Spandidos Publications Logo
  • About
    • About Spandidos
    • Aims and Scopes
    • Abstracting and Indexing
    • Editorial Policies
    • Reprints and Permissions
    • Job Opportunities
    • Terms and Conditions
    • Contact
  • Journals
    • All Journals
    • Oncology Letters
      • Oncology Letters
      • Information for Authors
      • Editorial Policies
      • Editorial Board
      • Aims and Scope
      • Abstracting and Indexing
      • Bibliographic Information
      • Archive
    • International Journal of Oncology
      • International Journal of Oncology
      • Information for Authors
      • Editorial Policies
      • Editorial Board
      • Aims and Scope
      • Abstracting and Indexing
      • Bibliographic Information
      • Archive
    • Molecular and Clinical Oncology
      • Molecular and Clinical Oncology
      • Information for Authors
      • Editorial Policies
      • Editorial Board
      • Aims and Scope
      • Abstracting and Indexing
      • Bibliographic Information
      • Archive
    • Experimental and Therapeutic Medicine
      • Experimental and Therapeutic Medicine
      • Information for Authors
      • Editorial Policies
      • Editorial Board
      • Aims and Scope
      • Abstracting and Indexing
      • Bibliographic Information
      • Archive
    • International Journal of Molecular Medicine
      • International Journal of Molecular Medicine
      • Information for Authors
      • Editorial Policies
      • Editorial Board
      • Aims and Scope
      • Abstracting and Indexing
      • Bibliographic Information
      • Archive
    • Biomedical Reports
      • Biomedical Reports
      • Information for Authors
      • Editorial Policies
      • Editorial Board
      • Aims and Scope
      • Abstracting and Indexing
      • Bibliographic Information
      • Archive
    • Oncology Reports
      • Oncology Reports
      • Information for Authors
      • Editorial Policies
      • Editorial Board
      • Aims and Scope
      • Abstracting and Indexing
      • Bibliographic Information
      • Archive
    • Molecular Medicine Reports
      • Molecular Medicine Reports
      • Information for Authors
      • Editorial Policies
      • Editorial Board
      • Aims and Scope
      • Abstracting and Indexing
      • Bibliographic Information
      • Archive
    • World Academy of Sciences Journal
      • World Academy of Sciences Journal
      • Information for Authors
      • Editorial Policies
      • Editorial Board
      • Aims and Scope
      • Abstracting and Indexing
      • Bibliographic Information
      • Archive
    • International Journal of Functional Nutrition
      • International Journal of Functional Nutrition
      • Information for Authors
      • Editorial Policies
      • Editorial Board
      • Aims and Scope
      • Abstracting and Indexing
      • Bibliographic Information
      • Archive
    • International Journal of Epigenetics
      • International Journal of Epigenetics
      • Information for Authors
      • Editorial Policies
      • Editorial Board
      • Aims and Scope
      • Abstracting and Indexing
      • Bibliographic Information
      • Archive
    • Medicine International
      • Medicine International
      • Information for Authors
      • Editorial Policies
      • Editorial Board
      • Aims and Scope
      • Abstracting and Indexing
      • Bibliographic Information
      • Archive
  • Articles
  • Information
    • Information for Authors
    • Information for Reviewers
    • Information for Librarians
    • Information for Advertisers
    • Conferences
  • Language Editing
Spandidos Publications Logo
  • About
    • About Spandidos
    • Aims and Scopes
    • Abstracting and Indexing
    • Editorial Policies
    • Reprints and Permissions
    • Job Opportunities
    • Terms and Conditions
    • Contact
  • Journals
    • All Journals
    • Biomedical Reports
      • Information for Authors
      • Editorial Policies
      • Editorial Board
      • Aims and Scope
      • Abstracting and Indexing
      • Bibliographic Information
      • Archive
    • Experimental and Therapeutic Medicine
      • Information for Authors
      • Editorial Policies
      • Editorial Board
      • Aims and Scope
      • Abstracting and Indexing
      • Bibliographic Information
      • Archive
    • International Journal of Epigenetics
      • Information for Authors
      • Editorial Policies
      • Editorial Board
      • Aims and Scope
      • Abstracting and Indexing
      • Bibliographic Information
      • Archive
    • International Journal of Functional Nutrition
      • Information for Authors
      • Editorial Policies
      • Editorial Board
      • Aims and Scope
      • Abstracting and Indexing
      • Bibliographic Information
      • Archive
    • International Journal of Molecular Medicine
      • Information for Authors
      • Editorial Policies
      • Editorial Board
      • Aims and Scope
      • Abstracting and Indexing
      • Bibliographic Information
      • Archive
    • International Journal of Oncology
      • Information for Authors
      • Editorial Policies
      • Editorial Board
      • Aims and Scope
      • Abstracting and Indexing
      • Bibliographic Information
      • Archive
    • Medicine International
      • Information for Authors
      • Editorial Policies
      • Editorial Board
      • Aims and Scope
      • Abstracting and Indexing
      • Bibliographic Information
      • Archive
    • Molecular and Clinical Oncology
      • Information for Authors
      • Editorial Policies
      • Editorial Board
      • Aims and Scope
      • Abstracting and Indexing
      • Bibliographic Information
      • Archive
    • Molecular Medicine Reports
      • Information for Authors
      • Editorial Policies
      • Editorial Board
      • Aims and Scope
      • Abstracting and Indexing
      • Bibliographic Information
      • Archive
    • Oncology Letters
      • Information for Authors
      • Editorial Policies
      • Editorial Board
      • Aims and Scope
      • Abstracting and Indexing
      • Bibliographic Information
      • Archive
    • Oncology Reports
      • Information for Authors
      • Editorial Policies
      • Editorial Board
      • Aims and Scope
      • Abstracting and Indexing
      • Bibliographic Information
      • Archive
    • World Academy of Sciences Journal
      • Information for Authors
      • Editorial Policies
      • Editorial Board
      • Aims and Scope
      • Abstracting and Indexing
      • Bibliographic Information
      • Archive
  • Articles
  • Information
    • For Authors
    • For Reviewers
    • For Librarians
    • For Advertisers
    • Conferences
  • Language Editing
Login Register Submit
  • This site uses cookies
  • You can change your cookie settings at any time by following the instructions in our Cookie Policy. To find out more, you may read our Privacy Policy.

    I agree
Search articles by DOI, keyword, author or affiliation
Search
Advanced Search
presentation
Oncology Letters
Join Editorial Board Propose a Special Issue
Print ISSN: 1792-1074 Online ISSN: 1792-1082
Journal Cover
June-2025 Volume 29 Issue 6

Full Size Image

Sign up for eToc alerts
Recommend to Library

Journals

International Journal of Molecular Medicine

International Journal of Molecular Medicine

International Journal of Molecular Medicine is an international journal devoted to molecular mechanisms of human disease.

International Journal of Oncology

International Journal of Oncology

International Journal of Oncology is an international journal devoted to oncology research and cancer treatment.

Molecular Medicine Reports

Molecular Medicine Reports

Covers molecular medicine topics such as pharmacology, pathology, genetics, neuroscience, infectious diseases, molecular cardiology, and molecular surgery.

Oncology Reports

Oncology Reports

Oncology Reports is an international journal devoted to fundamental and applied research in Oncology.

Experimental and Therapeutic Medicine

Experimental and Therapeutic Medicine

Experimental and Therapeutic Medicine is an international journal devoted to laboratory and clinical medicine.

Oncology Letters

Oncology Letters

Oncology Letters is an international journal devoted to Experimental and Clinical Oncology.

Biomedical Reports

Biomedical Reports

Explores a wide range of biological and medical fields, including pharmacology, genetics, microbiology, neuroscience, and molecular cardiology.

Molecular and Clinical Oncology

Molecular and Clinical Oncology

International journal addressing all aspects of oncology research, from tumorigenesis and oncogenes to chemotherapy and metastasis.

World Academy of Sciences Journal

World Academy of Sciences Journal

Multidisciplinary open-access journal spanning biochemistry, genetics, neuroscience, environmental health, and synthetic biology.

International Journal of Functional Nutrition

International Journal of Functional Nutrition

Open-access journal combining biochemistry, pharmacology, immunology, and genetics to advance health through functional nutrition.

International Journal of Epigenetics

International Journal of Epigenetics

Publishes open-access research on using epigenetics to advance understanding and treatment of human disease.

Medicine International

Medicine International

An International Open Access Journal Devoted to General Medicine.

Journal Cover
June-2025 Volume 29 Issue 6

Full Size Image

Sign up for eToc alerts
Recommend to Library

  • Article
  • Citations
    • Cite This Article
    • Download Citation
    • Create Citation Alert
    • Remove Citation Alert
    • Cited By
  • Similar Articles
    • Related Articles (in Spandidos Publications)
    • Similar Articles (Google Scholar)
    • Similar Articles (PubMed)
  • Download PDF
  • Download XML
  • View XML
Case Report Open Access

Durvalumab‑induced type 1 diabetes mellitus in lung adenocarcinoma: A case report and literature review

  • Authors:
    • Huijing Dong
    • Shengfu Li
    • Yanmei Peng
    • Xu Zhang
    • Jiabin Zheng
    • Chongxiang Xue
    • Yumin Zheng
    • Yixuan Yu
    • Xingyu Lu
    • Zixin Hu
    • Huijuan Cui
  • View Affiliations / Copyright

    Affiliations: China‑Japan Friendship Clinical Medical College, Beijing University of Chinese Medicine, Beijing 100029, P.R. China, Department of Tuberculosis, Tai Yuan Fourth Peoples (Tuberculosis) Hospital, Taiyuan, Shanxi 030053, P.R. China, Department of Oncology, Fangshan Hospital Beijing University of Chinese Medicine, Beijing 102400, P.R. China, Department of Integrative Oncology, China‑Japan Friendship Hospital, Beijing 100029, P.R. China
    Copyright: © Dong et al. This is an open access article distributed under the terms of Creative Commons Attribution License.
  • Article Number: 277
    |
    Published online on: April 7, 2025
       https://doi.org/10.3892/ol.2025.15023
  • Expand metrics +
Metrics: Total Views: 0 (Spandidos Publications: | PMC Statistics: )
Metrics: Total PDF Downloads: 0 (Spandidos Publications: | PMC Statistics: )
Cited By (CrossRef): 0 citations Loading Articles...

This article is mentioned in:



Abstract

Immune checkpoint inhibitor‑induced type 1 diabetes mellitus (ICI‑T1DM) is a rare adverse reaction associated with durvalumab. Among the adverse reactions to durvalumab, the incidence of new‑onset diabetes is relatively rare, occurring in ~0.2% of cases. The present study reports the case of a 62‑year‑old woman who developed ICI‑T1DM following two cycles of durvalumab, presenting with thirst, polydipsia and polyuria. Laboratory examinations (glycated hemoglobin and glutamic acid decarboxylase antibody), along with consultations from an endocrinologist, led to the patient being diagnosed with ICI‑T1DM. Immunotherapy was discontinued, and insulin replacement therapy was initiated. Blood glucose levels were closely monitored using a subcutaneous meter. The onset of diabetic ketoacidosis (DKA) was prevented due to timely treatment. In conclusion, medical oncologists need to be aware that durvalumab, an immunotherapy agent, can induce ICI‑T1DM. Therefore, regular monitoring of blood glucose levels and collaborative consultations with endocrinologists are essential for an accurate diagnosis when elevated blood sugar levels are detected. The prompt diagnosis of ICI‑T1DM is crucial to prevent the occurrence of DKA.

Introduction

Immune checkpoint inhibitors (ICIs) have revolutionized the therapeutic approach to cancer treatment. These agents, which include inhibitors targeting programmed cell death protein 1 (PD-1), its ligand programmed death ligand 1 (PD-L1) and cytotoxic T-lymphocyte-associated antigen 4, have significantly improved survival outcomes across various malignancies (1). The KEYNOTE-024 trial demonstrated that pembrolizumab significantly improved progression-free survival and overall survival (OS) times compared with chemotherapy in patients with PD-L1-positive advanced non-small cell lung cancer (NSCLC) (2). In the CheckMate 067 clinical trial, patients with advanced melanoma treated with nivolumab plus ipilimumab demonstrated durable responses, with a median OS time of 72.1 months (3). However, ICIs can induce severe immune-mediated toxicities, referred to as immune-related adverse events (irAEs), which can affect the functionality of various organ systems, including ICI-related colitis, pneumonitis, myositis, dermatological toxicity and endocrine toxicity, among others (4). Although endocrine irAEs occur less frequently (10–18%) than dermatological (25–70%) or gastrointestinal (50%) toxicities, they can be severe and, in some cases, irreversible (5,6). Among these endocrine irAEs, ICI-induced type 1 diabetes mellitus (ICI-T1DM) is a rare (<1%) (7) but potentially life-threatening complication characterized by sudden-onset hyperglycemia and insulin deficiency, and frequently presenting with diabetic ketoacidosis (DKA) (8–10). The present study reports the case of a female patient diagnosed with lung invasive adenocarcinoma who developed ICI-T1DM during durvalumab therapy. This case highlights the importance of the early recognition and management of this rare yet critical adverse event, while also providing insights into its clinical presentation, diagnostic challenges and potential underlying mechanisms.

Case report

Patient

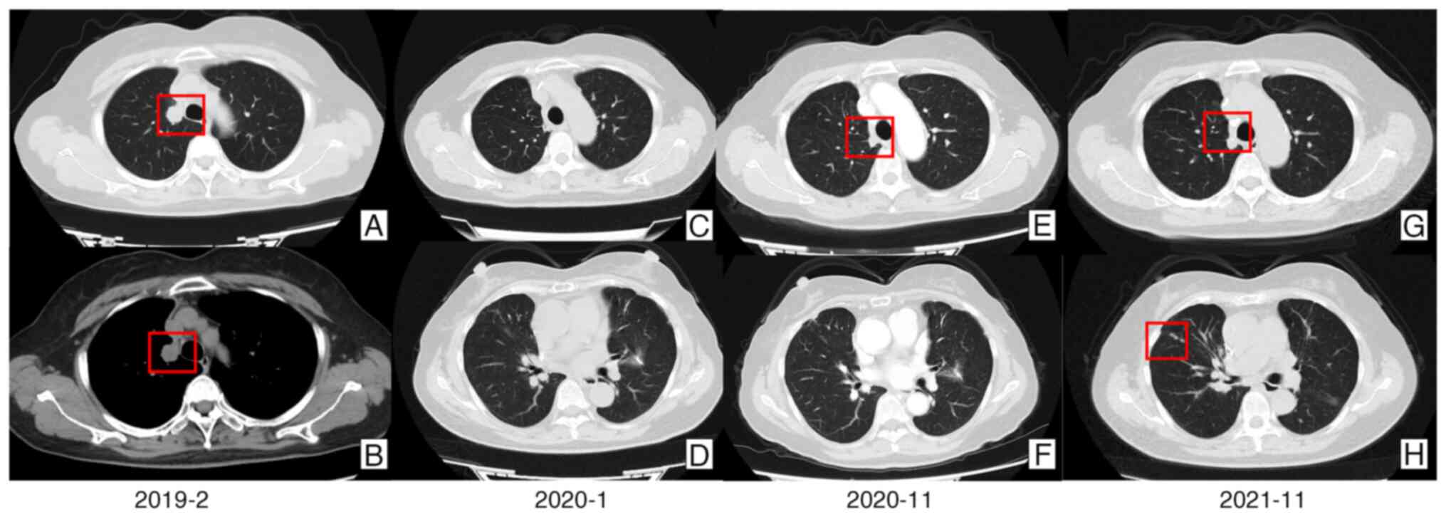
The patient, a 62-year-old woman with no prior history of diabetes, was asymptomatic and diagnosed with lung mass lesions by chest computed tomography during a routine health examination (CT) (Fig. 1A and 1B) at China-Japan Friendship Hospital (Beijing, China) in January 2019. In February 2019, the patient underwent a right upper lobectomy and left upper lobe wedge resection. Histopathological examinations confirmed invasive adenocarcinoma in the upper lobe of the right lung, diagnosed as stage pT2N0M0 IB according to the 8th edition of the International Association for the Study of Lung Cancer Tumor-Node-Metastasis classification (11), without detectable gene mutations. Additionally, an invasive adenocarcinoma in the left upper lobe was diagnosed as stage pT1N0M0 IA with an EGFR21 mutation. The histopathological and immunohistochemical images of the patient tissues are shown in Fig. 2A-G. H&E-stained sections revealed invasive adenocarcinoma with vascular tumor thrombi. Elastic fiber staining indicated destruction of the pleural elastic lamina. Thyroid transcription factor-1 expression was positive, while anaplastic lymphoma kinase was negative. Targeted therapy with gefitinib was initiated in early March 2019, with oral administration of 250 mg once daily. In late September 2019, a left adrenal tumor resection was performed, with histopathological examinations (Fig. 2H) revealing lung adenocarcinoma metastasis without detectable gene mutations. Following the recurrence of the invasive adenocarcinoma, the patient received three cycles (21-day cycles) of chemotherapy with pemetrexed (800 mg on day 1), carboplatin (400 mg on day 2) and bevacizumab (400 mg on day 1), between November 2019 and ~60 days thereafter. In October 2020 and November 2020, positron emission tomography-CT (Fig. 3) and enhanced chest CT scans (Fig. 1E and F), respectively, showed the recurrence of the malignancy in the right upper hilum. Consequently, the patient was administered 4–6 cycles (21-day cycles) of the following regimen between November 2020 and ~60 days thereafter: Nedaplatin (120 mg on day 1), pemetrexed (800 mg on day 2) and bevacizumab (400 mg on day 2). After December 2020, the patient opted for gefitinib maintenance therapy (250 mg once daily). However, in November 2021, a CT scan showed that the disease had progressed (Fig. 1G and H). No pathogenic gene mutations were detected.

Figure 1.

Changes in chest computed tomography during treatment.

Figure 2.

Histopathological images of the patient. (A) An H&E-stained section of invasive adenocarcinoma of the left upper lung nodule (×20 magnification). (B) An elastic fiber stained (iron hematoxylin method) section of the left upper lung nodule (×20 magnification). (C) An H&E-stained section of invasive adenocarcinoma of the right upper lung lobectomy specimen (×20 magnification). (D) An H&E-stained section of invasive adenocarcinoma of the right upper lung lobectomy specimen (×20 magnification). (E) An H&E-stained section of invasive adenocarcinoma of the right upper lung lobectomy specimen showing vascular tumor emboli (×20 magnification). Immunohistochemistry sections were positive for (F) thyroid transcription factor-1 (×20 magnification) and negative for (G) anaplastic lymphoma kinase (×40 magnification). (H) An H&E-stained section of the adrenalectomy lesion (×20 magnification). H&E, hematoxylin and eosin.

Figure 3.

Patient's positron emission tomography-computed tomography scan results from October 2020, indicating recurrence.

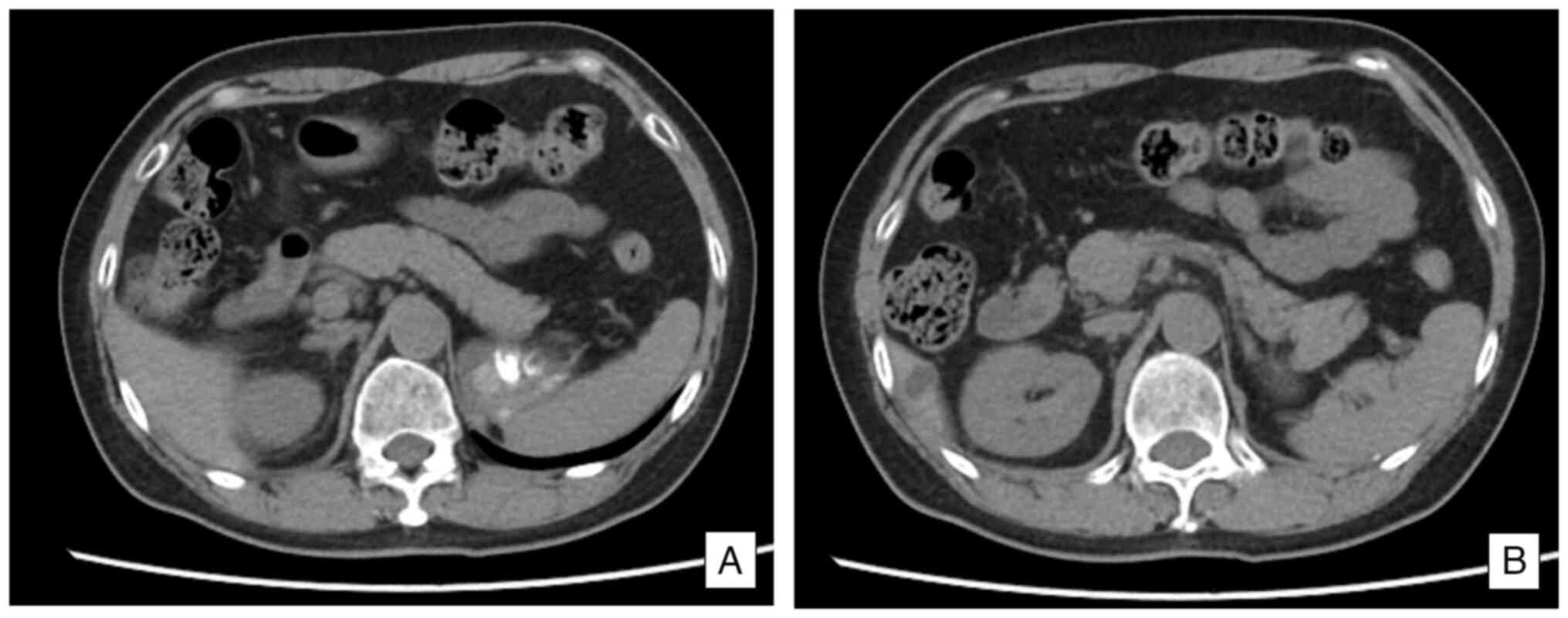
Subsequently, on November 2021 and 27 days later, the patient received 1–2 cycles of second-line chemotherapy combined with immunotherapy involving nedaplatin (120 mg on day 1), albumin paclitaxel (200 mg on day 8), bevacizumab (400 mg on day 1) and durvalumab (1,000 mg on day 1). Each cycle lasted 21 days. After experiencing thirst, polydipsia and polyuria since the end of December 2021, the patient sought timely medical attention in January 2022. Given the symptoms and the potential diagnosis of diabetes, a consultation with the Department of Endocrinology was requested for further evaluation. The laboratory abnormalities are shown in Table I. Laboratory tests revealed significantly elevated fasting and postprandial blood glucose levels as follows: Fasting plasma glucose, 17.70 mmol/l; and 2-h postprandial blood glucose, 30.28 mmol/l. The glycated hemoglobin (HbA1c) level was 7.3%. Additionally, the patient's C-peptide level was low and the glutamic acid decarboxylase antibody (GADab) test was positive (35.02 IU/ml), indicating T1DM. A CT scan (Fig. 4) showed that the size and morphology of the pancreas were within normal limits, and the surrounding adipose tissue appeared clear.

Figure 4.

Computed tomography scan of the abdomen. (A) The pancreas is well-defined, with normal size and shape. (B) The surrounding adipose tissue is clearly visible.

Table I.

Laboratory results.

Table I.

Laboratory results.

Laboratory parameterValueReference
Oral glucose tolerance test
  Fasting blood-glucose, mmol/l17.703.61–6.11
  Glucose (1 h), mmol/l24.56<11.10
  Glucose (2 h), mmol/l30.28<7.84
Insulin release test
  IRI (0 h), µIU/ml3.962.6–24.9
  CPS (0 h), ng/ml0.961.1–4.4
  IRI (1 h) µIU/ml4.142.6–24.9
  CPS (1 h) ng/ml0.961.1–4.4
  IRI (2 h) µIU/ml4.922.6–24.9
  CPS (2 h) ng/ml1.111.1–4.4
Other blood laboratory results
  Glycated hemoglobin, %7.34.0–6.0
  Glutamic acid decarboxylase antibody, IU/ml35.02<10
  Islet antigen 2 antibody, IU/ml<0.7<10
  ALT, IU/l930-40
  AST, IU/l580-42
  α-amylase, IU/l10828-100
  Lipase, U/l340-67
Urine laboratory results
  Urine routine glucoseNegative
  Ketone bodiesNegative

[i] IRI, immunoreactive insulin; CPS, serum c-peptide; ALT, alanine transaminase; AST, aspartate transaminase.

Based on the medical history of the patient and the treatment regimen, the patient was diagnosed with ICI-T1DM (12). Subsequently, immunotherapy was discontinued, and the patient was put on insulin replacement therapy, consisting of insulin degludec/aspart (15 IU subcutaneously twice daily) as basal insulin and insulin aspart (15 IU subcutaneously as needed) for prandial coverage. Dosages were titrated according to real-time blood glucose measurements obtained through capillary blood glucose monitoring. After treatment, the patient's fasting blood sugar was maintained within the 5.9–7.5 mmol/l range (normal range, 3.61–6.11 mmol/l). Postprandial levels were as follows: After breakfast, 7.3–11 mmol/l; after lunch, 6.7–8.9 mmol/l; and after dinner, 8.4–10.7 mmol/l (normal range, <11.1 mmol/l). A graphical timeline illustrating the patient's treatment history, durvalumab exposure and the onset of diabetes is shown in Fig. 5. The patient resumed anticancer therapy in August 2022 with oral furmonertinib (80 mg once daily). Monthly follow-ups were conducted at the Department of Integrative Oncology in the China-Japan Friendship Hospital. Due to disease progression, the treatment regimen was subsequently modified to anlotinib (12 mg once daily on days 1–14, every 21 days), followed by bevacizumab (300 mg on day 1) in combination with albumin paclitaxel (200 mg on day 1 and 100 mg on day 8) and carboplatin (300 mg on day 1), administered every 21 days. Ultimately, the patient succumbed to disease progression in December 2024.

Figure 5.

Timeline of diagnosis and treatment. ICI-T1DM, immune checkpoint inhibitor-induced type 1 diabetes mellitus.

Methods

Tissue staining

Specimens were fixed for 24 to 48 h in 10% neutral-buffered formalin at room temperature and embedded in paraffin. The tissue blocks were sliced into 4- or 5-µm thick sections. H&E staining was performed using hematoxylin for 10 min and eosin for 5 min at room temperature. The elastic fibers were stained using the iron hematoxylin method, also at room temperature. 5% Ethanol hematoxylin, 10% ferric chloride and Verhoeff's iodine solution were mixed at a ratio of 20:8:8 drops, and then dropped onto the tissue section. Counterstaining was performed with eosin for 2 min.

Immunohistochemistry was performed by EnVision system. Antigen retrieval was performed using high pressure at 120°C for 5 min, and endogenous enzyme activity was blocked with 3% H2O2 for 10 min. The primary antibodies were ALK (clone D5F3; catalogue number, K18082; Roche Diagnostics) and TTF-1 (clone SPT24; catalogue number, 18092706; OriGene Technologies, Inc.), both with a dilution ratio of 1:200, incubated at room temperature for 1 h. The secondary antibody was horseradish peroxidase labeled polymer (dilution ratio, 1:2,000; catalogue number, M00855-M01010; Roche Diagnostics), incubated at 37°C for 30 min. Next, DAB was used for color development, and hematoxylin was used for counterstaining for 10 min. All sections were observed using a light microscope.

Literature review

To contextualize this case, a literature review was conducted in the PubMed database (https://pubmed.ncbi.nlm.nih.gov). The following search strategy was used: [‘Lung Neoplasms’(Mesh) OR ‘Lung Cancer’ OR ‘NSCLC’ OR ‘SCLC’] AND (‘Nivolumab’ OR ‘Pembrolizumab’ OR ‘Atezolizumab’ OR ‘Durvalumab’) AND (‘Type 1 Diabetes’ OR ‘T1DM’) AND [‘Case Reports’(Publication Type) OR ‘case report’ OR ‘case series’]. The literature search was conducted on August 15, 2023, covering all eligible articles from database inception to the search date. Inclusion criteria were as follows: Case reports or case series with a clear diagnostic basis confirming patients with ICI-T1DM. Exclusion criteria included non-peer-reviewed literature (e.g., preprints and conference abstracts), case reports with incomplete data and articles for which the full text was unavailable. This literature review aimed to collect case reports of ICI-T1DM associated with anti-PD-1/PD-L1 therapy in patients with lung cancer. After data retrieval, a total of 25 case reports involving 27 patients were identified (13–37). The author, year, patient's age and sex, medical history, pathological type, ICIs administered, time of disease onset, symptoms, blood glucose levels, HbA1c percentage, GADab status, insulinoma-associated antigen 2 antibody (IA-2ab) status, pancreatic enzyme levels, whether the condition presented with DKA and treatment modalities, among other parameters. Key clinical characteristics, including onset time, symptoms and treatment, are summarized in Table II. The corresponding information of the patient in this study is also provided in Table II for comparison purposes.

Table II.

ICI-T1DM caused by anti-PD-1/anti-programmed death ligand 1 treatment in lung cancer.

Table II.

ICI-T1DM caused by anti-PD-1/anti-programmed death ligand 1 treatment in lung cancer.

First authorYearAge at diagnosisSexType of tumorHistory of diabetesICIsOnset time of ICI-T1DMClinical symptoms at onsetBlood glucose, mmol/lHbA1c%DKA occurrenceGADab positivityIA-2ab positivityPancreatic enzyme levelsTreatment(Refs.)
Alrifai, et al201969MaleNSCLCT2DMPembrolizumab4 cycles (21 days per cycle)Nausea, vomiting, polyuria, polydipsia, weakness50.49.20Yes(+)No dataNo dataInsulin, insulin + metformin(13)
Capitao, et al201874FemaleLung adenocarcinoma(−)Nivolumab25 daysPolyuria, polydipsia, weight loss, vomiting, confusion, asthenia58.98.70Yes(+)No dataLipase and amylase increasedInsulin(14)
Chae, et al201776MaleLung adenocarcinoma(−)Pembrolizumab2 cycles (21 days per cycle)Asymptomatic34.26.30No(+)(+)No dataInsulin(15)
Chaudry, et al202075MaleNSCLC(−)Pembrolizumab4 cycles (no cycle length mentioned)Fatigue, severe nausea, weight loss35.7No dataYes(+)No dataNo dataInsulin(16)
Cunha, et al202259FemaleLung adenocarcinoma(−)Pembrolizumab3 weeksPolyuria, polydipsia, weight loss30.85.60Yes(+)No data(−)Insulin(17)
de Filette, et al201961MaleNSCLC(−)Pembrolizumab8 weeksNausea, vomiting, diarrhea, generalized weakness66.3No dataYes(+)(−)Lipase increasedInsulin(18)
Delasos, et al202177MaleHigh-grade neuroendocrine tumor(−)Nivolumab15 cycles (14 days per cycle)Fatigue, polyuria, polydipsia44.58.30Yes(−)(−)No dataInsulin(19)
Edahiro, et al201961FemaleLung adenocarcinoma(−)Pembrolizumab8 cycles (21 days per cycle)Emesis, general malaise, thirst31.88.40Yes(−)No dataNo normal reference rangeInsulin(20)
Godwin, et al201734FemaleNSCLC(−)Nivolumab2 cycles (no cycle length mentioned)Abdominal pain, nausea, weakness41.17.10Yes(+)(+)No dataInsulin(21)
Hatakeyama, et al201960MaleLung adenocarcinoma(−)Nivolumab36 cycles (14 days per cycle)Asymptomatic23.19.10No(−)(−)No dataInsulin(22)
Huang, et al202159MaleSCLC(−)Sintilimab6 cycles (21 days per cycle)Polyuria, polydipsia25.07.40YesNo dataNo dataNo dataInsulin(23)
Ishi, et al202151MaleLarge cell carcinomaT2DMNivolumab14 cycles (no cycle length mentioned)Not mentioned57.86.90Yes(−)(−)No dataInsulin(24)
62MaleSCC(−)Atezolizumab15 daysThirst, vomiting, high fever21.98.90NoNo dataNo dataNo dataInsulin + antibiotics
Kedzior, et al202151FemaleLung adenocarcinomaNot mentionedPembrolizumab2 cycles (21 days per cycle)Abdominal pain, diarrhea, vomiting, fatigue, dizziness62.48.30Yes(+)No dataNo dataInsulin + steroid(25)
Lee, et al201867MaleSCCT2DMNivolumab2 weeksLethargy, polyuria, polydipsia28.67.60Yes(+)(−)No dataInsulin(26)
Li, et al201763MaleSCC(−)Nivolumab27 daysPalpitations, fatigue32.97.20Yes(+)No dataNo dataInsulin(27)
Li, et al202073MaleNSCLC(−)Anti PD-110 cycles (21 days per cycle)Vomiting, dizzy tachypnea51.07.60Yes(−)(−)No dataInsulin(28)
Lupi, et al201960MaleLung adenocarcinomaNot mentionedAtezolizumab4 cycles (21 days per cycle)Not mentioned10 (during L-thyroxine therapy)No dataYes(−)(−)No dataInsulin, hydrocortisone, fludrocortisone(29)
Nishioki, et al202073FemaleLung adenocarcinoma(−)Atezolizumab>4 monthsDysarthria, gait disorder, fatigue, vomiting53.47.30Yes(−)(−)No dataInsulin(30)
Patel, et al201949FemaleLung adenocarcinoma(−)Durvalumab3 monthsLethargy, polyuria, polydipsia, blurred vision21.97.80Yes(+)No dataNo dataInsulin(31)
Porntharukchareon, et al202070MaleNSCLCNotPembrolizumab + mentioned14 weeks ipilimumabFatigue, nausea, vomiting44.16.50Yes(−)(−)(−)Insulin(32)
Ren, et al202271FemaleSCLC(−)Durvalumab7 monthsAsymptomatic13.99.80No(−)(−)(−)Insulin(33)
61FemaleLung adenocarcinomaNot mentionedPembrolizumab6 weeksVomiting, difficulty breathing, coma29.8No dataYesNo dataNo dataNo dataInsulin
Seo, et al202274MaleLung adenocarcinoma(−)Nivolumab8 monthsLower stomach discomfort, dysarthria, gait disturbance, lethargy, vomiting41.010.60Yes(−)(+)No dataInsulin(34)
Sothornwit, et al201952FemaleLung adenocarcinoma(−)Atezolizumab24 weeksNot mentioned18.47.90Yes(+)(−)No dataInsulin(35)
Tzoulis, et al201856FemaleLung adenocarcinoma(−)Nivolumab3 cycles (14 days per cycle)Polyuria, polydipsia, disorientated, agitated, combative47.08.20Yes(+)(−)No dataInsulin(36)
Yang, et al202278FemaleSCLC(−)Sintilimab14 cycles (no cycle length mentioned)Polyuria, polydipsia23.48.20No(−)(−)No dataInsulin(37)
Present study 62FemaleLung adenocarcinoma(−)Durvalumab2 cycles (21 days per cycle)Thirst, polydipsia, polyuria17.707.30No(+)(−)Amylase increasedInsulin

[i] PD-1, programmed cell death protein 1; ICI-T1DM, immune checkpoint inhibitor-induced type 1 diabetes mellitus; T2DM, type 2 diabetes mellitus; SCC, squamous cell carcinoma; NSCLC, non-small cell lung cancer; DKA, diabetic ketoacidosis; HbA1c, glycosylated hemoglobin type A1C; GADab, glutamic acid decarboxylase antibody; IA-2ab, insulinoma-associated antigen 2 antibody.

The PubMed database was systematically reviewed to identify case reports of ICI-T1DM, selecting studies based on predefined criteria, including confirmed diagnosis and documented clinical course. The analysis indicated that early-onset cases are more frequently associated with pancreatic autoantibody positivity and that PD-1 inhibitors may be linked to a higher incidence of ICI-T1DM compared with PD-L1 inhibitors. Nearly one-half of the patients (48.15%) tested positive for GADab. Notably, two patients with positive GADab and IA-2ab developed ICI-T1DM during the second cycle. However, further studies are needed to validate these trends. Collectively, most of the 27 patients were diagnosed with non-small cell lung cancer. Additionally, 23 patients presented with a median HbA1c level of 7.90% (mean, 7.95%; range, 5.60–10.60%). Vomiting and polydipsia were the most common, followed by fatigue, polyuria and consciousness disorder (lethargy, coma and confusion). Approximately 81.48% of the patients presented with DKA at the first diagnosis. Statistical analysis was performed using SPSS version 25 (IBM Corp.). The normality of quantitative data was assessed using the Shapiro-Wilk test. Normally distributed data were compared between groups with independent samples t-tests, while non-normally distributed data were analyzed using the Mann-Whitney U test. Categorical data were examined with χ2 or Fisher's exact tests. P<0.05 was considered to indicate a statistically significant difference. The results revealed that there was no significant association between GADab and blood glucose levels (P=0.462) or the occurrence of DKA (P=0.560). However, GADab positivity was significantly associated with the onset timing of new-onset ICI-T1DM (P=0.005). The characteristics of the 27 patients are summarized in Table III.

Table III.

Data analysis of 27 patients from the literature review.

Table III.

Data analysis of 27 patients from the literature review.

CharacteristicValue
Median age, years62
Sex, n (%)
  Male15 (55.56)
  Female12 (44.44)
Disease type, n (%)
  SCLC3 (11.11)
  NSCLC24 (88.89)
History of diabetes, n (%)
  T2DM3 (11.11)
  Negative20 (74.07)
  Not mentioned4 (14.81)
ICIs, n (%)
  Pembrolizumab8 (29.63)
  Nivolumab9 (33.33)
  Sintilimab2 (7.41)
  Atezolizumab4 (14.81)
  Durvalumab2 (7.41)
  ≥2 types1 (3.70)
  Not clear1 (3.70)
Time of onset of illness, n (%)a
  ≤2 months10 (37.04)
  >2 months17 (62.96)
Symptoms, n (%)
  Vomiting11 (40.74)
  Polydipsia11 (40.74)
  Fatigue10 (37.04)
  Polyuria9 (33.33)
  Consciousness disorder6 (22.22)
  Nausea5 (18.52)
  Weight loss3 (11.11)
  Abdominal pain2 (7.41)
  Diarrhea2 (7.41)
DKA, n (%)b
  Yes22 (81.48)
  No5 (18.52)
Mean HbA1c, %7.95
Mean blood glucose, mmol/lb38.83
Antibodies, n (%)
  GADab+13 (48.15)
  IA-2ab+3 (11.11)

{ label (or @symbol) needed for fn[@id='tfn3-ol-29-6-15023'] } ICI, immune checkpoint inhibitor; T2DM, type 2 diabetes mellitus; NSCLC, non-small cell lung cancer; DKA, diabetic ketoacidosis; HbA1c, glycosylated hemoglobin type A1C; GADab, glutamic acid decarboxylase antibody; IA-2ab, insulinoma-associated antigen 2 antibody.

a GADab positivity was significantly associated with the onset timing of new-onset ICI-T1DM (P=0.005, Mann-Whitney U test).

b There was no significant association between GADab and blood glucose levels (P=0.462, t-test) or the occurrence of DKA (P=0.560, Fisher's exact test).

Despite these novel observations, this literature review has certain limitations. First, given that this study is based on case reports, characterized by a small sample size and lack of a control group, the generalizability of the findings is limited. Second, variations in diagnostic criteria and follow-up durations across the included reports introduce potential heterogeneity, which poses significant challenges to the interpretation of the results. Additionally, since case reports are retrospective studies, certain clinical parameters may lack standardized definitions across different studies. Consequently, future research should focus on conducting larger-scale cohort studies, establishing standardized diagnostic criteria and extending follow-up durations to validate our findings and provide more reliable clinical guidance.

Discussion

The patient in this study had no prior history of diabetes or hyperglycemia during previous cancer treatments. However, after immunotherapy, the patient showed an elevated blood glucose level, islet dysfunction (with serum C-peptide below the normal range) and absolute insulin deficiency, among other complications. These observations exhibited a positive temporal association with durvalumab. The likelihood of this event was assessed using the Naranjo Adverse Drug Reaction Probability Scale (38), which yielded a score of 6, which indicates a probable relationship. Additionally, according to a previous report, the incidence of new-onset diabetes associated with ICIs in patients exposed to PD-L1 inhibitors alone was 0.73% (8). New-onset diabetes is a rare adverse effect of durvalumab, occurring in only 0.2% of cases (39). Among the 27 patients included in this review, only 2 received durvalumab. All the patients exhibited a history of ICI treatment. Vomiting and polydipsia are the most common symptoms (13,14,18,24,30,33,34,40). The initial symptoms experienced by this patient included thirst, polydipsia and polyuria without vomiting. Additionally, compared with the 81.48% of patients who developed DKA, as presented in Table II, the current patient did not present with DKA at the time of diagnosis, likely due to the early recognition of symptoms and timely medical consultation.

Notably, ICI-T1DM is a distinct subtype of T1DM, primarily triggered by pancreatic β-cell destruction due to ICI therapy (41). Under normal physiological conditions, the PD-1/PD-L1 pathway protects pancreatic β-cells from immune cell toxicity by inducing T-cell apoptosis. However, previous studies have shown that ICI therapy disrupts the interaction between PD-L1 molecules on pancreatic β-cells and PD-1 receptors on autoreactive T cells, thereby inhibiting their binding (42). Consequently, autoreactive T cells evade elimination and damage β-cells. Therefore, PD-1 inhibition leads to T-cell activation and subsequent destruction of pancreatic β-cells. During this process, CD8+ T cells function as the primary effector cells. Previous studies on the pancreatic pathology of patients with ICI-T1DM have shown an increase in CD8+ T cells and a reduction in the macrophage population (43–46). Research indicates that activated autoreactive T cells respond to PD-1 inhibition by releasing interferons (IFNs). These IFNs activate monocyte-derived macrophages (44). When treated with anti-PD-L1, cytotoxic IFN-γ+ CD8+ T cells infiltrate the islets and induce the dedifferentiation of pancreatic β-cells (45). These T cells utilize nitric oxide to kill pancreatic β-cells, leading to insulin deficiency and the development of ICI-T1DM. This condition, ICI-T1DM, presents with distinct clinical manifestations, disease features and pathogenic factors compared to the traditional T1DM, therefore it warrants differentiation clinically (47). The incidence of DKA in ICI-T1DM is higher compared with that in traditional T1DM, and its presence is frequently associated with other irAEs (44,48). Additionally, in the case of ICI-T1DM, there is no spontaneous remission period (49). Moreover, there are inducements of pancreatic autoimmunity before the onset of ICI-T1DM. Patients with ICI-T1DM may also exhibit elevated trypsin levels (50,51).

GADab and IA-2ab are biomarkers of pancreatic autoimmunity and potentially play significant roles in predicting ICI-T1DM. GADab is an enzyme involved in the synthesis of the neurotransmitter γ-aminobutyric acid and is also a major pancreatic islet autoantibody (52). GADab is the most commonly used diagnostic marker for adult T1DM. In ICI-T1DM, the interval between the initiation of anti-PD-1/PD-L1 antibody treatment and the onset of ICI-T1DM is associated with the presence or absence of GADab (52). The literature review indicated that the onset of ICI-T1DM in patients with positive GADab results was earlier, ~2 months on average, compared with the onset in patients with negative results for the pancreatic islet antibody (52). These observations are consistent with the present case report, in which the patient was GADab-positive and the onset time was within 6 weeks. IA-2ab is also an important marker of pancreatic autoimmunity. Studies have shown that IA-2ab is present in ~60% of patients with newly diagnosed T1DM (53). However, in ICI-T1DM, the significance of IA-2ab is less pronounced compared with that of GADab. A systematic review revealed that 18% of patients with ICI-T1DM tested positive for IA-2ab, compared with 51% for GADab (18). In another retrospective analysis involving 10 patients with ICI-T1DM, IA-2ab levels were found to be within the normal range (54). This suggests that the predictive role of IA-2ab in ICI-T1DM requires further investigation. A study revealed that at least one pancreatic autoantibody was positive in 53% of patients with ICI-T1DM, and two or more autoantibodies were detected in 15% of patients (18). Therefore, pancreatic autoantibody serological testing may be conducted before the initiation of ICI therapy to help predict the onset of ICI-T1DM.

Given the absence of typical clinical symptoms and reliable predictors for ICI-T1DM, as well as the life-threatening risks associated with rapid onset and delayed treatment, clinicians must remain vigilant. Regular blood glucose monitoring is essential, and when elevated blood sugar levels are detected, a timely and accurate differential diagnosis should be made in conjunction with endocrinologists. Following an accurate diagnosis of ICI-T1DM, immunosuppressant administration should be discontinued and replaced with insulin replacement therapy. Currently, it is believed that the occurrence of ICI-T1DM does not contraindicate the continuation of ICI therapy, provided that blood glucose levels can be effectively controlled through insulin therapy. Therefore, the treatment and follow-up of diabetes should be continued after the temporary cessation of ICI treatment. Decisions regarding temporary interruption or permanent discontinuation of ICI therapy must be guided by an individualized risk-benefit assessment. Furthermore, the decision to restart ICI therapy after achieving stable blood glucose control should be made collaboratively by oncologists and endocrinology experts.

Acknowledgements

Not applicable.

Funding

This study was funded by National High-Level Hospital Clinical Research Funding (grant no. 2022-NHLHCRF-LX-02-0111), Capital's Funds for Health Improvement and Research (grant no. 2022-2-4065) and Noncommunicable Chronic Diseases-National Science and Technology Major Project (grant no. 2023ZD0502503).

Availability of data and materials

The data generated in the present study may be requested from the corresponding author.

Authors' contributions

HD and SL participated in study design and wrote the original manuscript draft. XZ, JZ, YP and XL obtained medical images and analyzed patient data. CX, YZ and YY analyzed pathological images and made the diagnosis. ZH contributed to the follow-up and data analysis. YP participated in language revision of the manuscript. HC was involved in drafting the manuscript, revising it critically for important intellectual content, data analysis and giving final approval of the version to be published. HD and SL confirm the authenticity of all the raw data. All authors have read and approved the final manuscript.

Ethics approval and consent to participate

Written informed consent was obtained from the patient.

Patient consent for publication

Written informed consent was obtained from the patient for the publication of this case report.

Competing interests

The authors declare that they have no competing interests.

Use of artificial intelligence tools

During the preparation of this work, AI tools were used to improve the readability and language of the manuscript, and subsequently, the authors revised and edited the content produced by the AI tools as necessary, taking full responsibility for the ultimate content of the present manuscript

References

1 

Arafat Hossain M: A comprehensive review of immune checkpoint inhibitors for cancer treatment. Int Immunopharmacol. 143:1133652024. View Article : Google Scholar : PubMed/NCBI

2 

Reck M, Rodríguez-Abreu D, Robinson AG, Hui R, Csőszi T, Fülöp A, Gottfried M, Peled N, Tafreshi A, Cuffe S, et al: Pembrolizumab versus chemotherapy for PD-L1-positive non-small-cell lung cancer. N Engl J Med. 375:1823–1833. 2016. View Article : Google Scholar : PubMed/NCBI

3 

Wolchok JD, Chiarion-Sileni V, Gonzalez R, Grob JJ, Rutkowski P, Lao CD, Cowey CL, Schadendorf D, Wagstaff J, Dummer R, et al: Long-term outcomes with nivolumab plus ipilimumab or nivolumab alone versus ipilimumab in patients with advanced melanoma. J Clin Oncol. 40:127–137. 2022. View Article : Google Scholar : PubMed/NCBI

4 

Darnell EP, Mooradian MJ, Baruch EN, Yilmaz M and Reynolds KL: Immune-related adverse events (irAEs): Diagnosis, management, and clinical pearls. Curr Oncol Rep. 22:392020. View Article : Google Scholar : PubMed/NCBI

5 

Kottschade LA: Incidence and management of immune-related adverse events in patients undergoing treatment with immune checkpoint inhibitors. Curr Oncol Rep. 20:242018. View Article : Google Scholar : PubMed/NCBI

6 

Elshafie O, Khalil AB, Salman B, Atabani A and Al-Sayegh H: Immune checkpoint Inhibitors-induced endocrinopathies: Assessment, management and monitoring in a comprehensive cancer centre. Endocrinol Diabetes Metab. 7:e005052024. View Article : Google Scholar : PubMed/NCBI

7 

Wright JJ, Powers AC and Johnson DB: Endocrine toxicities of immune checkpoint inhibitors. Nat Rev Endocrinol. 17:389–399. 2021. View Article : Google Scholar : PubMed/NCBI

8 

Liu J, Zhou H, Zhang Y, Fang W, Yang Y, Huang Y and Zhang L: Reporting of immune checkpoint inhibitor therapy-associated diabetes, 2015–2019. Diabetes Care. 43:e79–e80. 2020. View Article : Google Scholar : PubMed/NCBI

9 

Marchand L, Thivolet A, Dalle S, Chikh K, Reffet S, Vouillarmet J, Fabien N, Cugnet-Anceau C and Thivolet C: Diabetes mellitus induced by PD-1 and PD-L1 inhibitors: Description of pancreatic endocrine and exocrine phenotype. Acta Diabetol. 56:441–448. 2019. View Article : Google Scholar : PubMed/NCBI

10 

Błażowska O, Stróżna K, Dancewicz H, Zygmunciak P, Zgliczyński W and Mrozikiewicz-Rakowska B: The Double-edged sword of Immunotherapy-Durvalumab-induced Polyendocrinopathy-case report. J Clin Med. 13:63222024. View Article : Google Scholar : PubMed/NCBI

11 

Goldstraw P, Chansky K, Crowley J, Rami-Porta R, Asamura H, Eberhardt WE, Nicholson AG, Groome P, Mitchell A, Bolejack V, et al: The IASLC lung cancer staging project: Proposals for revision of the TNM stage groupings in the forthcoming (Eighth) edition of the TNM classification for lung cancer. J Thorac Oncol. 11:39–51. 2016. View Article : Google Scholar : PubMed/NCBI

12 

Thompson JA, Schneider BJ, Brahmer J, Andrews S, Armand P, Bhatia S, Budde LE, Costa L, Davies M, Dunnington D, et al: NCCN guidelines insights: Management of Immunotherapy-related toxicities, version 1.2020. J Natl Compr Canc Netw. 18:230–241. 2020. View Article : Google Scholar : PubMed/NCBI

13 

Alrifai T, Ali FS, Saleem S, Ruiz DCM, Rifai D, Younas S and Qureshi F: Immune checkpoint inhibitor induced diabetes mellitus treated with insulin and metformin: Evolution of diabetes management in the era of immunotherapy. Case Rep Oncol Med. 2019:87813472019.PubMed/NCBI

14 

Capitao R, Bello C, Fonseca R and Saraiva C: New onset diabetes after nivolumab treatment. BMJ Case Rep. 2018:20172209992018. View Article : Google Scholar

15 

Chae YK, Chiec L, Mohindra N, Gentzler R, Patel J and Giles F: A case of Pembrolizumab-induced type-1 diabetes mellitus and discussion of immune checkpoint inhibitor-induced type 1 diabetes. Cancer Immunol Immunother. 66:25–32. 2017. View Article : Google Scholar : PubMed/NCBI

16 

Chaudry A, Chaudry M and Aslam J: Pembrolizumab: An immunotherapeutic agent causing endocrinopathies. Cureus. 12:e88362020.PubMed/NCBI

17 

Cunha C, Silva E, Vieira AC, Saraiva C and Duarte S: New onset autoimmune diabetes mellitus and hypothyroidism secondary to pembrolizumab in a patient with metastatic lung cancer. Endocrinol Diabetes Metab Case Rep. 2022:21–0123. 2022.PubMed/NCBI

18 

de Filette JMK, Pen JJ, Decoster L, Vissers T, Bravenboer B, Van der Auwera BJ, Gorus FK, Roep BO, Aspeslagh S, Neyns B, et al: Immune checkpoint inhibitors and type 1 diabetes mellitus: A case report and systematic review. Eur J Endocrinol. 181:363–374. 2019. View Article : Google Scholar : PubMed/NCBI

19 

Delasos L, Bazewicz C, Sliwinska A, Lia NL and Vredenburgh J: New onset diabetes with ketoacidosis following nivolumab immunotherapy: A case report and review of literature. J Oncol Pharm Pract. 27:716–721. 2021. View Article : Google Scholar : PubMed/NCBI

20 

Edahiro R, Ishijima M, Kurebe H, Nishida K, Uenami T, Kanazu M, Akazawa Y, Yano Y and Mori M: Continued administration of pembrolizumab for adenocarcinoma of the lung after the onset of fulminant type 1 diabetes mellitus as an Immune-related adverse effect: A case report. Thorac Cancer. 10:1276–1279. 2019. View Article : Google Scholar : PubMed/NCBI

21 

Godwin JL, Jaggi S, Sirisena I, Sharda P, Rao AD, Mehra R and Veloski C: Nivolumab-induced autoimmune diabetes mellitus presenting as diabetic ketoacidosis in a patient with metastatic lung cancer. J Immunother Cancer. 5:402017. View Article : Google Scholar : PubMed/NCBI

22 

Hatakeyama Y, Ohnishi H, Suda K, Okamura K, Shimada T and Yoshimura S: Nivolumab-induced Acute-onset type 1 diabetes mellitus as an immune-related adverse event: A case report. J Oncol Pharm Pract. 25:2023–2026. 2019. View Article : Google Scholar : PubMed/NCBI

23 

Huang X, Yang M, Wang L, Li L and Zhong X: Sintilimab induced diabetic ketoacidosis in a patient with small cell lung cancer: A case report and literature review. Medicine (Baltimore). 100:e257952021. View Article : Google Scholar : PubMed/NCBI

24 

Ishi A, Tanaka I, Iwama S, Sakakibara T, Mastui T, Kobayashi T, Hase T, Morise M, Sato M, Arima H and Hashimoto N: Efficacies of programmed cell death 1 ligand 1 blockade in non-small cell lung cancer patients with acquired resistance to prior programmed cell death 1 inhibitor and development of diabetic ketoacidosis caused by two different etiologies: A retrospective case series. Endocr J. 68:613–620. 2021. View Article : Google Scholar : PubMed/NCBI

25 

Kedzior SK, Jacknin G, Hudler A, Mueller SW and Kiser TH: A severe case of diabetic ketoacidosis and New-onset type 1 diabetes mellitus associated with Anti-glutamic acid decarboxylase antibodies following immunotherapy with pembrolizumab. Am J Case Rep. 22:e9317022021. View Article : Google Scholar : PubMed/NCBI

26 

Lee S, Morgan A, Shah S and Ebeling PR: Rapid-onset diabetic ketoacidosis secondary to nivolumab therapy. Endocrinol Diabetes Metab Case Rep. 2018:18–0021. 2018.PubMed/NCBI

27 

Li L, Masood A, Bari S, Yavuz S and Grosbach AB: Autoimmune diabetes and thyroiditis complicating treatment with nivolumab. Case Rep Oncol. 10:230–234. 2017. View Article : Google Scholar : PubMed/NCBI

28 

Li W, Wang H, Chen B, Zhao S, Zhang X, Jia K, Deng J, He Y and Zhou C: Anti PD-1 monoclonal antibody induced autoimmune diabetes mellitus: A case report and brief review. Transl Lung Cancer Res. 9:379–388. 2020. View Article : Google Scholar : PubMed/NCBI

29 

Lupi I, Brancatella A, Cosottini M, Viola N, Lanzolla G, Sgrò D, Dalmazi GD, Latrofa F, Caturegli P and Marcocci C: Clinical heterogeneity of hypophysitis secondary to PD-1/PD-L1 blockade: Insights from four cases. Endocrinol Diabetes Metab Case Rep. 2019:19–0102. 2019.PubMed/NCBI

30 

Nishioki T, Kato M, Kataoka S, Miura K, Nagaoka T and Takahashi K: Atezolizumab-induced fulminant type 1 diabetes mellitus occurring four months after treatment cessation. Respirol Case Rep. 8:e006852020. View Article : Google Scholar : PubMed/NCBI

31 

Patel S, Chin V and Greenfield JR: Durvalumab-induced diabetic ketoacidosis followed by hypothyroidism. Endocrinol Diabetes Metab Case Rep. 2019:19–0098. 2019.PubMed/NCBI

32 

Porntharukchareon T, Tontivuthikul B, Sintawichai N and Srichomkwun P: Pembrolizumab- and Ipilimumab-induced diabetic ketoacidosis and isolated adrenocorticotropic hormone deficiency: A case report. J Med Case Rep. 14:1712020. View Article : Google Scholar : PubMed/NCBI

33 

Ren Y, Zhang L, Wang Y and Zhong D: Immune checkpoint inhibitors related diabetes mellitus: A report of 2 cases and literature review. Zhongguo Fei Ai Za Zhi. 25:61–65. 2022.(In Chinese). PubMed/NCBI

34 

Seo JH, Lim T, Ham A, Kim YA and Lee M: New-onset type 1 diabetes mellitus as a delayed immune-related event after discontinuation of nivolumab: A case report. Medicine (Baltimore). 101:e304562022. View Article : Google Scholar : PubMed/NCBI

35 

Sothornwit J, Phunmanee A and Pongchaiyakul C: Atezolizumab-induced autoimmune diabetes in a patient with metastatic lung cancer. Front Endocrinol (Lausanne). 10:3522019. View Article : Google Scholar : PubMed/NCBI

36 

Tzoulis P, Corbett RW, Ponnampalam S, Baker E, Heaton D, Doulgeraki T and Stebbing J: Nivolumab-induced fulminant diabetic ketoacidosis followed by thyroiditis. Endocrinol Diabetes Metab Case Rep. 2018:18–0111. 2018.PubMed/NCBI

37 

Yang J, Wang Y and Tong XM: Sintilimab-induced autoimmune diabetes: A case report and review of the literature. World J Clin Cases. 10:1263–1277. 2022. View Article : Google Scholar : PubMed/NCBI

38 

García-Cortés M, Lucena MI, Pachkoria K, Borraz Y, Hidalgo R and Andrade RJ: Evaluation of naranjo adverse drug reactions probability scale in causality assessment of drug-induced liver injury. Aliment Pharmacol Ther. 27:780–789. 2008. View Article : Google Scholar : PubMed/NCBI

39 

Antonia SJ, Villegas A, Daniel D, Vicente D, Murakami S, Hui R, Yokoi T, Chiappori A, Lee KH, de Wit M, et al: Durvalumab after chemoradiotherapy in stage III Non-Small-Cell lung cancer. N Engl J Med. 377:1919–1929. 2017. View Article : Google Scholar : PubMed/NCBI

40 

Chang LS, Barroso-Sousa R, Tolaney SM, Hodi FS, Kaiser UB and Min L: Endocrine toxicity of cancer immunotherapy targeting immune checkpoints. Endocr Rev. 40:17–65. 2019. View Article : Google Scholar : PubMed/NCBI

41 

Gardner G and Fraker CA: Natural killer cells as key mediators in type i diabetes immunopathology. Front Immunol. 12:7229792021. View Article : Google Scholar : PubMed/NCBI

42 

Kani ER, Karaviti E, Karaviti D, Gerontiti E, Paschou IA, Saltiki K, Stefanaki K, Psaltopoulou T and Paschou SA: Pathophysiology, diagnosis, and management of immune checkpoint Inhibitor-induced diabetes mellitus. Endocrine. 87:875–890. 2025. View Article : Google Scholar : PubMed/NCBI

43 

Chen J, Hou X, Yang Y, Wang C, Zhou J, Miao J, Gong F, Ge F and Chen W: Immune checkpoint inhibitors-induced diabetes mellitus (review). Endocrine. 86:451–458. 2024. View Article : Google Scholar : PubMed/NCBI

44 

Cho YK and Jung CH: Immune-Checkpoint Inhibitors-Induced Type 1 diabetes mellitus: From its molecular mechanisms to clinical practice. Diabetes Metab J. 47:757–766. 2023. View Article : Google Scholar : PubMed/NCBI

45 

Perdigoto AL, Deng S, Du KC, Kuchroo M, Burkhardt DB, Tong A, Israel G, Robert ME, Weisberg SP, Kirkiles-Smith N, et al: Immune cells and their inflammatory mediators modify β cells and cause checkpoint Inhibitor-induced diabetes. JCI Insight. 7:e1563302022. View Article : Google Scholar : PubMed/NCBI

46 

Yoneda S, Imagawa A, Hosokawa Y, Baden MY, Kimura T, Uno S, Fukui K, Goto K, Uemura M, Eguchi H, et al: T-Lymphocyte infiltration to islets in the pancreas of a patient who developed type 1 diabetes after administration of immune checkpoint inhibitors. Diabetes Care. 42:e116–e118. 2019. View Article : Google Scholar : PubMed/NCBI

47 

Wu L, Tsang VHM, Sasson SC, Menzies AM, Carlino MS, Brown DA, Clifton-Bligh R and Gunton JE: Unravelling checkpoint inhibitor associated autoimmune diabetes: From bench to bedside. Front Endocrinol (Lausanne). 12:7641382021. View Article : Google Scholar : PubMed/NCBI

48 

Kamitani F, Nishioka Y, Koizumi M, Nakajima H, Kurematsu Y, Okada S, Kubo S, Myojin T, Noda T, Imamura T and Takahashi Y: Immune checkpoint Inhibitor-related type 1 diabetes incidence, risk, and survival association. J Diabetes Investig. 16:334–342. 2025. View Article : Google Scholar : PubMed/NCBI

49 

Kyriacou A, Melson E, Chen W and Kempegowda P: Is immune checkpoint Inhibitor-associated diabetes the same as fulminant type 1 diabetes mellitus? Clin Med (Lond). 20:417–423. 2020. View Article : Google Scholar : PubMed/NCBI

50 

Zhang AL, Wang F, Chang LS, McDonnell ME and Min L: Coexistence of immune checkpoint inhibitor-induced autoimmune diabetes and pancreatitis. Front Endocrinol (Lausanne). 12:6205222021. View Article : Google Scholar : PubMed/NCBI

51 

Liao D, Liu C, Chen S, Liu F, Li W, Shangguan D and Shi Y: Recent advances in immune checkpoint Inhibitor-induced type 1 diabetes mellitus. Int Immunopharmacol. 122:1104142023. View Article : Google Scholar : PubMed/NCBI

52 

Usui Y, Udagawa H, Matsumoto S, Imai K, Ohashi K, Ishibashi M, Kirita K, Umemura S, Yoh K, Niho S, et al: Association of serum Anti-GAD antibody and HLA haplotypes with type 1 diabetes mellitus triggered by nivolumab in patients with Non-small cell lung cancer. J Thorac Oncol. 12:e41–e43. 2017. View Article : Google Scholar : PubMed/NCBI

53 

Pardini VC, Mourao DM, Nascimento PD, Vívolo MA, Ferreira SR and Pardini H: Frequency of islet cell autoantibodies (IA-2 and GAD) in young Brazilian type 1 diabetes patients. Braz J Med Biol Res. 32:1195–1198. 1999. View Article : Google Scholar : PubMed/NCBI

54 

Wei HH, Lai YC, Lin G, Lin CW, Chang YC, Chang JW, Liou MJ and Chen IW: Distinct changes to pancreatic volume rather than pancreatic autoantibody positivity: Insights into immune checkpoint inhibitors induced diabetes mellitus. Diabetol Metab Syndr. 16:262024. View Article : Google Scholar : PubMed/NCBI

Related Articles

  • Abstract
  • View
  • Download
  • Twitter
Copy and paste a formatted citation
Spandidos Publications style
Dong H, Li S, Peng Y, Zhang X, Zheng J, Xue C, Zheng Y, Yu Y, Lu X, Hu Z, Hu Z, et al: Durvalumab‑induced type 1 diabetes mellitus in lung adenocarcinoma: A case report and literature review. Oncol Lett 29: 277, 2025.
APA
Dong, H., Li, S., Peng, Y., Zhang, X., Zheng, J., Xue, C. ... Cui, H. (2025). Durvalumab‑induced type 1 diabetes mellitus in lung adenocarcinoma: A case report and literature review. Oncology Letters, 29, 277. https://doi.org/10.3892/ol.2025.15023
MLA
Dong, H., Li, S., Peng, Y., Zhang, X., Zheng, J., Xue, C., Zheng, Y., Yu, Y., Lu, X., Hu, Z., Cui, H."Durvalumab‑induced type 1 diabetes mellitus in lung adenocarcinoma: A case report and literature review". Oncology Letters 29.6 (2025): 277.
Chicago
Dong, H., Li, S., Peng, Y., Zhang, X., Zheng, J., Xue, C., Zheng, Y., Yu, Y., Lu, X., Hu, Z., Cui, H."Durvalumab‑induced type 1 diabetes mellitus in lung adenocarcinoma: A case report and literature review". Oncology Letters 29, no. 6 (2025): 277. https://doi.org/10.3892/ol.2025.15023
Copy and paste a formatted citation
x
Spandidos Publications style
Dong H, Li S, Peng Y, Zhang X, Zheng J, Xue C, Zheng Y, Yu Y, Lu X, Hu Z, Hu Z, et al: Durvalumab‑induced type 1 diabetes mellitus in lung adenocarcinoma: A case report and literature review. Oncol Lett 29: 277, 2025.
APA
Dong, H., Li, S., Peng, Y., Zhang, X., Zheng, J., Xue, C. ... Cui, H. (2025). Durvalumab‑induced type 1 diabetes mellitus in lung adenocarcinoma: A case report and literature review. Oncology Letters, 29, 277. https://doi.org/10.3892/ol.2025.15023
MLA
Dong, H., Li, S., Peng, Y., Zhang, X., Zheng, J., Xue, C., Zheng, Y., Yu, Y., Lu, X., Hu, Z., Cui, H."Durvalumab‑induced type 1 diabetes mellitus in lung adenocarcinoma: A case report and literature review". Oncology Letters 29.6 (2025): 277.
Chicago
Dong, H., Li, S., Peng, Y., Zhang, X., Zheng, J., Xue, C., Zheng, Y., Yu, Y., Lu, X., Hu, Z., Cui, H."Durvalumab‑induced type 1 diabetes mellitus in lung adenocarcinoma: A case report and literature review". Oncology Letters 29, no. 6 (2025): 277. https://doi.org/10.3892/ol.2025.15023
Follow us
  • Twitter
  • LinkedIn
  • Facebook
About
  • Spandidos Publications
  • Careers
  • Cookie Policy
  • Privacy Policy
How can we help?
  • Help
  • Live Chat
  • Contact
  • Email to our Support Team