Spandidos Publications Logo
  • About
    • About Spandidos
    • Aims and Scopes
    • Abstracting and Indexing
    • Editorial Policies
    • Reprints and Permissions
    • Job Opportunities
    • Terms and Conditions
    • Contact
  • Journals
    • All Journals
    • Oncology Letters
      • Oncology Letters
      • Information for Authors
      • Editorial Policies
      • Editorial Board
      • Aims and Scope
      • Abstracting and Indexing
      • Bibliographic Information
      • Archive
    • International Journal of Oncology
      • International Journal of Oncology
      • Information for Authors
      • Editorial Policies
      • Editorial Board
      • Aims and Scope
      • Abstracting and Indexing
      • Bibliographic Information
      • Archive
    • Molecular and Clinical Oncology
      • Molecular and Clinical Oncology
      • Information for Authors
      • Editorial Policies
      • Editorial Board
      • Aims and Scope
      • Abstracting and Indexing
      • Bibliographic Information
      • Archive
    • Experimental and Therapeutic Medicine
      • Experimental and Therapeutic Medicine
      • Information for Authors
      • Editorial Policies
      • Editorial Board
      • Aims and Scope
      • Abstracting and Indexing
      • Bibliographic Information
      • Archive
    • International Journal of Molecular Medicine
      • International Journal of Molecular Medicine
      • Information for Authors
      • Editorial Policies
      • Editorial Board
      • Aims and Scope
      • Abstracting and Indexing
      • Bibliographic Information
      • Archive
    • Biomedical Reports
      • Biomedical Reports
      • Information for Authors
      • Editorial Policies
      • Editorial Board
      • Aims and Scope
      • Abstracting and Indexing
      • Bibliographic Information
      • Archive
    • Oncology Reports
      • Oncology Reports
      • Information for Authors
      • Editorial Policies
      • Editorial Board
      • Aims and Scope
      • Abstracting and Indexing
      • Bibliographic Information
      • Archive
    • Molecular Medicine Reports
      • Molecular Medicine Reports
      • Information for Authors
      • Editorial Policies
      • Editorial Board
      • Aims and Scope
      • Abstracting and Indexing
      • Bibliographic Information
      • Archive
    • World Academy of Sciences Journal
      • World Academy of Sciences Journal
      • Information for Authors
      • Editorial Policies
      • Editorial Board
      • Aims and Scope
      • Abstracting and Indexing
      • Bibliographic Information
      • Archive
    • International Journal of Functional Nutrition
      • International Journal of Functional Nutrition
      • Information for Authors
      • Editorial Policies
      • Editorial Board
      • Aims and Scope
      • Abstracting and Indexing
      • Bibliographic Information
      • Archive
    • International Journal of Epigenetics
      • International Journal of Epigenetics
      • Information for Authors
      • Editorial Policies
      • Editorial Board
      • Aims and Scope
      • Abstracting and Indexing
      • Bibliographic Information
      • Archive
    • Medicine International
      • Medicine International
      • Information for Authors
      • Editorial Policies
      • Editorial Board
      • Aims and Scope
      • Abstracting and Indexing
      • Bibliographic Information
      • Archive
  • Articles
  • Information
    • Information for Authors
    • Information for Reviewers
    • Information for Librarians
    • Information for Advertisers
    • Conferences
  • Language Editing
Spandidos Publications Logo
  • About
    • About Spandidos
    • Aims and Scopes
    • Abstracting and Indexing
    • Editorial Policies
    • Reprints and Permissions
    • Job Opportunities
    • Terms and Conditions
    • Contact
  • Journals
    • All Journals
    • Biomedical Reports
      • Information for Authors
      • Editorial Policies
      • Editorial Board
      • Aims and Scope
      • Abstracting and Indexing
      • Bibliographic Information
      • Archive
    • Experimental and Therapeutic Medicine
      • Information for Authors
      • Editorial Policies
      • Editorial Board
      • Aims and Scope
      • Abstracting and Indexing
      • Bibliographic Information
      • Archive
    • International Journal of Epigenetics
      • Information for Authors
      • Editorial Policies
      • Editorial Board
      • Aims and Scope
      • Abstracting and Indexing
      • Bibliographic Information
      • Archive
    • International Journal of Functional Nutrition
      • Information for Authors
      • Editorial Policies
      • Editorial Board
      • Aims and Scope
      • Abstracting and Indexing
      • Bibliographic Information
      • Archive
    • International Journal of Molecular Medicine
      • Information for Authors
      • Editorial Policies
      • Editorial Board
      • Aims and Scope
      • Abstracting and Indexing
      • Bibliographic Information
      • Archive
    • International Journal of Oncology
      • Information for Authors
      • Editorial Policies
      • Editorial Board
      • Aims and Scope
      • Abstracting and Indexing
      • Bibliographic Information
      • Archive
    • Medicine International
      • Information for Authors
      • Editorial Policies
      • Editorial Board
      • Aims and Scope
      • Abstracting and Indexing
      • Bibliographic Information
      • Archive
    • Molecular and Clinical Oncology
      • Information for Authors
      • Editorial Policies
      • Editorial Board
      • Aims and Scope
      • Abstracting and Indexing
      • Bibliographic Information
      • Archive
    • Molecular Medicine Reports
      • Information for Authors
      • Editorial Policies
      • Editorial Board
      • Aims and Scope
      • Abstracting and Indexing
      • Bibliographic Information
      • Archive
    • Oncology Letters
      • Information for Authors
      • Editorial Policies
      • Editorial Board
      • Aims and Scope
      • Abstracting and Indexing
      • Bibliographic Information
      • Archive
    • Oncology Reports
      • Information for Authors
      • Editorial Policies
      • Editorial Board
      • Aims and Scope
      • Abstracting and Indexing
      • Bibliographic Information
      • Archive
    • World Academy of Sciences Journal
      • Information for Authors
      • Editorial Policies
      • Editorial Board
      • Aims and Scope
      • Abstracting and Indexing
      • Bibliographic Information
      • Archive
  • Articles
  • Information
    • For Authors
    • For Reviewers
    • For Librarians
    • For Advertisers
    • Conferences
  • Language Editing
Login Register Submit
  • This site uses cookies
  • You can change your cookie settings at any time by following the instructions in our Cookie Policy. To find out more, you may read our Privacy Policy.

    I agree
Search articles by DOI, keyword, author or affiliation
Search
Advanced Search
presentation
Oncology Letters
Join Editorial Board Propose a Special Issue
Print ISSN: 1792-1074 Online ISSN: 1792-1082
Journal Cover
May-2026 Volume 31 Issue 5

Full Size Image

Sign up for eToc alerts
Recommend to Library

Journals

International Journal of Molecular Medicine

International Journal of Molecular Medicine

International Journal of Molecular Medicine is an international journal devoted to molecular mechanisms of human disease.

International Journal of Oncology

International Journal of Oncology

International Journal of Oncology is an international journal devoted to oncology research and cancer treatment.

Molecular Medicine Reports

Molecular Medicine Reports

Covers molecular medicine topics such as pharmacology, pathology, genetics, neuroscience, infectious diseases, molecular cardiology, and molecular surgery.

Oncology Reports

Oncology Reports

Oncology Reports is an international journal devoted to fundamental and applied research in Oncology.

Experimental and Therapeutic Medicine

Experimental and Therapeutic Medicine

Experimental and Therapeutic Medicine is an international journal devoted to laboratory and clinical medicine.

Oncology Letters

Oncology Letters

Oncology Letters is an international journal devoted to Experimental and Clinical Oncology.

Biomedical Reports

Biomedical Reports

Explores a wide range of biological and medical fields, including pharmacology, genetics, microbiology, neuroscience, and molecular cardiology.

Molecular and Clinical Oncology

Molecular and Clinical Oncology

International journal addressing all aspects of oncology research, from tumorigenesis and oncogenes to chemotherapy and metastasis.

World Academy of Sciences Journal

World Academy of Sciences Journal

Multidisciplinary open-access journal spanning biochemistry, genetics, neuroscience, environmental health, and synthetic biology.

International Journal of Functional Nutrition

International Journal of Functional Nutrition

Open-access journal combining biochemistry, pharmacology, immunology, and genetics to advance health through functional nutrition.

International Journal of Epigenetics

International Journal of Epigenetics

Publishes open-access research on using epigenetics to advance understanding and treatment of human disease.

Medicine International

Medicine International

An International Open Access Journal Devoted to General Medicine.

Journal Cover
May-2026 Volume 31 Issue 5

Full Size Image

Sign up for eToc alerts
Recommend to Library

  • Article
  • Citations
    • Cite This Article
    • Download Citation
    • Create Citation Alert
    • Remove Citation Alert
    • Cited By
  • Similar Articles
    • Related Articles (in Spandidos Publications)
    • Similar Articles (Google Scholar)
    • Similar Articles (PubMed)
  • Download PDF
  • Download XML
  • View XML
Case Report Open Access

Pseudocirrhosis due to liver metastasis from lung squamous cell carcinoma: A case report

  • Authors:
    • Qian Liu
    • Yufeng Lu
    • Dan Wang
    • Juan Yao
    • Ying Liu
  • View Affiliations / Copyright

    Affiliations: Department of Medical Oncology, Huai'an Hospital Affiliated to Yangzhou University, The Fifth People's Hospital of Huai'an, Huai'an, Jiangsu 223002, P.R. China, The Cancer Center, The Second Affiliated Hospital of Soochow University, Suzhou, Jiangsu 215004, P.R. China, Department of Pathology, Huai'an Hospital Affiliated to Yangzhou University, The Fifth People's Hospital of Huai'an, Huai'an, Jiangsu 223002, P.R. China
    Copyright: © Liu et al. This is an open access article distributed under the terms of Creative Commons Attribution License.
  • Article Number: 159
    |
    Published online on: March 4, 2026
       https://doi.org/10.3892/ol.2026.15512
  • Expand metrics +
Metrics: Total Views: 0 (Spandidos Publications: | PMC Statistics: )
Metrics: Total PDF Downloads: 0 (Spandidos Publications: | PMC Statistics: )
Cited By (CrossRef): 0 citations Loading Articles...

This article is mentioned in:


Abstract

Pseudocirrhosis is extremely rare and primarily observed in metastatic breast cancer, with only a handful of cases involving other primary malignancies. Regarding lung cancer, only two cases of lung adenocarcinoma have been reported. To the best of our knowledge, no previous reports have described pseudocirrhosis associated with lung squamous cell carcinoma. The present study reports the case of a 74‑year‑old male who was diagnosed with primary squamous cell carcinoma in the left lower lobe of the lung. Computed tomography scans revealed multiple metastatic lesions in the liver. There was no history of liver disease. Treatment with an immune checkpoint inhibitor plus chemotherapy was initiated for four cycles, followed by maintenance therapy with the same immune checkpoint inhibitor. Although the pulmonary lesions and liver metastases showed marked regression, cirrhotic‑like morphological changes developed in the liver 1 year later. Despite immediate discontinuation of the immune checkpoint inhibitor and aggressive treatment with human albumin infusion, liver protection and diuretics, the patient succumbed to liver failure. In conclusion, patients with liver metastases from lung squamous cell carcinoma may also present with pseudocirrhosis, and clinicians need to be aware of this presentation.

Introduction

Previous reports have documented morphological changes resembling cirrhosis in the livers of patients with breast cancer and liver metastases who are undergoing chemotherapy (1–3). The primary features of these changes include a lobular liver contour, reduced hepatic segment volume and enlargement of the caudate lobe. In 1994, Young et al (1) reclassified this condition as ‘pseudocirrhosis’ based on its clinical and imaging features. Subsequently, as reports of pseudocirrhosis cases in breast cancer and other cancers increased, it drew the attention of clinicians. In addition to cases in patients with breast cancer, pseudocirrhosis has also been reported in other tumors. For example, colorectal cancer, pancreatic cancer, esophageal cancer, lung adenocarcinoma, gastric cancer, neuroendocrine cancer, thyroid cancer and melanoma (4–12). Research on pseudocirrhosis primarily relies on case reports and small-sample observational studies; its incidence and pathogenesis remain incompletely understood. Currently, there are no definitive diagnostic criteria for pseudocirrhosis, and most diagnoses are based on imaging studies. There is no specific treatment for pseudocirrhosis. When pseudocirrhosis occurs, chemotherapy drugs should be discontinued immediately. If ascites develops, symptomatic management should be initiated promptly, including diuretic therapy, albumin infusion and paracentesis. The present report describes the case of a patient with lung squamous cell carcinoma and diffuse liver metastases who developed pseudocirrhosis following immunotherapy combined with chemotherapy.

Case report

In June 2024, a 74-year-old man was admitted to Huai'an Hospital Affiliated to Yangzhou University and The Fifth People's Hospital of Huai'an (Jiangsu, China) with symptoms of coughing, hemoptysis, decreased appetite and abdominal distension. The patient had a history of chronic obstructive pulmonary disease spanning over 20 years. Computed tomography (CT) identified a 12.3-cm soft-tissue mass in the left lower lobe of the lung, with multiple metastatic lesions noted in the liver (Fig. 1). A biopsy of the lung lesion under CT control was performed. Tissues were fixed in 10% neutral formalin solution at room temperature for 24 h, then dehydrated and embedded in paraffin. The tissues were sliced into 5-µm thick sections. Immunohistochemical analysis was performed using the EnVision two-step method. Both primary and secondary antibodies were ready-to-use antibodies purchased from Henan Celnovte Biotechnology Co., Ltd. The following antibodies were employed: CK5/6 (clone C6H1/C1C8; catalog no. CCM-0983), p40 (clone C3B4; catalog no. CPM-0133), p53 (clone C2H10; catalog no. CPM-0142) and Ki-67 (clone C3G4; catalog no. CKM-0032). All staining was performed using an automated immunohistochemical staining machine (catalog no. CNT360-M2; Henan Celnovte Biotechnology Co., Ltd.), according to the manufacturer's instructions. All section observations and image acquisition were performed using a light microscope (ECLIPSE Ci-S; Nikon Corporation). Immunohistochemical analysis of the tissue sample revealed positive expression of CK5/6, p53 and p40, and the Ki-67 index was 30% (Fig. 2). Based on clinical presentation, imaging studies and pathological findings, the patient was diagnosed with primary lung squamous cell carcinoma. The patient refused a liver biopsy and programmed death ligand 1 testing. The patient was diagnosed with squamous cell carcinoma of the left lower lung lobe and liver metastasis, cT4N3M1c, clinical stage IVB, according to the American Joint Committee on Cancer 8th edition (13). The patient received intravenous sintilimab (200 mg on day 1) and albumin-bound paclitaxel (200 mg on day 1 and 100 mg on day 8) plus cisplatin (30 mg on days 1–3) of each 21-day cycle for 4 cycles. In October 2024, the patient showed a significant reduction in measurable lesions with regard to both the primary tumor and liver metastasis. The mass in the lower lobe of the left lung decreased from 12.3 to 8.4 cm in diameter, while the largest liver metastasis shrank from 3.8 to 1.5 cm in diameter, with some liver metastases disappearing (Fig. 3). Following the aforementioned four cycles of sintilimab and albumin-bound paclitaxel plus cisplatin, the patient continued maintenance therapy with sintilimab (200 mg on day 1 of each 21-day cycle). Tumor status was assessed every 6 to 8 weeks. The assessment included CT scans of the chest, abdomen and pelvis. In June 2025, CT demonstrated a nodular contour of the liver with capsular retraction, mild ascites, and esophageal and gastric varices (Fig. 4). The patient had no history of alcohol consumption. Laboratory tests indicated negative or normal results for all causes of liver disease, including serological tests for hepatitis B and C, and serological tests for autoimmune conditions. The patient refused to undergo a liver biopsy. The patient's alanine aminotransferase level was 57 U/l (normal range, 9–50 U/l), aspartate aminotransferase was 55 U/l (normal range, 15–40 U/l), γ-glutamyl transferase was 185 U/l (normal range, 15–40 U/l), total bilirubin was 27.9 µmol/l (normal range, <26 µmol/l) and albumin was 29.4 g/l (normal range, 40–55 g/l). The patient underwent abdominal paracentesis, with large-volume drainage of ascites, diuretic therapy and infusion of human albumin (once daily, 10 g per dose) as part of active treatment. Over the next 2 months, the Eastern Cooperative Oncology Group (http://ecog-acrin.org/resources/ecog-performance-status/) performance status gradually worsened. In August 2025, the patient ultimately succumbed to hepatic failure.

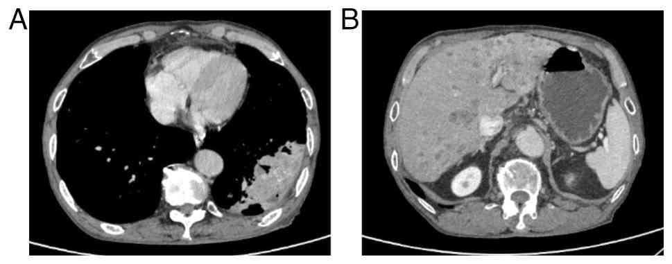
(A) Computed tomography scans showing
a 12.3-cm lung lump in the left lower lobe. (B) CT of the liver
after contrast enhancement showing numerous liver metastases.

Figure 1.

(A) Computed tomography scans showing a 12.3-cm lung lump in the left lower lobe. (B) CT of the liver after contrast enhancement showing numerous liver metastases.

Immunohistochemistry of the primary
tumor (magnification, ×100) showing tumor cell immunoreactivity for
(A) cytokeratin 5/6, (B) p53, (C) Ki-67 (30%) and (D) p40.

Figure 2.

Immunohistochemistry of the primary tumor (magnification, ×100) showing tumor cell immunoreactivity for (A) cytokeratin 5/6, (B) p53, (C) Ki-67 (30%) and (D) p40.

Computed tomography scans showing (A)
the left lower lobe mass decreased to a maximum diameter of 8.4 cm.
(B) Multiple liver metastases decreased, some completely
disappearing.

Figure 3.

Computed tomography scans showing (A) the left lower lobe mass decreased to a maximum diameter of 8.4 cm. (B) Multiple liver metastases decreased, some completely disappearing.

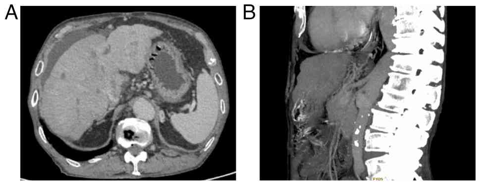
Computed tomography scans
demonstrating (A) a nodular contour of the liver with capsular
retraction, mild ascites, and (B) esophageal and gastric
varices.

Figure 4.

Computed tomography scans demonstrating (A) a nodular contour of the liver with capsular retraction, mild ascites, and (B) esophageal and gastric varices.

Discussion

In 1924, an irregular lobulated liver contour was first noted in the pathological changes of metastatic breast cancer cases. Over the next decades, several reports emerged concerning pseudocirrhosis of the liver in patients with breast cancer and liver metastasis (1,14,15). According to the literature, ~80% of cases of pseudocirrhosis occur in patients with liver metastases from breast cancer (16). To the best of our knowledge, the present study reports the first case of pseudocirrhosis developing after treatment for hepatic metastases from squamous cell lung carcinoma.

To date, there are no definitive diagnostic criteria for pseudocirrhosis. The diagnosis of pseudocirrhosis is based on characteristic imaging findings. The most common radiological manifestation of pseudocirrhosis is the formation of diffuse hepatic nodules, capsular retraction and enlargement of the caudate lobe (17) Some patients can develop features of portal hypertension, including portal-systemic collateral circulation, splenomegaly and ascites (14). Reviewing the patient's medical history and prior imaging studies can help identify pseudocirrhosis caused by treated cancer metastases, while other chronic liver diseases leading to cirrhosis must be ruled out. Portal hypertension is the most frequent complication in patients with pseudocirrhosis. The primary clinical manifestations include ascites, splenomegaly with hypersplenism and esophagogastric varices (18).

The pathogenesis of pseudocirrhosis remains poorly understood. A retrospective analysis of patients with metastatic breast cancer undergoing continuous treatment revealed that 55% of those with liver metastases developed pseudocirrhosis, and all patients with pseudocirrhosis had liver metastases (18). Despite undergoing chemotherapy, patients without liver metastases typically do not develop pseudocirrhosis. Several reports have suggested that pseudocirrhosis may be associated with chemotherapy, as chemotherapeutic agents can induce liver injury leading to nodular regenerative hepatocyte hyperplasia. Studies have also suggested that various chemotherapeutic drugs, such as paclitaxel, capecitabine and doxorubicin, can induce vascular damage, including sinusoidal spherical dilatation, microvascular injury, nodular regenerative hepatocyte hyperplasia formation and long-term fibrosis (2,3,16). Alternatively, it has been proposed that pseudocirrhosis occurs as potent cytotoxic anticancer drugs cause rapid shrinkage of liver metastases, leading to compensatory fibrotic proliferation (19). However, it has also been indicated that pseudocirrhosis can occur in chemotherapy-naive patients, and that it correlates positively with tumor size or progression-related fibrosis (14). Increased nodular regrowth, recurrent tumor cell infiltration and accumulation of surrounding fibrosis cause distortion of hepatic vessels and occlusion of some small hepatic veins or terminal branches of the portal vein, leading to portal hypertension (19). Overall, the pathophysiological mechanisms underlying pseudocirrhosis are diverse and sometimes overlap, and they remain incompletely understood at present.

There is no specific treatment for pseudocirrhosis. Whether it is associated with breast cancer or other tumors, when pseudocirrhosis occurs, suspected causative medications should be discontinued immediately. For ascites, symptomatic management should be initiated promptly, including diuretics, albumin infusion and paracentesis (9,11,20). Transjugular intrahepatic portosystemic shunt (TIPS) is safe and associated with few perioperative complications when used to treat malignant symptomatic pseudocirrhosis, with clinical efficacy comparable to TIPS for benign conditions (10).

The prognosis for pseudocirrhosis is generally poor. In patients with breast cancer accompanied by pseudocirrhosis, the median overall survival time from pseudocirrhosis onset to death was recorded as 7.9 months (21). A retrospective study by Engelmann et al (3), involving 48 patients with breast cancer complicated by pseudocirrhosis, reported that the median overall survival time following the emergence of abnormal liver contours in this cohort was 8.5 months. The onset of pseudocirrhosis in cancer types other than breast cancer ranges from 3 to 17 months (4,8,9,11). Treatment follows the same approach as that for cirrhosis, primarily involving symptomatic management such as diuretics, human albumin infusion, paracentesis and esophageal-gastric variceal ligation.

Early identification of pseudocirrhosis is crucial. Pseudocirrhosis may be a reversible condition. Two cases have been reported where liver function recovered in patients with pseudocirrhosis following active treatment. A patient with rectal cancer and multiple liver metastases developed pseudocirrhosis after regorafenib treatment. Following discontinuation of regorafenib and aggressive supportive symptomatic management, the patient's condition improved after 1 month (4). Another case of pancreatic cancer with multiple liver metastases developed pseudocirrhosis following chemotherapy. After discontinuing chemotherapy and administering diuretics and human albumin infusion, both the imaging and clinical manifestations of pseudocirrhosis were markedly resolved (5).

In conclusion, pseudocirrhosis most commonly occurs in patients with metastatic breast cancer involving liver metastases. Patients with other types of malignant tumors may also develop the condition. Despite being termed ‘pseudocirrhosis’, its clinical significance is comparable to that of ‘true’ cirrhosis. Clinicians should remain vigilant for the possibility of pseudocirrhosis in patients undergoing treatment for liver metastases. Timely identification and treatment of these patients can reduce the mortality associated with pseudocirrhosis.

Acknowledgements

Not applicable.

Funding

Funding: No funding was received.

Availability of data and materials

The data generated in the present study may be requested from the corresponding author.

Authors' contributions

QL was responsible for investigation, acquisition of data and writing the original draft. YLiu advised on patient treatment, reviewed and edited the manuscript. DW and YLu obtained medical images and analyzed patient data. JY performed the histological examination of the tumor, and contributed to writing the manuscript. DW and YLu confirm the authenticity of all the raw data. All authors have read and approved the final manuscript.

Ethics approval and consent to participate

Not applicable.

Patient consent for publication

Written informed consent was obtained from the patient's son for publication of the patient's clinical details and any accompanying images.

Competing interests

The authors declare that they have no competing interests.

References

1 

Young ST, Paulson EK, Washington K, Gulliver DJ, Vredenburgh JJ and Baker ME: CT of the liver in patients with metastatic breast carcinoma treated by chemotherapy: Findings simulating cirrhosis. Am J Roentgenol. 163:1385–1388. 1994. View Article : Google Scholar : PubMed/NCBI

2 

Jeong WK, Choi S and Kim J: Pseudocirrhosis as a complication after chemotherapy for hepatic metastasis from breast cancer. Clin Mol Hepatol. 19:190–194. 2013. View Article : Google Scholar : PubMed/NCBI

3 

Engelman D, Moreau M, Lepida A, Zaouak Y, Paesmans M and Awada A: Metastatic breast cancer and pseudocirrhosis: An unknown clinical entity. ESMO Open. 5:e0006952020. View Article : Google Scholar : PubMed/NCBI

4 

Kumamoto K, Endo S, Isohata N, Nirei A, Nemoto D, Utano K, Saito T and Togashi K: Pseudocirrhosis caused by regorafenib in an advanced rectal cancer patient with multiple liver metastases. Mol Clin Oncol. 6:63–66. 2016. View Article : Google Scholar : PubMed/NCBI

5 

Kang SP, Taddei T, McLennan B and Lac J: Pseudocirrhosis in a pancreatic cancer patient with liver metastases: A case report of complete resolution of pseudocirrhosis with an early recognition and management. World J Gastroentero. 14:1622–1624. 2008. View Article : Google Scholar

6 

Kobashigawa C, Nakamoto M, Hokama A, Hirata T, Kinjo F and Fujita J: Pseudocirrhosis in metastatic esophageal cancer. South Med J. 103:488–489. 2010. View Article : Google Scholar : PubMed/NCBI

7 

Shijubou N, Sumi T, Keira Y, Shiraishi H, Nagahisa Y, Matsuura K, Sekikawa M, Yamada Y, Nakata H and Chiba H: Pseudocirrhosis due to liver metastasis from lung adenocarcinoma. Thorac Cancer. 12:2407–2410. 2021. View Article : Google Scholar : PubMed/NCBI

8 

Nakano S, Suzuki T, Takase Y, Ito M, Osaki T, Yoshii A and Terauchi T: Pseudocirrhosis caused by lung adenocarcinoma with diffuse liver metastasis: An autopsy case report. Thorac Cancer. 12:2046–2049. 2021. View Article : Google Scholar : PubMed/NCBI

9 

Shinoda T, Tanahashi T, Sakuratani T, Ota M, Fujibayashi S, Kiriyama S, Matsumoto K, Yawata K, Sasaki Y, Osada S and Yamada M: Pseudocirrhosis after chemotherapy for gastric cancer with diffuse liver metastases: A case report. Mol Clin Oncol. 16:112022. View Article : Google Scholar : PubMed/NCBI

10 

Shreve LA, Leary CO, Clark TWI, Stavropoulos SW and Soulen MC: Transjugular intrahepatic portosystemic shunt for the management of symptomatic malignant pseudocirrhosis. J Gastrointest Oncol. 13:279–287. 2022. View Article : Google Scholar : PubMed/NCBI

11 

Harry BL, Smith ML, Burton JRJ, Dasari A, Eckhardt SG and Diamond JR: Medullary thyroid cancer and pseudocirrhosis: Case report and literature review. Curr Oncol. 19:e36–e41. 2012. View Article : Google Scholar : PubMed/NCBI

12 

Sadlik G, Anderson R, Lei X, Cen SY, Duddalwar VA and Fong T: Pseudocirrhosis: A case series with clinical and radiographic correlation and review of the literature. Digest Dis Sci. 69:1004–1014. 2024. View Article : Google Scholar : PubMed/NCBI

13 

Amin MB, Greene FL, Edge SB, Compton CC, Gershenwald JE, Brookland RK, Meyer L, Gress DM, Byrd DR and Winchester DP: The Eighth edition AJCC Cancer staging manual: Continuing to build a bridge from a population-based to a more ‘personalized’ approach to cancer staging. CA Cancer J Clin. 67:93–99. 2017.PubMed/NCBI

14 

Vuppalanchi R, Saxena R, Storniolo AMV and Chalasani N: Pseudocirrhosis and liver failure in patients with metastatic breast cancer after treatment with palbociclib. Hepatology. 65:1762–1764. 2017. View Article : Google Scholar : PubMed/NCBI

15 

Qayyum A, Lee GK, Yeh BM, Allen JN, Venook AP and Coakley FV: Frequency of hepatic contour abnormalities and signs of portal hypertension at CT in patients receiving chemotherapy for breast cancer metastatic to the liver. Clin Imag. 31:6–10. 2007. View Article : Google Scholar

16 

Villani R, Di Cosimo F, Sangineto M, Romano AD and Serviddio G: Pseudocirrhosis and portal hypertension in patients with metastatic cancers: A systematic review and meta-analysis. Sci Rep. 12:198652022. View Article : Google Scholar : PubMed/NCBI

17 

Jha P, Poder L, Wang ZJ, Westphalen AC, Yeh BM and Coakley FV: Radiologic Mimics of Cirrhosis. Am J Roentgenol. 194:993–999. 2010. View Article : Google Scholar : PubMed/NCBI

18 

Oliai C, Douek ML, Rhoane C, Bhutada A, Ge PS, Runyon BA, Wang X and Hurvitz SA: Clinical features of pseudocirrhosis in metastatic breast cancer. Breast Cancer Res Treat. 177:409–417. 2019. View Article : Google Scholar : PubMed/NCBI

19 

Sonnenblick A, Appelbaum L and Peretz T: Liver failure on the background of pseudocirrhosis in patients with liver metastasis from breast cancer, who responded to treatment. Onkologie. 34:199–201. 2011. View Article : Google Scholar : PubMed/NCBI

20 

Ma WL, Chang DY, Lin CH, Liu KL, Liang PC, Lien HC, Hu CC, Huang LY, Yeh YC and Lu YS: Clinical outcomes of metastatic breast cancer in patients having imaging liver pseudocirrhosis with or without evident Varices. Oncologist. 27:1008–1015. 2022. View Article : Google Scholar : PubMed/NCBI

21 

Huppert LA, Walker Z, Li M, Kim MO, Callan J, Brandman D, Majure M, Melisko ME, Rugo HS, Behr S and Chien AJ: Clinical characteristics and outcomes in patients with metastatic breast cancer and pseudocirrhosis: A single center retrospective cohort study. Breast Cancer Res Treat. 197:137–148. 2022. View Article : Google Scholar : PubMed/NCBI

Related Articles

  • Abstract
  • View
  • Download
  • Twitter
Copy and paste a formatted citation
Spandidos Publications style
Liu Q, Lu Y, Wang D, Yao J and Liu Y: Pseudocirrhosis due to liver metastasis from lung squamous cell carcinoma: A case report. Oncol Lett 31: 159, 2026.
APA
Liu, Q., Lu, Y., Wang, D., Yao, J., & Liu, Y. (2026). Pseudocirrhosis due to liver metastasis from lung squamous cell carcinoma: A case report. Oncology Letters, 31, 159. https://doi.org/10.3892/ol.2026.15512
MLA
Liu, Q., Lu, Y., Wang, D., Yao, J., Liu, Y."Pseudocirrhosis due to liver metastasis from lung squamous cell carcinoma: A case report". Oncology Letters 31.5 (2026): 159.
Chicago
Liu, Q., Lu, Y., Wang, D., Yao, J., Liu, Y."Pseudocirrhosis due to liver metastasis from lung squamous cell carcinoma: A case report". Oncology Letters 31, no. 5 (2026): 159. https://doi.org/10.3892/ol.2026.15512
Copy and paste a formatted citation
x
Spandidos Publications style
Liu Q, Lu Y, Wang D, Yao J and Liu Y: Pseudocirrhosis due to liver metastasis from lung squamous cell carcinoma: A case report. Oncol Lett 31: 159, 2026.
APA
Liu, Q., Lu, Y., Wang, D., Yao, J., & Liu, Y. (2026). Pseudocirrhosis due to liver metastasis from lung squamous cell carcinoma: A case report. Oncology Letters, 31, 159. https://doi.org/10.3892/ol.2026.15512
MLA
Liu, Q., Lu, Y., Wang, D., Yao, J., Liu, Y."Pseudocirrhosis due to liver metastasis from lung squamous cell carcinoma: A case report". Oncology Letters 31.5 (2026): 159.
Chicago
Liu, Q., Lu, Y., Wang, D., Yao, J., Liu, Y."Pseudocirrhosis due to liver metastasis from lung squamous cell carcinoma: A case report". Oncology Letters 31, no. 5 (2026): 159. https://doi.org/10.3892/ol.2026.15512
Follow us
  • Twitter
  • LinkedIn
  • Facebook
About
  • Spandidos Publications
  • Careers
  • Cookie Policy
  • Privacy Policy
How can we help?
  • Help
  • Live Chat
  • Contact
  • Email to our Support Team