Spandidos Publications Logo
  • About
    • About Spandidos
    • Aims and Scopes
    • Abstracting and Indexing
    • Editorial Policies
    • Reprints and Permissions
    • Job Opportunities
    • Terms and Conditions
    • Contact
  • Journals
    • All Journals
    • Oncology Letters
      • Oncology Letters
      • Information for Authors
      • Editorial Policies
      • Editorial Board
      • Aims and Scope
      • Abstracting and Indexing
      • Bibliographic Information
      • Archive
    • International Journal of Oncology
      • International Journal of Oncology
      • Information for Authors
      • Editorial Policies
      • Editorial Board
      • Aims and Scope
      • Abstracting and Indexing
      • Bibliographic Information
      • Archive
    • Molecular and Clinical Oncology
      • Molecular and Clinical Oncology
      • Information for Authors
      • Editorial Policies
      • Editorial Board
      • Aims and Scope
      • Abstracting and Indexing
      • Bibliographic Information
      • Archive
    • Experimental and Therapeutic Medicine
      • Experimental and Therapeutic Medicine
      • Information for Authors
      • Editorial Policies
      • Editorial Board
      • Aims and Scope
      • Abstracting and Indexing
      • Bibliographic Information
      • Archive
    • International Journal of Molecular Medicine
      • International Journal of Molecular Medicine
      • Information for Authors
      • Editorial Policies
      • Editorial Board
      • Aims and Scope
      • Abstracting and Indexing
      • Bibliographic Information
      • Archive
    • Biomedical Reports
      • Biomedical Reports
      • Information for Authors
      • Editorial Policies
      • Editorial Board
      • Aims and Scope
      • Abstracting and Indexing
      • Bibliographic Information
      • Archive
    • Oncology Reports
      • Oncology Reports
      • Information for Authors
      • Editorial Policies
      • Editorial Board
      • Aims and Scope
      • Abstracting and Indexing
      • Bibliographic Information
      • Archive
    • Molecular Medicine Reports
      • Molecular Medicine Reports
      • Information for Authors
      • Editorial Policies
      • Editorial Board
      • Aims and Scope
      • Abstracting and Indexing
      • Bibliographic Information
      • Archive
    • World Academy of Sciences Journal
      • World Academy of Sciences Journal
      • Information for Authors
      • Editorial Policies
      • Editorial Board
      • Aims and Scope
      • Abstracting and Indexing
      • Bibliographic Information
      • Archive
    • International Journal of Functional Nutrition
      • International Journal of Functional Nutrition
      • Information for Authors
      • Editorial Policies
      • Editorial Board
      • Aims and Scope
      • Abstracting and Indexing
      • Bibliographic Information
      • Archive
    • International Journal of Epigenetics
      • International Journal of Epigenetics
      • Information for Authors
      • Editorial Policies
      • Editorial Board
      • Aims and Scope
      • Abstracting and Indexing
      • Bibliographic Information
      • Archive
    • Medicine International
      • Medicine International
      • Information for Authors
      • Editorial Policies
      • Editorial Board
      • Aims and Scope
      • Abstracting and Indexing
      • Bibliographic Information
      • Archive
  • Articles
  • Information
    • Information for Authors
    • Information for Reviewers
    • Information for Librarians
    • Information for Advertisers
    • Conferences
  • Language Editing
Spandidos Publications Logo
  • About
    • About Spandidos
    • Aims and Scopes
    • Abstracting and Indexing
    • Editorial Policies
    • Reprints and Permissions
    • Job Opportunities
    • Terms and Conditions
    • Contact
  • Journals
    • All Journals
    • Biomedical Reports
      • Information for Authors
      • Editorial Policies
      • Editorial Board
      • Aims and Scope
      • Abstracting and Indexing
      • Bibliographic Information
      • Archive
    • Experimental and Therapeutic Medicine
      • Information for Authors
      • Editorial Policies
      • Editorial Board
      • Aims and Scope
      • Abstracting and Indexing
      • Bibliographic Information
      • Archive
    • International Journal of Epigenetics
      • Information for Authors
      • Editorial Policies
      • Editorial Board
      • Aims and Scope
      • Abstracting and Indexing
      • Bibliographic Information
      • Archive
    • International Journal of Functional Nutrition
      • Information for Authors
      • Editorial Policies
      • Editorial Board
      • Aims and Scope
      • Abstracting and Indexing
      • Bibliographic Information
      • Archive
    • International Journal of Molecular Medicine
      • Information for Authors
      • Editorial Policies
      • Editorial Board
      • Aims and Scope
      • Abstracting and Indexing
      • Bibliographic Information
      • Archive
    • International Journal of Oncology
      • Information for Authors
      • Editorial Policies
      • Editorial Board
      • Aims and Scope
      • Abstracting and Indexing
      • Bibliographic Information
      • Archive
    • Medicine International
      • Information for Authors
      • Editorial Policies
      • Editorial Board
      • Aims and Scope
      • Abstracting and Indexing
      • Bibliographic Information
      • Archive
    • Molecular and Clinical Oncology
      • Information for Authors
      • Editorial Policies
      • Editorial Board
      • Aims and Scope
      • Abstracting and Indexing
      • Bibliographic Information
      • Archive
    • Molecular Medicine Reports
      • Information for Authors
      • Editorial Policies
      • Editorial Board
      • Aims and Scope
      • Abstracting and Indexing
      • Bibliographic Information
      • Archive
    • Oncology Letters
      • Information for Authors
      • Editorial Policies
      • Editorial Board
      • Aims and Scope
      • Abstracting and Indexing
      • Bibliographic Information
      • Archive
    • Oncology Reports
      • Information for Authors
      • Editorial Policies
      • Editorial Board
      • Aims and Scope
      • Abstracting and Indexing
      • Bibliographic Information
      • Archive
    • World Academy of Sciences Journal
      • Information for Authors
      • Editorial Policies
      • Editorial Board
      • Aims and Scope
      • Abstracting and Indexing
      • Bibliographic Information
      • Archive
  • Articles
  • Information
    • For Authors
    • For Reviewers
    • For Librarians
    • For Advertisers
    • Conferences
  • Language Editing
Login Register Submit
  • This site uses cookies
  • You can change your cookie settings at any time by following the instructions in our Cookie Policy. To find out more, you may read our Privacy Policy.

    I agree
Search articles by DOI, keyword, author or affiliation
Search
Advanced Search
presentation
Oncology Letters
Join Editorial Board Propose a Special Issue
Print ISSN: 1792-1074 Online ISSN: 1792-1082
Journal Cover
May-2026 Volume 31 Issue 5

Full Size Image

Sign up for eToc alerts
Recommend to Library

Journals

International Journal of Molecular Medicine

International Journal of Molecular Medicine

International Journal of Molecular Medicine is an international journal devoted to molecular mechanisms of human disease.

International Journal of Oncology

International Journal of Oncology

International Journal of Oncology is an international journal devoted to oncology research and cancer treatment.

Molecular Medicine Reports

Molecular Medicine Reports

Covers molecular medicine topics such as pharmacology, pathology, genetics, neuroscience, infectious diseases, molecular cardiology, and molecular surgery.

Oncology Reports

Oncology Reports

Oncology Reports is an international journal devoted to fundamental and applied research in Oncology.

Experimental and Therapeutic Medicine

Experimental and Therapeutic Medicine

Experimental and Therapeutic Medicine is an international journal devoted to laboratory and clinical medicine.

Oncology Letters

Oncology Letters

Oncology Letters is an international journal devoted to Experimental and Clinical Oncology.

Biomedical Reports

Biomedical Reports

Explores a wide range of biological and medical fields, including pharmacology, genetics, microbiology, neuroscience, and molecular cardiology.

Molecular and Clinical Oncology

Molecular and Clinical Oncology

International journal addressing all aspects of oncology research, from tumorigenesis and oncogenes to chemotherapy and metastasis.

World Academy of Sciences Journal

World Academy of Sciences Journal

Multidisciplinary open-access journal spanning biochemistry, genetics, neuroscience, environmental health, and synthetic biology.

International Journal of Functional Nutrition

International Journal of Functional Nutrition

Open-access journal combining biochemistry, pharmacology, immunology, and genetics to advance health through functional nutrition.

International Journal of Epigenetics

International Journal of Epigenetics

Publishes open-access research on using epigenetics to advance understanding and treatment of human disease.

Medicine International

Medicine International

An International Open Access Journal Devoted to General Medicine.

Journal Cover
May-2026 Volume 31 Issue 5

Full Size Image

Sign up for eToc alerts
Recommend to Library

  • Article
  • Citations
    • Cite This Article
    • Download Citation
    • Create Citation Alert
    • Remove Citation Alert
    • Cited By
  • Similar Articles
    • Related Articles (in Spandidos Publications)
    • Similar Articles (Google Scholar)
    • Similar Articles (PubMed)
  • Download PDF
  • Download XML
  • View XML
Case Report Open Access

Bone marrow metastasis from gastric cancer: A case report

  • Authors:
    • Xinyi Wei
    • Wenli Dai
    • Pengyi Deng
  • View Affiliations / Copyright

    Affiliations: Department of Nuclear Medicine, The First College of Clinical Medical Science, China Three Gorges University, Yichang, Hubei 443003, P.R. China
    Copyright: © Wei et al. This is an open access article distributed under the terms of Creative Commons Attribution License.
  • Article Number: 173
    |
    Published online on: March 12, 2026
       https://doi.org/10.3892/ol.2026.15528
  • Expand metrics +
Metrics: Total Views: 0 (Spandidos Publications: | PMC Statistics: )
Metrics: Total PDF Downloads: 0 (Spandidos Publications: | PMC Statistics: )
Cited By (CrossRef): 0 citations Loading Articles...

This article is mentioned in:


Abstract

Bone marrow metastasis from solid tumors is a rare clinical disease with an incidence of <1%. The present study reports on a case of gastric cancer with bone marrow metastasis. The patient presented with pancytopenia and lower back pain 2 years after radical gastrectomy and 1 year after completion of chemotherapy. Imaging examinations revealed no significant bone abnormalities in CT, diffuse reduction in T1 and T2 signals in spinal MRI, and a ‘super‑bone scan’ appearance in whole‑body bone scan. Subsequently, bone marrow aspiration confirmed bone marrow metastasis. A partial response was achieved following five cycles of chemotherapy. Nonetheless, the patient soon developed headaches and an MRI scan indicated meningeal metastasis. The patient died 6 months after the initial diagnosis of bone marrow metastasis. The present study aimed to review clinical characteristics and diagnostic methods of bone marrow metastasis.

Introduction

Gastric cancer is one of the most prevalent malignancies of the digestive system, ranking fifth in incidence and fourth in mortality worldwide (1). At the advanced stage, gastric cancer may metastasize to the liver, peritoneum and lungs, whereas bone metastasis is relatively rare, occurring in ~11.3% of cases. Bone metastasis is generally characterized by osteolytic bone destruction and skeletal-related events (for example, pathological fractures, spinal cord compression and hypercalcemia) (2). Related studies indicate that bone metastasis in gastric cancer is associated with distinct clinicopathological features (such as signet ring cell histology and elevated alkaline phosphatase) and predicts a poor prognosis (3).

Metastatic carcinoma of bone marrow is defined as a group of diseases in which non-hematopoietic malignancies invade the bone marrow through blood or lymphatic metastasis (4). As a subtype of bone metastasis, bone marrow metastasis differs from typical osteolytic bone destruction and predominantly manifests as hematological abnormalities. Bone marrow metastasis is characterized by a low incidence, non-specific clinical features and a low rate of early diagnosis (4). The present study reports a case with bone marrow metastasis originating from gastric cancer and describes the corresponding clinical characteristics and diagnostic methods used based on a literature review, to provide potential guidance for clinical diagnosis and treatment of similar cases.

Case report

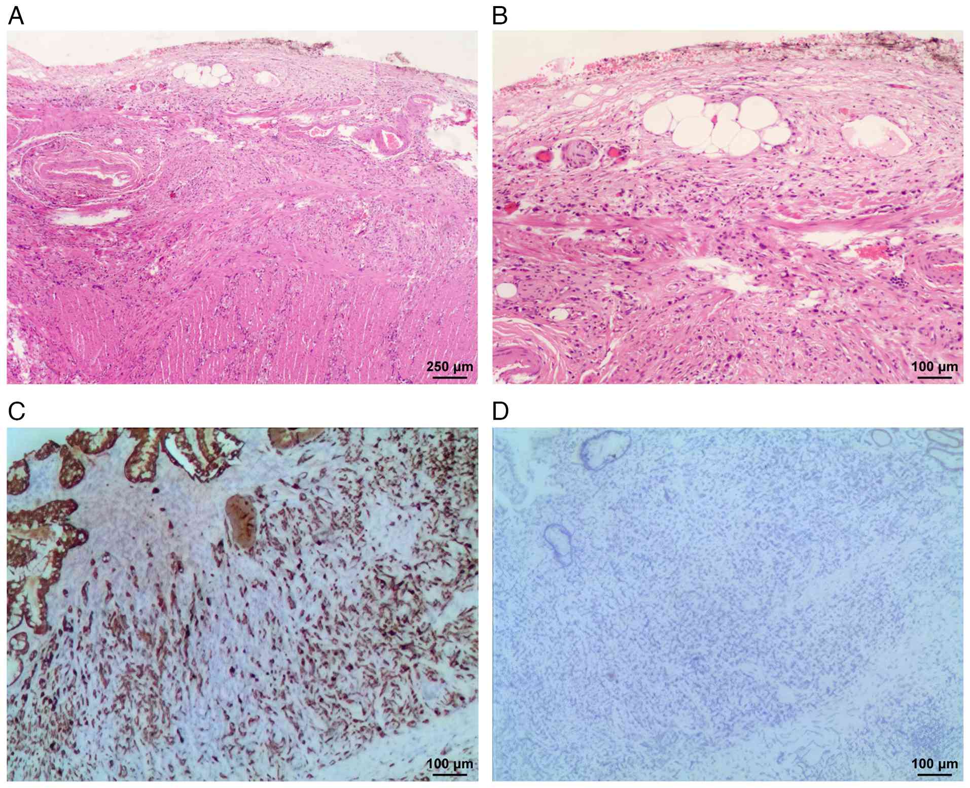
A 50-year-old female patient with abdominal distension and pain was admitted to Yichang Central People's Hospital (Yichang, China) in September 2022. Subsequently, 8 days later, the patient underwent 3D laparoscopic distal subtotal gastrectomy, Y gastrojejunostomy and abdominal lymph node dissection. The surgical specimen was fixed in 10% neutral buffered formalin at room temperature for 24–48 h, followed by paraffin embedding. Sections were cut at a thickness of 4 µm. Pathology (Fig. 1A and B) revealed a poorly differentiated gastric adenocarcinoma with a maximum diameter of 2.5 cm, which had invaded the subserosal layer of the stomach and affected the nerves and vessels. No tumor was identified on the bilateral resection margins. Metastasis was observed in the lymph nodes of the perigastric adipose tissue (7/14). Immunohistochemical staining revealed Cam5.2(+) (Fig. 1C) and HER-2(0) (Fig. 1D). Based on the American Joint Committee on Cancer (AJCC) Cancer Staging Manual, Eighth Edition (2017) (5), the pathological staging was pT3N3a, with seven metastatic lymph nodes among the 14 retrieved, a yield below the recommended minimum of 16, which may carry a risk of stage migration. Preoperative assessment with contrast-enhanced CT of the chest, abdomen and pelvis revealed no signs of distant metastasis (M0). The patient was given six cycles of the XELOX chemotherapy regimen [oxaliplatin 180 mg on day 1 (D1) and capecitabine 1.5 g twice daily on D1-14, in a 21-day cycle] and followed-up at 3-month intervals with gastroscopy, abdominal and pelvic CT after chemotherapy was completed in April 2023, without significant abnormalities.

Histological and immunohistochemical
analysis. The surgical specimen was fixed in 10% neutral buffered
formalin at room temperature for 24–48 h, followed by paraffin
embedding. Sections were cut at a thickness of 4 µm. Histological
image of poorly differentiated gastric adenocarcinoma
[hematoxylin-eosin stain; (A) ×40 magnification; (B) ×100
magnification]. Representative immunohistochemistry (×100
magnification) showing (C) Cam5.2 positivity and (D) HER-2
negativity.

Figure 1.

Histological and immunohistochemical analysis. The surgical specimen was fixed in 10% neutral buffered formalin at room temperature for 24–48 h, followed by paraffin embedding. Sections were cut at a thickness of 4 µm. Histological image of poorly differentiated gastric adenocarcinoma [hematoxylin-eosin stain; (A) ×40 magnification; (B) ×100 magnification]. Representative immunohistochemistry (×100 magnification) showing (C) Cam5.2 positivity and (D) HER-2 negativity.

In April 2024, the patient complained of fatigue, poor appetite and lower back pain. The patient was admitted with the discovery of an abdominal incisional hernia during physical examination. Routine blood tests on admission revealed: White blood cells count, 2.15×109/l (reference range, 3.5–9.5×109/l); red blood cells count, 2.37×1012/l (reference range, 3.8–5.1×109/l); hemoglobin, 68 g/l (reference range, 115–150 g/l); and platelets (PLT), 38×109/l (reference range, 125–350×109/l). Anemia-related indicators were: Serum ferritin, 376.0 ng/ml (reference range, 13–232 ng/ml); folate, >24 ng/ml (reference range, 5.21–20 ng/ml; and vitamin B12, 235 pg/ml (reference range, 200–1,100 pg/ml). Tumor markers were: Carcinoembryonic antigen (CEA) 5.5 ng/ml (reference range, 0–6.5 ng/ml); and CA19-9, 133 U/ml (reference range, 0–39 U/ml). Abdominal CT (Fig. 2) showed L1 vertebral compression fracture. Lumbar plain MRI (Fig. 3) showed diffuse reduction of T1 and T2 signals in multiple thoracolumbar and sacral vertebrae. Whole-body bone scan (Fig. 4) (3-h acquisition after 7 mCi 99mTc-DTPA injection) showed diffuse increased bone uptake of imaging agents (‘super-bone scan’), suggestive of multiple bone metastases. The bone marrow aspiration results (Fig. 5) showed images of metastatic tumor cells, indicating tumor recurrence and metastasis. Accordingly, the patient received five cycles of combination regimen [albumin-bound paclitaxel 100 mg (D1,8) and cedilimumab 200 mg (D1), in a 21-day cycle] and supplemented with bone-modifying agent (denosumab 120 mg administered at 4-week intervals). A partial response was achieved following five cycles of therapy, which coincided with a steady recovery of PLT (82×109/l) and a progressive decrease in CEA (1.4 ng/ml) and CA19-9 (36.5 U/ml) levels.

Abdominal plain CT imaging. No
significant abnormalities were observed in the (A) T12 vertebral
body and (B) L1 vertebral compression fracture.

Figure 2.

Abdominal plain CT imaging. No significant abnormalities were observed in the (A) T12 vertebral body and (B) L1 vertebral compression fracture.

Lumbar plain MRI. (A) T1-weighted
imaging (T1WI), (B) T2-weighted imaging (T2WI) and (C) T2-weighted
imaging with spectral attenuated inversion recovery (T2WI-SPAIR)
showed diffuse reduction of signal in multiple thoracolumbar and
sacral vertebrae.

Figure 3.

Lumbar plain MRI. (A) T1-weighted imaging (T1WI), (B) T2-weighted imaging (T2WI) and (C) T2-weighted imaging with spectral attenuated inversion recovery (T2WI-SPAIR) showed diffuse reduction of signal in multiple thoracolumbar and sacral vertebrae.

SPECT whole-body bone scan. Diffuse
increased bone uptake of imaging agents without renal excretion
(‘super-bone scan’) was observed following a 3 h acquisition after
a 7 mCi 99mTc-DTPA injection.

Figure 4.

SPECT whole-body bone scan. Diffuse increased bone uptake of imaging agents without renal excretion (‘super-bone scan’) was observed following a 3 h acquisition after a 7 mCi 99mTc-DTPA injection.

Bone marrow aspiration. (A) Atypical
cell clusters with significant pleomorphism and enlargement. (B)
These cells displayed round or oval contours, with nuclei that
exhibited coarse chromatin patterns and an abundance of deeply
basophilic cytoplasm. The cell borders were poorly defined and the
nucleoli varied in prominence. A critical diagnostic feature was
their tendency to form cohesive syncytial aggregates with a
distinct architectural pattern, indicative of metastatic carcinoma
(×100, magnification).

Figure 5.

Bone marrow aspiration. (A) Atypical cell clusters with significant pleomorphism and enlargement. (B) These cells displayed round or oval contours, with nuclei that exhibited coarse chromatin patterns and an abundance of deeply basophilic cytoplasm. The cell borders were poorly defined and the nucleoli varied in prominence. A critical diagnostic feature was their tendency to form cohesive syncytial aggregates with a distinct architectural pattern, indicative of metastatic carcinoma (×100, magnification).

In August 2024, the patient was admitted to Yichang Central People's Hospital (Yichang, China) with a deteriorating left frontotemporal headache persisting for 2 weeks, accompanied by nausea, vomiting, periorbital edema and visual disturbance. Enhanced brain MRI (Fig. 6) revealed extensive meningeal metastasis and slight effusion beneath the meninges on the right forehead. In this regard, the patient was receiving dehydration therapy to reduce intracranial pressure, lumbar aspiration and intrathecal injection of chemotherapeutic agent (pemetrexed 10 mg). As the family declined further treatment, the patient was discharged in September 2024 and transferred to a local hospital for further treatment. According to regular follow-up, the overall survival time of the patient from the onset of bone marrow metastasis to death was 6 months.

Enhanced brain MRI. (A) Coronal and
(B) sagittal planes with diffuse meningeal thickening and
hyperintensity. The slight effusion beneath the meninges on the
right forehead indicated extensive meningeal metastasis.

Figure 6.

Enhanced brain MRI. (A) Coronal and (B) sagittal planes with diffuse meningeal thickening and hyperintensity. The slight effusion beneath the meninges on the right forehead indicated extensive meningeal metastasis.

Discussion

Gastric cancer is a malignant tumor ranking fifth in incidence (5.6%) and fourth in mortality (7.7%) worldwide. Most patients are diagnosed at an advanced stage and the 5-year survival rate is <10% (1). At the advanced stage, metastasis may involve the liver, peritoneum and lungs, while bone metastasis is relatively rare, occurring in ~11.3% of cases. Bone marrow metastasis is considered a subtype of bone metastasis, showing a significantly lower incidence with no systematic reports (6).

Metastatic carcinoma of bone marrow is defined as a group of diseases in which non-hematopoietic malignancies invade bone marrow through blood or lymphatic metastasis. It commonly occurs in breast, prostate and lung cancers, whereas gastric cancer accounts for a relatively low proportion of only 1.8% (7). With a poor understanding of its pathogenesis at present, bone marrow metastasis is mostly believed to be attributed to the detachment of cancer cells from the original lesion that then enter the bloodstream. Cancer cells may activate osteoclasts to absorb and destroy bones, providing a favorable growth environment for the proliferation of cancer cells; simultaneously, the growth and proliferation of cancer cells may be boosted owing to the release of various growth factors stored in the bone matrix into the bone marrow (4).

Bone marrow metastasis typically manifests with an insidious onset. Clinically, patients may experience bone pain, anemia and thrombocytopenia. An incidence of bone pain had been reported in 65% of patients, predominantly affecting the spine and frequently involving multiple sites. In the present case, bone pain was the initial symptom. Patients may also develop non-infectious fever, as well as elevation in alkaline phosphatase (ALP) and lactate dehydrogenase (LDH) to varying degrees. Hung et al (8) reported significant elevations in ALP and LDH among patients with bone marrow metastasis: ALP was elevated in 91% of cases, with 53% exceeding five times the upper limit of the normal range, while LDH was elevated in 89%. These findings suggested that ALP and LDH may be potential clinical biomarkers. Meanwhile, immature cells in peripheral blood smears are also common (9).

Bone marrow metastasis is mainly diagnosed based on bone marrow aspiration/biopsy, MRI, whole-body bone scan and PET/CT. Among these, bone marrow aspiration/biopsy is considered the gold standard (10), but not routinely performed for patients with cancer. Consequently, imaging plays an important role in the screening and dynamic monitoring of bone marrow metastasis.

In MRI, bone marrow metastasis may manifest as focal or diffuse hypointensity in the vertebral body and posterior components on T1- and T2-weighted imaging of the spine, with or without cortical destruction (11). In the present patient, diffuse reductions in T1 and T2 signals were observed in the thoracolumbar and sacral vertebrae, exhibiting typical imaging features. Nonetheless, diffuse hypointensity of T1 and T2 in spinal MRI is not a specific manifestation and may also be observed in conditions such as multiple myeloma and myelofibrosis (12,13). In addition, positive bone marrow lesions on diffusion-weighted (DW)-MRI display focal or diffuse lesions with limited diffusion. Rashidi et al (14) showed a sensitivity of 89.1% and specificity of 100% for DW-MRI in the diagnosis of bone marrow metastasis.

Single photon emission CT whole-body bone scan was reported as a useful tool in the diagnosis of bone metastases, with a sensitivity of 96.5% and specificity of 45.71% (15). Nevertheless, there is inadequate data on its application in the diagnosis of bone marrow metastasis, most of which were from case reports, manifested as locally active metabolic foci, or diffuse skeletal metabolic increase throughout the body, displayed as ‘super-bone scan’ (11). Similarly, the present case showed a ‘super-bone scan’ in whole-body bone imaging, suggesting the possibility of multiple bone metastases. Based on the ‘seed-soil’ theory, the ‘super-bone scan’ is not only the result of a large number of bone nutrient metastatic cancers infiltrating the bone marrow or bone microenvironment, but also the outcome from the interference of tumor-related endocrine factors (16).

PET/CT can be used to diagnose bone marrow metastasis by identifying increased fluorodeoxyglucose uptake in growing metastatic malignant tumor cells. Guinot et al (17) found a sensitivity of 92.3% and specificity of 99.4% for PET/CT in diagnosing bone marrow metastasis. Moreover, combining DW-MRI with PET/CT significantly improved diagnostic accuracy compared with DW-MRI alone (100 vs. 96.9%) (11). Basu et al (18) proposed that a substantial number of metabolically active tumor cells are typically present in the bone marrow prior to the invasion of the bone matrix, representing the initial stage of bone marrow metastasis. The non-invasive nature of PET/CT has prompted investigations into its potential to replace bone marrow aspiration as the diagnostic gold standard (4). However, its clinical application may be compromised by its high economic cost.

Several conditions should be considered when evaluating a patient presenting with pancytopenia or bone abnormalities on imaging. Aplastic/hypoplastic marrow failure, characterized by pancytopenia, usually lacks bone pain or radiographic signs of bone destruction. MRI commonly shows diffuse hyperintensity or heterogeneous intensity on T1-weighted imaging, and isointensity on T2-weighted imaging (19). Whole-body bone scans typically appear unremarkable. Multiple myeloma similarly manifests bone pain and osteolytic lesions (20); nonetheless, it is frequently accompanied by renal impairment and elevated levels of monoclonal protein in serum or urine, which are crucial distinguishing features (21). Infection-related marrow suppression (such as septicemia) may also present with pancytopenia (22). This condition is generally characterized by fever and elevated inflammatory markers, but lacks bone abnormalities on imaging. Furthermore, a comprehensive immunohistochemical panel including epithelial/site-directed markers [for example, cytokeratin (CK) AE1/AE3, CK7/CK20, caudal-type homeobox 2, E-cadherin, mucin 1/2, HER2 and Ki-67] and hematolymphoid markers (for example, myeloperoxidase, CD34 and CD117) would have been valuable to confirm the epithelial origin and exclude hematological malignancies in the present case (23). As the current study was retrospective with difficult access to additional bone marrow aspiration samples, we were unable to conduct additional staining, which represents a limitation of the present study. Future prospective studies incorporating this panel are warranted to definitively characterize bone marrow involvement and improve diagnostic accuracy.

Bone marrow aspiration/biopsy remains the diagnostic gold standard. Still, early detection is challenging when tumor cells have not yet significantly proliferated within the marrow. In a recent study, Dello Spedale Venti et al (24) revealed significant quantitative and qualitative changes in bone marrow adiposity in biopsy samples. These findings suggested that changes in bone marrow adiposity may also be a potential biomarker for early bone marrow metastasis, which requires validation through large studies in the future.

Bone marrow metastasis from gastric cancer is commonly treated with symptomatic and comprehensive treatment. Prognosis remains extremely poor, with a median overall survival of 6 months. In an analysis using a multivariate Cox proportional hazards model, Sakin et al (25) identified chemotherapy as an independent factor associated with improved prognosis. Nonetheless, hemocytopenia resulting from bone marrow metastasis impedes antitumor treatment significantly. Currently, it is recommended to adopt systemic chemotherapy and/or targeted therapy based on the genetic characteristics of tumors, combined with sufficient supportive treatments (for example, blood transfusion, granulocyte colony-stimulating factor, erythropoietin and thrombopoietin) (26).

Following a partial response to systemic therapy, the present patient subsequently developed meningeal metastases, a severe complication with an intricate pathogenesis. The progression of the disease may involve various mechanisms (27). Firstly, hematogenous dissemination represents a primary pathway. The presence of bone marrow metastasis in the present case may have provided a reservoir for tumor cells to enter the circulation and invade the meninges. Moreover, chemotherapy-induced resistance may select for clones exhibiting enhanced migratory and invasive properties, thereby predisposing them to central nervous system infiltration. Additionally, alterations in the blood-brain barrier following systemic therapy could facilitate tumor cell extravasation and meningeal metastasis (28).

In conclusion, metastatic carcinoma of bone marrow is a rare clinical disease with non-specific clinical manifestations, low rates of early diagnosis and a poor prognosis. The patient reported in the present study developed symptoms related to bone marrow metastasis 1 year after completing chemotherapy for gastric cancer. During this period, the patient was examined without significant abnormalities in routine blood tests and CT scans, but there was a diffuse reduction in the thoracolumbar and sacral vertebrae signals in MRI. The diagnosis was ultimately established through a subsequent whole-body bone scan and bone marrow aspiration. Consequently, to improve the prognosis of patients with bone marrow metastasis, it is important to improve clinician awareness of bone marrow metastasis from solid tumors, optimize diagnostic processes, increase early diagnosis rates and develop standardized treatment plans.

Acknowledgements

Not applicable.

Funding

Funding: No funding was received.

Availability of data and materials

The data generated in the present study may be requested from the corresponding author.

Authors' contributions

XW, WD and PD conceived and designed the study. XW collected and assembled all clinical data, including imaging studies and laboratory results, and analyzed and interpreted the data. WD and PD critically reviewed and revised the manuscript for important intellectual content. XW, WD and PD confirm the authenticity of all the raw data. All authors contributed to the article and read and approved the final manuscript.

Ethics approval and consent to participate

Not applicable.

Patient consent for publication

The patient's next of kin provided written informed consent for publication, authorizing the use of the patient's imaging, pathological and clinical data for publication.

Competing interests

The authors declare that they have no competing interests.

References

1 

Peng H, Jiang L, Yuan J, Wu X, Chen N, Liu D, Liang Y, Xie Y, Jia K, Li Y, et al: Single-cell characterization of differentiation trajectories and drug resistance features in gastric cancer with peritoneal metastasis. Clin Transl Med. 14:e700542024. View Article : Google Scholar : PubMed/NCBI

2 

Ren S, Wei Y, Liu W, Zhang Y, Wang Y, Yang J, Liu B, Shi T and Wei J: Clinical characteristics, prognostic factors and therapeutic strategies in gastric cancer patients with bone metastasis: A retrospective analysis. Cancer Med. 14:e707812025. View Article : Google Scholar : PubMed/NCBI

3 

Kim YJ, Kim SH, Kim JW, Lee JO, Kim JH, Bang SM, Lee JS and Lee KW: Gastric cancer with initial bone metastasis: A distinct group of diseases with poor prognosis. Eur J Cancer. 50:2810–2821. 2014. View Article : Google Scholar : PubMed/NCBI

4 

Zhang L, Chen F, Xu L, Li N, Zhuo Q, Guo Y, Wang X, Wen M, Zhao Z and Li M: Comprehensive review of solid tumor bone marrow metastasis. Crit Rev Oncol Hematol. 194:1042482024. View Article : Google Scholar : PubMed/NCBI

5 

In H, Solsky I, Palis B, Langdon-Embry M, Ajani J and Sano T: Validation of the 8th edition of the AJCC TNM staging system for gastric cancer using the national cancer database. Ann Surg Oncol. 24:3683–3691. 2017. View Article : Google Scholar : PubMed/NCBI

6 

Sung H, Ferlay J, Siegel RL, Laversanne M, Soerjomataram I, Jemal A and Bray F: Global cancer statistics 2020: GLOBOCAN estimates of incidence and mortality worldwide for 36 cancers in 185 countries. CA Cancer J Clin. 71:209–249. 2021.PubMed/NCBI

7 

Krishnan C, George TI and Arber DA: Bone marrow metastases: A survey of nonhematologic metastases with immunohistochemical study of metastatic carcinomas. Appl Immunohistochem Mol Morphol. 15:1–7. 2007. View Article : Google Scholar : PubMed/NCBI

8 

Hung YS, Chou WC, Chen TD, Chen TC, Wang PN, Chang H, Hsu HC, Shen WC, Cheng WH and Chen JS: Prognostic factors in adult patients with solid cancers and bone marrow metastases. Asian Pac J Cancer Prev. 15:61–67. 2014. View Article : Google Scholar : PubMed/NCBI

9 

Kumar S, Kumar K, Agrawal R and Choudhary V: Bone marrow metastasis in non-hematological malignancies: Data from a tertiary care hospital in North India. Cureus. 17:e827572025.PubMed/NCBI

10 

Chandra S and Chandra H: Comparison of bone marrow aspirate cytology, touch imprint cytology and trephine biopsy for bone marrow evaluation. Hematol Rep. 3:e222011. View Article : Google Scholar : PubMed/NCBI

11 

Kanazawa K and Isozaki E: ‘Super bone scan’ in a case of diffuse bone marrow metastasis of gastric adenocarcinoma. Intern Med. 48:1719–1720. 2009. View Article : Google Scholar : PubMed/NCBI

12 

Caranci F, Tedeschi E, Ugga L, D'Amico A, Schipani S, Bartollino S, Russo C, Splendiani A, Briganti F, Zappia M, et al: Magnetic resonance imaging correlates of benign and malignant alterations of the spinal bone marrow. Acta Biomed. 89:18–33. 2018.PubMed/NCBI

13 

Vande Berg BC, Kirchgesner T, Acid S, Malghem J, Vekemans MC and Lecouvet FE: Diffuse vertebral marrow changes at MRI: Multiple myeloma or normal? Skeletal Radiol. 51:89–99. 2022. View Article : Google Scholar : PubMed/NCBI

14 

Rashidi A, Baratto L, Theruvath AJ, Greene EB, Hawk KE, Lu R, Link MP, Spunt SL and Daldrup-Link HE: Diagnostic accuracy of 2-[18F]FDG-PET and whole-body DW-MRI for the detection of bone marrow metastases in children and young adults. Eur Radiol. 32:4967–4979. 2022. View Article : Google Scholar : PubMed/NCBI

15 

Mutuleanu MD, Paun DL, Lazar AM, Petroiu C, Trifanescu OG, Anghel RM and Gherghe M: Quantitative vs. qualitative SPECT-CT diagnostic accuracy in bone lesion evaluation-A review of the literature. Diagnostics (Basel). 13:29712023. View Article : Google Scholar : PubMed/NCBI

16 

Lin CY, Chen YW, Chang CC, Yang WC, Huang CJ and Hou MF: Bone metastasis versus bone marrow metastasis? Integration of diagnosis by 18F-fluorodeoxyglucose positron emission/computed tomography in advanced malignancy with super bone scan: Two case reports and literature review. Kaohsiung J Med Sci. 29:229–233. 2013. View Article : Google Scholar : PubMed/NCBI

17 

Guinot A, Tabone-Eglinger S, Isnardi V, Bahri H, Surdez D, Delattre O, Pierron G, Villemeur M, Lapouble E, Brahmi M, et al: Staging of newly diagnosed Ewing sarcoma: Results of bone marrow aspiration and biopsy versus 18FDG-PET/CT imaging for bone marrow involvement. Eur J Cancer. 179:56–64. 2023. View Article : Google Scholar : PubMed/NCBI

18 

Basu S, Torigian D and Alavi A: Evolving concept of imaging bone marrow metastasis in the twenty-first century: Critical role of FDG-PET. Eur J Nucl Med Mol Imaging. 35:465–471. 2008. View Article : Google Scholar : PubMed/NCBI

19 

Yang X, Bai Y, Guo H, Shi M, Zhang W, Pei Y, Song J, Drokow EK, Huang G, Liu X, Xu J and Kai Sun: Evaluating and monitoring bone marrow hypoplasia in adults with aplastic anemia via high-resolution iliac magnetic resonance imaging in the current era. Medicine (Baltimore). 98:e182142019. View Article : Google Scholar : PubMed/NCBI

20 

Wu F, Bernard S, Fayad LM, Ilaslan H, Messiou C, Moulopoulos LA and Mulligan ME: Updates and ongoing challenges in imaging of multiple myeloma: AJR expert panel narrative review. AJR Am J Roentgenol. 217:775–785. 2021. View Article : Google Scholar : PubMed/NCBI

21 

Malard F, Neri P, Bahlis NJ, Terpos E, Moukalled N, Hungria VTM, Manier S and Mohty M: Multiple myeloma. Nat Rev Dis Primers. 10:452025. View Article : Google Scholar : PubMed/NCBI

22 

Tiewsoh I, Dey B, Chhangte M, Lyngdoh M and Sathees V: Methotrexate-induced septicemia with severe pancytopenia and diffuse cutaneous ulcerative lesions. Cureus. 13:e180692021.PubMed/NCBI

23 

Landry M, Bienz MN, Sawan B, Temmar R, Beauregard P, Chaunt F, Lavigne J and Knecht H: Bone marrow immunohistochemistry and flow cytometry in the diagnosis of malignant hematologic diseases with emphasis on lymphomas: A comparative retrospective study. Appl Immunohistochem Mol Morphol. 28:508–512. 2020. View Article : Google Scholar : PubMed/NCBI

24 

Dello Spedale Venti M, Palmisano B, Donsante S, Farinacci G, Adotti F, Coletta I, Serafini M, Corsi A and Riminucci M: Morphological and immunophenotypical changes of human bone marrow adipocytes in marrow metastasis and myelofibrosis. Front Endocrinol (Lausanne). 13:8823792022. View Article : Google Scholar : PubMed/NCBI

25 

Sakin A, Sakalar T, Sahin S, Yasar N, Demir C, Geredeli C and Cihan S: Factors affecting survival and treatment efficacy in breast cancer patients with bone marrow metastasis. Breast J. 26:815–818. 2020. View Article : Google Scholar : PubMed/NCBI

26 

Wang D, Luo Y, Shen D, Yang L, Liu HY and Che YQ: Clinical features and treatment of patients with lung adenocarcinoma with bone marrow metastasis. Tumori. 105:388–393. 2019. View Article : Google Scholar : PubMed/NCBI

27 

Yue Y, Ren Y, Lu C, Jiang N, Wang S, Fu J, Kong M and Zhang G: The research progress on meningeal metastasis in solid tumors. Discov Oncol. 16:2542025. View Article : Google Scholar : PubMed/NCBI

28 

Karschnia P, Nelson TA and Dietrich J: Mechanisms and treatment of cancer therapy-induced peripheral and central neurotoxicity. Nat Rev Cancer. 25:887–909. 2025. View Article : Google Scholar : PubMed/NCBI

Related Articles

  • Abstract
  • View
  • Download
  • Twitter
Copy and paste a formatted citation
Spandidos Publications style
Wei X, Dai W and Deng P: Bone marrow metastasis from gastric cancer: A case report. Oncol Lett 31: 173, 2026.
APA
Wei, X., Dai, W., & Deng, P. (2026). Bone marrow metastasis from gastric cancer: A case report. Oncology Letters, 31, 173. https://doi.org/10.3892/ol.2026.15528
MLA
Wei, X., Dai, W., Deng, P."Bone marrow metastasis from gastric cancer: A case report". Oncology Letters 31.5 (2026): 173.
Chicago
Wei, X., Dai, W., Deng, P."Bone marrow metastasis from gastric cancer: A case report". Oncology Letters 31, no. 5 (2026): 173. https://doi.org/10.3892/ol.2026.15528
Copy and paste a formatted citation
x
Spandidos Publications style
Wei X, Dai W and Deng P: Bone marrow metastasis from gastric cancer: A case report. Oncol Lett 31: 173, 2026.
APA
Wei, X., Dai, W., & Deng, P. (2026). Bone marrow metastasis from gastric cancer: A case report. Oncology Letters, 31, 173. https://doi.org/10.3892/ol.2026.15528
MLA
Wei, X., Dai, W., Deng, P."Bone marrow metastasis from gastric cancer: A case report". Oncology Letters 31.5 (2026): 173.
Chicago
Wei, X., Dai, W., Deng, P."Bone marrow metastasis from gastric cancer: A case report". Oncology Letters 31, no. 5 (2026): 173. https://doi.org/10.3892/ol.2026.15528
Follow us
  • Twitter
  • LinkedIn
  • Facebook
About
  • Spandidos Publications
  • Careers
  • Cookie Policy
  • Privacy Policy
How can we help?
  • Help
  • Live Chat
  • Contact
  • Email to our Support Team