Spandidos Publications Logo
  • About
    • About Spandidos
    • Aims and Scopes
    • Abstracting and Indexing
    • Editorial Policies
    • Reprints and Permissions
    • Job Opportunities
    • Terms and Conditions
    • Contact
  • Journals
    • All Journals
    • Oncology Letters
      • Oncology Letters
      • Information for Authors
      • Editorial Policies
      • Editorial Board
      • Aims and Scope
      • Abstracting and Indexing
      • Bibliographic Information
      • Archive
    • International Journal of Oncology
      • International Journal of Oncology
      • Information for Authors
      • Editorial Policies
      • Editorial Board
      • Aims and Scope
      • Abstracting and Indexing
      • Bibliographic Information
      • Archive
    • Molecular and Clinical Oncology
      • Molecular and Clinical Oncology
      • Information for Authors
      • Editorial Policies
      • Editorial Board
      • Aims and Scope
      • Abstracting and Indexing
      • Bibliographic Information
      • Archive
    • Experimental and Therapeutic Medicine
      • Experimental and Therapeutic Medicine
      • Information for Authors
      • Editorial Policies
      • Editorial Board
      • Aims and Scope
      • Abstracting and Indexing
      • Bibliographic Information
      • Archive
    • International Journal of Molecular Medicine
      • International Journal of Molecular Medicine
      • Information for Authors
      • Editorial Policies
      • Editorial Board
      • Aims and Scope
      • Abstracting and Indexing
      • Bibliographic Information
      • Archive
    • Biomedical Reports
      • Biomedical Reports
      • Information for Authors
      • Editorial Policies
      • Editorial Board
      • Aims and Scope
      • Abstracting and Indexing
      • Bibliographic Information
      • Archive
    • Oncology Reports
      • Oncology Reports
      • Information for Authors
      • Editorial Policies
      • Editorial Board
      • Aims and Scope
      • Abstracting and Indexing
      • Bibliographic Information
      • Archive
    • Molecular Medicine Reports
      • Molecular Medicine Reports
      • Information for Authors
      • Editorial Policies
      • Editorial Board
      • Aims and Scope
      • Abstracting and Indexing
      • Bibliographic Information
      • Archive
    • World Academy of Sciences Journal
      • World Academy of Sciences Journal
      • Information for Authors
      • Editorial Policies
      • Editorial Board
      • Aims and Scope
      • Abstracting and Indexing
      • Bibliographic Information
      • Archive
    • International Journal of Functional Nutrition
      • International Journal of Functional Nutrition
      • Information for Authors
      • Editorial Policies
      • Editorial Board
      • Aims and Scope
      • Abstracting and Indexing
      • Bibliographic Information
      • Archive
    • International Journal of Epigenetics
      • International Journal of Epigenetics
      • Information for Authors
      • Editorial Policies
      • Editorial Board
      • Aims and Scope
      • Abstracting and Indexing
      • Bibliographic Information
      • Archive
    • Medicine International
      • Medicine International
      • Information for Authors
      • Editorial Policies
      • Editorial Board
      • Aims and Scope
      • Abstracting and Indexing
      • Bibliographic Information
      • Archive
  • Articles
  • Information
    • Information for Authors
    • Information for Reviewers
    • Information for Librarians
    • Information for Advertisers
    • Conferences
  • Language Editing
Spandidos Publications Logo
  • About
    • About Spandidos
    • Aims and Scopes
    • Abstracting and Indexing
    • Editorial Policies
    • Reprints and Permissions
    • Job Opportunities
    • Terms and Conditions
    • Contact
  • Journals
    • All Journals
    • Biomedical Reports
      • Information for Authors
      • Editorial Policies
      • Editorial Board
      • Aims and Scope
      • Abstracting and Indexing
      • Bibliographic Information
      • Archive
    • Experimental and Therapeutic Medicine
      • Information for Authors
      • Editorial Policies
      • Editorial Board
      • Aims and Scope
      • Abstracting and Indexing
      • Bibliographic Information
      • Archive
    • International Journal of Epigenetics
      • Information for Authors
      • Editorial Policies
      • Editorial Board
      • Aims and Scope
      • Abstracting and Indexing
      • Bibliographic Information
      • Archive
    • International Journal of Functional Nutrition
      • Information for Authors
      • Editorial Policies
      • Editorial Board
      • Aims and Scope
      • Abstracting and Indexing
      • Bibliographic Information
      • Archive
    • International Journal of Molecular Medicine
      • Information for Authors
      • Editorial Policies
      • Editorial Board
      • Aims and Scope
      • Abstracting and Indexing
      • Bibliographic Information
      • Archive
    • International Journal of Oncology
      • Information for Authors
      • Editorial Policies
      • Editorial Board
      • Aims and Scope
      • Abstracting and Indexing
      • Bibliographic Information
      • Archive
    • Medicine International
      • Information for Authors
      • Editorial Policies
      • Editorial Board
      • Aims and Scope
      • Abstracting and Indexing
      • Bibliographic Information
      • Archive
    • Molecular and Clinical Oncology
      • Information for Authors
      • Editorial Policies
      • Editorial Board
      • Aims and Scope
      • Abstracting and Indexing
      • Bibliographic Information
      • Archive
    • Molecular Medicine Reports
      • Information for Authors
      • Editorial Policies
      • Editorial Board
      • Aims and Scope
      • Abstracting and Indexing
      • Bibliographic Information
      • Archive
    • Oncology Letters
      • Information for Authors
      • Editorial Policies
      • Editorial Board
      • Aims and Scope
      • Abstracting and Indexing
      • Bibliographic Information
      • Archive
    • Oncology Reports
      • Information for Authors
      • Editorial Policies
      • Editorial Board
      • Aims and Scope
      • Abstracting and Indexing
      • Bibliographic Information
      • Archive
    • World Academy of Sciences Journal
      • Information for Authors
      • Editorial Policies
      • Editorial Board
      • Aims and Scope
      • Abstracting and Indexing
      • Bibliographic Information
      • Archive
  • Articles
  • Information
    • For Authors
    • For Reviewers
    • For Librarians
    • For Advertisers
    • Conferences
  • Language Editing
Login Register Submit
  • This site uses cookies
  • You can change your cookie settings at any time by following the instructions in our Cookie Policy. To find out more, you may read our Privacy Policy.

    I agree
Search articles by DOI, keyword, author or affiliation
Search
Advanced Search
presentation
Oncology Letters
Join Editorial Board Propose a Special Issue
Print ISSN: 1792-1074 Online ISSN: 1792-1082
Journal Cover
April-2026 Volume 31 Issue 4

Full Size Image

Sign up for eToc alerts
Recommend to Library

Journals

International Journal of Molecular Medicine

International Journal of Molecular Medicine

International Journal of Molecular Medicine is an international journal devoted to molecular mechanisms of human disease.

International Journal of Oncology

International Journal of Oncology

International Journal of Oncology is an international journal devoted to oncology research and cancer treatment.

Molecular Medicine Reports

Molecular Medicine Reports

Covers molecular medicine topics such as pharmacology, pathology, genetics, neuroscience, infectious diseases, molecular cardiology, and molecular surgery.

Oncology Reports

Oncology Reports

Oncology Reports is an international journal devoted to fundamental and applied research in Oncology.

Experimental and Therapeutic Medicine

Experimental and Therapeutic Medicine

Experimental and Therapeutic Medicine is an international journal devoted to laboratory and clinical medicine.

Oncology Letters

Oncology Letters

Oncology Letters is an international journal devoted to Experimental and Clinical Oncology.

Biomedical Reports

Biomedical Reports

Explores a wide range of biological and medical fields, including pharmacology, genetics, microbiology, neuroscience, and molecular cardiology.

Molecular and Clinical Oncology

Molecular and Clinical Oncology

International journal addressing all aspects of oncology research, from tumorigenesis and oncogenes to chemotherapy and metastasis.

World Academy of Sciences Journal

World Academy of Sciences Journal

Multidisciplinary open-access journal spanning biochemistry, genetics, neuroscience, environmental health, and synthetic biology.

International Journal of Functional Nutrition

International Journal of Functional Nutrition

Open-access journal combining biochemistry, pharmacology, immunology, and genetics to advance health through functional nutrition.

International Journal of Epigenetics

International Journal of Epigenetics

Publishes open-access research on using epigenetics to advance understanding and treatment of human disease.

Medicine International

Medicine International

An International Open Access Journal Devoted to General Medicine.

Journal Cover
April-2026 Volume 31 Issue 4

Full Size Image

Sign up for eToc alerts
Recommend to Library

  • Article
  • Citations
    • Cite This Article
    • Download Citation
    • Create Citation Alert
    • Remove Citation Alert
    • Cited By
  • Similar Articles
    • Related Articles (in Spandidos Publications)
    • Similar Articles (Google Scholar)
    • Similar Articles (PubMed)
  • Download PDF
  • Download XML
  • View XML
Case Report Open Access

Recurrent microsatellite instability‑high thymic carcinoma showing complete response to immune checkpoint inhibitor: A case report

  • Authors:
    • Tomoki Nakagawa
    • Naohiro Aruga
    • Hajime Watanabe
    • Ryota Masuda
    • Shunsuke Yamada
    • Masayuki Iwazaki
  • View Affiliations / Copyright

    Affiliations: Department of Thoracic Surgery, Tokai University Hachioji Hospital, Hachioji, Tokyo 192‑0032, Japan, Department of Thoracic Surgery, Department of Surgery, Tokai University School of Medicine, Isehara, Kanagawa 259‑1143, Japan
    Copyright: © Nakagawa et al. This is an open access article distributed under the terms of Creative Commons Attribution License.
  • Article Number: 121
    |
    Published online on: January 29, 2026
       https://doi.org/10.3892/ol.2026.15474
  • Expand metrics +
Metrics: Total Views: 0 (Spandidos Publications: | PMC Statistics: )
Metrics: Total PDF Downloads: 0 (Spandidos Publications: | PMC Statistics: )
Cited By (CrossRef): 0 citations Loading Articles...

This article is mentioned in:


Abstract

Microsatellite instability‑high (MSI‑H) tumors, which exhibit somatic hypermutations due to defects in the DNA mismatch repair system, are found in several cancer types. These tumors are known for their responsiveness to immune checkpoint inhibitors (ICIs), regardless of tumor origin. Thymic carcinomas (TCs) are characterized by high programmed death ligand 1 expression and low levels of somatic mutations. Consequently, the incidence of MSI‑H TCs is extremely rare. To the best of our knowledge, the present report is the first to describe a case of recurrent MSI‑H TC achieving complete remission with pembrolizumab monotherapy, distinguishing it from prior reports of partial responses. The patient in the present case was a 78‑year‑old woman with solitary pulmonary and thymic tumors. Thymoma, lung cancer or breast cancer with lung metastasis were suspected, and simultaneous videoscopic resection was performed. The patient was diagnosed with TC with pulmonary metastasis. Adjuvant platinum‑based doublet chemotherapy was only administered twice due to side effects, and extensive recurrent lesions were found in the thoracic cavity 8 months after surgery. Genetic testing of the tumor tissue revealed MSI‑H, and pembrolizumab was administered as second‑line chemotherapy. A total of 4 years and 9 months after the initial surgery, the metastatic lesions had completely disappeared, with no signs of recurrence. In conclusion, the present report describes a rare case of recurrent TC presenting with MSI‑H, in which a complete remission was achieved with immune checkpoint inhibitor (ICI) treatment; however, further research is needed to explore the efficacy of ICIs in rare cases of MSI‑H TCs.

Introduction

Microsatellite instability-high (MSI-H) tumors account for 4–5% of all solid tumors, with the highest prevalence observed in colorectal (up to 15%) and endometrial cancer (up to 30%) (1). MSI-H status results from deficiency in the DNA mismatch repair system, occurring either sporadically or through germline mutations associated with Lynch syndrome. These tumors are characterized by a high tumor mutational burden and abundant neoantigen production. In clinical practice, the therapeutic effect of programmed death ligand 1 (PD-L1) blockade using pembrolizumab against MSI-H tumors is hypothesized to extend beyond the organ system (2). Although most MSI-H tumors occur sporadically in several organs and are not associated with hereditary disease, the possibility of Lynch syndrome can only be entirely excluded if germline testing is performed.

TC is a rare and highly malignant tumor. Treatment strategies include surgical resection when feasible, followed by platinum-based chemotherapy and radiotherapy. Complete surgical resection is essential for achieving favorable outcomes. The prognosis of patient with incompletely resected or metastatic TC is poor, and systemic therapy for unresectable, progressive or recurrent TC is supported by limited clinical data (3–7).

Generally, TCs exhibit high PD-L1 expression but low mutational burden (8–10). MSI-H status in TCs is exceedingly rare, reported in <1% of case (11–13). To the best of our knowledge, only one case report has described an MSI-H thymic carcinoma treated with ICIs, which achieved a partial response (12). The present report describes a rare case of recurrent MSI-H TC that responded notably well to ICIs and may provide useful data for the immunotherapy of future cases of recurrent MSI-H TC.

Case report

A 78-year-old woman with an abnormal pulmonary shadow was referred to the Department of Thoracic Surgery (Tokai University Hachioji Hospital, Tokyo, Japan) for examination in April 2020 with a medical history including hypertension and complete atrioventricular block with an implanted pacemaker. The patient had surgery for right breast cancer ~30 years prior and for cerebellar meningioma ~20 years prior. No abnormalities were observed during the initial physical examination.

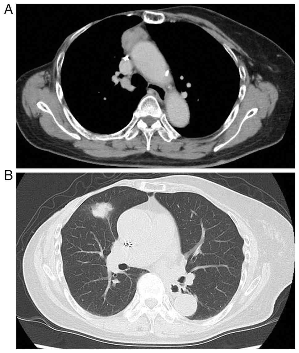
Contrast-enhanced chest computed tomography (CT) revealed a pulmonary nodule (26 mm in size) in the right middle lobe adjacent to the interlobar pleura without mediastinal lymph node enlargement, and a solid tumor (30 mm in size) in the right anterior mediastinum (Fig. 1). Positron emission tomography (PET) revealed an accumulation of fluorodeoxyglucose [standardized uptake value (SUV) max, 4.3 and 4.5] but no accumulation elsewhere (data not shown). Blood test results were normal, including those of tumor markers [carcinoembryonic antigen (CEA), squamous cell carcinoma (SCC) associated antigen and cytokeratin 19 fragment]. The SUVmax value of the mediastinal lesion was low for malignant lymphoma or TC, which typically show SUVmax value exceeding 5.0–10.0 (14,15). By contrast, the mediastinal lesion in this case demonstrated a lower SUVmax of 4.5. Therefore, it was considered a thymoma. The pulmonary lesion was diagnosed as either lung cancer [C-T2a(pl1) N0M0] based on the TNM classification system (8th edition) (16) or pulmonary metastasis from breast cancer.

Preoperative CT. CT images show (A)
anterior mediastinal tumor and (B) pulmonary nodule. CT, computed
tomography.

Figure 1.

Preoperative CT. CT images show (A) anterior mediastinal tumor and (B) pulmonary nodule. CT, computed tomography.

CT-guided biopsy was not performed prior to surgery, as the lesions were considered resectable. This procedure often yields limited tissue samples, which may compromise accurate histopathological diagnosis, particularly in thymic epithelial tumor. Moreover, it was avoided due to the potential risk of tumor seeding along the puncture tract. In addition, the anatomical location of lesions raised concern for air embolism associated with transthoracic needle insertion. Therefore, upfront surgical resection was selected: Middle lobectomy with systemic lymph node dissection and radical thymectomy with partial pericardium were performed via videoscopic surgery. Intraoperative pathology revealed both tumors to be poorly differentiated carcinomas. The sample was embedded in a cryoprotective compound and frozen at −10 to −15°C. Sections were cut at 5-µm thickness using a cryotome and subsequently stained by the rapid hematoxylin and eosin (H&E) technique for ~3 min at room temperature. The slides were microscopically evaluated by two pathologists using a light microscope (BX53; Olympus Corporation). However, determining the primary tumor was difficult. Macroscopically, a whitish solid tumor (25×20×30 mm in size) was observed in the resected anterior mediastinal resected specimen. Histologically (Fig. 2A and B), the tumor was surrounded by a fibrous capsule, but focal fatty invasion and necrosis were observed. The tumor was composed of epithelioid cells with marked pleomorphism and frequent mitosis. Furthermore, the tumor contained thymoma components equivalent to type B2-3 accompanied by lymphocytic infiltration. These finding indicated poorly differentiated and highly malignant thymic-origin tumor. All specimens were fixed with 10% neutral buffered formalin for 24–48 h at room temperature, embedded in paraffin and cut into 4-µm thick sections. Immunohistochemistry was performed using the BenchMark Autostainer (Roche Diagnostics) according to the manufacturer's recommended protocol. Antigen retrieval was performed with PROTEASE1 for 4 min or with ULTRA Cell Conditioning Solution (ULTRA CC1) at 100°C for 64 min. The BenchMark Autostainer automatically performed all subsequent processes, including deparaffinization in xylene and rehydration in ethanol. Sections were then immersed in 0.01 mol/l citric acid buffered solution, followed by blocking using the UV DAB inhibitor and protein blocking reagent included in the UltraView Universal DAB Detection Kit (Roche Diagnostics), which was applied at room temperature according to the manufacturer's protocol. Endogenous peroxidase activity was quenched automatically on the BenchMark Autostainer using the hydrogen peroxide-based inhibitor included in the same detection kit.

Histological and positive
immunohistochemical findings of the anterior mediastinal tumor. (A)
Low power view reveals that the tumor is surrounded by a fibrous
capsule but shows focal invasion to the fat tissue beyond the
capsule. (B) High power view demonstrates that the tumor with
necrosis was composed of epithelial cells showing marked
pleomorphism and frequent mitosis. The arrows highlight the regions
with the highest degree of cellular atypia. Immunohistochemically,
the tumor cells were focal positive for (C) keratin AE1/3 and (D)
p63, suggesting an epithelial origin.

Figure 2.

Histological and positive immunohistochemical findings of the anterior mediastinal tumor. (A) Low power view reveals that the tumor is surrounded by a fibrous capsule but shows focal invasion to the fat tissue beyond the capsule. (B) High power view demonstrates that the tumor with necrosis was composed of epithelial cells showing marked pleomorphism and frequent mitosis. The arrows highlight the regions with the highest degree of cellular atypia. Immunohistochemically, the tumor cells were focal positive for (C) keratin AE1/3 and (D) p63, suggesting an epithelial origin.

The following primary antibodies were applied at 36°C for 32–40 min: cytokeratin (cat. no. NCL-L; clone AE1/AE3, Leica, 1:100), p63 (cat. no. NCL-L; clone 7-Jul, Leica, 1:20), c-kit (cat. no. NCL-L-CD117-32; clone EP10, Leica, 1:20), CD5 (cat. no. NCL-L-CD5-4C7; clone 4C7, Leica, 1:200), TTF-1 (cat. no. CMQ 343M-96-RUO; clone 8G7G3/1, Cell Marque, 1:100), CEA (cat. no. 413121; clone COL-1; Nichirei, 1:100), and MART-1 (cat. no. 413381; clone M2-7C10, Nichirei, 1:10). Visualization was achieved using the Ultra View Universal DAB Detection Kit (Roche Diagnostics).

Microscopic evaluation was performed with a BX53 optical light microscope (Olympus Corporation), and two pathologists independently assessed the staining results. Immunostaining revealed partial positivity for keratin AE1/3 and P-63 (Fig. 2C and D), but negativity for C-kit and CD5 (Fig. 3A and B), suggesting a poorly differentiated thymic SCC or undifferentiated carcinoma, differing from typical thymic SCC. Additionally, negativity for thyroid transcription factor 1, CEA and melanoma antigen recognized by T cells (Fig. 3C-E) ruled out metastatic tumors originating from the lung adenocarcinoma or amelanotic melanoma. The pulmonary tumor measured 20×15 mm in size and histologically resembled a mediastinal lesion with multiple venous infiltrations. No metastasis to the mediastinal or hilar lymph nodes was observed; however, there was a suspected high potential for hematogenous metastasis. Based on the aforementioned findings, the tumor was diagnosed as a poorly differentiated thymic SCC/undifferentiated carcinoma with pulmonary metastasis and stage IVb disease (Masaoka classification) (17).

Negative immunohistochemical findings
of the anterior mediastinal tumor. Tumor cells were negative for
(A) CD5, (B) C-kit, (C) TTF-1, (D) CEA and (E) MART-1. TTF-1,
thyroid transcription factor-1; CEA, carcinoembryonic antigen;
MART-1, melanoma antigen recognized by T cells.

Figure 3.

Negative immunohistochemical findings of the anterior mediastinal tumor. Tumor cells were negative for (A) CD5, (B) C-kit, (C) TTF-1, (D) CEA and (E) MART-1. TTF-1, thyroid transcription factor-1; CEA, carcinoembryonic antigen; MART-1, melanoma antigen recognized by T cells.

Adjuvant therapy with carboplatin and paclitaxel was administered intravenously on postoperative days 84 and 121. The regimen consisted of carboplatin (300 mg/body kg) and paclitaxel (290 mg/body kg). Although the standard interval between cycles is 3 weeks, the second cycle was delayed, resulting in a 37-day interval. However, due to the advanced age of the patient, severe bone marrow suppression and anorexia, chemotherapy was discontinued after the second cycle. A follow-up contrast CT scan 8 months after surgery revealed local recurrence of TC in the anterior mediastinum and multiple pulmonary metastases (Fig. 4A) with pleural dissemination and right hilar lymph node metastases. However, the patient could not tolerate further chemotherapy.

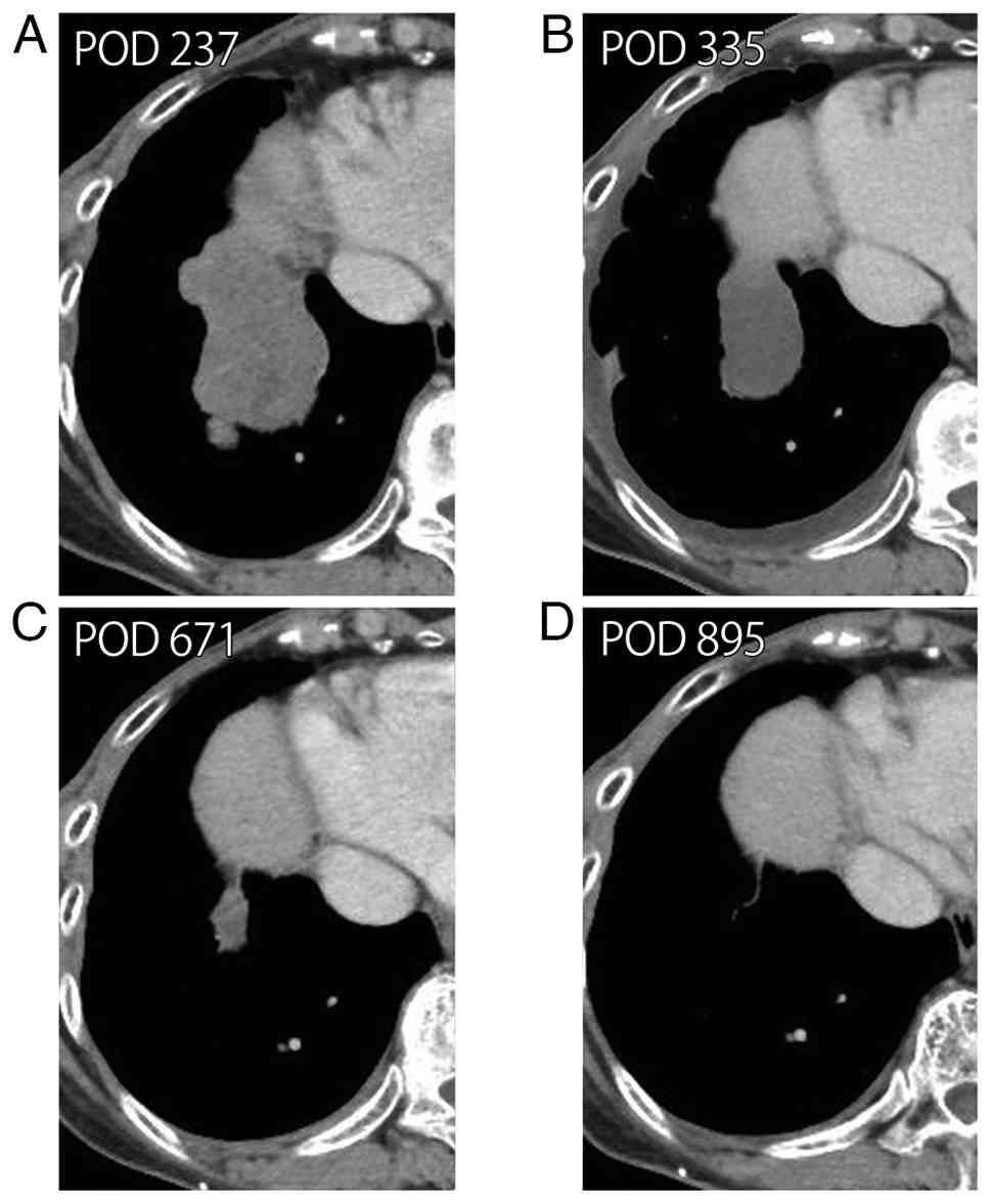
Effect of immune checkpoint inhibitors
on recurrent lesions. Serial CT images demonstrate gradual
shrinkage and complete disappearance of the largest pulmonary
lesion over the course of 20 doses of pembrolizumab. (A) POD 237
showing the recurrent pulmonary lesion. (B) POD 335 showing the
lesion after 4 doses of pembrolizumab. (C) POD 671 showing the
lesion after 16 doses. (D) POD 895 showing the complete
disappearance of the lesion. POD, postoperative day.

Figure 4.

Effect of immune checkpoint inhibitors on recurrent lesions. Serial CT images demonstrate gradual shrinkage and complete disappearance of the largest pulmonary lesion over the course of 20 doses of pembrolizumab. (A) POD 237 showing the recurrent pulmonary lesion. (B) POD 335 showing the lesion after 4 doses of pembrolizumab. (C) POD 671 showing the lesion after 16 doses. (D) POD 895 showing the complete disappearance of the lesion. POD, postoperative day.

MSI testing was performed on the formalin-fixed, paraffin-embedded tumor tissue using an MSI testing kit (FALCO HOLDINGS Co., Ltd.), and the tissue was classified as MSI-H. Additional biomarkers, including PD-L1 expression and tumor mutation burden (TMB), were not assessed. In Japan, ICIs are not approved for TC as a standalone indication, and PD-L1 testing is not routinely performed in such a setting (3,18). Furthermore, at the time of treatment initiation, tissue-agnostic approval for TMB-high tumor was not yet available, and comprehensive genomic profiling was not available.

Pembrolizumab (200 mg/dose) was initiated 9 months after surgery and administered intravenously every 3 weeks for total of 21 cycles over 1 year and 9 months, without any immune-related adverse events. A timeline of the tumor response and pembrolizumab monotherapy is presented in Fig. 5. Subsequently, at 1.5 years after the initiation of pembrolizumab treatment, chest CT revealed that the recurrent lesions, including those in the anterior mediastinum, multiple pulmonary metastases, pleural dissemination and right hilar lymph node metastases, had almost completely disappeared (Fig. 4B-D). A total of 4 years and 9 months after the initial surgery, the patient is alive without recurrence.

Timeline of ICI therapy and tumor
response with corresponding CT findings. ICI, immune checkpoint
inhibiter; CT, computed tomography.

Figure 5.

Timeline of ICI therapy and tumor response with corresponding CT findings. ICI, immune checkpoint inhibiter; CT, computed tomography.

Discussion

TC is an extremely rare tumor with an incidence of 0.07–0.38% per 100,000 individuals (4). Complete surgical resection is essential for achieving good outcomes; however, TC is highly malignant, and ~68% of patients develop progressive disease with lymph node or distant metastases (5).

Systemic therapy for unresectable progressive or recurrent TC has limited clinical data. Currently, the key drug is a platinum agent and combination therapy (6). Lenvatinib, a multi-kinase inhibiter, has also shown promising activity in this setting (7). Nevertheless, in clinical practice, there are few effective treatment options after second-line treatment, compared with that in non-small cell lung cancer. In the present case, the identification of MSI-H status provided a rationale for immune checkpoint inhibition, which led to a complete response.

ICI therapy has expanded in the field of thoracic surgery to include adjuvant therapy after lung cancer surgery and for lung cancer recurrence, with PD-L1 expression and its associated therapeutic effects gaining attention. In advanced TC with a history of initial chemotherapy and no autoimmune disease, the PD-L1 positivity rate is relatively high at 54–75%. The overall response rate (ORR) of pembrolizumab has been reported to be ~20%, with a median progression free survival of 4.2–6.1 months. An association has also been reported between PD-L1 expression and therapeutic effect (9,10). However, due to insufficient data, ICI therapy for TC is not covered by insurance in Japan (3,18).

The incidence of unresectable or metastatic MSI-H solid cancers varies according to cancer type, with endometrial cancer being the most common (16.85%), followed by small intestinal (8.63%), gastric (6.74%), duodenal (5.60%) and colon/rectal (3.78%) cancer (8). In a phase II trial of pembrolizumab (anti-programmed cell death protein 1 antibody) therapy for MSI-H advanced solid cancers that were resistant or intolerant to standard therapy, the ORR was ~37% and median overall survival was 13.4 months, demonstrating a certain level of efficacy regardless of solid cancer type (9). Therefore, MSI testing is expected to serve as a companion test for predicting the efficacy of ICI therapy against solid tumors. In Japan, it is currently approved exclusively used in solid tumors, particularly solid cancer (19).

The incidence of unresectable or metastatic MSI-H solid cancers in thoracic surgery is extremely low (1.1% for non-small cell lung cancer and 0.67% for TC) (20,21).

In the present case, MSI testing was performed due to the lack of alternative treatment options, and tumor was confirmed to be MSI-H. MSI-H TCs can be associated with Lynch syndrome (12,13), and although the finding of MSI-H in the present case suggested the possibility of Lynch syndrome, the family history of the patient, summarized in Fig. 6, did not meet the revised Bethesda or modified Amsterdam criteria (22,23). Although comprehensive genomic profiling was not available, germline testing for mismatch repair gene mutations was separately recommended to confirm the diagnosis; however, the patient declined this genetic testing. As a result, a definitive diagnosis of Lynch syndrome could not be established in the present case.

Pedigree chart of the proband with
microsatellite instability-high thymic carcinoma. No family history
of Lynch syndrome associated tumor was identified.

Figure 6.

Pedigree chart of the proband with microsatellite instability-high thymic carcinoma. No family history of Lynch syndrome associated tumor was identified.

Repetto et al (12) reported a case of MSI-H TC associated with Lynch syndrome; however, the present case has several notable distinctions in the clinical course, disease setting and treatment response. Whilst both reported involved MSI-H status and post-platinum chemotherapy settings, the patient in the present case experienced postoperative recurrence and was treated pembrolizumab monotherapy, resulting in a complete and durable response, maintained over an extended period. By contrast, Repetto et al reported a case involving unresectable progressive disease, which was treated with avelumab plus axitinib combination therapy, achieving a partial response that persisted for >15 months. Notably, this combination therapy was administered within the context of an exploratory phase II trial and is not considered a standard treatment. However, the most decisive difference lies in the treatment outcome; the patient in the present case achieved complete remission, whereas the Repetto et al reported only partial response. These findings underscore the heterogeneity of ICI responsiveness in MSH-H TC and highlight the importance of individualized therapeutic strategies based on disease context and molecular profile.

Furthermore, the patient in the present case had no history of autoimmune disease that would have increased the risk of immune-related adverse events from immunotherapy; this was a key factor in the decision to administer ICI treatment. Pembrolizumab was administered for 1 year and 9 months (a total of 21 times). The treatment was highly effective, with the lesions almost disappearing, and complete remission achieved.

Unlike that of PD-L1 expression, the incidence of MSI-H in TC is extremely low. Recently, the first case report, to the best of our knowledge, on thymoma presenting with MSI-H and demonstrating the efficacy of ICIs was published (24); however, the present case differs in several key aspects from this previously reported case: Firstly, thymoma and TC are distinct entities with differences in malignancy and therapeutic approaches. Whilst ICIs are unsuitable for thymoma due to a high risk of autoimmune complications, they can be administered for TC with careful management (9,25). Secondly, the present case underscores the indication of pembrolizumab for MSI-H cancers in Japanese regulatory guidelines. Unlike prior reports that included thymoma as a potential candidate (10,25), the present report proposes that thymoma may be biologically distinct from other MSI-H cancers, necessitating further research. Lastly, the treatment outcomes differ, as the patient in the present case achieved a complete response with a prolonged ICI regimen, in comparison with the partial response and shorter regimen reported in the thymoma case. These key differences are summarized in Table I.

Table I.

Comparison of the features of a case of microsatellite instability-high thymoma and the present case of MSI-H thymic carcinoma case, both involving pembrolizumab monotherapy.

Table I.

Comparison of the features of a case of microsatellite instability-high thymoma and the present case of MSI-H thymic carcinoma case, both involving pembrolizumab monotherapy.

FeatureKaneko et al, 2024 (24)Present case
DiagnosisMSI-H thymomaMSI-H thymic carcinoma
Tumor classificationLow-grade thymic epithelial tumorHigh-grade thymic epithelial tumor
Risk of irAEsHighLow, but required careful monitoring
ICI suitabilityGenerally unsuitable due to risk of irAEsSuitable with careful management and monitoring in the absent of auto-immune disease
Predictive value oLimited: MSI-H status alone did notFavorable: MSI-H status supported
MSI-H statusjustify pembrolizumab usepembrolizumab initiation
Reported ICI outcomesPartial response with short pembrolizumab regimenComplete response with prolonged pembrolizumab regimen
Pembrolizumab indication (Japan)Not approved: Not classified as MSI-H solid cancerApproved: Classified as MSI-H solid cancer

[i] MSI-H, microsatellite instability-high; irAEs, immune-related adverse events; ICI, immune checkpoint inhibitor.

In conclusion, the present case highlights the potential utility of MSI-H status as a predictive biomarker for pembrolizumab therapy in TC. This represents a rare but clinically meaningful entity and underscores the importance of molecular profiling and individualized immunotherapy strategies in rare thoracic malignancies. However, broader molecular profiling and further multicenter or prospective studies are warranted to validate the clinical significance of MSH-H status and therapeutic implications of pembrolizumab in this context.

Acknowledgements

The authors would like to thank Dr Takuma Tajiri (Department of Pathology, Tokai University Hachioji Hospital; Hachioji, Japan) for guidance on the histopathological interpretation of this case.

Funding

Funding: No funding was received.

Availability of data and materials

The data generated in the present study may be requested from the corresponding author.

Authors' contributions

TN contributed substantially to the conception of the study and processing of the figures. TN and NA performed surgery. HW performed the literature review, wrote the manuscript, and managed postoperative chemotherapy. SY contributed to to the study design, the literature search for related studies, and wrote the manuscript. RM and MI analyzed and interpreted data, advised on patient treatment, confirm the authenticity of all the raw data, and revised the manuscript. All authors read and approved the final manuscript.

Ethics approval and consent to participate.

The present report was approved by the Ethics Committee of Tokai University School of Medicine (approval no. 24J006).

Patient content for publication

Written informed consent was obtained from the patient for the publication of the presents case report and the accompanying images.

Competing interests

The authors declare that they have no competing interests.

References

1 

Lorenzi M, Amonkar M, Zhang J, Mehta S and Liaw KL: Epidemiology of microsatellite instability-high (MSI-H) and deficient mismatch repair (dMMR) in solid tumors: A structured literature review. J Oncol. 2020:18079292020. View Article : Google Scholar

2 

Marabelle A, Le DT, Ascierto PA, Di Giacomo AM, De Jesus-Acosta A, Delord JP, Geva R, Gottfried M, Penel N, Hansen AR, et al: Efficacy of pembrolizumab in patients with noncolorectal high microsatellite instability/mismatch repair-deficient cancer: Results from the phase II KEYNOTE-158 study. J Clin Oncol. 38:1–10. 2020. View Article : Google Scholar : PubMed/NCBI

3 

Okuma Y: Prospects for thymic carcinoma treatment. Haigan. 64:821–827. 2024. View Article : Google Scholar

4 

Koizumi T, Otsuki K, Tanaka Y, Noguchi T, Fukushuima T, Kobayashi T, Takesumi O, Sekiguchi N and Hamanaka K: National incidence and initial therapy for thymic carcinoma in Japan: Based on analysis of hospital-based cancer registry data, 2009–2015. Jpn J Clin Oncol. 50:434–439. 2020. View Article : Google Scholar : PubMed/NCBI

5 

Bakhos CT, Salami AC, Kaiser LR, Petrov RV and Abbas AE: Thymic neuroendocrine tumors and thymic carcinoma: Demographics, treatment, and survival. Innovations (Phila). 15:468–474. 2020. View Article : Google Scholar : PubMed/NCBI

6 

Hirai F, Yamanaka T, Taguchi K, Daga H, Ono A, Tanaka K, Kogure Y, Shimizu J, Kimura T, Fukuoka J, et al: A multicenter phase II study of carboplatin and paclitaxel for advanced thymic carcinoma: WJOG4207L. Ann Oncol. 26:363–368. 2015. View Article : Google Scholar : PubMed/NCBI

7 

Sato J, Satouchi M, Itoh S, Okuma Y, Niho S, Mizugaki H, Murakami H, Fujisaka Y, Kozuki T, Nakamura K, et al: Lenvatinib in patients with advanced or metastatic thymic carcinoma (REMORA): A multicentre, phase 2 trial. Lancer Oncol. 21:843–850. 2020. View Article : Google Scholar

8 

Cho J, Kim HS, Ku BM, Choi YL, Cristescu R, Han J, Sun JM, Lee SH, Ahn JS, Park K and Ahn MJ: Pembrolizumab for patients with refractory or relapsed thymic epithelial Tumor: An open-label phase II trial. J Clin Oncol. 37:2162–2170. 2019. View Article : Google Scholar : PubMed/NCBI

9 

Giaccone G, Kim C, Thompson J, McGuire C, Kallakury B, Chahine JJ, Maning M, Mogg R, Blumenschein WM, Tan MT, et al: Pembrolizumab in patients with thymic carcinoma: A single-arm, single-centre, phase 2 study. Lancet Oncol. 19:347–355. 2018. View Article : Google Scholar : PubMed/NCBI

10 

Yokoyama S and Miyoshi T: Thymic tumors and immune checkpoint inhibutors. J Thorac Dis. 10:S1509–S1515. 2018. View Article : Google Scholar : PubMed/NCBI

11 

Akagi K, Oki E, Taniguchi H, Nakatani K, Aoki D, Kuawata T and Yoahino T: Real-world data on microsatellite instability status in various unresectable or metastatic solid tumors. Cancer Sci. 112:1105–1113. 2021. View Article : Google Scholar : PubMed/NCBI

12 

Repetto M, Conforti F, Pirola S, Calvello M, Pala L, Bonanni B, Catania C, Curigliano G and De Pas T: Thymic carcinoma with Lynch syndrome or microsatellite instability, a rare entity responsive to immunotherapy. Eur J Cancer. 153:162–167. 2021. View Article : Google Scholar : PubMed/NCBI

13 

Watanabe M, Tanakaya K, Furukawa S, Shiotani T, Sato Y, Taniguchi F, Kanaya N, Aoki H, Sugano K, Ishida H, et al: Two cases of thymic cancer in patients with Lynch syndrome. Intern Med. 62:649–653. 2023. View Article : Google Scholar : PubMed/NCBI

14 

Yanagihara T, Kawamura T, Maki N, Kobayashi N, Kikuchi S, Goto Y, Ichimura H and Sato Y: Practical methods to differentiate thymic malignancies. Surg Today. 54:899–906. 2024. View Article : Google Scholar : PubMed/NCBI

15 

Igai H, Matsuura N, Tarumi S, Chang SS, Misaki N, Go T, Ishikawa S and Yokomise H: Usefulness of [18F]fluoro-2-deoxy-D-glucose positron emission tomography for predicting the World Health Organization malignancy grade of thymic epithelial tumors. Eur J Cardiothorac Surg. 40:143–145. 2011. View Article : Google Scholar : PubMed/NCBI

16 

Brierley JD, Gospodarowicz MK and Wittekind C: TNM classification of malignant tumours. 8th edition. Wiley-Blackwell; Oxford: pp. 114–124. 2017

17 

Masaoka A, Monden Y, Nakahara K and Tanioka T: Follow-up study of thymomas with special reference to their clinical stages. Cancer. 48:2485–2492. 1981. View Article : Google Scholar : PubMed/NCBI

18 

Pharmaceuticals and Medical Devices Agency, . KEYTRUDA® Intravenous Infusion 100 mg: Package Insert. Version 25. https://www.pmda.go.jp/PmdaSearch/bookSearch/01/14987185809730Accessed (In Japanese). September 20–2025

19 

Pharmaceutical Evaluation Division, Pharmaceutical Safety, Environmental Health and Bureau, Ministry of Health and Labour Welfare, . Report on the Deliberation Results: Keytruda (pembrolizumab). https://www.pmda.go.jp/files/000231921.pdfMarch 8–2025

20 

Hellmann MD, Nathanson T, Rizvi H, Creelan BC, Sanchez-Vega F, Ahuja A, Ni A, Novik JB, Mangarin LMB, Abu-Akeel M, et al: Genomic features of response to combination immunotherapy in patients with advanced non-small-cell lung cancer. Cancer Cell. 33:843–852.e4. 2018. View Article : Google Scholar : PubMed/NCBI

21 

Vanderwalde A, Spetzler D, Xiao N, Gatalica Z and Marshall J: Microsatellite instability status determined by next-generation sequencing and compared with PD-L1 and tumor mutational burden in 11,348 patients. Cancer Med. 7:746–756. 2018. View Article : Google Scholar : PubMed/NCBI

22 

Umar A, Boland CR, Terdiman JP, Syngal S, de la Chapelle A, Rüschoff J, Fishel R, Lindor NM, Burgart LJ, Hamelin R, et al: Revised Bethesda Guidelines for hereditary nonpolyposis colorectal cancer (Lynch syndrome) and microsatellite instability. J Natl Cancer Inst. 96:261–268. 2004. View Article : Google Scholar : PubMed/NCBI

23 

Vasen HF, Watson P, Mecklin JP and Lynch HT: New clinical criteria for hereditary nonpolyposis colorectal cancer (HNPCC, Lynch syndrome) proposed by the international collaborative group on HNPCC. Gastroenterology. 116:1453–1456. 1999. View Article : Google Scholar : PubMed/NCBI

24 

Kaneko T, Sekine A, Komatsu S, Otoshi R, Haga S, Tagami Y, Kaneko T and Ogura T: Successful pembrolizumab treatment for microsatellite instability-high thymoma: A case report. Respir Investig. 62:517–519. 2024. View Article : Google Scholar : PubMed/NCBI

25 

de Camargo Correia GC, Tawfiq R, Lou Y, Zhao Y, Li S, Ernani V, Parikh K and Manochakian R: Immune checkpoint inhibitors (ICI) in thymic epithelial tumors (TET): A real world assessment of efficacy and toxicity. J Clin Oncol. 43 (Suppl 16):e201412025.

Related Articles

  • Abstract
  • View
  • Download
  • Twitter
Copy and paste a formatted citation
Spandidos Publications style
Nakagawa T, Aruga N, Watanabe H, Masuda R, Yamada S and Iwazaki M: <p>Recurrent microsatellite instability‑high thymic carcinoma showing complete response to immune checkpoint inhibitor: A case report</p>. Oncol Lett 31: 121, 2026.
APA
Nakagawa, T., Aruga, N., Watanabe, H., Masuda, R., Yamada, S., & Iwazaki, M. (2026). <p>Recurrent microsatellite instability‑high thymic carcinoma showing complete response to immune checkpoint inhibitor: A case report</p>. Oncology Letters, 31, 121. https://doi.org/10.3892/ol.2026.15474
MLA
Nakagawa, T., Aruga, N., Watanabe, H., Masuda, R., Yamada, S., Iwazaki, M."<p>Recurrent microsatellite instability‑high thymic carcinoma showing complete response to immune checkpoint inhibitor: A case report</p>". Oncology Letters 31.4 (2026): 121.
Chicago
Nakagawa, T., Aruga, N., Watanabe, H., Masuda, R., Yamada, S., Iwazaki, M."<p>Recurrent microsatellite instability‑high thymic carcinoma showing complete response to immune checkpoint inhibitor: A case report</p>". Oncology Letters 31, no. 4 (2026): 121. https://doi.org/10.3892/ol.2026.15474
Copy and paste a formatted citation
x
Spandidos Publications style
Nakagawa T, Aruga N, Watanabe H, Masuda R, Yamada S and Iwazaki M: <p>Recurrent microsatellite instability‑high thymic carcinoma showing complete response to immune checkpoint inhibitor: A case report</p>. Oncol Lett 31: 121, 2026.
APA
Nakagawa, T., Aruga, N., Watanabe, H., Masuda, R., Yamada, S., & Iwazaki, M. (2026). <p>Recurrent microsatellite instability‑high thymic carcinoma showing complete response to immune checkpoint inhibitor: A case report</p>. Oncology Letters, 31, 121. https://doi.org/10.3892/ol.2026.15474
MLA
Nakagawa, T., Aruga, N., Watanabe, H., Masuda, R., Yamada, S., Iwazaki, M."<p>Recurrent microsatellite instability‑high thymic carcinoma showing complete response to immune checkpoint inhibitor: A case report</p>". Oncology Letters 31.4 (2026): 121.
Chicago
Nakagawa, T., Aruga, N., Watanabe, H., Masuda, R., Yamada, S., Iwazaki, M."<p>Recurrent microsatellite instability‑high thymic carcinoma showing complete response to immune checkpoint inhibitor: A case report</p>". Oncology Letters 31, no. 4 (2026): 121. https://doi.org/10.3892/ol.2026.15474
Follow us
  • Twitter
  • LinkedIn
  • Facebook
About
  • Spandidos Publications
  • Careers
  • Cookie Policy
  • Privacy Policy
How can we help?
  • Help
  • Live Chat
  • Contact
  • Email to our Support Team