Spandidos Publications Logo
  • About
    • About Spandidos
    • Aims and Scopes
    • Abstracting and Indexing
    • Editorial Policies
    • Reprints and Permissions
    • Job Opportunities
    • Terms and Conditions
    • Contact
  • Journals
    • All Journals
    • Oncology Letters
      • Oncology Letters
      • Information for Authors
      • Editorial Policies
      • Editorial Board
      • Aims and Scope
      • Abstracting and Indexing
      • Bibliographic Information
      • Archive
    • International Journal of Oncology
      • International Journal of Oncology
      • Information for Authors
      • Editorial Policies
      • Editorial Board
      • Aims and Scope
      • Abstracting and Indexing
      • Bibliographic Information
      • Archive
    • Molecular and Clinical Oncology
      • Molecular and Clinical Oncology
      • Information for Authors
      • Editorial Policies
      • Editorial Board
      • Aims and Scope
      • Abstracting and Indexing
      • Bibliographic Information
      • Archive
    • Experimental and Therapeutic Medicine
      • Experimental and Therapeutic Medicine
      • Information for Authors
      • Editorial Policies
      • Editorial Board
      • Aims and Scope
      • Abstracting and Indexing
      • Bibliographic Information
      • Archive
    • International Journal of Molecular Medicine
      • International Journal of Molecular Medicine
      • Information for Authors
      • Editorial Policies
      • Editorial Board
      • Aims and Scope
      • Abstracting and Indexing
      • Bibliographic Information
      • Archive
    • Biomedical Reports
      • Biomedical Reports
      • Information for Authors
      • Editorial Policies
      • Editorial Board
      • Aims and Scope
      • Abstracting and Indexing
      • Bibliographic Information
      • Archive
    • Oncology Reports
      • Oncology Reports
      • Information for Authors
      • Editorial Policies
      • Editorial Board
      • Aims and Scope
      • Abstracting and Indexing
      • Bibliographic Information
      • Archive
    • Molecular Medicine Reports
      • Molecular Medicine Reports
      • Information for Authors
      • Editorial Policies
      • Editorial Board
      • Aims and Scope
      • Abstracting and Indexing
      • Bibliographic Information
      • Archive
    • World Academy of Sciences Journal
      • World Academy of Sciences Journal
      • Information for Authors
      • Editorial Policies
      • Editorial Board
      • Aims and Scope
      • Abstracting and Indexing
      • Bibliographic Information
      • Archive
    • International Journal of Functional Nutrition
      • International Journal of Functional Nutrition
      • Information for Authors
      • Editorial Policies
      • Editorial Board
      • Aims and Scope
      • Abstracting and Indexing
      • Bibliographic Information
      • Archive
    • International Journal of Epigenetics
      • International Journal of Epigenetics
      • Information for Authors
      • Editorial Policies
      • Editorial Board
      • Aims and Scope
      • Abstracting and Indexing
      • Bibliographic Information
      • Archive
    • Medicine International
      • Medicine International
      • Information for Authors
      • Editorial Policies
      • Editorial Board
      • Aims and Scope
      • Abstracting and Indexing
      • Bibliographic Information
      • Archive
  • Articles
  • Information
    • Information for Authors
    • Information for Reviewers
    • Information for Librarians
    • Information for Advertisers
    • Conferences
  • Language Editing
Spandidos Publications Logo
  • About
    • About Spandidos
    • Aims and Scopes
    • Abstracting and Indexing
    • Editorial Policies
    • Reprints and Permissions
    • Job Opportunities
    • Terms and Conditions
    • Contact
  • Journals
    • All Journals
    • Biomedical Reports
      • Information for Authors
      • Editorial Policies
      • Editorial Board
      • Aims and Scope
      • Abstracting and Indexing
      • Bibliographic Information
      • Archive
    • Experimental and Therapeutic Medicine
      • Information for Authors
      • Editorial Policies
      • Editorial Board
      • Aims and Scope
      • Abstracting and Indexing
      • Bibliographic Information
      • Archive
    • International Journal of Epigenetics
      • Information for Authors
      • Editorial Policies
      • Editorial Board
      • Aims and Scope
      • Abstracting and Indexing
      • Bibliographic Information
      • Archive
    • International Journal of Functional Nutrition
      • Information for Authors
      • Editorial Policies
      • Editorial Board
      • Aims and Scope
      • Abstracting and Indexing
      • Bibliographic Information
      • Archive
    • International Journal of Molecular Medicine
      • Information for Authors
      • Editorial Policies
      • Editorial Board
      • Aims and Scope
      • Abstracting and Indexing
      • Bibliographic Information
      • Archive
    • International Journal of Oncology
      • Information for Authors
      • Editorial Policies
      • Editorial Board
      • Aims and Scope
      • Abstracting and Indexing
      • Bibliographic Information
      • Archive
    • Medicine International
      • Information for Authors
      • Editorial Policies
      • Editorial Board
      • Aims and Scope
      • Abstracting and Indexing
      • Bibliographic Information
      • Archive
    • Molecular and Clinical Oncology
      • Information for Authors
      • Editorial Policies
      • Editorial Board
      • Aims and Scope
      • Abstracting and Indexing
      • Bibliographic Information
      • Archive
    • Molecular Medicine Reports
      • Information for Authors
      • Editorial Policies
      • Editorial Board
      • Aims and Scope
      • Abstracting and Indexing
      • Bibliographic Information
      • Archive
    • Oncology Letters
      • Information for Authors
      • Editorial Policies
      • Editorial Board
      • Aims and Scope
      • Abstracting and Indexing
      • Bibliographic Information
      • Archive
    • Oncology Reports
      • Information for Authors
      • Editorial Policies
      • Editorial Board
      • Aims and Scope
      • Abstracting and Indexing
      • Bibliographic Information
      • Archive
    • World Academy of Sciences Journal
      • Information for Authors
      • Editorial Policies
      • Editorial Board
      • Aims and Scope
      • Abstracting and Indexing
      • Bibliographic Information
      • Archive
  • Articles
  • Information
    • For Authors
    • For Reviewers
    • For Librarians
    • For Advertisers
    • Conferences
  • Language Editing
Login Register Submit
  • This site uses cookies
  • You can change your cookie settings at any time by following the instructions in our Cookie Policy. To find out more, you may read our Privacy Policy.

    I agree
Search articles by DOI, keyword, author or affiliation
Search
Advanced Search
presentation
Oncology Letters
Join Editorial Board Propose a Special Issue
Print ISSN: 1792-1074 Online ISSN: 1792-1082
Journal Cover
February-2025 Volume 29 Issue 2

Full Size Image

Sign up for eToc alerts
Recommend to Library

Journals

International Journal of Molecular Medicine

International Journal of Molecular Medicine

International Journal of Molecular Medicine is an international journal devoted to molecular mechanisms of human disease.

International Journal of Oncology

International Journal of Oncology

International Journal of Oncology is an international journal devoted to oncology research and cancer treatment.

Molecular Medicine Reports

Molecular Medicine Reports

Covers molecular medicine topics such as pharmacology, pathology, genetics, neuroscience, infectious diseases, molecular cardiology, and molecular surgery.

Oncology Reports

Oncology Reports

Oncology Reports is an international journal devoted to fundamental and applied research in Oncology.

Experimental and Therapeutic Medicine

Experimental and Therapeutic Medicine

Experimental and Therapeutic Medicine is an international journal devoted to laboratory and clinical medicine.

Oncology Letters

Oncology Letters

Oncology Letters is an international journal devoted to Experimental and Clinical Oncology.

Biomedical Reports

Biomedical Reports

Explores a wide range of biological and medical fields, including pharmacology, genetics, microbiology, neuroscience, and molecular cardiology.

Molecular and Clinical Oncology

Molecular and Clinical Oncology

International journal addressing all aspects of oncology research, from tumorigenesis and oncogenes to chemotherapy and metastasis.

World Academy of Sciences Journal

World Academy of Sciences Journal

Multidisciplinary open-access journal spanning biochemistry, genetics, neuroscience, environmental health, and synthetic biology.

International Journal of Functional Nutrition

International Journal of Functional Nutrition

Open-access journal combining biochemistry, pharmacology, immunology, and genetics to advance health through functional nutrition.

International Journal of Epigenetics

International Journal of Epigenetics

Publishes open-access research on using epigenetics to advance understanding and treatment of human disease.

Medicine International

Medicine International

An International Open Access Journal Devoted to General Medicine.

Journal Cover
February-2025 Volume 29 Issue 2

Full Size Image

Sign up for eToc alerts
Recommend to Library

  • Article
  • Citations
    • Cite This Article
    • Download Citation
    • Create Citation Alert
    • Remove Citation Alert
    • Cited By
  • Similar Articles
    • Related Articles (in Spandidos Publications)
    • Similar Articles (Google Scholar)
    • Similar Articles (PubMed)
  • Download PDF
  • Download XML
  • View XML
Case Report Open Access

Successful management of type B lactic acidosis in metastatic cervical neuroendocrine carcinoma: A case report

  • Authors:
    • Bin-Lin Tang
    • Ping Mao
    • Jing Xian
    • Yan-Song Wang
    • Xiao-Mei Su
  • View Affiliations / Copyright

    Affiliations: Department of Oncology, People's Liberation Army General Hospital of Western Theater Command, Chengdu, Sichuan 610083, P.R. China, Department of Thoracic Surgery, People's Liberation Army General Hospital of Western Theater Command, Chengdu, Sichuan 610083, P.R. China
    Copyright: © Tang et al. This is an open access article distributed under the terms of Creative Commons Attribution License.
  • Article Number: 69
    |
    Published online on: November 20, 2024
       https://doi.org/10.3892/ol.2024.14815
  • Expand metrics +
Metrics: Total Views: 0 (Spandidos Publications: | PMC Statistics: )
Metrics: Total PDF Downloads: 0 (Spandidos Publications: | PMC Statistics: )
Cited By (CrossRef): 0 citations Loading Articles...

This article is mentioned in:



Abstract

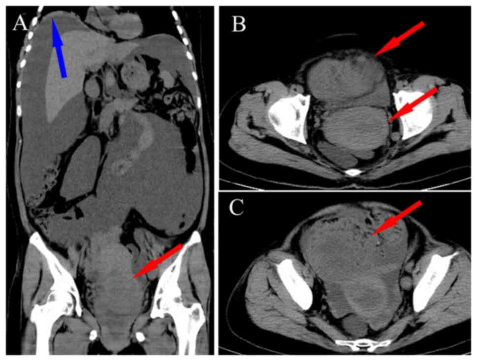
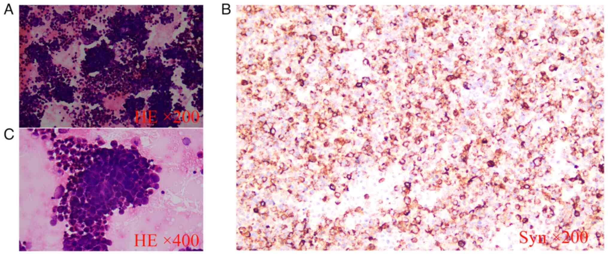
Type B lactic acidosis associated with malignancies is a rare but life‑threatening complication, particularly in hematological cancers but less commonly in solid tumors. The current study presents a rare case of type B lactic acidosis in a 59‑year‑old woman with metastatic cervical neuroendocrine carcinoma (NEC), a highly malignant and uncommon tumor. The patient exhibited severe symptoms, including significant ascites, tachycardia and hyperlactatemia, with lactate levels peaking at 11.2 mM. Despite initial symptomatic treatments such as fluid replacement and sodium bicarbonate therapy, the patient's condition continued to deteriorate. Based on the literature, chemotherapy is considered potentially the only effective treatment for malignancy‑associated lactic acidosis. Given the critical status and poor general condition of the patient, a reduced dose of intravenous etoposide (100 mg; days 1, 3 and 4) was administered. After the first dose, the patient developed tumor lysis syndrome (TLS), which was promptly managed with appropriate interventions. Following stabilization, etoposide treatment was continued on the third and fourth days. Subsequently, a delayed intraperitoneal infusion of carboplatin (300 mg; day 6) was administered. Post‑chemotherapy, lactate levels significantly decreased to 2.2 mM, and the patient's overall condition improved, leading to discharge. This case underscores the potential efficacy of using reduced doses of etoposide (100 mg on days 1, 3 and 4) and intraperitoneal carboplatin (300 mg on day 6) in managing malignancy‑associated lactic acidosis. It also highlights the importance of proactive management of TLS and other chemotherapy‑related complications, contributing valuable insights to the limited literature on this subject.
View Figures

Figure 1

Figure 2

Figure 3

Figure 4

Figure 5

Figure 6

Figure 7

Figure 8

View References

1 

Wang C, Lv Z and Zhang Y: Type B lactic acidosis associated with diffuse large B-cell lymphoma and the Warburg effect. J Int Med Res. 50:30006052110677492022. View Article : Google Scholar : PubMed/NCBI

2 

Abaleka FI, Bedanie G, Olavarria Bernal D, Yewedalsew SF and Seen T: Type B Lactic acidosis: A very rare but fatal complication of gastrointestinal solid tumor. Cureus. 16:e567882024.PubMed/NCBI

3 

Vavricka J, Broz P, Follprecht D, Novak J and Krouzecky A: Modern perspective of lactate metabolism. Physiol Res. 73:499–514. 2024. View Article : Google Scholar : PubMed/NCBI

4 

Claudino WM, Dias A, Tse W and Sharma VR: Type B lactic acidosis: A rare but life threatening hematologic emergency. A case illustration and brief review. Am J Blood Res. 5:25–29. 2015.PubMed/NCBI

5 

Mangala YO and Freeman NJ: Malignancy associated type B lactic acidosis: A rare, yet fascinating oncological emergency. R I Med J (2013). 107:10–12. 2024.

6 

Heneberg P: Lactic acidosis in patients with solid cancer. Antioxid Redox Signal. 37:1130–1152. 2022. View Article : Google Scholar : PubMed/NCBI

7 

Espinoza AM and Venook AP: Lactic acidosis and colon cancer: Oncologic emergency? Clin Colorectal Cancer. 10:194–197. 2011.PubMed/NCBI

8 

Ren X, Wu W, Li Q, Li W and Wang G: Advances in research, diagnosis, and treatment of neuroendocrine cervical carcinoma: A review. Oncol Rev. 17:117642023. View Article : Google Scholar : PubMed/NCBI

9 

Schag CC, Heinrich RL and Ganz PA: Karnofsky performance status revisited: Reliability, validity, and guidelines. J Clin Oncol. 2:187–193. 1984. View Article : Google Scholar : PubMed/NCBI

10 

Prodromidou A, Phelps DL, Pergialiotis V, Cunnea P, Thomakos N, Rodolakis A, Fotopoulou C and Haidopoulos D: Clinicopathological characteristics and survival outcomes of patients with large cell neuroendocrine carcinoma of the uterine cervix: A systematic review and meta-analysis. Eur J Obstet Gynecol Reprod Biol. 270:212–220. 2022. View Article : Google Scholar : PubMed/NCBI

11 

Razvi H, Tsang JY, Poon IK, Chan SK, Cheung SY, Shea KH and Tse GM: INSM1 is a novel prognostic neuroendocrine marker for luminal B breast cancer. Pathology. 53:170–178. 2021. View Article : Google Scholar : PubMed/NCBI

12 

Abu-Rustum NR, Yashar CM, Arend R, Barber E, Bradley K, Brooks R, Campos SM, Chino J, Chon HS, Crispens MA, et al: NCCN guidelines® insights Cervical cancer, version 1.2023. J Natl Compr Canc Netw. 21:1224–1233. 2023. View Article : Google Scholar : PubMed/NCBI

13 

Chinese Society of Clinical Oncology, . Guidelines for Diagnosis and Treatment of Small Cell Lung Cancer. 2023.(In Chinese).

14 

Daverio Z, Balcerczyk A, Rautureau GJP and Panthu B: How warburg-associated lactic acidosis rewires cancer cell energy metabolism to resist glucose deprivation. Cancers (Basal). 15:14172023. View Article : Google Scholar

15 

Rezar R, Mamandipoor B, Seelmaier C, Jung C, Lichtenauer M, Hoppe UC, Kaufmann R, Osmani V and Wernly B: Hyperlactatemia and altered lactate kinetics are associated with excess mortality in sepsis: A multicenter retrospective observational study. Wien Klin Wochenschr. 135:80–88. 2023. View Article : Google Scholar : PubMed/NCBI

16 

Erdur A, Guven R, Can D, Gurkan TT, Ak E and Avci A: Prognostic importance of lactate and blood gas parameters in predicting mortality in patients with critical malignancies. Ethiop J Health Sci. 33:255–262. 2023. View Article : Google Scholar : PubMed/NCBI

17 

Mandic A, Maksimovic T, Nadj GS, Maricic S and Celebic A: Neuroendocrine cervical cancer: Have we made any steps forward in its management? Eur J Surg Oncol. 1085702024. View Article : Google Scholar : PubMed/NCBI

18 

Cao L and Zhang W: Tumor lysis syndrome in a patient with advanced lung squamous cell carcinoma undergoing combined therapy with a programmed cell death protein 1 inhibitor and first-line chemotherapy: A case report. Oncol Lett. 28:3802024. View Article : Google Scholar : PubMed/NCBI

19 

Dong J, Cao T, Tanner N and Kundranda M: When the tumor lyses: A case report on spontaneous tumor lysis syndrome. Case Rep Oncol. 13:979–984. 2020. View Article : Google Scholar : PubMed/NCBI

20 

Chhabra R, Vidushi A, Rajpurohit S, Singh J and Osama MA: Spontaneous tumor lysis syndrome in a case of hepatocellular carcinoma with sarcomatoid differentiation. Indian J Surg Oncol. 15:370–374. 2024. View Article : Google Scholar : PubMed/NCBI

21 

Mohammad Khuzaini A, Mohd Baharudin JA, Md Fauzi A, Zulkeflee HA, Abdul Halim H, Mazli SK and Osman NFB: Tumour lysis syndrome in a neonate with transient abnormal myelopoiesis. J Neonatal Perinatal Med. 17:269–273. 2024. View Article : Google Scholar : PubMed/NCBI

22 

Busse WW and Szefler SJ: Digital health in difficult-to-treat severe asthma. Lancet Respir Med. 11:578–579. 2023. View Article : Google Scholar : PubMed/NCBI

23 

Nzenwa IC, Berquist M, Brenner TJ, Ansari A, Al-Fadhl HD, Aboukhaled M, Patel SS, Peck EE, Al-Fadhl MD, Thomas AV, et al: Type B lactic acidosis in a patient with mantle cell lymphoma. Case Rep Crit Care. 2023:70211232023.PubMed/NCBI

24 

van den Haak DAC, Otten LS, Koenen H, Smeets RL, Piet B, Pickkers P, Kox M and Heine RT: Evidence-based rationale for low dose nivolumab in critically ill patients with sepsis-induced immunosuppression. Clin Transl Sci. 16:978–986. 2023. View Article : Google Scholar : PubMed/NCBI

Related Articles

  • Abstract
  • View
  • Download
  • Twitter
Copy and paste a formatted citation
Spandidos Publications style
Tang B, Mao P, Xian J, Wang Y and Su X: Successful management of type B lactic acidosis in metastatic cervical neuroendocrine carcinoma: A case report. Oncol Lett 29: 69, 2025.
APA
Tang, B., Mao, P., Xian, J., Wang, Y., & Su, X. (2025). Successful management of type B lactic acidosis in metastatic cervical neuroendocrine carcinoma: A case report. Oncology Letters, 29, 69. https://doi.org/10.3892/ol.2024.14815
MLA
Tang, B., Mao, P., Xian, J., Wang, Y., Su, X."Successful management of type B lactic acidosis in metastatic cervical neuroendocrine carcinoma: A case report". Oncology Letters 29.2 (2025): 69.
Chicago
Tang, B., Mao, P., Xian, J., Wang, Y., Su, X."Successful management of type B lactic acidosis in metastatic cervical neuroendocrine carcinoma: A case report". Oncology Letters 29, no. 2 (2025): 69. https://doi.org/10.3892/ol.2024.14815
Copy and paste a formatted citation
x
Spandidos Publications style
Tang B, Mao P, Xian J, Wang Y and Su X: Successful management of type B lactic acidosis in metastatic cervical neuroendocrine carcinoma: A case report. Oncol Lett 29: 69, 2025.
APA
Tang, B., Mao, P., Xian, J., Wang, Y., & Su, X. (2025). Successful management of type B lactic acidosis in metastatic cervical neuroendocrine carcinoma: A case report. Oncology Letters, 29, 69. https://doi.org/10.3892/ol.2024.14815
MLA
Tang, B., Mao, P., Xian, J., Wang, Y., Su, X."Successful management of type B lactic acidosis in metastatic cervical neuroendocrine carcinoma: A case report". Oncology Letters 29.2 (2025): 69.
Chicago
Tang, B., Mao, P., Xian, J., Wang, Y., Su, X."Successful management of type B lactic acidosis in metastatic cervical neuroendocrine carcinoma: A case report". Oncology Letters 29, no. 2 (2025): 69. https://doi.org/10.3892/ol.2024.14815
Follow us
  • Twitter
  • LinkedIn
  • Facebook
About
  • Spandidos Publications
  • Careers
  • Cookie Policy
  • Privacy Policy
How can we help?
  • Help
  • Live Chat
  • Contact
  • Email to our Support Team