Spandidos Publications Logo
  • About
    • About Spandidos
    • Aims and Scopes
    • Abstracting and Indexing
    • Editorial Policies
    • Reprints and Permissions
    • Job Opportunities
    • Terms and Conditions
    • Contact
  • Journals
    • All Journals
    • Oncology Letters
      • Oncology Letters
      • Information for Authors
      • Editorial Policies
      • Editorial Board
      • Aims and Scope
      • Abstracting and Indexing
      • Bibliographic Information
      • Archive
    • International Journal of Oncology
      • International Journal of Oncology
      • Information for Authors
      • Editorial Policies
      • Editorial Board
      • Aims and Scope
      • Abstracting and Indexing
      • Bibliographic Information
      • Archive
    • Molecular and Clinical Oncology
      • Molecular and Clinical Oncology
      • Information for Authors
      • Editorial Policies
      • Editorial Board
      • Aims and Scope
      • Abstracting and Indexing
      • Bibliographic Information
      • Archive
    • Experimental and Therapeutic Medicine
      • Experimental and Therapeutic Medicine
      • Information for Authors
      • Editorial Policies
      • Editorial Board
      • Aims and Scope
      • Abstracting and Indexing
      • Bibliographic Information
      • Archive
    • International Journal of Molecular Medicine
      • International Journal of Molecular Medicine
      • Information for Authors
      • Editorial Policies
      • Editorial Board
      • Aims and Scope
      • Abstracting and Indexing
      • Bibliographic Information
      • Archive
    • Biomedical Reports
      • Biomedical Reports
      • Information for Authors
      • Editorial Policies
      • Editorial Board
      • Aims and Scope
      • Abstracting and Indexing
      • Bibliographic Information
      • Archive
    • Oncology Reports
      • Oncology Reports
      • Information for Authors
      • Editorial Policies
      • Editorial Board
      • Aims and Scope
      • Abstracting and Indexing
      • Bibliographic Information
      • Archive
    • Molecular Medicine Reports
      • Molecular Medicine Reports
      • Information for Authors
      • Editorial Policies
      • Editorial Board
      • Aims and Scope
      • Abstracting and Indexing
      • Bibliographic Information
      • Archive
    • World Academy of Sciences Journal
      • World Academy of Sciences Journal
      • Information for Authors
      • Editorial Policies
      • Editorial Board
      • Aims and Scope
      • Abstracting and Indexing
      • Bibliographic Information
      • Archive
    • International Journal of Functional Nutrition
      • International Journal of Functional Nutrition
      • Information for Authors
      • Editorial Policies
      • Editorial Board
      • Aims and Scope
      • Abstracting and Indexing
      • Bibliographic Information
      • Archive
    • International Journal of Epigenetics
      • International Journal of Epigenetics
      • Information for Authors
      • Editorial Policies
      • Editorial Board
      • Aims and Scope
      • Abstracting and Indexing
      • Bibliographic Information
      • Archive
    • Medicine International
      • Medicine International
      • Information for Authors
      • Editorial Policies
      • Editorial Board
      • Aims and Scope
      • Abstracting and Indexing
      • Bibliographic Information
      • Archive
  • Articles
  • Information
    • Information for Authors
    • Information for Reviewers
    • Information for Librarians
    • Information for Advertisers
    • Conferences
  • Language Editing
Spandidos Publications Logo
  • About
    • About Spandidos
    • Aims and Scopes
    • Abstracting and Indexing
    • Editorial Policies
    • Reprints and Permissions
    • Job Opportunities
    • Terms and Conditions
    • Contact
  • Journals
    • All Journals
    • Biomedical Reports
      • Information for Authors
      • Editorial Policies
      • Editorial Board
      • Aims and Scope
      • Abstracting and Indexing
      • Bibliographic Information
      • Archive
    • Experimental and Therapeutic Medicine
      • Information for Authors
      • Editorial Policies
      • Editorial Board
      • Aims and Scope
      • Abstracting and Indexing
      • Bibliographic Information
      • Archive
    • International Journal of Epigenetics
      • Information for Authors
      • Editorial Policies
      • Editorial Board
      • Aims and Scope
      • Abstracting and Indexing
      • Bibliographic Information
      • Archive
    • International Journal of Functional Nutrition
      • Information for Authors
      • Editorial Policies
      • Editorial Board
      • Aims and Scope
      • Abstracting and Indexing
      • Bibliographic Information
      • Archive
    • International Journal of Molecular Medicine
      • Information for Authors
      • Editorial Policies
      • Editorial Board
      • Aims and Scope
      • Abstracting and Indexing
      • Bibliographic Information
      • Archive
    • International Journal of Oncology
      • Information for Authors
      • Editorial Policies
      • Editorial Board
      • Aims and Scope
      • Abstracting and Indexing
      • Bibliographic Information
      • Archive
    • Medicine International
      • Information for Authors
      • Editorial Policies
      • Editorial Board
      • Aims and Scope
      • Abstracting and Indexing
      • Bibliographic Information
      • Archive
    • Molecular and Clinical Oncology
      • Information for Authors
      • Editorial Policies
      • Editorial Board
      • Aims and Scope
      • Abstracting and Indexing
      • Bibliographic Information
      • Archive
    • Molecular Medicine Reports
      • Information for Authors
      • Editorial Policies
      • Editorial Board
      • Aims and Scope
      • Abstracting and Indexing
      • Bibliographic Information
      • Archive
    • Oncology Letters
      • Information for Authors
      • Editorial Policies
      • Editorial Board
      • Aims and Scope
      • Abstracting and Indexing
      • Bibliographic Information
      • Archive
    • Oncology Reports
      • Information for Authors
      • Editorial Policies
      • Editorial Board
      • Aims and Scope
      • Abstracting and Indexing
      • Bibliographic Information
      • Archive
    • World Academy of Sciences Journal
      • Information for Authors
      • Editorial Policies
      • Editorial Board
      • Aims and Scope
      • Abstracting and Indexing
      • Bibliographic Information
      • Archive
  • Articles
  • Information
    • For Authors
    • For Reviewers
    • For Librarians
    • For Advertisers
    • Conferences
  • Language Editing
Login Register Submit
  • This site uses cookies
  • You can change your cookie settings at any time by following the instructions in our Cookie Policy. To find out more, you may read our Privacy Policy.

    I agree
Search articles by DOI, keyword, author or affiliation
Search
Advanced Search
presentation
Oncology Letters
Join Editorial Board Propose a Special Issue
Print ISSN: 1792-1074 Online ISSN: 1792-1082
Journal Cover
March-2025 Volume 29 Issue 3

Full Size Image

Sign up for eToc alerts
Recommend to Library

Journals

International Journal of Molecular Medicine

International Journal of Molecular Medicine

International Journal of Molecular Medicine is an international journal devoted to molecular mechanisms of human disease.

International Journal of Oncology

International Journal of Oncology

International Journal of Oncology is an international journal devoted to oncology research and cancer treatment.

Molecular Medicine Reports

Molecular Medicine Reports

Covers molecular medicine topics such as pharmacology, pathology, genetics, neuroscience, infectious diseases, molecular cardiology, and molecular surgery.

Oncology Reports

Oncology Reports

Oncology Reports is an international journal devoted to fundamental and applied research in Oncology.

Experimental and Therapeutic Medicine

Experimental and Therapeutic Medicine

Experimental and Therapeutic Medicine is an international journal devoted to laboratory and clinical medicine.

Oncology Letters

Oncology Letters

Oncology Letters is an international journal devoted to Experimental and Clinical Oncology.

Biomedical Reports

Biomedical Reports

Explores a wide range of biological and medical fields, including pharmacology, genetics, microbiology, neuroscience, and molecular cardiology.

Molecular and Clinical Oncology

Molecular and Clinical Oncology

International journal addressing all aspects of oncology research, from tumorigenesis and oncogenes to chemotherapy and metastasis.

World Academy of Sciences Journal

World Academy of Sciences Journal

Multidisciplinary open-access journal spanning biochemistry, genetics, neuroscience, environmental health, and synthetic biology.

International Journal of Functional Nutrition

International Journal of Functional Nutrition

Open-access journal combining biochemistry, pharmacology, immunology, and genetics to advance health through functional nutrition.

International Journal of Epigenetics

International Journal of Epigenetics

Publishes open-access research on using epigenetics to advance understanding and treatment of human disease.

Medicine International

Medicine International

An International Open Access Journal Devoted to General Medicine.

Journal Cover
March-2025 Volume 29 Issue 3

Full Size Image

Sign up for eToc alerts
Recommend to Library

  • Article
  • Citations
    • Cite This Article
    • Download Citation
    • Create Citation Alert
    • Remove Citation Alert
    • Cited By
  • Similar Articles
    • Related Articles (in Spandidos Publications)
    • Similar Articles (Google Scholar)
    • Similar Articles (PubMed)
  • Download PDF
  • Download XML
  • View XML

  • Supplementary Files
    • Supplementary_Data.pdf
Case Report Open Access

Difficulties in the diagnosis and treatment of axillary malignant triton tumors: A case report

  • Authors:
    • Yanhua Zhou
    • Lu Li
    • Feifeng Lan
    • Li Qin
    • Dongning Huang
  • View Affiliations / Copyright

    Affiliations: Department of Oncology, The Liuzhou Worker's Hospital, Liuzhou, Guangxi Zhuang Autonomous Region 545005, P.R. China, Department of Radiology, The Liuzhou Worker's Hospital, Liuzhou, Guangxi Zhuang Autonomous Region 545005, P.R. China
    Copyright: © Zhou et al. This is an open access article distributed under the terms of Creative Commons Attribution License.
  • Article Number: 147
    |
    Published online on: January 20, 2025
       https://doi.org/10.3892/ol.2025.14893
  • Expand metrics +
Metrics: Total Views: 0 (Spandidos Publications: | PMC Statistics: )
Metrics: Total PDF Downloads: 0 (Spandidos Publications: | PMC Statistics: )
Cited By (CrossRef): 0 citations Loading Articles...

This article is mentioned in:



Abstract

Malignant triton tumor (MTT), a subtype of malignant peripheral nerve sheath tumor, is a rare soft‑tissue sarcoma with a difficult diagnosis and poor prognosis. The course of MTT progression is rapid and the degree of malignancy is high. Patients with MTT can be treated with postoperative adjuvant radiotherapy and chemotherapy; however, treatment results are still poor. The present study describes a case of MTT of the axilla, which was diagnosed using histopathology with immunohistochemical staining and gene mutation detection. Complete surgical excision of the left axillary mass was performed in September 2023. Postoperative therapeutics included radiation therapy and deep hyperthermia; nine‑field intensity‑modulated radiation was delivered to the left axilla (46 Gy in 23 fractions over 5 weeks) and concurrent deep hyperthermia was performed three times per week for 5 weeks. In February 2024, the patient received oral anlotinib at a dose of 10 mg daily (before breakfast) for 2 weeks. It was demonstrated that a combination of surgery, radiation therapy, deep hyperthermia and targeted therapy may improve the survival of patients with MTT. After 1 month of comprehensive treatment, the patient's tumor had disappeared upon reexamination. As of the latest follow‑up in October 2024, the patient had achieved a disease‑free survival period of ~7 months, the patient was stable and remained on anlotinib treatment with good tolerance. With no standardized treatment recommendations available, the present study demonstrated that the combination of surgery, radiation therapy, deep hyperthermia and targeted therapy may provide a new strategy for the clinical treatment of MTT.

Introduction

Malignant peripheral nerve sheath tumors (MPNSTs) are rare soft-tissue sarcomas with an incidence of 0.001% in the general population as recorded in the Surveillance, Epidemiology, and End Results database (1). The global 5-year overall survival rate, 5-year event-free survival and local recurrence rate were reported to be 49, 37 and 38%, respectively (2). The primary risk factor for developing MPNST is neurofibromatosis type-1 (NF1), with ~10% of patients with NF1 experiencing this condition in their lifetime (3). In addition, ~5% of MPNST cases are induced by radiation (4). Originating from the sheaths of peripheral nerves, MPNST is a high-grade tumor made up of spindle cells (5), which is difficult to diagnose and relies on pathological results (6). According to World Health Organization standards, MPNST can be divided into several types, including low-grade MPNST, high-grade MPNST, epithelioid MPNST, perineurial MPNST and malignant melanotic schwannian tumors (7). Its differential diagnosis includes melanoma, clear cell sarcoma and epithelioid sarcoma (8). Le Guellec et al (9) reported that 29 tumors (18.1%) that were initially diagnosed as MPNST were reclassified on the basis of histological review, immunohistochemistry and molecular analysis. Goertz et al (10) studied a group of 65 cases of MPNST, for which the diagnosis of 32.3% of cases needed to be amended, indicating that the diagnosis of MPNST is challenging. Currently, there is no established treatment for MPNST, and most available options are derived from methods used to treat soft tissue tumors. Although surgery is the treatment of choice for MPNST, its aggressive nature makes achieving a full or wide resection challenging. The use of radiation, chemotherapy and targeted therapy for MPNST is still limited and uncertain, because of the lack of treatment methods with proven benefit (11).

MTT is a rare, highly aggressive subtype of MPNST with rhabdomyosarcomatous differentiation, and represents ~5% of all MPNST cases (1). To date, ~248 cases of MTT have been reported in the literature worldwide and the male-to-female incidence ratio is 1.5:1 (12). MTTs are more common in the head, neck, trunk and limbs (13), while mediastinal lesions are rarely observed. To date, ~20 cases of mediastinum MTT have been reported in studies published in English (14). MTTs are more common in middle-aged individuals and rare in children (15), with <50 cases in children reported to date (16,17). Compared with MPNST, MTT has a higher degree of malignancy, is more invasive and is less common in clinical practice (18). The outcome of MTT remains poor after comprehensive surgical and chemoradiotherapy treatment (14). Owing to the rarity of this disease, no consensus exists for the treatment of MTT. The current study presents a case of an MTT of the axilla and describe the patient's clinical features, diagnosis and treatment. The purpose of the present study is to provide clinical strategies for the diagnosis and treatment of MTT.

Case report

A 60-year-old female patient presented at The Liuzhou Worker's Hospital (Liuzhou, China) in September 2023, reporting a tingling sensation in the axilla, secondary to a mass in the left axilla that had increased in size over the past 20 years. Physical examination demonstrated that the mass had a tough texture, clear boundaries with surrounding tissues and no local rupture; additionally, it was firm and accompanied by mild tenderness. Magnetic resonance imaging (MRI) demonstrated a left axillary lesion measuring 5.7×5.7×7.7 cm (Fig. 1), a clear boundary of the lump, low T1-weighted imaging (WI), high T2WI, uneven and significant enhancement on enhanced scanning and compression of the axillary arteries and veins. Therefore, a nerve sheath tumor was suspected. The patient's lactate dehydrogenase (LDH) level was within the normal range at 137 U/l (normal range, 120–250 U/l). Throughout the treatment process (from September 2023 to October 2024) the LDH level remained within the normal range, and routine blood and biochemical indicators were normal. Complete surgical excision of the left axillary mass was performed in September 2023. Grossly, the tumor measuring 5.0×4.7×6.5 cm had a capsular sheath with adhesion of the axillary artery and vein, and the ulnar and median nerves.

Figure 1.

Magnetic resonance imaging was used to identify a left axillary lesion measuring 5.7×5.7×7.7 cm, from which a diagnosis of a nerve sheath tumor was initially suspected; the arrows indicate the tumor.

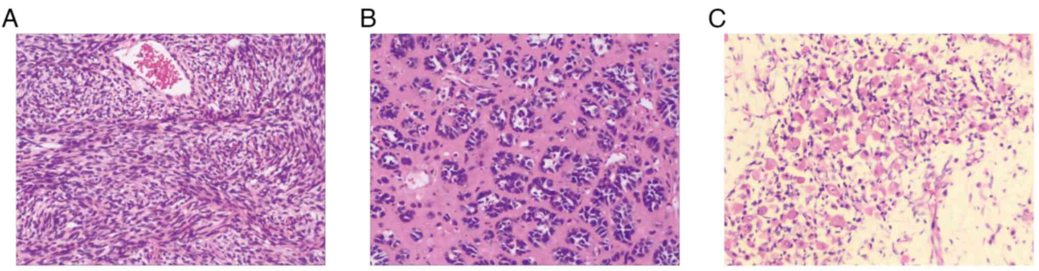
Immunohistochemical analysis was performed using 5-µm paraffin-embedded tissue sections that had been fixed with 10% neutral formalin at room temperature for 24 h. The sections were baked at 65°C for >2 h, dewaxed three times with xylene and then hydrated with a series of alcohol solutions. For antigen retrieval, sections were heated in EDTA buffer (pH 9.0) in a 100°C water bath for 20 min and were then blocked with 3% hydrogen peroxide at room temperature for 10 min. The tissue sections were then incubated with a ready-to-use cytokeratin 20 antibody (Ks20.8; cat. no. Kit-0025), spectral cytokeratin antibody (AE1/AE3; cat. no. Kit-0009), vimentin antibody (MX034; cat. no. MAB-0735), H3K27Me3 antibody (RM175; cat. no. RMA-0843), S-100 antibody (4C4,9; cat. no. Kit-0007), Sox-10 antibody (EP268; cat. no. RMA-0726), desmin antibody (MX046; cat. no. RMA-0766), smooth muscle actin (SMA) antibody (1A4; cat. no. Kit-0006), Ki67 antibody (MXR002; cat. no. RMA-0731), integrase interactor 1 (INI-1) antibody (MRQ-27; cat. no. MAB-0696), programmed cell death-ligand 1 (PD-L1) antibody (MXR025; cat. no. RMA-1057), epithelial membrane antigen (EMA) antibody (E29; cat. no. Kit-0011), myogenin differentiation 1 (MYOD1) antibody (MX049; cat. no. MAB-0822), CD34 antibody (MX123; cat. no. MAB-1076), Bcl-2 antibody (MX022; cat. no. MAB-0711) and HMB-45 antibody (HMB45; cat. no. MAB-0098) (all from Fuzhou Maixin Biotechnology Development Co., Ltd.) for 1 h at room temperature, or with PBS (Fuzhou Maixin Biotechnology Development Co., Ltd.) as a negative control. Detection of primary antibody binding sites was carried out using the MaxVision™ HRP-Polymer anti-Mouse/Rabbit IHC Kit (cat. no. KIT-5030; Fuzhou Maixin Biotechnology Development Co., Ltd.) at room temperature for 1 h. DAB was used for color development. Hematoxylin counterstaining was also performed at room temperature for 2 min. The tissue sections were then sealed and observed under a light microscope (ECLIPSE Ci-L; Nikon Corporation). This process used a fully automated immunohistochemical staining instrument (Lumatas; Fuzhou Maixin Biotechnology Development Co., Ltd.). Hematoxylin and Eosin staining of the tumor sample was performed at room temperature for 45 min and was observed under a light microscope (ECLIPSE Ci-L; Nikon Corporation), which displayed a heterogeneously differentiated tumor consisting of spindle-shaped cells with a high mitotic index (Fig. 2A), gland-like epithelioid cells (Fig. 2B), focal necrosis and differentiated areas of rhabdomyosarcoma (Fig. 2C). Immunohistochemistry demonstrated that the neoplasm was positive for vimentin (Fig. S1A), EMA (Fig. S1B), MYOD1 (Fig. S1C), S-100 (Fig. S1D), Sox-10 (Fig. S1E), CD34 (Fig. S1F), Bcl-2 (Fig. S2A), desmin (Fig. S2B), SMA (Fig. S2C), INI-1 (Fig. S2D) and mosaic loss of H3K27me3 expression (Fig. 3A). The Ki-67 proliferation index was 75% (Fig. 3B). Markers such as pancytokeratin (CKpan; Fig. 3C), CK20 (Fig. 3D), HMB-45 (Fig. S2E) and (PD-L1 (Fig. 3E) were negative.

Figure 2.

Representative histological images of the tumor sample. (A) Pathological examination demonstrated areas of the tumor comprising spindle-shaped cells arranged in a staggered bundle pattern (H&E; magnification, ×10). (B) Partial tumor areas exhibited epithelial-like cell differentiation, with a visible glandular arrangement (H&E; magnification, ×10). (C) Differentiation area of rhabdomyosarcoma (H&E; magnification, ×10).

Figure 3.

Representative immunohistochemistry images of the tumor sample. Immunohistochemistry showed (A) mosaic loss of H3K27me3 expression (magnification, ×10; magnification in subpart, ×4.44) and (B) a Ki-67 proliferation index of 75% (magnification, ×10; magnification in subpart, ×4.44). Immunohistochemistry was negative for (C) pancytokeratin (magnification, ×10; magnification in subpart, ×4.44), (D) CK20 (magnification, ×10; magnification in subpart, ×4.44) and (E) programmed cell death-ligand 1 (magnification, ×10; magnification in subpart, ×4.44). (F) Next-generation sequencing identified mutations present in the NF1 tumor suppressor gene (915 reads were sequenced, 789 of which were normal base C, and 22 mutated to T, denoted as c4084C>T). (G) Fluorescence in situ hybridization for SS18/SYT gene rearrangement was negative (magnification, ×100; magnification in subpart, ×2.74).

The VAHTS Universal DNA Library Prep Kit for Illumina V4 (cat. no. ND610-02; Nanjing Novozymes Biotech Co., Ltd.) was used to prepare the patient's surgical axillary tissue specimen DNA samples for sequencing. The Qsep 100 fully automated nucleic acid and protein analysis system (BiOptic, Inc.) was used to verify the quality/integrity of the processed samples. Next-generation sequencing (NGS) was then performed (paired end sequencing; nucleotide length, 150 bp) using the Novaseq X Series 10B Reagent Kit (300 cycles; cat. no. 20085594; Illumina, Inc.) or NovaSeq X Series 25B Reagent Kit (300 cycles; cat. no. 20104706; Illumina Inc.); the loading concentration of the final library was 150 pmol. Vardict 1.8.3 (19) was used to analyze the data (open source). NGS (Fig. 3F) demonstrated the presence of mutations in the NF1 tumor suppressor gene (NF1: exon 30 c.4084C>T p.R1362, with a mutation abundance of 2.40%).

To further exclude the diagnosis of synovial sarcoma, tumor cells underwent fluorescence in situ hybridization (FISH) detection according to the instructions of the SS18 gene two-color breakage probe kit (cat. no. FP-055; Wuhan Kanglu Biotechnology Co., Ltd.,). The FISH interpretation criteria were as follows: The normal negative signal pattern consisted of two yellow signals fused with red and green, while the typical positive signal pattern cosisted of a separated signal of one yellow, one red and one green (with a red green signal separation diameter of ≥2 signal points). A total of 100 tumor cells from at least two tumor regions were counted, and the proportion of positive signal cells ≥13% was defined as SS18 gene rearrangement positive. FISH (Fig. 3G) for the SS18/SYT gene rearrangement was negative. On the basis of aforementioned findings, the patient was diagnosed with MPNST with rhabdomyosarcomatous differentiation, also known as MTT. The patient was staged as pT2N2M0 or IIIA according to the staging criteria of the 8th edition of the American Joint Committee on Cancer Staging System (20), combined with preoperative MRI and postoperative pathology.

A whole-body 18F-fluorodeoxyglucose-positron emission/computed tomography (18F-FDG PET/CT; Fig. 4) scan was performed 40 days after surgery and showed an FDG-avid lesion 3.6×3.4×3.4 cm in size in the left axilla, which was interpreted as early local recurrence. Secondary surgery could not be considered, as due to the involvement of the axillary artery and vein there was a risk of bleeding. Postoperative therapeutics included radiation therapy and deep hyperthermia; nine-field intensity-modulated radiation was delivered to the left axilla (46 Gy in 23 fractions over 5 weeks; Fig. 5) and concurrent deep hyperthermia was performed three times per week for 5 weeks. Later, in January 2024, reexamination via MRI confirmed the reduction of tumor size (2.8×1.1×1.1 cm; Fig. 6A). In February 2024, the patient received oral anlotinib at a dose of 10 mg daily (before breakfast) for 2 weeks. An MRI reexamination of the left upper arm indicated that the tumor had entirely disappeared after 1 cycle (included 2 weeks of being on the regimen and 1 week off) of tyrosine kinase inhibitor (TKI)-targeted therapy (Fig. 6B). The patient developed hypertension following the first cycle of TKI-targeted administration, which was well controlled after antihypertensive treatment (nifedipine controlled-release tablets 30 mg orally, once daily). As of the latest follow-up in October 2024, the patient was stable and remained on anlotinib treatment with good tolerance, with follow-up occurring every 2–3 months.

Figure 4.

18F-FDG-positron emission/computed tomography demonstrated an FDG-avid lesion that measured 3.6×3.4×3.4 cm. 18F-FDG, 18F-fluorodeoxyglucose.

Figure 5.

The 64-row computed tomography images indicated the target area range of postoperative therapeutics, including nine-field intensity-modulated radiotherapy targeted to the left axilla.

Figure 6.

Reexamination of MRI after patient treatment. (A) Reexamination using MRI after radiation confirmed the reduction in the size of the tumor to 2.8×1.1×1.1 cm. (B) Reexamination using MRI after 1 cycle of tyrosine kinase inhibitor-targeted therapy indicated that the tumor had completely disappeared. MRI, magnetic resonance imaging.

Discussion

First described by Masson (21) in 1932, MTT is a rare, highly aggressive subtype of MPNST with rhabdomyosarcomatous differentiation (22). The etiology of MTT remains elusive, but there is an association with NF1 mutations (23). In a systematic literature review of 34 patients and a retrospective, single-center study of 16 patients, Marcel et al (24) demonstrated that primary MTTs were large, lobulated tumors with necrotic areas, low T1WI, high T2WI and heterogeneous enhancement, features which were suggestive but non-specific, and that they were difficult to distinguish from other types of MPNSTs on the basis of imaging alone. S-100 and Sox-10 are specific protein markers of Schwann cells. However, a study by Karamchandani et al (25) examining protein expression levels of Sox-10 and S-100 markers in 1,012 specimens, which included 78 cases of MPNST, demonstrated that the sensitivities of Sox-10 and S-100 protein for the detection of MPNSTs were 27 and 40%, respectively. The loss of H3K27me3 expression is a sensitive marker for MTT, with H3K27me3 negativity found in 95% of cases (26).

In the present case, the patient's LDH level was 137 U/l, which is a normal level that may indicate that the patient could achieve a good prognosis if they actively cooperated with treatment. Jurisic et al (27) reported that the intracellular characteristics of LDH enzymes are sensitive indicators of the cellular metabolic state, aerobic or anaerobic direction of glycolysis, activation status and malignant transformation, and that analysis of LDH activity is useful for the early diagnosis and treatment of tumors. The patient of the present study had no medical history of the condition NF1 or radiation therapy. MRI revealed a left axillary lobulated mass measuring 5.7×5.7×7.7 cm, with low T1WI, high T2WI and heterogeneous enhancement. Pathological examination suggested that certain tumor areas exhibited epithelial-like cell differentiation, with a visible glandular arrangement. Essentially, these areas are sarcoma cells, some poorly differentiated cell sarcomas often exhibit epithelioid cells (28). The immunohistochemical markers CKpan and CK20 in the patient's epithelium were negative, which can exclude an epithelial origin (29,30). These findings validated the diagnosis of a sarcoma and the presence of such cells indicated glandular elements, which are exceedingly rare (31). The results of immunohistochemistry demonstrated positive Sox-10 and S-100 staining, and mosaic loss of H3K27me3 expression, suggesting a diagnosis of MTT. However, the diagnosis of synovial sarcoma could be fully ruled out, due to the focal and weak expression of EMA (32). Further genetic testing was therefore necessary for the present patient. FISH conducted for the SS18/SYT gene rearrangement was negative, in conjunction with mutation of the NF1 tumor suppressor gene, which are consistent with the diagnosis of MTT (32).

MTT is a rare, highly aggressive disease with a poor prognosis, and no standardized treatment recommendations are currently available. At present, the treatment of MTT is primarily surgery, supplemented with radiotherapy and chemotherapy (12,14). A meta-analysis reported that the 5-year survival rate of patients with MTT was 14%, with a median overall survival time of 13 months (15). Complete surgical resection and local adjuvant radiotherapy are reported to improve patient prognosis (33,34). However, radiotherapy processes vary from center to center, including the choice of radiotherapy technology and the way radiation doses are segmented. The commonly used chemotherapeutic agents include ifosfamide, vincristine, carboplatin and dactinomycin, but there is currently no consensus on the optimal chemotherapy treatment (35). Angel et al (36) reported that neoadjuvant chemotherapy followed by surgical resection and adjuvant chemotherapy is also a treatment option for MTT. A number of studies have been conducted ranging from bench work to clinical trials on hyperthermia combined with chemoradiotherapy and targeted therapy to improve the treatment effects on tumors, which confirmed the positive effects of hyperthermia as an adjunctive therapy for treating tumors (37–41).

MTT has an aggressive clinical course; the patient in the present study was diagnosed with early local recurrence via 18F-FDG PET/CT 40 days after surgery. Following multidisciplinary discussion, the postoperative therapeutics included radiation therapy and deep hyperthermia, followed by TKI-targeted therapy. TKIs are used to treat various tumors with positive EGFR mutations, but TKIs also have adverse effects. Obradovic et al (42) reported that rashes and diarrhea are common side effects of TKI therapy in patients with non-small cell lung cancer, and examined the association between EGFR polymorphisms and TKI-associated toxicities. This previous study revealed that out of nine EGFR single-nucleotide polymorphisms related to TKI side effects, rs11568315, rs712829 and rs712830 were associated with skin toxicity. NSCLC carriers of long CA repeats (rs11568315, SL + LL) were revealed to be more likely to develop TKI-associated skin toxicity than short CA repeats (rs11568315, SS). Anlotinib (43) is a novel multitarget TKI that inhibits VEGFR2/3, fibroblast growth factor receptor 1–4, platelet-derived growth factor receptor α/β and stem cell factor receptor (cKit). The most common adverse event observed was hypertension and other common adverse reactions included hypothyroidism, hypertriglyceridemia, diarrhea and hand-foot syndrome.

The primary treatment for MTT is surgery, with adjuvant radiotherapy and chemotherapy, but the efficacy of these treatments is currently unclear (16,17). There is no unified standard for radiation therapy dosage. Previous studies (12,44) reported cases treated with 52 Gy of radiotherapy. In the present case, considering that the tumor was located in the axilla and that high-dose radiotherapy may affect the patient's limb movement and lymphatic return, a radiation dose of 46 Gy was used, which was proven to be safe and effective. PET/CT was used to guide the precise delineation of the target area. Immunotherapy (IO) has shown efficacy in the treatment of various tumor types (45–48), and PD-L1 expression is associated with immune therapy efficacy and prognosis. Compared with low PD-L1 expression levels, high PD-L1 expression levels are associated with a shorter survival time in lung cancer (49). The National Comprehensive Cancer Network (50) guidelines recommend IO combined with or without chemotherapy for patients with advanced lung cancer, which has high expression of PD-L1. Zhou et al (51) reported the case of a patient who was misdiagnosed with hepatocellular carcinoma, who received transcatheter arterial chemoembolization combined with lenvatinib and pembrolizumab for 3 months. The patient subsequently underwent surgery and was ultimately diagnosed with MTT using postoperative pathology and immunohistochemistry. This was the first application of PD-1 inhibition in MTT. In the present study, the expression levels of PD-L1 were first detected to guide treatment. As PD-L1 was negative, the TKI anlotinib was used to treat the disease instead of IO, which was the first reported application of anlotinib therapy in MTT.

To the best of our knowledge, the present case was the first application of deep hyperthermia for MTT. Radiation therapy and deep hyperthermia were well tolerated by the patient without significant adverse effects. The patient developed hypertension following the first cycle of TKI-targeted administration, which was well controlled after antihypertensive treatment (nifedipine controlled-release tablets 30 mg orally, once daily). An MRI reexamination indicated that the tumor had entirely disappeared after 1 cycle of TKI-targeted therapy. Currently, the patient remains on anlotinib treatment with good tolerance. The present study reported the use of TKI-targeted therapy with MTT, and focused on its efficacy and adverse reactions. As of the latest follow-up in October 2024, the patient had achieved a disease-free survival (DFS) period of ~7 months, the patient was stable and remained on anlotinib treatment with good tolerance. The issue of the treatment duration with anlotinib and whether maintenance therapy should be continued should be further examined.

In summary, MTT is a rare, highly aggressive disease with a poor prognosis that is difficult to diagnose using radiological imaging only. The present study reported the case of a 60-year-old patient diagnosed with MTT by the clinical features, MRI, histopathology [e.g. Sox-10(+), S-100(+)] and genetic testing (NGS of NF1 mutations and FISH) results, which demonstrated that the tumor was PD-L1-negative. Following multidisciplinary discussions, surgeons did not consider a second surgery. The patient achieved a DFS of ~7 months and good tolerance after undergoing PET/CT-guided moderate-dose radiotherapy, anlotinib-targeted therapy and deep hyperthermia following surgical recurrence. With no standardized treatment recommendations available, the present study demonstrated that the combination of surgery, radiation therapy, deep hyperthermia and targeted therapy may provide a new strategy for the clinical treatment of MTT.

Supplementary Material

Supporting Data

Acknowledgements

Not applicable.

Funding

The present study was a self-funded research project supported by the Autonomous Region Health Commission(grant nos. Z-B20231444 and Z-B20241428).

Availability of data and materials

The data generated in the present study may be requested from the corresponding author. The data generated in the present study using high-throughput next-generation sequencing may be found in the National Center for Biotechnology Information Sequence Read Archive under accession number PRJNA1182037 or at the following URL: https://www.ncbi.nlm.nih.gov/sra/?term=PRJNA1182037.

Authors' contributions

YZ, LL and FL collected the data, including medical images and clinical information, and wrote the original draft. YZ advised on patient treatment. LL and FL analyzed patient data. DH and LQ made substantial contributions to study conception and design, and reviewed and edited the manuscript. YZ and LQ confirm the authenticity of all the raw data All authors read and approved the final version of the manuscript.

Ethics approval and consent to participate

The present study was conducted in accordance with the guidelines of The Declaration of Helsinki and was approved (approval no. KY2024521) by the Ethics Committee of The Liuzhou Worker's Hospital (Liuzhou, China) to ensure that patient information was not misused and privacy information was not leaked, in order to protect the rights and interests of the patient. Written informed consent was obtained from the patient.

Patient consent for publication

Written informed consent was obtained from the patient for publication of the data and the images in this case report.

Competing interests

The authors declare that they have no competing interests.

References

1 

Knight SWE, Knight TE, Santiago T, Murphy AJ and Abdelhafeez AH: Malignant peripheral nerve sheath Tumors-A comprehensive review of pathophysiology, diagnosis, and multidisciplinary management. Children (Basel 9). 382022.

2 

Cai Z, Tang X, Liang H, Yang R, Yan T and Guo W: Prognosis and risk factors for malignant peripheral nerve sheath tumor: A systematic review and meta-analysis. World J Surg Oncol. 18:2572020. View Article : Google Scholar : PubMed/NCBI

3 

Ferner RE and Gutmann DH: International consensus statement on malignant peripheral nerve sheath tumors in neurofibromatosis. Cancer Res. 62:1573–1577. 2002.PubMed/NCBI

4 

Riad S, Biau D, Holt GE, Werier J, Turcotte RE, Ferguson PC, Griffin AM, Dickie CI, Chung PW, Catton CN, et al: The clinical and functional outcome for patients with radiation-induced soft tissue sarcoma. Cancer. 118:2682–2692. 2012. View Article : Google Scholar : PubMed/NCBI

5 

Widemann BC: Current status of sporadic and neurofibromatosis type 1-associated malignant peripheral nerve sheath tumors. Curr Oncol Rep. 11:322–328. 2009. View Article : Google Scholar : PubMed/NCBI

6 

Okada K, Hasegawa T, Tajino T, Hotta T, Yanagisawa M, Osanai T, Nishida J, Seki K and Itoi E: Clinical relevance of pathological grades of malignant peripheral nerve sheath tumor: A multi-institution TMTS study of 56 cases in Northern Japan. Ann Surg Oncol. 14:597–604. 2007. View Article : Google Scholar : PubMed/NCBI

7 

Louis DN, Ohgaki H, Wiestler OD, Cavenee WK, Burger PC, Jouvet A, Scheithauer BW and Kleihues P: The 2007 WHO classification of tumours of the central nervous system. Acta Neuropathol. 114:972007. View Article : Google Scholar : PubMed/NCBI

8 

Rodriguez FJ, Folpe AL, Giannini C and Perry A: Pathology of peripheral nerve sheath tumors: Diagnostic overview and update on selected diagnostic problems. Acta Neuropathol. 123:295–319. 2012. View Article : Google Scholar : PubMed/NCBI

9 

Le Guellec S, Decouvelaere AV, Filleron T, Valo I, Charon-Barra C, Robin YM, Terrier P, Chevreau C and Coindre JM: Malignant peripheral nerve sheath tumor is a challenging diagnosis: A systematic pathology review, immunohistochemistry, and molecular analysis in 160 patients from the French sarcoma group database. Am J Surg Pathol. 40:896–908. 2016. View Article : Google Scholar : PubMed/NCBI

10 

Goertz O, Langer S, Uthoff D, Ring A, Stricker I, Tannapfel A and Steinau HU: Diagnosis, treatment and survival of 65 patients with malignant peripheral nerve sheath tumors. Anticancer Res. 34:777–783. 2014.PubMed/NCBI

11 

Bradford D and Kim A: Current treatment options for malignant peripheral nerve sheath tumors. Curr Treat Options Oncol. 16:3282015. View Article : Google Scholar : PubMed/NCBI

12 

Li G, Liu C, Liu Y, Xu F, Su Z, Wang Y, Ren S, Deng T, Huang D, Tian Y and Qiu Y: Analysis of clinical features and prognosis of malignant triton tumor: A report of two cases and literature review. Oncol Lett. 10:3551–3556. 2015. View Article : Google Scholar : PubMed/NCBI

13 

Kamran SC, Howard SA, Shinagare AB, Krajewski KM, Jagannathan JP, Hornick JL and Ramaiya NH: Malignant peripheral nerve sheath tumors: Prognostic impact of rhabdomyoblastic differentiation (malignant triton tumors), neurofibromatosis 1 status and location. Eur J Surg Oncol. 39:46–52. 2013. View Article : Google Scholar : PubMed/NCBI

14 

Tsimpinos M, Pigadiotis E, Kontaxis V and Lioulias A: Giant malignant triton tumour of the posterior mediastinum. Interact Cardiovasc Thorac Surg. 33:657–659. 2021. View Article : Google Scholar : PubMed/NCBI

15 

McConnell YJ and Giacomantonio CA: Malignant triton tumors-complete surgical resection and adjuvant radiotherapy associated with improved survival. J Surg Oncol. 106:51–56. 2012. View Article : Google Scholar : PubMed/NCBI

16 

Bins RB, Pinzon CE, da Silva Pereira LD, Bertuol M, Isolan P and Takamatu EE: Malignant triton tumor of the kidney in a child: A case report. Int J Surg Case Rep. 85:1062522021. View Article : Google Scholar : PubMed/NCBI

17 

Zhao A, Ding D, Li X and Wang J: Malignant triton tumor in a child: Case report and literature review. Cancer Manag Res. 11:10759–10766. 2019. View Article : Google Scholar : PubMed/NCBI

18 

Stasik CJ and Tawfik O: Malignant peripheral nerve sheath tumor with rhabdomyosarcomatous differentiation (malignant triton tumor). Arch Pathol Lab Med. 130:1878–1881. 2006. View Article : Google Scholar : PubMed/NCBI

19 

Lai Z, Markovets A, Ahdesmaki M, Chapman B, Hofmann O, McEwen R, Johnson J, Dougherty B, Barrett JC and Dry JR: VarDict: A novel and versatile variant caller for next-generation sequencing in cancer research. Nucleic Acids Res. 44:e1082016. View Article : Google Scholar : PubMed/NCBI

20 

Amin MB, Greene FL, Edge SB, Compton CC, Gershenwald JE, Brookland RK, Meyer L, Gress DM, Byrd DR and Winchester DP: The eighth edition AJCC cancer staging manual: Continuing to build a bridge from a population-based to a more ‘personalized’ approach to cancer staging. CA Cancer J Clin. 67:93–99. 2017. View Article : Google Scholar : PubMed/NCBI

21 

Masson P: Recklinghausen's neurofibromatosis, sensory neuromas and motor neuromas. libman anniversary New York. 1932.

22 

Woodruff JM, Chernik NL, Smith MC, Millett WB and Foote FW Jr: Peripheral nerve tumors with rhabdomyosarcomatous differentiation (malignant ‘Triton’ tumors). Cancer. 32:426–439. 1973. View Article : Google Scholar : PubMed/NCBI

23 

de Traux de Wardin H, Dermawan JK, Vanoli F, Jiang SC, Singer S, Chi P, Tap W, Wexler LH and Antonescu CR: NF1-Driven rhabdomyosarcoma phenotypes: A comparative clinical and molecular study of NF1-Mutant rhabdomyosarcoma and NF1-associated malignant triton tumor. JCO Precis Oncol. 8:e23005972024. View Article : Google Scholar : PubMed/NCBI

24 

Marcel AD, Aleksandar M, Rainer H, Grüneisen JS, Haubold J, Opitz MK, Bauer S, Umutlu L, Forsting M and Schaarschmidt BM: Impact of CT and MRI in the diagnostic workup of malignant triton tumour-a monocentric analysis and review of the literature. Br J Radiol. 97:430–438. 2024. View Article : Google Scholar

25 

Karamchandani JR, Nielsen TO, van de Rijn M and West RB: Sox10 and S100 in the diagnosis of soft-tissue neoplasms. Appl Immunohistochem Mol Morphol. 20:445–450. 2012. View Article : Google Scholar : PubMed/NCBI

26 

Otsuka H, Kohashi K, Yoshimoto M, Ishihara S, Toda Y, Yamada Y, Yamamoto H, Nakashima Y and Oda Y: Immunohistochemical evaluation of H3K27 trimethylation in malignant peripheral nerve sheath tumors. Pathol Res Pract. 214:417–425. 2018. View Article : Google Scholar : PubMed/NCBI

27 

Jurisic V, Radenkovic S and Konjevic G: The actual role of LDH as tumor marker, biochemical and clinical aspects. Adv Exp Med Biol. 867:115–124. 2015. View Article : Google Scholar : PubMed/NCBI

28 

Judith VMGB: Jason L. Hornick: Practical soft tissue pathology: A diagnostic approach, 2nd edition. Virchows Arch. 473:785–786. 2018. View Article : Google Scholar : PubMed/NCBI

29 

Mokhtari M, Safavi D, Soleimani N, Monabati A and Safaei A: Carcinoma of unknown primary origin: Application of immunohistochemistry with emphasis to different cytokeratin 7 and 20 staining patterns. Appl Immunohistochem Mol Morphol. 30:623–634. 2022. View Article : Google Scholar : PubMed/NCBI

30 

Tuffaha MMSA, Guski H and Kristiansen G: Immunohistochemistry in Tumor Diagnostics. 2017.

31 

Yurina M and Khin T: Malignant peripheral nerve sheath tumor with divergent glandular differentiation. Int J Surg Pathol. 25:310–313. 2017. View Article : Google Scholar : PubMed/NCBI

32 

Who WHO, . WHO Classification of Tumours of Soft Tissue and Bone: WHO Classification of Tumours. vol. 5:WHO classification of tumours of soft tissue and bone. 2013.

33 

AlAli B and Amr S: Malignant glandular triton tumor arising in the radial nerve with prolonged survival: A case report and review of the literature. Case Rep Pathol. 2021:46141852021.PubMed/NCBI

34 

Yasuda M, Muto Y, Kuremoto T, Murakami K, Onisihi T, Koida A, Inui T and Hisa Y: A case of recurrent malignant triton tumor successfully treated with radiotherapy. Auris Nasus Larynx. 43:710–714. 2016. View Article : Google Scholar : PubMed/NCBI

35 

Ailing Z, Daling D, Xueqin L and Jiangtao W: Malignant triton tumor in a child: Case report and literature review. Cancer Manag Res. 11:10759–10766. 2020.PubMed/NCBI

36 

Angel G, Jose Luis P, David R and Francisco B: Malignant triton tumor of the kidney. New location not previously reported. Urol Int. 99:121–123. 2015.

37 

Ba MC, Long H, Cui SZ, Gong YF, Yan ZF, Wang S and Wu YB: Mild hyperthermia enhances sensitivity of gastric cancer cells to chemotherapy through reactive oxygen species-induced autophagic death. Tumour Biol. 39:10104283177119522017. View Article : Google Scholar : PubMed/NCBI

38 

Ohguri T, Harima Y, Imada H, Sakurai H, Ohno T, Hiraki Y, Tuji K, Tanaka M and Terashima H: Relationships between thermal dose parameters and the efficacy of definitive chemoradiotherapy plus regional hyperthermia in the treatment of locally advanced cervical cancer: Data from a multicentre randomised clinical trial. Int J Hyperthermia. 34:461–468. 2017. View Article : Google Scholar : PubMed/NCBI

39 

Wang Y, Zou L, Qiang Z, Jiang J, Zhu Z and Ren J: Enhancing targeted cancer treatment by combining hyperthermia and radiotherapy using Mn-Zn ferrite magnetic nanoparticles. ACS Biomater Sci Eng. 6:3550–3562. 2020. View Article : Google Scholar : PubMed/NCBI

40 

Yang H, Li M and Mei T: Survival benefit of thermal ablation combined with chemotherapy for the treatment of stage IV nonsmall cell lung cancer: A propensity-matched analysis. Int J Hyperthermia. 39:348–357. 2022. View Article : Google Scholar : PubMed/NCBI

41 

Zhou Y, Zhong Q, Huang D, Qin L, Huang J, Wang C, Chen B, Chen M, Li Y and Liu W: The efficacy of adding hyperthermia to the treatment of advanced NSCLC patients based on the states of EGFR. Aging (Albany NY). 14:5223–5232. 2022. View Article : Google Scholar : PubMed/NCBI

42 

Obradovic J, Todosijevic J and Jurisic V: Side effects of tyrosine kinase inhibitors therapy in patients with non-small cell lung cancer and associations with EGFR polymorphisms: A systematic review and meta-analysis. Oncol Lett. 25:622023. View Article : Google Scholar : PubMed/NCBI

43 

Si X, Zhang L, Wang H, Zhang X, Wang M, Han B, Li K, Wang Q, Shi J, Wang Z, et al: Management of anlotinib-related adverse events in patients with advanced non-small cell lung cancer: Experiences in ALTER-0303. Thorac Cancer. 10:551–556. 2019. View Article : Google Scholar : PubMed/NCBI

44 

Chaudhry I, Algazal T, Cheema A, Al Faraj A, Al Malki N, Mutairi H, Abbas A and Amr S: Mediastinal malignant triton tumor: A rare case series and review of literature. Int J Surg Case Rep. 62:115–119. 2019. View Article : Google Scholar : PubMed/NCBI

45 

Chow LQM, Haddad R, Gupta S, Mahipal A, Mehra R, Tahara M, Berger R, Eder JP, Burtness B, Lee SH, et al: Antitumor activity of pembrolizumab in Biomarker-unselected patients with recurrent and/or metastatic head and neck squamous cell carcinoma: Results from the phase Ib KEYNOTE-012 expansion cohort. J Clin Oncol. 34:3838–3845. 2016. View Article : Google Scholar : PubMed/NCBI

46 

Liu SV, Reck M, Mansfield AS, Mok T, Scherpereel A, Reinmuth N, Garassino MC, De Castro Carpeno J, Califano R, Nishio M, et al: Updated overall survival and PD-L1 subgroup analysis of patients with extensive-stage small-cell lung cancer treated with atezolizumab, carboplatin, and etoposide (IMpower133). J Clin Oncol. 39:619–630. 2021. View Article : Google Scholar : PubMed/NCBI

47 

Overman MJ, Lonardi S, Wong KYM, Lenz HJ, Gelsomino F, Aglietta M, Morse MA, Van Cutsem E, McDermott R, Hill A, et al: Durable clinical benefit with nivolumab plus ipilimumab in DNA mismatch Repair-Deficient/microsatellite Instability-high metastatic colorectal cancer. J Clin Oncol. 36:773–779. 2018. View Article : Google Scholar : PubMed/NCBI

48 

Amin S and Lin C: Immunotherapy plus chemoradiation improves overall survival in stage IV esophageal cancer: A cohort study. Gastro Hep Adv. 3:302–310. 2024. View Article : Google Scholar : PubMed/NCBI

49 

Brody R, Zhang Y, Ballas M, Siddiqui MK, Gupta P, Barker C, Midha A and Walker J: PD-L1 expression in advanced NSCLC: Insights into risk stratification and treatment selection from a systematic literature review. Lung Cancer. 112:200–215. 2017. View Article : Google Scholar : PubMed/NCBI

50 

Ettinger DS, Wood DE, Aisner DL, Akerley W, Bauman J, Chirieac LR, D'Amico TA, DeCamp MM, Dilling TJ, Dobelbower M, et al: Non-small cell lung cancer, version 5.2017, NCCN clinical practice guidelines in oncology. J Natl Compr Canc Netw. 15:504–535. 2017. View Article : Google Scholar : PubMed/NCBI

51 

Zhou B, Zhan C, Tian Y, Gao Z and Yan S: Primary hepatic malignant triton tumor mimicking hepatocellular carcinoma by demonstrating arterial-phase hypervascularity and subsequent washout on dynamic contrast-enhanced imaging: A case report and literature review. Front Med (Lausanne). 11:13616902024. View Article : Google Scholar : PubMed/NCBI

Related Articles

  • Abstract
  • View
  • Download
  • Twitter
Copy and paste a formatted citation
Spandidos Publications style
Zhou Y, Li L, Lan F, Qin L and Huang D: Difficulties in the diagnosis and treatment of axillary malignant triton tumors: A case report. Oncol Lett 29: 147, 2025.
APA
Zhou, Y., Li, L., Lan, F., Qin, L., & Huang, D. (2025). Difficulties in the diagnosis and treatment of axillary malignant triton tumors: A case report. Oncology Letters, 29, 147. https://doi.org/10.3892/ol.2025.14893
MLA
Zhou, Y., Li, L., Lan, F., Qin, L., Huang, D."Difficulties in the diagnosis and treatment of axillary malignant triton tumors: A case report". Oncology Letters 29.3 (2025): 147.
Chicago
Zhou, Y., Li, L., Lan, F., Qin, L., Huang, D."Difficulties in the diagnosis and treatment of axillary malignant triton tumors: A case report". Oncology Letters 29, no. 3 (2025): 147. https://doi.org/10.3892/ol.2025.14893
Copy and paste a formatted citation
x
Spandidos Publications style
Zhou Y, Li L, Lan F, Qin L and Huang D: Difficulties in the diagnosis and treatment of axillary malignant triton tumors: A case report. Oncol Lett 29: 147, 2025.
APA
Zhou, Y., Li, L., Lan, F., Qin, L., & Huang, D. (2025). Difficulties in the diagnosis and treatment of axillary malignant triton tumors: A case report. Oncology Letters, 29, 147. https://doi.org/10.3892/ol.2025.14893
MLA
Zhou, Y., Li, L., Lan, F., Qin, L., Huang, D."Difficulties in the diagnosis and treatment of axillary malignant triton tumors: A case report". Oncology Letters 29.3 (2025): 147.
Chicago
Zhou, Y., Li, L., Lan, F., Qin, L., Huang, D."Difficulties in the diagnosis and treatment of axillary malignant triton tumors: A case report". Oncology Letters 29, no. 3 (2025): 147. https://doi.org/10.3892/ol.2025.14893
Follow us
  • Twitter
  • LinkedIn
  • Facebook
About
  • Spandidos Publications
  • Careers
  • Cookie Policy
  • Privacy Policy
How can we help?
  • Help
  • Live Chat
  • Contact
  • Email to our Support Team