Spandidos Publications Logo
  • About
    • About Spandidos
    • Aims and Scopes
    • Abstracting and Indexing
    • Editorial Policies
    • Reprints and Permissions
    • Job Opportunities
    • Terms and Conditions
    • Contact
  • Journals
    • All Journals
    • Oncology Letters
      • Oncology Letters
      • Information for Authors
      • Editorial Policies
      • Editorial Board
      • Aims and Scope
      • Abstracting and Indexing
      • Bibliographic Information
      • Archive
    • International Journal of Oncology
      • International Journal of Oncology
      • Information for Authors
      • Editorial Policies
      • Editorial Board
      • Aims and Scope
      • Abstracting and Indexing
      • Bibliographic Information
      • Archive
    • Molecular and Clinical Oncology
      • Molecular and Clinical Oncology
      • Information for Authors
      • Editorial Policies
      • Editorial Board
      • Aims and Scope
      • Abstracting and Indexing
      • Bibliographic Information
      • Archive
    • Experimental and Therapeutic Medicine
      • Experimental and Therapeutic Medicine
      • Information for Authors
      • Editorial Policies
      • Editorial Board
      • Aims and Scope
      • Abstracting and Indexing
      • Bibliographic Information
      • Archive
    • International Journal of Molecular Medicine
      • International Journal of Molecular Medicine
      • Information for Authors
      • Editorial Policies
      • Editorial Board
      • Aims and Scope
      • Abstracting and Indexing
      • Bibliographic Information
      • Archive
    • Biomedical Reports
      • Biomedical Reports
      • Information for Authors
      • Editorial Policies
      • Editorial Board
      • Aims and Scope
      • Abstracting and Indexing
      • Bibliographic Information
      • Archive
    • Oncology Reports
      • Oncology Reports
      • Information for Authors
      • Editorial Policies
      • Editorial Board
      • Aims and Scope
      • Abstracting and Indexing
      • Bibliographic Information
      • Archive
    • Molecular Medicine Reports
      • Molecular Medicine Reports
      • Information for Authors
      • Editorial Policies
      • Editorial Board
      • Aims and Scope
      • Abstracting and Indexing
      • Bibliographic Information
      • Archive
    • World Academy of Sciences Journal
      • World Academy of Sciences Journal
      • Information for Authors
      • Editorial Policies
      • Editorial Board
      • Aims and Scope
      • Abstracting and Indexing
      • Bibliographic Information
      • Archive
    • International Journal of Functional Nutrition
      • International Journal of Functional Nutrition
      • Information for Authors
      • Editorial Policies
      • Editorial Board
      • Aims and Scope
      • Abstracting and Indexing
      • Bibliographic Information
      • Archive
    • International Journal of Epigenetics
      • International Journal of Epigenetics
      • Information for Authors
      • Editorial Policies
      • Editorial Board
      • Aims and Scope
      • Abstracting and Indexing
      • Bibliographic Information
      • Archive
    • Medicine International
      • Medicine International
      • Information for Authors
      • Editorial Policies
      • Editorial Board
      • Aims and Scope
      • Abstracting and Indexing
      • Bibliographic Information
      • Archive
  • Articles
  • Information
    • Information for Authors
    • Information for Reviewers
    • Information for Librarians
    • Information for Advertisers
    • Conferences
  • Language Editing
Spandidos Publications Logo
  • About
    • About Spandidos
    • Aims and Scopes
    • Abstracting and Indexing
    • Editorial Policies
    • Reprints and Permissions
    • Job Opportunities
    • Terms and Conditions
    • Contact
  • Journals
    • All Journals
    • Biomedical Reports
      • Information for Authors
      • Editorial Policies
      • Editorial Board
      • Aims and Scope
      • Abstracting and Indexing
      • Bibliographic Information
      • Archive
    • Experimental and Therapeutic Medicine
      • Information for Authors
      • Editorial Policies
      • Editorial Board
      • Aims and Scope
      • Abstracting and Indexing
      • Bibliographic Information
      • Archive
    • International Journal of Epigenetics
      • Information for Authors
      • Editorial Policies
      • Editorial Board
      • Aims and Scope
      • Abstracting and Indexing
      • Bibliographic Information
      • Archive
    • International Journal of Functional Nutrition
      • Information for Authors
      • Editorial Policies
      • Editorial Board
      • Aims and Scope
      • Abstracting and Indexing
      • Bibliographic Information
      • Archive
    • International Journal of Molecular Medicine
      • Information for Authors
      • Editorial Policies
      • Editorial Board
      • Aims and Scope
      • Abstracting and Indexing
      • Bibliographic Information
      • Archive
    • International Journal of Oncology
      • Information for Authors
      • Editorial Policies
      • Editorial Board
      • Aims and Scope
      • Abstracting and Indexing
      • Bibliographic Information
      • Archive
    • Medicine International
      • Information for Authors
      • Editorial Policies
      • Editorial Board
      • Aims and Scope
      • Abstracting and Indexing
      • Bibliographic Information
      • Archive
    • Molecular and Clinical Oncology
      • Information for Authors
      • Editorial Policies
      • Editorial Board
      • Aims and Scope
      • Abstracting and Indexing
      • Bibliographic Information
      • Archive
    • Molecular Medicine Reports
      • Information for Authors
      • Editorial Policies
      • Editorial Board
      • Aims and Scope
      • Abstracting and Indexing
      • Bibliographic Information
      • Archive
    • Oncology Letters
      • Information for Authors
      • Editorial Policies
      • Editorial Board
      • Aims and Scope
      • Abstracting and Indexing
      • Bibliographic Information
      • Archive
    • Oncology Reports
      • Information for Authors
      • Editorial Policies
      • Editorial Board
      • Aims and Scope
      • Abstracting and Indexing
      • Bibliographic Information
      • Archive
    • World Academy of Sciences Journal
      • Information for Authors
      • Editorial Policies
      • Editorial Board
      • Aims and Scope
      • Abstracting and Indexing
      • Bibliographic Information
      • Archive
  • Articles
  • Information
    • For Authors
    • For Reviewers
    • For Librarians
    • For Advertisers
    • Conferences
  • Language Editing
Login Register Submit
  • This site uses cookies
  • You can change your cookie settings at any time by following the instructions in our Cookie Policy. To find out more, you may read our Privacy Policy.

    I agree
Search articles by DOI, keyword, author or affiliation
Search
Advanced Search
presentation
Oncology Letters
Join Editorial Board Propose a Special Issue
Print ISSN: 1792-1074 Online ISSN: 1792-1082
Journal Cover
January-2025 Volume 29 Issue 1

Full Size Image

Sign up for eToc alerts
Recommend to Library

Journals

International Journal of Molecular Medicine

International Journal of Molecular Medicine

International Journal of Molecular Medicine is an international journal devoted to molecular mechanisms of human disease.

International Journal of Oncology

International Journal of Oncology

International Journal of Oncology is an international journal devoted to oncology research and cancer treatment.

Molecular Medicine Reports

Molecular Medicine Reports

Covers molecular medicine topics such as pharmacology, pathology, genetics, neuroscience, infectious diseases, molecular cardiology, and molecular surgery.

Oncology Reports

Oncology Reports

Oncology Reports is an international journal devoted to fundamental and applied research in Oncology.

Experimental and Therapeutic Medicine

Experimental and Therapeutic Medicine

Experimental and Therapeutic Medicine is an international journal devoted to laboratory and clinical medicine.

Oncology Letters

Oncology Letters

Oncology Letters is an international journal devoted to Experimental and Clinical Oncology.

Biomedical Reports

Biomedical Reports

Explores a wide range of biological and medical fields, including pharmacology, genetics, microbiology, neuroscience, and molecular cardiology.

Molecular and Clinical Oncology

Molecular and Clinical Oncology

International journal addressing all aspects of oncology research, from tumorigenesis and oncogenes to chemotherapy and metastasis.

World Academy of Sciences Journal

World Academy of Sciences Journal

Multidisciplinary open-access journal spanning biochemistry, genetics, neuroscience, environmental health, and synthetic biology.

International Journal of Functional Nutrition

International Journal of Functional Nutrition

Open-access journal combining biochemistry, pharmacology, immunology, and genetics to advance health through functional nutrition.

International Journal of Epigenetics

International Journal of Epigenetics

Publishes open-access research on using epigenetics to advance understanding and treatment of human disease.

Medicine International

Medicine International

An International Open Access Journal Devoted to General Medicine.

Journal Cover
January-2025 Volume 29 Issue 1

Full Size Image

Sign up for eToc alerts
Recommend to Library

  • Article
  • Citations
    • Cite This Article
    • Download Citation
    • Create Citation Alert
    • Remove Citation Alert
    • Cited By
  • Similar Articles
    • Related Articles (in Spandidos Publications)
    • Similar Articles (Google Scholar)
    • Similar Articles (PubMed)
  • Download PDF
  • Download XML
  • View XML
Case Report Open Access

Primary adenoid cystic carcinoma of the rib with metastases: A rare case report and literature review

  • Authors:
    • Shuang Li
    • Ruxue Fan
    • Shuying Luo
    • Kaiyuan Jin
    • Bangguo Li
  • View Affiliations / Copyright

    Affiliations: Department of Radiology, Affiliated Hospital of Zunyi Medical University, Zunyi, Guizhou 563003, P.R. China
    Copyright: © Li et al. This is an open access article distributed under the terms of Creative Commons Attribution License.
  • Article Number: 47
    |
    Published online on: November 7, 2024
       https://doi.org/10.3892/ol.2024.14793
  • Expand metrics +
Metrics: Total Views: 0 (Spandidos Publications: | PMC Statistics: )
Metrics: Total PDF Downloads: 0 (Spandidos Publications: | PMC Statistics: )
Cited By (CrossRef): 0 citations Loading Articles...

This article is mentioned in:



Abstract

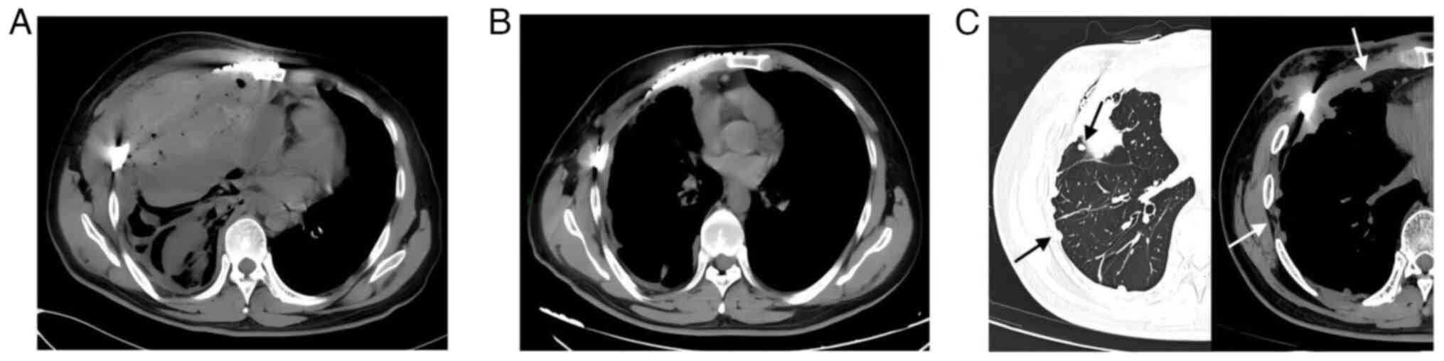
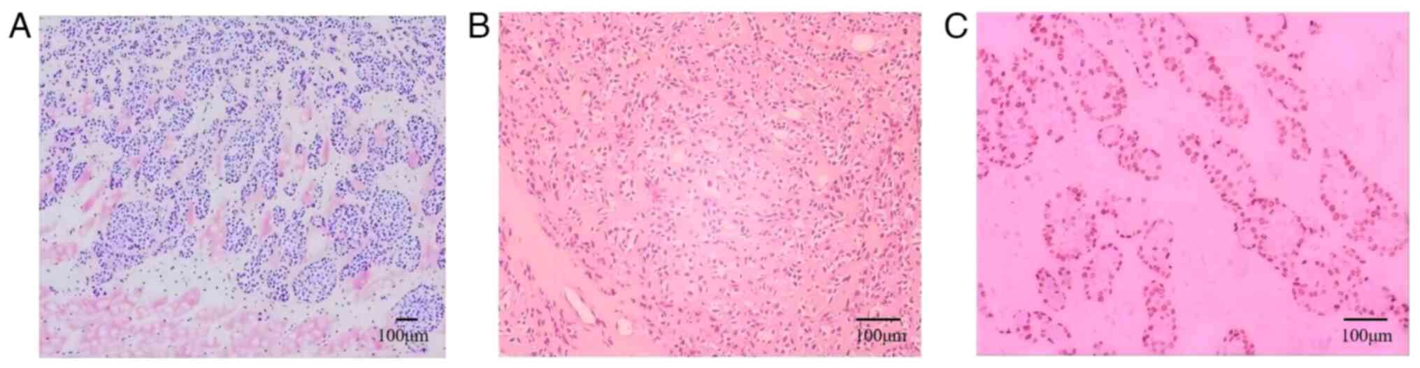
Adenoid cystic carcinoma (ACC) is a rare and aggressive malignant tumour predominantly found in the salivary glands but can also occur elsewhere. Primary ACC in the bones is particularly rare, with most reports focusing on cases of ACC in the maxilla and mandible. This report presents a case of ACC in a 47‑year‑old man with a primary origin in the right rib region, a previously unreported location. Its imaging manifestations and pathological features, as well as surgical treatment and follow‑up, were described to increase awareness of this rare disease.
View Figures

Figure 1

Figure 2

Figure 3

Figure 4

View References

1 

Cantu G: Adenoid cystic carcinoma. An indolent but aggressive tumour. Part A: from aetiopathogenesis to diagnosis. Acta Otorhinolaryngol Ital. 41:206–214. 2021. View Article : Google Scholar : PubMed/NCBI

2 

Chowsilpa S, An D and Maleki Z: Adenoid cystic carcinoma cytology: Salivary gland and nonsalivary gland. Diagn Cytopathol. 48:1282–1289. 2020. View Article : Google Scholar : PubMed/NCBI

3 

Xu C, Shen W, Cheng Y, Yu D and Zhu H: Primary and recurrent intraosseous adenoid cystic carcinoma-analysis of two cases and literature review. Medicina (Kaunas). 60:1002024. View Article : Google Scholar : PubMed/NCBI

4 

Nightingale J, Lum B, Ladwa R, Simpson F and Panizza B: Adenoid cystic carcinoma: a review of clinical features, treatment targets and advances in improving the immune response to monoclonal antibody therapy. Biochim Biophys Acta Rev Cancer. 1875:1885232021. View Article : Google Scholar : PubMed/NCBI

5 

Fang Y, Peng Z, Wang Y, Gao K, Liu Y, Fan R, Zhang H, Xie Z and Jiang W: Current opinions on diagnosis and treatment of adenoid cystic carcinoma. Oral Oncol. 130:1059452022. View Article : Google Scholar : PubMed/NCBI

6 

Cheng Y, Xu L, Chen Z, Wu H, Zou H, Zhang T, Liu G, Liu Z, Yin C, Ma L, et al: Prognosis of adenoid cystic carcinoma in head and neck region treated with different regimens-A single-centre study. Cancer Med. 12:2368–2377. 2023. View Article : Google Scholar : PubMed/NCBI

7 

Thomas M and Shen KR: Primary tumors of the osseous chest wall and their management. Thorac Surg Clin. 27:181–193. 2017. View Article : Google Scholar : PubMed/NCBI

8 

Chinese Society of Pathology; Pathology Committee of China Anti-Cancer Association; Sarcoma Committee of China Anti-Cancer Association; Pathology Group of Sarcoma Committee of Chinese Society of Clinical Oncology; Pathology Committee of Chinese Research Hospital Association; Expert Committee of Clinical Practice Guideline for Pathological Sampling and Standardized Report of Bone Tumor (2023 version), . Clinical practice guideline for pathological sampling and standardized report of bone tumor (2023 version). Zhonghua Bing Li Xue Za Zhi. 52:1098–1106. 2023.(In Chinese). PubMed/NCBI

9 

Hussar P, Popovska-Percinic F, Blagoevska K, Järveots T and Dūrītis I: Immunohistochemical Study of Glucose Transporter GLUT-5 in Duodenal Epithelium in Norm and in T-2 Mycotoxicosis. Foods. 9:8492020. View Article : Google Scholar : PubMed/NCBI

10 

Sasaki E, Yamagata K, Hagiwara T, Takasaki R, Fukuzawa S, Uchida F, Ishibashi-Kanno N and Bukawa H: A case of primary intraosseous adenoid cystic carcinoma of the mandible. Case Rep Dent. 2023:24220862023.PubMed/NCBI

11 

Nascimento de Aquino S, Silvestre Verner F, Alvares Cabral R, Najar Rios CH, Paes de Almeida O and Sanchez-Romero C: Adenoid cystic carcinoma with myoepithelial predominance affecting maxilla and maxillary sinus. J Stomatol Oral Maxillofac Surg. 120:55–60. 2019. View Article : Google Scholar : PubMed/NCBI

12 

Carlos-Bregni R, Vidaurre EC, Carolina Netto A, Leon JE and Almeida OP: Primary intraosseous adenoid cystic carcinoma of the mandible: Histopathological and immunohistochemical analysis. Pathol Oncol Res. 15:659–664. 2009. View Article : Google Scholar : PubMed/NCBI

13 

Shome S, Mallick A, Kundu S and Gayen S: Gnathic variant of primary adenoid cystic carcinoma: A unique case report. J Cancer Res Ther. 18:286–290. 2022. View Article : Google Scholar : PubMed/NCBI

14 

Wang Y, Guo X, Yu K, Shen X, Liu J, Zhao T and Gu H: Adenoid cystic carcinoma of head and neck: Summary and review of imaging findings. Heliyon. 9:e219012023. View Article : Google Scholar : PubMed/NCBI

15 

Savithri V, Suresh R, Janardhanan M, Aravind T and Mohan M: Primary intraosseous adenoid cystic carcinoma with widespread skeletal metastases showing features of high-grade transformation. Head Neck Pathol. 15:715–722. 2021. View Article : Google Scholar : PubMed/NCBI

16 

de Morais EF, de Farias Morais HG, de Almeida Freitas R and Coletta RD: Prognostic significance of histopathological parameters for salivary gland adenoid cystic carcinoma. Dent J (Basel). 11:2622023. View Article : Google Scholar : PubMed/NCBI

17 

Persson M, Andersson MK, Sahlin PE, Mitani Y, Brandwein-Weber MS, Frierson HF Jr, Moskaluk C, Fonseca I, Ferrarotto R, Boecker W, et al: Comprehensive molecular characterization of adenoid cystic carcinoma reveals tumor suppressors as novel drivers and prognostic biomarkers. J Pathol. 261:256–268. 2023. View Article : Google Scholar : PubMed/NCBI

18 

Thierauf J, Ramamurthy N, Jo VY, Robinson H, Frazier RP, Gonzalez J, Pacula M, Dominguez Meneses E, Nose V, Nardi V, et al: Clinically integrated molecular diagnostics in adenoid cystic carcinoma. Oncologist. 24:1356–1367. 2019. View Article : Google Scholar : PubMed/NCBI

19 

Abdulfatah E, Rottmann D, Morag Y, Pantanowitz L, Udager AM, Hao W and Lucas DR: Conventional chondrosarcoma of the rib cage and sternum: clinicopathological and molecular analysis of 27 patients treated at a single institution. Hum Pathol. 136:63–74. 2023. View Article : Google Scholar : PubMed/NCBI

20 

Laasri K, El Hamzi A, Halfi MI, Allaoui M, El Fenni J, En Nafaa I and Lahkim M: Solitary plasmacytoma of the rib: A rare tumor to keep in mind: Case report. Radiol Case Rep. 18:214–217. 2022. View Article : Google Scholar : PubMed/NCBI

21 

Soeroso NN, Ramadhani N and Tarigan SP: Ewing sarcoma with intra thoracic and multiple extra thoracic metastases in a young adult male: A case report. Int J Surg Case Rep. 118:1096422024. View Article : Google Scholar : PubMed/NCBI

22 

Zupancic M, Näsman A, Berglund A, Dalianis T and Friesland S: Adenoid Cystic Carcinoma (AdCC): A clinical survey of a large patient cohort. Cancers (Basel). 15:14992023. View Article : Google Scholar : PubMed/NCBI

23 

Zupancic M, Nasman A, Friesland S and Dalianis T: Adenoid cystic carcinoma, clinical presentation, current treatment and approaches towards novel therapies. Anticancer Res. 44:1325–1334. 2024. View Article : Google Scholar : PubMed/NCBI

24 

Chen Y, Zheng ZQ, Chen FP, Yan JY, Huang XD, Li F, Sun Y and Zhou GQ: Role of postoperative radiotherapy in nonmetastatic head and neck adenoid cystic carcinoma. J Natl Compr Canc Netw. 18:1476–1484. 2020. View Article : Google Scholar : PubMed/NCBI

25 

Tasoulas J, Divaris K, Theocharis S, Farquhar D, Shen C, Hackman T and Amelio AL: Impact of tumor site and adjuvant radiotherapy on survival of patients with adenoid cystic carcinoma: A SEER database analysis. Cancers (Basel). 13:5892021. View Article : Google Scholar : PubMed/NCBI

26 

Kacew AJ and Hanna GJ: Systemic and targeted therapies in adenoid cystic carcinoma. Curr Treat Options Oncol. 24:45–60. 2023. View Article : Google Scholar : PubMed/NCBI

27 

Dewenter I, Otto S, Kakoschke TK, Smolka W and Obermeier KT: Recent advances, systemic therapy, and molecular targets in adenoid cystic carcinoma of the head and neck. J Clin Med. 12:14632023. View Article : Google Scholar : PubMed/NCBI

28 

Shimoda H, Teshima M, Murase T, Nagao T, Kusafuka K, Nakaguro M, Urano M, Taguchi KI, Yamamoto H, Kano S, et al: Prognostic scores for patients with salivary adenoid cystic carcinoma without lymph node metastasis. Oral Oncol. 145:1064912023. View Article : Google Scholar : PubMed/NCBI

29 

Lombardi D, Tomasoni M, Lorini L, Gurizzan C, Tomasini D, Ardighieri L, Battocchio S, Bozzola A, Mattavelli D, Paderno A, et al: Baseline prognostic factors affecting survival in recurrent and/or metastatic salivary gland adenoid cystic carcinoma. Oral Oncol. 126:1057642022. View Article : Google Scholar : PubMed/NCBI

30 

Turchan WT, Korpics MC, Rooney M, Koshy M and Spiotto MT: Impact of anatomic site of distant metastasis on survival in salivary gland cancers. Head Neck. 43:2589–2601. 2021. View Article : Google Scholar : PubMed/NCBI

Related Articles

  • Abstract
  • View
  • Download
  • Twitter
Copy and paste a formatted citation
Spandidos Publications style
Li S, Fan R, Luo S, Jin K and Li B: Primary adenoid cystic carcinoma of the rib with metastases: A rare case report and literature review. Oncol Lett 29: 47, 2025.
APA
Li, S., Fan, R., Luo, S., Jin, K., & Li, B. (2025). Primary adenoid cystic carcinoma of the rib with metastases: A rare case report and literature review. Oncology Letters, 29, 47. https://doi.org/10.3892/ol.2024.14793
MLA
Li, S., Fan, R., Luo, S., Jin, K., Li, B."Primary adenoid cystic carcinoma of the rib with metastases: A rare case report and literature review". Oncology Letters 29.1 (2025): 47.
Chicago
Li, S., Fan, R., Luo, S., Jin, K., Li, B."Primary adenoid cystic carcinoma of the rib with metastases: A rare case report and literature review". Oncology Letters 29, no. 1 (2025): 47. https://doi.org/10.3892/ol.2024.14793
Copy and paste a formatted citation
x
Spandidos Publications style
Li S, Fan R, Luo S, Jin K and Li B: Primary adenoid cystic carcinoma of the rib with metastases: A rare case report and literature review. Oncol Lett 29: 47, 2025.
APA
Li, S., Fan, R., Luo, S., Jin, K., & Li, B. (2025). Primary adenoid cystic carcinoma of the rib with metastases: A rare case report and literature review. Oncology Letters, 29, 47. https://doi.org/10.3892/ol.2024.14793
MLA
Li, S., Fan, R., Luo, S., Jin, K., Li, B."Primary adenoid cystic carcinoma of the rib with metastases: A rare case report and literature review". Oncology Letters 29.1 (2025): 47.
Chicago
Li, S., Fan, R., Luo, S., Jin, K., Li, B."Primary adenoid cystic carcinoma of the rib with metastases: A rare case report and literature review". Oncology Letters 29, no. 1 (2025): 47. https://doi.org/10.3892/ol.2024.14793
Follow us
  • Twitter
  • LinkedIn
  • Facebook
About
  • Spandidos Publications
  • Careers
  • Cookie Policy
  • Privacy Policy
How can we help?
  • Help
  • Live Chat
  • Contact
  • Email to our Support Team