Spandidos Publications Logo
  • About
    • About Spandidos
    • Aims and Scopes
    • Abstracting and Indexing
    • Editorial Policies
    • Reprints and Permissions
    • Job Opportunities
    • Terms and Conditions
    • Contact
  • Journals
    • All Journals
    • Oncology Letters
      • Oncology Letters
      • Information for Authors
      • Editorial Policies
      • Editorial Board
      • Aims and Scope
      • Abstracting and Indexing
      • Bibliographic Information
      • Archive
    • International Journal of Oncology
      • International Journal of Oncology
      • Information for Authors
      • Editorial Policies
      • Editorial Board
      • Aims and Scope
      • Abstracting and Indexing
      • Bibliographic Information
      • Archive
    • Molecular and Clinical Oncology
      • Molecular and Clinical Oncology
      • Information for Authors
      • Editorial Policies
      • Editorial Board
      • Aims and Scope
      • Abstracting and Indexing
      • Bibliographic Information
      • Archive
    • Experimental and Therapeutic Medicine
      • Experimental and Therapeutic Medicine
      • Information for Authors
      • Editorial Policies
      • Editorial Board
      • Aims and Scope
      • Abstracting and Indexing
      • Bibliographic Information
      • Archive
    • International Journal of Molecular Medicine
      • International Journal of Molecular Medicine
      • Information for Authors
      • Editorial Policies
      • Editorial Board
      • Aims and Scope
      • Abstracting and Indexing
      • Bibliographic Information
      • Archive
    • Biomedical Reports
      • Biomedical Reports
      • Information for Authors
      • Editorial Policies
      • Editorial Board
      • Aims and Scope
      • Abstracting and Indexing
      • Bibliographic Information
      • Archive
    • Oncology Reports
      • Oncology Reports
      • Information for Authors
      • Editorial Policies
      • Editorial Board
      • Aims and Scope
      • Abstracting and Indexing
      • Bibliographic Information
      • Archive
    • Molecular Medicine Reports
      • Molecular Medicine Reports
      • Information for Authors
      • Editorial Policies
      • Editorial Board
      • Aims and Scope
      • Abstracting and Indexing
      • Bibliographic Information
      • Archive
    • World Academy of Sciences Journal
      • World Academy of Sciences Journal
      • Information for Authors
      • Editorial Policies
      • Editorial Board
      • Aims and Scope
      • Abstracting and Indexing
      • Bibliographic Information
      • Archive
    • International Journal of Functional Nutrition
      • International Journal of Functional Nutrition
      • Information for Authors
      • Editorial Policies
      • Editorial Board
      • Aims and Scope
      • Abstracting and Indexing
      • Bibliographic Information
      • Archive
    • International Journal of Epigenetics
      • International Journal of Epigenetics
      • Information for Authors
      • Editorial Policies
      • Editorial Board
      • Aims and Scope
      • Abstracting and Indexing
      • Bibliographic Information
      • Archive
    • Medicine International
      • Medicine International
      • Information for Authors
      • Editorial Policies
      • Editorial Board
      • Aims and Scope
      • Abstracting and Indexing
      • Bibliographic Information
      • Archive
  • Articles
  • Information
    • Information for Authors
    • Information for Reviewers
    • Information for Librarians
    • Information for Advertisers
    • Conferences
  • Language Editing
Spandidos Publications Logo
  • About
    • About Spandidos
    • Aims and Scopes
    • Abstracting and Indexing
    • Editorial Policies
    • Reprints and Permissions
    • Job Opportunities
    • Terms and Conditions
    • Contact
  • Journals
    • All Journals
    • Biomedical Reports
      • Information for Authors
      • Editorial Policies
      • Editorial Board
      • Aims and Scope
      • Abstracting and Indexing
      • Bibliographic Information
      • Archive
    • Experimental and Therapeutic Medicine
      • Information for Authors
      • Editorial Policies
      • Editorial Board
      • Aims and Scope
      • Abstracting and Indexing
      • Bibliographic Information
      • Archive
    • International Journal of Epigenetics
      • Information for Authors
      • Editorial Policies
      • Editorial Board
      • Aims and Scope
      • Abstracting and Indexing
      • Bibliographic Information
      • Archive
    • International Journal of Functional Nutrition
      • Information for Authors
      • Editorial Policies
      • Editorial Board
      • Aims and Scope
      • Abstracting and Indexing
      • Bibliographic Information
      • Archive
    • International Journal of Molecular Medicine
      • Information for Authors
      • Editorial Policies
      • Editorial Board
      • Aims and Scope
      • Abstracting and Indexing
      • Bibliographic Information
      • Archive
    • International Journal of Oncology
      • Information for Authors
      • Editorial Policies
      • Editorial Board
      • Aims and Scope
      • Abstracting and Indexing
      • Bibliographic Information
      • Archive
    • Medicine International
      • Information for Authors
      • Editorial Policies
      • Editorial Board
      • Aims and Scope
      • Abstracting and Indexing
      • Bibliographic Information
      • Archive
    • Molecular and Clinical Oncology
      • Information for Authors
      • Editorial Policies
      • Editorial Board
      • Aims and Scope
      • Abstracting and Indexing
      • Bibliographic Information
      • Archive
    • Molecular Medicine Reports
      • Information for Authors
      • Editorial Policies
      • Editorial Board
      • Aims and Scope
      • Abstracting and Indexing
      • Bibliographic Information
      • Archive
    • Oncology Letters
      • Information for Authors
      • Editorial Policies
      • Editorial Board
      • Aims and Scope
      • Abstracting and Indexing
      • Bibliographic Information
      • Archive
    • Oncology Reports
      • Information for Authors
      • Editorial Policies
      • Editorial Board
      • Aims and Scope
      • Abstracting and Indexing
      • Bibliographic Information
      • Archive
    • World Academy of Sciences Journal
      • Information for Authors
      • Editorial Policies
      • Editorial Board
      • Aims and Scope
      • Abstracting and Indexing
      • Bibliographic Information
      • Archive
  • Articles
  • Information
    • For Authors
    • For Reviewers
    • For Librarians
    • For Advertisers
    • Conferences
  • Language Editing
Login Register Submit
  • This site uses cookies
  • You can change your cookie settings at any time by following the instructions in our Cookie Policy. To find out more, you may read our Privacy Policy.

    I agree
Search articles by DOI, keyword, author or affiliation
Search
Advanced Search
presentation
Oncology Letters
Join Editorial Board Propose a Special Issue
Print ISSN: 1792-1074 Online ISSN: 1792-1082
Journal Cover
May-2026 Volume 31 Issue 5

Full Size Image

Sign up for eToc alerts
Recommend to Library

Journals

International Journal of Molecular Medicine

International Journal of Molecular Medicine

International Journal of Molecular Medicine is an international journal devoted to molecular mechanisms of human disease.

International Journal of Oncology

International Journal of Oncology

International Journal of Oncology is an international journal devoted to oncology research and cancer treatment.

Molecular Medicine Reports

Molecular Medicine Reports

Covers molecular medicine topics such as pharmacology, pathology, genetics, neuroscience, infectious diseases, molecular cardiology, and molecular surgery.

Oncology Reports

Oncology Reports

Oncology Reports is an international journal devoted to fundamental and applied research in Oncology.

Experimental and Therapeutic Medicine

Experimental and Therapeutic Medicine

Experimental and Therapeutic Medicine is an international journal devoted to laboratory and clinical medicine.

Oncology Letters

Oncology Letters

Oncology Letters is an international journal devoted to Experimental and Clinical Oncology.

Biomedical Reports

Biomedical Reports

Explores a wide range of biological and medical fields, including pharmacology, genetics, microbiology, neuroscience, and molecular cardiology.

Molecular and Clinical Oncology

Molecular and Clinical Oncology

International journal addressing all aspects of oncology research, from tumorigenesis and oncogenes to chemotherapy and metastasis.

World Academy of Sciences Journal

World Academy of Sciences Journal

Multidisciplinary open-access journal spanning biochemistry, genetics, neuroscience, environmental health, and synthetic biology.

International Journal of Functional Nutrition

International Journal of Functional Nutrition

Open-access journal combining biochemistry, pharmacology, immunology, and genetics to advance health through functional nutrition.

International Journal of Epigenetics

International Journal of Epigenetics

Publishes open-access research on using epigenetics to advance understanding and treatment of human disease.

Medicine International

Medicine International

An International Open Access Journal Devoted to General Medicine.

Journal Cover
May-2026 Volume 31 Issue 5

Full Size Image

Sign up for eToc alerts
Recommend to Library

  • Article
  • Citations
    • Cite This Article
    • Download Citation
    • Create Citation Alert
    • Remove Citation Alert
    • Cited By
  • Similar Articles
    • Related Articles (in Spandidos Publications)
    • Similar Articles (Google Scholar)
    • Similar Articles (PubMed)
  • Download PDF
  • Download XML
  • View XML
Article Open Access

Update on the clinical features, treatment and histogenesis of combined hepatocellular-cholangiocarcinoma

  • Authors:
    • Junwen Hu
    • Jiahao Chen
    • Chenglei Yang
    • Yapeng Qi
    • Jie Zhang
    • Rui Song
    • Jianhong Zhong
    • Bangde Xiang
  • View Affiliations / Copyright

    Affiliations: Department of Hepatobiliary Surgery, Guangxi Medical University Cancer Hospital, Nanning, Guangxi Zhuang Autonomous Region 530021, P.R. China
    Copyright: © Hu et al. This is an open access article distributed under the terms of Creative Commons Attribution License.
  • Article Number: 204
    |
    Published online on: March 30, 2026
       https://doi.org/10.3892/ol.2026.15559
  • Expand metrics +
Metrics: Total Views: 0 (Spandidos Publications: | PMC Statistics: )
Metrics: Total PDF Downloads: 0 (Spandidos Publications: | PMC Statistics: )
Cited By (CrossRef): 0 citations Loading Articles...

This article is mentioned in:


Abstract

Combined hepatocellular‑cholangiocarcinoma (CHC) is a rare subtype of primary liver cancer with histological features of both hepatocellular carcinoma (HCC) and intrahepatic cholangiocarcinoma (ICC). The clinicopathological features, treatment and histogenesis of CHC remain to be elucidated due to its low morbidity. In total, 26 patients with CHC, 901 patients with HCC and 40 patients with ICC were included in the present retrospective study and their clinicopathological characteristics and prognoses were compared. The treatment patterns of postoperative CHC recurrence were analyzed. Immunohistochemistry for the hepatic progenitor cell (HPC) markers CD90 and epithelial cell adhesion molecule (EpCAM) was performed to investigate the origin of CHC. CHC demonstrated clinicopathological features of both HCC and ICC. Patients with CHC had similar overall survival (OS) and disease‑free survival (DFS) rates to those with ICC, but all had significantly lower survival rates compared with those with HCC. Univariate analysis revealed that α‑fetoprotein, carbohydrate antigen 19‑9, carcinoembryonic antigen, tumor size, macrovascular invasion and lymph node metastasis were risk factors for both OS and DFS. Most patients with recurrent CHC received comprehensive treatment. Immunohistochemistry revealed that patients with CHC exhibited high expression levels of CD90 and EpCAM. In conclusion, compared with patients with HCC and ICC, patients with CHC appear to have intermediate clinical characteristics. Comprehensive postoperative therapy may be a promising strategy for patients with CHC. The high expression level of HPC markers in tumor tissues suggests that CHC may originate from HPCs.

Introduction

Primary liver cancer (PLC) is the sixth most common cancer and fourth leading cause of cancer-related mortality worldwide, with >840,000 novel cases and 780,000 deaths annually (1). There are three subtypes of PLC: Hepatocellular carcinoma (HCC), intrahepatic cholangiocarcinoma (ICC) and combined hepatocellular-cholangiocarcinoma (CHC).

CHC is an uncommon and unique type of PLC with the phenotypic characteristics of both HCC and ICC. The incidence of CHC varies from 2.4 to 14.2% among studies (2–4). This type of carcinoma contains explicit mixed HCC and ICC components. Currently, there is no unified pathological classification of CHC. The first scientific description of CHC was published in a study by Allen and Lisa in 1949 (5), in which this tumor was defined into three types: Type A (double cancer; HCC and ICC located in different parts of the same liver), type B (combined type; HCC and ICC existing in adjacent parts with continuous growth) and type C (mixed type; HCC and ICC components completely combined within the same tumor). In 1985, Goodman et al (6) divided CHC into type I (collision), characterized by the coincidence of HCC and ICC in the same patient; type II (transition), characterized by the presence of an identifiable transition between HCC and ICC; and type III (fibrolamellar), similar to the fibrolamellar variants of HCC but with the existence of pseudodoglands secreting mucin. However, in 2010, the World Health Organization classified CHC into two main types: A typical type, which is similar to type C, as explained by Allen and Lisa, and subtypes with stem cell characteristics, which are divided into classic, intermediate and bile duct cell subtypes (7).

However, due to the low prevalence of CHC, its clinicopathological characteristics and prognosis vary among studies. Certain studies have reported that the biological characteristics of CHC are analogous to those of HCC, rather than those of ICC (8–10). However, at the same time, other studies have indicated that CHC is genetically more similar to ICC compared with HCC (11,12). In order to gain a more comprehensive understanding of the clinical pathologies and outcomes of CHC, the present study, which aimed to compare the clinicopathological characteristics and prognosis of CHC with HCC and ICC, and to investigate the clinical prognostic factors in patients with CHC, investigated the clinical characteristics, prognosis and histogenesis of CHC after surgery.

Patients and methods

Patients

The clinical data of patients with PLC who underwent a hepatectomy at Guangxi Medical University Cancer Hospital (Nanning, China) between January 2014 and December 2018 were retrospectively analyzed. R0 margins were observed in all cases. CHC was diagnosed according to the definitions of types B and C according to the classification by Allen and Lisa (5). Meanwhile, the exclusion criteria were as follows: i) Patients who received preoperative chemotherapy, radiotherapy or other non-surgical treatment; and ii) patients with incomplete clinical data.

Patient history was reviewed for clinicopathological information, including sex, age, viral hepatitis B and C status, background liver disease, serum bilirubin, alanine transaminase (ALT), aspartate transaminase (AST), carcinoembryonic antigen (CEA), α-fetoprotein (AFP), carbohydrate antigen 19-9 (CA19-9) and Child-Pugh status (13). Pathological data included tumor number and size, presence of capsules, cirrhosis, Edmondson-Steiner grading (14), satellite lesions, macrovascular and microvascular invasion, and lymph node metastasis. Clinical and pathological features, overall survival (OS) and disease-free survival (DFS) were compared between patients with CHC and those with HCC or ICC. The prognostic factors for OS and DFS, recurrence patterns and management of patients with CHC were also investigated.

Patients were regularly monitored for tumor recurrence or distant metastasis every 3 months in the first 2 years and then every 3–6 months, with measurements of serum tumor markers, liver function tests, chest radiography, color ultrasound, dynamic contrast-enhanced computed tomography or magnetic resonance imaging.

Immunohistochemistry

The present study performed immunohistochemical analysis of CD90 and EpCAM to examine whether CHC arose from the HPCs in the present study. Surgical tissues were fixed in 10% formalin at room temperature for 24 h, embedded in paraffin, cut into 5-µm tissue slices, deparaffinized in xylene and rehydrated using graded alcohol solutions. Antigen retrieval was performed for 5 min at 100°C in citrate buffer (10 mmol/l; pH 6.0) in a pressure cooker. Endogenous peroxidases were blocked at room temperature by immersing sections in 3% hydrogen peroxide for 20 min. Tissue samples were then incubated at 37°C for 2 h with a mouse monoclonal antibody against human CD90 (1:200; cat. no. ab92574; Abcam) and a mouse monoclonal antibody against human epithelial cell adhesion molecule (EpCAM; 1:200; cat. no. ab223582; Abcam). The tissue slices were washed with phosphate-buffered saline (PBS), incubated with biotinylated anti-mouse immunoglobulin diluted in PBS for 30 min at room temperature and washed again with PBS. The sections were incubated with anti-HRP conjugate for 10 min, rinsed with PBS and incubated with diaminobenzidine for 10 min. Lastly, the sections were counterstained at room temperature with hematoxylin. A light microscope was used for analysis. For statistical analysis (ImageJ; National Institutes of Health), patients were categorized as positive for these markers if the percentage of cells positive for CD90 or EpCAM was ≥5%.

Statistical analysis

Continuous variables are presented as the mean ± SD or median ± IQR, with normally distributed data as the mean ± SD and non-normally distributed data as the median ± IQR, and categorical variables are presented as the frequency (percentage). The significance of the baseline differences among the three groups was evaluated using analysis of one-way variance with Bonferroni's post hoc test for continuous variables or the Mann-Whitney U test with Bonferroni's post hoc test for non-parametric variables. When multiple comparisons are made among different groups, the risk of Type I errors (false-positives) increases. Therefore, P-value correction was applied to control for this, reducing the P-value threshold by dividing the α level (0.05) by the number of comparisons (n=3), resulting in a new significance threshold of 0.0167. The χ2 test or Fisher's exact test was used to compare categorical data. Survival analysis was performed using the Kaplan-Meier method and intergroup differences were assessed using the log-rank test. The prognostic risk factors for poor DFS and OS were assessed using univariate and multivariate Cox regression analyses. The SPSS statistical software (version 24.0; IBM Corp.) was used for all analyses and P<0.05 was considered to indicate a statistically significant difference.

Results

Clinical data

The baseline characteristics of the patients with CHC, HCC and ICC are provided in Table I. There were 22 men (84.6%) in the CHC group, the male:female ratio was 5.5:1 and the mean age was 53.2±9.2 years (range, 34–68 years). There were no significant differences in sex distribution or mean age in the three groups. In total, 13 patients (50.0%) had hepatitis B virus (HBV), while no patient had hepatitis C virus (HCV) infection with CHC, and significantly fewer of these patients had HBV infection compared with those in the HCC group (P<0.001). There were no significant differences in serum total bilirubin, ALT, AST and CA19-9 among the CHC, HCC and ICC groups (P=0.057). The serum CEA level in the CHC group was significantly higher compared with that in the HCC group (P=0.001) but similar to that in the ICC group (P=0.704). No significant differences were observed in terms of Child-Pugh status, tumor capsule, tumor number, tumor size, Edmondson-Steiner grading and satellite lesions among the three groups (all P>0.05).

Table I.

Baseline characteristics of patients with CHC, HCC and ICC.

Table I.

Baseline characteristics of patients with CHC, HCC and ICC.

P-value

CharacteristicsCHC (n=26)HCC (n=901)ICC (n=40)CHC vs. HCC vs. ICCCHC vs. HCCCHC vs. ICCHCC vs. ICC
Sex, n (%) 0.001a0.8390.080 <0.001a
  Male22 (84.6)775 (86.0)26 (65.0)
  Female4 (15.4)126 (14.0)14 (35.0)
Mean age ± SD, years53.2±9.249.8±10.855.9±11.10.001a0.0850.2640.001a
Diabetes, n (%) 0.6250.3400.3560.886
  No25 (96.2)817 (90.7)36 (90.0)
  Yes1 (3.8)84 (9.3)4 (10.0)
HBV viral infection, n (%) <0.001a <0.001a0.843 <0.001a
  No13 (50.0)112 (12.4)21 (52.5)
  Yes13 (50.0)789 (87.6)19 (47.5)
HCV viral infection, n (%) 0.6910.589 0.503
  No26 (100.0)891 (98.9)40 (100.0)
  Yes0 (0.0)10 (1.1)0 (0.0)
Total bilirubin, U/mlb12.3±4.815.0±10.014.2±18.40.001a0.1000.2560.001a
ALT, U/mlb46.5±54.244.6±42.832.1±31.2 <0.001a0.0980.748 <0.001a
AST, U/mlb44.3±31.052.6±47.033.1±16.7 <0.001a0.1010.284<0.001
CEA, ng/mlb73.1±234.33.0±5.433.9±98.6 <0.001a0.001a0.7040.002a
CA19-9, U/mlb111.4±265.828.8±53.4343.1±437.9 <0.001a0.1760.149 <0.001a
AFP, n (%) <0.001a0.049a0.032a <0.001a
  ≤400 ng/ml19 (73.1)483 (53.6)37 (92.5)
  >400 ng/ml7 (26.9)418 (46.4)3 (7.5)
Child-Pugh, n (%) 0.2230.0830.3220.945
  A24 (92.3)880 (97.7)39 (97.5)
  B2 (7.7)21 (2.3)1 (2.5)
Liver cirrhosis, n (%) <0.001a0.021a <0.01a <0.001a
  No7 (26.9)449 (49.8)33 (82.5)
  Yes19 (73.1)452 (50.2)7 (17.5)
Tumor capsular, n (%) 0.0570.2410.033a0.042a
  No4 (15.4)230 (25.5)16 (40.0)
  Yes22 (84.6)671 (74.5)24 (60.0)
Tumor number, n (%) 0.5170.6100.3180.592
  Solitary17 (65.4)631 (70.0)31 (77.5)
  Multiple9 (34.6)270 (30.0)9 (22.5)
Tumor size, n (%) 0.5390.6360.3050.322
  ≤5 cm11 (42.3)340 (37.7)12 (30.0)
  >5 cm15 (57.7)561 (62.3)28 (70.0)
Macrovascular invasion, n (%) 0.4400.4420.2190.318
  No20 (76.9)630 (69.9)25 (62.5)
  Yes6 (23.1)271 (30.1)15 (37.5)
Microvascular invasion, n (%) 0.0910.0670.4910.210
  No19 (73.1)495 (54.9)26 (65.0)
  Yes7 (26.9)406 (45.1)14 (35.0)
Edmondson-Steiner grading, n (%) 0.1640.5170.1050.078
  I and II9 (34.6)369 (41.0)22 (55.0)
  III and IV17 (65.4)532 (59.0)18 (45.0)
Satellite lesions, n (%) 0.9710.8520.9660.872
  No22 (84.6)774 (85.9)34 (85.0)
  Yes4 (15.4)127 (14.1)6 (15.0)
Lymph node metastasis, n (%) <0.001a <0.001a0.286 <0.001a
  No21 (80.8)889 (98.7)36 (90.0)
  Yes5 (19.2)12 (1.3)4 (10.0)
CD34, n (%) <0.001a0.2570.020a <0.001a
  Negative5 (19.2)107 (11.9)19 (47.5)
  Positive21 (80.8)794 (88.1)21 (52.5)
CK7, n (%) <0.001a <0.001a0.959 <0.001a
  Negative7 (26.9)697 (77.4)11 (27.5)
  Positive19 (73.1)204 (22.6)29 (72.5)
CK19, n (%) <0.001a <0.001a0.257 <0.001a
  Negative2 (7.7)684 (75.9)7 (17.5)
  Positive24 (92.3)217 (24.1)33 (82.5)
Glypican-3, n (%) <0.001a0.119 <0.001a <0.001a
  Negative7 (26.9)118 (13.1)32 (80.0)
  Positive19 (73.1)783 (86.9)8 (20.0)

a P<0.05.

b Data are presented as median ± IQR. CHC, combined hepatocellular cholangiocarcinoma; HCC, hepatocellular carcinoma; ICC, intrahepatic cholangiocarcinoma.

In the CHC group, liver cirrhosis was significantly more regular compared with that in the ICC group (P<0.01) but was similar to that in the HCC group (P=0.021). However, there were no significant differences in macrovascular and microvascular invasion between the CHC group and the HCC and ICC groups (all P>0.05). Lymph node metastasis was significantly more frequent in the CHC group compared with that in the HCC group (P<0.001).

No significant difference was observed in the percentage of CD34 between the CHC group and the HCC and ICC groups. The percentage of patients with glypcian-3 positivity in the CHC group was similar to that in the HCC group (P>0.05) but significantly higher compared with that in the ICC group (P<0.05). By contrast, the distributions of both CK7- and CK19+ patients in the CHC group were similar to those in the ICC group (both P>0.05) but higher compared with those in the HCC group (both P<0.05).

OS and DFS

The median OS time in the CHC group was 30 months and the 1- and 3-year OS rates were 65.4 and 33.9%, respectively. The median OS time in the HCC group was not reached and the 1- and 3-year OS rates were 82.1 and 63.2%, respectively. The median OS time in the ICC group was 30 months and the 1- and 3-year OS rates were 77.5 and 45.4%, respectively. The OS and DFS in the CHC group were significantly lower compared with those in the HCC group (both P<0.05) but not significantly different from those in the ICC group (both P>0.05) (Fig. 1).

Survival curves. (A) Disease-free
survival rate and (B) overall survival rate of patients with CHC,
HCC and ICC. CHC, combined hepatocellular-cholangiocarcinoma; HCC,
hepatocellular carcinoma; ICC, intrahepatic cholangiocarcinoma.

Figure 1.

Survival curves. (A) Disease-free survival rate and (B) overall survival rate of patients with CHC, HCC and ICC. CHC, combined hepatocellular-cholangiocarcinoma; HCC, hepatocellular carcinoma; ICC, intrahepatic cholangiocarcinoma.

Univariate and multivariate analysis

Univariate analysis demonstrated that AFP, CA19-9 and CEA levels, tumor size, macrovascular invasion and lymph node metastasis were significant predictive factors for lower OS and DFS in patients with CHC (both P<0.05) (Table II).

Table II.

Univariate and multivariate analyses of prognostic factors in patients with combined hepatocellular cholangiocarcinoma.

Table II.

Univariate and multivariate analyses of prognostic factors in patients with combined hepatocellular cholangiocarcinoma.

Overall survivalDisease-free survival


VariablesUnivariate analysis P-valueMultivariate analysisUnivariate analysisMultivariate analysis


HR (95% CI)P-valueHR (95% CI)P-value
Sex0.455 0.308
Age (>50 years)0.374 0.144
Diabetes0.284 0.578
HBV viral infection0.202 0.599
Total bilirubin (>21 U/ml)0.683 0.968
AFP (>400 ng/ml)0.0291.481 (0.363–6.041)0.5840.015a2.509 (0.763–8.251)0.130
CEA (>5 ng/ml)0.0053.157 (0.775–12.866)0.1090.009a1.645 (0.484–5.592)0.426
CA19-9 (>5 U/ml)0.0014.235 (0.938–19.131)0.0610.013a2.350 (0.729–7.576)0.152
ALT (>40 U/ml)0.551 0.469
AST (>40 U/ml)0.245 0.318
Child-Pugh0.817 0.986
Liver cirrhosis0.329 0.548
Tumor capsular0.927 0.400
Tumor number0.738 0.299
Tumor size (>5 cm)0.0033.394 (0.618–18.625)0.1600.009a1.762 (0.505–6.148)0.374
Macrovascular invasion0.0024.528 (1.001–20.470)0.0500.043a2.765 (0.785–9.741)0.113
Microvascular invasion0.193 0.139
Edmondson-Steiner grading0.485 0.560
Satellite lesions0.103 0.337
Lymph node metastasis<0.0013.818 (0.918–15.879)0.0650.006a2.176 (0.587–8.067)0.245

a P<0.05. HR, hazard ratio; CI, confidence interval; AFP, α-fetoprotein; CEA, carcinoembryonic antigen; ALT, alanine transaminase; AST, aspartase transaminase.

Recurrence patterns of CHC and management after recurrence

The recurrence patterns and management of CHC are summarized in Table III. Tumor recurrence occurred in 20 of the 26 patients with CHC. There were 13 cases of intrahepatic recurrence, 4 cases of extrahepatic recurrence, and 3 cases of both intrahepatic and extrahepatic recurrence. Among the patients with extrahepatic metastases, 3 patients exhibited lymph node metastasis, 2 patients exhibited peritoneal implantation and 2 patients exhibited bone metastases.

Table III.

Recurrence patterns and management of recurrence after hepatectomy of combined hepatocellular-cholangiocarcinoma.

Table III.

Recurrence patterns and management of recurrence after hepatectomy of combined hepatocellular-cholangiocarcinoma.

VariablesPatients, n (%)
Recurrence20 (76.9)
Location
  Intrahepatic13 (65.0)
  Extrahepatic4 (20.0)
  Both3 (15.0)
Extrahepatic metastases7 (27.0)
  Lymph node metastasis3 (42.8)
  Peritoneal implantation2 (28.6)
  Bone metastases2 (28.6)
Management
  Resection2 (10.0)
  TACE8 (40.0)
  RFA1 (5.0)
  Chemotherapy3 (15.0)
  Radiotherapy1 (5.0)
  Comprehensive treatment5 (25.0)
  TACE + chemotherapy + radiotherapy1 (5.0)
  TACE+ radiotherapy + percutaneous1 (5.0)
  ethanol injection
  TACE + RFA2 (10.0)
  Resection + TACE1 (5.0)

[i] TACE, transcatheter arterial chemoembolization; RFA, radiofrequency ablation.

However, the management of tumor recurrence differed. In the present study, intrahepatic recurrence was treated with resection (n=2), transcatheter arterial chemoembolization (TACE; n=8), radiofrequency ablation (RFA; n=1) and comprehensive treatment with TACE + radiotherapy + percutaneous ethanol injection (n=1) and TACE + RFA (n=1). Extrahepatic relapses were treated with chemotherapy (n=3) or radiotherapy (n=1). Both intrahepatic and extrahepatic recurrences were comprehensively treated using TACE + chemotherapy + radiotherapy (n=1), TACE + RFA (n=1) or resection + TACE (n=1).

CD90 and EpCAM expression in CHC tissues

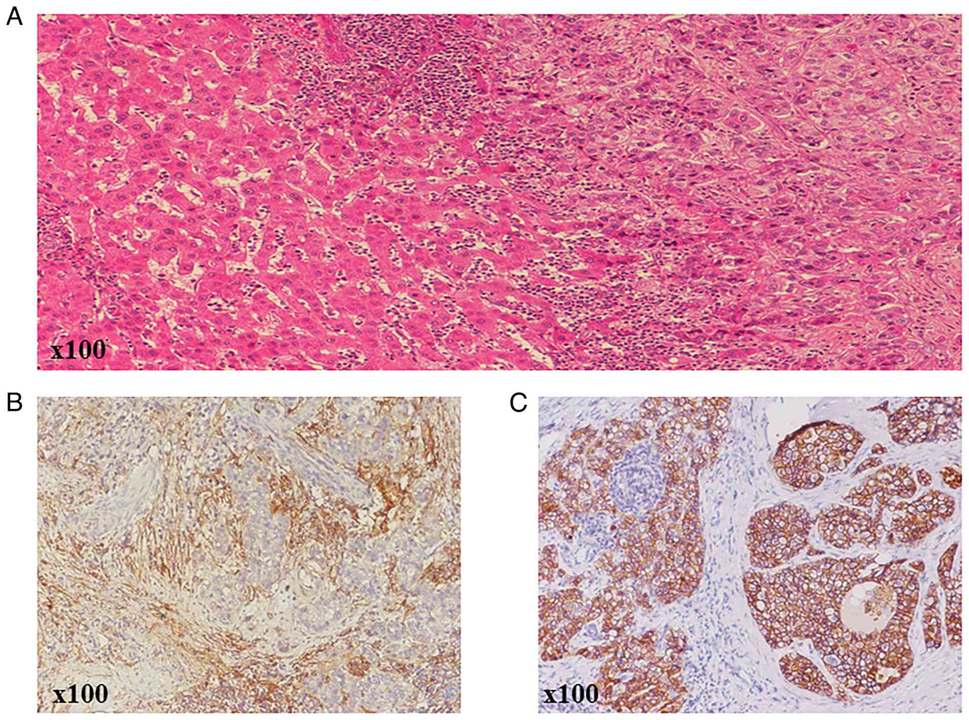
All 26 CHC samples were immunohistochemically positive for the classic hepatic progenitor cell (HPC) markers CD90 and EpCAM (Fig. 2). In total, 22/26 patients (84.6%) expressed CD90, 21/26 patients (80.8%) expressed EpCAM and 19/26 patients (73.1%) patients demonstrated simultaneous co-expression of CD90 and EpCAM (Table IV).

Representative images of CHC tissue
from the same patient. (A) Histological findings of the
representative CHC (H&E staining; ×100 magnification). (B)
Positive cytoplasmic staining for CD90 (×100 magnification). (C)
Positive membrane staining for epithelial cell adhesion molecule
(×100 magnification). CHC, combined
hepatocellular-cholangiocarcinoma.

Figure 2.

Representative images of CHC tissue from the same patient. (A) Histological findings of the representative CHC (H&E staining; ×100 magnification). (B) Positive cytoplasmic staining for CD90 (×100 magnification). (C) Positive membrane staining for epithelial cell adhesion molecule (×100 magnification). CHC, combined hepatocellular-cholangiocarcinoma.

Table IV.

Expression levels of CD90 and EpCAM in 26 patients with combined hepatocellular-cholangiocarcinoma.

Table IV.

Expression levels of CD90 and EpCAM in 26 patients with combined hepatocellular-cholangiocarcinoma.

Variablesn/total n (%)
Positive for CD9022⁄26 (84.6)
Positive for EpCAM21⁄26 (80.8)
Positive for both CD90 and EpCAM19⁄26 (73.1)

[i] EpCAM, epithelial cell adhesion molecule.

Discussion

CHC is an extremely rare type of hepatic malignancy with clinical characteristics and prognoses different from those of HCC and ICC. The incidence of CHC varies widely from 2.4 to 14.2% (2,4). The different rates of CHC may be due to ambiguous definitions and the exclusion of unresectable cases in different reports. The incidence of CHC in the present study was 2.7%, which falls within the range found in the aforementioned studies.

The clinical and pathological features of CHC compared with those of HCC or ICC vary in different studies. Among the groups, the age at diagnosis, sex ratio and co-occurring cirrhosis were similar in certain reports, as were the rates of viral hepatitis infection (15,16). Furthermore, patients with CHC had less capsule formation compared with those with HCC (8,9). However, studies from Asia have identified that patients with HCC and ICC are younger compared with patients with CHC and that mainly men are affected. In Chu's and Lee's series, the majority of patients with CHC were men, with a high prevalence of HBV infection, suggesting that HBV infection is a major cause of both HCC and CHC (17,18). In the present study, the sex ratios were similar across groups; however, men were the majority in all three groups, and the age and tumor volume were similar in the CHC group compared with those in the HCC and ICC groups. Furthermore, the proportion of HBV infection was lower in CHC compared with that in HCC but similar between CHC and ICC; HCV infection was similar across groups. The percentage of patients with CHC with cirrhosis was higher compared with that of patients with ICC but similar to that of patients with HCC.

An increase in AFP was identified among the groups. Several studies have revealed that a high increase in AFP level (≥400 IU/l) is an independent prognostic factor in CHC (9,16). However, certain reports demonstrated that the level of AFP in CHC was lower compared with that in HCC but had no significant difference (12,19). In the present study, there was no significant difference in the AFP levels between the CHC group and the HCC and ICC groups.

Previous research revealed that serum CEA and CA19-9 levels were higher in patients with CHC compared with those in patients with ICC (19,20). However, the present study pointed out that the serum CEA level in the CHC group was significantly higher compared with that in the HCC group but similar to that in the ICC group, and there was no statistically significant difference in CA19-9 serum level between CHC and HCC, as well as between CHC and ICC.

In addition, the immunohistochemical characteristics of patients with CHC demonstrated intermediate features of HCC and ICC. Both the ICC-specific markers CK7 and CK19, and the HCC-specific marker glypcian-3, were elevated in the patients with CHC. These findings concurred with those reported by Lee et al (21).

Several previous studies have consistently reported that the prognosis of CHC is worse compared with that of HCC, whereas that of ICC varies (8,9,20,22). The present study results demonstrated that the OS and DFS of patients with CHC were significantly lower compared with those of patients with HCC, but not significantly different from those of patients with ICC. Factors associated with poor clinical prognosis and tumor recurrence and survival have been reported in several studies, including high levels of AFP, CEA and CA19-9, multiple tumors, large tumor size (>5 cm), satellite lesions, vascular invasion, advanced tumor stage and lymph node metastasis, which may represent more advanced tumor states (17,20,23,24). The present study identified that levels of CEA and lymph node metastases in the CHC group were significantly higher compared with those in the HCC group but similar to those in the ICC group, which also suggested that patients with CHC had intermediate clinical features compared with patients with HCC and ICC.

Few studies have reported on the recurrence of CHC after surgery. A previous study identified that CHC recurred continuously in the liver, whereas other studies demonstrated that extrahepatic recurrence was generally observed in the lymph nodes (9,25,26). The present study determined that the most frequent form of recurrence was intrahepatic metastasis. Currently, there are no explicit guidelines for the treatment of recurrent CHC. Most of the 20 patients with recurrence in the present study underwent TACE. However, the outcome after relapse is poor and therefore the prognosis for CHC after surgery is poor due to the high rate of recurrence and ineffective treatment after recurrence. Comprehensive postoperative therapy may be a promising strategy for patients with CHC in the future.

The origin of CHC remains complex and has been a subject of debate. The predominant hypothesis is that it is derived from HPCs, which are intermediate stem cells capable of undergoing bidirectional differentiation into hepatocytes and bile duct epithelial cells. HPCs may serve a key role in human CHC development (27,28).

HPC markers are used to authenticate HPCs. There are a large number of HPC markers, including the classic markers CD90 and EpCAM (29,30). The present study performed immunohistochemical analysis of CD90 and EpCAM to examine whether CHC arose from the HPCs in the present study. All 26 CHC samples revealed positive results for the classical HPC markers CD90 and EpCAM. The present study results indicated that CHC highly expresses HPCs, which is consistent with previous studies suggesting that CHC may be derived from HPCs (7,31); therefore, the present study further suggested that the CHC reported here may originate from the HPCs.

To the best of our knowledge, the present study is the first systematic and comprehensive analysis of the clinical pathologies, origins, risk factors for relapse and survival prognosis, and relapse treatment models of CHC. However, the present study had certain limitations. First, this was a single-center, retrospective study and the number of patients with CHC was relatively small; therefore, further larger multicenter studies are necessary to validate the present study findings. Second, it is difficult to diagnose primary biliary cholangitis, which is considered a risk factor for CHC, and so this was not included in the present study. Lastly, the present study did not routinely test for tumor burden score; therefore, the present study did not evaluate it in the CHC group.

In conclusion, CHC is an extremely rare type of PLC with a poor outcome and intermediate clinical and pathological features between HCC and ICC. CHC also has a high expression level of HPCs, supporting the hypothesis that CHC may originate from HPCs that have the potential to differentiate into hepatocytes and bile duct cells. Most studies have revealed that surgical intervention is a valid treatment for CHC; however, patients with CHC have markedly worse survival outcomes after hepatic resection compared with patients with HCC. Further studies on effective treatment modalities and clinical predictors of CHC are warranted to extend survival in these patients. Further research is necessary to confirm the molecular biology of the histogenesis of inclusive CHC.

Patients with CHC appear to have intermediate clinical features compared with those with HCC and ICC. Comprehensive postoperative therapy may be a promising strategy for patients with CHC. The high expression level of HPC markers in tumor tissues suggested that CHC may originate from HPCs.

Acknowledgements

Not applicable.

Funding

The present study was supported by grants from the National Natural Science Foundation of China (grant no. 81960450) and the National Major Special Science and Technology Project (grant no. 2017ZX10203207).

Availability of data and materials

The data generated in the present study may be requested from the corresponding author.

Authors' contributions

BX and JZho contributed to the conception of the present study and provided feedback on the report. CY, YQ, JZha and RS analyzed data. JH and JC performed the data analyses and wrote the manuscript. All authors have read and approved the final manuscript. BX and JZho confirm the authenticity of all the raw data.

Ethics approval and consent to participate

The present study protocol was reviewed and approved by the Medical Ethics Committee of Guangxi Medical University Cancer Hospital (Nanning, China; approval no. 6-20-2019). Preoperatively, all patients provided written informed consent for data collection and for research purposes.

Patient consent for publication

Not applicable.

Competing interests

The authors declare that they have no competing interests.

Glossary

Abbreviations

Abbreviations:

CHC

combined hepatocellular-cholangiocar cinoma

HCC

hepatocellular carcinoma

ICC

intrahepatic cholangiocarcinoma

HPC

hepatic progenitor cell

PLC

primary liver cancer

CEA

carcinoembryonic antigen

AFP

α-fetoprotein

CA19-9

carbohydrate antigen 19-9

OS

overall survival

DFS

disease-free survival

PBS

phosphate-buffered saline

HBV

hepatitis B virus

HCV

hepatitis C virus

References

1 

Bray F, Ferlay J, Soerjomataram I, Siegel RL, Torre LA and Jemal A: Global cancer statistics 2018: GLOBOCAN estimates of incidence and mortality worldwide for 36 cancers in 185 countries. CA Cancer J Clin. 68:394–424. 2018.PubMed/NCBI

2 

Stavraka C, Rush H and Ross P: Combined hepatocellular cholangiocarcinoma (cHCC-CC): An update of genetics, molecular biology, and therapeutic interventions. J Hepatocell Carcinoma. 6:11–21. 2018. View Article : Google Scholar : PubMed/NCBI

3 

Wang J, Li E, Yang H, Wu J, Lu HC, Yi C, Lei J, Liao W and Wu L: Combined hepatocellular-cholangiocarcinoma: A population level analysis of incidence and mortality trends. World J Surg Oncol. 17:432019. View Article : Google Scholar : PubMed/NCBI

4 

Brunt E, Aishima S, Clavien PA, Fowler K, Goodman Z, Gores G, Gouw A, Kagen A, Klimstra D, Komuta M, et al: cHCC-CCA: Consensus terminology for primary liver carcinomas with both hepatocytic and cholangiocytic differentation. Hepatology. 68:113–126. 2018. View Article : Google Scholar : PubMed/NCBI

5 

Allen RA and Lisa JR: Combined liver cell and bile duct carcinoma. Am J Pathol. 25:647–655. 1949.PubMed/NCBI

6 

Goodman ZD, Ishak KG, Langloss JM, Sesterhenn IA and Rabin L: Combined hepatocellular-cholangiocarcinoma. A histologic and immunohistochemical study. Cancer. 55:124–135. 1985. View Article : Google Scholar : PubMed/NCBI

7 

Yeh MM: Pathology of combined hepatocellular-cholangiocarcinoma. J Gastroenterol Hepatol. 25:1485–1492. 2010. View Article : Google Scholar : PubMed/NCBI

8 

Koh KC, Lee H, Choi MS, Lee JH, Paik SW, Yoo BC, Rhee JC, Cho JW, Park CK and Kim HJ: Clinicopathologic features and prognosis of combined hepatocellular cholangiocarcinoma. Am J Surg. 189:120–125. 2005. View Article : Google Scholar : PubMed/NCBI

9 

Yano Y, Yamamoto J, Kosuge T, Sakamoto Y, Yamasaki S, Shimada K, Ojima H, Sakamoto M, Takayama T and Makuuchi M: Combined hepatocellular and cholangiocarcinoma: A clinicopathologic study of 26 resected cases. Jpn J Clin Oncol. 33:283–287. 2003. View Article : Google Scholar : PubMed/NCBI

10 

Liu CL, Fan ST, Lo CM, Ng IO, Lam CM, Poon RT and Wong J: Hepatic resection for combined hepatocellular and cholangiocarcinoma. Arch Surg. 138:86–90. 2003. View Article : Google Scholar : PubMed/NCBI

11 

Cazals-Hatem D, Rebouissou S, Bioulac-Sage P, Bluteau O, Blanché H, Franco D, Monges G, Belghiti J, Sa Cunha A, Laurent-Puig P, et al: Clinical and molecular analysis of combined hepatocellular-cholangiocarcinomas. J Hepatol. 41:292–298. 2004. View Article : Google Scholar : PubMed/NCBI

12 

Jarnagin WR, Weber S, Tickoo SK, Koea JB, Obiekwe S, Fong Y, DeMatteo RP, Blumgart LH and Klimstra D: Combined hepatocellular and cholangiocarcinoma: Demographic, clinical, and prognostic factors. Cancer. 94:2040–2046. 2002. View Article : Google Scholar : PubMed/NCBI

13 

Kok B and Abraldes JG: Child-Pugh classification: Time to abandon? Semin Liver Dis. 39:96–103. 2019. View Article : Google Scholar : PubMed/NCBI

14 

Zhou L, Rui JA, Zhou WX, Wang SB, Chen SG and Qu Q: Edmondson-steiner grade: A crucial predictor of recurrence and survival in hepatocellular carcinoma without microvascular invasio. Pathol Res Pract. 213:824–830. 2017. View Article : Google Scholar : PubMed/NCBI

15 

Wang AQ, Zheng YC, Du J, Zhu CP, Huang HC, Wang SS, Wu LC, Wan XS, Zhang HH, Miao RY, et al: Combined hepatocellular cholangiocarcinoma: Controversies to be addressed. World J Gastroenterol. 22:4459–4465. 2016. View Article : Google Scholar : PubMed/NCBI

16 

Park H, Choi KH, Choi SB, Choi JW, Kim DY, Ahn SH, Kim KS, Choi JS, Han KH, Chon CY and Park JY: Clinicopathological characteristics in combined hepatocellular-cholangiocarcinoma: A single center study in Korea. Yonsei Med J. 52:753–760. 2011. View Article : Google Scholar : PubMed/NCBI

17 

Chu KJ, Lu CD, Dong H, Fu XH, Zhang HW and Yao XP: Hepatitis B virus-related combined hepatocellular-cholangiocarcinoma: Clinicopathological and prognostic analysis of 390 cases. Eur J Gastroenterol Hepatol. 26:192–199. 2014. View Article : Google Scholar : PubMed/NCBI

18 

Lee CH, Hsieh SY, Chang CJ and Lin YJ: Comparison of clinical characteristics of combined hepatocellular-cholangiocarcinoma and other primary liver cancers. J Gastroenterol Hepatol. 28:122–127. 2013. View Article : Google Scholar : PubMed/NCBI

19 

Tang D, Nagano H, Nakamura M, Wada H, Marubashi S, Miyamoto A, Takeda Y, Umeshita K, Dono K and Monden M: Clinical and pathological features of Allen's type C classification of resected combined hepatocellular and cholangiocarcinoma: A comparative study with hepatocellular carcinoma and cholangiocellular carcinoma. J Gastrointest Surg. 10:987–998. 2006. View Article : Google Scholar : PubMed/NCBI

20 

Kim KH, Lee SG, Park EH, Hwang S, Ahn CS, Moon DB, Ha TY, Song GW, Jung DH, Kim KM, et al: Surgical treatments and prognoses of patients with combined hepatocellular carcinoma and cholangiocarcinoma. Ann Surg Oncol. 16:623–629. 2009. View Article : Google Scholar : PubMed/NCBI

21 

Lee JH, Chung GE, Yu SJ, Hwang SY, Kim JS, Kim HY, Yoon JH, Lee HS, Yi NJ, Suh KS, et al: Long-term prognosis of combined hepatocellular and cholangiocarcinoma after curative resection comparison with hepatocellular carcinoma and cholangiocarcinoma. J Clin Gastroenterol. 45:69–75. 2011. View Article : Google Scholar : PubMed/NCBI

22 

Zuo HQ, Yan LN, Zeng Y, Yang JY, Luo HZ, Liu JW and Zhou LX: Clinicopathological characteristics of 15 patients with combined hepatocellular carcinoma and cholangiocarcinoma. Hepatobiliary Pancreat Dis Int. 6:161–165. 2007.PubMed/NCBI

23 

Gera S, Ettel M, Acosta-Gonzalez G and Xu R: Clinical features, histology, and histogenesis of combined hepatocellular-cholangiocarcinoma. World J Hepatol. 9:300–309. 2017. View Article : Google Scholar : PubMed/NCBI

24 

Song S, Moon HH, Lee S, Kim TS, Shin M, Kim JM, Park JB, Kwon CH, Kim SJ, Lee SK and Joh JW: Comparison between resection and transplantation in combined hepatocellular and cholangiocarcinoma. Transplant Proc. 45:3041–3046. 2013. View Article : Google Scholar : PubMed/NCBI

25 

Wakizaka K, Yokoo H, Kamiyama T, Ohira M, Kato K, Fujii Y, Sugiyama K, Okada N, Ohata T, Nagatsu A, et al: Clinical and pathological features of combined hepatocellular-cholangiocarcinoma compared with other liver cancers. J Gastroenterol Hepatol. 34:1074–1080. 2019. View Article : Google Scholar : PubMed/NCBI

26 

Lee SD, Park SJ, Han SS, Kim SH, Kim YK, Lee SA, Ko YH and Hong EK: Clinicopathological features and prognosis of combined hepatocellular carcinoma and cholangiocarcinoma after surgery. Hepatobiliary Pancreat Dis Int. 13:594–601. 2014. View Article : Google Scholar : PubMed/NCBI

27 

Guo Z: Cancer stem cell markers correlate with early recurrence and survival in hepatocellular carcinoma. World Journal of Gastroenterology. 20:2098–2106. 2014. View Article : Google Scholar : PubMed/NCBI

28 

Zhang F, Chen XP, Zhang W, Dong HH, Xiang S, Zhang WG and Zhang BX: Combined hepatocellular cholangiocarcinoma originating from hepatic progenitor cells: Immunohistochemical and double-fluorescence immunostaining evidence. Histopathology. 52:224–232. 2008. View Article : Google Scholar : PubMed/NCBI

29 

Van Haele M and Roskams T: Hepatic progenitor cells: An update. Gastroenterol Clin North Am. 46:409–420. 2017. View Article : Google Scholar : PubMed/NCBI

30 

Herrera MB, Bruno S, Buttiglieri S, Tetta C, Gatti S, Deregibus MC, Bussolati B and Camussi G: Isolation and characterization of a stem cell population from adult human liver. Stem Cells. 24:2840–2850. 2006. View Article : Google Scholar : PubMed/NCBI

31 

Theise ND, Yao JL, Harada K, Hytiroglou P, Portmann B, Thung SN, Tsui W, Ohta H and Nakanuma Y: Hepatic ‘stem cell’ malignancies in adults: Four cases. Histopathology. 43:263–271. 2003. View Article : Google Scholar : PubMed/NCBI

Related Articles

  • Abstract
  • View
  • Download
  • Twitter
Copy and paste a formatted citation
Spandidos Publications style
Hu J, Chen J, Yang C, Qi Y, Zhang J, Song R, Zhong J and Xiang B: Update on the clinical features, treatment and histogenesis of combined hepatocellular-cholangiocarcinoma. Oncol Lett 31: 204, 2026.
APA
Hu, J., Chen, J., Yang, C., Qi, Y., Zhang, J., Song, R. ... Xiang, B. (2026). Update on the clinical features, treatment and histogenesis of combined hepatocellular-cholangiocarcinoma. Oncology Letters, 31, 204. https://doi.org/10.3892/ol.2026.15559
MLA
Hu, J., Chen, J., Yang, C., Qi, Y., Zhang, J., Song, R., Zhong, J., Xiang, B."Update on the clinical features, treatment and histogenesis of combined hepatocellular-cholangiocarcinoma". Oncology Letters 31.5 (2026): 204.
Chicago
Hu, J., Chen, J., Yang, C., Qi, Y., Zhang, J., Song, R., Zhong, J., Xiang, B."Update on the clinical features, treatment and histogenesis of combined hepatocellular-cholangiocarcinoma". Oncology Letters 31, no. 5 (2026): 204. https://doi.org/10.3892/ol.2026.15559
Copy and paste a formatted citation
x
Spandidos Publications style
Hu J, Chen J, Yang C, Qi Y, Zhang J, Song R, Zhong J and Xiang B: Update on the clinical features, treatment and histogenesis of combined hepatocellular-cholangiocarcinoma. Oncol Lett 31: 204, 2026.
APA
Hu, J., Chen, J., Yang, C., Qi, Y., Zhang, J., Song, R. ... Xiang, B. (2026). Update on the clinical features, treatment and histogenesis of combined hepatocellular-cholangiocarcinoma. Oncology Letters, 31, 204. https://doi.org/10.3892/ol.2026.15559
MLA
Hu, J., Chen, J., Yang, C., Qi, Y., Zhang, J., Song, R., Zhong, J., Xiang, B."Update on the clinical features, treatment and histogenesis of combined hepatocellular-cholangiocarcinoma". Oncology Letters 31.5 (2026): 204.
Chicago
Hu, J., Chen, J., Yang, C., Qi, Y., Zhang, J., Song, R., Zhong, J., Xiang, B."Update on the clinical features, treatment and histogenesis of combined hepatocellular-cholangiocarcinoma". Oncology Letters 31, no. 5 (2026): 204. https://doi.org/10.3892/ol.2026.15559
Follow us
  • Twitter
  • LinkedIn
  • Facebook
About
  • Spandidos Publications
  • Careers
  • Cookie Policy
  • Privacy Policy
How can we help?
  • Help
  • Live Chat
  • Contact
  • Email to our Support Team