Spandidos Publications Logo
  • About
    • About Spandidos
    • Aims and Scopes
    • Abstracting and Indexing
    • Editorial Policies
    • Reprints and Permissions
    • Job Opportunities
    • Terms and Conditions
    • Contact
  • Journals
    • All Journals
    • Oncology Letters
      • Oncology Letters
      • Information for Authors
      • Editorial Policies
      • Editorial Board
      • Aims and Scope
      • Abstracting and Indexing
      • Bibliographic Information
      • Archive
    • International Journal of Oncology
      • International Journal of Oncology
      • Information for Authors
      • Editorial Policies
      • Editorial Board
      • Aims and Scope
      • Abstracting and Indexing
      • Bibliographic Information
      • Archive
    • Molecular and Clinical Oncology
      • Molecular and Clinical Oncology
      • Information for Authors
      • Editorial Policies
      • Editorial Board
      • Aims and Scope
      • Abstracting and Indexing
      • Bibliographic Information
      • Archive
    • Experimental and Therapeutic Medicine
      • Experimental and Therapeutic Medicine
      • Information for Authors
      • Editorial Policies
      • Editorial Board
      • Aims and Scope
      • Abstracting and Indexing
      • Bibliographic Information
      • Archive
    • International Journal of Molecular Medicine
      • International Journal of Molecular Medicine
      • Information for Authors
      • Editorial Policies
      • Editorial Board
      • Aims and Scope
      • Abstracting and Indexing
      • Bibliographic Information
      • Archive
    • Biomedical Reports
      • Biomedical Reports
      • Information for Authors
      • Editorial Policies
      • Editorial Board
      • Aims and Scope
      • Abstracting and Indexing
      • Bibliographic Information
      • Archive
    • Oncology Reports
      • Oncology Reports
      • Information for Authors
      • Editorial Policies
      • Editorial Board
      • Aims and Scope
      • Abstracting and Indexing
      • Bibliographic Information
      • Archive
    • Molecular Medicine Reports
      • Molecular Medicine Reports
      • Information for Authors
      • Editorial Policies
      • Editorial Board
      • Aims and Scope
      • Abstracting and Indexing
      • Bibliographic Information
      • Archive
    • World Academy of Sciences Journal
      • World Academy of Sciences Journal
      • Information for Authors
      • Editorial Policies
      • Editorial Board
      • Aims and Scope
      • Abstracting and Indexing
      • Bibliographic Information
      • Archive
    • International Journal of Functional Nutrition
      • International Journal of Functional Nutrition
      • Information for Authors
      • Editorial Policies
      • Editorial Board
      • Aims and Scope
      • Abstracting and Indexing
      • Bibliographic Information
      • Archive
    • International Journal of Epigenetics
      • International Journal of Epigenetics
      • Information for Authors
      • Editorial Policies
      • Editorial Board
      • Aims and Scope
      • Abstracting and Indexing
      • Bibliographic Information
      • Archive
    • Medicine International
      • Medicine International
      • Information for Authors
      • Editorial Policies
      • Editorial Board
      • Aims and Scope
      • Abstracting and Indexing
      • Bibliographic Information
      • Archive
  • Articles
  • Information
    • Information for Authors
    • Information for Reviewers
    • Information for Librarians
    • Information for Advertisers
    • Conferences
  • Language Editing
Spandidos Publications Logo
  • About
    • About Spandidos
    • Aims and Scopes
    • Abstracting and Indexing
    • Editorial Policies
    • Reprints and Permissions
    • Job Opportunities
    • Terms and Conditions
    • Contact
  • Journals
    • All Journals
    • Biomedical Reports
      • Information for Authors
      • Editorial Policies
      • Editorial Board
      • Aims and Scope
      • Abstracting and Indexing
      • Bibliographic Information
      • Archive
    • Experimental and Therapeutic Medicine
      • Information for Authors
      • Editorial Policies
      • Editorial Board
      • Aims and Scope
      • Abstracting and Indexing
      • Bibliographic Information
      • Archive
    • International Journal of Epigenetics
      • Information for Authors
      • Editorial Policies
      • Editorial Board
      • Aims and Scope
      • Abstracting and Indexing
      • Bibliographic Information
      • Archive
    • International Journal of Functional Nutrition
      • Information for Authors
      • Editorial Policies
      • Editorial Board
      • Aims and Scope
      • Abstracting and Indexing
      • Bibliographic Information
      • Archive
    • International Journal of Molecular Medicine
      • Information for Authors
      • Editorial Policies
      • Editorial Board
      • Aims and Scope
      • Abstracting and Indexing
      • Bibliographic Information
      • Archive
    • International Journal of Oncology
      • Information for Authors
      • Editorial Policies
      • Editorial Board
      • Aims and Scope
      • Abstracting and Indexing
      • Bibliographic Information
      • Archive
    • Medicine International
      • Information for Authors
      • Editorial Policies
      • Editorial Board
      • Aims and Scope
      • Abstracting and Indexing
      • Bibliographic Information
      • Archive
    • Molecular and Clinical Oncology
      • Information for Authors
      • Editorial Policies
      • Editorial Board
      • Aims and Scope
      • Abstracting and Indexing
      • Bibliographic Information
      • Archive
    • Molecular Medicine Reports
      • Information for Authors
      • Editorial Policies
      • Editorial Board
      • Aims and Scope
      • Abstracting and Indexing
      • Bibliographic Information
      • Archive
    • Oncology Letters
      • Information for Authors
      • Editorial Policies
      • Editorial Board
      • Aims and Scope
      • Abstracting and Indexing
      • Bibliographic Information
      • Archive
    • Oncology Reports
      • Information for Authors
      • Editorial Policies
      • Editorial Board
      • Aims and Scope
      • Abstracting and Indexing
      • Bibliographic Information
      • Archive
    • World Academy of Sciences Journal
      • Information for Authors
      • Editorial Policies
      • Editorial Board
      • Aims and Scope
      • Abstracting and Indexing
      • Bibliographic Information
      • Archive
  • Articles
  • Information
    • For Authors
    • For Reviewers
    • For Librarians
    • For Advertisers
    • Conferences
  • Language Editing
Login Register Submit
  • This site uses cookies
  • You can change your cookie settings at any time by following the instructions in our Cookie Policy. To find out more, you may read our Privacy Policy.

    I agree
Search articles by DOI, keyword, author or affiliation
Search
Advanced Search
presentation
Oncology Reports
Join Editorial Board Propose a Special Issue
Print ISSN: 1021-335X Online ISSN: 1791-2431
Journal Cover
September-2018 Volume 40 Issue 3

Full Size Image

Sign up for eToc alerts
Recommend to Library

Journals

International Journal of Molecular Medicine

International Journal of Molecular Medicine

International Journal of Molecular Medicine is an international journal devoted to molecular mechanisms of human disease.

International Journal of Oncology

International Journal of Oncology

International Journal of Oncology is an international journal devoted to oncology research and cancer treatment.

Molecular Medicine Reports

Molecular Medicine Reports

Covers molecular medicine topics such as pharmacology, pathology, genetics, neuroscience, infectious diseases, molecular cardiology, and molecular surgery.

Oncology Reports

Oncology Reports

Oncology Reports is an international journal devoted to fundamental and applied research in Oncology.

Experimental and Therapeutic Medicine

Experimental and Therapeutic Medicine

Experimental and Therapeutic Medicine is an international journal devoted to laboratory and clinical medicine.

Oncology Letters

Oncology Letters

Oncology Letters is an international journal devoted to Experimental and Clinical Oncology.

Biomedical Reports

Biomedical Reports

Explores a wide range of biological and medical fields, including pharmacology, genetics, microbiology, neuroscience, and molecular cardiology.

Molecular and Clinical Oncology

Molecular and Clinical Oncology

International journal addressing all aspects of oncology research, from tumorigenesis and oncogenes to chemotherapy and metastasis.

World Academy of Sciences Journal

World Academy of Sciences Journal

Multidisciplinary open-access journal spanning biochemistry, genetics, neuroscience, environmental health, and synthetic biology.

International Journal of Functional Nutrition

International Journal of Functional Nutrition

Open-access journal combining biochemistry, pharmacology, immunology, and genetics to advance health through functional nutrition.

International Journal of Epigenetics

International Journal of Epigenetics

Publishes open-access research on using epigenetics to advance understanding and treatment of human disease.

Medicine International

Medicine International

An International Open Access Journal Devoted to General Medicine.

Journal Cover
September-2018 Volume 40 Issue 3

Full Size Image

Sign up for eToc alerts
Recommend to Library

  • Article
  • Citations
    • Cite This Article
    • Download Citation
    • Create Citation Alert
    • Remove Citation Alert
    • Cited By
  • Similar Articles
    • Related Articles (in Spandidos Publications)
    • Similar Articles (Google Scholar)
    • Similar Articles (PubMed)
  • Download PDF
  • Download XML
  • View XML
Article

Analysis of the causes of the misdiagnosis of hereditary spherocytosis

  • Authors:
    • Shiyue Ma
    • Xuelian Deng
    • Lin Liao
    • Zengfu Deng
    • Yuling Qiu
    • Hongying Wei
    • Faquan Lin
  • View Affiliations / Copyright

    Affiliations: Department of Clinical Laboratory, The First Affiliated Hospital of Guangxi Medical University, Nanning, Guangxi 530021, Zhuang Autonomous Region, P.R. China, Department of Pediatric Laboratory, The First Affiliated Hospital of Guangxi Medical University, Nanning, Guangxi 530021, Zhuang Autonomous Region, P.R. China
  • Pages: 1451-1458
    |
    Published online on: July 13, 2018
       https://doi.org/10.3892/or.2018.6578
  • Expand metrics +
Metrics: Total Views: 0 (Spandidos Publications: | PMC Statistics: )
Metrics: Total PDF Downloads: 0 (Spandidos Publications: | PMC Statistics: )
Cited By (CrossRef): 0 citations Loading Articles...

This article is mentioned in:



Abstract

Hereditary spherocytosis (HS) is an inherited hemolytic disease with clinical diversities. The aim of the present study was to examine the reasons for prolonged misdiagnosis and mistherapy of HS in a Chinese patient, and to summarize the laboratory screening and treatment methods for this disease in increasing the knowledge towards HS. Clinical data of the proband was reviewed. The proband was first screened by detection of eosin-5'-maleimide (EMA)-labeled red blood cells (RBCs) using flow cytometry. The type of protein defect in the extracted RBC membrane proteins was confirmed by sodium dodecyl sulfate-polyacrylamide gel electrophoresis (SDS-PAGE). Mutant fragments were verified using direct DNA sequencing and matrix-assisted laser desorption/ionization time of flight (MALDI-TOF) mass spectroscopy. The proband showed a significant hemolytic tendency and significant reduction in the number of EMA-labeled RBCs. DNA sequencing indicated three site mutations in the SPTA1 gene, including His54Pro, Leu1858Val and 6531-12C>T. Additional DNA analysis of the three mutations in the parents of the proband showed that both the Leu1858Val and 6531‑12C>T mutations were carried by the father and the His54Pro mutation was carried by the mother. Moreover, the mutated peptides were identified by MALDI-TOF mass spectroscopy. HS has diverse clinical manifestations and is easily missed, misdiagnosed and mistreated. Therefore, a comprehensive analysis involving a routine blood test, blood smear, EMA labeling (flow cytometry) and SDS-PAGE can effectively distinguish HS from thalassemia, glucose-6-phosphate deficiency, iron-deficiency anemia and autoimmune hemolytic anemia.

Introduction

Hereditary spherocytosis (HS) is a type of hemolytic anemia caused by abnormal red blood cell (RBC) membrane proteins, and approximately 75% patients are autosomal dominant for the disease (1). HS is found globally at a different prevalence in different countries. The prevalence of HS is as high as 1/2000 in northern Europe and North America (2). Although anemia, jaundice and splenomegaly are typical clinical manifestations of HS, due to the different types of membrane protein defects, clinically the disease is still highly heterogeneous. In approximatelly 20–30% of HS patients, clinical manifestations are not obvious, except for a compensatory increase in reticulocytes (RETs) (3). In these patients, hemolytic symptoms are aggravated when certain factors are induced, the most common of which are infections or continuous heavy physical activities. Moreover, severe HS patients often present with severe hemolysis, and require blood transfusions to maintain a hemoglobin (HGB) content of >60 g/l. However, this procedure can often lead to iron overload or other complications in these patients. Although HS is not an uncommon clinical disease, its definitive diagnosis rate remains relatively low. The lack of knowledge among Chinese physicians towards the disease is one of the main reasons of misdiagnosis and mistherapy of many HS patients. This study reports a case of severe HS that has been misdiagnosed for up to 9 years. The aim of the present study was to investigate the factors that led to the long-term misdiagnosis of the disease, and to provide the proband with reasonable treatment recommendations based on the international principles of HS treatment.

Materials and methods

Routine examination

Peripheral venous blood (2 ml) was collected from the proband and the proband's family into tubes containing the anticoagulant EDTA-K2. Routine blood tests, including RBC, HGB, mean corpuscular volume (MCV), mean corpuscular hemoglobin (MCH), mean sphered cell volume (MSCV), mean reticulocyte volume (MRV), RET and mean platelet volume (MPV), were performed using the LH 780 automated hematology analyzer (Beckman Coulter, Carlsbad, CA, USA). Liver function, especially total bilirubin (TBiL) and direct bilirubin (DBiL), was assessed using the 7600 fully automated biochemical analyzer (Hitachi, Ltd., Tokyo, Japan). This study procured the informed consents of the proband and his family members, and the approval of the Ethics Committee of The First Affiliated Hospital of Guangxi Medical University (Nanning, China). From all participants, written informed consent for molecular genetic analysis, data analysis and publication was obtained.

Flow cytometric analysis of EMA-labeled red blood cells

EMA working solution, at a final concentration of 0.5 mg/ml, was prepared by diluting EMA powder in phosphate-buffered saline (PBS; Sigma-Aldrich Co., Dorset, UK). The EMA solution was stored at −20°C in the dark and thawed at 4°C at the time of use. PBS-washed RBCs (5 µl) were incubated with 20 µl EMA working solution for 1 h at room temperature in the dark, and then washed 3 times with PBS containing 0.5% fetal bovine serum (FBS; Life Technologies Corp., Shanghai, China). The mixture was centrifuged for 5 min at 2,500 × g to remove the supernatant, and the pellet was resuspended in 600 µl PBS for flow cytometric analysis (Beckman Coulter, High Wycombe, UK) (4). The flow cytometer was calibrated by recording the fluorescence intensity of 10,000 cells in the FL-1 channel prior to use. Data were analyzed using Flowjo software (FlowJo, LLC, Ashland, OR, USA).

Sodium dodecyl sulfate-polyacrylamide gel electrophoresis

RBC membrane proteins were extracted as per Rungaldier's methods (5), and 3.5–17% sodium dodecyl sulfate-polyacrylamide gel electrophoresis (SDS-PAGE) was prepared based on the protocol of Fairbanks et al (6). An RBC membrane protein precipitate was mixed with RBC membrane lysis solution, containing mercaptoethanol, and incubated for 1 h in a 37°C waterbath. The proteins were then separated via SDS-PAGE, along with a broad range protein ladder (Bio-Rad Laboratories, Hercules, CA, USA) to indicate the molecular size of the unknown proteins. Upon Coomassie blue staining, protein bands in the gel were scanned using a Gel Doc 2000 Imaging System (Bio-Rad Laboratories), and protein defects were analyzed using Quantity One quantification analysis software (Bio-Rad Laboratories).

Mass spectrometry

In-gel digestion was performed as per the methods described by Gharahdaghi et al (7). Briefly, the protein samples from the proband and healthy controls were separated by SDS-PAGE and stained with Coomassie blue. Target proteins were then removed from the gel and placed into 1.5-ml microeppendorf tubes. The protein-containing gel strips were washed twice by water and decolorized, and dehydrated in pure acetonitrile (ACN) and dried under vacuum. Gel strips were digested overnight at room temperature using trypsin and 30 µl digestion buffer (40 mM NH4HCO3 and 10% ACN), and extracted peptides were centrifuged for 5 min at 10,000 × g. The upper layer of the solution was concentrated by vacuum drying, and the precipitate was resuspended in 0.1% trifluoroacetic acid solution. The extracted proteins were analyzed using the 4800 Plus System Mass spectrometer (AB SCIEX, Boston, MA, USA).

Gene sequence analysis

Peripheral blood DNA of the proband and his family members was extracted using a DNA extraction kit (Tiangen Biotech Co., Ltd., Beijing, China). All relevant primers for the exons, introns and flanking sequences of the gene were designed by the Primer Premier 5.0 software, and synthesized by Beijing Genomics Institute (BGI; Beijing, China). The sequences of target mutations were as follows: exon 2, forward 5′-ACACATATAAGCGGGGCAAC-3′, reverse 5′-TTGTACCCACACATACCCATTAAC-3′; exon 40, forward 5′-TGAGTGAATATAGATTTTCCGGC-3′, reverse 5′-TTCTACATTTGGGCCAGTCC-3′; intron 45, forward 5′-TGGACAGATTCATGTTTTGTGG-3′, reverse 5′-TGGAATGAAAATGTCTCAGCAC-3′. PCR amplification was performed using an Applied Biosystems 9700 Thermal Cycler (Thermo Fisher Scientific, Inc., Waltham, MA, USA) in a 50-μl reaction, containing 25 µl PCR Master Mix (Takara Bio, Otsu, Japan), 1 µl each of forward and reverse primers, 0.2 ng DNA and double-distilled water. Amplification was conducted at 95°C for 5 min, 95°C for 30 sec, annealing for 30 sec, and 72°C for 40 sec for a total of 35 cycles, followed by 72°C for 8 min and 4°C hold. PCR products were recovered, purified from the gel using the Agarose DNA Purification kit (Solarbio Life Science, Shanghai, China) and sequenced by the ABI3730×L sequencer (Thermo Fisher Scientific, Inc.). All variations were classified as pathogenic, potentially pathogenic, undefined, potentially benign and benign according to the American College of Medical Genetics and Genomics (ACMG) guidelines and recommendations (8–10).

Results

Patient and routine blood tests

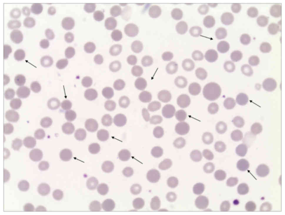
The proband (male, born in 2006, Han nationality, Guangxi residence, China) presented with jaundice on the day of birth, and had 401.5 µmol/l of TBiL. The proband was diagnosed with neonatal hyperbilirubinemia, but did not undergo exchange transfusion. At 4 months of age, the proband appeared pale and dispirited with no obvious presence of inducers. He was diagnosed with severe anaemia, and received repeated transfusion therapy at a local hospital at an average of one transfusion per month. At 2 years of age, the proband was admitted to the hospital because of a fever (up to 38.8°C) that lasted 3 days and was induced by bronchopneumonia. Moreover, the proband showed symptoms resembling thalassemia and was diagnosed with thalassemia and G6PD deficiency. Laboratory test results indicated 2.64×1012/l RBC, 54 g/l haemoglobin (HGB), 68.00 fl MCV, 277.0 g/l mean corpuscular hemoglobin concentration (MCHC), 47.3 µmol/l TBiL and 15.9 µmol/l DBiL. The proband was given antitussive and antipyretic medication but did not show any improvement. Upon antiviral and anti-infection therapy, the body temperature of the proband returned to normal and coughing disappeared. Routine blood tests revealed mild anemia, suggesting improvement of the thalassemia-like illness. At 8 years of age, the proband was admitted to a Hospital located in Nanning due to acute upper respiratory tract infections accompanied by breathing difficulties. Laboratory test results indicated 1.04×1012/l RBC, 30 g/l HGB, 316.70 µmol/l TBiL, 109.52 µmol/l DBiL, 207.2 µmol/l IBiL, 3+ urinary bilirubin (BiL) and 3+ urinary bile, therefore, the proband was diagnosed with chronic hemolytic anemia and anemic cardiomyopathy. In 2015, the proband came to our hospital for examination due to ‘9 years of jaundice and 2 days of fever’, without any history of genetic disorders. Physical examination showed that the proband was clearly conscious but low-spirited, and had jaundice in the sclera and on the skin, along with hepatosplenomegaly. Laboratory test results demonstrated that the proband was negative for the Coombs test, autoantibody, and hepatitis B surface antigen, and had a high level of serum ferritin (3503 ng/ml), normal immunoglobulin levels, normal genetic testing for thalassemia, normal G6PD activity, and increased erythrocyte osmotic fragility and spherocytes (25% of all RBCs) (Fig. 1). In consideration of his medical history, clinical manifestations and laboratory test results, the proband was finally diagnosed with HS. Upon completion of relevant examinations and preoperative preparations, the proband underwent splenectomy under general anesthesia, and was given anti-inflammatory, hemostatic and transfusion therapies after the operation. The proband was discharged from the hospital once his vital signs had stabilized. Routine blood and biochemical tests were conducted on the proband's family members and the results are presented in Table I.

Figure 1.

Morphology of peripheral blood spherocytes of the proband. Arrows indicate spherocytes.

Table I.

Laboratory test results of the HS proband and his family members.

Table I.

Laboratory test results of the HS proband and his family members.

ItemProbandFatherMotherNormal range
RBC (×1012/l)1.694.934.83.5–5.5
Hb (g/l)48.9149.2134.4110.0–160.0
MCV (fl)79.6993.7785.8182.00–95.00
MCHC (g/l)360.8322.6326.1316.0–354.0
MSCV (fl)75.6896.3880.5984.00–104.00
MRV (fl)89.30112.18106.68101.00–119.00
Ret (%)71.40.90.0–2.0
TBIL (µmol/l)178.1015.610.43.40–20.50
DBIL (µmol/l)59.205.53.00.00–6.8

[i] RBC, red blood cell count; Hb, hemoglobin; MCV, mean corpuscular volume; MCHC, mean corpuscular hemoglobin concentration; MSCV, mean sphered corpuscular volume; MRV, mean reticulocyte volume; Ret %, reticulocyte ratio; TBIL, total bilirubin; DBIL, direct bilirubin.

Fluorescence results for red blood cells from the patient and healthy controls

Blood was collected from 10 healthy individuals that were age and sex matched with the proband, and was used as negative controls to reduce the errors between samples (11). A blank control was also included. Fluorescence of EMA-labeled RBCs was expressed as mean fluorescence channel units (MFC). The percent reduction in MCF of the proband was calculated as follows:

MCF(%)=MCFofhealthycontrols-MCFofprobandMCFhealthycontrolsx100%

It was found that the MCF of the proband's blood was reduced by 35.77% compared with those of the healthy controls (Fig. 2).

Figure 2.

Flow cytometric evaluation of eosin-5′-maleimide (EMA)-labeled red blood cells. (A) Basic side scatter/forward scatter cytograms of red blood cells (RBCs) stained with EMA. (B) The fluorescence of EMA-stained RBCs from the (B-1) proband and (B-2) healthy controls. (C) Overlay of plots comparing the fluorescence of RBCs from the patient with that of the healthy controls.

Analysis of red blood cell membrane proteins

RBC membrane proteins of the proband were evaluated by SDS-PAGE and Commassie brilliant blue staining. The proband and his family did not show any significant reduction in membrane protein levels compared with that of the healthy controls (Fig. 3).

Figure 3.

Proteins were separated by SDS-PAGE using 5% (w/v) stacking gels and 3.5–17% (w/v) polyacrylamide gels under reducing conditions. Lanes 1, 2, 3 and C correspond to red blood cell membrane protein precipitation from plasma of the patient, the patient's father, the patient's mother and a healthy control individual, respectively.

Matrix-assisted laser desorption/ionization time of flight mass spectrometry (MALDI-TOF MS)

The α-spectrin peptide chain of the proband was analyzed using MALDI-TOF MS. When comparing the α-spectrin peptide chain of the proband with that of reference peptides in the database it was found that the molecular sizes of RBC α-spectrin in the proband were 1,338.52 Da (LEDSYHLQVFK) and 1,609.83 Da (GDCGDTLAATQSLVMK) as opposed to 1,378.55 Da (LEDSYPLQVFK) and 1,623.86 Da (GDCGDTLAATQSLLMK) of normal α-spectrin. This indicated that the α-spectrin chain of the proband contained two abnormal fragments (Fig. 4).

Figure 4.

Mass spectrometry analysis of the proband's red blood cell membrane protein fragments. Peaks indicate the normal peptides (1,378.55 Da, LEDSYPLQVFK and 1,623.86 Da, GDCGDTLAATQSLLMK) and variant peptides (1,338.52 Da, LEDSYHLQVFK and 1,609.83 Da, GDCGDTLAATQSLVMK).

DNA analysis

Human RBC membrane genes SPTA1, SPTB, SLC4A1, ANKI and EPB42 were amplified by PCR and analyzed by genomic DNA sequencing (Fig. 5). Comparing the sequencing results to the reference sequences in the NCBI database showed that the proband carried 3 mutations, including c.161A>C heterozygous missense mutation in exon 2 of the SPTA1 gene, leading to the substitution of histidine (His) by proline (Pro) at position 54 of the α-spectrin peptide; c.5572C>G heterozygous missense mutation in exon 40 of the SPTA gene, leading to the substitution of leucine (Leu) by valine (Val) at position 1858; and a 6531–12C>T heterozygous mutation in intron 45. Mutation analysis of the proband's family members showed that the His54Pro mutation was present in the mother, whereas both Leu1858Val and 6531–12C>T mutations were present in the father (Fig. 6).

Figure 5.

Pedigree of the hereditary spherocytosis (HS) family under study. The square with vertical lines denotes members with c.5572C>G and 6531–12 C>T mutations. The black circle in the white circle denotes members with c.161A>C mutation in exon 2.

Figure 6.

DNA sequences indicate from top to bottom: proband, father, and mother. (A) Heterozygous point mutation A→C was found in exon2 of the proband and his mother. (B) Heterozygous point mutation C→G was found in exon 40 of the proband and his father. (C) Heterozygous point mutation C→T was found in intron 45 of the proband and his father.

Discussion

Hereditary spherocytosis (HS) has very diverse clinical manifestations, which typically include anemia, jaundice and splenomegaly. Common complications include cholecystolithiasis, hemolytic crisis, hematopoietic crisis and are sometimes combined with delayed growth, heart diseases and neuromuscular disorders. Laboratory test results of HS generally show increases in reticulocytes (RETs) with reduced volume, peripheral spherocytes, RBC osmotic fragility, mean corpuscular hemoglobin concentration (MCHC) and red blood cell distribution width (RDW) (3). Therefore, timely and accurate diagnosis of HS is critical for optimal treatment regimen and the prognosis of the patient. The Guidelines for the Diagnosis and Management of HS that was developed by the British Committee for Standards in Hematology stated that an individual can be definitively diagnosed with HS without further testing if he/she has a family history of HS, and presents with typical clinical and blood characteristics of HS (12). However, a negative family history was one of the main reasons for misdiagnosis of the proband. It has been shown that many mild HS patients have no obvious clinical symptoms, which makes it especially difficult to diagnose the disease using conventional methods (13). This was particularly true in case of the proband's mother, as the size and morphology of mature RBCs in her peripheral blood were relatively consistent with almost no signs of abnormality, and HS could only be identified through a genetic testing approach. Another possibility would be that HS was recessively inherited through the family, and individuals with recessive inheritance or serendipitous mutation have no family history of the disease. Thus, these possibilities may all have resulted in the prolonged misdiagnosis and mistherapy of the patient.

Identification of a suitable laboratory test has important implication in the improvement of HS diagnosis. Since anemia, jaundice and splenomegaly are all clinical manifestations of G6PD deficiency, thalassemia, and AIHA, and given that thalassemia is highly prevalent in regions of the Guangxi Province, it is easy to confuse HS with these diseases. When a patient is suspected of having hemolytic anemia, examination of peripheral RBC morphology, RBC protein electrophoresis, genetic analysis, detection of G6PD levels, and a Coombs test can all help distinguish HS from these diseases (14). In particular, the concurrent use of genetic analysis and RBC protein electrophoresis is a conventional means for the diagnosis of thalassemia in Guangxi regions. In addition, routine blood testing is also a common conventional measure for HS screening. In a study by Broséus et al (15) it was reported that MCV <80 f1, MCHC >354 g/l and RDW >14% in routine peripheral blood tests showed a 63% sensitivity and a 100% specificity for the diagnosis of HS. Subsequently, Liao et al (16) found that both sensitivity and specificity of MCHC were undesirable for the diagnosis of HS in patients with increased RET levels, and that increased blood TBiL levels could interfere with the detection of HGB and result in a false increase in MCHC (17). On the other hand, MSCV is a valuable indicator for HS screening (15). A study in 57 HS patients and 109 thalassemia patients by Liao et al (16) showed that MSCV<MCV could effectively distinguish HS from thalassemia. Furthermore, Tao et al (18) reported that the combination of MSCV<MCV, flow cytometry and osmotic fragility test demonstrated 89.28% sensitivity and 96.14% specificity for the diagnosis of H. MRV is a novel indicator for HS screening. The value of MRV in the screening of HS was first reported by Lazarova et al (19) in 2014, where they demonstrated that MRV ≤96.72 fl showed 100% sensitivity and 88% specificity for the diagnosis of HS. Moreover, in a study performed on 53 HS patients, 109 thalassemia patients, 56 G6PD deficiency patients, and 52 AIHA patients by Xu et al (20) it was demonstrated that MRV ≤95.77 fl showed 86.8% sensitivity and 91.2% specificity for the diagnosis of HS. The limitations of basic hospitals and insufficient knowledge of clinicians towards HS were the main reasons for misdiagnosis of the proband. The proband was first diagnosed with thalassemia and G6PD deficiency by a local hospital. At the first time of diagnosis, HGB electrophoresis and G6PD detection were not conducted. Thus, the proband was diagnosed with hemolytic anemia at another hospital in Nanning, China. It is important to note that at the time of his second diagnosis, the RBC parameters of the proband were typical, where pre-treatment values of MCV, MCHC, MRV and MSCV all met the diagnostic criteria for HS. Therefore, diagnosis of the patient would not have been difficult if the clinician had performed reasonable comprehensive analyses and further diagnostic testing.

The undesirable sensitivity and specificity of traditional HS screening methods are also a reason of prolonged misdiagnosis or missed diagnosis of several HS patients (21). SDS-PAGE is mainly used for the detection of changes in the relative levels of RBC membrane proteins in HS patients compared to healthy controls. The SDS-PAGE approach can be used to detect the presence of abnormal proteins in roughly 80% of HS patients, however, the type of protein defect cannot be confirmed in approximately 10% of HS patients (22). In this study, membrane protein defects in the proband were not detected by SDS-PAGE because the excess amount of ankyrin proteins in the RETs interfered with the gradient of the gel and the separation of RBC membrane proteins.

Detection of EMA-labeled RBCs by flow cytometry is a novel method of preliminary screening for HS, especially in atypical patients (23). EMA is a fluorescent probe that covalently binds to Lys-430 on the first extracellular ring of band 3 protein and spectrin (24). Upon EMA labeling, the MCF of RBCs is reduced, and >21% reduction in MCF was found to show 97% sensitivity and 100% specificity for the diagnosis of HS (25). This approach is fast, requires a small amount of blood, and is therefore, a superior auxiliary method for the clinical diagnosis of HS.

HS is caused by the deficiency or functional change of RBC membrane proteins resulting from genetic mutations. As the shape-changing ability of RBCs is reduced, and upon entering the microcirculation of the spleen, these cells are easily captured for phagocytosis. The main RBC membrane protein-encoding genes include SPTA1, SPTB, ANK1, SLC4A1 and EPB42, and the corresponding proteins they encode include α-spectrin, β-spectrin, ankyrin, band 3 and 4.2 protein, respectively. Previous studies have shown that the severity of HS is associated with the type of membrane protein defect in the patient (26). Specifically, patients with defects in α-spectrin present with severe anemia, while those with defects in ankyrin, band 3 and 4.2 protein present with mild to moderate anemia (27).

It is found that approximately 5% of HS patients have a defect in α-spectrin and they acquired the disease by recessive inheritance (28). Generally, a single heterozygous mutation in the SPTA1 gene will not lead to protein defects or the appearance of obvious clinical symptoms in the patients, because overexpression of α-spectrin will maintain protein levels. Only homozygous or compound heterozygous mutations will result in disease (29). The proband was identified as a carrier for compound heterozygous mutations in the SPTA1 gene. In addition, 3 site mutations were found in the proband, including c.161A>C in exon 2, c.5572C>G in exon 40, and 6531–12C>T in intron 45. In particular, c.161A>C was a newly identified mutation that had not yet been reported in the dbSNP database, and hence there is no information available regarding the mutation in the 1000 Genomes dataset, such as its distribution frequency and the mechanism of pathogenesis. Harmfulness prediction was made through the web PolyPhen-2 (genetics.bwh.harvard.edu/pph2/) (30) and Mutation Taster (www.mutationtaster.org/). The results showed that c.161A>C is pathogenic or potentially pathogenic according to the ACMG guidelines and recommendations. We speculated that the mutation may affect the level of mRNA expression or the structural stability of proteins. In addition, c.5572C>G and 6531–12C>T together result in a polymorphic ‘LELY’ allele that is highly frequent but lowly expressed (31). The 6531–12C>T mutation can cause 50% of the transcription codons to be skipped during translation of exon 46, resulting in the deficiency of 6 amino acids that link α-spectrin with β-spectrin. The c.5572C>G mutation can lead to amino acid changes and linkage disequilibrium with 6531–12C>T. In general, a single heterozygous mutation (mother) or αLELY(father) is sufficient to ensure the correct structural expression of the α-spectrin protein and prevents the development of corresponding pathological changes in the carrier. Even if an individual develops relevant pathological changes, the damage is very minimal (32). Simultaneous inheritance of both alleles in the proband resulted in significant anemia due to the vicious interaction between the two mutations, in which the presence of αLELY exacerbated the pathogenesis of c.161A>C, and the presence of c.161A>C exacerbated the trans effect of αLELY on the structure of α-spectrin (33).

In conclusion, although HS is not an uncommon or rare disorder, its sporadic nature and the absence of reliable laboratory indicators for definitive diagnosis of HS prompt the development of a comprehensive assessment involving multiple laboratory indicators that will allow for accurate diagnosis of the disease. EMA-labeled RBC detection by flow cytometry, SDS-PAGE, and an osmotic fragility test can be used concurrently to determine the fragility, and the presence of membrane protein defects in RBCs. Furthermore, performance of a blood smear and routine laboratory tests, such as RBC, HBG, MCV, MSCV, RET%, MRV, TBiL and DBiL, can effectively distinguish HS from thalassemia, G6PD deficiency, iron-deficiency anemia and AIHA.

Acknowledgements

Not applicable.

Funding

The present study was supported by the National Natural Science Foundation of China (no. 81360263).

Availability of data and materials

The datasets supporting the conclusions of this article are included within the article.

Authors' contributions

SM drafted the initial manuscript and organized the data and contributed to the design of the report and to the critical writing of the manuscript. HW is a physician involved in the care of the patient in the Pediatric Hematology Clinic. YQ is the principal physician caring for the hematological issues of this patient. XD, LL and ZD, research scientists at Clinical Laboratory, conceived of and established the flow-cytometric studies and the gene sequencing aspects that are central to this report. FL, a senior hematologist and scientist, has been involved as a consultant on the clinical case and supervises the scientists in aspects of hematology and genetics. He provided critical advice in case management, contributed to the design and critically reviewed the manuscript. All authors read and approved the manuscript and agree to be accountable for all aspects of the research in ensuring that the accuracy or integrity of any part of the work are appropriately investigated and resolved.

Ethics approval and consent to participate

Written informed consent was obtained from all participants in this study. The study protocol was approved by the Ethics Committee of the First Affiliated Hospital at the Guangxi Medical University in China.

Patient consent for publication

This study procured the informed consents of the proband and his family members. From all participants, written informed consent for molecular genetic analysis, data analysis and publication was obtained.

Competing interests

The authors declare that they have no competing interests.

Glossary

Abbreviations

Abbreviations:

EMA

eosin-5-maleimide

DBiL

direct bilirubin

HGB

haemoglobin

HS

hereditary spherocytosis

IBiL

indirect bilirubin

MALDI-TOF

matrix-assisted laser desorption/ionization time of flight

MCF

mean channel florescence

MCHC

mean corpuscular hemoglobin concentration

MCV

mean corpuscular volume

MFC

mean fluorescence channel units

MPV

mean platelet volume

MRV

mean reticulocyte volume

MSCV

mean sphered corpuscular volume

RETs

reticulocytes

RBCs

reb blood cells

RDW

red blood cell distribution width

SDS-PAGE

sodium dodecyl sulfate-polyacrylamide gel electrophoresis

TBiL

total bilirubin

References

1 

Yawata Y, Kanzaki A, Yawata A, Doerfler W, Ozcan R and Eber SW: Characteristic features of the genotype and phenotype of hereditary spherocytosis in the Japanese population. Int J Hematol. 71:118–135. 2000.PubMed/NCBI

2 

Bolton-Maggs PH, Langer JC, Iolascon A, Tittensor P and King MJ; General Haematology Task Force of the British Committee for Standards in Haematology, : Guidelines for the diagnosis and management of hereditary spherocytosis − 2011 update. Br J Haematol. 156:37–49. 2012. View Article : Google Scholar : PubMed/NCBI

3 

King MJ, Garçon L, Hoyer JD, Iolascon A, Picard V, Stewart G, Bianchi P, Lee SH and Zanella A; International Council for Standardization in Haematology, : ICSH guidelines for the laboratory diagnosis of nonimmune hereditary red cell membrane disorders. Int J Lab Hematol. 37:304–325. 2015. View Article : Google Scholar : PubMed/NCBI

4 

Ciepiela O, Kotuła I, Górska E, Stelmaszczyk-Emmel A, Popko K, Szmydki-Baran A, Adamowicz-Salach A and Demkow U: Delay in the measurement of eosin-5′-maleimide (EMA) binding does not affect the test result for the diagnosis of hereditary spherocytosis. Clin Chem Lab Med. 51:817–823. 2013. View Article : Google Scholar : PubMed/NCBI

5 

Rungaldier S, Oberwagner W, Salzer U, Csaszar E and Prohaska R: Stomatin interacts with GLUT1/SLC2A1, band 3/SLC4A1, and aquaporin-1 in human erythrocyte membrane domains. Biochim Biophys Acta. 1828:956–966. 2013. View Article : Google Scholar : PubMed/NCBI

6 

Fairbanks G, Steck TL and Wallach DF: Electrophoretic analysis of the major polypeptides of the human erythrocyte membrane. Biochemistry. 10:2606–2617. 1971. View Article : Google Scholar : PubMed/NCBI

7 

Gharahdaghi F, Weinberg CR, Meagher DA, Imai BS and Mische SM: Mass spectrometric identification of proteins from silver-stained polyacrylamide gel: A method for the removal of silver ions to enhance sensitivity. Electrophoresis. 20:601–605. 1999. View Article : Google Scholar : PubMed/NCBI

8 

Richards CS, Bale S, Bellissimo DB, Das S, Grody WW, Hegde MR, Lyon E and Ward BE; Molecular Subcommittee of the ACMG Laboratory Quality Assurance Committee, : ACMG recommendations for standards for interpretation and reporting of sequence variations: Revisions 2007. Genet Med. 10:294–300. 2008. View Article : Google Scholar : PubMed/NCBI

9 

Richards S, Aziz N, Bale S, Bick D, Das S, Gastier-Foster J, Grody WW, Hegde M, Lyon E, Spector E, et al ACMG Laboratory Quality Assurance Committee, : Standards and guidelines for the interpretation of sequence variants: a joint consensus recommendation of the American College of Medical Genetics and Genomics and the Association for Molecular Pathology. Genet Med. 17:405–424. 2015. View Article : Google Scholar : PubMed/NCBI

10 

Li MM, Datto M, Duncavage EJ, Kulkarni S, Lindeman NI, Roy S, Tsimberidou AM, Vnencak-Jones CL, Wolff DJ, Younes A, et al: Standards and guidelines for the interpretation and reporting of sequence variants in cancer: A joint consensus recommendation of the Association for Molecular Pathology, American Society of Clinical Oncology, and College of American Pathologists. J Mol Diagn. 19:4–23. 2017. View Article : Google Scholar : PubMed/NCBI

11 

Hunt L, Greenwood D, Heimpel H, Noel N, Whiteway A and King MJ: Toward the harmonization of result presentation for the eosin-5′-maleimide binding test in the diagnosis of hereditary spherocytosis. Cytometry B Clin Cytom. 88:50–57. 2015. View Article : Google Scholar : PubMed/NCBI

12 

Manciu S, Matei E and Trandafir B: Hereditary spherocytosis - diagnosis, surgical treatment and outcomes. A literature review. Chirurgia (Bucur). 112:110–116. 2017. View Article : Google Scholar : PubMed/NCBI

13 

Barcellini W, Bianchi P, Fermo E, Imperiali FG, Marcello AP, Vercellati C, Zaninoni A and Zanella A: Hereditary red cell membrane defects: Diagnostic and clinical aspects. Blood Transfus. 9:274–277. 2011.PubMed/NCBI

14 

Guillaud C, Loustau V and Michel M: Hemolytic anemia in adults: Main causes and diagnostic procedures. Expert Rev Hematol. 5:229–241. 2012. View Article : Google Scholar : PubMed/NCBI

15 

Broséus J, Visomblain B, Guy J, Maynadié M and Girodon F: Evaluation of mean sphered corpuscular volume for predicting hereditary spherocytosis. Int J Lab Hematol. 32:519–523. 2010. View Article : Google Scholar : PubMed/NCBI

16 

Liao L, Deng ZF, Qiu YL, Chen P, Chen WQ and Lin FQ: Values of mean cell volume and mean sphered cell volume can differentiate hereditary spherocytosis and thalassemia. Hematology. 19:393–396. 2014. View Article : Google Scholar : PubMed/NCBI

17 

Kar R and Sharma CB: Bilirubin peak can be mistaken as Hb Bart's or Hb H on High-performance liquid chromatography. Hemoglobin. 35:171–174. 2011. View Article : Google Scholar : PubMed/NCBI

18 

Tao YF, Deng ZF, Liao L, Qiu YL, Chen WQ and Lin FQ: Comparison and evaluation of three screening tests of hereditary spherocytosis in Chinese patients. Ann Hematol. 94:747–751. 2015. View Article : Google Scholar : PubMed/NCBI

19 

Lazarova E, Pradier O, Cotton F and Gulbis B: Automated reticulocyte parameters for hereditary spherocytosis screening. Ann Hematol. 93:1809–1818. 2014. View Article : Google Scholar : PubMed/NCBI

20 

Xu Y, Yang W, Liao L, Deng Z, Qiu Y, Chen W and Lin F: Mean reticulocyte volume: A specific parameter to screen for hereditary spherocytosis. Eur J Haematol. 96:170–174. 2016. View Article : Google Scholar : PubMed/NCBI

21 

Deng Z, Liao L, Yang W and Lin F: Misdiagnosis of two cases of hereditary spherocytosis in a family and review of published reports. Clin Chim Acta. 441:6–9. 2015. View Article : Google Scholar : PubMed/NCBI

22 

King MJ and Zanella A: Hereditary red cell membrane disorders and laboratory diagnostic testing. Int J Lab Hematol. 35:237–243. 2013. View Article : Google Scholar : PubMed/NCBI

23 

Wang J, Zheng B, Zhao Y, Chen X, Liu Y, Bo L, Zheng Y, Zhang F, Ru K and Wang H: Flow cytometric test using eosin-5′-maleimide (EMA) labelling of red blood for diagnosis of hereditary spherocytosis. Zhonghua Xue Ye Xue Za Zhi. 36:598–601. 2015.(In Chinese). PubMed/NCBI

24 

Suemori S, Wada H, Nakanishi H, Tsujioka T, Sugihara T and Tohyama K: Analysis of hereditary elliptocytosis with decreased binding of eosin-5-maleimide to red blood cells. BioMed Res Int. 2015:4518612015. View Article : Google Scholar : PubMed/NCBI

25 

Joshi P, Aggarwal A, Jamwal M, Sachdeva MU, Bansal D, Malhotra P, Sharma P and Das R: A comparative evaluation of Eosin-5′-maleimide flow cytometry reveals a high diagnostic efficacy for hereditary spherocytosis. Int J Lab Hematol. 38:520–526. 2016. View Article : Google Scholar : PubMed/NCBI

26 

Perrotta S, Della Ragione F, Rossi F, Avvisati RA, Di Pinto D, De Mieri G, Scianguetta S, Mancusi S, De Falco L, Marano V, et al: Beta-spectrinBari: A truncated beta-chain responsible for dominant hereditary spherocytosis. Haematologica. 94:1753–1757. 2009. View Article : Google Scholar : PubMed/NCBI

27 

Serpillon S, Floyd BC, Gupte RS, George S, Kozicky M, Neito V, Recchia F, Stanley W, Wolin MS and Gupte SA: Superoxide production by NAD(P)H oxidase and mitochondria is increased in genetically obese and hyperglycemic rat heart and aorta before the development of cardiac dysfunction. The role of glucose-6-phosphate dehydrogenase-derived NADPH. Am J Physiol Heart Circ Physiol. 297:H153–H162. 2009. View Article : Google Scholar : PubMed/NCBI

28 

Perrotta S, Gallagher PG and Mohandas N: Hereditary spherocytosis. Lancet. 372:1411–1426. 2008. View Article : Google Scholar : PubMed/NCBI

29 

Da Costa L, Galimand J, Fenneteau O and Mohandas N: Hereditary spherocytosis, elliptocytosis, and other red cell membrane disorders. Blood Rev. 27:167–178. 2013. View Article : Google Scholar : PubMed/NCBI

30 

Adzhubei I, Jordan DM and Sunyaev SR: Predicting functional effect of human missense mutations using PolyPhen-2. Curr Protoc Hum Genet Chapter. 7:Unit7.20. 2013.

31 

Maréchal J, Wilmotte R, Kanzaki A, Dhermy D, Garbarz M, Galand C, Tang TK, Yawata Y and Delaunay J: Ethnic distribution of allele alpha LELY, a low-expression allele of red-cell spectrin alpha-gene. Br J Haematol. 90:553–556. 1995. View Article : Google Scholar : PubMed/NCBI

32 

Randon J, Boulanger L, Marechal J, Garbarz M, Vallier A, Ribeiro L, Tamagnini G, Dhermy D and Delaunay J: A variant of spectrin low-expression allele alpha LELY carrying a hereditary elliptocytosis mutation in codon 28. Br J Haematol. 88:534–540. 1994. View Article : Google Scholar : PubMed/NCBI

33 

Tolpinrud W, Maksimova YD, Forget BG and Gallagher PG: Nonsense mutations of the alpha-spectrin gene in hereditary pyropoikilocytosis. Haematologica. 93:1752–1754. 2008. View Article : Google Scholar : PubMed/NCBI

Related Articles

  • Abstract
  • View
  • Download
  • Twitter
Copy and paste a formatted citation
Spandidos Publications style
Ma S, Deng X, Liao L, Deng Z, Qiu Y, Wei H and Lin F: Analysis of the causes of the misdiagnosis of hereditary spherocytosis. Oncol Rep 40: 1451-1458, 2018.
APA
Ma, S., Deng, X., Liao, L., Deng, Z., Qiu, Y., Wei, H., & Lin, F. (2018). Analysis of the causes of the misdiagnosis of hereditary spherocytosis. Oncology Reports, 40, 1451-1458. https://doi.org/10.3892/or.2018.6578
MLA
Ma, S., Deng, X., Liao, L., Deng, Z., Qiu, Y., Wei, H., Lin, F."Analysis of the causes of the misdiagnosis of hereditary spherocytosis". Oncology Reports 40.3 (2018): 1451-1458.
Chicago
Ma, S., Deng, X., Liao, L., Deng, Z., Qiu, Y., Wei, H., Lin, F."Analysis of the causes of the misdiagnosis of hereditary spherocytosis". Oncology Reports 40, no. 3 (2018): 1451-1458. https://doi.org/10.3892/or.2018.6578
Copy and paste a formatted citation
x
Spandidos Publications style
Ma S, Deng X, Liao L, Deng Z, Qiu Y, Wei H and Lin F: Analysis of the causes of the misdiagnosis of hereditary spherocytosis. Oncol Rep 40: 1451-1458, 2018.
APA
Ma, S., Deng, X., Liao, L., Deng, Z., Qiu, Y., Wei, H., & Lin, F. (2018). Analysis of the causes of the misdiagnosis of hereditary spherocytosis. Oncology Reports, 40, 1451-1458. https://doi.org/10.3892/or.2018.6578
MLA
Ma, S., Deng, X., Liao, L., Deng, Z., Qiu, Y., Wei, H., Lin, F."Analysis of the causes of the misdiagnosis of hereditary spherocytosis". Oncology Reports 40.3 (2018): 1451-1458.
Chicago
Ma, S., Deng, X., Liao, L., Deng, Z., Qiu, Y., Wei, H., Lin, F."Analysis of the causes of the misdiagnosis of hereditary spherocytosis". Oncology Reports 40, no. 3 (2018): 1451-1458. https://doi.org/10.3892/or.2018.6578
Follow us
  • Twitter
  • LinkedIn
  • Facebook
About
  • Spandidos Publications
  • Careers
  • Cookie Policy
  • Privacy Policy
How can we help?
  • Help
  • Live Chat
  • Contact
  • Email to our Support Team