Spandidos Publications Logo
  • About
    • About Spandidos
    • Aims and Scopes
    • Abstracting and Indexing
    • Editorial Policies
    • Reprints and Permissions
    • Job Opportunities
    • Terms and Conditions
    • Contact
  • Journals
    • All Journals
    • Oncology Letters
      • Oncology Letters
      • Information for Authors
      • Editorial Policies
      • Editorial Board
      • Aims and Scope
      • Abstracting and Indexing
      • Bibliographic Information
      • Archive
    • International Journal of Oncology
      • International Journal of Oncology
      • Information for Authors
      • Editorial Policies
      • Editorial Board
      • Aims and Scope
      • Abstracting and Indexing
      • Bibliographic Information
      • Archive
    • Molecular and Clinical Oncology
      • Molecular and Clinical Oncology
      • Information for Authors
      • Editorial Policies
      • Editorial Board
      • Aims and Scope
      • Abstracting and Indexing
      • Bibliographic Information
      • Archive
    • Experimental and Therapeutic Medicine
      • Experimental and Therapeutic Medicine
      • Information for Authors
      • Editorial Policies
      • Editorial Board
      • Aims and Scope
      • Abstracting and Indexing
      • Bibliographic Information
      • Archive
    • International Journal of Molecular Medicine
      • International Journal of Molecular Medicine
      • Information for Authors
      • Editorial Policies
      • Editorial Board
      • Aims and Scope
      • Abstracting and Indexing
      • Bibliographic Information
      • Archive
    • Biomedical Reports
      • Biomedical Reports
      • Information for Authors
      • Editorial Policies
      • Editorial Board
      • Aims and Scope
      • Abstracting and Indexing
      • Bibliographic Information
      • Archive
    • Oncology Reports
      • Oncology Reports
      • Information for Authors
      • Editorial Policies
      • Editorial Board
      • Aims and Scope
      • Abstracting and Indexing
      • Bibliographic Information
      • Archive
    • Molecular Medicine Reports
      • Molecular Medicine Reports
      • Information for Authors
      • Editorial Policies
      • Editorial Board
      • Aims and Scope
      • Abstracting and Indexing
      • Bibliographic Information
      • Archive
    • World Academy of Sciences Journal
      • World Academy of Sciences Journal
      • Information for Authors
      • Editorial Policies
      • Editorial Board
      • Aims and Scope
      • Abstracting and Indexing
      • Bibliographic Information
      • Archive
    • International Journal of Functional Nutrition
      • International Journal of Functional Nutrition
      • Information for Authors
      • Editorial Policies
      • Editorial Board
      • Aims and Scope
      • Abstracting and Indexing
      • Bibliographic Information
      • Archive
    • International Journal of Epigenetics
      • International Journal of Epigenetics
      • Information for Authors
      • Editorial Policies
      • Editorial Board
      • Aims and Scope
      • Abstracting and Indexing
      • Bibliographic Information
      • Archive
    • Medicine International
      • Medicine International
      • Information for Authors
      • Editorial Policies
      • Editorial Board
      • Aims and Scope
      • Abstracting and Indexing
      • Bibliographic Information
      • Archive
  • Articles
  • Information
    • Information for Authors
    • Information for Reviewers
    • Information for Librarians
    • Information for Advertisers
    • Conferences
  • Language Editing
Spandidos Publications Logo
  • About
    • About Spandidos
    • Aims and Scopes
    • Abstracting and Indexing
    • Editorial Policies
    • Reprints and Permissions
    • Job Opportunities
    • Terms and Conditions
    • Contact
  • Journals
    • All Journals
    • Biomedical Reports
      • Information for Authors
      • Editorial Policies
      • Editorial Board
      • Aims and Scope
      • Abstracting and Indexing
      • Bibliographic Information
      • Archive
    • Experimental and Therapeutic Medicine
      • Information for Authors
      • Editorial Policies
      • Editorial Board
      • Aims and Scope
      • Abstracting and Indexing
      • Bibliographic Information
      • Archive
    • International Journal of Epigenetics
      • Information for Authors
      • Editorial Policies
      • Editorial Board
      • Aims and Scope
      • Abstracting and Indexing
      • Bibliographic Information
      • Archive
    • International Journal of Functional Nutrition
      • Information for Authors
      • Editorial Policies
      • Editorial Board
      • Aims and Scope
      • Abstracting and Indexing
      • Bibliographic Information
      • Archive
    • International Journal of Molecular Medicine
      • Information for Authors
      • Editorial Policies
      • Editorial Board
      • Aims and Scope
      • Abstracting and Indexing
      • Bibliographic Information
      • Archive
    • International Journal of Oncology
      • Information for Authors
      • Editorial Policies
      • Editorial Board
      • Aims and Scope
      • Abstracting and Indexing
      • Bibliographic Information
      • Archive
    • Medicine International
      • Information for Authors
      • Editorial Policies
      • Editorial Board
      • Aims and Scope
      • Abstracting and Indexing
      • Bibliographic Information
      • Archive
    • Molecular and Clinical Oncology
      • Information for Authors
      • Editorial Policies
      • Editorial Board
      • Aims and Scope
      • Abstracting and Indexing
      • Bibliographic Information
      • Archive
    • Molecular Medicine Reports
      • Information for Authors
      • Editorial Policies
      • Editorial Board
      • Aims and Scope
      • Abstracting and Indexing
      • Bibliographic Information
      • Archive
    • Oncology Letters
      • Information for Authors
      • Editorial Policies
      • Editorial Board
      • Aims and Scope
      • Abstracting and Indexing
      • Bibliographic Information
      • Archive
    • Oncology Reports
      • Information for Authors
      • Editorial Policies
      • Editorial Board
      • Aims and Scope
      • Abstracting and Indexing
      • Bibliographic Information
      • Archive
    • World Academy of Sciences Journal
      • Information for Authors
      • Editorial Policies
      • Editorial Board
      • Aims and Scope
      • Abstracting and Indexing
      • Bibliographic Information
      • Archive
  • Articles
  • Information
    • For Authors
    • For Reviewers
    • For Librarians
    • For Advertisers
    • Conferences
  • Language Editing
Login Register Submit
  • This site uses cookies
  • You can change your cookie settings at any time by following the instructions in our Cookie Policy. To find out more, you may read our Privacy Policy.

    I agree
Search articles by DOI, keyword, author or affiliation
Search
Advanced Search
presentation
Oncology Letters
Join Editorial Board Propose a Special Issue
Print ISSN: 1792-1074 Online ISSN: 1792-1082
Journal Cover
April-2026 Volume 31 Issue 4

Full Size Image

Sign up for eToc alerts
Recommend to Library

Journals

International Journal of Molecular Medicine

International Journal of Molecular Medicine

International Journal of Molecular Medicine is an international journal devoted to molecular mechanisms of human disease.

International Journal of Oncology

International Journal of Oncology

International Journal of Oncology is an international journal devoted to oncology research and cancer treatment.

Molecular Medicine Reports

Molecular Medicine Reports

Covers molecular medicine topics such as pharmacology, pathology, genetics, neuroscience, infectious diseases, molecular cardiology, and molecular surgery.

Oncology Reports

Oncology Reports

Oncology Reports is an international journal devoted to fundamental and applied research in Oncology.

Experimental and Therapeutic Medicine

Experimental and Therapeutic Medicine

Experimental and Therapeutic Medicine is an international journal devoted to laboratory and clinical medicine.

Oncology Letters

Oncology Letters

Oncology Letters is an international journal devoted to Experimental and Clinical Oncology.

Biomedical Reports

Biomedical Reports

Explores a wide range of biological and medical fields, including pharmacology, genetics, microbiology, neuroscience, and molecular cardiology.

Molecular and Clinical Oncology

Molecular and Clinical Oncology

International journal addressing all aspects of oncology research, from tumorigenesis and oncogenes to chemotherapy and metastasis.

World Academy of Sciences Journal

World Academy of Sciences Journal

Multidisciplinary open-access journal spanning biochemistry, genetics, neuroscience, environmental health, and synthetic biology.

International Journal of Functional Nutrition

International Journal of Functional Nutrition

Open-access journal combining biochemistry, pharmacology, immunology, and genetics to advance health through functional nutrition.

International Journal of Epigenetics

International Journal of Epigenetics

Publishes open-access research on using epigenetics to advance understanding and treatment of human disease.

Medicine International

Medicine International

An International Open Access Journal Devoted to General Medicine.

Journal Cover
April-2026 Volume 31 Issue 4

Full Size Image

Sign up for eToc alerts
Recommend to Library

  • Article
  • Citations
    • Cite This Article
    • Download Citation
    • Create Citation Alert
    • Remove Citation Alert
    • Cited By
  • Similar Articles
    • Related Articles (in Spandidos Publications)
    • Similar Articles (Google Scholar)
    • Similar Articles (PubMed)
  • Download PDF
  • Download XML
  • View XML

  • Supplementary Files
    • Supplementary_Data.pdf
Case Report Open Access

Metastatic breast cancer in primary lung cancer with compound EGFR mutations: A case report

  • Authors:
    • Tianyao Yang
    • Yifan Xu
    • Xi Lin
    • Guodong Chen
    • Fangfang Wang
  • View Affiliations / Copyright

    Affiliations: Department of Breast Surgery, The People's Hospital of Tiantai County, Taizhou, Zhejiang 317200, P.R. China, School of Medicine, Wenzhou Medical University, Wenzhou, Zhejiang 325035, P.R. China
    Copyright: © Yang et al. This is an open access article distributed under the terms of Creative Commons Attribution License.
  • Article Number: 128
    |
    Published online on: February 9, 2026
       https://doi.org/10.3892/ol.2026.15481
  • Expand metrics +
Metrics: Total Views: 0 (Spandidos Publications: | PMC Statistics: )
Metrics: Total PDF Downloads: 0 (Spandidos Publications: | PMC Statistics: )
Cited By (CrossRef): 0 citations Loading Articles...

This article is mentioned in:


Abstract

The epidermal growth factor receptor (EGFR) is the most common driver gene in the development and progression of non‑small cell lung cancer (NSCLC). Mutations in EGFR exons 18‑21 are frequently observed, particularly exon 19 deletions and the exon 21 L858R point mutations. The T790M mutation in EGFR exon 20 was the first resistance mechanism to tyrosine kinase inhibitors (TKIs) identified in EGFR‑mutant NSCLC. The coexistence of an exon 19 deletion and the exon 20 T790M missense mutation in EGFR is relatively rare, with a low incidence. The incidence of breast metastasis from primary lung cancer ranges from 0.5 to 6.0%, making it an infrequent occurrence. The present study reported a patient with primary NSCLC harboring both an EGFR exon 19 deletion and the exon 20 T790M missense mutations, who developed metastatic breast cancer after being progression‑free for 1 month. Following the Chinese Society of Clinical Oncology and National Comprehensive Cancer Network guidelines for lung cancer, the patient was treated with furmonertinib, a third‑generation targeted antitumor therapy. The present case provides notable insights for the diagnosis and treatment of NSCLC with coexisting EGFR exon 19 deletion and exon 20 T790M missense mutation, and a rare clinical example of breast metastasis from lung cancer.

Introduction

Lung cancer is currently one of the most common malignancies in humans, and its incidence and mortality rates ranking among the highest. The common symptoms of lung cancer are cough, dyspnea, pain and weight loss. The main risk factors of lung cancer include smoking, environmental exposure containing carcinogens and chronic obstructive pulmonary disease (1). The epidermal growth factor receptor (EGFR) gene is the most prevalent driver gene in patients with non-small cell lung cancer (NSCLC). Among patients with NSCLC harboring EGFR mutations, common mutations, such as EGFR exon 19 deletion and exon 20 T790M missense mutation, account for 75–80% of all cases. Rare EGFR mutations, which have an incidence rate of ~10%, are defined as mutations other than exon 19 deletions and exon 21 L858R substitutions (2).

Primary NSCLC metastasis to the breast is relatively rare, accounting for <0.5% of cases of NSCLC (3). This type of metastasis typically signifies disease progression and may be associated with drug resistance. The T790M mutation in EGFR exon 20 was the first resistance mechanism to tyrosine kinase inhibitors (TKIs) identified in EGFR-mutant NSCLC (4). Currently, EGFR-TKIs are considered the standard first-line treatment for patients with locally advanced or metastatic NSCLC harboring sensitizing EGFR mutations (5,6). The present case report mainly reports a typical case of rare gene mutation lung cancer that eventually metastasized to breast cancer, providing valuable clinical management experience and treatment ideas.

Case report

In August 2023, a 36-year-old female patient presented to a general physician in The People's Hospital of Tiantai County (Taizhou, China) with a cough and asthma that had persisted for >1 month. A lung CT scan (Fig. 1A) revealed a mass near the hilum of the right lung, suggesting a malignant tumor with partial atelectasis of the right lower lung. A thoracic puncture and drainage were performed. Cytopathology of centrifugal smears from the right pleural effusion and from bronchoalveolar lavage fluid-a diagnostic technique that analyzes fluid retrieved from the alveolar surface-revealed red blood cells, inflammatory cells and heterogeneous cell clusters, findings diagnostic for adenocarcinoma (Fig. 2). Genetic analysis (Data S1) detected an EGFR exon 19 deletion [c.22402254del; p.L747T751del; variant allele frequency (VAF)=8.49%] and an exon 20 T790M mutation (c.2369C>T; p.T790M; VAF=10.53%). Following the Chinese Society of Clinical Oncology and National Comprehensive Cancer Network guidelines for lung cancer (7,8), the patient was treated with furmonertinib (80 mg once daily in the morning), a third-generation targeted antitumor therapy.

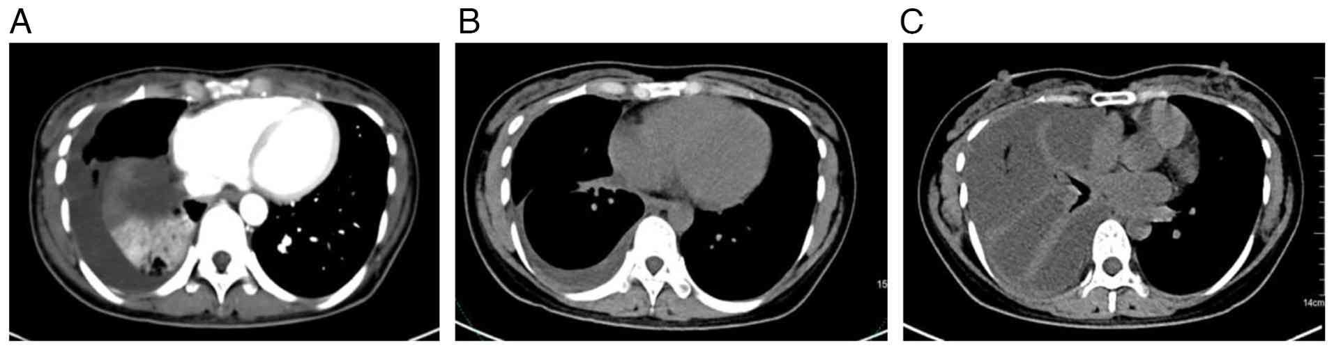
Imaging examination results of the
disease course. (A) Baseline CT (August 2023): Mass shadow at hilum
of lung, atelectasis of lower lobe of right lung, moderate effusion
in right chest cavity. (B) After 8 months CT (April 2024): The mass
shadow near the hilum of the right lung, the focus was markedly
smaller compared with that at baseline. The multiple small nodules
in the right lung were smaller compared with that at baseline and
the inflammation of both lungs was basically absorbed. The right
pleural thickening, pleural effusion, markedly improved compared
with that at baseline. (C) CT at 1 year later (August 2024):
Atelectasis is progressing and there is a lot of effusion in the
right chest. The right lung is not fully inflated and the right
lung is newly inflamed.

Figure 1.

Imaging examination results of the disease course. (A) Baseline CT (August 2023): Mass shadow at hilum of lung, atelectasis of lower lobe of right lung, moderate effusion in right chest cavity. (B) After 8 months CT (April 2024): The mass shadow near the hilum of the right lung, the focus was markedly smaller compared with that at baseline. The multiple small nodules in the right lung were smaller compared with that at baseline and the inflammation of both lungs was basically absorbed. The right pleural thickening, pleural effusion, markedly improved compared with that at baseline. (C) CT at 1 year later (August 2024): Atelectasis is progressing and there is a lot of effusion in the right chest. The right lung is not fully inflated and the right lung is newly inflamed.

Cancer cells were identified in the
smear of pleural effusion alveolar and lavage fluid, which tends to
lung adenocarcinoma. (A) Low (magnification, ×40), (B) medium
(magnification, ×100) and (C) high (magnification, ×400).

Figure 2.

Cancer cells were identified in the smear of pleural effusion alveolar and lavage fluid, which tends to lung adenocarcinoma. (A) Low (magnification, ×40), (B) medium (magnification, ×100) and (C) high (magnification, ×400).

After 8 months of furmonertinib treatment (April 2024), a CT scan of the upper abdomen and pelvic cavity (Fig. 1B) indicated that the mass near the hilum of the right lung was markedly smaller compared with that at baseline, and the enlarged lymph nodes in the mediastinum were no longer detectable. Furthermore, the multiple small nodules in the right lung were reduced in size and the inflammation in both lungs had resolved. There was also notable improvement in the right lung cancer lymphadenitis, right pleural thickening and pleural effusion.

A right breast tumor was incidentally identified 1 month after a CT scan (June 2024). A color Doppler ultrasonography examination revealed a solid mass in the right breast, classified as Breast Imaging Reporting and Data System (BI-RADS) category 4A (Fig. 3A) (9). The right breast tumor was resected under local anesthesia. Based on postoperative pathology, immunohistochemistry (IHC) results and clinical history, the tumor was diagnosed as breast cancer secondary to a primary lung adenocarcinoma. An intravascular tumor thrombus was observed. IHC results (Data S1) demonstrated that the patient was positive for CK7, Ki-67 (~60% +), Napsin A and thyroid transcription factor 1 (TTF-1) and negative for estrogen receptor, progesterone receptor, CK5/6, Sox10, GATA binding protein 3, mammaglobin and HER2 (Fig. 4).

Color Doppler ultrasound results. (A)
June 2024 Breast color Doppler ultrasound: Hypoechoic area of right
breast, with unclear boundary and irregular shape. (B) August 2024
Breast color Doppler ultrasound: Blurred edge, irregular shape,
blood flow signals around.

Figure 3.

Color Doppler ultrasound results. (A) June 2024 Breast color Doppler ultrasound: Hypoechoic area of right breast, with unclear boundary and irregular shape. (B) August 2024 Breast color Doppler ultrasound: Blurred edge, irregular shape, blood flow signals around.

Immunohistochemical results: Positive
for CK7, Ki-67 (~60%+), Napsin A and TTF-1 and negative for ER, PR,
CK5/6, Sox10, GATA3, mammaglobin and HER2 (magnification, ×200).
ER, estrogen receptor; PR, progesterone receptor; GATA3, GATA
binding protein 3; TTF-1, thyroid transcription factor 1.

Figure 4.

Immunohistochemical results: Positive for CK7, Ki-67 (~60%+), Napsin A and TTF-1 and negative for ER, PR, CK5/6, Sox10, GATA3, mammaglobin and HER2 (magnification, ×200). ER, estrogen receptor; PR, progesterone receptor; GATA3, GATA binding protein 3; TTF-1, thyroid transcription factor 1.

Asthma symptoms recurred 1 year after the first onset of illness (August 2024). Thin-layer CT and three-dimensional lung imaging (Fig. 1C) detected progressive atelectasis and a considerable right chest effusion. The right lung was not fully inflated and new inflammation was noted. Pleural fluid smears indicated cancer cells. Genetic analysis of the pleural effusion exhibited an EGFR exon 19 deletion and the exon 20 T790M missense mutation. The patient returned for a follow-up breast examination two months later, in August 2024. A breast color Doppler ultrasonography (August 2024) detected a solid mass of 2.25×1.12 cm in the upper quadrant of the right breast. The mass had blurred edges and was classified as BI-RADS category 5 (Fig. 3B). A physical examination indicated that the mass was hard and had poor mobility. After the patient's first diagnosis, follow-up was conducted every 2–3 months, with the last follow-up in February 2024. No other abnormalities were found during the follow-up. Therefore, based on the patient's medical history, recurrence of metastatic cancer after local resection is considered.

Discussion

The EGFR exon 20 T790M mutation was the first resistance mechanism to TKIs identified in EGFR-mutant NSCLC. In 2005, Kobayashi et al (4) reported a 71-year-old male patient with NSCLC treated with an EGFR-TKI. The patient achieved complete remission after gefitinib treatment but relapsed 2 years later. The researchers examined new biopsy samples and identified that, in addition to the EGFR exon deletion 19, the patient had developed an EGFR exon 20 T790M mutation, a C-T transformation in codon 790 in which threonine is replaced with methionine. Pao et al (10) analyzed samples from six patients with disease progression after EGFR-TKI treatment and detected the exon 20 T790M mutation in three of them. The researchers further compared the drug resistance of tumor cells with both L858R and T790M gene mutations with those with the L858R gene mutation alone. This comparison confirmed that the T790M mutation increased drug resistance by 100-fold. Among the various EGFR mutation types, the most common are in-frame deletions in exon 19 (19 del; ~44%), which encompass mutations such as L747 to E749 and the L858R point mutation in exon 21 (~41%) (11). Notably, tyrosine kinases exhibit reduced affinity to ATP in the presence of EGFR exon 19 del and L858R mutations. However, they have a relatively high affinity to EGFR-TKIs and, therefore, generate an antitumor effect (12). In the present case, the patient had both an EGFR exon 19 deletion and the exon 20 T790M missense mutation at baseline, which meant that both sensitive and drug-resistant mutations were present. A cohort study conducted by Hong et al (13) reported that the coexistence of these mutations negatively affected the efficacy of EGFR-TKIs. Their study enrolled 58 patients with advanced NSCLC and EGFR mutations. The mutation status in the circulating tumor DNA before TKI treatment was detected using next-generation sequencing technology. The associations between coexisting mutations and clinicopathological features, curative effects and survival time were analyzed. Their results demonstrated that the objective remission rate (44 vs. 77%), median progression-free survival (6.20 vs. 18.77 months) and median overall survival (22.70 months vs. not reached) of patients with coexisting mutations were markedly worse compared with those of patients without coexisting mutations. Coexisting mutations remained an independent prognostic predictor after multivariate analysis corrected for EGFR mutation subtypes and clinicopathological features (13).

The rarity and mechanism of breast metastasis secondary to a primary lung tumor have been reported in relevant literature. The incidence of breast metastasis from primary tumors outside the breast is 0.5–6.0% (14). A previous study of 6,668 patients with various malignant tumors, including lung cancer, liver cancer and kidney cancer, reported that the incidence of breast metastasis from solid malignant tumors was 0.76% (15). Of these cases, 16% were metastases from primary lung tumors. Another previous study identified 45 cases of secondary breast malignant tumor (0.56%) among 6,334 patients with breast cancer. The most common primary tumor source was lung cancer (33.3%) (16). The metastasis of cancer cells from the lungs to the breast can occur through the blood and lymph pathways (17). Huang et al (18) analyzed the path of lung cancer metastasis to the breast through the lymphatic system. They proposed that lung cancer cells spread onto the pleura, transferred to the axillary lymph nodes through the lymphatic system and then retrogradely transferred to the ipsilateral breast through the lymphatic vessels. Based on this hypothesis, patients may exhibit ipsilateral pleural thickening with pleural effusion, breast metastasis and axillary lymph node enlargement. This hypothesis was consistent with the characteristics of the present case. Ding et al (19) analyzed a case of lung cancer with contralateral breast metastasis. In such cases, tumor cells may have entered the lymphatic circulation or, through a vein, into the systemic circulation, delivering the tumor cells through the thoracic duct or blood circulation to the contralateral breast.

Regarding the differentiation between primary and secondary breast tumors, primary breast cancer often has fibrous connective tissue hyperplasia in the tumor area, while metastatic lesions lack this proliferative reaction. As a result, their size recorded during clinical examination is often similar to that observed in breast radiographs or ultrasonography (20). Metastatic tumors are more likely to occur in superficial positions than primary breast lesions and often do not cause clinical manifestations such as skin depression, possibly because metastatic tumors are often located outside the ductal system (21). These tumors often manifest as a palpable, painless, rapidly-growth mass with a clear boundary, mostly in the upper outer quadrant (22).

Radiologically, secondary breast metastasis lacks the structural distortion, burr and microcalcification observed in primary breast tumors. It also lacks the smooth outline of benign masses (for example, fibroadenoma or cyst) (23). The absence of carcinoma in situ is another characteristic of metastatic lesions (24). Histologically, almost all neuroendocrine tumors that have metastasized to the breast are strongly and diffusely positive for the neuroendocrine markers synaptophysin and chromaffin (25). Neuroendocrine metastases to the breast are often positive for TTF-1, while primary breast cancer is negative for TTF-1 (26). However, certain studies have reported TTF-1+ primary breast cancer. For example, previous studies summarizing the expression of TTF-1 in breast metastases of primary lung cancer identified 22 positive and four negative cases (27,28). These findings demonstrated that TTF-1 is a notable biomarker of lung cancer metastasis to the breast. In previous studies, increasing evidence has demonstrated that even metastatic carcinomas derived from the same primary tumor may exhibit divergent immunohistochemical profiles, largely attributable to tissue heterogeneity and potential alterations in receptor expression during metastatic progression (29–31). In the present case, the positivity for TTF-1 and Napsin A, both highly specific markers of pulmonary origin, along with the absence of breast-specific markers, markedly supports a lung origin for the breast lesions (32). Therefore, TTF-1 immunoreactivity should not be ignored in the pathological examination of breast lesions from patients with a known history of lung cancer.

In conclusion, although breast metastasis of lung cancer is rare, accurate diagnosis, clear staging and a correct treatment plan are of notable clinical significance. If breast nodules are identified in patients with malignant lung tumors, screening is suggested to avoid misdiagnosis. It is particularly key to identify the source of tumors by combining medical imaging and IHC results.

Supplementary Material

Supporting Data

Acknowledgements

Not applicable.

Funding

Funding: No funding was received.

Availability of data and materials

All data related to gene sequencing can be found in the Mendeley Data database (doi: 10.17632/wpw7mstpp8.1) at the following URL: https://data.mendeley.com/datasets/wpw7mstpp8/1. The rest of the data generated in the present study may be requested from the corresponding author.

Authors' contributions

FW conceptualized the present case report. XL devised the methodology. GC performed the follow-up collection of the patient data and validated the data. TY conducted the formal analysis. YX conducted the patient follow-up and wrote the original draft. All authors read and approved the final manuscript. TY and FW confirm the authenticity of all the raw data.

Ethics approval and consent to participate

The present study was approved by Ethics Committee of Tiantai Hospital [approval no. Ethical Review 2025 Other No. (014); Taizhou, China]. The patient in the present case report agreed to participate in the present study.

Patient consent for publication

The patient in the present case report provided written informed consent for publication of the present study.

Competing interests

The authors declare that they have no competing interests.

References

1 

Leiter A, Veluswamy RR and Wisnivesky JP: The global burden of lung cancer: Current status and future trends. Nat Rev Clin Oncol. 20:624–639. 2023. View Article : Google Scholar : PubMed/NCBI

2 

Ke EE and Wu YL: Afatinib in the first-line treatment of Epidermal-growth-factor-receptor mutation-positive non-small cell lung cancer: A review of the clinical evidence. Ther Adv Respir Dis. 10:256–264. 2016. View Article : Google Scholar : PubMed/NCBI

3 

Ramar K, Pervez H, Potti A and Mehdi S: Breast metastasis from non-small-cell lung carcinoma. Med Oncol. 20:181–184. 2003. View Article : Google Scholar : PubMed/NCBI

4 

Kobayashi S, Boggon TJ, Dayaram T, Jänne PA, Kocher O, Meyerson M, Johnson BE, Eck MJ, Tenen DG and Halmos B: EGFR mutation and resistance of non-small-cell lung cancer to gefitinib. N Engl J Med. 352:786–792. 2005. View Article : Google Scholar : PubMed/NCBI

5 

Ettinger DS, Wood DE, Aisner DL, Akerley W, Bauman JR, Bharat A, Bruno DS, Chang JY, Chirieac LR, D'Amico TA, et al: Non-Small cell lung cancer, version 3.2022, NCCN clinical practice guidelines in oncology. J Natl Compr Canc Netw. 20:497–530. 2022. View Article : Google Scholar : PubMed/NCBI

6 

Reck M, Popat S, Reinmuth N, De Ruysscher D, Kerr KM and Peters S; ESMO Guidelines Working Group, : Metastatic non-small-cell lung cancer (NSCLC): ESMO Clinical Practice Guidelines for diagnosis, treatment and follow-up. Ann Oncol. 25 (Suppl 3):iii27–iii39. 2014. View Article : Google Scholar : PubMed/NCBI

7 

Langer CJ: Epidermal growth factor receptor inhibition in mutation-positive non-small-cell lung cancer: Is afatinib better or simply newer? J Clin Oncol. 31:3303–3306. 2013. View Article : Google Scholar : PubMed/NCBI

8 

Cheng Y, He Y, Li W, Zhang HL, Zhou Q, Wang B, Liu C, Walding A, Saggese M, Huang X, et al: Osimertinib versus comparator EGFR TKI as First-line treatment for EGFR-mutated advanced NSCLC: FLAURA China, A randomized study. Target Oncol. 16:165–176. 2021. View Article : Google Scholar : PubMed/NCBI

9 

Amin MB, Greene FL, Edge SB, Compton CC, Gershenwald JE, Brookland RK, Meyer L, Gress DM, Byrd DR and Winchester DP: The eighth edition AJCC Cancer Staging Manual: Continuing to build a bridge from a population-based to a more ‘Personalized’ approach to cancer staging. CA Cancer J Clin. 67:93–99. 2017.PubMed/NCBI

10 

Pao W, Miller VA, Politi KA, Riely GJ, Somwar R, Zakowski MF, Kris MG and Varmus H: Acquired resistance of lung adenocarcinomas to gefitinib or erlotinib is associated with a second mutation in the EGFR kinase domain. PLoS Med. 2:e732005. View Article : Google Scholar : PubMed/NCBI

11 

Gazdar AF: Activating and resistance mutations of EGFR in non-small-cell lung cancer: Role in clinical response to EGFR tyrosine kinase inhibitors. Oncogene. 28 (Suppl 1):S24–S31. 2009. View Article : Google Scholar : PubMed/NCBI

12 

Carey KD, Garton AJ, Romero MS, Kahler J, Thomson S, Ross S, Park F, Haley JD, Gibson N and Sliwkowski MX: Kinetic analysis of epidermal growth factor receptor somatic mutant proteins shows increased sensitivity to the epidermal growth factor receptor tyrosine kinase inhibitor, erlotinib. Cancer Res. 66:8163–8171. 2006. View Article : Google Scholar : PubMed/NCBI

13 

Hong S, Gao F, Fu S, Wang Y, Fang W, Huang Y and Zhang L: Concomitant genetic alterations with response to treatment and epidermal growth factor receptor tyrosine kinase inhibitors in patients with EGFR-mutant advanced non-small cell lung cancer. JAMA Oncol. 4:739–742. 2018. View Article : Google Scholar : PubMed/NCBI

14 

Yeh CN, Lin CH and Chen MF: Clinical and ultrasonographic characteristics of breast metastases from extramammary malignancies. Am Surg. 70:287–290. 2004. View Article : Google Scholar : PubMed/NCBI

15 

Surov A, Fiedler E, Holzhausen HJ, Ruschke K, Schmoll HJ and Spielmann RP: Metastases to the breast from non-mammary malignancies: Primary tumors, prevalence, clinical signs, and radiological features. Acad Radiol. 18:565–574. 2011. View Article : Google Scholar : PubMed/NCBI

16 

Sauer T: Fine-needle aspiration cytology of extra mammary metastatic lesions in the breast: A retrospective study of 36 cases diagnosed during 18 years. Cytojournal. 7:102010. View Article : Google Scholar : PubMed/NCBI

17 

Mun SH, Ko EY, Han BK, Shin JH, Kim SJ and Cho EY: Breast metastases from extramammary malignancies: Typical and atypical ultrasound features. Korean J Radiol. 15:20–28. 2014. View Article : Google Scholar : PubMed/NCBI

18 

Huang HC, Hang JF, Wu MH, Chou TY and Chiu CH: Lung adenocarcinoma with ipsilateral breast metastasis: A simple coincidence? J Thorac Oncol. 8:974–979. 2013. View Article : Google Scholar : PubMed/NCBI

19 

Ding Y, Zhou J and Shan H: One case report of male left lung cancer patients with contralateral breast metastasis. Zhongguo Fei Ai Za Zhi. 13:1082–1084. 2010.(In Chinese). PubMed/NCBI

20 

Bitencourt AGV, Gama RRM, Graziano L, Negrão EMS, Sabino SMPS, Watanabe AHU, Guatelli CS, Souza JA, Mauad EC and Marques EF: Breast metastases from extramammary malignancies: Multimodality imaging aspects. Br J Radiol. 90:201701972017. View Article : Google Scholar : PubMed/NCBI

21 

Ji FF, Gao P, Wang JG, Zhao J and Zhao P: Contralateral breast metastasis from pulmonary adenocarcinoma: Two cases report and literature review. J Thorac Dis. 4:384–389. 2012.PubMed/NCBI

22 

McIntosh IH, Hooper AA, Millis RR and Greening WP: Metastatic carcinoma within the breast. Clin Oncol. 2:393–401. 1976.PubMed/NCBI

23 

Lee AH: The histological diagnosis of metastases to the breast from extramammary malignancies. J Clin Pathol. 60:1333–1341. 2007. View Article : Google Scholar : PubMed/NCBI

24 

Klingen TA, Klaasen H, Aas H, Chen Y and Akslen LA: Secondary breast cancer: A 5-year population-based study with review of the literature. APMIS. 117:762–767. 2009. View Article : Google Scholar : PubMed/NCBI

25 

Mohanty SK, Kim SA, DeLair DF, Bose S, Laury AR, Chopra S, Mertens RB and Dhall D: Comparison of metastatic neuroendocrine neoplasms to the breast and primary invasive mammary carcinomas with neuroendocrine differentiation. Mod Pathol. 29:788–798. 2016. View Article : Google Scholar : PubMed/NCBI

26 

Chong CR, Wirth LJ, Nishino M, Chen AB, Sholl LM, Kulke MH, McNamee CJ, Jänne PA and Johnson BE: Chemotherapy for locally advanced and metastatic pulmonary carcinoid tumors. Lung Cancer. 86:241–246. 2014. View Article : Google Scholar : PubMed/NCBI

27 

Klingen TA, Chen Y, Gundersen MD, Aas H, Westre B and Sauer T: Thyroid transcription factor-1 positive primary breast cancer: A case report with review of the literature. Diagn Pathol. 5:372010. View Article : Google Scholar : PubMed/NCBI

28 

Ordonez NG: Value of thyroid transcription factor-1 immunostaining in tumor diagnosis: A review and update. Appl Immunohistochem Mol Morphol. 20:429–444. 2012. View Article : Google Scholar : PubMed/NCBI

29 

Testa U, Castelli G and Pelosi E: Breast Cancer: A molecularly heterogenous disease needing Subtype-specific treatments. Med Sci (Basel). 8:182020.PubMed/NCBI

30 

Song SG, Kim S, Koh J, Yim J, Han B, Kim YA, Jeon YK and Chung DH: Comparative analysis of the tumor immune-microenvironment of primary and brain metastases of non-small-cell lung cancer reveals organ-specific and EGFR mutation-dependent unique immune landscape. Cancer Immunol Immunother. 70:2035–2048. 2021. View Article : Google Scholar : PubMed/NCBI

31 

Vidarsdottir H, Tran L, Nodin B, Jirström K, Planck M, Jönsson P, Mattsson JSM, Botling J, Micke P and Brunnström H: Immunohistochemical profiles in primary lung cancers and epithelial pulmonary metastases. Hum Pathol. 84:221–230. 2019. View Article : Google Scholar : PubMed/NCBI

32 

Ye J, Findeis-Hosey JJ, Yang Q, McMahon LA, Yao JL, Li F and Xu H: Combination of napsin A and TTF-1 immunohistochemistry helps in differentiating primary lung adenocarcinoma from metastatic carcinoma in the lung. Appl Immunohistochem Mol Morphol. 19:313–317. 2011. View Article : Google Scholar : PubMed/NCBI

Related Articles

  • Abstract
  • View
  • Download
  • Twitter
Copy and paste a formatted citation
Spandidos Publications style
Yang T, Xu Y, Lin X, Chen G and Wang F: <p>Metastatic breast cancer in primary lung cancer with compound <em>EGFR</em> mutations: A case report</p>. Oncol Lett 31: 128, 2026.
APA
Yang, T., Xu, Y., Lin, X., Chen, G., & Wang, F. (2026). <p>Metastatic breast cancer in primary lung cancer with compound <em>EGFR</em> mutations: A case report</p>. Oncology Letters, 31, 128. https://doi.org/10.3892/ol.2026.15481
MLA
Yang, T., Xu, Y., Lin, X., Chen, G., Wang, F."<p>Metastatic breast cancer in primary lung cancer with compound <em>EGFR</em> mutations: A case report</p>". Oncology Letters 31.4 (2026): 128.
Chicago
Yang, T., Xu, Y., Lin, X., Chen, G., Wang, F."<p>Metastatic breast cancer in primary lung cancer with compound <em>EGFR</em> mutations: A case report</p>". Oncology Letters 31, no. 4 (2026): 128. https://doi.org/10.3892/ol.2026.15481
Copy and paste a formatted citation
x
Spandidos Publications style
Yang T, Xu Y, Lin X, Chen G and Wang F: <p>Metastatic breast cancer in primary lung cancer with compound <em>EGFR</em> mutations: A case report</p>. Oncol Lett 31: 128, 2026.
APA
Yang, T., Xu, Y., Lin, X., Chen, G., & Wang, F. (2026). <p>Metastatic breast cancer in primary lung cancer with compound <em>EGFR</em> mutations: A case report</p>. Oncology Letters, 31, 128. https://doi.org/10.3892/ol.2026.15481
MLA
Yang, T., Xu, Y., Lin, X., Chen, G., Wang, F."<p>Metastatic breast cancer in primary lung cancer with compound <em>EGFR</em> mutations: A case report</p>". Oncology Letters 31.4 (2026): 128.
Chicago
Yang, T., Xu, Y., Lin, X., Chen, G., Wang, F."<p>Metastatic breast cancer in primary lung cancer with compound <em>EGFR</em> mutations: A case report</p>". Oncology Letters 31, no. 4 (2026): 128. https://doi.org/10.3892/ol.2026.15481
Follow us
  • Twitter
  • LinkedIn
  • Facebook
About
  • Spandidos Publications
  • Careers
  • Cookie Policy
  • Privacy Policy
How can we help?
  • Help
  • Live Chat
  • Contact
  • Email to our Support Team