Down-regulation of IL-6, IL-8, TNF-α and IL-1β by glucosamine in HaCaT cells, but not in the presence of TNF-α
- Authors:
- Published online on: March 1, 2010 https://doi.org/10.3892/ol_00000051
- Pages: 289-292
Abstract
Introduction
The inflammatory cytokines IL-6, IL-8, TNF-α and IL-1β play roles in mediating the cellular injury and pathogenesis of chronic inflammatory diseases (1–3). TNF-α and IL-1β initiate the cascade of destructive events, in part, through the activation of transcription factor NF-κB, which in turn induces several proinflammatory genes. In addition, mitogen-activated protein kinases (MAPKs) regulate key proinflammatory pathways following stimulation with UV and TNF-α (4,5). Three MAPK proteins, i.e., extracellular signal-regulated kinase (ERK), c-Jun N-terminal kinase (JNK) and p38 MAPK are thought to play different roles in chronic inflammatory diseases and homeostasis in the skin (6–8).
Glucosamine, an amino sugar, plays a role in improving arthritis in patients due to the anti-inflammatory action of glucosamine compounds that are associated with the suppression of neutrophil functions and proinflammatory cytokines (9–11). Moreover, structural modifications to glucosamine by introducing new functional groups can be expected to improve its therapeutic effects (12). As in the case of glucosamine, curcumin, extracted from C. longa, is a promising anti-inflammatory agent under various experimental conditions (13,14). Curcumin attenuates the expression of TNF-α or ultraviolet-induced inflammatory cytokines in cells (15–17). However, it is still largely unknown whether glucosamine inhibits the TNF-α-induced expression of inflammatory cytokines in the HaCaT keratinocyte cell line. Thus, the present study investigated the anti-inflammatory effect of glucosamine in HaCaT keratinocyte cells with or without TNF-α treatment. In addition, the inhibitory effects of glucosamine were compared to those of curcumin in the HaCaT keratinocyte cell line.
Materials and methods
Materials
Curcumin, glucosamine and TNF-α were purchased from Sigma-Aldrich (St. Louis, MO, USA). Antibodies against phospho-ERK (p-ERK), ERK, phospho-p38 (p-p38), p38, phospho-JNK (p-JNK) and JNK were purchased from Cell Signaling (Beverly, MA, USA).
Cell culture
The HaCaT keratinocyte cell line was maintained at 37°C in a humidified atmosphere of 95% air and 5% CO2 in Dulbecco’s modified Eagle’s medium supplemented with 10% heat-inactivated fetal bovine serum (FBS), 2 mM glutamine, 100 U/ml penicillin and 100 μg/ml streptomycin. For the experiments, cells (5×104/ml) were seeded in a culture dish and maintained in the tissue culture incubator.
Chemical agent treatment
Cells were cultured and treated with glucosamine (1–10 mM), curcumin (1–20 μM) or TNF-α (20 ng/ml) for 24 h.
Reverse transcription-polymerase chain reaction (RT-PCR)
Total RNA was isolated from the cells using RNAzol™ B (Biotech Laboratories, Houston, TX, USA) according to the manufacturer’s instructions and then quantitated with a spectrophotometer. Total RNA (1 μg) was reverse transcribed using M-MLV Reverse Transcriptase (Promega Co., Madison, WI, USA). The PCR reaction was carried out under the conditions recommended by the manufacturer (Takara Co., Otsu, Japan). The primer sequences and product sizes were as follows: GAPDH forward, 5′-CGT CTT CAC CAC CAT GGA GA-3′; reverse, 5′-CGG CCA TCA CGC CAC AGT TT-3′; IL-6 forward, 5′-GTG TGA AAG CAG CAA AGA GGC-3′; reverse, 5′-CTG GAG GTA CTC TAG GTA TAC-3′; IL-8 forward, 5′-ATG ACT TCC AAG CTG GGC CGT G-3′; reverse, 5′-TAT GAA TTC TCA GCC CTC TTC AAAA-3′; TNF-α forward, 5′-CAA AGT AGA CCT GCC CAG AC-3′; reverse, 5′-GAC CTC TCT CTA ATC AGC CC-3′; IL-1β forward, 5′-AAA AGC TTG GTG ATG TCT GG-3′; reverse, 5′-TTT CAA CAC GCA GGA CAG G-3′.
Western blot analysis
Cells were lysed in lysis buffer [10 mM Tris (pH 7.4), 5 mM EDTA, 130 mM NaCl, 1% Triton X-100, 10 μg/ml PMSF, 10 μg/ml aprotinin, 10 μg/ml leupeptin, 5 mM phenanthroline and 28 mM benzamidine-HCl] for 30 min on ice. Lysates were clarified by centrifugation and quantitated using the Bradford assay (Life Science Co., CA, USA) with bovine serum albumin as a reference standard. Proteins (35 μg) were resolved by sodium dodecyl sulfate-polyacrylamide gels and transferred to an Immobilon-P Transfer Membrane (Millipore Co., Billerica, MA, USA). After incubation with the primary antibodies, proteins were visualized by incubation with horseradish peroxidase-conjugated secondary antibodies, followed by ECL according to the manufacturer’s instructions (Amersham Life Science Co., Buckinghamshire, UK).
Results
Effect of glucosamine and curcumin on the expression of proinflammatory cytokines in HaCaT cells
To study the effect of glucosamine and curcumin treatment on the expression of IL-6, IL-8, TNF-α and IL-1β, HaCaT cells were exposed to glucosamine at doses ranging from 1 to 10 mM, and curcumin at doses ranging from 1 to 20 μM. Cells were then harvested for 24 h after treatment for RT-PCR analysis. As shown in Fig. 1A, IL-6, IL-8, TNF-α and IL-1β expression was clearly decreased in a dose-dependent manner in the glucosamine-treated HaCaT cells. In contrast to glucosamine treatment, the expression of IL-8, TNF-α and IL-1β was increased in the curcumin-treated HaCaT cells (Fig. 1B). Increased expression of IL-8 and IL-1β was clearly visualized at >10 μM curcumin treatment, following a sustained increased expression of IL-8 and IL-1β. The results indicate that glucosamine induces the down-regulation of IL-6, IL-8, TNF-α and IL-1β, while curcumin induces the up-regulation of IL-8 and IL-1β in HaCaT cells.
Effect of TNF-α on the expression of proinflammatory cytokines in HaCaT cells
To study the effect of TNF-α treatment on the expression of IL-6, IL-8, TNF-α and IL-1β, HaCaT cells were exposed to TNF-α at doses of 20 ng/ml. The cells were then harvested for 24 h after treatment for RT-PCR analysis. As shown in Fig. 2, IL-6, IL-8, TNF-α and IL-1β expression was increased and visualized at 8 h, following the sustained increased expression. Thus, we investigated whether glucosamine inhibits the TNF-α-induced up-regulation of IL-6, IL-8, TNF-α and IL-1β in HaCaT cells.
Effect of glucosamine on TNF-α-induced expression of proinflammatory cytokines in HaCaT cells
To investigate whether glucosamine inhibits TNF-α-induced IL-6, IL-8, TNF-α and IL-1β expression, HaCaT cells were treated with TNF-α (20 ng/ml) with or without glucosamine (10 mM). These results were compared to those of curcumin treatment. As shown in Fig. 3A, the up-regulation of IL-6, IL-8, TNF-α and IL-1β by TNF-α treatment was not decreased by glucosamine treatment. These results indicate that, even though glucosamine reduces the expression of proinflammatory cytokines in cells, the glucosamine-induced inhibitory effect on the expression of proinflammatory cytokines, such as IL-6, IL-8, TNF-α and IL-1β, is eliminated by the presence of a potent inflammatory stimulus such as TNF-α. However, the up-regulation of IL-6, IL-8, TNF-α and IL-1β by TNF-α treatment was decreased by curcumin treatment (Fig. 3B).
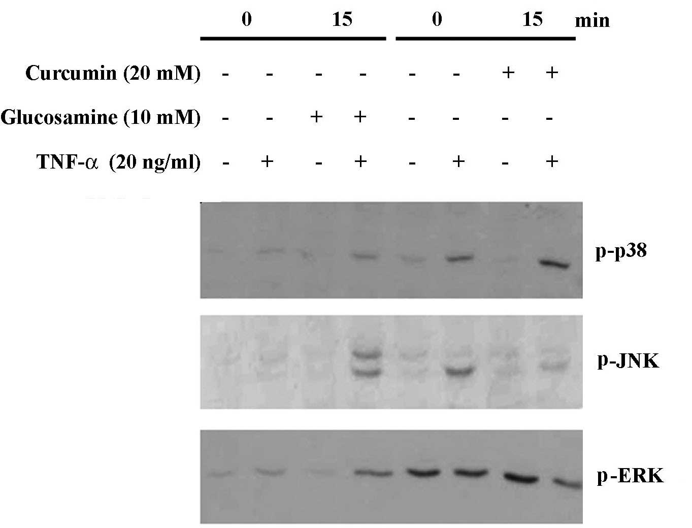
Effect of glucosamine on TNF-α induced the activation of MAPKs
Accumulating data suggest that TNF-α-treated cells show an increased expression of IL-6, IL-8, TNF-α and IL-1β through MAPK-dependent pathways such as p38 MAPK and JNK. However, it is unknown whether glucosamine modulates the expression of IL-6, IL-8 and IL-1β by inhibiting the MAPK pathways in TNF-α-treated HaCaT cells. We compared the MPK inhibitory effects between glucosamine and curcumin. We examined the effect of glucosamine (10 mM) or curcumin (10 μM) on the activation of p38 MAPK, JNK and ERK in HaCaT cells. As shown in Fig. 4, treatment of glucosamine (10 mM) did not inhibit the activation of p38, JNK and ERK in HaCaT cells treated with TNF-α. However, in the presence of curcumin (20 μM), TNF-α-induced JNK and ERK activation was dramatically inhibited, evidenced by decreased phospho-p38 and ERK. These results suggest that TNF-α-induced MAPK activation is not inhibited by glucosamine treatment in HaCaT cells, but is inhibited by curcumin. Stripping and reprobing the same membrane with antibodies against p38, JNK and ERK revealed no change in the total protein levels of each kinase (data not shown).
Discussion
Glucosamine is thought to exert anti-inflammatory effects, including the suppression of inflammatory cytokines under various conditions. In addition, glucosamine was found to inhibit inducible nitric oxide synthase and cyclooxygenase-2 in lipopolysaccharide (LPS)-stimulated RAW264.7 cells (18) and suppress the proliferation of human prostate carcinoma DU145 cells through the inhibition of STAT3 signaling (19). Numerous studies have repoted on the anti-inflammatory effects of glucosamine and chondroitin sulfate. The two sulfates are agents that relieve pain, improve functional activity and slow disease progression in osteoarthritis especially that of the hip and knee (20). However, the anti-inflammatory effect of glucosamine in inflammatory skin disease still remains unknown. Our data showed that glucosamine inhibited the growth of the HaCaT keratinocyte cell line and induced the down-regulation of IL-6, IL-8, TNF-α and IL-1β mRNA, suggesting that glucosamine also plays a role in alleviating inflammatory skin diseases.
TNF-α is a primary inflammatory cytokine with a broad range of proinflammatory and immunostimulatory activities. TNF-α plays an important role in the development of inflammatory skin diseases such as psoriasis and atopic dermatitis (21–23). Down-stream inflammatory responses to TNF-α are mediated through the up-regulation of IL-1, IL-2, IL-6, IL-10 and IFN-γ (5,24). Thus, broad anti-inflammatory effects may be achieved through the inhibition of the TNF-α pathways. However, we did not observe an inhibitory effect of glucosamine on the TNF-α-induced up-regulation of IL-6, IL-8, TNF-α and IL-1β in HaCaT cells. In addition, the activation of MAPKs such as p38, JNK and ERK in TNF-α-treated HaCaT cells was not inhibited by glucosamine. These results were similar to a previous study in which glucosamine was noted to have no effect on the activation of p38 MAPK, JNK-1/2 and ERK-1/2 in IL-1β-stimulated A549 cells (9). In contrast, glucosamine was shown to block LPS-induced activation of p38 MAPK and JNK in RAW264.7 cells (18). Thus, the glucosamine-induced down-regulation of the MAPK pathway requires further study under various conditions. Curcumin is known to exert its anti-inflammatory activity in various cell lines through the inhibition of the MAPK pathways. In this study, curcumin attenuated the expression of TNF-α-induced IL-6 and IL-8 in HaCaT cells, as well as the inhibition of TNF-α-induced JNK and ERK activation.
In conclusion, the findings of the present study demonstrate, for the first time, to the best of our knowledge, that glucosamine inhibits the expression of IL-6, IL-8, TNF-α and IL-1β in HaCaT cells, but not in the presence of TNF-α. These results suggest that glucosamine can be used as a candidate immunomodulatory agent in inflammatory skin disease, while its use in the case of TNF-α-overexpressing skin disease should be further investigated.
References
|
Damjanov N and Vojinovic J: Biologic therapy of rheumatoid arthritis. Srp Arh Celok Lek. 137:205–210. 2009. View Article : Google Scholar : PubMed/NCBI | |
|
Ding C, Cicuttini F, Li J and Jones G: Targeting IL-6 in the treatment of inflammatory and autoimmune diseases. Expert Opin Investig Drugs. 18:1457–1466. 2009. View Article : Google Scholar : PubMed/NCBI | |
|
Kovarikova M, Hofmanova J, Soucek K and Kozubik A: The effects of TNF-alpha and inhibitors of arachidonic acid metabolism on human colon HT-29 cells depend on differentiation status. Differentiation. 72:23–31. 2004. View Article : Google Scholar : PubMed/NCBI | |
|
Carlsen H, Alexander G, Austenaa LM, Ebihara K and Blomhoff R: Molecular imaging of the transcription factor NF-kappaB, a primary regulator of stress response. Mutat Res. 551:199–211. 2004. View Article : Google Scholar : PubMed/NCBI | |
|
Muthusamy V and Piva TJ: The UV response of the skin: a review of the MAPK, NFkappaB and TNFalpha signal transduction pathways. Arch Dermatol Res. Sep 16–2009.(Epub ahead of print). | |
|
Leng H, Luo X, Ma L, Kang K and Zheng Z: Reversal of ultraviolet B-induced immunosuppression by inhibition of the extracellular signal-regulated mitogen-activated protein kinase. Photodermatol Photoimmunol Photomed. 25:264–269. 2009. View Article : Google Scholar : PubMed/NCBI | |
|
Neves BM, Cruz MT, Francisco V, Garcia-Rodriguez C, Silvestre R, Cordeiro-da-Silva A, Dinis AM, Batista MT, Duarte CB and Lopes MC: Differential roles of PI3-kinase, MAPKs and NF-kappaB on the manipulation of dendritic cell T(h)1/T(h)2 cytokine/chemokine polarizing profile. Mol Immunol. 46:2481–2492. 2009. View Article : Google Scholar : PubMed/NCBI | |
|
Ivanova IA, Nakrieko KA and Dagnino L: Phosphorylation by p38 MAP kinase is required for E2F1 degradation and keratinocyte differentiation. Oncogene. 28:52–62. 2009. View Article : Google Scholar : PubMed/NCBI | |
|
Hong H, Park YK, Choi MS, Ryu NH, Song DK, Suh SI, Nam KY, Park GY and Jang BC: Differential down-regulation of COX-2 and MMP-13 in human skin fibroblasts by glucosamine-hydrochloride. J Dermatol Sci. 56:43–50. 2009. View Article : Google Scholar : PubMed/NCBI | |
|
Hwang SM, Chen CY, Chen SS and Chen JC: Chitinous materials inhibit nitric oxide production by activated RAW 264.7 macrophages. Biochem Biophys Res Commun. 271:229–233. 2000. View Article : Google Scholar : PubMed/NCBI | |
|
Xing D, Feng W, Not LG, Miller AP, Zhang Y, Chen YF, Majid-Hassan E, Chatham JC and Oparil S: Increased protein O-GlcNAc modification inhibits inflammatory and neointimal responses to acute endoluminal arterial injury. Am J Physiol Heart Circ Physiol. 295:335–342. 2008. View Article : Google Scholar : PubMed/NCBI | |
|
Kneass ZT and Marchase RB: Protein O-GlcNAc modulates motility-associated signaling intermediates in neutrophils. J Biol Chem. 280:14579–14585. 2005. View Article : Google Scholar : PubMed/NCBI | |
|
Sinha R, Anderson DE, McDonald SS and Greenwald P: Cancer risk and diet in India. J Postgrad Med. 49:222–228. 2003.PubMed/NCBI | |
|
Pari L, Tewas D and Eckel J: Role of curcumin in health and disease. Arch Physiol Biochem. 114:127–149. 2008. View Article : Google Scholar : PubMed/NCBI | |
|
Jiang ZY, Zou L, Shi SS, Lu YR, Dong J, Yang CH, Lu YC and Dai GK: Effects of curcumin on TNF-alpha and TGF-beta1 in serum and lung tissue of SiO(2)-induced fibrosis in mice. Xi Bao Yu Fen Zi Mian Yi Xue Za Zhi. 25:399–401. 2009.PubMed/NCBI | |
|
Reuter S, Charlet J, Juncker T, Teiten MH, Dicato M and Diederich M: Effect of curcumin on nuclear factor kappaB signaling pathways in human chronic myelogenous K562 leukemia cells. Ann NY Acad Sci. 1171:436–447. 2009. View Article : Google Scholar | |
|
Wang SL, Li Y, Wen Y, Chen YF, Na LX, Li ST and Sun CH: Curcumin, a potential inhibitor of up-regulation of TNF-alpha and IL-6 induced by palmitate in 3T3-L1 adipocytes through NF-kappaB and JNK pathway. Biomed Environ Sci. 22:32–39. 2009. View Article : Google Scholar : PubMed/NCBI | |
|
Rafi MM, Yadav PN and Rossi AO: Glucosamine inhibits LPS-induced COX-2 and iNOS expression in mouse macrophage cells (RAW 264.7) by inhibition of p38-MAP kinase and transcription factor NF-kappaB. Mol Nutr Food Res. 51:587–593. 2007. View Article : Google Scholar : PubMed/NCBI | |
|
Chesnokov V, Sun C and Itakura K: Glucosamine suppresses proliferation of human prostate carcinoma DU145 cells through inhibition of STAT3 signaling. Cancer Cell Int. 9:25–28. 2009. View Article : Google Scholar : PubMed/NCBI | |
|
Fox BA and Stephens MM: Glucosamine/chondroitin/primorine combination therapy for osteoarthritis. Drugs Today. 45:21–31. 2009. View Article : Google Scholar : PubMed/NCBI | |
|
Bonness S and Bieber T: Molecular basis of atopic dermatitis. Curr Opin Allergy Clin Immunol. 7:382–386. 2007. View Article : Google Scholar : PubMed/NCBI | |
|
Capon F, Trembath RC and Barker JN: An update on the genetics of psoriasis. Dermatol Clin. 22:339–347. 2004. View Article : Google Scholar : PubMed/NCBI | |
|
Deane JA and Hickey MJ: Molecular mechanisms of leukocyte trafficking in T-cell-mediated skin inflammation: insights from intravital imaging. Expert Rev Mol Med. 11:e252009. View Article : Google Scholar : PubMed/NCBI | |
|
Escobar J, Pereda J, Arduini A, Sandoval J, Sabater L, Aparisi L, Lopez-Rodas G and Sastre J: Cross-talk between oxidative stress and pro-inflammatory cytokines in acute pancreatitis: a key role for protein phosphatases. Curr Pharm Des. 15:3027–3042. 2009. View Article : Google Scholar : PubMed/NCBI |







