Spandidos Publications Logo
  • About
    • About Spandidos
    • Aims and Scopes
    • Abstracting and Indexing
    • Editorial Policies
    • Reprints and Permissions
    • Job Opportunities
    • Terms and Conditions
    • Contact
  • Journals
    • All Journals
    • Oncology Letters
      • Oncology Letters
      • Information for Authors
      • Editorial Policies
      • Editorial Board
      • Aims and Scope
      • Abstracting and Indexing
      • Bibliographic Information
      • Archive
    • International Journal of Oncology
      • International Journal of Oncology
      • Information for Authors
      • Editorial Policies
      • Editorial Board
      • Aims and Scope
      • Abstracting and Indexing
      • Bibliographic Information
      • Archive
    • Molecular and Clinical Oncology
      • Molecular and Clinical Oncology
      • Information for Authors
      • Editorial Policies
      • Editorial Board
      • Aims and Scope
      • Abstracting and Indexing
      • Bibliographic Information
      • Archive
    • Experimental and Therapeutic Medicine
      • Experimental and Therapeutic Medicine
      • Information for Authors
      • Editorial Policies
      • Editorial Board
      • Aims and Scope
      • Abstracting and Indexing
      • Bibliographic Information
      • Archive
    • International Journal of Molecular Medicine
      • International Journal of Molecular Medicine
      • Information for Authors
      • Editorial Policies
      • Editorial Board
      • Aims and Scope
      • Abstracting and Indexing
      • Bibliographic Information
      • Archive
    • Biomedical Reports
      • Biomedical Reports
      • Information for Authors
      • Editorial Policies
      • Editorial Board
      • Aims and Scope
      • Abstracting and Indexing
      • Bibliographic Information
      • Archive
    • Oncology Reports
      • Oncology Reports
      • Information for Authors
      • Editorial Policies
      • Editorial Board
      • Aims and Scope
      • Abstracting and Indexing
      • Bibliographic Information
      • Archive
    • Molecular Medicine Reports
      • Molecular Medicine Reports
      • Information for Authors
      • Editorial Policies
      • Editorial Board
      • Aims and Scope
      • Abstracting and Indexing
      • Bibliographic Information
      • Archive
    • World Academy of Sciences Journal
      • World Academy of Sciences Journal
      • Information for Authors
      • Editorial Policies
      • Editorial Board
      • Aims and Scope
      • Abstracting and Indexing
      • Bibliographic Information
      • Archive
    • International Journal of Functional Nutrition
      • International Journal of Functional Nutrition
      • Information for Authors
      • Editorial Policies
      • Editorial Board
      • Aims and Scope
      • Abstracting and Indexing
      • Bibliographic Information
      • Archive
    • International Journal of Epigenetics
      • International Journal of Epigenetics
      • Information for Authors
      • Editorial Policies
      • Editorial Board
      • Aims and Scope
      • Abstracting and Indexing
      • Bibliographic Information
      • Archive
    • Medicine International
      • Medicine International
      • Information for Authors
      • Editorial Policies
      • Editorial Board
      • Aims and Scope
      • Abstracting and Indexing
      • Bibliographic Information
      • Archive
  • Articles
  • Information
    • Information for Authors
    • Information for Reviewers
    • Information for Librarians
    • Information for Advertisers
    • Conferences
  • Language Editing
Spandidos Publications Logo
  • About
    • About Spandidos
    • Aims and Scopes
    • Abstracting and Indexing
    • Editorial Policies
    • Reprints and Permissions
    • Job Opportunities
    • Terms and Conditions
    • Contact
  • Journals
    • All Journals
    • Biomedical Reports
      • Information for Authors
      • Editorial Policies
      • Editorial Board
      • Aims and Scope
      • Abstracting and Indexing
      • Bibliographic Information
      • Archive
    • Experimental and Therapeutic Medicine
      • Information for Authors
      • Editorial Policies
      • Editorial Board
      • Aims and Scope
      • Abstracting and Indexing
      • Bibliographic Information
      • Archive
    • International Journal of Epigenetics
      • Information for Authors
      • Editorial Policies
      • Editorial Board
      • Aims and Scope
      • Abstracting and Indexing
      • Bibliographic Information
      • Archive
    • International Journal of Functional Nutrition
      • Information for Authors
      • Editorial Policies
      • Editorial Board
      • Aims and Scope
      • Abstracting and Indexing
      • Bibliographic Information
      • Archive
    • International Journal of Molecular Medicine
      • Information for Authors
      • Editorial Policies
      • Editorial Board
      • Aims and Scope
      • Abstracting and Indexing
      • Bibliographic Information
      • Archive
    • International Journal of Oncology
      • Information for Authors
      • Editorial Policies
      • Editorial Board
      • Aims and Scope
      • Abstracting and Indexing
      • Bibliographic Information
      • Archive
    • Medicine International
      • Information for Authors
      • Editorial Policies
      • Editorial Board
      • Aims and Scope
      • Abstracting and Indexing
      • Bibliographic Information
      • Archive
    • Molecular and Clinical Oncology
      • Information for Authors
      • Editorial Policies
      • Editorial Board
      • Aims and Scope
      • Abstracting and Indexing
      • Bibliographic Information
      • Archive
    • Molecular Medicine Reports
      • Information for Authors
      • Editorial Policies
      • Editorial Board
      • Aims and Scope
      • Abstracting and Indexing
      • Bibliographic Information
      • Archive
    • Oncology Letters
      • Information for Authors
      • Editorial Policies
      • Editorial Board
      • Aims and Scope
      • Abstracting and Indexing
      • Bibliographic Information
      • Archive
    • Oncology Reports
      • Information for Authors
      • Editorial Policies
      • Editorial Board
      • Aims and Scope
      • Abstracting and Indexing
      • Bibliographic Information
      • Archive
    • World Academy of Sciences Journal
      • Information for Authors
      • Editorial Policies
      • Editorial Board
      • Aims and Scope
      • Abstracting and Indexing
      • Bibliographic Information
      • Archive
  • Articles
  • Information
    • For Authors
    • For Reviewers
    • For Librarians
    • For Advertisers
    • Conferences
  • Language Editing
Login Register Submit
  • This site uses cookies
  • You can change your cookie settings at any time by following the instructions in our Cookie Policy. To find out more, you may read our Privacy Policy.

    I agree
Search articles by DOI, keyword, author or affiliation
Search
Advanced Search
presentation
World Academy of Sciences Journal
Join Editorial Board Propose a Special Issue
Print ISSN: 2632-2900 Online ISSN: 2632-2919
Journal Cover
July-August 2024 Volume 6 Issue 4

Full Size Image

Sign up for eToc alerts
Recommend to Library

Journals

International Journal of Molecular Medicine

International Journal of Molecular Medicine

International Journal of Molecular Medicine is an international journal devoted to molecular mechanisms of human disease.

International Journal of Oncology

International Journal of Oncology

International Journal of Oncology is an international journal devoted to oncology research and cancer treatment.

Molecular Medicine Reports

Molecular Medicine Reports

Covers molecular medicine topics such as pharmacology, pathology, genetics, neuroscience, infectious diseases, molecular cardiology, and molecular surgery.

Oncology Reports

Oncology Reports

Oncology Reports is an international journal devoted to fundamental and applied research in Oncology.

Experimental and Therapeutic Medicine

Experimental and Therapeutic Medicine

Experimental and Therapeutic Medicine is an international journal devoted to laboratory and clinical medicine.

Oncology Letters

Oncology Letters

Oncology Letters is an international journal devoted to Experimental and Clinical Oncology.

Biomedical Reports

Biomedical Reports

Explores a wide range of biological and medical fields, including pharmacology, genetics, microbiology, neuroscience, and molecular cardiology.

Molecular and Clinical Oncology

Molecular and Clinical Oncology

International journal addressing all aspects of oncology research, from tumorigenesis and oncogenes to chemotherapy and metastasis.

World Academy of Sciences Journal

World Academy of Sciences Journal

Multidisciplinary open-access journal spanning biochemistry, genetics, neuroscience, environmental health, and synthetic biology.

International Journal of Functional Nutrition

International Journal of Functional Nutrition

Open-access journal combining biochemistry, pharmacology, immunology, and genetics to advance health through functional nutrition.

International Journal of Epigenetics

International Journal of Epigenetics

Publishes open-access research on using epigenetics to advance understanding and treatment of human disease.

Medicine International

Medicine International

An International Open Access Journal Devoted to General Medicine.

Journal Cover
July-August 2024 Volume 6 Issue 4

Full Size Image

Sign up for eToc alerts
Recommend to Library

  • Article
  • Citations
    • Cite This Article
    • Download Citation
    • Create Citation Alert
    • Remove Citation Alert
    • Cited By
  • Similar Articles
    • Related Articles (in Spandidos Publications)
    • Similar Articles (Google Scholar)
    • Similar Articles (PubMed)
  • Download PDF
  • Download XML
  • View XML
Case Report Open Access

Insular thyroid carcinoma in the background of follicular thyroid carcinoma: A report of a rare case and mini‑review of the literature

  • Authors:
    • Abdulwahid M. Salih
    • Ari M. Abdullah
    • Hiwa O. Baba
    • Goran L. Omer
    • Imad J. Habibullah
    • Aso S. Muhialdeen
    • Rebaz O. Mohammed
    • Hardi M. Dhahir
    • Marwan N. Hassan
    • Shko H. Hassan
    • Fahmi H. Kakamad
  • View Affiliations / Copyright

    Affiliations: Department of Scientific Affairs, Smart Health Tower, Sulaymaniyah, Kurdistan 46001, Iraq, College of Medicine, University of Sulaimani, Sulaymaniyah, Kurdistan 46001, Iraq
    Copyright: © Salih et al. This is an open access article distributed under the terms of Creative Commons Attribution License [CC BY 4.0].
  • Article Number: 32
    |
    Published online on: May 31, 2024
       https://doi.org/10.3892/wasj.2024.247
  • Expand metrics +
Metrics: Total Views: 0 (Spandidos Publications: | PMC Statistics: )
Metrics: Total PDF Downloads: 0 (Spandidos Publications: | PMC Statistics: )
Cited By (CrossRef): 0 citations Loading Articles...

This article is mentioned in:



Abstract

Follicular thyroid carcinoma (FTC) is a well‑differentiated malignancy, while insular thyroid carcinoma (ITC) is a very rare and poorly differentiated tumor. The present study reports a case of ITC arising within the background of FTC. A 52‑year‑old housewife presented with an anterior neck swelling for a duration of 6 months. An ultrasound examination revealed a well‑defined solid nodule measuring ~58x37x28 mm in the mid‑lower third of the right thyroid lobe, and two small nodules of <3 mm in size in the left lobe. Fine needle aspiration cytology of the lesion led to the suspicion of follicular neoplasm. A right thyroid lobectomy was performed, and the histopathological examination revealed poorly differentiated insular carcinoma arising in the background of FTC. As a result of this diagnosis, a completion thyroidectomy was performed. ITC is a rare and highly aggressive thyroid malignancy that is morphologically and biologically regarded as an intermediate between fully differentiated and undifferentiated/anaplastic thyroid carcinomas. In comparison to patients solely with follicular carcinoma, patients with insular carcinoma are older, more often male, have larger tumor sizes, are at greater risk of metastasis, and have a lower survival rate. Poorly differentiated ITC with follicular carcinoma is a very rare and aggressive condition that could be managed by thyroidectomy followed by radioiodine therapy.

Introduction

Follicular thyroid carcinoma (FTC) is an uncommon well-differentiated malignant tumor accounting for 10% of all thyroid malignancies (1,2). It has been reported to be more common in African American populations than in Asians or Caucasians, with a female predominance (3). Insular thyroid carcinoma (ITC) is another thyroid malignancy that is even rarer, poorly differentiated and accounts for only 0.1 to 6.2% of all thyroid malignancies (4). Although ITC is rare, it represents the main cause of mortality from non-anaplastic follicular cell-derived thyroid cancer, and 20% of patients with ITC present with distant metastasis at the time of diagnosis (5). The observation of ITC arising within the background of FTC is an exceedingly unique occurrence (6).

The present study reports a case of ITC arising within the background of FTC, with a brief review of the literature.

Case report

Patient information

A 52-year-old housewife presented to Smart Health Tower (Sulaimani, Iraq) with anterior neck swelling for a duration of 6 months. She had a negative previous medical, surgical and drug history but a positive family history of thyroid diseases.

Clinical findings and diagnostic assessment

The patient had a grade 2 thyroid enlargement with a hard consistency. The hematological test results of the patient were normal. An ultrasound (US) examination (images not available) revealed a well-defined solid nodule measuring ~58x37x28 mm in the mid-lower third of the right thyroid lobe without micro or macro calcification, and with a TI-RADS 4 according to the Thyroid Imaging Reporting and Data System (TIRADS). Furthermore, two small nodules of <3 mm in size were also observed in the left thyroid lobe. Fine needle aspiration cytology of the lesion led to the suspicion of a follicular neoplasm, that fell into the Bethesda IV category.

Therapeutic intervention

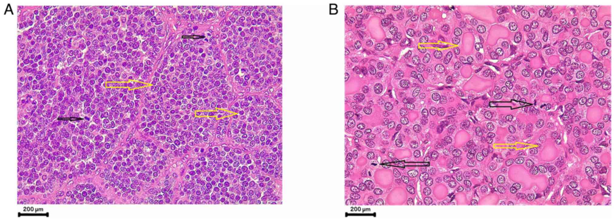
Following a right thyroid lobectomy, the histopathological examination led to the diagnosis of ITC arising within follicular carcinoma (Fig. 1). Consequently, completion thyroidectomy was performed based on this diagnosis. The immunostaining of thyroid transcription factor 1 (TTF1) and PAX 8 were used to rule out medullary thyroid carcinoma due to the presence of multiple foci of spinning and large anaplastic cells, with bizarre giant cells. The patient was later sent for radioiodine ablation. Of note, as the patient was an outpatient, both the histological and immunohistochemistry examinations were conducted by an external laboratory (Shorsh Hospital Pathology Laboratory). For this reason, unfortunately, the authors could not retrieve the exact methodology of the aforementioned procedures.

Figure 1

(A) Section illustrating solid nests of follicular epithelial cells, exhibiting an insular pattern of arrangement (yellow arrows) with the presence of notable mitotic activities (black arrows) (magnification, x10; scale bar, 200 µm, hematoxylin and eosin staining). (B) Some of the cells are arranged as small micro follicles that filled with colloid material (yellow arrows) with mitotic activities (dark arrows) (magnification, x10; scale bar, 200 µm, hematoxylin and eosin staining).

Follow-up and outcome

The vital signs of the patient were stable, and levothyroxine substitution therapy was prescribed, commencing at 150 mcg daily for 1 year post-operatively, followed by a maintenance dose of 100 mcg daily. Following the definitive diagnosis and the decision of the multidisciplinary team of Smart Health Tower, the patient received two doses of radioactive iodine, with a one-year interval between doses. Following three years of follow-up, the patient was completely asymptomatic.

Discussion

The ITC is a rare and highly aggressive thyroid malignancy that is morphologically and biologically considered an intermediate between fully differentiated and undifferentiated/anaplastic thyroid carcinomas (7). In 1984, Carcangiu et al (8) described ITC for the first time as a poorly differentiated carcinoma. It is termed as insular as it is composed of well-defined nests. However, this pattern may be less prominent, and tubercular or solid patterns are recognized and co-exist (9).

The tumor has frequently been misdiagnosed and often grouped with solid or moderately differentiated tumors, and it has sometimes been mistaken for anaplastic carcinoma (10). In comparison to patients solely with FTC, patients with ITC are older, more often male, have larger tumor sizes, are more likely to experience metastasis, are less likely to have a negative resection margin, and have a significantly lower survival rate (11). Patients with ITC usually complain of the presence of a rapidly growing neck swelling in association with dyspnea, dysphagia and voice hoarseness (12). The case described in the present study was a 52-year-old female with a hard neck mass and normal vocal cords, with no other associated symptoms.

Histologically, ITC is characterized by small uniform carcinoma cells, small follicles containing thyroglobulin and necrotic foci, with a prospect of a peritheliomatous structure formation (10). The aforementioned characteristics were also observed in the histopathological analysis of the case described herein. Necrosis is another obvious finding, with both capsular and vascular invasion (13). However, Harach and Franssila (14) concluded in their study that even though ITC has thyroglobulin secretion, among 5 cases, 2 cases were negative for thyroglobulin. The molecular processes behind the unique insular structure found in thyroid tumors pose a challenge, impeding the comprehension of the factors contributing to their aggressive nature. Recently, research has turned to molecular analysis techniques, such as polymerase chain reaction-single-strand conformation polymorphism analysis, in hopes of unraveling these mechanisms. These efforts have revealed a spectrum of mutations associated with ITC (15). Notably, genetic alterations affecting genes, such as the RAS family (N-ras gene) and p53 gene have been documented (16). Additionally, in poorly differentiated thyroid carcinoma, TERT promoter mutations are frequently observed. Despite this, mutually exclusive mutations in BRAF and RAS remain the prevailing driver mutations in poorly differentiated thyroid carcinoma (17,18). Due to limited resources, genetic tests were not conducted for the case reported in the present study. Almost all stages of FTC are treated with total or near-total thyroidectomy, iodine ablation and thyroid hormone suppression therapy (19). Similarly, aggressive management is recommended for patients with ITC, and the most appropriate treatment is total thyroidectomy followed by radioiodine therapy and close follow-up. These were also performed for the patient described herein. According to the study by Pezzi et al (11), the primary treatment for almost all patients with ITC was surgery undertaken in ~98% of cases, while this number was 95% in FTC cases. A total thyroidectomy was performed for the majority of patients with ITC (79.6%), with a positive margin being found in 32.7% of the resected ITC cases (11). A re-operation for these cases is usually associated with the risk of nerve injury and post-operative hypocalcemia (20).

The ITC is highly aggressive with a high rate of recurrence and distant metastasis, ranging from 36 to 92% (10). The prognosis of patients with FTC is dependent on several factors, such as post-operative residual gross, age, local or distant metastasis, size of the tumor and the pathologic category (21). Even though the effect of ITC on the biological behavior of masses with follicular origin remains unknown (22), studies in the genuine literature (23) still demonstrate that the presence of ITC in fully differentiated FTC is associated with distant metastasis (7,24). Moreover, it has been reported that patients who have tumors with a minor insular component are not evidenced to have a poor prognosis (7).

In conclusion, poorly differentiated ITC emerging from the background of FTC is a very rare incidence that is more aggressive than any other thyroid tumor, and it is usually associated with distant metastasis. The management of choice for these cases is direct total thyroidectomy, followed by radioiodine therapy.

Acknowledgements

Not applicable.

Funding

Funding: No funding was received.

Availability of data and materials

The datasets used and/or analyzed during the current study are available from the corresponding author on reasonable request.

Authors' contributions

AMS and ASM were major contributors to the conception of the study, as well as to the literature search for related studies. HOB, MNH and FHK were involved in the literature review, in the writing of the manuscript, and in the design of the study. AMA was the pathologist who performed the histopathological diagnosis. GLO, IJH, ROM, SHH and HMD were involved in the literature review, in the design of the study, in the critical revision of the manuscript and in the processing of the images. FHK and SHH confirm the authenticity of all the raw data. All authors have read and approved the final manuscript.

Ethics approval and consent to participate

Written informed consent was obtained from the patient for her participation in the present study.

Patient consent for publication

Written informed consent was obtained from the patient for the publication of the present case and any accompanying images.

Competing interests

The authors declare that they have no competing interests.

References

1 

Nicolson NG, Murtha TD, Dong W, Paulsson JO, Choi J, Barbieri AL, Brown TC, Kunstman JW, Larsson C, Prasad ML, et al: Comprehensive genetic analysis of follicular thyroid carcinoma predicts prognosis independent of histology. J Clin Endocrinol Metab. 103:2640–2650. 2018.PubMed/NCBI View Article : Google Scholar

2 

Mohemed FM, Fatih BN, Qadir AA, Abdalla SH and Mahmood ZH: Cancer publications in one year (2022); a cross-sectional study. Barw Med J. 1:18–26. 2023.

3 

D'Avanzo A, Treseler P, Ituarte PH, Wong M, Streja L, Greenspan FS, Siperstein AE, Duh QY and Clark OH: Follicular thyroid carcinoma: Histology and prognosis. Cancer. 100:1123–1129. 2004.PubMed/NCBI View Article : Google Scholar

4 

Salih AM, Kakamad FH and Aube H: Hyperfuctioning insular thyroid carcinoma: A rare case report. Int J Surg Case Rep. 28:142–144. 2016.PubMed/NCBI View Article : Google Scholar

5 

Uçmak G and Demirel BB: The clinical management of a patient with insular thyroid carcinoma. Thyroid and Parathyroid Diseases. Springer, Cham, pp365-370, 2019.

6 

Loh TL, Latis S, Ali RB and Patel H: Insular carcinoma arising on a background of follicular carcinoma, thyrolipomatosis and amyloid goitre. BMJ Case Rep. 2017(bcr2017219747)2017.PubMed/NCBI View Article : Google Scholar

7 

Pellegriti G, Giuffrida D, Scollo C, Vigneri R, Regalbuto C, Squatrito S and Belfiore A: Long-term outcome of patients with insular carcinoma of the thyroid: The insular histotype is an independent predictor of poor prognosis. Cancer. 95:2076–2085. 2002.PubMed/NCBI View Article : Google Scholar

8 

Carcangiu ML, Zampi G and Rosai J: Poorly differentiated (‘insular’thyroid carcinoma. A reinterpretation of Langhans' ‘wuchernde Struma’. Am J Surg Pathol. 8:655–668. 1984.PubMed/NCBI View Article : Google Scholar

9 

Erkılıç S and Koçer NE: Insular carcinoma of the thyroid with uncommon cytologic features: Anisokaryotic cells and microfollicles containing dense colloid. Pathol Res Pract. 202:389–393. 2006.PubMed/NCBI View Article : Google Scholar

10 

Agha A, Glockzin G, Woenckhaus M, Dietmaier W, Iesalnieks I and Schlitt HJ: Insular carcinomas of the thyroid exhibit poor prognosis and long-term survival in comparison to follicular and papillary T4 carcinomas. Langenbecks Arch Surg. 392:671–677. 2007.PubMed/NCBI View Article : Google Scholar

11 

Pezzi TA, Sandulache VC, Pezzi CM, Turkeltaub AE, Feng L, Cabanillas ME, Williams MD and Lai SY: Treatment and survival of patients with insular thyroid carcinoma: 508 Cases from the national cancer data base. Head Neck. 38:906–612. 2016.PubMed/NCBI View Article : Google Scholar

12 

Rijhwani A and Satish GN: Insular carcinoma of the thyroid in a 10-year-old child. J Pediatr Surg. 38:1083–1085. 2003.PubMed/NCBI View Article : Google Scholar

13 

Cornetta AJ, Burchard AE, Pribitkin EA, O'Reilly RC, Palazzo JP and Keane WM: Insular carcinoma of the thyroid. Ear Nose Throat J. 82:384–386, 388-389. 2003.PubMed/NCBI

14 

Harach HR and Franssila KO: Thyroglobulin immunostaining in follicular thyroid carcinoma: Relationship to the degree of differentiation and cell type. Histopathology. 13:43–54. 1988.PubMed/NCBI View Article : Google Scholar

15 

Lam KY, Lo CY, Chan KW and Wan KY: Insular and anaplastic carcinoma of the thyroid: A 45-year comparative study at a single institution and a review of the significance of p53 and p21. Ann Surg. 231:329–338. 2000.PubMed/NCBI View Article : Google Scholar

16 

Pilotti S, Collini P, Mariani L, Placucci M, Bongarzone I, Vigneri P, Cipriani S, Falcetta F, Miceli R, Pierotti MA and Rilke F: Insular carcinoma: A distinct de novo entity among follicular carcinomas of the thyroid gland. Am J Surg Pathol. 21:1466–1473. 1997.PubMed/NCBI View Article : Google Scholar

17 

Takeuchi Y, Daa T, Kashima K, Yokoyama S, Nakayama I and Noguchi S: Mutations of p53 in thyroid carcinoma with an insular component. Thyroid. 9:377–381. 1999.PubMed/NCBI View Article : Google Scholar

18 

Pozdeyev N, Gay LM, Sokol ES, Hartmaier R, Deaver KE, Davis S, French JD, Borre PV, LaBarbera DV, Tan AC, et al: Genetic analysis of 779 advanced differentiated and anaplastic thyroid cancers. Clin Cancer Res. 24:3059–3068. 2018.PubMed/NCBI View Article : Google Scholar

19 

Choudhury MAM and Shaikh MAA: Management of papillary and follicular (differentiated) thyroid carcinoma-an update. Bangladesh J Otorhinolaryngol. 16:126–130. 2010.

20 

Baba HO, Muhialdeen AS, Salih AM, Saeed YA, Abdullah IY, Qaradakhy AJ, Salih KM, Tahir SH, Kakamad FH, Abdullah HO, et al: Redo thyroidectomy modified technique to eliminate complications: A cohort study. Barw Med J. 1:7–11. 2023.

21 

Chao TC, Lin JD and Chen MF: Insular carcinoma: Infrequent subtype of thyroid cancer with aggressive clinical course. World J Surg. 28:393–396. 2004.PubMed/NCBI View Article : Google Scholar

22 

Ashfaq R, Vuitch F, Delgado R and Albores-Saavedra J: Papillary and follicular thyroid carcinomas with an insular component. Cancer. 73:416–423. 1994.PubMed/NCBI View Article : Google Scholar

23 

Muhialdeen AS, Ahmed JO, Baba HO, Abdullah IY, Hassan HA, Najar KA, Mikael TM, Mustafa MQ, Mohammed DA, Omer DA, et al: Kscien's list; a new strategy to discourage predatory journals and publishers (second version). Barw Med J. 1:1–3. 2023.

24 

Yamashita H, Noguchi Y, Noguchi S, Yamashita H, Uchino S, Watanabe S, Ogawa T and Murakami T: Significance of an insular component in follicular thyroid carcinoma with distant metastasis at initial presentation. Endocr Pathol. 16:41–48. 2005.PubMed/NCBI View Article : Google Scholar

Related Articles

  • Abstract
  • View
  • Download
Copy and paste a formatted citation
Spandidos Publications style
Salih AM, Abdullah AM, Baba HO, Omer GL, Habibullah IJ, Muhialdeen AS, Mohammed RO, Dhahir HM, Hassan MN, Hassan SH, Hassan SH, et al: Insular thyroid carcinoma in the background of follicular thyroid carcinoma: A report of a rare case and mini‑review of the literature. World Acad Sci J 6: 32, 2024.
APA
Salih, A.M., Abdullah, A.M., Baba, H.O., Omer, G.L., Habibullah, I.J., Muhialdeen, A.S. ... Kakamad, F.H. (2024). Insular thyroid carcinoma in the background of follicular thyroid carcinoma: A report of a rare case and mini‑review of the literature. World Academy of Sciences Journal, 6, 32. https://doi.org/10.3892/wasj.2024.247
MLA
Salih, A. M., Abdullah, A. M., Baba, H. O., Omer, G. L., Habibullah, I. J., Muhialdeen, A. S., Mohammed, R. O., Dhahir, H. M., Hassan, M. N., Hassan, S. H., Kakamad, F. H."Insular thyroid carcinoma in the background of follicular thyroid carcinoma: A report of a rare case and mini‑review of the literature". World Academy of Sciences Journal 6.4 (2024): 32.
Chicago
Salih, A. M., Abdullah, A. M., Baba, H. O., Omer, G. L., Habibullah, I. J., Muhialdeen, A. S., Mohammed, R. O., Dhahir, H. M., Hassan, M. N., Hassan, S. H., Kakamad, F. H."Insular thyroid carcinoma in the background of follicular thyroid carcinoma: A report of a rare case and mini‑review of the literature". World Academy of Sciences Journal 6, no. 4 (2024): 32. https://doi.org/10.3892/wasj.2024.247
Copy and paste a formatted citation
x
Spandidos Publications style
Salih AM, Abdullah AM, Baba HO, Omer GL, Habibullah IJ, Muhialdeen AS, Mohammed RO, Dhahir HM, Hassan MN, Hassan SH, Hassan SH, et al: Insular thyroid carcinoma in the background of follicular thyroid carcinoma: A report of a rare case and mini‑review of the literature. World Acad Sci J 6: 32, 2024.
APA
Salih, A.M., Abdullah, A.M., Baba, H.O., Omer, G.L., Habibullah, I.J., Muhialdeen, A.S. ... Kakamad, F.H. (2024). Insular thyroid carcinoma in the background of follicular thyroid carcinoma: A report of a rare case and mini‑review of the literature. World Academy of Sciences Journal, 6, 32. https://doi.org/10.3892/wasj.2024.247
MLA
Salih, A. M., Abdullah, A. M., Baba, H. O., Omer, G. L., Habibullah, I. J., Muhialdeen, A. S., Mohammed, R. O., Dhahir, H. M., Hassan, M. N., Hassan, S. H., Kakamad, F. H."Insular thyroid carcinoma in the background of follicular thyroid carcinoma: A report of a rare case and mini‑review of the literature". World Academy of Sciences Journal 6.4 (2024): 32.
Chicago
Salih, A. M., Abdullah, A. M., Baba, H. O., Omer, G. L., Habibullah, I. J., Muhialdeen, A. S., Mohammed, R. O., Dhahir, H. M., Hassan, M. N., Hassan, S. H., Kakamad, F. H."Insular thyroid carcinoma in the background of follicular thyroid carcinoma: A report of a rare case and mini‑review of the literature". World Academy of Sciences Journal 6, no. 4 (2024): 32. https://doi.org/10.3892/wasj.2024.247
Follow us
  • Twitter
  • LinkedIn
  • Facebook
About
  • Spandidos Publications
  • Careers
  • Cookie Policy
  • Privacy Policy
How can we help?
  • Help
  • Live Chat
  • Contact
  • Email to our Support Team