Spandidos Publications Logo
  • About
    • About Spandidos
    • Aims and Scopes
    • Abstracting and Indexing
    • Editorial Policies
    • Reprints and Permissions
    • Job Opportunities
    • Terms and Conditions
    • Contact
  • Journals
    • All Journals
    • Oncology Letters
      • Oncology Letters
      • Information for Authors
      • Editorial Policies
      • Editorial Board
      • Aims and Scope
      • Abstracting and Indexing
      • Bibliographic Information
      • Archive
    • International Journal of Oncology
      • International Journal of Oncology
      • Information for Authors
      • Editorial Policies
      • Editorial Board
      • Aims and Scope
      • Abstracting and Indexing
      • Bibliographic Information
      • Archive
    • Molecular and Clinical Oncology
      • Molecular and Clinical Oncology
      • Information for Authors
      • Editorial Policies
      • Editorial Board
      • Aims and Scope
      • Abstracting and Indexing
      • Bibliographic Information
      • Archive
    • Experimental and Therapeutic Medicine
      • Experimental and Therapeutic Medicine
      • Information for Authors
      • Editorial Policies
      • Editorial Board
      • Aims and Scope
      • Abstracting and Indexing
      • Bibliographic Information
      • Archive
    • International Journal of Molecular Medicine
      • International Journal of Molecular Medicine
      • Information for Authors
      • Editorial Policies
      • Editorial Board
      • Aims and Scope
      • Abstracting and Indexing
      • Bibliographic Information
      • Archive
    • Biomedical Reports
      • Biomedical Reports
      • Information for Authors
      • Editorial Policies
      • Editorial Board
      • Aims and Scope
      • Abstracting and Indexing
      • Bibliographic Information
      • Archive
    • Oncology Reports
      • Oncology Reports
      • Information for Authors
      • Editorial Policies
      • Editorial Board
      • Aims and Scope
      • Abstracting and Indexing
      • Bibliographic Information
      • Archive
    • Molecular Medicine Reports
      • Molecular Medicine Reports
      • Information for Authors
      • Editorial Policies
      • Editorial Board
      • Aims and Scope
      • Abstracting and Indexing
      • Bibliographic Information
      • Archive
    • World Academy of Sciences Journal
      • World Academy of Sciences Journal
      • Information for Authors
      • Editorial Policies
      • Editorial Board
      • Aims and Scope
      • Abstracting and Indexing
      • Bibliographic Information
      • Archive
    • International Journal of Functional Nutrition
      • International Journal of Functional Nutrition
      • Information for Authors
      • Editorial Policies
      • Editorial Board
      • Aims and Scope
      • Abstracting and Indexing
      • Bibliographic Information
      • Archive
    • International Journal of Epigenetics
      • International Journal of Epigenetics
      • Information for Authors
      • Editorial Policies
      • Editorial Board
      • Aims and Scope
      • Abstracting and Indexing
      • Bibliographic Information
      • Archive
    • Medicine International
      • Medicine International
      • Information for Authors
      • Editorial Policies
      • Editorial Board
      • Aims and Scope
      • Abstracting and Indexing
      • Bibliographic Information
      • Archive
  • Articles
  • Information
    • Information for Authors
    • Information for Reviewers
    • Information for Librarians
    • Information for Advertisers
    • Conferences
  • Language Editing
Spandidos Publications Logo
  • About
    • About Spandidos
    • Aims and Scopes
    • Abstracting and Indexing
    • Editorial Policies
    • Reprints and Permissions
    • Job Opportunities
    • Terms and Conditions
    • Contact
  • Journals
    • All Journals
    • Biomedical Reports
      • Information for Authors
      • Editorial Policies
      • Editorial Board
      • Aims and Scope
      • Abstracting and Indexing
      • Bibliographic Information
      • Archive
    • Experimental and Therapeutic Medicine
      • Information for Authors
      • Editorial Policies
      • Editorial Board
      • Aims and Scope
      • Abstracting and Indexing
      • Bibliographic Information
      • Archive
    • International Journal of Epigenetics
      • Information for Authors
      • Editorial Policies
      • Editorial Board
      • Aims and Scope
      • Abstracting and Indexing
      • Bibliographic Information
      • Archive
    • International Journal of Functional Nutrition
      • Information for Authors
      • Editorial Policies
      • Editorial Board
      • Aims and Scope
      • Abstracting and Indexing
      • Bibliographic Information
      • Archive
    • International Journal of Molecular Medicine
      • Information for Authors
      • Editorial Policies
      • Editorial Board
      • Aims and Scope
      • Abstracting and Indexing
      • Bibliographic Information
      • Archive
    • International Journal of Oncology
      • Information for Authors
      • Editorial Policies
      • Editorial Board
      • Aims and Scope
      • Abstracting and Indexing
      • Bibliographic Information
      • Archive
    • Medicine International
      • Information for Authors
      • Editorial Policies
      • Editorial Board
      • Aims and Scope
      • Abstracting and Indexing
      • Bibliographic Information
      • Archive
    • Molecular and Clinical Oncology
      • Information for Authors
      • Editorial Policies
      • Editorial Board
      • Aims and Scope
      • Abstracting and Indexing
      • Bibliographic Information
      • Archive
    • Molecular Medicine Reports
      • Information for Authors
      • Editorial Policies
      • Editorial Board
      • Aims and Scope
      • Abstracting and Indexing
      • Bibliographic Information
      • Archive
    • Oncology Letters
      • Information for Authors
      • Editorial Policies
      • Editorial Board
      • Aims and Scope
      • Abstracting and Indexing
      • Bibliographic Information
      • Archive
    • Oncology Reports
      • Information for Authors
      • Editorial Policies
      • Editorial Board
      • Aims and Scope
      • Abstracting and Indexing
      • Bibliographic Information
      • Archive
    • World Academy of Sciences Journal
      • Information for Authors
      • Editorial Policies
      • Editorial Board
      • Aims and Scope
      • Abstracting and Indexing
      • Bibliographic Information
      • Archive
  • Articles
  • Information
    • For Authors
    • For Reviewers
    • For Librarians
    • For Advertisers
    • Conferences
  • Language Editing
Login Register Submit
  • This site uses cookies
  • You can change your cookie settings at any time by following the instructions in our Cookie Policy. To find out more, you may read our Privacy Policy.

    I agree
Search articles by DOI, keyword, author or affiliation
Search
Advanced Search
presentation
World Academy of Sciences Journal
Join Editorial Board Propose a Special Issue
Print ISSN: 2632-2900 Online ISSN: 2632-2919
Journal Cover
September-October 2022 Volume 4 Issue 5

Full Size Image

Sign up for eToc alerts
Recommend to Library

Journals

International Journal of Molecular Medicine

International Journal of Molecular Medicine

International Journal of Molecular Medicine is an international journal devoted to molecular mechanisms of human disease.

International Journal of Oncology

International Journal of Oncology

International Journal of Oncology is an international journal devoted to oncology research and cancer treatment.

Molecular Medicine Reports

Molecular Medicine Reports

Covers molecular medicine topics such as pharmacology, pathology, genetics, neuroscience, infectious diseases, molecular cardiology, and molecular surgery.

Oncology Reports

Oncology Reports

Oncology Reports is an international journal devoted to fundamental and applied research in Oncology.

Experimental and Therapeutic Medicine

Experimental and Therapeutic Medicine

Experimental and Therapeutic Medicine is an international journal devoted to laboratory and clinical medicine.

Oncology Letters

Oncology Letters

Oncology Letters is an international journal devoted to Experimental and Clinical Oncology.

Biomedical Reports

Biomedical Reports

Explores a wide range of biological and medical fields, including pharmacology, genetics, microbiology, neuroscience, and molecular cardiology.

Molecular and Clinical Oncology

Molecular and Clinical Oncology

International journal addressing all aspects of oncology research, from tumorigenesis and oncogenes to chemotherapy and metastasis.

World Academy of Sciences Journal

World Academy of Sciences Journal

Multidisciplinary open-access journal spanning biochemistry, genetics, neuroscience, environmental health, and synthetic biology.

International Journal of Functional Nutrition

International Journal of Functional Nutrition

Open-access journal combining biochemistry, pharmacology, immunology, and genetics to advance health through functional nutrition.

International Journal of Epigenetics

International Journal of Epigenetics

Publishes open-access research on using epigenetics to advance understanding and treatment of human disease.

Medicine International

Medicine International

An International Open Access Journal Devoted to General Medicine.

Journal Cover
September-October 2022 Volume 4 Issue 5

Full Size Image

Sign up for eToc alerts
Recommend to Library

  • Article
  • Citations
    • Cite This Article
    • Download Citation
    • Create Citation Alert
    • Remove Citation Alert
    • Cited By
  • Similar Articles
    • Related Articles (in Spandidos Publications)
    • Similar Articles (Google Scholar)
    • Similar Articles (PubMed)
  • Download PDF
  • Download XML
  • View XML
Article Open Access

Inhibitory effects of Indonesian temu kunci (Boesenbergia rotunda) rhizome extract on nitric oxide synthase production and on the kidneys of Wistar rats

  • Authors:
    • Aziiz Mardanarian Rosdianto
    • Irma Melyani Puspitasari
    • Ronny Lesmana
    • Sri Adi Sumiwi
    • Sandra Megantara
    • Supat Jiranusornkul
    • Jutti Levita
  • View Affiliations / Copyright

    Affiliations: Veterinary Medicine Program, Faculty of Medicine, Padjadjaran University, Sumedang, West Java 45363, Indonesia, Department of Pharmacology and Clinical Pharmacy, Faculty of Pharmacy, Padjadjaran University, Sumedang, West Java 45363, Indonesia, Division of Molecular Physiology, Department of Anatomy, Physiology and Cell Biology, Faculty of Medicine, Padjadjaran University, Sumedang, West Java 45363, Indonesia, Department of Pharmaceutical Analysis and Medicinal Chemistry, Faculty of Pharmacy, Padjadjaran University, Sumedang, West Java 45363, Indonesia, Faculty of Pharmacy, Chiang Mai University, Chiang Mai 50200, Thailand
    Copyright: © Rosdianto et al. This is an open access article distributed under the terms of Creative Commons Attribution License.
  • Article Number: 38
    |
    Published online on: September 20, 2022
       https://doi.org/10.3892/wasj.2022.173
  • Expand metrics +
Metrics: Total Views: 0 (Spandidos Publications: | PMC Statistics: )
Metrics: Total PDF Downloads: 0 (Spandidos Publications: | PMC Statistics: )
Cited By (CrossRef): 0 citations Loading Articles...

This article is mentioned in:



Abstract

Nitric oxide synthases (NOSs) are enzymes that function by generating nitric oxide (NO) from its substrate, L‑arginine, in human tissues. There are three known isoforms of NOS, eNOS (endothelial NOS), nNOS (neuronal NOS), and iNOS (inducible NOS). iNOS is released in response to inflammation. The human iNOS inhibitor, S‑ethylisothiourea (SEITU), has been found to attach to a Glu377 residue within the active‑site cavity of the enzyme. The discovery of iNOS inhibitors is always challenging. Boesenbergia rotunda (B. rotunda) has been reported to reduce inflammation in an animal model. The present study examined the inhibitory effects of B. rotunda rhizome ethanolic extract (BRE) on iNOS using the fluorometric method and investigated the histopathological effects of higher concentrations of BRE (1,000, 2,000 and 4,000 mg/kg body weight) on the kidneys of male Wistar rats. Molecular docking simulation of quercetin and kaempferol towards iNOS was also performed. The phytochemical screening of BRE indicated the presence of polyphenolics, flavonoids, triterpenoids, and saponins. The in vitro experiment confirmed that BRE reduced NO production with a half‑maximal inhibitory concentration value of 79.06 µg/ml. Both quercetin and kaempferol interacted with Glu377 by building hydrogen bonds. Furthermore, the animal experiment resulted in no mortality and no marked morphological changes in the rat kidneys at all concentrations, indicating the safety of BRE as regards this organ. Taken together, BRE may be further developed as a safe anti‑inflammatory drug candidate.

Introduction

Inducible nitric oxide synthase (iNOS) is expressed in response to pathogenic stimuli and subsequently produces nitric oxide (NO) that plays role in cytoprotection. The overexpression of iNOS elevates the NO level and is implicated in the pathophysiology of complex multifactorial diseases, such as Parkinson's disease, Alzheimer's disease, multiple sclerosis, rheumatoid arthritis and inflammatory bowel disease (1). The excess production of NO has also been detected in septic and cardiogenic shock (2).

iNOS consists of homodimeric proteins, of which monomers contain an N-terminal oxygenase domain (the catalytic site where the L-arginine substrate is oxidized and is converted into L-citrulline and NO) and a C-terminal reductase domain (3). The oxygenase and reductase domains are connected by a calmodulin-binding subunit. Moreover, the L-arginine substrate analogs have been proposed to bind to Glu371 and Trp366 residues in the catalytic site of the enzyme (4).

The discovery of plant-based anti-inflammatory drugs has been challenging. The well-known catechin contained in tea, epigallocatechin gallate, and proanthocyanidins in grape seed have exhibited potential use as NOS inhibitors (5). The human iNOS inhibitor, S-ethylisothiourea (SEITU), has been found to attach to a Glu377 residue within the active-site cavity of the enzyme (6).

Several Boesenbergia plants [Boesenbergia thorelii (B. thorelii) and Boesenbergia longiflora (B. longiflora)] have been investigated for their inhibitory effects on NO production using murine macrophage-like RAW264.7 cells. The ethanolic extracts of these plants have been shown to exert inhibitory effects against NO release with half-maximal inhibitory concentration (IC50) values of >100 for B. thorelii and 6.0 for B. longiflora, respectively, whereas the IC50 of the water extracts of B. thorelii and B. longiflora were >100 μg/ml and 72.2 μg/ml, respectively (7). Boesenbergia rotunda (B. rotunda; Indonesian name, temu kunci) has been empirically used in the treatment of various conditions by applying the freshly ground rhizome topically on the inflamed site. This plant has been proven to contain quercetin, which belongs to a group of plant pigments known as flavonoids and polyphenolic compounds (8,9). A previous acute toxicity study revealed that the half-maximal lethal dose was >4,000 mg/kg body weight (BW) (10). A lower dose of this plant (500 mg/kg BW) has been shown to protect the liver from thioacetamide-induced hepatocirrhosis in rats (11). However, data on the inhibitory effects of B. rotunda rhizome ethanolic extract (BRE) on the iNOS enzyme and on the histopathology of the kidneys of male Wistar rats are limited. It was previously reported that panduratin A, hydroxypanduratin A and cardamonin, isolated from B. rotunda exerted an inhibitory effect on NO production with IC50 values of 5.3, 13.3 and 24.7 µM, respectively (12).

Materials and methods

Study location

The animal experiment was carried out at the Central Laboratory of Padjadjaran University (Sumedang, Indonesia). The in silico experiment was performed at the Center for Computational Research, Faculty of Pharmacy, Padjadjaran University.

In silico experiment

The hardware used was a personal computer with Windows 10 and RAM of 6 GB. The softwares used were LigandScout 4.1.4 (Padjadjaran University License), AutoDock 4.2.6 (The Scripps Research Institute; https://autodock.scripps.edu/) and BIOVIA Discovery Studio (https://discover.3ds.com/discovery-studio-visualizer-download; Academic License).

The crystal structures of human iNOS PDB ID: 3E7G (13) and PDB ID: 4NOS (14) were downloaded from the RCSB Protein Data Bank. LigandScout automatically activated the PDB algorithm and visualized the macromolecule view of the complex. The 3D structure of quercetin and kaempferol was obtained from the PubChem database (CID: 5280343 for quercetin and CID: 5280863 for kaempferol). The ligands were optimized, the stable conformations were selected, and converted to pdbqt format. Molecular docking simulation was performed using AutoDock 4.2.6.

Plant materials

The rhizomes were purchased from Lembang, West Java, Indonesia, and were taxonomically identified by a botanist at the Department of Biology, Faculty of Mathematics and Natural Sciences, Padjadjaran University.

The plant samples were confirmed as B. (L.) Mansf. (Zingiberaceae). The characteristics of the plant samples matched those described in The IUCN Red List of Threatened Species (https://www.iucnredlist.org/species/44392164/44540996) (15).

Instruments and glassware

The instruments used were a Buchi® rotavapor R215 (https://www.sigmaaldrich.com/ID/en/product/aldrich/z565490), Buchi® heating bath B-491 (https://www.sigmaaldrich.com/ID/en/product/aldrich/z563986), Buchi® vacuum pump V-700 (https://www.sigmaaldrich.com/ID/en/product/sigma/z616834), Buchi® distillation chiller B-741 (https://www.sigmaaldrich.com/ID/en/product/aldrich/z565938), Buchi® evaporator glassware, chemical glasswares Iwaki (https://www.iwakiglassindonesia.com/en/home), multimode reader Infinite M200Pro Tecan (https://lifesciences.tecan.com/plate_readers/infinite_200_pro), and analytical balance (Mettler-Toledo).

Chemicals

The chemicals used were ethanol (96%; Brataco Chemika), hematoxylin (CAS Number 517-28-2; MilliporeSigma) and eosin (CAS Number 15086-94-9; MilliporeSigma).

Preparation of BRE and phytochemical screening

The extraction process was performed by modifying a previously described procedure (10). The rhizomes were cleaned from the soil, washed, thinly sliced, and sun-dried. The rhizome powder (500 g) was soaked in 95% ethanol for 24 h at 25-26˚C. The extract was filtered and the residue was re-extracted for 2x24 h. The solvent was rotary-evaporated in a vacuum at 45˚C and 80 rpm. The viscous extract of BRE yielded 17.24% w/w. The phytochemical screening was carried out by following a standard method (16).

NOS inhibitory activity assay

The reagents were prepared per instructions written on the Fluorometric iNOS Inhibitor Screening kit (cat. no. K208-100, BioVision https://www.biovision.com/documentation/datasheets/K208.pdf) and the manufacturer's protocol was followed accordingly. The absorbance was measured (Ex/Em=360/450 nm) using a multimode reader Infinite M200Pro (Tecan Austria GmbH) and the samples were placed in a microplate 96-well U-bottom (BR701330-100EA; https://www.sigmaaldrich.com/ID/en/product/aldrich/br701330). The relative inhibition (%) was calculated by measuring the subtract background control (BC) reading from the enzyme control (EC) and inhibitor (S) using the following equation:

The IC50 was calculated using GraphPad Prism 8.4.3 software (GraphPad Software, Inc.). The results were compared to those of SEITU (S-ethylisothiourea hydrobromide TCI CAS RN: 1071-37-0, product no. E0182 https://www.tcichemicals.com/NZ/en/p/E0182) a known iNOS inhibitor, and diphenylene iodonium chloride (DPI) included in the reagent kit (https://www.biovision.com/documentation/datasheets/K208.pdf), a nicotine amide dinucleotide phosphate oxidase (NOX) inhibitor.

Animals

A total of 20 male Wistar albino rats, aged 6-8 weeks, weighing 210-240 g, were acclimatized at 24˚C under a 12-h light/dark cycle, 55% relative humidity, with food and water provided freely for 1 week. The animal handling, maintenance and euthanasia procedures were performed as approved by the Research Ethics Committee, Padjadjaran University, Indonesia (recognized by the Forum of Ethics Review Committee in Asia and Western Pacific Region). Euthanasia was performed using an initial concentration of 2% isoflurane with a slow flow rate (isoflurane Abbot USP, NDC: 10019-360-60) to prevent sudden death, the concentration of isoflurane and the flow rate was increased gradually to a maximum of 4% under the supervision of a veterinarian.

Histopathological analysis of the effects of BRE on the kidneys of male Wistar rats

The present study was conducted by following the Regulation of the Indonesia National Agency of Drug and Food Control (https://www.pom.go.id/new/home/en).

The rats were randomly divided into four groups (n=5) as follows: The normal control (treated with distilled water only) and three treatment groups of BRE (1,000, 2,000 and 4,000 mg/kg BW); the rats were administered a single oral administration. On day 21, the rats were sacrificed and their kidneys were dissected out, washed meticulously in 0.9 % sodium chloride solution, trimmed, fixation-processed in Bouin solution (cat no. HT10132, MilliporeSigma), embedded in paraffin wax (melting point, 56-57˚C, Cas No. 8042-47-5, Merck KGaA), sectioned at a standard thickness (5-10 µm) using a microtome, stained with hematoxylin and eosin as per laboratory protocol (15 min), and observed under a light optical microscope (Primostar 3 binoculars; Carl Zeiss AG). The objects were captured using a digital camera (Infinity1®). The quantitative analysis of apoptotic vs. necrotic morphology was performed using time-lapse microscopy with Annexin and propidium iodide. Necrotic cells are characterized by cytoplasmic swelling, while apoptotic cells lose their membrane permeability hours later.

Results and Discussion

In silico analysis

The in silico analysis revealed that quercetin (Fig. 1A) and kaempferol (Fig. 1B), both flavonols contained in BRE, interacted with Glu377, by building hydrogen bonds (at a distance of 1.3 Å for both quercetin and kaempferol). Quercetin interacted with Glu377 in the catalytic site of human iNOS with a binding energy of -7.5±0.08 and Ki=2.96 kcal/mol, while kaempferol exhibited a binding energy of -6.8±0.06 and Ki=9.62 kcal/mol. Considering this, the binding affinity of quercetin towards human iNOS was defined as stronger than that of kaempferol.

Figure 1

Interaction of (A) quercetin with a binding energy=-7.5±0.08, Ki=2.96 kcal/mol; and (B) kaempferol with a binding energy=-6.8±0.06, Ki=9.62 kcal/mol. Both quercetin and kaempferol interacted with Glu377 in the catalytic site of human inducible nitric oxide synthase by building hydrogen bonds (shown as green dotted lines).

Moreover, both quercetin (cLog P=4.22; MW=302.24 atomic mass unit; hydrogen bond donors=5; hydrogen bond acceptors=7) and kaempferol (cLog P=4.40; molecular mass=286.44 atomic mass unit; hydrogen bond donors=4; hydrogen bond acceptors=6) fulfilled the requirements of Lipinski's Rule of Five i.e., a molecule with a molecular mass <500 Da, no more than 5 hydrogen bond donors, no more than 10 hydrogen bond acceptors, and an octanol-water partition coefficient Log P-value not >5 (http://www.scfbio-iitd.res.in/software/drugdesign/lipinski.jsp). Lipinski's rules were originally formulated to support the development of oral bioavailable drugs (17).

The N-terminal catalytic oxygenase of human iNOS consists of the heme Glu377 residue and the amino acids at positions 369-372. In the complexes between iNOS and its inhibitors, the inhibitors imitate the guanidinium group of the substrate of the enzyme, by building hydrogen bonds to Glu377 and pi-pi stacking with heme (14). Another molecular docking study reported that their tested ligand, namely andrographolide, interacts with residues Trp372, Glu377, and Arg199 with a strong binding affinity (18). Furthermore, L-arginine, the substrate of NOS, has been reported to establish a salt-bridge interaction with the conserved carboxylate of Glu377 in the catalytic site of iNOS. In addition, this substrate builds hydrogen bonds with the amide carbonyl of Trp372(19). Another previous study on synthesized N-(3-hydroxy-3-(pyridine-3-yl)propyl)imidamide, indicated a tight hydrogen bonding of the imidamide moiety of this compound to Glu377 residue in the catalytic site of iNOS (20), which confirms the critical role of Glu377.

Phytochemical screening of BRE

The phytochemical screening of BRE confirmed the presence of flavonoids, saponins, polyphenols, and triterpenoids (data not shown). Similar to these results, a previous study by Jing et al (21) reported that polyphenols, including caffeic acid, coumaric acid, chlorogenic acid, hesperidin, kaempferol, naringin and quercetin, were contained in B. rotunda rhizomes. The presence of quercetin in BRE has also been previously reported (9).

NOS inhibitory activity assay

The percent relative inhibition curve for BRE (Fig. 2A) revealed an IC50 value of 79.06 µg/ml, which is categorized as a low inhibition (22) of NO production. However, compared to that of DPI (IC50=0.003 µg/ml) (Fig. 2B) and SEITU (IC50=1.957 µg/ml) (Fig. 2C), the inhibitory activity of BRE towards iNOS was weaker.

Figure 2

Inhibitory activity of (A) BRE (IC50=79.06 µg/ml); (B) DPI (IC50=0.003 µg/ml); (C) SEITU (IC50=1.957 µg/ml) against iNOS by in vitro study.

As is currently recognized, DPI is a potent inhibitor of NOX and thus blocks the production of excess reactive oxygen species (ROS) in the cell (23). The inhibition of iNOS by quercetin and kaempferol, in pure forms, has also been reported. An in vitro study on a human hepatocyte-derived cell line supplemented with quercetin or kaempferol (5 to 200 µmol/l) confirmed a significant concentration-dependent decrease in iNOS production (24). As also previously reported, a small amount of quercetin is present in the B. rotunda rhizome (9).

Histopathological effects of BRE on the kidneys of male Wistar rats

The main objective of evaluating the safety of any herbal drugs is to identify the nature and significance of toxicity and to establish the exposure level at which this toxicity is observed (25). The acute toxicity of the BRE has previously been evaluated in normal healthy Wistar rats for 21 days (10) and 72 h (26). In these studies, the rats were subjected to a single dose of 1,000 mg/kg BW to 4,000 mg/kg BW (10), 2,000 mg/kg BW (26) and 5,000 mg/kg BW (11) of BRE, respectively. As also previously reported, all the rats in these tests remained alive and did not manifest mortality or any visible signs of toxicity (10,11,26).

The quantitative observation of the kidneys, represented by the microscopic observation of normal cells, apoptosis and necrosis, is presented in Table I. Only small numbers of apoptotic and necrotic cells are detected during observation (calculated per 1,000 cells). The microscopic examination of the kidneys revealed similar results in all tested doses of BRE that confirmed its safety.

Table I

Results of the quantitative analysis of the kidney tissues of male Wistar rats using time-lapse microscopy.

Table I

Results of the quantitative analysis of the kidney tissues of male Wistar rats using time-lapse microscopy.

 Quantitative analysis of the kidney tissue (per 1,000 cells)
Rat groupNormalApoptoticNecrotic
Normal8735473
BRE at 1,000 mg/kg BW8585884
BRE at 2,000 mg/kg BW8497180
BRE at 4,000 mg/kg BW8386498

[i] The results indicated that all doses of BRE were safe as proven by only small numbers of apoptotic and necrotic cells detected. BRE, Boesenbergia rotunda rhizome ethanolic extract; BW, body weight.

Research on the clinical toxicity of quercetin and kaempferol has indicated that these compounds were considered safe for humans within the accepted daily intake limit. Both quercetin and kaempferol rapidly undergo phase 1 and 2 biotransformations in the liver and circulate as methyl, glucuronide, and sulfate metabolites, which can be measured in the blood and urine of the participants (27).

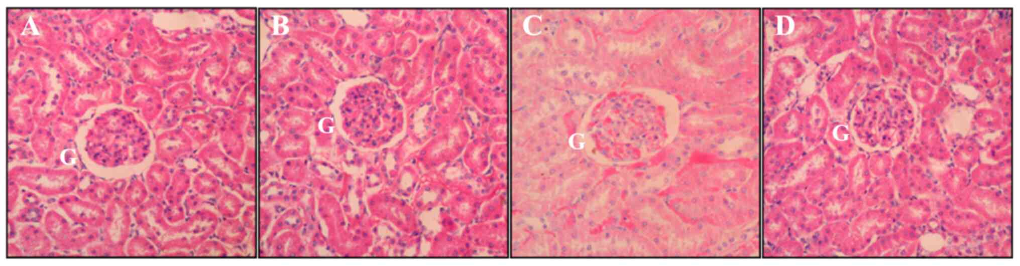
In the present study, the morphological appearance of the kidneys (Fig. 3) revealed no changes at all tested doses of BRE, which confirmed its safety as regards this organ. Moreover, the microscopic histopathological examination of the kidneys revealed normal results with BRE doses of 1,000 mg/kg BW (Fig. 4B) and 2,000 mg/kg BW (Fig. 4C) similar to that of the normal control group treated with distilled water (Fig. 4A). However, at a dose of 4,000 mg/kg BW (Fig. 4D), an irregular shape of Bowman's capsule, which may indicate abnormal numbers of cells and glomerulosclerosis, was observed.

Figure 3

Morphological appearance of the kidneys on day 21 after a single administration of (A) distilled water in the normal control group; (B) BRE at 1,000 mg/kg BW; (C) BRE at 2,000 mg/kg BW; (D) BRE 4,000 mg/kg BW. BRE, Boesenbergia rotunda rhizome ethanolic extract; BW, body weight.

Figure 4

Microscopic histopathological examination of the kidney on day 21 after a single administration of (A) distilled water in the normal control group; (B) BRE at 1,000 mg/kg BW; (C) BRE at 2,000 mg/kg BW; (D) BRE at 4,000 mg/kg BW. The kidney tissues were subjected to hematoxylin and eosin staining. The staining was confirmed as homogenous and strictly followed the standard laboratory procedure. Magnification, x100. BRE, Boesenbergia rotunda rhizome ethanolic extract; BW, body weight; G, glomerulus.

Bowman's capsule, a part of the kidney's nephron, encloses the glomerular capillary loops and is involved in blood filtration (28). The outer part of Bowman's capsule consists of parietal epithelial cells and squamous cells. The parietal epithelial cells can increase rapidly in numbers or decrease abnormally, which indicates the occurrence of disorders (29).

Notably, a previous animal study on the toxicity of other herbal drugs reported similar findings (30). The carcinogenic activity of turmeric oleoresin (major component 79-85% of curcumin) was observed in female B6C3F1 mice treated with a higher dose (10,000 ppm) than required for efficacy. That report was based on an increased incidence of hepatocellular adenomas in mice although no deaths were reported until the end of the study (30). However, a phase I clinical trial of turmeric oil in nine healthy volunteers for 3 months indicated no clinical, hematological, renal, or hepatotoxicity at 1 and 3 months; the serum lipid levels of the volunteers did not exhibit any significant changes, apart from one volunteer (reversible) (31). Experimental studies have proven that low concentrations of curcumin exert antioxidant effects, although higher concentrations of this compound increase the production of cellular ROS by a covalent reaction between the two conjugated α,β-unsaturated carbonyls in the curcumin molecule with the thiol groups of cysteine residues of proteins (32).

Despite their advantages, when used for a long period of time, herbal drugs can cause herb-induced liver injury (33), e.g., acute and chronic hepatitis, cholestasis, drug-induced autoimmunity, vascular lesions, and even hepatic failure and cirrhosis. An example is Senna (Cassia angustifolia), which was identified as a cause of hepatocellular necrosis and canalicular cholestatic hepatitis in a 77-year-old male with a history of long-term Senna intake for the treatment of chronic constipation (34). A previous review article study on Chinese herbal medicine reported that anthraquinones, Stellera chamaejasme flavonoids, and glycosides from herbs may cause acute and chronic kidney injury, as well as nephrolithiasis (35).

The present study examined the inhibitory effects of BRE on iNOS using the fluorometric method and investigated the histopathological effects of BRE on the kidneys of male Wistar rats. In conclusion, BRE inhibited the production of NO as confirmed by both the in vitro (IC50=79.06 µg/ml) and in silico (hydrogen bond interaction of quercetin and kaempferol with Glu377 similar to that of known iNOS inhibitors and substrate) experiments. During the length of the study, no rat mortality occurred and no marked morphological changes in the kidney of the rats were observed at all doses, with the exception of a slightly irregular shape of the Bowman's capsule at the dose of 4,000 mg/kg BW; this indicates the safety of BRE as regards this organ. However, further studies, e.g., on the cytotoxicity of BRE on kidney cell lines are required, and a phase 1 clinical trial in humans may also prove beneficial. Nonetheless, the present study provides evidence that BRE may be further developed as a safe anti-inflammatory drug candidate.

Acknowledgements

Not applicable.

Funding

Funding: The present study was funded by the Academic-Leadership Grant (grant no. 1373i/UN6.O/LT/2019).

Availability of data and materials

The datasets used and/or analyzed during the present study are available from the corresponding author upon reasonable request.

Authors' contributions

JL was principally responsible for the conception and design of the study. JL, IMP and RL supervised and monitored the project. AMR contributed to the animal handling, histopathological analysis, and in the in vitro iNOS inhibitory activity assay. SM and SJ participated in the in silico analysis. JL, IMP, RL, and SAS contributed equally to the acquisition, and interpretation of the reported data. JL and SM contributed to the writing and revision of the manuscript. AMR, SM, and SJ confirm the authenticity of all the raw data. All authors have read and approved the final manuscript.

Ethics approval and consent to participate

Animal handling, maintenance, and euthanasia procedures were performed as approved by the Research Ethics Committee (https://kep.unpad.ac.id/), Padjadjaran University, Sumedang, Indonesia (recognized by the Forum of the Ethics Review Committee in Asia and Western Pacific Region) document no. 1236/UN6.KEP/EC/2019.

Patient consent for publication

Not applicable.

Competing interests

The authors declare that they have no competing interests.

References

1 

Minhas R, Bansal Y and Bansal G: Inducible nitric oxide synthase inhibitors: A comprehensive update. Med Res Rev. 40:823–855. 2020.PubMed/NCBI View Article : Google Scholar

2 

Cauwels A: Nitric oxide in shock. Kidney Int. 72:557–565. 2007.PubMed/NCBI View Article : Google Scholar

3 

Ghosh DK and Salerno JC: Nitric oxide synthases: Domain structure and alignment in enzyme function and control. Front Biosci. 8:d193–d209. 2003.PubMed/NCBI View Article : Google Scholar

4 

Giroud C, Moreau M, Mattioli TA, Balland V, Boucher J, Xu-Li Y, Stuehr DJ and Santolini J: Role of arginine guanidinium moiety in nitric-oxide synthase mechanism of oxygen activation. J Biol Chem. 285:7233–7245. 2010.PubMed/NCBI View Article : Google Scholar

5 

Punathil T and Katiyar SK: Inhibition of non-small cell lung cancer cell migration by grape seed proanthocyanidins is mediated through the inhibition of nitric oxide, guanylate cyclase, and ERK1/2. Mole Carcinog. 48:232–242. 2009.PubMed/NCBI View Article : Google Scholar

6 

Lunn CA, Dolphin E, Prongay AJ, Reichert P, Lundell DJ, Narula SK and Weber PC: Structural characterization of nitric oxide synthase isoforms reveals striking active-site conservation. Nat Struct Biol. 6:233–242. 1999.PubMed/NCBI View Article : Google Scholar

7 

Levita J, Patala R, Kolina J, Milanda T, Mutakin M, Puspitasari IM, Saptarini NM and Sumiwi SA: Pharmacophore modeling and molecular docking of phytoconstituents in Morus sp. and Arcangelisia flava against nitric oxide synthase for antiinflammatory discovery. J Applied Pharm Sci. 8:053–059. 2018.

8 

Sudsai T, Wattanapiromsaku C and Tewtrakul S: Inhibition of nitric oxide production by compounds from Boesenbergia longiflora using lipopolysaccharide-stimulated RAW264.7 macrophage cells. Songklanakarin J Sci Technol. 35:317–323. 2013.

9 

Rosdianto AM, Puspitasari IM, Lesmana R and Levita J: Determination of quercetin and flavonol synthase in Boesenbergia rotunda rhizome. Pak J Biol Sci. 23:264–270. 2020.PubMed/NCBI View Article : Google Scholar

10 

Rosdianto AM, Puspitasari IM, Lesmana R and Levita J: Inhibitory activity of Boesenbergia rotunda (L.) Mansf. rhizome towards the expression of Akt and NF-kappaB p65 in acetic acid-induced Wistar rats. Evid Based Complement Alternat Med. 2020(6940313)2020.PubMed/NCBI View Article : Google Scholar

11 

Salama SM, Bilgen M, Al Rashdi AS and Abdulla MA: Efficacy of Boesenbergia rotunda treatment against thioacetamide-induced liver cirrhosis in a rat model. Evid Based Complement Alternat Med. 2012(137083)2012.PubMed/NCBI View Article : Google Scholar

12 

Tewtrakul S, Subhadhirasakul S, Karalai C, Ponglimanont C and Cheenpracha S: Anti-inflammatory effects of compounds from Kaempferia parviflora and Boesenbergia pandurata. Food Chem. 115:534–538. 2009.

13 

Garcin ED, Arvai AS, Rosenfeld RJ, Kroeger MD, Crane BR, Andersson G, Andrews G, Hamley PJ, Mallinder PR, Nicholls DJ, et al: Anchored plasticity opens doors for selective inhibitor design in nitric oxide synthase. Nat Chem Biol. 4:700–707. 2008.PubMed/NCBI View Article : Google Scholar

14 

Fischmann TO, Hruza A, Niu XD, Fossetta JD, Lunn CA, Dolphin E, Prongay AJ, Reichert P, Lundell DJ, Narula SK and Weber PC: Structural characterization of nitric oxide synthase isoforms reveals striking active-site conservation. Structural characterization of nitric oxide synthase isoforms reveals striking active-site conservation. Nat Struct Biol. 6:233–242. 1999.PubMed/NCBI View Article : Google Scholar

15 

Contu S: Boesenbergia rotunda. The IUCN Red List of Threatened Species. 2013(e.T44392164A44540996)2013.

16 

Tiwari P, Kumar B, Kaur M, Kaur G and Kaur H: Phytochemical screening and extraction: A review. Internationale Pharmaceutica Sciencia. 1:98–106. 2011.PubMed/NCBI View Article : Google Scholar

17 

Neidle S (ed): Design principles for quadruplex-binding small molecules in therapeutic applications of quadruplex nucleic acids. Academic Press, Cambridge, MA, pp151-174, 2012.

18 

Pasha A, Kumbhakar DV, Doneti R, Kumar K, Dharmapuri G, Poleboyina PK, Heena SK, Basavaraju P, Pasumarthi D, Annapurna SD, et al: Inhibition of inducible nitric oxide synthase (iNOS) by andrographolide and in vitro evaluation of its antiproliferative and proapoptotic effects on cervical cancer. Oxid Med Cell Longev. 2021(6692628)2021.PubMed/NCBI View Article : Google Scholar

19 

Ferreira EI and Serafim RAM: Nitric oxide synthase inhibitors. In: Nitric Oxide Synthase-Simple Enzyme-Complex Roles [Internet]. Saravi SSS (ed). IntechOpen, London, 2017.

20 

Arias F, Franco-Montalbana F, Romero M, Duarte J, Carrióna MD and Camacho ME: Bioactive imidamide-based compounds targeted against nitric oxide synthase. Bioorg Chem. 120(105637)2022.PubMed/NCBI View Article : Google Scholar

21 

Jing L, Mohamed M, Rahmat A and Abu BM: Phytochemicals, antioxidant properties and anticancer investigations of the different parts of several gingers species (Boesenbergia rotunda, Boesenbergia pulchella var attenuata and Boesenbergia armeniaca). J Med Plants Res. 4:27–32. 2010.

22 

Indrayanto G, Putra GS and Suhud F: Validation of in vitro bioassay methods: Application in herbal drug research. Profiles Drug Subst Excip Relat Methodol. 46:273–307. 2021.PubMed/NCBI View Article : Google Scholar

23 

Dikalov S: Cross-talk between mitochondria and NADPH oxidases. Free Radic Biol Med. 51:1289–1301. 2011.PubMed/NCBI View Article : Google Scholar

24 

García-Mediavilla V, Crespo I, Collado PS, Esteller A, Sánchez-Campos S, Tuñón MJ and González-Gallego J: The anti-inflammatory flavones quercetin and kaempferol cause inhibition of inducible nitric oxide synthase, cyclooxygenase-2 and reactive C-protein, and down-regulation of the nuclear factor kappaB pathway in chang liver cells. Eur J Pharmacol. 557:221–229. 2007.PubMed/NCBI View Article : Google Scholar

25 

Ibrahim MB, Sowemimo AA, Sofidiya MO, Badmos KB, Fageyinbo MS, Abdulkareem FB and Odukoya OA: Sub-acute and chronic toxicity profiles of Markhamia tomentosa ethanolic leaf extract in rats. J Ethnopharmacol. 193:68–75. 2016.PubMed/NCBI View Article : Google Scholar

26 

Sini S, Latha PG, Anilkumar TV, Suja SR, Raj G, Rameshkumar KB, Shyamal S, Shine VJ, Anuja GI, Shikha P, et al: Safety assessment of tuberous rhizome of Kaempferia rotunda L. by acute and 28-days repeated dose toxicity studies. Global J Pharmacol. 8:128–139. 2014.

27 

Dabeek WM and Marra MV: Dietary quercetin and kaempferol: Bioavailability and potential cardiovascular-related bioactivity in humans. Nutrients. 11(2288)2019.PubMed/NCBI View Article : Google Scholar

28 

Falkson SR and Bordoni B: in Anatomy, Abdomen and Pelvis, Bowman Capsule. StatPearls Publishing LLC. 2022. Bookshelf ID: NBK554474 PMID: 32119361.

29 

Akilesh S: Normal kidney function and structure, in pathobiology of human disease. Academic Press, Cambridge, MA, 2014.

30 

National Toxicology Program. NTP toxicology and carcinogenesis studies of Turmeric Oleoresin (CAS No. 8024-37-1) (Major Component 79%-85% Curcumin, CAS No. 458-37-7) in F344/N rats and B6C3F1 MIce (Feed Studies). Natl Toxicol Program Tech Rep Ser. 427:1–275. 1993.PubMed/NCBI

31 

Joshi J, Ghaisas S, Vaidya A, Vaidya R, Kamat DV, Bhagwat AN and Bhide S: Early human safety study of turmeric oil (Curcuma longa oil) administered orally in healthy volunteers. J Assoc Physicians India. 51:1055–1060. 2003.PubMed/NCBI

32 

Burgos-Moron E, Calderon-Montano JM, Salvador J, Robles A and Lopez-Lazaro M: The dark side of curcumin. Int J Cancer. 126:1771–1775. 2010.PubMed/NCBI View Article : Google Scholar

33 

Saravanapriya P and Devi KP: Plant extracts with putative hepatotoxicity activity. In: Influence of Nutrients, Bioactive Compounds, and Plant Extracts in Liver Diseases. Alavian SM, Nabavi SM, Nabavi SF and Silva AS (eds). Academic Press, Tehran, pp259-287, 2020.

34 

Sonmez A, Yilmaz MI, Mas R, Ozcan A, Celasun B, Dogru T, Taslipinar A and Kocar IH: Subacute cholestatic hepatitis likely related to the use of senna for chronic constipation. Acta Gastroenterol Belg. 68:385–387. 2005.PubMed/NCBI

35 

Yang B, Xie Y, Guo M, Rosner MH, Yang H and Ronco C: Nephrotoxicity and Chinese herbal medicine. Clin J Am Soc Nephrol. 13:1605–1611. 2018.PubMed/NCBI View Article : Google Scholar

Related Articles

  • Abstract
  • View
  • Download
Copy and paste a formatted citation
Spandidos Publications style
Rosdianto AM, Puspitasari IM, Lesmana R, Sumiwi SA, Megantara S, Jiranusornkul S and Levita J: Inhibitory effects of Indonesian temu kunci (<em>Boesenbergia rotunda</em>) rhizome extract on nitric oxide synthase production and on the kidneys of Wistar rats. World Acad Sci J 4: 38, 2022.
APA
Rosdianto, A.M., Puspitasari, I.M., Lesmana, R., Sumiwi, S.A., Megantara, S., Jiranusornkul, S., & Levita, J. (2022). Inhibitory effects of Indonesian temu kunci (<em>Boesenbergia rotunda</em>) rhizome extract on nitric oxide synthase production and on the kidneys of Wistar rats. World Academy of Sciences Journal, 4, 38. https://doi.org/10.3892/wasj.2022.173
MLA
Rosdianto, A. M., Puspitasari, I. M., Lesmana, R., Sumiwi, S. A., Megantara, S., Jiranusornkul, S., Levita, J."Inhibitory effects of Indonesian temu kunci (<em>Boesenbergia rotunda</em>) rhizome extract on nitric oxide synthase production and on the kidneys of Wistar rats". World Academy of Sciences Journal 4.5 (2022): 38.
Chicago
Rosdianto, A. M., Puspitasari, I. M., Lesmana, R., Sumiwi, S. A., Megantara, S., Jiranusornkul, S., Levita, J."Inhibitory effects of Indonesian temu kunci (<em>Boesenbergia rotunda</em>) rhizome extract on nitric oxide synthase production and on the kidneys of Wistar rats". World Academy of Sciences Journal 4, no. 5 (2022): 38. https://doi.org/10.3892/wasj.2022.173
Copy and paste a formatted citation
x
Spandidos Publications style
Rosdianto AM, Puspitasari IM, Lesmana R, Sumiwi SA, Megantara S, Jiranusornkul S and Levita J: Inhibitory effects of Indonesian temu kunci (<em>Boesenbergia rotunda</em>) rhizome extract on nitric oxide synthase production and on the kidneys of Wistar rats. World Acad Sci J 4: 38, 2022.
APA
Rosdianto, A.M., Puspitasari, I.M., Lesmana, R., Sumiwi, S.A., Megantara, S., Jiranusornkul, S., & Levita, J. (2022). Inhibitory effects of Indonesian temu kunci (<em>Boesenbergia rotunda</em>) rhizome extract on nitric oxide synthase production and on the kidneys of Wistar rats. World Academy of Sciences Journal, 4, 38. https://doi.org/10.3892/wasj.2022.173
MLA
Rosdianto, A. M., Puspitasari, I. M., Lesmana, R., Sumiwi, S. A., Megantara, S., Jiranusornkul, S., Levita, J."Inhibitory effects of Indonesian temu kunci (<em>Boesenbergia rotunda</em>) rhizome extract on nitric oxide synthase production and on the kidneys of Wistar rats". World Academy of Sciences Journal 4.5 (2022): 38.
Chicago
Rosdianto, A. M., Puspitasari, I. M., Lesmana, R., Sumiwi, S. A., Megantara, S., Jiranusornkul, S., Levita, J."Inhibitory effects of Indonesian temu kunci (<em>Boesenbergia rotunda</em>) rhizome extract on nitric oxide synthase production and on the kidneys of Wistar rats". World Academy of Sciences Journal 4, no. 5 (2022): 38. https://doi.org/10.3892/wasj.2022.173
Follow us
  • Twitter
  • LinkedIn
  • Facebook
About
  • Spandidos Publications
  • Careers
  • Cookie Policy
  • Privacy Policy
How can we help?
  • Help
  • Live Chat
  • Contact
  • Email to our Support Team