Spandidos Publications Logo
  • About
    • About Spandidos
    • Aims and Scopes
    • Abstracting and Indexing
    • Editorial Policies
    • Reprints and Permissions
    • Job Opportunities
    • Terms and Conditions
    • Contact
  • Journals
    • All Journals
    • Oncology Letters
      • Oncology Letters
      • Information for Authors
      • Editorial Policies
      • Editorial Board
      • Aims and Scope
      • Abstracting and Indexing
      • Bibliographic Information
      • Archive
    • International Journal of Oncology
      • International Journal of Oncology
      • Information for Authors
      • Editorial Policies
      • Editorial Board
      • Aims and Scope
      • Abstracting and Indexing
      • Bibliographic Information
      • Archive
    • Molecular and Clinical Oncology
      • Molecular and Clinical Oncology
      • Information for Authors
      • Editorial Policies
      • Editorial Board
      • Aims and Scope
      • Abstracting and Indexing
      • Bibliographic Information
      • Archive
    • Experimental and Therapeutic Medicine
      • Experimental and Therapeutic Medicine
      • Information for Authors
      • Editorial Policies
      • Editorial Board
      • Aims and Scope
      • Abstracting and Indexing
      • Bibliographic Information
      • Archive
    • International Journal of Molecular Medicine
      • International Journal of Molecular Medicine
      • Information for Authors
      • Editorial Policies
      • Editorial Board
      • Aims and Scope
      • Abstracting and Indexing
      • Bibliographic Information
      • Archive
    • Biomedical Reports
      • Biomedical Reports
      • Information for Authors
      • Editorial Policies
      • Editorial Board
      • Aims and Scope
      • Abstracting and Indexing
      • Bibliographic Information
      • Archive
    • Oncology Reports
      • Oncology Reports
      • Information for Authors
      • Editorial Policies
      • Editorial Board
      • Aims and Scope
      • Abstracting and Indexing
      • Bibliographic Information
      • Archive
    • Molecular Medicine Reports
      • Molecular Medicine Reports
      • Information for Authors
      • Editorial Policies
      • Editorial Board
      • Aims and Scope
      • Abstracting and Indexing
      • Bibliographic Information
      • Archive
    • World Academy of Sciences Journal
      • World Academy of Sciences Journal
      • Information for Authors
      • Editorial Policies
      • Editorial Board
      • Aims and Scope
      • Abstracting and Indexing
      • Bibliographic Information
      • Archive
    • International Journal of Functional Nutrition
      • International Journal of Functional Nutrition
      • Information for Authors
      • Editorial Policies
      • Editorial Board
      • Aims and Scope
      • Abstracting and Indexing
      • Bibliographic Information
      • Archive
    • International Journal of Epigenetics
      • International Journal of Epigenetics
      • Information for Authors
      • Editorial Policies
      • Editorial Board
      • Aims and Scope
      • Abstracting and Indexing
      • Bibliographic Information
      • Archive
    • Medicine International
      • Medicine International
      • Information for Authors
      • Editorial Policies
      • Editorial Board
      • Aims and Scope
      • Abstracting and Indexing
      • Bibliographic Information
      • Archive
  • Articles
  • Information
    • Information for Authors
    • Information for Reviewers
    • Information for Librarians
    • Information for Advertisers
    • Conferences
  • Language Editing
Spandidos Publications Logo
  • About
    • About Spandidos
    • Aims and Scopes
    • Abstracting and Indexing
    • Editorial Policies
    • Reprints and Permissions
    • Job Opportunities
    • Terms and Conditions
    • Contact
  • Journals
    • All Journals
    • Biomedical Reports
      • Information for Authors
      • Editorial Policies
      • Editorial Board
      • Aims and Scope
      • Abstracting and Indexing
      • Bibliographic Information
      • Archive
    • Experimental and Therapeutic Medicine
      • Information for Authors
      • Editorial Policies
      • Editorial Board
      • Aims and Scope
      • Abstracting and Indexing
      • Bibliographic Information
      • Archive
    • International Journal of Epigenetics
      • Information for Authors
      • Editorial Policies
      • Editorial Board
      • Aims and Scope
      • Abstracting and Indexing
      • Bibliographic Information
      • Archive
    • International Journal of Functional Nutrition
      • Information for Authors
      • Editorial Policies
      • Editorial Board
      • Aims and Scope
      • Abstracting and Indexing
      • Bibliographic Information
      • Archive
    • International Journal of Molecular Medicine
      • Information for Authors
      • Editorial Policies
      • Editorial Board
      • Aims and Scope
      • Abstracting and Indexing
      • Bibliographic Information
      • Archive
    • International Journal of Oncology
      • Information for Authors
      • Editorial Policies
      • Editorial Board
      • Aims and Scope
      • Abstracting and Indexing
      • Bibliographic Information
      • Archive
    • Medicine International
      • Information for Authors
      • Editorial Policies
      • Editorial Board
      • Aims and Scope
      • Abstracting and Indexing
      • Bibliographic Information
      • Archive
    • Molecular and Clinical Oncology
      • Information for Authors
      • Editorial Policies
      • Editorial Board
      • Aims and Scope
      • Abstracting and Indexing
      • Bibliographic Information
      • Archive
    • Molecular Medicine Reports
      • Information for Authors
      • Editorial Policies
      • Editorial Board
      • Aims and Scope
      • Abstracting and Indexing
      • Bibliographic Information
      • Archive
    • Oncology Letters
      • Information for Authors
      • Editorial Policies
      • Editorial Board
      • Aims and Scope
      • Abstracting and Indexing
      • Bibliographic Information
      • Archive
    • Oncology Reports
      • Information for Authors
      • Editorial Policies
      • Editorial Board
      • Aims and Scope
      • Abstracting and Indexing
      • Bibliographic Information
      • Archive
    • World Academy of Sciences Journal
      • Information for Authors
      • Editorial Policies
      • Editorial Board
      • Aims and Scope
      • Abstracting and Indexing
      • Bibliographic Information
      • Archive
  • Articles
  • Information
    • For Authors
    • For Reviewers
    • For Librarians
    • For Advertisers
    • Conferences
  • Language Editing
Login Register Submit
  • This site uses cookies
  • You can change your cookie settings at any time by following the instructions in our Cookie Policy. To find out more, you may read our Privacy Policy.

    I agree
Search articles by DOI, keyword, author or affiliation
Search
Advanced Search
presentation
Oncology Letters
Join Editorial Board Propose a Special Issue
Print ISSN: 1792-1074 Online ISSN: 1792-1082
Journal Cover
January-2025 Volume 29 Issue 1

Full Size Image

Sign up for eToc alerts
Recommend to Library

Journals

International Journal of Molecular Medicine

International Journal of Molecular Medicine

International Journal of Molecular Medicine is an international journal devoted to molecular mechanisms of human disease.

International Journal of Oncology

International Journal of Oncology

International Journal of Oncology is an international journal devoted to oncology research and cancer treatment.

Molecular Medicine Reports

Molecular Medicine Reports

Covers molecular medicine topics such as pharmacology, pathology, genetics, neuroscience, infectious diseases, molecular cardiology, and molecular surgery.

Oncology Reports

Oncology Reports

Oncology Reports is an international journal devoted to fundamental and applied research in Oncology.

Experimental and Therapeutic Medicine

Experimental and Therapeutic Medicine

Experimental and Therapeutic Medicine is an international journal devoted to laboratory and clinical medicine.

Oncology Letters

Oncology Letters

Oncology Letters is an international journal devoted to Experimental and Clinical Oncology.

Biomedical Reports

Biomedical Reports

Explores a wide range of biological and medical fields, including pharmacology, genetics, microbiology, neuroscience, and molecular cardiology.

Molecular and Clinical Oncology

Molecular and Clinical Oncology

International journal addressing all aspects of oncology research, from tumorigenesis and oncogenes to chemotherapy and metastasis.

World Academy of Sciences Journal

World Academy of Sciences Journal

Multidisciplinary open-access journal spanning biochemistry, genetics, neuroscience, environmental health, and synthetic biology.

International Journal of Functional Nutrition

International Journal of Functional Nutrition

Open-access journal combining biochemistry, pharmacology, immunology, and genetics to advance health through functional nutrition.

International Journal of Epigenetics

International Journal of Epigenetics

Publishes open-access research on using epigenetics to advance understanding and treatment of human disease.

Medicine International

Medicine International

An International Open Access Journal Devoted to General Medicine.

Journal Cover
January-2025 Volume 29 Issue 1

Full Size Image

Sign up for eToc alerts
Recommend to Library

  • Article
  • Citations
    • Cite This Article
    • Download Citation
    • Create Citation Alert
    • Remove Citation Alert
    • Cited By
  • Similar Articles
    • Related Articles (in Spandidos Publications)
    • Similar Articles (Google Scholar)
    • Similar Articles (PubMed)
  • Download PDF
  • Download XML
  • View XML

  • Supplementary Files
    • Supplementary_Data1.pdf
    • Supplementary_Data2.pdf
Case Report Open Access

Imaging assessment of tumor densities and sizes following pazopanib treatment for central nervous system solitary fibrous tumors with multiple extracranial metastases: A case series

  • Authors:
    • Takaya Tsuno
    • Noritaka Masahira
    • Kunihiko Numoto
    • Hitomi Iwasa
    • Nao Kagimoto
    • Daichi Yamasaki
    • Yuichiro Kondo
    • Toshiki Matsuoka
    • Hiroyuki Nishimura
  • View Affiliations / Copyright

    Affiliations: Department of Neurosurgery, Kochi Health Sciences Center, Kochi 781‑8555, Japan, Department of Neurosurgery, Hata Kenmin Hospital, Kochi 788‑0785, Japan, Department of Orthopedic Surgery, Kochi Health Sciences Center, Kochi 781‑8555, Japan, Department of Radiology, Kochi Health Sciences Center, Kochi 781‑8555, Japan, Department of Neurosurgery, Chikamori Hospital, Kochi 780‑8522, Japan
    Copyright: © Tsuno et al. This is an open access article distributed under the terms of Creative Commons Attribution License.
  • Article Number: 45
    |
    Published online on: November 6, 2024
       https://doi.org/10.3892/ol.2024.14791
  • Expand metrics +
Metrics: Total Views: 0 (Spandidos Publications: | PMC Statistics: )
Metrics: Total PDF Downloads: 0 (Spandidos Publications: | PMC Statistics: )
Cited By (CrossRef): 0 citations Loading Articles...

This article is mentioned in:



Abstract

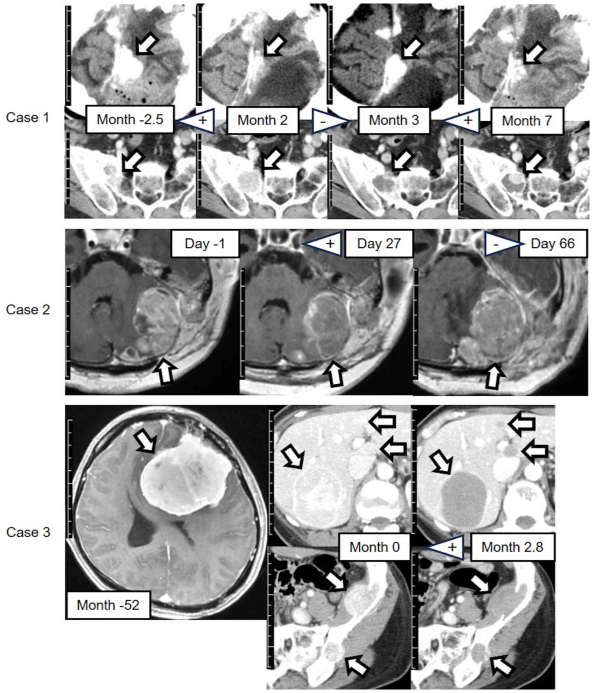
Central nervous system (CNS) solitary fibrous tumors (SFTs) are rare but aggressive, often metastasizing to extracranial regions, with no established treatments apart from surgery. Pazopanib, a multikinase angiogenesis inhibitor, is used to treat extracranial SFTs; however, its efficacy for treating CNS SFTs remains unclear. To address this issue, the efficacy of pazopanib was investigated, focusing on tumor density and size in CNS SFTs with extracranial metastases after initiation, interruption or resumption of pazopanib treatment. The present study retrospectively reviewed 3 consecutive cases of CNS SFTs showing extracranial metastases that were referred to Kochi Health Sciences Center (Kochi, Japan) between January 2018 and April 2024 and were treated with pazopanib. All measurable lesions observed via contrast‑enhanced computed tomography (CT; 50 lesions) and magnetic resonance imaging (MRI; 21 lesions) were evaluated. Cases 2 and 3, meeting the Choi criteria, showed stable disease and achieved partial response after pazopanib initiation, respectively. In Case 1, both intracranial and extracranial tumor CT densities decreased after initiation and resumption of pazopanib treatment. However, both tumor CT sizes increased after interruption of pazopanib treatment. In Case 2, MRI revealed decreases and increases in the intracranial tumor size after initiation and interruption, respectively. Notably, pazopanib interruption caused rapid infratentorial tumor growth and death. Case 3 showed decreased extracranial tumor CT densities and sizes after pazopanib initiation, with pazopanib administered for 3.5 years. Thus, pazopanib may offer the potential to control both intracranial and extracranial tumors in patients with CNS SFTs with extracranial metastasis; however, treatment interruption requires careful consideration.
View Figures

Figure 1

Figure 2

View References

1 

WHO Classification of Tumours Editorial Board, . Mesenchymal, non-meningothelial tumours involving the CNS. Central Nervous System Tumours. WHO Classification of Tumours (5th edition). International Agency for Research on Cancer; Lyon: pp. 299–305. 2021

2 

Kinslow CJ, Bruce SS, Rae AI, Sheth SA, McKhann GM, Sisti MB, Bruce JN, Sonabend AM and Wang TJC: Solitary-fibrous tumor/hemangiopericytoma of the central nervous system: A population-based study. J Neurooncol. 138:173–182. 2018. View Article : Google Scholar : PubMed/NCBI

3 

Trifiletti DM, Mehta GU, Grover S and Sheehan JP: Clinical management and survival of patients with central nervous system hemangiopericytoma in the national cancer database. J Clin Neurosci. 44:169–174. 2017. View Article : Google Scholar : PubMed/NCBI

4 

Rutkowski MJ, Sughrue ME, Kane AJ, Aranda D, Mills SA, Barani IJ and Parsa AT: Predictors of mortality following treatment of intracranial hemangiopericytoma. J Neurosurg. 113:333–339. 2010. View Article : Google Scholar : PubMed/NCBI

5 

Ratneswaren T, Hogg FRA, Gallagher MJ and Ashkan K: Surveillance for metastatic hemangiopericytoma-solitary fibrous tumors-systematic literature review on incidence, predictors and diagnosis of extra-cranial disease. J Neurooncol. 138:447–467. 2018. View Article : Google Scholar : PubMed/NCBI

6 

de Bernardi A, Dufresne A, Mishellany F, Blay JY, Ray-Coquard I and Brahmi M: Novel therapeutic options for solitary fibrous tumor: Antiangiogenic therapy and beyond. Cancers (Basel). 14:10642022. View Article : Google Scholar : PubMed/NCBI

7 

Schweizer L, Koelsche C, Sahm F, Piro RM, Capper D, Reuss DE, Pusch S, Habel A, Meyer J, Göck T, et al: Meningeal hemangiopericytoma and solitary fibrous tumors carry the NAB2-STAT6 fusion and can be diagnosed by nuclear expression of STAT6 protein. Acta Neuropathol. 125:651–658. 2013. View Article : Google Scholar : PubMed/NCBI

8 

Gao F, Ling C, Shi L, Commins D, Zada G, Mack WJ and Wang K: Inversion-mediated gene fusions involving NAB2-STAT6 in an unusual malignant meningioma. Br J Cancer. 109:1051–1055. 2013. View Article : Google Scholar : PubMed/NCBI

9 

Robinson DR, Wu YM, Kalyana-Sundaram S, Cao X, Lonigro RJ, Sung YS, Chen CL, Zhang L, Wang R, Su F, et al: Identification of recurrent NAB2-STAT6 gene fusions in solitary fibrous tumor by integrative sequencing. Nat Genet. 45:180–185. 2013. View Article : Google Scholar : PubMed/NCBI

10 

Pottier C, Fresnais M, Gilon M, Jérusalem G, Longuespée R and Sounni NE: Tyrosine Kinase inhibitors in cancer: Breakthrough and challenges of targeted therapy. Cancers (Basel). 12:7312020. View Article : Google Scholar : PubMed/NCBI

11 

Zhao Y and Adjei AA: Targeting angiogenesis in cancer therapy: Moving beyond vascular endothelial growth factor. Oncologist. 20:660–673. 2015. View Article : Google Scholar : PubMed/NCBI

12 

Hamberg P, Verweij J and Sleijfer S: (Pre-)clinical pharmacology and activity of pazopanib, a novel multikinase angiogenesis inhibitor. Oncologist. 15:539–547. 2010. View Article : Google Scholar : PubMed/NCBI

13 

Kumar R, Knick VB, Rudolph SK, Johnson JH, Crosby RM, Crouthamel MC, Hopper TM, Miller CG, Harrington LE, Onori JA, et al: Pharmacokinetic-pharmacodynamic correlation from mouse to human with pazopanib, a multikinase angiogenesis inhibitor with potent antitumor and antiangiogenic activity. Mol Cancer Ther. 6:2012–2021. 2007. View Article : Google Scholar : PubMed/NCBI

14 

van der Graaf WT, Blay JY, Chawla SP, Kim DW, Bui-Nguyen B, Casali PG, Schöffski P, Aglietta M, Staddon AP, Beppu Y, et al: Pazopanib for metastatic soft-tissue sarcoma (PALETTE): A randomised, double-blind, placebo-controlled phase 3 trial. Lancet. 379:1879–1886. 2012. View Article : Google Scholar : PubMed/NCBI

15 

Martin-Broto J, Stacchiotti S, Lopez-Pousa A, Redondo A, Bernabeu D, de Alava E, Casali PG, Italiano A, Gutierrez A, Moura DS, et al: Pazopanib for treatment of advanced malignant and dedifferentiated solitary fibrous tumour: A multicentre, single-arm, phase 2 trial. Lancet Oncol. 20:134–144. 2019. View Article : Google Scholar : PubMed/NCBI

16 

Choi H, Charnsangavej C, Faria SC, Macapinlac HA, Burgess MA, Patel SR, Chen LL, Podoloff DA and Benjamin RS: Correlation of computed tomography and positron emission tomography in patients with metastatic gastrointestinal stromal tumor treated at a single institution with imatinib mesylate: Proposal of new computed tomography response criteria. J Clin Oncol. 25:1753–1759. 2007. View Article : Google Scholar : PubMed/NCBI

17 

Apra C, Alentorn A, Mokhtari K, Kalamarides M and Sanson M: Pazopanib efficacy in recurrent central nervous system hemangiopericytomas. J Neurooncol. 139:369–372. 2018. View Article : Google Scholar : PubMed/NCBI

18 

Lee SJ, Kim ST, Park SH, Choi YL, Park JB, Kim SJ and Lee J: Successful use of pazopanib for treatment of refractory metastatic hemangiopericytoma. Clin Sarcoma Res. 4:132014. View Article : Google Scholar : PubMed/NCBI

19 

Nakamura T, Matsumine A, Kawai A, Araki N, Goto T, Yonemoto T, Sugiura H, Nishida Y, Hiraga H, Honoki K, et al: The clinical outcome of pazopanib treatment in Japanese patients with relapsed soft tissue sarcoma: A Japanese musculoskeletal oncology group (JMOG) study. Cancer. 122:1408–1416. 2016. View Article : Google Scholar : PubMed/NCBI

20 

Common Terminology Criteria for Adverse Events (CTCAE), . V5.0, 2017. https://ctep.cancer.gov/protocoldevelopment/electronic_applications/docs/ctcae_v5_quick_reference_5×7.pdf

21 

Liu J, Yan S, Du J, Teng L, Yang R, Xu P and Tao W: Mechanism and treatment of diarrhea associated with tyrosine kinase inhibitors. Heliyon. 10:e275312024. View Article : Google Scholar : PubMed/NCBI

22 

Tullemans BME, Nagy M, Sabrkhany S, Griffioen AW, Oude Egbrink MGA, Aarts M, Heemskerk JWM and Kuijpers MJE: Tyrosine kinase inhibitor pazopanib inhibits platelet procoagulant activity in renal cell carcinoma patients. Front Cardiovasc Med. 5:1422018. View Article : Google Scholar : PubMed/NCBI

23 

Justice CN, Derbala MH, Baich TM, Kempton AN, Guo AS, Ho TH and Smith SA: The impact of pazopanib on the cardiovascular system. J Cardiovasc Pharmacol Ther. 23:387–398. 2018. View Article : Google Scholar : PubMed/NCBI

24 

Maeda O, Ohka F, Maesawa S, Matsuoka A, Shimokata T, Mitsuma A, Urakawa H, Nakamura S, Shimoyama Y, Nakaguro M, et al: Solitary fibrous tumor/hemangiopericytoma treated with temozolomide plus bevacizumab: A report of four cases and literature review. Nagoya J Med Sci. 82:631–644. 2020.PubMed/NCBI

25 

Eisenhauer EA, Therasse P, Bogaerts J, Schwartz LH, Sargent D, Ford R, Dancey J, Arbuck S, Gwyther S, Mooney M, et al: New response evaluation criteria in solid tumours: Revised RECIST guideline (version 1.1). Eur J Cancer. 45:228–247. 2009. View Article : Google Scholar : PubMed/NCBI

26 

Sawayama S, Murakami R, Aki M, Kawaguchi Y, Takao Y, Nonogaki H, Goto T and Yamauchi C: Efficacy of pazopanib in FGFR1-amplified uterine carcinosarcoma: A case report. Gynecol Oncol Rep. 41:1009932022. View Article : Google Scholar : PubMed/NCBI

27 

Mondaza-Hernandez JL, Moura DS, Lopez-Alvarez M, Sanchez-Bustos P, Blanco-Alcaina E, Castilla-Ramirez C, Collini P, Merino-Garcia J, Zamora J, Carrillo-Garcia J, et al: ISG15 as a prognostic biomarker in solitary fibrous tumour. Cell Mol Life Sci. 79:4342022. View Article : Google Scholar : PubMed/NCBI

28 

Napolitano A, Moura DS, Hindi N, Mondaza-Hernandez JL, Merino-Garcia JA, Ramos R, Dagrada GP, Stacchiotti S, Graziano F, Vincenzi B and Martin-Broto J: Expression of p53 as a biomarker of pazopanib efficacy in solitary fibrous tumours: Translational analysis of a phase II trial. Ther Adv Med Oncol. 14:175883592211161552022. View Article : Google Scholar : PubMed/NCBI

29 

Kanda Y: Investigation of the freely available easy-to-use software ‘EZR’ for medical statistics. Bone Marrow Transplant. 48:452–458. 2013. View Article : Google Scholar : PubMed/NCBI

30 

Giannini C, Rushing EJ, Hainfellner JA, Bouvier C, Figarella-Branger D, von Deimling A, Wesseling P and Antonescu CR: Solitary fibrous tumour/haemangioparicytoma. WHO Classification of Tumours of the Central Nervous System. (Revised 4th edition). International Agency for Research on Cancer; Lyon: pp. 248–254. 2016

Related Articles

  • Abstract
  • View
  • Download
  • Twitter
Copy and paste a formatted citation
Spandidos Publications style
Tsuno T, Masahira N, Numoto K, Iwasa H, Kagimoto N, Yamasaki D, Kondo Y, Matsuoka T and Nishimura H: Imaging assessment of tumor densities and sizes following pazopanib treatment for central nervous system solitary fibrous tumors with multiple extracranial metastases: A case series. Oncol Lett 29: 45, 2025.
APA
Tsuno, T., Masahira, N., Numoto, K., Iwasa, H., Kagimoto, N., Yamasaki, D. ... Nishimura, H. (2025). Imaging assessment of tumor densities and sizes following pazopanib treatment for central nervous system solitary fibrous tumors with multiple extracranial metastases: A case series. Oncology Letters, 29, 45. https://doi.org/10.3892/ol.2024.14791
MLA
Tsuno, T., Masahira, N., Numoto, K., Iwasa, H., Kagimoto, N., Yamasaki, D., Kondo, Y., Matsuoka, T., Nishimura, H."Imaging assessment of tumor densities and sizes following pazopanib treatment for central nervous system solitary fibrous tumors with multiple extracranial metastases: A case series". Oncology Letters 29.1 (2025): 45.
Chicago
Tsuno, T., Masahira, N., Numoto, K., Iwasa, H., Kagimoto, N., Yamasaki, D., Kondo, Y., Matsuoka, T., Nishimura, H."Imaging assessment of tumor densities and sizes following pazopanib treatment for central nervous system solitary fibrous tumors with multiple extracranial metastases: A case series". Oncology Letters 29, no. 1 (2025): 45. https://doi.org/10.3892/ol.2024.14791
Copy and paste a formatted citation
x
Spandidos Publications style
Tsuno T, Masahira N, Numoto K, Iwasa H, Kagimoto N, Yamasaki D, Kondo Y, Matsuoka T and Nishimura H: Imaging assessment of tumor densities and sizes following pazopanib treatment for central nervous system solitary fibrous tumors with multiple extracranial metastases: A case series. Oncol Lett 29: 45, 2025.
APA
Tsuno, T., Masahira, N., Numoto, K., Iwasa, H., Kagimoto, N., Yamasaki, D. ... Nishimura, H. (2025). Imaging assessment of tumor densities and sizes following pazopanib treatment for central nervous system solitary fibrous tumors with multiple extracranial metastases: A case series. Oncology Letters, 29, 45. https://doi.org/10.3892/ol.2024.14791
MLA
Tsuno, T., Masahira, N., Numoto, K., Iwasa, H., Kagimoto, N., Yamasaki, D., Kondo, Y., Matsuoka, T., Nishimura, H."Imaging assessment of tumor densities and sizes following pazopanib treatment for central nervous system solitary fibrous tumors with multiple extracranial metastases: A case series". Oncology Letters 29.1 (2025): 45.
Chicago
Tsuno, T., Masahira, N., Numoto, K., Iwasa, H., Kagimoto, N., Yamasaki, D., Kondo, Y., Matsuoka, T., Nishimura, H."Imaging assessment of tumor densities and sizes following pazopanib treatment for central nervous system solitary fibrous tumors with multiple extracranial metastases: A case series". Oncology Letters 29, no. 1 (2025): 45. https://doi.org/10.3892/ol.2024.14791
Follow us
  • Twitter
  • LinkedIn
  • Facebook
About
  • Spandidos Publications
  • Careers
  • Cookie Policy
  • Privacy Policy
How can we help?
  • Help
  • Live Chat
  • Contact
  • Email to our Support Team