Spandidos Publications Logo
  • About
    • About Spandidos
    • Aims and Scopes
    • Abstracting and Indexing
    • Editorial Policies
    • Reprints and Permissions
    • Job Opportunities
    • Terms and Conditions
    • Contact
  • Journals
    • All Journals
    • Oncology Letters
      • Oncology Letters
      • Information for Authors
      • Editorial Policies
      • Editorial Board
      • Aims and Scope
      • Abstracting and Indexing
      • Bibliographic Information
      • Archive
    • International Journal of Oncology
      • International Journal of Oncology
      • Information for Authors
      • Editorial Policies
      • Editorial Board
      • Aims and Scope
      • Abstracting and Indexing
      • Bibliographic Information
      • Archive
    • Molecular and Clinical Oncology
      • Molecular and Clinical Oncology
      • Information for Authors
      • Editorial Policies
      • Editorial Board
      • Aims and Scope
      • Abstracting and Indexing
      • Bibliographic Information
      • Archive
    • Experimental and Therapeutic Medicine
      • Experimental and Therapeutic Medicine
      • Information for Authors
      • Editorial Policies
      • Editorial Board
      • Aims and Scope
      • Abstracting and Indexing
      • Bibliographic Information
      • Archive
    • International Journal of Molecular Medicine
      • International Journal of Molecular Medicine
      • Information for Authors
      • Editorial Policies
      • Editorial Board
      • Aims and Scope
      • Abstracting and Indexing
      • Bibliographic Information
      • Archive
    • Biomedical Reports
      • Biomedical Reports
      • Information for Authors
      • Editorial Policies
      • Editorial Board
      • Aims and Scope
      • Abstracting and Indexing
      • Bibliographic Information
      • Archive
    • Oncology Reports
      • Oncology Reports
      • Information for Authors
      • Editorial Policies
      • Editorial Board
      • Aims and Scope
      • Abstracting and Indexing
      • Bibliographic Information
      • Archive
    • Molecular Medicine Reports
      • Molecular Medicine Reports
      • Information for Authors
      • Editorial Policies
      • Editorial Board
      • Aims and Scope
      • Abstracting and Indexing
      • Bibliographic Information
      • Archive
    • World Academy of Sciences Journal
      • World Academy of Sciences Journal
      • Information for Authors
      • Editorial Policies
      • Editorial Board
      • Aims and Scope
      • Abstracting and Indexing
      • Bibliographic Information
      • Archive
    • International Journal of Functional Nutrition
      • International Journal of Functional Nutrition
      • Information for Authors
      • Editorial Policies
      • Editorial Board
      • Aims and Scope
      • Abstracting and Indexing
      • Bibliographic Information
      • Archive
    • International Journal of Epigenetics
      • International Journal of Epigenetics
      • Information for Authors
      • Editorial Policies
      • Editorial Board
      • Aims and Scope
      • Abstracting and Indexing
      • Bibliographic Information
      • Archive
    • Medicine International
      • Medicine International
      • Information for Authors
      • Editorial Policies
      • Editorial Board
      • Aims and Scope
      • Abstracting and Indexing
      • Bibliographic Information
      • Archive
  • Articles
  • Information
    • Information for Authors
    • Information for Reviewers
    • Information for Librarians
    • Information for Advertisers
    • Conferences
  • Language Editing
Spandidos Publications Logo
  • About
    • About Spandidos
    • Aims and Scopes
    • Abstracting and Indexing
    • Editorial Policies
    • Reprints and Permissions
    • Job Opportunities
    • Terms and Conditions
    • Contact
  • Journals
    • All Journals
    • Biomedical Reports
      • Information for Authors
      • Editorial Policies
      • Editorial Board
      • Aims and Scope
      • Abstracting and Indexing
      • Bibliographic Information
      • Archive
    • Experimental and Therapeutic Medicine
      • Information for Authors
      • Editorial Policies
      • Editorial Board
      • Aims and Scope
      • Abstracting and Indexing
      • Bibliographic Information
      • Archive
    • International Journal of Epigenetics
      • Information for Authors
      • Editorial Policies
      • Editorial Board
      • Aims and Scope
      • Abstracting and Indexing
      • Bibliographic Information
      • Archive
    • International Journal of Functional Nutrition
      • Information for Authors
      • Editorial Policies
      • Editorial Board
      • Aims and Scope
      • Abstracting and Indexing
      • Bibliographic Information
      • Archive
    • International Journal of Molecular Medicine
      • Information for Authors
      • Editorial Policies
      • Editorial Board
      • Aims and Scope
      • Abstracting and Indexing
      • Bibliographic Information
      • Archive
    • International Journal of Oncology
      • Information for Authors
      • Editorial Policies
      • Editorial Board
      • Aims and Scope
      • Abstracting and Indexing
      • Bibliographic Information
      • Archive
    • Medicine International
      • Information for Authors
      • Editorial Policies
      • Editorial Board
      • Aims and Scope
      • Abstracting and Indexing
      • Bibliographic Information
      • Archive
    • Molecular and Clinical Oncology
      • Information for Authors
      • Editorial Policies
      • Editorial Board
      • Aims and Scope
      • Abstracting and Indexing
      • Bibliographic Information
      • Archive
    • Molecular Medicine Reports
      • Information for Authors
      • Editorial Policies
      • Editorial Board
      • Aims and Scope
      • Abstracting and Indexing
      • Bibliographic Information
      • Archive
    • Oncology Letters
      • Information for Authors
      • Editorial Policies
      • Editorial Board
      • Aims and Scope
      • Abstracting and Indexing
      • Bibliographic Information
      • Archive
    • Oncology Reports
      • Information for Authors
      • Editorial Policies
      • Editorial Board
      • Aims and Scope
      • Abstracting and Indexing
      • Bibliographic Information
      • Archive
    • World Academy of Sciences Journal
      • Information for Authors
      • Editorial Policies
      • Editorial Board
      • Aims and Scope
      • Abstracting and Indexing
      • Bibliographic Information
      • Archive
  • Articles
  • Information
    • For Authors
    • For Reviewers
    • For Librarians
    • For Advertisers
    • Conferences
  • Language Editing
Login Register Submit
  • This site uses cookies
  • You can change your cookie settings at any time by following the instructions in our Cookie Policy. To find out more, you may read our Privacy Policy.

    I agree
Search articles by DOI, keyword, author or affiliation
Search
Advanced Search
presentation
Oncology Letters
Join Editorial Board Propose a Special Issue
Print ISSN: 1792-1074 Online ISSN: 1792-1082
Journal Cover
January-February 2010 Volume 1 Issue 1

Full Size Image

Sign up for eToc alerts
Recommend to Library

Journals

International Journal of Molecular Medicine

International Journal of Molecular Medicine

International Journal of Molecular Medicine is an international journal devoted to molecular mechanisms of human disease.

International Journal of Oncology

International Journal of Oncology

International Journal of Oncology is an international journal devoted to oncology research and cancer treatment.

Molecular Medicine Reports

Molecular Medicine Reports

Covers molecular medicine topics such as pharmacology, pathology, genetics, neuroscience, infectious diseases, molecular cardiology, and molecular surgery.

Oncology Reports

Oncology Reports

Oncology Reports is an international journal devoted to fundamental and applied research in Oncology.

Experimental and Therapeutic Medicine

Experimental and Therapeutic Medicine

Experimental and Therapeutic Medicine is an international journal devoted to laboratory and clinical medicine.

Oncology Letters

Oncology Letters

Oncology Letters is an international journal devoted to Experimental and Clinical Oncology.

Biomedical Reports

Biomedical Reports

Explores a wide range of biological and medical fields, including pharmacology, genetics, microbiology, neuroscience, and molecular cardiology.

Molecular and Clinical Oncology

Molecular and Clinical Oncology

International journal addressing all aspects of oncology research, from tumorigenesis and oncogenes to chemotherapy and metastasis.

World Academy of Sciences Journal

World Academy of Sciences Journal

Multidisciplinary open-access journal spanning biochemistry, genetics, neuroscience, environmental health, and synthetic biology.

International Journal of Functional Nutrition

International Journal of Functional Nutrition

Open-access journal combining biochemistry, pharmacology, immunology, and genetics to advance health through functional nutrition.

International Journal of Epigenetics

International Journal of Epigenetics

Publishes open-access research on using epigenetics to advance understanding and treatment of human disease.

Medicine International

Medicine International

An International Open Access Journal Devoted to General Medicine.

Journal Cover
January-February 2010 Volume 1 Issue 1

Full Size Image

Sign up for eToc alerts
Recommend to Library

  • Article
  • Citations
    • Cite This Article
    • Download Citation
    • Create Citation Alert
    • Remove Citation Alert
    • Cited By
  • Similar Articles
    • Related Articles (in Spandidos Publications)
    • Similar Articles (Google Scholar)
    • Similar Articles (PubMed)
  • Download PDF
  • Download XML
  • View XML
Article

Differential expression of tetraspanin CD9 in basal cell and squamous cell carcinomas of the skin and actinic keratosis

  • Authors:
    • Thomas Ach
    • Mirjana Ziemer
    • Jens Dawczynski
    • Jürgen Strobel
    • Georg Sauer
    • Helmut Deissler
  • View Affiliations / Copyright

    Affiliations: Department of Ophthalmology, University Hospital Heidelberg, Heidelberg, Germany
  • Pages: 37-40
    |
    Published online on: January 1, 2010
       https://doi.org/10.3892/ol_00000006
  • Expand metrics +
Metrics: Total Views: 0 (Spandidos Publications: | PMC Statistics: )
Metrics: Total PDF Downloads: 0 (Spandidos Publications: | PMC Statistics: )
Cited By (CrossRef): 0 citations Loading Articles...

This article is mentioned in:



Abstract

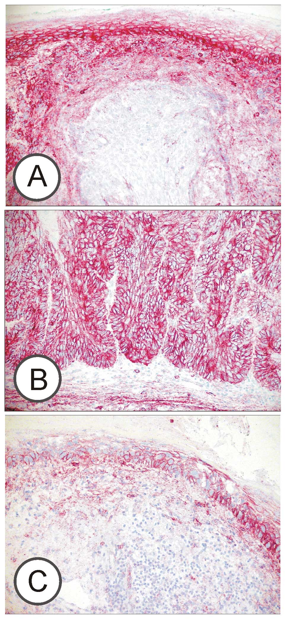
Tetraspanins are potentially useful molecular markers that differentiate between tumour classes and subtypes, since members of this protein family were often found to be altered during malignant conversion and tumour progression. In this study, we analysed expression of the tetraspanin CD9 in the frequent cutaneous neoplasms basal cell carcinoma (BCC), squamous cell carcinoma (SCC) and actinic keratosis (AK), which is considered a precursor lesion (carcinoma in situ) from which an invasive SCC can develop. A moderate to strong CD9-specific staining of the tumour cells' plasma membranes was uniquely observed in all BCCs, SCCs and AKs. All SCCs showed additional intracellular CD9 which was rarely (20%) seen in AKs. Semi-quantitative assessment of CD9 present in the plasma membranes of tumour cells of BCCs (mean staining intensity 1.91) and SCCs (3.64) reflected the different CD9 expression of normal precursor cells from which these tumours most likely originate. Although considered an intermediate stage in the development of SCCs, AKs did not show intense staining of the plasma membranes typical of normal keratinocytes or invasive SCCs (p=0.011) but only moderate intensity (mean 1.63). In BCCs, significantly (p=0.0005, n=56) stronger CD9-specific immunoreactivity was seen in the inner regions of the tumours than at their sites of expansion. In summary, our results point to an important role of CD9 at the front of tumour expansion in BCCs and SCCs, and in the pathogenesis of invasive SCCs.
View Figures

Figure 1

Figure 2

View References

1 

Diepgen TL and Mahler V: The epidemiology of skin cancer. Br J Dermatol. 146:1–6. 2002. View Article : Google Scholar

2 

Leiter U and Garbe C: Epidemiology of melanoma and nonmelanoma skin cancer - the role of sunlight. Adv Exp Med Biol. 624:89–103. 2008. View Article : Google Scholar : PubMed/NCBI

3 

Frost CA and Green AC: Epidemiology of solar keratoses. Br J Dermatol. 131:455–464. 1994. View Article : Google Scholar : PubMed/NCBI

4 

Ortonne JP: From actinic keratosis to squamous cell carcinoma. Br J Dermatol. 146:20–23. 2002. View Article : Google Scholar

5 

Kwa RE, Campana K and Moy RL: Biology of cutaneous squamous cell carcinoma. J Am Acad Dermatol. 26:1–26. 1992. View Article : Google Scholar

6 

Chin CW, Foss AJ, Stevens A and Lowe J: Differences in the vascular patterns of basal and squamous cell skin carcinomas explain their differences in clinical behaviour. J Pathol. 200:308–313. 2003. View Article : Google Scholar : PubMed/NCBI

7 

Anthony ML: Surgical treatment of nonmelanoma skin cancer. AORN J. 71:552–558. 5602000.PubMed/NCBI

8 

Neville JA, Welch E and Leffell DJ: Management of nonmelanoma skin cancer in 2007. Nat Clin Pract Oncol. 4:462–469. 2007. View Article : Google Scholar : PubMed/NCBI

9 

Jagdeo J, Weinstock MA, Piepkorn M and Bingham SF: Reliability of the histopathologic diagnosis of keratinocyte carcinomas. J Am Acad Dermatol. 57:279–284. 2007. View Article : Google Scholar : PubMed/NCBI

10 

Hemler ME: Tetraspanin functions and associated microdomains. Nat Rev Mol Cell Biol. 6:801–811. 2005. View Article : Google Scholar : PubMed/NCBI

11 

Hemler ME: Targeting of tetraspanin proteins - potential benefits and strategies. Nat Rev Drug Discov. 7:747–758. 2008. View Article : Google Scholar : PubMed/NCBI

12 

Scholz CJ, Kurzeder C, Koretz K, Windisch J, Kreienberg R, Sauer G and Deissler H: Tspan-1 is a tetraspanin preferentially expressed by mucinous and endometrioid subtypes of human ovarian carcinomas. Cancer Lett. 275:198–203. 2009. View Article : Google Scholar : PubMed/NCBI

13 

Si Z and Hersey P: Expression of the neuroglandular antigen and analogues in melanoma. CD9 expression appears inversely related to metastatic potential of melanoma. Int J Cancer. 54:37–43. 1993. View Article : Google Scholar : PubMed/NCBI

14 

Baudoux B, Castanares-Zapatero D, Leclercq-Smekens M, Berna N and Poumay Y: The tetraspanin CD9 associates with the integrin alpha6beta4 in cultured human epidermal keratinocytes and is involved in cell motility. Eur J Cell Biol. 79:41–51. 2000. View Article : Google Scholar : PubMed/NCBI

15 

Jones PH, Bishop LA and Watt FM: Functional significance of CD9 association with beta 1 integrins in human epidermal keratinocytes. Cell Adhes Commun. 4:297–305. 1996. View Article : Google Scholar : PubMed/NCBI

16 

Okochi H, Kato M, Nashiro K, Yoshie O, Miyazono K and Furue M: Expression of tetra-spans transmembrane family (CD9, CD37, CD53, CD63, CD81 and CD82) in normal and neoplastic human keratinocytes: an association of CD9 with alpha 3 beta 1 integrin. Br J Dermatol. 137:856–863. 1997. View Article : Google Scholar

17 

Sauer G, Windisch J, Kurzeder C, Heilmann V, Kreienberg R and Deissler H: Progression of cervical carcinomas is associated with down-regulation of CD9 but strong local re-expression at sites of transendothelial invasion. Clin Cancer Res. 9:6426–6431. 2003.PubMed/NCBI

18 

Erovic BM, Pammer J, Hollemann D, Woegerbauer M, Geleff S, Fischer MB, Burian M, Frommlet F and Neuchrist C: Motility-related protein-1/CD9 expression in head and neck squamous cell carcinoma. Head Neck. 25:848–857. 2003. View Article : Google Scholar : PubMed/NCBI

19 

Uchida S, Shimada Y, Watanabe G, Li ZG, Hong T, Miyake M and Imamura M: Motility-related protein (MRP-1/CD9) and KAI1/CD82 expression inversely correlate with lymph node metastasis in oesophageal squamous cell carcinoma. Br J Cancer. 79:1168–1173. 1999. View Article : Google Scholar : PubMed/NCBI

20 

Kusukawa J, Ryu F, Kameyama T and Mekada E: Reduced expression of CD9 in oral squamous cell carcinoma: CD9 expression inversely related to high prevalence of lymph node metastasis. J Oral Pathol Med. 30:73–79. 2001. View Article : Google Scholar : PubMed/NCBI

21 

Mhawech P, Dulguerov P, Tschanz E, Verdan C, Ares C and Allal AS: Motility-related protein-1 (MRP-1/CD9) expression can predict disease-free survival in patients with squamous cell carcinoma of the head and neck. Br J Cancer. 90:471–475. 2004. View Article : Google Scholar : PubMed/NCBI

22 

Deissler H, Kuhn EM, Lang GE and Deissler H: Tetraspanin CD9 is involved in the migration of retinal microvascular endothelial cells. Int J Mol Med. 20:643–652. 2007.PubMed/NCBI

Related Articles

  • Abstract
  • View
  • Download
  • Twitter
Copy and paste a formatted citation
Spandidos Publications style
Ach T, Ziemer M, Dawczynski J, Strobel J, Sauer G and Deissler H: Differential expression of tetraspanin CD9 in basal cell and squamous cell carcinomas of the skin and actinic keratosis . Oncol Lett 1: 37-40, 2010.
APA
Ach, T., Ziemer, M., Dawczynski, J., Strobel, J., Sauer, G., & Deissler, H. (2010). Differential expression of tetraspanin CD9 in basal cell and squamous cell carcinomas of the skin and actinic keratosis . Oncology Letters, 1, 37-40. https://doi.org/10.3892/ol_00000006
MLA
Ach, T., Ziemer, M., Dawczynski, J., Strobel, J., Sauer, G., Deissler, H."Differential expression of tetraspanin CD9 in basal cell and squamous cell carcinomas of the skin and actinic keratosis ". Oncology Letters 1.1 (2010): 37-40.
Chicago
Ach, T., Ziemer, M., Dawczynski, J., Strobel, J., Sauer, G., Deissler, H."Differential expression of tetraspanin CD9 in basal cell and squamous cell carcinomas of the skin and actinic keratosis ". Oncology Letters 1, no. 1 (2010): 37-40. https://doi.org/10.3892/ol_00000006
Copy and paste a formatted citation
x
Spandidos Publications style
Ach T, Ziemer M, Dawczynski J, Strobel J, Sauer G and Deissler H: Differential expression of tetraspanin CD9 in basal cell and squamous cell carcinomas of the skin and actinic keratosis . Oncol Lett 1: 37-40, 2010.
APA
Ach, T., Ziemer, M., Dawczynski, J., Strobel, J., Sauer, G., & Deissler, H. (2010). Differential expression of tetraspanin CD9 in basal cell and squamous cell carcinomas of the skin and actinic keratosis . Oncology Letters, 1, 37-40. https://doi.org/10.3892/ol_00000006
MLA
Ach, T., Ziemer, M., Dawczynski, J., Strobel, J., Sauer, G., Deissler, H."Differential expression of tetraspanin CD9 in basal cell and squamous cell carcinomas of the skin and actinic keratosis ". Oncology Letters 1.1 (2010): 37-40.
Chicago
Ach, T., Ziemer, M., Dawczynski, J., Strobel, J., Sauer, G., Deissler, H."Differential expression of tetraspanin CD9 in basal cell and squamous cell carcinomas of the skin and actinic keratosis ". Oncology Letters 1, no. 1 (2010): 37-40. https://doi.org/10.3892/ol_00000006
Follow us
  • Twitter
  • LinkedIn
  • Facebook
About
  • Spandidos Publications
  • Careers
  • Cookie Policy
  • Privacy Policy
How can we help?
  • Help
  • Live Chat
  • Contact
  • Email to our Support Team