Spandidos Publications Logo
  • About
    • About Spandidos
    • Aims and Scopes
    • Abstracting and Indexing
    • Editorial Policies
    • Reprints and Permissions
    • Job Opportunities
    • Terms and Conditions
    • Contact
  • Journals
    • All Journals
    • Oncology Letters
      • Oncology Letters
      • Information for Authors
      • Editorial Policies
      • Editorial Board
      • Aims and Scope
      • Abstracting and Indexing
      • Bibliographic Information
      • Archive
    • International Journal of Oncology
      • International Journal of Oncology
      • Information for Authors
      • Editorial Policies
      • Editorial Board
      • Aims and Scope
      • Abstracting and Indexing
      • Bibliographic Information
      • Archive
    • Molecular and Clinical Oncology
      • Molecular and Clinical Oncology
      • Information for Authors
      • Editorial Policies
      • Editorial Board
      • Aims and Scope
      • Abstracting and Indexing
      • Bibliographic Information
      • Archive
    • Experimental and Therapeutic Medicine
      • Experimental and Therapeutic Medicine
      • Information for Authors
      • Editorial Policies
      • Editorial Board
      • Aims and Scope
      • Abstracting and Indexing
      • Bibliographic Information
      • Archive
    • International Journal of Molecular Medicine
      • International Journal of Molecular Medicine
      • Information for Authors
      • Editorial Policies
      • Editorial Board
      • Aims and Scope
      • Abstracting and Indexing
      • Bibliographic Information
      • Archive
    • Biomedical Reports
      • Biomedical Reports
      • Information for Authors
      • Editorial Policies
      • Editorial Board
      • Aims and Scope
      • Abstracting and Indexing
      • Bibliographic Information
      • Archive
    • Oncology Reports
      • Oncology Reports
      • Information for Authors
      • Editorial Policies
      • Editorial Board
      • Aims and Scope
      • Abstracting and Indexing
      • Bibliographic Information
      • Archive
    • Molecular Medicine Reports
      • Molecular Medicine Reports
      • Information for Authors
      • Editorial Policies
      • Editorial Board
      • Aims and Scope
      • Abstracting and Indexing
      • Bibliographic Information
      • Archive
    • World Academy of Sciences Journal
      • World Academy of Sciences Journal
      • Information for Authors
      • Editorial Policies
      • Editorial Board
      • Aims and Scope
      • Abstracting and Indexing
      • Bibliographic Information
      • Archive
    • International Journal of Functional Nutrition
      • International Journal of Functional Nutrition
      • Information for Authors
      • Editorial Policies
      • Editorial Board
      • Aims and Scope
      • Abstracting and Indexing
      • Bibliographic Information
      • Archive
    • International Journal of Epigenetics
      • International Journal of Epigenetics
      • Information for Authors
      • Editorial Policies
      • Editorial Board
      • Aims and Scope
      • Abstracting and Indexing
      • Bibliographic Information
      • Archive
    • Medicine International
      • Medicine International
      • Information for Authors
      • Editorial Policies
      • Editorial Board
      • Aims and Scope
      • Abstracting and Indexing
      • Bibliographic Information
      • Archive
  • Articles
  • Information
    • Information for Authors
    • Information for Reviewers
    • Information for Librarians
    • Information for Advertisers
    • Conferences
  • Language Editing
Spandidos Publications Logo
  • About
    • About Spandidos
    • Aims and Scopes
    • Abstracting and Indexing
    • Editorial Policies
    • Reprints and Permissions
    • Job Opportunities
    • Terms and Conditions
    • Contact
  • Journals
    • All Journals
    • Biomedical Reports
      • Information for Authors
      • Editorial Policies
      • Editorial Board
      • Aims and Scope
      • Abstracting and Indexing
      • Bibliographic Information
      • Archive
    • Experimental and Therapeutic Medicine
      • Information for Authors
      • Editorial Policies
      • Editorial Board
      • Aims and Scope
      • Abstracting and Indexing
      • Bibliographic Information
      • Archive
    • International Journal of Epigenetics
      • Information for Authors
      • Editorial Policies
      • Editorial Board
      • Aims and Scope
      • Abstracting and Indexing
      • Bibliographic Information
      • Archive
    • International Journal of Functional Nutrition
      • Information for Authors
      • Editorial Policies
      • Editorial Board
      • Aims and Scope
      • Abstracting and Indexing
      • Bibliographic Information
      • Archive
    • International Journal of Molecular Medicine
      • Information for Authors
      • Editorial Policies
      • Editorial Board
      • Aims and Scope
      • Abstracting and Indexing
      • Bibliographic Information
      • Archive
    • International Journal of Oncology
      • Information for Authors
      • Editorial Policies
      • Editorial Board
      • Aims and Scope
      • Abstracting and Indexing
      • Bibliographic Information
      • Archive
    • Medicine International
      • Information for Authors
      • Editorial Policies
      • Editorial Board
      • Aims and Scope
      • Abstracting and Indexing
      • Bibliographic Information
      • Archive
    • Molecular and Clinical Oncology
      • Information for Authors
      • Editorial Policies
      • Editorial Board
      • Aims and Scope
      • Abstracting and Indexing
      • Bibliographic Information
      • Archive
    • Molecular Medicine Reports
      • Information for Authors
      • Editorial Policies
      • Editorial Board
      • Aims and Scope
      • Abstracting and Indexing
      • Bibliographic Information
      • Archive
    • Oncology Letters
      • Information for Authors
      • Editorial Policies
      • Editorial Board
      • Aims and Scope
      • Abstracting and Indexing
      • Bibliographic Information
      • Archive
    • Oncology Reports
      • Information for Authors
      • Editorial Policies
      • Editorial Board
      • Aims and Scope
      • Abstracting and Indexing
      • Bibliographic Information
      • Archive
    • World Academy of Sciences Journal
      • Information for Authors
      • Editorial Policies
      • Editorial Board
      • Aims and Scope
      • Abstracting and Indexing
      • Bibliographic Information
      • Archive
  • Articles
  • Information
    • For Authors
    • For Reviewers
    • For Librarians
    • For Advertisers
    • Conferences
  • Language Editing
Login Register Submit
  • This site uses cookies
  • You can change your cookie settings at any time by following the instructions in our Cookie Policy. To find out more, you may read our Privacy Policy.

    I agree
Search articles by DOI, keyword, author or affiliation
Search
Advanced Search
presentation
Oncology Letters
Join Editorial Board Propose a Special Issue
Print ISSN: 1792-1074 Online ISSN: 1792-1082
Journal Cover
February-2026 Volume 31 Issue 2

Full Size Image

Sign up for eToc alerts
Recommend to Library

Journals

International Journal of Molecular Medicine

International Journal of Molecular Medicine

International Journal of Molecular Medicine is an international journal devoted to molecular mechanisms of human disease.

International Journal of Oncology

International Journal of Oncology

International Journal of Oncology is an international journal devoted to oncology research and cancer treatment.

Molecular Medicine Reports

Molecular Medicine Reports

Covers molecular medicine topics such as pharmacology, pathology, genetics, neuroscience, infectious diseases, molecular cardiology, and molecular surgery.

Oncology Reports

Oncology Reports

Oncology Reports is an international journal devoted to fundamental and applied research in Oncology.

Experimental and Therapeutic Medicine

Experimental and Therapeutic Medicine

Experimental and Therapeutic Medicine is an international journal devoted to laboratory and clinical medicine.

Oncology Letters

Oncology Letters

Oncology Letters is an international journal devoted to Experimental and Clinical Oncology.

Biomedical Reports

Biomedical Reports

Explores a wide range of biological and medical fields, including pharmacology, genetics, microbiology, neuroscience, and molecular cardiology.

Molecular and Clinical Oncology

Molecular and Clinical Oncology

International journal addressing all aspects of oncology research, from tumorigenesis and oncogenes to chemotherapy and metastasis.

World Academy of Sciences Journal

World Academy of Sciences Journal

Multidisciplinary open-access journal spanning biochemistry, genetics, neuroscience, environmental health, and synthetic biology.

International Journal of Functional Nutrition

International Journal of Functional Nutrition

Open-access journal combining biochemistry, pharmacology, immunology, and genetics to advance health through functional nutrition.

International Journal of Epigenetics

International Journal of Epigenetics

Publishes open-access research on using epigenetics to advance understanding and treatment of human disease.

Medicine International

Medicine International

An International Open Access Journal Devoted to General Medicine.

Journal Cover
February-2026 Volume 31 Issue 2

Full Size Image

Sign up for eToc alerts
Recommend to Library

  • Article
  • Citations
    • Cite This Article
    • Download Citation
    • Create Citation Alert
    • Remove Citation Alert
    • Cited By
  • Similar Articles
    • Related Articles (in Spandidos Publications)
    • Similar Articles (Google Scholar)
    • Similar Articles (PubMed)
  • Download PDF
  • Download XML
  • View XML
Case Report

Curative surgery enabled by radiotherapy in rectal cancer: A case report

  • Authors:
    • Sofia E. Sánchez‑De‑Toca Gómez
    • Fernando Mendoza Moreno
    • Patricia Urbón Sánchez
    • Felix Mañes Jiménez
    • Yousef Allaoua Massaoui
    • Lucas Casalduero García
    • Pablo Barat Betrán
    • Alejandra Julia Lopez Marsellá
    • María Mejías Ledesma
    • Alberto Vilar Tabanera
    • Manuel Diez Alonso
    • Alberto Gutiérrez Calvo
  • View Affiliations / Copyright

    Affiliations: Department of General and Digestive Surgery, Príncipe de Asturias Teaching Hospital, Alcalá de Henares, 28805 Madrid, Spain
  • Article Number: 92
    |
    Published online on: December 31, 2025
       https://doi.org/10.3892/ol.2025.15445
  • Expand metrics +
Metrics: Total Views: 0 (Spandidos Publications: | PMC Statistics: )
Metrics: Total PDF Downloads: 0 (Spandidos Publications: | PMC Statistics: )
Cited By (CrossRef): 0 citations Loading Articles...

This article is mentioned in:



Abstract

Neoadjuvant chemo‑radiotherapy is the standard of care for patients with locally advanced rectal cancer. However, certain patients are ineligible for chemotherapy due to clinical contraindications such as active infections. Although neoadjuvant therapy remains the preferred approach, guidelines are limited for patients who cannot receive combined treatment. The present report describes a case in which radiotherapy alone, initiated with palliative intent, enabled complete surgical resection. A 46‑year‑old male patient presented with fever and proctalgia. Imaging revealed a large rectal mass associated with an ischiorectal abscess. Biopsy confirmed T4bN1 rectal adenocarcinoma. Chemotherapy was contraindicated due to ongoing infection; therefore, a diverting colostomy was performed. Short‑course radiotherapy led to marked tumor regression. Subsequent pelvic exenteration achieved complete tumor removal. Postoperative wound dehiscence was managed successfully with vacuum‑assisted closure therapy. No recurrence was observed on follow‑up. The current case illustrates that radiotherapy alone may serve as a bridge to curative surgery in patients unfit for chemo‑radiotherapy. The use of 3D reconstruction markedly improved preoperative planning and facilitated precise surgical resection. Additionally, perineal closure with Vicryl mesh and omental interposition minimized postoperative complications. In conclusion, in selected patients with contraindications to total neoadjuvant therapy, radiotherapy alone may be a feasible alternative to enable radical resection. Advanced surgical planning with 3D modeling can enhance outcomes in complex pelvic surgery.

Introduction

Colorectal cancer is the fourth most commonly diagnosed solid malignancy worldwide. Although rectal cancer is often grouped together with colon cancer, growing evidence supports its distinct clinical behavior, anatomical considerations, and therapeutic management strategies (1).

For patients with locally advanced rectal cancer (stages II–III), neoadjuvant chemoradiotherapy has become the cornerstone of treatment. In recent years, novel therapeutic regimens, including total neoadjuvant therapy (TNT), have demonstrated improved local control and pathological response rates in multiple randomized trials (2).

Clinical studies such as PRODIGE 23, RAPIDO, and OPRA have shifted the treatment paradigm by positioning TNT as the preferred initial strategy in eligible patients. However, not all patients are candidates for this approach. Contraindications to chemotherapy-such as ongoing infection, frailty, or significant comorbidities-remain a major clinical challenge. These scenarios are particularly difficult to manage from a multidisciplinary standpoint and are often associated with limited curative potential for affected patients. Current treatment guidelines offer limited recommendations for managing these complex conditions (3,4).

Here, we present the case of a patient with locally advanced rectal cancer and concurrent pelvic infection who was ineligible for systemic chemotherapy. The patient underwent short-course radiotherapy as the sole neoadjuvant modality. Following radiotherapy, a marked reduction in both tumor size and inflammatory signs was observed, enabling a safe surgical intervention. The postoperative course was uneventful, and histopathological examination confirmed a significant treatment response with clear resection margins.

Case report

A 46-year-old male with no significant past medical history presented to the Emergency Department with fever and severe proctalgia. He reported a 6-month history of constitutional symptoms, including weight loss and fatigue. On physical examination, a digital rectal exam revealed a painful, indurated mass in the perianal region, suggestive of a left ischiorectal abscess. The examination was limited due to patient discomfort. Laboratory tests showed leukocytosis and elevated inflammatory markers.

Emergency surgical drainage of the abscess was performed (Fig. 1). Intraoperatively, a friable, exophytic anal mass was identified in the 4 o'clock position in lithotomy. A biopsy was taken. Initially, clinical examination suggested that the most likely diagnosis was a perianal infection. However, subsequent surgical findings revealed that the origin of the infection appeared to be a tumor mass.

Findings of the first surgical
procedure: Tumoral mass presentation as a perineal abscess.

Figure 1.

Findings of the first surgical procedure: Tumoral mass presentation as a perineal abscess.

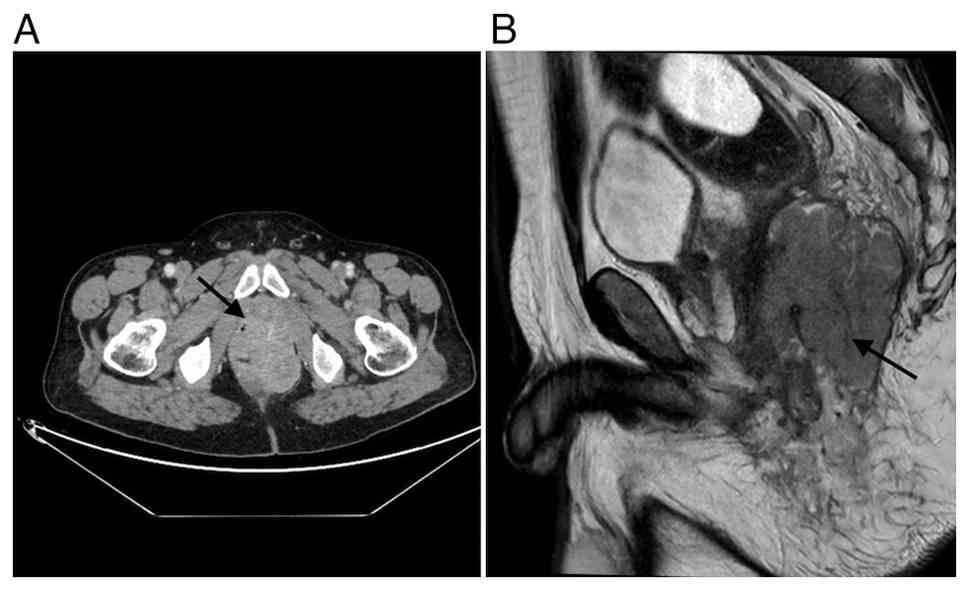
Postoperative computed tomography (CT) (Fig. 2) revealed an 8×6.7×8 cm presacral mass extending into the left ischiorectal fossa and infiltrating the gluteus maximus muscle. The mass was inseparable from the anorectal junction, puborectalis muscle, internal obturator muscle, seminal vesicles, and prostate, although no distant metastases were identified.

(A) CT scan and (B) MRI findings
before radiotherapy treatment (the arrow indicates the tumoral
mass).

Figure 2.

(A) CT scan and (B) MRI findings before radiotherapy treatment (the arrow indicates the tumoral mass).

Magnetic resonance imaging (MRI) (Fig. 2) confirmed a large tumor in the mid and lower rectum (81×75×84 mm, APxTRxCC), with extension through the muscularis propria into the left levator ani muscle, ischioanal space, and subcutaneous gluteal tissues. There was contact with the left seminal vesicle and peripheral prostate, without clear invasion. Two pathologic lymph nodes were noted. The tumor was staged as T4bN1.

Colonoscopy visualized the rectal mass, and biopsies confirmed a moderately differentiated adenocarcinoma with low microsatellite instability and positive CK20 and CDX2 immunostaining.

According to NCCN guidelines, locally advanced rectal cancer such as this would typically require initiation of neoadjuvant treatment combining radiotherapy and chemotherapy to achieve a resectable stage. However, due to the ongoing pelvic infection, systemic chemotherapy was contraindicated. A diverting loop colostomy was performed to reduce fecal contamination and facilitate infection control. This intervention aimed to manage the local infection and potentially allow the patient to complete oncological treatment. The stoma became functional by postoperative day two.

Despite these measures, the patient required four additional surgical debridements due to persistent pelvic infection and abscess formation, which extended into the left pararectal space.

The case was reviewed at a multidisciplinary tumor board. The oncology team continued to advise against initiating chemotherapy, as the patient still required wound care due to persistent local infection. Owing to the extensive size of the tumor, surgical resection at that stage could not guarantee complete tumor removal. A decision was therefore made to initiate short-course radiotherapy (500 cGy ×4 sessions over one week).

Repeat imaging demonstrated significant tumor regression, although a residual abscess persisted (Fig. 3). The mass remained inseparable from adjacent structures but showed no involvement of the bladder. Based on radiological improvement and the absence of metastatic disease, the tumor board recommended surgical resection with curative intent.

(A) CT scan and (B) MRI findings after
radiotherapy treatment (the arrow indicates the tumoral mass).

Figure 3.

(A) CT scan and (B) MRI findings after radiotherapy treatment (the arrow indicates the tumoral mass).

Preoperative 3D modeling using Cella Medical Solutions® software provided detailed anatomical visualization, including tumor extent and its relationship with pelvic organs, enabling precise surgical planning (Fig. 4).

3D models generated using Cella
Medical solutions®. (A) General overview and structures.
(B) Tumoral relationship with adjacent structures (yellow item).
The label indicates the anatomical location of the colon and
rectum.

Figure 4.

3D models generated using Cella Medical solutions®. (A) General overview and structures. (B) Tumoral relationship with adjacent structures (yellow item). The label indicates the anatomical location of the colon and rectum.

A total pelvic exenteration with Bricker-type urinary diversion was performed in collaboration with the Urology team. The procedure was conducted via laparotomy in the Lloyd-Davis position, beginning with the abdominal phase and concluding with the perineal dissection. R0 resection was achieved. Perineal reconstruction involved placement of an omental flap over the bowel loops, followed by a Vicryl mesh and layered closure of muscle and skin (Fig. 5).

Perineal closure. (A) Epiplon covering
the intestinal loops. (B) Closure vicryl mesh. (C) Final closure.
(D) Surgical specimen.

Figure 5.

Perineal closure. (A) Epiplon covering the intestinal loops. (B) Closure vicryl mesh. (C) Final closure. (D) Surgical specimen.

Histopathological examination staged the tumor as ypT3, ypN0. A complete mesorectal excision was performed. Perineural and lymphovascular invasion were absent, as were tumor deposits. The distal and proximal margins were free of tumor, although the circumferential margin contained a focal area in which involvement of the posterior margin could not be excluded. A total of 74 lymph nodes were examined, all of which were negative (0/74). Between the rectal wall and adherent structures, including the bladder, seminal vesicles, and prostate, abundant fibrotic tissue was present without evidence of malignancy.

Postoperatively, the patient developed perineal wound dehiscence, which was successfully managed with vacuum-assisted closure (VAC) therapy. Dressings were changed every 72 h, and the wound gradually closed without the need for further surgical intervention (Fig. 6).

Perineal closure evolution. (A)
Initial dehiscence. (B) Vacuum-assisted closure therapy. (C)
Result.

Figure 6.

Perineal closure evolution. (A) Initial dehiscence. (B) Vacuum-assisted closure therapy. (C) Result.

The patient received continuous support from the surgical team throughout the hospital stay. Although wound care was prolonged, he remained optimistic due to the favorable outcome of the intervention. He was discharged in stable condition with scheduled outpatient follow-up. At subsequent evaluations, there was no clinical or radiological evidence of disease recurrence.

Discussion

Rectal cancer accounts for approximately 30% of newly diagnosed colorectal malignancies each year. Accurate mortality data are often limited, as deaths due to rectal cancer are sometimes misclassified under colon cancer statistics (3).

The National Comprehensive Cancer Network (NCCN) provides comprehensive treatment algorithms for rectal cancer, with neoadjuvant chemoradiotherapy or total neoadjuvant therapy (TNT) representing standard approaches for locally advanced disease. However, a subset of patients is ineligible for systemic chemotherapy due to factors such as active infections, as in the present case (5).

In this patient, chemotherapy was contraindicated due to recurrent perineal sepsis. Surgical resection was initially deferred because of the tumor's large size, anatomical complexity, and the inability to guarantee an R0 resection. Given the limited therapeutic options, short-course radiotherapy was selected as the sole neoadjuvant modality. Although this approach is rarely used in isolation, it proved effective in achieving significant tumor regression, ultimately enabling curative surgery.

Several clinical trials have investigated radiotherapy-only protocols. The Trans-Tasman Radiation Oncology Group (TROG 01.04) randomized trial, which compared short-course radiotherapy with long-course chemoradiotherapy, found no significant differences in local recurrence, distant metastasis, or overall survival. Notably, patients who underwent short-course radiotherapy experienced fewer severe toxicities, although they demonstrated a higher rate of permanent stoma formation (6,7). These findings support the viability of radiotherapy-alone strategies in selected high-risk patients.

Another critical aspect of this case was the incorporation of three-dimensional (3D) reconstruction for preoperative planning. 3D modeling has gained recognition as a valuable adjunct in complex oncologic surgeries, enabling surgeons to visualize tumor boundaries, assess involvement of adjacent structures, and simulate the surgical approach. In this case, 3D models facilitated meticulous preoperative planning, resulting in complete resection with negative margins. Previous studies have demonstrated that this technology improves surgical precision and reduces intraoperative uncertainty (8–12). In our experience, the use of Cella provided the surgical team with a detailed understanding of the patient's anatomy, enabling them to achieve an R0 resection. This tool allowed us to study the tumor and its margins in advance, offering valuable insights into what to expect during surgery. Moreover, during the most challenging stages of the procedure, the software provided an external reference that helped the surgeons maintain the correct dissection plane. Conventional imaging modalities, such as CT or MRI, do not provide sufficient detail to ensure this level of precision.

Perineal closure following pelvic exenteration presents a significant challenge due to the risk of wound complications and herniation. Biological and absorbable meshes have shown promise in reducing postoperative perineal hernias without significantly increasing the risk of infection (13–15). In our case, a Vicryl mesh combined with an omental flap provided an effective barrier between the bowel and the closure site. Although wound dehiscence occurred, it was managed conservatively with vacuum-assisted closure (VAC) therapy, avoiding the need for further surgical intervention (16).

Moreover, systemic assessment of inflammatory and nutritional status is increasingly recognized as a key component in surgical decision-making and prognostic stratification of patients with colorectal cancer. Several studies have demonstrated that composite inflammatory markers, such as the pan-immune-inflammatory value (PIV) and the albumin-to-globulin ratio (AGR), are significantly associated with overall and disease-free survival in stage I–III colorectal cancer (17,18). These tools may help to individualize management in high-risk patients who, as in the present case, cannot receive total neoadjuvant therapy.

Likewise, the Onodera prognostic nutritional index (PNI) has shown utility in the early prediction of postoperative complications, such as anastomotic leakage after rectal cancer surgery (19), which is particularly relevant in the context of the perineal wound evolution described in this case. The integration of these parameters could complement conventional preoperative assessment and optimize surgical selection.

Finally, evidence derived from other solid tumors reinforces the applicability of these markers. For example, the modified Glasgow prognostic score (mGPS) has been correlated with prognosis in breast cancer, highlighting the potential of inflammatory and nutritional indicators as universal tools for tailoring therapeutic strategies beyond standard treatment pathways (20). Incorporating these assessments into clinical practice may be particularly valuable in complex scenarios such as ours, where conventional treatment is not feasible and decisions must rely on a comprehensive systemic characterization of the patient.

This case highlights the importance of individualized treatment strategies when conventional protocols are not feasible. Radiotherapy alone, combined with advanced surgical tools such as 3D reconstruction and thoughtful reconstructive techniques, can provide curative outcomes even in complex and initially unfavorable scenarios. However, it is important to acknowledge that this is a single case report, and further studies are required to determine whether these findings can be generalized.

Patients who fall outside standard rectal cancer treatment algorithms due to clinical contraindications-such as active pelvic infections-pose a significant therapeutic challenge. In such cases, short-course radiotherapy may offer a viable alternative to initiate treatment and enable curative surgical resection.

This case demonstrates that radiotherapy alone can effectively downstage advanced rectal tumors in selected patients unfit for chemotherapy. The integration of 3D reconstruction into surgical planning significantly enhanced anatomical visualization, allowing for precise and safe resection. Additionally, perineal reconstruction using absorbable mesh and omental interposition helped minimize complications associated with wound healing.

In summary, individualized treatment approaches, supported by modern imaging and reconstructive strategies, can lead to favorable outcomes even in complex clinical scenarios.

Acknowledgements

Not applicable.

Funding

Funding: No funding was received.

Availability of data and materials

The data generated in the present study may be requested from the corresponding author.

Authors' contributions

SESDTG, FMM, PUS, FMJ, YAM, LCG, PBB, AJLM, MML, AVT, MDA and AGC contributed to the diagnosis and treatment of the patient, and in the design of the study. PUS was a major contributor to the writing of the manuscript. PUS and FMM confirm the authenticity of all the raw data. All authors have read and approved the final version of the manuscript.

Ethics approval and consent to participate

The present study followed international and national regulations and was performed in agreement with The Declaration of Helsinki and ethical principles. The patient signed an informed consent form before the surgery was performed.

Patient consent for publication

The patient provided written informed consent for the publication of any data and/or accompanying images before the surgery was performed. Patients have a right to anonymity and privacy, and authors have a legal and ethical responsibility to respect this right.

Competing interests

The authors declare that they have no competing interests.

References

1 

Pinheiro M, Moreira DN and Ghidini M: Colon and rectal cancer: An emergent public health problem. World J Gastroenterol. 30:644–651. 2024. View Article : Google Scholar : PubMed/NCBI

2 

Boublikova L, Novakova A, Simsa J and Lohynska R: Total neoadjuvant therapy in rectal cancer: The evidence and expectations. Crit Rev Oncol Hematol. 192:1041962023. View Article : Google Scholar : PubMed/NCBI

3 

Lotfollahzadeh S, Kashyap S, Tsoris A, Recio-Boiles A and Babiker HM: Rectal cancer. [Updated 2023 Jul 4]. StatPearls [Internet] Treasure Island (FL): StatPearls Publishing; 2025

4 

Garcia-Aguilar J, Patil S, Gollub MJ, Kim JK, Yuval JB, Thompson HM, Verheij FS, Omer DM, Lee M and Dunne RF: Organ preservation in patients with rectal adenocarcinoma treated with total neoadjuvant therapy. J Clin Oncol. 40:2546–2556. 2022. View Article : Google Scholar : PubMed/NCBI

5 

Benson AB, Venook AP, Adam M, Chang G, Chen YJ, Ciombor KK, Cohen SA, Cooper HS, Deming D, Garrido-Laguna I, et al: NCCN guidelines® insights: rectal cancer, version 3.2024. J Natl Compr Canc Netw. 22:366–375. 2024. View Article : Google Scholar : PubMed/NCBI

6 

Ansari N, Solomon MJ, Fisher RJ, Mackay J, Burmeister B, Ackland S, Heriot A, Joseph D, McLachlan SA, McClure B and Ngan SY: Acute adverse events and postoperative complications in a randomized trial of preoperative short-course radiotherapy versus long-course chemoradiotherapy for T3 adenocarcinoma of the rectum: Trans-tasman radiation oncology group trial (TROG 01.04). Ann Surg. 265:882–888. 2017. View Article : Google Scholar : PubMed/NCBI

7 

McLachlan SA, Fisher RJ, Zalcberg J, Solomon M, Burmeister B, Goldstein D, Leong T, Ackland SP, McKendrick J, McClure B, et al: The impact on health-related quality of life in the first 12 months: A randomised comparison of preoperative short-course radiation versus long-course chemoradiation for T3 rectal cancer (trans-tasman radiation oncology group trial 01.04). Eur J Cancer. 55:15–26. 2016. View Article : Google Scholar : PubMed/NCBI

8 

Garcia-Granero A, Pellino G, Giner F, Frasson M, Fletcher-Sanfeliu D, Primo Romeguera V, Flor Lorente B, Gamundi M, Brogi L, Garcia-Calderón D, et al: A video demonstration of three-dimensional imaging to assess the circumferential resection margin in locally advanced rectal cancer and recurrent rectal cancer-a video vignette. Colorectal Dis. 22:2340–2341. 2020. View Article : Google Scholar : PubMed/NCBI

9 

Pellino G, García-Granero A, Fletcher-Sanfeliu D, Navasquillo-Tamarit M, Frasson M, García-Calderon D, García-Gausi M, Valverde-Navarro AA, Garcia-Armengol J, Roig-Vila JV and García-Granero E: Preoperative surgical planning based on cadaver simulation and 3D imaging for a retrorectal tumour: Description and video demonstration. Tech Coloproctol. 22:709–713. 2018. View Article : Google Scholar : PubMed/NCBI

10 

García-Granero Á, Jerí-McFarlane S, Torres-Marí N, Brogi L, Ferrà-Canet M, Navarro Zoroa MÁ, Gamundí-Cuesta M and González-Argenté FX: 3D-reconstruction printed models and virtual reality improve teaching in oncological colorectal surgery. Tech Coloproctol. 29:242024. View Article : Google Scholar : PubMed/NCBI

11 

Rusli SM, Kim JS, Choo JM, Cheong JY, Piozzi GN and Kim SH: Robotic-assisted mesh pelvic closure for prevention of small bowel descent after surgery for recurrent rectal cancer. Tech Coloproctol. 26:309–310. 2022. View Article : Google Scholar : PubMed/NCBI

12 

Jerí-McFarlane S, García-Granero Á, Pellino G, Torres-Marí N, Ochogavía-Seguí A, Rodríguez-Velázquez M, Gamundí-Cuesta M and González-Argenté FX: Prospective observational non-randomized trial protocol for surgical planner 3D image processing & reconstruction for locally advanced colon cancer. BMC Surg. 24:2922024. View Article : Google Scholar : PubMed/NCBI

13 

Gutiérrez Delgado MDP, Mera Velasco S, Miron Fernandez I, González-Poveda I, Ruiz-López M, Mata JAT, Carrasco Campos J and Santoyo JS: Prophylactic use of perineal and peristomal mesh in laparoscopic abdominoperineal amputation-A video vignette. Colorectal Dis. 24:1253–1254. 2022. View Article : Google Scholar : PubMed/NCBI

14 

Dijkstra EA, Kahmann NLE, Hemmer PHJ, Havenga K and van Etten B: A low incidence of perineal hernia when using a biological mesh after extralevator abdominoperineal excision with or without pelvic exenteration or distal sacral resection in locally advanced rectal cancer patients. Tech Coloproctol. 24:855–861. 2020. View Article : Google Scholar : PubMed/NCBI

15 

Devulapalli C, Jia Wei AT, DiBiagio JR, Baez ML, Baltodano PA, Seal SM, Sacks JM, Cooney CM and Rosson GD: Primary versus flap closure of perineal defects following oncologic resection: A systematic review and meta-analysis. Plast Reconstr Surg. 137:1602–1613. 2016. View Article : Google Scholar : PubMed/NCBI

16 

Gao Z, Wang Y, Zeng Q, Rong W, Wang Z, Zhai Z, Ding C, An K, Gao Q, Niu P, et al: Perineal defect reconstruction after surgery for advanced or locally recurrent rectal cancer involving organ resection: Multiple flaps combined with lining repair. Colorectal Dis. 25:2087–2092. 2023. View Article : Google Scholar : PubMed/NCBI

17 

Li K, Zeng X, Zhang Z, Wang K, Pan Y, Wu Z, Chen Y and Zhao Z: Pan-immune-inflammatory values predict survival in patients after radical surgery for non-metastatic colorectal cancer: A retrospective study. Oncol Lett. 29:1972025. View Article : Google Scholar : PubMed/NCBI

18 

Li K, Chen Y, Zhang Z, Wang K, Sulayman S, Zeng X, Ababaike S, Guan J and Zhao Z: Preoperative pan-immuno-inflammatory values and albumin-to-globulin ratio predict the prognosis of stage I–III colorectal cancer. Sci Rep. 15:115172025. View Article : Google Scholar : PubMed/NCBI

19 

Zhang ZY, Li KJ, Zeng XY, Wang K, Sulayman S, Chen Y and Zhao ZL: Early prediction of anastomotic leakage after rectal cancer surgery: Onodera prognostic nutritional index combined with inflammation-related biomarkers. World J Gastrointest Surg. 17:1028622025.PubMed/NCBI

20 

Wang D, Duan L, Tu Z, Yan F, Zhang C, Li X, Cao Y and Wen H: The Glasgow Prognostic Score Predicts Response to Chemotherapy in Patients with Metastatic Breast Cancer. Chemotherapy. 61:217–222. 2016. View Article : Google Scholar : PubMed/NCBI

Related Articles

  • Abstract
  • View
  • Download
  • Twitter
Copy and paste a formatted citation
Spandidos Publications style
Sánchez‑De‑Toca Gómez SE, Moreno FM, Sánchez PU, Jiménez FM, Massaoui YA, García LC, Betrán PB, Lopez Marsellá AJ, Ledesma MM, Tabanera AV, Tabanera AV, et al: Curative surgery enabled by radiotherapy in rectal cancer: A case report. Oncol Lett 31: 92, 2026.
APA
Sánchez‑De‑Toca Gómez, S.E., Moreno, F.M., Sánchez, P.U., Jiménez, F.M., Massaoui, Y.A., García, L.C. ... Calvo, A.G. (2026). Curative surgery enabled by radiotherapy in rectal cancer: A case report. Oncology Letters, 31, 92. https://doi.org/10.3892/ol.2025.15445
MLA
Sánchez‑De‑Toca Gómez, S. E., Moreno, F. M., Sánchez, P. U., Jiménez, F. M., Massaoui, Y. A., García, L. C., Betrán, P. B., Lopez Marsellá, A. J., Ledesma, M. M., Tabanera, A. V., Alonso, M. D., Calvo, A. G."Curative surgery enabled by radiotherapy in rectal cancer: A case report". Oncology Letters 31.2 (2026): 92.
Chicago
Sánchez‑De‑Toca Gómez, S. E., Moreno, F. M., Sánchez, P. U., Jiménez, F. M., Massaoui, Y. A., García, L. C., Betrán, P. B., Lopez Marsellá, A. J., Ledesma, M. M., Tabanera, A. V., Alonso, M. D., Calvo, A. G."Curative surgery enabled by radiotherapy in rectal cancer: A case report". Oncology Letters 31, no. 2 (2026): 92. https://doi.org/10.3892/ol.2025.15445
Copy and paste a formatted citation
x
Spandidos Publications style
Sánchez‑De‑Toca Gómez SE, Moreno FM, Sánchez PU, Jiménez FM, Massaoui YA, García LC, Betrán PB, Lopez Marsellá AJ, Ledesma MM, Tabanera AV, Tabanera AV, et al: Curative surgery enabled by radiotherapy in rectal cancer: A case report. Oncol Lett 31: 92, 2026.
APA
Sánchez‑De‑Toca Gómez, S.E., Moreno, F.M., Sánchez, P.U., Jiménez, F.M., Massaoui, Y.A., García, L.C. ... Calvo, A.G. (2026). Curative surgery enabled by radiotherapy in rectal cancer: A case report. Oncology Letters, 31, 92. https://doi.org/10.3892/ol.2025.15445
MLA
Sánchez‑De‑Toca Gómez, S. E., Moreno, F. M., Sánchez, P. U., Jiménez, F. M., Massaoui, Y. A., García, L. C., Betrán, P. B., Lopez Marsellá, A. J., Ledesma, M. M., Tabanera, A. V., Alonso, M. D., Calvo, A. G."Curative surgery enabled by radiotherapy in rectal cancer: A case report". Oncology Letters 31.2 (2026): 92.
Chicago
Sánchez‑De‑Toca Gómez, S. E., Moreno, F. M., Sánchez, P. U., Jiménez, F. M., Massaoui, Y. A., García, L. C., Betrán, P. B., Lopez Marsellá, A. J., Ledesma, M. M., Tabanera, A. V., Alonso, M. D., Calvo, A. G."Curative surgery enabled by radiotherapy in rectal cancer: A case report". Oncology Letters 31, no. 2 (2026): 92. https://doi.org/10.3892/ol.2025.15445
Follow us
  • Twitter
  • LinkedIn
  • Facebook
About
  • Spandidos Publications
  • Careers
  • Cookie Policy
  • Privacy Policy
How can we help?
  • Help
  • Live Chat
  • Contact
  • Email to our Support Team