Spandidos Publications Logo
  • About
    • About Spandidos
    • Aims and Scopes
    • Abstracting and Indexing
    • Editorial Policies
    • Reprints and Permissions
    • Job Opportunities
    • Terms and Conditions
    • Contact
  • Journals
    • All Journals
    • Oncology Letters
      • Oncology Letters
      • Information for Authors
      • Editorial Policies
      • Editorial Board
      • Aims and Scope
      • Abstracting and Indexing
      • Bibliographic Information
      • Archive
    • International Journal of Oncology
      • International Journal of Oncology
      • Information for Authors
      • Editorial Policies
      • Editorial Board
      • Aims and Scope
      • Abstracting and Indexing
      • Bibliographic Information
      • Archive
    • Molecular and Clinical Oncology
      • Molecular and Clinical Oncology
      • Information for Authors
      • Editorial Policies
      • Editorial Board
      • Aims and Scope
      • Abstracting and Indexing
      • Bibliographic Information
      • Archive
    • Experimental and Therapeutic Medicine
      • Experimental and Therapeutic Medicine
      • Information for Authors
      • Editorial Policies
      • Editorial Board
      • Aims and Scope
      • Abstracting and Indexing
      • Bibliographic Information
      • Archive
    • International Journal of Molecular Medicine
      • International Journal of Molecular Medicine
      • Information for Authors
      • Editorial Policies
      • Editorial Board
      • Aims and Scope
      • Abstracting and Indexing
      • Bibliographic Information
      • Archive
    • Biomedical Reports
      • Biomedical Reports
      • Information for Authors
      • Editorial Policies
      • Editorial Board
      • Aims and Scope
      • Abstracting and Indexing
      • Bibliographic Information
      • Archive
    • Oncology Reports
      • Oncology Reports
      • Information for Authors
      • Editorial Policies
      • Editorial Board
      • Aims and Scope
      • Abstracting and Indexing
      • Bibliographic Information
      • Archive
    • Molecular Medicine Reports
      • Molecular Medicine Reports
      • Information for Authors
      • Editorial Policies
      • Editorial Board
      • Aims and Scope
      • Abstracting and Indexing
      • Bibliographic Information
      • Archive
    • World Academy of Sciences Journal
      • World Academy of Sciences Journal
      • Information for Authors
      • Editorial Policies
      • Editorial Board
      • Aims and Scope
      • Abstracting and Indexing
      • Bibliographic Information
      • Archive
    • International Journal of Functional Nutrition
      • International Journal of Functional Nutrition
      • Information for Authors
      • Editorial Policies
      • Editorial Board
      • Aims and Scope
      • Abstracting and Indexing
      • Bibliographic Information
      • Archive
    • International Journal of Epigenetics
      • International Journal of Epigenetics
      • Information for Authors
      • Editorial Policies
      • Editorial Board
      • Aims and Scope
      • Abstracting and Indexing
      • Bibliographic Information
      • Archive
    • Medicine International
      • Medicine International
      • Information for Authors
      • Editorial Policies
      • Editorial Board
      • Aims and Scope
      • Abstracting and Indexing
      • Bibliographic Information
      • Archive
  • Articles
  • Information
    • Information for Authors
    • Information for Reviewers
    • Information for Librarians
    • Information for Advertisers
    • Conferences
  • Language Editing
Spandidos Publications Logo
  • About
    • About Spandidos
    • Aims and Scopes
    • Abstracting and Indexing
    • Editorial Policies
    • Reprints and Permissions
    • Job Opportunities
    • Terms and Conditions
    • Contact
  • Journals
    • All Journals
    • Biomedical Reports
      • Information for Authors
      • Editorial Policies
      • Editorial Board
      • Aims and Scope
      • Abstracting and Indexing
      • Bibliographic Information
      • Archive
    • Experimental and Therapeutic Medicine
      • Information for Authors
      • Editorial Policies
      • Editorial Board
      • Aims and Scope
      • Abstracting and Indexing
      • Bibliographic Information
      • Archive
    • International Journal of Epigenetics
      • Information for Authors
      • Editorial Policies
      • Editorial Board
      • Aims and Scope
      • Abstracting and Indexing
      • Bibliographic Information
      • Archive
    • International Journal of Functional Nutrition
      • Information for Authors
      • Editorial Policies
      • Editorial Board
      • Aims and Scope
      • Abstracting and Indexing
      • Bibliographic Information
      • Archive
    • International Journal of Molecular Medicine
      • Information for Authors
      • Editorial Policies
      • Editorial Board
      • Aims and Scope
      • Abstracting and Indexing
      • Bibliographic Information
      • Archive
    • International Journal of Oncology
      • Information for Authors
      • Editorial Policies
      • Editorial Board
      • Aims and Scope
      • Abstracting and Indexing
      • Bibliographic Information
      • Archive
    • Medicine International
      • Information for Authors
      • Editorial Policies
      • Editorial Board
      • Aims and Scope
      • Abstracting and Indexing
      • Bibliographic Information
      • Archive
    • Molecular and Clinical Oncology
      • Information for Authors
      • Editorial Policies
      • Editorial Board
      • Aims and Scope
      • Abstracting and Indexing
      • Bibliographic Information
      • Archive
    • Molecular Medicine Reports
      • Information for Authors
      • Editorial Policies
      • Editorial Board
      • Aims and Scope
      • Abstracting and Indexing
      • Bibliographic Information
      • Archive
    • Oncology Letters
      • Information for Authors
      • Editorial Policies
      • Editorial Board
      • Aims and Scope
      • Abstracting and Indexing
      • Bibliographic Information
      • Archive
    • Oncology Reports
      • Information for Authors
      • Editorial Policies
      • Editorial Board
      • Aims and Scope
      • Abstracting and Indexing
      • Bibliographic Information
      • Archive
    • World Academy of Sciences Journal
      • Information for Authors
      • Editorial Policies
      • Editorial Board
      • Aims and Scope
      • Abstracting and Indexing
      • Bibliographic Information
      • Archive
  • Articles
  • Information
    • For Authors
    • For Reviewers
    • For Librarians
    • For Advertisers
    • Conferences
  • Language Editing
Login Register Submit
  • This site uses cookies
  • You can change your cookie settings at any time by following the instructions in our Cookie Policy. To find out more, you may read our Privacy Policy.

    I agree
Search articles by DOI, keyword, author or affiliation
Search
Advanced Search
presentation
Oncology Letters
Join Editorial Board Propose a Special Issue
Print ISSN: 1792-1074 Online ISSN: 1792-1082
Journal Cover
May-2026 Volume 31 Issue 5

Full Size Image

Sign up for eToc alerts
Recommend to Library

Journals

International Journal of Molecular Medicine

International Journal of Molecular Medicine

International Journal of Molecular Medicine is an international journal devoted to molecular mechanisms of human disease.

International Journal of Oncology

International Journal of Oncology

International Journal of Oncology is an international journal devoted to oncology research and cancer treatment.

Molecular Medicine Reports

Molecular Medicine Reports

Covers molecular medicine topics such as pharmacology, pathology, genetics, neuroscience, infectious diseases, molecular cardiology, and molecular surgery.

Oncology Reports

Oncology Reports

Oncology Reports is an international journal devoted to fundamental and applied research in Oncology.

Experimental and Therapeutic Medicine

Experimental and Therapeutic Medicine

Experimental and Therapeutic Medicine is an international journal devoted to laboratory and clinical medicine.

Oncology Letters

Oncology Letters

Oncology Letters is an international journal devoted to Experimental and Clinical Oncology.

Biomedical Reports

Biomedical Reports

Explores a wide range of biological and medical fields, including pharmacology, genetics, microbiology, neuroscience, and molecular cardiology.

Molecular and Clinical Oncology

Molecular and Clinical Oncology

International journal addressing all aspects of oncology research, from tumorigenesis and oncogenes to chemotherapy and metastasis.

World Academy of Sciences Journal

World Academy of Sciences Journal

Multidisciplinary open-access journal spanning biochemistry, genetics, neuroscience, environmental health, and synthetic biology.

International Journal of Functional Nutrition

International Journal of Functional Nutrition

Open-access journal combining biochemistry, pharmacology, immunology, and genetics to advance health through functional nutrition.

International Journal of Epigenetics

International Journal of Epigenetics

Publishes open-access research on using epigenetics to advance understanding and treatment of human disease.

Medicine International

Medicine International

An International Open Access Journal Devoted to General Medicine.

Journal Cover
May-2026 Volume 31 Issue 5

Full Size Image

Sign up for eToc alerts
Recommend to Library

  • Article
  • Citations
    • Cite This Article
    • Download Citation
    • Create Citation Alert
    • Remove Citation Alert
    • Cited By
  • Similar Articles
    • Related Articles (in Spandidos Publications)
    • Similar Articles (Google Scholar)
    • Similar Articles (PubMed)
  • Download PDF
  • Download XML
  • View XML
Case Report Open Access

Comprehensive treatment for two patients with small cell neuroendocrine carcinoma of the liver: A case report and literature review

  • Authors:
    • Ruizeng Feng
    • Hao Wang
    • Yang Zhao
    • Xue Zhang
    • Hongfang Tuo
    • Xing Xu
  • View Affiliations / Copyright

    Affiliations: Department of Hepatobiliary Surgery, Hebei General Hospital, Shijiazhuang, Hebei 050051, P.R. China, Department of Pathology, The First People's Hospital of Xiantao, Affiliated Hospital of Hubei University of Science and Technology, Xiantao, Hubei 433000, P.R. China, Department of Gastrointestinal Surgery, The First People's Hospital of Xiantao, Affiliated Hospital of Hubei University of Science and Technology, Xiantao, Hubei 433000, P.R. China
    Copyright: © Feng et al. This is an open access article distributed under the terms of Creative Commons Attribution License.
  • Article Number: 189
    |
    Published online on: March 24, 2026
       https://doi.org/10.3892/ol.2026.15544
  • Expand metrics +
Metrics: Total Views: 0 (Spandidos Publications: | PMC Statistics: )
Metrics: Total PDF Downloads: 0 (Spandidos Publications: | PMC Statistics: )
Cited By (CrossRef): 0 citations Loading Articles...

This article is mentioned in:


Abstract

Hepatic small cell neuroendocrine carcinoma (HSCNEC) is a rare and aggressive malignancy with a poor prognosis. The marked heterogeneity of neuroendocrine carcinomas, along with their predominantly non‑functional nature and the absence of specific biomarkers, poses substantial diagnostic challenges and leads to complex, varied treatment pathways. Owing to its rarity and the scarcity of clinical evidence, treatment options for HSCNEC remain limited, often resulting in unsatisfactory outcomes. Recent advances, however, underscore transcatheter arterial chemoembolization (TACE) combined with targeted immunotherapy as a promising strategy for HSCNEC. A 76‑year‑old male patient was admitted for intermittent right upper abdominal pain lasting 3 months. Medical history included hepatitis B for 50 years, hypertension for 20 years, diabetes mellitus for 10 years and coronary artery disease for 5 years. A 58‑year‑old male was admitted to the hospital one week after discovering a hepatic space‑occupying lesion, following 1 month of upper abdominal discomfort. The patient had a history of hepatitis B for >10 years. Both patients underwent tumor puncture biopsy and the pathological diagnosis confirmed the presence of SCNEC of the liver. The first patient received TACE but declined subsequent combined targeted immunotherapy and died 3 months later. By contrast, the second patient underwent multiple sessions of TACE along with targeted immunotherapy, resulting in a significant improvement in quality of life. This patient is currently under regular follow‑up and is able to lead a normal life and work. HSCNEC is a rare type of intrahepatic neuroendocrine tumor. For cases that are not amenable to surgical resection, TACE combined with targeted immunotherapy may be considered. This comprehensive treatment approach can significantly enhance the effectiveness of therapy and prolong overall survival for patients.

Introduction

Hepatic small cell neuroendocrine carcinoma (HSCNEC) is a poorly differentiated neuroendocrine tumor that is exceedingly rare in clinical practice. Hepatic neuroendocrine tumors account for ~0.3% of all neuroendocrine tumors (1). NEC is characterized by poorly differentiated neuroendocrine tumor morphology and includes SCNEC and large CNEC. These tumors are highly malignant and associated with a poor prognosis. Furthermore, NECs generally carry a poorer prognosis than neuroendocrine tumors (2), with a median survival of merely 11–12 months for metastatic disease (3). Due to the high heterogeneity of NEC and the fact that most cases are non-functional (i.e., they do not secrete hormones or bioactive amines that cause a clinical syndrome), there is a lack of specific biomarkers, making diagnosis challenging and treatment pathways complex and varied (4). However, with advancements in medical technology, transcatheter arterial chemoembolization (TACE) combined with targeted immunotherapy has emerged as an important treatment modality for advanced liver cancers, including HSCNEC (5).

The current study presents a detailed analysis of two recent cases of HSCNEC managed with comprehensive therapy. The clinical characteristics and treatment decisions of these cases were summarized to enhance the diagnostic and therapeutic capabilities for such diseases, providing valuable insights for clinical treatment decision-making.

Case report

Case 1

The patient was a 76-year-old male who was admitted to Hebei General Hospital (Shijiazhuang, China) in July 2025 due to intermittent pain in the right upper abdomen for the past 3 months. Upon admission, the physical examination revealed significant tenderness primarily in the right upper abdomen. The patient had a history of hepatitis B for 50 years, hypertension for 20 years, diabetes for 10 years and coronary artery disease for 5 years. A complete blood count on admission showed a neutrophil percentage of 77.70% (normal range: 40–75%). Biochemical tests showed total bilirubin at 92.7 µmol/l (normal: 5.1–17.1 µmol/l), direct bilirubin at 53.3 µmol/l (normal: 0–5.1 µmol/l), indirect bilirubin at 39.4 µmol/l (normal: 3.4–12.0 µmol/l), alanine aminotransferase (ALT) at 141.1 U/l (normal: 7–40 U/l), aspartate aminotransferase (AST) at 141.8 U/l (normal <40 U/l), gamma-glutamyl transferase at 556.8 U/l (normal: 8–61 U/l) and alkaline phosphatase at 628.8 U/l (normal: 40–129 U/l). Tumor markers indicated carcinoembryonic antigen (CEA) at 221.300 ng/ml (normal: <5 ng/ml), while other laboratory results showed no significant abnormalities. All the reported laboratory parameters were abnormal and elevated compared to their respective normal ranges. This profile indicates neutrophilia, significant conjugated hyperbilirubinemia, marked elevation of cholestatic enzymes (ALP, GGT) and elevated hepatocellular enzymes (ALT, AST), consistent with significant hepatobiliary disease and possible obstruction. The CEA level was also markedly elevated, suggestive of a malignant process.

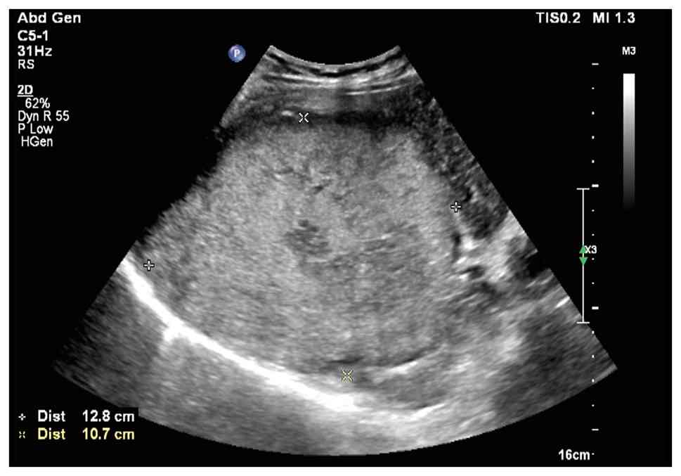
Ultrasound of the liver, gallbladder, pancreas, spleen and kidneys revealed a large solid mass in the liver (Fig. 1), a hypoechoic lesion between the upper pole of the right kidney and the posterior segment of the right lobe of the liver and a hypoechoic nodule in the first hepatic portal area. The liver ultrasound findings were consistent with chronic liver disease. An enhanced MRI of the liver suggested a high likelihood of hepatocellular carcinoma (HCC) in the right lobe (Fig. 2), with multiple metastatic tumors in the liver, bilateral adrenal glands and pancreas. A chest CT scan with three-dimensional reconstruction indicated a mass in the left hilum and left upper lobe of the lung, raising concerns for a malignant lesion with obstructive inflammation. The patient underwent ultrasound-guided biopsy of the liver mass and lymph nodes in the left supraclavicular region. Pathological examination (Fig. 3), supported by immunohistochemical staining performed according to the standard diagnostic protocols of the Department of Pathology at Hebei General Hospital, confirmed the diagnosis of SCNEC. Immunohistochemical staining (the full results are based on pathology reports rather than retrievable images, as the pathology reports cannot be published) included pan-cytokeratin (CKpan) (+), vimentin (−), chromogranin A (CgA) (+), synaptophysin (Syn) (+), cluster of differentiation 56 (CD56) (+), thyroid transcription factor-1 (TTF-1) (+), arginase-1 (−), hepatocyte paraffin 1 (HepPar-1) (−) and P53 (+++), and Ki-67 showing an active region of ~70% positive.

Case 1: Ultrasound image of the liver.
A large hyperechoic mass was identified in the right lobe of the
liver, measuring ~12.8×12.8×10.7 cm, with ill-defined borders and
heterogeneous internal echotexture.

Figure 1.

Case 1: Ultrasound image of the liver. A large hyperechoic mass was identified in the right lobe of the liver, measuring ~12.8×12.8×10.7 cm, with ill-defined borders and heterogeneous internal echotexture.

Case 1: Enhanced MRI of the liver. A
massive mass along with multiple small nodules was observed within
the right hepatic lobe, measuring ~13.7×12.6×11.4 cm.

Figure 2.

Case 1: Enhanced MRI of the liver. A massive mass along with multiple small nodules was observed within the right hepatic lobe, measuring ~13.7×12.6×11.4 cm.

Case 1: Liver tumor biopsy
pathological results: Tumor cells (indicated by white arrows) were
distributed in solid sheets. The tumor cells exhibit characteristic
features of small cell neuroendocrine carcinoma, including small to
medium-sized cells with scant cytoplasm, hyperchromatic nuclei,
finely granular chromatin, inconspicuous nucleoli and frequent
nuclear molding. Mitotic figures are readily identifiable (H&E;
magnification, ×40; scale bar, 221 µm).

Figure 3.

Case 1: Liver tumor biopsy pathological results: Tumor cells (indicated by white arrows) were distributed in solid sheets. The tumor cells exhibit characteristic features of small cell neuroendocrine carcinoma, including small to medium-sized cells with scant cytoplasm, hyperchromatic nuclei, finely granular chromatin, inconspicuous nucleoli and frequent nuclear molding. Mitotic figures are readily identifiable (H&E; magnification, ×40; scale bar, 221 µm).

Immunohistochemical staining was performed on formalin-fixed, paraffin-embedded tissue sections using the EnVision FLEX+ detection system (cat. no. K8002; Dako; Agilent Technologies, Inc.) according to the manufacturer's instructions. The following primary antibodies were used: Pan-cytokeratin (CKpan; cat. no. ZM-0069), vimentin (cat. no. ZM-0260), CgA (cat. no. ZA-0507), Syn (cat. no. ZA-0569), cluster of differentiation 56 (CD56; cat. no. ZM-0427), TTF-1 (cat. no. ZM-0270), arginase-1 (cat. no. ZA-0641), HepPar-1 (cat. no. ZM-0133), P53 (cat. no. ZM-0408), Ki-67 (cat. no. ZM-0166), CD34 (cat. no. ZM-0046), CK19 (cat. no. ZM-0074), alpha-fetoprotein (AFP; cat. no. ZM-0008), CK7 (cat. no. ZM-0071), CK20 (cat. no. ZM-0072), Villin (cat. no. ZM-0441), caudal type homeobox 2 (CDX2; cat. no. ZA-0520), MutL homolog 1 (MLH1; cat. no. ZA-0544), MutS homolog 2 (MSH2; cat. no. ZA-0542), MSH6 (cat. no. ZA-0546), postmeiotic segregation increased 2 (PMS2; cat. no. ZA-0548), glutamine synthetase (cat. no. ZA-0645), glypican-3 (cat. no. ZM-0446), heat shock protein 70 (HSP70; cat. no. ZA-0580; all ready-to-use; from OriGene Technologies, Inc.), and programmed cell death ligand 1 (PD-L1; cat. no. M3653; dilution 1:50; Dako; Agilent Technologies, Inc.).

For all ready-to-use antibodies, staining was performed following the manufacturer's instructions without additional dilution. For PD-L1 (22C3), the antibody was diluted in antibody diluent (Dako; Agilent Technologies, Inc.) and incubated according to the manufacturer's recommended protocol. Secondary antibody detection was performed using the EnVision FLEX+ detection system (according to the manufacturer's instructions, which includes horseradish peroxidase-conjugated secondary antibodies. Diaminobenzidine was used as the chromogen and hematoxylin was used for counterstaining.

After a multidisciplinary discussion, the decision was made to proceed with TACE combined with targeted immunotherapy. However, following TACE, the patient and his family declined any further treatment. A follow-up phone call three months later revealed that the patient had passed away.

Case 2

The patient is a 58-year-old male who was admitted to Hebei General Hospital (Shijiazhuang, China) in June 2022 due to discomfort and bloating in the upper abdomen for over 1 month, along with a liver mass identified 1 week prior to admission at a local hospital. In May 2022, the patient began experiencing intermittent discomfort and bloating in the right upper abdomen without any obvious triggers, which from then onwards affected the patient's sleep and was accompanied by decreased appetite, fatigue and occasional pain in the right shoulder and back. The patient reported nausea but no vomiting.

On June 14, 2022, the patient visited a local hospital where tumor markers were tested: AFP, 172.9 ng/ml (normal <7.0 ng/ml); CEA, 9.16 ng/ml (normal <5.0 ng/ml) and CA199, 53.08 U/ml (normal <37 U/ml). Biochemical tests showed ALT at 75.0 U/l (normal range 7–40 U/l) and hepatitis B virus DNA quantification at 5.35×105 IU/ml (indicating a high viral load). An enhanced CT scan of the upper abdomen revealed a low-density lesion in the right lobe of the liver measuring 7.98×6.65 cm, with possible liver cancer accompanied by intrahepatic, hilar and gastric lesser curvature metastases, along with potential peritoneal and retroperitoneal spread. The pancreatic head and body showed heterogeneous density, suggesting metastasis, and there were multiple small low-density lesions in the liver, possibly cysts, along with a small amount of pleural effusion on the right side and slight splenomegaly (data not shown). The patient had a history of hepatitis B for >10 years but had not been on regular entecavir treatment. Upon admission, physical examination revealed tenderness in the right upper abdomen and pain on percussion in the liver area. Laboratory tests showed coagulation function with prothrombin time at 14.5 sec (slightly prolonged; normal: 11.0–13.5 sec); fibrinogen level at 4.42 g/l (elevated; normal: 2.0–4.0 g/l); and biochemical tests indicated ALT at 55.5 U/l (elevated), AST at 81.3 U/l (elevated; normal <40 U/l), gamma-glutamyl transferase at 154.0 U/l (elevated; normal: 8–61 U/l), alkaline phosphatase at 107.4 U/l (normal range: 40–129 U/l), cholinesterase at 2,710 U/l (decreased; normal: 5,000-12,000 U/l) and hepatitis B surface antigen at 250.00 IU/ml (positive). An MRI of the liver and spleen, both plain and enhanced, showed a malignant lesion in segment (S)7-8 of the liver (49×46×36 mm) and a high likelihood of multiple intrahepatic metastatic tumors (S5: 27 mm) (Fig. 4). An ultrasound of the liver, gallbladder, pancreas and spleen indicated cirrhosis, multiple solid lesions in the liver, multiple abnormal lymph nodes at the hepatic hilum, stage 3 liver fibrosis and ascites. Endoscopy performed in late June 2022 revealed chronic non-atrophic gastritis (data not shown).

Case 2: Enhanced MRI of the liver. (A)
A roundish mass (indicated by the white arrow) was identified in
segments VII and VIII of the liver, measuring ~4.9×4.6×3.6 cm. (B)
Multiple round-like masses were detected within the liver. The
largest one (indicated by the white arrow), measuring ~2.7 cm in
diameter, was located in segment V.

Figure 4.

Case 2: Enhanced MRI of the liver. (A) A roundish mass (indicated by the white arrow) was identified in segments VII and VIII of the liver, measuring ~4.9×4.6×3.6 cm. (B) Multiple round-like masses were detected within the liver. The largest one (indicated by the white arrow), measuring ~2.7 cm in diameter, was located in segment V.

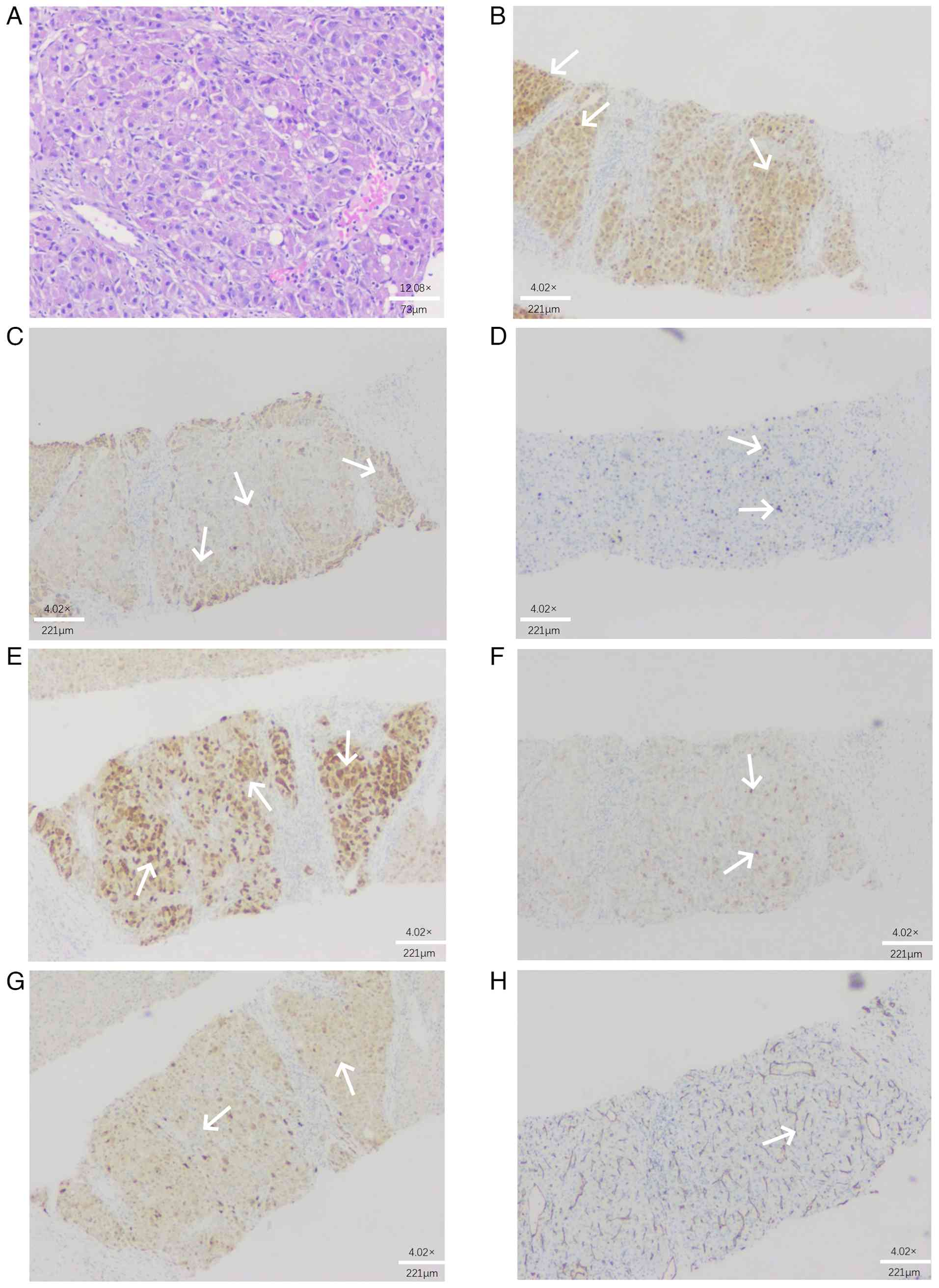
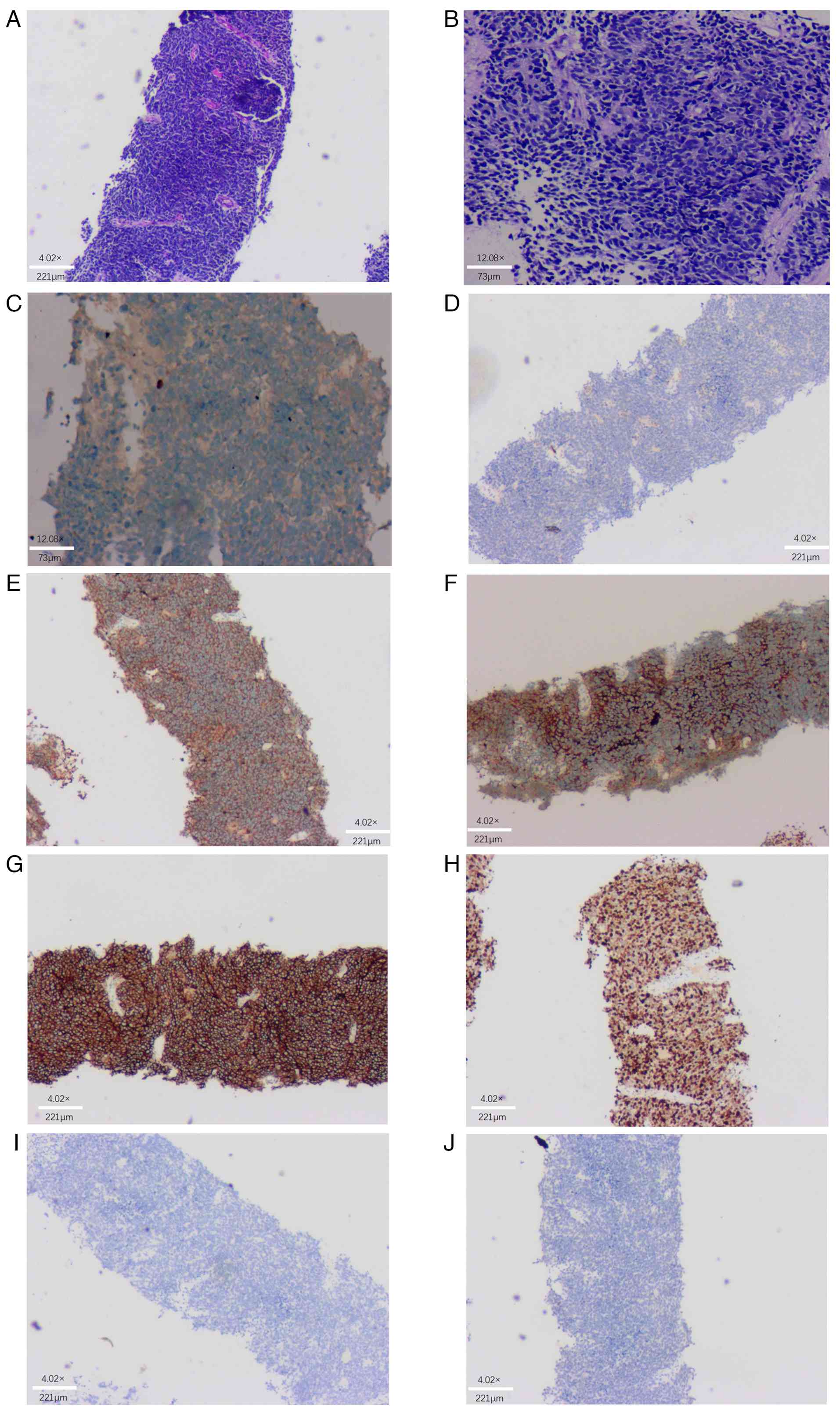
In late June 2022, a biopsy of the liver lesion in segment S7-8 was performed, and pathology (Fig. 5) indicated a malignant tumor consistent with poorly differentiated NEC, specifically SCNEC, supported by immunohistochemical staining. Immunohistochemical staining (the full results are based on pathology reports rather than retrievable images, as the pathology reports cannot be published) indicated the following: CKpan (weakly +), Syn (+), CgA (+), CD56 (+), CD34 (−), CK19 (−), Arginase-1 (−), HepPar-1 (−), AFP (−), Vimentin (weakly + in some cases), CK7 (−), CK20 (−), Villin (−), TTF-1 (−), CDX2 (−), Ki-67 (~70%+ in active region), MLH1 (+), MSH2 (+), MSH6 (+), PMS2 (+) and PD-L1 (22C3) (CPS 1) (+). In July 2022, a biopsy of the liver mass in segment S5 was performed, and pathology (Fig. 6) was consistent with HCC. Immunohistochemical staining showed glutamine synthetase (+), glypican-3 (focally +), HSP70 (focally +), CD34 (showing diffuse capillary distribution), CK19 (−), arginase-1 (+), HepPar-1 (+) and AFP (−), and Ki-67 (~15%+ in the active area).

Case 2: Pathology of segment 8
hepatocellular neuroendocrine carcinoma: Low magnification reveals
tumor cells arranged in a sheet-like pattern, while high
magnification shows tumor cells that are round, oval or short
spindle-shaped, with small, densely stained nuclei and a high
nuclear-to-cytoplasmic ratio. (A) H&E; magnification, ×40;
scale bar, 221 µm. (B) H&E; magnification, ×100; scale bar, 73
µm. Immunohistochemical results: (C) CKpan (weakly +);
magnification, ×100; scale bar, 73 µm; (D) CK7 (−); (E)
synaptophysin (+); (F) chromogranin A (+); (G) CD56 (+); (H) Ki-67
(~70%+ in active area); (I) CD34 (−); and (J) thyroid transcription
factor-1 (−) (magnification, ×40; scale bar, 221 µm). CK,
cytokeratin.

Figure 5.

Case 2: Pathology of segment 8 hepatocellular neuroendocrine carcinoma: Low magnification reveals tumor cells arranged in a sheet-like pattern, while high magnification shows tumor cells that are round, oval or short spindle-shaped, with small, densely stained nuclei and a high nuclear-to-cytoplasmic ratio. (A) H&E; magnification, ×40; scale bar, 221 µm. (B) H&E; magnification, ×100; scale bar, 73 µm. Immunohistochemical results: (C) CKpan (weakly +); magnification, ×100; scale bar, 73 µm; (D) CK7 (−); (E) synaptophysin (+); (F) chromogranin A (+); (G) CD56 (+); (H) Ki-67 (~70%+ in active area); (I) CD34 (−); and (J) thyroid transcription factor-1 (−) (magnification, ×40; scale bar, 221 µm). CK, cytokeratin.

Case 2: Pathology of S5 hepatocellular
carcinoma: High magnification reveals tumor cells that are
polygonal in shape, with round nuclei, prominent nucleoli and
cytoplasm exhibiting a finely granular appearance. (A) H&E
(magnification, ×100; scale bar, 73 µm). Immunohistochemical
results: (B) Arginase-1 (+), with arrows indicating cytoplasmic
positivity in tumor cells; (C) hepatocyte paraffin 1 (+), with
arrows indicating cytoplasmic granular positivity; (D) Ki-67 (~15%+
in active area), with arrows indicating nuclear positivity in
proliferating tumor cells; (E) glutamine synthetase (+), with
arrows indicating cytoplasmic positivity in a map-like distribution
pattern; (F) glypican-3 (focally +), with arrows indicating focal
cytoplasmic and membranous positivity; (G) heat shock protein 70
(focally +), with arrows indicating focal nuclear and cytoplasmic
positivity; and (H) CD34 (showing diffuse capillary distribution),
with arrows highlighting the characteristic sinusoidal endothelial
staining pattern (magnification, ×40; scale bar, 221 µm).

Figure 6.

Case 2: Pathology of S5 hepatocellular carcinoma: High magnification reveals tumor cells that are polygonal in shape, with round nuclei, prominent nucleoli and cytoplasm exhibiting a finely granular appearance. (A) H&E (magnification, ×100; scale bar, 73 µm). Immunohistochemical results: (B) Arginase-1 (+), with arrows indicating cytoplasmic positivity in tumor cells; (C) hepatocyte paraffin 1 (+), with arrows indicating cytoplasmic granular positivity; (D) Ki-67 (~15%+ in active area), with arrows indicating nuclear positivity in proliferating tumor cells; (E) glutamine synthetase (+), with arrows indicating cytoplasmic positivity in a map-like distribution pattern; (F) glypican-3 (focally +), with arrows indicating focal cytoplasmic and membranous positivity; (G) heat shock protein 70 (focally +), with arrows indicating focal nuclear and cytoplasmic positivity; and (H) CD34 (showing diffuse capillary distribution), with arrows highlighting the characteristic sinusoidal endothelial staining pattern (magnification, ×40; scale bar, 221 µm).

After a multidisciplinary discussion, the patient received liver protection, antiviral therapy and nutritional support. Given the advanced stage of liver cancer, chemotherapy with etoposide (1.7 g daily on days 1–3) plus cisplatin (60 mg daily on days 1–2) was initiated in late June 2022, repeated every 21 days. Targeted therapy with sorafenib (0.4 g twice daily) began in late July 2022. In mid-August 2022, TACE was performed in conjunction with systemic targeted therapy using sorafenib (0.4 g twice daily). The first combined immunotherapy with camrelizumab (200 mg per dose, once every 3 weeks) was administered in late October 2022. This was later switched to tislelizumab (200 mg per dose, once every 3 weeks) in February 2023 due to the patient developing a grade 2 immune-related rash attributed to camrelizumab.

To date, the patient has undergone seven sessions of TACE and eight sessions of combined targeted immunotherapy, and the patient's condition is stable (Table I). Following the initiation of combined therapy, the tumor size gradually decreased and stabilized on serial imaging assessments performed between June 2022 and August 2024 (Fig. 7); liver function has remained stable (Fig. 8), and tumor marker levels have gradually decreased and stabilized (Fig. 9). As of August 2024, no significant adverse reactions have been observed. Quality of life has significantly improved and the patient is still undergoing regular follow-up.

Case 2: Serial imaging demonstrating
tumor response to combination therapy. Paired axial images show
changes in the target lesions in (A1-J1) segment S7-8 (left column)
and (A2-J2) segment S5-6 (right column) over time. White arrows in
all panels indicate the primary tumors. (A1 and A2) Baseline
imaging prior to treatment (July 2022); (B1 and B2) Imaging
following the first TACE session (September 2022); (C1 and C2)
Imaging following the second TACE session (October 2022); (D1 and
D2) Imaging following the third TACE session and initiation of
immunotherapy with camrelizumab (February 2023); (E1 and E2)
Follow-up imaging after switching to tislelizumab (May 2023); (F1
and F2) Follow-up imaging (June 2023); (G1 and G2) Follow-up
imaging (August 2023); (H1 and H2) Imaging following a TACE session
(December 2023); (I1 and I2) Imaging following a TACE session
(March 2024); (J1 and J2) Most recent follow-up imaging (June
2024), demonstrating marked tumor reduction and stabilization.

Figure 7.

Case 2: Serial imaging demonstrating tumor response to combination therapy. Paired axial images show changes in the target lesions in (A1-J1) segment S7-8 (left column) and (A2-J2) segment S5-6 (right column) over time. White arrows in all panels indicate the primary tumors. (A1 and A2) Baseline imaging prior to treatment (July 2022); (B1 and B2) Imaging following the first TACE session (September 2022); (C1 and C2) Imaging following the second TACE session (October 2022); (D1 and D2) Imaging following the third TACE session and initiation of immunotherapy with camrelizumab (February 2023); (E1 and E2) Follow-up imaging after switching to tislelizumab (May 2023); (F1 and F2) Follow-up imaging (June 2023); (G1 and G2) Follow-up imaging (August 2023); (H1 and H2) Imaging following a TACE session (December 2023); (I1 and I2) Imaging following a TACE session (March 2024); (J1 and J2) Most recent follow-up imaging (June 2024), demonstrating marked tumor reduction and stabilization.

Case 2: Trend chart of liver function
changes. AST, aspartate aminotransferase; ALT, alanine
aminotransferase.

Figure 8.

Case 2: Trend chart of liver function changes. AST, aspartate aminotransferase; ALT, alanine aminotransferase.

Case 2: Trend graph of tumor markers
(AFP, CEA, CA199).

Figure 9.

Case 2: Trend graph of tumor markers (AFP, CEA, CA199).

Table I.

Treatment course for Case 2.

Table I.

Treatment course for Case 2.

Time-pointEvent
June 2022 (first hospitalization)The pathological diagnosis was small cell neuroendocrine carcinoma of the liver.
Chemotherapy was initiated in June 2022, with a regimen of etoposide (1.7 g daily on days 1–3) plus cisplatin (60 mg daily on days 1–2), repeated every 21 days.
July 2022 (second hospitalization)A biopsy of the S5 liver mass in July 2022 yielded a pathology diagnosis (liver mass) consistent with hepatocellular carcinoma based on staining. immunohistochemical Treatment with sorafenib (0.4 g per dose, twice daily) was initiated in July 2022.
August 2022 (third hospitalization)The first TACE session was conducted in August 2022, alongside sorafenib therapy (0.4 g twice daily).
September 2022 (fourth hospitalization)The second TACE session was conducted in September 2022, alongside sorafenib therapy (0.4 g twice daily).
October 2022 (fifth hospitalization)The third cycle of TACE was administered in October 2022, alongside continued sorafenib (0.4 g twice daily). This was followed by the first dose of camrelizumab (200 mg) in October 2022, marking the commencement of combination immunotherapy.
February 2023 (sixth hospitalization)Following the fourth TACE procedure in February 2023, a combined regimen of sorafenib (0.4 g twice daily) and tislelizumab (200 mg) for immunotherapy was initiated within the same hospitalization period, ~2-3 days after the TACE procedure.
March-June 2023 (seventh to 12th hospitalization)A combined regimen of sorafenib (0.4 g twice daily) and tislelizumab (200 mg) was used for immunotherapy.
August 2023 (13th hospitalization)Treatment consisted of sorafenib (0.4 g twice daily).
Targeted therapy with sorafenib (0.4 g twice daily) was maintained in September 2023.
October 2023 (14th hospitalization)TACE was carried out in October 2023, concurrent with sorafenib therapy (0.4 g twice daily).
December 2023 (15th hospitalization)A TACE session was performed in December 2023, alongside ongoing sorafenib therapy (0.4 g twice daily).
July 2024 (16th hospitalization)A TACE procedure was performed in July 2024.
Ongoing (until August 2024)Regular follow-up.

[i] TACE, transcatheter arterial chemoembolization.

Discussion

HSCNEC is a rare and clinically challenging malignancy. The first case reported by the present study involved a 76-year-old male patient who was admitted due to intermittent right upper abdominal pain for three months. The patient had a 50-year history of hepatitis B and multiple other chronic health issues, leading to a complex clinical presentation. Intermittent right upper abdominal pain was the initial symptom, and examinations revealed a liver mass and a lesion in the left lung. Based on history, clinical manifestations, examination results and pathology findings, the patient was ultimately diagnosed with HSCNEC. Considering the patient's age, medical history and the extent of the disease, the treatment strategy focused on alleviating symptoms and improving quality of life. However, after undergoing TACE treatment, the patient and the patient's family declined further targeted immunotherapy, and the patient passed away three months later.

The second patient had a history of hepatitis B for >10 years, with elevated AFP levels. A biopsy of the liver mass was performed under ultrasound guidance, revealing SCNEC in segment S8 and HCC in segment S5. Combined with specific pathological immunohistochemical findings, the diagnosis was established as HSCNEC accompanied by HCC. The patient received a comprehensive treatment regimen of TACE combined with sorafenib and tislelizumab, a programmed cell death 1 (PD-1) immune checkpoint inhibitor. Since admission, the patient's tumor size had gradually decreased and stabilized, and tumor marker levels showed a downward trend, with no significant adverse reactions observed during treatment. The patient is currently under regular follow-up.

Both patients underwent ultrasound-guided biopsy of the liver masses and the pathological examination confirmed the presence of SCNEC in the liver. The immunohistochemical profiles (e.g., Synaptophysin+, Chromogranin A+, CD56+) supported neuroendocrine differentiation.

In Case 1, the immunohistochemical profile included chromogranin A (+), synaptophysin (+) and CD56 (+), all of which are established and highly specific markers for neuroendocrine differentiation. The positivity for these markers, along with the characteristic small cell morphology and high Ki-67 index (~70%), strongly supports the diagnosis of SCNEC. While analyses for pro-gastrin-releasing peptide, neuron-specific enolase and insulinoma-associated protein 1 were not routinely performed in this case, their absence does not undermine the diagnostic certainty, as the combination of chromogranin A, synaptophysin and CD56 is widely regarded as sufficient for diagnosing SCNEC in clinical and pathological practice (2). Furthermore, TTF-1 positivity (as reported) is also frequently associated with a small cell morphology and further supports the diagnosis (6).

In Case 2, the patient had a concurrent HCC component in segment S5, which was confirmed by biopsy and immunohistochemistry (arginase-1+, HepPar-1+). The small cell neuroendocrine component (in segment S8) was AFP-negative on immunohistochemistry, indicating that the elevated serum AFP was attributable to the HCC component rather than the NEC. This dual pathology-HSCNEC coexisting with HCC-is rare but documented in the literature (7) and underscores the importance of comprehensive sampling and immunohistochemical profiling. The diagnosis of HSCNEC in this case was based on the immunohistochemistry results of the S8 lesion, which showed strong positivity for synaptophysin, chromogranin A and CD56, and a high Ki-67 index (~70%), consistent with high-grade NEC. The imaging changes in the pancreatic region were considered nonspecific and possibly related to metastasis rather than a primary pancreatic tumor. The patient also had a concurrent HCC in segment S5, further supporting the liver as the primary site of pathology.

In both cases, the treatment strategy was tailored to the dominant hepatic disease. The management of hepatitis B virus (HBV) was a cornerstone of the present therapeutic strategy, particularly for the second patient who received combined therapy. As documented in the case report, this patient had a high viral load at admission (5.35×105 IU/ml). Potent antiviral therapy was initiated and maintained throughout the patient's treatment course. This prophylactic measure was crucial to prevent HBV reactivation-a known risk associated with immune checkpoint inhibitors (8)- and to safeguard liver function during repeated TACE sessions. The successful prevention of reactivation and the maintenance of stable liver function were fundamental enablers, allowing the patient to safely complete multiple cycles of TACE combined with sorafenib and camrelizumab.

While the direct role of HBV in the oncogenesis of HSCNEC itself is not well-defined, its presence significantly shaped the management plan in the present study. The contrasting outcomes of the two cases powerfully highlight the critical importance of the comprehensive treatment regimen. The first patient, who received only TACE and declined further targeted immunotherapy, succumbed to the disease rapidly. In stark contrast, the second patient, under the protective cover of antiviral therapy, successfully received the full combination of TACE, targeted therapy and immunotherapy. It is this specific and safely administered combination that was instrumental in achieving tumor control, reduction in tumor markers and the remarkable improvement in the patient's quality of life and overall survival.

HSCNEC is a rare intrahepatic neuroendocrine tumor. Surgery is the primary potential treatment option, aimed at directly removing tumor tissue and reducing the tumor burden. However, patients must meet specific surgical criteria to be eligible for this intervention. For localized NEC classified as stage I to III according to the clinical staging of liver cancer in China, the five-year overall survival rate after surgery is only 25 to 40% (9). However, not all patients are suitable for surgical resection, particularly those with unfavorable tumor locations, multiple tumors or distant metastases. Research has shown that the intrinsic histopathological features of the tumor (its composition, including differentiation grade, histological subtype and the presence of mixed components), lymph node involvement, distant metastasis and clinical staging are significant factors influencing patient prognosis (7). The pathogenesis of HSCNEC differs from that of traditional liver cancer and is often accompanied by multiple metastases, leading to varied responses to existing treatment modalities. Consequently, TACE alone often has limited efficacy, necessitating treatment strategies that are tailored to the patient's individual condition, tumor biology and overall health status. Combining targeted therapies with immunotherapy can provide a more precise treatment approach, enhancing the effectiveness of tumor management. Clinical applications have demonstrated certain efficacy and advantages in this context.

TACE is an interventional treatment technique that is widely used in the management of liver tumors (10,11). TACE involves the direct injection of chemotherapy drugs into the hepatic artery supplying the tumor, utilizing local chemotherapy and embolization to obstruct the tumor's blood supply, thereby controlling tumor growth. The advantages of TACE include its minimally invasive nature, good operability and relatively low risk, which can contribute to extending patients' survival. However, TACE is not without its limitations. Post-treatment, there often remains a histological level of tumor tissue that is not completely necrotic, increasing the risk of tumor recurrence. Additionally, repeated TACE treatments can significantly impair liver function, particularly in cases of large HCC or massive liver tumors. The tumor microenvironment may also change following TACE, potentially promoting immune evasion, where tumor cells can utilize various mechanisms to reduce the immune system's ability to recognize and attack them. TACE often struggles to ensure complete necrosis of tumor tissue (10), and for certain patients, tumor recurrence can occur after treatment (12). To enhance the efficacy of TACE and reduce the risk of distant metastasis, early combination with targeted molecular therapies should be considered (12,13). Currently, the combination of TACE with targeted molecular therapies has shown superior efficacy compared to the use of targeted therapies alone (14,15). In recent years, there have been increasing explorations of combining targeted therapies with immunotherapy.

Targeted therapy primarily focuses on specific molecular markers unique to tumor cells, inhibiting their proliferation and metastasis by blocking particular signaling pathways or molecular targets. This approach effectively attacks tumor cells while minimizing damage to normal cells (16). By contrast, immunotherapy works by activating or enhancing the patient's own immune system to recognize and eliminate tumor cells (17).

The application of TACE in combination with targeted and immunotherapy can attack tumor cells on multiple levels: TACE directly destroys tumor cells, while targeted therapies address the specific molecular alterations in these cells, obstructing pathways that promote tumor growth and spread. Furthermore, in certain cases, the combination of targeted therapy and immunotherapy can produce synergistic effects, enhancing the body's ability to eliminate tumors. Given their distinct mechanisms, the combination of TACE with targeted and immunotherapy can extend the survival of patients with advanced liver cancer, demonstrating superior efficacy compared to TACE alone (5,18,19). This synergistic approach can lead to improved overall treatment outcomes. When TACE is combined with targeted immunotherapy, the advantages of both approaches are integrated, allowing for complementary benefits. This combination enables local control of the tumor, as well as a systemic immune response. The use of TACE in conjunction with PD-1/PD-L1 inhibitors and targeted therapies has shown significant advantages in progression-free survival, overall survival and objective response rates in patients with advanced liver cancer (5). In clinical practice, the combination of TACE with targeted immunotherapy offers patients a more personalized treatment approach. By analyzing the molecular and biological characteristics of the tumor, suitable targeted therapies can be selected, alongside immune checkpoint inhibitors and other immunotherapeutic agents, to enhance the comprehensiveness and depth of treatment. This integrated treatment model helps to overcome the limitations of single-modality therapies and improves therapeutic efficacy (20).

The advantages of combining TACE with targeted immunotherapy are also evident in treatment outcomes. This comprehensive approach can significantly enhance treatment effectiveness, prolonging both progression-free survival and overall survival for patients. Additionally, combination therapy can improve patients' quality of life, reduce adverse reactions during treatment, lower recurrence rates and ultimately improve patient prognosis (21). However, the combination of TACE with targeted immunotherapy also faces challenges. This approach may lead to more severe adverse effects (22–24), which can vary from person to person. In cases where adverse effects occur, treatment can be paused for observation and symptomatic supportive care can be provided. Furthermore, selecting the appropriate targeted immunotherapy agents, determining the optimal treatment combinations, monitoring treatment responses and managing potential adverse reactions all require ongoing optimization and standardization through clinical trials and practice. Finally, due to the heterogeneity of hepatocellular NEC, its response to the combination of TACE and targeted immunotherapy may differ from that of traditional HCC, necessitating further research to explore these differences.

In conclusion, HSCNEC is a rare intrahepatic neuroendocrine tumor and its etiology remains unclear. Preoperative imaging diagnosis primarily relies on enhanced CT and MRI, while definitive diagnosis requires biopsy of the tumor for pathological assessment (11). Radical surgical resection is the preferred treatment option (9), and for patients who are not candidates for surgery, TACE combined with targeted immunotherapy can be considered (5). This multimodal approach can significantly enhance treatment efficacy, prolong overall survival, improve quality of life, reduce treatment-related adverse events, lower recurrence rates and ultimately improve prognosis (5,21). Additionally, regular follow-up is essential after comprehensive treatment (11).

Acknowledgements

Not applicable.

Funding

Funding: No funding was received.

Availability of data and materials

The data generated in the present study may be requested from the corresponding author.

Authors' contributions

Conceptualization was conducted by RF and XX. Formal analysis and data interpretation were performed by RF, XX, HW, YZ, XZ and HT. Data acquisition and clinical management were carried out by HT, HW and YZ. Literature analysis was conducted by XX, HW and YZ. Writing of the original draft was conducted by XX, RF and HW. Reviewing and editing of the manuscript was performed by XX, RF, HW, YZ, XZ and HT. Supervision was provided by RF, XZ, YZ and HT. Project administration was conducted by HW, YZ and HT. All authors read and approved the final version of the manuscript. RF, XX and HW confirm the authenticity of all the raw data.

Ethics approval and consent to participate

All the procedures were in accordance with the ethical standards of the responsible committee on human experimentation (institutional and national) and with the Helsinki Declaration of 1975, as revised in 2008, and the study received approval from the Ethics Committee of Hebei General Hospital (approval no. 2024-LW-048). For this retrospective case analysis, all patient data were anonymized prior to review and inclusion in the study.

Patient consent for publication

Written informed consent for the publication of anonymized clinical data and accompanying images was obtained from Patient 2 and from the legal guardian of the deceased Patient 1.

Competing interests

The authors declare that they have no competing interests.

References

1 

Xu X, Lian Y, Li T and Liang H: Hepatomegaly as the main manifestation in one case of primary hepatic neuroendocrine carcinoma. J Chin Pract Diagn Ther. 37:851–853. 2023.(In Chinese).

2 

Mao XX and Chen J: Interpretation on the update of 2022 WHO classification of neuroendocrine tumors. Zhonghua Bing Li Xue Za Zhi. 53:655–659. 2024.(In Chinese). PubMed/NCBI

3 

Dasari A, Shen C, Devabhaktuni A, Nighot R and Sorbye H: Survival according to primary tumor location, stage, and treatment patterns in locoregional gastroenteropancreatic high-grade neuroendocrine carcinomas. Oncologist. 27:299–306. 2022. View Article : Google Scholar : PubMed/NCBI

4 

Yueze L, Chen D, Zeyu Z, Yi D and Taiping Z: Interpretation of the European neuroendocrine tumor society (ENETS) 2023 guidance paper for digestive neuroendocrine carcinoma. Chin J Dig Surg. 22:953–957. 2023.(In Chinese).

5 

Zhu HD, Li HL, Huang MS, Yang WZ, Yin GW, Zhong BY, Sun JH, Jin ZC, Chen JJ, Ge NJ, et al: Transarterial chemoembolization with PD-(L)1 inhibitors plus molecular targeted therapies for hepatocellular carcinoma (CHANCE001). Signal Transduct Target Ther. 8:582023. View Article : Google Scholar : PubMed/NCBI

6 

Rindi G, Klimstra DS, Abedi-Ardekani B, Asa SL, Bosman FT, Brambilla E, Busam KJ, de Krijger RR, Dietel M, El-Naggar AK, et al: A common classification framework for neuroendocrine neoplasms: An international agency for research on cancer (IARC) and World Health Organization (WHO) expert consensus proposal. Mod Pathol. 31:1770–1786. 2018. View Article : Google Scholar : PubMed/NCBI

7 

Huang YC, Yang NN, Chen HC, Huang YL, Yan WT, Yang RX, Li N, Zhang S, Yang PP and Feng ZZ: Clinicopathological features and prognostic factors associated with gastroenteropancreatic mixed neuroendocrine non-neuroendocrine neoplasms in Chinese patients. World J Gastroenterol. 27:624–640. 2021. View Article : Google Scholar : PubMed/NCBI

8 

Terrault NA, Lok ASF, McMahon BJ, Chang KM, Hwang JP, Jonas MM, Brown RS Jr, Bzowej NH and Wong JB: Update on prevention, diagnosis, and treatment of chronic hepatitis B: AASLD 2018 hepatitis B guidance. Hepatology. 67:1560–1599. 2018. View Article : Google Scholar : PubMed/NCBI

9 

Sorbye H, Grande E, Pavel M, Tesselaar M, Fazio N, Reed NS, Knigge U, Christ E, Ambrosini V, Couvelard A and Tiensuu Janson E: European neuroendocrine tumor society (ENETS) 2023 guidance paper for digestive neuroendocrine carcinoma. J Neuroendocrinol. 35:e132492023. View Article : Google Scholar : PubMed/NCBI

10 

Lencioni R, de Baere T, Soulen MC, Rilling WS and Geschwind JFH: Lipiodol transarterial chemoembolization for hepatocellular carcinoma: A systematic review of efficacy and safety data. Hepatology. 64:106–116. 2016. View Article : Google Scholar : PubMed/NCBI

11 

National Health Commission of the People's Republic of China and Department of Medical Administration, . Guideline for diagnosis and treatment of primary liver cancer (2024 version). Chin J Hepatol. 32:581–630. 2024.

12 

Wang Q, Xia D, Bai W, Wang E, Sun J, Huang M, Mu W, Yin G, Li H, Zhao H, et al: Development of a prognostic score for recommended TACE candidates with hepatocellular carcinoma: A multicentre observational study. J Hepatol. 70:893–903. 2019. View Article : Google Scholar : PubMed/NCBI

13 

Wang Z, Wang E, Bai W, Xia D, Ding R, Li J, Wang Q, Liu L, Sun J, Mu W, et al: Exploratory analysis to identify candidates benefitting from combination therapy of transarterial chemoembolization and sorafenib for first-line treatment of unresectable hepatocellular carcinoma: A multicenter retrospective observational study. Liver Cancer. 9:308–325. 2020. View Article : Google Scholar : PubMed/NCBI

14 

Peng Z, Fan W, Zhu B, Wang G, Sun J, Xiao C, Huang F, Tang R, Cheng Y, Huang Z, et al: Lenvatinib combined with transarterial chemoembolization as first-line treatment for advanced hepatocellular carcinoma: A phase III, randomized clinical trial (LAUNCH). J Clin Oncol. 41:117–127. 2023. View Article : Google Scholar : PubMed/NCBI

15 

Xia D, Bai W, Wang E, Li J, Chen X, Wang Z, Huang M, Huang M, Sun J, Yang W, et al: Lenvatinib with or without concurrent drug-eluting beads transarterial chemoembolization in patients with unresectable, advanced hepatocellular carcinoma: A real-world, multicenter, retrospective study. Liver Cancer. 11:368–382. 2022. View Article : Google Scholar : PubMed/NCBI

16 

Hanahan D and Weinberg RA: Hallmarks of cancer: The next generation. Cell. 144:646–674. 2011. View Article : Google Scholar : PubMed/NCBI

17 

Topalian SL, Drake CG and Pardoll DM: Immune checkpoint blockade: A common denominator approach to cancer therapy. Cancer Cell. 27:450–461. 2015. View Article : Google Scholar : PubMed/NCBI

18 

Jin ZC, Zhong BY, Chen JJ, Zhu HD, Sun JH, Yin GW, Ge NJ, Luo B, Ding WB, Li WH, et al: Real-world efficacy and safety of TACE plus camrelizumab and apatinib in patients with HCC (CHANCE2211): A propensity score matching study. Eur Radiol. 33:8669–8681. 2023. View Article : Google Scholar : PubMed/NCBI

19 

Li S, Wu J, Wu J, Fu Y, Zeng Z, Li Y, Li H, Liao W and Yan M: Prediction of early treatment response to the combination therapy of TACE plus lenvatinib and anti-PD-1 antibody immunotherapy for unresectable hepatocellular carcinoma: Multicenter retrospective study. Front Immunol. 14:11097712023. View Article : Google Scholar : PubMed/NCBI

20 

Finn RS, Qin S, Ikeda M, Galle PR, Ducreux M, Kim TY, Kudo M, Breder V, Merle P, Kaseb AO, et al: Atezolizumab plus bevacizumab in unresectable hepatocellular carcinoma. N Engl J Med. 382:1894–1905. 2020. View Article : Google Scholar : PubMed/NCBI

21 

Zhang F, Dong Y, Chen F, Niu M, Liu Z and Tan Y: Clinical Observation of Lenvatinib, PD-1 Inhibitor Combined with Transcatheter Arterial Chemoembolization in the Treatment of Unresectable Hepatocellular Carcinoma. China Pharmaceuticals. 33:102–105. 2024.(In Chinese).

22 

Chinese Medical Doctor Association Respiratory Physicians Branch and Chinese Medical Doctor Association Multidisciplinary Oncology Diagnosis and Treatment Committee, . Suggestions on prevention and management of immune checkpoint inhibitor related toxicity. Natl Med J China. 1811–1832. 2022.(In Chinese).

23 

Travis WD, Dacic S, Wistuba I, Sholl L, Adusumilli P, Bubendorf L, Bunn P, Cascone T, Chaft J, Chen G, et al: IASLC multidisciplinary recommendations for pathologic assessment of lung cancer resection specimens after neoadjuvant therapy. J Thorac Oncol. 15:709–740. 2020. View Article : Google Scholar : PubMed/NCBI

24 

Li N, Feng S, Xue J, Wei XB, Shi J, Guo WX, Lau WY, Wu MC, Cheng SQ and Meng Y: Hepatocellular carcinoma with main portal vein tumor thrombus: A comparative study comparing hepatectomy with or without neoadjuvant radiotherapy. HPB (Oxford). 18:549–556. 2016. View Article : Google Scholar : PubMed/NCBI

Related Articles

  • Abstract
  • View
  • Download
  • Twitter
Copy and paste a formatted citation
Spandidos Publications style
Feng R, Wang H, Zhao Y, Zhang X, Tuo H and Xu X: Comprehensive treatment for two patients with small cell neuroendocrine carcinoma of the liver: A case report and literature review. Oncol Lett 31: 189, 2026.
APA
Feng, R., Wang, H., Zhao, Y., Zhang, X., Tuo, H., & Xu, X. (2026). Comprehensive treatment for two patients with small cell neuroendocrine carcinoma of the liver: A case report and literature review. Oncology Letters, 31, 189. https://doi.org/10.3892/ol.2026.15544
MLA
Feng, R., Wang, H., Zhao, Y., Zhang, X., Tuo, H., Xu, X."Comprehensive treatment for two patients with small cell neuroendocrine carcinoma of the liver: A case report and literature review". Oncology Letters 31.5 (2026): 189.
Chicago
Feng, R., Wang, H., Zhao, Y., Zhang, X., Tuo, H., Xu, X."Comprehensive treatment for two patients with small cell neuroendocrine carcinoma of the liver: A case report and literature review". Oncology Letters 31, no. 5 (2026): 189. https://doi.org/10.3892/ol.2026.15544
Copy and paste a formatted citation
x
Spandidos Publications style
Feng R, Wang H, Zhao Y, Zhang X, Tuo H and Xu X: Comprehensive treatment for two patients with small cell neuroendocrine carcinoma of the liver: A case report and literature review. Oncol Lett 31: 189, 2026.
APA
Feng, R., Wang, H., Zhao, Y., Zhang, X., Tuo, H., & Xu, X. (2026). Comprehensive treatment for two patients with small cell neuroendocrine carcinoma of the liver: A case report and literature review. Oncology Letters, 31, 189. https://doi.org/10.3892/ol.2026.15544
MLA
Feng, R., Wang, H., Zhao, Y., Zhang, X., Tuo, H., Xu, X."Comprehensive treatment for two patients with small cell neuroendocrine carcinoma of the liver: A case report and literature review". Oncology Letters 31.5 (2026): 189.
Chicago
Feng, R., Wang, H., Zhao, Y., Zhang, X., Tuo, H., Xu, X."Comprehensive treatment for two patients with small cell neuroendocrine carcinoma of the liver: A case report and literature review". Oncology Letters 31, no. 5 (2026): 189. https://doi.org/10.3892/ol.2026.15544
Follow us
  • Twitter
  • LinkedIn
  • Facebook
About
  • Spandidos Publications
  • Careers
  • Cookie Policy
  • Privacy Policy
How can we help?
  • Help
  • Live Chat
  • Contact
  • Email to our Support Team