Spandidos Publications Logo
  • About
    • About Spandidos
    • Aims and Scopes
    • Abstracting and Indexing
    • Editorial Policies
    • Reprints and Permissions
    • Job Opportunities
    • Terms and Conditions
    • Contact
  • Journals
    • All Journals
    • Oncology Letters
      • Oncology Letters
      • Information for Authors
      • Editorial Policies
      • Editorial Board
      • Aims and Scope
      • Abstracting and Indexing
      • Bibliographic Information
      • Archive
    • International Journal of Oncology
      • International Journal of Oncology
      • Information for Authors
      • Editorial Policies
      • Editorial Board
      • Aims and Scope
      • Abstracting and Indexing
      • Bibliographic Information
      • Archive
    • Molecular and Clinical Oncology
      • Molecular and Clinical Oncology
      • Information for Authors
      • Editorial Policies
      • Editorial Board
      • Aims and Scope
      • Abstracting and Indexing
      • Bibliographic Information
      • Archive
    • Experimental and Therapeutic Medicine
      • Experimental and Therapeutic Medicine
      • Information for Authors
      • Editorial Policies
      • Editorial Board
      • Aims and Scope
      • Abstracting and Indexing
      • Bibliographic Information
      • Archive
    • International Journal of Molecular Medicine
      • International Journal of Molecular Medicine
      • Information for Authors
      • Editorial Policies
      • Editorial Board
      • Aims and Scope
      • Abstracting and Indexing
      • Bibliographic Information
      • Archive
    • Biomedical Reports
      • Biomedical Reports
      • Information for Authors
      • Editorial Policies
      • Editorial Board
      • Aims and Scope
      • Abstracting and Indexing
      • Bibliographic Information
      • Archive
    • Oncology Reports
      • Oncology Reports
      • Information for Authors
      • Editorial Policies
      • Editorial Board
      • Aims and Scope
      • Abstracting and Indexing
      • Bibliographic Information
      • Archive
    • Molecular Medicine Reports
      • Molecular Medicine Reports
      • Information for Authors
      • Editorial Policies
      • Editorial Board
      • Aims and Scope
      • Abstracting and Indexing
      • Bibliographic Information
      • Archive
    • World Academy of Sciences Journal
      • World Academy of Sciences Journal
      • Information for Authors
      • Editorial Policies
      • Editorial Board
      • Aims and Scope
      • Abstracting and Indexing
      • Bibliographic Information
      • Archive
    • International Journal of Functional Nutrition
      • International Journal of Functional Nutrition
      • Information for Authors
      • Editorial Policies
      • Editorial Board
      • Aims and Scope
      • Abstracting and Indexing
      • Bibliographic Information
      • Archive
    • International Journal of Epigenetics
      • International Journal of Epigenetics
      • Information for Authors
      • Editorial Policies
      • Editorial Board
      • Aims and Scope
      • Abstracting and Indexing
      • Bibliographic Information
      • Archive
    • Medicine International
      • Medicine International
      • Information for Authors
      • Editorial Policies
      • Editorial Board
      • Aims and Scope
      • Abstracting and Indexing
      • Bibliographic Information
      • Archive
  • Articles
  • Information
    • Information for Authors
    • Information for Reviewers
    • Information for Librarians
    • Information for Advertisers
    • Conferences
  • Language Editing
Spandidos Publications Logo
  • About
    • About Spandidos
    • Aims and Scopes
    • Abstracting and Indexing
    • Editorial Policies
    • Reprints and Permissions
    • Job Opportunities
    • Terms and Conditions
    • Contact
  • Journals
    • All Journals
    • Biomedical Reports
      • Information for Authors
      • Editorial Policies
      • Editorial Board
      • Aims and Scope
      • Abstracting and Indexing
      • Bibliographic Information
      • Archive
    • Experimental and Therapeutic Medicine
      • Information for Authors
      • Editorial Policies
      • Editorial Board
      • Aims and Scope
      • Abstracting and Indexing
      • Bibliographic Information
      • Archive
    • International Journal of Epigenetics
      • Information for Authors
      • Editorial Policies
      • Editorial Board
      • Aims and Scope
      • Abstracting and Indexing
      • Bibliographic Information
      • Archive
    • International Journal of Functional Nutrition
      • Information for Authors
      • Editorial Policies
      • Editorial Board
      • Aims and Scope
      • Abstracting and Indexing
      • Bibliographic Information
      • Archive
    • International Journal of Molecular Medicine
      • Information for Authors
      • Editorial Policies
      • Editorial Board
      • Aims and Scope
      • Abstracting and Indexing
      • Bibliographic Information
      • Archive
    • International Journal of Oncology
      • Information for Authors
      • Editorial Policies
      • Editorial Board
      • Aims and Scope
      • Abstracting and Indexing
      • Bibliographic Information
      • Archive
    • Medicine International
      • Information for Authors
      • Editorial Policies
      • Editorial Board
      • Aims and Scope
      • Abstracting and Indexing
      • Bibliographic Information
      • Archive
    • Molecular and Clinical Oncology
      • Information for Authors
      • Editorial Policies
      • Editorial Board
      • Aims and Scope
      • Abstracting and Indexing
      • Bibliographic Information
      • Archive
    • Molecular Medicine Reports
      • Information for Authors
      • Editorial Policies
      • Editorial Board
      • Aims and Scope
      • Abstracting and Indexing
      • Bibliographic Information
      • Archive
    • Oncology Letters
      • Information for Authors
      • Editorial Policies
      • Editorial Board
      • Aims and Scope
      • Abstracting and Indexing
      • Bibliographic Information
      • Archive
    • Oncology Reports
      • Information for Authors
      • Editorial Policies
      • Editorial Board
      • Aims and Scope
      • Abstracting and Indexing
      • Bibliographic Information
      • Archive
    • World Academy of Sciences Journal
      • Information for Authors
      • Editorial Policies
      • Editorial Board
      • Aims and Scope
      • Abstracting and Indexing
      • Bibliographic Information
      • Archive
  • Articles
  • Information
    • For Authors
    • For Reviewers
    • For Librarians
    • For Advertisers
    • Conferences
  • Language Editing
Login Register Submit
  • This site uses cookies
  • You can change your cookie settings at any time by following the instructions in our Cookie Policy. To find out more, you may read our Privacy Policy.

    I agree
Search articles by DOI, keyword, author or affiliation
Search
Advanced Search
presentation
Oncology Letters
Join Editorial Board Propose a Special Issue
Print ISSN: 1792-1074 Online ISSN: 1792-1082
Journal Cover
May-2026 Volume 31 Issue 5

Full Size Image

Sign up for eToc alerts
Recommend to Library

Journals

International Journal of Molecular Medicine

International Journal of Molecular Medicine

International Journal of Molecular Medicine is an international journal devoted to molecular mechanisms of human disease.

International Journal of Oncology

International Journal of Oncology

International Journal of Oncology is an international journal devoted to oncology research and cancer treatment.

Molecular Medicine Reports

Molecular Medicine Reports

Covers molecular medicine topics such as pharmacology, pathology, genetics, neuroscience, infectious diseases, molecular cardiology, and molecular surgery.

Oncology Reports

Oncology Reports

Oncology Reports is an international journal devoted to fundamental and applied research in Oncology.

Experimental and Therapeutic Medicine

Experimental and Therapeutic Medicine

Experimental and Therapeutic Medicine is an international journal devoted to laboratory and clinical medicine.

Oncology Letters

Oncology Letters

Oncology Letters is an international journal devoted to Experimental and Clinical Oncology.

Biomedical Reports

Biomedical Reports

Explores a wide range of biological and medical fields, including pharmacology, genetics, microbiology, neuroscience, and molecular cardiology.

Molecular and Clinical Oncology

Molecular and Clinical Oncology

International journal addressing all aspects of oncology research, from tumorigenesis and oncogenes to chemotherapy and metastasis.

World Academy of Sciences Journal

World Academy of Sciences Journal

Multidisciplinary open-access journal spanning biochemistry, genetics, neuroscience, environmental health, and synthetic biology.

International Journal of Functional Nutrition

International Journal of Functional Nutrition

Open-access journal combining biochemistry, pharmacology, immunology, and genetics to advance health through functional nutrition.

International Journal of Epigenetics

International Journal of Epigenetics

Publishes open-access research on using epigenetics to advance understanding and treatment of human disease.

Medicine International

Medicine International

An International Open Access Journal Devoted to General Medicine.

Journal Cover
May-2026 Volume 31 Issue 5

Full Size Image

Sign up for eToc alerts
Recommend to Library

  • Article
  • Citations
    • Cite This Article
    • Download Citation
    • Create Citation Alert
    • Remove Citation Alert
    • Cited By
  • Similar Articles
    • Related Articles (in Spandidos Publications)
    • Similar Articles (Google Scholar)
    • Similar Articles (PubMed)
  • Download PDF
  • Download XML
  • View XML
Case Report Open Access

A rare case of uterine carcinosarcoma in a 21‑year‑old woman with hereditary breast and ovarian cancer syndrome: A case report

  • Authors:
    • Yasushi Iida
    • Ayane Kosuge
    • Yoko Saito
    • Taichi Irie
    • Jun Matsushima
    • Makoto Iizuka
    • Satoshi Takakura
  • View Affiliations / Copyright

    Affiliations: Department of Obstetrics and Gynecology, Dokkyo Medical University Saitama Medical Center, Koshigaya, Saitama 343‑8555, Japan, Department of Pathology, Dokkyo Medical University, Saitama Medical Center, Koshigaya, Saitama 343‑8555, Japan
    Copyright: © Iida et al. This is an open access article distributed under the terms of Creative Commons Attribution License.
  • Article Number: 194
    |
    Published online on: March 26, 2026
       https://doi.org/10.3892/ol.2026.15549
  • Expand metrics +
Metrics: Total Views: 0 (Spandidos Publications: | PMC Statistics: )
Metrics: Total PDF Downloads: 0 (Spandidos Publications: | PMC Statistics: )
Cited By (CrossRef): 0 citations Loading Articles...

This article is mentioned in:


Abstract

Uterine carcinosarcoma (UCS) is a rare and aggressive malignancy that typically affects postmenopausal women. Its occurrence in young adults, particularly due to hereditary breast and ovarian cancer syndrome (HBOC), is exceptionally uncommon. The present report describes a case of a 21‑year‑old woman with persistent uterine bleeding who was found to have a uterine mass with para‑aortic and pelvic lymphadenopathy and multiple pulmonary metastases. To control bleeding and obtain a definitive diagnosis, the patient underwent a total hysterectomy with bilateral salpingo‑oophorectomy. Histopathological examination revealed International Federation of Gynecology and Obstetrics stage IVB UCS. This manifested as poorly differentiated carcinoma and heterologous sarcomatous components with chondrosarcomatous and rhabdomyosarcomatous differentiation. Comprehensive genomic profiling identified a BRCA1 frameshift mutation, a TP53 splice‑site mutation, a PIK3CA mutation and a positive homologous recombination deficiency (HRD) signature. After genetic counseling, germline genetic testing for BRCA1 and TP53 was performed. This confirmed a pathogenic germline BRCA1 mutation. The patient was treated with four cycles of paclitaxel and carboplatin, followed by an additional four cycles of combination chemotherapy with durvalumab. The patient achieved a complete radiologic response. Maintenance therapy with durvalumab and olaparib was initiated, and the patient has remained progression‑free for 10 months. To the best of our knowledge, this represents one of the youngest reported cases of UCS associated with HBOC. The case highlights the value of genomic profiling and germline testing for personalized treatment strategies. The successful use of platinum‑based chemotherapy, immune checkpoint blockade and poly (ADP‑ribose) polymerase inhibition to treat this HRD‑positive, mismatch repair‑proficient tumor demonstrates the potential of biomarker‑driven therapy for UCS.

Introduction

Hereditary breast and ovarian cancer syndrome (HBOC) is caused by pathogenic germline variants in BRCA1 or BRCA2 and significantly elevates the risk of breast and ovarian cancers. Emerging evidence suggests that there is also a modestly increased risk of uterine cancers, especially uterine papillary serous carcinoma (UPSC) (1–3). A 2021 meta-analysis reported a 2.2-fold greater risk of uterine cancer, particularly UPSC, in BRCA1/2 mutation carriers [standardized incidence ratio (SIR) 17.97 for UPSC] (4). However, most endometrial carcinomas in carriers are histologically heterogeneous, so the precise relationship between the mutation and uterine carcinosarcoma (UCS) is hard to quantify (3). In addition, a recent genomic study has suggested that UCS shares molecular characteristics with high-grade endometrial carcinomas, highlighting the importance of molecular profiling in understanding tumor biology and guiding therapeutic strategies (5).

UCS is a rare, aggressive neoplasm comprised epithelial and mesenchymal components. It accounts for fewer than 5% of uterine cancers (6). It is typically seen in postmenopausal women, and its incidence peaks in patients over 60. It is exceptionally uncommon in young adults (6). Furthermore, the molecular features and clinical behavior of UCS arising in patients with hereditary cancer syndromes remain poorly characterized.

This report presents a 21-year-old female patient with a BRCA1 mutation who developed UCS. To the best of our knowledge, this represents one of the youngest reported cases of uterine carcinosarcoma associated with hereditary breast and ovarian cancer syndrome. This case suggests a potential need to expand the HBOC tumor spectrum to include early UCS, as well as possible reconsideration of surveillance and risk-reduction strategies in young BRCA mutation carriers.

Case report

A 21-year-old woman presented with continuous uterine bleeding. When ultrasound revealed a tumor in the uterine cavity, she was referred to our institution for further evaluation. Relevant family history included a paternal grandmother who had suffered breast and peritoneal cancer, and prostate cancer in a maternal grandfather and a maternal uncle. The patient's laboratory results identified severely low hemoglobin levels (5.5 g/dl). Her hormone levels, including estradiol, luteinizing hormone, follicle-stimulating hormone, and prolactin, were within normal limits. Her levels of lactate dehydrogenase (330 U/l) and cancer antigen (CA) 19-9 (81.6 U/ml) were mildly elevated. Other tumor markers, including CA125 and carcinoembryonic antigen, were within normal limits.

Pelvic magnetic resonance imaging revealed an irregular mass with mild contrast enhancement and restricted diffusion. This protruded from the myometrium into the uterine cavity (Fig. 1A-E). As both cervical and endometrial cytology were negative, a hysteroscopic biopsy of the tumor was performed. The tumor was white, irregular, and showed neovascularization (Fig. 2A). Endometrial biopsy revealed densely proliferating epithelioid cells with nuclear atypia and prominent mitoses, consistent with poorly differentiated carcinoma. However, atypical polygonal cells were also present. Immunohistochemistry showed reduced epithelial marker expression and weak positivity for smooth muscle markers, raising the possibility of carcinosarcoma (Fig. 2B-E). Computed tomography (CT) revealed para-aortic and pelvic lymph node metastasis and multiple pulmonary metastases (Fig. 3A-C). The patient underwent total hysterectomy with bilateral salpingo-oophorectomy to control genital bleeding and obtain a definitive diagnosis.

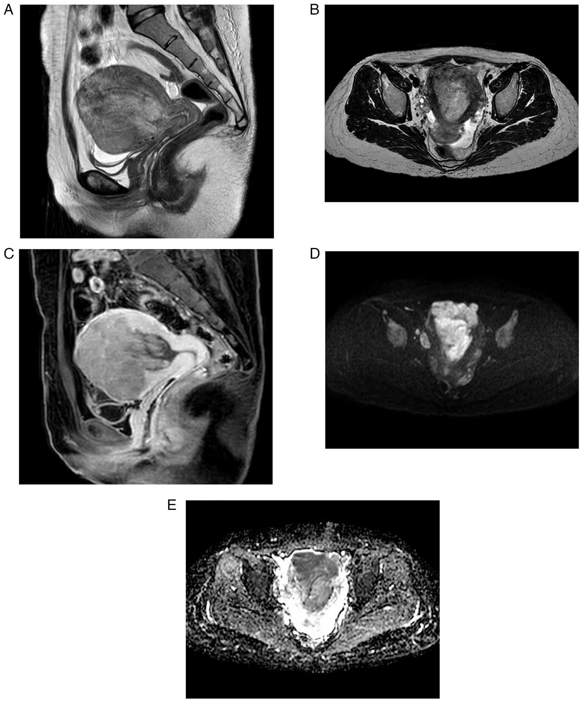
MRI findings. (A) Sagittal T2-weighted
MRI showing an irregular uterine mass protruding from the
myometrium into the endometrial cavity. (B) Axial T2-weighted MRI
demonstrating the same uterine mass with heterogeneous SI. (C)
Contrast-enhanced MRI showing mild enhancement of the lesion. (D)
Diffusion-weighted imaging demonstrating high SI in the lesion. (E)
Apparent diffusion coefficient map showing corresponding low SI,
indicating diffusion restriction. SI, signal intensity.

Figure 1.

MRI findings. (A) Sagittal T2-weighted MRI showing an irregular uterine mass protruding from the myometrium into the endometrial cavity. (B) Axial T2-weighted MRI demonstrating the same uterine mass with heterogeneous SI. (C) Contrast-enhanced MRI showing mild enhancement of the lesion. (D) Diffusion-weighted imaging demonstrating high SI in the lesion. (E) Apparent diffusion coefficient map showing corresponding low SI, indicating diffusion restriction. SI, signal intensity.

Hysteroscopic and histopathological
findings of the uterine tumor. (A) Hysteroscopic examination
revealed a white, irregular tumor with abundant neovascularization
in the uterine cavity. (B) H&E staining showing dense
proliferation of epithelial-like cells with nuclear atypia
(magnification, ×100). (C) Higher magnification view of the boxed
area in (B) showing poorly differentiated epithelial-like tumor
cells with numerous mitotic figures, consistent with poorly
differentiated carcinoma (magnification, ×400). (D)
Immunohistochemical staining showing decreased expression of the
epithelial marker AE1/3 (magnification, ×400). (E)
Immunohistochemical staining showing weak positivity for α-smooth
muscle actin, suggesting mesenchymal differentiation
(magnification, ×400).

Figure 2.

Hysteroscopic and histopathological findings of the uterine tumor. (A) Hysteroscopic examination revealed a white, irregular tumor with abundant neovascularization in the uterine cavity. (B) H&E staining showing dense proliferation of epithelial-like cells with nuclear atypia (magnification, ×100). (C) Higher magnification view of the boxed area in (B) showing poorly differentiated epithelial-like tumor cells with numerous mitotic figures, consistent with poorly differentiated carcinoma (magnification, ×400). (D) Immunohistochemical staining showing decreased expression of the epithelial marker AE1/3 (magnification, ×400). (E) Immunohistochemical staining showing weak positivity for α-smooth muscle actin, suggesting mesenchymal differentiation (magnification, ×400).

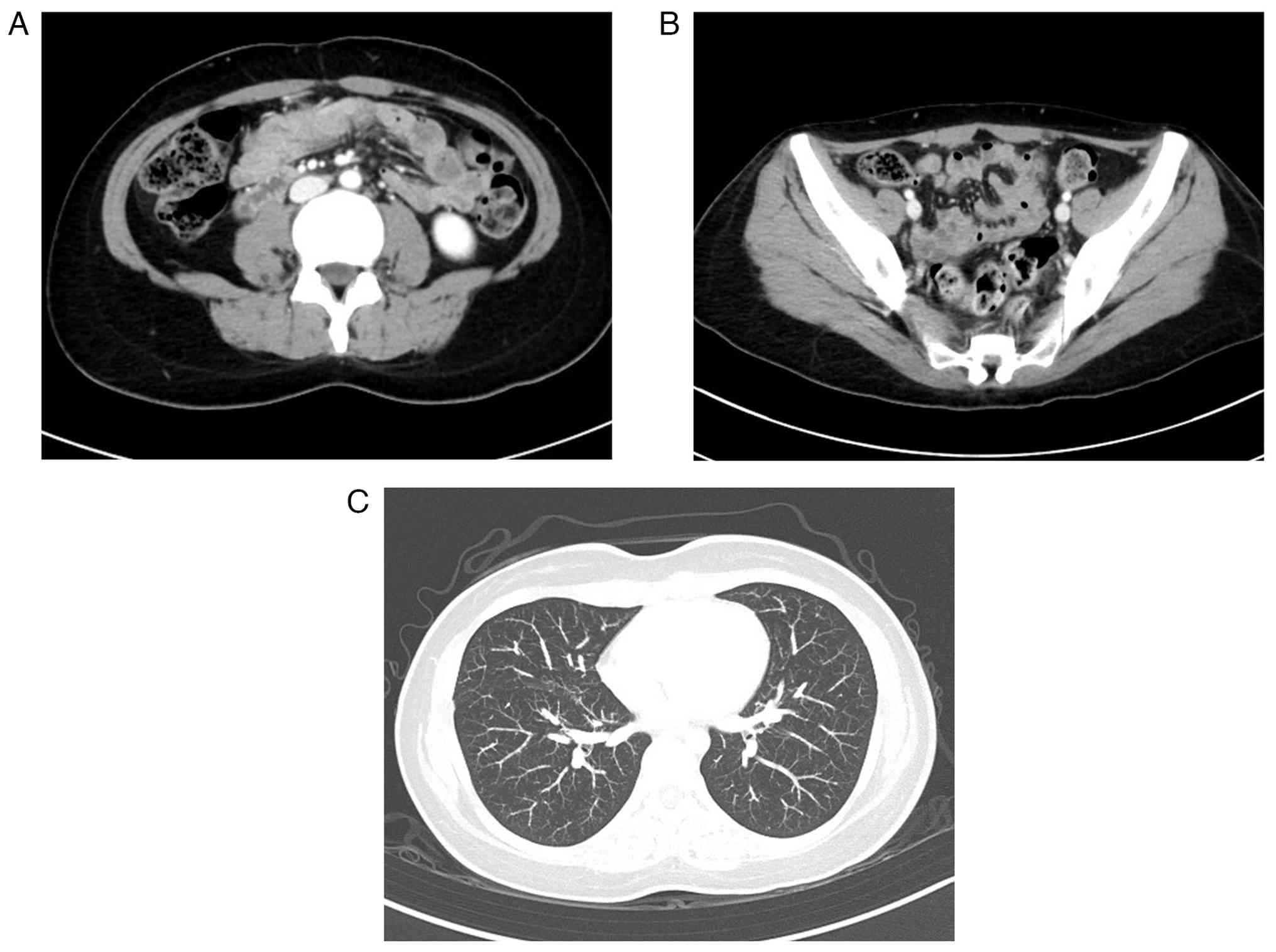
Computed tomography findings. (A)
Enlarged para-aortic lymph nodes (red arrow). (B) Enlarged pelvic
lymph nodes (red arrow). (C) Multiple pulmonary nodules (blue
arrows). These findings were suggestive of metastatic disease.

Figure 3.

Computed tomography findings. (A) Enlarged para-aortic lymph nodes (red arrow). (B) Enlarged pelvic lymph nodes (red arrow). (C) Multiple pulmonary nodules (blue arrows). These findings were suggestive of metastatic disease.

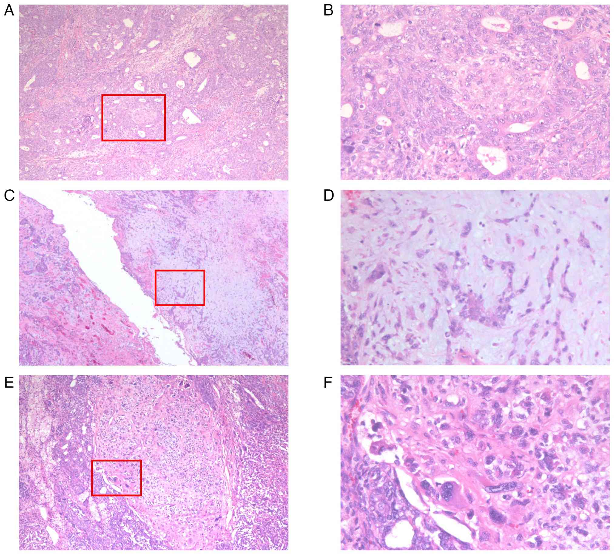
Histopathological examination revealed a mixture of poorly differentiated endometrioid carcinoma and heterologous sarcomatous components with chondrosarcomatous and rhabdomyosarcomatous differentiation (Fig. 4A-F). This led to a diagnosis of UCS at FIGO stage IVB. The patient underwent comprehensive genomic profiling with FoundationOne® CDx (Foundation Medicine, Cambridge, MA, USA), a hybrid-capture next-generation sequencing (NGS) assay that interrogate 324 cancer-related genes, including POLE, and selected introns to detect base substitutions, insertions/deletions, copy-number alterations, and gene rearrangements. The report also included tumor mutational burden (TMB), microsatellite (MS) status, and homologous recombination deficiency (HRD) signature. Results showed a BRCA1 V923fs*76 mutation [variant allele frequency (VAF): 81.5%], a TP53 splice-site mutation (920-2A>G; VAF: 62.8%), and a PIK3CA Q546K mutation (VAF: 10.2%). The tumor was HRD signature-positive, MS-stable, and had a TMB of 2 mutations per megabase (2 Muts/Mb). Germline genetic testing for BRCA1 and TP53 was performed after genetic counseling, and a germline mutation was identified in BRCA1.

Histopathological features of the
uterine tumor. (A) H&E staining showing poorly differentiated
epithelial tumor cells (magnification, ×100). (B) Higher
magnification view of the boxed area in (A) demonstrating numerous
mitotic figures, consistent with a carcinomatous component
(magnification, ×400). (C) H&E staining showing a sarcomatous
component embedded in a chondromyxoid stroma (magnification, ×100).
(D) Higher magnification view of the boxed area in (C) revealing
polygonal tumor cells consistent with chondroid differentiation
(magnification, ×400). (E) H&E staining showing another
sarcomatous component (magnification, ×100). (F) Higher
magnification view of the boxed area in (E) demonstrating bundles
of polygonal tumor cells with fibrillar eosinophilic cytoplasm,
indicating rhabdomyosarcomatous differentiation (magnification,
×400).

Figure 4.

Histopathological features of the uterine tumor. (A) H&E staining showing poorly differentiated epithelial tumor cells (magnification, ×100). (B) Higher magnification view of the boxed area in (A) demonstrating numerous mitotic figures, consistent with a carcinomatous component (magnification, ×400). (C) H&E staining showing a sarcomatous component embedded in a chondromyxoid stroma (magnification, ×100). (D) Higher magnification view of the boxed area in (C) revealing polygonal tumor cells consistent with chondroid differentiation (magnification, ×400). (E) H&E staining showing another sarcomatous component (magnification, ×100). (F) Higher magnification view of the boxed area in (E) demonstrating bundles of polygonal tumor cells with fibrillar eosinophilic cytoplasm, indicating rhabdomyosarcomatous differentiation (magnification, ×400).

The patient was treated with four cycles of paclitaxel and carboplatin chemotherapy. Subsequently, durvalumab and olaparib were approved for reimbursement under the Japanese national health insurance system for the treatments of endometrial cancer. Therefore, the patient received an additional four cycles of combination chemotherapy with paclitaxel, carboplatin, and durvalumab. Post-chemotherapy CT showed a complete response according to RECIST criteria (Fig. 5A-C). Immunohistochemistry confirmed mismatch repair, and maintenance therapy with durvalumab and olaparib was initiated. The patient has remained progression-free for 10 months.

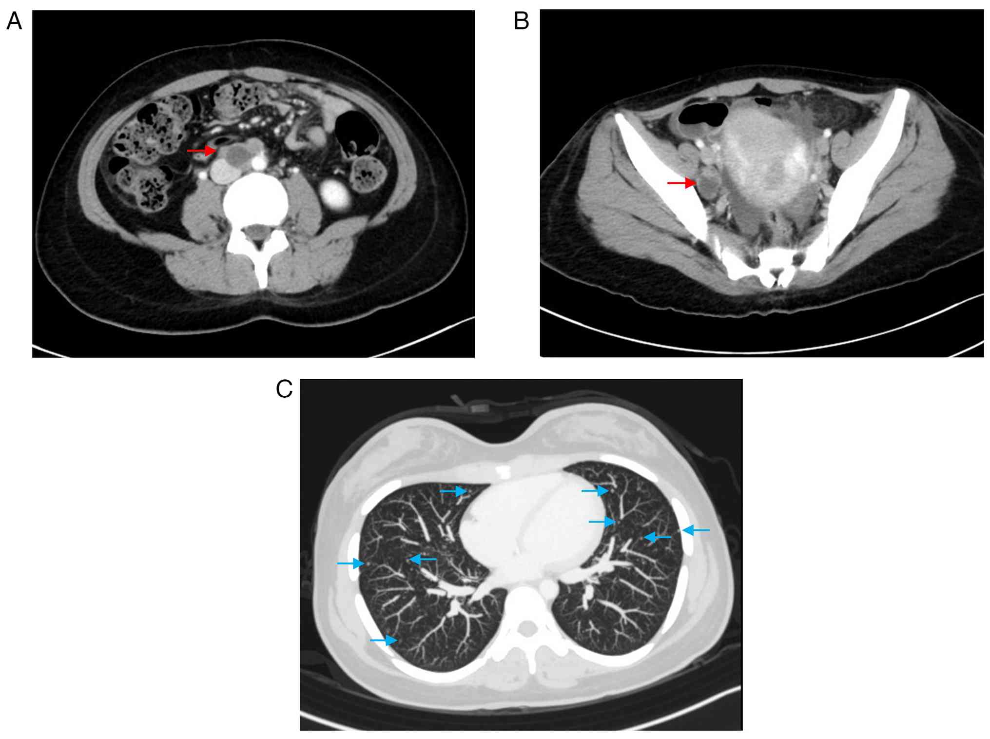
Treatment response on computed
tomography. (A) Resolution of the previously enlarged para-aortic
lymph nodes. (B) Resolution of the previously enlarged pelvic lymph
nodes. (C) Disappearance of multiple pulmonary nodules. These
findings were consistent with a complete response.

Figure 5.

Treatment response on computed tomography. (A) Resolution of the previously enlarged para-aortic lymph nodes. (B) Resolution of the previously enlarged pelvic lymph nodes. (C) Disappearance of multiple pulmonary nodules. These findings were consistent with a complete response.

Discussion

Carcinosarcoma is unusual in young women, with only sporadic cases reported (7–9), and its occurrence within the HBOC spectrum is exceptionally rare and poorly defined. Prior young-onset reports have lacked broad molecular interrogation: Al Dallal et al (7) assessed p53 and mismatch-repair proteins by immunohistochemistry without comprehensive genomic testing, whereas Soror et al (8) applied a 34-gene NGS panel that included BRCA1/2 and found no pathogenic BRCA1/2 variants. Given the very limited number of young-onset cases reported in the literature, it remains difficult to discuss whether or not differences between races and ethnicities may play a role in disease presentation in this age group. In this regard, our 21-year-old patient underwent comprehensive gene testing that identified a germline BRCA1 frameshift mutation and HRD positivity, establishing HBOC and enabling prediction of sensitivity to platinum chemotherapy and PARP inhibition. This case therefore supports heightened clinical vigilance and a low threshold for early germline evaluation and tumor profiling-particularly in young patients with suggestive personal or family histories-and provides the rationale for the genomically guided treatment strategy described below.

Advances in molecular profiling over the last decade have transformed our understanding of UCS. Integrated genomic analyses, most notably through The Cancer Genome Atlas (TCGA), have characterized UCS as a metaplastic carcinoma arising from a single epithelial clone, with sarcomatous components emerging through epithelial-mesenchymal transition (5). TP53 mutations have been found in around 90% of UCS cases. As in endometrioid and serous uterine carcinomas, alterations are also often seen in PTEN, PIK3CA, PPP2R1A, FBXW7, and KRAS (5). TCGA and the Proactive Molecular Risk Classifier for Endometrial Cancer (ProMisE) have identified four novel molecular endometrial cancer subgroups (10,11). These are POLE/ultramutated (POLE), microsatellite-instable/hypermutated (MSI), copy-number-high/TP53-mutant (CNH), and copy-number-low/TP53-wild-type (CNL). A recent meta-analysis of four studies reported the pooled prevalence of the TCGA groups among patients with UCS. These were 5.3% POLE, 7.3% MSI, 73.9% CNH, and 13.5% CNL (12). Travaglino et al (13) performed a systematic review and meta-analysis including 263 uterine carcinosarcoma (UCS) classified according TCGA groups. They found that POLE-mutated tumors had an excellent prognosis with no recurrences or deaths, MSI tumors showed intermediate outcomes, while TP53-mutated tumors (CNH group) and no specific molecular profile (NSMP) tumors (CNL group) were associated with poor survival, paralleling the prognostic pattern observed in endometrioid and serous endometrial carcinoma (13). Clinically, poorer outcomes in TP53-abnormal endometrial cancer likely reflect enrichment for advanced stage at presentation (14,15) and relative insensitivity to limited adjuvant radiotherapy (15); in addition, p53 overexpression has been linked to radioresistance and inferior survival (15,16). Complementing these observations, a large real-world series (n=2,235) showed tiered survival by molecular class: TP53-mutated UCS had a shorter median overall survival than TP53-mutated endometrioid cancer [27.9 vs. 35.3 months; hazard ratio (HR), 1.3; 95% confidence interval (CI), 1.1–1.5], and even TP53-wild-type UCS underperformed TP53-wild-type endometrioid disease (29.4 vs. 70.7 months; HR, 2.0; 95% CI, 1.5–2.7) (17). Together, these data indicate that while TP53 alterations define the poorest-prognosis subgroup, ‘being UCS’ adds risk beyond TP53 class alone.

Our patient's tumor harbored a TP53 splice-site mutation and a PIK3CA Q546K mutation, consistent with the molecular hallmarks of UCS that have been identified in large cohorts. To the best of our knowledge, no studies have yet investigated the functional implications of TP53 splice-site mutations and PIK3CA Q546K mutations in UCS. Furthermore, the absence of POLE mutations and a microsatellite-stable status led to its classification as the CNH subtype. Importantly, our patient also carried a germline BRCA1 mutation, and the high variant allele frequency of 81% strongly suggests biallelic inactivation within the tumor, highlighting a potential driver event in tumorigenesis. This finding is particularly notable because, in a cohort of 167 UCS, Sia et al (18) reported germline mutations in 19 patients (11%); however, all affected individuals were aged 52–81 years (median, 61), and individual-level data were not available. In contrast, our patient was diagnosed at the exceptionally young age of 21, making this case one of the earliest-onset UCS associated with a germline BRCA1 mutation reported to date. In the Sia cohort, six out of 167 cases (3.6%) harbored germline BRCA1/2 mutations, and the corresponding tumors exhibited biallelic inactivation, indicating these alterations are likely oncogenic drivers in UCS (18). Consistently, in a series of endometrial cancers with germline BRCA mutations, UCS comprised 28.5% of cases (6/21), further supporting a link between BRCA-associated tumorigenesis and this aggressive histologic subtype (19). Nevertheless, a lack of IHC is a limitation of the present study.

Based on the results of the GOG-232B and GOG-261 trials, the recommended first-line treatment for advanced UCS is a carboplatin/ paclitaxel doublet due to its non-inferiority and good toxicity profile (20,21). However, the outcomes previously reported in stage IV cases have been poor, with a median overall survival time of just 8 months (22). Notably, tumors exhibiting HRD, particularly those with BRCA mutations, have increased sensitivity to platinum chemotherapy due to their impaired DNA repair capabilities. Thus, our patient's complete radiologic response following four cycles of paclitaxel/carboplatin may be attributable to an underlying HRD-driven susceptibility (23). This suggests the potential utility of HRD and BRCA testing of patients with UCS to predict chemosensitivity.

Recent preclinical studies have elucidated the mechanisms behind the synergistic effects of combined PARP inhibitors (PARPi) and immune checkpoint inhibitors (ICIs), and support the superiority of this approach over PARPi monotherapy. PARP inhibition induces DNA double-strand breaks. The accumulation of these breaks causes the activation of cyclic GMP-AMP synthase (cGAS). This is a stimulator of interferon genes (STING) pathway that enhances type I interferon signaling and dendritic cell recruitment, promoting antitumor immunity (24). PARP inhibition also upregulates PD-L1 expression via the inactivation of GSK3β, contributing to immune evasion and creating a therapeutic window for ICIs (25). These immunomodulatory effects are further amplified in HRD tumor models, where the combination of PARPi and anti-PD-1/PD-L1 antibodies provides superior cytotoxic T-cell infiltration and tumor regression compared to monotherapy (26). Collectively, these findings provide a strong biological rationale for combined PARPi-ICI therapy in HRD tumors. Combination ICIs and PARPi are garnering increased attention in gynecological oncology. The phase III DUOE trial included patients with advanced or recurrent endometrial cancer, including UCS. The trial found that adding durvalumab to carboplatin and paclitaxel treatment, and following with maintenance durvalumab and olaparib, significantly improved progression-free survival (PFS). Specifically, the PFS hazard ratios (HRs) were 0.71 (durvalumab arm) and 0.55 (durvalumab and olaparib arm) versus chemotherapy alone (27). In a subgroup analysis of tumors harboring homologous recombination repair mutations, the PFS HR was 0.30 in the durvalumab and olaparib arm compared to chemotherapy alone (27). This provides compelling grounds for applying this combination strategy to HRD-positive UCS.

Compared with our case, Wan et al (28) reported a 58-year-old postmenopausal UCS with bilateral benign ovarian Brenner tumors showing diffuse mutant-type p53 on IHC; the report focuses on pathology and does not include TCGA/ProMisE molecular stratification, HRD status, germline testing, or systemic-therapy outcomes. By contrast, our case demonstrates the successful application of targeted and immunological therapy guided by precise molecular characterization in a young patient with UCS. Comprehensive genomic profiling (TP53 mutation, PIK3CA alteration, BRCA1 frameshift, and HRD positivity) informed a personalized treatment plan combining platinum-based chemotherapy, immune checkpoint blockade, and PARP inhibition. This resulted in complete and durable remission. Our findings support the use of routine genomic profiling, including HRD testing, in UCS. Clinical trials targeting HRD-positive, MMR-proficient UCS are needed to further investigate treatment strategies such as that described herein. Such strategies may transform the prognosis for this aggressive and historically intractable cancer subtype.

Acknowledgements

Not applicable.

Funding

Funding: No funding was received.

Availability of data and materials

The raw next-generation sequencing data generated in the present study may be found in the Japanese Genotype-Phenotype Archive, hosted by the DNA Data Bank of Japan, under accession number JGAS000883 (dataset: JGAD001027) or at the following URL: https://ddbj.nig.ac.jp/search/entry/jga-dataset/JGAD001027. All other data generated in the present study may be requested from the corresponding author.

Authors' contributions

YI, AK, YS, TI, JM, MI and ST contributed to study conception and design. YI and AK prepared the materials and collected and analyzed the data. YI drafted the manuscript. All authors reviewed and edited the manuscript. YI and ST confirm the authenticity of all the raw data. All authors have read and approved the final version of the manuscript.

Ethics approval and consent to participate

This case report was conducted in accordance with the tenets of the 1964 Declaration of Helsinki and its later revisions. This case report was approved by the Ethics Committee of Dokkyo Medical University Saitama Medical Center (approval no. 25094; Koshigaya, Japan).

Patient consent for publication

Written informed consent was obtained from the patient for the publication of their images and data.

Competing interests

The authors declare that they have no competing interests.

Glossary

Abbreviations

Abbreviations:

FIGO

International Federation of Gynecology and Obstetrics

HBOC

hereditary breast and ovarian cancer syndrome

HRD

homologous recombination deficiency

MMR

mismatch repair

PARP

poly (ADP-ribose) polymerase

UCS

uterine carcinosarcoma

References

1 

de Jonge MM, de Kroon CD, Jenner DJ, Oosting J, de Hullu JA, Mourits MJE, Gómez Garcia EB, Ausems M, Margriet Collée J, van Engelen K, et al: Endometrial cancer risk in women with germline BRCA1 or BRCA2 mutations: Multicenter cohort study. J Natl Cancer Inst. 113:1203–1211. 2021. View Article : Google Scholar : PubMed/NCBI

2 

Shu CA, Pike MC, Jotwani AR, Friebel TM, Soslow RA, Levine DA, Nathanson KL, Konner JA, Arnold AG, Bogomolniy F, et al: Uterine cancer after risk-reducing salpingo-oophorectomy without hysterectomy in women with BRCA mutations. JAMA Oncol. 2:1434–1440. 2016. View Article : Google Scholar : PubMed/NCBI

3 

Laitman Y, Michaelson-Cohen R, Levi E, Chen-Shtoyerman R, Reish O, Josefsberg Ben-Yehoshua S, Bernstein-Molho R, Keinan-Boker L, Rosengarten O, Silverman BG, et al: Uterine cancer in Jewish Israeli BRCA1/2 mutation carriers. Cancer. 125:698–703. 2019. View Article : Google Scholar : PubMed/NCBI

4 

Nahshon C, Segev Y, Gemer O, Bar Noy T, Schmidt M, Ostrovsky L and Lavie O: Should the risk for uterine cancer influence decision making for prophylactic hysterectomy in BRCA1/2 mutated patients- A systematic review and meta-analysis. Gynecol Oncol. 160:755–762. 2021. View Article : Google Scholar : PubMed/NCBI

5 

Cherniack AD, Shen H, Walter V, Stewart C, Murray BA, Bowlby R, Hu X, Ling S, Soslow RA, Broaddus RR, et al: Integrated molecular characterization of uterine carcinosarcoma. Cancer Cell. 31:411–423. 2017. View Article : Google Scholar : PubMed/NCBI

6 

Bogani G, Ray-Coquard I, Concin N, Ngoi NYL, Morice P, Caruso G, Enomoto T, Takehara K, Denys H, Lorusso D, et al: Endometrial carcinosarcoma. Int J Gynecol Cancer. 33:147–174. 2023. View Article : Google Scholar : PubMed/NCBI

7 

Al Dallal HA, Jacobs TH, Bergman CL, Narayanan S, Kaur A, Al-Quran SZ and Chopra HK: Uterine carcinosarcoma with heterologous osseous elements: A case report of an extremely rare clinical occurrence with literature review. Front Oncol. 15:15055042025. View Article : Google Scholar : PubMed/NCBI

8 

Soror NN, Woredekal D, Hemrock L, Gibson G and Bennett R: Uterine carcinosarcoma in a young female: Case report and literature review. Cureus. 13:e126422021.PubMed/NCBI

9 

Al-Badawi IA, AlOmar O and Kornfeld I: Carcinosarcoma of the uterus in a woman with down syndrome. Hematol Oncol Stem Cell Ther. 3:161–162. 2010. View Article : Google Scholar : PubMed/NCBI

10 

Kandoth C, Schultz N, Cherniack AD, Akbani R, Liu Y, Shen H, Robertson AG, Pashtan I, Shen R, Benz CC, et al: Integrated genomic characterization of endometrial carcinoma. Nature. 497:67–73. 2013. View Article : Google Scholar : PubMed/NCBI

11 

Talhouk A, McConechy MK, Leung S, Li-Chang HH, Kwon JS, Melnyk N, Yang W, Senz J, Boyd N, Karnezis AN, et al: A clinically applicable molecular-based classification for endometrial cancers. Br J Cancer. 113:299–310. 2015. View Article : Google Scholar : PubMed/NCBI

12 

Travaglino A, Raffone A, Gencarelli A, Mollo A, Guida M, Insabato L, Santoro A, Zannoni GF and Zullo F: TCGA classification of endometrial cancer: The place of carcinosarcoma. Pathol Oncol Res. 26:2067–2073. 2020. View Article : Google Scholar : PubMed/NCBI

13 

Travaglino A, Raffone A, Raimondo D, Arciuolo D, Angelico G, Valente M, Scaglione G, D'Alessandris N, Casadio P, Inzani F, et al: Prognostic value of the TCGA molecular classification in uterine carcinosarcoma. Int J Gynaecol Obstet. 158:13–20. 2022. View Article : Google Scholar : PubMed/NCBI

14 

Hong JH, Cho HW, Ouh YT, Lee JK, Chun Y and Gim JA: Genomic landscape of advanced endometrial cancer analyzed by targeted next-generation sequencing and the cancer genome atlas (TCGA) dataset. J Gynecol Oncol. 33:e292022. View Article : Google Scholar : PubMed/NCBI

15 

Horeweg N, Nout RA, Jürgenliemk-Schulz IM, Lutgens L, Jobsen JJ, Haverkort MAD, Mens JWM, Slot A, Wortman BG, de Boer SM, et al: Molecular classification predicts response to radiotherapy in the randomized PORTEC-1 and PORTEC-2 trials for early-stage endometrioid endometrial cancer. J Clin Oncol. 41:4369–4380. 2023. View Article : Google Scholar : PubMed/NCBI

16 

Akiyama A, Minaguchi T, Fujieda K, Hosokawa Y, Nishida K, Shikama A, Tasaka N, Sakurai M, Ochi H and Satoh T: Abnormal accumulation of p53 predicts radioresistance leading to poor survival in patients with endometrial carcinoma. Oncol Lett. 18:5952–5958. 2019.PubMed/NCBI

17 

Toboni MD, Dinkins K, Wu S, Mattox T, Oberley MJ, Thaker PH, Herzog TJ, Powell MA and Jones N: Not all uterine carcinosarcomas are created equal: Survival outcomes according to molecular characterization of uterine carcinosarcoma. Gynecol Oncol. 193:89–97. 2025. View Article : Google Scholar : PubMed/NCBI

18 

Sia TY, Gordhandas SB, Birsoy O, Kemel Y, Maio A, Salo-Mullen E, Sheehan M, Hensley ML, Rubinstein M, Makker V, et al: Germline drivers of gynecologic carcinosarcomas. Gynecol Oncol. 174:34–41. 2023. View Article : Google Scholar : PubMed/NCBI

19 

Gordhandas S, Rios-Doria E, Cadoo KA, Catchings A, Maio A, Kemel Y, Sheehan M, Ranganathan M, Green D, Aryamvally A, et al: Comprehensive analysis of germline drivers in endometrial cancer. J Natl Cancer Inst. 115:560–569. 2023. View Article : Google Scholar : PubMed/NCBI

20 

Powell MA, Filiaci VL, Hensley ML, Huang HQ, Moore KN, Tewari KS, Copeland LJ, Secord AA, Mutch DG, Santin A, et al: Randomized phase III trial of paclitaxel and carboplatin versus paclitaxel and ifosfamide in patients with carcinosarcoma of the uterus or ovary: An NRG oncology trial. J Clin Oncol. 40:968–977. 2022. View Article : Google Scholar : PubMed/NCBI

21 

Powell MA, Filiaci VL, Rose PG, Mannel RS, Hanjani P, Degeest K, Miller BE, Susumu N and Ueland FR: Phase II evaluation of paclitaxel and carboplatin in the treatment of carcinosarcoma of the uterus: A gynecologic oncology group study. J Clin Oncol. 28:2727–2731. 2010. View Article : Google Scholar : PubMed/NCBI

22 

Matsuzaki S, Klar M, Matsuzaki S, Roman LD, Sood AK and Matsuo K: Uterine carcinosarcoma: Contemporary clinical summary, molecular updates, and future research opportunity. Gynecol Oncol. 160:586–601. 2021. View Article : Google Scholar : PubMed/NCBI

23 

Maxwell KN, Wubbenhorst B, Wenz BM, De Sloover D, Pluta J, Emery L, Barrett A, Kraya AA, Anastopoulos IN, Yu S, et al: BRCA locus-specific loss of heterozygosity in germline BRCA1 and BRCA2 carriers. Nat Commun. 8:3192017. View Article : Google Scholar : PubMed/NCBI

24 

Pantelidou C, Sonzogni O, De Oliveria Taveira M, Mehta AK, Kothari A, Wang D, Visal T, Li MK, Pinto J, Castrillon JA, et al: PARP inhibitor efficacy depends on CD8(+) T-cell recruitment via intratumoral STING pathway activation in BRCA-deficient models of triple-negative breast cancer. Cancer Discov. 9:722–737. 2019. View Article : Google Scholar : PubMed/NCBI

25 

Jiao S, Xia W, Yamaguchi H, Wei Y, Chen MK, Hsu JM, Hsu JL, Yu WH, Du Y, Lee HH, et al: PARP inhibitor upregulates PD-L1 expression and enhances cancer-associated immunosuppression. Clin Cancer Res. 23:3711–3720. 2017. View Article : Google Scholar : PubMed/NCBI

26 

Ding L, Kim HJ, Wang Q, Kearns M, Jiang T, Ohlson CE, Li BB, Xie S, Liu JF, Stover EH, et al: PARP inhibition elicits STING-dependent antitumor immunity in Brca1-deficient ovarian cancer. Cell Rep. 25:2972–2980.e2975. 2018. View Article : Google Scholar : PubMed/NCBI

27 

Westin SN, Moore K, Chon HS, Lee JY, Thomes Pepin J, Sundborg M, Shai A, de la Garza J, Nishio S, Gold MA, et al: Durvalumab plus carboplatin/paclitaxel followed by maintenance durvalumab with or without olaparib as first-line treatment for advanced endometrial cancer: The phase III DUO-E trial. J Clin Oncol. 42:283–299. 2024. View Article : Google Scholar : PubMed/NCBI

28 

Wan X, Bi F, Xin B and Qiao C: A rare case report of uterine carcinosarcoma with bilateral ovarian brenner tumors. Front Oncol. 15:16127162025. View Article : Google Scholar : PubMed/NCBI

Related Articles

  • Abstract
  • View
  • Download
  • Twitter
Copy and paste a formatted citation
Spandidos Publications style
Iida Y, Kosuge A, Saito Y, Irie T, Matsushima J, Iizuka M and Takakura S: A rare case of uterine carcinosarcoma in a 21‑year‑old woman with hereditary breast and ovarian cancer syndrome: A case report. Oncol Lett 31: 194, 2026.
APA
Iida, Y., Kosuge, A., Saito, Y., Irie, T., Matsushima, J., Iizuka, M., & Takakura, S. (2026). A rare case of uterine carcinosarcoma in a 21‑year‑old woman with hereditary breast and ovarian cancer syndrome: A case report. Oncology Letters, 31, 194. https://doi.org/10.3892/ol.2026.15549
MLA
Iida, Y., Kosuge, A., Saito, Y., Irie, T., Matsushima, J., Iizuka, M., Takakura, S."A rare case of uterine carcinosarcoma in a 21‑year‑old woman with hereditary breast and ovarian cancer syndrome: A case report". Oncology Letters 31.5 (2026): 194.
Chicago
Iida, Y., Kosuge, A., Saito, Y., Irie, T., Matsushima, J., Iizuka, M., Takakura, S."A rare case of uterine carcinosarcoma in a 21‑year‑old woman with hereditary breast and ovarian cancer syndrome: A case report". Oncology Letters 31, no. 5 (2026): 194. https://doi.org/10.3892/ol.2026.15549
Copy and paste a formatted citation
x
Spandidos Publications style
Iida Y, Kosuge A, Saito Y, Irie T, Matsushima J, Iizuka M and Takakura S: A rare case of uterine carcinosarcoma in a 21‑year‑old woman with hereditary breast and ovarian cancer syndrome: A case report. Oncol Lett 31: 194, 2026.
APA
Iida, Y., Kosuge, A., Saito, Y., Irie, T., Matsushima, J., Iizuka, M., & Takakura, S. (2026). A rare case of uterine carcinosarcoma in a 21‑year‑old woman with hereditary breast and ovarian cancer syndrome: A case report. Oncology Letters, 31, 194. https://doi.org/10.3892/ol.2026.15549
MLA
Iida, Y., Kosuge, A., Saito, Y., Irie, T., Matsushima, J., Iizuka, M., Takakura, S."A rare case of uterine carcinosarcoma in a 21‑year‑old woman with hereditary breast and ovarian cancer syndrome: A case report". Oncology Letters 31.5 (2026): 194.
Chicago
Iida, Y., Kosuge, A., Saito, Y., Irie, T., Matsushima, J., Iizuka, M., Takakura, S."A rare case of uterine carcinosarcoma in a 21‑year‑old woman with hereditary breast and ovarian cancer syndrome: A case report". Oncology Letters 31, no. 5 (2026): 194. https://doi.org/10.3892/ol.2026.15549
Follow us
  • Twitter
  • LinkedIn
  • Facebook
About
  • Spandidos Publications
  • Careers
  • Cookie Policy
  • Privacy Policy
How can we help?
  • Help
  • Live Chat
  • Contact
  • Email to our Support Team