Spandidos Publications Logo
  • About
    • About Spandidos
    • Aims and Scopes
    • Abstracting and Indexing
    • Editorial Policies
    • Reprints and Permissions
    • Job Opportunities
    • Terms and Conditions
    • Contact
  • Journals
    • All Journals
    • Oncology Letters
      • Oncology Letters
      • Information for Authors
      • Editorial Policies
      • Editorial Board
      • Aims and Scope
      • Abstracting and Indexing
      • Bibliographic Information
      • Archive
    • International Journal of Oncology
      • International Journal of Oncology
      • Information for Authors
      • Editorial Policies
      • Editorial Board
      • Aims and Scope
      • Abstracting and Indexing
      • Bibliographic Information
      • Archive
    • Molecular and Clinical Oncology
      • Molecular and Clinical Oncology
      • Information for Authors
      • Editorial Policies
      • Editorial Board
      • Aims and Scope
      • Abstracting and Indexing
      • Bibliographic Information
      • Archive
    • Experimental and Therapeutic Medicine
      • Experimental and Therapeutic Medicine
      • Information for Authors
      • Editorial Policies
      • Editorial Board
      • Aims and Scope
      • Abstracting and Indexing
      • Bibliographic Information
      • Archive
    • International Journal of Molecular Medicine
      • International Journal of Molecular Medicine
      • Information for Authors
      • Editorial Policies
      • Editorial Board
      • Aims and Scope
      • Abstracting and Indexing
      • Bibliographic Information
      • Archive
    • Biomedical Reports
      • Biomedical Reports
      • Information for Authors
      • Editorial Policies
      • Editorial Board
      • Aims and Scope
      • Abstracting and Indexing
      • Bibliographic Information
      • Archive
    • Oncology Reports
      • Oncology Reports
      • Information for Authors
      • Editorial Policies
      • Editorial Board
      • Aims and Scope
      • Abstracting and Indexing
      • Bibliographic Information
      • Archive
    • Molecular Medicine Reports
      • Molecular Medicine Reports
      • Information for Authors
      • Editorial Policies
      • Editorial Board
      • Aims and Scope
      • Abstracting and Indexing
      • Bibliographic Information
      • Archive
    • World Academy of Sciences Journal
      • World Academy of Sciences Journal
      • Information for Authors
      • Editorial Policies
      • Editorial Board
      • Aims and Scope
      • Abstracting and Indexing
      • Bibliographic Information
      • Archive
    • International Journal of Functional Nutrition
      • International Journal of Functional Nutrition
      • Information for Authors
      • Editorial Policies
      • Editorial Board
      • Aims and Scope
      • Abstracting and Indexing
      • Bibliographic Information
      • Archive
    • International Journal of Epigenetics
      • International Journal of Epigenetics
      • Information for Authors
      • Editorial Policies
      • Editorial Board
      • Aims and Scope
      • Abstracting and Indexing
      • Bibliographic Information
      • Archive
    • Medicine International
      • Medicine International
      • Information for Authors
      • Editorial Policies
      • Editorial Board
      • Aims and Scope
      • Abstracting and Indexing
      • Bibliographic Information
      • Archive
  • Articles
  • Information
    • Information for Authors
    • Information for Reviewers
    • Information for Librarians
    • Information for Advertisers
    • Conferences
  • Language Editing
Spandidos Publications Logo
  • About
    • About Spandidos
    • Aims and Scopes
    • Abstracting and Indexing
    • Editorial Policies
    • Reprints and Permissions
    • Job Opportunities
    • Terms and Conditions
    • Contact
  • Journals
    • All Journals
    • Biomedical Reports
      • Information for Authors
      • Editorial Policies
      • Editorial Board
      • Aims and Scope
      • Abstracting and Indexing
      • Bibliographic Information
      • Archive
    • Experimental and Therapeutic Medicine
      • Information for Authors
      • Editorial Policies
      • Editorial Board
      • Aims and Scope
      • Abstracting and Indexing
      • Bibliographic Information
      • Archive
    • International Journal of Epigenetics
      • Information for Authors
      • Editorial Policies
      • Editorial Board
      • Aims and Scope
      • Abstracting and Indexing
      • Bibliographic Information
      • Archive
    • International Journal of Functional Nutrition
      • Information for Authors
      • Editorial Policies
      • Editorial Board
      • Aims and Scope
      • Abstracting and Indexing
      • Bibliographic Information
      • Archive
    • International Journal of Molecular Medicine
      • Information for Authors
      • Editorial Policies
      • Editorial Board
      • Aims and Scope
      • Abstracting and Indexing
      • Bibliographic Information
      • Archive
    • International Journal of Oncology
      • Information for Authors
      • Editorial Policies
      • Editorial Board
      • Aims and Scope
      • Abstracting and Indexing
      • Bibliographic Information
      • Archive
    • Medicine International
      • Information for Authors
      • Editorial Policies
      • Editorial Board
      • Aims and Scope
      • Abstracting and Indexing
      • Bibliographic Information
      • Archive
    • Molecular and Clinical Oncology
      • Information for Authors
      • Editorial Policies
      • Editorial Board
      • Aims and Scope
      • Abstracting and Indexing
      • Bibliographic Information
      • Archive
    • Molecular Medicine Reports
      • Information for Authors
      • Editorial Policies
      • Editorial Board
      • Aims and Scope
      • Abstracting and Indexing
      • Bibliographic Information
      • Archive
    • Oncology Letters
      • Information for Authors
      • Editorial Policies
      • Editorial Board
      • Aims and Scope
      • Abstracting and Indexing
      • Bibliographic Information
      • Archive
    • Oncology Reports
      • Information for Authors
      • Editorial Policies
      • Editorial Board
      • Aims and Scope
      • Abstracting and Indexing
      • Bibliographic Information
      • Archive
    • World Academy of Sciences Journal
      • Information for Authors
      • Editorial Policies
      • Editorial Board
      • Aims and Scope
      • Abstracting and Indexing
      • Bibliographic Information
      • Archive
  • Articles
  • Information
    • For Authors
    • For Reviewers
    • For Librarians
    • For Advertisers
    • Conferences
  • Language Editing
Login Register Submit
  • This site uses cookies
  • You can change your cookie settings at any time by following the instructions in our Cookie Policy. To find out more, you may read our Privacy Policy.

    I agree
Search articles by DOI, keyword, author or affiliation
Search
Advanced Search
presentation
Oncology Letters
Join Editorial Board Propose a Special Issue
Print ISSN: 1792-1074 Online ISSN: 1792-1082
Journal Cover
June-2025 Volume 29 Issue 6

Full Size Image

Sign up for eToc alerts
Recommend to Library

Journals

International Journal of Molecular Medicine

International Journal of Molecular Medicine

International Journal of Molecular Medicine is an international journal devoted to molecular mechanisms of human disease.

International Journal of Oncology

International Journal of Oncology

International Journal of Oncology is an international journal devoted to oncology research and cancer treatment.

Molecular Medicine Reports

Molecular Medicine Reports

Covers molecular medicine topics such as pharmacology, pathology, genetics, neuroscience, infectious diseases, molecular cardiology, and molecular surgery.

Oncology Reports

Oncology Reports

Oncology Reports is an international journal devoted to fundamental and applied research in Oncology.

Experimental and Therapeutic Medicine

Experimental and Therapeutic Medicine

Experimental and Therapeutic Medicine is an international journal devoted to laboratory and clinical medicine.

Oncology Letters

Oncology Letters

Oncology Letters is an international journal devoted to Experimental and Clinical Oncology.

Biomedical Reports

Biomedical Reports

Explores a wide range of biological and medical fields, including pharmacology, genetics, microbiology, neuroscience, and molecular cardiology.

Molecular and Clinical Oncology

Molecular and Clinical Oncology

International journal addressing all aspects of oncology research, from tumorigenesis and oncogenes to chemotherapy and metastasis.

World Academy of Sciences Journal

World Academy of Sciences Journal

Multidisciplinary open-access journal spanning biochemistry, genetics, neuroscience, environmental health, and synthetic biology.

International Journal of Functional Nutrition

International Journal of Functional Nutrition

Open-access journal combining biochemistry, pharmacology, immunology, and genetics to advance health through functional nutrition.

International Journal of Epigenetics

International Journal of Epigenetics

Publishes open-access research on using epigenetics to advance understanding and treatment of human disease.

Medicine International

Medicine International

An International Open Access Journal Devoted to General Medicine.

Journal Cover
June-2025 Volume 29 Issue 6

Full Size Image

Sign up for eToc alerts
Recommend to Library

  • Article
  • Citations
    • Cite This Article
    • Download Citation
    • Create Citation Alert
    • Remove Citation Alert
    • Cited By
  • Similar Articles
    • Related Articles (in Spandidos Publications)
    • Similar Articles (Google Scholar)
    • Similar Articles (PubMed)
  • Download PDF
  • Download XML
  • View XML
Case Report Open Access

Myoepithelial carcinoma of submaxillary gland: A case report

  • Authors:
    • Yuetian Li
    • Quanyi Wang
  • View Affiliations / Copyright

    Affiliations: Clinical School of Medicine, Jining Medical University, Jining, Shandong 272067, P.R. China, Department of Pathology, Affiliated Hospital of Jining Medical University, Jining, Shandong 272029, P.R. China
    Copyright: © Li et al. This is an open access article distributed under the terms of Creative Commons Attribution License.
  • Article Number: 261
    |
    Published online on: April 2, 2025
       https://doi.org/10.3892/ol.2025.15007
  • Expand metrics +
Metrics: Total Views: 0 (Spandidos Publications: | PMC Statistics: )
Metrics: Total PDF Downloads: 0 (Spandidos Publications: | PMC Statistics: )
Cited By (CrossRef): 0 citations Loading Articles...

This article is mentioned in:



Abstract

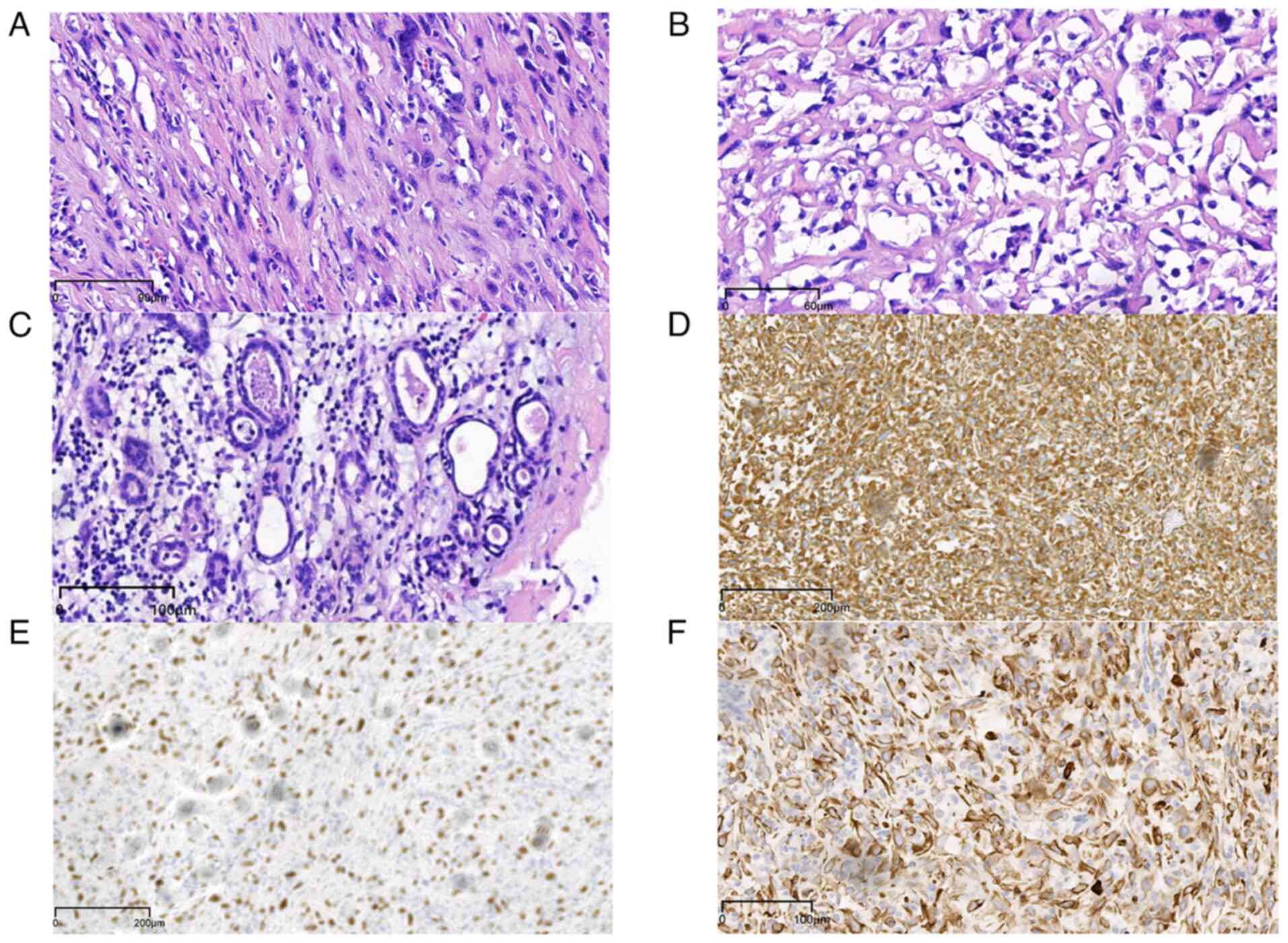
Myoepithelial carcinoma (MEC) is a malignant tumour composed almost entirely of cells differentiated from the myoepithelium. It is rare, most commonly occurring in the parotid gland. In the current study, a rare case of MEC in the submandibular gland was presented. An 82‑year‑old male patient was admitted with a swelling in the upper left neck that had been present for 60 years. Magnetic resonance imaging indicated a tumour in the region of the left submandibular gland, which was not easy to clearly distinguish from the gland itself and an enhancement scan was recommended but not performed. Furthermore, multiple lymph nodes of varying sizes were present in the submandibular region of the neck on both sides. These enlarged lymph nodes had signs of involvement. Accordingly, a surgery was performed. The pathological diagnosis indicated the presence of a malignant tumour in the left upper neck. The tumour was most likely an MEC with pleomorphic adenoma, based on the results of immunohistochemistry. The size of the tumour mass was 5x5x4 cm. Histology indicated that the tumour cells exhibited infiltrative growth, with a sparse arrangement and a predominance of hyaline and spindle‑shaped cells. In certain regions, the tumour tissue displayed characteristics similar to pleomorphic adenoma. The results of the immunohistochemical analysis were as follows: CD31(‑), CD34(‑), cytokeratin (CK)7 (+), vimentin (+), Ki‑67 (+, 70%), erythroid growth factor receptor (‑), desmin (‑), anaplastic lymphoma kinase (‑), P40 (+), CK pan‑antibody (+) and epithelial membrane antigen (‑). The patient underwent a surgical procedure to remove the lesion in the neck under sedation with complex anaesthesia. The sample excised from the surgery was sent to the pathology department for diagnosis. Given the high recurrence frequency of MEC, monitoring patients closely after surgery is crucial. 
View Figures

Figure 1

Figure 2

Figure 3

View References

1 

Kim SH, Park SE, Bae HG, Song DH, Oh HH, Cho KR, Kim HJ and Sohn BS: Epithelial-myoepithelial carcinoma of the nasopharynx: A case report and review of the literature. Oncol Lett Aug. 10:927–930. 2015. View Article : Google Scholar : PubMed/NCBI

2 

Shah AA, Mulla AF and Mayank M: Pathophysiology of myoepithelial cells in salivary glands. J Oral Maxillofac Pathol. 20:480–490. 2016. View Article : Google Scholar : PubMed/NCBI

3 

Lavareze L, Scarini JF, de Lima-Souza RA, Kimura TC, Gondak RO, Egal ESA, Altemani A and Mariano FV: Clinicopathological and survival profile of patients with salivary gland myoepithelial carcinoma: A systematic review. J Oral Pathol Med. 52:101–108. 2023. View Article : Google Scholar : PubMed/NCBI

4 

Xu B and Katabi N: Myoepithelial carcinoma. Surg Pathol Clin Mar. 14:67–73. 2021. View Article : Google Scholar : PubMed/NCBI

5 

Rosen LE, Singh RI, Vercillo M and Gattuso P: Myoepithelial carcinoma of the lung: A review. Appl Immunohistochem Mol Morphol. 23:397–401. 2015. View Article : Google Scholar : PubMed/NCBI

6 

Henning A, Pennington G, Deeken A and Srivastava S: Myoepithelial carcinoma of the digit. J Cutan Pathol. 49:111–115. 2022. View Article : Google Scholar : PubMed/NCBI

7 

Kanesv SV and Bagwanin IN: Myoepithelialcarcinoma of the salivary glands: A clinicopathologic study of 51 cases in atertiary cancer center. Arch Otolaryngol Head Neck Surg. 136:702–712. 2010. View Article : Google Scholar : PubMed/NCBI

8 

Jo VY, Antonescu CR, Hornick JL and Patel RM: Myoepithelioma, myoepithelial carcinoma, and mixed tumor. In: WHO Classification of Tumours Editorial Boardeditor. WHO classification of tumours, soft tissue and bone tumours. 5th edition. Geneva, Switzerland: World Health Organization; pp. 277–279. 2020

9 

Seethala RR, Barnes EL and Hunt JL: Epithelial-myoepithelial carcinoma: A review of the clinicopathologic spectrum and immunophenotypic characteristics in 61 tumors of the salivary glands and upper aerodigestive tract. Am J Surg Pathol. 31:44–57. 2007. View Article : Google Scholar : PubMed/NCBI

10 

Peilong CA, Shaoqiang Z and Jiyuan ZH: Clinicopathological analysis of 12 cases of myoepithelial carcinoma of salivary gland. J Clin Exp Pathol. 33:174–177. 2017.

11 

Nagao T, Sugano I and Ishida Y: Salivary gland malig-nant myoepithelioma: A clinicopathologic and immunohisto-chemical study of ten cases. Cancer. 83:1292–1299. 1998. View Article : Google Scholar : PubMed/NCBI

12 

Guo-Liang PI, Peng XU and Guang H: Research progress of myoepithelial carcinoma. China Cancer Clinics. 44:253–257. 2017.(In Chinese).

13 

Aiba H, Errani C, Ciani G, Gambarotti M, Righi A, Maioli M, Spinnato P, Frega G, Ibrahim T and Longhi A: Myoepithelial carcinoma of soft tissues and bone. Eur J Cancer. 194:1133532023. View Article : Google Scholar : PubMed/NCBI

14 

Dinker D, Rajan K, Sharma S and Kumar NA: Myoepithelial carcinoma of sinonasal cavity: Peculiar diagnosis, conventional treatment. Indian J Otolaryngol Head Neck Surg. 75:3929–3935. 2023. View Article : Google Scholar : PubMed/NCBI

15 

Vilar-González S, Bradley K, Rico-Pérez J, Vogiatzis P, Golka D, Nigam A, Sivaramalingam M and Kazmi S: Epithelial-myoepithelial Carcinoma-review of clinicopathological and immunohistochemical features. Clin Transl Oncol. 17:847–855. 2015. View Article : Google Scholar : PubMed/NCBI

16 

Masuya D, Haba R, Huang CL and Yokomise H: Myoepithelial carcinoma of the lung. Eur J Cardiothorac Surg. 28:775–777. 2005. View Article : Google Scholar : PubMed/NCBI

17 

Nicholas RG, Hanson JA and Meiklejohn DA: Myoepithelial cell carcinoma of the oral tongue: Case report and review of the literature. Clin Med Insights Oncol. 13:11795549198382542019. View Article : Google Scholar : PubMed/NCBI

18 

Wu H, Zhang F, Peng J, Wu Z, Zhang X and Wu X: Epithelial-myoepithelial carcinoma of the esophagus: A Case Report. Front Surg. 9:9420192022. View Article : Google Scholar : PubMed/NCBI

19 

Shaoyan L, Song NI, Yiming Z and Jian W: Analysis of diagnosis and treatment of myoepithelial carcinoma of the submandibular gland. Chin Med J. 50:28–29. 2015.

20 

Waitzman J, Waitzman A, Powers J and Deraniyagala R: Epithelial-myoepithelial carcinoma of the nasal cavity: A case report. Ear Nose Throat J. 31:14556132311899622023. View Article : Google Scholar : PubMed/NCBI

21 

Zhao F'Zhu H and Huang Y: Myoepithelial carcinoma inside of maxilla bone: A case report. Mol Clin Oncol. 1:315–317. 2013. View Article : Google Scholar : PubMed/NCBI

22 

Passador-Santos F, Grönroos M, Irish J, Gilbert R, Gullane P, Perez-Ordonez B, Mäkitie A and Leivo I: Clinicopathological characteristics and cell cycle proteins as potential prognostic factors in myoepithelial carcinoma of salivary glands. Virchows Arch. 468:305–312. 2016. View Article : Google Scholar : PubMed/NCBI

23 

Kaur R, Melgandi W, Rathi AK, Singh K, Rahman F and Mandal S: Epithelial myoepithelial carcinoma: A case report. J Cancer Res Ther. Jan 22–2024.(Epub ahead of print).

24 

Ru K, Srivastava A and Tischler AS: Primary myoepithelial carcinoma of palate. Arch Pathol Lab Med. 128:92–94. 2004. View Article : Google Scholar : PubMed/NCBI

25 

Thompson LDR and Xu B: Top ten differentials to mull over for head and neck myoepithelial neoplasms. Head Neck Pathol. 17:1–15. 2023. View Article : Google Scholar : PubMed/NCBI

26 

Yokose C, Asai J, Kan S, Nomiyama T, Takenaka H, Konishi E, Goto K, Ansai SI and Katoh N: Myoepithelial carcinoma on the right shoulder: A case report with published work review. J Dermatol. 43:1083–1087. 2016. View Article : Google Scholar : PubMed/NCBI

27 

Ren J, Liu Z, Liu X, Li Y, Zhang X, Li Z, Yang Y, Yang Y, Chen Y and Jiang S: Primary myoepithelial carcinoma of palate. World J Surg Oncol. 9:1042011. View Article : Google Scholar : PubMed/NCBI

28 

Gore MR: Epithelial-myoepithelial carcinoma: A population-based survival analysis. BMC Ear Nose Throat Disord. 18:152017. View Article : Google Scholar : PubMed/NCBI

Related Articles

  • Abstract
  • View
  • Download
  • Twitter
Copy and paste a formatted citation
Spandidos Publications style
Li Y and Wang Q: Myoepithelial carcinoma of submaxillary gland: A case report. Oncol Lett 29: 261, 2025.
APA
Li, Y., & Wang, Q. (2025). Myoepithelial carcinoma of submaxillary gland: A case report. Oncology Letters, 29, 261. https://doi.org/10.3892/ol.2025.15007
MLA
Li, Y., Wang, Q."Myoepithelial carcinoma of submaxillary gland: A case report". Oncology Letters 29.6 (2025): 261.
Chicago
Li, Y., Wang, Q."Myoepithelial carcinoma of submaxillary gland: A case report". Oncology Letters 29, no. 6 (2025): 261. https://doi.org/10.3892/ol.2025.15007
Copy and paste a formatted citation
x
Spandidos Publications style
Li Y and Wang Q: Myoepithelial carcinoma of submaxillary gland: A case report. Oncol Lett 29: 261, 2025.
APA
Li, Y., & Wang, Q. (2025). Myoepithelial carcinoma of submaxillary gland: A case report. Oncology Letters, 29, 261. https://doi.org/10.3892/ol.2025.15007
MLA
Li, Y., Wang, Q."Myoepithelial carcinoma of submaxillary gland: A case report". Oncology Letters 29.6 (2025): 261.
Chicago
Li, Y., Wang, Q."Myoepithelial carcinoma of submaxillary gland: A case report". Oncology Letters 29, no. 6 (2025): 261. https://doi.org/10.3892/ol.2025.15007
Follow us
  • Twitter
  • LinkedIn
  • Facebook
About
  • Spandidos Publications
  • Careers
  • Cookie Policy
  • Privacy Policy
How can we help?
  • Help
  • Live Chat
  • Contact
  • Email to our Support Team