Spandidos Publications Logo
  • About
    • About Spandidos
    • Aims and Scopes
    • Abstracting and Indexing
    • Editorial Policies
    • Reprints and Permissions
    • Job Opportunities
    • Terms and Conditions
    • Contact
  • Journals
    • All Journals
    • Oncology Letters
      • Oncology Letters
      • Information for Authors
      • Editorial Policies
      • Editorial Board
      • Aims and Scope
      • Abstracting and Indexing
      • Bibliographic Information
      • Archive
    • International Journal of Oncology
      • International Journal of Oncology
      • Information for Authors
      • Editorial Policies
      • Editorial Board
      • Aims and Scope
      • Abstracting and Indexing
      • Bibliographic Information
      • Archive
    • Molecular and Clinical Oncology
      • Molecular and Clinical Oncology
      • Information for Authors
      • Editorial Policies
      • Editorial Board
      • Aims and Scope
      • Abstracting and Indexing
      • Bibliographic Information
      • Archive
    • Experimental and Therapeutic Medicine
      • Experimental and Therapeutic Medicine
      • Information for Authors
      • Editorial Policies
      • Editorial Board
      • Aims and Scope
      • Abstracting and Indexing
      • Bibliographic Information
      • Archive
    • International Journal of Molecular Medicine
      • International Journal of Molecular Medicine
      • Information for Authors
      • Editorial Policies
      • Editorial Board
      • Aims and Scope
      • Abstracting and Indexing
      • Bibliographic Information
      • Archive
    • Biomedical Reports
      • Biomedical Reports
      • Information for Authors
      • Editorial Policies
      • Editorial Board
      • Aims and Scope
      • Abstracting and Indexing
      • Bibliographic Information
      • Archive
    • Oncology Reports
      • Oncology Reports
      • Information for Authors
      • Editorial Policies
      • Editorial Board
      • Aims and Scope
      • Abstracting and Indexing
      • Bibliographic Information
      • Archive
    • Molecular Medicine Reports
      • Molecular Medicine Reports
      • Information for Authors
      • Editorial Policies
      • Editorial Board
      • Aims and Scope
      • Abstracting and Indexing
      • Bibliographic Information
      • Archive
    • World Academy of Sciences Journal
      • World Academy of Sciences Journal
      • Information for Authors
      • Editorial Policies
      • Editorial Board
      • Aims and Scope
      • Abstracting and Indexing
      • Bibliographic Information
      • Archive
    • International Journal of Functional Nutrition
      • International Journal of Functional Nutrition
      • Information for Authors
      • Editorial Policies
      • Editorial Board
      • Aims and Scope
      • Abstracting and Indexing
      • Bibliographic Information
      • Archive
    • International Journal of Epigenetics
      • International Journal of Epigenetics
      • Information for Authors
      • Editorial Policies
      • Editorial Board
      • Aims and Scope
      • Abstracting and Indexing
      • Bibliographic Information
      • Archive
    • Medicine International
      • Medicine International
      • Information for Authors
      • Editorial Policies
      • Editorial Board
      • Aims and Scope
      • Abstracting and Indexing
      • Bibliographic Information
      • Archive
  • Articles
  • Information
    • Information for Authors
    • Information for Reviewers
    • Information for Librarians
    • Information for Advertisers
    • Conferences
  • Language Editing
Spandidos Publications Logo
  • About
    • About Spandidos
    • Aims and Scopes
    • Abstracting and Indexing
    • Editorial Policies
    • Reprints and Permissions
    • Job Opportunities
    • Terms and Conditions
    • Contact
  • Journals
    • All Journals
    • Biomedical Reports
      • Information for Authors
      • Editorial Policies
      • Editorial Board
      • Aims and Scope
      • Abstracting and Indexing
      • Bibliographic Information
      • Archive
    • Experimental and Therapeutic Medicine
      • Information for Authors
      • Editorial Policies
      • Editorial Board
      • Aims and Scope
      • Abstracting and Indexing
      • Bibliographic Information
      • Archive
    • International Journal of Epigenetics
      • Information for Authors
      • Editorial Policies
      • Editorial Board
      • Aims and Scope
      • Abstracting and Indexing
      • Bibliographic Information
      • Archive
    • International Journal of Functional Nutrition
      • Information for Authors
      • Editorial Policies
      • Editorial Board
      • Aims and Scope
      • Abstracting and Indexing
      • Bibliographic Information
      • Archive
    • International Journal of Molecular Medicine
      • Information for Authors
      • Editorial Policies
      • Editorial Board
      • Aims and Scope
      • Abstracting and Indexing
      • Bibliographic Information
      • Archive
    • International Journal of Oncology
      • Information for Authors
      • Editorial Policies
      • Editorial Board
      • Aims and Scope
      • Abstracting and Indexing
      • Bibliographic Information
      • Archive
    • Medicine International
      • Information for Authors
      • Editorial Policies
      • Editorial Board
      • Aims and Scope
      • Abstracting and Indexing
      • Bibliographic Information
      • Archive
    • Molecular and Clinical Oncology
      • Information for Authors
      • Editorial Policies
      • Editorial Board
      • Aims and Scope
      • Abstracting and Indexing
      • Bibliographic Information
      • Archive
    • Molecular Medicine Reports
      • Information for Authors
      • Editorial Policies
      • Editorial Board
      • Aims and Scope
      • Abstracting and Indexing
      • Bibliographic Information
      • Archive
    • Oncology Letters
      • Information for Authors
      • Editorial Policies
      • Editorial Board
      • Aims and Scope
      • Abstracting and Indexing
      • Bibliographic Information
      • Archive
    • Oncology Reports
      • Information for Authors
      • Editorial Policies
      • Editorial Board
      • Aims and Scope
      • Abstracting and Indexing
      • Bibliographic Information
      • Archive
    • World Academy of Sciences Journal
      • Information for Authors
      • Editorial Policies
      • Editorial Board
      • Aims and Scope
      • Abstracting and Indexing
      • Bibliographic Information
      • Archive
  • Articles
  • Information
    • For Authors
    • For Reviewers
    • For Librarians
    • For Advertisers
    • Conferences
  • Language Editing
Login Register Submit
  • This site uses cookies
  • You can change your cookie settings at any time by following the instructions in our Cookie Policy. To find out more, you may read our Privacy Policy.

    I agree
Search articles by DOI, keyword, author or affiliation
Search
Advanced Search
presentation
Oncology Letters
Join Editorial Board Propose a Special Issue
Print ISSN: 1792-1074 Online ISSN: 1792-1082
Journal Cover
May-2026 Volume 31 Issue 5

Full Size Image

Sign up for eToc alerts
Recommend to Library

Journals

International Journal of Molecular Medicine

International Journal of Molecular Medicine

International Journal of Molecular Medicine is an international journal devoted to molecular mechanisms of human disease.

International Journal of Oncology

International Journal of Oncology

International Journal of Oncology is an international journal devoted to oncology research and cancer treatment.

Molecular Medicine Reports

Molecular Medicine Reports

Covers molecular medicine topics such as pharmacology, pathology, genetics, neuroscience, infectious diseases, molecular cardiology, and molecular surgery.

Oncology Reports

Oncology Reports

Oncology Reports is an international journal devoted to fundamental and applied research in Oncology.

Experimental and Therapeutic Medicine

Experimental and Therapeutic Medicine

Experimental and Therapeutic Medicine is an international journal devoted to laboratory and clinical medicine.

Oncology Letters

Oncology Letters

Oncology Letters is an international journal devoted to Experimental and Clinical Oncology.

Biomedical Reports

Biomedical Reports

Explores a wide range of biological and medical fields, including pharmacology, genetics, microbiology, neuroscience, and molecular cardiology.

Molecular and Clinical Oncology

Molecular and Clinical Oncology

International journal addressing all aspects of oncology research, from tumorigenesis and oncogenes to chemotherapy and metastasis.

World Academy of Sciences Journal

World Academy of Sciences Journal

Multidisciplinary open-access journal spanning biochemistry, genetics, neuroscience, environmental health, and synthetic biology.

International Journal of Functional Nutrition

International Journal of Functional Nutrition

Open-access journal combining biochemistry, pharmacology, immunology, and genetics to advance health through functional nutrition.

International Journal of Epigenetics

International Journal of Epigenetics

Publishes open-access research on using epigenetics to advance understanding and treatment of human disease.

Medicine International

Medicine International

An International Open Access Journal Devoted to General Medicine.

Journal Cover
May-2026 Volume 31 Issue 5

Full Size Image

Sign up for eToc alerts
Recommend to Library

  • Article
  • Citations
    • Cite This Article
    • Download Citation
    • Create Citation Alert
    • Remove Citation Alert
    • Cited By
  • Similar Articles
    • Related Articles (in Spandidos Publications)
    • Similar Articles (Google Scholar)
    • Similar Articles (PubMed)
  • Download PDF
  • Download XML
  • View XML

  • Supplementary Files
    • Supplementary_Data.pdf
Case Report

Malignant mesothelioma of the tunica vaginalis testis: A case report

  • Authors:
    • Yuanchen Lu
    • Junjun Miu
    • Zhongru Fan
    • Zheng Zhi
    • Lei He
    • Junpeng Deng
    • Xianhua Shao
    • Jingqi Hua
    • Yichen Qian
    • Jianjun Xie
  • View Affiliations / Copyright

    Affiliations: Department of Urology, Suzhou Municipal Hospital Affiliated to Nanjing Medical University, Suzhou, Jiangsu 215001, P.R. China, Department of Pathology, Suzhou Municipal Hospital Affiliated to Nanjing Medical University, Suzhou, Jiangsu 215001, P.R. China
  • Article Number: 158
    |
    Published online on: March 4, 2026
       https://doi.org/10.3892/ol.2026.15511
  • Expand metrics +
Metrics: Total Views: 0 (Spandidos Publications: | PMC Statistics: )
Metrics: Total PDF Downloads: 0 (Spandidos Publications: | PMC Statistics: )
Cited By (CrossRef): 0 citations Loading Articles...

This article is mentioned in:


Abstract

Malignant mesothelioma of the tunica vaginalis testis (MMTVT) is a rare pathological entity. The present report describes the case of a patient who presented with insidious‑onset right lower abdominal pain and was diagnosed via histopathological examination following a radical right orchidectomy. After 7 months, the patient developed a palpable mass along the spermatic cord, which prompted a laparoscopic retroperitoneal lymph node dissection combined with an inguinal tumor resection. Adjuvant chemotherapy with pemetrexed and cisplatin was administered thereafter. At 9 months after the initial surgery, a groin mass was surgically excised, with pathology revealing fibroinflammatory changes. The patient remained under close surveillance without evidence of recurrence. Radiation therapy was initiated at 13 months post‑surgery but was temporarily discontinued due to adverse effects. Given the current absence of standardized treatment guidelines for MMTVT, radical surgical resection combined with adjuvant radiotherapy or chemotherapy remains the mainstay of therapy, with the inguinal approach being the most commonly employed technique. Given the validated efficacy of immunotherapy in certain rare diseases and pleural mesothelioma, it may represent a promising therapeutic alternative for MMTVT patients whose pathological immunohistochemistry meets eligibility criteria and who have failed standard adjuvant radiotherapy and chemotherapy.

Introduction

Malignant mesothelioma (MM) is a rare neoplasm originating from mesothelial cells that line serosal surfaces, including the pleura, peritoneum, pericardium and tunica vaginalis testis (TVT). MM accounts for <1% of all malignancies (1) and is generally associated with a poor prognosis (2). Although the pleura is the most commonly affected site, MM primarily arising from the TVT is exceedingly rare (3). Both entities share an origin from the embryonic mesoderm (4) and exhibit three main histological subtypes: Epithelioid, sarcomatoid and biphasic (5,6). As a phenotypic variant of MM, MMTVT constitutes <1% of all mesotheliomas (7,8) and represents 0.3–5% of MMs (9). Since its first description in 1957, <300 cases have been reported globally (10), with only 41 cases documented in the Chinese literature based on a search of the China National Knowledge Infrastructure (https://www.cnki.net) and Wanfang (https://www.wanfangdata.com.cn) databases. The epidemiological characteristics and risk factors of MMTVT remain poorly defined. Although asbestos exposure is a well-established risk factor for MM (11), its association with the pathogenesis of MMTVT has not been conclusively established (12). Non-specific clinical presentations, such as hydrocele and scrotal pain (13), along with the lack of specific imaging features on computed tomography (CT) or magnetic resonance imaging (MRI) (14,15), often lead to diagnostic challenges and suboptimal surgical management. Radical surgery remains the cornerstone of treatment (16), yet the efficacy of adjuvant chemotherapy or radiotherapy remains uncertain (13). Consequently, novel targeted agents and immunotherapeutic strategies that have demonstrated efficacy in malignant pleural mesothelioma may offer potential avenues for optimizing the management of MMTVT.

Case report

A 71-year-old man presented to the General Surgery Outpatient Clinic of Suzhou Municipal Hospital Affiliated to Nanjing Medical University (Suzhou, China) in August 2024 with a complaint of recurrent dull pain in the right lower abdomen for half a month. The past medical history was unremarkable. A physical examination revealed mild deep tenderness in the right lower abdomen without rebound tenderness or guarding. Enlarged lymph nodes were palpable bilaterally in the inguinal regions.

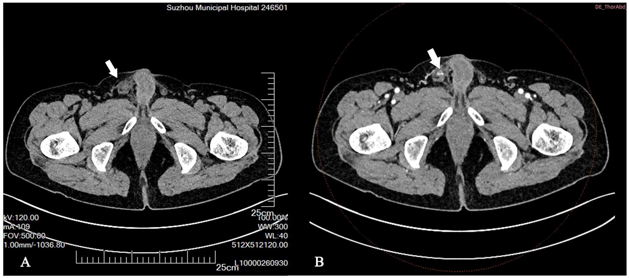
An ultrasound scan performed subsequently showed an enlarged right testis with internal linear echoes and bilateral inguinal lymphadenopathy, more prominent on the right side (Fig. S1). Non-contrast and contrast-enhanced CT scans performed on the same day confirmed an enlarged right testis with heterogeneous enhancement and cystic changes, along with enlarged lymph nodes adjacent to the right external iliac artery (Fig. 1A and B). Enhanced scrotal MRI 3 days later revealed a lesion in the right epididymis causing compression of the testis (Fig. 2).

(A) Non-contrast and (B)
arterial-phase contrast-enhanced computed tomography demonstrating
right testicular enlargement with heterogeneous enhancement and
cystic components, accompanied by an enlarged lymph node adjacent
to the right external iliac artery.

Figure 1.

(A) Non-contrast and (B) arterial-phase contrast-enhanced computed tomography demonstrating right testicular enlargement with heterogeneous enhancement and cystic components, accompanied by an enlarged lymph node adjacent to the right external iliac artery.

Contrast-enhanced magnetic resonance
imaging of the testes demonstrates a right epididymal lesion with
associated testicular compression.

Figure 2.

Contrast-enhanced magnetic resonance imaging of the testes demonstrates a right epididymal lesion with associated testicular compression.

The patient was subsequently transferred to the Department of Urology of Suzhou Municipal Hospital Affiliated to Nanjing Medical University. A physical examination showed redness and swelling of the right scrotum with a slightly elevated local temperature. The epididymis was enlarged and tender, with poorly defined borders from the testis. No significant abnormalities were noted on the left side. A preliminary diagnosis of right epididymitis was made. A follow-up ultrasound scan indicated thickening of the right scrotal wall, localized fluid collection within the right tunica vaginalis cavity containing heterogeneous internal echoes, and inflammatory changes in the epididymis and surrounding tissues (Fig. S2).

In September 2024, the patient underwent a right epididymo-orchidectomy under general anesthesia. Intraoperatively, significant epididymal enlargement was noted, particularly in the head of the epididymis, with severe adhesions to the testis. As an epididymectomy alone was deemed insufficient for complete resection, a combined epididymo-orchidectomy was performed.

The pathological report described a gross specimen measuring 9.5×6.0×4.7 cm. The cut surface was grayish-white, solid, of medium consistency, and exhibited a multinodular and lobulated appearance (Fig. 3). No tumor involvement was identified at the surgical margins.

Gross specimen measuring 9.5×6.0×4.7
cm demonstrating multinodular and lobulated architecture with
grayish-white solid cut surfaces and a firm consistency.

Figure 3.

Gross specimen measuring 9.5×6.0×4.7 cm demonstrating multinodular and lobulated architecture with grayish-white solid cut surfaces and a firm consistency.

All specimens were fixed within 30 min post-resection in 4% neutral buffered formalin at room temperature for 24 h, followed by gross examination, routine dehydration, clearing and paraffin embedding. From each paraffin block, 4-µm thick sections were cut using a microtome for hematoxylin and eosin (H&E) staining. After deparaffinization in xylene and rehydration through a graded ethanol series, the sections were stained with hematoxylin at room temperature for 5 min, rinsed in running tap water, differentiated with 1% acid-alcohol, counterstained with eosin at room temperature for 3 min, dehydrated through ethanol, cleared in xylene and finally mounted with a resinous mounting medium. Histological examination was performed under an Olympus BX53 upright light microscope. H&E staining revealed that the tumor was composed of cells with cuboidal, polygonal or flattened morphology (Fig. 4A; scale bar, 200 µm; magnification, ×20). The cytoplasm was abundant and predominantly eosinophilic, but occasionally vacuolated. Nuclei were relatively regular, often featuring discernible nucleoli. Various morphological patterns were observed, including tubulopapillary, micropapillary, solid, clear cell, deciduoid, signet-ring cell-like, rhabdoid and pleomorphic variants.

(A) Tumor cells exhibit cuboidal,
polygonal or flattened morphology, with abundant cytoplasm that is
predominantly eosinophilic but may appear vacuolated. Nuclei show
regular contours and often contain visible nucleoli. Multiple
morphological variants are present, including tubulopapillary,
micropapillary, solid, clear cell, deciduoid, signet-ring cell-like
rhabdoid, and pleomorphic patterns (hematoxylin and eosin;
magnification, ×20). (B) Calretinin immunohistochemical staining of
tumor tissue (magnification, ×10). (C) Cytokeratin 5/6
immunohistochemical staining of tumor tissue (magnification, ×10).
(D) Podoplanin immunohistochemical staining of tumor tissue
(magnification, ×10). (E) Epithelial membrane antigen
immunohistochemical staining of tumor tissue (magnification, ×10).
(F) Wilms' tumor-1 immunohistochemical staining of tumor tissue
(magnification, ×10).

Figure 4.

(A) Tumor cells exhibit cuboidal, polygonal or flattened morphology, with abundant cytoplasm that is predominantly eosinophilic but may appear vacuolated. Nuclei show regular contours and often contain visible nucleoli. Multiple morphological variants are present, including tubulopapillary, micropapillary, solid, clear cell, deciduoid, signet-ring cell-like rhabdoid, and pleomorphic patterns (hematoxylin and eosin; magnification, ×20). (B) Calretinin immunohistochemical staining of tumor tissue (magnification, ×10). (C) Cytokeratin 5/6 immunohistochemical staining of tumor tissue (magnification, ×10). (D) Podoplanin immunohistochemical staining of tumor tissue (magnification, ×10). (E) Epithelial membrane antigen immunohistochemical staining of tumor tissue (magnification, ×10). (F) Wilms' tumor-1 immunohistochemical staining of tumor tissue (magnification, ×10).

Immunohistochemical staining was performed on 4-µm thick sections of formalin-fixed, paraffin-embedded tissue using a fully automated immunostainer (Roche BenchMark ULTRA PLUS; Roche Diagnostics GmbH). All staining procedures followed the standardized protocols of the instrument. Briefly, after preheating, dewaxing with EZ Prep solution and antigen retrieval (incubation in Cell Conditioner #1 at 95°C for 8 min), endogenous peroxidase activity was blocked using the instrument-matched inhibitor (UV INHIBITOR). Subsequently, the sections were incubated with specific primary antibodies at 37°C for 32 min. All primary antibodies were applied at ready-to-use concentrations and included: Calretinin, cytokeratin (CK)5/6, AE1/AE3, vimentin, CK7, p53, Ki-67, β-catenin, epithelial membrane antigen (EMA), podoplanin (D2-40), Wilms' tumor 1 (WT-1), spalt-like transcription factor 4 (SALL4), placental alkaline phosphatase (PLAP), S-100, α-inhibin, carcinoembryonic antigen (CEA), CD30, α-fetoprotein (AFP), CD117, CD99, melanoma markers, P504s (AMACR), GATA binding protein 3 (GATA3), CK20, EpCAM, programmed death-ligand 1 (PD-L1) and VEGF (Table I). Following primary antibody incubation, the sections were sequentially incubated with a horseradish peroxidase (HRP)-labeled polymer secondary antibody (UV HRP UNIV MULT) at 36°C for 8 min and the chromogenic substrate (UV DAB and UV DAB H2O2) at room temperature for 8 min. The reaction product was enhanced with copper ions (UV COPPER) to optimize the signal. Finally, the sections were counterstained with hematoxylin (Hematoxylin II), blued (Bluing Reagent), washed, dehydrated, cleared, and mounted with a synthetic resin. Immunohistochemical results showed positivity for calretinin, CK5/6, AE1/AE3, vimentin, CK7, p53 (wild-type pattern), Ki-67 (hotspot 35%) and β-catenin (membranous), partial positivity for EMA, and negativity for D2-40, WT-1, SALL4, PLAP, S-100, α-inhibin, CEA, CD30, AFP, CD117, CD99, melanoma markers, P504s, GATA3, CK20, MOC31, PD-L1 (Fig. S3) and VEGF (Fig. S4) (Figs. 4B-F and S5). Based on morphological features and immunohistochemical results, a diagnosis of MM (epithelioid type) was rendered. The patient received no further treatment postoperatively.

Table I.

Markers, catalog numbers, clones and suppliers used in immunohistochemical analysis.

Table I.

Markers, catalog numbers, clones and suppliers used in immunohistochemical analysis.

ProteinCatalog numberCloneSupplier
CalretininGT200904PolyGene Tech Co., Ltd.
EMAGM061302E29Gene Tech Co., Ltd.
D2-40GM361902D2-40Gene Tech Co., Ltd.
CK5/6GM723707EP24&EP67Gene Tech Co., Ltd.
WT1GM3561046F-H2Gene Tech Co., Ltd.
AE1/3GM351502AE1/3Gene Tech Co., Ltd.
SALL4ZM-03936E3Beijing Zhongshan Jinqiao
Biotechnology Co., Ltd.
VimentinGM072504V9Gene Tech Co., Ltd.
PLAPGM7191028A9Gene Tech Co., Ltd.
CK7GM701807OV-TL 12/30Gene Tech Co., Ltd.
S100GT2249024C4.9Gene Tech Co., Ltd.
P53GM700107DO-7Gene Tech Co., Ltd.
α-inhibinGT230202EP378Gene Tech Co., Ltd.
Ki67GT209407GM027Gene Tech Co., Ltd.
CEAGT210802COL-1Gene Tech Co., Ltd.
β-cateninGT211902EP35Gene Tech Co., Ltd.
CD30GT213902JCM182Gene Tech Co., Ltd.
AFPGA000802PolyGene Tech Co., Ltd.
CD117ZA-0523EP10Beijing Zhongshan Jinqiao
Biotechnology Co., Ltd.
CD79GT212302EP8Gene Tech Co., Ltd.
P504SGT20010213H4Gene Tech Co., Ltd.
GATA3ZA-0661OTIR4F2Beijing Zhongshan Jinqiao
Biotechnology Co., Ltd.
CK20GT204202Ks208Gene Tech Co., Ltd.
EPCAMGM080402MOC-31Gene Tech Co., Ltd.
PD-L1GT228004ZR3Gene Tech Co., Ltd.
VEGFGT217004VG1Gene Tech Co., Ltd.
GPC-3GT2068021G12Gene Tech Co., Ltd.
Oct3-4GT207202C10Gene Tech Co., Ltd.
SOX-2ZA-0571EP103Beijing Zhongshan Jinqiao
Biotechnology Co., Ltd.
ARGM356202EP120Gene Tech Co., Ltd.
P40GT233807GR006Gene Tech Co., Ltd.
Ber-Ep4ZM-0099Ber-Ep4Beijing Zhongshan Jinqiao
Biotechnology Co., Ltd.
P16GT233002GM501Gene Tech Co., Ltd.
SynGT206504SP11Gene Tech Co., Ltd.
CgAGT211404GM306Gene Tech Co., Ltd.
CD56GT200504123C3Gene Tech Co., Ltd.

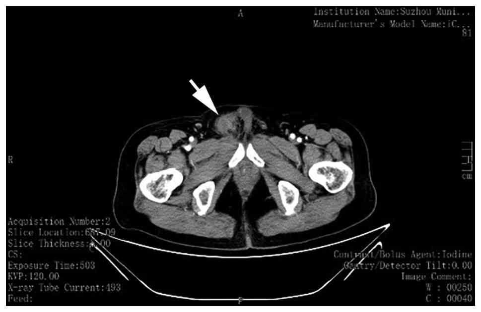
The patient was readmitted in April 2025 due to the presence of a right spermatic cord mass for 5 days, accompanied by localized fever and progressive enlargement over the preceding day. No abdominal pain, nausea, vomiting, hematuria, dysuria, urinary frequency or urgency was reported. Laboratory investigations revealed a mildly elevated cytokeratin fragment CYFRA 21-1 level of 7.53 ng/ml (normal range, <3.3 ng/ml), while other tumor markers, including AFP (1.14 ng/ml; normal range, <20 ng/ml), were within normal limits. An abdominal and pelvic non-contrast and contrast-enhanced CT scan performed 3 days later showed post-operative changes in the right testicular region and a soft-tissue density within the right spermatic cord, suggestive of recurrence. Additionally, dense opacities were noted in both iliac bones (Fig. 5).

Contrast-enhanced abdominopelvic
computed tomography demonstrates postsurgical alterations in the
right scrotal region, with a soft-tissue density along the
spermatic cord suggestive of recurrence, accompanied by sclerotic
iliac bone lesions.

Figure 5.

Contrast-enhanced abdominopelvic computed tomography demonstrates postsurgical alterations in the right scrotal region, with a soft-tissue density along the spermatic cord suggestive of recurrence, accompanied by sclerotic iliac bone lesions.

After another 2 days, the patient underwent a laparoscopic right retroperitoneal lymph node dissection combined with a resection of a right inguinal mass under general anesthesia. Intraoperatively, a hard mass ~3 cm in diameter was identified at the distal stump of the right spermatic cord. The proximal spermatic cord was transected near the peritoneum, and the mass was dissected along its margins. Lymphatic dissection commenced over the surface of the right common iliac artery, extending superiorly to the origin of the right renal artery from the abdominal aorta. The lymphatic tissues overlying the sheath of the common iliac vein were opened and dissected towards the inferior vena cava (IVC). A thorough lymphadenectomy was performed in the interaortocaval region and between the right ureter and the IVC, with ligation of the internal spermatic vein. Finally, lymph nodes surrounding the right external iliac vessels were dissected. Pathology results indicated paratesticular mesothelioma at the right spermatic cord stump, with areas of necrotic change. The resection margins were free of tumor involvement. Metastatic tumor was identified in the lymph nodes as follows: Right spermatic cord stump adipose tissue (0/10), obturator (0/9), interaortocaval (1/6), right internal inguinal ring (2/2) and paracaval (1/6). Immunohistochemical analysis of the specimens was performed using the previously described protocol. Details regarding each marker, including clone numbers and suppliers are summarized in Table I. The results demonstrated positivity for AE1/AE3, EMA, calretinin, D2-40, CK7, CK5/6, WT1 (focal) and β-catenin (membranous), along with a Ki-67 proliferation index of 40%. Stains for inhibin-α, CD117, CD30, glypican-3, octamer binding transcription factor 3–4, SALL-4, SOX2, PLAP, androgen receptor, p40, Ber-Ep4, p16, synaptophysin, chromogranin A and CD56 were negative, while desmin showed focal positivity (Fig. S6).

The patient subsequently received six cycles of first-line AP regimen chemotherapy (600 mg/m2 pemetrexed on day 1 + 30 mg/m2 cisplatin on days 1–3), administered every 21 days between May and September 2025. Prophylactic administration of varying doses of efbemalenograstim was implemented following each cycle to maintain neutrophil counts, and the patient was discharged after each session without reporting any notable treatment-related discomfort. In June 2025, the patient was re-admitted due to the emergence of an inguinal mass. Surgical excision was performed the following day, during which the mass was noted to be soft in consistency and well-circumscribed. Histopathological examination of the resected specimen revealed fibroconnective tissue with features of microvascular proliferation, inflammatory cell infiltration, fat necrosis and a multinucleated giant cell reaction, consistent with a fibroinflammatory process rather than tumor recurrence. Restaging CT scans performed after the 2nd (Fig. S7) and 4th cycles of chemotherapy demonstrated stable disease, indicating no evidence of progression. A follow-up contrast-enhanced MRI study conducted in October 2025 confirmed the absence of local recurrence or distant metastasis.

The patient commenced adjuvant radiotherapy in October 2025. The target volume encompassed the pelvic regional lymphatic drainage basin plus the right epididymis and spermatic cord region, planned for a total dose of 45 Gy in 25 fractions. However, after receiving 15 fractions (by November 2025), the treatment course was interrupted due to the development of pancytopenia on routine blood testing, accompanied by patient-reported epigastric discomfort and erythema in the right inguinal region. Radiotherapy was consequently suspended, and appropriate supportive care was initiated. The patient has been scheduled for regular follow-up visits every 3 months thereafter. At the most recent assessment, the patient remains well with no complaints of discomfort.

Discussion

Testicular mesothelioma typically occurs in men aged 55 to 75 years (17). The median age at diagnosis is 62 years [interquartile range (IQR), 44–73 years] (13) and incidence increases with age, being 18.6 times higher in men >80 years compared with those <50 years (7). While asbestos exposure is strongly associated with malignant pleural mesothelioma, accounting for up to 80% of cases (2), its role in the pathogenesis of testicular mesothelioma remains unclear (18). In a review of 223 cases, Bisceglia et al (12) found that only 30–40% were associated with asbestos exposure. Similarly, the patient in the present report, who worked in wool carpet production, had no history of asbestos exposure.

Patients with testicular mesothelioma have a generally poor prognosis that strongly correlates with the presence of metastasis. Huang et al (19) reported a median overall survival (OS) time of 71.5 months for 4 patients without metastasis. By contrast, Grogg et al (13) found that among 84 patients with metastatic disease, the median survival time was only 18 months (IQR, 7–43 months), underscoring the critical importance of early detection and treatment. Furthermore, the overall recurrence rate (including both local recurrence and widespread metastasis) is 52.5%, with >60% of recurrences occurring within the first 2 years of follow-up (20).

The majority of patients with testicular mesothelioma are incidentally identified during hydrocelectomy (21). The majority of patients present with a painless testicular mass/swelling or hydrocele (244/259; 94%), followed by scrotal pain (40/259; 15%), which may be accompanied by orchitis or epididymitis (13,22). Due to these non-specific manifestations, most cases are not correctly diagnosed preoperatively (23). Common clinical misdiagnoses include hydrocele, testicular tumors and epididymitis (24). Additionally, routine serum tumor markers (e.g., AFP, β-human chorionic gonadotropin and lactate dehydrogenase) are typically normal. However, positive PD-L1 expression has been reported (19), suggesting a potential role for immunotherapy. By contrast, in the present case, immunohistochemistry of the primary tumor showed negative staining for PD-L1, indicating that immune checkpoint blockade may not be a suitable therapeutic option for this specific patient.

A preoperative diagnosis of MMTVT based on imaging findings is challenging. Ultrasound can be used for the initial screening. In the epithelioid subtype, ultrasonography may reveal a solid lesion in the head of the epididymis and hypoechoic fluid collection within the scrotum, containing fine floating internal echoes (25). The tunica vaginalis appears irregularly thickened, with multiple nodular protrusions of varying sizes demonstrating high or slightly hyperechoic signals on its wall, corresponding to intra-tunical deposits (26,27). Doppler evaluation may show scant (28) or abundant (23) internal blood flow, which may be associated with the papillary nodules on the parietal layer of the tunica vaginalis seen in pathological specimens. CT offers low specificity for diagnosing this condition (15), but is valuable for assessing metastasis and staging (29). MRI findings are also non-specific (14), typically demonstrating a heterogeneous intratesticular mass that may contain partially calcified tumor tissue (30). On contrast-enhanced scans, the tumor often shows marked heterogeneous enhancement. The presence of a hydrocele with enhancing wall nodules, particularly in a hypervascular lesion, should raise suspicion for MMTVT (31).

Mesothelial tumors are categorized into benign or potentially premalignant lesions and malignant mesotheliomas. The former group includes adenomatoid tumors, well-differentiated papillary mesothelial tumors and mesothelioma in situ. MM is further subdivided into three principal subtypes: Epithelioid, sarcomatoid and biphasic (32). In a review of 275 cases of MTVT reported up to January 2019 (13), 227 out of 275 (83%) cases were classified as MM. The histopathological distribution among these malignant cases was as follows: Epithelioid (130/227; 57%), sarcomatoid (4/227; 2%), biphasic (53/227; 23%) and unspecified subtype (40/227; 18%).

The immunohistochemical profile of MMTVT is similar to that of other mesotheliomas (33). Tumor cells typically show positive reactivity for calretinin, EMA, thrombomodulin, CK7, WT-1 and D2-40, while expression of CK5/6 can be variable (34). Given that the morphological features of epithelioid mesothelioma on H&E staining closely resemble those of adenocarcinoma, immunohistochemical studies are essential for the differential diagnosis. Among the various markers, calretinin is considered the most reliable for distinguishing mesothelioma from adenocarcinoma, as it is consistently negative in adenocarcinomas. This marker demonstrates both high sensitivity and specificity for mesothelioma (21). Notably, D2-40 and WT1 constitute pivotal diagnostic markers (35,36), with D2-40 demonstrating superior sensitivity in confirming epithelioid mesothelioma (37). In the present patient, immunohistochemical analysis of the primary tumor specimen showed negativity for both D2-40 and WT-1. It is noteworthy that additional sampling and re-testing from different areas of the same primary specimen consistently yielded negative results for these markers (Figs. S8 and 9). By contrast, the recurrent lesion exhibited a divergent immunoprofile, with positive staining for D2-40 and focal positivity for WT1. This discrepancy, wherein the primary tumor cells lacked expression of D2-40 and WT-1 while the recurrence acquired it, may be attributable to one or a combination of the following factors: i) Intratumoral heterogeneity in the expression of D2-40 and WT-1 within this malignant mesothelioma; ii) selective survival and proliferation of residual tumor cells post-surgery that were double-positive for D2-40 and WT-1; iii) phenotypic transformation of tumor cells during the recurrence process; or iv) technical artifacts such as sampling variation or other unforeseen factors. This phenomenon finds support in the literature, as Wang and Liu (38) similarly reported a case of epithelioid testicular MM that was D2-40 negative, and Yang et al (39) documented a patient with epithelioid testicular MM exhibiting WT-1 negativity.

In MMTVT, electron microscopic examination reveals that tumor cells are interconnected by desmosomes and junctional complexes, forming luminal spaces lined by long, slender microvilli with a characteristic length-to-diameter ratio typically >10 (9). Yuan et al (40) observed similar ultrastructural features in MMTVT tumor cells and noted abundant cytoplasmic intermediate filaments, including tonofilaments, along with a moderate amount of glycogen within the cytoplasm. The presence of these electron microscopic features serves as a definitive diagnostic criterion, playing a pivotal role in the pathological distinction of MMTVT from histological mimics, such as adenocarcinoma.

For patients with MMTVT, the most common surgical indications are a rapidly enlarging hydrocele or suspicion of testicular tumor (20). For localized MMTVT, radical inguinal orchidectomy is the treatment of choice, while inguinal lymph node dissection is warranted when signs of lymph node metastasis are present (41). For advanced or recurrent disease, radical resection combined with adjuvant chemotherapy and/or radiotherapy is recommended (23). Primary radical inguinal orchidectomy with partial scrotal resection and retroperitoneal lymph node dissection has also been proposed (13,23). It is noteworthy that the inguinal approach is preferred as it allows early control of the testicular vascular and lymphatic supply, effectively reducing the risk of tumor dissemination via the blood and lymphatics during surgery, thereby potentially lowering the local recurrence rate (42). Furthermore, cisplatin and doxorubicin have been suggested for chemotherapy (43). In a previous study focusing on MMTVT patients who underwent lymph node dissection, of the 9 patients who received adjuvant chemotherapy or chemoradiotherapy, 5 (56%) developed local and/or metastatic recurrence. Similarly, among 11 patients who underwent radiotherapy targeting the scrotum, as well as the retroperitoneal and inguinal lymph nodes (maximum dose 55–60.5 Gy), 6 (55%) experienced recurrence, suggesting that the efficacy achieved with radiotherapy may be comparable to that of chemotherapy (13).

Since 2004, platinum-pemetrexed chemotherapy has remained the first-line standard for unresectable mesothelioma, without approved second- or third-line regimens (44). Bevacizumab targeting vascular endothelial growth factor combined with cisplatin-pemetrexed demonstrated significant median overall survival time improvements in the phase III MAPS trial for malignant pleural mesothelioma when compared with platinum-pemetrexed alone (45). Leveraging a shared molecular pathogenesis, pleural mesothelioma therapies may offer clinical utility for MMTVT. A phase II trial evaluating amatuximab (anti-mesothelin monoclonal antibody) with cisplatin-pemetrexed in unresectable malignant pleural mesothelioma achieved a median OS time of 14.8 months, surpassing historical controls (13.3 months) (46). The phase III CONFIRM trial established the superiority of nivolumab over a placebo in patients with recurrent mesothelioma, demonstrating improved progression-free survival (median PFS, 3.0 vs. 1.8 months; HR, 0.67; P=0.0012) and OS (median, 10.2 vs. 6.9 months; HR, 0.69; P=0.0090) times (47). Furthermore, the CheckMate 743 trial demonstrated that nivolumab plus ipilimumab, compared with platinum-pemetrexed chemotherapy, significantly prolonged overall survival time (median OS time, 18.1 vs. 14.1 months) and resulted in a higher 2-year OS rate (41 vs. 27%), subsequently leading to approvals by the US Food and Drug Administration and the European Medicines Agency (48). Mishra et al (49) reported a case of metastatic testicular mesothelioma in which the patient underwent a left orchiectomy followed by immunotherapy with ipilimumab and nivolumab. After 6 months of treatment, the patient exhibited a partial response, with reduction in size of known pleural nodules and effusion. In the present case, however, immunohistochemistry of the primary tumor showed negative staining for both PD-L1 and VEGF, suggesting a potentially lower likelihood of clinical benefit from corresponding targeted antibodies. Notably, in rare tumors, clinical trials have reported efficacy of immunotherapy in certain subtypes, including biliary tract cancer, neuroendocrine tumors, carcinoma of unknown primary and pancreatic acinar carcinoma (50–54). Collectively, these findings indicate that immunotherapy holds promise in the treatment of malignant testicular mesothelioma.

The present report shares the inherent limitations common to single-case descriptions: i) The small sample size precludes statistical analysis and limits the ability to draw definitive conclusions regarding treatment efficacy or prognostic factors. ii) The surgical, chemotherapeutic and radiotherapy regimens were tailored to this specific patient and may not represent an optimized or standardized strategy. iii) The follow-up period in this case is relatively short, and long-term outcomes remain to be observed. Furthermore, this study has the following additional shortcomings: i) The proposed treatment suggestions lack supporting mechanistic data, comparative genomic evidence or specific treatment response information from this patient. ii) There is an absence of further ultrastructural studies. iii) The study lacks key ancillary tests that are now crucial in mesothelioma diagnosis, such as BAP1 immunohistochemistry (55), assessment of methylthioadenosine phosphorylase deletion (56), cyclin dependent kinase inhibitor 2A fluorescence in situ hybridization (57) or next-generation sequencing (58). This, to some extent, limits the referential value of this case within the modern diagnostic and classificatory framework for mesothelioma. Future studies could address these limitations as potential research directions.

In conclusion, MMTVT is an extremely rare and highly aggressive neoplasm characterized by non-specific clinical presentations, with a definitive diagnosis relying on a pathological examination. In suspected cases, a comprehensive imaging evaluation is essential for the differential diagnosis and the detection of metastasis. The disease is prone to local invasion and distant spread, and patients generally have a short overall survival time. Therefore, an early diagnosis and radical surgery via an inguinal approach are critical. When lymph node metastasis is identified, lymph node dissection should be performed, and postoperative adjuvant chemotherapy or radiotherapy should be considered to improve outcomes. Meanwhile, novel targeted therapeutic strategies may hold potential benefit. Furthermore, long-term and regular follow-up surveillance is necessary for these patients.

Supplementary Material

Supporting Data

Acknowledgements

Not applicable.

Funding

Funding was provided by Suzhou Clinical Medicine Center for Urological Diseases (grant no. Szlcyxzx202106).

Availability of data and materials

The data generated in the present study may be requested from the corresponding author.

Authors' contributions

YCL designed the study, drafted the initial manuscript, collated research data, created original figures and flowcharts, and revised key academic content. JJM assisted in editing the manuscript and contributed to the examination and analysis of pathology slides. ZRF and LH were responsible for the selection, critical evaluation and analytical annotation of clinical imaging data. ZZ played a key role in the examination and analysis of pathology slides. JPD and JJX provided administrative support and contributed to the study design. YCQ, XHS, and JQH analyzed patient data and assisted in editing the discussion section. JJX performed the surgical procedure on the patient. YCL, JJM, ZRF, ZZ, LH, JPD, XHS, JQH, YCQ and JJX confirm the authenticity of all the raw data. All authors have read and approved the final version of the manuscript.

Ethics approval and consent to participate

Not applicable.

Patient consent for publication

Written informed consent for publication was obtained directly from the patient.

Competing interests

The authors declare that they have no competing interests.

Use of artificial intelligence tools

During the preparation of this work, AI tools were used to improve the readability and language of the manuscript or to generate images, and subsequently, the authors revised and edited the content produced by the AI tools as necessary, taking full responsibility for the ultimate content of the present manuscript.

References

1 

Moore AJ, Parker RJ and Wiggins J: Malignant mesothelioma. Orphanet J Rare Dis. 3:342008. View Article : Google Scholar : PubMed/NCBI

2 

Perrino M, De Vincenzo F, Cordua N, Borea F, Aliprandi M, Santoro A and Zucali PA: Immunotherapy with immune checkpoint inhibitors and predictive biomarkers in malignant mesothelioma: Work still in progress. Front Immunol. 14:11215572023. View Article : Google Scholar : PubMed/NCBI

3 

Hung YP and Chirieac LR: Novel insights and recent discoveries on the genetics and pathogenesis of malignant mesothelioma. J Thorac Dis. 10:1314–1317. 2018. View Article : Google Scholar : PubMed/NCBI

4 

Pechriggl E, Blumer M, Tubbs RS, Olewnik Ł, Konschake M, Fortélny R, Stofferin H, Honis HR, Quinones S, Maranillo E and Sanudo J: Embryology of the abdominal wall and associated Malformations-A review. Front Surg. 9:8918962022. View Article : Google Scholar : PubMed/NCBI

5 

Tsai YC, Chen HL, Lee TH, Chang HM, Wu KL, Chuang CH, Chang YC, Tu YK, Hung JY, Yang CJ and Chong IW: Salvage therapy for relapsed malignant pleural mesothelioma: A systematic review and network Meta-analysis. Cancers (Basel). 14:1822021. View Article : Google Scholar : PubMed/NCBI

6 

Lettieri S, Bortolotto C, Agustoni F, Lococo F, Lancia A, Comoli P, Corsico AG and Stella GM: The evolving landscape of the molecular epidemiology of malignant pleural mesothelioma. J Clin Med. 10:10342021. View Article : Google Scholar : PubMed/NCBI

7 

Mezei G, Chang ET, Mowat FS and Moolgavkar SH: Epidemiology of mesothelioma of the pericardium and tunica vaginalis testis. Ann Epidemiol. 27:348–359.e11. 2017. View Article : Google Scholar : PubMed/NCBI

8 

Marinaccio A, Binazzi A, Di Marzio D, Scarselli A, Verardo M, Mirabelli D, Gennaro V, Mensi C, Merler E, De Zotti R, et al: Incidence of extrapleural malignant mesothelioma and asbestos exposure, from the Italian national register. Occup Environ Med. 67:760–765. 2010. View Article : Google Scholar : PubMed/NCBI

9 

Chekol SS and Sun CC: Malignant mesothelioma of the tunica vaginalis testis: Diagnostic studies and differential diagnosis. Arch Pathol Lab Med. 136:113–117. 2012. View Article : Google Scholar : PubMed/NCBI

10 

Zhang N, Fu N, Peng S and Luo X: Malignant mesothelioma of the tunica vaginalis testis: A case report and literature review. Mol Clin Oncol. 7:1053–1056. 2017.PubMed/NCBI

11 

Mazurek JM, Syamlal G, Wood JM, Hendricks SA and Weston A: Malignant mesothelioma Mortality-united states, 1999–2015. MMWR Morb Mortal Wkly Rep. 66:214–218. 2017. View Article : Google Scholar : PubMed/NCBI

12 

Bisceglia M, Dor DB, Carosi I, Vairo M and Pasquinelli G: Paratesticular mesothelioma. Report of a case with comprehensive review of literature. Adv Anat Pathol. 17:53–70. 2010. View Article : Google Scholar : PubMed/NCBI

13 

Grogg JB, Fronzaroli JN, Oliveira P, Bode PK, Lorch A, Issa A, Beyer J, Eberli D, Sangar V, Hermanns T, et al: Clinicopathological characteristics and outcomes in men with mesothelioma of the tunica vaginalis testis: Analysis of published case-series data. J Cancer Res Clin Oncol. 147:2671–2679. 2021. View Article : Google Scholar : PubMed/NCBI

14 

Yuan Z, Zheng N and Shao S: MRI findings of well-differentiated mesothelioma of tunica vaginalis: One case report. J Med Imaging. 33:1742–1743. 2023.

15 

Chen Y, Pan J, Wang Z, Jin J and Jiang J: Malignant mesothelioma of the tunica vaginalis testis with penile invasion: A case report and literature review. National J Androl. 28:186–189. 2022.

16 

Kazaz IO, Teoman AS and Mungan S: Mesothelioma of the tunica vaginalis testis: A case report. Indian J Pathol Microbiol. 63:475–477. 2020. View Article : Google Scholar : PubMed/NCBI

17 

Jones MA, Young RH and Scully RE: Malignant mesothelioma of the tunica vaginalis. A clinicopathologic analysis of 11 cases with review of the literature. Am J Surg Pathol. 19:815–825. 1995. View Article : Google Scholar : PubMed/NCBI

18 

Brimo F, Illei PB and Epstein JI: Mesothelioma of the tunica vaginalis: A series of eight cases with uncertain malignant potential. Mod Pathol. 23:1165–1172. 2010. View Article : Google Scholar : PubMed/NCBI

19 

Huang K, Cao Y, Yao K, Zhou F, Liu Z and Li X: Diagnosis and treatment of malignant mesothelioma of the tunica vaginalis testis: A series of 7 cases. Zhonghua Wai Ke Za Zhi. 61:812–817. 2023.(In Chinese). PubMed/NCBI

20 

Plas E, Riedl CR and Pflüger H: Malignant mesothelioma of the tunica vaginalis testis: Review of the literature and assessment of prognostic parameters. Cancer. 83:2437–2446. 1998. View Article : Google Scholar : PubMed/NCBI

21 

Drevinskaite M, Patasius A, Kevlicius L, Mickys U and Smailyte G: Malignant mesothelioma of the tunica vaginalis testis: A rare case and review of literature. BMC Cancer. 20:1622020. View Article : Google Scholar : PubMed/NCBI

22 

Park YJ, Kong HJ, Jang HC, Shin HS, Oh HK and Park JS: Malignant mesothelioma of the spermatic cord. Korean J Urol. 52:225–229. 2011. View Article : Google Scholar : PubMed/NCBI

23 

Arda E, Arıkan MG, Cetin G, Kuyumcuoğlu U and Usta U: Malignant mesothelioma of tunica vaginalis testis: Macroscopic and microscopic features of a very rare malignancy. Cureus. 9:e18602017.PubMed/NCBI

24 

Yang C, Liang CZ, Zhang H, Ye YP, Zhang XS, Hao ZY, Zhou J, Fan S, Tai S and Wang KX: Malignant Mesothelioma of the Tunica Vaginalis: Report of a Case and Review of the Literature. J Clin Urol. 25:621–625. 2010.(In Chinese).

25 

de Sá Barrêto Callou Peixoto M, Bernardo Soares MK, Libânio BB, Albuquerque KS and Bacchi CE: Malignant mesothelioma of the tunica vaginalis testis: A rare cause of hydrocele. Urol Case Rep. 43:1020482022.PubMed/NCBI

26 

Chen DC, Yu FP and Gao Y: Malignant mesothelioma of the tunica vaginalis: A case report. Clin J Med Officers. 39:458–504. 2011.(In Chinese).

27 

Du J, Wu T and Liang GB: Primary malignant mesothelioma of the tunica vaginalis: A case report. Chin J Clin Oncol. 51:427–428. 2024.

28 

Huang CH, Li JY, Ding ZY, Liu S and Yu GX: Malignant mesothelioma of the tunica vaginalis: A case report. Chin J Diagnostic Pathol. 17:316–317. 2010.

29 

Liu Q, Wang R, Ru N, Wu Y, Guo C, Chen L, Liang J and Zhang F: Analysis of guide wire displacement in robot-assisted spinal pedicle screw implantation. J Robot Surg. 18:1382024. View Article : Google Scholar : PubMed/NCBI

30 

Matsuki R, Ishii S, Suzuki T and Sugiyama H: A case of simultaneous diagnosis of tunica vaginalis testis and pleural mesothelioma. Respirol Case Rep. 10:e09372022. View Article : Google Scholar : PubMed/NCBI

31 

Bertolotto M, Boulay-Coletta I, Butini R, Dudea SM, Grenier N, Oltmanns G, Ramchandani P, Stein MW, Valentino M and Derchi LE: Imaging of mesothelioma of tunica vaginalis testis. Eur Radiol. 26:631–638. 2016. View Article : Google Scholar : PubMed/NCBI

32 

Dacic S: Pleural mesothelioma classification-update and challenges. Mod Pathol. 35 (Suppl 1):S51–S56. 2022. View Article : Google Scholar

33 

Hocking AJ, Thomas EM, Prabhakaran S, Jolley A, Woods SL, Soeberg MJ and Klebe S: Molecular characterization of testicular mesothelioma and the role of asbestos as a causative factor. Arch Pathol Lab Med. 147:1446–1450. 2023. View Article : Google Scholar : PubMed/NCBI

34 

Janes WCI, Al-Asaaed S and Johnston PH: Malignant mesothelioma of the testes with retroperitoneal recurrence and resection in an 80-Year-Old male and review of the literature. Case Rep Oncol. 16:698–704. 2023. View Article : Google Scholar : PubMed/NCBI

35 

Amin KM, Litzky LA, Smythe WR, Mooney AM, Morris JM, Mews DJ, Pass HI, Kari C, Rodeck U, Rauscher FJ III, et al: Wilms' tumor 1 susceptibility (WT1) gene products are selectively expressed in malignant mesothelioma. Am J Pathol. 146:344–356. 1995.PubMed/NCBI

36 

Chu AY, Litzky LA, Pasha TL, Acs G and Zhang PJ: Utility of D2-40, a novel mesothelial marker, in the diagnosis of malignant mesothelioma. Mod Pathol. 18:105–110. 2005. View Article : Google Scholar : PubMed/NCBI

37 

Hinterberger M, Reineke T, Storz M, Weder W, Vogt P and Moch H: D2-40 and calretinin-a tissue microarray analysis of 341 malignant mesotheliomas with emphasis on sarcomatoid differentiation. Mod Pathol. 20:248–255. 2007. View Article : Google Scholar : PubMed/NCBI

38 

Wang GY and Liu YM: Paradidymal malignant mesothelioma: A case report and literature review. China Modern Doctor. 60:167–197. 2022.

39 

Yang LH, Yu JH, Xu HT, Lin XY, Liu Y, Miao Y, Wang L, Fan CF, Jiang GY, Ding SL, et al: Mesothelioma of the tunica vaginalis testis with prominent adenomatoid features: A case report. Int J Clin Exp Pathol. 7:7082–7087. 2014.PubMed/NCBI

40 

Yuan J, Wu JR, Song HJ, Yu B, Lu ZF, Jiang SJ and Zhou XJ: Malignant mesothelioma of the tunica vaginalis testis: a clinicopathological observation of 3 cases and review of the literatures. J Clin Exp Pathol. 29:40–44. 2013.(In Chinese).

41 

Arslan A, Ozcakir-Tomruk C, Deniz E and Akin O: A case report of metastasis of malignant mesothelioma to the retromolar trigone. World J Surg Oncol. 14:1882016. View Article : Google Scholar : PubMed/NCBI

42 

Koschel SG and Wong LM: Radical inguinal orchidectomy: The gold standard for initial management of testicular cancer. Transl Androl Urol. 9:3094–3102. 2020. View Article : Google Scholar : PubMed/NCBI

43 

Gupta NP and Kumar R: Malignant gonadal mesothelioma. Curr Treat Options Oncol. 3:363–367. 2002. View Article : Google Scholar : PubMed/NCBI

44 

Zucali PA, De Vincenzo F, Perrino M, Digiacomo N, Cordua N, D'Antonio F, Borea F, Fazio R, Pirozzi A and Santoro A: Advances in drug treatments for mesothelioma. Expert Opin Pharmacother. 23:929–946. 2022. View Article : Google Scholar : PubMed/NCBI

45 

Zalcman G, Mazieres J, Margery J, Greillier L, Audigier-Valette C, Moro-Sibilot D, Molinier O, Corre R, Monnet I, Gounant V, et al: Bevacizumab for newly diagnosed pleural mesothelioma in the Mesothelioma Avastin Cisplatin Pemetrexed Study (MAPS): A randomised, controlled, open-label, phase 3 trial. Lancet. 387:1405–1414. 2016. View Article : Google Scholar : PubMed/NCBI

46 

Hassan R, Kindler HL, Jahan T, Bazhenova L, Reck M, Thomas A, Pastan I, Parno J, O'Shannessy DJ, Fatato P, et al: Phase II clinical trial of amatuximab, a chimeric antimesothelin antibody with pemetrexed and cisplatin in advanced unresectable pleural mesothelioma. Clin Cancer Res. 20:5927–5936. 2014. View Article : Google Scholar : PubMed/NCBI

47 

Fennell DA, Ewings S, Ottensmeier C, Califano R, Hanna GG, Hill K, Danson S, Steele N, Nye M, Johnson L, et al: Nivolumab versus placebo in patients with relapsed malignant mesothelioma (CONFIRM): A multicentre, double-blind, randomised, phase 3 trial. Lancet Oncol. 22:1530–1540. 2021. View Article : Google Scholar : PubMed/NCBI

48 

Baas P, Scherpereel A, Nowak AK, Fujimoto N, Peters S, Tsao AS, Mansfield AS, Popat S, Jahan T, Antonia S, et al: First-line nivolumab plus ipilimumab in unresectable malignant pleural mesothelioma (CheckMate 743): A multicentre, randomised, open-label, phase 3 trial. Lancet. 397:375–386. 2021. View Article : Google Scholar : PubMed/NCBI

49 

Mishra K, Siddiquee S and Mislang AR: A rare presentation of malignant mesothelioma of the tunica vaginalis managed with immunotherapy and review of the literature. Clin Case Rep. 11:e76102023. View Article : Google Scholar : PubMed/NCBI

50 

Naing A, Meric-Bernstam F, Stephen B, Karp DD, Hajjar J, Rodon Ahnert J, Piha-Paul SA, Colen RR, Jimenez C, Raghav KP, et al: Phase 2 study of pembrolizumab in patients with advanced rare cancers. J Immunother Cancer. 8:e0003472020. View Article : Google Scholar : PubMed/NCBI

51 

D'Angelo SP, Russell J, Lebbé C, Chmielowski B, Gambichler T, Grob JJ, Kiecker F, Rabinowits G, Terheyden P, Zwiener I, et al: Efficacy and safety of First-line avelumab treatment in patients with Stage IV metastatic merkel cell carcinoma: A preplanned interim analysis of a clinical trial. JAMA Oncol. 4:e1800772018. View Article : Google Scholar : PubMed/NCBI

52 

Mehnert JM, Panda A, Zhong H, Hirshfield K, Damare S, Lane K, Sokol L, Stein MN, Rodriguez-Rodriquez L, Kaufman HL, et al: Immune activation and response to pembrolizumab in POLE-mutant endometrial cancer. J Clin Invest. 126:2334–2340. 2016. View Article : Google Scholar : PubMed/NCBI

53 

Marabelle A, Fakih M, Lopez J, Shah M, Shapira-Frommer R, Nakagawa K, Chung HC, Kindler HL, Lopez-Martin JA, Miller WH Jr, et al: Association of tumour mutational burden with outcomes in patients with advanced solid tumours treated with pembrolizumab: Prospective biomarker analysis of the multicohort, open-label, phase 2 KEYNOTE-158 study. Lancet Oncol. 21:1353–1365. 2020. View Article : Google Scholar : PubMed/NCBI

54 

Wu G, Fang Y, Bi D, Yang W and Sun Y: Case report: Immunotherapy in rare high TMB pancreatic acinar carcinoma. Front Oncol. 14:13572332024. View Article : Google Scholar : PubMed/NCBI

55 

Chen Y, Du X, Gao Y, Wu H, Zhao H and Su Y: Methylthioadenosine phosphorylase and breast cancer 1 Protein-associated protein 1 as biomarkers for the peritoneal mesothelioma. Cancer Control. 30:107327482312208052023. View Article : Google Scholar : PubMed/NCBI

56 

Vrugt B, Kirschner MB, Meerang M, Oehl K, Wagner U, Soltermann A, Moch H, Opitz I and Wild PJ: Deletions of CDKN2A and MTAP detected by Copy-number variation array are associated with loss of p16 and MTAP protein in pleural mesothelioma. Cancers (Basel). 15:49782023. View Article : Google Scholar : PubMed/NCBI

57 

Chung CT, Santos Gda C, Hwang DM, Ludkovski O, Pintilie M, Squire JA and Tsao MS: FISH assay development for the detection of p16/CDKN2A deletion in malignant pleural mesothelioma. J Clin Pathol. 63:630–634. 2010. View Article : Google Scholar : PubMed/NCBI

58 

Chapel DB, Hornick JL, Barlow J, Bueno R and Sholl LM: Clinical and molecular validation of BAP1, MTAP, P53, and Merlin immunohistochemistry in diagnosis of pleural mesothelioma. Mod Pathol. 35:1383–1397. 2022. View Article : Google Scholar : PubMed/NCBI

Related Articles

  • Abstract
  • View
  • Download
  • Twitter
Copy and paste a formatted citation
Spandidos Publications style
Lu Y, Miu J, Fan Z, Zhi Z, He L, Deng J, Shao X, Hua J, Qian Y, Xie J, Xie J, et al: Malignant mesothelioma of the tunica vaginalis testis: A case report. Oncol Lett 31: 158, 2026.
APA
Lu, Y., Miu, J., Fan, Z., Zhi, Z., He, L., Deng, J. ... Xie, J. (2026). Malignant mesothelioma of the tunica vaginalis testis: A case report. Oncology Letters, 31, 158. https://doi.org/10.3892/ol.2026.15511
MLA
Lu, Y., Miu, J., Fan, Z., Zhi, Z., He, L., Deng, J., Shao, X., Hua, J., Qian, Y., Xie, J."Malignant mesothelioma of the tunica vaginalis testis: A case report". Oncology Letters 31.5 (2026): 158.
Chicago
Lu, Y., Miu, J., Fan, Z., Zhi, Z., He, L., Deng, J., Shao, X., Hua, J., Qian, Y., Xie, J."Malignant mesothelioma of the tunica vaginalis testis: A case report". Oncology Letters 31, no. 5 (2026): 158. https://doi.org/10.3892/ol.2026.15511
Copy and paste a formatted citation
x
Spandidos Publications style
Lu Y, Miu J, Fan Z, Zhi Z, He L, Deng J, Shao X, Hua J, Qian Y, Xie J, Xie J, et al: Malignant mesothelioma of the tunica vaginalis testis: A case report. Oncol Lett 31: 158, 2026.
APA
Lu, Y., Miu, J., Fan, Z., Zhi, Z., He, L., Deng, J. ... Xie, J. (2026). Malignant mesothelioma of the tunica vaginalis testis: A case report. Oncology Letters, 31, 158. https://doi.org/10.3892/ol.2026.15511
MLA
Lu, Y., Miu, J., Fan, Z., Zhi, Z., He, L., Deng, J., Shao, X., Hua, J., Qian, Y., Xie, J."Malignant mesothelioma of the tunica vaginalis testis: A case report". Oncology Letters 31.5 (2026): 158.
Chicago
Lu, Y., Miu, J., Fan, Z., Zhi, Z., He, L., Deng, J., Shao, X., Hua, J., Qian, Y., Xie, J."Malignant mesothelioma of the tunica vaginalis testis: A case report". Oncology Letters 31, no. 5 (2026): 158. https://doi.org/10.3892/ol.2026.15511
Follow us
  • Twitter
  • LinkedIn
  • Facebook
About
  • Spandidos Publications
  • Careers
  • Cookie Policy
  • Privacy Policy
How can we help?
  • Help
  • Live Chat
  • Contact
  • Email to our Support Team