Spandidos Publications Logo
  • About
    • About Spandidos
    • Aims and Scopes
    • Abstracting and Indexing
    • Editorial Policies
    • Reprints and Permissions
    • Job Opportunities
    • Terms and Conditions
    • Contact
  • Journals
    • All Journals
    • Oncology Letters
      • Oncology Letters
      • Information for Authors
      • Editorial Policies
      • Editorial Board
      • Aims and Scope
      • Abstracting and Indexing
      • Bibliographic Information
      • Archive
    • International Journal of Oncology
      • International Journal of Oncology
      • Information for Authors
      • Editorial Policies
      • Editorial Board
      • Aims and Scope
      • Abstracting and Indexing
      • Bibliographic Information
      • Archive
    • Molecular and Clinical Oncology
      • Molecular and Clinical Oncology
      • Information for Authors
      • Editorial Policies
      • Editorial Board
      • Aims and Scope
      • Abstracting and Indexing
      • Bibliographic Information
      • Archive
    • Experimental and Therapeutic Medicine
      • Experimental and Therapeutic Medicine
      • Information for Authors
      • Editorial Policies
      • Editorial Board
      • Aims and Scope
      • Abstracting and Indexing
      • Bibliographic Information
      • Archive
    • International Journal of Molecular Medicine
      • International Journal of Molecular Medicine
      • Information for Authors
      • Editorial Policies
      • Editorial Board
      • Aims and Scope
      • Abstracting and Indexing
      • Bibliographic Information
      • Archive
    • Biomedical Reports
      • Biomedical Reports
      • Information for Authors
      • Editorial Policies
      • Editorial Board
      • Aims and Scope
      • Abstracting and Indexing
      • Bibliographic Information
      • Archive
    • Oncology Reports
      • Oncology Reports
      • Information for Authors
      • Editorial Policies
      • Editorial Board
      • Aims and Scope
      • Abstracting and Indexing
      • Bibliographic Information
      • Archive
    • Molecular Medicine Reports
      • Molecular Medicine Reports
      • Information for Authors
      • Editorial Policies
      • Editorial Board
      • Aims and Scope
      • Abstracting and Indexing
      • Bibliographic Information
      • Archive
    • World Academy of Sciences Journal
      • World Academy of Sciences Journal
      • Information for Authors
      • Editorial Policies
      • Editorial Board
      • Aims and Scope
      • Abstracting and Indexing
      • Bibliographic Information
      • Archive
    • International Journal of Functional Nutrition
      • International Journal of Functional Nutrition
      • Information for Authors
      • Editorial Policies
      • Editorial Board
      • Aims and Scope
      • Abstracting and Indexing
      • Bibliographic Information
      • Archive
    • International Journal of Epigenetics
      • International Journal of Epigenetics
      • Information for Authors
      • Editorial Policies
      • Editorial Board
      • Aims and Scope
      • Abstracting and Indexing
      • Bibliographic Information
      • Archive
    • Medicine International
      • Medicine International
      • Information for Authors
      • Editorial Policies
      • Editorial Board
      • Aims and Scope
      • Abstracting and Indexing
      • Bibliographic Information
      • Archive
  • Articles
  • Information
    • Information for Authors
    • Information for Reviewers
    • Information for Librarians
    • Information for Advertisers
    • Conferences
  • Language Editing
Spandidos Publications Logo
  • About
    • About Spandidos
    • Aims and Scopes
    • Abstracting and Indexing
    • Editorial Policies
    • Reprints and Permissions
    • Job Opportunities
    • Terms and Conditions
    • Contact
  • Journals
    • All Journals
    • Biomedical Reports
      • Information for Authors
      • Editorial Policies
      • Editorial Board
      • Aims and Scope
      • Abstracting and Indexing
      • Bibliographic Information
      • Archive
    • Experimental and Therapeutic Medicine
      • Information for Authors
      • Editorial Policies
      • Editorial Board
      • Aims and Scope
      • Abstracting and Indexing
      • Bibliographic Information
      • Archive
    • International Journal of Epigenetics
      • Information for Authors
      • Editorial Policies
      • Editorial Board
      • Aims and Scope
      • Abstracting and Indexing
      • Bibliographic Information
      • Archive
    • International Journal of Functional Nutrition
      • Information for Authors
      • Editorial Policies
      • Editorial Board
      • Aims and Scope
      • Abstracting and Indexing
      • Bibliographic Information
      • Archive
    • International Journal of Molecular Medicine
      • Information for Authors
      • Editorial Policies
      • Editorial Board
      • Aims and Scope
      • Abstracting and Indexing
      • Bibliographic Information
      • Archive
    • International Journal of Oncology
      • Information for Authors
      • Editorial Policies
      • Editorial Board
      • Aims and Scope
      • Abstracting and Indexing
      • Bibliographic Information
      • Archive
    • Medicine International
      • Information for Authors
      • Editorial Policies
      • Editorial Board
      • Aims and Scope
      • Abstracting and Indexing
      • Bibliographic Information
      • Archive
    • Molecular and Clinical Oncology
      • Information for Authors
      • Editorial Policies
      • Editorial Board
      • Aims and Scope
      • Abstracting and Indexing
      • Bibliographic Information
      • Archive
    • Molecular Medicine Reports
      • Information for Authors
      • Editorial Policies
      • Editorial Board
      • Aims and Scope
      • Abstracting and Indexing
      • Bibliographic Information
      • Archive
    • Oncology Letters
      • Information for Authors
      • Editorial Policies
      • Editorial Board
      • Aims and Scope
      • Abstracting and Indexing
      • Bibliographic Information
      • Archive
    • Oncology Reports
      • Information for Authors
      • Editorial Policies
      • Editorial Board
      • Aims and Scope
      • Abstracting and Indexing
      • Bibliographic Information
      • Archive
    • World Academy of Sciences Journal
      • Information for Authors
      • Editorial Policies
      • Editorial Board
      • Aims and Scope
      • Abstracting and Indexing
      • Bibliographic Information
      • Archive
  • Articles
  • Information
    • For Authors
    • For Reviewers
    • For Librarians
    • For Advertisers
    • Conferences
  • Language Editing
Login Register Submit
  • This site uses cookies
  • You can change your cookie settings at any time by following the instructions in our Cookie Policy. To find out more, you may read our Privacy Policy.

    I agree
Search articles by DOI, keyword, author or affiliation
Search
Advanced Search
presentation
Oncology Letters
Join Editorial Board Propose a Special Issue
Print ISSN: 1792-1074 Online ISSN: 1792-1082
Journal Cover
April-2025 Volume 29 Issue 4

Full Size Image

Sign up for eToc alerts
Recommend to Library

Journals

International Journal of Molecular Medicine

International Journal of Molecular Medicine

International Journal of Molecular Medicine is an international journal devoted to molecular mechanisms of human disease.

International Journal of Oncology

International Journal of Oncology

International Journal of Oncology is an international journal devoted to oncology research and cancer treatment.

Molecular Medicine Reports

Molecular Medicine Reports

Covers molecular medicine topics such as pharmacology, pathology, genetics, neuroscience, infectious diseases, molecular cardiology, and molecular surgery.

Oncology Reports

Oncology Reports

Oncology Reports is an international journal devoted to fundamental and applied research in Oncology.

Experimental and Therapeutic Medicine

Experimental and Therapeutic Medicine

Experimental and Therapeutic Medicine is an international journal devoted to laboratory and clinical medicine.

Oncology Letters

Oncology Letters

Oncology Letters is an international journal devoted to Experimental and Clinical Oncology.

Biomedical Reports

Biomedical Reports

Explores a wide range of biological and medical fields, including pharmacology, genetics, microbiology, neuroscience, and molecular cardiology.

Molecular and Clinical Oncology

Molecular and Clinical Oncology

International journal addressing all aspects of oncology research, from tumorigenesis and oncogenes to chemotherapy and metastasis.

World Academy of Sciences Journal

World Academy of Sciences Journal

Multidisciplinary open-access journal spanning biochemistry, genetics, neuroscience, environmental health, and synthetic biology.

International Journal of Functional Nutrition

International Journal of Functional Nutrition

Open-access journal combining biochemistry, pharmacology, immunology, and genetics to advance health through functional nutrition.

International Journal of Epigenetics

International Journal of Epigenetics

Publishes open-access research on using epigenetics to advance understanding and treatment of human disease.

Medicine International

Medicine International

An International Open Access Journal Devoted to General Medicine.

Journal Cover
April-2025 Volume 29 Issue 4

Full Size Image

Sign up for eToc alerts
Recommend to Library

  • Article
  • Citations
    • Cite This Article
    • Download Citation
    • Create Citation Alert
    • Remove Citation Alert
    • Cited By
  • Similar Articles
    • Related Articles (in Spandidos Publications)
    • Similar Articles (Google Scholar)
    • Similar Articles (PubMed)
  • Download PDF
  • Download XML
  • View XML

  • Supplementary Files
    • Supplementary_Data.pdf
Case Report Open Access

A rare case of hyalinizing clear cell carcinoma of the tongue root: A case report and literature review

  • Authors:
    • Langqing Liu
    • Xue Cao
    • Yingjie Xu
    • Jie Wang
    • Xiao Tian
    • Yulian Fu
    • Bin Ling
  • View Affiliations / Copyright

    Affiliations: Department of Oral‑Maxillofacial Oncology and Surgery, The First Affiliated Hospital of Xinjiang Medical University, Urumqi, Xinjiang Uyghur Autonomous Region 830000, P.R. China
    Copyright: © Liu et al. This is an open access article distributed under the terms of Creative Commons Attribution License [CC BY 4.0].
  • Article Number: 168
    |
    Published online on: February 4, 2025
       https://doi.org/10.3892/ol.2025.14914
  • Expand metrics +
Metrics: Total Views: 0 (Spandidos Publications: | PMC Statistics: )
Metrics: Total PDF Downloads: 0 (Spandidos Publications: | PMC Statistics: )
Cited By (CrossRef): 0 citations Loading Articles...

This article is mentioned in:



Abstract

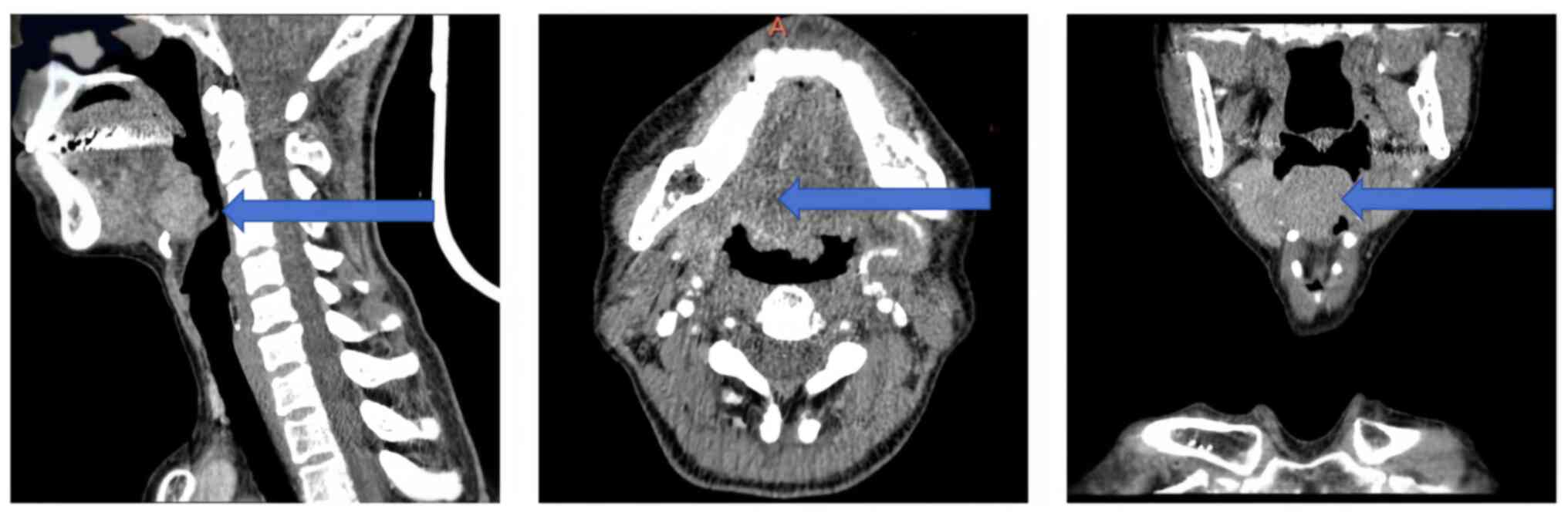
The present study describes a rare case of hyalinizing clear cell carcinoma (HCCC) of the tongue root and provides an analysis and review of the relevant literature to improve the understanding of its diagnosis and treatment. Clinical imaging and pathological data from a patient with primary HCCC of the tongue root were summarized, and previously published studies were reviewed through a literature search. The common symptoms, treatment strategies and prognoses reported in the literature were compared. A total of 16 cases of primary HCCC of the tongue were retrieved. Histologically, these cases had tumors characterized by clear cells arranged in sheets, nests and cords within the fibrous interstitium surrounding tumor cells, with round to oval cell nuclei occasionally containing small or inconspicuous nucleoli. Immunohistochemistry showed positive tumor cell staining for cytokeratin (CK)5/6, CK7 and p63, and negative for S‑100, smooth muscle actin and calponin. Clinical symptoms included dysphagia, a painless mass, tongue root ulceration and a foreign body sensation in the throat. Treatment strategies included surgery, radiation therapy, repair and reconstruction, with no local recurrence or metastasis at any follow‑up point. The present findings indicated that HCCC of the salivary glands is an inert malignant tumor, and a good prognosis can be achieved with both surgical resection and radiation therapy.
View Figures

Figure 1

Figure 2

Figure 3

Figure 4

Figure 5

Figure 6

View References

1 

Batsakis JG: Clear cell tumors of salivary glands. Ann Otol Rhinol Laryngol. 89:196–197. 1980. View Article : Google Scholar : PubMed/NCBI

2 

Simpson RH, Sarsfield PT, Clarke T and Babajews AV: Clear cell carcinoma of minor salivary glands. Histopathology. 17:433–438. 1990. View Article : Google Scholar : PubMed/NCBI

3 

Milchgrub S, Gnepp DR, Vuitch F, Delgado R and Albores-Saavedra J: Hyalinizing clear cell carcinoma of salivary gland. Am J Surg Pathol. 18:74–82. 1994. View Article : Google Scholar : PubMed/NCBI

4 

Ellis GL and Auclair PL: Armed Forces Institute of Pathology (AFIP) Atlas of tumor pathology. Tumors of the salivary glands (fourth series, fascicle 9). ARP Press; Maryland: pp. 301–309. 2008

5 

Thompson L: World Health Organization classification of tumors: Pathology and genetics of head and neck tumors. Ear Nose Throat J. 85:742006. View Article : Google Scholar : PubMed/NCBI

6 

El-Naggar AK, Chan JKC, Grandis JR, Takata T and Slootweg PJ: WHO classification of head and neck tumors. 4th edition. IARC Press; Lyon: pp. 168–169. 2017, PubMed/NCBI

7 

WHO Classification of Tumours Editorial Board, . Head and neck tumours. WHO classification of tumours series. 5th edition. IARC Press; Lyon: pp. 664–669. 2022

8 

Sanjai K, Shivalingaiah D, Sharath R and Pandey B: Clear cell carcinoma of palatine salivary gland: A diagnostic challenge. J Oral Maxillofac Pathol. 22:128–131. 2018. View Article : Google Scholar : PubMed/NCBI

9 

Gai J and Lu X: Clinicopathologic features and differential diagnosis of nonspecific clear cell carcinoma of salivary gland. J Mod Med. 41:520–522. 2013.(In Chinese).

10 

Zhang Y, Wang Z, Chen T, Bai Q and Li X: Clinicopathological characterization of 8 cases of vitelliform clear cell carcinoma of salivary gland. Chin J Cancer. 33:168–173. 2023.(In Chinese).

11 

Kamat M, Rai BD, Puranik RS and Datar UV: A comprehensive review of surgical margin in oral squamous cell carcinoma highlighting the significance of tumor-free surgical margins. J Cancer Res Ther. 15:449–454. 2019. View Article : Google Scholar : PubMed/NCBI

12 

Khurram SA and Speight PM: Characterisation of DOG-1 expression in salivary gland tumours and comparison with myoepithelial markers. Head Neck Pathol. 13:140–148. 2019. View Article : Google Scholar : PubMed/NCBI

13 

Dabas SK, Menon NN, Ranjan R, Tiwari S, Gurung B, Shukla H, Dua A, Sharma A, Sinha A, Singla R, et al: Hyalinizing clear cell carcinoma of base of the tongue-case report and review of literature. Ann Indian Acad Otorhinolaryngol Head Neck Surg. 7:11–17. 2023. View Article : Google Scholar

14 

Sento S, Kudo Y, Hibiya K, Ishimaru N, Sasabe E, Kitamura N and Yamamoto T: Hyalinizing clear cell carcinoma of the anterior lingual salivary gland: A case report and review of the literature. J Oral Maxillofac Surg Med Pathol. 32:267–274. 2020. View Article : Google Scholar : PubMed/NCBI

15 

Yoldez H, Rahma Y and Maha D: An unmistakable tumour of the tongue. J Oral Health Craniofac Sci. 7:20–21. 2022. View Article : Google Scholar

16 

Pillai N, Balasundaram P and Isaac N: Hyalinizing clear cell carcinoma: Base of tongue. Indian J Otolaryngol Head Neck Surg. 71 (Suppl 1):S239–S242. 2019. View Article : Google Scholar

17 

Lin JC, Liao JB, Fu HT, Chang TS and Wang JS: Salivary gland hyalinizing clear cell carcinoma. J Pathol Transl Med. 49:351–353. 2015. View Article : Google Scholar : PubMed/NCBI

18 

Hu Y and Li J: Clinicopathologic analysis of 10 cases of clear cell carcinoma of salivary gland. Chin J Stomatol. 40:54–57. 2005.(In Chinese).

19 

Balakrishnan R, Nayak DR, Pillai S and Rao L: Hyalinizing clear cell carcinoma of the base of the tongue. J Laryngol Otol. 116:851–853. 2002. View Article : Google Scholar : PubMed/NCBI

20 

Chapman E, Skalova A, Ptakova N, Martinek P, Goytain A, Tucker T, Xiong W, Leader M, Kudlow BA, Haimes JD, et al: Molecular profiling of hyalinizing clear cell carcinomas revealed a subset of tumors harboring a novel EWSR1-CREM fusion: Report of 3 cases. Am J Surg Pathol. 42:1182–1189. 2018. View Article : Google Scholar : PubMed/NCBI

21 

Wang Q, Shen Y and Sun J: Diagnosis and treatment of clear cell carcinoma of salivary gland. Chin J Oral Maxillofac Surg. 266–269. 2008.(In Chinese).

22 

Al Zadjali F, Alsaffar H, Odell M, Wasserman JK, Tohme A and Johnson-Obaseki S: Base of the tongue hyalinizing clear cell carcinoma: Case report and literature review. SAGE Open Med Case Rep. 11:2050313X2312096702023. View Article : Google Scholar : PubMed/NCBI

23 

O'Sullivan-Mejia ED, Massey HD, Faquin WC and Powers CN: Hyalinizing clear cell carcinoma: Report of eight cases and a review of literature. Head Neck Pathol. 3:179–185. 2009. View Article : Google Scholar : PubMed/NCBI

24 

Suzuki H, Katoh A, Udaka T, Shiomori T, Fujimura T, Fujimura K and Kitamura T: Hyalinizing clear cell carcinoma arising from the base of the tongue. Acta Otolaryngol. 126:653–656. 2006. View Article : Google Scholar : PubMed/NCBI

25 

Zhao S, Zhu Y, Pan MH, Hua HJ, Yang QY, Li X and Li H: Clinicopathologic features of head and neck salivary gland-type clear cell carcinoma. J Chin J Pathol. 51:494–499. 2022.

26 

Toper MH and Sarioglu S: Molecular pathology of salivary gland neoplasms: Diagnostic, prognostic, and predictive perspective. Adv Anat Pathol. 28:81–93. 2021. View Article : Google Scholar : PubMed/NCBI

27 

Kaur K, Mehta S, Vanik S, Trivedi P, Banerjee N, Dhar H, Datta S and Karanjai S: The evolving role of molecular pathology in the diagnosis of salivary gland tumours with potential pitfalls. Eur Arch Otorhinolaryngol. 279:3769–3783. 2022. View Article : Google Scholar : PubMed/NCBI

28 

Pei J, Flieder DB, Patchefsky A, Talarchek JN, Cooper HS, Testa JR and Wei S: Detecting MYB and MYBL1 fusion genes in tracheobronchial adenoid cystic carcinoma by targeted RNA-sequencing. Mod Pathol. 32:1416–1420. 2019. View Article : Google Scholar : PubMed/NCBI

29 

Hirose K, Usami Y, Kohara M, Sato S, Iwamoto Y, Murakami S, Uchihashi T, Oya K, Fukuda Y, Hori Y, et al: Clear cell carcinoma of palatal minor salivary gland harboring a novel EWSR1-ATF1 fusion gene: report of a case and review of the literature. Head Neck Pathol. 15:676–681. 2021. View Article : Google Scholar : PubMed/NCBI

30 

Nojima S, Kohara M, Harada H, Kajikawa H, Hirose K, Nakatsuka SI, Nakagawa Y, Oya K, Fukuda Y, Matsunaga K, et al: Clear cell carcinoma in the oral cavity with three novel types of EWSR1-ATF1 translocation: A case report. Head Neck Pathol. 16:560–566. 2022. View Article : Google Scholar : PubMed/NCBI

31 

Skalova A, Leivo I, Hellquist H, Simpson RHW, Vander Poorten V, Willems SM, Mosaieby E, Slouka D and Ferlito A: Clear cell neoplasms of salivary glands: A diagnostic challenge. Adv Anat Pathol. 29:217–226. 2022. View Article : Google Scholar : PubMed/NCBI

32 

Dragoescu E, Jackson-Cook C, Domson G, Massey D and Foster WC: Small cell osteosarcoma with Ewing sarcoma breakpoint region 1 gene rearrangement detected by interphase fluorescence in situ hybridization. Ann Diagn Pathol. 17:377–382. 2013. View Article : Google Scholar : PubMed/NCBI

33 

Ariasi C, Romanò C, Ghini I, Licata G, Rubelli L, Artelli GL, Calzavara-Pinton P and Arisi M: Cutaneous syncytial myoepithelioma with positive CD34 immunohistochemical staining: An unusual tumor and a challenging diagnosis. Dermatopathology (Basel). 10:259–265. 2023. View Article : Google Scholar : PubMed/NCBI

34 

Krystel-Whittemore M, Taylor MS, Rivera M, Lennerz JK, Le LP, Dias-Santagata D, Iafrate AJ, Deshpande V, Chebib I, Nielsen GP, et al: Novel and established EWSR1 gene fusions and associations identified by next-generation sequencing and fluorescence in-situ hybridization. Hum Pathol. 93:65–73. 2019. View Article : Google Scholar : PubMed/NCBI

35 

Fukuda H, Kato I, Furuya M, Tanaka R, Takagi T, Kondo T and Nagashima Y: A novel partner of TFE3 in the Xp11 translocation renal cell carcinoma: Clinicopathological analyses and detection of EWSR1-TFE3 fusion. Virchows Arch. 474:389–393. 2019. View Article : Google Scholar : PubMed/NCBI

36 

Vergara-Lluri ME, Stohr BA, Puligandla B, Brenholz P and Horvai AE: A novel sarcoma with dual differentiation: Clinicopathologic and molecular characterization of a combined synovial sarcoma and extraskeletal myxoid chondrosarcoma. Am J Surg Pathol. 36:1093–1098. 2012. View Article : Google Scholar : PubMed/NCBI

37 

Sidiropoulos M, Busam K, Guitart J, Laskin WB, Wagner AM and Gerami P: Superficial paramucosal clear cell sarcoma of the soft parts resembling melanoma in a 13-year-old boy. J Cutan Pathol. 40:265–268. 2013. View Article : Google Scholar : PubMed/NCBI

38 

Atkins MB and Tannir NM: Current and emerging therapies for first-line treatment of metastatic clear cell renal cell carcinoma. Cancer Treat Rev. 70:127–137. 2018. View Article : Google Scholar : PubMed/NCBI

39 

Pfister DG, Spencer S, Adelstein D, Adkins D, Anzai Y, Brizel DM, Bruce JY, Busse PM, Caudell JJ, Cmelak AJ, et al: Head and neck cancers, version 2.2020, NCCN clinical practice guidelines in oncology. J Natl Compr Canc Netw. 18:873–898. 2020. View Article : Google Scholar : PubMed/NCBI

40 

Desai A, Faquin WC, Iafrate AJ, Rivera MN, Jaquinet A and Troulis MJ: Clear cell carcinoma: A comprehensive literature review of 254 cases. Int J Oral Maxillofac Surg. 51:705–712. 2022. View Article : Google Scholar : PubMed/NCBI

41 

Wang B, Brandwein M, Gordon R, Robinson R, Urken M and Zarbo RJ: Primary salivary clear cell tumors-a diagnostic approach: A clinicopathologic and immunohistochemical study of 20 patients with clear cell carcinoma, clear cell myoepithelial carcinoma, and epithelial-myoepithelial carcinoma. Arch Pathol Lab Med. 126:676–685. 2002. View Article : Google Scholar : PubMed/NCBI

42 

Jin R, Craddock KJ, Irish JC, Perez-Ordonez B and Weinreb I: Recurrent hyalinizing clear cell carcinoma of the base of tongue with high-grade transformation and EWSR1 gene rearrangement by FISH. Head Neck Pathol. 6:389–394. 2012. View Article : Google Scholar : PubMed/NCBI

43 

Newman WC, Williams L, Duvvuri U, Clump DA II and Amankulor N: Hyalinizing clear cell carcinoma with biopsy-proven spinal metastasis: Case report and review of literature. World Neurosurg. 90:699.e7–699.e10. 2016. View Article : Google Scholar : PubMed/NCBI

Related Articles

  • Abstract
  • View
  • Download
  • Twitter
Copy and paste a formatted citation
Spandidos Publications style
Liu L, Cao X, Xu Y, Wang J, Tian X, Fu Y and Ling B: A rare case of hyalinizing clear cell carcinoma of the tongue root: A case report and literature review. Oncol Lett 29: 168, 2025.
APA
Liu, L., Cao, X., Xu, Y., Wang, J., Tian, X., Fu, Y., & Ling, B. (2025). A rare case of hyalinizing clear cell carcinoma of the tongue root: A case report and literature review. Oncology Letters, 29, 168. https://doi.org/10.3892/ol.2025.14914
MLA
Liu, L., Cao, X., Xu, Y., Wang, J., Tian, X., Fu, Y., Ling, B."A rare case of hyalinizing clear cell carcinoma of the tongue root: A case report and literature review". Oncology Letters 29.4 (2025): 168.
Chicago
Liu, L., Cao, X., Xu, Y., Wang, J., Tian, X., Fu, Y., Ling, B."A rare case of hyalinizing clear cell carcinoma of the tongue root: A case report and literature review". Oncology Letters 29, no. 4 (2025): 168. https://doi.org/10.3892/ol.2025.14914
Copy and paste a formatted citation
x
Spandidos Publications style
Liu L, Cao X, Xu Y, Wang J, Tian X, Fu Y and Ling B: A rare case of hyalinizing clear cell carcinoma of the tongue root: A case report and literature review. Oncol Lett 29: 168, 2025.
APA
Liu, L., Cao, X., Xu, Y., Wang, J., Tian, X., Fu, Y., & Ling, B. (2025). A rare case of hyalinizing clear cell carcinoma of the tongue root: A case report and literature review. Oncology Letters, 29, 168. https://doi.org/10.3892/ol.2025.14914
MLA
Liu, L., Cao, X., Xu, Y., Wang, J., Tian, X., Fu, Y., Ling, B."A rare case of hyalinizing clear cell carcinoma of the tongue root: A case report and literature review". Oncology Letters 29.4 (2025): 168.
Chicago
Liu, L., Cao, X., Xu, Y., Wang, J., Tian, X., Fu, Y., Ling, B."A rare case of hyalinizing clear cell carcinoma of the tongue root: A case report and literature review". Oncology Letters 29, no. 4 (2025): 168. https://doi.org/10.3892/ol.2025.14914
Follow us
  • Twitter
  • LinkedIn
  • Facebook
About
  • Spandidos Publications
  • Careers
  • Cookie Policy
  • Privacy Policy
How can we help?
  • Help
  • Live Chat
  • Contact
  • Email to our Support Team