Spandidos Publications Logo
  • About
    • About Spandidos
    • Aims and Scopes
    • Abstracting and Indexing
    • Editorial Policies
    • Reprints and Permissions
    • Job Opportunities
    • Terms and Conditions
    • Contact
  • Journals
    • All Journals
    • Oncology Letters
      • Oncology Letters
      • Information for Authors
      • Editorial Policies
      • Editorial Board
      • Aims and Scope
      • Abstracting and Indexing
      • Bibliographic Information
      • Archive
    • International Journal of Oncology
      • International Journal of Oncology
      • Information for Authors
      • Editorial Policies
      • Editorial Board
      • Aims and Scope
      • Abstracting and Indexing
      • Bibliographic Information
      • Archive
    • Molecular and Clinical Oncology
      • Molecular and Clinical Oncology
      • Information for Authors
      • Editorial Policies
      • Editorial Board
      • Aims and Scope
      • Abstracting and Indexing
      • Bibliographic Information
      • Archive
    • Experimental and Therapeutic Medicine
      • Experimental and Therapeutic Medicine
      • Information for Authors
      • Editorial Policies
      • Editorial Board
      • Aims and Scope
      • Abstracting and Indexing
      • Bibliographic Information
      • Archive
    • International Journal of Molecular Medicine
      • International Journal of Molecular Medicine
      • Information for Authors
      • Editorial Policies
      • Editorial Board
      • Aims and Scope
      • Abstracting and Indexing
      • Bibliographic Information
      • Archive
    • Biomedical Reports
      • Biomedical Reports
      • Information for Authors
      • Editorial Policies
      • Editorial Board
      • Aims and Scope
      • Abstracting and Indexing
      • Bibliographic Information
      • Archive
    • Oncology Reports
      • Oncology Reports
      • Information for Authors
      • Editorial Policies
      • Editorial Board
      • Aims and Scope
      • Abstracting and Indexing
      • Bibliographic Information
      • Archive
    • Molecular Medicine Reports
      • Molecular Medicine Reports
      • Information for Authors
      • Editorial Policies
      • Editorial Board
      • Aims and Scope
      • Abstracting and Indexing
      • Bibliographic Information
      • Archive
    • World Academy of Sciences Journal
      • World Academy of Sciences Journal
      • Information for Authors
      • Editorial Policies
      • Editorial Board
      • Aims and Scope
      • Abstracting and Indexing
      • Bibliographic Information
      • Archive
    • International Journal of Functional Nutrition
      • International Journal of Functional Nutrition
      • Information for Authors
      • Editorial Policies
      • Editorial Board
      • Aims and Scope
      • Abstracting and Indexing
      • Bibliographic Information
      • Archive
    • International Journal of Epigenetics
      • International Journal of Epigenetics
      • Information for Authors
      • Editorial Policies
      • Editorial Board
      • Aims and Scope
      • Abstracting and Indexing
      • Bibliographic Information
      • Archive
    • Medicine International
      • Medicine International
      • Information for Authors
      • Editorial Policies
      • Editorial Board
      • Aims and Scope
      • Abstracting and Indexing
      • Bibliographic Information
      • Archive
  • Articles
  • Information
    • Information for Authors
    • Information for Reviewers
    • Information for Librarians
    • Information for Advertisers
    • Conferences
  • Language Editing
Spandidos Publications Logo
  • About
    • About Spandidos
    • Aims and Scopes
    • Abstracting and Indexing
    • Editorial Policies
    • Reprints and Permissions
    • Job Opportunities
    • Terms and Conditions
    • Contact
  • Journals
    • All Journals
    • Biomedical Reports
      • Information for Authors
      • Editorial Policies
      • Editorial Board
      • Aims and Scope
      • Abstracting and Indexing
      • Bibliographic Information
      • Archive
    • Experimental and Therapeutic Medicine
      • Information for Authors
      • Editorial Policies
      • Editorial Board
      • Aims and Scope
      • Abstracting and Indexing
      • Bibliographic Information
      • Archive
    • International Journal of Epigenetics
      • Information for Authors
      • Editorial Policies
      • Editorial Board
      • Aims and Scope
      • Abstracting and Indexing
      • Bibliographic Information
      • Archive
    • International Journal of Functional Nutrition
      • Information for Authors
      • Editorial Policies
      • Editorial Board
      • Aims and Scope
      • Abstracting and Indexing
      • Bibliographic Information
      • Archive
    • International Journal of Molecular Medicine
      • Information for Authors
      • Editorial Policies
      • Editorial Board
      • Aims and Scope
      • Abstracting and Indexing
      • Bibliographic Information
      • Archive
    • International Journal of Oncology
      • Information for Authors
      • Editorial Policies
      • Editorial Board
      • Aims and Scope
      • Abstracting and Indexing
      • Bibliographic Information
      • Archive
    • Medicine International
      • Information for Authors
      • Editorial Policies
      • Editorial Board
      • Aims and Scope
      • Abstracting and Indexing
      • Bibliographic Information
      • Archive
    • Molecular and Clinical Oncology
      • Information for Authors
      • Editorial Policies
      • Editorial Board
      • Aims and Scope
      • Abstracting and Indexing
      • Bibliographic Information
      • Archive
    • Molecular Medicine Reports
      • Information for Authors
      • Editorial Policies
      • Editorial Board
      • Aims and Scope
      • Abstracting and Indexing
      • Bibliographic Information
      • Archive
    • Oncology Letters
      • Information for Authors
      • Editorial Policies
      • Editorial Board
      • Aims and Scope
      • Abstracting and Indexing
      • Bibliographic Information
      • Archive
    • Oncology Reports
      • Information for Authors
      • Editorial Policies
      • Editorial Board
      • Aims and Scope
      • Abstracting and Indexing
      • Bibliographic Information
      • Archive
    • World Academy of Sciences Journal
      • Information for Authors
      • Editorial Policies
      • Editorial Board
      • Aims and Scope
      • Abstracting and Indexing
      • Bibliographic Information
      • Archive
  • Articles
  • Information
    • For Authors
    • For Reviewers
    • For Librarians
    • For Advertisers
    • Conferences
  • Language Editing
Login Register Submit
  • This site uses cookies
  • You can change your cookie settings at any time by following the instructions in our Cookie Policy. To find out more, you may read our Privacy Policy.

    I agree
Search articles by DOI, keyword, author or affiliation
Search
Advanced Search
presentation
World Academy of Sciences Journal
Join Editorial Board Propose a Special Issue
Print ISSN: 2632-2900 Online ISSN: 2632-2919
Journal Cover
November-December 2024 Volume 6 Issue 6

Full Size Image

Sign up for eToc alerts
Recommend to Library

Journals

International Journal of Molecular Medicine

International Journal of Molecular Medicine

International Journal of Molecular Medicine is an international journal devoted to molecular mechanisms of human disease.

International Journal of Oncology

International Journal of Oncology

International Journal of Oncology is an international journal devoted to oncology research and cancer treatment.

Molecular Medicine Reports

Molecular Medicine Reports

Covers molecular medicine topics such as pharmacology, pathology, genetics, neuroscience, infectious diseases, molecular cardiology, and molecular surgery.

Oncology Reports

Oncology Reports

Oncology Reports is an international journal devoted to fundamental and applied research in Oncology.

Experimental and Therapeutic Medicine

Experimental and Therapeutic Medicine

Experimental and Therapeutic Medicine is an international journal devoted to laboratory and clinical medicine.

Oncology Letters

Oncology Letters

Oncology Letters is an international journal devoted to Experimental and Clinical Oncology.

Biomedical Reports

Biomedical Reports

Explores a wide range of biological and medical fields, including pharmacology, genetics, microbiology, neuroscience, and molecular cardiology.

Molecular and Clinical Oncology

Molecular and Clinical Oncology

International journal addressing all aspects of oncology research, from tumorigenesis and oncogenes to chemotherapy and metastasis.

World Academy of Sciences Journal

World Academy of Sciences Journal

Multidisciplinary open-access journal spanning biochemistry, genetics, neuroscience, environmental health, and synthetic biology.

International Journal of Functional Nutrition

International Journal of Functional Nutrition

Open-access journal combining biochemistry, pharmacology, immunology, and genetics to advance health through functional nutrition.

International Journal of Epigenetics

International Journal of Epigenetics

Publishes open-access research on using epigenetics to advance understanding and treatment of human disease.

Medicine International

Medicine International

An International Open Access Journal Devoted to General Medicine.

Journal Cover
November-December 2024 Volume 6 Issue 6

Full Size Image

Sign up for eToc alerts
Recommend to Library

  • Article
  • Citations
    • Cite This Article
    • Download Citation
    • Create Citation Alert
    • Remove Citation Alert
    • Cited By
  • Similar Articles
    • Related Articles (in Spandidos Publications)
    • Similar Articles (Google Scholar)
    • Similar Articles (PubMed)
  • Download PDF
  • Download XML
  • View XML
Article Open Access

Effect of forceps biopsy on bronchial washing results in patients with endoscopically visible lung tumors

  • Authors:
    • Harem K. Ahmed
    • Kamaran Amin Qaradakhy
    • Kosar Mohamed Ali
    • Fahmi H. Kakamad
    • Berun A. Abdalla
    • Dilan S. Hiwa
  • View Affiliations / Copyright

    Affiliations: Department of Scientific Affairs, Smart Health Tower, Sulaymaniyah, Kurdistan 46001, Iraq, College of Medicine, University of Sulaimani, Sulaymaniyah, Kurdistan 46001, Iraq
    Copyright: © Ahmed et al. This is an open access article distributed under the terms of Creative Commons Attribution License [CC BY 4.0].
  • Article Number: 57
    |
    Published online on: August 7, 2024
       https://doi.org/10.3892/wasj.2024.272
  • Expand metrics +
Metrics: Total Views: 0 (Spandidos Publications: | PMC Statistics: )
Metrics: Total PDF Downloads: 0 (Spandidos Publications: | PMC Statistics: )
Cited By (CrossRef): 0 citations Loading Articles...

This article is mentioned in:



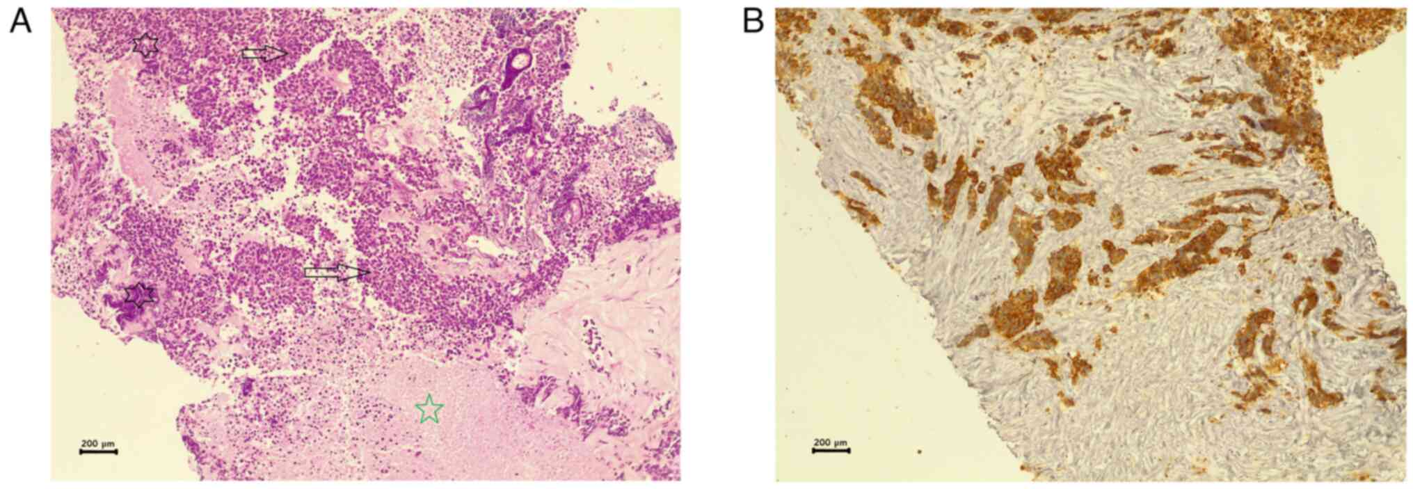
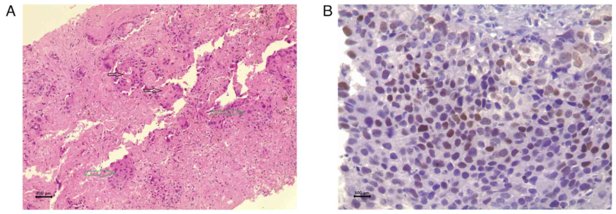
Abstract

Enhancing diagnostic bronchoscopy techniques is paramount for lung cancer detection; bronchial washing is one of those modalities. However, there is controversy regarding the optimum sequence of performing this procedure in relation to biopsy. The present study aimed to assess the most effective sequence of bronchial washing in relation to bronchial biopsy for diagnosing lung cancer. The present study was a single‑center prospective study carried out over a period of 18 months. The study included patients >18 years of age with mass or suspected lesions on a chest computed tomography and an endoscopically visible mass. They were randomly assigned to a bronchial washing before the forceps biopsy group and a bronchial washing after the forceps biopsy group. Bronchial washing and forceps biopsy were performed under cytological and histopathological analysis, respectively. The present study included 50 patients with a mean age of 72 years. The males comprised 36 (72%) of the patients. The pre‑biopsy bronchial wash (pre‑BW) yielded positive results in 21 (42%) patients, and the post‑biopsy bronchial wash (post‑BW) yielded positive results in 23 (46%) patients. The biopsy results revealed that 22 (44%) of the cases were squamous cell carcinoma, 18 (36%) were adenocarcinoma, 8 (16%) were small cell lung carcinoma, 1 (2%) was acinar cell carcinoma, and 1 (2%) was not malignant. A comparison of pre‑BW and post‑BW revealed a statistically significant difference between them (P‑value <0.001). Pre- and post-BW may affect the yield of diagnostic outcomes for endoscopically visible lung tumors. However, additional research, such as studies using larger sample sizes or meta-analyses, is required to determine the efficacy of this approach.
View Figures

Figure 1

Figure 2

Figure 3

View References

1 

Mingomataj E, Krasniqi M, Dedushi K, Sergeevich KA, Kust D, Qadir AA, Abdullah AS, Ahmed MK and Fatah GM: Cancer Publications in One Year (2023): A Cross-Sectional Study. Barw Med J. 2:3–11. 2024.

2 

Bade BC and Cruz CS: Lung cancer 2020: Epidemiology, etiology, and prevention. Clin Chest Med. 41:1–24. 2020.PubMed/NCBI View Article : Google Scholar

3 

Nooreldeen R and Bach H: Current and future development in lung cancer diagnosis. Int J Mol Sci. 22(8661)2021.PubMed/NCBI View Article : Google Scholar

4 

Rao S, Rao S, Lal A, Barathi G, Dhanasekar T and Duvuru P: Bronchial wash cytology: A study on morphology and morphometry. J Cytol. 31:63–67. 2014.PubMed/NCBI View Article : Google Scholar

5 

Roncarati R, Lupini L, Miotto E, Saccenti E, Mascetti S, Morandi L, Bassi C, Rasio D, Callegari E, Conti V, et al: Molecular testing on bronchial washings for the diagnosis and predictive assessment of lung cancer. Mol Oncol. 14:2163–2175. 2020.PubMed/NCBI View Article : Google Scholar

6 

Schramm D, Freitag N, Nicolai T, Wiemers A, Hinrichs B, Amrhein P, DiDio D, Eich C, Landsleitner B, Eber E, et al: Pediatric airway endoscopy: Recommendations of the society for pediatric pneumology. Respiration. 100:1128–1145. 2021.PubMed/NCBI View Article : Google Scholar

7 

Patil S, Toshniwal S and Acharya A: Role of fiberoptic bronchoscopy-guided needle aspiration cytology (EBNA) in diagnosing lung cancer in endobronchial lesions: A single-center experience. Int J Mol Immuno Oncol. 8:15–22. 2023.

8 

Xia Y, Li Q, Zhong C, Wang K and Li S: Inheritance and innovation of the diagnosis of peripheral pulmonary lesions. Ther Adv Chronic Dis. 14(20406223221146723)2023.PubMed/NCBI View Article : Google Scholar

9 

Wang J, Zhang T, Xu Y, Yang M, Huang Z, Lin J, Xie S and Sun H: Comparison between percutaneous transthoracic co-axial needle CT-guided biopsy and transbronchial lung biopsy for the diagnosis of persistent pulmonary consolidation. Insights Imaging. 14(80)2023.PubMed/NCBI View Article : Google Scholar

10 

Lim JH, Kim MJ, Jeon SH, Park MH, Kim WY, Lee M, Kim JH, Kim JS, Kim YS, Kim L, et al: The optimal sequence of bronchial brushing and washing for diagnosing peripheral lung cancer using non-guided flexible bronchoscopy. Sci Rep. 10(1036)2020.PubMed/NCBI View Article : Google Scholar

11 

Abdullah HO, Abdalla BA, Kakamad FH, Ahmed JO, Baba HO, Hassan MN, Bapir R, Rahim HM, Omar DA, Kakamad SH, et al: Predatory publishing lists: A review on the ongoing battle against fraudulent actions. Barw Med J. 2:26–30. 2024.

12 

Karahalli E, Yilmaz A, Türker H and Özvaran K: Usefulness of various diagnostic techniques during fiberoptic bronchoscopy for endoscopically visible lung cancer: Should cytologic examinations be performed routinely? Respiration. 68:611–614. 2001.PubMed/NCBI View Article : Google Scholar

13 

Kvale PA, Bode FR and Kini S: Diagnostic accuracy in lung cancer; comparison of techniques used in association with flexible fiberoptic bronchoscopy. Chest. 69:752–757. 1976.PubMed/NCBI View Article : Google Scholar

14 

Jones AM, Hanson IM, Armstrong GR and O'Driscoll BR: Value and accuracy of cytology in addition to histology in the diagnosis of lung cancer at flexible bronchoscopy. Respir Med. 95:374–378. 2001.PubMed/NCBI View Article : Google Scholar

15 

Govert JA, Dodd LG, Kussin PS and Samuelson WM: A prospective comparison of fiberoptic transbronchial needle aspiration and bronchial biopsy for bronchoscopically visible lung carcinoma. Cancer. 87:129–134. 1999.PubMed/NCBI View Article : Google Scholar

16 

Lee HS, Kwon SY, Kim DK, Yoon HI, Lee SM, Lee JH, Lee CT, Chung HS, Han SK, Shim YS and Yim JJ: Bronchial washing yield before and after forceps biopsy in patients with endoscopically visible lung cancers. Respirology. 12:277–282. 2007.PubMed/NCBI View Article : Google Scholar

17 

Carvalho AS, Cuco CM, Lavareda C, Miguel F, Ventura M, Almeida S, Pinto P, de Abreu TT, Rodrigues LV, Seixas S, et al: Bronchoalveolar lavage proteomics in patients with suspected lung cancer. Sci Rep. 7(42190)2017.PubMed/NCBI View Article : Google Scholar

18 

Endalie D and Abebe WT: Analysis of lung cancer risk factors from medical records in Ethiopia using machine learning. PLoS Digital Health. 2(e0000308)2023.PubMed/NCBI View Article : Google Scholar

19 

Stanzel F: Bronchoalveolar Lavage. In: Principles and Practice of Interventional Pulmonology. Ernst A and Herth FJF (eds). Springer Nature, pp165-176, 2012.

20 

Lee HW, Park YS, Park S and Lee CH: Poor prognosis of NSCLC located in lower lobe is partly mediated by lower frequency of EGFR mutations. Sci Rep. 10(14933)2020.PubMed/NCBI View Article : Google Scholar

21 

Xie X, Li X, Tang W, Xie P and Tan X: Primary tumor location in lung cancer: The evaluation and administration. Chin Med J (Engl). 135:127–136. 2021.PubMed/NCBI View Article : Google Scholar

22 

Drilon A, Rekhtman N, Ladanyi M and Paik P: Squamous-cell carcinomas of the lung: emerging biology, controversies, and the promise of targeted therapy. Lancet Oncol. 13:e418–e426. 2012.PubMed/NCBI View Article : Google Scholar

23 

Biciuşcă V, Popescu IAS, Traşcă DM, Olteanu M, Stan IS, Durand P, Camen GC, Bălteanu MA, Cazacu IM, Demetrian AD, et al: Diagnosis of lung cancer by flexible fiberoptic bronchoscopy: A descriptive study. Rom J Morphol Embryol. 63:369–381. 2022.PubMed/NCBI View Article : Google Scholar

24 

Hou G, Miao Y, Hu XJ, Wang W, Wang QY, Wu GP, Wang EH and Kang J: The optimal sequence for bronchial brushing and forceps biopsy in lung cancer diagnosis: A random control study. J Thorac Dis. 8:520–526. 2016.PubMed/NCBI View Article : Google Scholar

25 

Chaudhary BA, Yoneda K and Burki NK: Fiberoptic bronchoscopy: Comparison of procedures used in the diagnosis of lung cancer. J Thorac Cardiovasc Surg. 76:33–37. 1978.PubMed/NCBI

26 

Fernández-Villar A, González A, Leiro V, Represas C, Botana MI, Blanco P, Mosteiro M and Piñeiro L: Effect of different bronchial washing sequences on diagnostic yield in endoscopically visible lung cancer. Arch Bronconeumol. 42:278–282. 2006.PubMed/NCBI View Article : Google Scholar : (In Spanish).

27 

Raymond NJ, McLeod S and Thornley PE: Timing of bronchial washing at fibrebronchoscopy improves the diagnostic rate of primary bronchial carcinoma. Thorax. 46 (Suppl)(S289)1991.

28 

Yigla M, Nagiv D, Solomonov A, Malberger E, Ben-Izhak O, Rubin AH and Keren R: Timing of collecting bronchoscopic cytologic specimens in endobronchial malignant neoplasms. Journal of Bronchology & Interventional Pulmonology. 9:272–275. 2002.

29 

van der Drift MA, van der Wilt GJ, Thunnissen FB and Janssen JP: A prospective study of the timing and cost-effectiveness of bronchial washing during bronchoscopy for pulmonary malignant tumors. Chest. 128:394–400. 2005.PubMed/NCBI View Article : Google Scholar

Related Articles

  • Abstract
  • View
  • Download
Copy and paste a formatted citation
Spandidos Publications style
Ahmed HK, Qaradakhy KA, Ali KM, Kakamad FH, Abdalla BA and Hiwa DS: Effect of forceps biopsy on bronchial washing results in patients with endoscopically visible lung tumors. World Acad Sci J 6: 57, 2024.
APA
Ahmed, H.K., Qaradakhy, K.A., Ali, K.M., Kakamad, F.H., Abdalla, B.A., & Hiwa, D.S. (2024). Effect of forceps biopsy on bronchial washing results in patients with endoscopically visible lung tumors. World Academy of Sciences Journal, 6, 57. https://doi.org/10.3892/wasj.2024.272
MLA
Ahmed, H. K., Qaradakhy, K. A., Ali, K. M., Kakamad, F. H., Abdalla, B. A., Hiwa, D. S."Effect of forceps biopsy on bronchial washing results in patients with endoscopically visible lung tumors". World Academy of Sciences Journal 6.6 (2024): 57.
Chicago
Ahmed, H. K., Qaradakhy, K. A., Ali, K. M., Kakamad, F. H., Abdalla, B. A., Hiwa, D. S."Effect of forceps biopsy on bronchial washing results in patients with endoscopically visible lung tumors". World Academy of Sciences Journal 6, no. 6 (2024): 57. https://doi.org/10.3892/wasj.2024.272
Copy and paste a formatted citation
x
Spandidos Publications style
Ahmed HK, Qaradakhy KA, Ali KM, Kakamad FH, Abdalla BA and Hiwa DS: Effect of forceps biopsy on bronchial washing results in patients with endoscopically visible lung tumors. World Acad Sci J 6: 57, 2024.
APA
Ahmed, H.K., Qaradakhy, K.A., Ali, K.M., Kakamad, F.H., Abdalla, B.A., & Hiwa, D.S. (2024). Effect of forceps biopsy on bronchial washing results in patients with endoscopically visible lung tumors. World Academy of Sciences Journal, 6, 57. https://doi.org/10.3892/wasj.2024.272
MLA
Ahmed, H. K., Qaradakhy, K. A., Ali, K. M., Kakamad, F. H., Abdalla, B. A., Hiwa, D. S."Effect of forceps biopsy on bronchial washing results in patients with endoscopically visible lung tumors". World Academy of Sciences Journal 6.6 (2024): 57.
Chicago
Ahmed, H. K., Qaradakhy, K. A., Ali, K. M., Kakamad, F. H., Abdalla, B. A., Hiwa, D. S."Effect of forceps biopsy on bronchial washing results in patients with endoscopically visible lung tumors". World Academy of Sciences Journal 6, no. 6 (2024): 57. https://doi.org/10.3892/wasj.2024.272
Follow us
  • Twitter
  • LinkedIn
  • Facebook
About
  • Spandidos Publications
  • Careers
  • Cookie Policy
  • Privacy Policy
How can we help?
  • Help
  • Live Chat
  • Contact
  • Email to our Support Team