Spandidos Publications Logo
  • About
    • About Spandidos
    • Aims and Scopes
    • Abstracting and Indexing
    • Editorial Policies
    • Reprints and Permissions
    • Job Opportunities
    • Terms and Conditions
    • Contact
  • Journals
    • All Journals
    • Oncology Letters
      • Oncology Letters
      • Information for Authors
      • Editorial Policies
      • Editorial Board
      • Aims and Scope
      • Abstracting and Indexing
      • Bibliographic Information
      • Archive
    • International Journal of Oncology
      • International Journal of Oncology
      • Information for Authors
      • Editorial Policies
      • Editorial Board
      • Aims and Scope
      • Abstracting and Indexing
      • Bibliographic Information
      • Archive
    • Molecular and Clinical Oncology
      • Molecular and Clinical Oncology
      • Information for Authors
      • Editorial Policies
      • Editorial Board
      • Aims and Scope
      • Abstracting and Indexing
      • Bibliographic Information
      • Archive
    • Experimental and Therapeutic Medicine
      • Experimental and Therapeutic Medicine
      • Information for Authors
      • Editorial Policies
      • Editorial Board
      • Aims and Scope
      • Abstracting and Indexing
      • Bibliographic Information
      • Archive
    • International Journal of Molecular Medicine
      • International Journal of Molecular Medicine
      • Information for Authors
      • Editorial Policies
      • Editorial Board
      • Aims and Scope
      • Abstracting and Indexing
      • Bibliographic Information
      • Archive
    • Biomedical Reports
      • Biomedical Reports
      • Information for Authors
      • Editorial Policies
      • Editorial Board
      • Aims and Scope
      • Abstracting and Indexing
      • Bibliographic Information
      • Archive
    • Oncology Reports
      • Oncology Reports
      • Information for Authors
      • Editorial Policies
      • Editorial Board
      • Aims and Scope
      • Abstracting and Indexing
      • Bibliographic Information
      • Archive
    • Molecular Medicine Reports
      • Molecular Medicine Reports
      • Information for Authors
      • Editorial Policies
      • Editorial Board
      • Aims and Scope
      • Abstracting and Indexing
      • Bibliographic Information
      • Archive
    • World Academy of Sciences Journal
      • World Academy of Sciences Journal
      • Information for Authors
      • Editorial Policies
      • Editorial Board
      • Aims and Scope
      • Abstracting and Indexing
      • Bibliographic Information
      • Archive
    • International Journal of Functional Nutrition
      • International Journal of Functional Nutrition
      • Information for Authors
      • Editorial Policies
      • Editorial Board
      • Aims and Scope
      • Abstracting and Indexing
      • Bibliographic Information
      • Archive
    • International Journal of Epigenetics
      • International Journal of Epigenetics
      • Information for Authors
      • Editorial Policies
      • Editorial Board
      • Aims and Scope
      • Abstracting and Indexing
      • Bibliographic Information
      • Archive
    • Medicine International
      • Medicine International
      • Information for Authors
      • Editorial Policies
      • Editorial Board
      • Aims and Scope
      • Abstracting and Indexing
      • Bibliographic Information
      • Archive
  • Articles
  • Information
    • Information for Authors
    • Information for Reviewers
    • Information for Librarians
    • Information for Advertisers
    • Conferences
  • Language Editing
Spandidos Publications Logo
  • About
    • About Spandidos
    • Aims and Scopes
    • Abstracting and Indexing
    • Editorial Policies
    • Reprints and Permissions
    • Job Opportunities
    • Terms and Conditions
    • Contact
  • Journals
    • All Journals
    • Biomedical Reports
      • Information for Authors
      • Editorial Policies
      • Editorial Board
      • Aims and Scope
      • Abstracting and Indexing
      • Bibliographic Information
      • Archive
    • Experimental and Therapeutic Medicine
      • Information for Authors
      • Editorial Policies
      • Editorial Board
      • Aims and Scope
      • Abstracting and Indexing
      • Bibliographic Information
      • Archive
    • International Journal of Epigenetics
      • Information for Authors
      • Editorial Policies
      • Editorial Board
      • Aims and Scope
      • Abstracting and Indexing
      • Bibliographic Information
      • Archive
    • International Journal of Functional Nutrition
      • Information for Authors
      • Editorial Policies
      • Editorial Board
      • Aims and Scope
      • Abstracting and Indexing
      • Bibliographic Information
      • Archive
    • International Journal of Molecular Medicine
      • Information for Authors
      • Editorial Policies
      • Editorial Board
      • Aims and Scope
      • Abstracting and Indexing
      • Bibliographic Information
      • Archive
    • International Journal of Oncology
      • Information for Authors
      • Editorial Policies
      • Editorial Board
      • Aims and Scope
      • Abstracting and Indexing
      • Bibliographic Information
      • Archive
    • Medicine International
      • Information for Authors
      • Editorial Policies
      • Editorial Board
      • Aims and Scope
      • Abstracting and Indexing
      • Bibliographic Information
      • Archive
    • Molecular and Clinical Oncology
      • Information for Authors
      • Editorial Policies
      • Editorial Board
      • Aims and Scope
      • Abstracting and Indexing
      • Bibliographic Information
      • Archive
    • Molecular Medicine Reports
      • Information for Authors
      • Editorial Policies
      • Editorial Board
      • Aims and Scope
      • Abstracting and Indexing
      • Bibliographic Information
      • Archive
    • Oncology Letters
      • Information for Authors
      • Editorial Policies
      • Editorial Board
      • Aims and Scope
      • Abstracting and Indexing
      • Bibliographic Information
      • Archive
    • Oncology Reports
      • Information for Authors
      • Editorial Policies
      • Editorial Board
      • Aims and Scope
      • Abstracting and Indexing
      • Bibliographic Information
      • Archive
    • World Academy of Sciences Journal
      • Information for Authors
      • Editorial Policies
      • Editorial Board
      • Aims and Scope
      • Abstracting and Indexing
      • Bibliographic Information
      • Archive
  • Articles
  • Information
    • For Authors
    • For Reviewers
    • For Librarians
    • For Advertisers
    • Conferences
  • Language Editing
Login Register Submit
  • This site uses cookies
  • You can change your cookie settings at any time by following the instructions in our Cookie Policy. To find out more, you may read our Privacy Policy.

    I agree
Search articles by DOI, keyword, author or affiliation
Search
Advanced Search
presentation
Oncology Letters
Join Editorial Board Propose a Special Issue
Print ISSN: 1792-1074 Online ISSN: 1792-1082
Journal Cover
May-2026 Volume 31 Issue 5

Full Size Image

Sign up for eToc alerts
Recommend to Library

Journals

International Journal of Molecular Medicine

International Journal of Molecular Medicine

International Journal of Molecular Medicine is an international journal devoted to molecular mechanisms of human disease.

International Journal of Oncology

International Journal of Oncology

International Journal of Oncology is an international journal devoted to oncology research and cancer treatment.

Molecular Medicine Reports

Molecular Medicine Reports

Covers molecular medicine topics such as pharmacology, pathology, genetics, neuroscience, infectious diseases, molecular cardiology, and molecular surgery.

Oncology Reports

Oncology Reports

Oncology Reports is an international journal devoted to fundamental and applied research in Oncology.

Experimental and Therapeutic Medicine

Experimental and Therapeutic Medicine

Experimental and Therapeutic Medicine is an international journal devoted to laboratory and clinical medicine.

Oncology Letters

Oncology Letters

Oncology Letters is an international journal devoted to Experimental and Clinical Oncology.

Biomedical Reports

Biomedical Reports

Explores a wide range of biological and medical fields, including pharmacology, genetics, microbiology, neuroscience, and molecular cardiology.

Molecular and Clinical Oncology

Molecular and Clinical Oncology

International journal addressing all aspects of oncology research, from tumorigenesis and oncogenes to chemotherapy and metastasis.

World Academy of Sciences Journal

World Academy of Sciences Journal

Multidisciplinary open-access journal spanning biochemistry, genetics, neuroscience, environmental health, and synthetic biology.

International Journal of Functional Nutrition

International Journal of Functional Nutrition

Open-access journal combining biochemistry, pharmacology, immunology, and genetics to advance health through functional nutrition.

International Journal of Epigenetics

International Journal of Epigenetics

Publishes open-access research on using epigenetics to advance understanding and treatment of human disease.

Medicine International

Medicine International

An International Open Access Journal Devoted to General Medicine.

Journal Cover
May-2026 Volume 31 Issue 5

Full Size Image

Sign up for eToc alerts
Recommend to Library

  • Article
  • Citations
    • Cite This Article
    • Download Citation
    • Create Citation Alert
    • Remove Citation Alert
    • Cited By
  • Similar Articles
    • Related Articles (in Spandidos Publications)
    • Similar Articles (Google Scholar)
    • Similar Articles (PubMed)
  • Download PDF
  • Download XML
  • View XML
Case Report Open Access

Painless perianal mucinous adenocarcinoma: A case report and literature review

  • Authors:
    • Jianping Shi
    • Xiaoying Wang
    • Junjie Yang
    • Guofeng Li
    • Yanjie Zhang
  • View Affiliations / Copyright

    Affiliations: Department of Anorectal Surgery, The First People's Hospital of Xiaoshan, Hangzhou, Zhejiang 311200, P.R. China, Department of Child Health Care, Chengxiang Community Health Service Center, Hangzhou, Zhejiang 311200, P.R. China, Department of Pathology, The First People's Hospital of Xiaoshan, Hangzhou, Zhejiang 311200, P.R. China, Department of Pathology, The Second People's Hospital of Xiaoshan, Hangzhou, Zhejiang 311241, P.R. China
    Copyright: © Shi et al. This is an open access article distributed under the terms of Creative Commons Attribution License.
  • Article Number: 187
    |
    Published online on: March 20, 2026
       https://doi.org/10.3892/ol.2026.15542
  • Expand metrics +
Metrics: Total Views: 0 (Spandidos Publications: | PMC Statistics: )
Metrics: Total PDF Downloads: 0 (Spandidos Publications: | PMC Statistics: )
Cited By (CrossRef): 0 citations Loading Articles...

This article is mentioned in:


Abstract

Painless perianal mucinous adenocarcinoma (PMA) is characterized as a rare malignant tumor of the anal canal and rectum; its incidence rate is extremely low, and it has atypical clinical manifestations. In the present case report, a 79‑year old male patient is described who presented with a painless perianal mass that had been present for 15 days. Perianal B‑ultrasound examinations revealed a well‑circumscribed hypoechoic mass with a maximum diameter of 3.31 cm. A pathological examination of the resected tumor specimen revealed that the tumor exhibited an expansive nodular growth pattern, accompanied by irregular infiltration of glandular structures and extensive secretion of extracellular mucus. The columnar and goblet cells presented with low‑grade intraepithelial neoplasia. Immunohistochemistry examinations showed positive staining for cytokeratin (CK) 7, CK20, caudal type homeobox 2 and mucin 2. The molecular test results suggested a KRAS p. G12d activating mutation. The pathological diagnosis was PMA. The patient underwent radical local wide resection 1 month later, and no recurrence or metastasis was observed during a follow‑up period of 12 months. The present case report provides a real‑world reference for the clinical diagnosis, selection of treatment plans and evaluation of the prognosis of painless PMA.

Introduction

Perianal mucinous adenocarcinoma (PMA) is a rare disease and accounts for <5% of all gastrointestinal malignancies (1,2). Its occurrence is associated with chronic perianal infections such as anal fistula and Crohn's disease (3). The common symptoms are recurrent perianal abscess, perianal pain and bleeding (4–6), and the manifestation of a painless perianal mass is rare (7) with no clear data in the literature. As the early symptoms of PMA overlap with benign conditions such as perianal abscesses and anal fissures, the pathological biopsy is also affected by the presence of mucus alone and may result in a missed diagnosis (1,7). The pathological features of PMA are similar to those of colorectal mucinous adenocarcinoma, including invasive glands lined with columnar cells that secrete abundant extracellular mucus (7,8). A KRAS gene mutation is common in colorectal mucinous adenocarcinoma (CMA) (9), but to the best of our knowledge, there are fewer reports of KRAS gene mutations in PMA (5). There is no standardized treatment protocol, and the main treatment techniques used in a few cases have been radical surgery, adjuvant radiotherapy and chemotherapy, and partial wide resection (7,10,11). Studies on painless PMA are relatively scarce, and research on its pathogenesis, diagnostic procedures and prognosis assessment is limited. There is a lack of systematic analysis of painless cases without chronic inflammation or a history of fistula, which leads to a lack of understanding and diagnostic experience among doctors for this special type of case.

The painless PMA in the present case report was unique: The patient had no history of chronic perianal diseases such as anal fistula or Crohn's disease, and there were no clear chronic inflammatory or fistula-related pathogenic factors, which are notably different from the disease backgrounds of the majority of patients with PMA. Due to the presence of atypical clinical manifestations and based on auxiliary examinations, painless PMA is easily misdiagnosed as a benign tumor, resulting in a lack of further examinations and the inability to perform the extended radical resection. In the present case report, relevant studies (1,2,7,9) have been combined to analyze the clinical, pathological, immunohistochemical, treatment and prognosis characteristics of this disease, aiming to improve the understanding among doctors and pathologists.

Case report

A 79-year old male patient with a 15-day old painless perianal mass was admitted to the First People's Hospital of Xiaoshan (Hangzhou, China) in January 2024. While conducting an anal examination in the lithotomy position, a mass under the epidermis was palpated. The mass was located between the 12 O'clock and 2 O'clock directions, 3.0 cm away from the anal margin. It had a volume of 4.0×3.0×2.0 cm, clear boundaries, soft texture and no notable tenderness or fluctuation sensation. Bilateral superficial inguinal lymph nodes were not enlarged. Digital rectal examination showed no anal fistula or ulcer, and smooth rectal mucosa. Additionally, no other mass was touched, and no blood or purulent discharge was observed on the glove of the examining physician. Colonoscopy of the patient revealed no abnormalities in the colon. A B-ultrasound examination revealed a low heterogeneous echogenic structure (3.31×1.90×1.77 cm) on the left side of the anal canal. The area had distinct boundaries and a regular shape, with no notable blood flow signal (Fig. 1); thus, the mas was considered to be a benign tumor. Detection of tumor serological markers was performed by following the manufacturer's instructions (Abbott Trading (Shanghai) Co., Ltd.) showed that squamous cell carcinoma-associated antigen was 0.92 ng/ml (normal range <1.50 ng/ml), AFP was 0.92 ng/ml (normal range, 0.89–8.78 ng/ml), sugar chain antigen 125 was 5.80 U/ml (normal range, 0–35 U/ml), carbohydrate antigen 199 was 6.70 U/ml (normal range, 0–37 U/ml) and carcinoembryonic antigen was 3.94 ng/ml (normal range, 0–5 ng/ml). The normal ranges of all reagents were provided by Abbott Trading (Shanghai) Co., Ltd. and verified by the Clinical Laboratory Department of the First People's Hospital of Xiaosha, Hangzhou, Zhejiang.

B-ultrasound examination showing a low
heterogeneous echogenic light 3.31×1.90 × 1.77 cm in size and with
a clear boundary detected on the left side of the anal canal.
(Between the two + and between the two × indicates the length and
short diameter of the mass, respectively.)

Figure 1.

B-ultrasound examination showing a low heterogeneous echogenic light 3.31×1.90 × 1.77 cm in size and with a clear boundary detected on the left side of the anal canal. (Between the two + and between the two × indicates the length and short diameter of the mass, respectively.)

Medical history. The patient was previously healthy and did not have a history of any disease such as cardiovascular or cerebrovascular diseases, type 2 diabetes mellitus, chronic kidney disease, chronic bronchitis, bronchial asthma, chronic gastritis, chronic diarrhea or chronic pancreatitis. The patient denied experiencing anal fistula, hemorrhoid disease or any other surgical history. The patient also did not have a family history of hereditary or similar diseases.

The preoperative diagnosis was a perianal mass and the lesion was resected under general anesthesia. During the operation, a mass ~4.0×3.0 cm in size was found; it had distinct boundaries and appeared as a capsule. It was movable and found between the 12 O'clock and the 2 O'clock position in the lithotomy position, 3 cm away from the anal margin. It did not involve the anal canal or the rectal wall. A gross pathological examination revealed soft, gray-yellow tissue with a volume of 3.5×3.0×3.0 cm, with a cystic, solid cut surface and jelly-like substance inside

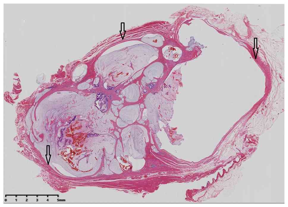
The tissue was fixed with 10% neutral formalin for 24 h at 25°C and embedded in paraffin. Next, serial sections (3-µm thick) were prepared and subjected to hematoxylin and eosin (H&E) staining (Shanghai Rongbai Biological Technology Development Co., Ltd., and Sinopharm Chemical Reagent Co., Ltd. for 3 h at 25°C. The samples were observed using a light microscope. Microscopic examination revealed a nodular, expansile growth of the tumor within fibrous and striated muscle tissue, irregular glands secreting large amounts of mucus (Fig. 2) and the columnar and goblet cells presenting with low-grade intraepithelial neoplasia (Fig. 3). The tumor margin was negative under the microscope.

Microscopic image showing a
well-circumscribed and nodular tumor (Black arrow), with abundant
mucus secretion (magnification, 4×; scale bar, 5 mm; hematoxylin
and eosin staining)

Figure 2.

Microscopic image showing a well-circumscribed and nodular tumor (Black arrow), with abundant mucus secretion (magnification, 4×; scale bar, 5 mm; hematoxylin and eosin staining)

Microscopic image showing low-grade
glandular epithelium with cells showing columnar (red arrows) and
goblet (yellow arrows) changes. (magnification, 100×; scale bar,
200 µm; hematoxylin and eosin staining).

Figure 3.

Microscopic image showing low-grade glandular epithelium with cells showing columnar (red arrows) and goblet (yellow arrows) changes. (magnification, 100×; scale bar, 200 µm; hematoxylin and eosin staining).

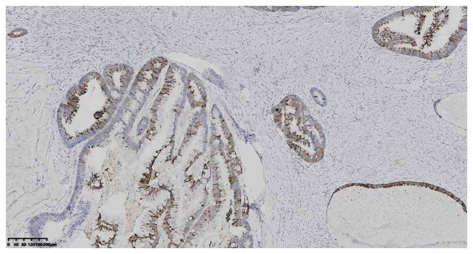
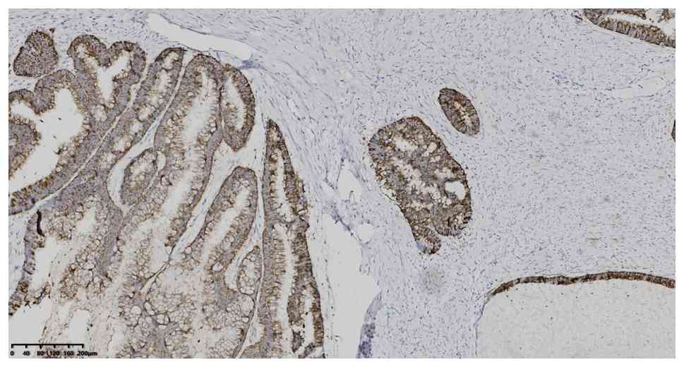
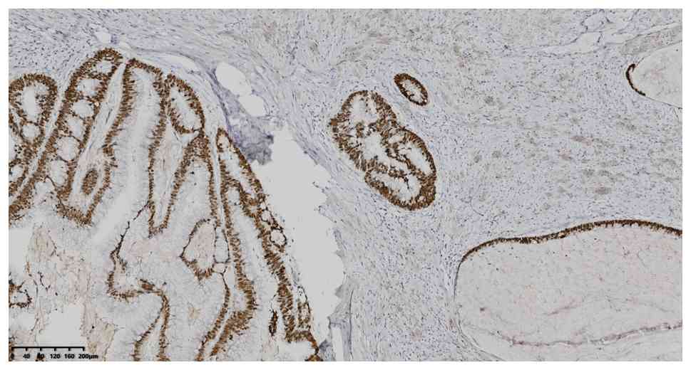
Immunohistochemistry (IHC) analysis was performed using an EnVision IHC kit (polymer method; cat. no. KIT-0014; Fuzhou Maixin Biotechnology Development Co., Ltd.) using primary antibodies (incubated for 50 min at 25°C) purchased from Beijing Zhongshan Jinqiao Biological Co., Ltd. and Fuzhou Maixin Biotechnology Development Co., Ltd., to target the following proteins (pre-diluted working solutions unless otherwise indicated): CK7 (1:200; cat. no. ZM-0071), CK20 (1:200; cat. no. ZA-0574), CDX2 (working fluid; cat. no. RMA-0631), Mucin 2 (MUC2; working fluid; cat. no. ZM-0392), MutL homolog 1 (MLH1; 1:100; cat. no. MAB-0838), MutS Homolog 2 (MSH2; 1:200; cat. no. MAB0836), MutS Homolog 6 (MSH6; 1:200; cat. no. MAB-0831), Mismatch repair endonuclease PMS2 (PMS2; 1:200; cat. no. RMA-0775), p53 (1:100; cat. no. ZM-0408) and Ki-67 proliferation index (1:200; cat. no. ZM-0167). IHC sections were observed under a light microscope without software analysis. IHC analysis showed positive expression of CK7, CK20, CDX2 and MUC2 (Fig. 4, Fig. 5, Fig. 6, Fig. 7), MLH1, MSH2, MSH6 and PMS2 (Fig. 8, Fig. 9, Fig. 10, Fig. 11). The positive expression rate of p53 was 55% (Fig. 12A-B), and the Ki-67 proliferation index was 33% (Fig. 13A and B). The methods described in the case report are the same for the immunohistochemical staining shown in Fig. 8, Fig. 9, Fig. 10, Fig. 11, Fig. 12 (MLH1, MSH2, MSH6, PMS2 and p53), and this standardized IHC protocol was also used for the other IHC stains (CK7, CK20, CDX2, MUC2 and Ki-67) reported in the present study. Immunohistochemical analysis was performed using the EnVision IHC kit (polymer method; cat. no. KIT-0014; Fuzhou Maixin Biotechnology Development Co., Ltd.) with primary antibodies targeting MLH1, MSH2, MSH6, PMS2, and p53; these primary antibodies were obtained from Beijing Zhongshan Jinqiao Biological Co., Ltd. and Fuzhou Maixin Biotechnology Development Co., Ltd., with specified dilutions for each antibody (MLH1, 1:100; MSH2, 1:200; MSH6, 1:200; PMS2, 1:200; p53, 1:100). The primary antibody incubation step was carried out at 25°C for 50 min for all targeted proteins in Fig. 8, Fig. 9, Fig. 10, Fig. 11, Fig. 12. Following the antibody incubation and subsequent kit-based staining procedures, the prepared IHC sections were examined directly under a light microscope and no software-based image or quantitative analysis was conducted for the initial qualitative staining assessment. For p53 (Fig. 12), additional quantitative analysis was performed by calculating the mean percentage of positively stained cells across three high-power fields (HPFs) to determine a 55% positive nuclear staining rate reported for the tumor cells. All staining for the proteins in Fig. 8, Fig. 9, Fig. 10, Fig. 11, Fig. 12 utilized hematoxylin (for 3 min at 25°C) as a counterstain, which produced blue nuclear staining to contrast with the brown cytoplasmic/nuclear staining indicative of positive antibody binding for the target proteins. The stained sections were imaged at a magnification of 100×, with a 200 µm scale bar included for all micrographs presented in Fig. 8, Fig. 9, Fig. 10, Fig. 11, Fig. 12B.

Immunohistochemical staining revealing
that the tumor cells are positive for cytokeratin 7 (brown
staining; hematoxylin counterstain for nuclear blue staining;
magnification, 100×; scale bar, 200 µm; EnVision
immunohistochemistry kit).

Figure 4.

Immunohistochemical staining revealing that the tumor cells are positive for cytokeratin 7 (brown staining; hematoxylin counterstain for nuclear blue staining; magnification, 100×; scale bar, 200 µm; EnVision immunohistochemistry kit).

Immunohistochemical staining revealing
that the tumor cells are positive for cytokeratin 20 (brown
staining; hematoxylin counterstain for nuclear blue staining;
magnification, 100×; scale bar, 200 µm; EnVision
immunohistochemistry kit).

Figure 5.

Immunohistochemical staining revealing that the tumor cells are positive for cytokeratin 20 (brown staining; hematoxylin counterstain for nuclear blue staining; magnification, 100×; scale bar, 200 µm; EnVision immunohistochemistry kit).

Immunohistochemical staining revealing
that the tumor cells are positive for caudal type homeobox 2 (brown
staining of nuclei; magnification, 100×; scale bar, 200 µm;
EnVision immunohistochemistry kit)

Figure 6.

Immunohistochemical staining revealing that the tumor cells are positive for caudal type homeobox 2 (brown staining of nuclei; magnification, 100×; scale bar, 200 µm; EnVision immunohistochemistry kit)

Immunohistochemical staining revealing
that the tumor cells are positive for mucin 2 (brown staining;
hematoxylin counterstain for nuclear blue staining; magnification,
100×; scale bar, 200 µm; EnVision immunohistochemistry kit).

Figure 7.

Immunohistochemical staining revealing that the tumor cells are positive for mucin 2 (brown staining; hematoxylin counterstain for nuclear blue staining; magnification, 100×; scale bar, 200 µm; EnVision immunohistochemistry kit).

Immunohistochemical staining revealing
that the tumor cells are positive for MLH1 (brown staining of
nuclei; magnification, 100×; scale bar, 200 µm; EnVision
immunohistochemistry kit)

Figure 8.

Immunohistochemical staining revealing that the tumor cells are positive for MLH1 (brown staining of nuclei; magnification, 100×; scale bar, 200 µm; EnVision immunohistochemistry kit)

Immunohistochemical staining revealing
that the tumor cells are positive for MSH2 (brown staining of
nuclei; magnification, 100×; scale bar, 200 µm; EnVision
immunohistochemistry kit)

Figure 9.

Immunohistochemical staining revealing that the tumor cells are positive for MSH2 (brown staining of nuclei; magnification, 100×; scale bar, 200 µm; EnVision immunohistochemistry kit)

Immunohistochemical staining revealing
that the tumor cells are positive for MSH6 (brown staining of
nuclei; magnification, 100×; scale bar, 200 µm; EnVision
immunohistochemistry kit)

Figure 10.

Immunohistochemical staining revealing that the tumor cells are positive for MSH6 (brown staining of nuclei; magnification, 100×; scale bar, 200 µm; EnVision immunohistochemistry kit)

Immunohistochemical staining revealing
that the tumor cells are positive for PMS2 (brown staining of
nuclei; magnification, 100×; scale bar, 200 µm; EnVision
immunohistochemistry kit)

Figure 11.

Immunohistochemical staining revealing that the tumor cells are positive for PMS2 (brown staining of nuclei; magnification, 100×; scale bar, 200 µm; EnVision immunohistochemistry kit)

(A) Quantitative analysis of
p53positive cells. Data represent the mean percentage of positive
cells in 3 HPFs. (B) Representative immunohistochemical staining of
p53 in tumor cells, showing a 55% positive nuclear staining rate
(brown nuclei; original magnification, 100×; scale bar, 200 µm;
EnVision immunohistochemistry kit). HPF, high-power field.

Figure 12.

(A) Quantitative analysis of p53positive cells. Data represent the mean percentage of positive cells in 3 HPFs. (B) Representative immunohistochemical staining of p53 in tumor cells, showing a 55% positive nuclear staining rate (brown nuclei; original magnification, 100×; scale bar, 200 µm; EnVision immunohistochemistry kit). HPF, high-power field.

(A) Quantitative analysis of Ki67
proliferation index. Data represent the mean percentage of positive
cells in 3 HPFs. (B) Representative immunohistochemical staining of
Ki67 in tumor cells, showing a proliferation index of 33% (brown
nuclear staining; original magnification, 100×; scale bar, 200 µm;
EnVision immunohistochemistry kit). HPF, high-power field.

Figure 13.

(A) Quantitative analysis of Ki67 proliferation index. Data represent the mean percentage of positive cells in 3 HPFs. (B) Representative immunohistochemical staining of Ki67 in tumor cells, showing a proliferation index of 33% (brown nuclear staining; original magnification, 100×; scale bar, 200 µm; EnVision immunohistochemistry kit). HPF, high-power field.

Molecular testing was performed by KingMed Diagnostics (next-generation sequencing; Illumina sequencing platform, reference genome: GRCh37/hg19). Sample Preparation Reagents and Verification Methods. Reagents for sample preparation used in the present study are summarized in Table I. Specifically, for nucleic acid extraction from FFPE samples, the One-step extraction (High-sensitivity FFPE Genomic DNA Kit; cat. no. RC1102) was purchased from Kaishuo Biotechnology (Xiamen) Co., Ltd. Library construction and hybridization were performed using the products developed by NanJing Vazyme Biotech Co., Ltd. (VAHTS Universal Plus DNA Library Prep Kit V4). Its composition related to library construction and hybridization is specified in detail as follows: For hybridization, the core reagents include a set of biotinylated DNA/RNA capture probes (120–150 bp), Human Cot-1 DNA and Universal blocking oligos (serving as blocking reagents), high-salt hybridization buffer containing formamide, low-stringency wash buffer (2× SSC; 0.1% SDS), high-stringency wash buffer (0.1× SSC; 0.1% SDS), streptavidin-coated magnetic beads and elution buffer (0.1 M NaOH or Tris-HCl); for library construction, the required reagents consist of fragmentation enzyme, T4 DNA polymerase, Klenow fragment, T4 polynucleotide kinase (for DNA fragmentation and end repair), Klenow fragment (3′→5′ exo-) and T4 DNA ligase (for A-tailing and adapter ligation), as well as dual-indexed sequencing adapters (with UMIs), high-fidelity DNA polymerase, dNTP mix (dATP, dTTP, dCTP, dGTP) and primer mix (for library amplification). In addition, quality control reagents including qPCR master mix with reference standards and fragment analyzer reagents were also used in the whole process to ensure the reliability of the experiment. The NovaSeq 6000 S1 v1.5 Kit (cat. no. 20028317) from Illumina, Inc. was employed for sequencing.

Table I.

Reagents for sample preparation

Table I.

Reagents for sample preparation

Reagent applicationKit nameCat. no./specificationSupplier
Nucleic acid extractionOne-step extraction (High-sensitivityRC1102Xiamen Biosan
(FFPE samples)FFPE Genomic DNA Kit) Biotech Co., Ltd.
Library constructionJinyu In-house LDT SolidNo cat. no. (in-houseKingMed
and hybridizationTumor Mini panelreagent)Diagnostics
SequencingNovaSeq 6000 S1 v1.5 Kit20028317Illumina, Inc.

Methods for verification of processed sample quality/integrity. The nucleic acid concentration and library concentration of the processed samples were verified using the Qubit assay to ensure that the samples met the requirements for subsequent sequencing and analysis.

Sequencing type. Next-generation sequencing was adopted as the sequencing type, with a read length and sequencing mode of 2×150 bp paired-end sequencing.

Sequencing platform. The Illumina NovaSeq 6000 platform was used for sequencing experiments.

Final library loading concentration and quantification method. For the Illumina NovaSeq 6000 platform, the final library loading concentration was set to 1 nM, and the concentration was quantified by the Qubit assay.

Analysis revealed a KRAS mutation, 35G>A p. G12d, with a mutation frequency of 15.1% (Table II). MSI testing was stable. The final diagnosis was confirmed as PMA, pathological tumor 3, node 0, metastasis 0 (pT3N0M0), Stage IIA

Table II.

Results of genetic testing.

Table II.

Results of genetic testing.

GenesNucleotide changesAmino acid changesFrequency of variationClassification of variation Targeting/immunization treatment options
KRASc.35G>Ap.G12D15.10%INA
BRAFNDNANANANA
MLH1NDNANANANA
MSH2NDNANANANA
MSH6NDNANANANA
NRASNDNANANANA
NTRK1NDNANANANA
PIK3CANDNANANANA
PMS2NDNANANANA
POLENDNANANANA
RETNDNANANANA
POLD1NDNANANANA
AKT1NDNANANANA
ARAFNDNANANANA
RAF1NDNANANANA
FGFR1NDNANANANA
FGFR2NDNANANANA
FGFR3NDNANANANA

[i] ND, not detected; NA, not mentioned; MLH1, MutL homolog; MSH2, MutS homolog 2; MSH6, MutS homolog 6; NRAS, NRAS proto-oncogene; NTRK1, neurotrophic receptor tyrosine kinase 1; PMS2, mismatch repair endonuclease PMS2; POLE, DNA polymerase ε; RET, RET proto-oncogene; POLD, DNA polymerase δ; ARAF, A-Raf proto-oncogene.

Treatment and follow-up. After the first operation, the doctor found that the tumor boundary was distinct and covered. The pathological examination showed no residual cancer cells at the resection edge. The doctor was not knowledgeable about the precise postoperative examination selection for malignant tumors. Therefore, only the enhanced computed tomography (CT) scanning of the upper abdomen of the patient and the middle part of the lower abdomen was performed and magnetic resonance imaging (MRI) was omitted. The results revealed soft tissue swelling in the perianal area after the surgery. The size, shape and density of the liver, spleen, gallbladder, pancreas, bilateral ureters and bladder were normal, and no significant thickening of the rectal wall was found. Small cysts and stones were found in the bilateral kidneys.

At that time, the clinician discharged the patient following the tumor resection, and the patient recuperated at home while awaiting the results of the routine pathological examination. After a pathological diagnosis confirmed the perianal tumor to be malignant, the clinician determined that the initial surgical procedure had merely involved the resection of the lesion under a benign tumor presumption, resulting in an inadequate oncologic safety margin. Concurrently, the age of the patient (79 years) was not suitable for immediate surgery, therefore sphincter-preserving local extended radical resection was performed 1 month after the diagnosis of PMA. The surgeon made a circular incision on the surface of the skin 4.0 cm from the perimeter of the previous surgical scar, cut the subcutaneous and adipose tissue of the skin and extended the resection of the previous surgical scar and surrounding tissue, inward to the external anal sphincter. Frozen section examination is used during radical resection, and the procedure is as follows: i) The pathology department verified the specimen and requisition form, then macroscopically selected the lesion tissue. ii) The tissue was embedded in optimal cutting temperature compound and frozen to a hard block at −25°C. iii) Sections that were 5 µm thick were prepared and rapidly fixed with 95% ethanol (25°C; 1–2 min). iv) Rapid H&E staining and mounting was preformed (25°C; 8 min). v) A pathologist performed rapid microscopic diagnosis, issues an intraoperative report and informed the surgeon. Upon examining frozen sections of the surgical margin, no cancer tissue was found.

Pathological examination of the resected specimen (performed byhF&E staining and light microscopy observation) showed focal chronic inflammatory cell infiltration (predominantly lymphocytes and plasma cells) in the fibroadipose tissue, and histological evaluation of the surrounding surgical margins revealed no residual tumor cells, and no vascular or lymphatic invasion, indicating a negative margin. The comprehensive evaluation included postoperative clinical assessment (physical examination, routine laboratory tests and ECOG score), contrast-enhanced CT/MRI of the chest, abdomen and pelvis for excluding local and distant metastasis, pathological TNM staging and risk factor analysis. The patient did not require any additional treatment, including radiotherapy or chemotherapy. During the postoperative period (≤30 days of surgery), the patient had normal stool passage, no abnormal anal discharge and no soiling. Recurrence or metastasis was not detected at the 12-month follow-up.

Discussion

PMA is a rare disease and accounts for <5% of all gastrointestinal malignancies (1,2). A literature summary from 1990–2024 by Gkegkes et al (7) revealed that among the 150 cases analysed in Gkegkes' study, the average age of patients with PMA was 60.5 years, and 82.7% were men (men to women ratio, 4.77:1.00). The majority of cases were associated with chronic anal fistula or Crohn's disease (disease duration, 5–20 years). Commonly reported symptoms were perianal pain, bleeding or recurrent abscess (7). Other study has reported that anal fistulas may become malignant 2 years after its formation (12), however the patient in the present case report had no definite history of anal fistula, and only a painless mass was found that was 15 days old. This suggests that there may be the presence of a subclinical glandular malignant process, and further emphasizing the need for clinicians to be alert to atypical perianal masses.

Regarding the pathogenesis, PMA may be associated with chronic inflammation, the upregulation of MUC2 and mutations in the Ras/MAPK pathway (8,9,13,14). MUC2 is a glycoprotein secreted by intestinal goblet cells, and its upregulation is closely associated with CMA (13). KRAS gene mutation is a common carcinogenic mechanism, and the mutation leads to the continuous proliferation of cells due to the loss of GTPase activity (15,16). Moreover, a study by Li et al (9) showed 57.1% (28/49) of patients with CMA had KRAS mutations. In the present case report, the patient had no chronic inflammation, no genetic history, but did have microsatellite stability and MUC2-positive IHC. A KRAS p.G12d activating mutation was detected in the present case report, which aligns with the aforementioned literature findings on the CMA pathogenic mechanism involving MUC2 upregulation and KRAS mutation, and it is speculated that these two factors are the core pathogenic factors in this case.

KRAS mutation is an important target in the molecular mechanism of CRC, but the clinical value of different subtypes of mutations differs. Drug treatment regimens (sotorasib/adagrasib combined with cetuximab/panitumumab) have been recommended by the National Comprehensive Cancer Network (NCCN) guidelines for patients with CRC harboring KRAS p. G12c mutations (15). Although the KRAS p. G12d mutation has been detected in CRC (17), there is no approved drug for targeted therapy.

Diagnostic and typing value. The KRAS p. G12d mutation can be used as a molecular marker of PMA. Combined with MUC2 expression and other pathological features, it can help distinguish PMA from other perianal malignant tumors, such as sweat gland mucinous adenocarcinoma of skin and lung metastatic adenocarcinoma, especially for PMA cases without chronic inflammation. Treatment direction. Although no targeted drug is known, the presence of the KRAS p. G12d mutation provides a direction for subsequent treatment (preclinical trials are ongoing) (17).

Microscopically, the dysplastic glands within the tumor showed infiltrative growth, mucus lake formation and mild to severe glandular epithelial dysplasia (5). The typical immunohistochemical findings of non-anal gland, non-fistula associated mucinous adenocarcinomas suggest variable features: CK7(+), CK20(+) and CDX2(+) (8,11) or CK7(−), CK20 (+) and CDX2(+) (18). In the present case report, microscopically, the patient presented with expansive nodular growth with typical morphological changes of mucinous adenocarcinoma. Immunohistochemically, the patient was positive for CK20, CDX2 and CK7, which was consistent with the results reported in the literature (7,10). Therefore, based on the medical history of the patient, H&E staining results and immunohistochemical findings, it is speculated that the tumor may have arisen from non-fistula-related glandular structures (acquired or congenital malformations or associated with embryonic residues) (8,16)

The differential diagnosis of PMA include the following: i) Infiltration or metastasis of CMA to the perianal tissue, such as the case reported by Spiridakiset et al (19), synchronous adenocarcinoma of the rectum and sigmoid colon implanted in the anal fistula, manifested as recurrent perianal abscess. However, colorectal adenocarcinoma immunohistochemical phenotype (CK7) is usually negative and can be distinguished; ii) mucinous adenocarcinoma derived from sweat glands of the skin is also rare, with prominent eosinophilic cytoplasm and positive expression of GCDFP-15 and no expression of CK20 and CDX2; and iii) gastrointestinal adenocarcinoma metastasis to the perianal region: A primary gastrointestinal tumor was excluded in the patient through colonoscopy and abdominal CT examination. Moreover, fistula or Crohn's disease was absent in the anorectal area. Therefore, the diagnosis of primary PMA was confirmed

There were prominent limitations in imaging evaluation in the present case report: The first B-ultrasound examination misjudged the hypoechoic mass as benign, and the anatomical relationship between the tumor and the anorectal part was not clear due to the lack of anal dual-plane ultrasound equipment (EAUS) and pelvic CT/MRI before the operation, which reflected that the doctor lacked clinical knowledge of PMA imaging examinations. Combined with previous studies and clinical practice, several preoperative imaging recommendations are proposed for suspected perianal masses.

Basic examination. EAUS is preferred for the diagnosis of perianal mass (7). EAUS can identify the ‘multiple hypoechoic lesions’ characteristic of mucinous tumors and can directly obtain pathological specimens through ultrasound-guided biopsy, notably reducing the rate of misdiagnosis (7,20). It is recommended as the first choice of imaging examination for suspected perianal masses (7), especially for cases of painless masses with clear boundaries. EAUS should be used to exclude the possibility of mucinous adenocarcinoma.

Advanced evaluation. Pelvic enhanced MRI and selective abdominal CT: Pelvic enhanced MRI has high resolution of soft tissue, which can accurately reveal the anatomical relationship between the tumor and anal canal, rectal wall and sphincter, determine the depth of tumor invasion and provide an important basis for establishing the scope of surgical resection (6). Abdominal and chest CT can assist in the detection of distant metastasis, such as liver and lung metastasis (21).

If imaging (EAUS/MRI) suggests mucinous adenocarcinoma features (such as mucinous lakes and invasive growth), ultrasound-guided biopsy should be performed immediately to avoid the possibility of accidentally ignoring malignancy due to ‘benign imaging findings’. Even if the initial biopsy is negative, if PMA is still highly suspected (Such as perianal mass painless short-term enlargement), biopsy or immunohistochemical staining (such as CK7, CK20 and CDX2) should be performed again for further verification.

Future prospects of imaging examinations: i) Establish a standardized imaging examination process for perianal tumors. Compare the differences in diagnostic efficacy among B-ultrasound, EAUS, CT and MRI in the diagnosis of perianal tumors; ii) explore the combined diagnostic model of MRI and pathological examination. The combined diagnosis of ‘MRI imaging features and puncture pathological results’ improves the accuracy of preoperative examinations; and iii) conduct research on the optimization of individualized surgical plans under the guidance of MRI, further explore the application value of MRI in postoperative follow-up, provide a basis for precise postoperative follow-up and early intervention, and ultimately improve the long-term prognosis of patients.

In terms of treatment, a radical surgical approach, such as abdominoperineal resection and its variations, is often recommended in cases of late diagnosis or locally advanced tumors (11). Neoadjuvant chemoradiotherapy is recommended for locally advanced and metastatic diseases (7,22). NCCN guidelines recommend sotorasib/adagrasib combined with cetuximab/panitumumab for patients with CRC harboring KRAS p. G12c mutation (15). However, no drug targeting the KRAS p. G12d mutation has yet been approved for treating CRC (8). In terms of prognosis, according to the report by Gkegkes et al (7) among the 150 patients with PMA, 41 (29.3%) had recurrence, 32 (21.3%) had complications and 44 (29.3%) were deceased, while the rest were not clearly specified (7). In the present case, complete resection (R0) was achieved by radical local extended resection, which agreed with the treatment principles recommended by studies on early localized tumors (7,10). The patient had a clinical stage II tumor and did not need further adjuvant therapy after comprehensive analysis. No recurrence or metastasis was found after 12 months of follow-up, but regular follow-ups for local recurrence or distant metastasis are needed. Therefore conducting thoracic and abdominal contrast-enhanced CT scans plus MRI assessments every 3 months for the first 2 years postoperatively is recommended, followed by semiannual (every 6 months) examinations for the subsequent 3 years and annual imaging evaluations thereafter for lifelong follow-up. The key point in the present case report is that the vigilance of presenting with a painless mass and no history of inflammation should be increased in clinical practice. EAUS is the preferred imaging modality for this assessment, and sole evaluation with conventional B-ultrasound should be avoided due to its limited spatial resolution and inability to accurately delineate the tumor's local extent, depth of invasion, and perirectal soft tissue involvement. Multiple sampling can avoid the missed diagnosis of a single biopsy. The nature of the tumor can be determined by examining frozen sections during the operation.

In conclusion, PMA is relatively rare in clinical practice and occurs in various forms. The present case was unique as the tumor had a rapid growth rate and an uncommon KRAS p. G12d mutant subtype was identified through genetic testing. An accurate diagnosis before the operation is difficult. For painless PMA, a comprehensive diagnosis should be performed by combining clinical, pathological, immunohistochemical, genetic testing and imaging methods. Early and accurate diagnosis enables patients to receive timely and appropriate treatment, which can help avoid missed diagnoses and delayed treatment.

Acknowledgements

Not applicable.

Funding

Funding: No funding was received.

Availability of data and materials

The data generated in the present study may be requested from the corresponding author. The data generated in the present study may be found in the Genome Sequence Archive for Human under accession number HRA014514 or at the following URL: https://ngdc.cncb.ac.cn/gsa-human/browse/HRA014514.

Author's contributions

JS and JY drafted the manuscript and conceived the study. JS and GL were responsible for the collection and analysis of case data and literature. JY, XW, YZ and JS revised the manuscript and interpreted the data. JS, XW and GL confirm the authenticity of all the raw data. All authors read and approved the final manuscript.

Ethical approval and consent to participate

Ethical consent was provided by the Ethics Committee of The First People's Hospital of Xiaoshan (approval no. 2024-12).

Patient consent for publication

Before the research was carried out, the patients and their families were fully informed of the research purpose of this case report, the scope of data use and the form of publication. The patients and their families voluntarily signed the written informed consent form, agreeing to use their clinical data, pathological and molecular testing data for the writing and public release of this case report. All data were anonymized to protect the privacy of the patients.

Competing interests

The authors declare that they have no competing interests.

References

1 

Hongo K, Kazama S, Sunami E and Kitayama J and Kitayama J: Perianal adenocarcinoma associated with anal fistula: A report of 11 cases in a single institution focusing on treatment and literature review. Hepatogastroenterology. 60:720–726. 2013.PubMed/NCBI

2 

Gaertner WB, Hagerman GF, Finne CO, Alavi K Jessurun J, Rothenberger DA and Madoff RD: Fistula-associated anal adenocarcinoma: Good results with aggressive therapy. Dis Colon Rectum. 51:1061–1067. 2008. View Article : Google Scholar : PubMed/NCBI

3 

de Souza ABP, Lima AP, Lívia Genaro LM, Geiger CPF, Ayrizono MLS and Leal RF: Mucinousadenocarcinoma in perianal fistula in Crohn's disease: Case report and literature review. Int J Surg Case Rep. 95:1072112022. View Article : Google Scholar : PubMed/NCBI

4 

Santos MD, Nogueira C and Lopes C: Mucinous adenocarcinoma arising from chronicperianal fistula. Case Rep Surg. 2014:3861502014.PubMed/NCBI

5 

Koizumi M, Matsuda A, Yamada T, Morimoto K, Kubota I, Kubota Y, Tamura S, Tominaga K, Sakatani T and Yoshida H: A case report of anal fistula-associated mucinous adenocarcinoma developing 3 years after treatment of perianal abscess. Surg Case Rep. 9:1592023. View Article : Google Scholar : PubMed/NCBI

6 

Chrysikos D, Mariolis-Sapsakos T, Triantafyllou T, Karampelias V, Mitrousias A and Theodoropoulos G: Laparoscopic abdominoperineal resection for the treatment of a mucinous adenocarcinoma associated with an anal fistula. J Surg Case Rep. 2018:rjy0362018. View Article : Google Scholar : PubMed/NCBI

7 

Gkegkes ID, Milionis V, Goutas N, Mantzoros I, Bourtzinakou AA and Stamatiadis AP: Perianal mucinous adenocarcinoma: A case report and a systematic review of the literature. J Gastrointest Cancer. 56:62024. View Article : Google Scholar : PubMed/NCBI

8 

WHO Classifcation of Tumours Editorial Board, . Tumours of the anal canal. Digestive system tumours. 5th ed. Lyon, France: 2019, pp. 193–214

9 

Li X, Sun K, Liao X, Gao H, Zhu H and Xu R: Colorectal carcinomas with mucinous differentiation are associated with high frequent mutation of KRAS or BRAF mutations, irrespective of quantity of mucinous component. BMC Cancer. 20:4002020. View Article : Google Scholar : PubMed/NCBI

10 

Cenac LA, Xiao P and Asarian A: Incidental discovery of mucinous adenocarcinoma from a uspected infammatory perianal mass. J Surg Case Rep. 2:rjz4132020. View Article : Google Scholar : PubMed/NCBI

11 

Feo CF, Veneroni S, Santoru A, Cossu ML, Scanu AM, Ginesu GC and Porcu A: Perianal mucinous adenocarcinoma with dysplastic polyps of the colon: A case report. Int J Surg Case Rep. 78:99–102. 2021. View Article : Google Scholar : PubMed/NCBI

12 

Purkayastha A, Sharma N, Dutta V, Bisht N and Pandya T: Mucinous adenocarcinoma of perianal region: An uncommon disease treated with neoadjuvant chemo-radiation. Transl Gastroenterol Hepatol. 1:522016. View Article : Google Scholar : PubMed/NCBI

13 

Imai Y, Yamagishi H, Fukuda K, Ono Y, Inoue T and Ueda Y: Differential mucin phenotypes and their significance in a variation of colorectal carcinoma. World J Gastroenterol. 19:3957–3968. 2013. View Article : Google Scholar : PubMed/NCBI

14 

Hugen N, Simons M, Halilović A, van der Post RS, Bogers AJ, Marijnissen-van Zanten MA, de Wilt JH and Nagtegaal ID: The molecular background of mucinous carcinoma beyond MUC2. J Pathol Clin Res. 1:3–17. 2014. View Article : Google Scholar : PubMed/NCBI

15 

NCCN Clinical Practice Guidelines in Oncology, . Colon Cancer. Version 1.2024.

16 

Uprety D and Adjei AA: KRAS: From undruggable to a druggable Cancer Target. Cancer Treat Rev. 89:1020702020. View Article : Google Scholar : PubMed/NCBI

17 

Wang R, Cong D, Bai Y and Zhang W: Case report: Long-term sustained remission in a case of metastatic colon cancer with high microsatellite instability and KRAS exon 2 p.G12D mutation treated with fruquintinib after local radiotherapy: A case report and literature review. Front Pharmacol. 14:12073692023. View Article : Google Scholar : PubMed/NCBI

18 

Laohawetwanit T, Hareerak T, Thamwongskul C and Boon-Ing N: Extramucosal anal canal adenocarcinoma, non-anal gland type, and non-fistula-associated with mucinous appearance: A recently described diagnostic entity. Pathol Int. 71:715–718. 2021. View Article : Google Scholar : PubMed/NCBI

19 

Spiridakis KG, Sfakianakis EE, Flamourakis ME, Intzepogazoglou DS, Tsagataki ES, Ximeris NE, Rachmanis EK, Gionis IG, Kostakis GE and Christodoulakis MS: Synchronous mucinous adenocarcinoma of the recto sigmoid revealed by and seeding an anal fistula. (A case report and review of the literature). Int J Surg Case Rep. 37:48–51. 2017. View Article : Google Scholar : PubMed/NCBI

20 

Toyonaga T, Mibu R, Matsuda H, Tominaga Y, Hirata K, Takeyoshi M, Tsuneyoshi M and Matsushima M: Endoanal ultrasonography of mucinous adenocarcinoma arising from chronic fistula-in-Ano: Three Case Reports. J Anus Rectum Colon. 1:100–105. 2018. View Article : Google Scholar : PubMed/NCBI

21 

Ghuman SS, Kochhar R, Mahajan H, Buxi TBS, Gupta A, Arora A, Saxena KK, Sud S, Sud A, Rawat K, et al: CT and MR imaging in colorectal carcinoma: A tool for diagnosis, staging, response evaluation, and follow-up. South Asian J Cancer. 13:236–240. 2025.PubMed/NCBI

22 

Ohta R, Sekikawa K, Goto M, Narita K, Takahashi Y, Ikeda H, Oneyama M, Hirata Y, Nakayama M, Shimoda Y and Sato S: A case of perianal mucinous adenocarcinoma arising from an anorectal fistula successfully resected after preoperative radiotherapy. Case Rep Gastroenterol. 7:219–223. 2013. View Article : Google Scholar : PubMed/NCBI

Related Articles

  • Abstract
  • View
  • Download
  • Twitter
Copy and paste a formatted citation
Spandidos Publications style
Shi J, Wang X, Yang J, Li G and Zhang Y: Painless perianal mucinous adenocarcinoma: A case report and literature review. Oncol Lett 31: 187, 2026.
APA
Shi, J., Wang, X., Yang, J., Li, G., & Zhang, Y. (2026). Painless perianal mucinous adenocarcinoma: A case report and literature review. Oncology Letters, 31, 187. https://doi.org/10.3892/ol.2026.15542
MLA
Shi, J., Wang, X., Yang, J., Li, G., Zhang, Y."Painless perianal mucinous adenocarcinoma: A case report and literature review". Oncology Letters 31.5 (2026): 187.
Chicago
Shi, J., Wang, X., Yang, J., Li, G., Zhang, Y."Painless perianal mucinous adenocarcinoma: A case report and literature review". Oncology Letters 31, no. 5 (2026): 187. https://doi.org/10.3892/ol.2026.15542
Copy and paste a formatted citation
x
Spandidos Publications style
Shi J, Wang X, Yang J, Li G and Zhang Y: Painless perianal mucinous adenocarcinoma: A case report and literature review. Oncol Lett 31: 187, 2026.
APA
Shi, J., Wang, X., Yang, J., Li, G., & Zhang, Y. (2026). Painless perianal mucinous adenocarcinoma: A case report and literature review. Oncology Letters, 31, 187. https://doi.org/10.3892/ol.2026.15542
MLA
Shi, J., Wang, X., Yang, J., Li, G., Zhang, Y."Painless perianal mucinous adenocarcinoma: A case report and literature review". Oncology Letters 31.5 (2026): 187.
Chicago
Shi, J., Wang, X., Yang, J., Li, G., Zhang, Y."Painless perianal mucinous adenocarcinoma: A case report and literature review". Oncology Letters 31, no. 5 (2026): 187. https://doi.org/10.3892/ol.2026.15542
Follow us
  • Twitter
  • LinkedIn
  • Facebook
About
  • Spandidos Publications
  • Careers
  • Cookie Policy
  • Privacy Policy
How can we help?
  • Help
  • Live Chat
  • Contact
  • Email to our Support Team