Spandidos Publications Logo
  • About
    • About Spandidos
    • Aims and Scopes
    • Abstracting and Indexing
    • Editorial Policies
    • Reprints and Permissions
    • Job Opportunities
    • Terms and Conditions
    • Contact
  • Journals
    • All Journals
    • Oncology Letters
      • Oncology Letters
      • Information for Authors
      • Editorial Policies
      • Editorial Board
      • Aims and Scope
      • Abstracting and Indexing
      • Bibliographic Information
      • Archive
    • International Journal of Oncology
      • International Journal of Oncology
      • Information for Authors
      • Editorial Policies
      • Editorial Board
      • Aims and Scope
      • Abstracting and Indexing
      • Bibliographic Information
      • Archive
    • Molecular and Clinical Oncology
      • Molecular and Clinical Oncology
      • Information for Authors
      • Editorial Policies
      • Editorial Board
      • Aims and Scope
      • Abstracting and Indexing
      • Bibliographic Information
      • Archive
    • Experimental and Therapeutic Medicine
      • Experimental and Therapeutic Medicine
      • Information for Authors
      • Editorial Policies
      • Editorial Board
      • Aims and Scope
      • Abstracting and Indexing
      • Bibliographic Information
      • Archive
    • International Journal of Molecular Medicine
      • International Journal of Molecular Medicine
      • Information for Authors
      • Editorial Policies
      • Editorial Board
      • Aims and Scope
      • Abstracting and Indexing
      • Bibliographic Information
      • Archive
    • Biomedical Reports
      • Biomedical Reports
      • Information for Authors
      • Editorial Policies
      • Editorial Board
      • Aims and Scope
      • Abstracting and Indexing
      • Bibliographic Information
      • Archive
    • Oncology Reports
      • Oncology Reports
      • Information for Authors
      • Editorial Policies
      • Editorial Board
      • Aims and Scope
      • Abstracting and Indexing
      • Bibliographic Information
      • Archive
    • Molecular Medicine Reports
      • Molecular Medicine Reports
      • Information for Authors
      • Editorial Policies
      • Editorial Board
      • Aims and Scope
      • Abstracting and Indexing
      • Bibliographic Information
      • Archive
    • World Academy of Sciences Journal
      • World Academy of Sciences Journal
      • Information for Authors
      • Editorial Policies
      • Editorial Board
      • Aims and Scope
      • Abstracting and Indexing
      • Bibliographic Information
      • Archive
    • International Journal of Functional Nutrition
      • International Journal of Functional Nutrition
      • Information for Authors
      • Editorial Policies
      • Editorial Board
      • Aims and Scope
      • Abstracting and Indexing
      • Bibliographic Information
      • Archive
    • International Journal of Epigenetics
      • International Journal of Epigenetics
      • Information for Authors
      • Editorial Policies
      • Editorial Board
      • Aims and Scope
      • Abstracting and Indexing
      • Bibliographic Information
      • Archive
    • Medicine International
      • Medicine International
      • Information for Authors
      • Editorial Policies
      • Editorial Board
      • Aims and Scope
      • Abstracting and Indexing
      • Bibliographic Information
      • Archive
  • Articles
  • Information
    • Information for Authors
    • Information for Reviewers
    • Information for Librarians
    • Information for Advertisers
    • Conferences
  • Language Editing
Spandidos Publications Logo
  • About
    • About Spandidos
    • Aims and Scopes
    • Abstracting and Indexing
    • Editorial Policies
    • Reprints and Permissions
    • Job Opportunities
    • Terms and Conditions
    • Contact
  • Journals
    • All Journals
    • Biomedical Reports
      • Information for Authors
      • Editorial Policies
      • Editorial Board
      • Aims and Scope
      • Abstracting and Indexing
      • Bibliographic Information
      • Archive
    • Experimental and Therapeutic Medicine
      • Information for Authors
      • Editorial Policies
      • Editorial Board
      • Aims and Scope
      • Abstracting and Indexing
      • Bibliographic Information
      • Archive
    • International Journal of Epigenetics
      • Information for Authors
      • Editorial Policies
      • Editorial Board
      • Aims and Scope
      • Abstracting and Indexing
      • Bibliographic Information
      • Archive
    • International Journal of Functional Nutrition
      • Information for Authors
      • Editorial Policies
      • Editorial Board
      • Aims and Scope
      • Abstracting and Indexing
      • Bibliographic Information
      • Archive
    • International Journal of Molecular Medicine
      • Information for Authors
      • Editorial Policies
      • Editorial Board
      • Aims and Scope
      • Abstracting and Indexing
      • Bibliographic Information
      • Archive
    • International Journal of Oncology
      • Information for Authors
      • Editorial Policies
      • Editorial Board
      • Aims and Scope
      • Abstracting and Indexing
      • Bibliographic Information
      • Archive
    • Medicine International
      • Information for Authors
      • Editorial Policies
      • Editorial Board
      • Aims and Scope
      • Abstracting and Indexing
      • Bibliographic Information
      • Archive
    • Molecular and Clinical Oncology
      • Information for Authors
      • Editorial Policies
      • Editorial Board
      • Aims and Scope
      • Abstracting and Indexing
      • Bibliographic Information
      • Archive
    • Molecular Medicine Reports
      • Information for Authors
      • Editorial Policies
      • Editorial Board
      • Aims and Scope
      • Abstracting and Indexing
      • Bibliographic Information
      • Archive
    • Oncology Letters
      • Information for Authors
      • Editorial Policies
      • Editorial Board
      • Aims and Scope
      • Abstracting and Indexing
      • Bibliographic Information
      • Archive
    • Oncology Reports
      • Information for Authors
      • Editorial Policies
      • Editorial Board
      • Aims and Scope
      • Abstracting and Indexing
      • Bibliographic Information
      • Archive
    • World Academy of Sciences Journal
      • Information for Authors
      • Editorial Policies
      • Editorial Board
      • Aims and Scope
      • Abstracting and Indexing
      • Bibliographic Information
      • Archive
  • Articles
  • Information
    • For Authors
    • For Reviewers
    • For Librarians
    • For Advertisers
    • Conferences
  • Language Editing
Login Register Submit
  • This site uses cookies
  • You can change your cookie settings at any time by following the instructions in our Cookie Policy. To find out more, you may read our Privacy Policy.

    I agree
Search articles by DOI, keyword, author or affiliation
Search
Advanced Search
presentation
World Academy of Sciences Journal
Join Editorial Board Propose a Special Issue
Print ISSN: 2632-2900 Online ISSN: 2632-2919
Journal Cover
March-April 2024 Volume 6 Issue 2

Full Size Image

Sign up for eToc alerts
Recommend to Library

Journals

International Journal of Molecular Medicine

International Journal of Molecular Medicine

International Journal of Molecular Medicine is an international journal devoted to molecular mechanisms of human disease.

International Journal of Oncology

International Journal of Oncology

International Journal of Oncology is an international journal devoted to oncology research and cancer treatment.

Molecular Medicine Reports

Molecular Medicine Reports

Covers molecular medicine topics such as pharmacology, pathology, genetics, neuroscience, infectious diseases, molecular cardiology, and molecular surgery.

Oncology Reports

Oncology Reports

Oncology Reports is an international journal devoted to fundamental and applied research in Oncology.

Experimental and Therapeutic Medicine

Experimental and Therapeutic Medicine

Experimental and Therapeutic Medicine is an international journal devoted to laboratory and clinical medicine.

Oncology Letters

Oncology Letters

Oncology Letters is an international journal devoted to Experimental and Clinical Oncology.

Biomedical Reports

Biomedical Reports

Explores a wide range of biological and medical fields, including pharmacology, genetics, microbiology, neuroscience, and molecular cardiology.

Molecular and Clinical Oncology

Molecular and Clinical Oncology

International journal addressing all aspects of oncology research, from tumorigenesis and oncogenes to chemotherapy and metastasis.

World Academy of Sciences Journal

World Academy of Sciences Journal

Multidisciplinary open-access journal spanning biochemistry, genetics, neuroscience, environmental health, and synthetic biology.

International Journal of Functional Nutrition

International Journal of Functional Nutrition

Open-access journal combining biochemistry, pharmacology, immunology, and genetics to advance health through functional nutrition.

International Journal of Epigenetics

International Journal of Epigenetics

Publishes open-access research on using epigenetics to advance understanding and treatment of human disease.

Medicine International

Medicine International

An International Open Access Journal Devoted to General Medicine.

Journal Cover
March-April 2024 Volume 6 Issue 2

Full Size Image

Sign up for eToc alerts
Recommend to Library

  • Article
  • Citations
    • Cite This Article
    • Download Citation
    • Create Citation Alert
    • Remove Citation Alert
    • Cited By
  • Similar Articles
    • Related Articles (in Spandidos Publications)
    • Similar Articles (Google Scholar)
    • Similar Articles (PubMed)
  • Download PDF
  • Download XML
  • View XML
Case Report Open Access

Mucinous tubular and spindle cell carcinoma: A case report

  • Authors:
    • Rebaz Haji Ali
    • Rawa M. Ali
    • Shano M. Ali
    • Ari M. Abdullah
    • Aland Salih Abdullah
    • Alaa Abbas Ali
    • Jihad Ibrahim Hama
    • Lana R.A. Pshtiwan
    • Berun A. Abdalla
    • Fahmi H. Kakamad
  • View Affiliations / Copyright

    Affiliations: Department of Scientific Affairs, Smart Health Tower, Sulaimani, Kurdistan 46001, Iraq, Hiwa Cancer Hospital Centre, Sulaimani Directorate of Health, Sulaimani, Kurdistan 46001, Iraq, College of Medicine, University of Sulaimani, Sulaimani, Kurdistan 46001, Iraq, Research Center, University of Halabja, Halabja, Kurdistan 46018, Iraq
    Copyright: © Ali et al. This is an open access article distributed under the terms of Creative Commons Attribution License [CC BY 4.0].
  • Article Number: 14
    |
    Published online on: January 30, 2024
       https://doi.org/10.3892/wasj.2024.229
  • Expand metrics +
Metrics: Total Views: 0 (Spandidos Publications: | PMC Statistics: )
Metrics: Total PDF Downloads: 0 (Spandidos Publications: | PMC Statistics: )
Cited By (CrossRef): 0 citations Loading Articles...

This article is mentioned in:



Abstract

Mucinous tubular and spindle cell carcinoma (MTSCC) is a rare variant of renal cell carcinoma (RCC). It is predominately observed in adults and is generally considered an indolent variant with a better prognosis relative to the other forms of RCC. The present study describes the case of a 69‑year‑old male patient with a prior history of renal cyst who presented with a 3‑month history of back and abdominal pain. The patient had right‑sided loin tenderness. An abdominal ultrasound showcased a well‑defined hypoechoic lesion, which measured 23x26 mm, found on the lateral aspect of the right kidney. A computed tomography (CT) scan of the chest and abdomen with contrast material revealed evidence of a well‑defined exophytic mass (3x3 cm) within the lower pole of the right kidney. The patient was managed through a right partial nephrectomy, and the histopathological examination confirmed the diagnosis of MTSCC. At 3 months after the surgery, there was no recurrence or distant metastasis on the CT scan of the chest, abdomen and pelvis. Due to its rarity, there is limited information available regarding the treatment of MTSCC. Usually, tumors with no metastasis are managed by surgical excision, while metastatic MTSCCs have a very controversial approach, mainly consisting of immunotherapy. The case described herein underscores the importance of including MTSCC in the differential diagnoses for RCC. Partial nephrectomy and tumor excision may have a good outcome.

Introduction

Mucinous tubular and spindle cell carcinoma (MTSCC) is a rare variant of renal cell carcinoma (1). This form of renal cell carcinoma (RCC) is predominately observed in adults and is generally considered an indolent variant with a better prognosis relative to the other forms of RCC (2-4). The tumor has a very specific histological finding consisting of tubular and spindle cells within a mucinous stroma as a background (2). A method which can be used to differentiate MTSCC from other forms of RCC, such as clear cell and papillary RCC, is to perform magnetic resonance imaging (MRI), since MTSCC tends to grow more avidly, while also exhibiting gradual progressive enhancement (5). The amount of spindle and tubular cells can vary; however, they always tend to exhibit a low nuclear grade (3). Since MTSCC was classified as its own specific identity by the World Health Organization (WHO) in 2004, <100 cases have been reported in the literature, rendering this an extremely rare disease (1,6). The present study reports a rare case of MTSCC in the right kidney.

Case report

A 69-year-old male presented to the Urology Clinic at Smart Health Tower (Sulaimani, Iraq) with a 3-month history of abdominal and back pain. He also complained of frequent urination, although he was without fever, and did not exhibit rigor or vomiting. He was also a known case of hypertension, for which he was administered 10 mg amlodipine tablets (calcium channel blocker) twice daily. The patient had a history of a prior cortical lesion in the right kidney 3 years prior to his presentation, which was suspicious of RCC on imaging, for which a partial nephrectomy was performed; the subsequent histopathological examination indicated a simple fibrotic renal cyst. Upon examination, the patient was found to have right-sided loin pain with tenderness, although there was no sign of a palpable mass. A complete blood count showed a normal level of white blood cells (4.8/µl), red blood cells (98 mg/dl), a hemoglobin level of 12.5 g/dl and a mean corpuscle volume of 88 fl (indicating normocytic anemia) with a mild decrease in the platelet count (142/µl). Further blood analyses revealed negative viral markers (HBsAg and hepatitis C virus), a urea level of 31 mg/dl and a creatinine level of 1.02 mg/dl. Prothrombin time, partial thromboplastin time, international normalized ratio and all the liver function tests yielded results which were within the normal range.

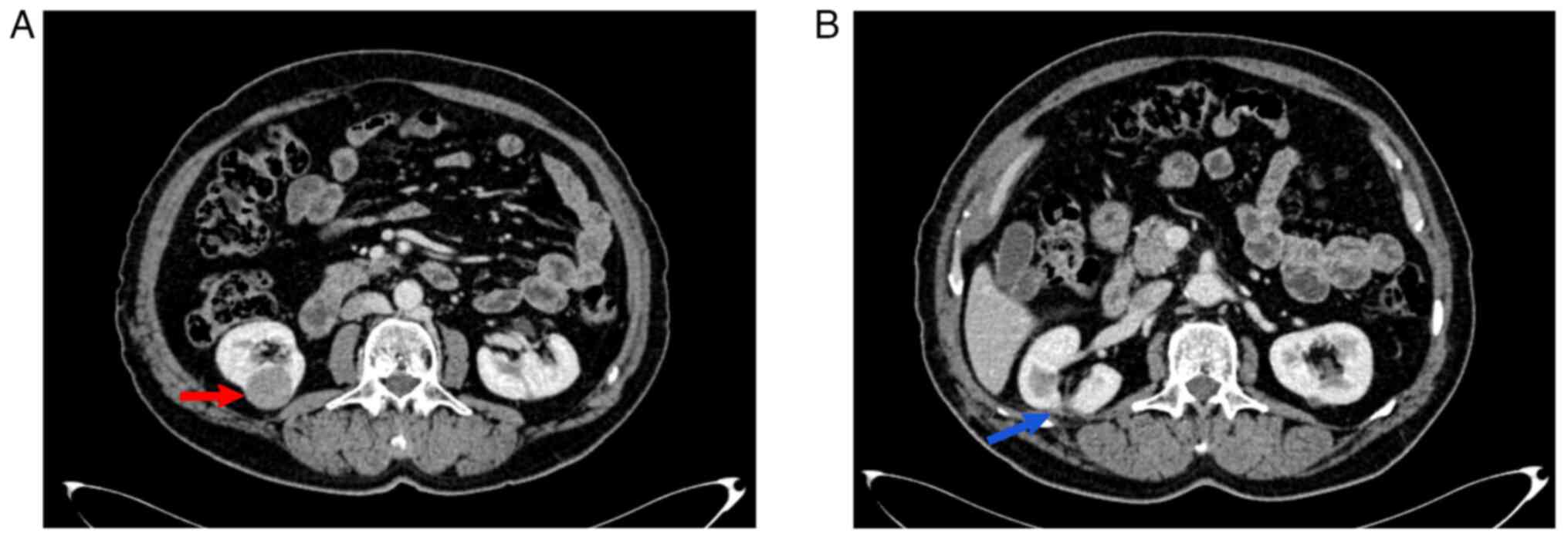
An abdominal ultrasound showcased a well-defined hypoechoic lesion, which measured 23x26 mm, found on the lateral aspect of the right kidney. A computed tomography (CT) scan of the chest, abdomen and pelvis with contrast material revealed evidence of a well-defined exophytic mass (3x3 cm) within the lower pole of the right kidney (it was stage T1a on the CT scan) (Fig. 1). The mass exhibited minimal enhancement at the arterial phase with more enhancement in the venous phase (equivocal enhancement) and no renal vascular invasion; the overall picture was suggestive of RCC. Under general anesthesia, the patient underwent a right partial nephrectomy, with the patient lying in the left lateral position, a right subcostal incision was made, and the kidney was found to be severely adhered to the surrounding peritoneum. All adhesions were released by the surgeon. Despite the CT scan indicating the mass in the lower pole, the mass was found to be located in the mid-pole of the right kidney intraoperatively. Bleeding was encountered due to a small parenchymal tear which was controlled and sutured. The renal pedicle was identified and bulldog forceps were placed. Following the partial nephrectomy of the mid-pole mass in the right kidney, positive margins were indicated in the intraoperative frozen section. This led the surgeon to further excise extra tissue from the base of the tumor in order for it to be sent for a histopathological evaluation. The warm ischemic time was measured and recorded as 12 min. Following excision, hemostasis was secured, a corrugate drain was placed and the wound was closed in layers. The resected mass had a gross appearance of a smooth capsular surface with a solid glistening grey color and few foci of necrosis. The mass had <1 cm of renal parenchyma on both of its lateral sides, although no parenchymal tissue was found centrally. The histopathological examination was performed at Anwar Shekha Medical City; the specimen was formalin-fixed and paraffin-embedded. The sections were cut using a microtome to a thickness of 4 µm and stained with conventional hematoxylin and eosin stain (MilliporeSigma). The procedure was performed at room temperature for 65 min using a Tissue-Tek Prisma Plus Automated slide stainer (Sakura Finetek Europe B.V.). The microscope used for examination was an Olympus BX-51 microscope with a camera adaptor (Olympus U-TV0.5XC-3) (Olympus Corporation) for obtaining images. The histopathological examination revealed the renal mass containing long tubules and a cord-like growth pattern of uniform, bland, and low cuboidal cells in an eosinophilic, focally vacuolated cytoplasm (Fig. 2). The stroma had myxoid foci and a bubbly appearance with extracellular mucin. A confirmed diagnosis of MTSCC was made with a pathological staging of T1aNxMx. The post-operative interval transpired without noteworthy incidents. Subsequently, a CT scan of the thoracic, abdominal and pelvic regions was conducted at 3 months post-operatively, indicating the absence of both recurrence and distant metastasis.

Figure 1

(A) Axial post-contrast image (arterial phase) from multidetector computed tomography illustrating a well-defined cystic tumor (red arrow) projecting from the lower portion-posterior aspect of the right kidney with heterogeneous enhancement of lower attenuation than the normal enhancing renal parenchyma. The tumor is confined within the Gerota fascia with a preserved fat plane between the lesion and right psoas muscle. (B) Post-contrast computed tomography scan demonstrates site of previous surgical scar (blue arrow) in the upper part of right kidney with fat stranding in the posterior perinephric region.

Figure 2

Histopathological formalin-fixed paraffin-embedded section stained with conventional hematoxylin and eosin staining with a magnification of both images at x400 (40X objective lens and 10X eyepiece). (A) The tumor cells are cuboidal and arranged in compact tubules. The nuclei are round and have fine chromatin and conspicuous nucleoli. There are extracellular mucin deposits and surrounding fibrosis. (B) The tumor cells are spindled and have oval, hyperchromatic nuclei. There is abundant extracellular mucin with mononuclear inflammatory cells.

Discussion

MTSCC, is a rare subtype of RCC, comprising 1-4% of all RCCs (6-8). This rare subtype was initially described by Lopez-Beltran et al (6). The lesion predominantly affects females with a 2-4:1 female-to-male ratio and has an average age at onset of 53 years. Despite its rarity, the youngest reported case was in a 13-year-old boy with rapid disease progression and eventual fatality due to metastasis (2).

MTSCC is often asymptomatic, discovered incidentally during imaging for unrelated issues (2). However, it may present with non-specific symptoms, such as abdominal and back pain, as observed in the patient described in the present study. In numerous instances, the identification of MTSCC can be suggested by analyzing a combination of CT/MRI features. Notably, the presence of slow enhancement with a plateau in dynamic contrast-enhanced CT/MRI, coupled with intermediate to high T2 signal intensity that contrasts with low apparent diffusion coefficient values on MRI, is indicative of this specific diagnosis (9). The patient described herein exhibited a 3x3 cm solid mass in the lower pole of the right kidney, demonstrating more venous phase enhancement compared to the minimal arterial phase enhancement.

Diagnosing MTSCC can be complex due to its histological similarity to papillary RCC. An immunohistochemical evaluation, specifically negative staining for markers, such as CD10, can help differentiate MTSCC from papillary RCC (5). Other differential diagnoses of MTSCC include sarcomatoid RCC, mesenchymal tumors such as leiomyoma, angiomyolipoma, inflammatory fibroblastic tumors and juxtaglomerular cell tumors, which can be distinguished from MTSCC by benefiting from their distinctive histological, Immunohistochemical and molecular features (10). MTSCC generally has a mucinous stroma and is composed of tubular and spindle cells (11). The tumor in the case presented herein also displayed focal clusters of foamy macrophages, ~20% necrosis and no rhabdoid differentiation, thus aiding in the diagnosis. A gross examination usually reveals an encapsulated, well-circumscribed tumor, which was consistent with the case in the present study.

Although MTSCC was initially defined as a low-grade neoplasm with a good prognosis by the WHO in 2004(6), its classification was revised in 2016 to omit the term ‘indolent course’ (12). The majority of cases have a benign course; however, there are instances where the disease can be aggressive, particularly when sarcomatoid changes are observed (13). In such cases, the survival rate may be <1 year, necessitating close follow-up following surgical intervention (1,14). In the study conducted by Ged et al (15) involving 25 patients, those displaying low-grade histological features typically had localized tumors, and only 1 out of 20 of those individuals developed recurrent metastatic disease. In contrast, among the 5 patients who had underlying high-grade histological features, all either developed or presented with metastatic disease. The overall survival rate at 3 years following diagnosis was found to be 84.8%. Notably, all the deaths were attributed to metastatic disease (15).

The absence of a standardized treatment for MTSCC, owing to its rarity, presents a significant clinical challenge. Surgery, specifically partial nephrectomy, remains the primary treatment option (16). For metastatic disease, targeted therapies, such as the use of tyrosine kinase inhibitors (such as sunitinib) have shown promise (17), while immunotherapies, such as ipilimumab and nivolumab have resulted in complete remission in some cases (18).

In conclusion, the case presented herein underscores the importance of including MTSCC in the differential diagnoses for RCC. Partial nephrectomy and tumor excision may have a good outcome.

Acknowledgements

Not applicable.

Funding

Funding: No funding was received.

Availability of data and materials

The datasets used and/or analyzed during the current study are available from the corresponding author on reasonable request.

Authors' contributions

RHA and SMA were major contributors to the conception of the study. FHK designed the study and was involved in the literature search. ASA and BAA obtained medical images, participated in reviewing the literature, and preparing and drafting the manuscript. RMA, AMA, AAA, JIH and LRAP critically revised the manuscript, and were involved in analyzing the data and advising on patient treatment. FHK and RHA confirm the authenticity of all the raw data. All authors contributed equally to the manuscript and have read and approved the final version of the manuscript.

Ethics approval and consent to participate

Written informed consent was obtained from the patient for his participation in the present study.

Patient consent for publication

Written informed consent was obtained from the patient for the publication of the present case report and any accompanying images.

Competing interests

The authors declare that they have no competing interests.

References

1 

Kobari Y, Yoshida K, Minoda R, Fukuda H, Hata K, Unagami K, Iizuka J, Ishida H, Nagashima Y and Takagi T: Long-time survival of a renal transplant recipient with metastatic mucinous tubular and spindle cell carcinoma: A case report. In Vivo. 37:1394–1398. 2023.PubMed/NCBI View Article : Google Scholar

2 

Sharma K, Dhua A, Agarwala S and Kaushal S: Mucinous tubular and spindle cell renal cell carcinoma (MTSC-RCC) with an unusual presentation in a child. J Kidney Cancer VHL. 9(6)2022.PubMed/NCBI View Article : Google Scholar

3 

Rahoui M, Boulma R and Khouni H: Renal mucinous tubular and spindle cell carcinoma: A case report. Urol Case Reports. 40(101889)2022.PubMed/NCBI View Article : Google Scholar

4 

Mahmood ZH, Mohemed FM, Fatih BN, Qadir AA and Abdalla SH: Cancer publications in one year (2022); a cross-sectional study': BMJ 1, 2023.

5 

Takahashi H, Vikram R, Jimenez RE, Bolan CW, Kawashima A, Karam JA and Takahashi N: MR characteristics of mucinous tubular and spindle cell carcinoma (MTSCC) of the kidney: Comparison with clear cell and papillary subtypes of renal cell carcinoma. Abdom Radiol (NY). 46:5250–5259. 2021.PubMed/NCBI View Article : Google Scholar

6 

Lopez-Beltran A, Scarpelli M, Montironi R and Kirkali Z: 2004 WHO classification of the renal tumors of the adults. Eur Urol. 49:798–805. 2006.PubMed/NCBI View Article : Google Scholar

7 

Srigley JR, Delahunt B, Eble JN, Egevad L, Epstein JI, Grignon D, Hes O, Moch H, Montironi R, Tickoo SK, et al: The international society of urological pathology (ISUP) vancouver classification of renal neoplasia. Am J Surg Pathol. 37:1469–1489. 2013.PubMed/NCBI View Article : Google Scholar

8 

Shen SS, Ro JY, Tamboli P, Truong LD, Zhai Q, Jung SJ, Tibbs RG, Ordonez NG and Ayala AG: Mucinous tubular and spindle cell carcinoma of kidney is probably a variant of papillary renal cell carcinoma with spindle cell features. Ann Diagn Pathol. 13:39–46. 2009.PubMed/NCBI View Article : Google Scholar

9 

Cornelis F, Ambrosetti D, Rocher L, Derchi LE, Renard B, Puech P, Claudon M, Rouvière O, Ferlicot S, Roy C, et al: CT and MR imaging features of mucinous tubular and spindle cell carcinoma of the kidneys. A multi-institutional review. Eur radiol. 27:1087–1095. 2017.PubMed/NCBI View Article : Google Scholar

10 

Nathany S and Monappa V: Mucinous tubular and spindle cell carcinoma: A review of histopathology and clinical and prognostic implications. Arch Pathol Lab Med. 144:115–118. 2020.PubMed/NCBI View Article : Google Scholar

11 

Pérez-González S, Del Rosario-Rodríguez V, Feltes-Ochoa JA, Gimeno-Aranguez M, Alcojor-Ballesteros I and Carrero-López VM: Mucinous tubular and spindle cell renal cell carcinoma: Two novel cases and a literature review. Arch Esp Urol. 75:19–26. 2022.PubMed/NCBI(In Spanish).

12 

Moch H, Cubilla AL, Humphrey PA, Reuter VE and Ulbright TM: The 2016 WHO classification of tumours of the urinary system and male genital organs-part A: renal, penile, and testicular tumours. Eur Urol. 70:93–105. 2016.PubMed/NCBI View Article : Google Scholar

13 

Hatayama T, Sekino Y, Shikuma H, Mukai S, Muto M, Miyamoto S, Sadahide K, Fukuoka K, Fuji S, Goto K, et al: Case of renal mucinous tubular and spindle cell carcinoma with high nuclear grade. IJU Case Rep. 2(193)2019.PubMed/NCBI View Article : Google Scholar

14 

Fukuta K, Nakanishi R, Moriyama T, Izaki H, Kakimoto T, Oya T, Fukawa T, Yamaguchi K, Yamamoto Y, Takahashi M, et al: High-grade renal mucinous tubular and spindle cell carcinoma. Case Rep Oncol. 15:580–585. 2022.PubMed/NCBI View Article : Google Scholar

15 

Ged Y, Chen YB, Knezevic A, Donoghue MTA, Carlo MI, Lee CH, Feldman DR, Patil S, Hakimi AA, Russo P, et al: Mucinous tubular and spindle-cell carcinoma of the kidney: Clinical features, genomic profiles, and treatment outcomes. Clin Genitourin Cancer. 17:268–274. 2019.PubMed/NCBI View Article : Google Scholar

16 

Dincer E, Ipek OM, Kayipmaz SS and Akca O: Solid renal mass in a transplanted allograft kidney: Mucinous tubular and spindle cell renal cell carcinoma. J Coll Physicians Surg Pak. 32:S192–S194. 2022.PubMed/NCBI View Article : Google Scholar

17 

Larkin J, Fisher R, Pickering L, Thway K, Livni N, Fisher C and Gore M: Metastatic mucinous tubular and spindle cell carcinoma of the kidney responding to sunitinib. J Clin Oncol. 28:e539–e540. 2010.PubMed/NCBI View Article : Google Scholar

18 

Fuchizawa H, Kijima T, Takada-Owada A, Nagashima Y, Okazaki A, Yokoyama M, Nishihara D, Ishida K and Kamai T: Metastatic mucinous tubular and spindle cell carcinoma of the kidney responding to nivolumab plus ipilimumab. IJU Case Rep. 4:333–337. 2021.PubMed/NCBI View Article : Google Scholar

Related Articles

  • Abstract
  • View
  • Download
Copy and paste a formatted citation
Spandidos Publications style
Ali RH, Ali RM, Ali SM, Abdullah AM, Abdullah AS, Ali AA, Hama JI, Pshtiwan LR, Abdalla BA, Kakamad FH, Kakamad FH, et al: Mucinous tubular and spindle cell carcinoma: A case report. World Acad Sci J 6: 14, 2024.
APA
Ali, R.H., Ali, R.M., Ali, S.M., Abdullah, A.M., Abdullah, A.S., Ali, A.A. ... Kakamad, F.H. (2024). Mucinous tubular and spindle cell carcinoma: A case report. World Academy of Sciences Journal, 6, 14. https://doi.org/10.3892/wasj.2024.229
MLA
Ali, R. H., Ali, R. M., Ali, S. M., Abdullah, A. M., Abdullah, A. S., Ali, A. A., Hama, J. I., Pshtiwan, L. R., Abdalla, B. A., Kakamad, F. H."Mucinous tubular and spindle cell carcinoma: A case report". World Academy of Sciences Journal 6.2 (2024): 14.
Chicago
Ali, R. H., Ali, R. M., Ali, S. M., Abdullah, A. M., Abdullah, A. S., Ali, A. A., Hama, J. I., Pshtiwan, L. R., Abdalla, B. A., Kakamad, F. H."Mucinous tubular and spindle cell carcinoma: A case report". World Academy of Sciences Journal 6, no. 2 (2024): 14. https://doi.org/10.3892/wasj.2024.229
Copy and paste a formatted citation
x
Spandidos Publications style
Ali RH, Ali RM, Ali SM, Abdullah AM, Abdullah AS, Ali AA, Hama JI, Pshtiwan LR, Abdalla BA, Kakamad FH, Kakamad FH, et al: Mucinous tubular and spindle cell carcinoma: A case report. World Acad Sci J 6: 14, 2024.
APA
Ali, R.H., Ali, R.M., Ali, S.M., Abdullah, A.M., Abdullah, A.S., Ali, A.A. ... Kakamad, F.H. (2024). Mucinous tubular and spindle cell carcinoma: A case report. World Academy of Sciences Journal, 6, 14. https://doi.org/10.3892/wasj.2024.229
MLA
Ali, R. H., Ali, R. M., Ali, S. M., Abdullah, A. M., Abdullah, A. S., Ali, A. A., Hama, J. I., Pshtiwan, L. R., Abdalla, B. A., Kakamad, F. H."Mucinous tubular and spindle cell carcinoma: A case report". World Academy of Sciences Journal 6.2 (2024): 14.
Chicago
Ali, R. H., Ali, R. M., Ali, S. M., Abdullah, A. M., Abdullah, A. S., Ali, A. A., Hama, J. I., Pshtiwan, L. R., Abdalla, B. A., Kakamad, F. H."Mucinous tubular and spindle cell carcinoma: A case report". World Academy of Sciences Journal 6, no. 2 (2024): 14. https://doi.org/10.3892/wasj.2024.229
Follow us
  • Twitter
  • LinkedIn
  • Facebook
About
  • Spandidos Publications
  • Careers
  • Cookie Policy
  • Privacy Policy
How can we help?
  • Help
  • Live Chat
  • Contact
  • Email to our Support Team