Spandidos Publications Logo
  • About
    • About Spandidos
    • Aims and Scopes
    • Abstracting and Indexing
    • Editorial Policies
    • Reprints and Permissions
    • Job Opportunities
    • Terms and Conditions
    • Contact
  • Journals
    • All Journals
    • Oncology Letters
      • Oncology Letters
      • Information for Authors
      • Editorial Policies
      • Editorial Board
      • Aims and Scope
      • Abstracting and Indexing
      • Bibliographic Information
      • Archive
    • International Journal of Oncology
      • International Journal of Oncology
      • Information for Authors
      • Editorial Policies
      • Editorial Board
      • Aims and Scope
      • Abstracting and Indexing
      • Bibliographic Information
      • Archive
    • Molecular and Clinical Oncology
      • Molecular and Clinical Oncology
      • Information for Authors
      • Editorial Policies
      • Editorial Board
      • Aims and Scope
      • Abstracting and Indexing
      • Bibliographic Information
      • Archive
    • Experimental and Therapeutic Medicine
      • Experimental and Therapeutic Medicine
      • Information for Authors
      • Editorial Policies
      • Editorial Board
      • Aims and Scope
      • Abstracting and Indexing
      • Bibliographic Information
      • Archive
    • International Journal of Molecular Medicine
      • International Journal of Molecular Medicine
      • Information for Authors
      • Editorial Policies
      • Editorial Board
      • Aims and Scope
      • Abstracting and Indexing
      • Bibliographic Information
      • Archive
    • Biomedical Reports
      • Biomedical Reports
      • Information for Authors
      • Editorial Policies
      • Editorial Board
      • Aims and Scope
      • Abstracting and Indexing
      • Bibliographic Information
      • Archive
    • Oncology Reports
      • Oncology Reports
      • Information for Authors
      • Editorial Policies
      • Editorial Board
      • Aims and Scope
      • Abstracting and Indexing
      • Bibliographic Information
      • Archive
    • Molecular Medicine Reports
      • Molecular Medicine Reports
      • Information for Authors
      • Editorial Policies
      • Editorial Board
      • Aims and Scope
      • Abstracting and Indexing
      • Bibliographic Information
      • Archive
    • World Academy of Sciences Journal
      • World Academy of Sciences Journal
      • Information for Authors
      • Editorial Policies
      • Editorial Board
      • Aims and Scope
      • Abstracting and Indexing
      • Bibliographic Information
      • Archive
    • International Journal of Functional Nutrition
      • International Journal of Functional Nutrition
      • Information for Authors
      • Editorial Policies
      • Editorial Board
      • Aims and Scope
      • Abstracting and Indexing
      • Bibliographic Information
      • Archive
    • International Journal of Epigenetics
      • International Journal of Epigenetics
      • Information for Authors
      • Editorial Policies
      • Editorial Board
      • Aims and Scope
      • Abstracting and Indexing
      • Bibliographic Information
      • Archive
    • Medicine International
      • Medicine International
      • Information for Authors
      • Editorial Policies
      • Editorial Board
      • Aims and Scope
      • Abstracting and Indexing
      • Bibliographic Information
      • Archive
  • Articles
  • Information
    • Information for Authors
    • Information for Reviewers
    • Information for Librarians
    • Information for Advertisers
    • Conferences
  • Language Editing
Spandidos Publications Logo
  • About
    • About Spandidos
    • Aims and Scopes
    • Abstracting and Indexing
    • Editorial Policies
    • Reprints and Permissions
    • Job Opportunities
    • Terms and Conditions
    • Contact
  • Journals
    • All Journals
    • Biomedical Reports
      • Information for Authors
      • Editorial Policies
      • Editorial Board
      • Aims and Scope
      • Abstracting and Indexing
      • Bibliographic Information
      • Archive
    • Experimental and Therapeutic Medicine
      • Information for Authors
      • Editorial Policies
      • Editorial Board
      • Aims and Scope
      • Abstracting and Indexing
      • Bibliographic Information
      • Archive
    • International Journal of Epigenetics
      • Information for Authors
      • Editorial Policies
      • Editorial Board
      • Aims and Scope
      • Abstracting and Indexing
      • Bibliographic Information
      • Archive
    • International Journal of Functional Nutrition
      • Information for Authors
      • Editorial Policies
      • Editorial Board
      • Aims and Scope
      • Abstracting and Indexing
      • Bibliographic Information
      • Archive
    • International Journal of Molecular Medicine
      • Information for Authors
      • Editorial Policies
      • Editorial Board
      • Aims and Scope
      • Abstracting and Indexing
      • Bibliographic Information
      • Archive
    • International Journal of Oncology
      • Information for Authors
      • Editorial Policies
      • Editorial Board
      • Aims and Scope
      • Abstracting and Indexing
      • Bibliographic Information
      • Archive
    • Medicine International
      • Information for Authors
      • Editorial Policies
      • Editorial Board
      • Aims and Scope
      • Abstracting and Indexing
      • Bibliographic Information
      • Archive
    • Molecular and Clinical Oncology
      • Information for Authors
      • Editorial Policies
      • Editorial Board
      • Aims and Scope
      • Abstracting and Indexing
      • Bibliographic Information
      • Archive
    • Molecular Medicine Reports
      • Information for Authors
      • Editorial Policies
      • Editorial Board
      • Aims and Scope
      • Abstracting and Indexing
      • Bibliographic Information
      • Archive
    • Oncology Letters
      • Information for Authors
      • Editorial Policies
      • Editorial Board
      • Aims and Scope
      • Abstracting and Indexing
      • Bibliographic Information
      • Archive
    • Oncology Reports
      • Information for Authors
      • Editorial Policies
      • Editorial Board
      • Aims and Scope
      • Abstracting and Indexing
      • Bibliographic Information
      • Archive
    • World Academy of Sciences Journal
      • Information for Authors
      • Editorial Policies
      • Editorial Board
      • Aims and Scope
      • Abstracting and Indexing
      • Bibliographic Information
      • Archive
  • Articles
  • Information
    • For Authors
    • For Reviewers
    • For Librarians
    • For Advertisers
    • Conferences
  • Language Editing
Login Register Submit
  • This site uses cookies
  • You can change your cookie settings at any time by following the instructions in our Cookie Policy. To find out more, you may read our Privacy Policy.

    I agree
Search articles by DOI, keyword, author or affiliation
Search
Advanced Search
presentation
Oncology Letters
Join Editorial Board Propose a Special Issue
Print ISSN: 1792-1074 Online ISSN: 1792-1082
Journal Cover
June-2025 Volume 29 Issue 6

Full Size Image

Sign up for eToc alerts
Recommend to Library

Journals

International Journal of Molecular Medicine

International Journal of Molecular Medicine

International Journal of Molecular Medicine is an international journal devoted to molecular mechanisms of human disease.

International Journal of Oncology

International Journal of Oncology

International Journal of Oncology is an international journal devoted to oncology research and cancer treatment.

Molecular Medicine Reports

Molecular Medicine Reports

Covers molecular medicine topics such as pharmacology, pathology, genetics, neuroscience, infectious diseases, molecular cardiology, and molecular surgery.

Oncology Reports

Oncology Reports

Oncology Reports is an international journal devoted to fundamental and applied research in Oncology.

Experimental and Therapeutic Medicine

Experimental and Therapeutic Medicine

Experimental and Therapeutic Medicine is an international journal devoted to laboratory and clinical medicine.

Oncology Letters

Oncology Letters

Oncology Letters is an international journal devoted to Experimental and Clinical Oncology.

Biomedical Reports

Biomedical Reports

Explores a wide range of biological and medical fields, including pharmacology, genetics, microbiology, neuroscience, and molecular cardiology.

Molecular and Clinical Oncology

Molecular and Clinical Oncology

International journal addressing all aspects of oncology research, from tumorigenesis and oncogenes to chemotherapy and metastasis.

World Academy of Sciences Journal

World Academy of Sciences Journal

Multidisciplinary open-access journal spanning biochemistry, genetics, neuroscience, environmental health, and synthetic biology.

International Journal of Functional Nutrition

International Journal of Functional Nutrition

Open-access journal combining biochemistry, pharmacology, immunology, and genetics to advance health through functional nutrition.

International Journal of Epigenetics

International Journal of Epigenetics

Publishes open-access research on using epigenetics to advance understanding and treatment of human disease.

Medicine International

Medicine International

An International Open Access Journal Devoted to General Medicine.

Journal Cover
June-2025 Volume 29 Issue 6

Full Size Image

Sign up for eToc alerts
Recommend to Library

  • Article
  • Citations
    • Cite This Article
    • Download Citation
    • Create Citation Alert
    • Remove Citation Alert
    • Cited By
  • Similar Articles
    • Related Articles (in Spandidos Publications)
    • Similar Articles (Google Scholar)
    • Similar Articles (PubMed)
  • Download PDF
  • Download XML
  • View XML
Case Report Open Access

Immunotherapy for primary squamous cell carcinoma of the liver: A case report

  • Authors:
    • Jian Jiang
    • Guomin Dong
    • Suoni Li
    • Jiequn Ma
    • Jie Bai
    • Jinzi Hui
    • Hongbian Gao
    • Zheng Zhao
  • View Affiliations / Copyright

    Affiliations: Graduate School, Shaanxi University of Chinese Medicine, Xianyang, Shaanxi 712046, P.R. China, Department of Internal Medicine, Shaanxi Provincial Cancer Hospital, Xi'an, Shaanxi 710061, P.R. China, Department of Nuclear Medicine, Shaanxi Provincial Cancer Hospital, Xi'an, Shaanxi 710061, P.R. China, Department of Pathology, Shaanxi Provincial Cancer Hospital, Xi'an, Shaanxi 710061, P.R. China
    Copyright: © Jiang et al. This is an open access article distributed under the terms of Creative Commons Attribution License.
  • Article Number: 279
    |
    Published online on: April 7, 2025
       https://doi.org/10.3892/ol.2025.15025
  • Expand metrics +
Metrics: Total Views: 0 (Spandidos Publications: | PMC Statistics: )
Metrics: Total PDF Downloads: 0 (Spandidos Publications: | PMC Statistics: )
Cited By (CrossRef): 0 citations Loading Articles...

This article is mentioned in:



Abstract

The present study reports an exceedingly rare case of primary squamous cell carcinoma of the liver (PSCCL), a malignancy that has been documented in only ~30 cases worldwide, with both diagnosis and treatment presenting significant challenges. A 72‑year‑old man presented with right upper abdominal discomfort was admitted to Shaanxi Provincial Cancer Hospital (Xi'an, China). Computed tomography (CT) imaging revealed a space‑occupying lesion in the liver. A subsequent percutaneous liver biopsy confirmed a diagnosis of PSCCL. Positron emission tomography/CT was performed to exclude metastasis from other primary sites and confirmed the diagnosis of PSCCL. The patient received combination therapy of envafolimab and albumin‑paclitaxel plus cisplatin. Telephone follow‑up continued until December 2024 (a total of 18 months), during which the patient achieved and maintained a sustained partial response. The uniqueness of the present case lies in the patient's receipt of an innovative therapeutic regimen combining envafolimab with albumin‑paclitaxel and cisplatin, achieving a sustained partial response over an 18‑month follow‑up period. This outcome not only offers novel insights for the clinical management of PSCCL but also underscores the importance of multidisciplinary comprehensive treatment in rare tumors.

Introduction

Primary squamous cell carcinoma of the liver (PSCCL) is an exceedingly rare malignancy, with only ~30 cases reported worldwide according to the available literature (1). Unlike hepatocellular carcinoma (HCC), PSCCL lacks specific laboratory tests and imaging characteristics, making diagnosis challenging. It is important to exclude metastatic SCC from other sites in the differential diagnosis, and histopathological examination remains the gold standard for diagnosis (2).

PSCCL occurs in the liver, which lacks squamous epithelium, and its pathogenesis is not fully understood. Research suggests that chronic inflammation and liver injury (e.g., chronic cholangitis, congenital biliary cysts, hepatic cysts, infections and stones) may be primary causes (3). Histopathologically, PSCCL features keratin pearls, polygonal cancer cells with abundant cytoplasm and prominent nucleoli, intercellular bridges, and positive cytokeratin (CK)5/6 and tumor protein p63 (p63) staining. These features help distinguish PSCCL from other liver tumors and exclude metastatic SCCs. The present case is unique as the patient received an innovative treatment combining envafolimab, albumin-paclitaxel and cisplatin, achieving sustained remission over 18 months. This provides new insights for PSCCL diagnosis and treatment.

Case report

A 72-year-old man was admitted to Shaanxi Provincial Cancer Hospital (Xi'an, China) in July 2023 with a diagnosis of a hepatic space-occupying lesion. The patient had previously experienced pain in the liver region and underwent an upper abdominal computed tomography (CT) scan at a local hospital. The CT scan revealed an intrahepatic lamellar shadow of slightly reduced density, indicative of a space-occupying lesion. Slight dilatation of the common bile duct was also observed, along with a left renal cyst. Tumor marker evaluations performed at Shaanxi Provincial Cancer Hospital showed significantly elevated levels of carcinoembryonic antigen (CEA) at 40.10 ng/ml (reference range, 0–5.5 ng/ml), carbohydrate antigen 199 (CA19-9) at 335.2 IU/ml (reference range, 0–28 IU/ml) and ferritin at 1,184.10 ng/ml (reference range, 25–350 ng/ml). The patient also reported recent weight loss of ~5 kg over a period of ~10 days. The patient had a history of gallstones diagnosed 10 years prior and underwent a cholecystectomy in 2019.

On admission in July 2023, the Eastern Cooperative Oncology Group (ECOG; http://ecog-acrin.org/resources/ecog-performance-status/) performance status score was 1 and the Numerical Rating Scale (NRS; with 0 indicating no pain and 10 indicating the most severe pain) score for pain was 1. A physical examination revealed an enlarged liver palpable in the right upper abdomen, with positive percussion tenderness. Laboratory findings upon admission showed elevated tumor markers, including CEA at 40.10 ng/ml, CA-50 at 223.5 IU/ml (reference value, 0–20 IU/ml), CA19-9 at 335.2 IU/ml and CA24-2 at >200 IU/ml (reference value, 0–20 IU/ml). Liver function tests showed decreased albumin at 36.9 g/l (reference value, 40–55 g/l) and elevated aspartate transferase (AST) at 73 U/l (reference value, 7–50 U/l).

CT imaging showed multiple low-density nodules and masses beneath the capsule of the right hepatic lobe and within the right lobe of the liver, raising suspicion for potential hepatocellular carcinoma or intrahepatic cholangiocarcinoma with subperitoneal and intrahepatic multiple metastases (Fig. 1A). Thrombus formation was noted in the lumen of the right branch of the portal vein (Fig. 1B). The gallbladder was not clearly visualized. The kidneys showed multiple cysts. Multiple enlarged lymph nodes were identified in the posterior mediastinal paraspinal region, hepatic hilum and retroperitoneum, some of which were partially fused, suggestive of metastatic disease (Fig. 1C).

Figure 1.

Abdominal computed tomography images at the patient's initial consultation. (A) Multiple intrahepatic metastases (arrow). (B) Thrombus formation within the right branch of the portal vein (arrow). (C) Multiple enlarged lymph nodes in the retroperitoneal paraspinal region, hepatic hilum and retroperitoneum (arrow).

A liver biopsy was performed 3 days after admission. Histopathological examination revealed an invasive, poorly differentiated carcinoma of the liver, with histopathological features suggestive of a poorly differentiated SCC (Fig. 2A and B). Immunohistochemical results showed Ki-67 positivity in 80% of cells (Fig. 2C), a lack of synaptophysin expression (Fig. 2D), partial positivity for p63 (Fig. 2E), p40 (Fig. 2F), partial positivity for CK5/6 (Fig. 2G) and positivity for pan cytokeratin (CKpan) (Fig. 2H). Other positive immunohistochemical markers included CK7 (Fig. 2I), CK20 (Fig. 2J), villin (Fig. 2K), hepatocyte paraffin 1 (Fig. 2L), glypican-3 (Fig. 2M), CK19, GATA binding protein 3, caudal type homeobox transcription factor 2, uroplakin III, nuclear protein in testis, thyroid transcription factor 1, SWI/SNF related matrix-associated actin dependent regulator of chromatin subfamily a member 4/Brahma-related gene 1, and INI1 protein (data not shown). Programmed death-ligand 1 (PD-L1) expression detected using the 22C3 antibody showed a combined positive score (CPS) of 5 [(number of PD-L1-positive tumor cells + number of PD-L1-positive immune cells)/total number of tumor cells ×100; Fig. 2N and O].

Figure 2.

Histopathological and immunohistochemical results indicating squamous cell carcinoma. (A) H&E staining, ×100 magnification. (B) H&E staining, ×200 magnification. (C-M) Immunohistochemical staining at ×100 magnification for (C) Ki-67, (D) synaptophysin, (E) tumor protein p63, (F) tumor protein p40, (G) CK5/6, (H) pan CK, (I) CK7, (J) CK20, (K) villin, (L) hepatocyte paraffin 1 and (M) glypican-3. (N and O) Immunohistochemical staining for programmed death-ligand 1 at (N) ×100 magnification and (O) ×200 magnification. H&E, hematoxylin and eosin; CK, cytokeratin.

Given the rarity of hepatic SCC, a positron emission tomography (PET)/CT scan was performed to exclude the possibility of metastases from other primary sites. The PET/CT findings were as follows: An irregular mass was observed in the right lobe of the liver (Fig. 3A). Multiple low-density nodules were identified within the liver, as well as multiple enlarged lymph nodes in the hepatic hilum, posterior to both diaphragmatic crura, around the abdominal aorta in the retroperitoneum, and at the root of the mesentery (Fig. 3B). Additional enlarged lymph nodes were noted in the upper abdominal peritoneal area, posterior mediastinum, around the esophagus, the right axillary area (Fig. 3C) and the left clavicular area (Fig. 3D). Bone destruction was observed in the left transverse process of the sixth cervical vertebra (Fig. 3E), and in the left 10th and 11th posterior ribs (Fig. 3F), suggestive of metastases.

Figure 3.

Positron emission tomography/computed tomography images demonstrating disease progression. (A) Irregular mass in the right lobe of the liver suggesting a primary hepatic lesion (SUVmax, 14.0) (B) Bilateral enlarged lymph nodes posterior to the diaphragmatic crura, around the abdominal aorta in the retroperitoneum and at the mesenteric root (SUVmax, 14.9). (C) Multiple enlarged lymph nodes in the left clavicular region and right axilla (SUVmax, 4.5–12.4). (D) Lymph node metastases in the upper abdominal peritoneal region and around the thoracic aorta (SUVmax, 4.21–15.36). (E) Bone metastasis involving the left transverse process of the sixth cervical vertebra. (F) Bone destruction of the left 10th and 11th posterior ribs indicative of bone metastasis (SUVmax, 6.1). SUVmax, maximum standardized uptake value.

The increased glucose metabolism observed in these regions suggested a primary malignant hepatic lesion, possibly intrahepatic cholangiocarcinoma, with intrahepatic metastasis, multiple lymph node metastases and bone metastases. No other primary tumors were detected. Based on the pathology and imaging findings, a final diagnosis of PSCCL was made.

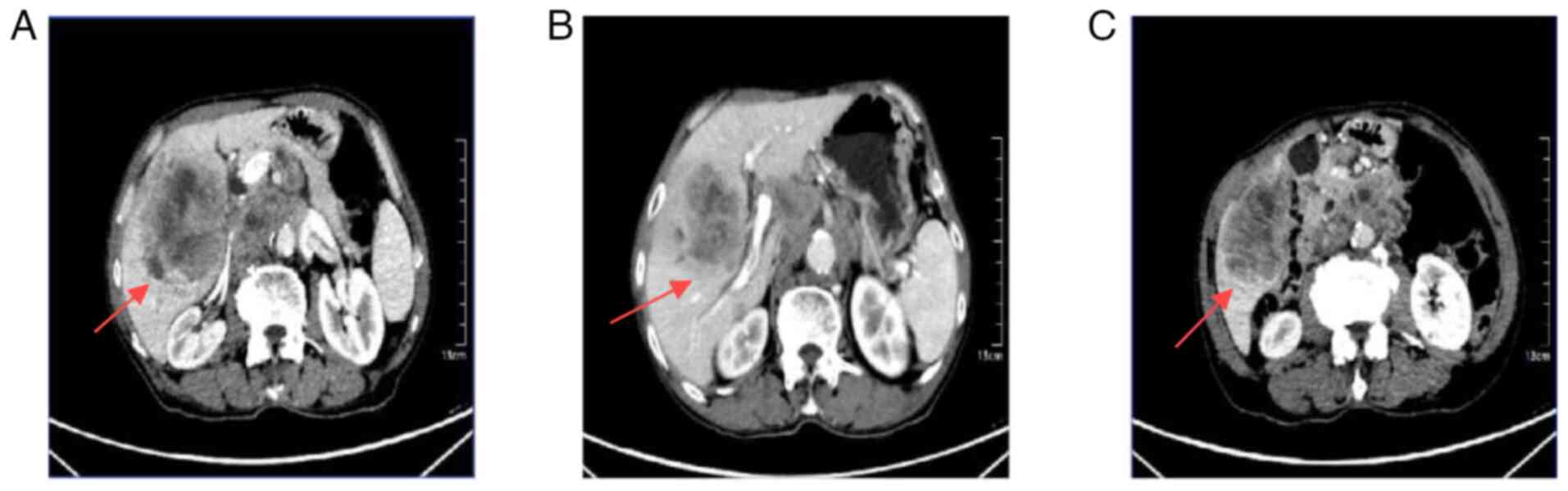
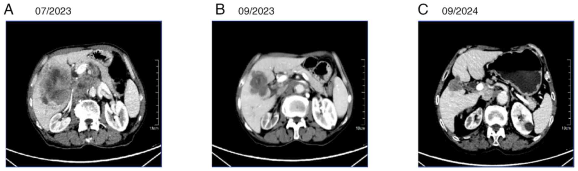
After multidisciplinary discussion, the patient was treated with envafolimab (200 mg subcutaneously once weekly) in combination with albumin-paclitaxel (200 mg on day 1 and 100 mg on day 5) plus cisplatin (30 mg on days 1–3). After two cycles (each cycle lasting 21 days), the efficacy evaluation indicated a partial response (PR) (Fig. 4A and B), which was sustained on subsequent evaluation (Fig. 4C). The tumor, initially shown on CT in July 2023 as multiple low-density nodules and a mass in the subcapsular region of the right lobe of the liver, with the largest measuring ~8.2×7.8 cm, had shrunk to 5.4×5.1 cm upon re-examination in September 2023, and further reduced to 3.3×3.0 cm when reviewed at Shaanxi Provincial Cancer Hospital in 2024. Following treatment, the patient's pain was significantly alleviated, physical strength was gradually recovered and mental status was improved. The various symptoms subsided, indicating a marked treatment effect. The multiple metastases were effectively controlled, the tumors significantly reduced in size, the tumor marker levels continued to decline (Fig. 5) and the patient's condition tended to be stable. With the improvement of physical condition, the patient's quality of life was also greatly enhanced, with normal mobility and diet. Telephone follow-up continued until December 2024 (a total of 18 months), during which time the patient maintained a sustained PR. Tumor marker levels continue to fall.

Figure 4.

Abdominal CT images before and after treatment. (A) Initial abdominal CT at diagnosis. (B) Abdominal CT after two cycles of treatment showing a reduction in tumor size. (C) More recent follow-up abdominal CT demonstrating a sustained partial response. CT, computed tomography.

Figure 5.

Tumor marker levels over time. The patient's tumor markers show a continuously decreasing trend during the treatment process. AFP, α-fetoprotein; CEA, carcinoembryonic antigen; CA, carbohydrate antigen.

Tissue staining methods

Tissues were fixed in 10% neutral formalin for 6–24 h. The tissues were sectioned to a 3- to 4-µm thickness. For hematoxylin and eosin staining, hematoxylin was added for 3–5 min, followed by eosin for 2–10 sec, all at room temperature. Staining was evaluated using a light microscope. For immunohistochemical analysis, the EnVision two-step method was used. The primary and secondary antibodies used were ready-to-use antibodies, all purchased from Fuzhou Maixin Biotechnology Development Co., Ltd. The PD-L1 (clone 22C3) antibody was also ready-to-use and purchase from Dako; Agilent Technologies, Inc. All staining was performed using an automated immunohistochemical staining machine and performed according to the manufacturer's instructions.

Discussion

PSCCL is an extremely rare malignant tumor, with only ~30 cases reported in the literature worldwide. Squamous epithelial tissue is commonly found in areas such as the esophagus, trachea, pharynx, skin and vulva. Since the liver lacks squamous epithelial tissue, metastasis from other SCCs must be excluded when diagnosing PSCCL. The etiology of PSCCL remains unclear, with potential associations suggested with solitary non-parasitic liver cysts, developmental liver cysts (4–6), intrahepatic bile duct stones (7), gallstones, chronic cholangitis, hepatic teratoma, liver cirrhosis (8), and other related diseases.

Several theories have been proposed regarding the pathogenesis of PSCCL. Chronic inflammation from conditions such as chronic cholangitis, congenital biliary cysts or hepatic cysts combined with infections and stones are considered the main etiological factors. Hepatic pluripotent stem cells can be transformed into cancerous tissue containing squamous cells, hepatocytes and biliary epithelial cells in response to various oncogenic factors, eventually developing into SCC. The development of most SCCs is considered to be associated with squamous metaplasia and progressive carcinoma of the epithelial cells of the biliary tract or cyst wall stimulated by chronic inflammation, leading to malignant transformation (9).

Clinically, PSCCL lacks specific symptoms and laboratory markers, making it difficult to distinguish from other hepatic malignancies. Liver function tests may show abnormalities similar to those seen in HCC, such as elevated alanine aminotransferase (10), AST (11) and bilirubin (12) levels. Tumor markers such as α-fetoprotein (13,14), SCC antigen and CA19-9 (15,16) may be elevated, but are not specific to PSCCL. SCC antigen has diagnostic value in SCC, but is mainly used for the diagnosis and monitoring of lung (17), head and neck (18), and cervical (19) cancer. To date, there remains a lack of specific serum markers for diagnosing PSCCL. In the present case, laboratory tests demonstrated significant elevations of CEA and CA19-9, consistent with the characteristics of gastrointestinal tract tumors, but other indices were normal.

CT imaging of PSCCL typically shows mild hypodense shadows, occasionally with cystic components. Persistent enhancement is observed in both the portal and delayed phases. Enhanced imaging demonstrates enhanced lesion margins in the arterial phase with lobulated features. Mild enhancement is observed in the center of the lesion, with persistent enhancement in the delayed phase (20). A CT scan alone is insufficient to diagnose PSCCL. For example, in some patients, no discernible hepatic mass is exhibited on CT, and only hepatic cysts or intrahepatic stones are observed, but the postoperative pathology indicates SCC. In the present case, the initial CT of the patient suggested a hepatic space-occupying lesion. To the best of our knowledge, limited literature exists on the use of PET/CT in diagnosing PSCCL. The PET/CT images of the present patient showed an irregular mass in the right lobe of the liver, multiple intrahepatic hypodense nodules, multiple lymph node metastases and bone metastases, helping to exclude metastasis from other systems. Based on these findings, a final diagnosis of PSCCL was made.

Histopathological examination remains the gold standard for diagnosing PSCCL. Key pathological features include keratinized cell clusters forming keratin pearls, polygonal cancer cells with abundant cytoplasm and prominent nucleoli, evident intercellular bridges, and positive immunohistochemical staining for markers such as CK5/6 and p63. Metastasis from other SCCs must be rigorously excluded (21).

In the present case, histopathological examination of the biopsy tissue showed cancer cells arranged in sheets forming nests, with polygonal cells, abundant cytoplasm, large nuclei, nuclear pleomorphism, prominent nucleoli and numerous mitotic figures. Keratinization was observed in the center of the nests, arranged concentrically to form cancer beads. The tumor parenchyma and stroma were clearly demarcated. Immunohistochemistry showed positive results for CK5/6, CKpan and p63. No lesions were seen on chest CT, leading to a final diagnosis of PSCCL.

Treatment options for PSCCL include surgery, chemotherapy, radiotherapy and immunotherapy. Okuda et al (22) reported that early stage PSCCL can be surgically resected with no recurrence for >1.5 years postoperatively. Zhang et al (23) reported that among 19 surgically resected cases, 8 survived for >12 months, while 11 died within a year. Within this study, 1 patient experienced tumor recurrence and died from metastatic disease 18 months after radical surgery (23). Surgical resection is the mainstay for early stage disease and can result in prolonged survival times. However, most patients are diagnosed at advanced stages when surgery is not feasible. Lee et al reported that patients who refused surgery and were treated with chemotherapy using carboplatin combined with 5-fluorouracil had an overall survival time of >8 months (24). Regarding radiotherapy, it was reported that patients with PSCCL who were physically unable to undergo chemotherapy were treated with local radiotherapy and died 1 month after hospital discharge (25). Immunotherapy has shown efficacy in esophageal (26), lung (27), head and neck (28), and skin (29) SCC.

At the time of presentation, the current patient had multiple metastases and an advanced malignant tumor, making surgical resection impossible. Since basic research has found that SCCs are immunogenic, immune checkpoint inhibitors have become the standard first-line treatment option for these tumor types. The patient also had SCC, but PSCCL is a rare tumor, and there is a lack of large-scale clinical research data for reference. Therefore, the treatment selection was mainly based on the histopathological type and referencing of other tumors, using immune checkpoint inhibitors combined with paclitaxel and platinum drugs commonly used in SCC (30–34). Other studies suggest that immunotherapy combined with chemotherapy can improve progression-free survival and overall survival (OS); for example, gemcitabine combined with cisplatin and doxorubicin extended the OS time from 11.5 to 12.8 months, showing a statistically significant difference compared with conventional treatment (chemotherapy, radiotherapy and surgery) (35). After considering the current patient's age, physical condition and potential adverse effects, and after communicating with the patient's family, the safer (milder and more manageable side effects) PD-L1 inhibitor envafolimab (36) combined with albumin-bound paclitaxel plus cisplatin regimen was selected for treatment.

The final regimen was envafolimab (200 mg subcutaneously once a week) combined with albumin-paclitaxel (200 mg on day 1 and 100 mg on day 5) plus cisplatin (30 mg on days 1–3). Albumin-bound paclitaxel promotes the polymerization of tubulin, inhibits mitosis of tumor cells and leads to cell apoptosis. Cisplatin binds to DNA, interfering with replication and transcription, exerting cytotoxic effects. The combination enhances the antitumor effect and improves the objective response rate and disease control rate. Envafolimab is a monoclonal antibody targeting PD-L1; it binds to human PD-L1 protein, blocking its interaction with the receptor programmed cell death protein 1 (PD-1). This mechanism can relieve the suppression of T cells by tumors through the PD-1/PD-L1 pathway, mobilize the antitumor activity of the immune system and thereby kill tumor cells (37,38). During two treatment cycles, efficacy was assessed as a PR. Follow-up to December 2024 (a total of 18 months) showed a sustained PR.

It has been demonstrated that patients with digestive system tumors exhibiting one or more of the following characteristics respond better to immunotherapy: Positive PD-L1 expression, high microsatellite instability (MSI-H) and defective mismatch repair (dMMR) (39). These patients are expected to achieve longer survival times with immunotherapy. The present patient had a CPS of 5, which may be advantageous in immunotherapy. If financial conditions permit, comprehensive genome sequencing of tumor samples using genetic testing and next-generation sequencing (NGS) can identify specific mutations associated with the tumor, aiding in the early diagnosis of rare tumors and identifying patients with high tumor mutational burden (TMB-H) (40) who will benefit from immunotherapy. Therefore, some scholars have proposed that rare tumors should undergo NGS testing (41). For example, data from a domestic phase II pivotal clinical trial demonstrated that envafolimab had favorable therapeutic efficacy in patients with MSI-H/dMMR advanced solid tumors (42). Clinical trials investigating the efficacy of immunotherapy in patients with advanced solid tumors and TMB-H have demonstrated that patients with TMB-H (TMB ≥20 mutations/Mb) may derive greater benefit from this approach, compared with those with TMB-L (43,44).

In conclusion, PSCCL is an extremely rare malignant tumor of the liver with an unclear pathogenesis. The majority of patients have a poor prognosis, often with survival times <1 year, typically ranging from 4 to 6 months (45). The clinical symptoms and laboratory tests for PSCCL lack specificity, and imaging examinations such as CT help in the preliminary diagnosis. However, a definitive diagnosis relies on histopathology and immunohistochemistry, making PSCCL challenging to diagnose. Additionally, clinicians often lack sufficient awareness of the disease, leading to late diagnoses and a lack of treatment guidelines, further complicating prognosis. Currently, the main treatment modality for PSCCL is surgery, supplemented by radiotherapy and immunotherapy. However, given the considerable variability in the treatment approaches among patients, there is an urgent need to further explore and optimize therapeutic strategies for PSCCL, including chemo-immunotherapy and immunotherapy alone. If financial conditions allow, genetic testing and NGS can provide more precise guidance for the treatment of PSCCL, offering additional information for the selection of clinical drugs.

Acknowledgements

Not applicable.

Funding

This study was supported by the Wu Jieping Medical Foundation Clinical Research Special Grant Fund (Project Name: Application of T-Cell Subsets Combined with Dynamic Monitoring of Blood ctDNA in Predicting the Efficacy of Immunotherapy in Advanced NSCLC Patients;grant no. 320.6750.2023-17-23) and the Xi'an Science and Technology Program (Construction of a Prediction Model for Immunotherapy in Advanced NSCLC Based on ctDNA and Peripheral Blood T-cell Subsets; grant no. 2024JH-YLYB-0176).

Availability of data and materials

The data generated in the present study may be requested from the corresponding author.

Authors' contributions

JJ was responsible for manuscript writing, data organization and data analysis. SL, JB, JM, and ZZ provided critical writing guidance and made revisions to the manuscript. Contributions included input on the study design, data analysis and interpretation, and ensuring the accuracy and integrity of the content. GD and JH were responsible for data collection and analysis, and the provision of medical images (PET/CT and CT scans). HG was responsible for immunohistochemical image analysis, data extraction and interpretation, result verification, anomaly investigation and manuscript revision. ZZ was responsible for the final review, overall supervision and funding acquisition. All authors have read and approved the final manuscript. SL and ZZ confirm the authenticity of all the raw data.

Ethics approval and consent to participate

The study was conducted in accordance with ethical standards.

Patient consent for publication

Written informed consent was obtained from the patient for publication of this case report and accompanying images.

Competing interests

The authors declare that they have no competing interests.

References

1 

Xiao J, Ma L, Li J, Yin B, Liang J and Wang J: Primary squamous cell carcinoma of the liver is rare but hostile: Case series and comprehensive review of the literature. Cancer Manag Res. 13:829–837. 2021. View Article : Google Scholar : PubMed/NCBI

2 

Giorgio A, De Luca M, Gatti P, Matteucci P and Giorgio V: CEUS LI-RADS categories to distinguish hepatocellular carcinoma and non-hepatocellular carcinoma malignancies. Radiology. 296:E121–E122. 2020. View Article : Google Scholar : PubMed/NCBI

3 

Kang LM, Yu DP, Zheng Y and Zhou YH: Primary squamous cell carcinoma of the liver: A case report. World J Clin Cases. 10:6744–6749. 2022. View Article : Google Scholar : PubMed/NCBI

4 

Hsieh CB, Chen CJ, Yu JC, Chang TM, Gao HW and Liu YC: Primary squamous cell carcinoma of the liver arising from a complex liver cyst: Report of a case. Surg Today. 35:328–331. 2005. View Article : Google Scholar : PubMed/NCBI

5 

Nieweg O, Slooff MJ and Grond J: A case of primary squamous cell carcinoma of the liver arising in a solitary cyst. HPB Surg. 5:203–208. 1992. View Article : Google Scholar : PubMed/NCBI

6 

Wilson JM, Groeschl R, George B, Turaga KK, Patel PJ, Saeian K and Gamblin TC: Ciliated hepatic cyst leading to squamous cell carcinoma of the liver-a case report and review of the literature. Int J Surg Case Rep. 4:972–975. 2013. View Article : Google Scholar : PubMed/NCBI

7 

Zhu KL, Li DY and Jiang CB: Primary squamous cell carcinoma of the liver associated with hepatolithiasis: A case report. World J Gastroenterol. 18:5830–5832. 2012. View Article : Google Scholar : PubMed/NCBI

8 

Arase Y, Endo Y, Hara M, Kumada H, Ikeda K and Yoshiba A: Hepatic squamous cell carcinoma with hypercalcemia in liver cirrhosis. Acta Pathol Jpn. 38:643–650. 1988.PubMed/NCBI

9 

Shi G, Ye X, Yang F, Wang Z and Ma X: Hepatic squamous cell carcinoma initially presenting as cholecystitis misdiagnosed as cholangiocarcinoma: A case report. Oncol Lett. 29:32024. View Article : Google Scholar : PubMed/NCBI

10 

Du Y, Du B, Fang X, Shu M, Zhang Y, Chung H, Sun Y, Teng J, Visalath P, Qiu H and Cai W: ALT flare predicts hepatocellular carcinoma among antiviral treated patients with chronic hepatitis B: A cross-country cohort study. Front Oncol. 10:6152032021. View Article : Google Scholar : PubMed/NCBI

11 

Carr BI, Bag HG, Ince V, Akbulut S, Ersan V, Usta S, Isik B, Ogut Z, Tuncer A and Yilmaz S: A combination of blood lymphocytes and AST levels distinguishes patients with small hepatocellular carcinomas from non-cancer patients. J Gastrointest Cancer. 52:1211–1216. 2021. View Article : Google Scholar : PubMed/NCBI

12 

Toyoda H and Johnson PJ: The ALBI score: From liver function in patients with HCC to a general measure of liver function. JHEP Rep. 4:1005572022. View Article : Google Scholar : PubMed/NCBI

13 

Mazza S, Frigerio C, Alfieri D, Mauro A, Torello Viera F, Scalvini D, Barteselli C, Sgarlata C, Veronese L, Bardone M, et al: Prognostic role of basal serum alpha-fetoprotein in patients with hepatocellular carcinoma suitable for curative treatment. Medicina (Kaunas). 60:6922024. View Article : Google Scholar : PubMed/NCBI

14 

Luo P, Wu S, Yu Y, Ming X, Li S, Zuo X and Tu J: Current status and perspective biomarkers in AFP negative HCC: Towards screening for and diagnosing hepatocellular carcinoma at an earlier stage. Pathol Oncol Res. 26:599–603. 2020. View Article : Google Scholar : PubMed/NCBI

15 

Zeng P, Li H, Chen Y, Pei H and Zhang L: Serum CA199 levels are significantly increased in patients suffering from liver, lung, and other diseases. Prog Mol Biol Transl Sci. 162:253–264. 2019. View Article : Google Scholar : PubMed/NCBI

16 

Kong Y, Jing Y, Sun H and Zhou S: The diagnostic value of contrast-enhanced ultrasound and enhanced CT combined with tumor markers AFP and CA199 in liver cancer. J Healthc Eng. 2022:50745712022. View Article : Google Scholar : PubMed/NCBI

17 

Wu LH, Chen L, Wang QY and Wang YT: Correlation between HRCT signs and levels of CA125, SCCA, and NSE for different pathological types of lung cancer. Eur Rev Med Pharmacol Sci. 27:4162–4168. 2023.PubMed/NCBI

18 

Schepens EJA, Al-Mamgani A, Karssemakers LHE, van den Broek D, van den Brekel MWM and Lopez-Yurda M: Squamous cell carcinoma antigen in the follow-up of patients with head and neck cancer. Otolaryngol Head Neck Surg. 170:422–430. 2024. View Article : Google Scholar : PubMed/NCBI

19 

Tony V, Sathyamurthy A, Ramireddy JK, Iswarya SJ, Gowri SM, Thomas A, Peedicayil A and Ram TS: Role of squamous cell carcinoma antigen in prognostication, monitoring of treatment response, and surveillance of locally advanced cervical carcinoma. J Cancer Res Ther. 19:1236–1240. 2023. View Article : Google Scholar : PubMed/NCBI

20 

Song Y, Shi J, Zhang X, Qiao M, Sun Z and Tian S: Diagnostic value of imaging modalities in primary squamous cell carcinoma of the liver. J Clin Ultrasound. 51:887–897. 2023. View Article : Google Scholar : PubMed/NCBI

21 

Zhao R, Zhu K, Wang R, Gao J, Cui K, Yu F, Zhang B and Li S: Primary squamous cell carcinoma of the liver: A case report and review of the literature. Oncol Lett. 4:1163–1166. 2012. View Article : Google Scholar : PubMed/NCBI

22 

Okuda Y, Abe T, Ikeda M, Kurihara K, Shimizu A, Oshita A, Yonehara S and Hanada K: Curative surgery for primary squamous cell carcinoma of the liver: A rare case study. Clin J Gastroenterol. 16:263–269. 2023. View Article : Google Scholar : PubMed/NCBI

23 

Zhang XF, Du ZQ, Liu XM and Lv Y: Primary squamous cell carcinoma of liver: Case series and review of literatures. Medicine (Baltimore). 94:e8682015. View Article : Google Scholar : PubMed/NCBI

24 

Lee HL, Fu CK, Chien LY and Chen LM: Primary squamous cell carcinoma of the liver with good response to carboplatin and 5-flurouracil: A case report. Medicina (Kaunas). 58:18642022. View Article : Google Scholar : PubMed/NCBI

25 

Yoo TK, Kim BI, Han EN, Kim DH, Yoo JH, Lee SJ, Cho YK and Kim HJ: Primary squamous cell carcinoma of the liver: A case report. Clin Mol Hepatol. 22:177–182. 2016. View Article : Google Scholar : PubMed/NCBI

26 

Wei DD, Fang JM, Wang HZ, Chen J, Kong S, Jiang YY and Jiang Y: Perioperative immunotherapy for esophageal squamous cell carcinoma. Front Immunol. 15:13307852024. View Article : Google Scholar : PubMed/NCBI

27 

Desai A and Peters S: Immunotherapy-based combinations in metastatic NSCLC. Cancer Treat Rev. 116:1025452023. View Article : Google Scholar : PubMed/NCBI

28 

Daste A, Larroquette M, Gibson N, Lasserre M and Domblides C: Immunotherapy for head and neck squamous cell carcinoma: Current status and perspectives. Immunotherapy. 16:187–197. 2024. View Article : Google Scholar : PubMed/NCBI

29 

Schmults CD, Blitzblau R, Aasi SZ, Alam M, Andersen JS, Baumann BC, Bordeaux J, Chen PL, Chin R, Contreras CM, et al: NCCN guidelines® insights: Squamous cell skin cancer, version 1.2022. J Natl Compr Canc Netw. 19:1382–1394. 2021. View Article : Google Scholar : PubMed/NCBI

30 

Fang Q, Xu P, Cao F, Wu D and Liu X: PD-1 Inhibitors combined with paclitaxel (Albumin-bound) and cisplatin for larynx preservation in locally advanced laryngeal and hypopharyngeal squamous cell carcinoma: A retrospective study. Cancer Immunol Immunother. 72:4161–4168. 2023. View Article : Google Scholar : PubMed/NCBI

31 

Adkins D, Ley J, Atiq O, Powell S, Spanos WC, Gitau M, Rigden C, Palka K, Liu J and Oppelt P: Nanoparticle albumin-bound paclitaxel with cetuximab and carboplatin as first-line therapy for recurrent or metastatic head and neck cancer: A single-arm, multicenter, phase 2 trial. Oral Oncol. 115:1051732021. View Article : Google Scholar : PubMed/NCBI

32 

Xu H, Wang W, Yin J, Song C, Li L and Sun Z: Efficacy and safety of the PD-1 inhibitor combined with albumin-bound paclitaxel and nedaplatin in preoperative neoadjuvant therapy of unresectable stage III lung squamous cell carcinoma. Drug Des Devel Ther. 16:4269–4277. 2022. View Article : Google Scholar : PubMed/NCBI

33 

Peng J, Luo G, Yu Y, Ning K and Liu X: Retrospective assessment of neoadjuvant camrelizumab combined with induction chemotherapy: Efficacy in laryngeal preservation for advanced hypopharyngeal and laryngeal squamous cell carcinoma. Cancer Immunol Immunother. 73:542024. View Article : Google Scholar : PubMed/NCBI

34 

Black CM, Zheng D, Hair GM, Ai L, Wang L, Goto D, Lerman N, Bidadi B and Hanna GJ: Real-world use of first-line pembrolizumab + platinum + taxane combination regimens in recurrent/metastatic head and neck squamous cell carcinoma. Front Oncol. 14:13480452024. View Article : Google Scholar : PubMed/NCBI

35 

Araki T, Muranushi R, Takagi K, Tanaka H, Shibuya K, Ando T, Yoshioka I, Hirabayashi K, Yasuda I and Fujii T: A case of successful conversion surgery for unresectable gallbladder cancer treated with durvalumab in combination with gemcitabine plus cisplatin. Clin J Gastroenterol. 18:161–168. 2025. View Article : Google Scholar : PubMed/NCBI

36 

Markham A: Envafolimab: First approval. Drugs. 82:235–240. 2022. View Article : Google Scholar : PubMed/NCBI

37 

Qian Y, Tang L, Yao J, Zhu Y, Zhang Y, Lu H, Li W, An C and Gui L: Pembrolizumab with chemotherapy for patients with recurrent or metastatic nasal cavity and paranasal sinus squamous cell carcinoma: A prospective phase ll study. Clin Cancer Res. Feb 24–2025.(Epub ahead of print). View Article : Google Scholar

38 

Yang Y, Luo X, Dai L, He T, Luo S, Zhou Y, Wang H, Yan Z, Wang Q and Jin X: A case report of envafolimab in the treatment of microsatellite stable (MSS) metastatic colon cancer. Onco Targets Ther. 17:1137–1144. 2024. View Article : Google Scholar : PubMed/NCBI

39 

Bhamidipati D and Subbiah V: Tumor-agnostic drug development in dMMR/MSI-H solid tumors. Trends Cancer. 9:828–839. 2023. View Article : Google Scholar : PubMed/NCBI

40 

Yoon HH, Jin Z, Kour O, Kankeu Fonkoua LA, Shitara K, Gibson MK, Prokop LJ, Moehler M, Kang YK, Shi Q and Ajani JA: Association of PD-L1 expression and other variables with benefit from immune checkpoint inhibition in advanced gastroesophageal cancer: Systematic review and meta-analysis of 17 phase 3 randomized clinical trials. JAMA Oncol. 8:1456–1465. 2022. View Article : Google Scholar : PubMed/NCBI

41 

Bishop JA, Nakaguro M, Weinreb I, Palsgrove D, Rooper LM, Vandergriff TW, Carlile B, Sorelle JA, Gagan J and Nagao T: Comprehensive next generation sequencing reveals that purported primary squamous cell carcinomas of the parotid gland are genetically heterogeneous. Head Neck Pathol. 18:1062024. View Article : Google Scholar : PubMed/NCBI

42 

Chen M, Jiang M, Wang X, Shen L and Li J: Envafolimab-first PD-1/PD-L1 antibody to be administered by subcutaneous injection for microsatellite instability-high or deficient mismatch repair advanced solid tumors. Expert Opin Biol Ther. 22:1227–1232. 2022. View Article : Google Scholar : PubMed/NCBI

43 

Ahmed J, Das B, Shin S and Chen A: Challenges and future directions in the management of tumor mutational burden-high (TMB-H) advanced solid malignancies. Cancers (Basel). 15:58412023. View Article : Google Scholar : PubMed/NCBI

44 

Altomare NJ, Li Y, Neill C, Hussain M and VanderWeele DJ: Response to pembrolizumab in advanced prostate cancer with predictive biomarkers. Oncologist. 30:oyaf0252025. View Article : Google Scholar : PubMed/NCBI

45 

Zhao L, Zhou Y, Ding J, Qin Z, Zhou H and Jing X: Primary hepatic squamous cell carcinoma: Case report and systematic review of the literature. Front Oncol. 13:12299362023. View Article : Google Scholar : PubMed/NCBI

Related Articles

  • Abstract
  • View
  • Download
  • Twitter
Copy and paste a formatted citation
Spandidos Publications style
Jiang J, Dong G, Li S, Ma J, Bai J, Hui J, Gao H and Zhao Z: Immunotherapy for primary squamous cell carcinoma of the liver: A case report. Oncol Lett 29: 279, 2025.
APA
Jiang, J., Dong, G., Li, S., Ma, J., Bai, J., Hui, J. ... Zhao, Z. (2025). Immunotherapy for primary squamous cell carcinoma of the liver: A case report. Oncology Letters, 29, 279. https://doi.org/10.3892/ol.2025.15025
MLA
Jiang, J., Dong, G., Li, S., Ma, J., Bai, J., Hui, J., Gao, H., Zhao, Z."Immunotherapy for primary squamous cell carcinoma of the liver: A case report". Oncology Letters 29.6 (2025): 279.
Chicago
Jiang, J., Dong, G., Li, S., Ma, J., Bai, J., Hui, J., Gao, H., Zhao, Z."Immunotherapy for primary squamous cell carcinoma of the liver: A case report". Oncology Letters 29, no. 6 (2025): 279. https://doi.org/10.3892/ol.2025.15025
Copy and paste a formatted citation
x
Spandidos Publications style
Jiang J, Dong G, Li S, Ma J, Bai J, Hui J, Gao H and Zhao Z: Immunotherapy for primary squamous cell carcinoma of the liver: A case report. Oncol Lett 29: 279, 2025.
APA
Jiang, J., Dong, G., Li, S., Ma, J., Bai, J., Hui, J. ... Zhao, Z. (2025). Immunotherapy for primary squamous cell carcinoma of the liver: A case report. Oncology Letters, 29, 279. https://doi.org/10.3892/ol.2025.15025
MLA
Jiang, J., Dong, G., Li, S., Ma, J., Bai, J., Hui, J., Gao, H., Zhao, Z."Immunotherapy for primary squamous cell carcinoma of the liver: A case report". Oncology Letters 29.6 (2025): 279.
Chicago
Jiang, J., Dong, G., Li, S., Ma, J., Bai, J., Hui, J., Gao, H., Zhao, Z."Immunotherapy for primary squamous cell carcinoma of the liver: A case report". Oncology Letters 29, no. 6 (2025): 279. https://doi.org/10.3892/ol.2025.15025
Follow us
  • Twitter
  • LinkedIn
  • Facebook
About
  • Spandidos Publications
  • Careers
  • Cookie Policy
  • Privacy Policy
How can we help?
  • Help
  • Live Chat
  • Contact
  • Email to our Support Team