Spandidos Publications Logo
  • About
    • About Spandidos
    • Aims and Scopes
    • Abstracting and Indexing
    • Editorial Policies
    • Reprints and Permissions
    • Job Opportunities
    • Terms and Conditions
    • Contact
  • Journals
    • All Journals
    • Oncology Letters
      • Oncology Letters
      • Information for Authors
      • Editorial Policies
      • Editorial Board
      • Aims and Scope
      • Abstracting and Indexing
      • Bibliographic Information
      • Archive
    • International Journal of Oncology
      • International Journal of Oncology
      • Information for Authors
      • Editorial Policies
      • Editorial Board
      • Aims and Scope
      • Abstracting and Indexing
      • Bibliographic Information
      • Archive
    • Molecular and Clinical Oncology
      • Molecular and Clinical Oncology
      • Information for Authors
      • Editorial Policies
      • Editorial Board
      • Aims and Scope
      • Abstracting and Indexing
      • Bibliographic Information
      • Archive
    • Experimental and Therapeutic Medicine
      • Experimental and Therapeutic Medicine
      • Information for Authors
      • Editorial Policies
      • Editorial Board
      • Aims and Scope
      • Abstracting and Indexing
      • Bibliographic Information
      • Archive
    • International Journal of Molecular Medicine
      • International Journal of Molecular Medicine
      • Information for Authors
      • Editorial Policies
      • Editorial Board
      • Aims and Scope
      • Abstracting and Indexing
      • Bibliographic Information
      • Archive
    • Biomedical Reports
      • Biomedical Reports
      • Information for Authors
      • Editorial Policies
      • Editorial Board
      • Aims and Scope
      • Abstracting and Indexing
      • Bibliographic Information
      • Archive
    • Oncology Reports
      • Oncology Reports
      • Information for Authors
      • Editorial Policies
      • Editorial Board
      • Aims and Scope
      • Abstracting and Indexing
      • Bibliographic Information
      • Archive
    • Molecular Medicine Reports
      • Molecular Medicine Reports
      • Information for Authors
      • Editorial Policies
      • Editorial Board
      • Aims and Scope
      • Abstracting and Indexing
      • Bibliographic Information
      • Archive
    • World Academy of Sciences Journal
      • World Academy of Sciences Journal
      • Information for Authors
      • Editorial Policies
      • Editorial Board
      • Aims and Scope
      • Abstracting and Indexing
      • Bibliographic Information
      • Archive
    • International Journal of Functional Nutrition
      • International Journal of Functional Nutrition
      • Information for Authors
      • Editorial Policies
      • Editorial Board
      • Aims and Scope
      • Abstracting and Indexing
      • Bibliographic Information
      • Archive
    • International Journal of Epigenetics
      • International Journal of Epigenetics
      • Information for Authors
      • Editorial Policies
      • Editorial Board
      • Aims and Scope
      • Abstracting and Indexing
      • Bibliographic Information
      • Archive
    • Medicine International
      • Medicine International
      • Information for Authors
      • Editorial Policies
      • Editorial Board
      • Aims and Scope
      • Abstracting and Indexing
      • Bibliographic Information
      • Archive
  • Articles
  • Information
    • Information for Authors
    • Information for Reviewers
    • Information for Librarians
    • Information for Advertisers
    • Conferences
  • Language Editing
Spandidos Publications Logo
  • About
    • About Spandidos
    • Aims and Scopes
    • Abstracting and Indexing
    • Editorial Policies
    • Reprints and Permissions
    • Job Opportunities
    • Terms and Conditions
    • Contact
  • Journals
    • All Journals
    • Biomedical Reports
      • Information for Authors
      • Editorial Policies
      • Editorial Board
      • Aims and Scope
      • Abstracting and Indexing
      • Bibliographic Information
      • Archive
    • Experimental and Therapeutic Medicine
      • Information for Authors
      • Editorial Policies
      • Editorial Board
      • Aims and Scope
      • Abstracting and Indexing
      • Bibliographic Information
      • Archive
    • International Journal of Epigenetics
      • Information for Authors
      • Editorial Policies
      • Editorial Board
      • Aims and Scope
      • Abstracting and Indexing
      • Bibliographic Information
      • Archive
    • International Journal of Functional Nutrition
      • Information for Authors
      • Editorial Policies
      • Editorial Board
      • Aims and Scope
      • Abstracting and Indexing
      • Bibliographic Information
      • Archive
    • International Journal of Molecular Medicine
      • Information for Authors
      • Editorial Policies
      • Editorial Board
      • Aims and Scope
      • Abstracting and Indexing
      • Bibliographic Information
      • Archive
    • International Journal of Oncology
      • Information for Authors
      • Editorial Policies
      • Editorial Board
      • Aims and Scope
      • Abstracting and Indexing
      • Bibliographic Information
      • Archive
    • Medicine International
      • Information for Authors
      • Editorial Policies
      • Editorial Board
      • Aims and Scope
      • Abstracting and Indexing
      • Bibliographic Information
      • Archive
    • Molecular and Clinical Oncology
      • Information for Authors
      • Editorial Policies
      • Editorial Board
      • Aims and Scope
      • Abstracting and Indexing
      • Bibliographic Information
      • Archive
    • Molecular Medicine Reports
      • Information for Authors
      • Editorial Policies
      • Editorial Board
      • Aims and Scope
      • Abstracting and Indexing
      • Bibliographic Information
      • Archive
    • Oncology Letters
      • Information for Authors
      • Editorial Policies
      • Editorial Board
      • Aims and Scope
      • Abstracting and Indexing
      • Bibliographic Information
      • Archive
    • Oncology Reports
      • Information for Authors
      • Editorial Policies
      • Editorial Board
      • Aims and Scope
      • Abstracting and Indexing
      • Bibliographic Information
      • Archive
    • World Academy of Sciences Journal
      • Information for Authors
      • Editorial Policies
      • Editorial Board
      • Aims and Scope
      • Abstracting and Indexing
      • Bibliographic Information
      • Archive
  • Articles
  • Information
    • For Authors
    • For Reviewers
    • For Librarians
    • For Advertisers
    • Conferences
  • Language Editing
Login Register Submit
  • This site uses cookies
  • You can change your cookie settings at any time by following the instructions in our Cookie Policy. To find out more, you may read our Privacy Policy.

    I agree
Search articles by DOI, keyword, author or affiliation
Search
Advanced Search
presentation
Oncology Letters
Join Editorial Board Propose a Special Issue
Print ISSN: 1792-1074 Online ISSN: 1792-1082
Journal Cover
March-2025 Volume 29 Issue 3

Full Size Image

Sign up for eToc alerts
Recommend to Library

Journals

International Journal of Molecular Medicine

International Journal of Molecular Medicine

International Journal of Molecular Medicine is an international journal devoted to molecular mechanisms of human disease.

International Journal of Oncology

International Journal of Oncology

International Journal of Oncology is an international journal devoted to oncology research and cancer treatment.

Molecular Medicine Reports

Molecular Medicine Reports

Covers molecular medicine topics such as pharmacology, pathology, genetics, neuroscience, infectious diseases, molecular cardiology, and molecular surgery.

Oncology Reports

Oncology Reports

Oncology Reports is an international journal devoted to fundamental and applied research in Oncology.

Experimental and Therapeutic Medicine

Experimental and Therapeutic Medicine

Experimental and Therapeutic Medicine is an international journal devoted to laboratory and clinical medicine.

Oncology Letters

Oncology Letters

Oncology Letters is an international journal devoted to Experimental and Clinical Oncology.

Biomedical Reports

Biomedical Reports

Explores a wide range of biological and medical fields, including pharmacology, genetics, microbiology, neuroscience, and molecular cardiology.

Molecular and Clinical Oncology

Molecular and Clinical Oncology

International journal addressing all aspects of oncology research, from tumorigenesis and oncogenes to chemotherapy and metastasis.

World Academy of Sciences Journal

World Academy of Sciences Journal

Multidisciplinary open-access journal spanning biochemistry, genetics, neuroscience, environmental health, and synthetic biology.

International Journal of Functional Nutrition

International Journal of Functional Nutrition

Open-access journal combining biochemistry, pharmacology, immunology, and genetics to advance health through functional nutrition.

International Journal of Epigenetics

International Journal of Epigenetics

Publishes open-access research on using epigenetics to advance understanding and treatment of human disease.

Medicine International

Medicine International

An International Open Access Journal Devoted to General Medicine.

Journal Cover
March-2025 Volume 29 Issue 3

Full Size Image

Sign up for eToc alerts
Recommend to Library

  • Article
  • Citations
    • Cite This Article
    • Download Citation
    • Create Citation Alert
    • Remove Citation Alert
    • Cited By
  • Similar Articles
    • Related Articles (in Spandidos Publications)
    • Similar Articles (Google Scholar)
    • Similar Articles (PubMed)
  • Download PDF
  • Download XML
  • View XML

  • Supplementary Files
    • Supplementary_Data1.pdf
    • Supplementary_Data2.pdf
Case Report Open Access

Diagnosis of primary meningeal natural killer/T‑cell lymphoma of the central nervous system using cerebrospinal fluid cytology: A case report

  • Authors:
    • Xiaoli Chen
    • Jin Feng
    • Weihua Zhang
    • Zhiqian Min
    • Shuqi Zhao
  • View Affiliations / Copyright

    Affiliations: Department of Neurology, Shaanxi Provincial People's Hospital, Xi'an, Shaanxi 710000, P.R. China, Department of Clinical Laboratory Diagnostics, Xi'an Medical University, Xi'an, Shaanxi 710068, P.R. China, Department of Hematology, Shaanxi Provincial People's Hospital, Xi'an, Shaanxi 710000, P.R. China, Department of Radiology, Shaanxi Provincial People's Hospital, Xi'an, Shaanxi 710000, P.R. China, Institute of Hematological Research, Shaanxi Provincial People's Hospital, Xi'an, Shaanxi 710000, P.R. China
    Copyright: © Chen et al. This is an open access article distributed under the terms of Creative Commons Attribution License.
  • Article Number: 113
    |
    Published online on: December 31, 2024
       https://doi.org/10.3892/ol.2024.14859
  • Expand metrics +
Metrics: Total Views: 0 (Spandidos Publications: | PMC Statistics: )
Metrics: Total PDF Downloads: 0 (Spandidos Publications: | PMC Statistics: )
Cited By (CrossRef): 0 citations Loading Articles...

This article is mentioned in:



Abstract

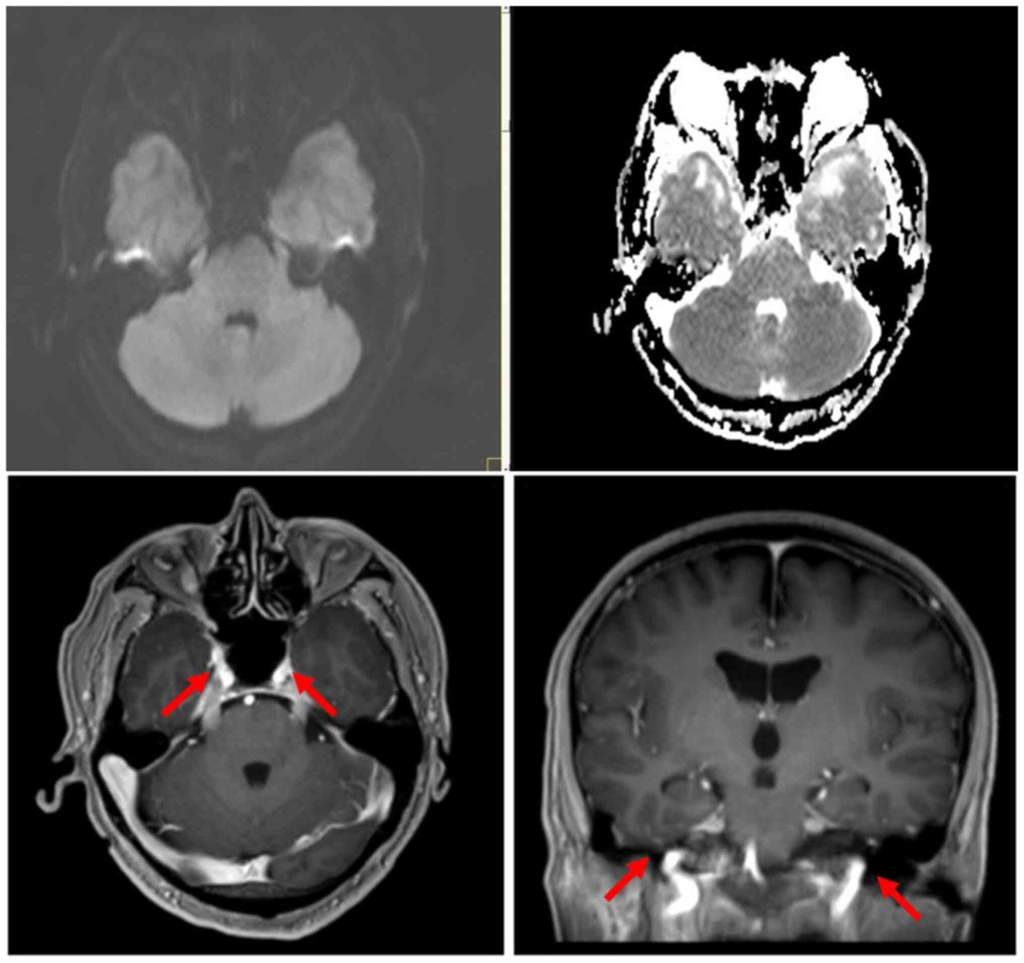
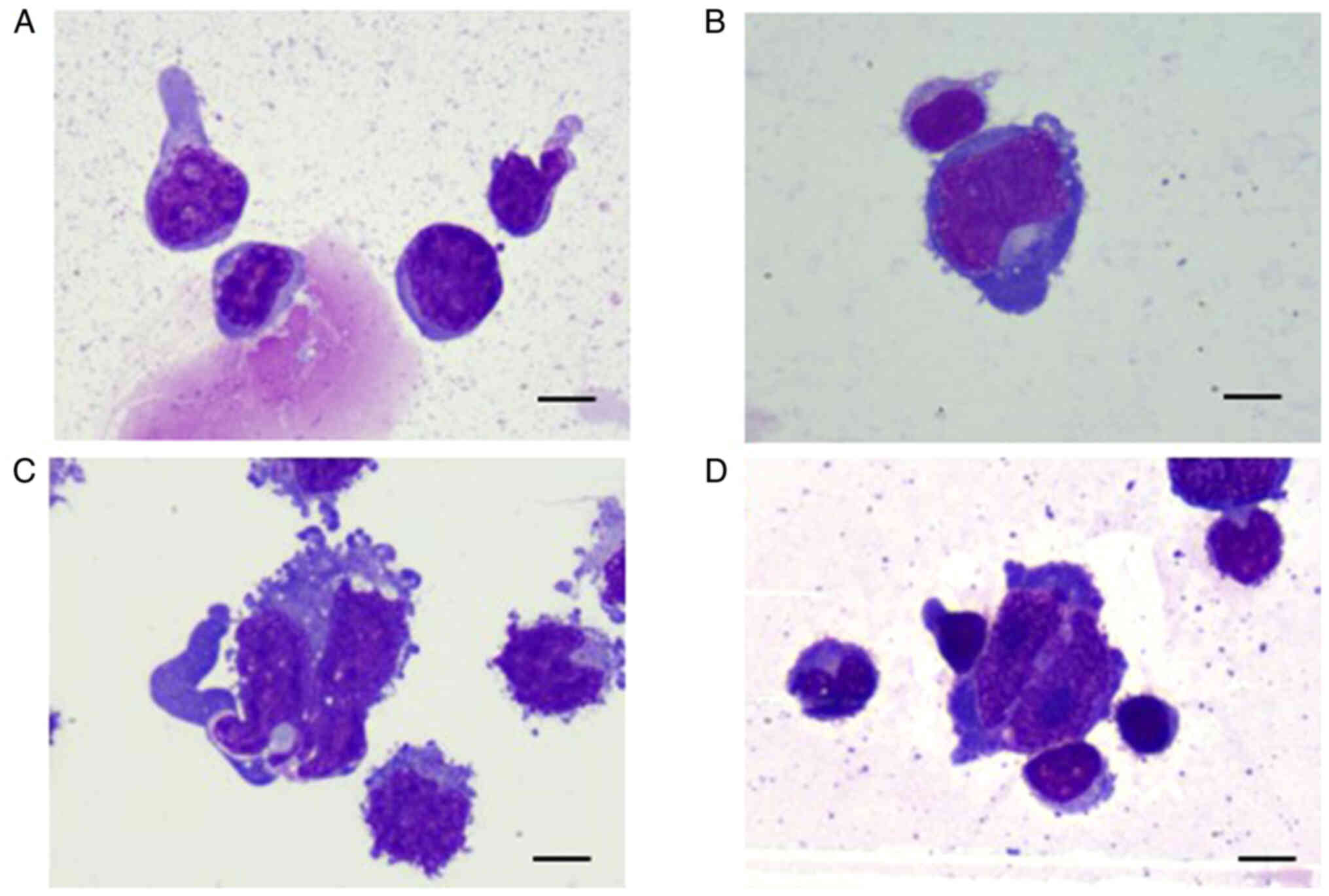
Primary central nervous system (CNS) lymphoma of the meninges is a rare tumor that originates in the meninges and does not show parenchymal or systemic spread. CNS involvement by natural killer (NK)/T‑cell lymphoma accounts for only 2% of all extranodal NK/T‑cell lymphomas, and primary NK/T‑cell lymphoma of the meninges is even rarer. The present study reports a case of a 55‑year‑old male patient with primary NK/T‑cell lymphoma. The patient presented with intermittent dizziness and headaches for the past 1 month prior to presentation. Magnetic resonance imaging of the head identified no overt abnormalities. However, cytological analysis of a Wright‑Giemsa‑stained cerebrospinal fluid (CSF) sample, demonstrated numerous atypical lymphocytes and lymphoma cells. Flow cytometry of the CSF was performed as an auxiliary method, and it showed that a large proportion of the cells in the CSF were of the NK/T‑cell lineage, to indicating a diagnosis of NK/T‑cell lymphoma. Mutations of 14 genes were detected, including JAK3 mutations, upon screening of the CSF for blood system diseases using next‑generation sequencing. Therefore, the present study demonstrated that a CSF cytological examination may be an important component of the diagnostic workup for patients suspected to have a primary meningeal CNS lymphoma.
View Figures

Figure 1

Figure 2

Figure 3

Figure 4

Figure 5

View References

1 

Shah T and Venur VA: Central nervous system lymphoma. Semin Neurol. 43:825–832. 2023. View Article : Google Scholar : PubMed/NCBI

2 

Hernández-Verdin I, Morales-Martínez A, Hoang-Xuan K and Alentorn A: Primary central nervous system lymphoma: Advances in its pathogenesis, molecular markers and targeted therapies. Curr Opin Neurol. 35:779–786. 2022. View Article : Google Scholar : PubMed/NCBI

3 

Hoang-Xuan K, Deckert M, Ferreri AJM, Furtner J, Gallego Perez-Larraya J, Henriksson R, Hottinger AF, Kasenda B, Lefranc F, Lossos A, et al: European association of neuro-oncology (EANO) guidelines for treatment of primary central nervous system lymphoma (PCNSL). Neuro Oncol. 25:37–53. 2023. View Article : Google Scholar : PubMed/NCBI

4 

Liao B, Kamiya-Matsuoka C, Gong Y, Chen M, Wolf BA and Fowler NH: Primary natural killer/T-cell lymphoma presenting as leptomeningeal disease. J Neurol Sci. 343:46–50. 2014. View Article : Google Scholar : PubMed/NCBI

5 

Chen X, Huang M, Zhang Z, Jing H, Zou Y and Bu H: Primary meningeal central nervous system lymphoma: A case report and literature review. Medicine (Baltimore). 101:e325672022. View Article : Google Scholar : PubMed/NCBI

6 

Pietras NM, Gupta N, Justiz Vaillant AA and Pearson-Shaver AL: Immune thrombocytopenia. StatPearls [Internet] Treasure Island (FL): StatPearls Publishing; 2024

7 

Guo Y, Liu X, Zihao Z, Zhang Q, Shi Z and Zhang N: Blood routine reference value range should be adjusted according to regional and ethnic characteristics. Front Public Health. 10:9341012022. View Article : Google Scholar : PubMed/NCBI

8 

Sabattini E, Bacci F, Sagramoso C and Pileri SA: WHO classification of tumours of haematopoietic and lymphoid tissues in 2008: An overview. Pathologica. 102:83–87. 2010.PubMed/NCBI

9 

Guan H, Huang Y, Wen W, Xu M, Zan Q and Zhang Z: Primary central nervous system extranodal NK/T-cell lymphoma, nasal type: Case report and review of the literature. J Neurooncol. 103:387–391. 2011. View Article : Google Scholar : PubMed/NCBI

10 

Li X, Yu H, Fu X, Zhang L, Li X, Li L, Wang X, Sun Z, Zhang X, Li Z, et al: Clinical analysis of patients with primary and secondary extranodal natural killer/T-cell lymphoma of central nervous system. Hematol Oncol. 41:267–274. 2023. View Article : Google Scholar : PubMed/NCBI

11 

Küker W, Nägele T, Korfel A, Heckl S, Thiel E, Bamberg M, Weller M and Herrlinger U: Primary central nervous system lymphomas (PCNSL): MRI features at presentation in 100 patients. J Neurooncol. 72:169–177. 2005. View Article : Google Scholar : PubMed/NCBI

12 

Capasso R, Negro A, Russo C, Zeccolini F, Muto G, Caranci F and Prof Pinto A: Conventional and advanced MRI Techniques in the evaluation of primary CNS lymphoma. Semin Ultrasound CT MR. 44:126–135. 2023. View Article : Google Scholar : PubMed/NCBI

13 

Zing NF, Thais F, Massimo C, Chiattone C and Ferreri AJM: Diagnosis, prevention and treatment of central nervous system involvement in peripheral t-cell lymphomas. Crit Rev Oncol Hematol. 167:1034962021. View Article : Google Scholar : PubMed/NCBI

14 

Kleinschmidt-DeMasters BK and Gilani A: Secondary parenchymal CNS involvement by lymphoma including rare types: Follicular and EBV-positive NK/T cell lymphoma, nasal type. Ann Diagn Pathol. 53:1517652021. View Article : Google Scholar : PubMed/NCBI

15 

Kajtazi NI, Bafaquh M, Ghamdi JA, AlEissa Z, Shmeikh AA, Alsaeed A, Sulaiman T, Vizcaino MA, Al Hameed M and Raghunathan A: An unusual case of EBV-negative primary CNS lymphoma of natural killer/T-cell lineage. Clin Pathol. 14:2632010X2110656922021. View Article : Google Scholar : PubMed/NCBI

16 

Ball MK, Morris JM, Wood AJ, Meyer FB, Kaszuba MC and Raghunathan A: Ventricle-predominant primary CNS lymphomas: Clinical, radiological and pathological evaluation of five cases and review of the literature. Brain Tumor Pathol. 37:22–30. 2020. View Article : Google Scholar : PubMed/NCBI

17 

Kan Y, Wang Y, Wang W, Liu J and Yang J: Unexpected corpus callosum involvement of diffuse large B-cell lymphoma on FDG PET/CT. Clin Nucl Med. 43:933–935. 2018. View Article : Google Scholar : PubMed/NCBI

18 

Guedes BF and Cury RG: Trigeminal nerve thickening in chronic inflammatory demyelinating polyneuropathy. Arq Neuropsiquiatr. 73:634–635. 2015. View Article : Google Scholar : PubMed/NCBI

19 

Nikanjam M, Kato S and Kurzrock R: Liquid biopsy: Current technology and clinical applications. J Hematol Oncol. 15:1312022. View Article : Google Scholar : PubMed/NCBI

20 

Liu J, Liang L, Li D, Nong L, Zheng Y, Huang S, Zhang B and Li T: JAK3/STAT3 oncogenic pathway and PRDM1 expression stratify clinicopathologic features of extranodal NK/T-cell lymphoma, nasal type. Oncol Rep. 41:3219–3232. 2019.PubMed/NCBI

21 

Koo GC, Tan SY, Tang T, Poon SL, Allen GE, Tan L, Chong SC, Ong WS, Tay K, Tao M, et al: Janus kinase 3-activating mutations identified in natural killer/T-cell lymphoma. Cancer Discov. 2:591–597. 2012. View Article : Google Scholar : PubMed/NCBI

22 

Yamaguchi J, Ohka F, Kitano Y, Maeda S, Motomura K, Aoki K, Takeuchi K, Nagata Y, Hattori H, Tsujiuchi T, et al: Rapid detection of the MYD88 L265P mutation for pre- and intra-operative diagnosis of primary central nervous system lymphoma. Cancer Sci. 114:2544–2551. 2023. View Article : Google Scholar : PubMed/NCBI

23 

Iriyama C, Murate K, Iba S, Okamoto A, Goto N, Yamamoto H, Kato T, Mihara K, Miyama T, Hattori K, et al: Utility of cerebrospinal fluid liquid biopsy in distinguishing CNS lymphoma from cerebrospinal infectious/demyelinating diseases. Cancer Med. 12:16972–16984. 2023. View Article : Google Scholar : PubMed/NCBI

Related Articles

  • Abstract
  • View
  • Download
  • Twitter
Copy and paste a formatted citation
Spandidos Publications style
Chen X, Feng J, Zhang W, Min Z and Zhao S: Diagnosis of primary meningeal natural killer/T‑cell lymphoma of the central nervous system using cerebrospinal fluid cytology: A case report. Oncol Lett 29: 113, 2025.
APA
Chen, X., Feng, J., Zhang, W., Min, Z., & Zhao, S. (2025). Diagnosis of primary meningeal natural killer/T‑cell lymphoma of the central nervous system using cerebrospinal fluid cytology: A case report. Oncology Letters, 29, 113. https://doi.org/10.3892/ol.2024.14859
MLA
Chen, X., Feng, J., Zhang, W., Min, Z., Zhao, S."Diagnosis of primary meningeal natural killer/T‑cell lymphoma of the central nervous system using cerebrospinal fluid cytology: A case report". Oncology Letters 29.3 (2025): 113.
Chicago
Chen, X., Feng, J., Zhang, W., Min, Z., Zhao, S."Diagnosis of primary meningeal natural killer/T‑cell lymphoma of the central nervous system using cerebrospinal fluid cytology: A case report". Oncology Letters 29, no. 3 (2025): 113. https://doi.org/10.3892/ol.2024.14859
Copy and paste a formatted citation
x
Spandidos Publications style
Chen X, Feng J, Zhang W, Min Z and Zhao S: Diagnosis of primary meningeal natural killer/T‑cell lymphoma of the central nervous system using cerebrospinal fluid cytology: A case report. Oncol Lett 29: 113, 2025.
APA
Chen, X., Feng, J., Zhang, W., Min, Z., & Zhao, S. (2025). Diagnosis of primary meningeal natural killer/T‑cell lymphoma of the central nervous system using cerebrospinal fluid cytology: A case report. Oncology Letters, 29, 113. https://doi.org/10.3892/ol.2024.14859
MLA
Chen, X., Feng, J., Zhang, W., Min, Z., Zhao, S."Diagnosis of primary meningeal natural killer/T‑cell lymphoma of the central nervous system using cerebrospinal fluid cytology: A case report". Oncology Letters 29.3 (2025): 113.
Chicago
Chen, X., Feng, J., Zhang, W., Min, Z., Zhao, S."Diagnosis of primary meningeal natural killer/T‑cell lymphoma of the central nervous system using cerebrospinal fluid cytology: A case report". Oncology Letters 29, no. 3 (2025): 113. https://doi.org/10.3892/ol.2024.14859
Follow us
  • Twitter
  • LinkedIn
  • Facebook
About
  • Spandidos Publications
  • Careers
  • Cookie Policy
  • Privacy Policy
How can we help?
  • Help
  • Live Chat
  • Contact
  • Email to our Support Team