Spandidos Publications Logo
  • About
    • About Spandidos
    • Aims and Scopes
    • Abstracting and Indexing
    • Editorial Policies
    • Reprints and Permissions
    • Job Opportunities
    • Terms and Conditions
    • Contact
  • Journals
    • All Journals
    • Oncology Letters
      • Oncology Letters
      • Information for Authors
      • Editorial Policies
      • Editorial Board
      • Aims and Scope
      • Abstracting and Indexing
      • Bibliographic Information
      • Archive
    • International Journal of Oncology
      • International Journal of Oncology
      • Information for Authors
      • Editorial Policies
      • Editorial Board
      • Aims and Scope
      • Abstracting and Indexing
      • Bibliographic Information
      • Archive
    • Molecular and Clinical Oncology
      • Molecular and Clinical Oncology
      • Information for Authors
      • Editorial Policies
      • Editorial Board
      • Aims and Scope
      • Abstracting and Indexing
      • Bibliographic Information
      • Archive
    • Experimental and Therapeutic Medicine
      • Experimental and Therapeutic Medicine
      • Information for Authors
      • Editorial Policies
      • Editorial Board
      • Aims and Scope
      • Abstracting and Indexing
      • Bibliographic Information
      • Archive
    • International Journal of Molecular Medicine
      • International Journal of Molecular Medicine
      • Information for Authors
      • Editorial Policies
      • Editorial Board
      • Aims and Scope
      • Abstracting and Indexing
      • Bibliographic Information
      • Archive
    • Biomedical Reports
      • Biomedical Reports
      • Information for Authors
      • Editorial Policies
      • Editorial Board
      • Aims and Scope
      • Abstracting and Indexing
      • Bibliographic Information
      • Archive
    • Oncology Reports
      • Oncology Reports
      • Information for Authors
      • Editorial Policies
      • Editorial Board
      • Aims and Scope
      • Abstracting and Indexing
      • Bibliographic Information
      • Archive
    • Molecular Medicine Reports
      • Molecular Medicine Reports
      • Information for Authors
      • Editorial Policies
      • Editorial Board
      • Aims and Scope
      • Abstracting and Indexing
      • Bibliographic Information
      • Archive
    • World Academy of Sciences Journal
      • World Academy of Sciences Journal
      • Information for Authors
      • Editorial Policies
      • Editorial Board
      • Aims and Scope
      • Abstracting and Indexing
      • Bibliographic Information
      • Archive
    • International Journal of Functional Nutrition
      • International Journal of Functional Nutrition
      • Information for Authors
      • Editorial Policies
      • Editorial Board
      • Aims and Scope
      • Abstracting and Indexing
      • Bibliographic Information
      • Archive
    • International Journal of Epigenetics
      • International Journal of Epigenetics
      • Information for Authors
      • Editorial Policies
      • Editorial Board
      • Aims and Scope
      • Abstracting and Indexing
      • Bibliographic Information
      • Archive
    • Medicine International
      • Medicine International
      • Information for Authors
      • Editorial Policies
      • Editorial Board
      • Aims and Scope
      • Abstracting and Indexing
      • Bibliographic Information
      • Archive
  • Articles
  • Information
    • Information for Authors
    • Information for Reviewers
    • Information for Librarians
    • Information for Advertisers
    • Conferences
  • Language Editing
Spandidos Publications Logo
  • About
    • About Spandidos
    • Aims and Scopes
    • Abstracting and Indexing
    • Editorial Policies
    • Reprints and Permissions
    • Job Opportunities
    • Terms and Conditions
    • Contact
  • Journals
    • All Journals
    • Biomedical Reports
      • Information for Authors
      • Editorial Policies
      • Editorial Board
      • Aims and Scope
      • Abstracting and Indexing
      • Bibliographic Information
      • Archive
    • Experimental and Therapeutic Medicine
      • Information for Authors
      • Editorial Policies
      • Editorial Board
      • Aims and Scope
      • Abstracting and Indexing
      • Bibliographic Information
      • Archive
    • International Journal of Epigenetics
      • Information for Authors
      • Editorial Policies
      • Editorial Board
      • Aims and Scope
      • Abstracting and Indexing
      • Bibliographic Information
      • Archive
    • International Journal of Functional Nutrition
      • Information for Authors
      • Editorial Policies
      • Editorial Board
      • Aims and Scope
      • Abstracting and Indexing
      • Bibliographic Information
      • Archive
    • International Journal of Molecular Medicine
      • Information for Authors
      • Editorial Policies
      • Editorial Board
      • Aims and Scope
      • Abstracting and Indexing
      • Bibliographic Information
      • Archive
    • International Journal of Oncology
      • Information for Authors
      • Editorial Policies
      • Editorial Board
      • Aims and Scope
      • Abstracting and Indexing
      • Bibliographic Information
      • Archive
    • Medicine International
      • Information for Authors
      • Editorial Policies
      • Editorial Board
      • Aims and Scope
      • Abstracting and Indexing
      • Bibliographic Information
      • Archive
    • Molecular and Clinical Oncology
      • Information for Authors
      • Editorial Policies
      • Editorial Board
      • Aims and Scope
      • Abstracting and Indexing
      • Bibliographic Information
      • Archive
    • Molecular Medicine Reports
      • Information for Authors
      • Editorial Policies
      • Editorial Board
      • Aims and Scope
      • Abstracting and Indexing
      • Bibliographic Information
      • Archive
    • Oncology Letters
      • Information for Authors
      • Editorial Policies
      • Editorial Board
      • Aims and Scope
      • Abstracting and Indexing
      • Bibliographic Information
      • Archive
    • Oncology Reports
      • Information for Authors
      • Editorial Policies
      • Editorial Board
      • Aims and Scope
      • Abstracting and Indexing
      • Bibliographic Information
      • Archive
    • World Academy of Sciences Journal
      • Information for Authors
      • Editorial Policies
      • Editorial Board
      • Aims and Scope
      • Abstracting and Indexing
      • Bibliographic Information
      • Archive
  • Articles
  • Information
    • For Authors
    • For Reviewers
    • For Librarians
    • For Advertisers
    • Conferences
  • Language Editing
Login Register Submit
  • This site uses cookies
  • You can change your cookie settings at any time by following the instructions in our Cookie Policy. To find out more, you may read our Privacy Policy.

    I agree
Search articles by DOI, keyword, author or affiliation
Search
Advanced Search
presentation
Oncology Letters
Join Editorial Board Propose a Special Issue
Print ISSN: 1792-1074 Online ISSN: 1792-1082
Journal Cover
February-2025 Volume 29 Issue 2

Full Size Image

Sign up for eToc alerts
Recommend to Library

Journals

International Journal of Molecular Medicine

International Journal of Molecular Medicine

International Journal of Molecular Medicine is an international journal devoted to molecular mechanisms of human disease.

International Journal of Oncology

International Journal of Oncology

International Journal of Oncology is an international journal devoted to oncology research and cancer treatment.

Molecular Medicine Reports

Molecular Medicine Reports

Covers molecular medicine topics such as pharmacology, pathology, genetics, neuroscience, infectious diseases, molecular cardiology, and molecular surgery.

Oncology Reports

Oncology Reports

Oncology Reports is an international journal devoted to fundamental and applied research in Oncology.

Experimental and Therapeutic Medicine

Experimental and Therapeutic Medicine

Experimental and Therapeutic Medicine is an international journal devoted to laboratory and clinical medicine.

Oncology Letters

Oncology Letters

Oncology Letters is an international journal devoted to Experimental and Clinical Oncology.

Biomedical Reports

Biomedical Reports

Explores a wide range of biological and medical fields, including pharmacology, genetics, microbiology, neuroscience, and molecular cardiology.

Molecular and Clinical Oncology

Molecular and Clinical Oncology

International journal addressing all aspects of oncology research, from tumorigenesis and oncogenes to chemotherapy and metastasis.

World Academy of Sciences Journal

World Academy of Sciences Journal

Multidisciplinary open-access journal spanning biochemistry, genetics, neuroscience, environmental health, and synthetic biology.

International Journal of Functional Nutrition

International Journal of Functional Nutrition

Open-access journal combining biochemistry, pharmacology, immunology, and genetics to advance health through functional nutrition.

International Journal of Epigenetics

International Journal of Epigenetics

Publishes open-access research on using epigenetics to advance understanding and treatment of human disease.

Medicine International

Medicine International

An International Open Access Journal Devoted to General Medicine.

Journal Cover
February-2025 Volume 29 Issue 2

Full Size Image

Sign up for eToc alerts
Recommend to Library

  • Article
  • Citations
    • Cite This Article
    • Download Citation
    • Create Citation Alert
    • Remove Citation Alert
    • Cited By
  • Similar Articles
    • Related Articles (in Spandidos Publications)
    • Similar Articles (Google Scholar)
    • Similar Articles (PubMed)
  • Download PDF
  • Download XML
  • View XML
Case Report Open Access

Acquired multiple EGFR mutations‑mediated resistance to a third‑generation tyrosine kinase inhibitor in a patient with lung adenocarcinoma who responded to afatinib: A case report and literature review

  • Authors:
    • Fang Yang
    • Jingjing Liu
    • Mingming Xu
    • Bin Peng
  • View Affiliations / Copyright

    Affiliations: Department of Oncology, Shenzhen Key Laboratory of Gastrointestinal Cancer Translational Research, Cancer Institute, Peking University Shenzhen Hospital, Shenzhen‑Peking University‑Hong Kong University of Science and Technology Medical Center, Shenzhen, Guangdong 518036, P.R. China, Department of Thoracic Surgery, The Second Clinical Medical College, Jinan University (Shenzhen People's Hospital), Shenzhen, Guangdong 518020, P.R. China
    Copyright: © Yang et al. This is an open access article distributed under the terms of Creative Commons Attribution License.
  • Article Number: 81
    |
    Published online on: November 27, 2024
       https://doi.org/10.3892/ol.2024.14827
  • Expand metrics +
Metrics: Total Views: 0 (Spandidos Publications: | PMC Statistics: )
Metrics: Total PDF Downloads: 0 (Spandidos Publications: | PMC Statistics: )
Cited By (CrossRef): 0 citations Loading Articles...

This article is mentioned in:



Abstract

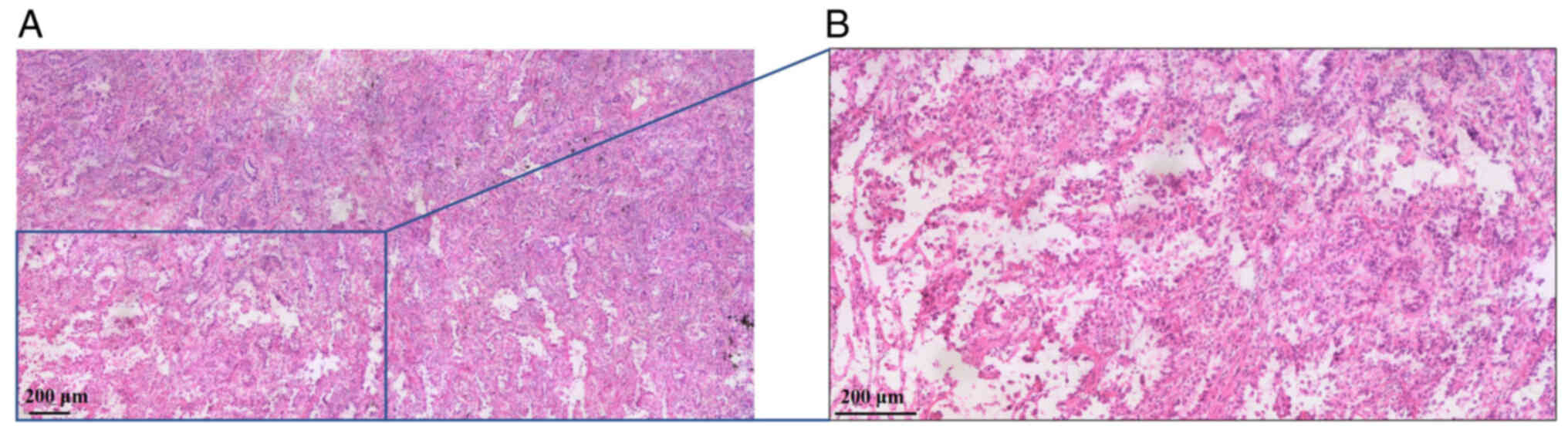
For patients with advanced non‑small cell lung cancer (NSCLC) that have epidermal growth factor receptor (EGFR) mutations, EGFR tyrosine kinase inhibitors (TKIs) are the standard treatment and have significant clinical benefits. Third‑generation TKIs, such as osimertinib, almonertinib and furmonertinib, are effective for the treatment of NSCLC that is EGFR‑sensitizing mutation‑positive and T790M‑positive. Despite the efficacy of third‑generation TKIs, patients inevitably develop resistance and the resistance mechanisms are heterogeneous. Second‑generation inhibitors, such as afatinib, may be crucial in treating diseases that have developed resistance to first‑ or third‑generation inhibitors. However, the clinical effect of afatinib in patients with acquired multiple EGFR mutations is not well defined. To the best of our knowledge, the present report describes the first case of a patient with lung adenocarcinoma who had multiple co‑existing EGFR resistance mutations, including EGFR L718Q, EGFR C797S, EGFR C797G, EGFR L792H, EGFR V802F and EGFR V689L. These mutations conferred resistance to almonertinib, whilst maintaining sensitivity to afatinib.
View Figures

Figure 1

Figure 2

View References

1 

Siegel RL, Miller KD, Fuchs HE and Jemal A: Cancer statistics, 2022. CA Cancer J Clin. 72:7–33. 2022. View Article : Google Scholar : PubMed/NCBI

2 

Chen P, Liu Y, Wen Y and Zhou C: Non-small cell lung cancer in China. Cancer Commun (Lond). 42:937–970. 2022. View Article : Google Scholar : PubMed/NCBI

3 

Midha A, Dearden S and McCormack R: EGFR mutation incidence in non-small-cell lung cancer of adenocarcinoma histology: A systematic review and global map by ethnicity (mutMapII). Am J Cancer Res. 5:2892–2911. 2015.PubMed/NCBI

4 

Xue J, Li B, Wang Y, Huang Z, Liu X, Guo C, Zheng Z, Liang N, Le X and Li S: Efficacy and safety of epidermal growth factor receptor (EGFR)-tyrosine kinase inhibitor combination therapy as first-line treatment for patients with advanced EGFR-mutated, non-small cell lung cancer: A systematic review and bayesian network meta-analysis. Cancers (Basel). 14:48942022. View Article : Google Scholar : PubMed/NCBI

5 

Li D, Ambrogio L, Shimamura T, Kubo S, Takahashi M, Chirieac LR, Padera RF, Shapiro GI, Baum A, Himmelsbach F, et al: BIBW2992, an irreversible EGFR/HER2 inhibitor highly effective in preclinical lung cancer models. Oncogene. 27:4702–4711. 2008. View Article : Google Scholar : PubMed/NCBI

6 

Chhouri H, Alexandre D and Grumolato L: Mechanisms of acquired resistance and tolerance to EGFR targeted therapy in non-small cell lung cancer. Cancers (Basel). 15:5042023. View Article : Google Scholar : PubMed/NCBI

7 

Mu Y, Hao X, Xing P, Hu X, Wang Y, Li T, Zhang J, Xu Z and Li J: Acquired resistance to osimertinib in patients with non-small-cell lung cancer: mechanisms and clinical outcomes. J Cancer Res Clin Oncol. 146:2427–2433. 2020. View Article : Google Scholar : PubMed/NCBI

8 

Yang JCH, Camidge DR, Yang CT, Zhou J, Guo R, Chiu CH, Chang GC, Shiah HS, Chen Y, Wang CC, et al: Safety, efficacy, and pharmacokinetics of almonertinib (HS-10296) in pretreated patients with EGFR-mutated advanced NSCLC: A multicenter, open-label, phase 1 trial. J Thorac Oncol. 15:1907–1918. 2020. View Article : Google Scholar : PubMed/NCBI

9 

Hwang JK, Page BJ, Flynn D, Passmore L, McCaul E, Brady J, Yang IA, Marshall H, Windsor M, Bowman RV, et al: Validation of the eighth edition TNM lung cancer staging system. J Thorac Oncol. 15:649–654. 2020. View Article : Google Scholar : PubMed/NCBI

10 

Shu Y, Wu X, Tong X, Wang X, Chang Z, Mao Y, Chen X, Sun J, Wang Z, Hong Z, et al: Circulating tumor DNA mutation profiling by targeted next generation sequencing provides guidance for personalized treatments in multiple cancer types. Sci Rep. 7:5832017. View Article : Google Scholar : PubMed/NCBI

11 

Hockenhull K, Ortega-Franco A and Califano R: Pembrolizumab plus platinum-based chemotherapy for squamous non-small cell lung cancer: The new kid on the block. Transl Lung Cancer Res. 10:3850–3854. 2021. View Article : Google Scholar : PubMed/NCBI

12 

Yang Z, Yang N, Ou Q, Xiang Y, Jiang T, Wu X, Bao H, Tong X, Wang X, Shao YW, et al: Investigating novel resistance mechanisms to third-generation EGFR tyrosine kinase inhibitor osimertinib in non-small cell lung cancer patients. Clin Cancer Res. 24:3097–3107. 2018. View Article : Google Scholar : PubMed/NCBI

13 

Bolger AM, Lohse M and Usadel B: Trimmomatic: A flexible trimmer for Illumina sequence data. Bioinformatics. 30:2114–2120. 2014. View Article : Google Scholar : PubMed/NCBI

14 

Newman AM, Bratman SV, Stehr H, Lee LJ, Liu CL, Diehn M and Alizadeh AA: FACTERA: A practical method for the discovery of genomic rearrangements at breakpoint resolution. Bioinformatics. 30:3390–3393. 2014. View Article : Google Scholar : PubMed/NCBI

15 

Koboldt DC, Zhang Q, Larson DE, Shen D, McLellan MD, Lin L, Miller CA, Mardis ER, Ding L and Wilson RK: VarScan 2: Somatic mutation and copy number alteration discovery in cancer by exome sequencing. Genome Res. 22:568–576. 2012. View Article : Google Scholar : PubMed/NCBI

16 

Nagasaka M, Zhu VW, Lim SM, Greco M, Wu F and Ou SI: Beyond osimertinib: The development of third-generation EGFR tyrosine kinase inhibitors for advanced EGFR+ NSCLC. J Thorac Oncol. 16:740–763. 2021. View Article : Google Scholar : PubMed/NCBI

17 

Tian M, Lu Z, Chen S, Lu G, Bu F, Deng W and Ding R: 1014P Resistance landscape to almonertinib in EGFR-mutated NSCLC. Ann Oncol. 33 (Suppl 7):S10172022. View Article : Google Scholar

18 

Kwon Y, Kim M, Jung HS, Kim Y and Jeoung D: Targeting autophagy for overcoming resistance to anti-EGFR treatments. Cancers (Basel). 11:13742019. View Article : Google Scholar : PubMed/NCBI

19 

Bersanelli M, Minari R, Bordi P, Gnetti L, Bozzetti C, Squadrilli A, Lagrasta CA, Bottarelli L, Osipova G, Capelletto E, et al: L718Q Mutation as new mechanism of acquired resistance to AZD9291 in EGFR-mutated NSCLC. J Thorac Oncol. 11:e121–e123. 2016. View Article : Google Scholar : PubMed/NCBI

20 

Leonetti A, Sharma S, Minari R, Perego P, Giovannetti E and Tiseo M: Resistance mechanisms to osimertinib in EGFR-mutated non-small cell lung cancer. Br J Cancer. 121:725–737. 2019. View Article : Google Scholar : PubMed/NCBI

21 

Ou SI, Cui J, Schrock AB, Goldberg ME, Zhu VW, Albacker L, Stephens PJ, Miller VA and Ali SM: Emergence of novel and dominant acquired EGFR solvent-front mutations at Gly796 (G796S/R) together with C797S/R and L792F/H mutations in one EGFR (L858R/T790M) NSCLC patient who progressed on osimertinib. Lung Cancer. 108:228–231. 2017. View Article : Google Scholar : PubMed/NCBI

22 

Lin L, Lu Q, Cao R, Ou Q, Ma Y, Bao H, Wu X, Shao Y, Wang Z and Shen B: Acquired rare recurrent EGFR mutations as mechanisms of resistance to Osimertinib in lung cancer and in silico structural modelling. Am J Cancer Res. 10:4005–4015. 2020.PubMed/NCBI

23 

Ricciuti B, Baglivo S, De Giglio A and Chiari R: Afatinib in the first-line treatment of patients with non-small cell lung cancer: Clinical evidence and experience. Ther Adv Respir Dis. 12:17534666188086592018. View Article : Google Scholar : PubMed/NCBI

24 

van Kempen LC, Wang H, Aguirre ML, Spatz A, Kasymjanova G, Vilacha JF, Groves MR, Agulnik J and Small D: Afatinib in osimertinib-resistant EGFR ex19del/T790M/P794L mutated NSCLC. J Thorac Oncol. 13:e161–e163. 2018. View Article : Google Scholar : PubMed/NCBI

25 

Fang W, Huang Y, Gan J, Zheng Q and Zhang L: Emergence of EGFR G724S after progression on osimertinib responded to afatinib monotherapy. J Thorac Oncol. 15:e36–e37. 2020. View Article : Google Scholar : PubMed/NCBI

26 

Liu J, Jin B, Su H, Qu X and Liu Y: Afatinib helped overcome subsequent resistance to osimertinib in a patient with NSCLC having leptomeningeal metastasis baring acquired EGFR L718Q mutation: A case report. BMC Cancer. 19:7022019. View Article : Google Scholar : PubMed/NCBI

27 

Fang W, Gan J, Huang Y, Zhou H and Zhang L: Acquired EGFR L718V mutation and loss of T790M-mediated resistance to osimertinib in a patient with NSCLC who responded to afatinib. J Thorac Oncol. 14:e274–e275. 2019. View Article : Google Scholar : PubMed/NCBI

28 

Yang X, Huang C, Chen R and Zhao J: Resolving resistance to osimertinib therapy with afatinib in an NSCLC patient with EGFR L718Q mutation. Clin Lung Cancer. 21:e258–e260. 2020. View Article : Google Scholar : PubMed/NCBI

29 

Minari R, Leonetti A, Gnetti L, Zielli T, Ventura L, Bottarelli L, Lagrasta C, La Monica S, Petronini PG, Alfieri R and Tiseo M: Afatinib therapy in case of EGFR G724S emergence as resistance mechanism to osimertinib. Anticancer Drugs. 32:758–762. 2021. View Article : Google Scholar : PubMed/NCBI

30 

Zhao Y, Chen Y, Huang H, Li X, Shao L and Ding H: Significant benefits of afatinib and apatinib in a refractory advanced NSCLC patient resistant to osimertinib: A case report. Onco Targets Ther. 14:3063–3067. 2021. View Article : Google Scholar : PubMed/NCBI

31 

Zhang G, Yan B, Guo Y, Yang H, Li X and Li J: Case report: A patient with the rare third-generation TKI-resistant mutation EGFR L718Q who responded to afatinib plus cetuximab combination therapy. Front Oncol. 12:9956242022. View Article : Google Scholar : PubMed/NCBI

32 

Song Z, Ren G, Wang X, Du H, Sun Y and Hu L: Durable clinical benefit from afatinib in a lung adenocarcinoma patient with acquired EGFR L718V mutation-mediated resistance towards osimertinib: A case report and literature review. Ann Palliat Med. 11:1126–1134. 2022. View Article : Google Scholar : PubMed/NCBI

33 

Nozaki K, Watanabe S, Nishio K, Sakai K and Kikuchi T: Effectiveness of afatinib in an NSCLC patient with EGFR mutation and early progression to osimertinib: a case report. Transl Cancer Res. 11:295–298. 2022. View Article : Google Scholar : PubMed/NCBI

34 

Aredo JV, Wakelee HA, Neal JW and Padda SK: Afatinib after progression on osimertinib in EGFR-mutated non-small cell lung cancer. Cancer Treat Res Commun. 30:1004972022. View Article : Google Scholar : PubMed/NCBI

35 

Sanchis-Borja M, Guisier F, Swalduz A, Curcio H, Basse V, Maritaz C, Chouaid C and Auliac JB: Characterization of patients with EGFR mutation-positive NSCLC following emergence of the osimertinib resistance mutations, L718Q or G724S: A multicenter retrospective observational study in France. Onco Targets Ther. 17:439–448. 2024. View Article : Google Scholar : PubMed/NCBI

36 

Karachaliou N, Fernandez-Bruno M, Bracht JWP and Rosell R: EGFR first- and second-generation TKIs-there is still place for them in EGFR-mutant NSCLC patients. Transl Cancer Res. 8 (Suppl 1):S23–S47. 2019. View Article : Google Scholar : PubMed/NCBI

37 

Yang JCH, Schuler M, Popat S, Miura S, Heeke S, Park K, Märten A and Kim ES: Afatinib for the treatment of NSCLC harboring uncommon EGFR mutations: A database of 693 cases. J Thorac Oncol. 15:803–815. 2020. View Article : Google Scholar : PubMed/NCBI

Related Articles

  • Abstract
  • View
  • Download
  • Twitter
Copy and paste a formatted citation
Spandidos Publications style
Yang F, Liu J, Xu M and Peng B: Acquired multiple <em>EGFR</em> mutations‑mediated resistance to a third‑generation tyrosine kinase inhibitor in a patient with lung adenocarcinoma who responded to afatinib: A case report and literature review. Oncol Lett 29: 81, 2025.
APA
Yang, F., Liu, J., Xu, M., & Peng, B. (2025). Acquired multiple <em>EGFR</em> mutations‑mediated resistance to a third‑generation tyrosine kinase inhibitor in a patient with lung adenocarcinoma who responded to afatinib: A case report and literature review. Oncology Letters, 29, 81. https://doi.org/10.3892/ol.2024.14827
MLA
Yang, F., Liu, J., Xu, M., Peng, B."Acquired multiple <em>EGFR</em> mutations‑mediated resistance to a third‑generation tyrosine kinase inhibitor in a patient with lung adenocarcinoma who responded to afatinib: A case report and literature review". Oncology Letters 29.2 (2025): 81.
Chicago
Yang, F., Liu, J., Xu, M., Peng, B."Acquired multiple <em>EGFR</em> mutations‑mediated resistance to a third‑generation tyrosine kinase inhibitor in a patient with lung adenocarcinoma who responded to afatinib: A case report and literature review". Oncology Letters 29, no. 2 (2025): 81. https://doi.org/10.3892/ol.2024.14827
Copy and paste a formatted citation
x
Spandidos Publications style
Yang F, Liu J, Xu M and Peng B: Acquired multiple <em>EGFR</em> mutations‑mediated resistance to a third‑generation tyrosine kinase inhibitor in a patient with lung adenocarcinoma who responded to afatinib: A case report and literature review. Oncol Lett 29: 81, 2025.
APA
Yang, F., Liu, J., Xu, M., & Peng, B. (2025). Acquired multiple <em>EGFR</em> mutations‑mediated resistance to a third‑generation tyrosine kinase inhibitor in a patient with lung adenocarcinoma who responded to afatinib: A case report and literature review. Oncology Letters, 29, 81. https://doi.org/10.3892/ol.2024.14827
MLA
Yang, F., Liu, J., Xu, M., Peng, B."Acquired multiple <em>EGFR</em> mutations‑mediated resistance to a third‑generation tyrosine kinase inhibitor in a patient with lung adenocarcinoma who responded to afatinib: A case report and literature review". Oncology Letters 29.2 (2025): 81.
Chicago
Yang, F., Liu, J., Xu, M., Peng, B."Acquired multiple <em>EGFR</em> mutations‑mediated resistance to a third‑generation tyrosine kinase inhibitor in a patient with lung adenocarcinoma who responded to afatinib: A case report and literature review". Oncology Letters 29, no. 2 (2025): 81. https://doi.org/10.3892/ol.2024.14827
Follow us
  • Twitter
  • LinkedIn
  • Facebook
About
  • Spandidos Publications
  • Careers
  • Cookie Policy
  • Privacy Policy
How can we help?
  • Help
  • Live Chat
  • Contact
  • Email to our Support Team