Spandidos Publications Logo
  • About
    • About Spandidos
    • Aims and Scopes
    • Abstracting and Indexing
    • Editorial Policies
    • Reprints and Permissions
    • Job Opportunities
    • Terms and Conditions
    • Contact
  • Journals
    • All Journals
    • Oncology Letters
      • Oncology Letters
      • Information for Authors
      • Editorial Policies
      • Editorial Board
      • Aims and Scope
      • Abstracting and Indexing
      • Bibliographic Information
      • Archive
    • International Journal of Oncology
      • International Journal of Oncology
      • Information for Authors
      • Editorial Policies
      • Editorial Board
      • Aims and Scope
      • Abstracting and Indexing
      • Bibliographic Information
      • Archive
    • Molecular and Clinical Oncology
      • Molecular and Clinical Oncology
      • Information for Authors
      • Editorial Policies
      • Editorial Board
      • Aims and Scope
      • Abstracting and Indexing
      • Bibliographic Information
      • Archive
    • Experimental and Therapeutic Medicine
      • Experimental and Therapeutic Medicine
      • Information for Authors
      • Editorial Policies
      • Editorial Board
      • Aims and Scope
      • Abstracting and Indexing
      • Bibliographic Information
      • Archive
    • International Journal of Molecular Medicine
      • International Journal of Molecular Medicine
      • Information for Authors
      • Editorial Policies
      • Editorial Board
      • Aims and Scope
      • Abstracting and Indexing
      • Bibliographic Information
      • Archive
    • Biomedical Reports
      • Biomedical Reports
      • Information for Authors
      • Editorial Policies
      • Editorial Board
      • Aims and Scope
      • Abstracting and Indexing
      • Bibliographic Information
      • Archive
    • Oncology Reports
      • Oncology Reports
      • Information for Authors
      • Editorial Policies
      • Editorial Board
      • Aims and Scope
      • Abstracting and Indexing
      • Bibliographic Information
      • Archive
    • Molecular Medicine Reports
      • Molecular Medicine Reports
      • Information for Authors
      • Editorial Policies
      • Editorial Board
      • Aims and Scope
      • Abstracting and Indexing
      • Bibliographic Information
      • Archive
    • World Academy of Sciences Journal
      • World Academy of Sciences Journal
      • Information for Authors
      • Editorial Policies
      • Editorial Board
      • Aims and Scope
      • Abstracting and Indexing
      • Bibliographic Information
      • Archive
    • International Journal of Functional Nutrition
      • International Journal of Functional Nutrition
      • Information for Authors
      • Editorial Policies
      • Editorial Board
      • Aims and Scope
      • Abstracting and Indexing
      • Bibliographic Information
      • Archive
    • International Journal of Epigenetics
      • International Journal of Epigenetics
      • Information for Authors
      • Editorial Policies
      • Editorial Board
      • Aims and Scope
      • Abstracting and Indexing
      • Bibliographic Information
      • Archive
    • Medicine International
      • Medicine International
      • Information for Authors
      • Editorial Policies
      • Editorial Board
      • Aims and Scope
      • Abstracting and Indexing
      • Bibliographic Information
      • Archive
  • Articles
  • Information
    • Information for Authors
    • Information for Reviewers
    • Information for Librarians
    • Information for Advertisers
    • Conferences
  • Language Editing
Spandidos Publications Logo
  • About
    • About Spandidos
    • Aims and Scopes
    • Abstracting and Indexing
    • Editorial Policies
    • Reprints and Permissions
    • Job Opportunities
    • Terms and Conditions
    • Contact
  • Journals
    • All Journals
    • Biomedical Reports
      • Information for Authors
      • Editorial Policies
      • Editorial Board
      • Aims and Scope
      • Abstracting and Indexing
      • Bibliographic Information
      • Archive
    • Experimental and Therapeutic Medicine
      • Information for Authors
      • Editorial Policies
      • Editorial Board
      • Aims and Scope
      • Abstracting and Indexing
      • Bibliographic Information
      • Archive
    • International Journal of Epigenetics
      • Information for Authors
      • Editorial Policies
      • Editorial Board
      • Aims and Scope
      • Abstracting and Indexing
      • Bibliographic Information
      • Archive
    • International Journal of Functional Nutrition
      • Information for Authors
      • Editorial Policies
      • Editorial Board
      • Aims and Scope
      • Abstracting and Indexing
      • Bibliographic Information
      • Archive
    • International Journal of Molecular Medicine
      • Information for Authors
      • Editorial Policies
      • Editorial Board
      • Aims and Scope
      • Abstracting and Indexing
      • Bibliographic Information
      • Archive
    • International Journal of Oncology
      • Information for Authors
      • Editorial Policies
      • Editorial Board
      • Aims and Scope
      • Abstracting and Indexing
      • Bibliographic Information
      • Archive
    • Medicine International
      • Information for Authors
      • Editorial Policies
      • Editorial Board
      • Aims and Scope
      • Abstracting and Indexing
      • Bibliographic Information
      • Archive
    • Molecular and Clinical Oncology
      • Information for Authors
      • Editorial Policies
      • Editorial Board
      • Aims and Scope
      • Abstracting and Indexing
      • Bibliographic Information
      • Archive
    • Molecular Medicine Reports
      • Information for Authors
      • Editorial Policies
      • Editorial Board
      • Aims and Scope
      • Abstracting and Indexing
      • Bibliographic Information
      • Archive
    • Oncology Letters
      • Information for Authors
      • Editorial Policies
      • Editorial Board
      • Aims and Scope
      • Abstracting and Indexing
      • Bibliographic Information
      • Archive
    • Oncology Reports
      • Information for Authors
      • Editorial Policies
      • Editorial Board
      • Aims and Scope
      • Abstracting and Indexing
      • Bibliographic Information
      • Archive
    • World Academy of Sciences Journal
      • Information for Authors
      • Editorial Policies
      • Editorial Board
      • Aims and Scope
      • Abstracting and Indexing
      • Bibliographic Information
      • Archive
  • Articles
  • Information
    • For Authors
    • For Reviewers
    • For Librarians
    • For Advertisers
    • Conferences
  • Language Editing
Login Register Submit
  • This site uses cookies
  • You can change your cookie settings at any time by following the instructions in our Cookie Policy. To find out more, you may read our Privacy Policy.

    I agree
Search articles by DOI, keyword, author or affiliation
Search
Advanced Search
presentation
Oncology Letters
Join Editorial Board Propose a Special Issue
Print ISSN: 1792-1074 Online ISSN: 1792-1082
Journal Cover
March-2025 Volume 29 Issue 3

Full Size Image

Sign up for eToc alerts
Recommend to Library

Journals

International Journal of Molecular Medicine

International Journal of Molecular Medicine

International Journal of Molecular Medicine is an international journal devoted to molecular mechanisms of human disease.

International Journal of Oncology

International Journal of Oncology

International Journal of Oncology is an international journal devoted to oncology research and cancer treatment.

Molecular Medicine Reports

Molecular Medicine Reports

Covers molecular medicine topics such as pharmacology, pathology, genetics, neuroscience, infectious diseases, molecular cardiology, and molecular surgery.

Oncology Reports

Oncology Reports

Oncology Reports is an international journal devoted to fundamental and applied research in Oncology.

Experimental and Therapeutic Medicine

Experimental and Therapeutic Medicine

Experimental and Therapeutic Medicine is an international journal devoted to laboratory and clinical medicine.

Oncology Letters

Oncology Letters

Oncology Letters is an international journal devoted to Experimental and Clinical Oncology.

Biomedical Reports

Biomedical Reports

Explores a wide range of biological and medical fields, including pharmacology, genetics, microbiology, neuroscience, and molecular cardiology.

Molecular and Clinical Oncology

Molecular and Clinical Oncology

International journal addressing all aspects of oncology research, from tumorigenesis and oncogenes to chemotherapy and metastasis.

World Academy of Sciences Journal

World Academy of Sciences Journal

Multidisciplinary open-access journal spanning biochemistry, genetics, neuroscience, environmental health, and synthetic biology.

International Journal of Functional Nutrition

International Journal of Functional Nutrition

Open-access journal combining biochemistry, pharmacology, immunology, and genetics to advance health through functional nutrition.

International Journal of Epigenetics

International Journal of Epigenetics

Publishes open-access research on using epigenetics to advance understanding and treatment of human disease.

Medicine International

Medicine International

An International Open Access Journal Devoted to General Medicine.

Journal Cover
March-2025 Volume 29 Issue 3

Full Size Image

Sign up for eToc alerts
Recommend to Library

  • Article
  • Citations
    • Cite This Article
    • Download Citation
    • Create Citation Alert
    • Remove Citation Alert
    • Cited By
  • Similar Articles
    • Related Articles (in Spandidos Publications)
    • Similar Articles (Google Scholar)
    • Similar Articles (PubMed)
  • Download PDF
  • Download XML
  • View XML
Case Report Open Access

Papillary thyroid microcarcinoma presenting as a large cystic lymph node: A case report

  • Authors:
    • Abdulwahid M. Salih
    • Aras J. Qaradakhy
    • Hardi M. Dhahir
    • Aso S. Muhialdeen
    • Ari M. Abdullah
    • Yadgar A. Saeed
    • Imad J. Habibullah
    • Shko H. Hassan
    • Marwan N. Hassan
    • Zanyar A. Mohammed
    • Fahmi H. Kakamad
  • View Affiliations / Copyright

    Affiliations: Department of Scientific Affairs, Smart Health Tower, Sulaymaniyah, Kurdistan 46001, Republic of Iraq
    Copyright: © Salih et al. This is an open access article distributed under the terms of Creative Commons Attribution License.
  • Article Number: 149
    |
    Published online on: January 21, 2025
       https://doi.org/10.3892/ol.2025.14895
  • Expand metrics +
Metrics: Total Views: 0 (Spandidos Publications: | PMC Statistics: )
Metrics: Total PDF Downloads: 0 (Spandidos Publications: | PMC Statistics: )
Cited By (CrossRef): 0 citations Loading Articles...

This article is mentioned in:



Abstract

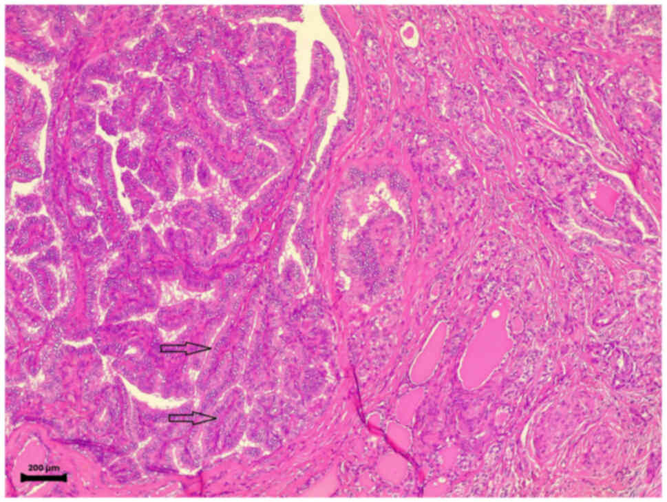
Papillary thyroid carcinoma (PTC) may deviate from the expected clinical course, posing diagnostic challenges to clinicians. The present study presents a case of longstanding swelling on the left side of the neck, initially diagnosed as a cystic lesion, which was later revealed to be metastatic thyroid cancer. A 21‑year‑old woman presented with a 3‑year history of a neck mass that had initially been diagnosed as a likely hemangioma or branchial cleft cyst in 2019. However, subsequent scans in 2022 revealed a suspicious cyst and a thyroid nodule, which were confirmed to be PTC with metastasis to the cyst. The patient underwent a total thyroidectomy with neck dissection, followed by radioactive iodine treatment, and has had no recurrence at the 6‑month follow‑up. Cystic neck masses are often attributed to benign conditions such as dermoid cysts, branchial cleft cysts, epidermoid cysts, teratomas and cystic hygromas. In recent years, the rise in oropharyngeal carcinoma incidence has raised the possibility that cystic neck masses may also represent metastases from tumors in the oropharyngeal or tonsillar region. Cystic lymph node involvement in PTC with metastasis is an uncommon but significant occurrence, posing diagnostic complexities.
View Figures

Figure 1

Figure 2

Figure 3

View References

1 

Abdullah AM, Qaradakhy AJ, Saeed YA, Salih AM, Karim S, Ali OA, Hassan SH, Nasraldeen SA, Mohammed SH and Kakamad FH: Papillary thyroid carcinoma associated with non-functioning parathyroid carcinoma with Warthin's tumor of the parotid gland: A case report and brief literature review. Med Int (Lond). 3:262023.PubMed/NCBI

2 

Lim H, Devesa SS, Sosa JA, Check D and Kitahara CM: Trends in thyroid cancer incidence and mortality in the United States, 1974–2013. JAMA. 317:1338–1348. 2017. View Article : Google Scholar : PubMed/NCBI

3 

Ito Y, Miyauchi A, Kihara M, Fukushima M, Higashiyama T and Miya A: Overall survival of papillary thyroid carcinoma patients: A single-institution long-term follow-up of 5897 patients. World J Surg. 42:615–622. 2018. View Article : Google Scholar : PubMed/NCBI

4 

Chiang KY, Zhuang YL, Li WY and Lin CZ: Occult papillary thyroid carcinoma presenting as huge cervical metastasis with cystic pattern. Tzu Chi Med J. 20:140–143. 2008. View Article : Google Scholar

5 

Mahattanapreut A, Aroonroch R, Chintrakarn C and Sriphrapradang C: Deep neck infection: Atypical presentation of papillary thyroid cancer. Case Rep Otolaryngol. 2021:14792012021.PubMed/NCBI

6 

Yang J, Ma Y, Gong Y, Gong R, Li Z and Zhu J: Multiple simultaneous rare distant metastases as the initial presentation of papillary thyroid carcinoma: A case report. Front Endocrinol (Lausanne). 10:7592019. View Article : Google Scholar : PubMed/NCBI

7 

Gholami S, Bakhshi M, Atarbashi-Moghadam S, Mir Mohammad Sadeghi H and Rahimzamani A: Mandibular metastasis of silent papillary thyroid carcinoma: A rare case report with review of the literature. Case Rep Dent. 2020:86834652020.PubMed/NCBI

8 

Abdullah HO, Abdalla BA, Kakamad FH, Ahmed JO, Baba HO, Hassan MN, Bapir R, Rahim HM, OmarD A, Kakamad SH, et al: Predatory publishing lists: A review on the ongoing battle against fraudulent actions. Barw Med J. 2:26–30. 2024.

9 

Tessler FN, Middleton WD, Grant EG, Hoang JK, Berland LL, Teefey SA, Cronan JJ, Beland MD, Desser TS, Frates MC, et al: ACR thyroid imaging, reporting and data system (TI-RADS): White paper of the ACR TI-RADS committee. J Am Coll Radiol. 14:587–595. 2017. View Article : Google Scholar : PubMed/NCBI

10 

Mingomataj E, Krasniqi M, Dedushi K, Sergeevich KA, Kust D, Qadir AA, Abdullah AS, Ahmed MK and Fatah GM: Cancer publications in one year (2023): A cross-sectional study. Barw Med J. 2:3–11. 2024.

11 

Seven H, Gurkan A, Cinar U, Vural C and Turgut S: Incidence of occult thyroid carcinoma metastases in lateral cervical cysts. Am J Otolaryngol. 25:11–17. 2004. View Article : Google Scholar : PubMed/NCBI

12 

Dobrinja C, Troian M, Cipolat Mis T, Rebez G, Bernardi S, Fabris B, Piscopello L, Makovac P, Di Gregorio F and de Manzini N: Rationality in prophylactic central neck dissection in clinically node-negative (cN0) papillary thyroid carcinoma: Is there anything more to say? A decade experience in a single-center. Int J Surg. 41 (Suppl 1):S40–S47. 2017. View Article : Google Scholar : PubMed/NCBI

13 

Patil VS, Vijayakumar A and Natikar N: Unusual presentation of cystic papillary thyroid carcinoma. Case Rep Endocrinol. 2012:7327152012.PubMed/NCBI

14 

Subha ST, Bakri MA, Salleh H, Doi M and Nordin AJ: Papillary thyroid carcinoma presenting as a cystic neck lesion: Case series. Iran J Otorhinolaryngol. 30:49–54. 2018.PubMed/NCBI

15 

Jun P, Chow LC and Jeffrey RB: The sonographic features of papillary thyroid carcinomas: Pictorial essay. Ultrasound Q. 21:39–45. 2005.PubMed/NCBI

16 

Chan BK, Desser TS, McDougall IR, Weigel RJ and Jeffrey RB Jr: Common and uncommon sonographic features of papillary thyroid carcinoma. J Ultrasound Med. 22:1083–1090. 2003. View Article : Google Scholar : PubMed/NCBI

17 

American Thyroid Association (ATA) Guidelines Taskforce on Thyroid Nodules and Differentiated Thyroid Cancer, . Cooper DS, Doherty GM, Haugen BR, Kloos RT, Lee SL, Mandel SJ, Mazzaferri EL, McIver B, Pacini F, et al: Revised American thyroid association management guidelines for patients with thyroid nodules and differentiated thyroid cancer. Thyroid. 19:1167–1214. 2009. View Article : Google Scholar : PubMed/NCBI

18 

Som PM, Brandwein M, Lidov M, Lawson W and Biller HF: The varied presentations of papillary thyroid carcinoma cervical nodal disease: CT and MR findings. AJNR Am J Neuroradiol. 15:1123–1128. 1994.PubMed/NCBI

19 

King AD, Ahuja AT, To EW, Tse GM and Metreweli C: Staging papillary carcinoma of the thyroid: Magnetic resonance imaging vs ultrasound of the neck. Clin Radiol. 55:222–226. 2000. View Article : Google Scholar : PubMed/NCBI

20 

Andersen PE, Kinsella J, Loree TR, Shaha AR and Shah JP: Differentiated carcinoma of the thyroid with extrathyroidal extension. Am J Surg. 170:467–470. 1995. View Article : Google Scholar : PubMed/NCBI

Related Articles

  • Abstract
  • View
  • Download
  • Twitter
Copy and paste a formatted citation
Spandidos Publications style
Salih AM, Qaradakhy AJ, Dhahir HM, Muhialdeen AS, Abdullah AM, Saeed YA, Habibullah IJ, Hassan SH, Hassan MN, Mohammed ZA, Mohammed ZA, et al: Papillary thyroid microcarcinoma presenting as a large cystic lymph node: A case report. Oncol Lett 29: 149, 2025.
APA
Salih, A.M., Qaradakhy, A.J., Dhahir, H.M., Muhialdeen, A.S., Abdullah, A.M., Saeed, Y.A. ... Kakamad, F.H. (2025). Papillary thyroid microcarcinoma presenting as a large cystic lymph node: A case report. Oncology Letters, 29, 149. https://doi.org/10.3892/ol.2025.14895
MLA
Salih, A. M., Qaradakhy, A. J., Dhahir, H. M., Muhialdeen, A. S., Abdullah, A. M., Saeed, Y. A., Habibullah, I. J., Hassan, S. H., Hassan, M. N., Mohammed, Z. A., Kakamad, F. H."Papillary thyroid microcarcinoma presenting as a large cystic lymph node: A case report". Oncology Letters 29.3 (2025): 149.
Chicago
Salih, A. M., Qaradakhy, A. J., Dhahir, H. M., Muhialdeen, A. S., Abdullah, A. M., Saeed, Y. A., Habibullah, I. J., Hassan, S. H., Hassan, M. N., Mohammed, Z. A., Kakamad, F. H."Papillary thyroid microcarcinoma presenting as a large cystic lymph node: A case report". Oncology Letters 29, no. 3 (2025): 149. https://doi.org/10.3892/ol.2025.14895
Copy and paste a formatted citation
x
Spandidos Publications style
Salih AM, Qaradakhy AJ, Dhahir HM, Muhialdeen AS, Abdullah AM, Saeed YA, Habibullah IJ, Hassan SH, Hassan MN, Mohammed ZA, Mohammed ZA, et al: Papillary thyroid microcarcinoma presenting as a large cystic lymph node: A case report. Oncol Lett 29: 149, 2025.
APA
Salih, A.M., Qaradakhy, A.J., Dhahir, H.M., Muhialdeen, A.S., Abdullah, A.M., Saeed, Y.A. ... Kakamad, F.H. (2025). Papillary thyroid microcarcinoma presenting as a large cystic lymph node: A case report. Oncology Letters, 29, 149. https://doi.org/10.3892/ol.2025.14895
MLA
Salih, A. M., Qaradakhy, A. J., Dhahir, H. M., Muhialdeen, A. S., Abdullah, A. M., Saeed, Y. A., Habibullah, I. J., Hassan, S. H., Hassan, M. N., Mohammed, Z. A., Kakamad, F. H."Papillary thyroid microcarcinoma presenting as a large cystic lymph node: A case report". Oncology Letters 29.3 (2025): 149.
Chicago
Salih, A. M., Qaradakhy, A. J., Dhahir, H. M., Muhialdeen, A. S., Abdullah, A. M., Saeed, Y. A., Habibullah, I. J., Hassan, S. H., Hassan, M. N., Mohammed, Z. A., Kakamad, F. H."Papillary thyroid microcarcinoma presenting as a large cystic lymph node: A case report". Oncology Letters 29, no. 3 (2025): 149. https://doi.org/10.3892/ol.2025.14895
Follow us
  • Twitter
  • LinkedIn
  • Facebook
About
  • Spandidos Publications
  • Careers
  • Cookie Policy
  • Privacy Policy
How can we help?
  • Help
  • Live Chat
  • Contact
  • Email to our Support Team