Spandidos Publications Logo
  • About
    • About Spandidos
    • Aims and Scopes
    • Abstracting and Indexing
    • Editorial Policies
    • Reprints and Permissions
    • Job Opportunities
    • Terms and Conditions
    • Contact
  • Journals
    • All Journals
    • Oncology Letters
      • Oncology Letters
      • Information for Authors
      • Editorial Policies
      • Editorial Board
      • Aims and Scope
      • Abstracting and Indexing
      • Bibliographic Information
      • Archive
    • International Journal of Oncology
      • International Journal of Oncology
      • Information for Authors
      • Editorial Policies
      • Editorial Board
      • Aims and Scope
      • Abstracting and Indexing
      • Bibliographic Information
      • Archive
    • Molecular and Clinical Oncology
      • Molecular and Clinical Oncology
      • Information for Authors
      • Editorial Policies
      • Editorial Board
      • Aims and Scope
      • Abstracting and Indexing
      • Bibliographic Information
      • Archive
    • Experimental and Therapeutic Medicine
      • Experimental and Therapeutic Medicine
      • Information for Authors
      • Editorial Policies
      • Editorial Board
      • Aims and Scope
      • Abstracting and Indexing
      • Bibliographic Information
      • Archive
    • International Journal of Molecular Medicine
      • International Journal of Molecular Medicine
      • Information for Authors
      • Editorial Policies
      • Editorial Board
      • Aims and Scope
      • Abstracting and Indexing
      • Bibliographic Information
      • Archive
    • Biomedical Reports
      • Biomedical Reports
      • Information for Authors
      • Editorial Policies
      • Editorial Board
      • Aims and Scope
      • Abstracting and Indexing
      • Bibliographic Information
      • Archive
    • Oncology Reports
      • Oncology Reports
      • Information for Authors
      • Editorial Policies
      • Editorial Board
      • Aims and Scope
      • Abstracting and Indexing
      • Bibliographic Information
      • Archive
    • Molecular Medicine Reports
      • Molecular Medicine Reports
      • Information for Authors
      • Editorial Policies
      • Editorial Board
      • Aims and Scope
      • Abstracting and Indexing
      • Bibliographic Information
      • Archive
    • World Academy of Sciences Journal
      • World Academy of Sciences Journal
      • Information for Authors
      • Editorial Policies
      • Editorial Board
      • Aims and Scope
      • Abstracting and Indexing
      • Bibliographic Information
      • Archive
    • International Journal of Functional Nutrition
      • International Journal of Functional Nutrition
      • Information for Authors
      • Editorial Policies
      • Editorial Board
      • Aims and Scope
      • Abstracting and Indexing
      • Bibliographic Information
      • Archive
    • International Journal of Epigenetics
      • International Journal of Epigenetics
      • Information for Authors
      • Editorial Policies
      • Editorial Board
      • Aims and Scope
      • Abstracting and Indexing
      • Bibliographic Information
      • Archive
    • Medicine International
      • Medicine International
      • Information for Authors
      • Editorial Policies
      • Editorial Board
      • Aims and Scope
      • Abstracting and Indexing
      • Bibliographic Information
      • Archive
  • Articles
  • Information
    • Information for Authors
    • Information for Reviewers
    • Information for Librarians
    • Information for Advertisers
    • Conferences
  • Language Editing
Spandidos Publications Logo
  • About
    • About Spandidos
    • Aims and Scopes
    • Abstracting and Indexing
    • Editorial Policies
    • Reprints and Permissions
    • Job Opportunities
    • Terms and Conditions
    • Contact
  • Journals
    • All Journals
    • Biomedical Reports
      • Information for Authors
      • Editorial Policies
      • Editorial Board
      • Aims and Scope
      • Abstracting and Indexing
      • Bibliographic Information
      • Archive
    • Experimental and Therapeutic Medicine
      • Information for Authors
      • Editorial Policies
      • Editorial Board
      • Aims and Scope
      • Abstracting and Indexing
      • Bibliographic Information
      • Archive
    • International Journal of Epigenetics
      • Information for Authors
      • Editorial Policies
      • Editorial Board
      • Aims and Scope
      • Abstracting and Indexing
      • Bibliographic Information
      • Archive
    • International Journal of Functional Nutrition
      • Information for Authors
      • Editorial Policies
      • Editorial Board
      • Aims and Scope
      • Abstracting and Indexing
      • Bibliographic Information
      • Archive
    • International Journal of Molecular Medicine
      • Information for Authors
      • Editorial Policies
      • Editorial Board
      • Aims and Scope
      • Abstracting and Indexing
      • Bibliographic Information
      • Archive
    • International Journal of Oncology
      • Information for Authors
      • Editorial Policies
      • Editorial Board
      • Aims and Scope
      • Abstracting and Indexing
      • Bibliographic Information
      • Archive
    • Medicine International
      • Information for Authors
      • Editorial Policies
      • Editorial Board
      • Aims and Scope
      • Abstracting and Indexing
      • Bibliographic Information
      • Archive
    • Molecular and Clinical Oncology
      • Information for Authors
      • Editorial Policies
      • Editorial Board
      • Aims and Scope
      • Abstracting and Indexing
      • Bibliographic Information
      • Archive
    • Molecular Medicine Reports
      • Information for Authors
      • Editorial Policies
      • Editorial Board
      • Aims and Scope
      • Abstracting and Indexing
      • Bibliographic Information
      • Archive
    • Oncology Letters
      • Information for Authors
      • Editorial Policies
      • Editorial Board
      • Aims and Scope
      • Abstracting and Indexing
      • Bibliographic Information
      • Archive
    • Oncology Reports
      • Information for Authors
      • Editorial Policies
      • Editorial Board
      • Aims and Scope
      • Abstracting and Indexing
      • Bibliographic Information
      • Archive
    • World Academy of Sciences Journal
      • Information for Authors
      • Editorial Policies
      • Editorial Board
      • Aims and Scope
      • Abstracting and Indexing
      • Bibliographic Information
      • Archive
  • Articles
  • Information
    • For Authors
    • For Reviewers
    • For Librarians
    • For Advertisers
    • Conferences
  • Language Editing
Login Register Submit
  • This site uses cookies
  • You can change your cookie settings at any time by following the instructions in our Cookie Policy. To find out more, you may read our Privacy Policy.

    I agree
Search articles by DOI, keyword, author or affiliation
Search
Advanced Search
presentation
Oncology Letters
Join Editorial Board Propose a Special Issue
Print ISSN: 1792-1074 Online ISSN: 1792-1082
Journal Cover
May-2025 Volume 29 Issue 5

Full Size Image

Sign up for eToc alerts
Recommend to Library

Journals

International Journal of Molecular Medicine

International Journal of Molecular Medicine

International Journal of Molecular Medicine is an international journal devoted to molecular mechanisms of human disease.

International Journal of Oncology

International Journal of Oncology

International Journal of Oncology is an international journal devoted to oncology research and cancer treatment.

Molecular Medicine Reports

Molecular Medicine Reports

Covers molecular medicine topics such as pharmacology, pathology, genetics, neuroscience, infectious diseases, molecular cardiology, and molecular surgery.

Oncology Reports

Oncology Reports

Oncology Reports is an international journal devoted to fundamental and applied research in Oncology.

Experimental and Therapeutic Medicine

Experimental and Therapeutic Medicine

Experimental and Therapeutic Medicine is an international journal devoted to laboratory and clinical medicine.

Oncology Letters

Oncology Letters

Oncology Letters is an international journal devoted to Experimental and Clinical Oncology.

Biomedical Reports

Biomedical Reports

Explores a wide range of biological and medical fields, including pharmacology, genetics, microbiology, neuroscience, and molecular cardiology.

Molecular and Clinical Oncology

Molecular and Clinical Oncology

International journal addressing all aspects of oncology research, from tumorigenesis and oncogenes to chemotherapy and metastasis.

World Academy of Sciences Journal

World Academy of Sciences Journal

Multidisciplinary open-access journal spanning biochemistry, genetics, neuroscience, environmental health, and synthetic biology.

International Journal of Functional Nutrition

International Journal of Functional Nutrition

Open-access journal combining biochemistry, pharmacology, immunology, and genetics to advance health through functional nutrition.

International Journal of Epigenetics

International Journal of Epigenetics

Publishes open-access research on using epigenetics to advance understanding and treatment of human disease.

Medicine International

Medicine International

An International Open Access Journal Devoted to General Medicine.

Journal Cover
May-2025 Volume 29 Issue 5

Full Size Image

Sign up for eToc alerts
Recommend to Library

  • Article
  • Citations
    • Cite This Article
    • Download Citation
    • Create Citation Alert
    • Remove Citation Alert
    • Cited By
  • Similar Articles
    • Related Articles (in Spandidos Publications)
    • Similar Articles (Google Scholar)
    • Similar Articles (PubMed)
  • Download PDF
  • Download XML
  • View XML

  • Supplementary Files
    • Supplementary_Data.pdf
Case Report Open Access

Synchronous occurrence of primary gastric and liver cancer: A case report

  • Authors:
    • Xiaomin Zhang
    • Xiaoying Han
  • View Affiliations / Copyright

    Affiliations: Department of Gastroenterology, Xiangyang Central Hospital, Affiliated Hospital of Hubei University of Arts and Science, Xiangyang, Hubei 441021, P.R. China
    Copyright: © Zhang et al. This is an open access article distributed under the terms of Creative Commons Attribution License.
  • Article Number: 222
    |
    Published online on: March 6, 2025
       https://doi.org/10.3892/ol.2025.14968
  • Expand metrics +
Metrics: Total Views: 0 (Spandidos Publications: | PMC Statistics: )
Metrics: Total PDF Downloads: 0 (Spandidos Publications: | PMC Statistics: )
Cited By (CrossRef): 0 citations Loading Articles...

This article is mentioned in:



Abstract

Primary gastric and liver cancers rank among the most prevalent malignant tumors of the digestive tract. Despite their serious implications for health, the global age‑standardized incidence remains relatively low, at ~11.1 per 100,000 for primary gastric cancer and ~8.657 per 100,000 for primary liver cancer. Although the occurrence of multiple primary malignancies is not uncommon in clinical practice, reports of synchronous primary gastric and liver cancer are exceedingly rare. The present study describes a case involving a 60‑year‑old man diagnosed with synchronous primary gastric and liver cancer. The patient underwent endoscopic submucosal dissection for lesions located at the gastric angle, followed by laparoscopic resection of a small liver tumor. Pathological examinations revealed moderately differentiated intramucosal adenocarcinoma at the gastric angle and well‑differentiated hepatocellular carcinoma in the liver. Following a 3‑year follow‑up, the patient remained in good health, with no evidence of disease recurrence. In conclusion, clinicians should exercise caution in patients presenting with distinct lesions to ensure that subtle malignancies are not overlooked, particularly in those with confirmed cancer. For patients with multiple cancers, it is crucial to ascertain whether the malignancies are primary, as this determination influences treatment strategies.

Introduction

Gastric cancer is a prevalent malignancy associated with a high mortality rate, which poses a significant threat to human health. Despite a declining trend in incidence over recent decades, gastric cancer remains the fifth most common cancer and the fourth leading cause of cancer-related death worldwide (1). In China, gastric cancer ranks third in both incidence and mortality among all types of cancer, with an estimated global age-standardized incidence rate of 11.1 per 100,000 (2). Systemic treatments, including radical surgery, endoscopic resection, chemotherapy, targeted therapy and immunotherapy, have notably evolved, allowing clinicians to tailor therapeutic strategies based on individual disease conditions (1,3).

Primary liver cancer, encompassing hepatocellular carcinoma and cholangiocarcinoma, presents a substantial global mortality burden; it ranks sixth in incidence among all cancer types and is the third leading cause of cancer-related death (4). The global age-standardized incidence of primary liver cancer was 8.657 per 100,000 in 2017 (5). China, where the prevalence of hepatitis B virus is high, accounts for ~50% of the global liver cancer burden (6). Hepatectomy remains the cornerstone of treatment strategies for liver cancer, complemented by systemic therapies, such as chemotherapy and immunotherapy (7).

Synchronous tumors, defined as independent primary tumors that arise simultaneously, have become increasingly recognized with advancements in diagnostic and therapeutic methods. Multiple primary malignancies are not uncommon in clinical practice; however, cases involving synchronous primary gastric and liver cancer are rarely reported (8,9). The present study aimed to present the diagnosis and treatment progress of a patient with synchronous primary gastric and liver cancer, providing insights into the clinical management of similar cases (10).

Case report

Case presentation

A 60-year-old man presented to Xiangyang Central Hospital (Xiangyang, China) in September 2020 with a hepatic space-occupying lesion identified via B-ultrasonography during routine physical examinations. Subsequent upper abdominal enhanced magnetic resonance imaging (MRI) indicated a high probability of liver cancer in the right lobe, as well as a gastric space-occupying lesion. The family history was unremarkable, with no reported malignancies among relatives. The patient had a personal history of long-term heavy alcohol consumption (~250 ml of 50% ABV spirits every day for 40 years) but was a non-smoker. Additionally, the patient had a 20-year history of hypertension and had been diagnosed with a fatty liver 1 year prior. For the management of hypertension, the patient was taking nimodipine (20 mg, three times/day) and captopril (25 mg, three times/day) orally.

Physical examination revealed a generally good condition, with no signs of liver palms or spider angiomas. Respiratory and cardiovascular systems were normal, and there were no abdominal symptoms. The blood chemistry tests revealed the following results: Hepatitis B surface antigen, 0 IU/ml; antibody to hepatitis B surface antigen, 36.62 mIU/ml; hepatitis B e antigen, 0.304 s/co; antibody to hepatitis B e antigen, 1.04 s/co; antibody to hepatitis B core antigen, 7.38 s/co; and anti-hepatitis C virus, 0.04 s/co (negative). Additionally, tumor markers including α-fetoprotein, carcinoembryonic antigen, cancer antigen (CA)125, CA19-9, squamous cell carcinoma antigen, total prostate-specific antigen and free prostate-specific antigen were all within normal limits. However, prothrombin induced by vitamin K absence or antagonist II was elevated at 46.75 mAU/ml (normal range, <40 mAU/ml). The patient had been exposed to Helicobacter pylori, as indicated by the results of a H. pylori antibody typing test. while levels of alanine aminotransferase (ALT; 48 U/l; normal range, 9–50 U/l) and aspartate aminotransferase (AST; 32 U/l; normal range, 15–30 U/l) remained normal.

A total abdominal enhanced computed tomography (CT) scan suggested a high likelihood of primary liver cancer and identified a stromal tumor on the lesser curvature of the stomach. Yellow circles highlight a lesion in the gastric fundus (Fig. 1). To further evaluate the gastric soft tissue lesion, gastroscopy was performed, revealing a neoplasm measuring 2.5 cm in diameter with a pedicle, alongside necrosis and ulceration on its surface (Fig. 2). A patchy, rough mucous membrane exhibiting a granular appearance was observed in the gastric angle but not seen under CT images, classified as type IIa + IIc according to the Japanese Research Society for Gastric Cancer (Fig. 3) (11). Narrow band imaging revealed local irregularities in glandular ducts and neovascularization. Pathological examination indicated high-grade dysplasia of the mucosal glandular epithelium, accompanied by chronic active inflammation, surface necrosis and erosion. Given the presence of tumors in both the liver and gastric angle, it remained uncertain whether the patient had synchronous primary tumors or a gastric tumor with liver metastasis. To clarify the diagnosis, an enhanced MRI with a liver-specific contrast agent (disodium gadoxelate) was conducted, confirming primary liver cancer in the S5 segment and early gastric cancer in the gastric angle (Fig. 4).

Figure 1.

Total abdominal enhanced CT revealed space-occupying lesions in the stomach and liver. (A) Plain scan, (B) arterial phase, (C) portal phase and (D) delayed phase CT images of the liver segment 5 lesion. Red circles indicate a liver lesion in segment 5. (E) Plain and (F) enhanced CT scans show a protruding lesion that is of similar size to other lesions demonstrating progressive enhancement. Yellow circles highlight a lesion in the gastric fundus. CT, computed tomography.

Figure 2.

Gastroscopy revealed a pedunculated neoplasm in the stomach. The neoplasm was 2.5 cm in diameter, with necrosis and ulceration visible on its surface from different angles.

Figure 3.

Gastroscopy demonstrated a patchy, rough mucosa in the gastric angle. (A) Under white light and NBI endoscopy, a IIa + IIc lesion was observed in the gastric angle, with a clear boundary. (B) The lesion appeared reddish under white light and tea-colored under NBI, with spontaneous bleeding on the surface but without any irregular or notched edges. (C) Loop-like blood vessels were visible and the glandular ducts exhibited fusion. (D) Mesh-like blood vessels were observed, some of which were irregular (fractured mesh-like blood vessels). These findings suggested that the early carcinoma contains moderately differentiated components. (E) Background mucosa exhibited intestinal metaplasia and atrophy, with (F) light blue crest, irregular glandular ducts, and twisted and thickened blood vessels.

Figure 4.

Enhanced MRI examination suggests that the lesion in segment S5 of the liver is primary hepatocellular carcinoma. (A) A nodular slightly hyperintense signal is observed in the liver parenchyma of segment S5 on T2-weighted images (red circle). (B) A nodular slightly hyperintense signal is observed in the liver parenchyma of segment S5 on T1-weighted images (red circle). (C) The lesion in the liver parenchyma of segment S5 shows significant enhancement during the arterial phase (red circle). (D) The lesion in the liver parenchyma of segment S5 shows slight washout during the portal and delayed phases, with intensity lower than that of the surrounding liver parenchyma (red circle). (E) No significant enhancement of the lesion in the liver parenchyma of segment S5 is observed during the hepatobiliary phase (red circle).

A multidisciplinary discussion led to the formulation of a clinical therapeutic strategy. The patient underwent endoscopic submucosal dissection (ESD) for the gastric angle lesion, followed by laparoscopic resection of the small liver cancer 2 weeks later. A hook knife was used to mark the lesion edge (Fig. 5A) and a dye-saline solution was injected to enhance visibility (Fig. 5B). The procedure involved gradually dissecting the lesion to ensure a complete resection (Fig. 5C); the resected specimen measured ~5×3 cm (Fig. 5D). The patient did not receive chemotherapy or radiotherapy before or after surgery based on their clinical condition.

Figure 5.

Endoscopic submucosal dissection was performed to resect the gastric angle lesion. (A) A hook knife was used to mark the lesion edge. (B) A dye-saline solution was injected to enhance visibility. (C) The procedure involved gradually dissecting the lesion to ensure a complete resection. (D) Resected specimen measured ~5×3 cm.

Pathological findings
Microscopic findings

The gastric cancer displayed features of moderately differentiated adenocarcinoma (Fig. 6), as determined by hematoxylin and eosin staining. Staining was performed as follows: Tissues were fixed in 10% neutral formalin solution at room temperature (20–25°C) for 24 h. Subsequently, the fixed tissue samples were dehydrated by sequentially placing them in different concentrations of ethanol (70, 80, 90, 95 and 100%, each for 1–2 h), followed by immersion in xylene for 10–30 min. The sections were then immersed in paraffin wax at 58–60°C for 2–4 h, poured into embedding molds, and allowed to cool and solidify at room temperature. A microtome was used to cut the embedded tissue into thin sections (4–6 µm) and the sections were dried in an oven at 70°C for 30 min. Hematoxylin and eosin staining was then performed at 25–30°C. The sections were deparaffinized and rehydrated, then stained in 0.5% hematoxylin solution for 5 min. The excess dye was removed, the sections were differentiated in a differentiation solution (1% hydrochloric acid + 75% ethanol) for 2–5 sec and then soaked in 0.5% ammonia solution for 30 sec. Finally, the sections were stained in 1% eosin for 3–5 min, and rinsed in running water before dehydrating and mounting the slides. The sections were observed under a Nikon ECLIPSE Ci optical microscope (Nikon Corporation). No cancerous tissue was detected in the submucosa or peripheral surgical margins. The liver cancer exhibited characteristics of highly differentiated hepatocellular carcinoma without significant capsule invasion (Fig. 7). Surrounding liver tissue showed no signs of cirrhosis; liver cell arrangement was regular, with localized hydropic degeneration of hepatocytes and infiltrates of chronic inflammatory cells, such as lymphocytes, in the portal area. No metastatic cancer was found in level 3 (0/3), 5 (0/3) or 7 (0/1) lymph nodes.

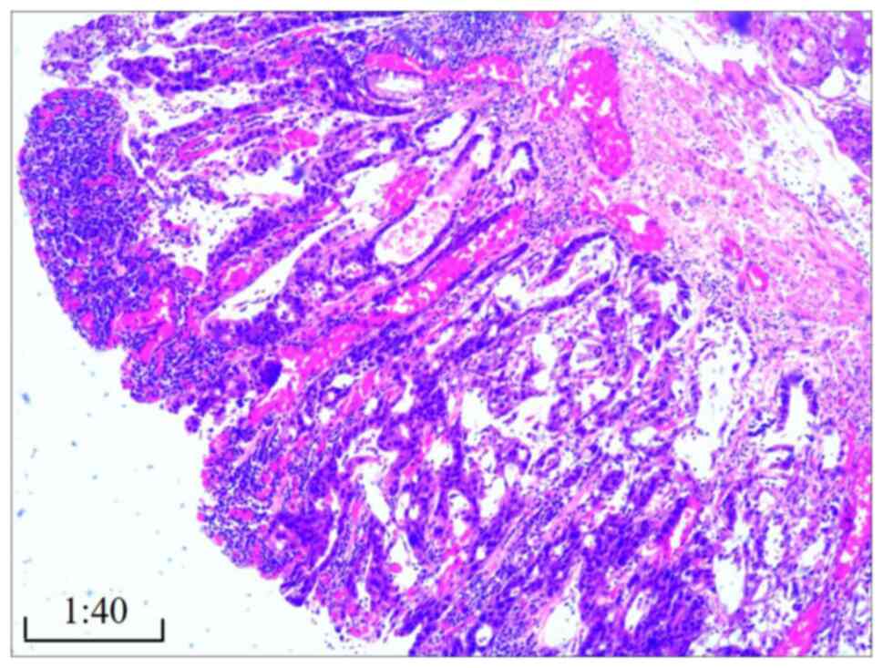
Figure 6.

Pathological examination of the gastric angle lesion using hematoxylin and eosin staining (magnification, ×40) revealed a moderately differentiated intramucosal adenocarcinoma, classified as type 0-IIa + IIc, pT1a (M), Ly0, V0, pHM0, and pVM0.

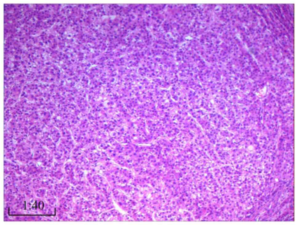
Figure 7.

Pathological examination of the liver lesion using hematoxylin and eosin staining (magnification, ×40) showed a well-differentiated hepatocellular carcinoma with a predominantly coarse cord and fine beam cord pattern, without obvious capsular invasion. The surrounding liver tissue did not show notable cirrhotic changes, with local water degeneration and chronic inflammatory cell infiltration.

Immunohistochemistry

Immunohistochemistry was performed as described previously (12). Liver cancer cells were revealed to be positive for cytokeratin (CK)18 (1:100; cat. no. ab668; Abcam), CD34 (1:50; cat. no. M7165; Dako; Agilent Technologies, Inc.), Glypican-3 (1:200; cat. no. 758102; BioLegend, Inc.) and Ki-67 (5%) (1:100; cat. no. M7240; Dako; Agilent Technologies, Inc.), whereas they were negative for CK19 (1:100; cat. no. ab52625; Abcam) and CD10 (1:50; cat. no. 555373; BD Biosciences) (Fig. S1). Based on microscopic and immunohistochemical findings, the diagnosis was established as synchronous intramucosal adenocarcinoma in the gastric angle and hepatocellular carcinoma. Positive markers:

Diagnosis

A gastroscopy and biopsy was performed first to determine high-grade dysplasia of mucosal glandular epithelium with chronic active inflammation, surface necrosis and erosion. Subsequently, enhanced MRI indicated primary gastric and liver cancer. Nodular long T1 and long T2 signals were seen in the S5 segment of the hepatic parenchyma, and the signals were slightly higher on diffused weighted imaging. The signal was markedly increased during the arterial phase following contrast administration, then slightly decreased in the portal and delayed phases, with intensity lower than that of the surrounding hepatic parenchyma. No marked enhancement was observed in the hepatobiliary phase, and the cross-section size of the neoplasm was ~2.0×2.4 cm, which was considered hepatocellular carcinoma. The final diagnosis depended on the postoperative pathology.

Follow-up

The patient was monitored at 6-month intervals for 3 years. As of November 2023, the patient remains asymptomatic. Repeated gastroscopy with histopathological examination and abdominal enhanced MRI revealed no recurrence of gastric or liver cancer (Fig. 8).

Figure 8.

Gastroscopy during follow-up showed no recurrence of the gastric angle lesion. Images captured at (A) 6, (B) 12, (C) 18, (D) 24, (E) 30 and (F) 36 months, revealing a postoperative scar in the gastric angle.

Discussion

Multiple primary cancers are not uncommon in clinical practice, especially with the advancement of diagnostic techniques. A previous study reported that one-third of patients with synchronous primary cancer had gastric cancer (10). However, although there has been a report regarding synchronous liver metastases from gastric cancer (13), the simultaneous occurrence of these two primary malignancies is rare. The present study described the case of a patient with primary gastric and liver cancer, which, to the best of our knowledge, has rarely been reported.

The term ‘multiple cancers’ refers to the synchronous or metachronous appearance of primary cancers in the same patient (14). The Surveillance, Epidemiology, and End Results program recommends that second primary cancers occurring within 2 months of the first primary tumor should be defined as synchronous multiple primary cancers (15,16). For patients with multiple types of cancer, it is crucial to determine whether the cancers are all primary or if one is a primary cancer and the other a metastatic cancer (17).

In the present case, the patient visited the hospital due to the presence of space-occupying lesions in the stomach and liver. In this case, the patchy, rough mucous membrane with a granular appearance in the gastric angle, classified as type IIa + IIc, indicated that the lesion displayed both elevated and depressed features, suggesting a complex lesion that could potentially have implications for diagnosis and treatment, including the possibility of malignancy. Pathological examination showed high-grade dysplasia of the mucosal glandular epithelium, making a definitive diagnosis of early gastric cancer difficult. However, the small early gastric carcinoma (gastric angle lesion) cannot easily be recognized on CT/MRI. Gastroscopy is the most effective way to detect early gastric cancer. Additionally, it was unclear whether the lesion in the S5 segment of the liver was a primary cancer or a metastatic lesion. Therefore, narrow-band imaging was performed, which showed irregular glandular ducts and neovascularization in the local area. Collectively, the lesion in the gastric angle was considered an early-stage lesion. Liver-specific contrast agent-enhanced MRI suggested that the liver lesion was highly likely to be primary liver cancer (18,19). The S5 space occupying lesion exhibited a ‘fast in and fast out’ appearance in the enhanced MRI; that is, the primary hepatocellular carcinomatosis was enhanced in the arterial stage, the liver tissue was strengthened in the venous stage suggesting primary hepatocellular carcinoma. The postoperative pathology test showed that the liver cancer exhibited characteristics of highly differentiated hepatocellular carcinoma without significant capsule invasion. Surrounding liver tissue showed no signs of cirrhosis; liver cell arrangement was regular, with localized hydropic degeneration of hepatocytes and infiltrates of chronic inflammatory cells, such as lymphocytes, in the portal area. The patient had a personal history of long-term heavy drinking and hypertension for 20 years, and fatty liver for 1 year. Therefore, there may be multiple possibilities for the degeneration. Regarding the levels of ALT and AST in the serum, these were normal. The most common explanation for why AST and ALT levels were normal is that a number of hepatitis B virus carriers have normal transaminase levels during annual physical examinations, but they can develop cirrhosis after a number of years. Based on the comprehensive examinations, the patient was diagnosed with synchronous primary liver cancer and early gastric cancer.

While studies on the treatment of primary gastric cancer with metastatic liver cancer are widely reported (20,21), treatment strategies for patients with synchronous primary liver and gastric cancer have not been well-documented. According to guidelines, ESD is suitable for the treatment of early gastric cancer (22), and local treatment or surgical resection is appropriate for small liver cancer (23,24). However, the optimal management of patients with synchronous primary small liver cancer and early gastric cancer remains a challenge, as no specific guidelines are available.

After multidisciplinary discussions involving the gastroenterology, hepatobiliary surgery, gastrointestinal surgery and imaging departments, and after thorough communication and consultation with the patient, the final treatment plan was decided: ESD for the gastric angle cancer and laparoscopic resection for the small liver cancer. Postoperative pathological examination confirmed the diagnosis of primary hepatocellular carcinoma and gastric angle adenocarcinoma, both at an early stage, validating the appropriateness of the chosen therapeutic strategy. After 3 years of follow-up, the patient had a good prognosis with no tumor recurrence.

Tanjak et al (14) analyzed 109,054 patients with a primary solid cancer and revealed that 1,785 patients (1.63%) had multiple primary cancers. In patients with multiple cancers, the second most common primary cancer type was liver cancer. Therefore, it is of great clinical importance to conduct comprehensive examinations for patients with suspected liver cancer during their initial visit and during follow-up after treatment.

In conclusion, in clinical practice, caution should be exercised when dealing with patients with definite lesions to avoid overlooking subtle lesions. Comprehensive examinations should be performed for patients with cancer to check for the presence of other primary cancers. For patients with multiple cancers, determining whether the cancers are primary or metastatic is crucial, and a personalized therapeutic strategy based on multidisciplinary discussion is of utmost clinical value.

Supplementary Material

Supporting Data

Acknowledgements

Not applicable.

Funding

Funding: No funding was received.

Availability of data and materials

The data generated in the present study may be requested from the corresponding author.

Authors' contributions

XZ and XH drafted and edited the manuscript. XH treated the patient, and provided insights into the work-up and treatment of the patient. XZ also participated in the follow-up management of the patient, and was involved in the conceptualization of the article, data analysis, drafting the manuscript and interpretation of the findings. XZ and XH confirm the authenticity of all the raw data. Both authors have read and approved the final version of the manuscript.

Ethics approval and consent to participate

Not applicable.

Patient consent for publication

Written informed consent was obtained from the patient for publication of the case report and relevant images.

Competing interests

The authors declare that they have no competing interests.

References

1 

Sung H, Ferlay J, Siegel RL, Laversanne M, Soerjomataram I, Jemal A and Bray F: Global cancer statistics 2020: GLOBOCAN estimates of incidence and mortality worldwide for 36 cancers in 185 countries. CA Cancer J Clin. 71:209–249. 2021. View Article : Google Scholar : PubMed/NCBI

2 

Smyth EC, Nilsson M, Grabsch HI, van Grieken NC and Lordick F: Gastric cancer. Lancet (London, England). 396:635–648. 2020. View Article : Google Scholar : PubMed/NCBI

3 

Yang WJ, Zhao HP, Yu Y, Wang JH, Guo L, Liu JY, Liu JY, Pu J and Lv J: Updates on global epidemiology, risk and prognostic factors of gastric cancer. World J Gastroenterol. 29:2452–2468. 2023. View Article : Google Scholar : PubMed/NCBI

4 

Guan WL, He Y and Xu RH: Gastric cancer treatment: Recent progress and future perspectives. J Hematol Oncol. 16:572023. View Article : Google Scholar : PubMed/NCBI

5 

Anwanwan D, Singh SK, Singh S, Saikam V and Singh R: Challenges in liver cancer and possible treatment approaches. Biochim Biophys Acta Rev Cancer. 1873:1883142020. View Article : Google Scholar : PubMed/NCBI

6 

Gravitz L: Liver cancer. Nature. 516:S12014. View Article : Google Scholar : PubMed/NCBI

7 

Yao Z, Dai C, Yang J, Xu M, Meng H, Hu X and Lin N: Time-trends in liver cancer incidence and mortality rates in the U.S. from 1975 to 2017: A study based on the surveillance, epidemiology, and end results database. J Gastrointest Oncol. 14:312–324. 2023. View Article : Google Scholar : PubMed/NCBI

8 

Chen CH, Wu MS, Yang YW, Liu YT, Chiu YF, Hsu CC, Chuang SC, Chung TC, Tsai TL, Huang WH, et al: Longitudinal changes in physical and mental health of older adults with chronic hepatitis B infection: Trajectories and predictors. Prev Med Rep. 23:1014322021. View Article : Google Scholar : PubMed/NCBI

9 

Demir T, Lee SS and Kaseb AO: Systemic therapy of liver cancer. Adv Cancer Res. 149:257–294. 2021. View Article : Google Scholar : PubMed/NCBI

10 

Fan H, Lu P, Xu L, Qin Y and Li J: Synchronous occurrence of hereditary gastric adenocarcinoma, gastrointestinal stromal tumor, and esophageal small cell and squamous carcinoma in situ: An extremely rare case report. BMC Cancer. 17:7202017. View Article : Google Scholar : PubMed/NCBI

11 

Gastric Cancer Association, . Japanese gastric cancer treatment guidelines 2018 (5th edition). Gastric Cancer. 24:1–21. 2021. View Article : Google Scholar : PubMed/NCBI

12 

Magaki S, Hojat SA, Wei B, So A and Yong WH: An Introduction to the performance of immunohistochemistry. Methods Mol Biol. 1897:289–298. 2019. View Article : Google Scholar : PubMed/NCBI

13 

Yu P, Zhang Y, Ye Z, Chen X, Huang L, Du Y and Cheng X: Treatment of synchronous liver metastases from gastric cancer: A single-center study. Cancer Manag Res. 12:7905–7911. 2020. View Article : Google Scholar : PubMed/NCBI

14 

Tanjak P, Suktitipat B, Vorasan N, Juengwiwattanakitti P, Thiengtrong B, Songjang C, Therasakvichya S, Laiteerapong S and Chinswangwatanakul V: Risks and cancer associations of metachronous and synchronous multiple primary cancers: A 25-year retrospective study. BMC Cancer. 21:10452021. View Article : Google Scholar : PubMed/NCBI

15 

Fan H, Wen R, Zhou L, Gao X, Lou Z, Hao L, Meng R, Gong H, Yu G and Zhang W: Clinicopathological features and prognosis of synchronous and metachronous colorectal cancer: A retrospective cohort study. Int J Surg. 109:4073–4090. 2023.PubMed/NCBI

16 

Xiong J, Su Y, Bing Z and Zhao B: Survival between synchronous and non-synchronous multiple primary cutaneous melanomas-a SEER database analysis. Peer J. 8:e83162020. View Article : Google Scholar : PubMed/NCBI

17 

Vogt A, Schmid S, Heinimann K, Frick H, Herrmann C, Cerny T and Omlin A: Multiple primary tumours: Challenges and approaches, a review. ESMO Open. 2:e0001722017. View Article : Google Scholar : PubMed/NCBI

18 

Ringe KI, Fischbach F, Grenacher L, Juchems MS, Kukuk G, Lauenstein T, Wessling J and Schreyer AG: Application of liver-specific contrast agents for evaluation of focal liver lesions-Expert recommendations from the Gastrointestinal and Abdominal Imaging Workgroup of the German Roentgen Society. Rofo. 196:690–698. 2024. View Article : Google Scholar : PubMed/NCBI

19 

Thian YL, Riddell AM and Koh DM: Liver-specific agents for contrast-enhanced MRI: Role in oncological imaging. Cancer imaging. 13:567–579. 2013. View Article : Google Scholar : PubMed/NCBI

20 

Jagric T and Horvat M: Surgical resection of synchronous liver metastases in gastric cancer patients. A propensity score-matched study. Radiol Oncol. 55:57–65. 2013. View Article : Google Scholar : PubMed/NCBI

21 

Martella L, Bertozzi S, Londero AP, Steffan A, De Paoli P and Bertola G: Surgery for liver metastases from gastric cancer: A meta-analysis of observational studies. Medicine (Baltimore). 94:e11132015. View Article : Google Scholar : PubMed/NCBI

22 

Ono H, Yao K, Fujishiro M, Oda I, Uedo N, Nimura S, Yahagi N, Iishi H, Oka M, Ajioka Y and Fujimoto K: Guidelines for endoscopic submucosal dissection and endoscopic mucosal resection for early gastric cancer (second edition). Dig Endosc. 33:4–20. 2021. View Article : Google Scholar : PubMed/NCBI

23 

Yoshida H, Yoshida H, Shiina S and Omata M: Early liver cancer: Concepts, diagnosis, and management. Int J Clin Oncol. 10:384–390. 2005. View Article : Google Scholar : PubMed/NCBI

24 

Vogel A, Cervantes A, Chau I, Daniele B, Llovet JM, Meyer T, Nault JC, Neumann U, Ricke J, Sangro B, et al: Hepatocellular carcinoma: ESMO clinical practice guidelines for diagnosis, treatment and follow-up. Ann Oncol. 29 (Suppl):iv238–iv55. 2018. View Article : Google Scholar : PubMed/NCBI

Related Articles

  • Abstract
  • View
  • Download
  • Twitter
Copy and paste a formatted citation
Spandidos Publications style
Zhang X and Han X: Synchronous occurrence of primary gastric and liver cancer: A case report. Oncol Lett 29: 222, 2025.
APA
Zhang, X., & Han, X. (2025). Synchronous occurrence of primary gastric and liver cancer: A case report. Oncology Letters, 29, 222. https://doi.org/10.3892/ol.2025.14968
MLA
Zhang, X., Han, X."Synchronous occurrence of primary gastric and liver cancer: A case report". Oncology Letters 29.5 (2025): 222.
Chicago
Zhang, X., Han, X."Synchronous occurrence of primary gastric and liver cancer: A case report". Oncology Letters 29, no. 5 (2025): 222. https://doi.org/10.3892/ol.2025.14968
Copy and paste a formatted citation
x
Spandidos Publications style
Zhang X and Han X: Synchronous occurrence of primary gastric and liver cancer: A case report. Oncol Lett 29: 222, 2025.
APA
Zhang, X., & Han, X. (2025). Synchronous occurrence of primary gastric and liver cancer: A case report. Oncology Letters, 29, 222. https://doi.org/10.3892/ol.2025.14968
MLA
Zhang, X., Han, X."Synchronous occurrence of primary gastric and liver cancer: A case report". Oncology Letters 29.5 (2025): 222.
Chicago
Zhang, X., Han, X."Synchronous occurrence of primary gastric and liver cancer: A case report". Oncology Letters 29, no. 5 (2025): 222. https://doi.org/10.3892/ol.2025.14968
Follow us
  • Twitter
  • LinkedIn
  • Facebook
About
  • Spandidos Publications
  • Careers
  • Cookie Policy
  • Privacy Policy
How can we help?
  • Help
  • Live Chat
  • Contact
  • Email to our Support Team