • Download Citation
    • Create Citation Alert
    • Remove Citation Alert
    • Cited By
  • Similar Articles
    • Related Articles (in Spandidos Publications)
    • Similar Articles (Google Scholar)
    • Similar Articles (PubMed)
  • Download PDF
  • Download XML
  • View XML
Case Report Open Access

Primary adenosquamous carcinoma of the duodenum: A case report with literature review

  • Authors:
    • He-Wei Zhang
    • Hong-Liang Song
    • Hai-Bo Yu
    • Zhong-Wu Ma
  • View Affiliations / Copyright

    Affiliations: Department of Hepatobiliary and Pancreatic Surgery, The Dingli Clinical Institute of Wenzhou Medical University (Wenzhou Central Hospital), Wenzhou, Zhejiang 325000, P.R. China
    Copyright: © Zhang et al. This is an open access article distributed under the terms of Creative Commons Attribution License.
  • Article Number: 16
    |
    Published online on: October 21, 2024
       https://doi.org/10.3892/ol.2024.14762
  • Expand metrics +
Metrics: Total Views: 0 (Spandidos Publications: | PMC Statistics: )
Metrics: Total PDF Downloads: 0 (Spandidos Publications: | PMC Statistics: )
Cited By (CrossRef): 0 citations Loading Articles...

This article is mentioned in:



Abstract

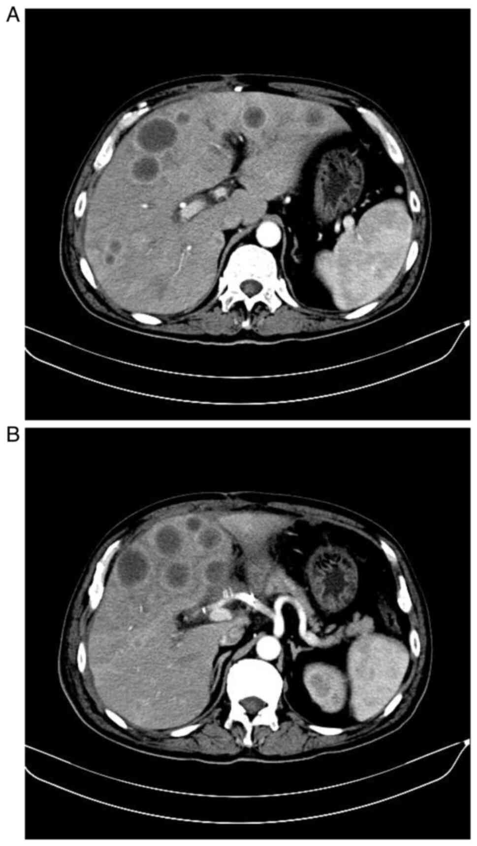
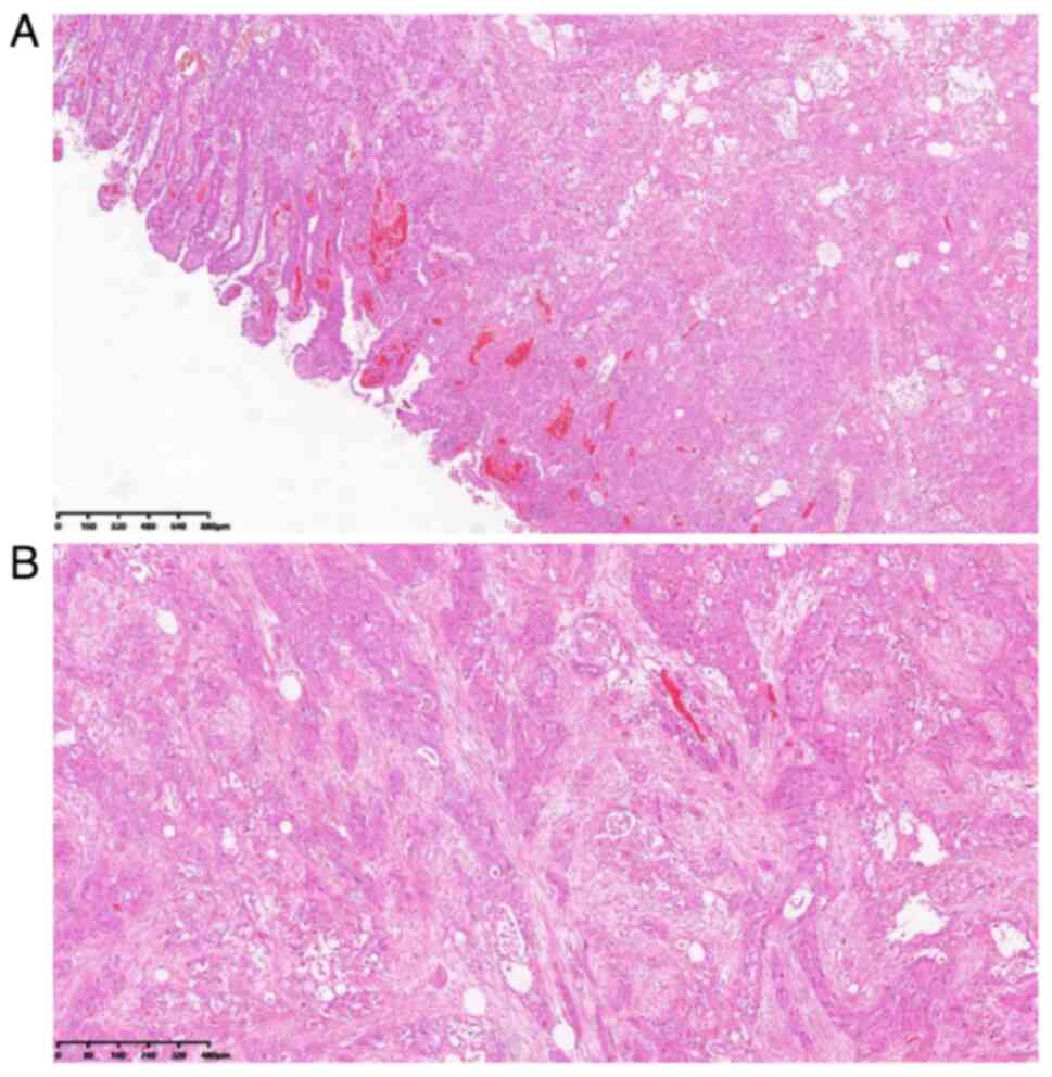
Adenosquamous carcinoma (ASC) of the duodenum is a malignant tumor that combines adenocarcinoma and squamous cell carcinoma components. Case reports of ASC are rare, and our understanding of the complex clinicopathological features and treatment strategies for the disease remains incomplete. The current study presents a case of duodenal ASC and discusses the available literature on this rare condition. A 55‑year‑old male patient presented with a history of jaundice and fever, with pruritus and clay‑colored stools. Preoperative investigations suggested an increase in transaminase, bilirubin and tumor markers. Enhanced magnetic resonance imaging of the abdomen revealed a mass in the descending duodenum and another in the pancreatic region, without distant metastases. An endoscopy of the upper gastrointestinal tract revealed an infiltrative growth mass invading the duodenal papilla in the descending part of the duodenum. The patient underwent a Whipple procedure. Histopathological and immunohistochemical examinations confirmed duodenal ASC. Although an R0 resection was performed, the patient developed hepatic metastases 2 months after surgery and succumbed 6 months post‑surgery. This case underscores the aggressive nature of duodenal ASC and the need for further studies to develop effective treatment interventions.
View Figures

Figure 1

Figure 2

Figure 3

Figure 4

Figure 5

Figure 6

View References

1 

Nagtegaal ID, Odze RD, Klimstra D, Paradis V, Rugge M, Schirmacher P, Washington KM, Carneiro F and Cree IA; WHO Classification of Tumours Editorial Board, : The 2019 WHO classification of tumours of the digestive system. Histopathology. 76:182–188. 2020. View Article : Google Scholar

2 

Benesch MGK, Ramos-Santillan VO, Rog CJ, Nelson ED and Takabe K: Epidemiology of adenosquamous carcinomas. World J Oncol. 15:432–453. 2024. View Article : Google Scholar

3 

Kim SY, Kim KE, Kim Y and Chung C: A patient with a lung adenosquamous carcinoma harboring a de novo T790M mutation and huge nonbacterial vegetative growths successfully treated with osimertinib: A case report. Thorac Cancer. 14:1530–1533. 2023. View Article : Google Scholar

4 

Bachmeyer C, Canard A, Wendum D and Amiot X: Recent-onset diabetes mellitus and paraneoplastic hypercalcemia revealing adenosquamous carcinoma of the pancreas. Am J Med. 136:e157–e158. 2023. View Article : Google Scholar

5 

Fang S, Wang X, Wu X and Li H: Therapeutic response analysis for patients with adenosquamous carcinoma of the gallbladder: Data analysis based on the surveillance, epidemiology, and end results (SEER) database. J Gastrointest Oncol. 14:405–419. 2023. View Article : Google Scholar

6 

Lewis G, Fong N, Gjeorgjievski SG, Li XB, Li Z, Wei S, Sturgis CD, Wang C, Komforti M, Zhang H, et al: Low-grade adenosquamous carcinoma of the breast: A clinical, morphological and immunohistochemical analysis of 25 patients. Histopathology. 83:252–263. 2023. View Article : Google Scholar

7 

Alsheikh C, Aljammas A, Nashar M, Alissa W and Aljarad Z: A primary gastric adenosquamous carcinoma: Case report. Int J Surg Case Rep. 106:1081012023. View Article : Google Scholar

8 

Habara K, Nishikori A, Kiyama J, Nakashima M, Koda M, Sasaki K, Sakashita T, Tanaka N and Yonehara S: A case of coexistent poorly differentiated adenosquamous carcinoma (glassy cell carcinoma), usual-type adenocarcinoma, and squamous cell carcinoma in situ of the cervix. Med Mol Morphol. 56:217–224. 2023. View Article : Google Scholar

9 

Angerilli V, Parente P, Businello G, Vanoli A, Paudice M, Perrone G, Munari G, Govoni I, Neri G, Rebellato E, et al: Colorectal adenosquamous carcinoma: Genomic profiling of a rare histotype of colorectal cancer. Virchows Arch. 482:879–885. 2023. View Article : Google Scholar

10 

Boyd CA, Benarroch-Gampel J, Sheffield KM, Cooksley CD and Riall TS: 415 Patients with adenosquamous carcinoma of the pancreas: A population-based analysis of prognosis and survival. J Surg Res. 174:12–19. 2012. View Article : Google Scholar

11 

Masoomi H, Ziogas A, Lin BS, Barleben A, Mills S, Stamos MJ and Zell JA: Population-based evaluation of adenosquamous carcinoma of the colon and rectum. Dis Colon Rectum. 55:509–514. 2012. View Article : Google Scholar

12 

Yendamuri S, Malhotra U, Hennon M, Miller A, Groman A, Halloon A and Reid ME: Clinical characteristics of adenosquamous esophageal carcinoma. J Gastrointest Oncol. 8:89–95. 2017. View Article : Google Scholar

13 

Hoshimoto S, Aiura K, Shito M, Kakefuda T and Sugiura H: Adenosquamous carcinoma of the ampulla of Vater: A case report and literature review. World J Surg Oncol. 13:2872015. View Article : Google Scholar

14 

Symons R, Daly D, Gandy R, Goldstein D and Aghmesheh M: Progress in the treatment of small intestine cancer. Curr Treat Options Oncol. 24:241–261. 2023. View Article : Google Scholar

15 

Kshirsagar AY, Nangare NR, Vekariya MA, Gupta V, Pednekar AS, Wader JV and Mahna A: Primary adenosquamous carcinoma of ampulla of Vater-a rare case report. Int J Surg Case Rep. 5:393–395. 2014. View Article : Google Scholar

16 

Yang SJ, Ooyang CH, Wang SY, Liu YY, Kuo IM, Liao CH and Wu TJ: Adenosquamous carcinoma of the ampulla of Vater-a rare disease at unusual location. World J Surg Oncol. 11:1242013. View Article : Google Scholar

17 

Takayoshi K, Ariyama H, Tamura S, Yoda S, Arita T, Yamaguchi T, Ozono K, Yamamoto H, Inadomi K, Kumagai H, et al: Intraluminal superior vena cava metastasis from adenosquamous carcinoma of the duodenum: A case report. Oncol Lett. 11:605–609. 2016. View Article : Google Scholar

18 

Daga G and Kerkar P: Adenosquamous carcinoma of the duodenum: A rare entity. Indian J Surg Oncol. 7:470–474. 2016. View Article : Google Scholar

19 

de la Cruz A, de la Cruz E, Sanchez MJ, Ortiz S, Lobato A and Merino E: Adenosquamous carcinoma of the duodenum. An immunohistochemical study. Pathol Res Pract. 189:481–487. 1993. View Article : Google Scholar

20 

Sato A, Hosoya Y, Muto I, Kobayashi N, Nakadate T, Otaka H, Higuchi Y, Takahashi T, Saito Y, Fukaya H, et al: Suprapapillary adenosquamous carcinoma of the duodenum, a case report (author's transl). Nihon Shokakibyo Gakkai Zasshi. 77:623–628. 1980.(In Japanese).

21 

Nakamura T, Sano Y, Ohata K, Washiyama N, Umehara Y and Okubo T: A resected case of adenosquamous carcinoma of the duodenum. J Jpn Surg Assoc. 30:80–83. 1997.(In Japanese).

22 

Yoneyama K, Toeda H and Ooyama R: A case of adenosquamous carcinoma of the duodenum. J Jpn Surg Assoc. 67:334–337. 2006.(In Japanese). View Article : Google Scholar

23 

Matsumoto K, Koike A, Katou K, Inamura Y, Suzumura K, Kozima T, Kanemitsu T and Naruse T: A case of adenosquamous carcinoma arising in the suprapapllary portion of the duodenum. J Jpn Pract Surg Soc. 51:1275–1278. 1990.

24 

Ikematsu Y, Tsukamoto M, Matsuo S, Tomioka T, Eto T, Yamamoto K, Tsunoda T, Harada N, Tsuchiya R and Shima M: An operation case of adenosquamous carcinoma of the duodenum. J Jpn Surg Assoc. 21:885–888. 1988.(In Japanese).

25 

Yoshihara W, Furubayashi Y, Mizumoto K, Tsuzaki K and Kotoh K: Aspiration cytology of suprapapillary adenosquamous carcinoma of the duodenum, a case report. J Soc Clin Cytol. 22:80–84. 1983.(In Japanese). View Article : Google Scholar

26 

Numaga Y, Ohya T, Takahashi N, Shimizu H, Tago K, Matsumoto H, Iesato H, Yokomori T, Hasegawa G and Takeyoshi I: A case of primary adenosquamous carcinoma of the small intestine. Jpn Soc Gastroenterol Surg. 44:997–1004. 2011.(In Japanese). View Article : Google Scholar

27 

Seshimo I, Tomimaru Y, Ide Y, Maruyama K, Murata K and Kinuta M: A case of adenosquamous cell carcinoma of the duodenum with para-aortic node metastasis. J Jpn Surg Assoc. 68:2504–2507. 2007.(In Japanese). View Article : Google Scholar

28 

Takagi T, Nakase Y, Fukumoto K, Miyagaki T and Yanagisawa A: A case of adenosquamous carcinoma of the duodenal bulb in an aged hemodialysis patient. J Jpn Soc Clin Surg. 71:1789–1794. 2010.(In Japanese).

29 

Tanaka H, Miwa S, Inuma N, Kitagawa N, Ishii K and Sato Y: A case of primary squamous cell carcinoma of the duodenum definitively diagnosed by p16 immunostaining. J Jpn Surg Assoc. 80:2023–2027. 2019.(In Japanese). View Article : Google Scholar

30 

Hammami MB, Chhaparia A, Piao J, Zhou Y, Hachem C and Lai J: Mixed adenocarcinoma and squamous cell carcinoma of duodenum: A case report and review of the literature. Case Rep Gastroenterol. 11:402–410. 2017. View Article : Google Scholar

31 

Zheng H, Shi Y, Zhang L and Chen Y: Primary adenosquamous carcinoma of duodenum: a clinicopathologic analysis. J Diag Pathol. 20:626–628. 6332013.(In Chinese).

32 

Dong Y, Wang J, Ma H, Zhou H, Lu G and Zhou X: Primary adenosquamous carcinoma of the colon: Report of five cases. Surg Today. 39:619–623. 2009. View Article : Google Scholar

33 

He YT, Wang XJ, Gong J, Chen N and Zhou Q: Primary adenosquamous carcinoma of the jejunum. Pathol Int. 55:590–595. 2005. View Article : Google Scholar

34 

Ko CJ, Leffell DJ and McNiff JM: Adenosquamous carcinoma: A report of nine cases with p63 and cytokeratin 5/6 staining. J Cutan Pathol. 36:448–452. 2009. View Article : Google Scholar

35 

Albasri AM, Elkablawy MA, Ansari IA, Alhujaily AS and Khalil AA: The prognostic significance of p63 cytoplasmic expression in colorectal cancer. An immunohistochemical study. Saudi Med J. 40:432–439. 2019. View Article : Google Scholar

36 

Song Y, Liu D and He G: TKTL1 and p63 are biomarkers for the poor prognosis of gastric cancer patients. Cancer Biomark. 15:591–597. 2015. View Article : Google Scholar

37 

Kim K, Kim DH, Chae SW, Shin JH, Kim HJ, Do SI, Lee HJ, Koo JH, Pyo JS and Sohn JH: Expression of cell cycle-related proteins, p16, p53 and p63 as important prognostic markers in gallbladder adenocarcinoma. Pathol Oncol Res. 20:409–415. 2014. View Article : Google Scholar

38 

Lee WA, Woo DK, Kim YI and Kim WH: p53, p16 and RB expression in adenosquamous and squamous cell carcinomas of the stomach. Pathol Res Pract. 195:747–752. 1999. View Article : Google Scholar

39 

Kim YS, Heo WS, Chae KH, Gang YS, Jung JH, Kim SH, Seong JK, Lee BS, Jeong HY, Song KS, et al: Clinicopathological features and differences of p53 and Ki-67 expression in adenosquamous and squamous cell carcinomas of the stomach. Korean J Gastroenterol. 47:425–431. 2006.(In Korean).

40 

Song HG, Yoo KS, Ju NR, Park JC, Jung JO, Shin WG, Moon JH, Kim JP, Kim KO, Park CH, et al: A case of adenosquamous carcinoma of the papilla of Vater. Korean J Gastroenterol. 48:132–136. 2006.(In Korean).

41 

Ge Y, Lin L, Ma X, Luo D, Shi L, Jiang M, Fan H, He Y, Yang L and Xu Z: Adenosquamous carcinoma of the stomach: A population-based study from the SEER database. J Cancer. 10:5705–5713. 2019. View Article : Google Scholar

Related Articles

  • Abstract
  • View
  • Download
  • Twitter
Copy and paste a formatted citation
Spandidos Publications style
Zhang H, Song H, Yu H and Ma Z: Primary adenosquamous carcinoma of the duodenum: A case report with literature review. Oncol Lett 29: 16, 2025.
APA
Zhang, H., Song, H., Yu, H., & Ma, Z. (2025). Primary adenosquamous carcinoma of the duodenum: A case report with literature review. Oncology Letters, 29, 16. https://doi.org/10.3892/ol.2024.14762
MLA
Zhang, H., Song, H., Yu, H., Ma, Z."Primary adenosquamous carcinoma of the duodenum: A case report with literature review". Oncology Letters 29.1 (2025): 16.
Chicago
Zhang, H., Song, H., Yu, H., Ma, Z."Primary adenosquamous carcinoma of the duodenum: A case report with literature review". Oncology Letters 29, no. 1 (2025): 16. https://doi.org/10.3892/ol.2024.14762
Copy and paste a formatted citation
x
Spandidos Publications style
Zhang H, Song H, Yu H and Ma Z: Primary adenosquamous carcinoma of the duodenum: A case report with literature review. Oncol Lett 29: 16, 2025.
APA
Zhang, H., Song, H., Yu, H., & Ma, Z. (2025). Primary adenosquamous carcinoma of the duodenum: A case report with literature review. Oncology Letters, 29, 16. https://doi.org/10.3892/ol.2024.14762
MLA
Zhang, H., Song, H., Yu, H., Ma, Z."Primary adenosquamous carcinoma of the duodenum: A case report with literature review". Oncology Letters 29.1 (2025): 16.
Chicago
Zhang, H., Song, H., Yu, H., Ma, Z."Primary adenosquamous carcinoma of the duodenum: A case report with literature review". Oncology Letters 29, no. 1 (2025): 16. https://doi.org/10.3892/ol.2024.14762
Follow us
  • Twitter
  • LinkedIn
  • Facebook
About
  • Spandidos Publications
  • Careers
  • Cookie Policy
  • Privacy Policy
How can we help?
  • Help
  • Live Chat
  • Contact
  • Email to our Support Team