Spandidos Publications Logo
  • About
    • About Spandidos
    • Aims and Scopes
    • Abstracting and Indexing
    • Editorial Policies
    • Reprints and Permissions
    • Job Opportunities
    • Terms and Conditions
    • Contact
  • Journals
    • All Journals
    • Oncology Letters
      • Oncology Letters
      • Information for Authors
      • Editorial Policies
      • Editorial Board
      • Aims and Scope
      • Abstracting and Indexing
      • Bibliographic Information
      • Archive
    • International Journal of Oncology
      • International Journal of Oncology
      • Information for Authors
      • Editorial Policies
      • Editorial Board
      • Aims and Scope
      • Abstracting and Indexing
      • Bibliographic Information
      • Archive
    • Molecular and Clinical Oncology
      • Molecular and Clinical Oncology
      • Information for Authors
      • Editorial Policies
      • Editorial Board
      • Aims and Scope
      • Abstracting and Indexing
      • Bibliographic Information
      • Archive
    • Experimental and Therapeutic Medicine
      • Experimental and Therapeutic Medicine
      • Information for Authors
      • Editorial Policies
      • Editorial Board
      • Aims and Scope
      • Abstracting and Indexing
      • Bibliographic Information
      • Archive
    • International Journal of Molecular Medicine
      • International Journal of Molecular Medicine
      • Information for Authors
      • Editorial Policies
      • Editorial Board
      • Aims and Scope
      • Abstracting and Indexing
      • Bibliographic Information
      • Archive
    • Biomedical Reports
      • Biomedical Reports
      • Information for Authors
      • Editorial Policies
      • Editorial Board
      • Aims and Scope
      • Abstracting and Indexing
      • Bibliographic Information
      • Archive
    • Oncology Reports
      • Oncology Reports
      • Information for Authors
      • Editorial Policies
      • Editorial Board
      • Aims and Scope
      • Abstracting and Indexing
      • Bibliographic Information
      • Archive
    • Molecular Medicine Reports
      • Molecular Medicine Reports
      • Information for Authors
      • Editorial Policies
      • Editorial Board
      • Aims and Scope
      • Abstracting and Indexing
      • Bibliographic Information
      • Archive
    • World Academy of Sciences Journal
      • World Academy of Sciences Journal
      • Information for Authors
      • Editorial Policies
      • Editorial Board
      • Aims and Scope
      • Abstracting and Indexing
      • Bibliographic Information
      • Archive
    • International Journal of Functional Nutrition
      • International Journal of Functional Nutrition
      • Information for Authors
      • Editorial Policies
      • Editorial Board
      • Aims and Scope
      • Abstracting and Indexing
      • Bibliographic Information
      • Archive
    • International Journal of Epigenetics
      • International Journal of Epigenetics
      • Information for Authors
      • Editorial Policies
      • Editorial Board
      • Aims and Scope
      • Abstracting and Indexing
      • Bibliographic Information
      • Archive
    • Medicine International
      • Medicine International
      • Information for Authors
      • Editorial Policies
      • Editorial Board
      • Aims and Scope
      • Abstracting and Indexing
      • Bibliographic Information
      • Archive
  • Articles
  • Information
    • Information for Authors
    • Information for Reviewers
    • Information for Librarians
    • Information for Advertisers
    • Conferences
  • Language Editing
Spandidos Publications Logo
  • About
    • About Spandidos
    • Aims and Scopes
    • Abstracting and Indexing
    • Editorial Policies
    • Reprints and Permissions
    • Job Opportunities
    • Terms and Conditions
    • Contact
  • Journals
    • All Journals
    • Biomedical Reports
      • Information for Authors
      • Editorial Policies
      • Editorial Board
      • Aims and Scope
      • Abstracting and Indexing
      • Bibliographic Information
      • Archive
    • Experimental and Therapeutic Medicine
      • Information for Authors
      • Editorial Policies
      • Editorial Board
      • Aims and Scope
      • Abstracting and Indexing
      • Bibliographic Information
      • Archive
    • International Journal of Epigenetics
      • Information for Authors
      • Editorial Policies
      • Editorial Board
      • Aims and Scope
      • Abstracting and Indexing
      • Bibliographic Information
      • Archive
    • International Journal of Functional Nutrition
      • Information for Authors
      • Editorial Policies
      • Editorial Board
      • Aims and Scope
      • Abstracting and Indexing
      • Bibliographic Information
      • Archive
    • International Journal of Molecular Medicine
      • Information for Authors
      • Editorial Policies
      • Editorial Board
      • Aims and Scope
      • Abstracting and Indexing
      • Bibliographic Information
      • Archive
    • International Journal of Oncology
      • Information for Authors
      • Editorial Policies
      • Editorial Board
      • Aims and Scope
      • Abstracting and Indexing
      • Bibliographic Information
      • Archive
    • Medicine International
      • Information for Authors
      • Editorial Policies
      • Editorial Board
      • Aims and Scope
      • Abstracting and Indexing
      • Bibliographic Information
      • Archive
    • Molecular and Clinical Oncology
      • Information for Authors
      • Editorial Policies
      • Editorial Board
      • Aims and Scope
      • Abstracting and Indexing
      • Bibliographic Information
      • Archive
    • Molecular Medicine Reports
      • Information for Authors
      • Editorial Policies
      • Editorial Board
      • Aims and Scope
      • Abstracting and Indexing
      • Bibliographic Information
      • Archive
    • Oncology Letters
      • Information for Authors
      • Editorial Policies
      • Editorial Board
      • Aims and Scope
      • Abstracting and Indexing
      • Bibliographic Information
      • Archive
    • Oncology Reports
      • Information for Authors
      • Editorial Policies
      • Editorial Board
      • Aims and Scope
      • Abstracting and Indexing
      • Bibliographic Information
      • Archive
    • World Academy of Sciences Journal
      • Information for Authors
      • Editorial Policies
      • Editorial Board
      • Aims and Scope
      • Abstracting and Indexing
      • Bibliographic Information
      • Archive
  • Articles
  • Information
    • For Authors
    • For Reviewers
    • For Librarians
    • For Advertisers
    • Conferences
  • Language Editing
Login Register Submit
  • This site uses cookies
  • You can change your cookie settings at any time by following the instructions in our Cookie Policy. To find out more, you may read our Privacy Policy.

    I agree
Search articles by DOI, keyword, author or affiliation
Search
Advanced Search
presentation
Oncology Letters
Join Editorial Board Propose a Special Issue
Print ISSN: 1792-1074 Online ISSN: 1792-1082
Journal Cover
January-2025 Volume 29 Issue 1

Full Size Image

Sign up for eToc alerts
Recommend to Library

Journals

International Journal of Molecular Medicine

International Journal of Molecular Medicine

International Journal of Molecular Medicine is an international journal devoted to molecular mechanisms of human disease.

International Journal of Oncology

International Journal of Oncology

International Journal of Oncology is an international journal devoted to oncology research and cancer treatment.

Molecular Medicine Reports

Molecular Medicine Reports

Covers molecular medicine topics such as pharmacology, pathology, genetics, neuroscience, infectious diseases, molecular cardiology, and molecular surgery.

Oncology Reports

Oncology Reports

Oncology Reports is an international journal devoted to fundamental and applied research in Oncology.

Experimental and Therapeutic Medicine

Experimental and Therapeutic Medicine

Experimental and Therapeutic Medicine is an international journal devoted to laboratory and clinical medicine.

Oncology Letters

Oncology Letters

Oncology Letters is an international journal devoted to Experimental and Clinical Oncology.

Biomedical Reports

Biomedical Reports

Explores a wide range of biological and medical fields, including pharmacology, genetics, microbiology, neuroscience, and molecular cardiology.

Molecular and Clinical Oncology

Molecular and Clinical Oncology

International journal addressing all aspects of oncology research, from tumorigenesis and oncogenes to chemotherapy and metastasis.

World Academy of Sciences Journal

World Academy of Sciences Journal

Multidisciplinary open-access journal spanning biochemistry, genetics, neuroscience, environmental health, and synthetic biology.

International Journal of Functional Nutrition

International Journal of Functional Nutrition

Open-access journal combining biochemistry, pharmacology, immunology, and genetics to advance health through functional nutrition.

International Journal of Epigenetics

International Journal of Epigenetics

Publishes open-access research on using epigenetics to advance understanding and treatment of human disease.

Medicine International

Medicine International

An International Open Access Journal Devoted to General Medicine.

Journal Cover
January-2025 Volume 29 Issue 1

Full Size Image

Sign up for eToc alerts
Recommend to Library

  • Article
  • Citations
    • Cite This Article
    • Download Citation
    • Create Citation Alert
    • Remove Citation Alert
    • Cited By
  • Similar Articles
    • Related Articles (in Spandidos Publications)
    • Similar Articles (Google Scholar)
    • Similar Articles (PubMed)
  • Download PDF
  • Download XML
  • View XML
Case Report Open Access

Efficacy of cadonilimab and anlotinib combination in treating multiple drug‑resistant pulmonary large cell neuroendocrine carcinoma: A case report and literature review

  • Authors:
    • Xi Qin
    • Yulan Liu
    • Lin Zhu
    • Lieyin Xu
    • Jinfu Lv
    • Yunyan Mo
    • Mafei Kang
    • Feng Xue
  • View Affiliations / Copyright

    Affiliations: Department of Oncology, Affiliated Hospital of Guilin Medical University, Guilin, Guangxi Zhuang Autonomous Region 541001, P.R. China, Department of Radiotherapy, Affiliated Hospital of Guilin Medical University, Guilin, Guangxi Zhuang Autonomous Region 541001, P.R. China, Department of Radiology, Affiliated Hospital of Guilin Medical University, Guilin, Guangxi Zhuang Autonomous Region 541001, P.R. China, Department of Nuclear Medicine, Affiliated Hospital of Guilin Medical University, Guilin, Guangxi Zhuang Autonomous Region 541001, P.R. China
    Copyright: © Qin et al. This is an open access article distributed under the terms of Creative Commons Attribution License.
  • Article Number: 27
    |
    Published online on: October 24, 2024
       https://doi.org/10.3892/ol.2024.14773
  • Expand metrics +
Metrics: Total Views: 0 (Spandidos Publications: | PMC Statistics: )
Metrics: Total PDF Downloads: 0 (Spandidos Publications: | PMC Statistics: )
Cited By (CrossRef): 0 citations Loading Articles...

This article is mentioned in:



Abstract

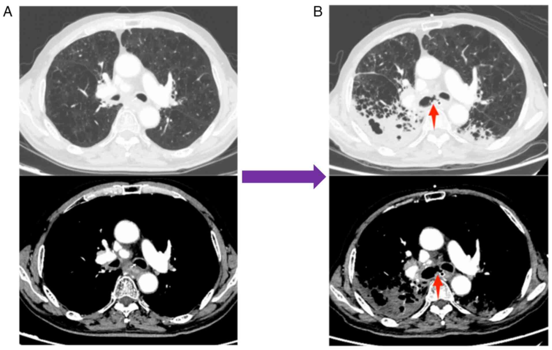
Pulmonary large cell neuroendocrine carcinoma (LCNEC) has a poor prognosis, and there is no consensus on optimal treatment strategies for pulmonary LCNEC. Certain patients with pulmonary LCNEC may benefit from targeted and traditional programmed cell death protein‑1 (PD‑1) monoclonal antibody therapies, however, for most patients, only a few drugs are effective after chemotherapy. The present report describes the case of a 68‑year‑old man with advanced pulmonary LCNEC treated with cadonilimab and anlotinib after becoming resistant to PD‑1 monoclonal antibody therapy and multiple chemotherapies. Computed tomography was used to evaluate treatment response. The treatment was efficacious and met the partial response criteria after three treatment cycles, and the coughing and dyspnea resolved. The primary mass and lymph node metastases continued to shrink after five treatment cycles. Therefore, the present case report suggests that a combination of cadonilimab and anlotinib is a potential treatment strategy for patients with pulmonary LCNEC.
View Figures

Figure 1

Figure 2

Figure 3

Figure 4

View References

1 

Gustafsson BI, Kidd M, Chan A, Malfertheiner MV and Modlin IM: Bronchopulmonary neuroendocrine tumors. Cancer. 113:5–21. 2008. View Article : Google Scholar : PubMed/NCBI

2 

Dresler CM, Ritter JH, Patterson GA, Ross E, Bailey MS and Wick MR: Clinical-pathologic analysis of 40 patients with large cell neuroendocrine carcinoma of the lung. Ann Thorac Surg. 63:180–185. 1997. View Article : Google Scholar : PubMed/NCBI

3 

Raman V, Jawitz OK, Yang CJ, Tong BC, D'Amico TA, Berry MF and Harpole DH Jr: Adjuvant therapy for patients with early large cell lung neuroendocrine cancer: A National Analysis. Ann Thorac Surg. 108:377–383. 2019. View Article : Google Scholar : PubMed/NCBI

4 

Le Treut J, Sault MC, Lena H, Souquet PJ, Vergnenegre A, Le Caer H, Berard H, Boffa S, Monnet I, Damotte D and Chouaid C: Multicentre phase II study of cisplatin-etoposide chemotherapy for advanced large-cell neuroendocrine lung carcinoma: the GFPC 0302 study. Ann Oncol. 24:1548–1552. 2013. View Article : Google Scholar : PubMed/NCBI

5 

Niho S, Kenmotsu H, Sekine I, Ishii G, Ishikawa Y, Noguchi M, Oshita F, Watanabe S, Nakajima R, Tada H and Nagai K: Combination chemotherapy with irinotecan and cisplatin for large-cell neuroendocrine carcinoma of the lung: A multicenter phase II study. J Thorac Oncol. 8:980–984. 2013. View Article : Google Scholar : PubMed/NCBI

6 

Xia L, Wang L, Zhou Z and Han S: Treatment outcome and prognostic analysis of advanced large cell neuroendocrine carcinoma of the lung. Sci Rep. 12:165622022. View Article : Google Scholar : PubMed/NCBI

7 

Cheng Y, Han L, Wu L, Chen J, Sun H, Wen G, Ji Y, Dvorkin M, Shi J, Pan Z, et al: Effect of First-Line Serplulimab vs Placebo Added to Chemotherapy on Survival in Patients With Extensive-Stage Small Cell Lung Cancer: The ASTRUM-005 Randomized Clinical Trial. JAMA. 328:1223–1232. 2022. View Article : Google Scholar : PubMed/NCBI

8 

Zhou C, Chen G, Huang Y, Zhou J, Lin L, Feng J, Wang Z, Shu Y, Shi J, Hu Y, et al: Camrelizumab Plus Carboplatin and Pemetrexed as First-Line Treatment for Advanced Nonsquamous NSCLC: Extended Follow-Up of CameL Phase 3 Trial. J Thorac Oncol. 18:628–639. 2023. View Article : Google Scholar : PubMed/NCBI

9 

Wang VE, Urisman A, Albacker L, Ali S, Miller V, Aggarwal R and Jablons D: Checkpoint inhibitor is active against large cell neuroendocrine carcinoma with high tumor mutation burden. J Immunother Cancer. 5:752017. View Article : Google Scholar : PubMed/NCBI

10 

Qin Y, Yu M, Zhou L, Jiang L and Huang M: Durable response to combination radiotherapy and immunotherapy in EP-resistant lung large-cell neuroendocrine carcinoma with B2M and STK11 mutations: A case report. Immunotherapy. 12:223–227. 2020. View Article : Google Scholar : PubMed/NCBI

11 

Sherman S, Rotem O, Shochat T, Zer A, Moore A and Dudnik E: Efficacy of immune check-point inhibitors (ICPi) in large cell neuroendocrine tumors of lung (LCNEC). Lung Cancer. 143:40–46. 2020. View Article : Google Scholar : PubMed/NCBI

12 

Chauhan A, Arnold SM, Kolesar J, Thomas HE, Evers M and Anthony L: Immune checkpoint inhibitors in large cell neuroendocrine carcinoma: current status. Oncotarget. 9:14738–14740. 2018. View Article : Google Scholar : PubMed/NCBI

13 

Takimoto Sato M, Ikezawa Y, Sato M, Suzuki A and Kawai Y: Large cell neuroendocrine carcinoma of the lung that responded to nivolumab: A case report. Mol Clin Oncol. 13:43–47. 2020. View Article : Google Scholar : PubMed/NCBI

14 

Oda R, Okuda K, Yamashita Y, Sakane T, Tatematsu T, Yokota K, Endo K and Nakanishi R: Long-term survivor of pulmonary combined large cell neuroendocrine carcinoma treated with nivolumab. Thorac Cancer. 11:2036–2039. 2020. View Article : Google Scholar : PubMed/NCBI

15 

Giaj Levra M, Mazieres J, Audigier Valette C, Molinier O, Planchard D, Frappat V, Ferrer L, Claire Toffart A and Moro-Sibilot D: Efficacy of immune checkpoint inhibitors in large cell neuroendocrine lung cancer: Results from a French Retrospective Cohort: Topic: Drug treatment alone and in combination with radiotherapy. J Thor Oncol. 12:1556–0864. 2017.

16 

Zhang X, Sun Y, Miao Y and Xu S: Immune checkpoint inhibitor therapy achieved complete response for drug-sensitive EGFR/ALK mutation-negative metastatic pulmonary large-cell neuroendocrine carcinoma with high tumor Mutation Burden: A case report. Onco Targets Ther. 13:8245–8250. 2020. View Article : Google Scholar : PubMed/NCBI

17 

Dudnik E, Kareff S, Moskovitz M, Kim C, Liu SV, Lobachov A, Gottfried T, Urban D, Zer A, Rotem O, et al: Real-world survival outcomes with immune checkpoint inhibitors in large-cell neuroendocrine tumors of lung. J Immunother Cancer. 9:e0019992021. View Article : Google Scholar : PubMed/NCBI

18 

Detterbeck FC, Boffa DJ, Kim AW and Tanoue LT: The eighth edition lung cancer stage classification. Chest. 151:193–203. 2017. View Article : Google Scholar : PubMed/NCBI

19 

Eisenhauer EA, Therasse P, Bogaerts J, Schwartz LH, Sargent D, Ford R, Dancey J, Arbuck S, Gwyther S, Mooney M, et al: New response evaluation criteria in solid tumours: Revised RECIST guideline (version 1.1). Eur J Cancer. 45:228–247. 2009. View Article : Google Scholar : PubMed/NCBI

20 

Frentzas S, Kwek KY, Konpa A and Jin X: Efficacy and safety of AK104, an anti-PD-1/CTLA-4 bispecific antibody, in a patient with large cell neuroendocrine carcinoma of the lung. J Thor Oncol. 16:5062020. View Article : Google Scholar

21 

Wu L, Chen B, Yao W, Li X, Xiao Z, Liu H, Kong Y, Liu L, Xu Y, Wang Q, et al: A phase Ib/II trial of AK104 (PD-1/CTLA-4 bispecific antibody) in combination with Anlotinib in advanced NSCLC. Ann Oncol. 32:10062021. View Article : Google Scholar

22 

Travis WD, Linnoila RI, Tsokos MG, Hitchcock CL, Cutler GB Jr, Nieman L, Chrousos G, Pass H and Doppman J: Neuroendocrine tumors of the lung with proposed criteria for large-cell neuroendocrine carcinoma. An ultrastructural, immunohistochemical, and flow cytometric study of 35 cases. Am J Surg Pathol. 15:529–553. 1991. View Article : Google Scholar : PubMed/NCBI

23 

Gazdar AF, Savage TK, Johnson JE, Berns A, Sage J, Linnoila RI, MacPherson D, McFadden DG, Farago A, Jacks T, et al: The comparative pathology of genetically engineered mouse models for neuroendocrine carcinomas of the lung. J Thorac Oncol. 10:553–564. 2015. View Article : Google Scholar : PubMed/NCBI

24 

Nicholson AG, Tsao MS, Beasley MB, Borczuk AC, Brambilla E, Cooper WA, Dacic S, Jain D, Kerr KM, Lantuejoul S, et al: The 2021 WHO Classification of Lung Tumors: Impact of Advances Since 2015. J Thorac Oncol. 17:362–387. 2022. View Article : Google Scholar : PubMed/NCBI

25 

Pang X, Huang Z, Zhong T, Zhang P, Wang ZM, Xia M and Li B: Cadonilimab, a tetravalent PD-1/CTLA-4 bispecific antibody with trans-binding and enhanced target binding avidity. MAbs. 15:21807942023. View Article : Google Scholar : PubMed/NCBI

26 

Keam SJ: Cadonilimab: First Approval. Drugs. 82:1333–1339. 2022. View Article : Google Scholar : PubMed/NCBI

27 

De Pas TM, Giovannini M, Manzotti M, Trifirò G, Toffalorio F, Catania C, Spaggiari L, Labianca R and Barberis M: Large-cell neuroendocrine carcinoma of the lung harboring EGFR mutation and responding to gefitinib. J Clin Oncol. 29:e819–e822. 2011. View Article : Google Scholar : PubMed/NCBI

28 

Mauclet C, Duplaquet F, Pirard L, Rondelet B, Dupont M, Pop-Stanciu C, Vander Borght T, Remmelink M, D'Haene N, Lambin S, et al: Complete tumor response of a locally advanced lung large-cell neuroendocrine carcinoma after palliative thoracic radiotherapy and immunotherapy with nivolumab. Lung Cancer. 128:53–56. 2019. View Article : Google Scholar : PubMed/NCBI

29 

Liu S, Qin T, Liu Z, Wang J, Jia Y, Feng Y, Gao Y and Li K: Anlotinib alters tumor immune microenvironment by downregulating PD-L1 expression on vascular endothelial cells. Cell Death Dis. 11:3092020. View Article : Google Scholar : PubMed/NCBI

30 

Weichselbaum RR, Liang H, Deng L and Fu YX: Radiotherapy and immunotherapy: A beneficial liaison? Nat Rev Clin Oncol. 14:365–379. 2017. View Article : Google Scholar : PubMed/NCBI

31 

Du X, Tang F, Liu M, Su J, Zhang Y, Wu W, Devenport M, Lazarski CA, Zhang P, Wang X, et al: A reappraisal of CTLA-4 checkpoint blockade in cancer immunotherapy. Cell Res. 28:416–432. 2018. View Article : Google Scholar : PubMed/NCBI

32 

Mitsui J, Nishikawa H, Muraoka D, Wang L, Noguchi T, Sato E, Kondo S, Allison JP, Sakaguchi S, Old LJ, et al: Two distinct mechanisms of augmented antitumor activity by modulation of immunostimulatory/inhibitory signals. Clin Cancer Res. 16:2781–2791. 2010. View Article : Google Scholar : PubMed/NCBI

33 

Pentcheva-Hoang T, Simpson TR, Montalvo-Ortiz W and Allison JP: Cytotoxic T lymphocyte antigen-4 blockade enhances antitumor immunity by stimulating melanoma-specific T-cell motility. Cancer Immunol Res. 2:970–980. 2014. View Article : Google Scholar : PubMed/NCBI

34 

He L, Han Q, Zhao M, Ma H, Cheng P, Yang H and Zhao Y: Case report of radiotherapy combined with anlotinib and immunotherapy for a patient with esophageal cancer and esophageal fistula. Appl Radiat Isot. 205:1111622024. View Article : Google Scholar : PubMed/NCBI

35 

Adeoye O and Kozyreva O: Case of tracheoesophageal fistula formation as a rare complication of antiangiogenic tyrosine kinase inhibitor therapy for metastatic hepatocellular carcinoma. Cureus. 15:e417832023.PubMed/NCBI

36 

Rekhtman N, Pietanza MC, Hellmann MD, Naidoo J, Arora A, Won H, Halpenny DF, Wang H, Tian SK, Litvak AM, et al: Next-Generation sequencing of pulmonary large cell neuroendocrine carcinoma reveals small cell carcinoma-like and non-small cell carcinoma-like subsets. Clin Cancer Res. 22:3618–3629. 2016. View Article : Google Scholar : PubMed/NCBI

37 

Zhuo M, Guan Y, Yang X, Hong L, Wang Y, Li Z, Chen R, Abbas HA, Chang L, Gong Y, et al: The prognostic and therapeutic role of genomic subtyping by sequencing tumor or Cell-Free DNA in pulmonary large-cell neuroendocrine carcinoma. Clin Cancer Res. 26:892–901. 2020. View Article : Google Scholar : PubMed/NCBI

Related Articles

  • Abstract
  • View
  • Download
  • Twitter
Copy and paste a formatted citation
Spandidos Publications style
Qin X, Liu Y, Zhu L, Xu L, Lv J, Mo Y, Kang M and Xue F: Efficacy of cadonilimab and anlotinib combination in treating multiple drug‑resistant pulmonary large cell neuroendocrine carcinoma: A case report and literature review. Oncol Lett 29: 27, 2025.
APA
Qin, X., Liu, Y., Zhu, L., Xu, L., Lv, J., Mo, Y. ... Xue, F. (2025). Efficacy of cadonilimab and anlotinib combination in treating multiple drug‑resistant pulmonary large cell neuroendocrine carcinoma: A case report and literature review. Oncology Letters, 29, 27. https://doi.org/10.3892/ol.2024.14773
MLA
Qin, X., Liu, Y., Zhu, L., Xu, L., Lv, J., Mo, Y., Kang, M., Xue, F."Efficacy of cadonilimab and anlotinib combination in treating multiple drug‑resistant pulmonary large cell neuroendocrine carcinoma: A case report and literature review". Oncology Letters 29.1 (2025): 27.
Chicago
Qin, X., Liu, Y., Zhu, L., Xu, L., Lv, J., Mo, Y., Kang, M., Xue, F."Efficacy of cadonilimab and anlotinib combination in treating multiple drug‑resistant pulmonary large cell neuroendocrine carcinoma: A case report and literature review". Oncology Letters 29, no. 1 (2025): 27. https://doi.org/10.3892/ol.2024.14773
Copy and paste a formatted citation
x
Spandidos Publications style
Qin X, Liu Y, Zhu L, Xu L, Lv J, Mo Y, Kang M and Xue F: Efficacy of cadonilimab and anlotinib combination in treating multiple drug‑resistant pulmonary large cell neuroendocrine carcinoma: A case report and literature review. Oncol Lett 29: 27, 2025.
APA
Qin, X., Liu, Y., Zhu, L., Xu, L., Lv, J., Mo, Y. ... Xue, F. (2025). Efficacy of cadonilimab and anlotinib combination in treating multiple drug‑resistant pulmonary large cell neuroendocrine carcinoma: A case report and literature review. Oncology Letters, 29, 27. https://doi.org/10.3892/ol.2024.14773
MLA
Qin, X., Liu, Y., Zhu, L., Xu, L., Lv, J., Mo, Y., Kang, M., Xue, F."Efficacy of cadonilimab and anlotinib combination in treating multiple drug‑resistant pulmonary large cell neuroendocrine carcinoma: A case report and literature review". Oncology Letters 29.1 (2025): 27.
Chicago
Qin, X., Liu, Y., Zhu, L., Xu, L., Lv, J., Mo, Y., Kang, M., Xue, F."Efficacy of cadonilimab and anlotinib combination in treating multiple drug‑resistant pulmonary large cell neuroendocrine carcinoma: A case report and literature review". Oncology Letters 29, no. 1 (2025): 27. https://doi.org/10.3892/ol.2024.14773
Follow us
  • Twitter
  • LinkedIn
  • Facebook
About
  • Spandidos Publications
  • Careers
  • Cookie Policy
  • Privacy Policy
How can we help?
  • Help
  • Live Chat
  • Contact
  • Email to our Support Team