Spandidos Publications Logo
  • About
    • About Spandidos
    • Aims and Scopes
    • Abstracting and Indexing
    • Editorial Policies
    • Reprints and Permissions
    • Job Opportunities
    • Terms and Conditions
    • Contact
  • Journals
    • All Journals
    • Oncology Letters
      • Oncology Letters
      • Information for Authors
      • Editorial Policies
      • Editorial Board
      • Aims and Scope
      • Abstracting and Indexing
      • Bibliographic Information
      • Archive
    • International Journal of Oncology
      • International Journal of Oncology
      • Information for Authors
      • Editorial Policies
      • Editorial Board
      • Aims and Scope
      • Abstracting and Indexing
      • Bibliographic Information
      • Archive
    • Molecular and Clinical Oncology
      • Molecular and Clinical Oncology
      • Information for Authors
      • Editorial Policies
      • Editorial Board
      • Aims and Scope
      • Abstracting and Indexing
      • Bibliographic Information
      • Archive
    • Experimental and Therapeutic Medicine
      • Experimental and Therapeutic Medicine
      • Information for Authors
      • Editorial Policies
      • Editorial Board
      • Aims and Scope
      • Abstracting and Indexing
      • Bibliographic Information
      • Archive
    • International Journal of Molecular Medicine
      • International Journal of Molecular Medicine
      • Information for Authors
      • Editorial Policies
      • Editorial Board
      • Aims and Scope
      • Abstracting and Indexing
      • Bibliographic Information
      • Archive
    • Biomedical Reports
      • Biomedical Reports
      • Information for Authors
      • Editorial Policies
      • Editorial Board
      • Aims and Scope
      • Abstracting and Indexing
      • Bibliographic Information
      • Archive
    • Oncology Reports
      • Oncology Reports
      • Information for Authors
      • Editorial Policies
      • Editorial Board
      • Aims and Scope
      • Abstracting and Indexing
      • Bibliographic Information
      • Archive
    • Molecular Medicine Reports
      • Molecular Medicine Reports
      • Information for Authors
      • Editorial Policies
      • Editorial Board
      • Aims and Scope
      • Abstracting and Indexing
      • Bibliographic Information
      • Archive
    • World Academy of Sciences Journal
      • World Academy of Sciences Journal
      • Information for Authors
      • Editorial Policies
      • Editorial Board
      • Aims and Scope
      • Abstracting and Indexing
      • Bibliographic Information
      • Archive
    • International Journal of Functional Nutrition
      • International Journal of Functional Nutrition
      • Information for Authors
      • Editorial Policies
      • Editorial Board
      • Aims and Scope
      • Abstracting and Indexing
      • Bibliographic Information
      • Archive
    • International Journal of Epigenetics
      • International Journal of Epigenetics
      • Information for Authors
      • Editorial Policies
      • Editorial Board
      • Aims and Scope
      • Abstracting and Indexing
      • Bibliographic Information
      • Archive
    • Medicine International
      • Medicine International
      • Information for Authors
      • Editorial Policies
      • Editorial Board
      • Aims and Scope
      • Abstracting and Indexing
      • Bibliographic Information
      • Archive
  • Articles
  • Information
    • Information for Authors
    • Information for Reviewers
    • Information for Librarians
    • Information for Advertisers
    • Conferences
  • Language Editing
Spandidos Publications Logo
  • About
    • About Spandidos
    • Aims and Scopes
    • Abstracting and Indexing
    • Editorial Policies
    • Reprints and Permissions
    • Job Opportunities
    • Terms and Conditions
    • Contact
  • Journals
    • All Journals
    • Biomedical Reports
      • Information for Authors
      • Editorial Policies
      • Editorial Board
      • Aims and Scope
      • Abstracting and Indexing
      • Bibliographic Information
      • Archive
    • Experimental and Therapeutic Medicine
      • Information for Authors
      • Editorial Policies
      • Editorial Board
      • Aims and Scope
      • Abstracting and Indexing
      • Bibliographic Information
      • Archive
    • International Journal of Epigenetics
      • Information for Authors
      • Editorial Policies
      • Editorial Board
      • Aims and Scope
      • Abstracting and Indexing
      • Bibliographic Information
      • Archive
    • International Journal of Functional Nutrition
      • Information for Authors
      • Editorial Policies
      • Editorial Board
      • Aims and Scope
      • Abstracting and Indexing
      • Bibliographic Information
      • Archive
    • International Journal of Molecular Medicine
      • Information for Authors
      • Editorial Policies
      • Editorial Board
      • Aims and Scope
      • Abstracting and Indexing
      • Bibliographic Information
      • Archive
    • International Journal of Oncology
      • Information for Authors
      • Editorial Policies
      • Editorial Board
      • Aims and Scope
      • Abstracting and Indexing
      • Bibliographic Information
      • Archive
    • Medicine International
      • Information for Authors
      • Editorial Policies
      • Editorial Board
      • Aims and Scope
      • Abstracting and Indexing
      • Bibliographic Information
      • Archive
    • Molecular and Clinical Oncology
      • Information for Authors
      • Editorial Policies
      • Editorial Board
      • Aims and Scope
      • Abstracting and Indexing
      • Bibliographic Information
      • Archive
    • Molecular Medicine Reports
      • Information for Authors
      • Editorial Policies
      • Editorial Board
      • Aims and Scope
      • Abstracting and Indexing
      • Bibliographic Information
      • Archive
    • Oncology Letters
      • Information for Authors
      • Editorial Policies
      • Editorial Board
      • Aims and Scope
      • Abstracting and Indexing
      • Bibliographic Information
      • Archive
    • Oncology Reports
      • Information for Authors
      • Editorial Policies
      • Editorial Board
      • Aims and Scope
      • Abstracting and Indexing
      • Bibliographic Information
      • Archive
    • World Academy of Sciences Journal
      • Information for Authors
      • Editorial Policies
      • Editorial Board
      • Aims and Scope
      • Abstracting and Indexing
      • Bibliographic Information
      • Archive
  • Articles
  • Information
    • For Authors
    • For Reviewers
    • For Librarians
    • For Advertisers
    • Conferences
  • Language Editing
Login Register Submit
  • This site uses cookies
  • You can change your cookie settings at any time by following the instructions in our Cookie Policy. To find out more, you may read our Privacy Policy.

    I agree
Search articles by DOI, keyword, author or affiliation
Search
Advanced Search
presentation
Oncology Letters
Join Editorial Board Propose a Special Issue
Print ISSN: 1792-1074 Online ISSN: 1792-1082
Journal Cover
May-2026 Volume 31 Issue 5

Full Size Image

Sign up for eToc alerts
Recommend to Library

Journals

International Journal of Molecular Medicine

International Journal of Molecular Medicine

International Journal of Molecular Medicine is an international journal devoted to molecular mechanisms of human disease.

International Journal of Oncology

International Journal of Oncology

International Journal of Oncology is an international journal devoted to oncology research and cancer treatment.

Molecular Medicine Reports

Molecular Medicine Reports

Covers molecular medicine topics such as pharmacology, pathology, genetics, neuroscience, infectious diseases, molecular cardiology, and molecular surgery.

Oncology Reports

Oncology Reports

Oncology Reports is an international journal devoted to fundamental and applied research in Oncology.

Experimental and Therapeutic Medicine

Experimental and Therapeutic Medicine

Experimental and Therapeutic Medicine is an international journal devoted to laboratory and clinical medicine.

Oncology Letters

Oncology Letters

Oncology Letters is an international journal devoted to Experimental and Clinical Oncology.

Biomedical Reports

Biomedical Reports

Explores a wide range of biological and medical fields, including pharmacology, genetics, microbiology, neuroscience, and molecular cardiology.

Molecular and Clinical Oncology

Molecular and Clinical Oncology

International journal addressing all aspects of oncology research, from tumorigenesis and oncogenes to chemotherapy and metastasis.

World Academy of Sciences Journal

World Academy of Sciences Journal

Multidisciplinary open-access journal spanning biochemistry, genetics, neuroscience, environmental health, and synthetic biology.

International Journal of Functional Nutrition

International Journal of Functional Nutrition

Open-access journal combining biochemistry, pharmacology, immunology, and genetics to advance health through functional nutrition.

International Journal of Epigenetics

International Journal of Epigenetics

Publishes open-access research on using epigenetics to advance understanding and treatment of human disease.

Medicine International

Medicine International

An International Open Access Journal Devoted to General Medicine.

Journal Cover
May-2026 Volume 31 Issue 5

Full Size Image

Sign up for eToc alerts
Recommend to Library

  • Article
  • Citations
    • Cite This Article
    • Download Citation
    • Create Citation Alert
    • Remove Citation Alert
    • Cited By
  • Similar Articles
    • Related Articles (in Spandidos Publications)
    • Similar Articles (Google Scholar)
    • Similar Articles (PubMed)
  • Download PDF
  • Download XML
  • View XML
Case Report

Limbic encephalitis associated with anti‑Hu antibody induced by atezolizumab treatment for small cell lung cancer: A case report

  • Authors:
    • Zhaohui Li
    • Hanping Wang
  • View Affiliations / Copyright

    Affiliations: Department of Thoracic Surgery, Peking Union Medical College Hospital, Chinese Academy of Medical Sciences and Peking Union Medical College, Beijing 100730, P.R. China, Department of Pulmonary and Critical Care Medicine, State Key Laboratory of Complex Severe and Rare Diseases, Peking Union Medical College Hospital, Chinese Academy of Medical Sciences and Peking Union Medical College, Beijing 100730, P.R. China
  • Article Number: 177
    |
    Published online on: March 17, 2026
       https://doi.org/10.3892/ol.2026.15532
  • Expand metrics +
Metrics: Total Views: 0 (Spandidos Publications: | PMC Statistics: )
Metrics: Total PDF Downloads: 0 (Spandidos Publications: | PMC Statistics: )
Cited By (CrossRef): 0 citations Loading Articles...

This article is mentioned in:


Abstract

With the emergence and frequent use of immune checkpoint inhibitors (ICIs), reports of immunotherapy‑induced limbic encephalitis have begun to appear. The present study describes the case of a patient with small cell lung cancer who developed Hu‑associated limbic encephalitis while being treated with atezolizumab. After treatment with high‑dose steroids and intravenous immunoglobulin, the neurological symptoms of the patient (including confusion, short‑term memory loss, disorientation, and impaired calculation ability) remained stable for 3 months, after which the patient was lost to follow‑up. ICIs may accelerate autoimmune reactions that target paraneoplastic origin autoantigens. Clinicians should be alert to the risk of ICI‑induced paraneoplastic neurological syndromes in patients with tumors, such as small cell lung cancer, that are traditionally associated with paraneoplastic neurological syndromes.

Introduction

Limbic encephalitis refers to an autoimmune process localized to the limbic system. Paraneoplastic syndrome is the most common etiology of limbic encephalitis, with small cell lung cancer (SCLC) being the most frequently associated tumor. Cases have also been reported in association with testicular cancer, breast cancer, thymoma, Hodgkin lymphoma, and colon cancer. The clinical symptoms of limbic encephalitis often precede the diagnosis of the underlying malignancy by several months to years (1). However, with the emergence and frequent use of immune checkpoint inhibitors (ICIs) in the treatment of cancer, reports of immunotherapy-induced limbic encephalitis began to emerge in the literature (2). In 2016, Williams et al (3) first reported a case of limbic encephalitis induced by combined nivolumab and ipilimumab therapy. As of January 2022, more than eight such cases have been reported in the literature (4). Based on the IMpower133 study, atezolizumab in combination with chemotherapy (carboplatin plus etoposide) was approved by the United States Food and Drug Administration as a first-line treatment for extensive-stage SCLC (5). The present study describes a case of anti-Hu limbic encephalitis induced by atezolizumab in a patient with SCLC (Fig. 1).

Timeline of events. SCLC, small cell
lung cancer; CSF, cerebrospinal fluid; IVIG, intravenous
immunoglobulin.

Figure 1.

Timeline of events. SCLC, small cell lung cancer; CSF, cerebrospinal fluid; IVIG, intravenous immunoglobulin.

Case report

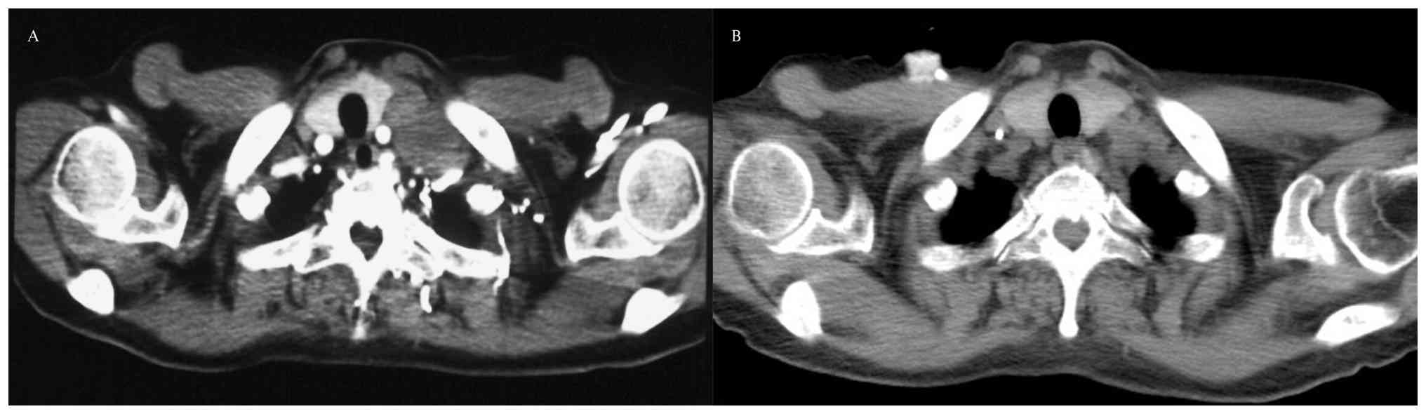
A 63-year-old Chinese woman presented to an external hospital with a self-detected left supraclavicular mass in May 2020. The patient had no history of smoking, autoimmune disease or familial cancer, and denied any history of psychiatric or neurological disorders. Neurological examination revealed no abnormalities. Computed tomography revealed a 6.9×5.0-cm mass at the left hilum, with multiple enlarged lymph nodes in the mediastinum and supraclavicular regions (Fig. 2A).

Computed tomography images of the left
hilum mass (A) before and (B) after chemotherapy combined with
immunotherapy.

Figure 2.

Computed tomography images of the left hilum mass (A) before and (B) after chemotherapy combined with immunotherapy.

In June 2020, the patient was diagnosed with extensive-stage SCLC based on the results of biopsy of the left supraclavicular lymph node (hematoxylin and eosin staining and immunohistochemical staining performed using standard procedures; obtained from the pathology report; images are not available). Magnetic resonance imaging (MRI) before medical treatment showed no abnormal findings in the brain (Fig. 3). Subsequently, 2 days later, the patient was administered one 21-day cycle of chemotherapy with a combination of etoposide [100 mg/m2 intravenously (iv), days 1–3] and cisplatin (area under the curve 5 mg per ml/min iv, day 1). After three cycles of treatment, computed tomography depicted partial regression of the primary tumor and metastatic lymph nodes (Fig. 2B). In August 2020 (2 weeks after the second dose of atezolizumab), the patient developed self-reported confusion and short-term memory loss. Further physical examination revealed impairments in temporal and spatial orientation as well as poor calculation ability.

Magnetic resonance imaging before
medical treatment showed no abnormal findings in the brain on (A)
contrast-enhanced signal and (B) fluid-attenuated inversion
recovery signal.

Figure 3.

Magnetic resonance imaging before medical treatment showed no abnormal findings in the brain on (A) contrast-enhanced signal and (B) fluid-attenuated inversion recovery signal.

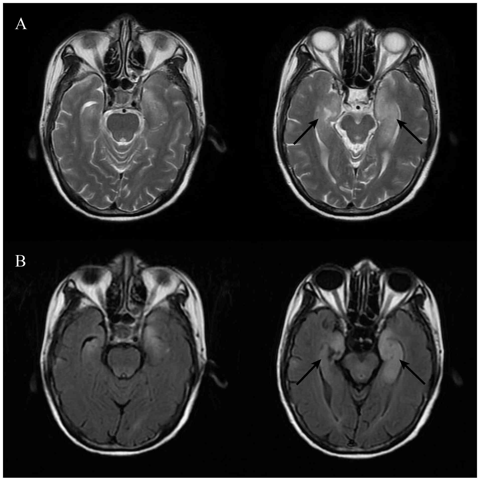
Subsequently, she presented to Peking Union Medical College Hospital and underwent evaluations. The results of cerebrospinal fluid (CSF) analysis 3 days after the development of these neurological problems included lymphocytic pleocytosis [white blood cells, 16/µl (normal range, 0–8/µl); 90% lymphocytes (normal range, 40–80%); 5% monocytes (normal range, 14–45%); and 5% neutrophils (normal range, 0–6%)]; an elevated protein level [95 mg/dl (normal range, 15–45 mg/dl)]; a normal glucose level and IgG index; and no oligoclonal bands or tumor cells were observed. Polymerase chain reaction testing of CSF did not detect herpes simplex virus, varicella-zoster virus, cytomegalovirus or human herpesvirus-6 DNA. Anti-Hu antibodies were detected in the serum and CSF using immunoblotting (Hu/Yo/Ri/Ma2/Ta/CV2/amphiphysin antibodies; cat. no. DL 1111-1601-2G; EUROIMMUN; used in accordance with the kit manufacturer's instructions). Neuronal cell surface antibodies were all negative. Brain MRI depicted swelling of the bilateral medial temporal lobes, with patchy prolonged T2 signal and high fluid-attenuated inversion recovery (FLAIR) signals in both hippocampi (Fig. 4).

Swelling of the bilateral medial
temporal lobes, with (A) patchy prolonged T2 signal and (B) high
fluid-attenuated inversion recovery signal in both hippocampi was
indicated by brain magnetic resonance imaging at the onset of
neurological symptoms. The arrows indicate the lesion.

Figure 4.

Swelling of the bilateral medial temporal lobes, with (A) patchy prolonged T2 signal and (B) high fluid-attenuated inversion recovery signal in both hippocampi was indicated by brain magnetic resonance imaging at the onset of neurological symptoms. The arrows indicate the lesion.

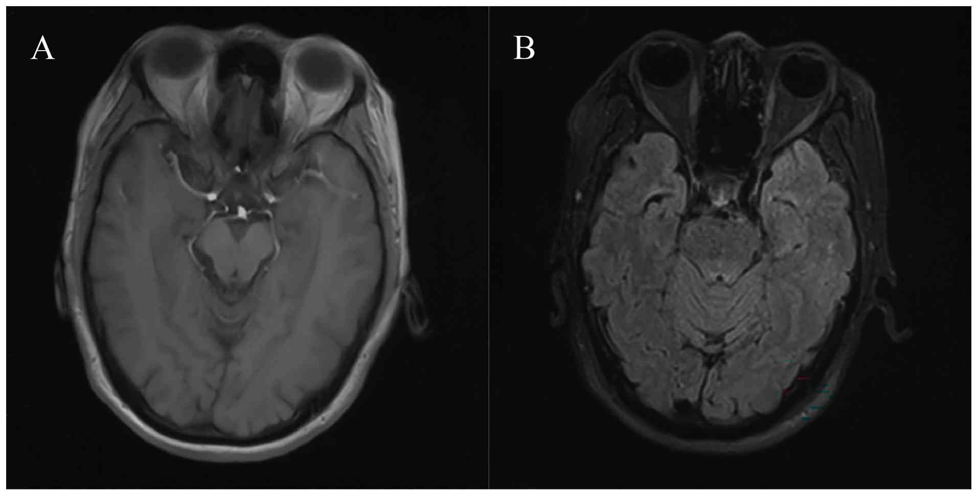
A diagnosis of Hu-associated limbic encephalitis induced by ICI was considered, and immunotherapy was therefore withheld. High-dose steroids (methylprednisolone 1 g per day for 2 days, then 2 mg/kg per day for 5 days, then 1 mg/kg per day for 7 days, then tapered by 0.125 mg/kg per day every two weeks until discontinuation) and intravenous immunoglobulin (400 mg/kg per day for 5 days) were introduced. Subsequently, 1 month later, the patient's neurological symptoms remained stable. In September 2020, the white blood cell count in CSF was normal (2/µl), anti-Hu antibodies continued to be detectable in the CSF, and MRI of the brain indicated no significant change compared with the previous MRI (Fig. 5). The patient died of tumor progression in March 2021. During this period, her neurological symptoms remained stable, and no additional magnetic resonance imaging or cerebrospinal fluid examinations were performed.

Brain magnetic resonance imaging (A)
before and (B) after 1 month of treatment depicted no significant
change in the lesions compared with the previous scan, with respect
to T2 signal.

Figure 5.

Brain magnetic resonance imaging (A) before and (B) after 1 month of treatment depicted no significant change in the lesions compared with the previous scan, with respect to T2 signal.

Discussion

Limbic encephalitis is a rapidly progressing inflammatory disorder of the nervous system that primarily affects the medial temporal lobes. The main clinical manifestations include short-term memory impairment, behavioral changes, confusion and seizures (6). According to the diagnostic criteria proposed by Graus et al (6), the diagnosis of limbic encephalitis requires the following: i) Subacute onset of symptoms suggestive of limbic system involvement; ii) bilateral brain abnormalities on T2 or FLAIR sequence highly restricted to the medial temporal lobes; iii) CSF pleocytosis or electroencephalography showing epileptiform discharges involving the temporal lobes; and iv) reasonable exclusion of alternative causes. Given the clinical presentation, limbic encephalitis should be differentiated from infectious and metabolic encephalopathies. However, metabolic encephalopathy rarely involves the limbic system on MRI. In most cases of infectious encephalitis, CSF shows a marked elevation in leukocyte count, whereas in limbic encephalitis the increase is usually mild, typically below 100/µl. Pathogen detection can provide additional diagnostic evidence. Herpes simplex virus encephalitis represents an exception: CSF leukocytes may show mild elevation, and polymerase chain reaction results may be negative during the early stage of the disease. Nevertheless, herpes simplex virus encephalitis usually presents with unilateral temporal lobe involvement rather than bilateral lesions, and the abnormalities are often not confined to the limbic system; hemorrhagic changes may also be observed. Stroke, epilepsy and glioma can also produce MRI abnormalities localized to the temporal lobes; however, their clinical features and disease courses differ distinctly from those of limbic encephalitis (7).

Approximately 60% of patients with limbic encephalitis have detectable specific antineuronal antibodies in the CSF (1). Based on their targets' locations, these antibodies can be categorized into those against extracellular cell-surface or synaptic proteins (for example, leucine-rich glioma-inactivated 1, anti-contactin-associated protein-like 2, α-Amino-3-hydroxy-5-methyl-4-isoxazolepropionic acid, N-methyl-D-aspartate receptor and γ-aminobutyric acid type B receptor) and those against intracellular proteins [for example, Hu, membrane anchor 2 (Ma2), glutamic acid decarboxylase and amphiphysin] (6). Previous studies (8–10) have indicated that in cases associated with cell-surface antibodies, neuronal injury is primarily mediated by antibodies and complement activation. By contrast, limbic encephalitis associated with intracellular antibodies involves neuronal injury predominantly mediated by CD8+ T cells, and the presence of these intracellular antibodies likely reflects neuronal destruction rather than its cause. Consequently, the symptoms in patients with intracellular antibody-associated limbic encephalitis are often irreversible (11). Paraneoplastic limbic encephalitis is the most common subtype of limbic encephalitis. In most patients, neurological symptoms precede the diagnosis of the underlying tumor, and specific intracellular antibodies are considered corresponding biomarkers of specific tumor types (1). SCLC is the most common tumor detected in paraneoplastic limbic encephalitis patients with immune responses against Hu antigen (12).

The mechanisms that result in immune-related adverse events are still being elucidated. Increased T-cell activity against antigens that are present in healthy tissue and tumor tissue is considered to be one, which is consistent with the pathogenesis of paraneoplastic limbic encephalitis. In the current case, the patient fulfilled the diagnostic criteria for limbic encephalitis, and the presence of anti-Hu antibodies indicated that the encephalitis was associated with a paraneoplastic syndrome secondary to SCLC. The timing of the onset of neurological symptoms strongly suggested the involvement of ICIs. In the present case, as no other limbic encephalitis-related antibodies were detected in CSF, ICIs may have accelerated autoimmune reactions targeting paraneoplastic autoantigens, thereby exacerbating a pre-existing subclinical paraneoplastic neurological syndrome (PNS). Vogrig et al (13) reported two cases of anti-Ma2 limbic encephalitis that occurred after ICI treatment, in which anti-Ma2 antibodies were retrospectively detected in the serum (blood) samples collected prior to treatment. Therefore, detection of anti-Hu antibodies in CSF prior to immunotherapy would further substantiate the above hypothesis. However, in the current case, CSF samples were not collected before the initiation of ICI treatment.

Clinicians should be alert to the risk of ICI-induced PNSs in patients with tumors, such as SCLC, that are traditionally associated with PNSs (14). Given the time-consuming nature of antibody testing and low incidence of limbic encephalitis, such screening is difficult to implement routinely before ICI treatment. Future research is required to examine whether the use of ICIs in patients with SCLC increases the risk of PNSs.

Acknowledgements

Not applicable.

Funding

The present case report was funded by the National High Level Hospital Clinical Research Fund (grant no. 2022-PUMCH-A-131).

Availability of data and materials

The data generated in the present study may be requested from the corresponding author.

Authors' contributions

ZL was involved in the conceptualization of the study and performed data curation and performed writing - original draft and visualization. HW was involved in the conceptualization of the study, performed the writing - review & editing and provided supervision. ZL and HW confirm the authenticity of all the raw data. Both authors read and approved the final manuscript.

Ethics approval and consent to participate

Not applicable.

Patient consent for publication

Written informed consent was obtained from the patient for the publication of any potentially identifiable images or data included in this article.

Competing interests

The authors declare that they have no competing interests.

Glossary

Abbreviations

Abbreviations:

CSF

cerebrospinal fluid

ICI

immune checkpoint inhibitor

MRI

magnetic resonance imaging

SCLC

small cell lung cancer

References

1 

Gultekin SH, Rosenfeld MR, Voltz R, Eichen J, Posner JB and Dalmau J: Paraneoplastic limbic encephalitis: Neurological symptoms, immunological findings and tumour association in 50 patients. Brain. 123:1481–1494. 2000. View Article : Google Scholar : PubMed/NCBI

2 

Fan S, Ren H, Zhao L, Yin J, Feng G, Wang J and Guan H: Neurological immune-related adverse events associated with immune checkpoint inhibitors: A review of the literature. Asia Pac J Clin Oncol. 16:291–298. 2020. View Article : Google Scholar : PubMed/NCBI

3 

Williams TJ, Benavides DR, Patrice KA, Dalmau JO, de Ávila AL, Le DT, Lipson EJ, Probasco JC and Mowry EM: Association of autoimmune encephalitis with combined immune checkpoint inhibitor treatment for metastatic cancer. JAMA Neurol. 73:928–933. 2016. View Article : Google Scholar : PubMed/NCBI

4 

Nakashima K, Demura Y, Kurokawa K, Takeda T, Jikuya N, Oi M, Tada T, Akai M and Ishizuka T: Immune checkpoint inhibitor-induced limbic encephalitis during treatment with atezolizumab in a patient with small-cell lung cancer: A case report and review of the literature. Case Reports Immunol. 2022:92909222022. View Article : Google Scholar : PubMed/NCBI

5 

Horn L, Mansfield AS, Szczęsna A, Havel L, Krzakowski M, Hochmair MJ, Huemer F, Losonczy G, Johnson ML, Nishio M, et al: First-line atezolizumab plus chemotherapy in extensive-stage small-cell lung cancer. N Engl J Med. 397:2220–2229. 2018. View Article : Google Scholar

6 

Graus F, Titulaer MJ, Balu R, Benseler S, Bien CG, Cellucci T, Cortese I, Dale RC, Gelfand JM, Geschwind M, et al: A clinical approach to diagnosis of autoimmune encephalitis. Lancet Neurol. 15:391–404. 2016. View Article : Google Scholar : PubMed/NCBI

7 

Budhram A, Leung A, Nicolle MW and Burneo JG: Diagnosing autoimmune limbic encephalitis. CMAJ. 191:E529–E534. 2019. View Article : Google Scholar : PubMed/NCBI

8 

Bien CG, Vincent A, Barnett MH, Becker AJ, Blümcke I, Graus F, Jellinger KA, Reuss DE, Ribalta T, Schlegel J, et al: Immunopathology of autoantibody-associated encephalitides: Clues for pathogenesis. Brain. 135:1622–1638. 2012. View Article : Google Scholar : PubMed/NCBI

9 

Dalmau J, Geis C and Graus F: Autoantibodies to synaptic receptors and neuronal cell surface proteins in autoimmune diseases of the central nervous system. Physiol Rev. 97:839–887. 2017. View Article : Google Scholar : PubMed/NCBI

10 

Sechi E, Markovic SN, McKeon A, Dubey D, Liewluck T, Lennon VA, Lopez-Chiriboga AS, Klein CJ, Mauermann M, Pittock SJ, et al: Neurologic autoimmunity and immune checkpoint inhibitors: Autoantibody profiles and outcomes. Neurology. 95:e2442–e2452. 2020. View Article : Google Scholar : PubMed/NCBI

11 

Kyritsis AP, Markoula S, Alexiou G, Asimakopoulos A, Jabbour P, Fotopoulos A and Sioka C: Diagnosis and treatment of limbic encephalitis in the cancer patient. Future Oncol. 16:1647–1655. 2020. View Article : Google Scholar : PubMed/NCBI

12 

Graus F, Keime-Guibert F, Reñe R, Benyahia B, Ribalta T, Ascaso C, Escaramis G and Delattre JY: Anti-Hu-associated paraneoplastic encephalomyelitis: Analysis of 200 patients. Brain. 124:1138–1148. 2001. View Article : Google Scholar : PubMed/NCBI

13 

Vogrig A, Fouret M, Joubert B, Picard G, Rogemond V, Pinto AL, Muñiz-Castrillo S, Roger M, Raimbourg J, Dayen C, et al: Increased frequency of anti-Ma2 encephalitis associated with immune checkpoint inhibitors. Neurol Neuroimmunol Neuroinflamm. 6:e6042019. View Article : Google Scholar : PubMed/NCBI

14 

Gozzard P, Woodhall M, Chapman C, Nibber A, Waters P, Vincent A, Lang B and Maddison P: Paraneoplastic neurologic disorders in small cell lung carcinoma: A prospective study. Neurology. 85:235–239. 2015. View Article : Google Scholar : PubMed/NCBI

Related Articles

  • Abstract
  • View
  • Download
  • Twitter
Copy and paste a formatted citation
Spandidos Publications style
Li Z and Wang H: Limbic encephalitis associated with anti‑Hu antibody induced by atezolizumab treatment for small cell lung cancer: A case report. Oncol Lett 31: 177, 2026.
APA
Li, Z., & Wang, H. (2026). Limbic encephalitis associated with anti‑Hu antibody induced by atezolizumab treatment for small cell lung cancer: A case report. Oncology Letters, 31, 177. https://doi.org/10.3892/ol.2026.15532
MLA
Li, Z., Wang, H."Limbic encephalitis associated with anti‑Hu antibody induced by atezolizumab treatment for small cell lung cancer: A case report". Oncology Letters 31.5 (2026): 177.
Chicago
Li, Z., Wang, H."Limbic encephalitis associated with anti‑Hu antibody induced by atezolizumab treatment for small cell lung cancer: A case report". Oncology Letters 31, no. 5 (2026): 177. https://doi.org/10.3892/ol.2026.15532
Copy and paste a formatted citation
x
Spandidos Publications style
Li Z and Wang H: Limbic encephalitis associated with anti‑Hu antibody induced by atezolizumab treatment for small cell lung cancer: A case report. Oncol Lett 31: 177, 2026.
APA
Li, Z., & Wang, H. (2026). Limbic encephalitis associated with anti‑Hu antibody induced by atezolizumab treatment for small cell lung cancer: A case report. Oncology Letters, 31, 177. https://doi.org/10.3892/ol.2026.15532
MLA
Li, Z., Wang, H."Limbic encephalitis associated with anti‑Hu antibody induced by atezolizumab treatment for small cell lung cancer: A case report". Oncology Letters 31.5 (2026): 177.
Chicago
Li, Z., Wang, H."Limbic encephalitis associated with anti‑Hu antibody induced by atezolizumab treatment for small cell lung cancer: A case report". Oncology Letters 31, no. 5 (2026): 177. https://doi.org/10.3892/ol.2026.15532
Follow us
  • Twitter
  • LinkedIn
  • Facebook
About
  • Spandidos Publications
  • Careers
  • Cookie Policy
  • Privacy Policy
How can we help?
  • Help
  • Live Chat
  • Contact
  • Email to our Support Team