Spandidos Publications Logo
  • About
    • About Spandidos
    • Aims and Scopes
    • Abstracting and Indexing
    • Editorial Policies
    • Reprints and Permissions
    • Job Opportunities
    • Terms and Conditions
    • Contact
  • Journals
    • All Journals
    • Oncology Letters
      • Oncology Letters
      • Information for Authors
      • Editorial Policies
      • Editorial Board
      • Aims and Scope
      • Abstracting and Indexing
      • Bibliographic Information
      • Archive
    • International Journal of Oncology
      • International Journal of Oncology
      • Information for Authors
      • Editorial Policies
      • Editorial Board
      • Aims and Scope
      • Abstracting and Indexing
      • Bibliographic Information
      • Archive
    • Molecular and Clinical Oncology
      • Molecular and Clinical Oncology
      • Information for Authors
      • Editorial Policies
      • Editorial Board
      • Aims and Scope
      • Abstracting and Indexing
      • Bibliographic Information
      • Archive
    • Experimental and Therapeutic Medicine
      • Experimental and Therapeutic Medicine
      • Information for Authors
      • Editorial Policies
      • Editorial Board
      • Aims and Scope
      • Abstracting and Indexing
      • Bibliographic Information
      • Archive
    • International Journal of Molecular Medicine
      • International Journal of Molecular Medicine
      • Information for Authors
      • Editorial Policies
      • Editorial Board
      • Aims and Scope
      • Abstracting and Indexing
      • Bibliographic Information
      • Archive
    • Biomedical Reports
      • Biomedical Reports
      • Information for Authors
      • Editorial Policies
      • Editorial Board
      • Aims and Scope
      • Abstracting and Indexing
      • Bibliographic Information
      • Archive
    • Oncology Reports
      • Oncology Reports
      • Information for Authors
      • Editorial Policies
      • Editorial Board
      • Aims and Scope
      • Abstracting and Indexing
      • Bibliographic Information
      • Archive
    • Molecular Medicine Reports
      • Molecular Medicine Reports
      • Information for Authors
      • Editorial Policies
      • Editorial Board
      • Aims and Scope
      • Abstracting and Indexing
      • Bibliographic Information
      • Archive
    • World Academy of Sciences Journal
      • World Academy of Sciences Journal
      • Information for Authors
      • Editorial Policies
      • Editorial Board
      • Aims and Scope
      • Abstracting and Indexing
      • Bibliographic Information
      • Archive
    • International Journal of Functional Nutrition
      • International Journal of Functional Nutrition
      • Information for Authors
      • Editorial Policies
      • Editorial Board
      • Aims and Scope
      • Abstracting and Indexing
      • Bibliographic Information
      • Archive
    • International Journal of Epigenetics
      • International Journal of Epigenetics
      • Information for Authors
      • Editorial Policies
      • Editorial Board
      • Aims and Scope
      • Abstracting and Indexing
      • Bibliographic Information
      • Archive
    • Medicine International
      • Medicine International
      • Information for Authors
      • Editorial Policies
      • Editorial Board
      • Aims and Scope
      • Abstracting and Indexing
      • Bibliographic Information
      • Archive
  • Articles
  • Information
    • Information for Authors
    • Information for Reviewers
    • Information for Librarians
    • Information for Advertisers
    • Conferences
  • Language Editing
Spandidos Publications Logo
  • About
    • About Spandidos
    • Aims and Scopes
    • Abstracting and Indexing
    • Editorial Policies
    • Reprints and Permissions
    • Job Opportunities
    • Terms and Conditions
    • Contact
  • Journals
    • All Journals
    • Biomedical Reports
      • Information for Authors
      • Editorial Policies
      • Editorial Board
      • Aims and Scope
      • Abstracting and Indexing
      • Bibliographic Information
      • Archive
    • Experimental and Therapeutic Medicine
      • Information for Authors
      • Editorial Policies
      • Editorial Board
      • Aims and Scope
      • Abstracting and Indexing
      • Bibliographic Information
      • Archive
    • International Journal of Epigenetics
      • Information for Authors
      • Editorial Policies
      • Editorial Board
      • Aims and Scope
      • Abstracting and Indexing
      • Bibliographic Information
      • Archive
    • International Journal of Functional Nutrition
      • Information for Authors
      • Editorial Policies
      • Editorial Board
      • Aims and Scope
      • Abstracting and Indexing
      • Bibliographic Information
      • Archive
    • International Journal of Molecular Medicine
      • Information for Authors
      • Editorial Policies
      • Editorial Board
      • Aims and Scope
      • Abstracting and Indexing
      • Bibliographic Information
      • Archive
    • International Journal of Oncology
      • Information for Authors
      • Editorial Policies
      • Editorial Board
      • Aims and Scope
      • Abstracting and Indexing
      • Bibliographic Information
      • Archive
    • Medicine International
      • Information for Authors
      • Editorial Policies
      • Editorial Board
      • Aims and Scope
      • Abstracting and Indexing
      • Bibliographic Information
      • Archive
    • Molecular and Clinical Oncology
      • Information for Authors
      • Editorial Policies
      • Editorial Board
      • Aims and Scope
      • Abstracting and Indexing
      • Bibliographic Information
      • Archive
    • Molecular Medicine Reports
      • Information for Authors
      • Editorial Policies
      • Editorial Board
      • Aims and Scope
      • Abstracting and Indexing
      • Bibliographic Information
      • Archive
    • Oncology Letters
      • Information for Authors
      • Editorial Policies
      • Editorial Board
      • Aims and Scope
      • Abstracting and Indexing
      • Bibliographic Information
      • Archive
    • Oncology Reports
      • Information for Authors
      • Editorial Policies
      • Editorial Board
      • Aims and Scope
      • Abstracting and Indexing
      • Bibliographic Information
      • Archive
    • World Academy of Sciences Journal
      • Information for Authors
      • Editorial Policies
      • Editorial Board
      • Aims and Scope
      • Abstracting and Indexing
      • Bibliographic Information
      • Archive
  • Articles
  • Information
    • For Authors
    • For Reviewers
    • For Librarians
    • For Advertisers
    • Conferences
  • Language Editing
Login Register Submit
  • This site uses cookies
  • You can change your cookie settings at any time by following the instructions in our Cookie Policy. To find out more, you may read our Privacy Policy.

    I agree
Search articles by DOI, keyword, author or affiliation
Search
Advanced Search
presentation
Oncology Letters
Join Editorial Board Propose a Special Issue
Print ISSN: 1792-1074 Online ISSN: 1792-1082
Journal Cover
February-2026 Volume 31 Issue 2

Full Size Image

Sign up for eToc alerts
Recommend to Library

Journals

International Journal of Molecular Medicine

International Journal of Molecular Medicine

International Journal of Molecular Medicine is an international journal devoted to molecular mechanisms of human disease.

International Journal of Oncology

International Journal of Oncology

International Journal of Oncology is an international journal devoted to oncology research and cancer treatment.

Molecular Medicine Reports

Molecular Medicine Reports

Covers molecular medicine topics such as pharmacology, pathology, genetics, neuroscience, infectious diseases, molecular cardiology, and molecular surgery.

Oncology Reports

Oncology Reports

Oncology Reports is an international journal devoted to fundamental and applied research in Oncology.

Experimental and Therapeutic Medicine

Experimental and Therapeutic Medicine

Experimental and Therapeutic Medicine is an international journal devoted to laboratory and clinical medicine.

Oncology Letters

Oncology Letters

Oncology Letters is an international journal devoted to Experimental and Clinical Oncology.

Biomedical Reports

Biomedical Reports

Explores a wide range of biological and medical fields, including pharmacology, genetics, microbiology, neuroscience, and molecular cardiology.

Molecular and Clinical Oncology

Molecular and Clinical Oncology

International journal addressing all aspects of oncology research, from tumorigenesis and oncogenes to chemotherapy and metastasis.

World Academy of Sciences Journal

World Academy of Sciences Journal

Multidisciplinary open-access journal spanning biochemistry, genetics, neuroscience, environmental health, and synthetic biology.

International Journal of Functional Nutrition

International Journal of Functional Nutrition

Open-access journal combining biochemistry, pharmacology, immunology, and genetics to advance health through functional nutrition.

International Journal of Epigenetics

International Journal of Epigenetics

Publishes open-access research on using epigenetics to advance understanding and treatment of human disease.

Medicine International

Medicine International

An International Open Access Journal Devoted to General Medicine.

Journal Cover
February-2026 Volume 31 Issue 2

Full Size Image

Sign up for eToc alerts
Recommend to Library

  • Article
  • Citations
    • Cite This Article
    • Download Citation
    • Create Citation Alert
    • Remove Citation Alert
    • Cited By
  • Similar Articles
    • Related Articles (in Spandidos Publications)
    • Similar Articles (Google Scholar)
    • Similar Articles (PubMed)
  • Download PDF
  • Download XML
  • View XML

  • Supplementary Files
    • Supplementary_Data.pdf
Case Report

Metastasis of lung adenocarcinoma to follicular thyroid carcinoma combined with papillary thyroid carcinoma in the contralateral lobe: A case report

  • Authors:
    • Cuicui Wang
    • Yihang Yang
    • Liquan Bi
    • Xiaohong Liu
  • View Affiliations / Copyright

    Affiliations: Department of Pathology, The 960 Hospital of The Chinese People's Liberation Army, Jinan, Shandong 250031, P.R. China
  • Article Number: 87
    |
    Published online on: December 23, 2025
       https://doi.org/10.3892/ol.2025.15440
  • Expand metrics +
Metrics: Total Views: 0 (Spandidos Publications: | PMC Statistics: )
Metrics: Total PDF Downloads: 0 (Spandidos Publications: | PMC Statistics: )
Cited By (CrossRef): 0 citations Loading Articles...

This article is mentioned in:



Abstract

Cancer‑to‑cancer metastasis is uncommon. The present study describes a case in which lung adenocarcinoma (LC) metastasized to follicular thyroid carcinoma (FTC). A 46‑year‑old Chinese woman exhibited a solid carcinoma (~60x40 mm) that nearly replaced the entire thyroid tissue of the left lobe, along with papillary thyroid carcinoma (PTC) in the right lobe. The initial clinical manifestation appeared as a thyroid neoplasm. Histological examination revealed two admixed components within the neoplasm of the left lobe: FTC and an adenocarcinoma component. The mutational profile of LC was analyzed using next‑generation sequencing, revealing an epidermal growth factor receptor gene mutation at exon 21 (L858R) in the LC tissue. Differentiating between two tumor populations can be challenging when donor tumor cells closely resemble primary neoplasms of the recipient organ. Beyond detailed morphological evaluation, ancillary approaches, such as immunohistochemistry and molecular testing, are essential to detect tumor‑specific markers. Moreover, the degree of cell differentiation is an important determinant in diagnosing cancer‑to‑cancer metastasis. The present study discusses differences in tumor cell morphology and their diagnostic relevance in relation to previous reports, clinical history, histopathology and molecular pathology. The observations may contribute to improving diagnostic precision in cancer‑to‑cancer metastasis.

Introduction

Tumor-to-tumor metastasis is diagnosed when the recipient lesion is a true primary neoplasm and the donor lesion is an authentic metastatic deposit (1). Direct invasion of one tumor into another or the presence of isolated tumor emboli within a recipient neoplasm must be excluded from the diagnosis of tumor-to-tumor metastasis, because they do not represent true metastatic spread from the donor tumor to the recipient primary tumor but reflect local infiltration or merely the passive retention of tumor cells within the recipient tumor without the formation of lesions with metastatic biological characteristics. Tumor-to-tumor metastasis is rare (2), with <200 cases documented cases reported in the literature. Although the mechanisms of tumor-to-tumor metastasis remain unclear, proposed contributors include disruption of the vascular barrier and impaired immune surveillance within recipient thyroid lesions.

The primary malignancies that most often metastasize to the thyroid are lung carcinoma, renal cell carcinoma (RCC), colorectal carcinoma and breast carcinoma. Lung adenocarcinoma (LC, the most common subtype of lung carcinoma, frequently spreads to distant organs. Among thyroid neoplasms, follicular adenoma (FA) and papillary thyroid carcinoma (PTC) represent the most frequent benign (38%) and malignant recipients (26.5%) of metastatic tumor cells, respectively (3). The clinical presentation of thyroid metastasis is variable, typically presenting with metastatic lesions as the initial manifestation (4). Consequently, thyroid metastasis may present substantial diagnostic difficulties, with frequent misclassification as primary thyroid carcinoma.

Tumor-to-tumor metastasis involving thyroid neoplasms-particularly cases where LC affects FTC-remains rare in clinical practice, with limited evidence available to guide diagnostic and management strategies for such unusual presentations. Against this background, the primary aims of the present case report were as follows: i) To detail the clinical, imaging and pathological characteristics of a thyroid neoplasm-associated case with complex diagnostic considerations, to highlight key challenges in distinguishing secondary from primary thyroid malignancies; ii) to collate the existing literature and contextualize current understanding of tumor-to-tumor metastasis in thyroid neoplasms; and iii) provide practical insights for clinicians navigating the evaluation and management of similar cases.

Case report

A 46-year-old Chinese woman was admitted to the 960 Hospital of the Chinese People's Liberation Army in March 2020 after detection of a sizable nodule in the left thyroid lobe during a routine physical examination conducted by a general practitioner. The patient reported no pain or other symptoms, had no risk factors such as smoking, and no prior history of malignancy. The patient also had no family history of cancer-including thyroid cancer, lung cancer, or other malignant tumors-nor any family history of hereditary conditions. Thyroid function tests were within normal limits at presentation. Ultrasonography revealed a solid hypoechoic mass with a relatively clear margin and regular contour, measuring ~60×40 mm and occupying most of the left lobe (TI-RADS III) (Fig. S1A). However, no additional imaging beyond ultrasound (for example, CT, chest X-ray or PET) was performed preoperatively.

The patient underwent thyroidectomy with intraoperative frozen section evaluation 4 days after admission in March 2020. Histopathological analysis, performed as previously described (5), indicated an epithelial neoplasm, but its benign or malignant nature remained indeterminate (Fig. S1B). In addition, a contralateral nodule in the right thyroid lobe was definitively diagnosed as papillary thyroid carcinoma (PTC) based on intraoperative frozen section analysis, which revealed classic and unambiguous PTC features (for example, nuclear groves, powdery chromatin, and focal papillary architecture) (Fig. S1C). Due to the large size of the lesion, the suspicious left-lobe lesion, and the confirmed malignancy in the right lobe, total thyroidectomy with comprehensive neck exploration was performed. Gross examination of the surgical specimen demonstrated a solitary solid mass in the left lobe, measuring 60×40 mm, grey-red in color, firm to the touch and encapsulated by fibrous connective tissue on cut section, together with a small solid nodule, grey in color, measuring 3×2 mm, in the right lobe.

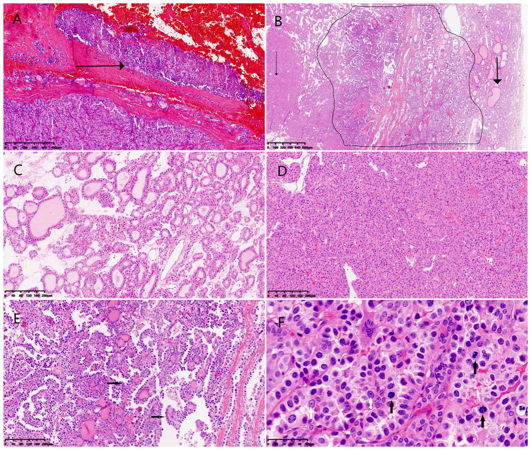
Microscopically, the solid mass in the left lobe was surrounded by a markedly thickened fibrous capsule. Serial sectioning demonstrated neoplastic cell infiltration of the capsule with focal transgression (Fig. 1A). The tumor comprised three morphologically distinct carcinoma components (Fig. 1B). The first component (T1) displayed a follicular growth pattern with medium-sized follicles containing variable amounts of colloid (Fig. 1C). The second component (T2) was characterized by solid, trabecular, or nested arrangements with only scant colloid in follicles (Fig. 1D). The third component (T3) exhibited high-grade adenocarcinoma morphology, including marked nuclear pleomorphism and prominent nucleoli, arranged in glandular, trabecular, papillary and hobnail patterns (Fig. 1E). Mitotic figures were readily observed, and tumor necrosis was evident (Fig. 1F). This component infiltrated both T1 and T2, producing indistinct boundaries between them. Immunohistochemical analysis was performed as previously described (6) and indicated that all three carcinoma components were positive for thyroid transcription factor-1 (TTF-1), cytokeratin 19 (CK19) and negative for BRAF-1, calcitonin (CT) and parathyroid hormone (PTH) (Fig. S1D-G). Both T1 and T2 showed weak CK19 expression and positivity for cluster of differentiation 56 (CD56), findings consistent with FTC rather than PTC (PTC typically demonstrates strong CK19 positivity and weak or absent CD56) (Fig. 2A and B). T1 and T2 also expressed thyroglobulin (TG) and paired box gene 8 (PAX-8), whereas T3 was negative for both these markers and CD56 (Fig. 2C and D). By contrast, NapsinA (Fig. 2E) and carcinoembryonic antigen (CEA) (Fig. S1H) were strongly expressed in T3 but absent in T1 and T2. The Ki-67 index reached 25% in T3, compared with 1% in T1 and T2 (Fig. 2F). No significant difference was observed in the cyclin D1 index across the three components, and this index was ~70% (Fig. S1I). Furthermore, all components displayed wild-type expression of P53, while the index was slightly higher in the T3 component than in the T1 and T2 component (Fig. S1J). The immunophenotypes of the three morphologically distinct carcinoma components are summarized in Table I. T1 and T2 components were classified as FTC, whereas T3 was identified as LC. The final diagnosis indicated LC metastasis to a pre-existing FTC nodule.

Microscopic examination of the
recipient thyroid lesion. (A) Carcinoma was surrounded by a
thickened fibrous capsule with neoplastic cells infiltrated the
capsule and a focal area of penetration was identified after serial
sectioning (black arrow) (H&E stain; magnification, ×20). (B)
Morphologically distinct components of carcinoma labeled as T1
(thick black arrow), T2 (inside the black line) and T3 (thin black
arrow) (H&E stain; magnification, ×20). (C) The T1 component
revealed the follicular pattern features with medium size and a
variable amount of colloid in the follicles when examined at a
higher power, (H&E stain; magnification, ×200). (D) The T2
component revealed solid, trabecular or nested growth pattern and
little colloid in the follicles when examined at a higher power
(H&E stain; magnification, ×200). (E) T3 component revealed
glandular, papillary and hobnail pattern (black arrow) when
examined at a higher power (H&E stain; magnification, ×200).
(F) The T3 component revealed nuclear pleomorphism, conspicuous
nucleoli (white arrow) and the mitotic figures (black arrow) were
common (H&E stain; magnification, ×400). H&E, hematoxylin
and eosin.

Figure 1.

Microscopic examination of the recipient thyroid lesion. (A) Carcinoma was surrounded by a thickened fibrous capsule with neoplastic cells infiltrated the capsule and a focal area of penetration was identified after serial sectioning (black arrow) (H&E stain; magnification, ×20). (B) Morphologically distinct components of carcinoma labeled as T1 (thick black arrow), T2 (inside the black line) and T3 (thin black arrow) (H&E stain; magnification, ×20). (C) The T1 component revealed the follicular pattern features with medium size and a variable amount of colloid in the follicles when examined at a higher power, (H&E stain; magnification, ×200). (D) The T2 component revealed solid, trabecular or nested growth pattern and little colloid in the follicles when examined at a higher power (H&E stain; magnification, ×200). (E) T3 component revealed glandular, papillary and hobnail pattern (black arrow) when examined at a higher power (H&E stain; magnification, ×200). (F) The T3 component revealed nuclear pleomorphism, conspicuous nucleoli (white arrow) and the mitotic figures (black arrow) were common (H&E stain; magnification, ×400). H&E, hematoxylin and eosin.

Immunohistochemistry examination of
the three morphologically distinct components of carcinoma. (A)
Both the T1 and T2 component weakly expressed CK19, whereas the T3
component was strong positive (magnification, ×20). (B) Both the T1
and T2 component expressed CD56, whereas the T3 component was
negative (magnification, ×20). (C) Both the T1 and T2 component
expressed TG, whereas the T3 component was negative (magnification,
×20). (D) Both the T1 and T2 component strong expressed PAX8,
whereas the T3 component was negative (magnification, ×20). (E)
Both the T1 and T2 component was negative for Napsin-A, whereas the
T3 component was strong positive (magnification, ×20). (F) The
Ki-67 index was significantly higher in the T3 component than in
the T1 and T2 component (magnification, ×20). CK19, cytokeratin 19;
CD56, cluster of differentiation 56; PAX8, paired box gene 8.

Figure 2.

Immunohistochemistry examination of the three morphologically distinct components of carcinoma. (A) Both the T1 and T2 component weakly expressed CK19, whereas the T3 component was strong positive (magnification, ×20). (B) Both the T1 and T2 component expressed CD56, whereas the T3 component was negative (magnification, ×20). (C) Both the T1 and T2 component expressed TG, whereas the T3 component was negative (magnification, ×20). (D) Both the T1 and T2 component strong expressed PAX8, whereas the T3 component was negative (magnification, ×20). (E) Both the T1 and T2 component was negative for Napsin-A, whereas the T3 component was strong positive (magnification, ×20). (F) The Ki-67 index was significantly higher in the T3 component than in the T1 and T2 component (magnification, ×20). CK19, cytokeratin 19; CD56, cluster of differentiation 56; PAX8, paired box gene 8.

Table I.

Immunohistochemical staining results of different tumor cell populations and the nodule in the right lobe.

Table I.

Immunohistochemical staining results of different tumor cell populations and the nodule in the right lobe.

AntibodyT1T2T3
TG++-
TTF-1+++
Napsin A--+
PAX-8++-
CK19+++
CyclinD1+++
CD56++-
BRAF-1---
CEA--+
CT---
PTH---
P53Wild-typeWild typeWild type
Ki-671%1%25%

[i] -, negative; +, positive; TG, thyroglobulin; TTF-1, thyroid transcription factor-1; PAX-8, paired box gene 8; CK19, cytokeratin 19; CEA, carcinoembryonic antigen; CT, calcitonin; PTH, Parathyroid hormone; P53, Tumor protein P53; Ki-67, Ki-67 antigen.

To substantiate this diagnosis, the mutational profile of LC was analyzed using next generation sequencing (NGS). Genomic DNA was isolated from the paraffin-embedded sections using Human EGFR/KRAS/BRAF/ALK/ROS1 Genetic Test CDx (Sequencing By Reversible Terminators) kit (cat. no. KS301-FA16; Guangzhou Jinqirui Biotechnology Co., Ltd.). Fluorometric quantification was performed with the Qubit dsDNA HS Assay Kit to verify the quality and integrity of processed samples. Sequencing was performed on the Illumina MiniSeq platform using the KM MiniSeq Dx-CN Mid Output kit (300 cycles; cat. no. KS107-CXM; Guangzhou Jinqirui Biotechnology Co. Ltd.) following the manufacturer's instructions, with 2×150 bp paired-end sequencing. paired end according to the manufacturer's instructions. The final library (quantified via the Roche KAPA Library Quantification Kit) was loaded at a concentration of 1.4 pM. Sequence alignment was carried out using the Tumor Gene Data Analysis and Management System (V3; Guangzhou Jinqirui Biotechnology Co., Ltd.). The analysis revealed the L858R mutation in exon 21 of EGFR, a recognized driver mutation predominantly associated with non-small cell lung cancer (especially adenocarcinoma) and rarely observed in other tumor types. Detection of this lung-specific mutation provided strong molecular evidence for a pulmonary origin. A subsequent chest computed tomography scan revealed a 23 mm heterogeneously enhanced tumor in the left upper lobe (data not shown). Given the presence of the L858R mutation, targeted therapy with EGFR tyrosine kinase inhibitors was recommended. However, the patient declined lung biopsy and died 16 months after surgery, in July 2021.

Discussion

Tumor-to-tumor metastasis is a rare phenomenon. Garneau et al (3) reported four cases involving thyroid neoplasms and conducted a comprehensive literature review of English-language publications from 1962 to 2022. Since that time, to the best of our knowledge, 13 additional cases of tumor-to-tumor metastasis (3,4,7–11) (including the present case) have been documented between 2022 and 2025 (Table II). In total, 66 cases of tumor-to-tumor metastasis with primary thyroid neoplasms as recipients have been recorded, including 43 cases of cancer-to-cancer metastasis (Table III). RCC was initially regarded as the most frequent donor tumor to thyroid neoplasms (12). However, more recent data indicate that LC (16/66 cases) has become the most common donor tumor in tumor-to-tumor metastasis (Table IV), followed by renal carcinoma (15/66 cases), colon carcinoma (15/66 cases) and breast carcinoma (12/66 cases) (3,13–25). Among benign recipient tumors, FA represents the majority (20/66 cases). PTC is the most frequent malignant recipient tumor, comprising half of all reported cases (33/66). Of these 33 cases, 22 involve classic PTC and 11 involve follicular PTC. Additional recipient tumor types are listed in Table III. This distribution corresponds with the general incidence of thyroid tumors.

Table II.

Cases of tumor-to-tumor metastasis involving a primary thyroid neoplasm as the recipient reported from 2022 to September 2025 (n=13).

Table II.

Cases of tumor-to-tumor metastasis involving a primary thyroid neoplasm as the recipient reported from 2022 to September 2025 (n=13).

CaseAuthorPublication yearAge/sexPrimary tumorRecipient(Refs.)
1Garneau et al202256/FLCPTC(3)
2 76/FBCPTC
3 54/FTonsillar SCCPTC
4 71/FColon NETPTC
5Ghossein et al202172/FEACFA(4)
6 66/FCRCNIEPTC
7 65/FRCCNIFTP
8Gawlik et al202363/FRCCPTC(7)
9Maestri et al202470/MHCCHC(8)
10Tadisina et al202465/MRCCPTC(9)
11Gvazava et al202563/FBCHC(10)
12Jbali et al202563/FBCPTC(11)
13Present case-46/FLCFTC-

[i] LC, lung adenocarcinoma; SCC, squamous cell carcinoma; NET, neuroendocrine tumor; EAC, esophagus adenocarcinoma; CRC, colorectal adenocarcinoma; RCC, renal cell carcinoma; HCC, hepatocellular carcinoma; BC, breast carcinoma; PTC, papillary thyroid carcinoma; FA, follicular thyroid adenoma; NIEPTC, non-invasive encapsulated PTC; NIFTP, non-invasive follicular thyroid neoplasm with papillary-like; FTC, follicular thyroid carcinoma; HC, oncocytic thyroid carcinoma/hürthle cell carcinoma.

Table III.

Distribution of all the 66 cases involving a primary thyroid neoplasm as the recipient in a tumor-to-tumor metastasis.

Table III.

Distribution of all the 66 cases involving a primary thyroid neoplasm as the recipient in a tumor-to-tumor metastasis.

Recipient tumor
Primary tumorTotal
FAPTCFVPTCHAHCFTCMTCNIFTP
Lung1674400100
Renal1535411001
Breast1236111000
Colon1547001120
Esophagus110000000
Tonsillar301011000
Pancreatic100100000
Gastric110000000
Prostatic110000000
Liver100001000
Total6620221135221

[i] FA, follicular thyroid adenoma; PTC, papillary thyroid carcinoma; FVPTC, follicular variant of papillary thyroid carcinoma HA, hürthle cell adenoma; HC, oncocytic thyroid carcinoma/hürthle cell carcinoma; FTC, follicular thyroid carcinoma; MTC, medullary thyroid carcinoma; NIFTP, non-invasive follicular thyroid neoplasm with papillary-like.

Table IV.

Cases of intrathyroid metastases from primary lung carcinoma (n=16).

Table IV.

Cases of intrathyroid metastases from primary lung carcinoma (n=16).

CaseAuthorPublication yearAge/sexPrimary tumorRecipient(Refs.)
1Mizukami et al199075/FLCFA(13)
2Akamatsu et al199446/FLCFA(14)
3Baloch and Livolsi199975/FSCLCFVPTC(15)
4Kameyama et al200051/MLCFA(16)
5Mori et al200854/MLCFVPTC(17)
6Hashimoto et al201160/FLCFVPTC(18)
7Stevens et al201165/MLPDCFA(19)
8Matsukuma et al201367/FSCLCPTC(20)
9Pusztaszeri et al2015N/ALCFA(21)
10Wey and Chang201564/MSCLCFA(22)
11 201571/FLASCPTC
12Gowda et al201752/MSCLCFA(23)
13Ozoran et al201853/FLCPTC(24)
14Clara et al202270/MLCCFVPTC(25)
15Garneau et al202256/FLCPTC(3)
16Present case-46/FLCFTC-

[i] NA, not available; LC, lung adenocarcinoma; SCLC, lung small cell carcinoma; LPDC, lung poorly differentiated carcinoma; LASC, lung adenosquamous carcinoma; LCC, lung carcinoid; FVPTC, follicular variant of papillary thyroid carcinoma.

FTC is recognized as an uncommon subtype of thyroid carcinoma, accounting for 5–15% of all thyroid malignancies (26). The present report describes, to the best of our knowledge, the first case of LC metastasizing to FTC, accompanied by PTC in the contralateral lobe. This case contributes to addressing current knowledge gaps regarding LC metastasis to FTC and provides reference material for diagnostic and therapeutic considerations by clinicians and pathologists.

Metastasis to the thyroid presents considerable diagnostic challenges, often resulting in its misinterpretation as primary thyroid carcinoma (4). Tumor-to-tumor metastasis is particularly uncommon, especially when both donor and recipient neoplasms are malignant. Diagnostic imaging generally reveals no distinct clinical features or yields limited characteristic findings. In the present case, a thyroid mass represented the initial manifestation of LC. Metastatic involvement of the thyroid usually appears as a solitary lesion, which most clinical pathologists are inclined to regard as primary in origin (4). In tumor-to-tumor metastases, the metastatic component typically constitutes only a minor fraction of the donor tumor and exhibits close admixture with recipient tumor cells, without a discernible host response (desmoplastic, inflammatory, or myxoid) (1).

In the present case, LC accounted for a small portion of the FTC and demonstrated intimate intermingling with it. Although FNA remains a widely applied method for the preliminary assessment of thyroid nodules, it carries inherent limitations in detecting potential metastatic disease. The limited and fragmented nature of FNA specimens may preclude capturing the complete histological structure of a tumor, thereby restricting evaluation of growth patterns or differentiation between morphologically similar tumors, such as poorly differentiated thyroid carcinoma (PDTC) and metastatic LC in the present case. Distinguishing primary from metastatic tumors based solely on histological characteristics remains difficult due to overlapping growth patterns. In the present study, the metastatic tumor displayed predominantly solid, trabecular, papillary or nested growth with scant colloid in follicles, leading to its initial classification as PDTC. Both PDTC and metastatic lung cancer commonly exhibit overlapping features, including solid, trabecular or nested patterns and pleomorphic cells with high nuclear-to-cytoplasmic ratios. Thus, the preliminary interpretation of the present case as encapsulated FTC with concurrent PTC and PDTC was justified. The consultant further noted that PTC (predominantly boot-spike type with some high-cell type) was embedded within FTC. The present case illustrates the diagnostic challenge posed by incomplete clinical information and highlights the importance of considering tumor-to-tumor metastasis when a lesion demonstrates a bimorphic appearance with distinct morphological components.

Although the present case posed diagnostic challenges, tumor-to-tumor metastasis should be considered whenever atypical cytological and histological features are encountered. In this instance, as metastatic deposits largely preserved the morphology of the primary tumors, accurate identification was possible. The metastatic tumor partially resembled primary PDTC but also exhibited characteristics of a high-grade adenocarcinoma, including marked nuclear pleomorphism, prominent nucleoli and necrosis, suggesting the likelihood of metastasis. Immunohistochemical staining resolved these diagnostic uncertainties. In this report, immunostains for TG, PAX-8, TTF-1, CEA and NapsinA proved valuable in differentiating primary thyroid carcinoma from metastatic LC. PDTC, a follicular-derived primary thyroid tumor, showed positivity for TG, PAX-8 and TTF-1, but negativity for NapsinA and CEA. By contrast, the metastatic adenocarcinoma demonstrated positivity for TTF-1, NapsinA and CEA, with negativity for TG and PAX-8. The Ki-67 index was considerably higher in the adenocarcinoma component (25%) compared with the FTC component (1%). Pathological evaluation was performed using stains specific to both thyroid and lung origins. TTF-1, although expressed in tumors of both sites, has limited diagnostic value without additional markers such as Napsin A and TG. In diagnostically complex cases, molecular testing can be informative, as tumor-specific mutations and rearrangements (for example, BRAF V600E, EGFR, ALK and ROS) help determine the site of origin (12). The mutational spectrum of LC was further examined with NGS, which revealed the L858R substitution in EGFR exon 21. This well-characterized driver mutation, strongly associated with non-small cell lung cancer (particularly adenocarcinoma) and uncommon in other malignancies, provided compelling molecular evidence for the pulmonary origin of the metastatic component (27). Recognition of tumor-to-tumor metastasis should be considered when bimorphic structure and divergent morphologies are encountered. Accurate diagnosis requires the application of appropriate immunohistochemical markers and molecular assays, which also guide the selection of targeted therapeutic strategies.

Malignant tumors with distant metastasis generally carry a poor prognosis. The role of surgical resection in thyroid metastasis has been widely debated in the literature. Current evidence indicates that removal of isolated thyroid metastases yields superior survival compared with conservative management, with subsite analyses highlighting benefits particularly for metastases originating from the kidney, colon or lung (6,28,29). Ghossein et al (4) reported that surgical intervention with curative intent may be appropriate in cases of oligometastasis to the thyroid gland, potentially improving survival and even achieving long-term remission. Accordingly, surgical treatment is advised for solitary metastatic lesions (30). Surgical decision-making additionally depends on factors such as the histological subtype of the primary tumor, anatomical location of the intrathyroid metastasis, biological behavior of the primary malignancy, and classification of metastasis as oligometastatic or polymetastatic. For patients with metastasis, targeted therapy represents an effective treatment strategy, with drug selection guided by specific genetic alterations (BRAF V600E, EGFR, ALK, ROS and others). In the present case, no evidence of metastasis was detected outside the thyroid, and surgical excision of the metastatic tumor was achieved. Given the presence of the L858R mutation, targeted therapy with EGFR tyrosine kinase inhibitors was advised. However, the patient declined lung biopsy and subsequent therapy, and died 16 months after surgery.

In conclusion, to the best of our knowledge, the present case represents the first report of LC metastasizing to FTC with concurrent PTC in the contralateral lobe. It illustrates the diagnostic challenge encountered in the absence of a prior clinical history of malignancy and stresses the necessity for pathologists to maintain strong suspicion for cancer-to-cancer metastasis when a tumor exhibits bimorphic structure and distinct morphological characteristics. Considering the markedly poor prognosis associated with metastatic tumors, early and accurate diagnosis remains essential for timely and appropriate management. Despite the generally unfavorable outcome, surgical intervention in selected patients with metastases may contribute to improved survival.

Supplementary Material

Supporting Data

Acknowledgements

Not applicable.

Funding

Funding: No funding was received.

Availability of data and materials

All original NGS data generated in this study have been deposited in the Sequence Read Archive database of the National Center for Biotechnology Information (accession no. SRR35762829; http://www.ncbi.nlm.nih.gov/sra). The rest of the data generated in the present study may be requested from the corresponding author.

Authors' contributions

CW and XL acquired the data. CW, YY, LB and XL analyzed and interpreted the data and confirm the authenticity of all the raw data. All authors have read and approved the final manuscript.

Ethics approval and consent to participate

All procedures complied with applicable laws and institutional regulations and were approved by the relevant institutional committee.

Patient consent for publication

The privacy rights of the subject were respected, and waiver of informed consent was obtained for participation and publication.

Competing interests

The authors declare that they have no competing interests.

References

1 

Fadare O, Parkash V, Fiedler PN, Mayerson AB and Asiyanbola B: Tumor-to-tumor metastasis to a thyroid follicular adenoma as the initial presentation of a colonic adenocarcinoma. Pathol Int. 55:574–579. 2005. View Article : Google Scholar : PubMed/NCBI

2 

Hota SK, Mishra S, Dash S, Samantaray S and Mallik RN: Intracranial tumor-to-tumor metastasis in an elderly female: An unusual case report. J Cancer Res Ther. 19:1480–182. 2023. View Article : Google Scholar : PubMed/NCBI

3 

Garneau M, Alyzadneh E, Lal G and Rajan Kd A: Metastatic disease to a concurrent thyroid neoplasm: A case series and review of the literature. Head Neck Pathol. 17:447–459. 2023. View Article : Google Scholar : PubMed/NCBI

4 

Ghossein CA, Khimraj A, Dogan S and Xu B: Metastasis to the thyroid gland: A Single-institution 16-year experience. Histopathology. 78:508–519. 2021. View Article : Google Scholar : PubMed/NCBI

5 

Xie B, Huang K and Zhu S: Multiple primary malignant neoplasms and long-term survival: A case report. Oncol Lett. 30:6052025. View Article : Google Scholar : PubMed/NCBI

6 

Li T, Ma T, Zhao Y, Zhang S, Yang G, Wang X, Wang X, Wang M, Zhao X, Liu H, et al: Submandibular adenoid cystic carcinoma presenting with liver metastasis as the initial symptom: A case report. Oncol Lett. 30:5962025. View Article : Google Scholar : PubMed/NCBI

7 

Gawlik C, Lane J and Horattas M: Tumor-to-tumor spread: A case report and literature review of renal cell carcinoma metastasis into thyroid cancer. World J Surg Oncol. 21:3622023. View Article : Google Scholar : PubMed/NCBI

8 

Maestri M, Cicerone O, Messina A, Gallotti A, Corallo S, Mauramati S, Canzi P, Fiandrino G, Paulli M and Vanoli A: Pink-on-pink: Hepatocellular carcinoma metastatic to oncocytic carcinoma of the thyroid. Pathologica. 116:158–162. 2024. View Article : Google Scholar : PubMed/NCBI

9 

Tadisina S, Sami F, Mettman D and Ridella M: A rare case of Tumor-to-Tumor metastasis: Renal cell carcinoma metastasis to papillary thyroid carcinoma. JCEM Case Rep. 2:luae0812024. View Article : Google Scholar : PubMed/NCBI

10 

Gvazava N, Stevens TM and Rader RK: A case of Tumor-to-Tumor metastasis: Breast carcinoma metastatic to oncocytic carcinoma of thyroid. Kans J Med. 18:46–48. 2025. View Article : Google Scholar : PubMed/NCBI

11 

Jbali S, Amri A, Dhaha M, Jeridi L, Houcine Y and Kedous S: Double trouble: Tumor-to-tumor metastasis of breast cancer into a thyroid papillary Carcinoma-case report and review of literature. Int J Surg Case Rep. 132:1114802025. View Article : Google Scholar : PubMed/NCBI

12 

Nixon IJ, Coca-Pelaz A, Kaleva AI, Triantafyllou A, Angelos P, Owen RP, Rinaldo A, Shaha AR, Silver CE and Ferlito A: Metastasis to the thyroid gland: A critical review. Ann Surg Oncol. 24:1533–1539. 2017. View Article : Google Scholar : PubMed/NCBI

13 

Mizukami Y, Saito K, Nonomura A, Michigishi T, Hashimoto T, Nakanuma Y, Matsubara F and Takasakura E: Lung carcinoma metastatic to microfollicular adenoma of the thyroid. A case report. Acta Pathol Jpn. 40:602–608. 1990.PubMed/NCBI

14 

Akamatsu H, Amano J, Suzuki A and Kikushima Y: A case of micro-metastatic lung adenocarcinoma into adenoma of the thyroid. Kyobu Geka. 47:319–321, (In Japanese). PubMed/NCBI

15 

Baloch ZW and Livolsi VA: Tumor-to-tumor metastasis to follicular variant of papillary carcinoma of thyroid. Arch Pathol Lab Med. 123:703–706. 1999. View Article : Google Scholar : PubMed/NCBI

16 

Kameyama K, Kamio N, Okita H and Hata J: Metastatic carcinoma in follicular adenoma of the thyroid gland. Pathol Res Pract. 196:333–338. 2000. View Article : Google Scholar : PubMed/NCBI

17 

Mori K, Kitazawa R, Kondo T and Kitazawa S: Lung adenocarcinoma with micropapillary component presenting with metastatic scrotum tumor and cancer-to-cancer metastasis: A case report. Cases J. 1:1622008. View Article : Google Scholar : PubMed/NCBI

18 

Hashimoto K, Yamamoto H, Nakano T, Oyama M, Shiratsuchi H, Nakashima T, Tamiya S, Komune S and Oda Y: Tumor-to-tumor metastasis: Lung adenocarcinoma metastasizing to a follicular variant of papillary thyroid carcinoma. Pathol Int. 61:435–441. 2011. View Article : Google Scholar : PubMed/NCBI

19 

Stevens TM, Richards AT, Bewtra C and Sharma P: Tumors metastatic to thyroid neoplasms: A case report and review of the literature. Patholog Res Int. 2011:2386932011.PubMed/NCBI

20 

Matsukuma S, Kono T, Takeo H, Hamakawa Y and Sato K: Tumor-to-tumor metastasis from lung cancer: A clinicopathological postmortem study. Virchows Arch. 463:525–534. 2013. View Article : Google Scholar : PubMed/NCBI

21 

Pusztaszeri M, Wang H, Cibas ES, Powers CN, Bongiovanni M, Ali S, Khurana KK, Michaels PJ and Faquin WC: Fine-needle aspiration biopsy of secondary neoplasms of the thyroid gland: A multi-institutional study of 62 cases. Cancer Cytopathol. 123:19–29. 2015. View Article : Google Scholar : PubMed/NCBI

22 

Wey SL and Chang KM: Tumor-to-tumor metastasis: Lung carcinoma metastasizing to thyroid neoplasms. Case Rep Pathol. 2015:1539322015.PubMed/NCBI

23 

Gowda KK, Bal A, Agrawal P, Verma R and Das A: Tumor-to-tumor metastasis: Small cell carcinoma lung metastasising into a follicular adenoma of the thyroid. Indian J Pathol Microbiol. 60:133–135. 2017. View Article : Google Scholar : PubMed/NCBI

24 

Ozoran E, Güzel M, Piraliyev E, Destek S and Aysan E: Tumor-to-tumor metastasis: A case of lung carcinoma metastasizing to thyroid neoplasm. AACE Clin Case Rep. 4:112–114. 2018.

25 

Clara U, Rossella DF, Giulio R, Gabriele M and Virginia L: Tumor-to-tumor metastasis: Lung typical carcinoid metastatic to follicular variant of papillary thyroid carcinoma. Endocr Pathol. 33:330–332. 2022. View Article : Google Scholar : PubMed/NCBI

26 

Schlegel N: Update on follicular thyroid Cancer-what is relevant for surgeons? Chirurgie (Heidelb). 96:544–550. 2025.(In German). View Article : Google Scholar : PubMed/NCBI

27 

Ma XL, Jia RN, Han K and Zhang YX: Correlation between common driver gene variations and clinicopathological typing in lung adenocarcinoma. Zhonghua Bing Li Xue Za Zhi. 53:578–584. 2024.(In Chinese). PubMed/NCBI

28 

Nguyen M, He G and Lam AK: Clinicopathological and molecular features of secondary cancer (Metastasis) to the thyroid and advances in management. Int J Mol Sci. 23:32422022. View Article : Google Scholar : PubMed/NCBI

29 

Russell JO, Yan K, Burkey B and Scharpf J: Nonthyroid metastasis to the thyroid gland: Case series and review with observations by primary pathology. Otolaryngol Head Neck Surg. 155:961–968. 2016. View Article : Google Scholar : PubMed/NCBI

30 

Sindoni A, Rizzo M, Tuccari G, Ieni A, Barresi V, Calbo L, Cucinotta E, Trimarchi F and Benvenga S: Thyroid metastases from renal cell carcinoma: Review of the literature. ScientificWorldJournal. 10:590–602. 2010. View Article : Google Scholar : PubMed/NCBI

Related Articles

  • Abstract
  • View
  • Download
  • Twitter
Copy and paste a formatted citation
Spandidos Publications style
Wang C, Yang Y, Bi L and Liu X: Metastasis of lung adenocarcinoma to follicular thyroid carcinoma combined with papillary thyroid carcinoma in the contralateral lobe: A case report. Oncol Lett 31: 87, 2026.
APA
Wang, C., Yang, Y., Bi, L., & Liu, X. (2026). Metastasis of lung adenocarcinoma to follicular thyroid carcinoma combined with papillary thyroid carcinoma in the contralateral lobe: A case report. Oncology Letters, 31, 87. https://doi.org/10.3892/ol.2025.15440
MLA
Wang, C., Yang, Y., Bi, L., Liu, X."Metastasis of lung adenocarcinoma to follicular thyroid carcinoma combined with papillary thyroid carcinoma in the contralateral lobe: A case report". Oncology Letters 31.2 (2026): 87.
Chicago
Wang, C., Yang, Y., Bi, L., Liu, X."Metastasis of lung adenocarcinoma to follicular thyroid carcinoma combined with papillary thyroid carcinoma in the contralateral lobe: A case report". Oncology Letters 31, no. 2 (2026): 87. https://doi.org/10.3892/ol.2025.15440
Copy and paste a formatted citation
x
Spandidos Publications style
Wang C, Yang Y, Bi L and Liu X: Metastasis of lung adenocarcinoma to follicular thyroid carcinoma combined with papillary thyroid carcinoma in the contralateral lobe: A case report. Oncol Lett 31: 87, 2026.
APA
Wang, C., Yang, Y., Bi, L., & Liu, X. (2026). Metastasis of lung adenocarcinoma to follicular thyroid carcinoma combined with papillary thyroid carcinoma in the contralateral lobe: A case report. Oncology Letters, 31, 87. https://doi.org/10.3892/ol.2025.15440
MLA
Wang, C., Yang, Y., Bi, L., Liu, X."Metastasis of lung adenocarcinoma to follicular thyroid carcinoma combined with papillary thyroid carcinoma in the contralateral lobe: A case report". Oncology Letters 31.2 (2026): 87.
Chicago
Wang, C., Yang, Y., Bi, L., Liu, X."Metastasis of lung adenocarcinoma to follicular thyroid carcinoma combined with papillary thyroid carcinoma in the contralateral lobe: A case report". Oncology Letters 31, no. 2 (2026): 87. https://doi.org/10.3892/ol.2025.15440
Follow us
  • Twitter
  • LinkedIn
  • Facebook
About
  • Spandidos Publications
  • Careers
  • Cookie Policy
  • Privacy Policy
How can we help?
  • Help
  • Live Chat
  • Contact
  • Email to our Support Team