Spandidos Publications Logo
  • About
    • About Spandidos
    • Aims and Scopes
    • Abstracting and Indexing
    • Editorial Policies
    • Reprints and Permissions
    • Job Opportunities
    • Terms and Conditions
    • Contact
  • Journals
    • All Journals
    • Oncology Letters
      • Oncology Letters
      • Information for Authors
      • Editorial Policies
      • Editorial Board
      • Aims and Scope
      • Abstracting and Indexing
      • Bibliographic Information
      • Archive
    • International Journal of Oncology
      • International Journal of Oncology
      • Information for Authors
      • Editorial Policies
      • Editorial Board
      • Aims and Scope
      • Abstracting and Indexing
      • Bibliographic Information
      • Archive
    • Molecular and Clinical Oncology
      • Molecular and Clinical Oncology
      • Information for Authors
      • Editorial Policies
      • Editorial Board
      • Aims and Scope
      • Abstracting and Indexing
      • Bibliographic Information
      • Archive
    • Experimental and Therapeutic Medicine
      • Experimental and Therapeutic Medicine
      • Information for Authors
      • Editorial Policies
      • Editorial Board
      • Aims and Scope
      • Abstracting and Indexing
      • Bibliographic Information
      • Archive
    • International Journal of Molecular Medicine
      • International Journal of Molecular Medicine
      • Information for Authors
      • Editorial Policies
      • Editorial Board
      • Aims and Scope
      • Abstracting and Indexing
      • Bibliographic Information
      • Archive
    • Biomedical Reports
      • Biomedical Reports
      • Information for Authors
      • Editorial Policies
      • Editorial Board
      • Aims and Scope
      • Abstracting and Indexing
      • Bibliographic Information
      • Archive
    • Oncology Reports
      • Oncology Reports
      • Information for Authors
      • Editorial Policies
      • Editorial Board
      • Aims and Scope
      • Abstracting and Indexing
      • Bibliographic Information
      • Archive
    • Molecular Medicine Reports
      • Molecular Medicine Reports
      • Information for Authors
      • Editorial Policies
      • Editorial Board
      • Aims and Scope
      • Abstracting and Indexing
      • Bibliographic Information
      • Archive
    • World Academy of Sciences Journal
      • World Academy of Sciences Journal
      • Information for Authors
      • Editorial Policies
      • Editorial Board
      • Aims and Scope
      • Abstracting and Indexing
      • Bibliographic Information
      • Archive
    • International Journal of Functional Nutrition
      • International Journal of Functional Nutrition
      • Information for Authors
      • Editorial Policies
      • Editorial Board
      • Aims and Scope
      • Abstracting and Indexing
      • Bibliographic Information
      • Archive
    • International Journal of Epigenetics
      • International Journal of Epigenetics
      • Information for Authors
      • Editorial Policies
      • Editorial Board
      • Aims and Scope
      • Abstracting and Indexing
      • Bibliographic Information
      • Archive
    • Medicine International
      • Medicine International
      • Information for Authors
      • Editorial Policies
      • Editorial Board
      • Aims and Scope
      • Abstracting and Indexing
      • Bibliographic Information
      • Archive
  • Articles
  • Information
    • Information for Authors
    • Information for Reviewers
    • Information for Librarians
    • Information for Advertisers
    • Conferences
  • Language Editing
Spandidos Publications Logo
  • About
    • About Spandidos
    • Aims and Scopes
    • Abstracting and Indexing
    • Editorial Policies
    • Reprints and Permissions
    • Job Opportunities
    • Terms and Conditions
    • Contact
  • Journals
    • All Journals
    • Biomedical Reports
      • Information for Authors
      • Editorial Policies
      • Editorial Board
      • Aims and Scope
      • Abstracting and Indexing
      • Bibliographic Information
      • Archive
    • Experimental and Therapeutic Medicine
      • Information for Authors
      • Editorial Policies
      • Editorial Board
      • Aims and Scope
      • Abstracting and Indexing
      • Bibliographic Information
      • Archive
    • International Journal of Epigenetics
      • Information for Authors
      • Editorial Policies
      • Editorial Board
      • Aims and Scope
      • Abstracting and Indexing
      • Bibliographic Information
      • Archive
    • International Journal of Functional Nutrition
      • Information for Authors
      • Editorial Policies
      • Editorial Board
      • Aims and Scope
      • Abstracting and Indexing
      • Bibliographic Information
      • Archive
    • International Journal of Molecular Medicine
      • Information for Authors
      • Editorial Policies
      • Editorial Board
      • Aims and Scope
      • Abstracting and Indexing
      • Bibliographic Information
      • Archive
    • International Journal of Oncology
      • Information for Authors
      • Editorial Policies
      • Editorial Board
      • Aims and Scope
      • Abstracting and Indexing
      • Bibliographic Information
      • Archive
    • Medicine International
      • Information for Authors
      • Editorial Policies
      • Editorial Board
      • Aims and Scope
      • Abstracting and Indexing
      • Bibliographic Information
      • Archive
    • Molecular and Clinical Oncology
      • Information for Authors
      • Editorial Policies
      • Editorial Board
      • Aims and Scope
      • Abstracting and Indexing
      • Bibliographic Information
      • Archive
    • Molecular Medicine Reports
      • Information for Authors
      • Editorial Policies
      • Editorial Board
      • Aims and Scope
      • Abstracting and Indexing
      • Bibliographic Information
      • Archive
    • Oncology Letters
      • Information for Authors
      • Editorial Policies
      • Editorial Board
      • Aims and Scope
      • Abstracting and Indexing
      • Bibliographic Information
      • Archive
    • Oncology Reports
      • Information for Authors
      • Editorial Policies
      • Editorial Board
      • Aims and Scope
      • Abstracting and Indexing
      • Bibliographic Information
      • Archive
    • World Academy of Sciences Journal
      • Information for Authors
      • Editorial Policies
      • Editorial Board
      • Aims and Scope
      • Abstracting and Indexing
      • Bibliographic Information
      • Archive
  • Articles
  • Information
    • For Authors
    • For Reviewers
    • For Librarians
    • For Advertisers
    • Conferences
  • Language Editing
Login Register Submit
  • This site uses cookies
  • You can change your cookie settings at any time by following the instructions in our Cookie Policy. To find out more, you may read our Privacy Policy.

    I agree
Search articles by DOI, keyword, author or affiliation
Search
Advanced Search
presentation
Oncology Letters
Join Editorial Board Propose a Special Issue
Print ISSN: 1792-1074 Online ISSN: 1792-1082
Journal Cover
March-2026 Volume 31 Issue 3

Full Size Image

Sign up for eToc alerts
Recommend to Library

Journals

International Journal of Molecular Medicine

International Journal of Molecular Medicine

International Journal of Molecular Medicine is an international journal devoted to molecular mechanisms of human disease.

International Journal of Oncology

International Journal of Oncology

International Journal of Oncology is an international journal devoted to oncology research and cancer treatment.

Molecular Medicine Reports

Molecular Medicine Reports

Covers molecular medicine topics such as pharmacology, pathology, genetics, neuroscience, infectious diseases, molecular cardiology, and molecular surgery.

Oncology Reports

Oncology Reports

Oncology Reports is an international journal devoted to fundamental and applied research in Oncology.

Experimental and Therapeutic Medicine

Experimental and Therapeutic Medicine

Experimental and Therapeutic Medicine is an international journal devoted to laboratory and clinical medicine.

Oncology Letters

Oncology Letters

Oncology Letters is an international journal devoted to Experimental and Clinical Oncology.

Biomedical Reports

Biomedical Reports

Explores a wide range of biological and medical fields, including pharmacology, genetics, microbiology, neuroscience, and molecular cardiology.

Molecular and Clinical Oncology

Molecular and Clinical Oncology

International journal addressing all aspects of oncology research, from tumorigenesis and oncogenes to chemotherapy and metastasis.

World Academy of Sciences Journal

World Academy of Sciences Journal

Multidisciplinary open-access journal spanning biochemistry, genetics, neuroscience, environmental health, and synthetic biology.

International Journal of Functional Nutrition

International Journal of Functional Nutrition

Open-access journal combining biochemistry, pharmacology, immunology, and genetics to advance health through functional nutrition.

International Journal of Epigenetics

International Journal of Epigenetics

Publishes open-access research on using epigenetics to advance understanding and treatment of human disease.

Medicine International

Medicine International

An International Open Access Journal Devoted to General Medicine.

Journal Cover
March-2026 Volume 31 Issue 3

Full Size Image

Sign up for eToc alerts
Recommend to Library

  • Article
  • Citations
    • Cite This Article
    • Download Citation
    • Create Citation Alert
    • Remove Citation Alert
    • Cited By
  • Similar Articles
    • Related Articles (in Spandidos Publications)
    • Similar Articles (Google Scholar)
    • Similar Articles (PubMed)
  • Download PDF
  • Download XML
  • View XML
Article

Diagnostic value of magnetic resonance imaging in preoperative evaluation of cervical cancer and analysis of pathological features

  • Authors:
    • Xiaofei Cai
    • Xinjian Lu
    • Jinjun Yang
    • Xinxue Wei
    • Wenjing Yue
    • Yunqing Ban
  • View Affiliations / Copyright

    Affiliations: Department of Imaging, The Fifth Affiliated Hospital of Xinjiang Medical University, Ürümqi, Xinjiang Uyghur Autonomous Region 830011, P.R. China
  • Article Number: 96
    |
    Published online on: January 7, 2026
       https://doi.org/10.3892/ol.2026.15449
  • Expand metrics +
Metrics: Total Views: 0 (Spandidos Publications: | PMC Statistics: )
Metrics: Total PDF Downloads: 0 (Spandidos Publications: | PMC Statistics: )
Cited By (CrossRef): 0 citations Loading Articles...

This article is mentioned in:


Abstract

The present study aimed to unveil the diagnostic value of magnetic resonance imaging (MRI) in the preoperative evaluation of cervical cancer and its analysis of pathological features. A total of 110 patients with cervical cancer were included. MRI was performed 1 week before surgery, with postoperative pathological assessment serving as the gold standard for diagnostic comparison. The accuracy of MRI staging was assessed and its ability to evaluate pathological features, including pelvic lymph node metastasis (LNM), parametrial invasion and vaginal involvement, was analyzed. Additionally, the diagnostic performance of MRI was evaluated, including factors such as sensitivity, specificity and accuracy for pelvic LNM, parametrial invasion and vaginal involvement. The diagnostic accuracy of MRI for clinical staging showed minimal differences compared with pathological diagnosis, with no statistically significant differences found. Similarly, MRI demonstrated a high consistency with a pathological diagnosis in detecting pelvic LNM, parametrial invasion and vaginal involvement in cervical cancer. MRI demonstrated high sensitivity, specificity and accuracy for these features. Sensitivity was highest for vaginal involvement, specificity was highest for pelvic LNM and accuracy was highest for parametrial invasion. In conclusion, MRI demonstrates high accuracy in the clinical staging of cervical cancer, including the assessment of pelvic LNM, parametrial invasion, and vaginal involvement; it can be used to guide the selection of surgical approaches preoperatively and should be considered a routine examination before surgery.

Introduction

Cervical cancer remains a significant global health concern, ranking as the fourth most common cancer and the fourth leading cause of cancer death among women worldwide, with 604,127 new cases and 341,831 associated deaths annually (1). Cervical cancer represents a substantial portion of the global cancer burden for women, particularly in low- and middle-income countries, which carry the majority of this burden (2). Cervical cancer is one of the most prevalent gynecological malignancies globally and is closely associated with human papillomavirus infection, viral persistence, progression and invasion (3). Accurate preoperative evaluation is important for effective treatment planning and prognosis, as it helps to identify potential risks, improve patient outcomes and reduce the likelihood of complications (4). Preoperative assessment involves gathering information from multiple sources, including medical history, interviews, physical examinations and medical tests (5).

Accurate preoperative assessment of lesion type, extent and depth of invasion is required to improve the complete resection rate and reduce the risk of additional surgery (6). The analysis of pathological features, such as tumor size, stromal invasion and lymph node metastasis (LNM), plays a notable role in determining the extent of disease and guiding therapeutic strategies (7). Determining these features is important for deciding the appropriate management approach, as treatment is tailored based on the nature of the tumor (7). Pathology results of resected tissues are often used as diagnostic criteria, and imaging features such as nodule size and a ground glass sign are significantly correlated with pathological types (8).

Magnetic resonance imaging (MRI) has emerged as a valuable tool in the preoperative assessment of cervical cancer, offering superior soft-tissue contrast and detailed anatomical visualization compared with other imaging modalities, including ultrasound, computed tomography (CT) and positron emission tomography (PET)-CT. MRI has become a notable imaging modality in radiotherapy, particularly with the development of novel MRI and image-guidance techniques (9). MRI provides detailed anatomical images, and functional MRI monitors physiological activity by recording blood oxygenation (10). As aforementioned, the utility of MRI lies in evaluating tumor characteristics, including depth of stromal invasion and parametrial involvement, which are important for staging and surgical decision-making. The purpose of the present study was to further explore the correlation between MRI findings and pathological features in cervical cancer, aiming to enhance the accuracy of preoperative evaluation and improve patient outcomes.

Materials and methods

Ethical approval

All experimental procedures were approved by the Medical Ethics Committee of The Fifth Affiliated Hospital of Xinjiang Medical University (Ürümqi, China). Written informed consent was obtained from all individual participants included in the study. All experimental procedures were approved by the Medical Ethics Committee of The Fifth Affiliated Hospital of Xinjiang Medical University (approval no. 2020065).

Patient information

Data were collected from 110 female patients with cervical cancer who were admitted to The Fifth Affiliated Hospital of Xinjiang Medical University between December 2019 and December 2024.

Inclusion criteria were as follows: i) Diagnosis of cervical cancer confirmed by surgery or pathological biopsy; ii) no contraindications for MRI examination; iii) complete imaging and clinical pathological data; and iv) patients with clear consciousness, normal communication ability and cooperative attitude towards examination. Exclusion criteria included: i) Presence of other systemic malignant tumors; ii) comorbid psychiatric disorders; and iii) patients transferred to other hospitals during the study.

The ages of the patients ranged from 38–75 years, with a mean age of 53.64±13.84 years. The duration of illness varied from 0.5–3 years, with a mean of 1.99±0.84 years. Among the cases, there were 43 instances of cervical small cell carcinoma, 38 cases of cervical adenocarcinoma and 29 cases of cervical squamous cell carcinoma. The main clinical symptoms of cervical cancer included increased vaginal discharge (15 cases), cervical erosion (4 cases), bleeding on contact (27 cases) and irregular vaginal bleeding (64 cases).

Intervention methods.
Preoperative MRI examination

Prior to scanning, patients were asked to remove all metallic items, lie in a supine position with legs comfortably extended and maintain a steady breathing pattern. Patients were instructed to hold their breath at the end of exhalation and drink a suitable amount of water to ensure bladder fullness. The pre-examination intravenous injection of gadoterate meglumine contrast agent was administered to all patients. The examinations were conducted using a United Imaging GE Discovery MR750 3.0T MRI scanner (GE Healthcare). During the examination, with hands positioned above their heads, patients underwent sequential scans of pelvic axial T2-weighted imaging (WI), T1WI, diffusion-weighted imaging (DWI) sequences, a sagittal T2WI sequence and a coronal T2WI sequence using a body coil. Scan parameters comprised a slice thickness of 5 mm and an interslice gap of 1 mm. The preoperative staging for cervical cancer was assessed by at least two MRI specialists, each with >3 years of experience, relying on the MRI images of the patients and signs of abnormalities. If opinions were inconsistent, a comprehensive diagnosis was made in consultation with another senior physician.

Postoperative pathological examination

All patients received a diagnosis of cervical cancer based on postoperative pathological examination results. Tissue samples were removed and preserved in a 10% formaldehyde solution at room temperature for 12–24 h. After re-washing in tap water, samples were rinsed in graded alcohol solutions and later cleared in xylene. Following paraffinization, tissue samples were embedded in paraffin, then 4-µm serial histological sections were obtained from a microtome. After deparaffinization and rinsing, sections were stained with hematoxylin for 10 min, rinsed in tap water for 5 min, differentiated in 0.5–1% acid alcohol for a few seconds, rinsed again in tap water for 5 min, stained in a weakly alkaline solution for 1 min and counterstained with eosin. Slides were dehydrated using absolute ethanol, cleared in xylene and mounted using neutral balsam. Slides examined pathologically under a light microscope (Olympus Corporation). The FIGO staging (11) was established by evaluating the cellular structure of the lesion, the extent of invasion and whether LNM was present. Specifically, staging was as follows: Stage IA indicated microscopic invasive carcinoma with a maximum invasion depth of ≤5 mm; stage IB denoted invasive carcinoma that exceeded stage IA but remained within the cervix, with an invasion depth >5 mm; stage IIA involved tumor invasion limited to the upper two-thirds of the vagina without parametrial involvement; stage IIB included parametrial invasion without reaching the pelvic wall; stage IIIA involved the lower one-third of the vagina without pelvic wall extension; stage IIIB extended to the pelvic wall, potentially causing hydronephrosis or kidney dysfunction; stage IIIC involved invasion into the pelvic cavity, including para-aortic lymph nodes; stage IVA included invasion into the rectal or bladder mucosa; and stage IVB referred to the spread of the tumor to distant organs.

Observation indicators

Using the pathological examination results as the gold standard, the confirmed diagnoses were compared with the staging results of MRI to evaluate the diagnostic accuracy of MRI in clinical staging of patients.

The diagnostic performance of MRI (comprising sensitivity, specificity and accuracy) in detecting pelvic LNM, parametrial invasion and vaginal involvement was assessed. Sensitivity was calculated as the proportion of true-positive cases relative to the sum of true-positive and false-negative cases, multiplied by 100. Specificity was determined as the proportion of true-negative cases relative to the sum of true-negative and false-positive cases, multiplied by 100. Accuracy was defined as the proportion of true-positive and true-negative cases relative to the total number of cases, multiplied by 100.

Statistical analysis

Statistical analysis was performed using SPSS 24.0 software (IBM Corp.). Continuous variables, such as age, are expressed as mean ± standard deviation, while categorical variables are presented as frequencies (n) and percentages (%), with Fisher's exact test applied for analysis. P<0.05 was considered to indicate a statistically significant difference.

Results

Clinical staging

When compared with postoperative pathological staging, the overall diagnostic accuracy of preoperative MRI for the clinical staging of cervical cancer was 97.27%, with no statistically significant difference from the pathological diagnosis accuracy of 100% (P>0.05; Table I).

Table I.

Diagnostic accuracy of clinical staging in cervical cancer.

Table I.

Diagnostic accuracy of clinical staging in cervical cancer.

StageMagnetic resonance imaging (n=110)Pathological diagnosis (n=110)P-value
Stage IA7 (6.36)8 (7.27)
Stage IB28 (25.45)30 (27.27)
Stage IIA12 (10.91)12 (10.91)
Stage IIB23 (20.91)23 (20.91)
Stage IIIA19 (17.27)19 (17.27)
Stage IIIB9 (8.18)9 (8.18)
Stage IIIC5 (4.55)5 (4.55)
Stage IVA3 (2.73)3 (2.73)
Stage IVB1 (0.91)1 (0.91)
Overall accuracy107 (97.27)110 (100.00)0.247

[i] Data are presented as n (%).

Diagnostic results for pelvic LNM, parametrial invasion and vaginal involvement in cervical cancer

The detection rates of MRI for pelvic LNM, parametrial invasion and vaginal involvement in cervical cancer were not significantly different from those of pathological diagnosis (all P>0.05) (Table II).

Table II.

Diagnostic accuracy rates for pelvic lymph node metastasis, parametrial invasion and vaginal involvement in cervical cancer.

Table II.

Diagnostic accuracy rates for pelvic lymph node metastasis, parametrial invasion and vaginal involvement in cervical cancer.

Cervical cancer lesion typeMagnetic resonance imaging (n=110)Pathological diagnosis (n=110)P-value
Pelvic lymph node metastasis 0.247
  Detected107 (97.27)110 (100.00)
  Not detected3 (2.73)0 (0.00)
Parametrial invasion 0.498
  Detected108 (98.18)110 (100.00)
  Not detected2 (1.82)0 (0.00)
Vaginal involvement 0.247
  Detected107 (97.27)110 (100.00)
  Not detected3 (2.73)0 (0.00)

[i] Data are presented as n (%).

Diagnostic value of MRI for pelvic LNM, parametrial invasion and vaginal involvement

MRI exhibited high sensitivity, specificity and accuracy in diagnosing pelvic LNM, parametrial invasion and vaginal involvement. The sensitivity of MRI in detecting vaginal involvement was higher than that for pelvic LNM and parametrial invasion (P<0.05). The specificity of MRI in diagnosing pelvic LNM showed no difference compared with its specificity in diagnosing parametrial invasion and vaginal involvement (P>0.05). The accuracy of MRI in diagnosing parametrial invasion showed no difference compared with its accuracy in diagnosing pelvic LNM and vaginal involvement (P>0.05; Tables III and IV).

Table III.

Preoperative magnetic resonance imaging findings with postoperative pathological diagnoses regarding pelvic lymph node metastasis, parametrial invasion and vaginal involvement.

Table III.

Preoperative magnetic resonance imaging findings with postoperative pathological diagnoses regarding pelvic lymph node metastasis, parametrial invasion and vaginal involvement.

Postoperative pathology

Preoperative magnetic resonance imagingPositiveNegativeTotal
Lymph node metastasis
  Positive18 (16.36)2 (1.82)20 (18.18)
  Negative1 (0.91)89 (80.91)90 (81.82)
  Total19 (17.27)91 (82.73)110 (100.00)
Parametrial invasion
  Positive76 (69.09)1 (0.91)77 (70.00)
  Negative1 (0.91)32 (29.09)33 (30.00)
  Total77 (70.00)33 (30.00)110 (100.00)
Vaginal involvement
  Positive39 (35.45)3 (2.73)42 (38.18)
  Negative0 (0.00)68 (61.82)68 (61.82)
  Total39 (35.45)71 (64.55)110 (100.00)

[i] Data are presented as n (%).

Table IV.

Diagnostic efficacy of preoperative magnetic resonance imaging in detecting pelvic lymph node metastasis, parametrial invasion and vaginal involvement in cervical cancer.

Table IV.

Diagnostic efficacy of preoperative magnetic resonance imaging in detecting pelvic lymph node metastasis, parametrial invasion and vaginal involvement in cervical cancer.

Diagnostic factorLymph node metastasisParametrial invasionVaginal involvementP-value
Sensitivity94.74 (18/19)98.70 (76/77)100.00 (39/39)0.086
Specificity97.80 (89/91)96.97 (32/33)95.77 (68/71)0.859
Accuracy97.27 (107/110)98.18 (108/110)97.27 (107/110)>0.999

[i] Data are presented as % (detected, n/total, n).

MRI diagnostic image examples

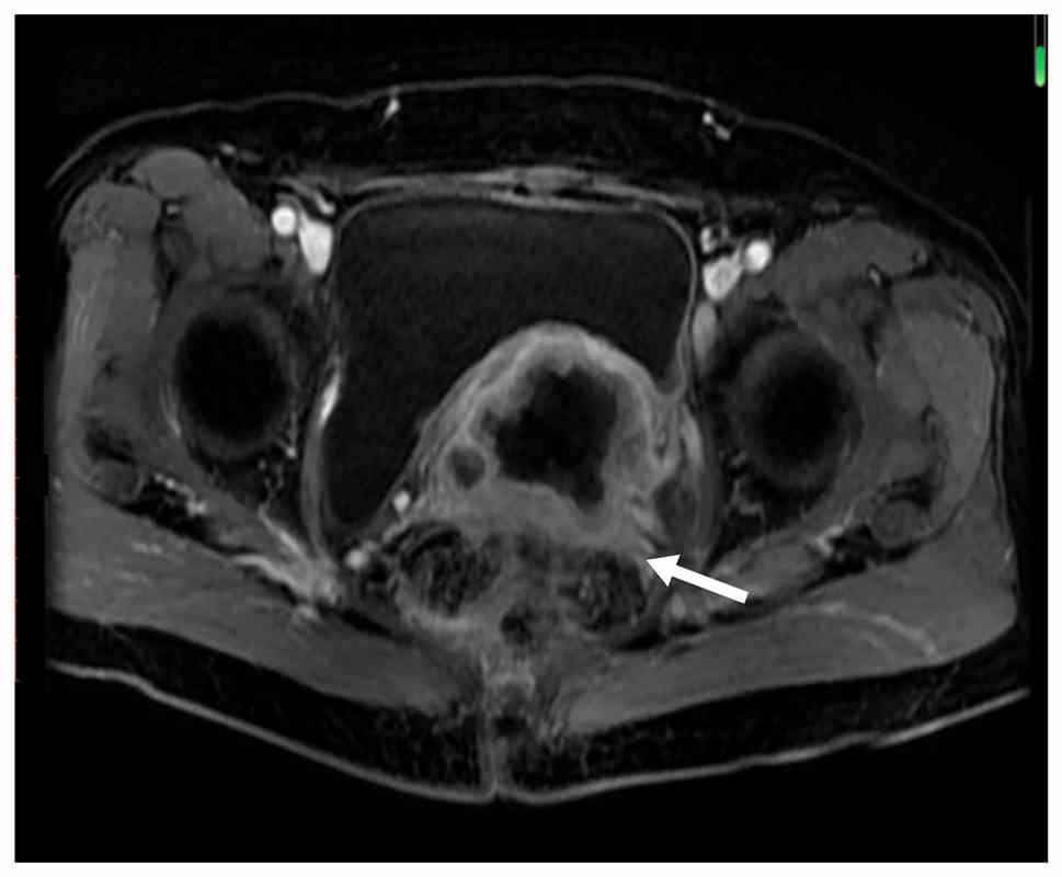
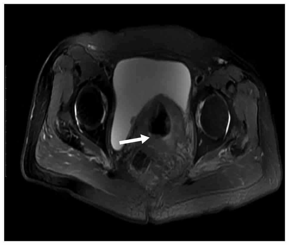
Examples of MRI diagnostic images from multiple patients are shown in Fig. 1, Fig. 2, Fig. 3, Fig. 4, Fig. 5. Fig. 1 shows an irregular soft-tissue mass in the cervical region, clearly visible on the axial sequence of T2-weighted fat-saturated imaging. The mass may suggest cervical lesions or tumors. Fig. 2 displays multiple lymph node metastases in the pelvic region on the axial sequence of DWI. The high-signal areas indicate that the lymph nodes might be affected by tumor metastasis. Fig. 3 reveals an irregular soft-tissue mass in the cervical region on the sagittal sequence of T2-weighted fat-saturated imaging. The mass is shown to have extended into the vaginal area, with the sagittal view aiding in the assessment of the lesion's longitudinal extent. Fig. 4 displays an irregular soft-tissue mass in the cervical region on T1-weighted enhanced imaging. The mass shows significant heterogeneous enhancement, suggesting that the lesion may be malignant. Fig. 5 illustrates a lesion in the cervical and vaginal regions on the sagittal sequence of T1-weighted enhanced imaging. The lesion area demonstrates heterogeneous enhancement, further indicating the possibility of a malignant tumor.

T2-weighted fat-saturated axial
sequence showing an irregular soft-tissue mass (white arrow) in the
cervical region.

Figure 1.

T2-weighted fat-saturated axial sequence showing an irregular soft-tissue mass (white arrow) in the cervical region.

Diffusion-weighted imaging axial
sequence showing multiple lymph node metastases (white arrow) in
the pelvic region.

Figure 2.

Diffusion-weighted imaging axial sequence showing multiple lymph node metastases (white arrow) in the pelvic region.

T2-weighted fat-saturated sagittal
sequence showing an irregular soft-tissue mass (white arrow) in the
cervical region, which extends into the vaginal area.

Figure 3.

T2-weighted fat-saturated sagittal sequence showing an irregular soft-tissue mass (white arrow) in the cervical region, which extends into the vaginal area.

T1-weighted enhanced imaging showing
an irregular soft-tissue mass (white arrow) in the cervical region,
with notable heterogeneous enhancement.

Figure 4.

T1-weighted enhanced imaging showing an irregular soft-tissue mass (white arrow) in the cervical region, with notable heterogeneous enhancement.

T1-weighted enhanced sagittal sequence
showing heterogeneous enhancement of the lesions (white arrow) in
the cervical and vaginal regions.

Figure 5.

T1-weighted enhanced sagittal sequence showing heterogeneous enhancement of the lesions (white arrow) in the cervical and vaginal regions.

Discussion

Cervical cancer ranks as the fourth most common cancer among women globally (12). MRI has emerged as an important imaging modality in clinical practice, particularly with the advancement of various novel imaging techniques, including multi-contrast sequences such as diffusion-weighted imaging, T1- and T2-weighted imaging, 4D-MRI and virtual contrast-enhanced MRI (9). Determining the pathological features of lesions is required for deciding appropriate management approaches and treatment strategies (7). Accurate preoperative assessment is important for identifying potential risks and improving patient outcomes (5). The present study demonstrated that MRI exhibits high diagnostic accuracy in the preoperative evaluation of cervical cancer staging and pathological features, including pelvic LNM, parametrial invasion and vaginal involvement, with no significant differences compared with pathological diagnosis. High diagnostic accuracy supports the use of MRI as a reliable tool for preoperative assessment, enabling physicians to design more appropriate treatment strategies and thereby improve patient outcomes.

Previous studies have consistently emphasized the notable importance of accurate staging and comprehensive diagnosis in the management of cervical cancer, as these factors significantly influence treatment planning and patient outcomes (13–15). The present research findings are consistent with previous evidence underscoring the diagnostic accuracy of MRI in cervical cancer evaluation, while recognizing that certain lesion subtypes may still pose diagnostic challenges (16). The multi-parametric capabilities of MRI, including T2WI, DWI and dynamic contrast-enhanced sequences, provide exemplary soft-tissue contrast that is particularly valuable in gynecological malignancies. One of the most significant advancements in cervical cancer imaging has been the demonstration of the effectiveness of MRI in detecting LNM, an important factor in determining disease staging and treatment strategy (17). While the present study confirmed the overall diagnostic capabilities of MRI, a particularly strong performance in detecting pelvic LNM was demonstrated. This observation indicated that although MRI remains the cornerstone of cervical cancer imaging, PET/CT may provide complementary value in selected clinical scenarios, especially for detecting distant metastases and assessing treatment response. The close concordance between MRI and histopathological findings across multiple pathological features further underscores its diagnostic accuracy, and the consistency of the present results with previous research reinforces the role of MRI as a reliable preoperative evaluation tool (18).

Specifically, the ability of MRI to accurately determine the extent of disease spread, including the depth of stromal invasion and its relationship to adjacent structures, makes it highly valuable for surgical planning. Its demonstrated diagnostic strength underscores the role of MRI as a key component in the diagnostic workup of cervical cancer. This capability enables the development of tailored treatment strategies, ranging from fertility-sparing surgeries in early-stage disease to more extensive procedures or chemoradiation in advanced cases. Furthermore, integrating advanced MRI techniques with other imaging modalities, particularly in complex situations, offers a promising approach to further enhance diagnostic accuracy and improve patient outcomes in cervical cancer management.

In conclusion, the importance of accurate MRI diagnosis in cervical cancer cannot be overstated, as it directly impacts treatment planning and patient outcomes. Looking ahead, there are several promising directions for advancing MRI-based cervical cancer diagnosis. Integration of artificial intelligence and machine learning algorithms could potentially enhance the diagnostic accuracy of MRI interpretations. Future research should focus on developing standardized protocols for MRI assessment and exploring the combination of different imaging modalities to improve diagnostic precision. Additionally, investigating the role of advanced MRI techniques, such as DWI and dynamic contrast-enhanced sequences, could provide more detailed information about tumor characteristics and treatment response. The development of quantitative imaging biomarkers through MRI could also help in predicting treatment outcomes and personalizing therapeutic approaches.

Acknowledgements

Not applicable.

Funding

The present work was funded by the Tianshan Elite High-level Medical and Health Talent Training Program (grant no. TSYC202301B083).

Availability of data and materials

The data generated in the present study may be requested from the corresponding author.

Authors' contributions

XC and XL made substantial contributions to the conception and design of the study, participated in data analysis and interpretation, and were involved in drafting and revising the manuscript. JY and XW contributed to data acquisition and interpretation, participated in drafting parts of the manuscript and approved the final version. WY was involved in data validation, manuscript drafting and critical revision for important intellectual content and approved the final version. YB contributed to the conception and design of the study, participated in data interpretation, critically revised the manuscript for important intellectual content, approved the final version to be published, and agreed to be accountable for all aspects of the work. XC and XL confirm the authenticity of all the raw data. All authors read and approved the final version of the manuscript.

Ethics approval and consent to participate

All experimental procedures were approved by the Medical Ethics Committee of The Fifth Affiliated Hospital of Xinjiang Medical University (approval no. 2020065). Written informed consent was obtained from all individual participants included in the study.

Patient consent for publication

The MRI figures presented in the manuscript were derived from multiple patients, each of whom provided written informed consent for the use of their images and for the submission of the manuscript.

Competing interests

The authors declare that they have no competing interests.

References

1 

Rajaram S and Gupta B: Screening for cervical cancer: Choices & dilemmas. Indian J Med Res. 154:210–220. 2021. View Article : Google Scholar : PubMed/NCBI

2 

Mayadev JS, Ke G, Mahantshetty U, Pereira MD, Tarnawski R and Toita T: Global challenges of radiotherapy for the treatment of locally advanced cervical cancer. Int J Gynecol Cancer. 32:436–445. 2022. View Article : Google Scholar : PubMed/NCBI

3 

Gutierrez-Hoya A and Soto-Cruz I: NK cell regulation in cervical cancer and strategies for immunotherapy. Cells. 10:31042021. View Article : Google Scholar : PubMed/NCBI

4 

Zoller DP: The physiology of aging. Am Fam Physician. 36:112–116. 1987.PubMed/NCBI

5 

Komurcu O, Genc C, Kurt BC, Demir O, Akbas A, Akyurt D, Kuşderci HS, Tulgar S and Süren M: Preoperative evaluation: Impact on early perioperative hemodynamic and respiratory complications. BMC Anesthesiol. 24:4352024. View Article : Google Scholar : PubMed/NCBI

6 

Moleti CA: Caring for socially high-risk pregnant women. MCN Am J Matern Child Nurs. 13:24–27. 1988. View Article : Google Scholar : PubMed/NCBI

7 

Zhang Z, Zheng X, Zhang M, Li J, Zhao J, Zheng J and Wang S: Pathological features of persistent adnexal masses in pregnancy. Ann Transl Med. 9:9732021. View Article : Google Scholar : PubMed/NCBI

8 

Zhang L, Wan R, Chen J, Xin F and Han H: Analysis of the correlation between clinical and imaging features of malignant lung nodules and pathological types. Front Surg. 10:13211182023. View Article : Google Scholar : PubMed/NCBI

9 

Li T, Wang J, Yang Y, Glide-Hurst CK, Wen N and Cai J: Multi-parametric MRI for radiotherapy simulation. Med Phys. 50:5273–5293. 2023. View Article : Google Scholar : PubMed/NCBI

10 

Roth BJ: Can MRI be used as a sensor to record neural activity? Sensors (Basel). 23:13372023. View Article : Google Scholar : PubMed/NCBI

11 

Mohamud A, Hogdall C and Schnack T: Prognostic value of the 2018 FIGO staging system for cervical cancer. Gynecol Oncol. 165:506–513. 2022. View Article : Google Scholar : PubMed/NCBI

12 

Gopu P, Antony F, Cyriac S, Karakasis K and Oza AM: Updates on systemic therapy for cervical cancer. Indian J Med Res. 154:293–302. 2021. View Article : Google Scholar : PubMed/NCBI

13 

Zhang W, Chen C, Liu P, Li W, Hao M, Zhao W, Lu A and Ni Y: Impact of pelvic MRI in routine clinical practice on staging of IB1-IIA2 cervical cancer. Cancer Manag Res. 11:3603–3609. 2019. View Article : Google Scholar : PubMed/NCBI

14 

Salib MY, Russell JHB, Stewart VR, Sudderuddin SA, Barwick TD, Rockall AG and Bharwani N: 2018 FIGO staging classification for cervical cancer: Added benefits of imaging. Radiographics. 40:1807–1822. 2020. View Article : Google Scholar : PubMed/NCBI

15 

Narayan K and Lin MY: Staging for cervix cancer: Role of radiology, surgery and clinical assessment. Best Pract Res Clin Obstet Gynaecol. 29:833–844. 2015. View Article : Google Scholar : PubMed/NCBI

16 

Ohya A, Miyamoto T, Ichinohe F, Kobara H, Fujinaga Y and Shiozawa T: Problems of magnetic resonance diagnosis for gastric-type mucin-positive cervical lesions of the uterus and its solutions using artificial intelligence. PLoS One. 19:e03158622024. View Article : Google Scholar : PubMed/NCBI

17 

Musunuru HB, Pifer PM, Mohindra P, Albuquerque K and Beriwal S: Advances in management of locally advanced cervical cancer. Indian J Med Res. 154:248–261. 2021. View Article : Google Scholar : PubMed/NCBI

18 

Demir G, Arici M and Alkin Z: Preoperative evaluation of tractional retinal detachment with B-mode ultrasonography in diabetic vitreous hemorrhage. Beyoglu Eye J. 6:49–53. 2021.PubMed/NCBI

Related Articles

  • Abstract
  • View
  • Download
  • Twitter
Copy and paste a formatted citation
Spandidos Publications style
Cai X, Lu X, Yang J, Wei X, Yue W and Ban Y: Diagnostic value of magnetic resonance imaging in preoperative evaluation of cervical cancer and analysis of pathological features. Oncol Lett 31: 96, 2026.
APA
Cai, X., Lu, X., Yang, J., Wei, X., Yue, W., & Ban, Y. (2026). Diagnostic value of magnetic resonance imaging in preoperative evaluation of cervical cancer and analysis of pathological features. Oncology Letters, 31, 96. https://doi.org/10.3892/ol.2026.15449
MLA
Cai, X., Lu, X., Yang, J., Wei, X., Yue, W., Ban, Y."Diagnostic value of magnetic resonance imaging in preoperative evaluation of cervical cancer and analysis of pathological features". Oncology Letters 31.3 (2026): 96.
Chicago
Cai, X., Lu, X., Yang, J., Wei, X., Yue, W., Ban, Y."Diagnostic value of magnetic resonance imaging in preoperative evaluation of cervical cancer and analysis of pathological features". Oncology Letters 31, no. 3 (2026): 96. https://doi.org/10.3892/ol.2026.15449
Copy and paste a formatted citation
x
Spandidos Publications style
Cai X, Lu X, Yang J, Wei X, Yue W and Ban Y: Diagnostic value of magnetic resonance imaging in preoperative evaluation of cervical cancer and analysis of pathological features. Oncol Lett 31: 96, 2026.
APA
Cai, X., Lu, X., Yang, J., Wei, X., Yue, W., & Ban, Y. (2026). Diagnostic value of magnetic resonance imaging in preoperative evaluation of cervical cancer and analysis of pathological features. Oncology Letters, 31, 96. https://doi.org/10.3892/ol.2026.15449
MLA
Cai, X., Lu, X., Yang, J., Wei, X., Yue, W., Ban, Y."Diagnostic value of magnetic resonance imaging in preoperative evaluation of cervical cancer and analysis of pathological features". Oncology Letters 31.3 (2026): 96.
Chicago
Cai, X., Lu, X., Yang, J., Wei, X., Yue, W., Ban, Y."Diagnostic value of magnetic resonance imaging in preoperative evaluation of cervical cancer and analysis of pathological features". Oncology Letters 31, no. 3 (2026): 96. https://doi.org/10.3892/ol.2026.15449
Follow us
  • Twitter
  • LinkedIn
  • Facebook
About
  • Spandidos Publications
  • Careers
  • Cookie Policy
  • Privacy Policy
How can we help?
  • Help
  • Live Chat
  • Contact
  • Email to our Support Team