Spandidos Publications Logo
  • About
    • About Spandidos
    • Aims and Scopes
    • Abstracting and Indexing
    • Editorial Policies
    • Reprints and Permissions
    • Job Opportunities
    • Terms and Conditions
    • Contact
  • Journals
    • All Journals
    • Oncology Letters
      • Oncology Letters
      • Information for Authors
      • Editorial Policies
      • Editorial Board
      • Aims and Scope
      • Abstracting and Indexing
      • Bibliographic Information
      • Archive
    • International Journal of Oncology
      • International Journal of Oncology
      • Information for Authors
      • Editorial Policies
      • Editorial Board
      • Aims and Scope
      • Abstracting and Indexing
      • Bibliographic Information
      • Archive
    • Molecular and Clinical Oncology
      • Molecular and Clinical Oncology
      • Information for Authors
      • Editorial Policies
      • Editorial Board
      • Aims and Scope
      • Abstracting and Indexing
      • Bibliographic Information
      • Archive
    • Experimental and Therapeutic Medicine
      • Experimental and Therapeutic Medicine
      • Information for Authors
      • Editorial Policies
      • Editorial Board
      • Aims and Scope
      • Abstracting and Indexing
      • Bibliographic Information
      • Archive
    • International Journal of Molecular Medicine
      • International Journal of Molecular Medicine
      • Information for Authors
      • Editorial Policies
      • Editorial Board
      • Aims and Scope
      • Abstracting and Indexing
      • Bibliographic Information
      • Archive
    • Biomedical Reports
      • Biomedical Reports
      • Information for Authors
      • Editorial Policies
      • Editorial Board
      • Aims and Scope
      • Abstracting and Indexing
      • Bibliographic Information
      • Archive
    • Oncology Reports
      • Oncology Reports
      • Information for Authors
      • Editorial Policies
      • Editorial Board
      • Aims and Scope
      • Abstracting and Indexing
      • Bibliographic Information
      • Archive
    • Molecular Medicine Reports
      • Molecular Medicine Reports
      • Information for Authors
      • Editorial Policies
      • Editorial Board
      • Aims and Scope
      • Abstracting and Indexing
      • Bibliographic Information
      • Archive
    • World Academy of Sciences Journal
      • World Academy of Sciences Journal
      • Information for Authors
      • Editorial Policies
      • Editorial Board
      • Aims and Scope
      • Abstracting and Indexing
      • Bibliographic Information
      • Archive
    • International Journal of Functional Nutrition
      • International Journal of Functional Nutrition
      • Information for Authors
      • Editorial Policies
      • Editorial Board
      • Aims and Scope
      • Abstracting and Indexing
      • Bibliographic Information
      • Archive
    • International Journal of Epigenetics
      • International Journal of Epigenetics
      • Information for Authors
      • Editorial Policies
      • Editorial Board
      • Aims and Scope
      • Abstracting and Indexing
      • Bibliographic Information
      • Archive
    • Medicine International
      • Medicine International
      • Information for Authors
      • Editorial Policies
      • Editorial Board
      • Aims and Scope
      • Abstracting and Indexing
      • Bibliographic Information
      • Archive
  • Articles
  • Information
    • Information for Authors
    • Information for Reviewers
    • Information for Librarians
    • Information for Advertisers
    • Conferences
  • Language Editing
Spandidos Publications Logo
  • About
    • About Spandidos
    • Aims and Scopes
    • Abstracting and Indexing
    • Editorial Policies
    • Reprints and Permissions
    • Job Opportunities
    • Terms and Conditions
    • Contact
  • Journals
    • All Journals
    • Biomedical Reports
      • Information for Authors
      • Editorial Policies
      • Editorial Board
      • Aims and Scope
      • Abstracting and Indexing
      • Bibliographic Information
      • Archive
    • Experimental and Therapeutic Medicine
      • Information for Authors
      • Editorial Policies
      • Editorial Board
      • Aims and Scope
      • Abstracting and Indexing
      • Bibliographic Information
      • Archive
    • International Journal of Epigenetics
      • Information for Authors
      • Editorial Policies
      • Editorial Board
      • Aims and Scope
      • Abstracting and Indexing
      • Bibliographic Information
      • Archive
    • International Journal of Functional Nutrition
      • Information for Authors
      • Editorial Policies
      • Editorial Board
      • Aims and Scope
      • Abstracting and Indexing
      • Bibliographic Information
      • Archive
    • International Journal of Molecular Medicine
      • Information for Authors
      • Editorial Policies
      • Editorial Board
      • Aims and Scope
      • Abstracting and Indexing
      • Bibliographic Information
      • Archive
    • International Journal of Oncology
      • Information for Authors
      • Editorial Policies
      • Editorial Board
      • Aims and Scope
      • Abstracting and Indexing
      • Bibliographic Information
      • Archive
    • Medicine International
      • Information for Authors
      • Editorial Policies
      • Editorial Board
      • Aims and Scope
      • Abstracting and Indexing
      • Bibliographic Information
      • Archive
    • Molecular and Clinical Oncology
      • Information for Authors
      • Editorial Policies
      • Editorial Board
      • Aims and Scope
      • Abstracting and Indexing
      • Bibliographic Information
      • Archive
    • Molecular Medicine Reports
      • Information for Authors
      • Editorial Policies
      • Editorial Board
      • Aims and Scope
      • Abstracting and Indexing
      • Bibliographic Information
      • Archive
    • Oncology Letters
      • Information for Authors
      • Editorial Policies
      • Editorial Board
      • Aims and Scope
      • Abstracting and Indexing
      • Bibliographic Information
      • Archive
    • Oncology Reports
      • Information for Authors
      • Editorial Policies
      • Editorial Board
      • Aims and Scope
      • Abstracting and Indexing
      • Bibliographic Information
      • Archive
    • World Academy of Sciences Journal
      • Information for Authors
      • Editorial Policies
      • Editorial Board
      • Aims and Scope
      • Abstracting and Indexing
      • Bibliographic Information
      • Archive
  • Articles
  • Information
    • For Authors
    • For Reviewers
    • For Librarians
    • For Advertisers
    • Conferences
  • Language Editing
Login Register Submit
  • This site uses cookies
  • You can change your cookie settings at any time by following the instructions in our Cookie Policy. To find out more, you may read our Privacy Policy.

    I agree
Search articles by DOI, keyword, author or affiliation
Search
Advanced Search
presentation
World Academy of Sciences Journal
Join Editorial Board Propose a Special Issue
Print ISSN: 2632-2900 Online ISSN: 2632-2919
Journal Cover
May-June 2025 Volume 7 Issue 3

Full Size Image

Sign up for eToc alerts
Recommend to Library

Journals

International Journal of Molecular Medicine

International Journal of Molecular Medicine

International Journal of Molecular Medicine is an international journal devoted to molecular mechanisms of human disease.

International Journal of Oncology

International Journal of Oncology

International Journal of Oncology is an international journal devoted to oncology research and cancer treatment.

Molecular Medicine Reports

Molecular Medicine Reports

Covers molecular medicine topics such as pharmacology, pathology, genetics, neuroscience, infectious diseases, molecular cardiology, and molecular surgery.

Oncology Reports

Oncology Reports

Oncology Reports is an international journal devoted to fundamental and applied research in Oncology.

Experimental and Therapeutic Medicine

Experimental and Therapeutic Medicine

Experimental and Therapeutic Medicine is an international journal devoted to laboratory and clinical medicine.

Oncology Letters

Oncology Letters

Oncology Letters is an international journal devoted to Experimental and Clinical Oncology.

Biomedical Reports

Biomedical Reports

Explores a wide range of biological and medical fields, including pharmacology, genetics, microbiology, neuroscience, and molecular cardiology.

Molecular and Clinical Oncology

Molecular and Clinical Oncology

International journal addressing all aspects of oncology research, from tumorigenesis and oncogenes to chemotherapy and metastasis.

World Academy of Sciences Journal

World Academy of Sciences Journal

Multidisciplinary open-access journal spanning biochemistry, genetics, neuroscience, environmental health, and synthetic biology.

International Journal of Functional Nutrition

International Journal of Functional Nutrition

Open-access journal combining biochemistry, pharmacology, immunology, and genetics to advance health through functional nutrition.

International Journal of Epigenetics

International Journal of Epigenetics

Publishes open-access research on using epigenetics to advance understanding and treatment of human disease.

Medicine International

Medicine International

An International Open Access Journal Devoted to General Medicine.

Journal Cover
May-June 2025 Volume 7 Issue 3

Full Size Image

Sign up for eToc alerts
Recommend to Library

  • Article
  • Citations
    • Cite This Article
    • Download Citation
    • Create Citation Alert
    • Remove Citation Alert
    • Cited By
  • Similar Articles
    • Related Articles (in Spandidos Publications)
    • Similar Articles (Google Scholar)
    • Similar Articles (PubMed)
  • Download PDF
  • Download XML
  • View XML
Article Open Access

Efficacy of Rhamnus frangula extract against Acinetobacter baumannii biofilms: Histopathological evidence from ex vivo goat models

  • Authors:
    • Riya Mariam Rony Varughese
    • Naji Naseef Pathoor
    • Priyadharshini Ranganathan
    • Pitchaipillai Sankar Ganesh
  • View Affiliations / Copyright

    Affiliations: Department of Pathology, Saveetha Dental College and Hospitals, Saveetha Institute of Medical and Technical Sciences (SIMATS), Saveetha University, Chennai, Tamil Nadu 600 077, India, Department of Microbiology, Centre for Infectious Diseases, Saveetha Dental College and Hospitals, Saveetha Institute of Medical and Technical Sciences (SIMATS), Saveetha University, Chennai, Tamil Nadu 600 077, India, Department of Oral Pathology, Saveetha Dental College and Hospitals, Saveetha Institute of Medical and Technical Sciences (SIMATS), Saveetha University, Chennai, Tamil Nadu 600 077, India
    Copyright: © Rony Varughese et al. This is an open access article distributed under the terms of Creative Commons Attribution License [CC BY 4.0].
  • Article Number: 36
    |
    Published online on: February 12, 2025
       https://doi.org/10.3892/wasj.2025.324
  • Expand metrics +
Metrics: Total Views: 0 (Spandidos Publications: | PMC Statistics: )
Metrics: Total PDF Downloads: 0 (Spandidos Publications: | PMC Statistics: )
Cited By (CrossRef): 0 citations Loading Articles...

This article is mentioned in:



Abstract

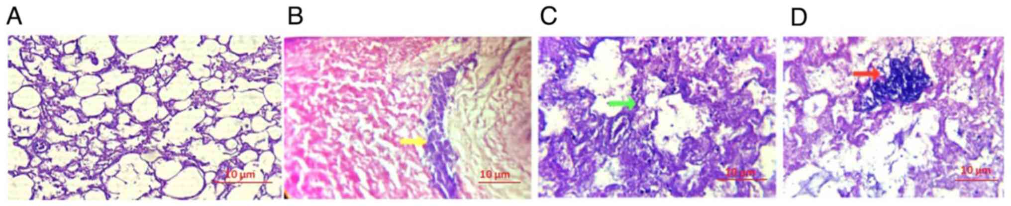
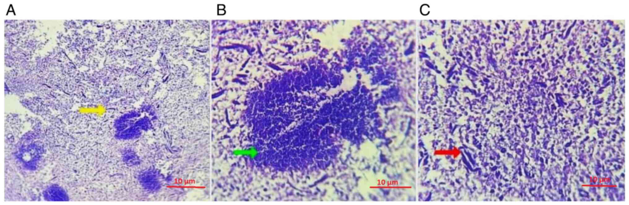
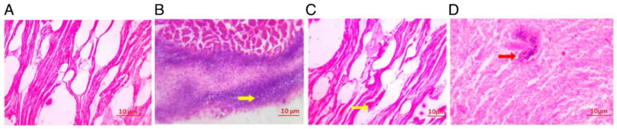
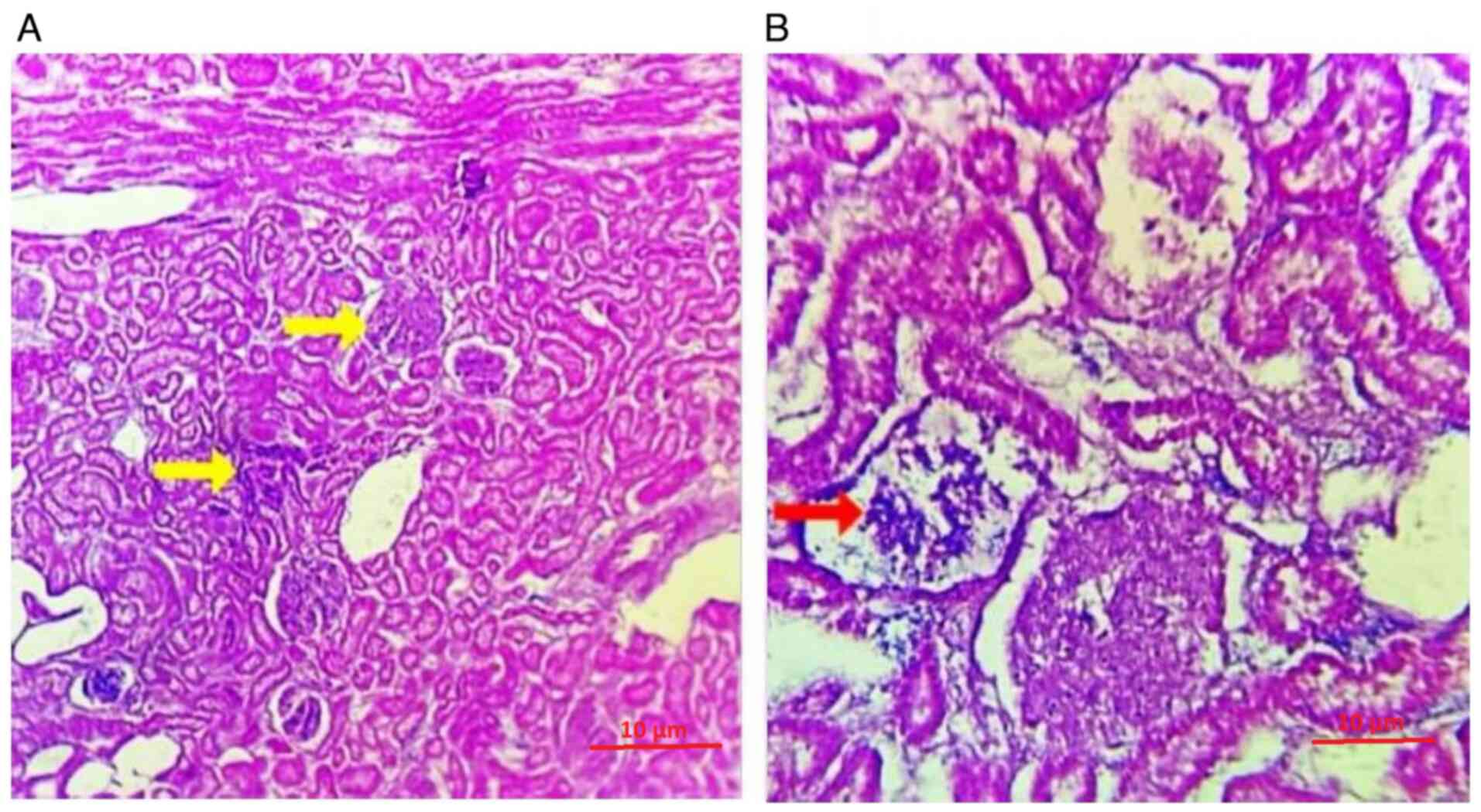
Acinetobacter baumannii (A. baumannii) is a Gram‑negative pathogen notorious for causing severe nosocomial infections, largely due to its ability to form biofilms that enhance antibiotic resistance and complicate treatment strategies. The present study explored the therapeutic potential of Rhamnus frangula (R. frangula) extract in mitigating A. baumannii‑induced biofilm formation and related organ damage in goat tissue samples. The efficacy of the extract was assessed using minimum inhibitory concentration (MIC) tests, histopathological evaluations of heart, lung, liver, kidney and spleen tissues, biofilm inhibition assays, and growth curve analysis. The MIC assay demonstrated that R. frangula extract effectively inhibited A. baumannii growth at a concentration of 5 mg/ml. Histopathological analysis revealed significant reductions in bacterial load and inflammatory infiltrates across all examined organs, with notable improvements, such as decreased myofibril disintegration in cardiac tissue and reduced alveolar damage in lung tissue. Furthermore, at a sub‑MIC of 2.5 mg/ml, R. frangula extract reduced biofilm formation by 67.26%, while exhibiting no effect on planktonic bacterial growth, highlighting its specific antibiofilm activity. These findings underscore the potential of R. frangula extract as a promising natural therapeutic agent for the treatment of biofilm‑associated infections and mitigating tissue damage caused by A. baumannii. However, further investigations into its molecular mechanisms and potential clinical applications are warranted to address the escalating challenge of antibiotic resistance and improve infection management strategies.
View Figures

Figure 1

Figure 2

Figure 3

Figure 4

Figure 5

Figure 6

Figure 7

Figure 8

View References

1 

Ibrahim S, Al-Saryi N, Al-Kadmy IMS and Aziz SN: Multidrug-resistant Acinetobacter baumannii as an emerging concern in hospitals. Mol Biol Rep. 48:6987–6998. 2021.PubMed/NCBI View Article : Google Scholar

2 

Pathoor NN, Ganesh PS and Gopal RK: Microbiome interactions: Acinetobacter baumannii biofilms as a co-factor in oral cancer progression. World J Microbiol Biotechnol. 40(398)2024.PubMed/NCBI View Article : Google Scholar

3 

Gedefie A, Demsis W, Ashagrie M, Kassa Y, Tesfaye M, Tilahun M, Bisetegn H and Sahle Z: Biofilm formation and its role in disease pathogenesis: A review. Infect Drug Resist. 14:3711–3719. 2021.PubMed/NCBI View Article : Google Scholar

4 

Müller C, Reuter S, Wille J, Xanthopoulou K, Stefanik D, Grundmann H, Higgins PG and Seifert H: A global view on carbapenem-resistant Acinetobacter baumannii. mBio. 14(e0226023)2023.PubMed/NCBI View Article : Google Scholar

5 

Girija ASS: Acinetobacter baumannii as an oro-dental pathogen: A red alert!! J Appl Oral Sci. 32(e20230382)2024.PubMed/NCBI View Article : Google Scholar

6 

Loehfelm TW, Luke NR and Campagnari AA: Identification and characterization of an Acinetobacter baumannii biofilm-associated protein. J Bacteriol. 190:1036–1044. 2008.PubMed/NCBI View Article : Google Scholar

7 

Pai L, Patil S, Liu S and Wen F: A growing battlefield in the war against biofilm-induced antimicrobial resistance: Insights from reviews on antibiotic resistance. Front Cell Infect Microbiol. 13(1327069)2023.PubMed/NCBI View Article : Google Scholar

8 

Smiline Girija SA: Hijacking the epigenetic mechanisms of A. baumannii. Mol Biol Res Commun. 13:51–53. 2024.PubMed/NCBI View Article : Google Scholar

9 

Pathoor NN, Viswanathan A, Wadhwa G and Ganesh PS: Understanding the biofilm development of Acinetobacter baumannii and novel strategies to combat infection. APMIS. 132:317–335. 2024.PubMed/NCBI View Article : Google Scholar

10 

Mohajeri P, Farahani A, Feizabadi MM and Norozi B: Clonal evolution multi-drug resistant Acinetobacter baumannii by pulsed-field gel electrophoresis. Indian J Med Microbiol. 33:87–91. 2015.PubMed/NCBI View Article : Google Scholar

11 

Mohajeri P, Sharbati S, Farahani A and Rezaei Z: Evaluate the frequency distribution of nonadhesive virulence factors in carbapenemase-producing Acinetobacter baumannii isolated from clinical samples in Kermanshah. J Nat Sci Biol Med. 7:58–61. 2016.PubMed/NCBI View Article : Google Scholar

12 

Nasim N, Sandeep IS and Mohanty S: Plant-derived natural products for drug discovery: Current approaches and prospects. Nucleus (Calcutta). 65:399–411. 2022.PubMed/NCBI View Article : Google Scholar

13 

Kalinowska M, Gołębiewska E, Świderski G, Męczyńska-Wielgosz S, Lewandowska H, Pietryczuk A, Cudowski A, Astel A, Świsłocka R, Samsonowicz M, et al: Plant-derived and dietary hydroxybenzoic acids-a comprehensive study of structural, anti-/pro-oxidant, lipophilic, antimicrobial, and cytotoxic activity in MDA-MB-231 and MCF-7 cell lines. Nutrients. 13(3107)2021.PubMed/NCBI View Article : Google Scholar

14 

Greenleaf J, Karimzadeh R and Park YL: Spatial patterns of Frangula alnus (Rosales: Rhamnaceae): Implications for invasive plant management. Biology (Basel). 12(1393)2023.PubMed/NCBI View Article : Google Scholar

15 

Górniak I, Bartoszewski R and Króliczewski J: Comprehensive review of antimicrobial activities of plant flavonoids. Phytochem Rev. 18:241–272. 2019.

16 

Lahiri D, Nag M, Ray RR and Ghosh S (eds): Biofilm-Associated Antimicrobial Resistance and Its Recovery. CRC Press, Boca Raton, p391, 2023.

17 

Kumar S, Chandra N, Singh L, Hashmi MZ and Varma A (eds): Biofilms in Human Diseases: Treatment and Control. Springer Nature, p318, 2019.

18 

Labis V, Gaiduk I, Bazikyan E, Khmelenin D, Zhigalina O, Dyachkova I, Zolotov D, Asadchikov V, Kravtsov I, Polyakov N, et al: The role of metal nanoparticles in the pathogenesis of stone formation. Int J Mol Sci. 25(9609)2024.PubMed/NCBI View Article : Google Scholar

19 

Bobenchik AM, Deak E, Hindler JA, Charlton CL and Humphries RM: Performance of Vitek 2 for antimicrobial susceptibility testing of Acinetobacter baumannii, Pseudomonas aeruginosa, and Stenotrophomonas maltophilia with Vitek 2 (2009 FDA) and CLSI M100S 26th edition breakpoints. J Clin Microbiol. 55:450–456. 2017.PubMed/NCBI View Article : Google Scholar

20 

Soni M, Naseef Pathoor N, Viswanathan A, Veeraragavan GR and Sankar Ganesh P: Exploring the antimicrobial and antibiofilm activities of Artocarpus heterophyllus Lam. against Pseudomonas aeruginosa PAO1. World Acad Sci J. 6(50)2024.

21 

Hudzicki J: Kirby-Bauer Disk Diffusion Susceptibility Test Protocol. American Society for Microbiology, Washington, DC, pp55-63, 2009.

22 

Howard A, O'Donoghue M, Feeney A and Sleator RD: Acinetobacter baumannii: An emerging opportunistic pathogen. Virulence. 3:243–250. 2012.PubMed/NCBI View Article : Google Scholar

23 

Peer Mohammed S, Pathoor N, Veeraragavan G and Ganesh P: Unlocking the antibiofilm and anti-virulence potential of Pithecellobium dulce against Chromobacterium violaceum CV12472. World Acad Sci J. 7(14)2024.

24 

Bancroft JD and Gamble M (eds): Theory and practice of histological techniques. 6th edition. Elsevier Health Sciences, p744, 2008.

25 

Venkatramanan M, Sankar Ganesh P, Senthil R, Akshay J, Veera Ravi A, Langeswaran K, Vadivelu J, Nagarajan S, Rajendran K and Shankar EM: Inhibition of quorum sensing and biofilm formation in Chromobacterium violaceum by fruit extracts of Passiflora edulis. ACS Omega. 5:25605–25616. 2020.PubMed/NCBI View Article : Google Scholar

26 

Zhou JW, Luo HZ, Jiang H, Jian TK, Chen ZQ and Jia AQ: Hordenine: A novel quorum sensing inhibitor and antibiofilm agent against Pseudomonas aeruginosa. J Agric Food Chem. 66:1620–1628. 2018.PubMed/NCBI View Article : Google Scholar

27 

Sybiya Vasantha Packiavathy IA, Agilandeswari P, Musthafa KS, Karutha Pandian S and Veera Ravi A: Antibiofilm and quorum sensing inhibitory potential of Cuminum cyminum and its secondary metabolite methyl eugenol against gram-negative bacterial pathogens. Food Res Int. 45:85–92. 2012.

28 

Lawrence R, Tripathi P and Jeyakumar E: Isolation, purification and evaluation of antibacterial agents from Aloe vera. Braz J Microbiol. 40:906–915. 2009.PubMed/NCBI View Article : Google Scholar

29 

Miyasaki Y, Rabenstein JD, Rhea J, Crouch ML, Mocek UM, Kittell PE, Morgan MA, Nichols WS, Van Benschoten MM, Hardy WD and Liu GY: Isolation and characterization of antimicrobial compounds in plant extracts against multidrug-resistant Acinetobacter baumannii. PLoS One. 8(e61594)2013.PubMed/NCBI View Article : Google Scholar

30 

Hu J, Shuai W, Sumner JT, Moghadam AA and Hartmann EM: Clinically relevant pathogens on surfaces display differences in survival and transcriptomic response in relation to probiotic and traditional cleaning strategies. NPJ Biofilms Microbiomes. 8(72)2022.PubMed/NCBI View Article : Google Scholar

31 

Li XZ, Elkins CA and Zgurskaya HI: Efflux-mediated antimicrobial resistance in bacteria: mechanisms, regulation and clinical implications. Springer, New York, NY, p848, 2016.

32 

Grygiel I, Bajrak O, Wójcicki M, Krusiec K, Jończyk-Matysiak E, Górski A, Majewska J and Letkiewicz S: Comprehensive approaches to combatting Acinetobacter baumannii biofilms: From biofilm structure to phage-based therapies. Antibiotics (Basel). 13(1064)2024.PubMed/NCBI View Article : Google Scholar

33 

Mendhe S, Badge A, Ugemuge S and Chandi D: Impact of biofilms on chronic infections and medical challenges. Cureus. 15(e48204)2023.PubMed/NCBI View Article : Google Scholar

34 

Kostakioti M, Hadjifrangiskou M and Hultgren SJ: Bacterial biofilms: Development, dispersal, and therapeutic strategies in the dawn of the postantibiotic era. Cold Spring Harb Perspect Med. 3(a010306)2013.PubMed/NCBI View Article : Google Scholar

Related Articles

  • Abstract
  • View
  • Download
Copy and paste a formatted citation
Spandidos Publications style
Rony Varughese R, Pathoor N, Ranganathan P and Ganesh P: Efficacy of <em>Rhamnus frangula</em> extract against <em>Acinetobacter baumannii</em> biofilms: Histopathological evidence from <em>ex vivo</em> goat models. World Acad Sci J 7: 36, 2025.
APA
Rony Varughese, R., Pathoor, N., Ranganathan, P., & Ganesh, P. (2025). Efficacy of <em>Rhamnus frangula</em> extract against <em>Acinetobacter baumannii</em> biofilms: Histopathological evidence from <em>ex vivo</em> goat models. World Academy of Sciences Journal, 7, 36. https://doi.org/10.3892/wasj.2025.324
MLA
Rony Varughese, R., Pathoor, N., Ranganathan, P., Ganesh, P."Efficacy of <em>Rhamnus frangula</em> extract against <em>Acinetobacter baumannii</em> biofilms: Histopathological evidence from <em>ex vivo</em> goat models". World Academy of Sciences Journal 7.3 (2025): 36.
Chicago
Rony Varughese, R., Pathoor, N., Ranganathan, P., Ganesh, P."Efficacy of <em>Rhamnus frangula</em> extract against <em>Acinetobacter baumannii</em> biofilms: Histopathological evidence from <em>ex vivo</em> goat models". World Academy of Sciences Journal 7, no. 3 (2025): 36. https://doi.org/10.3892/wasj.2025.324
Copy and paste a formatted citation
x
Spandidos Publications style
Rony Varughese R, Pathoor N, Ranganathan P and Ganesh P: Efficacy of <em>Rhamnus frangula</em> extract against <em>Acinetobacter baumannii</em> biofilms: Histopathological evidence from <em>ex vivo</em> goat models. World Acad Sci J 7: 36, 2025.
APA
Rony Varughese, R., Pathoor, N., Ranganathan, P., & Ganesh, P. (2025). Efficacy of <em>Rhamnus frangula</em> extract against <em>Acinetobacter baumannii</em> biofilms: Histopathological evidence from <em>ex vivo</em> goat models. World Academy of Sciences Journal, 7, 36. https://doi.org/10.3892/wasj.2025.324
MLA
Rony Varughese, R., Pathoor, N., Ranganathan, P., Ganesh, P."Efficacy of <em>Rhamnus frangula</em> extract against <em>Acinetobacter baumannii</em> biofilms: Histopathological evidence from <em>ex vivo</em> goat models". World Academy of Sciences Journal 7.3 (2025): 36.
Chicago
Rony Varughese, R., Pathoor, N., Ranganathan, P., Ganesh, P."Efficacy of <em>Rhamnus frangula</em> extract against <em>Acinetobacter baumannii</em> biofilms: Histopathological evidence from <em>ex vivo</em> goat models". World Academy of Sciences Journal 7, no. 3 (2025): 36. https://doi.org/10.3892/wasj.2025.324
Follow us
  • Twitter
  • LinkedIn
  • Facebook
About
  • Spandidos Publications
  • Careers
  • Cookie Policy
  • Privacy Policy
How can we help?
  • Help
  • Live Chat
  • Contact
  • Email to our Support Team