Spandidos Publications Logo
  • About
    • About Spandidos
    • Aims and Scopes
    • Abstracting and Indexing
    • Editorial Policies
    • Reprints and Permissions
    • Job Opportunities
    • Terms and Conditions
    • Contact
  • Journals
    • All Journals
    • Oncology Letters
      • Oncology Letters
      • Information for Authors
      • Editorial Policies
      • Editorial Board
      • Aims and Scope
      • Abstracting and Indexing
      • Bibliographic Information
      • Archive
    • International Journal of Oncology
      • International Journal of Oncology
      • Information for Authors
      • Editorial Policies
      • Editorial Board
      • Aims and Scope
      • Abstracting and Indexing
      • Bibliographic Information
      • Archive
    • Molecular and Clinical Oncology
      • Molecular and Clinical Oncology
      • Information for Authors
      • Editorial Policies
      • Editorial Board
      • Aims and Scope
      • Abstracting and Indexing
      • Bibliographic Information
      • Archive
    • Experimental and Therapeutic Medicine
      • Experimental and Therapeutic Medicine
      • Information for Authors
      • Editorial Policies
      • Editorial Board
      • Aims and Scope
      • Abstracting and Indexing
      • Bibliographic Information
      • Archive
    • International Journal of Molecular Medicine
      • International Journal of Molecular Medicine
      • Information for Authors
      • Editorial Policies
      • Editorial Board
      • Aims and Scope
      • Abstracting and Indexing
      • Bibliographic Information
      • Archive
    • Biomedical Reports
      • Biomedical Reports
      • Information for Authors
      • Editorial Policies
      • Editorial Board
      • Aims and Scope
      • Abstracting and Indexing
      • Bibliographic Information
      • Archive
    • Oncology Reports
      • Oncology Reports
      • Information for Authors
      • Editorial Policies
      • Editorial Board
      • Aims and Scope
      • Abstracting and Indexing
      • Bibliographic Information
      • Archive
    • Molecular Medicine Reports
      • Molecular Medicine Reports
      • Information for Authors
      • Editorial Policies
      • Editorial Board
      • Aims and Scope
      • Abstracting and Indexing
      • Bibliographic Information
      • Archive
    • World Academy of Sciences Journal
      • World Academy of Sciences Journal
      • Information for Authors
      • Editorial Policies
      • Editorial Board
      • Aims and Scope
      • Abstracting and Indexing
      • Bibliographic Information
      • Archive
    • International Journal of Functional Nutrition
      • International Journal of Functional Nutrition
      • Information for Authors
      • Editorial Policies
      • Editorial Board
      • Aims and Scope
      • Abstracting and Indexing
      • Bibliographic Information
      • Archive
    • International Journal of Epigenetics
      • International Journal of Epigenetics
      • Information for Authors
      • Editorial Policies
      • Editorial Board
      • Aims and Scope
      • Abstracting and Indexing
      • Bibliographic Information
      • Archive
    • Medicine International
      • Medicine International
      • Information for Authors
      • Editorial Policies
      • Editorial Board
      • Aims and Scope
      • Abstracting and Indexing
      • Bibliographic Information
      • Archive
  • Articles
  • Information
    • Information for Authors
    • Information for Reviewers
    • Information for Librarians
    • Information for Advertisers
    • Conferences
  • Language Editing
Spandidos Publications Logo
  • About
    • About Spandidos
    • Aims and Scopes
    • Abstracting and Indexing
    • Editorial Policies
    • Reprints and Permissions
    • Job Opportunities
    • Terms and Conditions
    • Contact
  • Journals
    • All Journals
    • Biomedical Reports
      • Information for Authors
      • Editorial Policies
      • Editorial Board
      • Aims and Scope
      • Abstracting and Indexing
      • Bibliographic Information
      • Archive
    • Experimental and Therapeutic Medicine
      • Information for Authors
      • Editorial Policies
      • Editorial Board
      • Aims and Scope
      • Abstracting and Indexing
      • Bibliographic Information
      • Archive
    • International Journal of Epigenetics
      • Information for Authors
      • Editorial Policies
      • Editorial Board
      • Aims and Scope
      • Abstracting and Indexing
      • Bibliographic Information
      • Archive
    • International Journal of Functional Nutrition
      • Information for Authors
      • Editorial Policies
      • Editorial Board
      • Aims and Scope
      • Abstracting and Indexing
      • Bibliographic Information
      • Archive
    • International Journal of Molecular Medicine
      • Information for Authors
      • Editorial Policies
      • Editorial Board
      • Aims and Scope
      • Abstracting and Indexing
      • Bibliographic Information
      • Archive
    • International Journal of Oncology
      • Information for Authors
      • Editorial Policies
      • Editorial Board
      • Aims and Scope
      • Abstracting and Indexing
      • Bibliographic Information
      • Archive
    • Medicine International
      • Information for Authors
      • Editorial Policies
      • Editorial Board
      • Aims and Scope
      • Abstracting and Indexing
      • Bibliographic Information
      • Archive
    • Molecular and Clinical Oncology
      • Information for Authors
      • Editorial Policies
      • Editorial Board
      • Aims and Scope
      • Abstracting and Indexing
      • Bibliographic Information
      • Archive
    • Molecular Medicine Reports
      • Information for Authors
      • Editorial Policies
      • Editorial Board
      • Aims and Scope
      • Abstracting and Indexing
      • Bibliographic Information
      • Archive
    • Oncology Letters
      • Information for Authors
      • Editorial Policies
      • Editorial Board
      • Aims and Scope
      • Abstracting and Indexing
      • Bibliographic Information
      • Archive
    • Oncology Reports
      • Information for Authors
      • Editorial Policies
      • Editorial Board
      • Aims and Scope
      • Abstracting and Indexing
      • Bibliographic Information
      • Archive
    • World Academy of Sciences Journal
      • Information for Authors
      • Editorial Policies
      • Editorial Board
      • Aims and Scope
      • Abstracting and Indexing
      • Bibliographic Information
      • Archive
  • Articles
  • Information
    • For Authors
    • For Reviewers
    • For Librarians
    • For Advertisers
    • Conferences
  • Language Editing
Login Register Submit
  • This site uses cookies
  • You can change your cookie settings at any time by following the instructions in our Cookie Policy. To find out more, you may read our Privacy Policy.

    I agree
Search articles by DOI, keyword, author or affiliation
Search
Advanced Search
presentation
Oncology Letters
Join Editorial Board Propose a Special Issue
Print ISSN: 1792-1074 Online ISSN: 1792-1082
Journal Cover
May-2026 Volume 31 Issue 5

Full Size Image

Sign up for eToc alerts
Recommend to Library

Journals

International Journal of Molecular Medicine

International Journal of Molecular Medicine

International Journal of Molecular Medicine is an international journal devoted to molecular mechanisms of human disease.

International Journal of Oncology

International Journal of Oncology

International Journal of Oncology is an international journal devoted to oncology research and cancer treatment.

Molecular Medicine Reports

Molecular Medicine Reports

Covers molecular medicine topics such as pharmacology, pathology, genetics, neuroscience, infectious diseases, molecular cardiology, and molecular surgery.

Oncology Reports

Oncology Reports

Oncology Reports is an international journal devoted to fundamental and applied research in Oncology.

Experimental and Therapeutic Medicine

Experimental and Therapeutic Medicine

Experimental and Therapeutic Medicine is an international journal devoted to laboratory and clinical medicine.

Oncology Letters

Oncology Letters

Oncology Letters is an international journal devoted to Experimental and Clinical Oncology.

Biomedical Reports

Biomedical Reports

Explores a wide range of biological and medical fields, including pharmacology, genetics, microbiology, neuroscience, and molecular cardiology.

Molecular and Clinical Oncology

Molecular and Clinical Oncology

International journal addressing all aspects of oncology research, from tumorigenesis and oncogenes to chemotherapy and metastasis.

World Academy of Sciences Journal

World Academy of Sciences Journal

Multidisciplinary open-access journal spanning biochemistry, genetics, neuroscience, environmental health, and synthetic biology.

International Journal of Functional Nutrition

International Journal of Functional Nutrition

Open-access journal combining biochemistry, pharmacology, immunology, and genetics to advance health through functional nutrition.

International Journal of Epigenetics

International Journal of Epigenetics

Publishes open-access research on using epigenetics to advance understanding and treatment of human disease.

Medicine International

Medicine International

An International Open Access Journal Devoted to General Medicine.

Journal Cover
May-2026 Volume 31 Issue 5

Full Size Image

Sign up for eToc alerts
Recommend to Library

  • Article
  • Citations
    • Cite This Article
    • Download Citation
    • Create Citation Alert
    • Remove Citation Alert
    • Cited By
  • Similar Articles
    • Related Articles (in Spandidos Publications)
    • Similar Articles (Google Scholar)
    • Similar Articles (PubMed)
  • Download PDF
  • Download XML
  • View XML

  • Supplementary Files
    • Supplementary_Data.pdf
Case Report Open Access

Metachronous primary non‑small cell lung cancer and mucinous tubular and spindle cell carcinoma of the left kidney: A case report

  • Authors:
    • Jin-Xia Zhao
    • Wei Zhu
    • Jie-Bin Pan
    • Peng-Fei Sun
  • View Affiliations / Copyright

    Affiliations: Department of Radiotherapy, The Second Hospital of Lanzhou University, Lanzhou, Gansu 730000, P.R. China, Department of Pathology, The Second Hospital of Lanzhou University, Lanzhou, Gansu 730000, P.R. China, Department of General Surgery, The Second Hospital of Lanzhou University, Lanzhou, Gansu 730000, P.R. China
    Copyright: © Zhao et al. This is an open access article distributed under the terms of Creative Commons Attribution License.
  • Article Number: 157
    |
    Published online on: March 4, 2026
       https://doi.org/10.3892/ol.2026.15510
  • Expand metrics +
Metrics: Total Views: 0 (Spandidos Publications: | PMC Statistics: )
Metrics: Total PDF Downloads: 0 (Spandidos Publications: | PMC Statistics: )
Cited By (CrossRef): 0 citations Loading Articles...

This article is mentioned in:


Abstract

Multiple primary malignant tumors (MPMTs) refer to two or more independent malignancies occurring at different anatomical sites. The present study reports the first documented case of metachronous primary lung adenocarcinoma and renal mucinous tubular and spindle cell carcinoma (MTSCC). A 69‑year‑old man underwent a radical lobectomy for stage IIB (pT2aN1M0) lung adenocarcinoma followed by adjuvant chemotherapy. A routine 10‑month postoperative follow‑up computed tomography scan revealed an ill‑defined left renal mass. Subsequently, a partial nephrectomy was performed. Histopathological examination confirmed MTSCC. No recurrence was observed after 3 years of surveillance. The present study is, to the best of our knowledge, the first to report the association between lung adenocarcinoma and MTSCC, which highlights the necessity to consider a new primary malignancy in cancer survivors with new lesions. The present case highlights the critical role of integrated histopathological and immunohistochemical evaluation in distinguishing rare primary cancers, such as MTSCC, from metastasis, thus guiding appropriate therapy.

Introduction

Advances in diagnostics, treatment and patient longevity have contributed to the increasing incidence of multiple primary malignant tumors (MPMTs), defined as two or more histologically distinct malignancies in a single individual (1). MPMTs are classified as synchronous or metachronous based on the timing of diagnosis, with the latter often being associated with a poorer prognosis. First described in the late 19th century, formal diagnostic criteria for MPMTs were established by Warren and Gates (2) in 1932 and require each tumor to be: i) Pathologically malignant, ii) histologically distinct and iii) not representing metastasis of the other tumor. Malignancies diagnosed within a 6-month interval are considered synchronous (2). The reported incidence of MPMTs ranges from 0.52 to 11.7%, with a higher prevalence in men >50 years old, and the most common combination is adenocarcinoma and squamous cell carcinoma (3). Established risk factors include smoking and heavy alcohol intake (4,5). In addition, patients with MPMT may have a family history of cancer, while other patients are sporadic and may possess DNA mismatch repair gene mutations (6). The diagnosis of MPMTs relies on pathological, histological and immunohistochemical examinations, although no standardized treatment guidelines are available at present. Due to the current lack of standardized treatment guidelines, management is individualized and based on tumor pathology, stage and patient tolerance, ranging from radical to palliative intent.

MTSCC of the kidney is an extremely rare malignant epithelial tumor of the kidney, accounting for <1% of all primary renal tumors (7). Recognized as a distinct entity in the 2004 World Health Organization (WHO) classification (8), MTSCC predominantly affects middle-aged and elderly patients (mean age, ~58 years) and exhibits a significant female predominance (male:female ratio, ~1:3) (9). Characteristic histopathology involves bland spindle cells and tubular structures within a mucinous stroma, with a typical immunophenotype [positive for cytokeratin (CK)7, α-methylacyl-CoA racemase and E-cadherin, and usually negative for high-molecular-weight CKs] (9). Most cases follow an indolent course, and nephron-sparing surgery is often curative (10). However, a minority of patients exhibit aggressive features (such as sarcomatoid transformation and metastasis), which are associated with complex cytogenetic abnormalities (such as multiple chromosome losses) and specific gene deletions (such as CDKN2A/2B) (11,12). Comprehensive pathological evaluation supplemented by immunohistochemistry and molecular analysis is therefore crucial for an accurate diagnosis and prognosis.

To the best of our knowledge, the present case represents the first documented occurrence of metachronous primary lung adenocarcinoma and renal MTSCC. Although histologically distinct, potentially shared pathophysiological mechanisms warrant further consideration and may include: i) Common environmental carcinogen exposure (for example, tobacco smoke, a known risk factor for both lung and some renal carcinomas) (13,14); ii) shared genetic susceptibility, such as underlying germline mutations in cancer predisposition genes or age-related genomic instability, which could facilitate the development of independent primaries (15); and iii) altered immune surveillance in the context of aging and previous oncological treatment (16,17). Positioning this case within the broader literature relating to MPMT emphasizes the unique nature of the present patient. Unlike more common combinations (such as dual aerodigestive tract carcinomas) (18), the concurrence of a pulmonary adenocarcinoma with a rare renal subtype such as MTSCC is exceptional. This highlights the diverse spectrum of MPMTs, reinforces the critical need for meticulous pathological workup to exclude metastasis, and contributes to a more nuanced understanding of the etiological and clinical landscape of multiple primary cancers.

Case report

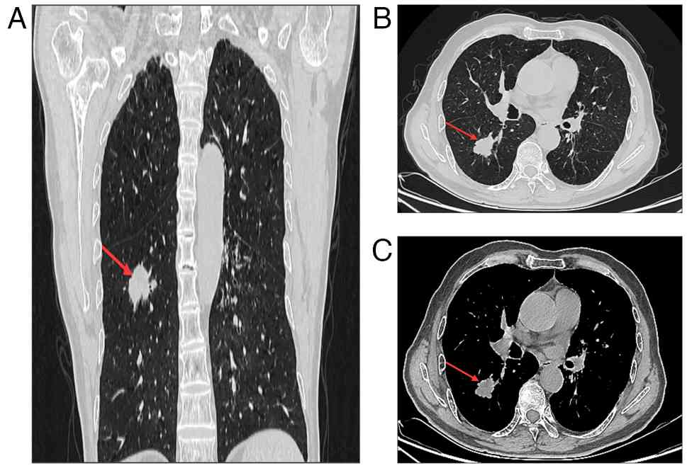
A 69-year-old man first presented to The Second Hospital of Lanzhou University (Lanzhou, China) in June 2021 with a chronic cough but without dyspnea for 2 months, and with no history of pulmonary disease. The patient had smoked 15 cigarettes daily for 43 years and had not experienced recent weight loss. Throughout the 2-month period, the patient had maintained a good mental status and a clear consciousness, with appetite being unaffected and sleep being undisturbed. Normal bowel movements were noted, with no symptoms of urinary frequency, urgency, pain or hematuria. A physical examination indicated normal skin and conjunctiva, clear lung breath sounds, no tenderness or rebound tenderness in the abdomen, painless percussion over the kidney area and no lower limb swelling. The patient had been diagnosed with depression 3 years previously and had no other surgical or traumatic history. Computed tomography (CT) revealed a mass in the dorsal segment of the lower lobe of the right lung, measuring ~3.3×2.6×2.5 cm, along with enlargement of the mediastinal and hilar lymph nodes (Fig. 1). Additional imaging, including contrast-enhanced abdominal CT, magnetic resonance imaging (MRI) of the brain and a bone scan, revealed no abnormalities. Based on these findings, the patient was clinically staged as stage IB (cT2aN0M0), according to the TNM classification system (19).

Computed tomography scan of the chest.
(A) A lobular soft-tissue mass measuring ~33×26×25 mm was visible
in the right lung. In addition, the mass was visible in both (B)
lung window and (C) mediastinal window views. Lesions are indicated
by red arrows.

Figure 1.

Computed tomography scan of the chest. (A) A lobular soft-tissue mass measuring ~33×26×25 mm was visible in the right lung. In addition, the mass was visible in both (B) lung window and (C) mediastinal window views. Lesions are indicated by red arrows.

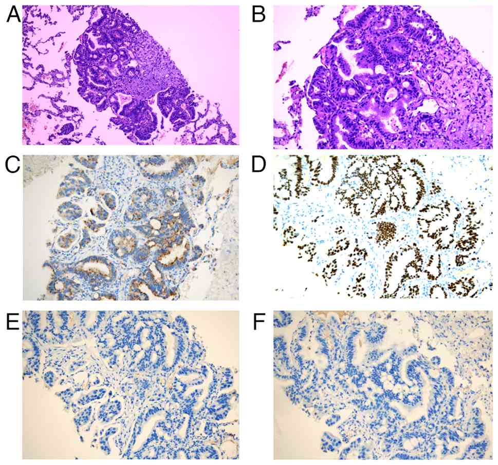
Analysis of tumor markers was indicative of primary NSCLC. Tumor biomarker profiling demonstrated notable increases in carcinoembryonic antigen (1,021.2 ng/ml; reference value, <4.7 ng/ml) levels, whereas routine hematological, coagulation and metabolic panels were normal. Subsequently, the patient underwent a right lower lobectomy. Postoperative pathology identified the tumor as lung invasive adenocarcinoma (Fig. 2) (20,21); the tumor was predominantly solid and cribriform, with components of tumor thrombus, micropapillary type and acinar structures. In addition, >90% of the tumor was high-grade. The size of the tumor was revised to 3.5×3.0×2.8 cm, with no invasion of the visceral pleura, or the bronchial and vascular stumps. There was no lymph node metastasis, with the exception of node number 12. Immunohistochemistry was positive for thyroid transcription factor-1 (TTF-1) and NapsinA, but negative for p40 and CK5/6. The Ki-67 index was 40%. The final postoperative stage was classified as T2aN1M0, stage IIB.

Histological and immunohistochemical
findings following lung cancer resection in July 2021. (A)
Hematoxylin and eosin staining (original magnification, ×100). (B)
Hematoxylin and eosin staining (original magnification, ×200).
Tumor cells were positive for (C) napsin A (magnification, ×200)
and (D) TTF-1 (magnification, ×200). (E) CK5/6 (magnification,
×200) and (F) p40 show negative staining (magnification, ×200);
CK5/6 is a marker for squamous cell carcinoma; NapsinA and TTF-1
are markers for adenocarcinoma. TTF-1, thyroid transcription
factor-1; CK, cytokeratin.

Figure 2.

Histological and immunohistochemical findings following lung cancer resection in July 2021. (A) Hematoxylin and eosin staining (original magnification, ×100). (B) Hematoxylin and eosin staining (original magnification, ×200). Tumor cells were positive for (C) napsin A (magnification, ×200) and (D) TTF-1 (magnification, ×200). (E) CK5/6 (magnification, ×200) and (F) p40 show negative staining (magnification, ×200); CK5/6 is a marker for squamous cell carcinoma; NapsinA and TTF-1 are markers for adenocarcinoma. TTF-1, thyroid transcription factor-1; CK, cytokeratin.

Tumor tissue was sent for next-generation sequencing-based targeted genomic profiling (OrigiMed; Zhiben Medical Technology Co., Ltd.) and revealed a missense mutation in TP53 exon 6, negative PD-L1 expression (tumor proportion score <1%) and a tumor mutational burden of 8.15 Mut/MB. The diagnosis was duly confirmed as adenocarcinoma. According to the 2022 Chinese Society of Clinical Oncology Guidelines (22), The patient was initiated on combination chemotherapy with docetaxel (75 mg/m2) and nedaplatin (100 mg/m2) administered on day 1 of a 21-day cycle. The patient completed four cycles and tolerated treatment well.

The plan post-chemotherapy was to perform enhanced chest and abdominal CT scans every 3 months for 1 year to assess the patient's condition. A CT scan at 3 months post-chemotherapy revealed a pulmonary artery embolism in the right upper lobe, and color Doppler ultrasound of the lower extremities revealed a thrombus in the right calf muscle vein (Fig. 3). Oral rivaroxaban (20 mg once daily) was administered for anticoagulant therapy. After 3 months of anticoagulation therapy, the pulmonary embolism had resolved.

Imaging findings of pulmonary embolism
and lower extremity thrombosis. (A) CT scan performed at 3 months
post-chemotherapy (axial view) revealing a pulmonary artery
embolism in the right upper lobe (indicated by the arrow). (B) CT
scan (coronal view) confirming the pulmonary artery embolism in the
right upper lobe. (C) Color Doppler ultrasound of the lower
extremities revealing a thrombus in the right calf muscle vein. (D)
Color Doppler ultrasound (cross-sectional view) further
demonstrating the thrombus within the right calf muscle vein.

Figure 3.

Imaging findings of pulmonary embolism and lower extremity thrombosis. (A) CT scan performed at 3 months post-chemotherapy (axial view) revealing a pulmonary artery embolism in the right upper lobe (indicated by the arrow). (B) CT scan (coronal view) confirming the pulmonary artery embolism in the right upper lobe. (C) Color Doppler ultrasound of the lower extremities revealing a thrombus in the right calf muscle vein. (D) Color Doppler ultrasound (cross-sectional view) further demonstrating the thrombus within the right calf muscle vein.

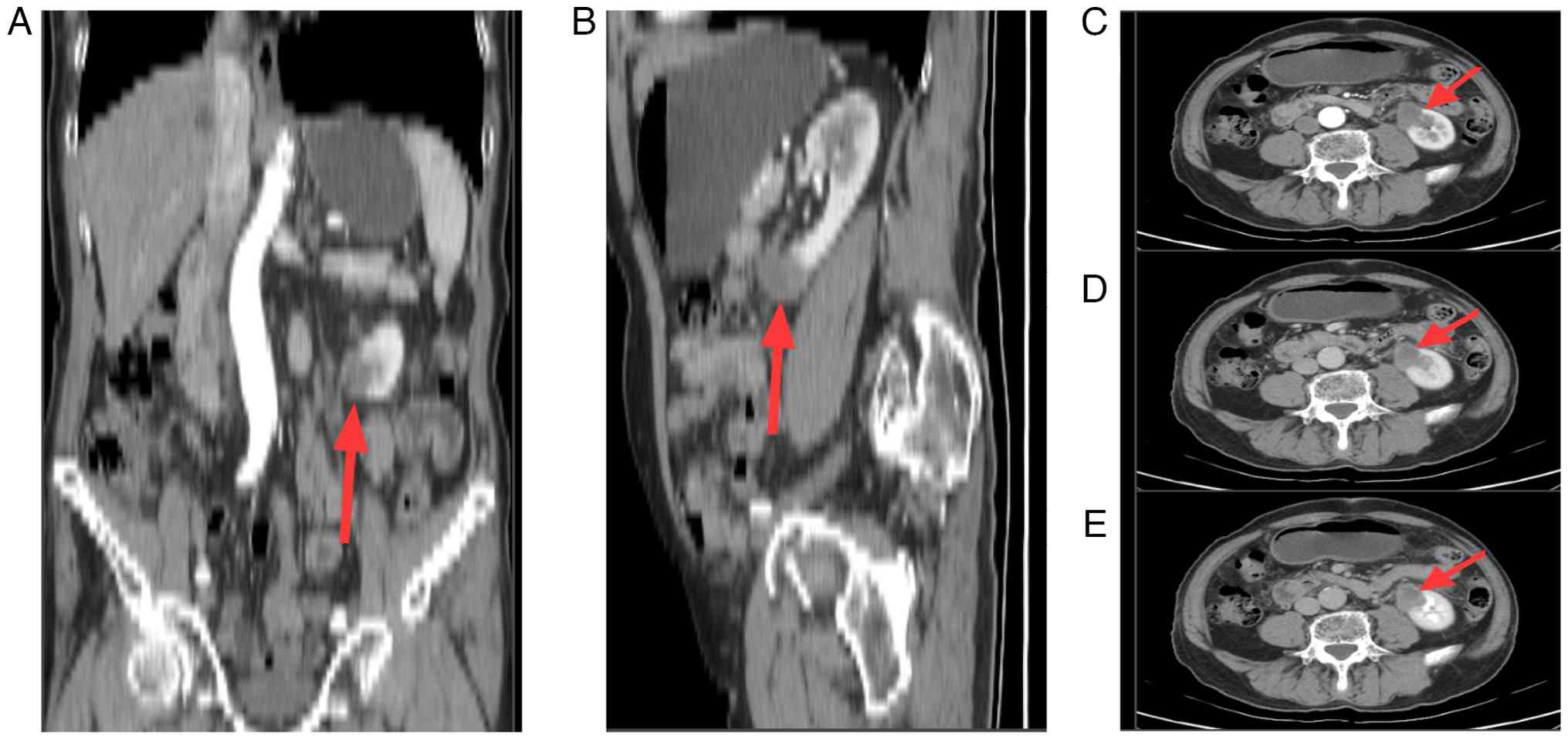
After a disease-free interval of ~9 months, enhanced abdominal CT scans revealed a round isodense lesion in the lower pole of the left kidney, mostly protruding beyond the renal contour, measuring ~2.5×3.0×2.6 cm, with progressive enhancement on the contrast scan (Fig. 4). Enhanced chest CT and enhanced brain MRI scans did not reveal any further metastases. Bone scans were negative. The patient was asymptomatic, without abdominal discomfort, hematuria or other urinary system symptoms. It was difficult to distinguish between incidental renal cell carcinoma and renal metastasis based on imaging alone, and the patient refused a biopsy of the renal lesions. Therefore, after multidisciplinary discussion, in a meeting involving urologic oncologists, medical oncologists, radiologists and pathologists, surgical treatment was recommended.

Results of preoperative abdominal
contrast-enhanced CT. Abdominal contrast-enhanced CT showed a
2.5×3.0×2.6-cm tumor in the lower pole of the left kidney. (A)
Coronal view. (B) Sagittal view (red arrow) revealed a
well-encapsulated mass in the left kidney. (C) Contrast-enhanced CT
scans showed mild enhancement that was less than that for the
cortex in the cortical phase (62 HU). (D) The attenuation of the
tumor (80 HU) was slightly increased (red arrow) in the medullary
phase. (E) In the delayed phase, the attenuation of the tumor
decreased to 75 HU (red arrow). CT, computed tomography.

Figure 4.

Results of preoperative abdominal contrast-enhanced CT. Abdominal contrast-enhanced CT showed a 2.5×3.0×2.6-cm tumor in the lower pole of the left kidney. (A) Coronal view. (B) Sagittal view (red arrow) revealed a well-encapsulated mass in the left kidney. (C) Contrast-enhanced CT scans showed mild enhancement that was less than that for the cortex in the cortical phase (62 HU). (D) The attenuation of the tumor (80 HU) was slightly increased (red arrow) in the medullary phase. (E) In the delayed phase, the attenuation of the tumor decreased to 75 HU (red arrow). CT, computed tomography.

The patient underwent a laparoscopic transperitoneal partial nephrectomy. The postoperative course was uneventful, and the patient was discharged 2 days after surgery. Pathological analysis revealed two pieces of gray-yellow to gray-brown tissue, measuring 5.5×3.0×2 cm, with a gray-yellow cut surface and a small amount of attached fat. Microscopically, the tumor was composed of tightly arranged, small and elongated tubules. Some tumor cells were spindle shaped, with a lightly stained mucinous stroma. The tumor cells forming the tubules were small, cuboidal or oval in shape. No nerves, vascular invasion or intravascular tumor thrombi were detected. Tumor invasion was not detected in the ipsilateral ureter or vascular margins. Immunohistochemistry results revealed the following results: A Ki-67 labeling index of ~20%, paired box protein Pax-8(+), CD117(−), CK7(+), napsin A(−) and TTF-1(−). Based on morphology and immunohistochemistry, the patient was finally diagnosed with high-grade MTSCC (Fig. 5). The patient declined genetic testing due to financial reasons. The tumor was classified as T1N0M0, WHO/International Society of Urological Pathology Grade 3 (23), but without sarcomatoid transformation. According to the American (UCLA Integrated Staging System) prognostic system (24,25), this patient was classified as low progression risk [TNM stage, T1N0M0; Fuhrman grade (26), 2; Eastern Cooperative Oncology Group performance status (27), 0] (28). Therefore, the postoperative monitoring plan involved clinical examinations (physical examination, tumor markers, creatinine, uric acid and urinalysis) and chest and abdominal CT scans every 6 months for 3 years, then once a year for 2 years, and thereafter once every 5 years. After 3 years of follow-up, the patient remains in good condition, with no local or contralateral recurrence, and no secondary lesions. The clinical timeline for this patient is summarized in Fig. 6. Written informed consent was obtained from the patient for the publication of this case report and any accompanying images. At initial diagnosis, the patient presented with an elevated CEA level, which normalized after surgery. The detailed laboratory monitoring during treatment and follow-up, including tumor marker, uric acid, and creatinine levels, is summarized in Tables SI and SII.

Histological and immunohistochemical
findings. (A) The tumor consisted of densely packed, small and
elongated tubules. Some tumor cells were spindle shaped. A pale,
mucinous-like stroma was visible. Tubule-forming tumor cells were
small, cuboidal or oval (hematoxylin-eosin staining; magnification,
×200). (B) Positive cytoplasmic staining of Ki-67 (magnification,
×200). (C and D) The stroma was myxoid with areas of extracellular
mucin (magnification, ×200). The tumor cells were positive for (E)
paired box protein Pax-8 and (F) cytokeratin 7.
Immunohistochemistry for (G) napsin A (magnification, ×200) and (H)
thyroid transcription factor-1 (magnification, ×200) was negative
in the left kidney, inconsistent with the primary pulmonary
localization.

Figure 5.

Histological and immunohistochemical findings. (A) The tumor consisted of densely packed, small and elongated tubules. Some tumor cells were spindle shaped. A pale, mucinous-like stroma was visible. Tubule-forming tumor cells were small, cuboidal or oval (hematoxylin-eosin staining; magnification, ×200). (B) Positive cytoplasmic staining of Ki-67 (magnification, ×200). (C and D) The stroma was myxoid with areas of extracellular mucin (magnification, ×200). The tumor cells were positive for (E) paired box protein Pax-8 and (F) cytokeratin 7. Immunohistochemistry for (G) napsin A (magnification, ×200) and (H) thyroid transcription factor-1 (magnification, ×200) was negative in the left kidney, inconsistent with the primary pulmonary localization.

Timeline of treatment interventions.
CT, computed tomography.

Figure 6.

Timeline of treatment interventions. CT, computed tomography.

Pathological analysis

All postoperative specimens were fixed in 4% neutral formaldehyde, routinely dehydrated and embedded in paraffin. Continuous sections 4-µm thick were prepared and stained with hematoxylin and eosin (HE). Immunohistochemistry employed the SP method. Primary rat anti-human monoclonal antibodies for CK5/6 (cat. no. ZM-0313; dilution, 1:120), p40 (cat. no. ZM-0472; dilution, 1:60), Napsin A (cat. no. ZM-0473; dilution, 1:100) and TTF-1 (cat. no. ZM-0270; dilution, 1:100) were purchased from Beijing Zhongshan Jinqiao Biotechnology Co., Ltd. Immunohistochemical procedures strictly followed kit protocols. PBS served as the primary antibody negative control. TTF-1 and Ki-67 was localized to the nucleus, with positive expression appearing as yellow-brown granular deposits in the nucleus. NapsinA positive staining was located in the cytoplasm, appearing as punctate or granular staining. p40 positive staining was predominantly cytoplasmic, appearing as yellow or brownish-yellow granules. p63 staining was considered positive only when diffusely strongly expressed in the nucleus. Cells were graded by percentage as follows: No positive cells (−); <30% positive cells (+); 30–50% positive cells (++); and >50% positive cells (+++).

Discussion

The patient in the present case was diagnosed with metachronous NSCLC and MTSCC. For cancer survivors, detecting a new mass necessitates differentiating between metastasis and a second primary malignancy, which directly dictates the strategy to be used for clinical management. To the best of our knowledge, no previous cases of these concurrent tumors have been reported in the literature.

NSCLC is the leading cause of cancer-related death and represents ~85% of all lung cancer cases (29). MTSCC constitutes <1% of all renal cell carcinoma (RCC) cases (30). Although initially classified as a low-grade neoplasm, the potential of MTSCC for aggressive behavior has now been recognized, and the term ‘indolent renal carcinoma’ was removed from the 2016 WHO classification (31–34). Histopathological and immunohistochemical analysis remains the cornerstone for a definitive diagnosis (14). As illustrated in Table I, the systematic application of clinical context, imaging features, distinctive morphology and lineage-specific immunohistochemistry profiles is essential to accurately distinguish MTSCC from renal metastasis and other RCC subtypes.

Table I.

Comparison between MTSCC and other relevant differential diagnoses.

Table I.

Comparison between MTSCC and other relevant differential diagnoses.

FeatureRenal metastasisPrimary renal MTSCCPrimary renal PRCC
IncidenceRelatively uncommon, accounting for 2–12% of renal malignancies. Common primaries include lung, breast and gastric cancers, and melanoma.Extremely rare, constituting <1% of RCCs. With <100 cases reported in the literature. Female predominance (M:F=1:4).Relatively common, representing 10–15% of RCCs. The second most common RCC subtype. Slight male predominance.
Key clinical featuresi) Often a history of a primary malignancy elsewhere; ii) frequently discovered in the setting of widespread metastatic disease; and iii) may be asymptomatic or present with hematuria/flank pain.i) Most are incidental findings on imaging; and ii) can present with flank pain or hematuria.i) Vast majority are incidental findings; and ii) may present with hematuria, flank pain or an abdominal mass.
Imaging characteristics (CT)Non-specific. Common features include: i) Multiple, bilateral, small (<3 cm) parenchymal masses; ii) mild to moderate, heterogeneous enhancement on contrast; and iii) a wedge-shaped, endophytic growth pattern.Characteristic ‘progressive enhancement’: i) Non-contrast: Iso- or hypodense; ii) postcontrast: Mild enhancement in the corticomedullary phase, with persistent, progressive enhancement in the nephrographic/excretory phases (‘slow wash-in, slow wash-out’), and less than normal parenchyma.Also exhibits ‘progressive enhancement’, often indistinguishable from MTSCC on imaging. i) Non-contrast may be slightly hyperdense (due to hemosiderin); and ii) more prone to cystic change and calcification.
Definitive pathological diagnosisMorphology identical to the primary tumor. IHC: Pax-8-negative, positive for primary site markers (such as TTF-1 for the lungs).Pathognomonic: Microscopy shows a triphasic pattern of tightly packed, elongated tubules + spindle cells + pale myxoid stroma, often blending. IHC profile: Pax-8+, CK7+, vimentin+, CAIX−, CD10 (variable; + in the present case). The present case exhibited all of the aforementioned features, with a high Ki-67 (~20%), diagnosing high-grade MTSCC.Pathognomonic: True papillary structures with fibrovascular cores. Lacks myxoid stroma. IHC profile: Pax-8+, CK7+, CD10 (typically strong/diffuse +) and AMACR+.
Molecular featuresGenomic profile matches the primary carcinoma.Characteristic multiple chromosomal losses (for example, 1, 4, 6, 8, 9, 13, 14, 15 and 22). Absence of gains in chromosomes 7/17.Characteristic trisomy/multisomy of chromosomes 7 and 17, often with loss of chromosome Y.
Primary treatmentSystemic therapy is the mainstay (chemotherapy, targeted therapy and immunotherapy), based on primary tumor type. Surgical resection or SBRT may be considered for isolated metastases.Radical/partial nephrectomy is the only curative modality. For high-grade, locally advanced disease (pT2bN1 in the present case), multidisciplinary discussion for adjuvant targeted therapy (such as sunitinib) is warranted post-operatively.Radical/partial nephrectomy. For advanced/metastatic disease, targeted therapies (such as cabozantinib and sunitinib) or immunocombinations are used.
PrognosisGenerally poor, dictated by the biology of the primary tumor and metastatic burden.Bimodal distribution: i) Typical/low-grade MTSCC: indolent, excellent prognosis, near 100% 5-year survival; and ii) high-grade/sarcomatoid MTSCC: Aggressive, significantly worse prognosis, prone to metastasis/recurrence.Depends on subtype and grade: i) Type I PRCC: Favorable prognosis; and ii) type II or high-grade PRCC: Poorer prognosis, with higher metastatic potential than typical MTSCC.

[i] CT, computed tomography; RCC, renal cell carcinoma; PRCC, papillary RCC; MTSCC, mucinous tubular and spindle cell carcinoma; SBRT, stereotactic body radiotherapy; AMACR, α-methylacyl-CoA racemase. Pax-8, paired box protein Pax-8; TTF-1, thyroid transcription factor 1; IHC, immunohistochemistry; M, male; F, female; CK, cytokeratin; CAIX, carbonic anhydrase 9.

Beyond morphology, elucidating the molecular mechanisms underlying such rare metachronous malignancies holds marked promise. Genomic sequencing could reveal whether these independent primary cancers share common susceptibility factors (for example, germline mutations or signatures of environmental carcinogen exposure) or possess entirely distinct driver profiles. While such analyses were not pursued in the present case due to patient preference and resource constraints, a common challenge in real-world clinical practice, this highlights a critical gap and an important direction for future research. Establishing collaborative frameworks and funding pathways to support the molecular characterization of rare tumor combinations is essential to advance our understanding of their biology and to identify potential therapeutic targets.

The rise in MPMT incidence is likely due to the growing number of cancer survivors, the long-term side effects of chemotherapy and radiotherapy, and the influences from genetic, environmental and endocrine factors (35,36). Tobacco and alcohol use may heighten the risk of multiple independent malignant foci in mucosal epithelial cells (36). Radiotherapy is also implicated in the development of MPMTs (37). In the context of molecular mechanisms, a potential commonality between lung adenocarcinoma and MTSCC may lie in the dysregulation of the Hippo signaling pathway. In lung adenocarcinoma, functional inactivation of the upstream kinases mammalian STE20-like protein kinase 1/2 is associated with tumor progression and can lead to aberrant activation of the downstream oncogenic effectors yes-associated protein (YAP)/transcriptional coactivator with PDZ-binding motif (38). Notably, MTSCC is characterized by a distinct molecular alteration, namely, the frequent occurrence of biallelic loss of core Hippo pathway tumor suppressor genes, such as protein tyrosine phosphatase non-receptor type 14, neurofibromin-2 and salvador homolog 1. This genetic loss similarly results in persistent nuclear accumulation and activation of YAP1 (39,40). Therefore, the inactivation of the Hippo pathway and the consequent dysregulation of its key downstream effectors may serve as a plausible molecular explanation for the co-occurrence of these two metachronous malignancies. This observation also provides a rationale for future exploration of therapeutic strategies targeting this pathway.

The present case highlights key clinical implications. First, an integrated diagnostic approach combining clinical features, imaging and definitive pathology is essential. Second, the case emphasizes the need for structured, long-term, cross-organ surveillance in cancer survivors, particularly those with persistent risk factors. Finally, management should adopt a multidisciplinary team framework, prioritizing curative surgery when possible, with adjuvant therapy guided by specific pathology and the stage of each primary tumor.

In summary, enhancing awareness of multiple primary malignancies is crucial to avoid misdiagnosis. Distinguishing between metastasis and an independent primary tumor directly guides therapeutic strategy and prognosis. Regular follow-up and lifestyle modifications, such as smoking cessation, remain integral to comprehensive survivorship care.

In conclusion, the present study reports a rare case of metachronous primary NSCLC and MTSCC. The case highlights a critical clinical principle in that, for all cancer survivors, a new mass should be investigated as a potential second primary malignancy and not merely presumed as representing metastatic disease. Accurate differentiation relies upon definitive histopathological and immunohistochemical evaluation. Finally, the case emphasizes the necessity of maintaining a high index of diagnostic suspicion and implementing structured and long-term surveillance to optimize outcomes in patients with multiple primary tumors.

Supplementary Material

Supporting Data

Acknowledgements

Not applicable.

Funding

The present study was supported by the Natural Science Foundation of Gansu Province (grant no. 24JRRA1090).

Availability of data and materials

All data generated in the present study are included in the figures and/or tables of this article.

Authors' contributions

JXZ conceived the study, acquired, analyzed and interpreted the data, and wrote the manuscript. PFS contributed to the clinical interpretation and differential diagnosis, and critically revised the manuscript. WZ performed pathological evaluations and revised the manuscript as a pathologist. JXZ, PFS, JBP and WZ contributed to clinical investigation and data acquisition (dialysis parameters, laboratory and imaging data), participated in diagnostic discussions, conducted the literature review, revised the Discussion and critically revised the manuscript. JXZ and PFS confirm the authenticity of all raw data. All authors have read and approved the final version of the manuscript.

Ethics approval and consent to participate

This case report was approved by the Ethics Committee of the Second Hospital of Lanzhou University (Lanzhou, China; approval no. 2024A-803).

Patient consent for publication

Written informed consent was obtained from the patient for the publication of this case report, including any potentially identifiable images or data.

Competing interests

The authors declare that they have no competing interests.

References

1 

Matzkin H and Braf Z: Multiple primary malignant neoplasms in the genitourinary tract: Occurrence and etiology. J Urol. 142:1–12. 1989. View Article : Google Scholar : PubMed/NCBI

2 

Warren S and Gates O: Multiple primary malignant tumors. A survey of the literature and statistical study. Am J Cancer. 16:1358–1414. 1932.

3 

Lv M, Zhang X, Shen Y, Wang F and Yang J, Wang B, Chen Z, Li P, Zhang X, Li S and Yang J: Clinical analysis and prognosis of synchronous and metachronous multiple primary malignant tumors. Medicine (Baltimore). 96:e67992017. View Article : Google Scholar : PubMed/NCBI

4 

Vogt A, Schmid S, Heinimann K, Frick H, Herrmann C, Cerny T and Omlin A: Multiple primary tumours: Challenges and approaches, a review. ESMO Open. 2:e0001722017. View Article : Google Scholar : PubMed/NCBI

5 

Irelli A, Sirufo MM, D'Ugo C, Ginaldi L and De Martinis M: Sex and gender influences on cancer immunotherapy response. Biomedicines. 8:2322020. View Article : Google Scholar : PubMed/NCBI

6 

Kong P, Wu R, Lan Y, He W, Yang C, Yin C, Yang Q, Jiang C, Xu D and Xia L: Association between Mismatch-repair genetic variation and the risk of multiple primary cancers: A meta-analysis. J Cancer. 8:3296–3308. 2017. View Article : Google Scholar : PubMed/NCBI

7 

Ordóñez NG and Mackay B: Renal cell carcinoma with unusual differentiation. Ultrastruct Pathol. 20:27–30. 1996. View Article : Google Scholar : PubMed/NCBI

8 

Lopez-Beltran A, Scarpelli M, Montironi R and Kirkali Z: 2004 WHO classification of the renal tumors of the adults. Eur Urol. 49:798–805. 2006. View Article : Google Scholar : PubMed/NCBI

9 

Ged Y, Chen YB, Knezevic A, Donoghue MTA, Carlo MI, Lee MI, Feldman MI, Patil MI, Hakimi MI, Russo P, et al: Mucinous tubular and spindle-cell carcinoma of the kidney: Clinical features, genomic profiles, and treatment outcomes. Clin Genitourin Cancer. 17:268–274.e1. 2019. View Article : Google Scholar : PubMed/NCBI

10 

Ivey JA III, Cortese C, Baird BA, Thiel DD and Lyon TD: Mucinous tubular and spindle cell carcinoma of the kidney with nodal metastasis managed with surgical resection. Eur Urol Open Sci. 29:10–14. 2021. View Article : Google Scholar : PubMed/NCBI

11 

Yang C, Cimera RS, Aryeequaye R, Jayakumaran G, Sarungbam J, Al-Ahmadie HA, Gopalan A, Sirintrapun SJ, Fine SW, Tickoo SK, et al: Adverse histology, homozygous loss of CDKN2A/B, and complex genomic alterations in locally advanced/metastatic renal mucinous tubular and spindle cell carcinoma. Mod Pathol. 34:445–456. 2021. View Article : Google Scholar : PubMed/NCBI

12 

Trpkov K, Hes O, Williamson SR, Adeniran AJ, Agaimy A, Alaghehbandan R, Amin MB, Argani P, Chen YB, Cheng L, et al: New developments in existing WHO entities and evolving molecular concepts: The Genitourinary Pathology Society (GUPS) update on renal neoplasia. Mod Pathol. 34:1392–1424. 2021. View Article : Google Scholar : PubMed/NCBI

13 

He H, He MM, Wang H, Qiu W, Liu L, Long L, Shen Q, Zhang S, Qin S, Lu Z, et al: In utero and childhood/adolescence exposure to tobacco smoke, genetic risk, and lung cancer incidence and mortality in adulthood. Am J Respir Crit Care Med. 207:173–182. 2023. View Article : Google Scholar : PubMed/NCBI

14 

Hou Y, Zhang Q and Ma B: Kidney, prostate, and bladder cancer Burden attributable to tobacco smoke exposure in BRICS Countries from 1990 to 2021: A systematic analysis based on the global Burden of disease study. Healthcare (Basel). 13:30822025. View Article : Google Scholar : PubMed/NCBI

15 

Zou M, Deng R, Liu H, Qiu J, Tian P, Shang J, Zhou J, Li X, Cai L, Wang Y and Gong K: Risk-based screening and prognostic analysis for second primary malignancies in kidney cancer patients: A retrospective cohort study based on large-scale population and Mendelian randomization analysis. Int J Med Sci. 22:4432–4450. 2025. View Article : Google Scholar : PubMed/NCBI

16 

Kejamurthy P and Devi KTR: Immune checkpoint inhibitors and cancer immunotherapy by aptamers: An overview. Med Oncol. 41:402023. View Article : Google Scholar : PubMed/NCBI

17 

Tang C, Hartley GP, Couillault C, Yuan Y, Lin H, Nicholas C, Srinivasamani A, Dai J, Dumbrava EEI, Fu S, et al: Preclinical study and parallel phase II trial evaluating antisense STAT3 oligonucleotide and checkpoint blockade for advanced pancreatic, non-small cell lung cancer and mismatch repair-deficient colorectal cancer. BMJ Oncol. 3:e0001332024. View Article : Google Scholar : PubMed/NCBI

18 

Yang XB, Zhang LH, Xue JN, Wang YC, Yang X, Zhang N, Liu D, Wang YY, Xun ZY, Li YR, et al: High incidence combination of multiple primary malignant tumors of the digestive system. World J Gastroenterol. 28:5982–5992. 2022. View Article : Google Scholar : PubMed/NCBI

19 

Lim W, Ridge CA, Nicholson AG and Mirsadraee S: The 8(th) lung cancer TNM classification and clinical staging system: Review of the changes and clinical implications. Quant Imaging Med Surg. 8:709–718. 2018. View Article : Google Scholar : PubMed/NCBI

20 

Zhang A, Sun Y, Xu S, He H and Cao D: The role of a panel of immunohistochemical markers in differential diagnosis between prhnary lung squamous cell carcinoma and adenocarcinoma in biopsies. J Diag Pathol. 23:70–73. 2016.(In Chinese).

21 

Mu X and Gao W: Application immunohistochemical markers such as TTF-1 in the diagnosis of non-small cell lung adenocarcinoma and squamous cell carcinoma in different ethnic groups. Chin J Surg Oncol. 17:69–74. 2025.(In Chinese).

22 

Chen P, Liu Y, Wen Y and Zhou C: Non-small cell lung cancer in China. Cancer Commun (Lond). 42:937–970. 2022. View Article : Google Scholar : PubMed/NCBI

23 

Perrino CM, Cramer HM, Chen S, Idrees MT and Wu HH: World Health Organization (WHO)/International Society of Urological Pathology (ISUP) grading in fine-needle aspiration biopsies of renal masses. Diagn Cytopathol. 46:895–900. 2018. View Article : Google Scholar : PubMed/NCBI

24 

Patard JJ, Kim HL, Lam JS, Dorey FJ, Pantuck AJ, Zisman A, Ficarra V, Han KR, Cindolo L, De La Taille A, et al: Use of the University of California Los Angeles integrated staging system to predict survival in renal cell carcinoma: an international multicenter study. J Clin Oncol. 22:3316–3322. 2004. View Article : Google Scholar : PubMed/NCBI

25 

Zisman A, Pantuck AJ, Dorey F, Said JW, Shvarts O, Quintana D, Gitlitz BJ, deKernion JB, Figlin RA and Belldegrun AS: Improved prognostication of renal cell carcinoma using an integrated staging system. J Clin Oncol. 19:1649–1657. 2001. View Article : Google Scholar : PubMed/NCBI

26 

Gudbjartsson T, Hardarson S, Petursdottir V, Thoroddsen A, Magnusson J and Einarsson GV: Histological subtyping and nuclear grading of renal cell carcinoma and their implications for survival: A retrospective nation-wide study of 629 patients. Eur Urol. 48:593–600. 2005. View Article : Google Scholar : PubMed/NCBI

27 

Oken MM, Creech RH, Tormey DC, Horton J, Davis TE, McFadden ET and Carbone PP: Toxicity and response criteria of the Eastern Cooperative Oncology Group. Am J Clin Oncol. 5:649–655. 1982. View Article : Google Scholar : PubMed/NCBI

28 

Ljungberg B, Albiges L, Abu-Ghanem Y, Bensalah K, Dabestani S, Fernández-Pello S, Giles RH, Hofmann F, Hora M, Kuczyk MA, et al: European association of urology guidelines on renal cell carcinoma: The 2019 update. Eur Urol. 75:799–810. 2019. View Article : Google Scholar : PubMed/NCBI

29 

Aramini B, Masciale V, Samarelli AV, Dubini A, Gaudio M, Stella F, Morandi U, Dominici M, De Biasi S, Gibellini L and Cossarizza A: Phenotypic, functional, and metabolic heterogeneity of immune cells infiltrating non-small cell lung cancer. Front Immunol. 13:9591142022. View Article : Google Scholar : PubMed/NCBI

30 

Moch H, Amin MB, Berney DM, Compérat EM, Gill AJ, Hartmann A, Menon S, Raspollini MR, Rubin MA, Srigley JR, et al: The 2022 World Health Organization classification of tumours of the urinary system and male genital organs-part A: Renal, penile, and testicular tumours. Eur Urol. 82:458–468. 2022. View Article : Google Scholar : PubMed/NCBI

31 

Wang H, Xie J, Lu C, Zhang D and Jiang J: Renal mucinous tubular and spindle cell carcinoma: Report of four cases and literature review. Int J Clin Exp Pathol. 8:3122–3126. 2015.PubMed/NCBI

32 

Isono M, Seguchi K, Yamanaka M, Miyai K, Okubo K and Ito K: Rapid progression of mucinous tubular and spindle cell carcinoma of the kidney without sarcomatoid changes: A case report. Urol Case Rep. 31:1011622020.PubMed/NCBI

33 

Rakozy C, Schmahl GE, Bogner S and Störkel S: Low-grade tubular-mucinous renal neoplasms: Morphologic, immunohistochemical, and genetic features. Mod Pathol. 15:1162–1171. 2002. View Article : Google Scholar : PubMed/NCBI

34 

Geramizadeh B, Salehipour M and Moradi A: Mucinous tubular and spindle cell carcinoma of kidney: A rare case report and review of the literature. Indian J Pathol Microbiol. 52:514–516. 2009. View Article : Google Scholar : PubMed/NCBI

35 

Bray F, Ferlay J, Soerjomataram I, Siegel RL, Torre LA and Jemal A: Global cancer statistics 2018: GLOBOCAN estimates of incidence and mortality worldwide for 36 cancers in 185 countries. CA Cancer J Clin. 68:394–424. 2018.PubMed/NCBI

36 

Oeffinger KC, Baxi SS, Novetsky Friedman D and Moskowitz CS: Solid tumor second primary neoplasms: Who is at risk, what can we do? Semin Oncol. 40:676–689. 2013. View Article : Google Scholar : PubMed/NCBI

37 

Berrington de Gonzalez A, Curtis RE, Kry SF, Gilbert E, Lamart S, Berg CD, Stovall M and Ron E: Proportion of second cancers attributable to radiotherapy treatment in adults: A cohort study in the US SEER cancer registries. Lancet Oncol. 12:353–360. 2011. View Article : Google Scholar : PubMed/NCBI

38 

Yang S, Xie H, Lin Q, Zhou L, Liu J, Fang Z, Tang Z, Yuan R, Su J, Li S, et al: EM2, a natural product MST1/2 kinase activator, suppresses non-small cell lung cancer via hippo pathway activation. Adv Sci (Weinh). 13:e105082026. View Article : Google Scholar : PubMed/NCBI

39 

Ren Q, Wang L, Al-Ahmadie HA, Fine SW, Gopalan A, Sirintrapun SJ, Tickoo SK, Reuter VE and Chen YB: Distinct genomic copy number alterations distinguish mucinous tubular and spindle cell carcinoma of the kidney from papillary renal cell carcinoma with overlapping histologic features. Am J Surg Pathol. 42:767–777. 2018. View Article : Google Scholar : PubMed/NCBI

40 

Yu FX, Zhao B and Guan KL: Hippo pathway in organ size control, tissue homeostasis, and cancer. Cell. 163:811–828. 2015. View Article : Google Scholar : PubMed/NCBI

Related Articles

  • Abstract
  • View
  • Download
  • Twitter
Copy and paste a formatted citation
Spandidos Publications style
Zhao J, Zhu W, Pan J and Sun P: Metachronous primary non‑small cell lung cancer and mucinous tubular and spindle cell carcinoma of the left kidney: A case report. Oncol Lett 31: 157, 2026.
APA
Zhao, J., Zhu, W., Pan, J., & Sun, P. (2026). Metachronous primary non‑small cell lung cancer and mucinous tubular and spindle cell carcinoma of the left kidney: A case report. Oncology Letters, 31, 157. https://doi.org/10.3892/ol.2026.15510
MLA
Zhao, J., Zhu, W., Pan, J., Sun, P."Metachronous primary non‑small cell lung cancer and mucinous tubular and spindle cell carcinoma of the left kidney: A case report". Oncology Letters 31.5 (2026): 157.
Chicago
Zhao, J., Zhu, W., Pan, J., Sun, P."Metachronous primary non‑small cell lung cancer and mucinous tubular and spindle cell carcinoma of the left kidney: A case report". Oncology Letters 31, no. 5 (2026): 157. https://doi.org/10.3892/ol.2026.15510
Copy and paste a formatted citation
x
Spandidos Publications style
Zhao J, Zhu W, Pan J and Sun P: Metachronous primary non‑small cell lung cancer and mucinous tubular and spindle cell carcinoma of the left kidney: A case report. Oncol Lett 31: 157, 2026.
APA
Zhao, J., Zhu, W., Pan, J., & Sun, P. (2026). Metachronous primary non‑small cell lung cancer and mucinous tubular and spindle cell carcinoma of the left kidney: A case report. Oncology Letters, 31, 157. https://doi.org/10.3892/ol.2026.15510
MLA
Zhao, J., Zhu, W., Pan, J., Sun, P."Metachronous primary non‑small cell lung cancer and mucinous tubular and spindle cell carcinoma of the left kidney: A case report". Oncology Letters 31.5 (2026): 157.
Chicago
Zhao, J., Zhu, W., Pan, J., Sun, P."Metachronous primary non‑small cell lung cancer and mucinous tubular and spindle cell carcinoma of the left kidney: A case report". Oncology Letters 31, no. 5 (2026): 157. https://doi.org/10.3892/ol.2026.15510
Follow us
  • Twitter
  • LinkedIn
  • Facebook
About
  • Spandidos Publications
  • Careers
  • Cookie Policy
  • Privacy Policy
How can we help?
  • Help
  • Live Chat
  • Contact
  • Email to our Support Team