Spandidos Publications Logo
  • About
    • About Spandidos
    • Aims and Scopes
    • Abstracting and Indexing
    • Editorial Policies
    • Reprints and Permissions
    • Job Opportunities
    • Terms and Conditions
    • Contact
  • Journals
    • All Journals
    • Oncology Letters
      • Oncology Letters
      • Information for Authors
      • Editorial Policies
      • Editorial Board
      • Aims and Scope
      • Abstracting and Indexing
      • Bibliographic Information
      • Archive
    • International Journal of Oncology
      • International Journal of Oncology
      • Information for Authors
      • Editorial Policies
      • Editorial Board
      • Aims and Scope
      • Abstracting and Indexing
      • Bibliographic Information
      • Archive
    • Molecular and Clinical Oncology
      • Molecular and Clinical Oncology
      • Information for Authors
      • Editorial Policies
      • Editorial Board
      • Aims and Scope
      • Abstracting and Indexing
      • Bibliographic Information
      • Archive
    • Experimental and Therapeutic Medicine
      • Experimental and Therapeutic Medicine
      • Information for Authors
      • Editorial Policies
      • Editorial Board
      • Aims and Scope
      • Abstracting and Indexing
      • Bibliographic Information
      • Archive
    • International Journal of Molecular Medicine
      • International Journal of Molecular Medicine
      • Information for Authors
      • Editorial Policies
      • Editorial Board
      • Aims and Scope
      • Abstracting and Indexing
      • Bibliographic Information
      • Archive
    • Biomedical Reports
      • Biomedical Reports
      • Information for Authors
      • Editorial Policies
      • Editorial Board
      • Aims and Scope
      • Abstracting and Indexing
      • Bibliographic Information
      • Archive
    • Oncology Reports
      • Oncology Reports
      • Information for Authors
      • Editorial Policies
      • Editorial Board
      • Aims and Scope
      • Abstracting and Indexing
      • Bibliographic Information
      • Archive
    • Molecular Medicine Reports
      • Molecular Medicine Reports
      • Information for Authors
      • Editorial Policies
      • Editorial Board
      • Aims and Scope
      • Abstracting and Indexing
      • Bibliographic Information
      • Archive
    • World Academy of Sciences Journal
      • World Academy of Sciences Journal
      • Information for Authors
      • Editorial Policies
      • Editorial Board
      • Aims and Scope
      • Abstracting and Indexing
      • Bibliographic Information
      • Archive
    • International Journal of Functional Nutrition
      • International Journal of Functional Nutrition
      • Information for Authors
      • Editorial Policies
      • Editorial Board
      • Aims and Scope
      • Abstracting and Indexing
      • Bibliographic Information
      • Archive
    • International Journal of Epigenetics
      • International Journal of Epigenetics
      • Information for Authors
      • Editorial Policies
      • Editorial Board
      • Aims and Scope
      • Abstracting and Indexing
      • Bibliographic Information
      • Archive
    • Medicine International
      • Medicine International
      • Information for Authors
      • Editorial Policies
      • Editorial Board
      • Aims and Scope
      • Abstracting and Indexing
      • Bibliographic Information
      • Archive
  • Articles
  • Information
    • Information for Authors
    • Information for Reviewers
    • Information for Librarians
    • Information for Advertisers
    • Conferences
  • Language Editing
Spandidos Publications Logo
  • About
    • About Spandidos
    • Aims and Scopes
    • Abstracting and Indexing
    • Editorial Policies
    • Reprints and Permissions
    • Job Opportunities
    • Terms and Conditions
    • Contact
  • Journals
    • All Journals
    • Biomedical Reports
      • Information for Authors
      • Editorial Policies
      • Editorial Board
      • Aims and Scope
      • Abstracting and Indexing
      • Bibliographic Information
      • Archive
    • Experimental and Therapeutic Medicine
      • Information for Authors
      • Editorial Policies
      • Editorial Board
      • Aims and Scope
      • Abstracting and Indexing
      • Bibliographic Information
      • Archive
    • International Journal of Epigenetics
      • Information for Authors
      • Editorial Policies
      • Editorial Board
      • Aims and Scope
      • Abstracting and Indexing
      • Bibliographic Information
      • Archive
    • International Journal of Functional Nutrition
      • Information for Authors
      • Editorial Policies
      • Editorial Board
      • Aims and Scope
      • Abstracting and Indexing
      • Bibliographic Information
      • Archive
    • International Journal of Molecular Medicine
      • Information for Authors
      • Editorial Policies
      • Editorial Board
      • Aims and Scope
      • Abstracting and Indexing
      • Bibliographic Information
      • Archive
    • International Journal of Oncology
      • Information for Authors
      • Editorial Policies
      • Editorial Board
      • Aims and Scope
      • Abstracting and Indexing
      • Bibliographic Information
      • Archive
    • Medicine International
      • Information for Authors
      • Editorial Policies
      • Editorial Board
      • Aims and Scope
      • Abstracting and Indexing
      • Bibliographic Information
      • Archive
    • Molecular and Clinical Oncology
      • Information for Authors
      • Editorial Policies
      • Editorial Board
      • Aims and Scope
      • Abstracting and Indexing
      • Bibliographic Information
      • Archive
    • Molecular Medicine Reports
      • Information for Authors
      • Editorial Policies
      • Editorial Board
      • Aims and Scope
      • Abstracting and Indexing
      • Bibliographic Information
      • Archive
    • Oncology Letters
      • Information for Authors
      • Editorial Policies
      • Editorial Board
      • Aims and Scope
      • Abstracting and Indexing
      • Bibliographic Information
      • Archive
    • Oncology Reports
      • Information for Authors
      • Editorial Policies
      • Editorial Board
      • Aims and Scope
      • Abstracting and Indexing
      • Bibliographic Information
      • Archive
    • World Academy of Sciences Journal
      • Information for Authors
      • Editorial Policies
      • Editorial Board
      • Aims and Scope
      • Abstracting and Indexing
      • Bibliographic Information
      • Archive
  • Articles
  • Information
    • For Authors
    • For Reviewers
    • For Librarians
    • For Advertisers
    • Conferences
  • Language Editing
Login Register Submit
  • This site uses cookies
  • You can change your cookie settings at any time by following the instructions in our Cookie Policy. To find out more, you may read our Privacy Policy.

    I agree
Search articles by DOI, keyword, author or affiliation
Search
Advanced Search
presentation
Oncology Reports
Join Editorial Board Propose a Special Issue
Print ISSN: 1021-335X Online ISSN: 1791-2431
Journal Cover
October-2016 Volume 36 Issue 4

Full Size Image

Sign up for eToc alerts
Recommend to Library

Journals

International Journal of Molecular Medicine

International Journal of Molecular Medicine

International Journal of Molecular Medicine is an international journal devoted to molecular mechanisms of human disease.

International Journal of Oncology

International Journal of Oncology

International Journal of Oncology is an international journal devoted to oncology research and cancer treatment.

Molecular Medicine Reports

Molecular Medicine Reports

Covers molecular medicine topics such as pharmacology, pathology, genetics, neuroscience, infectious diseases, molecular cardiology, and molecular surgery.

Oncology Reports

Oncology Reports

Oncology Reports is an international journal devoted to fundamental and applied research in Oncology.

Experimental and Therapeutic Medicine

Experimental and Therapeutic Medicine

Experimental and Therapeutic Medicine is an international journal devoted to laboratory and clinical medicine.

Oncology Letters

Oncology Letters

Oncology Letters is an international journal devoted to Experimental and Clinical Oncology.

Biomedical Reports

Biomedical Reports

Explores a wide range of biological and medical fields, including pharmacology, genetics, microbiology, neuroscience, and molecular cardiology.

Molecular and Clinical Oncology

Molecular and Clinical Oncology

International journal addressing all aspects of oncology research, from tumorigenesis and oncogenes to chemotherapy and metastasis.

World Academy of Sciences Journal

World Academy of Sciences Journal

Multidisciplinary open-access journal spanning biochemistry, genetics, neuroscience, environmental health, and synthetic biology.

International Journal of Functional Nutrition

International Journal of Functional Nutrition

Open-access journal combining biochemistry, pharmacology, immunology, and genetics to advance health through functional nutrition.

International Journal of Epigenetics

International Journal of Epigenetics

Publishes open-access research on using epigenetics to advance understanding and treatment of human disease.

Medicine International

Medicine International

An International Open Access Journal Devoted to General Medicine.

Journal Cover
October-2016 Volume 36 Issue 4

Full Size Image

Sign up for eToc alerts
Recommend to Library

  • Article
  • Citations
    • Cite This Article
    • Download Citation
    • Create Citation Alert
    • Remove Citation Alert
    • Cited By
  • Similar Articles
    • Related Articles (in Spandidos Publications)
    • Similar Articles (Google Scholar)
    • Similar Articles (PubMed)
  • Download PDF
  • Download XML
  • View XML
Article Open Access

Expression pattern and methylation of estrogen receptor α in breast intraductal proliferative lesions

  • Authors:
    • Xiaoyun Mao
    • Zhen Qiao
    • Chuifeng Fan
    • Ayao Guo
    • Xinmiao Yu
    • Feng Jin
  • View Affiliations / Copyright

    Affiliations: Department of Breast Surgery, Department of Surgical Oncology, Research Unit of General Surgery, The First Affiliated Hospital of China Medical University, Shenyang, Liaoning 110001, P.R. China, Department of Pathology, The First Affiliated Hospital and College of Basic Medical Sciences of China Medical University, Shenyang, Liaoning 110001, P.R. China
    Copyright: © Mao et al. This is an open access article distributed under the terms of Creative Commons Attribution License.
  • Pages: 1868-1874
    |
    Published online on: August 1, 2016
       https://doi.org/10.3892/or.2016.4988
  • Expand metrics +
Metrics: Total Views: 0 (Spandidos Publications: | PMC Statistics: )
Metrics: Total PDF Downloads: 0 (Spandidos Publications: | PMC Statistics: )
Cited By (CrossRef): 0 citations Loading Articles...

This article is mentioned in:



Abstract

Intraductal proliferative lesions of the breast including usual ductal hyperplasia (UDH), atypical ductal hyperplasia (ADH) and ductal carcinoma in situ (DCIS) are associated with increased risk, albeit of greatly different magnitudes, for the subsequent development of invasive carcinoma. Estrogen receptor α (ERα) has been widely accepted as a prognostic marker and a predictor for endocrine therapy response of breast cancer. To investigate the ERα expression and methylation in breast intraductal proliferative lesions, we analyzed ERα expression in breast intraductal proliferative lesions including pure UDH (N=98), ADH without DCIS (N=160), DCIS without invasive breast cancer (N=149) by immunohistochemistry. Furthermore, the methylation status of ERα by methylation‑specific PCR (MSP) was defined in 217 cases of breast intraductal proliferative lesions. Immunohistochemistry showed that 98/98 (100%) of the UDH cases were positive for ERα expression. ERα protein expression in ADH (132/160) (92.5%) was higher than in DCIS (101/149) (67.8%). But the ERα expression pattern was different with histological diversity of breast intraductal proliferative lesions. The average percent cells staining positive for ERα was 35.33% in UDH, 87.75% in ADH and 71.45% in DCIS. ERα methylation in 32/60 (53.3%) UDH, 11/77 (10.2%) ADH and 32/80 (40.0%) DCIS. Our results demonstrated a strong negative correlation between the percent of cells staining positive for ERα and ERα methylation (r=‑0.831, p<0.001). Taken together, our results underlined that ERα expression or methylation may be involved in the breast carcinogenesis and advancement, thus it is not parallel to breast cancer risk in breast intraductal proliferative lesions. No obvious watershed between ERα‑positive and ‑negative breast carcinogenesis was established. Estrogen receptor (ER) methylation or expression is a reversible signal in breast carcinogenesis which affected biological behavior of cells.

Introduction

Breast cancer subtypes have been identified based on the expression of estrogen receptor (ER), progesterone receptor (PR) and human epidermal growth factor receptor 2 (HER2). Different subgroups presented with distinct molecular backgrounds and exhibited diverse clinical behavior and different treatment response (1). Estrogen receptor α (ERα) activation by estrogenic hormones induced breast cancer cell proliferation of luminal molecular subtype (2). ERα has been widely accepted as a prognostic marker and a predictor for endocrine therapy response of breast cancer (3,4). In general, ERα-negative breast cancers were more aggressive and unresponsive to antiestrogens (5–7). Our previous studies demonstrated that the absence of ERα expression associated with aberrant methylation of its CpG island in a significant fraction of breast cancers (8–10).

Intraductal proliferative lesions of the breast have traditionally been divided into three categories: usual ductal hyperplasia (UDH), atypical ductal hyperplasia (ADH) and ductal carcinoma in situ (DCIS) (11). They were associated with an increased risk, albeit of greatly different magnitudes, for the subsequent development of invasive carcinoma (12,13). The relative risk of subsequent invasive ductal carcinoma of breast was 1.5–2.0 times for UDH, 4–5 times for ADH (range, 2.4–13) and 8–10 times for DCIS (range, 2.4–13) (11,14–16). It was suggested that the breast intraductal proliferative lesions may be direct precursors of invasive ductal carcinoma. Many questions remain as to the role ERα in breast intraductal proliferative lesions. Which stage is the watershed between ERα-positive and -negative breast carcinogenesis needs to be established. The aim of the present study was to determine the expression of ERα and to define the ERα methylation in breast intraductal proliferative lesions.

Materials and methods

Patients and tissue samples

Fresh breast tissue samples were collected from surgical resection in the Department of Breast Surgery, the First Affiliated Hospital of China Medical University between June 2007 and December 2014, including pure UDH (N=98), ADH without DCIS (N=160), DCIS without invasive breast cancer (N=149). None of patients underwent chemotherapy, radiotherapy or adjuvant treatment before operation. Patient ages ranged from 21 to 82, with an average age of 34.5 years. Each case was reviewed independently by two pathologists with a subspecialty focus in breast pathology, and only those cases that both pathologists finally reached unanimous diagnosis were used. In case of insufficient or unattainable material, original tissue blocks were reprocessed and new slides were created. All sections were reviewed for a comprehensive list of pathologic features, including margins (close margins were defined as tissue-free margins <1 mm), the presence of concomitant UDH, ADH, DCIS and IDC. Pathology classification was according to the WHO criteria published by Tavassoli (17–19). The study was approved by the regional Ethics Committee of China Medical University.

Immunohistochemical staining

Formalin-fixed, paraffin- embedded specimens were cut into 4 µm-thick sequential sections. The sections were dewaxed in xylene and rehydrated stepwise in ethanol. Then the sections were boiled in citrate buffer (pH 6.0) for 90 sec in an autoclave. Endogenous peroxidase activity and non-specific binding were blocked with 3% H2O2 and non-immune sera, respectively. The sections were then incubated with primary rabbit anti-human ERα polyclonal antibody F-10 (sc-8002, dilution 1:400; Santa Cruz Biotechnology, Inc.) overnight at 4°C. Thereafter, the Catalyzed Signal Amplification System (Maixin Biotechnology, Fuzhou, China) was used for ERα staining according to the manufacturer's instructions. For the negative control, phosphate-buffered saline (PBS) was used instead of primary antibodies. We also adopted the German semi-quantitative scoring system in combination of the staining intensity and area extent, which has been widely accepted and used in previous studies (20–22). Every lesion was given a score according to the intensity of the nucleic staining (no staining, 0; weak staining, 1; moderate staining, 2; strong staining, 3) and the extent of stained cells (0%, 0; 1–10%, 1; 11–50%, 2; 51–80%, 3; 81–100%, 4; negative, 0% area staining; focally positive, 1–80% area staining; diffusely positive, 81–100% area staining). The final immunoreactive score was determined by multiplying the intensity scores with the extent of positivity scores of stained cells, with the minimum score of 0 and a maximum score of 12 (20,21). Slides were independently examined by two pathologists as previously mentioned. If there was a discrepancy in individual scores, both pathologists re-evaluated them together until a consensus agreement was reached before combining the individual scores. To obtained statistical results, a final score ≤1 was considered as negative, while scores ≥2 were considered as positive.

DNA extraction and bisulphate modification

Genomic DNA was extracted by solubilization in an SDS/proteinase K solution, followed by phenol/chloroform extraction and ethanol precipitation. Sodium bisulphate conversion was done on 2 µg of sample DNA per sample using previously described methods to convert all unmethylated cytosines to uracils, while leaving methylcytosines unaltered. Alkali-denatured DNA was incubated in 3 mol/l NaHSO3 and 0.5 mmol/hydroquinone for 16 h at 54°C. Modified DNA was purified using the Wizard DNA Clean-Up System (Promega, Madison, WI, USA) and eluted into 50 µl of sterile water. DNA was precipitated with 0.5 mol/l ammonium acetate (pH 4.6), 1.5 µl of 20 mg/ml glycogen, and ethanol and then resuspend in Tris-EDTA.

Methylation-specific PCR (MSP) of ERα

We selected ER1, ER3, ER4 and ER5 for MSP from the six primer pairs previously described (8,9) because these covered the most significant methylated loci. The oligonucleotides of primers were synthesized by Sangon Biotech Co., Ltd. (Shanghai, China). PCR was carried out initial denaturation at 95°C for 10 min, followed by 14 cycles of 94°C for 30 sec, 62°C (ER1) or 59°C (ER3, ER4 and ER5) for 45 sec (−0.5°C decreased/each cycle), 72°C for 1 min, then followed by 30 cycles of 94°C for 30 sec, 55°C (ER1) or 52°C (ER, ER4 and ER5) for 45 sec, 72°C for 45 sec, ending with a final extension of 72°C for 10 min and a quick chill to 4°C. The products were subjected to 3% agarose gel electrophoresis at 100 V for 60 min and visualized by UV light. DNA from lymphocytes of healthy volunteers treated with SssI methyltransferase (New England Biolabs, Beverly, MA, USA) and then subjected to bisulfite modification was used as positive control for methylated alleles and water was used as negative controls.

Statistical analysis

Statistical analysis was carried out using SPSS version 13.0 (SPSS, Inc., Chicago, IL, USA). We compared ERα expression or methylation in breast intraductal proliferative lesions including UDH, ADH and DCIS using Chi-square tests of significance. Separate analyses were carried out for percent staining and the percent-by-intensity product term, using both the weighted averages as well as maximal values for percent staining. Differences were considered statistically significant at p<0.05. The non-parametric correlations of ERα expression with methylation were analyzed with Spearman's test.

Ethics statement

The study was approved by the regional Ethics Committee of China Medical University. Subjects were also given sufficient explanation of the study in writing, and provided with written informed consent to participate. All patients providing tissues of intraductal proliferative lesions signed a consent form prior to breast surgery to allow for this research to be undertaken.

Results

ERα protein expression in breast intraductal proliferative lesions including UDH, ADH and DCIS

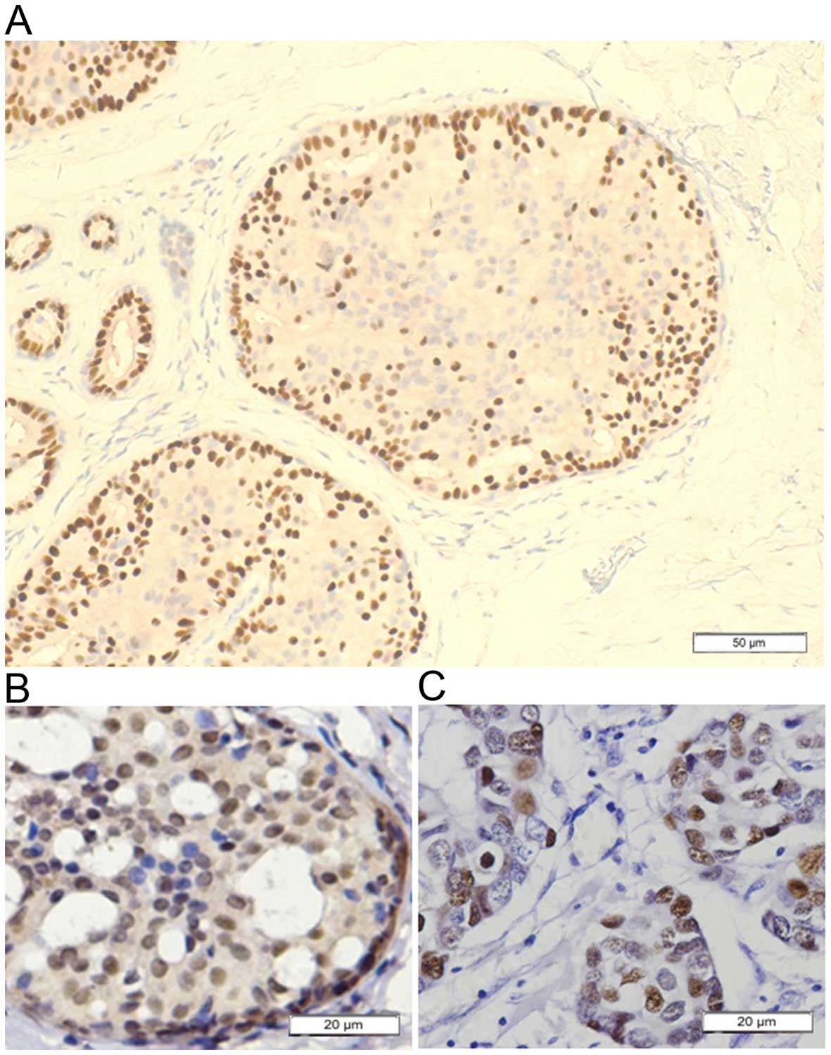
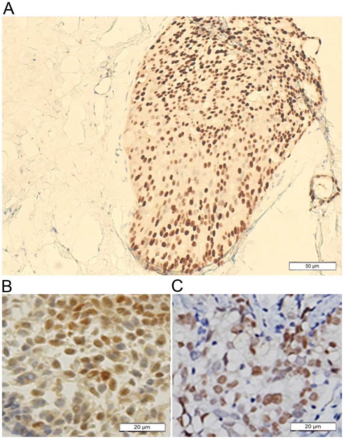
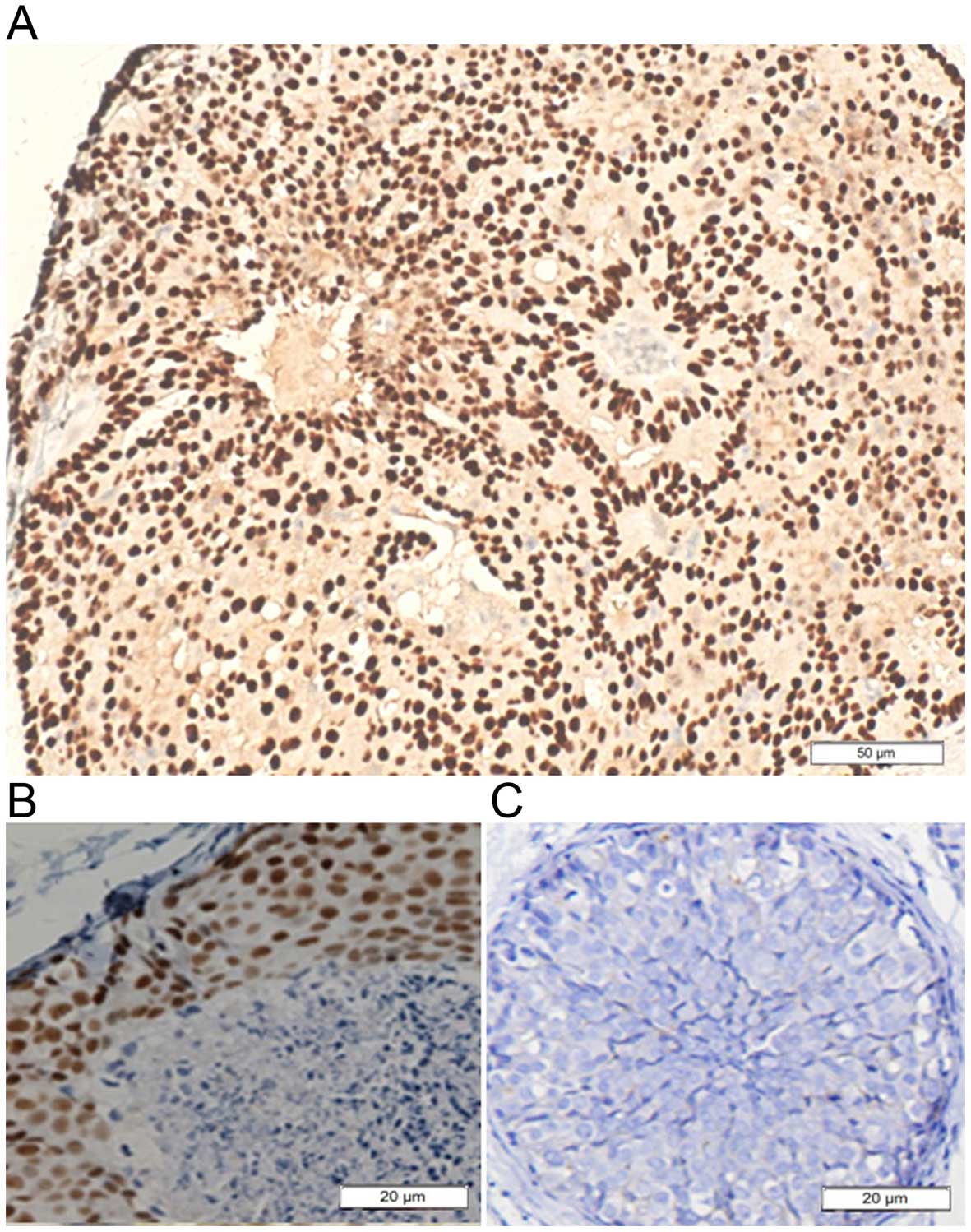
ERα has nuclear staining. UDH were positive for ERα expression in 98/98 (100%) cases. ERα protein expression in ADH (132/160) (92.5%) was higher than in DCIS (101/149) (67.8%) (p<0.05, Fig. 1). Although the positive rate of ERα expression in UDH was higher than in ADH. The expression pattern of ERα was different with histological diversity of breast intraductal proliferative lesions. Figs. 2Figure 3–4 show immunohistochemical staining of ERα in the breast intraductal proliferative lesions. The average percent of cells staining positive for ERα was 35.33% in UDH, 87.75% in ADH and 71.45% in DCIS. ADH was more likely to show increased ER percent of cell staining, with mean percent of cells staining of 87.75%. As can be seen in Figs. 5 and 6, 116/160 (72.5%) of the ADH lesions had ERα staining in over half of the atypical cells. Conversely, only 11/98 (11.2%) of the UDH lesions demonstrated ERα expression in >50% of the hyperplasia cells. DCIS had ERα staining in over half of the tumor cells (76/149) (51.0%). In contrast, UDH showed less ERα staining (Fig. 5). As can be seen in Fig. 2, the ERα-positive cells uniformly scattered in the benign proliferative ductal epithelial cells of UDH. In ADH, the ERα-positive cells clustered in ductal hyperplasia with thick cell layers which exhibited positivity of contiguous cells accounting for the majority in the lesions (Fig. 3). In some cases of DCIS, all or none ERα-positive cells constructed the morphological variants (Fig. 4). On the whole, the stain pattern was variable in DCIS. It exhibits considerable tumor heterogeneity, and in a given patient can have more than a single microscopic structural, cytologic, or immunocytochemical phenotype of ERα.

Figure 1

The rate of ERα expression and methylation in breast intraductal hyperplasia including UDH, ADH and DCIS. The rate of ERα (A) expression and (B) methylation in UDH, ADH and DCIS. ERα, estrogen receptor α; UDH, usual ductal hyperplasia; ADH, atypical ductal hyperplasia; DCIS, ductal carcinoma in situ.

Figure 2

The immunohistochemical staining of ERα in UDH. (A) ERα-positive staining located mainly in the hyperplasia nucleus of UDH (×200). (B and C) The ERα-positive cells uniformly scattered in the benign proliferative ductal epithelial cells of UDH (×400). ERα, estrogen receptor α; UDH, usual ductal hyperplasia.

Figure 3

The immunohistochemical staining of ERα in ADH. (A) ERα-positive staining located mainly in the atypical nucleus of ADH (×200). (B and C) The ERα-positive cells clustered in ductal hyperplasia with thick cell layers which exhibited positivity of contiguous cells accounting for the majority in the lesions (×400). ERα, estrogen receptor α; ADH, atypical ductal hyperplasia.

Figure 4

The immunohistochemical staining of ERα in DCIS. (A) All or none ERα-positive cells constructed the morphological variants (×200). (B) ERα-positive staining located mainly in the tumor cells of DCIS (×400). (C) None of ERα-positive cells constructed the lesion of DCIS (×400). ERα, estrogen receptor α; DCIS, ductal carcinoma in situ.

Figure 5

The percent of cells staining positive for ERα in UDH and ADH. ERα, estrogen receptor α; UDH, usual ductal hyperplasia; ADH, atypical ductal hyperplasia.

Figure 6

The percent of cells staining positive for ERα in DCIS and ADH. ERα, estrogen receptor α; DCIS, ductal carcinoma in situ; ADH, atypical ductal hyperplasia.

Methylation status of the ERα promoter in breast intraductal proliferative lesions including UDH, ADH and DCIS

Adequate tissue of UDH, ADH and DCIS for DNA extraction was available for 248/407 cases. Samples were classified as methylated if one or more regions were positive for MSP. Bisulphite-treated DNA was amplified with primers for ER1, ER3, ER4 and ER5 as shown in Fig. 7. We detected ERα methylation in 32/60 (53.3%) UDH, 11/77 (10.2%) ADH and 32/80 (40.0%) DCIS (Table I and Fig. 1). There was significant difference between the methylation in ADH and in DCIS, in UDH and in ADH. There was no significant difference between the methylation in UDH and in DCIS, p>0.05. There was no significant difference in the overall average percent methylation between the four primers in the non-invasive lesions.

Figure 7

ERα methylation analysis of breast intraductal hyperplasia including UDH, ADH and DCIS. MSP was performed on bisulphate-treated DNA from intraductal proliferative lesions of breast. DNA bands in lanes labeled with U indicate PCR products amplified with primers recognizing the unmethylated promoter sequence. DNA bands in lanes labeled with M represent amplified products with methylation-specific primers. IVD serves as positive control for the U and M reaction, respectively. ERα, estrogen receptor α; UDH, usual ductal hyperplasia; ADH, atypical ductal hyperplasia; DCIS, ductal carcinoma in situ; MSP, methylation-specific PCR; IVD, in vitro methylated DNA.

Table I

The methylation and expression of ERα in UDH, ADH and DCIS.

Table I

The methylation and expression of ERα in UDH, ADH and DCIS.

GroupsERα methylation
ERα expression
TnN (%)TnN (%)
UDH6032 (53.3)9898 (100.0)
ADH10811 (10.2)a160132 (92.5)a
DCIS8032 (40.0)b149101 (67.8)a,b

a P<0.05, compared with UDH.

b P<0.05, compared with ADH. ERα, estrogen receptor α; UDH, usual ductal hyperplasia; ADH, atypical ductal hyperplasia; DCIS, ductal carcinoma in situ; Tn, total number.

Correlation analysis of ERα methylation and expression

In Spearman's correlation test, ERα methylation and expression had inverse patterns of alterations in breast intraductal proliferative lesions including UDH, ADH and DCIS. As shown in Table II, there is a strong negative correlation (r=−0.831, p<0.001) between the percent cells staining positive for ERα expression and ERα methylation, and a weaker but statistically significant negative correlation between ERα methylation and expression (r=−0.401, p<0.001).

Table II

Correlation of ERα expression with ERα methylation in breast intraductal proliferative lesions.

Table II

Correlation of ERα expression with ERα methylation in breast intraductal proliferative lesions.

ERα methylation
Statistical values
MethylationUnmethylation
ERα expression positive42157r=−0.401
ERα expression negative33 16p<0.001

[i] ERα, estrogen receptor α.

Discussion

A history of proliferative breast disease is a significant risk factor for development of invasive breast cancer. UDH is considered to represent a benign proliferation of ductal epithelial cells, and patients with UDH carried only a small increased risk of developing subsequent breast cancer compared with patients without proliferative breast disease (23). ADH indicates that there are more cells lining the duct than would normally be there, and some of these cells are not typical - they are irregular in shape and size. Usually, a milk duct is lined with one even layer of uniformly shaped cells, but in ductal hyperplasia there may be many layers of cells (24). Patients diagnosed with ADH, have a risk of developing breast cancer 4–5 times the average lifetime risk. DCIS is a proliferation of malignant epithelial cells confined to the ductolobular system of the breast. It is considered a precursor lesion for invasive breast cancer. Estrogen plays a major role in promoting normal growth of breast epithelium and is thought to be important in the pathogenesis of breast cancer via the uptake into the cell through the mechanism of the ER (25). The role of ERα in breast intraductal proliferative lesions is a major dilemma. Which stage is the watershed between ERα-positive and -negative breast carcinogenesis needs to be established.

In this study we confirmed that 98/98 (100%) of the UDH cases were positive for ERα expression. ERα protein expression in ADH (132/160) (92.5%) was higher than in DCIS (101/149) (67.8%). But the ERα expression pattern was different with histological diversity of breast intraductal proliferative lesions. The average percent of cells staining positive for ERα was 35.33% in UDH, 87.75% in ADH and 71.45% in DCIS. ERα methylation in 32/60 (53.3%) UDH, 11/77 (10.2%) ADH and 32/80 (40.0%) DCIS. Our results demonstrated a strong negative correlation between the percent of cells staining positive for ERα and ERα methylation (r=−0.831, p<0.001); and weak to moderate negative correlations between ERα expression and methylation (r=−0.401, p<0.001). Could that mean that methylation alone is not enough to result in negative ERα expression and that in ERα-negative cases there are additional genetic or epigenetic events that result in loss of staining? The ERα expression detected by immumohistochemistry is to understand the distribution and localization of ERα within the tissue examined. The MSP requires only small quantities of DNA, in analysis of ERα methylation patterns in CpG islands in a small fraction of cells. So we found strong negative correlation between the percent of cells staining positive for ERα and ERα methylation. The downregulation of ERα through promoter methylation was highly prevalent in breast intraductal proliferative lesions, which is consistent with previously published reports (8–10). Our data revealed that the levels of ERα protein expression diminished with the methylation of ERα. It is possible that the percent of cells staining positive for ERα can reflect the status of ERα more accurately.

A few recent studies have examined ERα expression in ductal neoplasia. In our cohort, the ERα-positive cells uniformly scattered in the terminal duct lobular units which contains benign proliferative ductal epithelial cells of UDH. ADH may represent the first clonal neoplastic expansion of these cells (24). Immunohistochemical study showed that ERα-positive cells clustered in ductal hyperplasia with thick cell layers which exhibited positivity of contiguous cells accounting for the majority in the lesions. It has been reported that ERα is the primary ER for mammary epithelial cell proliferation and differentiation (26). Mammary glands of adult female ERα knock-out mice fail to respond to ovarian hormones resulting at rudimentary duct stage without further development (27). In this study we found the average percent of cells staining positive for ERα was higher in ADH than in UDH. The upregulation of ERα expression involved in the conversion of UDH to atypia hyperplasia. DCIS represented a heterogeneous group of lesions with diverse malignant potential (28). The majority of available evidence suggests that ER expression range from very high to very low levels characteristic (29,30). The staining pattern was erratic in DCIS in our results which was consistent with previous published research (31). We thought that the DCIS is a heterogeneous group of lesions with diverse pattern of ERα expression resulted from the chaos methylation of ERα. The breast cancer risk is not consistent with the ERα expression or methylation. Possibly the ERα expression or methylation were not the initial factors in breast carcinogenesis. The ERα methylation is a common epigenetic signaling tool that is used to control ER expression. One of the most provocative recent observations in human solid tumors is the discovery of large hypomethylated blocks in cancer epigenetics (32). DNA methylation is a reversible signal, similar to other physiological biochemical modifications (33,34). The altered DNA methylation in CpG islands in solid tumors associated with loss of both epigenetic and gene expression regulation, resulting in hyper-variability of gene expression (35,36). These changes could even have interaction with the change of biological behavior of cells which resulted from the loss of structural integrity of heterochromatin.

DNA methylation is a reversible biological signal (34,37). Our new working hypothesis is that the methylation and expression of ERα shows dynamic variation in breast carcinogenesis. Our previous study indicated that breast cancer can convert into other molecular subtypes with the treatment of neoadjuvant chemotherapy (38). ERα expression or methylation may be involved in the breast carcinogenesis and advancement, thus it is not parallel to breast cancer risk in breast intraductal proliferative lesions. No obvious watershed exists between ERα-positive and -negative breast carcinogenesis. ER methylation or expression is a reversible signal in breast carcinogenesis affecting biological behavior of cells.

Acknowledgments

This study was supported by the Project of Scientific Technology and Social Development, Liaoning (no. 2009225008-3) and the National Natural Science Foundation of China (nos. 81201886 and 81341063). The funders had no role in study design, data collection and analysis, decision to publish, or preparation of the manuscript.

References

1 

Liu CY, Hung MH, Wang DS, Chu PY, Su JC, Teng TH, Huang CT, Chao TT, Wang CY, Shiau CW, et al: Tamoxifen induces apoptosis through cancerous inhibitor of protein phosphatase 2A-dependent phospho-Akt inactivation in estrogen receptor-negative human breast cancer cells. Breast Cancer Res. 16:4312014. View Article : Google Scholar : PubMed/NCBI

2 

Miano V, Ferrero G, Reineri S, Caizzi L, Annaratone L, Ricci L, Cutrupi S, Castellano I, Cordero F and De Bortoli M: Luminal long non-coding RNAs regulated by estrogen receptor alpha in a ligand-independent manner show functional roles in breast cancer. Oncotarget. 7:3201–3216. 2016.

3 

Goldhirsch A, Gelber RD and Coates AS: What are the long-term effects of chemotherapy and hormonal therapy for early breast cancer? Nat Clin Pract Oncol. 2:440–441. 2005. View Article : Google Scholar : PubMed/NCBI

4 

Chen JQ and Russo J: ERalpha-negative and triple negative breast cancer: Molecular features and potential therapeutic approaches. Biochim Biophys Acta. 1796:162–175. 2009.PubMed/NCBI

5 

Kennecke H, Yerushalmi R, Woods R, Cheang MC, Voduc D, Speers CH, Nielsen TO and Gelmon K: Metastatic behavior of breast cancer subtypes. J Clin Oncol. 28:3271–3277. 2010. View Article : Google Scholar : PubMed/NCBI

6 

Giacinti L, Claudio PP, Lopez M and Giordano A: Epigenetic information and estrogen receptor alpha expression in breast cancer. Oncologist. 11:1–8. 2006. View Article : Google Scholar : PubMed/NCBI

7 

Ottaviano YL, Issa JP, Parl FF, Smith HS, Baylin SB and Davidson NE: Methylation of the estrogen receptor gene CpG island marks loss of estrogen receptor expression in human breast cancer cells. Cancer Res. 54:2552–2555. 1994.PubMed/NCBI

8 

Wei J, Han B, Mao XY, Wei MJ, Yao F and Jin F: Promoter methylation status and expression of estrogen receptor alpha in familial breast cancer patients. Tumour Biol. 33:413–420. 2012. View Article : Google Scholar

9 

Jing MX, Mao XY, Li C, Wei J, Liu C and Jin F: Estrogen receptor-alpha promoter methylation in sporadic basal-like breast cancer of Chinese women. Tumour Biol. 32:713–719. 2011. View Article : Google Scholar : PubMed/NCBI

10 

Zhao L, Wang L, Jin F, Ma W, Ren J, Wen X, He M, Sun M, Tang H and Wei M: Silencing of estrogen receptor alpha (ERalpha) gene by promoter hypermethylation is a frequent event in Chinese women with sporadic breast cancer. Breast Cancer Res Treat. 117:253–259. 2009. View Article : Google Scholar

11 

Ellis IO: Intraductal proliferative lesions of the breast: Morphology, associated risk and molecular biology. Mod Pathol. 23(Suppl 2): S1–S7. 2010. View Article : Google Scholar : PubMed/NCBI

12 

Hilton HN, Kantimm S, Graham JD and Clarke CL: Changed lineage composition is an early event in breast carcinogenesis. Histol Histopathol. 28:1197–1204. 2013.PubMed/NCBI

13 

Beer N, Ali AS, de Savigny D, Al-Mafazy AW, Ramsan M, Abass AK, Omari RS, Björkman A and Källander K: System effectiveness of a targeted free mass distribution of long lasting insecticidal nets in Zanzibar, Tanzania. Malar J. 9:1732010. View Article : Google Scholar : PubMed/NCBI

14 

Bane A: Ductal carcinoma in situ: What the pathologist needs to know and why. Int J Breast Cancer. 2013:9140532013. View Article : Google Scholar : PubMed/NCBI

15 

Goodwin A, Parker S, Ghersi D and Wilcken N: Post-operative radiotherapy for ductal carcinoma in situ of the breast. Cochrane Database Syst Rev. 11:CD0005632013.PubMed/NCBI

16 

Costarelli L, Campagna D, Mauri M and Fortunato L: Intraductal proliferative lesions of the breast-terminology and biology matter: Premalignant lesions or preinvasive cancer. Int J Surg Oncol. 2012:5019042012.

17 

Tavassoli FA: Correlation between gene expression profiling-based molecular and morphologic classification of breast cancer. Int J Surg Pathol. 18(Suppl): 167S–169S. 2010. View Article : Google Scholar : PubMed/NCBI

18 

Tavassoli FA: Lobular and ductal intraepithelial neoplasia. Pathologe. 29(Suppl 2): 107–111. 2008. View Article : Google Scholar : PubMed/NCBI

19 

Tavassoli FA: Breast pathology: Rationale for adopting the ductal intraepithelial neoplasia (DIN) classification. Nat Clin Pract Oncol. 2:116–117. 2005. View Article : Google Scholar : PubMed/NCBI

20 

Kok LF, Lee MY, Tyan YS, Wu TS, Cheng YW, Kung MF, Wang PH and Han CP: Comparing the scoring mechanisms of p16INK4a immunohistochemistry based on independent nucleic stains and independent cytoplasmic stains in distinguishing between endocervical and endometrial adenocarcinomas in a tissue microarray study. Arch Gynecol Obstet. 281:293–300. 2010. View Article : Google Scholar

21 

Koo CL, Kok LF, Lee MY, Wu TS, Cheng YW, Hsu JD, Ruan A, Chao KC and Han CP: Scoring mechanisms of p16INK4a immunohistochemistry based on either independent nucleic stain or mixed cytoplasmic with nucleic expression can significantly signal to distinguish between endocervical and endometrial adenocarcinomas in a tissue microarray study. J Transl Med. 7:252009. View Article : Google Scholar

22 

Manne U, Myers RB, Moron C, Poczatek RB, Dillard S, Weiss H, Brown D, Srivastava S and Grizzle WE: Prognostic significance of Bcl-2 expression and p53 nuclear accumulation in colorectal adenocarcinoma. Int J Cancer. 74:346–358. 1997. View Article : Google Scholar : PubMed/NCBI

23 

Gong G, DeVries S, Chew KL, Cha I, Ljung BM and Waldman FM: Genetic changes in paired atypical and usual ductal hyperplasia of the breast by comparative genomic hybridization. Clin Cancer Res. 7:2410–2414. 2001.PubMed/NCBI

24 

Di Bonito M, Cantile M, De Cecio R, Liguori G and Botti G: Prognostic value of molecular markers and cytogenetic alterations that characterize breast cancer precursor lesions (Review). Oncol Lett. 6:1181–1183. 2013.PubMed/NCBI

25 

Barr FE, Degnim AC, Hartmann LC, Radisky DC, Boughey JC, Anderson SS, Vierkant RA, Frost MH, Visscher DW and Reynolds C: Estrogen receptor expression in atypical hyperplasia: Lack of association with breast cancer. Cancer Prev Res (Phila). 4:435–444. 2011. View Article : Google Scholar

26 

Tan H, Zhong Y and Pan Z: Autocrine regulation of cell proliferation by estrogen receptor-alpha in estrogen receptor- alpha-positive breast cancer cell lines. BMC Cancer. 9:312009. View Article : Google Scholar

27 

Okolowsky N, Furth PA and Hamel PA: Oestrogen receptor-alpha regulates non-canonical Hedgehog-signalling in the mammary gland. Dev Biol. 391:219–229. 2014. View Article : Google Scholar : PubMed/NCBI

28 

Sprague BL, Trentham-Dietz A and Burnside ES: Socioeconomic disparities in the decline in invasive breast cancer incidence. Breast Cancer Res Treat. 122:873–878. 2010. View Article : Google Scholar : PubMed/NCBI

29 

Allred DC, Wu Y, Mao S, Nagtegaal ID, Lee S, Perou CM, Mohsin SK, O'Connell P, Tsimelzon A and Medina D: Ductal carcinoma in situ and the emergence of diversity during breast cancer evolution. Clin Cancer Res. 14:370–378. 2008. View Article : Google Scholar : PubMed/NCBI

30 

Leonard GD and Swain SM: Ductal carcinoma in situ, complexities and challenges. J Natl Cancer Inst. 96:906–920. 2004. View Article : Google Scholar : PubMed/NCBI

31 

Allred DC, Brown P and Medina D: The origins of estrogen receptor alpha-positive and estrogen receptor alpha-negative human breast cancer. Breast Cancer Res. 6:240–245. 2004. View Article : Google Scholar : PubMed/NCBI

32 

Hovestadt V, Jones DT, Picelli S, Wang W, Kool M, PA, Sultan M, Stachurski K, Ryzhova M, Warnatz HJ, et al: Decoding the regulatory landscape of medulloblastoma using DNA methylation sequencing. Nature. 510:537–541. 2014. View Article : Google Scholar : PubMed/NCBI

33 

Ballestar E and Esteller M: Epigenetic gene regulation in cancer. Adv Genet. 61:247–267. 2008.PubMed/NCBI

34 

Ramchandani S, Bhattacharya SK, Cervoni N and Szyf M: DNA methylation is a reversible biological signal. Proc Natl Acad Sci USA. 96:6107–6112. 1999. View Article : Google Scholar : PubMed/NCBI

35 

Timp W, Bravo HC, McDonald OG, Goggins M, Umbricht C, Zeiger M, Feinberg AP and Irizarry RA: Large hypomethylated blocks as a universal defining epigenetic alteration in human solid tumors. Genome Med. 6:612014. View Article : Google Scholar : PubMed/NCBI

36 

Hansen KD, Timp W, Bravo HC, Sabunciyan S, Langmead B, McDonald OG, Wen B, Wu H, Liu Y, Diep D, et al: Increased methylation variation in epigenetic domains across cancer types. Nat Genet. 43:768–775. 2011. View Article : Google Scholar : PubMed/NCBI

37 

Reik W, Dean W and Walter J: Epigenetic reprogramming in mammalian development. Science. 293:1089–1093. 2001. View Article : Google Scholar : PubMed/NCBI

38 

Lv M, Li B, Li Y, Mao X, Yao F and Jin F: Predictive role of molecular subtypes in response to neoadjuvant chemotherapy in breast cancer patients in Northeast China. Asian Pac J Cancer Prev. 12:2411–2417. 2011.

Related Articles

  • Abstract
  • View
  • Download
  • Twitter
Copy and paste a formatted citation
Spandidos Publications style
Mao X, Qiao Z, Fan C, Guo A, Yu X and Jin F: Expression pattern and methylation of estrogen receptor α in breast intraductal proliferative lesions. Oncol Rep 36: 1868-1874, 2016.
APA
Mao, X., Qiao, Z., Fan, C., Guo, A., Yu, X., & Jin, F. (2016). Expression pattern and methylation of estrogen receptor α in breast intraductal proliferative lesions. Oncology Reports, 36, 1868-1874. https://doi.org/10.3892/or.2016.4988
MLA
Mao, X., Qiao, Z., Fan, C., Guo, A., Yu, X., Jin, F."Expression pattern and methylation of estrogen receptor α in breast intraductal proliferative lesions". Oncology Reports 36.4 (2016): 1868-1874.
Chicago
Mao, X., Qiao, Z., Fan, C., Guo, A., Yu, X., Jin, F."Expression pattern and methylation of estrogen receptor α in breast intraductal proliferative lesions". Oncology Reports 36, no. 4 (2016): 1868-1874. https://doi.org/10.3892/or.2016.4988
Copy and paste a formatted citation
x
Spandidos Publications style
Mao X, Qiao Z, Fan C, Guo A, Yu X and Jin F: Expression pattern and methylation of estrogen receptor α in breast intraductal proliferative lesions. Oncol Rep 36: 1868-1874, 2016.
APA
Mao, X., Qiao, Z., Fan, C., Guo, A., Yu, X., & Jin, F. (2016). Expression pattern and methylation of estrogen receptor α in breast intraductal proliferative lesions. Oncology Reports, 36, 1868-1874. https://doi.org/10.3892/or.2016.4988
MLA
Mao, X., Qiao, Z., Fan, C., Guo, A., Yu, X., Jin, F."Expression pattern and methylation of estrogen receptor α in breast intraductal proliferative lesions". Oncology Reports 36.4 (2016): 1868-1874.
Chicago
Mao, X., Qiao, Z., Fan, C., Guo, A., Yu, X., Jin, F."Expression pattern and methylation of estrogen receptor α in breast intraductal proliferative lesions". Oncology Reports 36, no. 4 (2016): 1868-1874. https://doi.org/10.3892/or.2016.4988
Follow us
  • Twitter
  • LinkedIn
  • Facebook
About
  • Spandidos Publications
  • Careers
  • Cookie Policy
  • Privacy Policy
How can we help?
  • Help
  • Live Chat
  • Contact
  • Email to our Support Team