Spandidos Publications Logo
  • About
    • About Spandidos
    • Aims and Scopes
    • Abstracting and Indexing
    • Editorial Policies
    • Reprints and Permissions
    • Job Opportunities
    • Terms and Conditions
    • Contact
  • Journals
    • All Journals
    • Oncology Letters
      • Oncology Letters
      • Information for Authors
      • Editorial Policies
      • Editorial Board
      • Aims and Scope
      • Abstracting and Indexing
      • Bibliographic Information
      • Archive
    • International Journal of Oncology
      • International Journal of Oncology
      • Information for Authors
      • Editorial Policies
      • Editorial Board
      • Aims and Scope
      • Abstracting and Indexing
      • Bibliographic Information
      • Archive
    • Molecular and Clinical Oncology
      • Molecular and Clinical Oncology
      • Information for Authors
      • Editorial Policies
      • Editorial Board
      • Aims and Scope
      • Abstracting and Indexing
      • Bibliographic Information
      • Archive
    • Experimental and Therapeutic Medicine
      • Experimental and Therapeutic Medicine
      • Information for Authors
      • Editorial Policies
      • Editorial Board
      • Aims and Scope
      • Abstracting and Indexing
      • Bibliographic Information
      • Archive
    • International Journal of Molecular Medicine
      • International Journal of Molecular Medicine
      • Information for Authors
      • Editorial Policies
      • Editorial Board
      • Aims and Scope
      • Abstracting and Indexing
      • Bibliographic Information
      • Archive
    • Biomedical Reports
      • Biomedical Reports
      • Information for Authors
      • Editorial Policies
      • Editorial Board
      • Aims and Scope
      • Abstracting and Indexing
      • Bibliographic Information
      • Archive
    • Oncology Reports
      • Oncology Reports
      • Information for Authors
      • Editorial Policies
      • Editorial Board
      • Aims and Scope
      • Abstracting and Indexing
      • Bibliographic Information
      • Archive
    • Molecular Medicine Reports
      • Molecular Medicine Reports
      • Information for Authors
      • Editorial Policies
      • Editorial Board
      • Aims and Scope
      • Abstracting and Indexing
      • Bibliographic Information
      • Archive
    • World Academy of Sciences Journal
      • World Academy of Sciences Journal
      • Information for Authors
      • Editorial Policies
      • Editorial Board
      • Aims and Scope
      • Abstracting and Indexing
      • Bibliographic Information
      • Archive
    • International Journal of Functional Nutrition
      • International Journal of Functional Nutrition
      • Information for Authors
      • Editorial Policies
      • Editorial Board
      • Aims and Scope
      • Abstracting and Indexing
      • Bibliographic Information
      • Archive
    • International Journal of Epigenetics
      • International Journal of Epigenetics
      • Information for Authors
      • Editorial Policies
      • Editorial Board
      • Aims and Scope
      • Abstracting and Indexing
      • Bibliographic Information
      • Archive
    • Medicine International
      • Medicine International
      • Information for Authors
      • Editorial Policies
      • Editorial Board
      • Aims and Scope
      • Abstracting and Indexing
      • Bibliographic Information
      • Archive
  • Articles
  • Information
    • Information for Authors
    • Information for Reviewers
    • Information for Librarians
    • Information for Advertisers
    • Conferences
  • Language Editing
Spandidos Publications Logo
  • About
    • About Spandidos
    • Aims and Scopes
    • Abstracting and Indexing
    • Editorial Policies
    • Reprints and Permissions
    • Job Opportunities
    • Terms and Conditions
    • Contact
  • Journals
    • All Journals
    • Biomedical Reports
      • Information for Authors
      • Editorial Policies
      • Editorial Board
      • Aims and Scope
      • Abstracting and Indexing
      • Bibliographic Information
      • Archive
    • Experimental and Therapeutic Medicine
      • Information for Authors
      • Editorial Policies
      • Editorial Board
      • Aims and Scope
      • Abstracting and Indexing
      • Bibliographic Information
      • Archive
    • International Journal of Epigenetics
      • Information for Authors
      • Editorial Policies
      • Editorial Board
      • Aims and Scope
      • Abstracting and Indexing
      • Bibliographic Information
      • Archive
    • International Journal of Functional Nutrition
      • Information for Authors
      • Editorial Policies
      • Editorial Board
      • Aims and Scope
      • Abstracting and Indexing
      • Bibliographic Information
      • Archive
    • International Journal of Molecular Medicine
      • Information for Authors
      • Editorial Policies
      • Editorial Board
      • Aims and Scope
      • Abstracting and Indexing
      • Bibliographic Information
      • Archive
    • International Journal of Oncology
      • Information for Authors
      • Editorial Policies
      • Editorial Board
      • Aims and Scope
      • Abstracting and Indexing
      • Bibliographic Information
      • Archive
    • Medicine International
      • Information for Authors
      • Editorial Policies
      • Editorial Board
      • Aims and Scope
      • Abstracting and Indexing
      • Bibliographic Information
      • Archive
    • Molecular and Clinical Oncology
      • Information for Authors
      • Editorial Policies
      • Editorial Board
      • Aims and Scope
      • Abstracting and Indexing
      • Bibliographic Information
      • Archive
    • Molecular Medicine Reports
      • Information for Authors
      • Editorial Policies
      • Editorial Board
      • Aims and Scope
      • Abstracting and Indexing
      • Bibliographic Information
      • Archive
    • Oncology Letters
      • Information for Authors
      • Editorial Policies
      • Editorial Board
      • Aims and Scope
      • Abstracting and Indexing
      • Bibliographic Information
      • Archive
    • Oncology Reports
      • Information for Authors
      • Editorial Policies
      • Editorial Board
      • Aims and Scope
      • Abstracting and Indexing
      • Bibliographic Information
      • Archive
    • World Academy of Sciences Journal
      • Information for Authors
      • Editorial Policies
      • Editorial Board
      • Aims and Scope
      • Abstracting and Indexing
      • Bibliographic Information
      • Archive
  • Articles
  • Information
    • For Authors
    • For Reviewers
    • For Librarians
    • For Advertisers
    • Conferences
  • Language Editing
Login Register Submit
  • This site uses cookies
  • You can change your cookie settings at any time by following the instructions in our Cookie Policy. To find out more, you may read our Privacy Policy.

    I agree
Search articles by DOI, keyword, author or affiliation
Search
Advanced Search
presentation
Oncology Letters
Join Editorial Board Propose a Special Issue
Print ISSN: 1792-1074 Online ISSN: 1792-1082
Journal Cover
April-2026 Volume 31 Issue 4

Full Size Image

Sign up for eToc alerts
Recommend to Library

Journals

International Journal of Molecular Medicine

International Journal of Molecular Medicine

International Journal of Molecular Medicine is an international journal devoted to molecular mechanisms of human disease.

International Journal of Oncology

International Journal of Oncology

International Journal of Oncology is an international journal devoted to oncology research and cancer treatment.

Molecular Medicine Reports

Molecular Medicine Reports

Covers molecular medicine topics such as pharmacology, pathology, genetics, neuroscience, infectious diseases, molecular cardiology, and molecular surgery.

Oncology Reports

Oncology Reports

Oncology Reports is an international journal devoted to fundamental and applied research in Oncology.

Experimental and Therapeutic Medicine

Experimental and Therapeutic Medicine

Experimental and Therapeutic Medicine is an international journal devoted to laboratory and clinical medicine.

Oncology Letters

Oncology Letters

Oncology Letters is an international journal devoted to Experimental and Clinical Oncology.

Biomedical Reports

Biomedical Reports

Explores a wide range of biological and medical fields, including pharmacology, genetics, microbiology, neuroscience, and molecular cardiology.

Molecular and Clinical Oncology

Molecular and Clinical Oncology

International journal addressing all aspects of oncology research, from tumorigenesis and oncogenes to chemotherapy and metastasis.

World Academy of Sciences Journal

World Academy of Sciences Journal

Multidisciplinary open-access journal spanning biochemistry, genetics, neuroscience, environmental health, and synthetic biology.

International Journal of Functional Nutrition

International Journal of Functional Nutrition

Open-access journal combining biochemistry, pharmacology, immunology, and genetics to advance health through functional nutrition.

International Journal of Epigenetics

International Journal of Epigenetics

Publishes open-access research on using epigenetics to advance understanding and treatment of human disease.

Medicine International

Medicine International

An International Open Access Journal Devoted to General Medicine.

Journal Cover
April-2026 Volume 31 Issue 4

Full Size Image

Sign up for eToc alerts
Recommend to Library

  • Article
  • Citations
    • Cite This Article
    • Download Citation
    • Create Citation Alert
    • Remove Citation Alert
    • Cited By
  • Similar Articles
    • Related Articles (in Spandidos Publications)
    • Similar Articles (Google Scholar)
    • Similar Articles (PubMed)
  • Download PDF
  • Download XML
  • View XML
Case Report Open Access

Proliferative escalation and possible neuroendocrine carcinoma transformation in pulmonary metastases of a cervical neuroendocrine tumor: A case report

  • Authors:
    • Nobuhito Hara
    • Rika Sasaki
    • Yoshiki Kojitani
    • Yumi Yoshii
    • Masahide Ota
    • Shunsuke Okazaki
    • Yuji Nitta
    • Tomoko Uchiyama
    • Akihiko Yoshizawa
    • Ryo Miyata
    • Masatsugu Hamaji
    • Hirotaka Kajihara
    • Masayuki Takeda
  • View Affiliations / Copyright

    Affiliations: Department of Cancer Genomics and Medical Oncology, Nara Medical University, Kashihara, Nara 634‑8521, Japan, Department of Diagnostic Pathology, Nara Medical University, Kashihara, Nara 634‑8521, Japan, Department of Thoracic and Cardiovascular Surgery, Nara Medical University, Kashihara, Nara 634‑8521, Japan, Department of Obstetrics and Gynecology, Osaka Gyomeikan Hospital, Osaka, Osaka 554‑0012, Japan
    Copyright: © Hara et al. This is an open access article distributed under the terms of Creative Commons Attribution License.
  • Article Number: 148
    |
    Published online on: February 25, 2026
       https://doi.org/10.3892/ol.2026.15501
  • Expand metrics +
Metrics: Total Views: 0 (Spandidos Publications: | PMC Statistics: )
Metrics: Total PDF Downloads: 0 (Spandidos Publications: | PMC Statistics: )
Cited By (CrossRef): 0 citations Loading Articles...

This article is mentioned in:


Abstract

The present report describes a rare case of cervical adenocarcinoma with a coexisting neuroendocrine tumor (NET) G2 component that developed pulmonary metastases with proliferative escalation and possible transformation to neuroendocrine carcinoma (NEC). A 43‑year‑old woman with cervical adenocarcinoma (International Federation of Gynaecology and Obstetrics 2018 stage IB1) underwent radical hysterectomy, bilateral salpingectomy and pelvic lymph node dissection. The primary tumor had morphologic features of mixed adenocarcinoma and NET G2 [Ki‑67, 3‑30%; 5‑8 mitoses/10 high‑power fields (HPFs)], classified as postoperative pathological stage IB1 (pT1b1 N0 M0; American Joint Committee on Cancer 9th edition). After 2 years, chest computed tomography revealed multiple pulmonary nodules. Resection of a right middle lobe lesion revealed metastatic NET with increased proliferative activity (G3 based on gastrointestinal NET criteria; Ki‑67 hotspot, 35%; >50 mitoses/10 HPFs). A left upper lobe lesion exhibited predominantly NET morphology, but focal areas exhibited high proliferative activity (Ki‑67 hotspot, 93%; 50 mitoses per 10 HPFs) with features compatible with small cell carcinoma. The current case suggests a stepwise progression from NET toward NEC, highlighting the importance of monitoring proliferative indices in cervical NETs, re‑evaluating metastatic lesions histologically and considering multimodal treatment strategies.

Introduction

Neuroendocrine neoplasms (NENs) of the uterine cervix account for approximately 1–2% of all cervical cancers, wherein the vast majority are poorly differentiated neuroendocrine carcinomas (NECs), such as small cell NEC (SCNEC) and large cell NEC (LCNEC) (1). In contrast, well-differentiated NETs (G1-G2) and mixed tumors with NET and adenocarcinoma components are exceedingly rare, with reports limited to individual case descriptions or small case series.

NETs of the gastrointestinal tract reportedly exhibit increased proliferative activity during disease progression or metastasis, and in some cases, morphological transformation from NET to NEC-like features (2,3). However, in gynecologic oncology, systematic evidence on changes in proliferative activity in NETs remains scarce. This report describes a rare case of cervical adenocarcinoma with a coexisting NET G2 component, wherein postoperative bilateral pulmonary metastases demonstrated increased proliferative activity in the NET component alongside focal histological features suggesting NEC transformation. This represents an unusual example of a gynecologic NET exhibiting proliferative escalation in metastatic lesions during disease progression.

Case report

A 43-year-old woman presented at a respiratory clinic with a chronic cough. Chest computed tomography (CT) in March 2024 revealed 3 nodular lesions in the lung, each measuring 3–5 mm, located in the right middle, left upper, and left lower lobes (Fig. 1A-C).

(A) Non-contrast chest CT scan
obtained in March 2024 showing a small nodule in the left upper
lobe. (B) Non-contrast chest CT scan obtained in March 2024 showing
a small nodule in the left lower lobe. (C) Non-contrast chest CT
scan obtained in March 2024 showing a small nodule in the right
middle lobe. (D) Non-contrast chest CT scan obtained in June 2024
showing enlargement of the left upper lobe nodule. (E) Non-contrast
chest CT scan obtained in June 2024 showing enlargement of the
nodules in the right middle and left lower lobes. (F) Non-contrast
chest CT scan obtained in December 2024 showing further enlargement
of the left upper lobe nodule. (G) Non-contrast chest CT scan
obtained in December 2024 showing further enlargement of the left
lower lobe nodule. (H) Non-contrast chest CT scan obtained in April
2025 showing further enlargement of the left upper lobe nodule. (I)
Non-contrast chest CT scan obtained in Apri 2025 showing further
enlargement of the left lower lobe nodule. Overall, the nodules
gradually increased in size over time. Red arrows indicate the
tumor lesions.

Figure 1.

(A) Non-contrast chest CT scan obtained in March 2024 showing a small nodule in the left upper lobe. (B) Non-contrast chest CT scan obtained in March 2024 showing a small nodule in the left lower lobe. (C) Non-contrast chest CT scan obtained in March 2024 showing a small nodule in the right middle lobe. (D) Non-contrast chest CT scan obtained in June 2024 showing enlargement of the left upper lobe nodule. (E) Non-contrast chest CT scan obtained in June 2024 showing enlargement of the nodules in the right middle and left lower lobes. (F) Non-contrast chest CT scan obtained in December 2024 showing further enlargement of the left upper lobe nodule. (G) Non-contrast chest CT scan obtained in December 2024 showing further enlargement of the left lower lobe nodule. (H) Non-contrast chest CT scan obtained in April 2025 showing further enlargement of the left upper lobe nodule. (I) Non-contrast chest CT scan obtained in Apri 2025 showing further enlargement of the left lower lobe nodule. Overall, the nodules gradually increased in size over time. Red arrows indicate the tumor lesions.

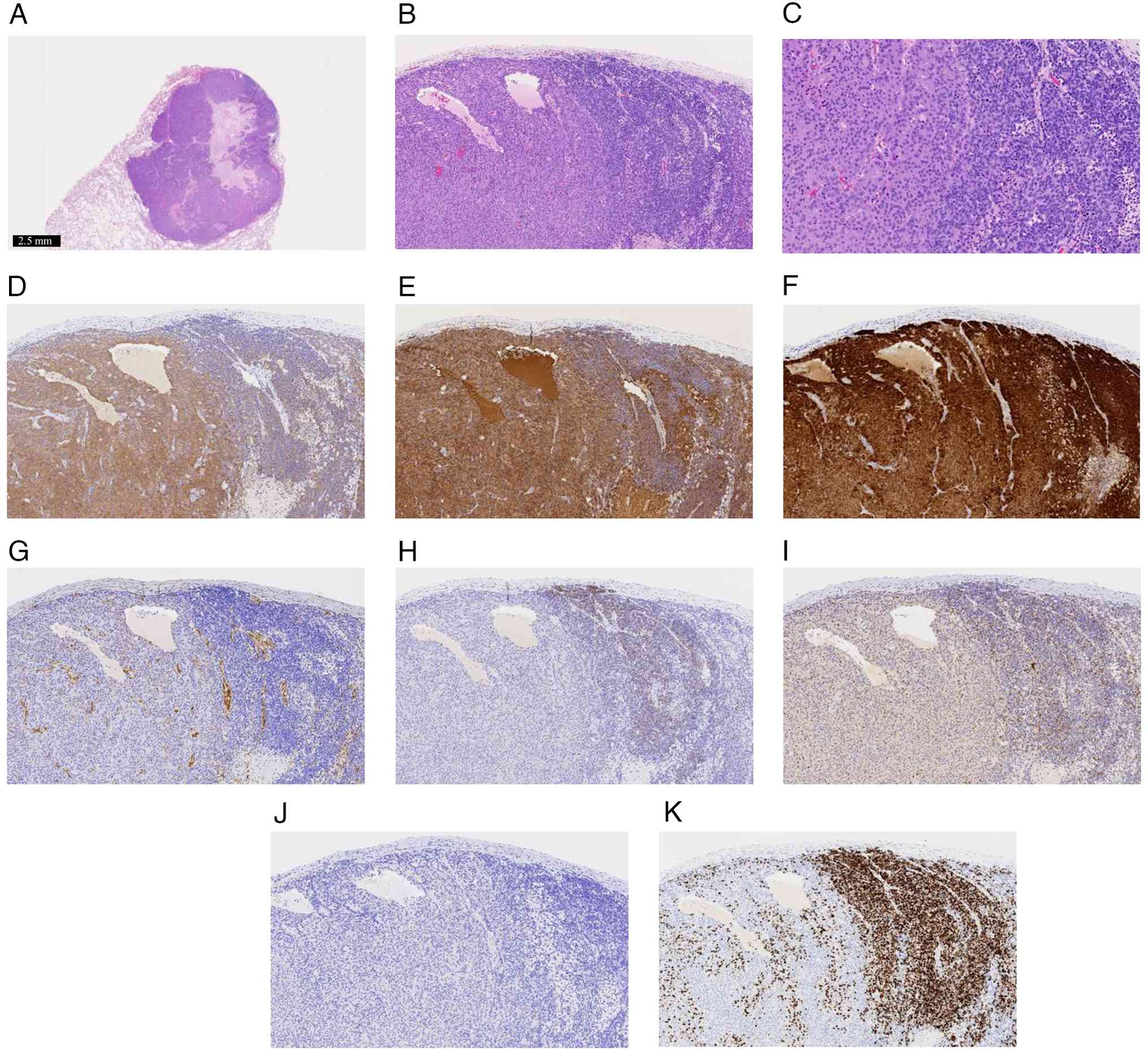
The patient had a history of cervical cancer (FIGO 2018 stage IB1) diagnosed in March 2022, treated with radical hysterectomy, bilateral salpingectomy, and pelvic lymph node dissection. Histopathological examination revealed a mixed tumor consisting of adenocarcinoma and NET (Fig. 2). Specifically, the transitional area had adenocarcinoma components proliferating in tubular, papillary, and cribriform patterns. Meanwhile, uniform cells with round nuclei formed solid nests, trabeculae, and rosettes, consistent with neuroendocrine morphology. The neuroendocrine component was positive for synaptophysin, chromogranin A, INSM1, p16, and CK7, while it was negative for CK20, TTF-1, PAX8, and YAP1. The tumor showed a p53 wild-type pattern with retained Rb expression. The Ki-67 index was approximately 30% in hotspots (overall range: 3–30%), and mitotic activity was 5–8 per 10 high-power fields (HPFs). Within the cervical tissue, the neuroendocrine component was confined to a well-differentiated NET, with no evidence of NEC. If classified using the gastrointestinal system criteria, the neuroendocrine component would correspond to NET G3, but the current classification of cervical NETs extends only up to G2. Thus, the tumor was considered a mixed adenocarcinoma and NET G2. According to the AJCC 9th edition, the postoperative pathological stage was stage IB1 (pT1b1 N0 M0) without distant metastasis.

Histopathological and
immunohistochemical findings of the cervical tumor. (A) H&E
staining (ocular, ×10; objective, ×4; final magnification, ×40)
showing mixed histology. (B) H&E staining (ocular, ×10;
objective, ×10; final magnification, ×100) revealing coexistence of
adenocarcinoma and neuroendocrine components. (C) H&E staining
of the neuroendocrine component (ocular, ×10; objective, ×40; final
magnification, ×400). (D-L) Immunohistochemical analysis of the
neuroendocrine component (ocular, ×10; objective, ×40; final
magnification, ×400) revealing the following: (D) Synaptophysin,
positive; (E) chromogranin A, positive; (F) p16, positive; (G)
yes-associated protein 1, negative; (H) thyroid transcription
factor-1, negative; (I) retinoblastoma protein, wild-type
expression; (J) paired box 8, negative; (K) Ki-67, low
proliferative activity; and (L) Ki-67, hotspot with high
proliferative activity.

Figure 2.

Histopathological and immunohistochemical findings of the cervical tumor. (A) H&E staining (ocular, ×10; objective, ×4; final magnification, ×40) showing mixed histology. (B) H&E staining (ocular, ×10; objective, ×10; final magnification, ×100) revealing coexistence of adenocarcinoma and neuroendocrine components. (C) H&E staining of the neuroendocrine component (ocular, ×10; objective, ×40; final magnification, ×400). (D-L) Immunohistochemical analysis of the neuroendocrine component (ocular, ×10; objective, ×40; final magnification, ×400) revealing the following: (D) Synaptophysin, positive; (E) chromogranin A, positive; (F) p16, positive; (G) yes-associated protein 1, negative; (H) thyroid transcription factor-1, negative; (I) retinoblastoma protein, wild-type expression; (J) paired box 8, negative; (K) Ki-67, low proliferative activity; and (L) Ki-67, hotspot with high proliferative activity.

Follow-up chest CT in June 2024 revealed that the pulmonary nodules increased in size compared to March 2024 (Fig. 1D and E). A right middle lobe lesion was partially resected for diagnostic purposes, yielding a small nodule measuring 5 mm in diameter. Histologically, solid nests of columnar to short spindle-shaped cells with oval nuclei were observed (Fig. 3). Central necrosis was present within the nests, with nuclear palisading at the periphery. More than 50 mitotic figures per 10 HPFs were counted. The Ki-67 index was 35% (hotspot). These features are consistent with G3 disease according to the gastrointestinal NET criteria. Immunohistochemically, the tumor cells were positive for CK7, p16, INSM1, and chromogranin A, but these were negative for CK20 and p40. These findings are morphologically and immunophenotypically consistent with metastatic NET originating from the uterine cervix. No areas lacking expression of neuroendocrine markers were identified within the specimen.

Histopathological and
immunohistochemical findings of the right middle lobe lung tumor.
(A-C) H&E staining of the resected specimen showing exclusively
neuroendocrine tumor components. (A) Ocular, ×10; objective, ×4;
final magnification, ×40. (B) Ocular, ×10; objective, ×10; final
magnification, ×100. (C) Ocular, ×10; objective, ×40; final
magnification, ×400. (D) Chromogranin A immunostaining (ocular,
×10; objective, ×40; final magnification, ×400) demonstrating
positive expression in tumor cells.

Figure 3.

Histopathological and immunohistochemical findings of the right middle lobe lung tumor. (A-C) H&E staining of the resected specimen showing exclusively neuroendocrine tumor components. (A) Ocular, ×10; objective, ×4; final magnification, ×40. (B) Ocular, ×10; objective, ×10; final magnification, ×100. (C) Ocular, ×10; objective, ×40; final magnification, ×400. (D) Chromogranin A immunostaining (ocular, ×10; objective, ×40; final magnification, ×400) demonstrating positive expression in tumor cells.

The patient was referred to our oncology department in August 2024 for further evaluation and treatment. Gastrointestinal endoscopy revealed no evidence of a primary tumor, with no abnormal uptake on octreotide scintigraphy. Treatment with everolimus was initiated in October 2024, and CT in December 2024 showed stable disease (Fig. 1F and G). However, in April 2025, the residual pulmonary lesions mildly increased in size, but with no new lesions (Fig. 1H and I). The patient declined continuation of everolimus, opting instead for a local treatment strategy.

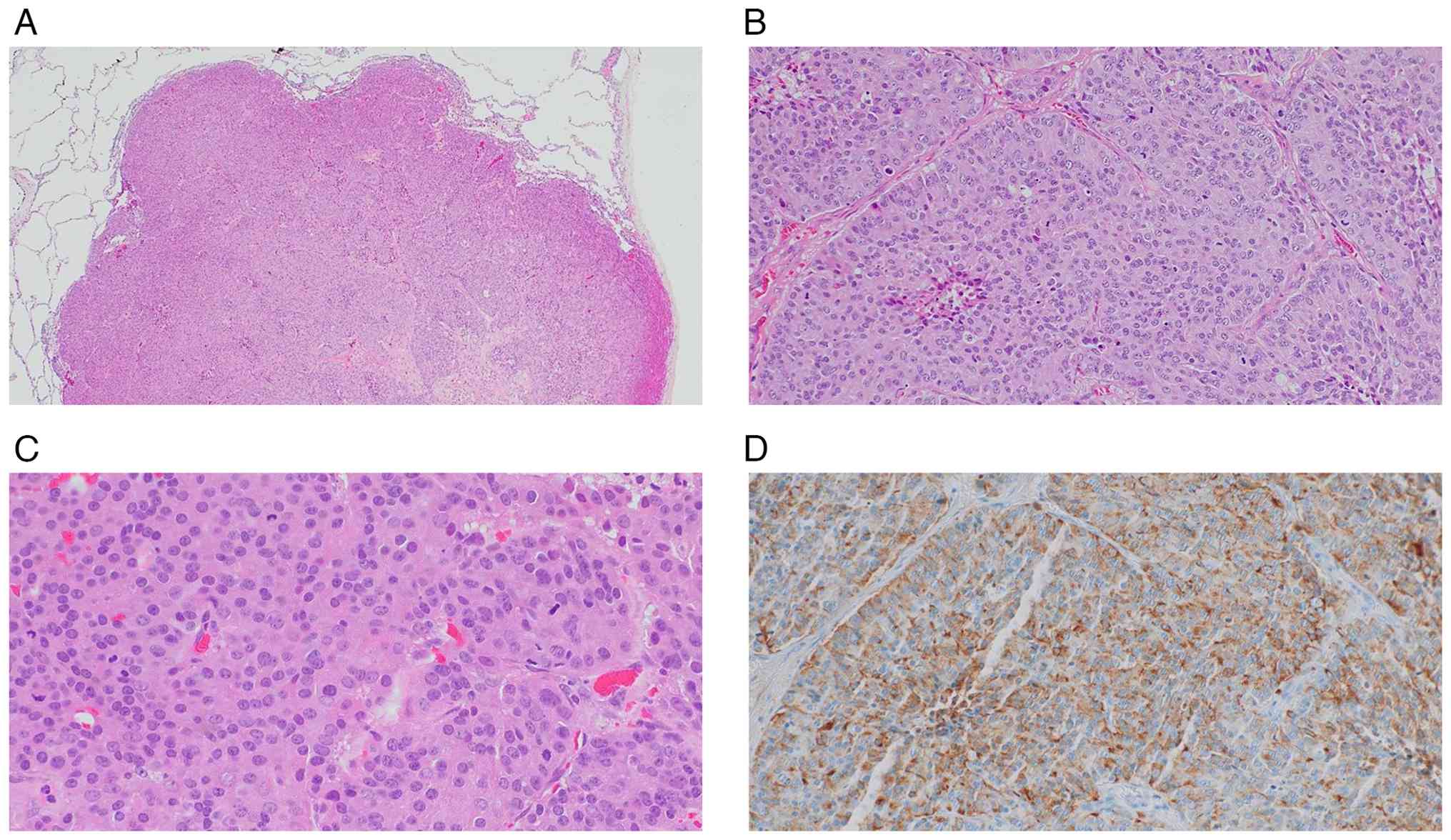
Radiofrequency ablation (RFA) of a left lower lobe lesion was performed in May 2025, followed by partial resection due to its close proximity to the aorta in June 2025. Histopathological examination of the resected left upper lobe specimen revealed predominantly NET morphology with a focal area showing features suspicious for small cell carcinoma (Fig. 4). The tumor was composed of atypical cells proliferating in solid nests with rosette- and palisade-like arrangements, accompanied by foci of necrosis. The tumor cells had relatively abundant eosinophilic cytoplasm and enlarged, uniform, round to oval nuclei without marked nuclear atypia. Immunohistochemical analysis demonstrated positivity for synaptophysin, chromogranin A, and INSM1, negativity for p40 and YAP1, partial positivity for TTF-1, a p53 wild-type pattern, and no loss of Rb expression. The Ki-67 index reached 93% in hotspots, while the mitotic count was approximately 50 per 10 HPFs. These findings supported a diagnosis of NEN. Although most of the lesion exhibited morphology consistent with NET, there were focal areas demonstrating a markedly high Ki-67 labeling index, partial TTF-1 positivity, increased chromatin, and a higher nuclear-to-cytoplasmic ratio, thus raising concern for small cell carcinoma. While these findings suggested a metastatic cervical origin, the unusual morphological overlap warranted further investigation for small cell carcinoma. Throughout the perioperative course and subsequent follow-up, regular tumor marker assessments showed no elevation of NSE or ProGRP. Postoperative chemotherapy with a platinum-etoposide regimen was recommended, but the patient declined. The patient has remained recurrence-free to date, with radiologic evaluation at 6 months after resection of the last tumor showing no evidence of recurrence under close follow-up.

Histopathological and
immunohistochemical findings of the left upper lobe lung tumor. (A)
Low-power view of H&E staining (scale bar, 2.5 mm). (B) H&E
staining (ocular, ×10; objective, ×10; final magnification, ×100).
(C) H&E staining (ocular, ×10; objective, ×20; final
magnification, ×200). (A-C) The tumor consisted predominantly of
NET components but with areas of increased chromatin and a higher
nuclear-to-cytoplasmic ratio, suggesting the presence of NEC
components. (D-K) Immunohistochemical analysis (ocular, ×10;
objective, ×10; final magnification, ×100) revealed the following:
(D) Synaptophysin, positive in NET areas but weaker in suspected
NEC areas; (E) chromogranin A, positive; (F) p16, positive; (G)
yes-associated protein 1, negative; (H) thyroid transcription
factor-1, negative in NET areas but focally positive in suspected
NEC areas; (I) retinoblastoma protein, wild-type expression; (J)
paired box 8, negative; and (K) Ki-67, high proliferative index in
suspected NEC areas. NEC, neuroendocrine carcinoma; NET,
neuroendocrine tumor.

Figure 4.

Histopathological and immunohistochemical findings of the left upper lobe lung tumor. (A) Low-power view of H&E staining (scale bar, 2.5 mm). (B) H&E staining (ocular, ×10; objective, ×10; final magnification, ×100). (C) H&E staining (ocular, ×10; objective, ×20; final magnification, ×200). (A-C) The tumor consisted predominantly of NET components but with areas of increased chromatin and a higher nuclear-to-cytoplasmic ratio, suggesting the presence of NEC components. (D-K) Immunohistochemical analysis (ocular, ×10; objective, ×10; final magnification, ×100) revealed the following: (D) Synaptophysin, positive in NET areas but weaker in suspected NEC areas; (E) chromogranin A, positive; (F) p16, positive; (G) yes-associated protein 1, negative; (H) thyroid transcription factor-1, negative in NET areas but focally positive in suspected NEC areas; (I) retinoblastoma protein, wild-type expression; (J) paired box 8, negative; and (K) Ki-67, high proliferative index in suspected NEC areas. NEC, neuroendocrine carcinoma; NET, neuroendocrine tumor.

Immunohistochemical analyses for the immunostaining images shown in the figures were performed on formalin-fixed, paraffin-embedded (FFPE) tissue sections. The primary antibodies used for the immunostaining shown in Figs. 2 and 4 were as follows: synaptophysin (catalog no. 413831, clone 27G12; Nichirei Biosciences), chromogranin A (catalog no. M086901-2, clone DAK-A3; DAKO), p16 (catalog no. 550834, clone G175-405; BD Biosciences), YAP1 (catalog no. ab52771, clone EPR1674Y; Abcam), TTF-1 (catalog no. NCL-L-TTF-1, clone SPT24; NOVO), retinoblastoma protein (Rb; catalog no. 554136, clone G3-245; BD Biosciences), PAX8 (catalog no. ab53490, clone PAX8R1; abcam), and Ki-67 (catalog no. M7240, clone MIB-1; DAKO). Antibody dilutions were 1:1 for synaptophysin, 1:200 for chromogranin A, 1:20 for p16, 1:100 for YAP1, 1:100 for TTF-1, 1:400 for Rb, 1:20 for PAX8, and 1:2 for Ki-67. For the immunostaining shown in Fig. 3D, chromogranin A (catalog no. 412751; Nichirei) was used at a dilution of 1:1. Appropriate positive and negative controls were included in each staining run. Immunoreactivity was evaluated independently by experienced pathologists.

Discussion

Cervical NENs are rare, accounting for approximately 1–2% of all malignant cervical tumors, among which the vast majority are high-grade NECs (1). Low- to intermediate-grade (G1-G2) NETs are extremely uncommon, and cases with an admixed adenocarcinoma component are exceedingly rare. The 2020 WHO classification categorizes cervical NENs as either NET G1, NET G2, or NEC, but some reports have described tumors corresponding to NET G3 (4). At present, a formal category corresponding to NET G3 has not been established in the current classification of cervical neuroendocrine neoplasms. However, as described in this report, the existence of cervical NENs showing well-differentiated morphology despite a high Ki-67 proliferation index has been suggested in the literature, albeit mainly at the level of individual case reports. By analogy with pancreatic and gastrointestinal NET G3, such tumors of the cervix may exhibit biological behavior and treatment responsiveness distinct from those of morphologically defined neuroendocrine carcinoma (NEC). In particular, they may be less sensitive to platinum-based chemotherapy compared with classic NEC, although robust evidence to support this assumption is currently lacking. Currently, available data are insufficient to justify a distinct therapeutic strategy for these tumors, and therefore no change in clinical management can be recommended. Nevertheless, recognition of a potential NET G3-like subgroup among cervical NENs may have important clinical implications in the future, particularly with respect to treatment selection and clinical trial design. Further accumulation of cases and comprehensive clinicopathological and molecular analyses will be essential to clarify the biological and clinical significance of this entity.

The primary tumor in this case had Ki-67 labeling index of 30% at the hotspot, which corresponds to G3 according to the pancreatic NEN grading system. Cervical NENs are considered more prone to metastasis than squamous cell carcinomas (5,6). In our patient, while the primary lesion had adenocarcinoma and NET components, nearly all the metastatic lesions were composed solely of NET. This observation raises the possibility that a NEN clone present within the primary tumor possessed superior metastatic potential compared with other tumor components and was therefore selectively able to disseminate and expand at metastatic sites. Furthermore, during the clinical course, the NET component had increased proliferative activity (as reflected by Ki-67 index and mitotic count), and the resected metastatic lesion ultimately contained foci that required differentiation from small cell carcinoma. In particular, the focal lesion exhibiting a Ki-67 index of 93% may represent a further selected subclone that acquired enhanced proliferative capacity during the metastatic process and/or under therapeutic pressure. These findings suggest the possibility that NEC may arise from preexisting NET and may provide a possible explanation for the phenomenon of grade progression of NET over the course of treatment. At the molecular level, the acquisition of TP53 and RB1 mutations is considered a key event in the progression toward NEC-like morphology, as reported in pancreatic and gastrointestinal NENs (3,7). However, beyond these alterations, there is a lack of large-scale molecular analyses in cervical NENs, and the precise mechanisms driving such transformation need to be further elucidated. Previous reports found that cervical NECs harbor non-silent TP53 and RB1 mutations at a much lower frequency compared to small cell carcinomas of the lung and bladder (8). Consistent with these observations, even the metastatic lesions showing markedly increased proliferative activity and NEC-like morphology demonstrated retained Rb expression and a wild-type p53 immunophenotype. These findings suggest that, at least in a subset of cervical neuroendocrine neoplasms, progression toward NEC-like features may occur through TP53/RB1-independent mechanisms. In the present case, as shown in Fig. 4H, focal TTF-1 positivity was identified in areas exhibiting morphological features suggestive of NEC. This spatial correlation between TTF-1 expression and NEC-like morphology suggests that the tumor may have acquired a pulmonary neuroendocrine-like phenotype during disease progression, making a nonspecific or artifactual finding less likely. With respect to the pathological distinction between high-grade NET and NEC arising from NET, no single diagnostic parameter is sufficient. Rather, an integrated assessment of multiple pathological features is required, including the degree of cytologic atypia, the presence and pattern of necrosis, and the Ki-67 proliferation index. These features should be interpreted in conjunction with immunohistochemical findings, such as Rb expression status and p53 expression patterns. While the immunophenotype provides important supportive information, it should be regarded as an adjunct rather than an independent determinant of the final diagnosis. It should be noted that a limitation of the present study is that next-generation sequencing (NGS) was not performed on either the primary tumor or the metastatic lesions. As a result, specific acquired genetic alterations that may have driven the increased proliferative activity or the emergence of NEC-like features could not be identified, and any discussion of molecular drivers of transformation in this case remains speculative. Thus, future studies need to clarify the mechanisms underlying the morphological transformation from cervical NET to NEC. In addition, diffuse p16 positivity was observed in both the primary and metastatic lesions, including the NEC-like components, suggesting possible involvement of high-risk HPV infection. Although previous analytical studies have reported an association between cervical neuroendocrine neoplasms and high-risk HPV infection (9), HPV PCR testing was not performed for the individual tumor components in the present case; therefore, a common origin from a single HPV-transformed progenitor cell could not be definitively demonstrated.

Several reports have described metastatic gastrointestinal NETs undergoing grade progression and acquiring NEC-like morphology (2,3). In contrast, cases of primary cervical NET with direct documentation of sequential changes in metastatic lesions (e.g., increased proliferative capacity and morphological transformation toward NEC) are extremely rare. Given that the present report describes a single case, it is difficult to draw robust conclusions regarding the frequency or generalizability of this evolutionary pattern. Nevertheless, careful documentation and reporting of such cases may incrementally contribute to a better collective understanding of the biological behavior of cervical neuroendocrine neoplasms. From a future research perspective, further studies are needed to validate the evolutionary model suggested by this case. In particular, accumulation of additional cases with detailed longitudinal pathological evaluation of both primary and metastatic lesions will be essential to determine the frequency and reproducibility of grade progression from NET to NEC in cervical neuroendocrine neoplasms. Comprehensive molecular profiling, ideally using next-generation sequencing of paired primary and metastatic samples, may help identify genetic alterations associated with increased proliferative activity and morphological transformation. In addition, prospective collection of fresh or appropriately preserved tumor tissue may enable functional studies, such as patient-derived organoid or other experimental models, to further elucidate tumor evolution and therapeutic vulnerabilities. Although such approaches were beyond the scope of the present case report, they represent important directions for future investigation.

Currently, there is no established standard treatment for cervical NENs, although in cases of NEC, adjuvant chemotherapy with platinum agents and etoposide is often administered alongside surgery and/or radiotherapy (1). In gastroenteropancreatic NET G3, sensitivity to platinum-based chemotherapy with etoposide has been reported to be lower than that observed in NEC (10,11). Based on this consideration, everolimus was selected and initiated in the present case. Everolimus was administered for approximately 6 months for the treatment pulmonary metastases, during which no new lesions appeared. Considering that the pulmonary metastatic tumors were initially regarded as neuroendocrine tumors, that no new metastatic lesions developed over a six-month period, and that the patient did not wish to undergo intravenous cytotoxic chemotherapy, we considered that reducing the overall tumor burden through local interventions might contribute to prolongation of disease control and potentially improve prognosis. This enabled local surgical resection and histopathological examination, which revealed areas requiring differential diagnosis from small cell carcinoma, strongly suggesting progression from NET to NEC. Marked spatial heterogeneity of the Ki-67 proliferation index may reduce the representativeness of small biopsy specimens and complicate prognostic assessment and evaluation of treatment response. From a prognostic and therapeutic standpoint, when substantial intrapatient heterogeneity is present, it is reasonable to consider that the clinical behavior of the disease is driven by the most aggressive tumor component. Accordingly, particularly when high-Ki-67 areas are associated with aggressive growth patterns or morphological features suggestive of progression toward NEC, treatment decisions should be guided by the highest-grade lesion. In the present case, NEC-like morphology was identified in the additionally resected pulmonary tumor tissue; therefore, adjuvant chemotherapy was recommended postoperatively. However, as the patient declined further systemic therapy, close clinical follow-up was subsequently adopted.

This case highlights three important clinical implications. First, even in cases diagnosed as NET, tumors with a high Ki-67 proliferation index warrant close follow-up because of the potential for morphological transition toward NEC. In particular, for cervical neuroendocrine tumors with an initial Ki-67 index greater than 20%, closer radiologic surveillance should be considered, even in patients with low-stage disease who have undergone apparently curative resection. The present case suggests that tumors with high proliferative activity may harbor an increased risk of early recurrence or progression that may not be adequately captured by standard follow-up protocols. Second, the pathological re-evaluation of metastatic lesions is crucial in guiding therapeutic decision-making. When the primary tumor demonstrates mixed histology, the emergence of new lesions during follow-up should prompt histopathological confirmation whenever feasible. In such situations, repeat biopsy is preferable to radiologic surveillance alone, as reassessment of tumor histology and grade may reveal phenotypic evolution with direct implications for treatment selection. Third, given the rarity, biological heterogeneity, and potential for rapid progression of cervical neuroendocrine tumors, multidisciplinary management is essential. We believe that such cases should be routinely discussed in a multidisciplinary tumor board involving gynecologic oncologists, pathologists, radiologists, and medical oncologists with expertise in neuroendocrine neoplasms. A multidisciplinary treatment strategy that integrates systemic therapy and local interventions may help optimize patient management and improve prognosis. Another limitation of this study relates to radiologic assessment. All metastatic lesions were small and did not meet RECIST criteria for measurable target lesions; therefore, radiologic evaluation was qualitative rather than quantitative. In addition, 18F-FDG PET/CT was not performed, precluding assessment of metabolic activity and correlation between SUVmax and pathological features such as the Ki-67 proliferation index or NEC-like morphology. Although such radiologic-pathologic correlations may strengthen the link between imaging phenotype and biological aggressiveness, these data were not available in the present case. Future studies incorporating standardized quantitative imaging and metabolic evaluation are warranted. Taken together, clinical decision-making in gynecologic oncology should consider not only the initial histologic classification but also proliferative activity, histologic heterogeneity, and dynamic changes over time, including the potential progression from NET to NEC-like morphology that has been described in the gastrointestinal field.

Acknowledgements

Not applicable.

Funding

Funding: No funding was received.

Availability of data and materials

The data generated in the present study may be requested from the corresponding author.

Authors' contributions

NH conceptualized the manuscript. Data acquisition and interpretation were performed by NH, HK, RS, YK, YY, MO, SO, YN, TU, RM, MH, AY and MT. The original draft was written by NH, while the final manuscript was written, reviewed and edited by NH and MT. NH and MT confirm the authenticity of all the raw data. All authors agree to be accountable for all aspects of the research in ensuring that the accuracy or integrity of any part of the work are appropriately investigated and resolved. All authors have read and approved the final version of the manuscript.

Ethics approval and consent to participate

Not applicable.

Patient consent for publication

Written informed consent was obtained from the patient for publication of this case report and the accompanying images. The patient was informed that all identifying information would be removed to ensure anonymity.

Competing interests

MT received honoraria from Chugai Pharmaceutical, AstraZeneca K.K., Bristol-Myers Squibb Company, Novartis Pharma K.K. and Ono Pharmaceutical. The other authors declare that they have no competing interests.

Glossary

Abbreviations

Abbreviations:

NET

neuroendocrine tumor

NEC

neuroendocrine carcinoma

HPF

high-power field

NEN

neuroendocrine neoplasm

RFA

radiofrequency ablation

References

1 

Tempfer CB, Tischoff I, Dogan A, Hilal Z, Schultheis B, Kern P and Rezniczek GA: Neuroendocrine carcinoma of the cervix: A systematic review of the literature. BMC Cancer. 18:5302018. View Article : Google Scholar : PubMed/NCBI

2 

Singh S, Hallet J, Rowsell C and Law CHL: Variability of Ki67 labeling index in multiple neuroendocrine tumor specimens over the course of the disease. Eur J Surg Oncol. 40:1517–1522. 2014. View Article : Google Scholar

3 

Joseph NM, Umetsu SE, Kim GE, Terry M, Perry A, Bergsland E and Kakar S: Progression of low-grade neuroendocrine tumors to high-grade neoplasms harboring the NEC-like co-alteration of RB1 and TP53. Endocr Pathol. 35:325–337. 2024. View Article : Google Scholar

4 

Katafuchi T, Kawakami F, Iwagoi Y, Saito F and Mikami Y: ‘Neuroendocrine tumor grade 3 (NET G3)’ of the uterine cervix: A report of 2 cases. Int J Gynecol Pathol. 41:470–475. 2022. View Article : Google Scholar

5 

Margolis B, Tergas AI, Chen L, Hou JY, Burke WM, Hu JC, Ananth CV, Neugut AI, Hershman DL and Wright JD: Natural history and outcome of neuroendocrine carcinoma of the cervix. Gynecol Oncol. 141:247–254. 2016. View Article : Google Scholar

6 

McCusker ME, Coté TR, Clegg LX and Tavassoli FJ: Endocrine tumors of the uterine cervix: Incidence, demographics, and survival with comparison to squamous cell carcinoma. Gynecol Oncol. 88:333–339. 2003. View Article : Google Scholar

7 

Kasajima A, Pfarr N, Mayr EM, Ura A, Moser E, von Werder A, Agaimy A, Pavel M and Klöppel G: Rapid evolution of metastases in patients with treated G3 neuroendocrine tumors associated with NEC-like transformation and TP53 mutation. Endocr Pathol. 35:313–324. 2024. View Article : Google Scholar

8 

Hillman RT, Cardnell R, Fujimoto J, Lee WC, Zhang J, Byers LA, Ramalingam P, Leitao M, Swisher E, Futreal PA and Frumovitz M: Comparative genomics of high grade neuroendocrine carcinoma of the cervix. PLoS One. 15:e02345052020. View Article : Google Scholar : PubMed/NCBI

9 

Alejo M, Alemany L, Clavero O, Quiros B, Vighi S, Seoud M, Cheng-Yang C, Garland SM, Juanpere N, Lloreta J, et al: Contribution of human papillomavirus in neuroendocrine tumors from a series of 10,575 invasive cervical cancer cases. Papillomavirus Res. 5:134–142. 2018. View Article : Google Scholar : PubMed/NCBI

10 

Sorbye H, Hjortland GO, Vestermark LW, Ladekarl M, Svensson J, Sundlöv A, Tiensuu Janson E, Garresori H, Hofsli E, Kersten C, et al: Characteristics and treatment outcome in a prospective cohort of 639 advanced high-grade digestive neuroendocrine neoplasms (NET G3 and NEC): The NORDIC NEC 2 study. Br J Cancer. 133:316–324. 2025. View Article : Google Scholar : PubMed/NCBI

11 

Heetfeld M, Chougnet CN, Olsen IH, Rinke A, Borbath I, Crespo G, Barriuso J, Pavel M, O'Toole D and Walter T; Knowledge Network members, : Characteristics and treatment of patients with G3 gastroenteropancreatic neuroendocrine neoplasms. Endocr Relat Cancer. 22:657–664. 2015. View Article : Google Scholar : PubMed/NCBI

Related Articles

  • Abstract
  • View
  • Download
  • Twitter
Copy and paste a formatted citation
Spandidos Publications style
Hara N, Sasaki R, Kojitani Y, Yoshii Y, Ota M, Okazaki S, Nitta Y, Uchiyama T, Yoshizawa A, Miyata R, Miyata R, et al: Proliferative escalation and possible neuroendocrine carcinoma transformation in pulmonary metastases of a cervical neuroendocrine tumor: A case report. Oncol Lett 31: 148, 2026.
APA
Hara, N., Sasaki, R., Kojitani, Y., Yoshii, Y., Ota, M., Okazaki, S. ... Takeda, M. (2026). Proliferative escalation and possible neuroendocrine carcinoma transformation in pulmonary metastases of a cervical neuroendocrine tumor: A case report. Oncology Letters, 31, 148. https://doi.org/10.3892/ol.2026.15501
MLA
Hara, N., Sasaki, R., Kojitani, Y., Yoshii, Y., Ota, M., Okazaki, S., Nitta, Y., Uchiyama, T., Yoshizawa, A., Miyata, R., Hamaji, M., Kajihara, H., Takeda, M."Proliferative escalation and possible neuroendocrine carcinoma transformation in pulmonary metastases of a cervical neuroendocrine tumor: A case report". Oncology Letters 31.4 (2026): 148.
Chicago
Hara, N., Sasaki, R., Kojitani, Y., Yoshii, Y., Ota, M., Okazaki, S., Nitta, Y., Uchiyama, T., Yoshizawa, A., Miyata, R., Hamaji, M., Kajihara, H., Takeda, M."Proliferative escalation and possible neuroendocrine carcinoma transformation in pulmonary metastases of a cervical neuroendocrine tumor: A case report". Oncology Letters 31, no. 4 (2026): 148. https://doi.org/10.3892/ol.2026.15501
Copy and paste a formatted citation
x
Spandidos Publications style
Hara N, Sasaki R, Kojitani Y, Yoshii Y, Ota M, Okazaki S, Nitta Y, Uchiyama T, Yoshizawa A, Miyata R, Miyata R, et al: Proliferative escalation and possible neuroendocrine carcinoma transformation in pulmonary metastases of a cervical neuroendocrine tumor: A case report. Oncol Lett 31: 148, 2026.
APA
Hara, N., Sasaki, R., Kojitani, Y., Yoshii, Y., Ota, M., Okazaki, S. ... Takeda, M. (2026). Proliferative escalation and possible neuroendocrine carcinoma transformation in pulmonary metastases of a cervical neuroendocrine tumor: A case report. Oncology Letters, 31, 148. https://doi.org/10.3892/ol.2026.15501
MLA
Hara, N., Sasaki, R., Kojitani, Y., Yoshii, Y., Ota, M., Okazaki, S., Nitta, Y., Uchiyama, T., Yoshizawa, A., Miyata, R., Hamaji, M., Kajihara, H., Takeda, M."Proliferative escalation and possible neuroendocrine carcinoma transformation in pulmonary metastases of a cervical neuroendocrine tumor: A case report". Oncology Letters 31.4 (2026): 148.
Chicago
Hara, N., Sasaki, R., Kojitani, Y., Yoshii, Y., Ota, M., Okazaki, S., Nitta, Y., Uchiyama, T., Yoshizawa, A., Miyata, R., Hamaji, M., Kajihara, H., Takeda, M."Proliferative escalation and possible neuroendocrine carcinoma transformation in pulmonary metastases of a cervical neuroendocrine tumor: A case report". Oncology Letters 31, no. 4 (2026): 148. https://doi.org/10.3892/ol.2026.15501
Follow us
  • Twitter
  • LinkedIn
  • Facebook
About
  • Spandidos Publications
  • Careers
  • Cookie Policy
  • Privacy Policy
How can we help?
  • Help
  • Live Chat
  • Contact
  • Email to our Support Team