Spandidos Publications Logo
  • About
    • About Spandidos
    • Aims and Scopes
    • Abstracting and Indexing
    • Editorial Policies
    • Reprints and Permissions
    • Job Opportunities
    • Terms and Conditions
    • Contact
  • Journals
    • All Journals
    • Oncology Letters
      • Oncology Letters
      • Information for Authors
      • Editorial Policies
      • Editorial Board
      • Aims and Scope
      • Abstracting and Indexing
      • Bibliographic Information
      • Archive
    • International Journal of Oncology
      • International Journal of Oncology
      • Information for Authors
      • Editorial Policies
      • Editorial Board
      • Aims and Scope
      • Abstracting and Indexing
      • Bibliographic Information
      • Archive
    • Molecular and Clinical Oncology
      • Molecular and Clinical Oncology
      • Information for Authors
      • Editorial Policies
      • Editorial Board
      • Aims and Scope
      • Abstracting and Indexing
      • Bibliographic Information
      • Archive
    • Experimental and Therapeutic Medicine
      • Experimental and Therapeutic Medicine
      • Information for Authors
      • Editorial Policies
      • Editorial Board
      • Aims and Scope
      • Abstracting and Indexing
      • Bibliographic Information
      • Archive
    • International Journal of Molecular Medicine
      • International Journal of Molecular Medicine
      • Information for Authors
      • Editorial Policies
      • Editorial Board
      • Aims and Scope
      • Abstracting and Indexing
      • Bibliographic Information
      • Archive
    • Biomedical Reports
      • Biomedical Reports
      • Information for Authors
      • Editorial Policies
      • Editorial Board
      • Aims and Scope
      • Abstracting and Indexing
      • Bibliographic Information
      • Archive
    • Oncology Reports
      • Oncology Reports
      • Information for Authors
      • Editorial Policies
      • Editorial Board
      • Aims and Scope
      • Abstracting and Indexing
      • Bibliographic Information
      • Archive
    • Molecular Medicine Reports
      • Molecular Medicine Reports
      • Information for Authors
      • Editorial Policies
      • Editorial Board
      • Aims and Scope
      • Abstracting and Indexing
      • Bibliographic Information
      • Archive
    • World Academy of Sciences Journal
      • World Academy of Sciences Journal
      • Information for Authors
      • Editorial Policies
      • Editorial Board
      • Aims and Scope
      • Abstracting and Indexing
      • Bibliographic Information
      • Archive
    • International Journal of Functional Nutrition
      • International Journal of Functional Nutrition
      • Information for Authors
      • Editorial Policies
      • Editorial Board
      • Aims and Scope
      • Abstracting and Indexing
      • Bibliographic Information
      • Archive
    • International Journal of Epigenetics
      • International Journal of Epigenetics
      • Information for Authors
      • Editorial Policies
      • Editorial Board
      • Aims and Scope
      • Abstracting and Indexing
      • Bibliographic Information
      • Archive
    • Medicine International
      • Medicine International
      • Information for Authors
      • Editorial Policies
      • Editorial Board
      • Aims and Scope
      • Abstracting and Indexing
      • Bibliographic Information
      • Archive
  • Articles
  • Information
    • Information for Authors
    • Information for Reviewers
    • Information for Librarians
    • Information for Advertisers
    • Conferences
  • Language Editing
Spandidos Publications Logo
  • About
    • About Spandidos
    • Aims and Scopes
    • Abstracting and Indexing
    • Editorial Policies
    • Reprints and Permissions
    • Job Opportunities
    • Terms and Conditions
    • Contact
  • Journals
    • All Journals
    • Biomedical Reports
      • Information for Authors
      • Editorial Policies
      • Editorial Board
      • Aims and Scope
      • Abstracting and Indexing
      • Bibliographic Information
      • Archive
    • Experimental and Therapeutic Medicine
      • Information for Authors
      • Editorial Policies
      • Editorial Board
      • Aims and Scope
      • Abstracting and Indexing
      • Bibliographic Information
      • Archive
    • International Journal of Epigenetics
      • Information for Authors
      • Editorial Policies
      • Editorial Board
      • Aims and Scope
      • Abstracting and Indexing
      • Bibliographic Information
      • Archive
    • International Journal of Functional Nutrition
      • Information for Authors
      • Editorial Policies
      • Editorial Board
      • Aims and Scope
      • Abstracting and Indexing
      • Bibliographic Information
      • Archive
    • International Journal of Molecular Medicine
      • Information for Authors
      • Editorial Policies
      • Editorial Board
      • Aims and Scope
      • Abstracting and Indexing
      • Bibliographic Information
      • Archive
    • International Journal of Oncology
      • Information for Authors
      • Editorial Policies
      • Editorial Board
      • Aims and Scope
      • Abstracting and Indexing
      • Bibliographic Information
      • Archive
    • Medicine International
      • Information for Authors
      • Editorial Policies
      • Editorial Board
      • Aims and Scope
      • Abstracting and Indexing
      • Bibliographic Information
      • Archive
    • Molecular and Clinical Oncology
      • Information for Authors
      • Editorial Policies
      • Editorial Board
      • Aims and Scope
      • Abstracting and Indexing
      • Bibliographic Information
      • Archive
    • Molecular Medicine Reports
      • Information for Authors
      • Editorial Policies
      • Editorial Board
      • Aims and Scope
      • Abstracting and Indexing
      • Bibliographic Information
      • Archive
    • Oncology Letters
      • Information for Authors
      • Editorial Policies
      • Editorial Board
      • Aims and Scope
      • Abstracting and Indexing
      • Bibliographic Information
      • Archive
    • Oncology Reports
      • Information for Authors
      • Editorial Policies
      • Editorial Board
      • Aims and Scope
      • Abstracting and Indexing
      • Bibliographic Information
      • Archive
    • World Academy of Sciences Journal
      • Information for Authors
      • Editorial Policies
      • Editorial Board
      • Aims and Scope
      • Abstracting and Indexing
      • Bibliographic Information
      • Archive
  • Articles
  • Information
    • For Authors
    • For Reviewers
    • For Librarians
    • For Advertisers
    • Conferences
  • Language Editing
Login Register Submit
  • This site uses cookies
  • You can change your cookie settings at any time by following the instructions in our Cookie Policy. To find out more, you may read our Privacy Policy.

    I agree
Search articles by DOI, keyword, author or affiliation
Search
Advanced Search
presentation
World Academy of Sciences Journal
Join Editorial Board Propose a Special Issue
Print ISSN: 2632-2900 Online ISSN: 2632-2919
Journal Cover
July-August 2025 Volume 7 Issue 4

Full Size Image

Sign up for eToc alerts
Recommend to Library

Journals

International Journal of Molecular Medicine

International Journal of Molecular Medicine

International Journal of Molecular Medicine is an international journal devoted to molecular mechanisms of human disease.

International Journal of Oncology

International Journal of Oncology

International Journal of Oncology is an international journal devoted to oncology research and cancer treatment.

Molecular Medicine Reports

Molecular Medicine Reports

Covers molecular medicine topics such as pharmacology, pathology, genetics, neuroscience, infectious diseases, molecular cardiology, and molecular surgery.

Oncology Reports

Oncology Reports

Oncology Reports is an international journal devoted to fundamental and applied research in Oncology.

Experimental and Therapeutic Medicine

Experimental and Therapeutic Medicine

Experimental and Therapeutic Medicine is an international journal devoted to laboratory and clinical medicine.

Oncology Letters

Oncology Letters

Oncology Letters is an international journal devoted to Experimental and Clinical Oncology.

Biomedical Reports

Biomedical Reports

Explores a wide range of biological and medical fields, including pharmacology, genetics, microbiology, neuroscience, and molecular cardiology.

Molecular and Clinical Oncology

Molecular and Clinical Oncology

International journal addressing all aspects of oncology research, from tumorigenesis and oncogenes to chemotherapy and metastasis.

World Academy of Sciences Journal

World Academy of Sciences Journal

Multidisciplinary open-access journal spanning biochemistry, genetics, neuroscience, environmental health, and synthetic biology.

International Journal of Functional Nutrition

International Journal of Functional Nutrition

Open-access journal combining biochemistry, pharmacology, immunology, and genetics to advance health through functional nutrition.

International Journal of Epigenetics

International Journal of Epigenetics

Publishes open-access research on using epigenetics to advance understanding and treatment of human disease.

Medicine International

Medicine International

An International Open Access Journal Devoted to General Medicine.

Journal Cover
July-August 2025 Volume 7 Issue 4

Full Size Image

Sign up for eToc alerts
Recommend to Library

  • Article
  • Citations
    • Cite This Article
    • Download Citation
    • Create Citation Alert
    • Remove Citation Alert
    • Cited By
  • Similar Articles
    • Related Articles (in Spandidos Publications)
    • Similar Articles (Google Scholar)
    • Similar Articles (PubMed)
  • Download PDF
  • Download XML
  • View XML
Article Open Access

Histological and immunohistochemical analysis of oral squamous cell carcinoma samples from 2018‑2022

  • Authors:
    • Fatin L. Khaphi
    • Ghaydaa Hashim Al Qudsi
    • Oula Fouad Hameed
    • Hanaa Ali Hussein
  • View Affiliations / Copyright

    Affiliations: College of Dentistry, University of Basrah, Basrah 61001, Iraq
    Copyright: © Khaphi et al. This is an open access article distributed under the terms of Creative Commons Attribution License [CC BY 4.0].
  • Article Number: 59
    |
    Published online on: April 23, 2025
       https://doi.org/10.3892/wasj.2025.347
  • Expand metrics +
Metrics: Total Views: 0 (Spandidos Publications: | PMC Statistics: )
Metrics: Total PDF Downloads: 0 (Spandidos Publications: | PMC Statistics: )
Cited By (CrossRef): 0 citations Loading Articles...

This article is mentioned in:



Abstract

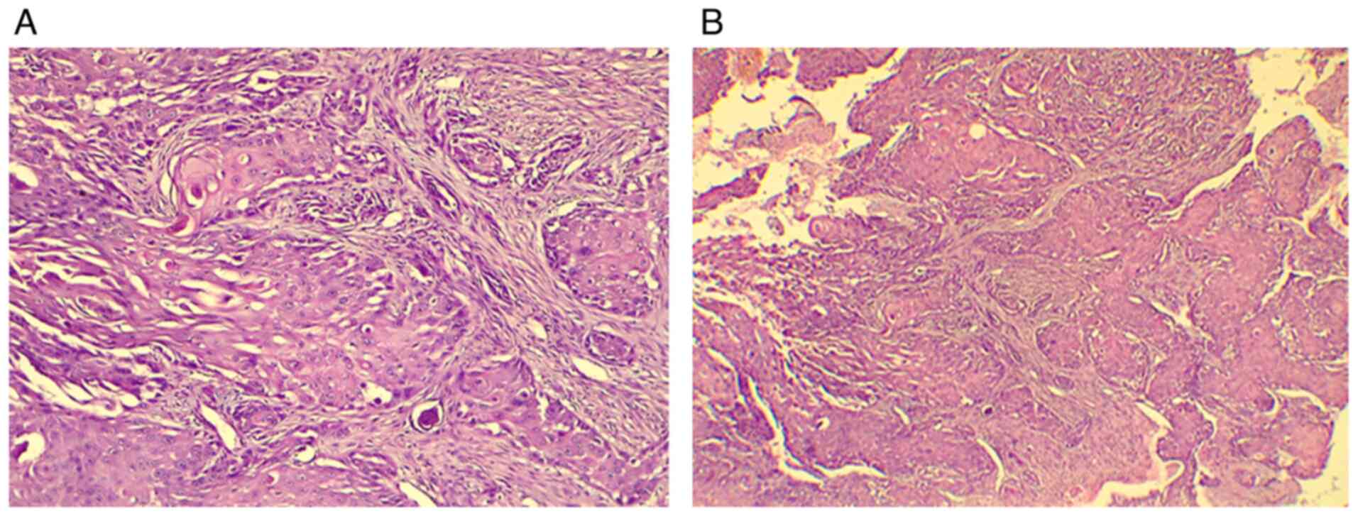
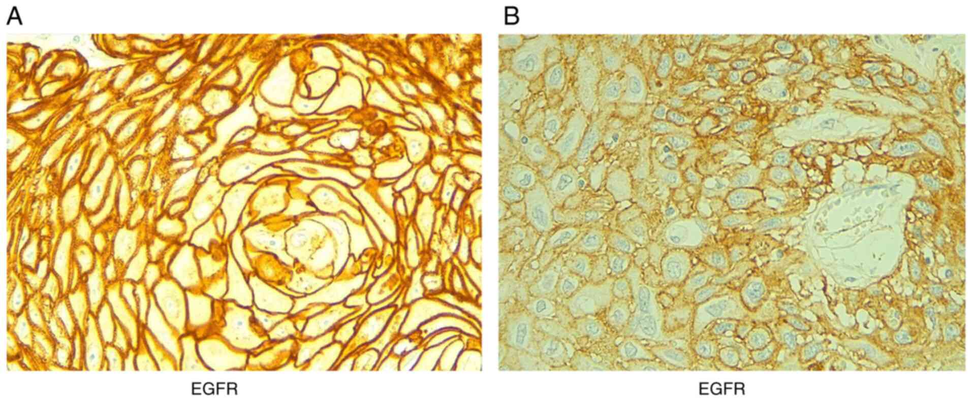
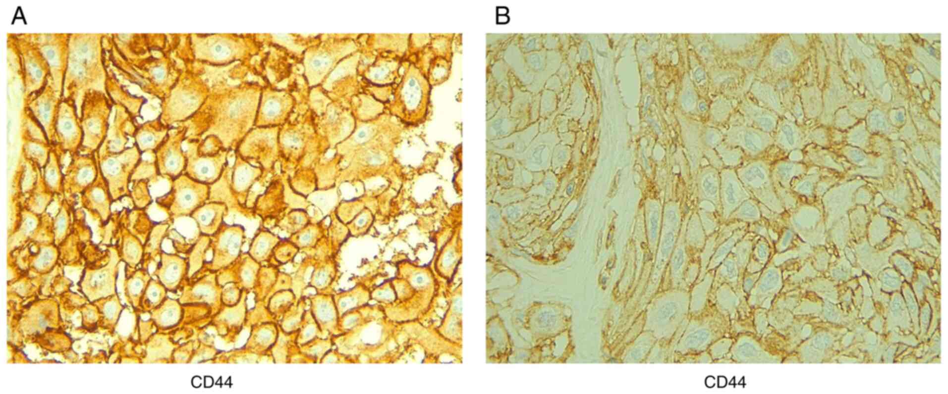
Oral squamous cell carcinoma (OSCC) is a critical public health issue that is becoming more common, with an increasing incidence and mortality rate due to a low quality of life. The aim of the present study was to investigate the prevalence of OSCC in relation to the demographic parameters of patients between 2018 and 2022, and to analyze the association with histopathological grades. Additionally, the present study aimed to evaluate the immunoexpression of biomarkers, such as p63, cluster of differentiation 44 (CD44) and epidermal growth factor receptor (EGFR) in different grades of OSCC. For this purpose, a total of 58 patient samples were retrieved and a biopsy sample was obtained for histopathological analysis and immunohistochemistry (IHC). Hematoxylin and eosin‑stained sections were graded using Broder's criteria. A manual tissue microarray technique was employed for the analysis of expression of IHC markers, such as p63, CD44 and EGFR. The results revealed that as regards histological grading, 35 cases (60.34%) were classified as well‑differentiated squamous cell carcinoma (WDSCC, grade I), while 23 cases (39.33%) were identified as moderately differentiated squamous cell carcinoma (MDSCC, grade II). An increased immunoexpression of CD44 and EGFR was noted in WDSCC, while there was a lower immunoexpression in MDSCC. All cases of WDSCC and MDSCC exhibited a strong positive nuclear immunoexpression of p63. On the whole, the present study demonstrates that the majority of the OSCC cases were WDSCC, followed by MDSCC. Thus, OSCC histopathological grades can be strong prognostic indicator. A low expression of CD44 in OSCC tissues may indicate tumor invasion and a higher risk of developing metastasis. Patients with OSCC exhibiting EGFR immunoexpression may benefit from specific targeted therapy.
View Figures

Figure 1

Figure 2

Figure 3

Figure 4

Figure 5

Figure 6

Figure 7

Figure 8

View References

1 

Tran CM, Kuroshima T, Oikawa Y, Michi Y, Kayamori K and Harada H: Clinicopathological and immunohistochemical characteristics of pigmented oral squamous cell carcinoma. Oncol Lett. 21(339)2021.PubMed/NCBI View Article : Google Scholar

2 

Hussein HA and Khaphi FL: The apoptotic activity of curcumin against oral cancer cells without affecting normal cells in comparison to paclitaxel activity. Appl Biochem Biotechnol. 195:5019–5033. 2023.PubMed/NCBI View Article : Google Scholar

3 

Khaphi FL and Hussein HA: A preliminary study of oral manifestations in cancer patients receiving chemotherapy at basrah tumor center. J Adv Sci Nanotechnol. 2:173–181. 2023.

4 

Feller L and Lemmer J: Oral squamous cell carcinoma: Epidemiology, clinical presentation and treatment. J Cancer Ther. 3:263–268. 2012.

5 

Mesgari H, Esmaelian S, Nasiri K, Ghasemzadeh S, Doroudgar P and Payandeh Z: Epigenetic regulation in oral squamous cell carcinoma microenvironment: A comprehensive review. Cancers (Basel). 15(5600)2023.PubMed/NCBI View Article : Google Scholar

6 

Rai HC and Ahmed J: Clinicopathological correlation study of oral squamous cell carcinoma in a local Indian population. Asian Pac J Cancer Prev. 17:1251–1254. 2016.PubMed/NCBI View Article : Google Scholar

7 

Jagtap MM, Shukla S, Acharya S, Tamhane A and Bhake A: Utility of histochemical and immunohistochemical profile in grading of squamous cell carcinoma of the oral cavity. J Clin Diagn Res. 11:223–228. 2023.

8 

Pekarek L, Garrido-Gil MJ, Sánchez-Cendra A, Cassinello J, Pekarek T, Fraile-Martinez O, García-Montero C, Lopez-Gonzalez L, Rios-Parra A, Álvarez-Mon M, et al: Emerging histological and serological biomarkers in oral squamous cell carcinoma: Applications in diagnosis, prognosis evaluation and personalized therapeutics (Review). Oncol Rep. 50(213)2023.PubMed/NCBI View Article : Google Scholar

9 

Pulte D and Brenner H: Changes in survival in head and neck cancers in the late 20th and early 21st century: A period analysis. Oncologist. 15:994–1001. 2010.PubMed/NCBI View Article : Google Scholar

10 

Tan Y, Wang Z, Xu M, Li B, Huang Z, Qin S, Nice EC, Tang J and Huang C: Oral squamous cell carcinomas: State of the field and emerging directions. Int J Oral Sci. 15(44)2023.PubMed/NCBI View Article : Google Scholar

11 

Sim YC, Hwang JH and Ahn KM: Overall and disease-specific survival outcomes following primary surgery for oral squamous cell carcinoma: Analysis of consecutive 67 patients. J Korean Assoc Oral Maxillofac Surg. 45:83–90. 2019.PubMed/NCBI View Article : Google Scholar

12 

Almangush A, Pirinen M, Heikkinen I, Mäkitie AA, Salo T and Leivo I: Tumour budding in oral squamous cell carcinoma: A meta-analysis. Br J Cancer. 118:577–586. 2018.PubMed/NCBI View Article : Google Scholar

13 

Kassab A, Gupta I and Moustafa AEA: Role of E2F transcription factor in oral cancer: Recent insight and advancements. Semin Cancer Biol. 92:28–41. 2023.PubMed/NCBI View Article : Google Scholar

14 

Patel SB, Manjunatha BS, Shah V, Soni N and Sutariya R: Immunohistochemical evaluation of p63 and cyclin D1 in oral squamous cell carcinoma and leukoplakia. J Korean Assoc Oral Maxillofac Surg. 43:324–330. 2017.PubMed/NCBI View Article : Google Scholar

15 

Yu HB, Glukhov E, Li Y, Iwasaki A, Gerwick L, Dorrestein PC, Jiao BH and Gerwick WH: Cytotoxic microcolin lipopeptides from the marine cyanobacterium moorea producens. J Nat Prod. 82:2608–2619. 2019.PubMed/NCBI View Article : Google Scholar

16 

Ramasubramanian A, Ramani P, Sherlin HJ, Premkumar P, Natesan A and Thiruvengadam C: Immunohistochemical evaluation of oral epithelial dysplasia using cyclin-D1, p27 and p63 expression as predictors of malignant transformation. J Nat Sci Biol Med. 4:349–358. 2013.PubMed/NCBI View Article : Google Scholar

17 

Xu Y, Yang X, Xiong Q, Han J and Zhu Q: The dual role of p63 in cancer. Front Oncol. 13(1116061)2023.PubMed/NCBI View Article : Google Scholar

18 

Johnson DE, Burtness B, Leemans CR, Lui VWY, Bauman JE and Grandis JR: Head and neck squamous cell carcinoma. Nat Rev Dis Primers. 6(92)2020.PubMed/NCBI View Article : Google Scholar

19 

Shah RB, Zhou M, LeBlanc M, Snyder M and Rubin MA: Comparison of the basal cell-specific markers, 34betaE12 and p63, in the diagnosis of prostate cancer. Am J Surg Pathol. 26:1161–1668. 2002.PubMed/NCBI View Article : Google Scholar

20 

Hibi K, Trink B, Patturajan M, Westra WH, Caballero OL, Hill DE, Ratovitski EA, Jen J and Sidransky D: AIS is an oncogene amplified in squamous cell carcinoma. Proc Natl Acad Sci USA. 97:5462–5467. 2000.PubMed/NCBI View Article : Google Scholar

21 

Krishnamurthy S and Nör JE: Head and neck cancer stem cells. J Dent Res. 91:334–340. 2012.PubMed/NCBI View Article : Google Scholar

22 

Hendawy H, Esmail AD, Zahani AMN, Elmahdi AH and Ibrahiem A: Clinicopathological correlation of stem cell markers expression in oral squamous cell carcinoma; relation to patients' outcome. J Immunoassay Immunochem. 42:571–595. 2021.PubMed/NCBI View Article : Google Scholar

23 

Boxberg M, Götz C, Haidari S, Dorfner C, Jesinghaus M, Drecoll E, Boskov M, Wolff KD, Weichert W, Haller B and Kolk A: Immunohistochemical expression of CD44 in oral squamous cell carcinoma in relation to histomorphological parameters and clinicopathological factors. Histopathology. 73:559–572. 2018.PubMed/NCBI View Article : Google Scholar

24 

Chen W, Zhang X, Chu C, Cheung WL, Ng L, Lam S, Chow A, Lau T, Chen M, Li Y, et al: Identification of CD44+ cancer stem cells in human gastric cancer. Hepatogastroenterology. 60:949–954. 2013.PubMed/NCBI View Article : Google Scholar

25 

Hou Y, Zou Q, Ge R, Shen F and Wang Y: The critical role of CD133(+)CD44(+/high) tumor cells in hematogenous metastasis of liver cancers. Cell Res. 22:259–272. 2012.PubMed/NCBI View Article : Google Scholar

26 

Ang KK, Berkey BA, Tu X, Zhang HZ, Katz R, Hammond EH, Fu KK and Milas L: Impact of epidermal growth factor receptor expression on survival and pattern of relapse in patients with advanced head and neck carcinoma. Cancer Res. 62:7350–7356. 2002.PubMed/NCBI

27 

Kimura I, Kitahara H, Ooi K, Kato K, Noguchi N, Yoshizawa K, Nakamura H and Kawashiri S: Loss of epidermal growth factor receptor expression in oral squamous cell carcinoma is associated with invasiveness and epithelial-mesenchymal transition. Oncol Lett. 11:201–207. 2016.PubMed/NCBI View Article : Google Scholar

28 

Ribeiro PFA, Noguti J, Oshima CTF and Ribeiro DA: Effective targeting of the epidermal growth factor receptor (EGFR) for treating oral cancer: A promising approach. Anticancer Res. 34:1547–1552. 2014.PubMed/NCBI

29 

Wongpattaraworakul W, Gibson-Corley KN, Choi A, Buchakjian MR, Lanzel EA, Rajan Kd A and Simons AL: Prognostic role of combined egfr and tumor-infiltrating lymphocytes in oral squamous cell carcinoma. Front Oncol. 12(885236)2022.PubMed/NCBI View Article : Google Scholar

30 

Kang JJ, Ko A, Kil SH, Mallen-St Clair J, Shin DS, Wang MB and Srivatsan ES: EGFR pathway targeting drugs in head and neck cancer in the era of immunotherapy. Biochim Biophys Acta Rev Cancer. 1878(188827)2023.PubMed/NCBI View Article : Google Scholar

31 

El-Naggar AK, Chan JKC, Takata T, Grandis JR and Slootweg PJ: The fourth edition of the head and neck World Health Organization blue book: Editors' perspectives. Hum Pathol. 66:10–12. 2017.PubMed/NCBI View Article : Google Scholar

32 

Pires FR, Ramos AB, de Oliveira JBC, Tavares AS, de Luz PSR and dos Santos TCRB: Oral squamous cell carcinoma: Clinicopathological features from 346 cases from a single oral pathology service during an 8-year period. J Appl Oral Sci. 21:460–467. 2013.PubMed/NCBI View Article : Google Scholar

33 

Pathak GS, Deshmukh SD and Ashturkar AV: Construction of tissue arrays without prefabricated recipient paraffin block experience of a novel technique in resource poor settings. Indian J Pathol Microbiol. 54:654–655. 2011.PubMed/NCBI View Article : Google Scholar

34 

Singla S, Singla G, Zaheer S, Rawat DS and Mandal AK: Expression of p53, epidermal growth factor receptor, c-erbB2 in oral leukoplakias and oral squamous cell carcinomas. J Cancer Res Ther. 14:388–393. 2018.PubMed/NCBI View Article : Google Scholar

35 

Bugshan A and Farooq I: Oral squamous cell carcinoma: Metastasis, potentially associated malignant disorders, etiology and recent advancements in diagnosis. F1000Res. 9(229)2020.PubMed/NCBI View Article : Google Scholar

36 

Shrestha G, Chang CP, Pun CB, Gautam DK, Siwakoti B, Sapkota A and Hashibe M: Differences in risk factors for head and neck cancer among men and women in Nepal: A case-control study. Cancer Epidemiol. 82(102319)2023.PubMed/NCBI View Article : Google Scholar

37 

Kashif M, Minhas S and Nagi AH: A clinico-morphological study of oral squamous cell carcinoma in Pakistan. Int J Curr Res. 7:17401–17405. 2015.

38 

Khan SM, Prakash N, Mokashi RR, Gajdhar SK, Sadhwani V and Manva MZ: Histopathological grades of oral squamous cell carcinoma a prognostic indicator: Hospital-based study. Int J Med Res Heal Sci. 11:17–22. 2022.

39 

Saeed AS and Abdullah BH: The effect of age on the clinicopathological features of oral squamous cell carcinoma. J Baghdad Coll Dent. 34:25–28. 2022.

40 

Bunget AM, Dascălu IT, Coleș E, Țîrcă T, Stan M, Găman S and Nicola AG: Histopathological aspects in oral squamous cell carcinoma. J Dent Sci. 3(000173)2018.

41 

Bernardes VF, Gleber-Netto FO, de Sousa SF, Rocha RM and De Aguiar MCF: EGFR status in oral squamous cell carcinoma: Comparing immunohistochemistry, FISH and CISH detection in a case series study. BMJ Open. 3(e002077)2013.PubMed/NCBI View Article : Google Scholar

42 

Warnakulasuriya S: Causes of oral cancer-an appraisal of controversies. Br Dent J. 207:471–475. 2009.PubMed/NCBI View Article : Google Scholar

43 

Bello IO, Soini Y and Salo T: Prognostic evaluation of oral tongue cancer: Means, markers and perspectives (II). Oral Oncol. 46:636–643. 2010.PubMed/NCBI View Article : Google Scholar

44 

Nayak VN, Donoghue M and Selvamani M: Oral squamous cell carcinoma: A 5 years institutional study. J Med Radiol Pathol Surg. 1:3–6. 2015.

45 

Zahir R, Khan ZA, Aleem B, Ahmad S, Ali A, Issrani R, Alruwaili MK, Iqbal S, Alghumaiz SF, Alanazi SH, et al: Association of high immunohistochemical expression of minichromosome maintenance 3 with human oral squamous cell carcinoma-a preliminary study. Diagnostics (Basel). 13(61)2023.PubMed/NCBI View Article : Google Scholar

46 

Shaikh AH, Muhammad T and Rasheed T: Evaluating the correlation between histopathological patterns of oral squamous cell carcinoma, age & site. Pak Oral Dent J. 35:30–32. 2015.

47 

Yasin MM, Abbas Z and Hafeez A: Correlation of histopathological patterns of OSCC patients with tumor site and habits. BMC Oral Health. 22(305)2022.PubMed/NCBI View Article : Google Scholar

48 

Matsubara R, Kawano S, Kiyosue T, Goto Y, Hirano M, Jinno T, Toyoshima T, Kitamura R, Oobu K and Nakamura S: Increased ΔNp63 expression is predictive of malignant transformation in oral epithelial dysplasia and poor prognosis in oral squamous cell carcinoma. Int J Oncol. 39:1391–1399. 2011.PubMed/NCBI View Article : Google Scholar

49 

Lo Muzio L, Santarelli A, Caltabiano R, Rubini C, Pieramici T, Trevisiol L, Carinci F, Leonardi R, De Lillo A, Lanzafame S, et al: p63 overexpression associates with poor prognosis in head and neck squamous cell carcinoma. Hum Pathol. 36:187–194. 2005.PubMed/NCBI View Article : Google Scholar

50 

Saghravanian N, Anvari K, Ghazi N, Memar B, Shahsavari M and Aghaee MA: Expression of p63 and CD44 in oral squamous cell carcinoma and correlation with clinicopathological parameters. Arch Oral Biol. 82:160–165. 2017.PubMed/NCBI View Article : Google Scholar

51 

Sri Gowri M, Sagar P, Prasad K, Vanishree Shridhar P and Rao R: Expression of CD44 and its clinicopathological correlation in oral squamous cell carcinoma: An immunohistochemical study. Acta Sci Otolaryngol. 6:5–13. 2024.

52 

Oncel S, Cosgul T, Calli A, Calli C and Pinar E: Evaluation of p53, p63, p21, p27, ki-67 in paranasal sinus squamous cell carcinoma and inverted papilloma. Indian J Otolaryngol Head Neck Surg. 63:172–177. 2011.PubMed/NCBI View Article : Google Scholar

53 

Bavle RM, Paremala K, Soumya M, Reshma V and Sudhakara M: Immunohistochemical expression of p63 in oral premalignant disorders and its correlation with oral squamous cell carcinoma. J Datta Meghe Inst Med Sci Univ. 15:255–260. 2020.

54 

Yugawa T, Narisawa-Saito M, Yoshimatsu Y, Haga K, Ohno SI, Egawa N, Fujita M and Kiyono T: DeltaNp63alpha repression of the Notch1 gene supports the proliferative capacity of normal human keratinocytes and cervical cancer cells. Cancer Res. 70:4034–4044. 2010.PubMed/NCBI View Article : Google Scholar

55 

Nguyen BC, Lefort K, Mandinova A, Antonini D, Devgan V, Della Gatta G, Koster MI, Zhang Z, Wang J, Tommasi di Vignano A, et al: Cross-regulation between Notch and p63 in keratinocyte commitment to differentiation. Genes Dev. 20:1028–1042. 2006.PubMed/NCBI View Article : Google Scholar

56 

Yang A and McKeon F: P63 and P73: P53 mimics, menaces and more. Nat Rev Mol Cell Biol. 1:199–207. 2000.PubMed/NCBI View Article : Google Scholar

57 

Graziano V and De Laurenzi V: Role of p63 in cancer development. Biochim Biophys Acta. 1816:57–66. 2011.PubMed/NCBI View Article : Google Scholar

58 

de Oliveira LR, Ribeiro-Silva A and Zucoloto S: Prognostic impact of p53 and p63 immunoexpression in oral squamous cell carcinoma. J Oral Pathol Med. 36:191–197. 2007.PubMed/NCBI View Article : Google Scholar

59 

Dayakar A, Shetty P and Dayakar MM: The expression of p63 protein in different grades of oral squamous cell carcinoma-an immunohistochemical study. J Evol Med Dent Sci. 8:3332–3336. 2019.

60 

Loljung L, Coates PJ, Nekulova M, Laurell G, Wahlgren M, Wilms T, Widlöf M, Hansel A and Nylander K: High expression of p63 is correlated to poor prognosis in squamous cell carcinoma of the tongue. J Oral Pathol Med. 43:14–19. 2014.PubMed/NCBI View Article : Google Scholar

61 

Califano J, van der Riet P, Westra W, Nawroz H, Clayman G, Piantadosi S, Corio R, Lee D, Greenberg B, Koch W and Sidransky D: Genetic progression model for head and neck cancer: Implications for field cancerization. Cancer Res. 56:2488–2492. 1996.PubMed/NCBI

62 

Alkhatib DZR, Truong TTK, Fujii S, Hasegawa K, Nagano R, Tajiri Y and Kiyoshima T: Stepwise activation of p63 and the MEK/ERK pathway induces the expression of ARL4C to promote oral squamous cell carcinoma cell proliferation. Pathol Res Pract. 246(154493)2023.PubMed/NCBI View Article : Google Scholar

63 

Fonseca I, Pereira T, Rosa-Santos J and Soares J: Expression of CD44 isoforms in squamous cell carcinoma of the border of the tongue: A correlation with histological grade, pattern of stromal invasion, and cell differentiation. J Surg Oncol. 76:115–120. 2001.PubMed/NCBI View Article : Google Scholar

64 

Kanke M, Fujii M, Kameyama K, Kanzaki J, Tokumaru Y, Imanishi Y, Tomita T and Matsumura Y: Clinicopathological significance of expression of CD44 variants in head and neck squamous cell carcinoma. Jpn J Cancer Res. 91:410–415. 2000.PubMed/NCBI View Article : Google Scholar

65 

Poothakulath Krishnan R, Pandiar D, Ramani P, Ramalingam K and Jayaraman S: Utility of CD44/CD24 in the outcome and prognosis of oral squamous cell carcinoma: A systematic review. Cureus. 18(e42899)2023.PubMed/NCBI View Article : Google Scholar

66 

Carinci F, Stabellini G, Calvitti M, Pelucchi S, Targa L, Farina A, Pezzetti F and Pastore A: CD44 as prognostic factor in oral and oropharyngeal squamous cell carcinoma. J Craniofac Surg. 13:85–89. 2002.PubMed/NCBI View Article : Google Scholar

67 

Du T, Wu Z, Wu Y, Liu Y, Song Y and Ma L: CD44 is associated with poor prognosis of ccRCC and facilitates ccRCC cell migration and invasion through HAS1/MMP9. Biomedicines. 11(2077)2023.PubMed/NCBI View Article : Google Scholar

68 

Thapa R and Wilson GD: The importance of CD44 as a stem cell biomarker and therapeutic target in cancer. Stem Cells Int. 2016(2087204)2016.PubMed/NCBI View Article : Google Scholar

69 

Yuan SSF, Hung AC, Hsu CW, Lan TH, Su CW, Chi TC, Chang YC, Chen YK and Wang YY: CD44 mediates oral squamous cell carcinoma-promoting activity of MRE11 via AKT signaling. J Pers Med. 12(841)2022.PubMed/NCBI View Article : Google Scholar

70 

Qiao X, Zhu L, Song R, Shang C and Guo Y: CD44 occurring alternative splicing promotes cisplatin resistance and evokes tumor immune response in oral squamous cell carcinoma cells. Transl Oncol. 31(101644)2023.PubMed/NCBI View Article : Google Scholar

71 

Essa AAM and Deraz EM: Expression of CD44 (NKI-P1) in oral squamous cell carcinoma associated vascular endothelial cells: A relationship to tumor angiogenesis. Saudi Dent J. 34:21–26. 2022.PubMed/NCBI View Article : Google Scholar

72 

Lo HW, Hsu SC, Ali-Seyed M, Gunduz M, Xia W, Wei Y, Bartholomeusz G, Shih JY and Hung MC: Nuclear interaction of EGFR and STAT3 in the activation of the iNOS/NO pathway. Cancer Cell. 7:575–589. 2005.PubMed/NCBI View Article : Google Scholar

73 

Kappler M, Dauter K, Reich W, Bethmann D, Schwabe M, Rot S, Wickenhauser C, Al-Nawas B and Eckert AW: Prognostic impact of cytoplasmatic EGFR upregulation in patients with oral squamous cell carcinoma: A pilot study. Mol Clin Oncol. 13(88)2020.PubMed/NCBI View Article : Google Scholar

74 

Verma J, Dhingra V, Srivastava S, Misra V, Varma K and Singh S: Alteration of cellular metabolism in cancer cells and its therapeutic. J Oral Maxillofac Pathol. 21:244–251. 2017.PubMed/NCBI View Article : Google Scholar

75 

Taguchi T: Nuclear translocation of epidermal growth factor receptor and its relation to clinicopathological factors in oral squamous cell carcinomas. Kokubyo Gakkai Zasshi. 81:45–52. 2014.PubMed/NCBI(In Japanese).

76 

Cheng Y, Song Z, Chen J, Tang Z and Wang B: Molecular basis, potential biomarkers, and future prospects of OSCC and PD-1/PD-L1 related immunotherapy methods. Heliyon. 10(e25895)2024.PubMed/NCBI View Article : Google Scholar

77 

Gou Q, Dong C, Xu H, Khan B, Jin J, Liu Q, Shi J and Hou Y: PD-L1 degradation pathway and immunotherapy for cancer. Cell Death Dis. 11(955)2020.PubMed/NCBI View Article : Google Scholar

78 

González-Moles MÁ, Warnakulasuriya S, López-Ansio M and Ramos-García P: Hallmarks of cancer applied to oral and oropharyngeal carcinogenesis: A scoping review of the evidence gaps found in published systematic reviews. Cancers (Basel). 14(3834)2022.PubMed/NCBI View Article : Google Scholar

79 

Biswal BN, Das SN, Das BK and Rath R: Alteration of cellular metabolism in cancer cells and its therapeutic prospects. J Oral Maxillofac Pathol. 21:244–251. 2017.PubMed/NCBI View Article : Google Scholar

80 

Pierobon M, Wulfkuhle J, Liotta LA and Petricoin Iii EF: Utilization of proteomic technologies for precision oncology applications. Cancer Treat Res. 178:171–187. 2019.PubMed/NCBI View Article : Google Scholar

81 

Cívico-Ortega JL, González-Ruiz I, Ramos-García P, Cruz-Granados D, Samayoa-Descamps V and González-Moles MÁ: Prognostic and clinicopathological significance of epidermal growth factor receptor (EGFR) expression in oral squamous cell carcinoma: Systematic review and meta-analysis. Int J Mol Sci. 24(11888)2023.PubMed/NCBI View Article : Google Scholar

Related Articles

  • Abstract
  • View
  • Download
Copy and paste a formatted citation
Spandidos Publications style
Khaphi FL, Al Qudsi GH, Hameed OF and Hussein HA: Histological and immunohistochemical analysis of oral squamous cell carcinoma samples from 2018‑2022. World Acad Sci J 7: 59, 2025.
APA
Khaphi, F.L., Al Qudsi, G.H., Hameed, O.F., & Hussein, H.A. (2025). Histological and immunohistochemical analysis of oral squamous cell carcinoma samples from 2018‑2022. World Academy of Sciences Journal, 7, 59. https://doi.org/10.3892/wasj.2025.347
MLA
Khaphi, F. L., Al Qudsi, G. H., Hameed, O. F., Hussein, H. A."Histological and immunohistochemical analysis of oral squamous cell carcinoma samples from 2018‑2022". World Academy of Sciences Journal 7.4 (2025): 59.
Chicago
Khaphi, F. L., Al Qudsi, G. H., Hameed, O. F., Hussein, H. A."Histological and immunohistochemical analysis of oral squamous cell carcinoma samples from 2018‑2022". World Academy of Sciences Journal 7, no. 4 (2025): 59. https://doi.org/10.3892/wasj.2025.347
Copy and paste a formatted citation
x
Spandidos Publications style
Khaphi FL, Al Qudsi GH, Hameed OF and Hussein HA: Histological and immunohistochemical analysis of oral squamous cell carcinoma samples from 2018‑2022. World Acad Sci J 7: 59, 2025.
APA
Khaphi, F.L., Al Qudsi, G.H., Hameed, O.F., & Hussein, H.A. (2025). Histological and immunohistochemical analysis of oral squamous cell carcinoma samples from 2018‑2022. World Academy of Sciences Journal, 7, 59. https://doi.org/10.3892/wasj.2025.347
MLA
Khaphi, F. L., Al Qudsi, G. H., Hameed, O. F., Hussein, H. A."Histological and immunohistochemical analysis of oral squamous cell carcinoma samples from 2018‑2022". World Academy of Sciences Journal 7.4 (2025): 59.
Chicago
Khaphi, F. L., Al Qudsi, G. H., Hameed, O. F., Hussein, H. A."Histological and immunohistochemical analysis of oral squamous cell carcinoma samples from 2018‑2022". World Academy of Sciences Journal 7, no. 4 (2025): 59. https://doi.org/10.3892/wasj.2025.347
Follow us
  • Twitter
  • LinkedIn
  • Facebook
About
  • Spandidos Publications
  • Careers
  • Cookie Policy
  • Privacy Policy
How can we help?
  • Help
  • Live Chat
  • Contact
  • Email to our Support Team