Spandidos Publications Logo
  • About
    • About Spandidos
    • Aims and Scopes
    • Abstracting and Indexing
    • Editorial Policies
    • Reprints and Permissions
    • Job Opportunities
    • Terms and Conditions
    • Contact
  • Journals
    • All Journals
    • Oncology Letters
      • Oncology Letters
      • Information for Authors
      • Editorial Policies
      • Editorial Board
      • Aims and Scope
      • Abstracting and Indexing
      • Bibliographic Information
      • Archive
    • International Journal of Oncology
      • International Journal of Oncology
      • Information for Authors
      • Editorial Policies
      • Editorial Board
      • Aims and Scope
      • Abstracting and Indexing
      • Bibliographic Information
      • Archive
    • Molecular and Clinical Oncology
      • Molecular and Clinical Oncology
      • Information for Authors
      • Editorial Policies
      • Editorial Board
      • Aims and Scope
      • Abstracting and Indexing
      • Bibliographic Information
      • Archive
    • Experimental and Therapeutic Medicine
      • Experimental and Therapeutic Medicine
      • Information for Authors
      • Editorial Policies
      • Editorial Board
      • Aims and Scope
      • Abstracting and Indexing
      • Bibliographic Information
      • Archive
    • International Journal of Molecular Medicine
      • International Journal of Molecular Medicine
      • Information for Authors
      • Editorial Policies
      • Editorial Board
      • Aims and Scope
      • Abstracting and Indexing
      • Bibliographic Information
      • Archive
    • Biomedical Reports
      • Biomedical Reports
      • Information for Authors
      • Editorial Policies
      • Editorial Board
      • Aims and Scope
      • Abstracting and Indexing
      • Bibliographic Information
      • Archive
    • Oncology Reports
      • Oncology Reports
      • Information for Authors
      • Editorial Policies
      • Editorial Board
      • Aims and Scope
      • Abstracting and Indexing
      • Bibliographic Information
      • Archive
    • Molecular Medicine Reports
      • Molecular Medicine Reports
      • Information for Authors
      • Editorial Policies
      • Editorial Board
      • Aims and Scope
      • Abstracting and Indexing
      • Bibliographic Information
      • Archive
    • World Academy of Sciences Journal
      • World Academy of Sciences Journal
      • Information for Authors
      • Editorial Policies
      • Editorial Board
      • Aims and Scope
      • Abstracting and Indexing
      • Bibliographic Information
      • Archive
    • International Journal of Functional Nutrition
      • International Journal of Functional Nutrition
      • Information for Authors
      • Editorial Policies
      • Editorial Board
      • Aims and Scope
      • Abstracting and Indexing
      • Bibliographic Information
      • Archive
    • International Journal of Epigenetics
      • International Journal of Epigenetics
      • Information for Authors
      • Editorial Policies
      • Editorial Board
      • Aims and Scope
      • Abstracting and Indexing
      • Bibliographic Information
      • Archive
    • Medicine International
      • Medicine International
      • Information for Authors
      • Editorial Policies
      • Editorial Board
      • Aims and Scope
      • Abstracting and Indexing
      • Bibliographic Information
      • Archive
  • Articles
  • Information
    • Information for Authors
    • Information for Reviewers
    • Information for Librarians
    • Information for Advertisers
    • Conferences
  • Language Editing
Spandidos Publications Logo
  • About
    • About Spandidos
    • Aims and Scopes
    • Abstracting and Indexing
    • Editorial Policies
    • Reprints and Permissions
    • Job Opportunities
    • Terms and Conditions
    • Contact
  • Journals
    • All Journals
    • Biomedical Reports
      • Information for Authors
      • Editorial Policies
      • Editorial Board
      • Aims and Scope
      • Abstracting and Indexing
      • Bibliographic Information
      • Archive
    • Experimental and Therapeutic Medicine
      • Information for Authors
      • Editorial Policies
      • Editorial Board
      • Aims and Scope
      • Abstracting and Indexing
      • Bibliographic Information
      • Archive
    • International Journal of Epigenetics
      • Information for Authors
      • Editorial Policies
      • Editorial Board
      • Aims and Scope
      • Abstracting and Indexing
      • Bibliographic Information
      • Archive
    • International Journal of Functional Nutrition
      • Information for Authors
      • Editorial Policies
      • Editorial Board
      • Aims and Scope
      • Abstracting and Indexing
      • Bibliographic Information
      • Archive
    • International Journal of Molecular Medicine
      • Information for Authors
      • Editorial Policies
      • Editorial Board
      • Aims and Scope
      • Abstracting and Indexing
      • Bibliographic Information
      • Archive
    • International Journal of Oncology
      • Information for Authors
      • Editorial Policies
      • Editorial Board
      • Aims and Scope
      • Abstracting and Indexing
      • Bibliographic Information
      • Archive
    • Medicine International
      • Information for Authors
      • Editorial Policies
      • Editorial Board
      • Aims and Scope
      • Abstracting and Indexing
      • Bibliographic Information
      • Archive
    • Molecular and Clinical Oncology
      • Information for Authors
      • Editorial Policies
      • Editorial Board
      • Aims and Scope
      • Abstracting and Indexing
      • Bibliographic Information
      • Archive
    • Molecular Medicine Reports
      • Information for Authors
      • Editorial Policies
      • Editorial Board
      • Aims and Scope
      • Abstracting and Indexing
      • Bibliographic Information
      • Archive
    • Oncology Letters
      • Information for Authors
      • Editorial Policies
      • Editorial Board
      • Aims and Scope
      • Abstracting and Indexing
      • Bibliographic Information
      • Archive
    • Oncology Reports
      • Information for Authors
      • Editorial Policies
      • Editorial Board
      • Aims and Scope
      • Abstracting and Indexing
      • Bibliographic Information
      • Archive
    • World Academy of Sciences Journal
      • Information for Authors
      • Editorial Policies
      • Editorial Board
      • Aims and Scope
      • Abstracting and Indexing
      • Bibliographic Information
      • Archive
  • Articles
  • Information
    • For Authors
    • For Reviewers
    • For Librarians
    • For Advertisers
    • Conferences
  • Language Editing
Login Register Submit
  • This site uses cookies
  • You can change your cookie settings at any time by following the instructions in our Cookie Policy. To find out more, you may read our Privacy Policy.

    I agree
Search articles by DOI, keyword, author or affiliation
Search
Advanced Search
presentation
World Academy of Sciences Journal
Join Editorial Board Propose a Special Issue
Print ISSN: 2632-2900 Online ISSN: 2632-2919
Journal Cover
July-August 2022 Volume 4 Issue 4

Full Size Image

Sign up for eToc alerts
Recommend to Library

Journals

International Journal of Molecular Medicine

International Journal of Molecular Medicine

International Journal of Molecular Medicine is an international journal devoted to molecular mechanisms of human disease.

International Journal of Oncology

International Journal of Oncology

International Journal of Oncology is an international journal devoted to oncology research and cancer treatment.

Molecular Medicine Reports

Molecular Medicine Reports

Covers molecular medicine topics such as pharmacology, pathology, genetics, neuroscience, infectious diseases, molecular cardiology, and molecular surgery.

Oncology Reports

Oncology Reports

Oncology Reports is an international journal devoted to fundamental and applied research in Oncology.

Experimental and Therapeutic Medicine

Experimental and Therapeutic Medicine

Experimental and Therapeutic Medicine is an international journal devoted to laboratory and clinical medicine.

Oncology Letters

Oncology Letters

Oncology Letters is an international journal devoted to Experimental and Clinical Oncology.

Biomedical Reports

Biomedical Reports

Explores a wide range of biological and medical fields, including pharmacology, genetics, microbiology, neuroscience, and molecular cardiology.

Molecular and Clinical Oncology

Molecular and Clinical Oncology

International journal addressing all aspects of oncology research, from tumorigenesis and oncogenes to chemotherapy and metastasis.

World Academy of Sciences Journal

World Academy of Sciences Journal

Multidisciplinary open-access journal spanning biochemistry, genetics, neuroscience, environmental health, and synthetic biology.

International Journal of Functional Nutrition

International Journal of Functional Nutrition

Open-access journal combining biochemistry, pharmacology, immunology, and genetics to advance health through functional nutrition.

International Journal of Epigenetics

International Journal of Epigenetics

Publishes open-access research on using epigenetics to advance understanding and treatment of human disease.

Medicine International

Medicine International

An International Open Access Journal Devoted to General Medicine.

Journal Cover
July-August 2022 Volume 4 Issue 4

Full Size Image

Sign up for eToc alerts
Recommend to Library

  • Article
  • Citations
    • Cite This Article
    • Download Citation
    • Create Citation Alert
    • Remove Citation Alert
    • Cited By
  • Similar Articles
    • Related Articles (in Spandidos Publications)
    • Similar Articles (Google Scholar)
    • Similar Articles (PubMed)
  • Download PDF
  • Download XML
  • View XML
Case Report Open Access

Sarilumab administration in patients with severe COVID‑19: A report of four cases and a literature review

  • Authors:
    • Andrea Marino
    • Edoardo Campanella
    • Manuela Ceccarelli
    • Licia Larocca
    • Carmelo Bonomo
    • Cristina Micali
    • Antonio Munafò
    • Benedetto Maurizio Celesia
    • Giuseppe Nunnari
    • Bruno Cacopardo
  • View Affiliations / Copyright

    Affiliations: Department of Biomedical and Biotechnological Sciences, University of Catania, I‑95124 Catania, Italy, Department of Clinical and Experimental Medicine, Unit of Infectious Diseases, University of Messina, I‑98122 Messina, Italy, Department of Clinical and Experimental Medicine, Unit of Infectious Diseases, ARNAS Garibaldi Hospital, University of Catania, I‑95122 Catania, Italy, Unit of Clinical Toxicology, Policlinico G. Rodolico, School of Medicine, University of Catania, I‑95123 Catania, Italy
    Copyright: © Marino et al. This is an open access article distributed under the terms of Creative Commons Attribution License.
  • Article Number: 24
    |
    Published online on: April 19, 2022
       https://doi.org/10.3892/wasj.2022.159
  • Expand metrics +
Metrics: Total Views: 0 (Spandidos Publications: | PMC Statistics: )
Metrics: Total PDF Downloads: 0 (Spandidos Publications: | PMC Statistics: )
Cited By (CrossRef): 0 citations Loading Articles...

This article is mentioned in:



Abstract

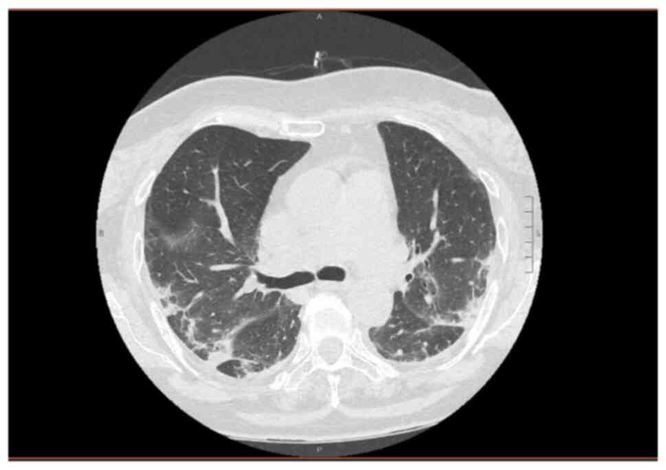
Almost 2 years have passed since the World Health Organization declared a pandemic state for severe acute respiratory syndrome coronavirus 2 infection. The pathogenesis of coronavirus disease 2019 (COVID‑19) consists of an initial viral phase responsible for early symptoms followed by an inflammatory phase, which is cytokine‑mediated, responsible for late‑onset symptoms, culminating in acute respiratory distress syndrome. Considering that IL‑6 plays a key‑role in the development and maintenance of inflammation, drugs targeting both IL‑6 and IL‑6 receptors have been evaluated. The present study reports the cases of four hospitalized patients with severe respiratory COVID‑19 treated with a single dose of sarilumab, a monoclonal anti‑IL‑6 antibody, along with standard of care medications and oxygen therapy. A few days following sarilumab administration, the clinical and biochemical conditions began to improve, until the discontinuation of O2 therapy and discharge. The present study demonstrates that sarilumab may represent a promising drug that may be used to treat the hyperinflammatory phase; however, further trials are required to determine whether it should be used combination with other drugs or alone, and to better understand the pharmacokinetics and related side‑effects.
View Figures

Figure 1

Figure 2

Figure 3

Figure 4

View References

1 

Zhu N, Zhang D, Wang W, Li X, Yang B, Song J, Zhao X, Huang B, Shi W, Lu R, et al: A novel coronavirus from patients with pneumonia in China, 2019. N. Engl J Med. 382:727–733. 2020.PubMed/NCBI View Article : Google Scholar

2 

Horton R: Offline: COVID-19 is not a pandemic. Lancet. 396(935)2020.PubMed/NCBI View Article : Google Scholar

3 

Musumeci G: Effects of COVID-19 Syndemic on Sport Community. J Funct Morphol Kinesiol. 7(19)2022.PubMed/NCBI View Article : Google Scholar

4 

Ministero della Salute. Covid-19, situation in Italy. https://www.salute.gov.it/portale/nuovocoronavirus/dettaglioContenutiNuovoCoronavirus.jsp?area=nuovoCoronavirus&id=5367&lingua=english&menu=vuoto. Accessed February 24, 2022.

5 

Osuchowski MF, Winkler MS, Skirecki T, Cajander S, Shankar-Hari M, Lachmann G, Monneret G, Venet F, Bauer M, Brunkhorst FM, et al: The COVID-19 puzzle: Deciphering pathophysiology and phenotypes of a new disease entity. Lancet Respir Med. 9:622–642. 2021.PubMed/NCBI View Article : Google Scholar

6 

Grasselli G, Tonetti T, Protti A, Langer T, Girardis M, Bellani G, Laffey J, Carrafiello G, Carsana L, Rizzuto C, et al: Pathophysiology of COVID-19-associated acute respiratory distress syndrome: A multicentre prospective observational study. Lancet Respir Med. 8:1201–1208. 2020.PubMed/NCBI View Article : Google Scholar

7 

RECOVERY Collaborative Group. Horby P, Lim WS, Emberson JR, Mafham M, Bell JL, Linsell L, Staplin N, Brightling C, Ustianowski A, et al: Dexamethasone in Hospitalized patients with Covid-19. N Engl J Med. 384:693–704. 2021.PubMed/NCBI View Article : Google Scholar

8 

Nissen CB, Sciascia S, de Andrade D, Atsumi T, Bruce IN, Cron RQ, Hendricks O, Roccatello D, Stach K, Trunfio M, et al: The role of antirheumatics in patients with COVID-19. Lancet Rheumatol. 3:e447–e459. 2021.PubMed/NCBI View Article : Google Scholar

9 

Angriman F, Ferreyro BL, Burry L, Fan E, Ferguson ND, Husain S, Keshavjee SH, Lupia E, Munshi L, Renzi S, et al: Interleukin-6 receptor blockade in patients with COVID-19: Placing clinical trials into context. Lancet Respir Med. 9:655–664. 2021.PubMed/NCBI View Article : Google Scholar

10 

Bhimraj A, Morgan R, Shumaker A, Lavergne V, Baden L, Cheng VC-C, Edwards KM, Gandhi R, Gallagher J, Muller WJ, et al: IDSA Guidelines on the treatment and management of patients with COVID-19. Published by IDSA on 4/11/2020. Last updated, 3/23/2022. Available: https://www.idsociety.org/practice-guideline/covid-19-guideline-treatment-and-management/.

11 

Bassetti M, Giacobbe DR, Bruzzi P, Barisione E, Centanni S, Castaldo N, Corcione S, De Rosa FG, Di Marco F, Gori A, et al: Clinical management of adult patients with COVID-19 outside intensive care units: Guidelines from the Italian society of anti-infective therapy (SITA) and the Italian Society of Pulmonology (SIP). Infect Dis Ther. 10:1837–1885. 2021.PubMed/NCBI View Article : Google Scholar

12 

Lescure FX, Honda H, Fowler RA, Lazar JS, Shi G, Wung P, Patel N and Hagino O: Sarilumab COVID-19 Global Study Group. Sarilumab in patients admitted to hospital with severe or critical COVID-19: A randomised, double-blind, placebo-controlled, phase 3 trial. Lancet Respir Med. 9:522–532. 2021.PubMed/NCBI View Article : Google Scholar

13 

Zizzo G, Tamburello A, Castelnovo L, Laria A, Mumoli N, Faggioli PM, Stefani I and Mazzone A: Immunotherapy of COVID-19: Inside and beyond IL-6 signalling. Front Immunol. 13(795315)2022.PubMed/NCBI View Article : Google Scholar

14 

Bhimraj A, Morgan RL, Shumaker AH, Lavergne V, Baden L, Cheng VC, Edwards KM, Gandhi R, Gallagher J, Muller WJ, et al: Infectious Diseases Society of America Guidelines on the treatment and management of patients with COVID-19. Clin Infect Dis: Apr 27, 2020 (Epub ahead of print). doi: 10.1093/cid/ciaa478.

15 

Nunnari G, Sanfilippo C, Castrogiovanni P, Imbesi R, Li Volti G, Barbagallo I, Musumeci G and Di Rosa M: Network perturbation analysis in human bronchial epithelial cells following SARS-CoV2 infection. Exp Cell Res. 395(112204)2020.PubMed/NCBI View Article : Google Scholar

16 

Que Y, Hu C, Wan K, Hu P, Wang R, Luo J, Li T, Ping R, Hu Q, Sun Y, et al: Cytokine release syndrome in COVID-19: A major mechanism of morbidity and mortality. Int Rev Immunol. 41:217–230. 2022.PubMed/NCBI View Article : Google Scholar

17 

Cosentino F, Moscatt V, Marino A, Pampaloni A, Scuderi D, Ceccarelli M, Benanti F, Gussio M, Larocca L, Boscia V, et al: Clinical characteristics and predictors of death among hospitalized patients infected with SARS-CoV-2 in Sicily, Italy: A retrospective observational study. Biomed Rep. 16(34)2022.PubMed/NCBI View Article : Google Scholar

18 

Della-Torre E, Campochiaro C, Cavalli G, De Luca G, Napolitano A, La Marca S, Boffini N, Da Prat V, Di Terlizzi G, Lanzillotta M, et al: Interleukin-6 blockade with sarilumab in severe COVID-19 pneumonia with systemic hyperinflammation: An open-label cohort study. Ann Rheum Dis. 79:1277–1285. 2020.PubMed/NCBI View Article : Google Scholar

19 

Gremese E, Cingolani A, Bosello SL, Alivernini S, Tolusso B, Perniola S, Landi F, Pompili M, Murri R, Santoliquido A, et al: Sarilumab use in severe SARS-CoV-2 pneumonia. EClinicalMedicine. 27(100553)2020.PubMed/NCBI View Article : Google Scholar

20 

Benucci M, Giannasi G, Cecchini P, Gobbi FL, Damiani A, Grossi V, Infantino M and Manfredi M: COVID-19 pneumonia treated with Sarilumab: A clinical series of eight patients. J Med Virol. 92:2368–2370. 2020.PubMed/NCBI View Article : Google Scholar

21 

REMAP-CAP Investigators. Gordon AC, Mouncey PR, Al-Beidh F, Rowan KM, Nichol AD, Arabi YM, Annane D, Beane A, van Bentum-Puijk W, et al: Interleukin-6 receptor antagonists in Critically Ill patients with Covid-19. N Engl J Med. 384:1491–1502. 2021.PubMed/NCBI View Article : Google Scholar

22 

CORIMUNO-19 Collaborative group. Sarilumab in adults hospitalised with moderate-to-severe COVID-19 pneumonia (CORIMUNO-SARI-1): An open-label randomised controlled trial. Lancet Rheumatol. 4:e24–e32. 2022.PubMed/NCBI View Article : Google Scholar

23 

Marino A, Pampaloni A, Scuderi D, Cosentino F, Moscatt V, Ceccarelli M, Gussio M, Celesia BM, Bruno R, Borraccino S, et al: High-flow nasal cannula oxygenation and tocilizumab administration in patients critically ill with COVID-19: A report of three cases and a literature review. World Acad Sci J. 2(1)2020.

24 

Ceccarelli M, Marino A, Cosentino F, Moscatt V, Celesia BM, Gussio M, Bruno R, Rullo EV, Nunnari G and Cacopardo BS: Post-infectious ST elevation myocardial infarction following a COVID-19 infection: A case report. Biomed Rep. 16(10)2022.PubMed/NCBI View Article : Google Scholar

25 

Marino A, Cosentino F, Ceccarelli M, Moscatt V, Pampaloni A, Scuderi D, D'Andrea F, Rullo EV, Nunnari G, Benanti F, et al: Entecavir resistance in a patient with treatment-naïve HBV: A case report. Mol Clin Oncol. 14(113)2021.PubMed/NCBI View Article : Google Scholar

26 

Celesia BM, Marino A, Borracino S, Arcadipane AF, Pantò G, Gussio M, Coniglio S, Pennisi A, Cacopardo B and Panarello G: Successful extracorporeal membrane oxygenation treatment in an acquired immune deficiency syndrome (AIDS) patient with acute respiratory distress syndrome (ARDS) complicating pneumocystis jirovecii pneumonia: A challenging case. Am J Case Rep. 21(e919570)2020.PubMed/NCBI View Article : Google Scholar

27 

Celesia BM, Marino A, Del Vecchio RF, Bruno R, Palermo F, Gussio M, Nunnari G and Cacopardo B: Is it safe and cost saving to defer the CD4+ cell count monitoring in stable patients on ART with more than 350 or 500 cells/µl? Mediterr J Hematol Infect Dis. 11(e2019063)2019.PubMed/NCBI View Article : Google Scholar

28 

Marino A, Zafarana G, Ceccarelli M, Cosentino F, Moscatt V, Bruno G, Bruno R, Benanti F, Cacopardo B and Celesia BM: Immunological and clinical impact of DAA-mediated HCV eradication in a cohort of HIV/HCV Coinfected patients: Monocentric Italian experience. Diagnostics. 11(2336)2021.PubMed/NCBI View Article : Google Scholar

29 

Micali C, Russotto Y, Caci G, Ceccarelli M, Marino A, Celesia BM, Pellicanò GF, Nunnari G and Venanzi Rullo E: Loco-regional treatments for hepatocellular carcinoma in people living with HIV. Infect Dis Rep. 14:43–55. 2022.PubMed/NCBI View Article : Google Scholar

30 

Marino A, Scuderi D, Locatelli ME, Gentile A, Pampaloni A, Cosentino F, Ceccarelli M, Celesia BM, Benanti F, Nunnari G, et al: Modification of serum brain-derived neurotrophic factor levels following anti-HCV therapy with direct antiviral agents: A new marker of neurocognitive disorders. Hepat Mon. 20(e95101)2020.

31 

Burgaletto C, Brunetti O, Munafò A, Bernardini R, Silvestris N, Cantarella G and Argentiero A: Lights and shadows on managing immune checkpoint inhibitors in oncology during the COVID-19 Era. Cancers. 13(1906)2021.PubMed/NCBI View Article : Google Scholar

32 

Marino A, Munafò A, Zagami A, Ceccarelli M, Di Mauro R, Cantarella G, Bernardini R, Nunnari G and Cacopardo B: Ampicillin plus ceftriaxone regimen against Enterococcus faecalis endocarditis: A literature review. J Clin Med. 10(4594)2021.PubMed/NCBI View Article : Google Scholar

33 

Erdem H, Hargreaves S, Ankarali H, Caskurlu H, Ceviker SA, Bahar-Kacmaz A, Meric-Koc M, Altindis M, Yildiz-Kirazaldi Y, Kizilates F, et al: Managing adult patients with infectious diseases in emergency departments: International ID-IRI study. J Chemother. 33:302–318. 2021.PubMed/NCBI View Article : Google Scholar

34 

El-Sokkary R, Uysal S, Erdem H, Kullar R, Pekok AU, Amer F, Grgić S, Carevic B, El-Kholy A, Liskova A, et al: Profiles of multidrug-resistant organisms among patients with bacteremia in intensive care units: An international ID-IRI survey. Eur J Clin Microbiol Infect Dis. 40:2323–2334. 2021.PubMed/NCBI View Article : Google Scholar

35 

RECOVERY Collaborative Group. Tocilizumab in patients admitted to hospital with COVID-19 (RECOVERY): A randomised, controlled, open-label, platform trial. Lancet. 397:1637–1645. 2021.PubMed/NCBI View Article : Google Scholar

Related Articles

  • Abstract
  • View
  • Download
Copy and paste a formatted citation
Spandidos Publications style
Marino A, Campanella E, Ceccarelli M, Larocca L, Bonomo C, Micali C, Munafò A, Celesia BM, Nunnari G, Cacopardo B, Cacopardo B, et al: Sarilumab administration in patients with severe COVID‑19: A report of four cases and a literature review. World Acad Sci J 4: 24, 2022.
APA
Marino, A., Campanella, E., Ceccarelli, M., Larocca, L., Bonomo, C., Micali, C. ... Cacopardo, B. (2022). Sarilumab administration in patients with severe COVID‑19: A report of four cases and a literature review. World Academy of Sciences Journal, 4, 24. https://doi.org/10.3892/wasj.2022.159
MLA
Marino, A., Campanella, E., Ceccarelli, M., Larocca, L., Bonomo, C., Micali, C., Munafò, A., Celesia, B. M., Nunnari, G., Cacopardo, B."Sarilumab administration in patients with severe COVID‑19: A report of four cases and a literature review". World Academy of Sciences Journal 4.4 (2022): 24.
Chicago
Marino, A., Campanella, E., Ceccarelli, M., Larocca, L., Bonomo, C., Micali, C., Munafò, A., Celesia, B. M., Nunnari, G., Cacopardo, B."Sarilumab administration in patients with severe COVID‑19: A report of four cases and a literature review". World Academy of Sciences Journal 4, no. 4 (2022): 24. https://doi.org/10.3892/wasj.2022.159
Copy and paste a formatted citation
x
Spandidos Publications style
Marino A, Campanella E, Ceccarelli M, Larocca L, Bonomo C, Micali C, Munafò A, Celesia BM, Nunnari G, Cacopardo B, Cacopardo B, et al: Sarilumab administration in patients with severe COVID‑19: A report of four cases and a literature review. World Acad Sci J 4: 24, 2022.
APA
Marino, A., Campanella, E., Ceccarelli, M., Larocca, L., Bonomo, C., Micali, C. ... Cacopardo, B. (2022). Sarilumab administration in patients with severe COVID‑19: A report of four cases and a literature review. World Academy of Sciences Journal, 4, 24. https://doi.org/10.3892/wasj.2022.159
MLA
Marino, A., Campanella, E., Ceccarelli, M., Larocca, L., Bonomo, C., Micali, C., Munafò, A., Celesia, B. M., Nunnari, G., Cacopardo, B."Sarilumab administration in patients with severe COVID‑19: A report of four cases and a literature review". World Academy of Sciences Journal 4.4 (2022): 24.
Chicago
Marino, A., Campanella, E., Ceccarelli, M., Larocca, L., Bonomo, C., Micali, C., Munafò, A., Celesia, B. M., Nunnari, G., Cacopardo, B."Sarilumab administration in patients with severe COVID‑19: A report of four cases and a literature review". World Academy of Sciences Journal 4, no. 4 (2022): 24. https://doi.org/10.3892/wasj.2022.159
Follow us
  • Twitter
  • LinkedIn
  • Facebook
About
  • Spandidos Publications
  • Careers
  • Cookie Policy
  • Privacy Policy
How can we help?
  • Help
  • Live Chat
  • Contact
  • Email to our Support Team