Spandidos Publications Logo
  • About
    • About Spandidos
    • Aims and Scopes
    • Abstracting and Indexing
    • Editorial Policies
    • Reprints and Permissions
    • Job Opportunities
    • Terms and Conditions
    • Contact
  • Journals
    • All Journals
    • Oncology Letters
      • Oncology Letters
      • Information for Authors
      • Editorial Policies
      • Editorial Board
      • Aims and Scope
      • Abstracting and Indexing
      • Bibliographic Information
      • Archive
    • International Journal of Oncology
      • International Journal of Oncology
      • Information for Authors
      • Editorial Policies
      • Editorial Board
      • Aims and Scope
      • Abstracting and Indexing
      • Bibliographic Information
      • Archive
    • Molecular and Clinical Oncology
      • Molecular and Clinical Oncology
      • Information for Authors
      • Editorial Policies
      • Editorial Board
      • Aims and Scope
      • Abstracting and Indexing
      • Bibliographic Information
      • Archive
    • Experimental and Therapeutic Medicine
      • Experimental and Therapeutic Medicine
      • Information for Authors
      • Editorial Policies
      • Editorial Board
      • Aims and Scope
      • Abstracting and Indexing
      • Bibliographic Information
      • Archive
    • International Journal of Molecular Medicine
      • International Journal of Molecular Medicine
      • Information for Authors
      • Editorial Policies
      • Editorial Board
      • Aims and Scope
      • Abstracting and Indexing
      • Bibliographic Information
      • Archive
    • Biomedical Reports
      • Biomedical Reports
      • Information for Authors
      • Editorial Policies
      • Editorial Board
      • Aims and Scope
      • Abstracting and Indexing
      • Bibliographic Information
      • Archive
    • Oncology Reports
      • Oncology Reports
      • Information for Authors
      • Editorial Policies
      • Editorial Board
      • Aims and Scope
      • Abstracting and Indexing
      • Bibliographic Information
      • Archive
    • Molecular Medicine Reports
      • Molecular Medicine Reports
      • Information for Authors
      • Editorial Policies
      • Editorial Board
      • Aims and Scope
      • Abstracting and Indexing
      • Bibliographic Information
      • Archive
    • World Academy of Sciences Journal
      • World Academy of Sciences Journal
      • Information for Authors
      • Editorial Policies
      • Editorial Board
      • Aims and Scope
      • Abstracting and Indexing
      • Bibliographic Information
      • Archive
    • International Journal of Functional Nutrition
      • International Journal of Functional Nutrition
      • Information for Authors
      • Editorial Policies
      • Editorial Board
      • Aims and Scope
      • Abstracting and Indexing
      • Bibliographic Information
      • Archive
    • International Journal of Epigenetics
      • International Journal of Epigenetics
      • Information for Authors
      • Editorial Policies
      • Editorial Board
      • Aims and Scope
      • Abstracting and Indexing
      • Bibliographic Information
      • Archive
    • Medicine International
      • Medicine International
      • Information for Authors
      • Editorial Policies
      • Editorial Board
      • Aims and Scope
      • Abstracting and Indexing
      • Bibliographic Information
      • Archive
  • Articles
  • Information
    • Information for Authors
    • Information for Reviewers
    • Information for Librarians
    • Information for Advertisers
    • Conferences
  • Language Editing
Spandidos Publications Logo
  • About
    • About Spandidos
    • Aims and Scopes
    • Abstracting and Indexing
    • Editorial Policies
    • Reprints and Permissions
    • Job Opportunities
    • Terms and Conditions
    • Contact
  • Journals
    • All Journals
    • Biomedical Reports
      • Information for Authors
      • Editorial Policies
      • Editorial Board
      • Aims and Scope
      • Abstracting and Indexing
      • Bibliographic Information
      • Archive
    • Experimental and Therapeutic Medicine
      • Information for Authors
      • Editorial Policies
      • Editorial Board
      • Aims and Scope
      • Abstracting and Indexing
      • Bibliographic Information
      • Archive
    • International Journal of Epigenetics
      • Information for Authors
      • Editorial Policies
      • Editorial Board
      • Aims and Scope
      • Abstracting and Indexing
      • Bibliographic Information
      • Archive
    • International Journal of Functional Nutrition
      • Information for Authors
      • Editorial Policies
      • Editorial Board
      • Aims and Scope
      • Abstracting and Indexing
      • Bibliographic Information
      • Archive
    • International Journal of Molecular Medicine
      • Information for Authors
      • Editorial Policies
      • Editorial Board
      • Aims and Scope
      • Abstracting and Indexing
      • Bibliographic Information
      • Archive
    • International Journal of Oncology
      • Information for Authors
      • Editorial Policies
      • Editorial Board
      • Aims and Scope
      • Abstracting and Indexing
      • Bibliographic Information
      • Archive
    • Medicine International
      • Information for Authors
      • Editorial Policies
      • Editorial Board
      • Aims and Scope
      • Abstracting and Indexing
      • Bibliographic Information
      • Archive
    • Molecular and Clinical Oncology
      • Information for Authors
      • Editorial Policies
      • Editorial Board
      • Aims and Scope
      • Abstracting and Indexing
      • Bibliographic Information
      • Archive
    • Molecular Medicine Reports
      • Information for Authors
      • Editorial Policies
      • Editorial Board
      • Aims and Scope
      • Abstracting and Indexing
      • Bibliographic Information
      • Archive
    • Oncology Letters
      • Information for Authors
      • Editorial Policies
      • Editorial Board
      • Aims and Scope
      • Abstracting and Indexing
      • Bibliographic Information
      • Archive
    • Oncology Reports
      • Information for Authors
      • Editorial Policies
      • Editorial Board
      • Aims and Scope
      • Abstracting and Indexing
      • Bibliographic Information
      • Archive
    • World Academy of Sciences Journal
      • Information for Authors
      • Editorial Policies
      • Editorial Board
      • Aims and Scope
      • Abstracting and Indexing
      • Bibliographic Information
      • Archive
  • Articles
  • Information
    • For Authors
    • For Reviewers
    • For Librarians
    • For Advertisers
    • Conferences
  • Language Editing
Login Register Submit
  • This site uses cookies
  • You can change your cookie settings at any time by following the instructions in our Cookie Policy. To find out more, you may read our Privacy Policy.

    I agree
Search articles by DOI, keyword, author or affiliation
Search
Advanced Search
presentation
Oncology Letters
Join Editorial Board Propose a Special Issue
Print ISSN: 1792-1074 Online ISSN: 1792-1082
Journal Cover
May-2026 Volume 31 Issue 5

Full Size Image

Sign up for eToc alerts
Recommend to Library

Journals

International Journal of Molecular Medicine

International Journal of Molecular Medicine

International Journal of Molecular Medicine is an international journal devoted to molecular mechanisms of human disease.

International Journal of Oncology

International Journal of Oncology

International Journal of Oncology is an international journal devoted to oncology research and cancer treatment.

Molecular Medicine Reports

Molecular Medicine Reports

Covers molecular medicine topics such as pharmacology, pathology, genetics, neuroscience, infectious diseases, molecular cardiology, and molecular surgery.

Oncology Reports

Oncology Reports

Oncology Reports is an international journal devoted to fundamental and applied research in Oncology.

Experimental and Therapeutic Medicine

Experimental and Therapeutic Medicine

Experimental and Therapeutic Medicine is an international journal devoted to laboratory and clinical medicine.

Oncology Letters

Oncology Letters

Oncology Letters is an international journal devoted to Experimental and Clinical Oncology.

Biomedical Reports

Biomedical Reports

Explores a wide range of biological and medical fields, including pharmacology, genetics, microbiology, neuroscience, and molecular cardiology.

Molecular and Clinical Oncology

Molecular and Clinical Oncology

International journal addressing all aspects of oncology research, from tumorigenesis and oncogenes to chemotherapy and metastasis.

World Academy of Sciences Journal

World Academy of Sciences Journal

Multidisciplinary open-access journal spanning biochemistry, genetics, neuroscience, environmental health, and synthetic biology.

International Journal of Functional Nutrition

International Journal of Functional Nutrition

Open-access journal combining biochemistry, pharmacology, immunology, and genetics to advance health through functional nutrition.

International Journal of Epigenetics

International Journal of Epigenetics

Publishes open-access research on using epigenetics to advance understanding and treatment of human disease.

Medicine International

Medicine International

An International Open Access Journal Devoted to General Medicine.

Journal Cover
May-2026 Volume 31 Issue 5

Full Size Image

Sign up for eToc alerts
Recommend to Library

  • Article
  • Citations
    • Cite This Article
    • Download Citation
    • Create Citation Alert
    • Remove Citation Alert
    • Cited By
  • Similar Articles
    • Related Articles (in Spandidos Publications)
    • Similar Articles (Google Scholar)
    • Similar Articles (PubMed)
  • Download PDF
  • Download XML
  • View XML

  • Supplementary Files
    • Supplementary_Data.pdf
Article Open Access

Skeletal muscle index at the third lumbar vertebra/BMI are positively associated with 1‑year overall survival in male patients with hepatocellular carcinoma treated with immune checkpoint inhibitors

  • Authors:
    • Juan Li
    • Yang Wang
    • Songtao Liu
    • Huili Wu
    • Xin Hua
    • Qinghua Meng
  • View Affiliations / Copyright

    Affiliations: Department of Clinical Oncology, Beijing Youan Hospital, Capital Medical University, Beijing 100069, P.R. China, Department of Nutrition, Beijing Youan Hospital, Capital Medical University, Beijing 100069, P.R. China
    Copyright: © Li et al. This is an open access article distributed under the terms of Creative Commons Attribution License.
  • Article Number: 170
    |
    Published online on: March 11, 2026
       https://doi.org/10.3892/ol.2026.15524
  • Expand metrics +
Metrics: Total Views: 0 (Spandidos Publications: | PMC Statistics: )
Metrics: Total PDF Downloads: 0 (Spandidos Publications: | PMC Statistics: )
Cited By (CrossRef): 0 citations Loading Articles...

This article is mentioned in:


Abstract

Skeletal muscle loss is a hallmark of malnutrition and a well‑established predictor of adverse clinical outcomes. However, its specific role as a risk factor and its prognostic relevance in patients with hepatocellular carcinoma (HCC) treated with immune checkpoint inhibitors (ICIs) remain incompletely understood. The present study aimed to investigate the relationship between muscle mass (assessed via multiple skeletal muscle indices) and clinical outcomes in male patients with HCC receiving ICIs. A retrospective analysis of 195 male patients with HCC treated with ICIs was performed at Beijing Youan Hospital (Beijing, China). Transverse computed tomography images at the level of the third lumbar vertebra (L3) were analyzed with SliceOmatic software to quantify skeletal muscle parameters. Anthropometric, biochemical and prognostic data were collected and evaluated for association with survival. Among the 195 patients, 161 (82.56%) had hepatitis B virus infection and 163 (83.59%) had cirrhosis. Cumulative mortality at 6, 9 and 12 months was 4, 5 and 15%, respectively. Univariate analysis showed that lower body mass index (BMI) and higher values of L3 skeletal muscle index (L3‑SMI), L3‑SMI/weight, L3‑SMI/height and L3‑SMI/BMI were significantly associated with improved 1‑year overall survival (OS; P<0.05). In multivariate Cox regression analysis, L3‑SMI/BMI remained an independent predictor of 1‑year OS (hazard ratio=0.02; 95% CI: 0.001‑0.940; P=0.047). SHapley Additive exPlanations analysis further highlighted L3‑SMI/BMI as a strong independent predictor for 1‑year mortality. The area under the receiver operating characteristic curve of L3‑SMI/BMI for predicting 1‑year mortality was 0.86 (95% CI: 0.76‑0.96), outperforming BMI, L3‑SMI, L3‑SMI/weight and L3‑SMI/height. A higher L3‑SMI/BMI ratio was a strong independent predictor of improved 1‑year OS in male patients with HCC, predominantly Barcelona Clinic Liver Cancer stage A/B, treated with ICIs. These findings support the potential clinical utility of L3‑SMI/BMI as a practical prognostic marker in this patient population.

Introduction

Hepatocellular carcinoma (HCC) is the third leading cause of cancer-related mortalities worldwide, with 70–90% of cases developing on a background of cirrhosis (1,2). The integration of immune checkpoint inhibitors (ICIs) into the treatment landscape has transformed therapeutic options for HCC, offering renewed hope for patients who previously depended on tyrosine kinase inhibitors (TKIs) such as sorafenib or lenvatinib as first-line therapies (3,4). However, clinical responses to ICIs remain variable, underscoring the need for predictive biomarkers that can identify which patients are most likely to benefit from treatment.

The skeletal muscle index at the third lumbar vertebra (L3-SMI) is a widely validated, imaging-based metric for diagnosing sarcopenia in both clinical and research settings. It is calculated as the total cross-sectional area of skeletal muscle (cm2) at the L3 level, divided by height squared (m2) (5,6). L3-SMI is typically measured from cross-sectional imaging, either using computed tomography (CT) or magnetic resonance imaging obtained at the midpoint of the L3 vertebra. This region is selected because the lumbar spine provides a stable anatomical landmark, and the skeletal muscle area at this level correlates strongly with whole-body muscle mass (7). CT is particularly suitable for clinical and research use due to wide availability, non-invasive nature and standardized acquisition, which simplifies the assessment of skeletal muscle mass. Currently, diagnostic cut-off values for L3-SMI vary across regions, especially between Eastern and Western populations, reflecting differences in ethnicity, liver disease etiologies and measurement methodology. This variability complicates both clinical practice and research, particularly in the context of chronic liver disease (8). Despite the lack of uniform criteria, the association between sarcopenia and adverse clinical outcomes in patients with chronic liver disease has been consistently demonstrated (5,9).

L3-SMI serves as a practical and cost-effective surrogate marker for diagnosing sarcopenia and predicting outcomes in patients with chronic liver disease (5,9,10). A meta-analysis including 22 studies with 6,965 patients with cirrhosis reported a pooled sarcopenia prevalence (defined by L3-SMI) of 37.5%, and demonstrated that sarcopenia was associated with increased mortality [adjusted hazard ratio (HR)=2.30], these findings remained consistent across subgroups stratified by sex, liver disease etiology and severity of hepatic dysfunction (5). In patients with cirrhosis awaiting liver transplantation (LT), lower L3-SMI has been identified as a notable risk factor for waitlist mortality, postoperative complications and post-LT mortality (11). Similarly, reduced L3-SMI is associated with increased 1-year mortality after surgical resection of HCC (12) and predicts shorter median survival in patients with HCC (13). Previous studies also indicate that lower L3-SMI predicts worse OS in patients with HCC treated with trans-arterial chemoembolization or radiofrequency ablation (14,15). While the relationship between low skeletal muscle mass and prognosis in patients with HCC treated with ICIs remains underexplored, evidence from locally advanced esophageal cancer and biliary sepsis suggests plausible mechanistic links and clinical relevance (16,17).

In the present single-center longitudinal retrospective study, the prognostic value of multiple skeletal mass indices SMIs-including SMI, SMI/weight, SMI/height and SMI/BMI were evaluated for clinical outcomes in male patients with HCC receiving ICI therapy.

Materials and methods

Patients

A retrospective analysis was conducted on 195 male patients with HCC who were treated with ICIs. To eliminate the potential confounding effect of sex, the present study was restricted to male patients. All patients were admitted to Beijing Youan Hospital (Beijing, China), between January 2018 and February 2022. Eligible participants were adults clinically diagnosed with HCC according to the American Association for the Study of Liver Diseases criteria (18), who were male, aged ≥16 years and had undergone CT during hospitalization. The median age of the enrolled patients was 59 years (range, 29–82). Exclusion criteria were as follows: i) Incomplete clinical data; ii) confirmed or strongly suspected malignancy other than HCC; iii) long-term bedridden status; iv) diagnosis of Acquired Immune Deficiency Syndrome; and v) chronic renal and/or respiratory insufficiency, severe heart disease or conditions associated with intestinal nutrient malabsorption.

The study was performed in accordance with the Declaration of Helsinki. All data were extracted from electronic medical records. The protocol was approved by the Medical Ethics Review Committee of Beijing Youan Hospital (approval no. LL-2023-055K). Due to the retrospective nature of the study and full protection of patient privacy, the requirement for informed consent was waived.

Anthropometric measurements

Height and weight were measured during hospitalization using standardized protocols. Body weight was recorded in the morning using a digital scale, with patients barefoot and wearing lightweight clothing. For patients with cirrhosis and fluid retention, dry body weight was estimated by subtracting a percentage of the current body weight to account for ascites and edema: 5, 10 or 15% was deducted for mild, moderate or severe ascites, respectively, with an additional 5% subtracted if lower limb edema was present (19). Height was measured with patients standing barefoot, heels together, back straight and arms at their sides, as previously described (20). BMI was then calculated as the adjusted dry weight (in kg) divided by height squared (in m2) (21).

Assessment of L3-SMI

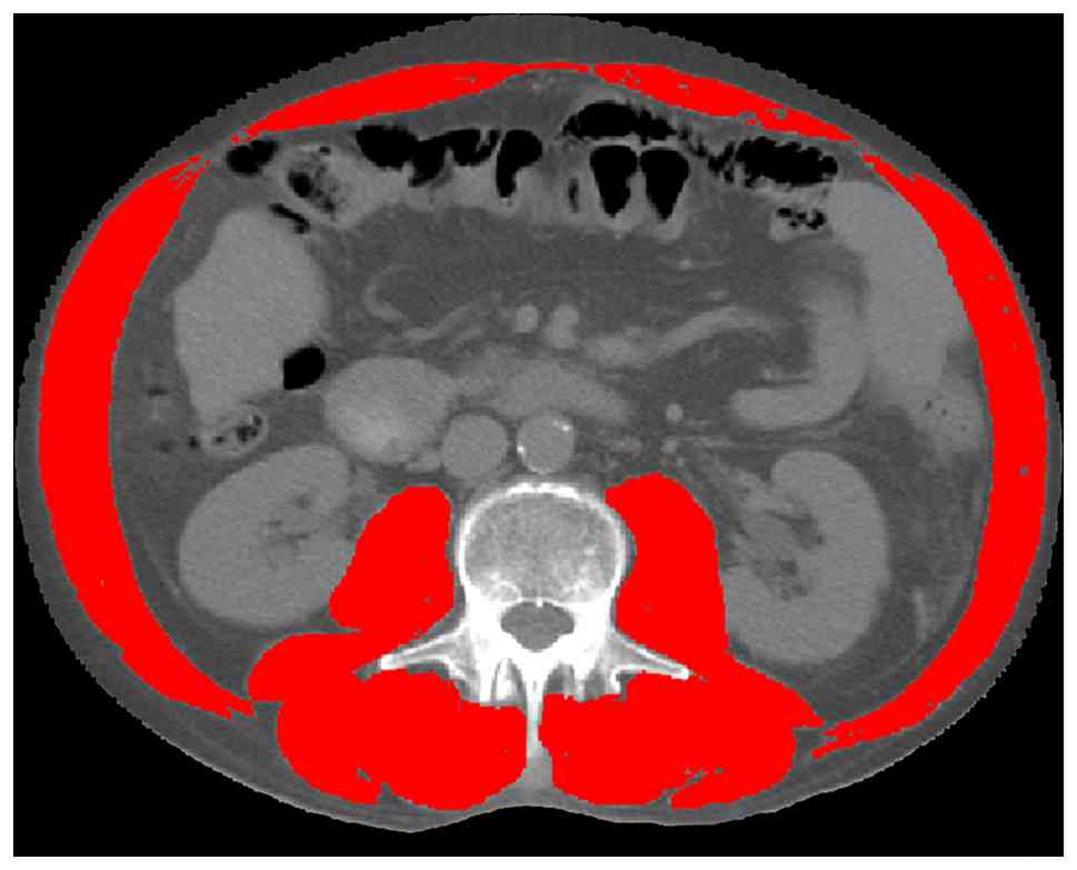
Abdominal non-contrast-enhanced CT scans were acquired on a 64-slice LightSpeed VCT scanner (GE Healthcare) with patients in the supine position. All scans used for skeletal muscle analysis were obtained within a 2-week period prior to the initiation of ICI therapy. For each scan, a single transverse image at the L3 vertebral level was selected for analysis using SliceOmatic software (version 5.0; TomoVision). Skeletal muscle area (SMA; cm2) was measured at the L3 vertebral level by segmenting muscle tissue within a Hounsfield unit window of −29 to +150, which included the psoas, erector spinae, quadratus lumborum, transversus abdominis, external and internal obliques and rectus abdominis muscles, as previously described (Fig. 1) (22). The cross-sectional SMA was automatically computed and normalized to height squared to derive the SMI (cm2/m2). All L3 SMA measurements were independently reviewed by two radiologists. In cases of disagreement, a third radiologist was consulted to reach consensus.

Cross-sectional computed tomography
images were obtained at the level of the third lumbar vertebra.
Skeletal muscle area was measured using manual tracing.

Figure 1.

Cross-sectional computed tomography images were obtained at the level of the third lumbar vertebra. Skeletal muscle area was measured using manual tracing.

Statistical analysis

Continuous variables were expressed as mean ± standard deviation or median (interquartile range). Categorical variables were expressed as numbers and percentages. Group comparisons for continuous variables were performed using an unpaired Student's t-test or Mann-Whitney-U test, as appropriate. Categorical variables were compared using the χ2 test or Fisher's exact probabilities.

Cox proportional hazards regression analysis with forward LR selection (entry P<0.05; removal P<0.10) was used to identify factors associated with 1-year OS. Candidate variables included BMI, L3-SMI, L3-SMI/BMI, L3-SMI/weight (kg) and L3-SMI/height (m). A risk-score plot was generated using the R package ‘ggrisk’ (https://github.com/yikeshu0611/ggrisk). Optimal cut-off values for each muscle-related index were determined using the surv_cutpoint function from the R package ‘survminer’ (https://rpkgs.datanovia.com/survminer/index.html). Using these optimal cutoffs, Kaplan-Meier survival curves were then generated and visualized using the R packages ‘survival’ (https://github.com/therneau/survival) and ‘survminer’. SHapley Additive exPlanations (SHAP) analysis, implemented via the R package ‘shapviz’ (https://github.com/ModelOriented/shapviz), was used to visualize and rank the importance of variables. Patients were stratified according to the optimal cut-offs for survival comparison. The predictive performance of each index was evaluated by calculating the area under the receiver operating characteristic (ROC) curve (AUC) using the R packages ‘reportROC’ (https://CRAN.R-project.org/package=reportROC). All analyses were performed using IBM SPSS Statistics 22.0 (IBM Corp.) or R software version 4.1.0 (R Foundation for Statistical Computing). P<0.05 was considered to indicate a statistically significant difference.

Results

Baseline clinical characteristics of patients

Among the 195 male patients, the distribution of first-line ICI regimens was as follows: 86 (44.10%) patients received 200 mg of sintilimab every 3 weeks, 101 (51.79%) received 200 mg of camrelizumab every 3 weeks, 1 (0.51%) received 200 mg of toripalimab every 3 weeks, 2 (1.03%) received 240 mg of tremelimumab every 3 weeks and 5 (2.56%) received 1,200 mg of atezolizumab every 3 weeks. All agents were administered as first-line therapy.

The mean age of the patients was 58.13±9.32 years. A total of 161 (82.56%) were HBV-infected, and 163 (83.59%) had cirrhosis. The median follow-up duration was 14 months (range, 1–55 months). According to the Barcelona Clinic Liver Cancer (BCLC) staging system, 53 patients (27.18%) were stage A, 84 (43.08%) stage B, 31 (15.90%) stage C and 27 (13.85%) stage D.

Regarding treatment history and combinations, 7 patients (3.58%) received anti-VEGF therapy, 45 (23.08%) received TKIs (23 lenvatinib, 22 sorafenib), 40 (20.51%) underwent surgical resection and 13 (6.67%) received interventional therapy. Overall, 127 patients (65.13%) had received three or more treatment strategies during their course of care. Detailed demographic and clinical characteristics of the participants are presented in Table I.

Table I.

Baseline characteristics of male patients.

Table I.

Baseline characteristics of male patients.

ParametersTotal patients (n=195)Alive (n=180)Dead (n=15)P-valuea
Age, years58.13±9.3258.19±9.1957.40±11.080.754
BMI, kg/m223.14 (21.10, 25.53)23.03 (20.93, 25.39)25.54 (23.15, 27.73)0.005
ALT, U/l32.00 (20.00, 50.00)32.00 (20.00, 50.00)35.00 (1800, 44.00)0.781
AST, U/l41.50 (28.00, 64.25)41.00 (28.00, 64.00)58.00 (29.00, 105.00)0.154
AST/ALT ratio1.40 (1.13, 1.86)1.40 (1.12, 1.83)1.79 (1.18, 2.44)0.261
TBIL, µmol/l22.30 (15.78, 28.63)21.90 (14.9, 28.60)28.10 (18.40, 37.90)0.080
ALB, g/l36.85±5.0336.90±4.8936.24±6.700.714
MELD score10.34 (9.60, 11.74)10.28 (9.51, 13.20)10.64 (10.06, 13.42)0.092
Child-Pugh score6.00 (5.00, 7.00)6.00 (5.00, 7.00)6.00 (5.00, 7.25)0.330
HBV infection, n (%)161 (82.56)150 (83.33)11 (73.33)0.531
Cirrhosis Presence, n (%)163 (83.59)150 (83.33)13 (86.67)>0.999
Decompensated cirrhosis, n (%)66 (33.85)55 (30.56)8 (53.33)0.127
Number of tumors ≥3, n (%)33 (16.92)29 (16.11)4 (26.67)0.491
Maximum tumor diameter, cm1.00 (1.00, 5.50)1.00 (1.00, 5.50)1.00 (1.00, 6.50)0.305
Tumor differentiationb, n (%) 0.335
  Poor, moderate17 (51.52)13 (76.47)4 (23.53)
  Well16 (48.48)15 (93.75)1 (6.25)
BCLC stage, n (%) 0.982
  A, B137 (70.26)127 (92.70)10 (7.30)
  C, D58 (29.74)53 (91.38)5 (8.62)
Portal vein invasion, n (%)27 (13.85)26 (14.44)1 (6.67)0.654
Ki-67, %0.46±0.240.47±0.230.43±0.300.747
AFP, ng/ml17.70 (4.46, 769.00)17.00 (5.16, 804.00)62.30 (2.43, 330.75)0.699
SMI, cm2/m246.46 (41.15, 51.46)46.89 (41.35, 52.17)41.15 (34.55, 49.47)0.015
SMI/weight0.70 (0.63, 0.76)0.70 (0.65, 0.76)0.59 (0.51, 0.63)<0.001
SMI/height27.62 (24.31, 30.58)27.93 (24.71, 30.77)25.33 (20.53, 28.25)0.017
SMI/BMI2.00 (1.83, 2.19)2.01 (1.85, 2.21)1.50 (1.47, 1.95)<0.001

{ label (or @symbol) needed for fn[@id='tfn1-ol-31-5-15524'] } Table data are number of patients or median (Q1-Q3), mean ± standard deviation or n (%).

a P values are acquired by univariate analyses between survivor and mortality patients;

b 33 patients with available tumor differentiation data were analyzed. ALB, albumin; AFP, α-fetoprotein; ALT, alanine aminotransferase; AST, aspartate aminotransferase; BMI, body mass index; TBIL, total bilirubin; HBV, hepatitis B virus; BCLC, Barcelona clinical staging of liver cancer; MELD, model for end stage liver disease; SMI, skeletal mass index.

Relevance of multiple SMIs at baseline for 1-year mortality in male patients with HCC treated with ICIs

The distribution of risk score for each patient is shown in Fig. 2A. A scatter plot of survival time vs. risk score (Fig. 2B) demonstrated that a higher risk score was associated with an increased number of mortality events and shorter survival times. A heat map of the indices across high- and low-risk groups (Fig. 2C) indicated that an elevated risk of mortality was associated with a higher BMI and lower levels of L3-SMI, L3-SMI/weight, L3-SMI/height and L3-SMI/BMI.

Risk assessment of these indices
predict the survival of patients. (A) The distribution of the risk
scores for each patient with HCC is presented. The blue dots
represent patients with a low-risk score, while the red dots denote
those with a high-risk score. (B) The scatter diagram illustrates
the survival status of patients with HCC based on their risk
scores. The blue dots signify the patients who have survived,
whereas the red dots indicate the ones who have passed away. (C)
The expression heat map of the indices is shown for the high-risk
and low-risk groups within the two groups. HCC, hepatocellular
carcinoma; L3-SMI, skeletal muscle index at the third lumbar
vertebra; BMI, body mass index.

Figure 2.

Risk assessment of these indices predict the survival of patients. (A) The distribution of the risk scores for each patient with HCC is presented. The blue dots represent patients with a low-risk score, while the red dots denote those with a high-risk score. (B) The scatter diagram illustrates the survival status of patients with HCC based on their risk scores. The blue dots signify the patients who have survived, whereas the red dots indicate the ones who have passed away. (C) The expression heat map of the indices is shown for the high-risk and low-risk groups within the two groups. HCC, hepatocellular carcinoma; L3-SMI, skeletal muscle index at the third lumbar vertebra; BMI, body mass index.

As shown in Fig. 3 and Table II, lower BMI and higher values of L3-SMI and L3-SMI/BMI were significantly associated with improved 1-year OS (all P<0.05; Fig. 3A, C and E). Using the forward linear regression method, variables with a univariate P-value <0.05 were entered into a multivariate Cox proportional hazards model, and only a higher L3-SMI/BMI was retained as an independent predictor of improved 1-year OS (HR=0.02; 95% CI: 0.001–0.940; P=0.047). This association persisted after further adjustment for the potential confounding effect of age (age-adjusted HR=0.02; 95% CI: 0.001–0.934; P=0.046).

Kaplan-Meier survival analysis of the
indices in different groups determined by (A) BMI, (B)
L3-SMI/height, (C) L3-SMI, (D) L3-SMI/weight and (E) L3-SMI/BMI
levels. L3-SMI, skeletal muscle index at the third lumbar vertebra;
BMI, body mass index.

Figure 3.

Kaplan-Meier survival analysis of the indices in different groups determined by (A) BMI, (B) L3-SMI/height, (C) L3-SMI, (D) L3-SMI/weight and (E) L3-SMI/BMI levels. L3-SMI, skeletal muscle index at the third lumbar vertebra; BMI, body mass index.

Table II.

Univariate and multivariate analyses of indicators for 1-year mortality.

Table II.

Univariate and multivariate analyses of indicators for 1-year mortality.

Univariate analysisMultivariate analysis


ParametersCut-off valueχ2P-valueHR (95% CI)P-value
BMI, kg/m225.395.0510.025-0.077
SMI/height22.91-0.415a
SMI, cm2/m250.594.1200.042-0.511
SMI/weight0.782.8570.091
SMI/BMI2.0015.827<0.00010.02 (0.001–0.940)0.047

a P-value was acquired using a two-stage test. HR, hazard ratio; SMI, skeletal mass index; BMI, body mass index.

Kaplan-Meier analysis showed accumulated mortality rates of 4, 5 and 15% at 6, 9 and 12 months, respectively. Among the 189 patients with follow-up data, the objective response rate was 23.91% (45/189), the disease control rate was 36.51% (69/189) and the median progression-free survival was 7 months (95% CI: 5.56–8.44). These favorable outcomes are consistent with the predominance of early- to intermediate-stage disease (70.26% BCLC A/B) and preserved liver function in the cohort. Notably, patients with an L3-SMI/BMI ≥2.00 had a significantly lower 1-year cumulative mortality compared with those with an L3-SMI/BMI <2.00 (0 vs. 20%; log rank χ2=15.827; P<0.001; Fig. 3E). Corresponding survival curves of other indices are presented in Fig. 3A-D.

To visually interpret the contributions of each variable, SHAP values were calculated to quantify the effect of the derived ratios on 1-year mortality predictions. Fig. 4A ranks the variables by average absolute SHAP values, illustrating their relative importance. Fig. 3B displays how each variable influences the prediction. Notably, a higher L3-SMI/BMI value was associated with a lower predicted probability of 1-year mortality, underscoring its protective role in survival outcomes. This association remained strong after additional adjustment for age as a potential confounder (Fig. S1).

SHAP analysis illustrates how these
indices affect 1-year mortality. (A) The importance ranking of the
indices is presented according to the mean (SHAP value). (B) The
higher the SHAP value of the index provided, the higher risk of
mortality the patient would have. SHAP, SHapley Additive
exPlanations; L3-SMI, skeletal muscle index at the third lumbar
vertebra; BMI, body mass index.

Figure 4.

SHAP analysis illustrates how these indices affect 1-year mortality. (A) The importance ranking of the indices is presented according to the mean (SHAP value). (B) The higher the SHAP value of the index provided, the higher risk of mortality the patient would have. SHAP, SHapley Additive exPlanations; L3-SMI, skeletal muscle index at the third lumbar vertebra; BMI, body mass index.

Predicting performance of SMIs for 1-year mortality

The predictive performance of each SMI was assessed via ROC analysis. The AUC for L3-SMI/BMI in predicting 1-year mortality was 0.86 (95% CI: 0.76–0.96), which was notably higher than the AUCs for BMI, L3-SMI, L3-SMI/weight and L3-SMI/height, as shown in Table III.

Table III.

AUC analysis of indicators for 1-year mortality.

Table III.

AUC analysis of indicators for 1-year mortality.

IndicatorsAUC (95% CI)Cut-off valueSeSpPPVNPV
BMI, kg/m20.72 (0.59–0.85)22.941.000.490.930.15
SMI, cm2/m20.69 (0.55–0.83)41.740.730.600.960.16
SMI/weight0.83 (0.71–0.95)0.640.790.870.980.28
SMI/height0.69 (0.56–0.82)29.060.390.930.990.11
SMI/BMI0.86 (0.76–0.96)1.511.000.600.961.00

[i] AUC, area under the receiver operating characteristic curve; SMI, skeletal mass index; BMI, body mass index; Se, sensitivity; Sp, specificity; PPV, positive predictive value; NPV, negative predictive value.

Discussion

In the present study, the prognostic value of four L3 SMIs were assessed, including L3-SMI, L3-SMI/weight, L3-SMI/height and L3-SMI/BMI in male patients with HCC treated with ICIs. L3-SMI/BMI was demonstrated to be independently and positively associated with improved 1-year OS (as higher values predicted improved survival), outperforming the other indices. Furthermore, L3-SMI/BMI demonstrated the highest area under the ROC curve for predicting 1-year mortality, underscoring its high predictive performance as a prognostic marker in this population.

Compared with survivors, deceased patients exhibited significantly lower levels of L3-SMI, L3-SMI/weight, L3-SMI/height and L3-SMI/BMI. These results support the protective role of skeletal muscle mass, which was assessed using L3-SMI, and are consistent with prior studies reporting lower L3-SMI in deceased vs. surviving patients with HCC (12,23). Additionally, earlier research has indicated that when appendicular lean mass (ALM) is adjusted by height alone, individuals with normal or low body weight may be misclassified as having lower muscle mass compared with obese individuals (24). By contrast, weight-adjusted methods reduce the likelihood of overestimating muscle mass in obesity (25). A previous study suggested that adjusting ALM for both height and weight better identifies metabolic impairment than height-adjusted ALM alone (26). Similarly, in this cohort, L3-SMI adjusted for weight or height remained positively associated with 1-year OS, supporting the notion that these indices partially reflect muscle mass in patients with HCC. Thirdly, deceased patients had higher BMI, a finding aligned with a prior report by Yang et al (27). Conversely, another study by Akce et al (6) found that higher BMI was associated with longer median OS following anti-programmed cell death protein 1 therapy. This discrepancy may stem from heterogeneity in the study population, including differences in underlying etiology, treatment settings or demographic characteristics.

In the present analysis, L3-SMI/BMI demonstrated superior predictive performance for 1-year mortality compared with L3-SMI, L3-SMI/weight and L3-SMI/height. This advantage may be explained by the fact that adjusting L3-SMI for BMI mitigates the overestimation of muscle mass in individuals with high body weight, thereby offering a more accurate identification of low muscle mass in patients with HCC. Previous work has also shown that SMI/BMI is the most commonly used metric for defining low muscle mass and is considered an optimal predictor of metabolic syndrome, further supporting its clinical relevance (28,29). In addition, myokines secreted by skeletal muscle are considered to modulate inflammatory processes positively, which may in turn influence HCC prognosis (30,31). Nevertheless, the precise molecular mechanisms involved warrant further investigation. Furthermore, integrating this index into clinical workflows could prompt a comprehensive nutritional assessment and personalized interventions, such as targeted protein-calorie supplementation and supervised exercise therapy. By identifying high-risk patients at the start of treatment, this biomarker may facilitate early, multimodal interventions designed to modify a key prognostic factor-skeletal muscle mass. Future prospective studies should investigate whether this risk-stratified pathway, triggered by a low L3-SMI/BMI, leads to improvements in muscle mass, enhanced tolerance to ICI therapy and ultimately, improved survival outcomes in patients with HCC.

Several limitations of the present study should be acknowledged. First, this was a retrospective, single-center analysis with a relatively small sample size and short follow-up period and an exclusively male cohort, which may limit the generalizability of the findings to broader HCC populations. Second, as the cohort was predominantly composed of patients with BCLC stage A/B disease and preserved performance status, the limited number of mortality events during follow-up may have resulted in an underestimation of cumulative mortality. These factors potentially limit the generalizability of the findings to patients with more advanced HCC or compromised liver function. Third, the analysis was confined to radiologically derived indices of skeletal muscle quantity (L3-SMI and its ratios) and did not include direct measures of muscle quality-such as CT radiodensity, detailed body composition from dedicated software or physical function tests. Future studies should integrate both quantitative and qualitative assessments to clarify their distinct prognostic contributions. Future large-scale, multicenter prospective studies are needed to externally validate the conclusions and to further clarify the prognostic role of L3-SMI/BMI in patients with HCC receiving ICIs.

In conclusion, L3-SMI/BMI is a strong independent predictor of 1-year OS in male patients with HCC treated with ICIs. This finding enhances our understanding of the clinical utility of L3-SMI/BMI in stratifying outcomes during HCC immunotherapy and highlights its potential as a valuable prognostic biomarker. Prospective studies with larger cohorts are warranted to establish optimal cut-off values for L3-SMI/BMI and to evaluate its ability to predict long-term prognosis in this population.

Supplementary Material

Supporting Data

Acknowledgements

Not applicable.

Funding

This research is funded by Scientific Research Project of Beijing Youan Hospital (grant no. 2022BJYAYY-YN2022-08).

Availability of data and materials

The data generated in the present study may be requested from the corresponding author.

Authors' contributions

YW contributed to the visualization, methodology, formal analysis, drafting, and editing of the manuscript. SL, HuW and XH contributed to data curation (organising and managing collected datases, validating daata, documenting metadata, preparing data in appropriate formats for analysis) and acquisition, review and editing of the manuscript. QM contributed to study design, interpretation of data, project administration, resources, review and editing of the manuscript. JL contributed to conceptualization, funding acquisition, study design, interpretation of data for the work, supervision and critical revision of the manuscript. YW and JL confirm the authenticity of all the raw data. All authors read and approved the final version of the manuscript.

Ethics approval and consent to participate

All patient's data were retrieved from electronic medical records. The study was approved by the Medical Ethics Review Committee of Beijing Youan Hospital (approval no. LL-2023-055K). All patients provided written informed consent authorizing access to their medical records for research purposes, and additional, study-specific informed consent was waived.

Patient consent for publication

The authors confirm that written informed consent for publication of their case (including any accompanying images and/or data) has been obtained from the patient.

Competing interests

The authors declare that they have no competing interests.

Glossary

Abbreviations

Abbreviations:

L3-SMI

skeletal muscle index at the lumbar 3 vertebra

BMI

body mass index

CT

computed tomography

HCC

hepatocellular carcinoma

ROC

receiver operating characteristic

References

1 

Jiang Y, Tie C, Wang Y, Bian D, Liu M, Wang T, Ren Y, Liu S, Bai L, Chen Y, et al: Upregulation of serum sphingosine (d18:1)-1-P potentially contributes to distinguish HCC Including AFP-Negative HCC from cirrhosis. Front Oncol. 10:17592020. View Article : Google Scholar : PubMed/NCBI

2 

Xiao CL, Zhong ZP, Lu C, Guo BJ, Chen JJ, Zhao T, Yin ZF and Li B: Physical exercise suppresses hepatocellular carcinoma progression by alleviating hypoxia and attenuating cancer stemness through the Akt/GSK-3beta/beta-catenin pathway. J Integr Med. 21:184–193. 2023. View Article : Google Scholar : PubMed/NCBI

3 

Donne R and Lujambio A: The liver cancer immune microenvironment: Therapeutic implications for hepatocellular carcinoma. Hepatology. 77:1773–1796. 2023. View Article : Google Scholar : PubMed/NCBI

4 

Zhou X, Xing Z, Dong R, Zhang X, Liang X, Lu Z and Yang G: Cell function experiments and bioinformatics analysis jointly revealed the antineoplastic effect of lumican on hepatocellular carcinoma. Phenomics. 5:252–269. 2025. View Article : Google Scholar : PubMed/NCBI

5 

Tantai X, Liu Y, Yeo YH, Praktiknjo M, Mauro E, Hamaguchi Y, Engelmann C, Zhang P, Jeong JY, van Vugt JLA, et al: Effect of sarcopenia on survival in patients with cirrhosis: A meta-analysis. J Hepatol. 76:588–599. 2022. View Article : Google Scholar : PubMed/NCBI

6 

Akce M, Liu Y, Zakka K, Martini DJ, Draper A, Alese OB, Shaib WL, Wu C, Wedd JP, Sellers MT, et al: Impact of sarcopenia, BMI, and inflammatory biomarkers on survival in advanced hepatocellular carcinoma treated with Anti-PD-1 antibody. Am J Clin Oncol. 44:74–81. 2021. View Article : Google Scholar : PubMed/NCBI

7 

Kong M, Lin N, Wang L, Geng N, Xu M, Li S, Song W, Zhou Y, Piao Y, Han Z, et al: Age-specific reference values for low psoas muscle index at the L3 vertebra level in healthy populations: A multicenter study. Front Nutr. 9:10338312022. View Article : Google Scholar : PubMed/NCBI

8 

Zhang Y, Wei L, Chang C, Duan F, Quan M and Yang S: Sarcopenia defined with L3-SMI is an independent predictor of survival in male patients with ARLD in mainland China. Front Nutr. 10:12384332023. View Article : Google Scholar : PubMed/NCBI

9 

Li T, Xu M, Kong M, Song W, Duan Z and Chen Y: Use of skeletal muscle index as a predictor of short-term mortality in patients with acute-on-chronic liver failure. Sci Rep. 11:125932021. View Article : Google Scholar : PubMed/NCBI

10 

Yao J, Zhou X, Yuan L, Niu LY, Zhang A, Shi H, Duan Z and Xu J: Prognostic value of the third lumbar skeletal muscle mass index in patients with liver cirrhosis and ascites. Clin Nutr. 39:1908–1913. 2020. View Article : Google Scholar : PubMed/NCBI

11 

Zhou D, Zhang D, Zeng C, Zhang L, Gao X and Wang X: Impact of sarcopenia on the survival of patients undergoing liver transplantation for decompensated liver cirrhosis. J Cachexia Sarcopenia Muscle. 14:2602–2612. 2023. View Article : Google Scholar : PubMed/NCBI

12 

Salman MA, Omar HSE, Mikhail HMS, Tourky M, El-Ghobary M, Elkassar H, Omar MG, Matter M, Elbasiouny AM, Farag AM, et al: Sarcopenia increases 1-year mortality after surgical resection of hepatocellular carcinoma. ANZ J Surg. 90:781–785. 2020. View Article : Google Scholar : PubMed/NCBI

13 

Chen J, Huang X, Wei Q, Liu S, Song W and Liu M: The relationship between systemic therapies and low skeletal muscle mass in patients with intermediate and advanced hepatocellular carcinoma. Front Immunol. 16:15578392025. View Article : Google Scholar : PubMed/NCBI

14 

Salman A, Salman M, Moustafa A, Shaaban HE, El-Mikkawy A, Labib S, Youssef A, Omar MG, Matter M and Elkassar H: Impact of sarcopenia on Two-Year mortality in patients with HCV-associated hepatocellular carcinoma after radiofrequency ablation. J Hepatocell Carcinoma. 8:313–320. 2021. View Article : Google Scholar : PubMed/NCBI

15 

Wang S, Zhang X, Chen Q, Jin ZC, Lu J and Guo J: A novel Neutrophil-to-Lymphocyte ratio and sarcopenia based TACE-Predict model of hepatocellular carcinoma patients. J Hepatocell Carcinoma. 10:659–671. 2023. View Article : Google Scholar : PubMed/NCBI

16 

Harada T, Tsuji T, Ueno J, Koishihara Y, Konishi N, Hijikata N, Ishikawa A, Kotani D, Kojima T, Fujiwara H and Fujita T: Prognostic impact of the loss of skeletal muscle mass during neoadjuvant chemotherapy on older patients with esophageal cancer. Ann Surg Oncol. 29:8131–8139. 2022. View Article : Google Scholar : PubMed/NCBI

17 

Chun SY, Cho YS and Kim HB: Association between reduced muscle mass and poor prognosis of biliary sepsis. Sci Rep. 14:18572024. View Article : Google Scholar : PubMed/NCBI

18 

Heimbach JK, Kulik LM, Finn RS, Sirlin CB, Abecassis MM, Roberts LR, Zhu AX, Murad MH and Marrero JA: AASLD guidelines for the treatment of hepatocellular carcinoma. Hepatology. 67:358–380. 2018. View Article : Google Scholar : PubMed/NCBI

19 

European Association for the Study of the Liver, . EASL clinical practice guidelines on nutrition in chronic liver disease. J Hepatol. 70:172–193. 2019. View Article : Google Scholar : PubMed/NCBI

20 

Boulhosa R, Lourenco RP, Cortes DM, Oliveira LPM, Lyra AC and de Jesus RP: Comparison between criteria for diagnosing malnutrition in patients with advanced chronic liver disease: GLIM group proposal versus different nutritional screening tools. J Hum Nutr Diet. 33:862–868. 2020. View Article : Google Scholar : PubMed/NCBI

21 

Li Q, Zhang X, Tang M, Song M, Zhang Q, Zhang K, Ruan G, Zhang X, Ge Y, Yang M, et al: Different muscle mass indices of the Global Leadership Initiative on Malnutrition in diagnosing malnutrition and predicting survival of patients with gastric cancer. Nutrition. 89:1112862021. View Article : Google Scholar : PubMed/NCBI

22 

van Vugt JL, Levolger S, Gharbharan A, Koek M, Niessen WJ, Burger JW, Willemsen SP, de Bruin RW and IJzermans JN: A comparative study of software programmes for cross-sectional skeletal muscle and adipose tissue measurements on abdominal computed tomography scans of rectal cancer patients. J Cachexia Sarcopenia Muscle. 8:285–297. 2017. View Article : Google Scholar : PubMed/NCBI

23 

Portal D, Melamed G, Segal G and Itelman E: Sarcopenia as manifested by L3SMI is associated with increased long-term mortality amongst internal medicine patients-A prospective cohort study. J Clin Med. 11:35002022. View Article : Google Scholar : PubMed/NCBI

24 

Newman AB, Kupelian V, Visser M, Simonsick E, Goodpaster B, Nevitt M, Kritchevsky SB, Tylavsky FA, Rubin SM and Harris TB; Health ABC Study Investigators, : Sarcopenia: Alternative definitions and associations with lower extremity function. J Am Geriatr Soc. 51:1602–1609. 2003. View Article : Google Scholar : PubMed/NCBI

25 

Kim NH, Park Y, Kim NH and Kim SG: Weight-adjusted waist index reflects fat and muscle mass in the opposite direction in older adults. Age Ageing. 50:780–786. 2021. View Article : Google Scholar : PubMed/NCBI

26 

Buchmann N, Nikolov J, Spira D, Demuth I, Steinhagen-Thiessen E, Eckardt R and Norman K: Identifying sarcopenia in metabolic syndrome: Data from the berlin aging Study II. J Gerontol A Biol Sci Med Sci. 71:265–272. 2016. View Article : Google Scholar : PubMed/NCBI

27 

Yang L, Wang J, Yao L, Chen C, Pan J, Peng L and Chen F: Body mass index and serum alpha-fetoprotein level associated with PD1 expression and prognosis in patients with hepatocellular carcinoma. Heliyon. 9:e144602023. View Article : Google Scholar : PubMed/NCBI

28 

Carvalho CJ, Longo GZ, Kakehasi AM, Pereira PF, Segheto KJ, Juvanhol LL and Ribeiro AQ: Association between skeletal mass indices and metabolic syndrome in brazilian adults. J Clin Densitom. 24:118–128. 2021. View Article : Google Scholar : PubMed/NCBI

29 

Tinggaard AB, Skou MK, Jessen N, Norrelund H and Wiggers H: ALM/BMI: A clinically superior index for identifying skeletal muscle dysfunction in patients with heart failure. J Am Heart Assoc. 13:e0335712024. View Article : Google Scholar : PubMed/NCBI

30 

Dao T, Green AE, Kim YA, Bae SJ, Ha KT, Gariani K, Lee MR, Menzies KJ and Ryu D: Sarcopenia and muscle aging: A brief overview. Endocrinol Metab (Seoul). 35:716–732. 2020. View Article : Google Scholar : PubMed/NCBI

31 

Dumond Bourie A, Potier JB, Pinget M and Bouzakri K: Myokines: Crosstalk and consequences on liver physiopathology. Nutrients. 15:17292023. View Article : Google Scholar : PubMed/NCBI

Related Articles

  • Abstract
  • View
  • Download
  • Twitter
Copy and paste a formatted citation
Spandidos Publications style
Li J, Wang Y, Liu S, Wu H, Hua X and Meng Q: Skeletal muscle index at the third lumbar vertebra/BMI are positively associated with 1‑year overall survival in male patients with hepatocellular carcinoma treated with immune checkpoint inhibitors. Oncol Lett 31: 170, 2026.
APA
Li, J., Wang, Y., Liu, S., Wu, H., Hua, X., & Meng, Q. (2026). Skeletal muscle index at the third lumbar vertebra/BMI are positively associated with 1‑year overall survival in male patients with hepatocellular carcinoma treated with immune checkpoint inhibitors. Oncology Letters, 31, 170. https://doi.org/10.3892/ol.2026.15524
MLA
Li, J., Wang, Y., Liu, S., Wu, H., Hua, X., Meng, Q."Skeletal muscle index at the third lumbar vertebra/BMI are positively associated with 1‑year overall survival in male patients with hepatocellular carcinoma treated with immune checkpoint inhibitors". Oncology Letters 31.5 (2026): 170.
Chicago
Li, J., Wang, Y., Liu, S., Wu, H., Hua, X., Meng, Q."Skeletal muscle index at the third lumbar vertebra/BMI are positively associated with 1‑year overall survival in male patients with hepatocellular carcinoma treated with immune checkpoint inhibitors". Oncology Letters 31, no. 5 (2026): 170. https://doi.org/10.3892/ol.2026.15524
Copy and paste a formatted citation
x
Spandidos Publications style
Li J, Wang Y, Liu S, Wu H, Hua X and Meng Q: Skeletal muscle index at the third lumbar vertebra/BMI are positively associated with 1‑year overall survival in male patients with hepatocellular carcinoma treated with immune checkpoint inhibitors. Oncol Lett 31: 170, 2026.
APA
Li, J., Wang, Y., Liu, S., Wu, H., Hua, X., & Meng, Q. (2026). Skeletal muscle index at the third lumbar vertebra/BMI are positively associated with 1‑year overall survival in male patients with hepatocellular carcinoma treated with immune checkpoint inhibitors. Oncology Letters, 31, 170. https://doi.org/10.3892/ol.2026.15524
MLA
Li, J., Wang, Y., Liu, S., Wu, H., Hua, X., Meng, Q."Skeletal muscle index at the third lumbar vertebra/BMI are positively associated with 1‑year overall survival in male patients with hepatocellular carcinoma treated with immune checkpoint inhibitors". Oncology Letters 31.5 (2026): 170.
Chicago
Li, J., Wang, Y., Liu, S., Wu, H., Hua, X., Meng, Q."Skeletal muscle index at the third lumbar vertebra/BMI are positively associated with 1‑year overall survival in male patients with hepatocellular carcinoma treated with immune checkpoint inhibitors". Oncology Letters 31, no. 5 (2026): 170. https://doi.org/10.3892/ol.2026.15524
Follow us
  • Twitter
  • LinkedIn
  • Facebook
About
  • Spandidos Publications
  • Careers
  • Cookie Policy
  • Privacy Policy
How can we help?
  • Help
  • Live Chat
  • Contact
  • Email to our Support Team