Spandidos Publications Logo
  • About
    • About Spandidos
    • Aims and Scopes
    • Abstracting and Indexing
    • Editorial Policies
    • Reprints and Permissions
    • Job Opportunities
    • Terms and Conditions
    • Contact
  • Journals
    • All Journals
    • Oncology Letters
      • Oncology Letters
      • Information for Authors
      • Editorial Policies
      • Editorial Board
      • Aims and Scope
      • Abstracting and Indexing
      • Bibliographic Information
      • Archive
    • International Journal of Oncology
      • International Journal of Oncology
      • Information for Authors
      • Editorial Policies
      • Editorial Board
      • Aims and Scope
      • Abstracting and Indexing
      • Bibliographic Information
      • Archive
    • Molecular and Clinical Oncology
      • Molecular and Clinical Oncology
      • Information for Authors
      • Editorial Policies
      • Editorial Board
      • Aims and Scope
      • Abstracting and Indexing
      • Bibliographic Information
      • Archive
    • Experimental and Therapeutic Medicine
      • Experimental and Therapeutic Medicine
      • Information for Authors
      • Editorial Policies
      • Editorial Board
      • Aims and Scope
      • Abstracting and Indexing
      • Bibliographic Information
      • Archive
    • International Journal of Molecular Medicine
      • International Journal of Molecular Medicine
      • Information for Authors
      • Editorial Policies
      • Editorial Board
      • Aims and Scope
      • Abstracting and Indexing
      • Bibliographic Information
      • Archive
    • Biomedical Reports
      • Biomedical Reports
      • Information for Authors
      • Editorial Policies
      • Editorial Board
      • Aims and Scope
      • Abstracting and Indexing
      • Bibliographic Information
      • Archive
    • Oncology Reports
      • Oncology Reports
      • Information for Authors
      • Editorial Policies
      • Editorial Board
      • Aims and Scope
      • Abstracting and Indexing
      • Bibliographic Information
      • Archive
    • Molecular Medicine Reports
      • Molecular Medicine Reports
      • Information for Authors
      • Editorial Policies
      • Editorial Board
      • Aims and Scope
      • Abstracting and Indexing
      • Bibliographic Information
      • Archive
    • World Academy of Sciences Journal
      • World Academy of Sciences Journal
      • Information for Authors
      • Editorial Policies
      • Editorial Board
      • Aims and Scope
      • Abstracting and Indexing
      • Bibliographic Information
      • Archive
    • International Journal of Functional Nutrition
      • International Journal of Functional Nutrition
      • Information for Authors
      • Editorial Policies
      • Editorial Board
      • Aims and Scope
      • Abstracting and Indexing
      • Bibliographic Information
      • Archive
    • International Journal of Epigenetics
      • International Journal of Epigenetics
      • Information for Authors
      • Editorial Policies
      • Editorial Board
      • Aims and Scope
      • Abstracting and Indexing
      • Bibliographic Information
      • Archive
    • Medicine International
      • Medicine International
      • Information for Authors
      • Editorial Policies
      • Editorial Board
      • Aims and Scope
      • Abstracting and Indexing
      • Bibliographic Information
      • Archive
  • Articles
  • Information
    • Information for Authors
    • Information for Reviewers
    • Information for Librarians
    • Information for Advertisers
    • Conferences
  • Language Editing
Spandidos Publications Logo
  • About
    • About Spandidos
    • Aims and Scopes
    • Abstracting and Indexing
    • Editorial Policies
    • Reprints and Permissions
    • Job Opportunities
    • Terms and Conditions
    • Contact
  • Journals
    • All Journals
    • Biomedical Reports
      • Information for Authors
      • Editorial Policies
      • Editorial Board
      • Aims and Scope
      • Abstracting and Indexing
      • Bibliographic Information
      • Archive
    • Experimental and Therapeutic Medicine
      • Information for Authors
      • Editorial Policies
      • Editorial Board
      • Aims and Scope
      • Abstracting and Indexing
      • Bibliographic Information
      • Archive
    • International Journal of Epigenetics
      • Information for Authors
      • Editorial Policies
      • Editorial Board
      • Aims and Scope
      • Abstracting and Indexing
      • Bibliographic Information
      • Archive
    • International Journal of Functional Nutrition
      • Information for Authors
      • Editorial Policies
      • Editorial Board
      • Aims and Scope
      • Abstracting and Indexing
      • Bibliographic Information
      • Archive
    • International Journal of Molecular Medicine
      • Information for Authors
      • Editorial Policies
      • Editorial Board
      • Aims and Scope
      • Abstracting and Indexing
      • Bibliographic Information
      • Archive
    • International Journal of Oncology
      • Information for Authors
      • Editorial Policies
      • Editorial Board
      • Aims and Scope
      • Abstracting and Indexing
      • Bibliographic Information
      • Archive
    • Medicine International
      • Information for Authors
      • Editorial Policies
      • Editorial Board
      • Aims and Scope
      • Abstracting and Indexing
      • Bibliographic Information
      • Archive
    • Molecular and Clinical Oncology
      • Information for Authors
      • Editorial Policies
      • Editorial Board
      • Aims and Scope
      • Abstracting and Indexing
      • Bibliographic Information
      • Archive
    • Molecular Medicine Reports
      • Information for Authors
      • Editorial Policies
      • Editorial Board
      • Aims and Scope
      • Abstracting and Indexing
      • Bibliographic Information
      • Archive
    • Oncology Letters
      • Information for Authors
      • Editorial Policies
      • Editorial Board
      • Aims and Scope
      • Abstracting and Indexing
      • Bibliographic Information
      • Archive
    • Oncology Reports
      • Information for Authors
      • Editorial Policies
      • Editorial Board
      • Aims and Scope
      • Abstracting and Indexing
      • Bibliographic Information
      • Archive
    • World Academy of Sciences Journal
      • Information for Authors
      • Editorial Policies
      • Editorial Board
      • Aims and Scope
      • Abstracting and Indexing
      • Bibliographic Information
      • Archive
  • Articles
  • Information
    • For Authors
    • For Reviewers
    • For Librarians
    • For Advertisers
    • Conferences
  • Language Editing
Login Register Submit
  • This site uses cookies
  • You can change your cookie settings at any time by following the instructions in our Cookie Policy. To find out more, you may read our Privacy Policy.

    I agree
Search articles by DOI, keyword, author or affiliation
Search
Advanced Search
presentation
Oncology Letters
Join Editorial Board Propose a Special Issue
Print ISSN: 1792-1074 Online ISSN: 1792-1082
Journal Cover
April-2025 Volume 29 Issue 4

Full Size Image

Sign up for eToc alerts
Recommend to Library

Journals

International Journal of Molecular Medicine

International Journal of Molecular Medicine

International Journal of Molecular Medicine is an international journal devoted to molecular mechanisms of human disease.

International Journal of Oncology

International Journal of Oncology

International Journal of Oncology is an international journal devoted to oncology research and cancer treatment.

Molecular Medicine Reports

Molecular Medicine Reports

Covers molecular medicine topics such as pharmacology, pathology, genetics, neuroscience, infectious diseases, molecular cardiology, and molecular surgery.

Oncology Reports

Oncology Reports

Oncology Reports is an international journal devoted to fundamental and applied research in Oncology.

Experimental and Therapeutic Medicine

Experimental and Therapeutic Medicine

Experimental and Therapeutic Medicine is an international journal devoted to laboratory and clinical medicine.

Oncology Letters

Oncology Letters

Oncology Letters is an international journal devoted to Experimental and Clinical Oncology.

Biomedical Reports

Biomedical Reports

Explores a wide range of biological and medical fields, including pharmacology, genetics, microbiology, neuroscience, and molecular cardiology.

Molecular and Clinical Oncology

Molecular and Clinical Oncology

International journal addressing all aspects of oncology research, from tumorigenesis and oncogenes to chemotherapy and metastasis.

World Academy of Sciences Journal

World Academy of Sciences Journal

Multidisciplinary open-access journal spanning biochemistry, genetics, neuroscience, environmental health, and synthetic biology.

International Journal of Functional Nutrition

International Journal of Functional Nutrition

Open-access journal combining biochemistry, pharmacology, immunology, and genetics to advance health through functional nutrition.

International Journal of Epigenetics

International Journal of Epigenetics

Publishes open-access research on using epigenetics to advance understanding and treatment of human disease.

Medicine International

Medicine International

An International Open Access Journal Devoted to General Medicine.

Journal Cover
April-2025 Volume 29 Issue 4

Full Size Image

Sign up for eToc alerts
Recommend to Library

  • Article
  • Citations
    • Cite This Article
    • Download Citation
    • Create Citation Alert
    • Remove Citation Alert
    • Cited By
  • Similar Articles
    • Related Articles (in Spandidos Publications)
    • Similar Articles (Google Scholar)
    • Similar Articles (PubMed)
  • Download PDF
  • Download XML
  • View XML
Case Report Open Access

Rare multiple schwannomas of the left upper extremity: A case report

  • Authors:
    • Huan Chen
    • Xiguan Yao
    • Peigeng Wang
    • Yude Xu
    • Yicun Yao
    • Weichao Yang
    • Yiming Liu
    • Wei Luo
    • Yong Tan
    • Jinzhi Lin
    • Lei Leng
    • Haixiong Miao
    • Dongping Ye
  • View Affiliations / Copyright

    Affiliations: Department of Orthopedics, The First Clinical Medical College, Guangdong Medical University, Zhanjiang, Guangdong 524023, P.R. China, Department of Orthopedics, Qian Xi Nan People's Hospital, Xingyi, Guizhou 562400, P.R. China, Department of Orthopedics, The People's Hospital of Anshun, Anshun, Guizhou 561000, P.R. China, Department of Pain Medicine, Guangzhou Red Cross Hospital, Guangzhou Red Cross Hospital of Jinan University, Guangzhou, Guangdong 510220, P.R. China, Department of Orthopedics, Guangzhou Red Cross Hospital of Jinan University, Guangzhou, Guangdong 510220, P.R. China, Department of Pathology, Guangzhou Red Cross Hospital, Guangzhou Red Cross Hospital of Jinan University, Guangzhou, Guangdong 510220, P.R. China, Department of Orthopedics, The First Clinical Medical College, Guangdong Medical University, Zhanjiang, Guangdong 524023, P.R. China
    Copyright: © Chen et al. This is an open access article distributed under the terms of Creative Commons Attribution License.
  • Article Number: 205
    |
    Published online on: March 4, 2025
       https://doi.org/10.3892/ol.2025.14952
  • Expand metrics +
Metrics: Total Views: 0 (Spandidos Publications: | PMC Statistics: )
Metrics: Total PDF Downloads: 0 (Spandidos Publications: | PMC Statistics: )
Cited By (CrossRef): 0 citations Loading Articles...

This article is mentioned in:



Abstract

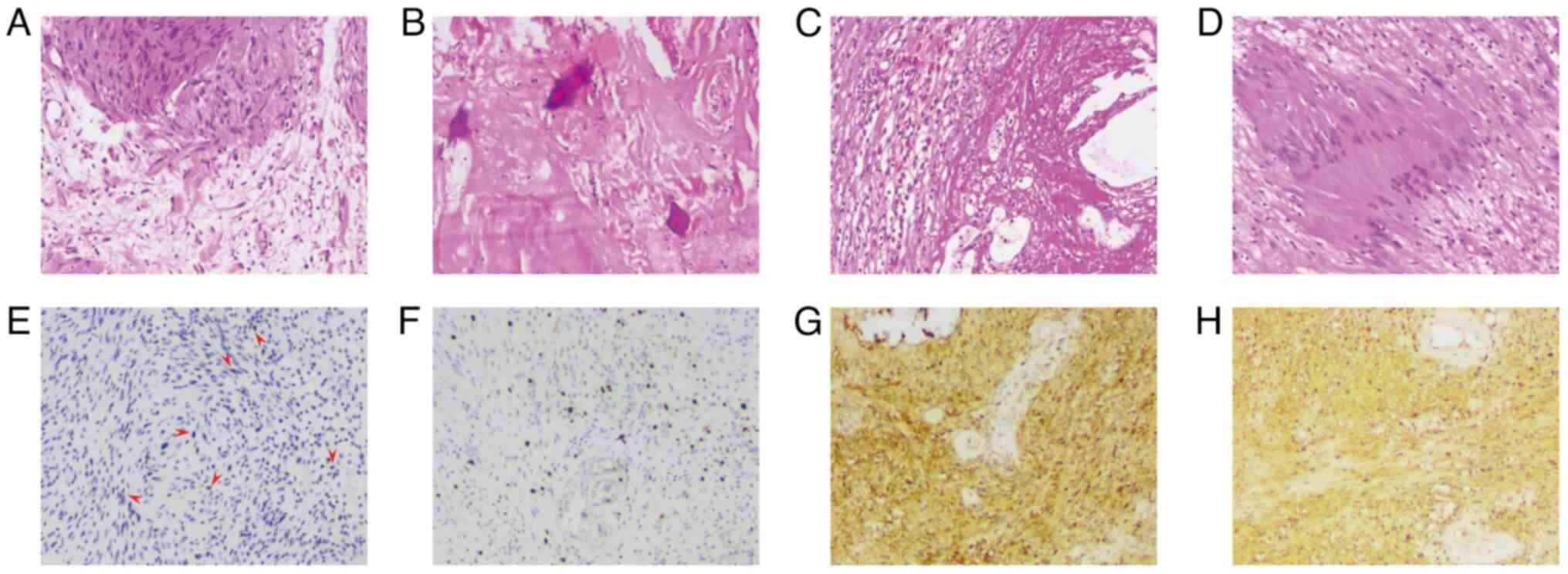
Schwannomas are rare benign neoplasms originating from Schwann cells of peripheral nerve sheaths. The current study presents a distinctive case involving multiple schwannomas along the peripheral nerves of the left upper extremity. The patient exhibited multiple gradually enlarging subcutaneous masses distributed along the nerves of the left upper limb, without pain, neurological deficits or a positive Tinel's sign upon physical examination. Preoperative diagnostic imaging, including high‑resolution ultrasonography and magnetic resonance imaging, revealed well‑circumscribed, homogeneous soft‑tissue masses with characteristic features. Despite these findings, imaging modalities demonstrated limited specificity in conclusively differentiating the upper extremity tumors from other soft‑tissue neoplasms. Surgical exploration conducted under general anesthesia identified three encapsulated masses with focal capsular discontinuities, adherent to surrounding skeletal muscle and the median nerve. The masses measured 6x5x3, 5x4x3.5 and 5x3.5x3 cm from proximal to distal, respectively. Complete surgical excision was performed with meticulous preservation of adjacent neurovascular structures. Histopathological analysis confirmed the diagnosis of schwannomas. This report also provides an extensive review of the literature addressing the etiology, clinical presentation, diagnostic techniques and treatment strategies for peripheral nerve schwannomas, contributing to a deeper understanding of this rare neurogenic tumor and aiding in its effective clinical management.
View Figures

Figure 1

Figure 2

Figure 3

View References

1 

Hsu CS, Hentz VR and Yao J: Tumours of the hand. Lancet Oncol. 8:157–166. 2007. View Article : Google Scholar : PubMed/NCBI

2 

Lai CS, Chen IC, Lan HC, Lu CT, Yen JH, Song DY and Tang YW: Management of extremity neurilemmomas: Clinical series and literature review. Ann Plast Surg. 71 (Suppl 1):S37–S42. 2013. View Article : Google Scholar : PubMed/NCBI

3 

Longhurst WD and Khachemoune A: An unknown mass: The differential diagnosis of digit tumors. Int J Dermatol. 54:1214–1225. 2015. View Article : Google Scholar : PubMed/NCBI

4 

Payne WT and Merrell G: Benign bony and soft tissue tumors of the hand. J Hand Surg Am. 35:1901–1910. 2010. View Article : Google Scholar : PubMed/NCBI

5 

Holdsworth BJ: Nerve tumours in the upper limb A clinical review. J Hand Surg. 10:236–238. 1985. View Article : Google Scholar : PubMed/NCBI

6 

Petrov M, Sakelarova T and Gerganov V: Other nerve sheath tumors of brain and spinal cord. Adv Exp Med Biol. 1405:363–376. 2023. View Article : Google Scholar : PubMed/NCBI

7 

Junxiao G and Qianhui Q: Diagnosis and surgical treatment of head and neck Schwannomas. Intern J Otolaryngol-Head and Neck Surg. 43:216–219. 2019.(In Chinese).

8 

Magro G, Broggi G, Angelico G, Puzzo L, Vecchio GM, Virzì V, Salvatorelli L and Ruggieri M: Practical approach to histological diagnosis of peripheral nerve sheath tumors: An update. Diagnostics (Basel). 12:14632022. View Article : Google Scholar : PubMed/NCBI

9 

Das Gupta TK, Brasfield RD, Strong EW and Hajdu SI: Benign solitary Schwannomas (neurilemomas). Cancer. 24:355–366. 1969. View Article : Google Scholar : PubMed/NCBI

10 

Kang HJ, Shin SJ and Kang ES: Schwannomas of the upper extremity. J Hand Surg Br. 25:604–607. 2000. View Article : Google Scholar : PubMed/NCBI

11 

Russell SM: Preserve the nerve: Microsurgical resection of peripheral nerve sheath tumors. Neurosurgery. 61 (3 Suppl):S113–S117; discussion 117–118. 2007.

12 

Sandberg K, Nilsson J, Soe Nielsen N and Dahlin LB: Tumours of peripheral nerves in the upper extremity: A 22-year epidemiological study. Scand J Plast Reconstr Surg Hand Surg. 43:43–49. 2009. View Article : Google Scholar : PubMed/NCBI

13 

Lindberg M: Diagnostic Pathology: Soft Tissue Tumors. 3rd Edition. Elsevier; Philadelphia, PA: 2019

14 

Ozdemir O, Ozsoy MH, Kurt C, Coskunol E and Calli I: Schwannomas of the hand and wrist: Long-term results and review of the literature. J Orthop Surg (Hong Kong). 13:267–272. 2005. View Article : Google Scholar : PubMed/NCBI

15 

Kehrer-Sawatzki H, Kluwe L, Friedrich RE, Summerer A, Schäfer E, Wahlländer U, Matthies C, Gugel I, Farschtschi S, Hagel C, et al: Phenotypic and genotypic overlap between mosaic NF2 and schwannomatosis in patients with multiple non-intradermal schwannomas. Hum Genet. 137:543–552. 2018. View Article : Google Scholar : PubMed/NCBI

16 

Forde C, Smith MJ, Burghel GJ, Bowers N, Roberts N, Lavin T, Halliday J, King AT, Rutherford S, Pathmanaban ON, et al: NF2-related schwannomatosis and other schwannomatosis: An updated genetic and epidemiological study. J Med Genet. 61:856–860. 2024. View Article : Google Scholar : PubMed/NCBI

17 

Kim BH, Chung YH, Woo TG, Kang SM, Park S, Kim M and Park BJ: NF2-related schwannomatosis (NF2): Molecular insights and therapeutic avenues. Int J Mol Sci. 25:65582024. View Article : Google Scholar : PubMed/NCBI

18 

Khodaee M and Langston L: A painless finger mass. J Musculoskel Neuron. 12:189–191. 2012.

19 

Iwashita T: Neurilemmoma of the soft tissues: An analysis of 1,271 tumors in an attempt at subtyping. Fukuoka Igaku Zasshi. 80:355–367. 1989.(In Japanese). PubMed/NCBI

20 

Martin AE, Martin D, Sandu AM, Neacsu A, Rata O, Gorgan C and Gorgan MR: Nerve sheath tumor, benign neurogenic slow-growing solitary neurilemmoma of the left ulnar nerve: A case and review of literature. Rom Neurosur. 30:219–229. 2016.

21 

Pinho R, Santana S, Farinha F, Cunha I, Barcelos A and Brenha J: Shoulder giant schwannoma-a diagnosis to be considered in painless shoulder masses. Acta Reumatol Port. 42:332–333. 2017.PubMed/NCBI

22 

Hung YW, Tse WL, Cheng HS and Ho PC: Surgical excision for challenging upper limb nerve sheath tumours: A single centre retrospective review of treatment results. Hong Kong Med J. 16:287–291. 2010.PubMed/NCBI

23 

Nilsson J, Sandberg K, Soe Nielsen N and Dahlin LB: Magnetic resonance imaging of peripheral nerve tumours in the upper extremity. Scand J Plast Reconstr Surg Hand Surg. 43:153–159. 2009. View Article : Google Scholar : PubMed/NCBI

24 

Plotkin SR, Blakeley JO, Evans DG, Hanemann CO, Hulsebos TJ, Hunter-Schaedle K, Kalpana GV, Korf B, Messiaen L, Papi L, et al: Update from the 2011 International Schwannomatosis Workshop: From genetics to diagnostic criteria. Am J Med Genet A. 161A:405–416. 2013. View Article : Google Scholar : PubMed/NCBI

25 

Spinner RJ: Complication avoidance. Neurosurg Clin N Am. 15:193–202. 2004. View Article : Google Scholar : PubMed/NCBI

26 

Huang X, Peng C, Yorkashjan M, Li Y, Kong W, Maimaitiali T and Zhao Y: Microscope-assisted treatment of rare schwannoma of median nerve: 1 case. J Pract Hand Surg. 35:543–544. 2021.

27 

Maimaitiali T, Kong W, Huang X, Peng C, Li Y and Zhao Y: Microscopic technique in the treatment of proximal thenar ulnar schwannoma in 1 case. J Pract Hand Surg. 36:569–570. 2022.(In Chinese).

Related Articles

  • Abstract
  • View
  • Download
  • Twitter
Copy and paste a formatted citation
Spandidos Publications style
Chen H, Yao X, Wang P, Xu Y, Yao Y, Yang W, Liu Y, Luo W, Tan Y, Lin J, Lin J, et al: Rare multiple schwannomas of the left upper extremity: A case report. Oncol Lett 29: 205, 2025.
APA
Chen, H., Yao, X., Wang, P., Xu, Y., Yao, Y., Yang, W. ... Ye, D. (2025). Rare multiple schwannomas of the left upper extremity: A case report. Oncology Letters, 29, 205. https://doi.org/10.3892/ol.2025.14952
MLA
Chen, H., Yao, X., Wang, P., Xu, Y., Yao, Y., Yang, W., Liu, Y., Luo, W., Tan, Y., Lin, J., Leng, L., Miao, H., Ye, D."Rare multiple schwannomas of the left upper extremity: A case report". Oncology Letters 29.4 (2025): 205.
Chicago
Chen, H., Yao, X., Wang, P., Xu, Y., Yao, Y., Yang, W., Liu, Y., Luo, W., Tan, Y., Lin, J., Leng, L., Miao, H., Ye, D."Rare multiple schwannomas of the left upper extremity: A case report". Oncology Letters 29, no. 4 (2025): 205. https://doi.org/10.3892/ol.2025.14952
Copy and paste a formatted citation
x
Spandidos Publications style
Chen H, Yao X, Wang P, Xu Y, Yao Y, Yang W, Liu Y, Luo W, Tan Y, Lin J, Lin J, et al: Rare multiple schwannomas of the left upper extremity: A case report. Oncol Lett 29: 205, 2025.
APA
Chen, H., Yao, X., Wang, P., Xu, Y., Yao, Y., Yang, W. ... Ye, D. (2025). Rare multiple schwannomas of the left upper extremity: A case report. Oncology Letters, 29, 205. https://doi.org/10.3892/ol.2025.14952
MLA
Chen, H., Yao, X., Wang, P., Xu, Y., Yao, Y., Yang, W., Liu, Y., Luo, W., Tan, Y., Lin, J., Leng, L., Miao, H., Ye, D."Rare multiple schwannomas of the left upper extremity: A case report". Oncology Letters 29.4 (2025): 205.
Chicago
Chen, H., Yao, X., Wang, P., Xu, Y., Yao, Y., Yang, W., Liu, Y., Luo, W., Tan, Y., Lin, J., Leng, L., Miao, H., Ye, D."Rare multiple schwannomas of the left upper extremity: A case report". Oncology Letters 29, no. 4 (2025): 205. https://doi.org/10.3892/ol.2025.14952
Follow us
  • Twitter
  • LinkedIn
  • Facebook
About
  • Spandidos Publications
  • Careers
  • Cookie Policy
  • Privacy Policy
How can we help?
  • Help
  • Live Chat
  • Contact
  • Email to our Support Team